Peut-on avoir un cancer du foie sans cirrhose ?
Peut-on avoir un cancer du foie sans cirrhose ?
C'est tout à fait possible. Bien que de nombreux cancers du foie (c'est-à-dire les cancers primaires du foie) soient précédés d'une cirrhose, tous les cancers du foie ne sont pas nécessairement précédés d'une cirrhose, et les personnes qui n'ont pas de cirrhose peuvent tout aussi bien être atteintes d'un cancer du foie.
Le schéma classique du développement du cancer du foie est le suivant : hépatite (principalement hépatite virale, hépatite B ou C, hépatite alcoolique, infections parasitaires, etc. L'hépatite n'évolue pas toujours vers une cirrhose, et la cirrhose n'évolue pas toujours vers un cancer du foie.
Les personnes qui n'ont pas de cirrhose du foie ont, bien sûr, une probabilité plus faible de développer un cancer du foie, mais il n'est pas certain qu'elles ne développeront pas de cancer du foie. Certains cancers du foie se développent sans aucun antécédent de maladie du foie, c'est-à-dire un cancer du foie au tout début. Bien sûr, cela ne signifie pas que ce cancer du foie survient tout d'un coup, le développement du cancer doit passer par un long processus, mais ce type de cancer du foie ne passe pas par les trois étapes classiques (hépatite, cirrhose, cancer du foie) du cancer du foie.
En outre, la plupart des cancers du foie font référence au carcinome hépatocellulaire, mais ils comprennent également le carcinome cholangiocellulaire et le type mixte de cancer du foie (type mixte de carcinome hépatocellulaire et de carcinome cholangiocellulaire). Le carcinome cholangiocellulaire intrahépatique n'est pas identique à la plupart des carcinomes hépatocellulaires, qui proviennent de l'épithélium des voies biliaires intrahépatiques, et est essentiellement identique au carcinome cholangiocellulaire extrahépatique. Il est différent du carcinome hépatocellulaire en termes de caractéristiques cliniques, qui n'est généralement pas lié à une maladie du foie, ni à l'hépatite B, et ne présente généralement pas d'alpha-fœtoprotéine élevée (bien sûr, le carcinome hépatocellulaire ne présente pas toujours d'alpha-fœtoprotéine élevée non plus). Il appartient plutôt à la même catégorie que les cancers systémiques biliopancréatiques, avec une élévation prédominante du CA199 (comprenant également l'ACE).
Je suis le Dr Little Shadow, une imagerie. J'ai beaucoup écrit sur l'hépatite B chronique - la cirrhose - le cancer du foie, et la majorité des patients atteints de cancer du foie ont une hépatite B chronique. Mais ce n'est pas parce que vous n'avez pas d'hépatite B que vous n'aurez pas de cirrhose, et ce n'est pas parce que vous n'avez pas de cirrhose que vous n'aurez pas de cancer du foie. Il est possible d'avoir un cancer du foie sans avoir l'hépatite B.
On peut avoir un cancer du foie sans cirrhose.
En Chine, la principale cause de cirrhose du foie est l'hépatite B chronique. La Chine est encore un grand pays touché par l'hépatite B. Les personnes qui sont dépendantes de l'alcool depuis longtemps peuvent également être à l'origine d'une cirrhose alcoolique.
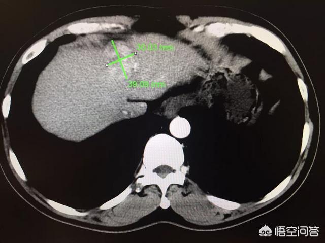
La trilogie du cancer du foie, Hépatite B - Cirrhose - Cancer du foie, est le schéma de la plupart des patients. Sur l'imagerie, lorsque vous voyez un nodule dans le foie, si vous avez une cirrhose avec une hépatite B, il y a une forte probabilité que le nodule soit un carcinome hépatocellulaire. La présence d'une cirrhose est très évocatrice de la nature d'un nodule.
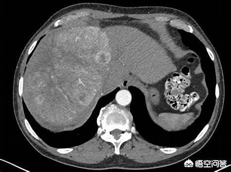
Il s'agit d'un patient de 55 ans atteint d'une hépatite B chronique. L'examen physique et l'échographie ont révélé une occupation du foie, un taux élevé d'AFP et un cancer du foie très typique à l'imagerie. Il est important d'effectuer des contrôles médicaux réguliers si vous avez une hépatite B !
Mais certaines personnes ne passent pas par le stade de la cirrhose et développent directement un cancer du foie. En cas d'hépatite B, si les tissus du foie n'ont pas encore subi le remodelage tissulaire et la formation de pseudolobules, et si l'imageur ne peut pas encore voir qu'il y a une cirrhose, les cellules du foie sont déjà cancéreuses sous l'action du virus de l'hépatite B. Il s'agit d'un carcinome hépatocellulaire avec hépatite B mais sans cirrhose.
Il est également possible de développer un cancer du foie sans être atteint d'hépatite B ou de cirrhose. Ce n'est pas parce que vous n'avez pas l'hépatite B que vous pouvez vous reposer sur vos lauriers et laisser votre foie tranquille. Le cancer du foie sans hépatite B est relativement rare.
Comment le cancer du foie est-il diagnostiqué par imagerie ?
Pour savoir s'il y a un problème au niveau du foie, la première chose à faire est de passer une échographie, un scanner ou une IRM, qui sont tous des examens d'imagerie. L'échographie, en tant que moyen de recensement du foie, permet le plus souvent de détecter des lésions hépatiques. Une fois que l'échographie a détecté une grosseur dans le foie, un scanner ou une IRM est en principe nécessaire.
Au scanner, un carcinome hépatocellulaire typique se présente sur l'imageEntrée rapide, sortie rapideLa manifestation de ce phénomène doit être réalisée avec un renforcement pour le voir. Le diagnostic de cancer du foie est très fiable lorsque l'on voit des nodules de ce type. Le carcinome hépatocellulaire est également la seule maladie qui peut être traitée sans qu'un diagnostic pathologique soit confirmé. Le diagnostic est basé sur la typicité de l'imagerie et sur les antécédents d'hépatite B. L'ablation interventionnelle ou l'embolisation peuvent alors être envisagées pour le traitement.
Lorsque l'imagerie est atypique, il n'y a pas de "fast in, fast out" comme indiqué ci-dessus, s'il y a une hépatite B, bien qu'atypique, la possibilité d'un carcinome hépatocellulaire doit être envisagée, et s'il n'y a pas d'hépatite B, des séquences multiples doivent être combinées pour porter un jugement. Les hémangiomes hépatiques atypiques bénins, l'hyperplasie nodulaire focale (HNF), les adénomes et le carcinome hépatocellulaire atypique sont parfois difficiles à différencier et, dans ce cas, plusieurs personnes doivent être consultées et il est normal que plusieurs médecins ne soient pas d'accord. Une ponction-biopsie peut être effectuée pour clarifier le diagnostic.
Je le suis.Dr. ShadowSuivez-moi si vous voulez en savoir plus sur la médecine.
Les tumeurs qui prennent naissance dans le foie sont appelées cancer primitif du foie, ou "cancer du foie", et il s'agit d'une tumeur maligne fréquente. Les facteurs de risque du cancer du foie comprennent diverses maladies du foie telles que l'hépatite B, l'hépatite C, la stéatose hépatique, la cirrhose, les troubles métaboliques tels que le diabète, l'obésité, etc., ainsi que de mauvaises habitudes de vie telles que l'alcoolisme, le tabagisme, la consommation d'aliments moisis, etc. La cirrhose n'est donc qu'une des causes du cancer du foie, et il existe également un risque de cancer en l'absence de cirrhose mais en présence d'autres facteurs de risque.
La cirrhose et le cancer du foie sont deux maladies étroitement liées. Tous les patients atteints de cirrhose devraient être régulièrement soumis à un dépistage du cancer du foie pour une détection et un traitement précoces ; deuxièmement, les causes de la cirrhose peuvent également provoquer un cancer du foie, comme l'hépatite B, l'hépatite C, la maladie hépatique graisseuse non alcoolique (NALFLD), la maladie hépatique graisseuse alcoolique (AFLD), etc. L'hépatite B, l'hépatite C et d'autres maladies du foie peuvent évoluer selon le schéma hépatite - cirrhose - cancer du foie, de sorte que certains de nos amis croient à tort que tant qu'ils n'atteignent pas la cirrhose, ils n'auront pas de cancer du foie. En fait, l'hépatite virale est une cause à haut risque de cancer du foie, même sans cirrhose, le risque de cancer du foie à l'avenir n'est pas faible, un traitement actif est donc nécessaire ; si la cirrhose a progressé, le risque de cancer est significativement plus élevé que chez les patients sans cirrhose.
Le carcinome hépatocellulaire commence insidieusement et n'a pas d'effet d'occupation significatif au stade précoce de la maladie. Par conséquent, le carcinome hépatocellulaire précoce ne présente pas de symptômes spécifiques et n'est pas facile à détecter. Cependant, la tumeur maligne progresse plus rapidement et la tumeur peut croître de manière significative dans un laps de temps relativement court. La tumeur élargie rend l'enveloppe du foie tendue, ce qui provoque des douleurs dans la région du foie, principalement une douleur sourde ou distendue. Si la douleur dans la région du foie est persistante, elle peut attirer l'attention, mais la douleur causée par le cancer du foie peut être persistante ou intermittente, et les patients souffrant de douleurs intermittentes peuvent facilement ignorer les symptômes, ce qui permet de retarder l'évolution de la maladie. En outre, le cancer du foie peut également présenter des symptômes digestifs tels que nausées, vomissements, distension abdominale, diarrhée, et certains patients peuvent également souffrir de fatigue, d'amaigrissement et de fièvre. La plupart des patients atteints d'un cancer du foie et présentant des symptômes ont déjà évolué vers les stades moyen et avancé lorsqu'ils sont diagnostiqués, et la tumeur peut avoir déjà formé des métastases, de sorte que même si des traitements raisonnables sont administrés, il existe un risque élevé de récidive aux stades ultérieurs. Par conséquent, la détection précoce du cancer du foie repose toujours sur des tests auxiliaires, notamment l'échographie du foie et l'alpha-fœtoprotéine, combinée à l'isoforme L3 de l'alpha-fœtoprotéine si nécessaire, et il est recommandé que les groupes à haut risque fassent l'objet d'un nouveau test de dépistage tous les six mois. Bien entendu, la prévention du cancer du foie se concentre sur le traitement des causes à haut risque, ainsi que sur la modification des modes de vie.
En conclusion, les causes du cancer du foie sont nombreuses et la cirrhose n'est qu'une des causes du cancer du foie. S'il n'y a pas de cirrhose, mais qu'il existe d'autres causes à haut risque de cancer du foie telles que l'hépatite B, l'hépatite C, la stéatose hépatique, le diabète sucré, l'obésité, l'alcoolisme, le tabagisme, la consommation d'aliments moisis, etc. Il est recommandé à ces patients de répéter l'examen de l'alpha-fœtoprotéine et l'échographie du foie une fois tous les six mois pendant le traitement de la maladie primaire, afin de bénéficier d'une détection et d'un traitement précoces.
Merci à tous pour votre lecture !
Corrigez-moi si je me trompe ! N'hésitez pas à poser des questions et à les partager dans la section des commentaires !
Note : Le contenu de ce texte est destiné à être utilisé en tant que science de la santé uniquement, et n'est pas destiné à servir de conseil ou d'opinion médicale, et n'est pas considéré comme une orientation médicale.
On peut avoir un cancer du foie sans cirrhose.
Le Dr Yang a répondu en détail. Le cancer du foie comprend principalement le carcinome hépatocellulaire, le carcinome cholangiocellulaire, etc.
1) Le cancer du foie est souvent appelé carcinome hépatocellulaire (CHC).
Quatre-vingt pour cent de ce type de cancer du foie est lié à une cirrhose due à une maladie chronique du foie qui, dans notre pays, est principalement due à l'hépatite B.
Les vingt pour cent restants de CHC surviennent chez des patients ne souffrant pas de maladie du foie. L'apparition du CHC dans ce groupe de patients est différente de celle du CHC dans la cirrhose, qui subit des processus tels que RN, DN, etc., et évolue ensuite vers le CHC, alors que dans le premier groupe, il se manifeste comme CHC dès le début.
Chez ce patient, l'apparition est souvent plus indétectable car il n'y a pas d'antécédents de maladie hépatique. Habituellement, lorsqu'il y a une lésion occupant de l'espace dans le foie, avec un apport sanguin important dans la phase artérielle, et qu'il ne s'agit pas d'une lésion bénigne telle qu'un hémangiome, un FNH, etc., si le patient a une cirrhose de l'hépatite B, nous considérons généralement qu'il s'agit de la première personne à qui l'on diagnostique un CHC. Cependant, en l'absence d'antécédents de maladie hépatique, le problème est compliqué par le fait qu'il y a un certain nombre d'autres pathologies qui doivent être prises en compte.
L'avantage est que ces patients, une fois détectés à un stade précoce, ont un meilleur pronostic que ceux atteints de cirrhose.

2. le cholangiocarcinome intrahépatique. Ce type de cancer est opposé au CHC, mais il est plus susceptible de survenir dans un foie normal sans cirrhose ; l'AFP peut être augmentée dans le CHC, tandis que le CA199 peut être augmenté dans le cholangiocarcinome ; les manifestations au scanner et à l'IRM sont également différentes de celles du CHC, et il est parfois facile d'établir un diagnostic erroné comme un abcès, une tuberculose, etc.
Pour résumer un peu, les personnes sans cirrhose peuvent développer un petit pourcentage de CHC et un grand pourcentage de carcinome cholangiocellulaire. Le CHC et le carcinome cholangiocellulaire sont tous deux appelés carcinomes hépatocellulaires.
Il est possible d'être atteint d'un cancer du foie sans cirrhose.
Hépatite - cirrhose - cancer du foie, telle est la trajectoire de développement de certaines maladies du foie sans traitement, de l'hépatite initiale à la cirrhose, qui n'est pas traitée efficacement, et finalement la maladie progresse et évolue vers un cancer du foie. cancer du foie, mais ce n'est pas la seule cause du cancer du foie.
En l'absence de traitement efficace, la cirrhose peut évoluer vers un cancer du foie.Toutefois, cela ne signifie pas nécessairement que la cirrhose évoluera vers un cancer du foie, et le cancer du foie ne doit pas nécessairement se transformer en cirrhose, qui n'est qu'une possibilité plus grande, et non pas l'ensemble de l'histoire.
De nombreux facteurs déclenchent le développement d'un cancer du foie
Les causes du cancer du foie sont diverses : outre la simple cirrhose, il y a aussi les infections virales et l'abus d'alcool, qui entraînent une fonction hépatique anormale. La consommation d'aliments moisis, en particulier d'aliments moisis contenant de l'aflatoxine, est l'une des causes de déclenchement du cancer du foie. Il y a aussi les habitudes de vie habituelles, qui évitent de se coucher souvent tard le soir, tard le soir le foie dans la réparation métabolique, si à long terme rester debout tard endommagera le système endocrinien, résultant en une augmentation de la charge sur le foie, des dommages à la fonction hépatique.
Il existe également des cancers secondaires du foie qui sont des métastases d'autres cancers, tels que le cancer de l'estomac et le cancer du rectum, qui ne sont pas transformés par la cirrhose, mais qui peuvent également être déclenchés par d'autres tumeurs primaires qui endommagent gravement la fonction immunitaire de l'organisme et qui ne passent pas nécessairement par le processus de cirrhose.
Il faut donc rappeler à tout le monde qu'il faut éviter de se coucher tard, faire attention au travail et au repos, ne pas boire beaucoup d'alcool, faire des examens physiques réguliers (échographie abdominale + fonction hépatique), en cas de gêne dans la région du foie, il faut se rendre à temps à l'hôpital pour une chirurgie hépatobiliaire, la santé est ce qu'il y a de plus important.
Will. J'ai vu beaucoup de patients qui ont développé un cancer du foie directement à cause de l'hépatite B. Bien sûr, le plus souvent, ils ont d'abord eu l'hépatite B, puis une cirrhose 5 à 10 ans plus tard, et enfin un cancer du foie.
Pour un patient atteint d'hépatite B chronique, la plus grande crainte est la cirrhose et le cancer du foie. Mais avant d'avoir peur, tous les patients atteints d'hépatite B doivent comprendre quelques concepts :
1. hépatite B : l'hépatite B est un terme général qui peut être utilisé pour désigner toute personne atteinte d'une infection chronique par le virus de l'hépatite B, y compris les porteurs de l'hépatite B, l'hépatite B chronique et la cirrhose de l'hépatite B.
2) Porteurs de l'hépatite B : certains sont porteurs du triple Yang majeur, d'autres du triple Yang mineur, mais les aminotransférases de tous sont normales, il n'y a pas d'inflammation dans le foie, pas de dommages évidents aux cellules du foie, et l'état est très léger, de sorte qu'à l'heure actuelle, on pense que la maladie peut être laissée sans traitement pour le moment, mais qu'elle doit être observée régulièrement, car certains des porteurs peuvent évoluer vers une hépatite B chronique. À l'heure actuelle, notre pays compte environ 80 millions de porteurs de l'hépatite B.
3. l'hépatite B chronique ; certaines de ces personnes ont l'hépatite III et d'autres l'hépatite III. Dans tous les cas, cette partie du patient a besoin d'un traitement, d'un traitement antiviral, ce sont les vrais patients atteints d'hépatite B, nous avons environ 20 millions de patients de ce type.
Nous pensons généralement que l'hépatite B chronique → cirrhose → cancer du foie est une trilogie, mais en fait, l'hépatite ne conduit pas nécessairement à la cirrhose, et la cirrhose ne conduit pas nécessairement au cancer du foie. À l'heure actuelle, on estime qu'environ 5 % des patients atteints d'hépatite B chronique évolueront vers une cirrhose chaque année, et cette probabilité peut être réduite si un traitement antiviral continu est administré. Chez les patients atteints de cirrhose, environ 3 à 6 % d'entre eux évolueront vers un cancer du foie chaque année. Par exemple, si nous avons 20 millions de personnes atteintes d'hépatite B chronique et qu'environ 1 million (5 %) d'entre elles évoluent vers la cirrhose chaque année, et sur ces 1 million de patients cirrhotiques, environ 50 000 (5 %, en prenant le milieu de la fourchette de 3 à 6 %) évolueront vers un cancer du foie chaque année. Si vous ne suivez pas de thérapie antivirale et que vous continuez à boire de l'alcool, vous avez une probabilité beaucoup plus élevée de cirrhose et de cancer du foie, cela ne fait aucun doute.
Une personne atteinte d'hépatite B chronique, qui n'a pas encore de cirrhose, peut-elle développer un cancer du foie ? Oui, c'est possible. Les lignes directrices 2015 sur l'hépatite B indiquent qu'environ 1 % des personnes atteintes d'hépatite B chronique développent un cancer du foie chaque année. 1 % de probabilité, c'est beaucoup ? Pas grand-chose ? Pas même petit, mais nous sommes si nombreux à être atteints de l'hépatite B, la base est si large, que 1% représente beaucoup de monde.
Pourquoi les patients atteints d'hépatite B chronique évoluent-ils directement vers un cancer du foie ? Ce cancer est principalement causé par l'activité de l'hépatite. La chose la plus cruciale reste donc le traitement antiviral. Tous les patients atteints d'hépatite B, qu'il s'agisse d'une hépatite B chronique ou d'une cirrhose, doivent suivre un traitement antiviral. En effet, un traitement antiviral continu et efficace peut inhiber l'activité du virus de l'hépatite B dans le foie, réduire l'inflammation du foie, réduire la fibrose du foie et réduire l'incidence du cancer du foie.
Si un patient atteint d'hépatite B chronique suit un traitement antiviral et ne boit pas d'alcool, le risque de cirrhose et de cancer du foie est très, très faible, et la grande majorité des cirrhoses et des cancers du foie sont retardés. Par conséquent, que nous ayons ou non un cancer du foie, l'initiative nous appartient, mes amis, n'oubliez pas le traitement antiviral, ne le prenez pas à la légère.
Bien entendu, très peu de patients atteints d'hépatite B chronique développeront un cancer du foie malgré un traitement antiviral, ce qui est une fatalité (aspects génétiques et immunitaires difficilement modifiables).
L'hépatite B n'est pas si effrayante, l'adhésion au traitement antiviral est la voie à suivre, et de bons résultats seront obtenus. N'ayez pas peur.
Dr Liu Yubin, hépatobiliaire et pancréatique :
La cirrhose est une maladie hépatique chronique progressive courante, avec des lésions hépatiques diffuses, due à l'action prolongée ou répétée d'un ou de plusieurs facteurs étiologiques.
Au stade précoce de la cirrhose, il peut n'y avoir aucun symptôme évident en raison de la forte fonction compensatoire du foie, mais au stade avancé, les lésions de la fonction hépatique et l'hypertension portale sont les principales manifestations, et il y a une atteinte multisystémique, ainsi qu'une hémorragie gastro-intestinale supérieure, une encéphalopathie hépatique, des infections secondaires, une hyperfonction splénique, une ascite, un carcinome et d'autres complications qui surviennent souvent au stade avancé.
La cirrhose et le cancer du foie sont donc étroitement liés. Le cancer du foie peut-il survenir sans cirrhose ?
La réponse est possible, car le cancer du foie se divise en deux catégories : le cancer primaire et le cancer secondaire. Le mécanisme du cancer primaire du foie n'a pas été élucidé et il est lié à de nombreux facteurs, de sorte que le cancer du foie peut toujours survenir en l'absence de cirrhose.
Dans le cas d'une cirrhose secondaire, il est également possible de développer un cancer du foie sans cirrhose, car la lésion primaire ne se trouve pas dans le foie.
Pour plus d'informations sur la médecine hépatobiliaire et pancréatique, veuillez consulter le Dr Liu Yubin, Hepatobiliary and Pancreatic. Pour plus d'informations, veuillez vous rendre au service de chirurgie hépatobiliaire de l'hôpital populaire provincial de Guangdong (3e étage, bâtiment des consultations externes, hôpital principal) tous les mardis et vendredis de 9 heures à 12 heures.
La cirrhose et le cancer du foie sont, dans une certaine mesure, directement liés l'un à l'autre, mais cela ne signifie pas que la cirrhose entraînera à coup sûr un cancer du foie, ni qu'il est impossible d'avoir un cancer du foie sans cirrhose. Mais en comparaison, les personnes atteintes de cirrhose ont un risque plus élevé de développer un cancer du foie, ce qui signifie que ce n'est qu'une question de hasard. Si cela arrive à un individu, c'est 100 %, et si cela n'arrive pas, c'est 0 %, donc il n'y a pas lieu de comparer.
Qu'est-ce que la cirrhose et que peut-on faire contre elle ?

I. Ce qu'il faut savoir sur la cirrhose du foie !
La cirrhose est une maladie irréversible dans laquelle de grandes quantités de tissu hépatique normal sont remplacées par du tissu cicatriciel non fonctionnel. Elle se produit à la suite de lésions du foie et d'un échec de la régénération hépatique.
1) L'alcoolisme et l'hépatite sont les causes les plus fréquentes de cirrhose.
2) Les symptômes comprennent la perte d'appétit, la perte de poids, la faiblesse, les nausées et la fatigue.
3. de nombreuses complications graves peuvent survenir et entraîner d'autres problèmes.
4) Le diagnostic est basé sur les symptômes, l'examen physique, les analyses de sang et certains examens d'imagerie ou biopsies.
5) L'abstinence d'alcool est le moyen le plus important.
6) En l'absence de traitement, les complications sont plus nombreuses et une cirrhose peut se développer.
II. comment se produit la cirrhose ?
Des lésions hépatiques répétées ou persistantes peuvent conduire à une cirrhose.
La cause la plus fréquente de la cirrhose du foie est l'alcoolisme et la consommation excessive et continue d'alcool sur une longue période.
L'hépatite virale est également une cause très fréquente.
Le foie gras et d'autres maladies métaboliques, telles que la surcharge en fer, peuvent également contribuer au développement de la cirrhose.
Il faut savoir que la cirrhose du foie est la troisième cause de décès après les maladies cardiaques et le cancer chez les personnes âgées de 45 à 65 ans. Beaucoup de gens pensent que la cirrhose n'est pas un gros problème, mais les complications causées par la cirrhose sont nombreuses et très graves.
Si la cirrhose n'est pas traitée à temps et de manière appropriée, elle conduira au développement d'ascites et de cancers du foie, ce qui menacera directement la vie du patient.

C. Peut-on avoir un cancer du foie sans cirrhose ?
La réponse à cette question est oui.
Tout d'abord, la cirrhose du foie ne se transforme pas nécessairement en cancer du foie. Bien que la cirrhose soit irréversible, un traitement efficace permet de contrôler l'état de la maladie afin qu'elle ne continue pas à se détériorer et à se développer. Par conséquent, la cirrhose ne se transforme pas nécessairement en cancer du foie.
Deuxièmement, l'absence de cirrhose ne signifie pas que vous ne développerez pas de cancer du foie. De nombreuses personnes pensent que seule l'apparition de maladies du foie telles que la stéatose hépatique et la cirrhose peut entraîner un cancer du foie. Il s'agit là d'une conception erronée et partiale. Cela ne signifie pas que seule la cirrhose du foie peut conduire au cancer du foie, ni qu'en l'absence de cirrhose du foie, vous n'aurez pas de cancer du foie.
Par ailleurs, il existe un certain chemin à suivre dans le développement du cancer du foie, généralement de l'hépatite, comme l'hépatite virale, à la cirrhose, puis au cancer du foie.
Je suis Chengyu Luo, chef du service de chirurgie de l'hôpital Fuxing de l'université médicale de la capitale.
N'hésitez pas à vous joindre à moi pour mettre l'accent sur les sciences de la santé !

Le développement de la cirrhose et du cancer du foie est étroitement lié à l'hépatite virale, et la plupart des patients atteints de cirrhose et de cancer du foie ont des antécédents d'infection par le virus de l'hépatite.
Peut-on donc être atteint d'un cancer du foie sans cirrhose ?
On peut avoir un cancer du foie sans cirrhose, et le développement du cancer du foie est multifactoriel. À l'heure actuelle, il n'y a pas de lien totalement clair entre l'hépatite B, la cirrhose et le cancer du foie, ce n'est qu'une des voies hypothétiques. Il existe également de nombreux patients qui n'ont pas d'hépatite, mais qui ont directement développé un cancer du foie. Il s'agit également d'un problème médical qui est constamment exploré, il y a des patients atteints d'hépatite B, de cirrhose et de cancer du foie, et il y a également des patients atteints d'hépatite B, de cancer du foie direct.
Deuxièmement, les facteurs qui prédisposent au cancer du foie sont les suivants :
1, les personnes obèses : comme les personnes obèses représentent une grande partie de la population et que la probabilité d'une stéatose hépatique dans la population obèse est très élevée, l'accumulation de graisse dans le foie permettra à ce dernier de fonctionner de plus en plus mal, ce qui aura pour conséquence que le foie n'aura pas les moyens d'absorber les nutriments, ce qui, à long terme, conduira à une hépatite. L'hépatite peut conduire à une cirrhose si elle n'est pas traitée à temps.
2, Alcool : la consommation d'alcool est souvent un état, et la teneur en éthanol de l'alcool est très élevée. Après avoir pénétré dans l'organisme, cette substance forme facilement de l'acétaldéhyde après oxydation, et cette substance présente un certain degré de cancérogénicité, de sorte que plus on boit, plus la probabilité de souffrir d'un cancer du foie est élevée.
3, une alimentation déséquilibrée : les problèmes de foie ont une certaine relation avec l'aflatoxine. En effet, cette substance endommage le foie après avoir pénétré dans le corps humain et provoque le cancer des cellules hépatiques. Par conséquent, les aliments moisis doivent être tenus à l'écart, sous peine d'induire un cancer du foie.
4. Hépatite B : la Chine est un pays où sévit l'hépatite, et l'hépatite B est particulièrement susceptible d'apparaître ; jusqu'à 90 % des cancers du foie sont dus à cette maladie. Pour les patients atteints d'hépatite, la maladie n'est pas guérie avant qu'ils n'y prêtent attention, et généralement, le processus de passage de l'hépatite au cancer du foie doit durer vingt ans. Il est donc facile d'ignorer le danger.
Vous devez également savoir que l'hépatite B est très contagieuse et peut être transmise par le sang, l'activité X, etc.
La prévention du cancer du foie commence également par ces habitudes de vie :
Vaccination contre l'hépatite B : la plupart des cancers du foie se transforment à cause de l'hépatite B, de sorte qu'une bonne prévention de l'hépatite B équivaut à l'apparition d'un cancer du foie et joue un rôle préventif.
Deuxièmement, éviter les aliments moisis : les aliments moisis contiennent de l'aflatoxine, il faut donc éviter les aliments moisis, qu'il s'agisse d'aliments cuits ou d'aliments, et ne pas les consommer.
Troisièmement, un bon mode de vie : les nitrosamines présentes dans le corps humain se transforment en substances cancérigènes ; il faut donc veiller à réduire la consommation d'aliments contenant de telles substances, réduire la consommation d'aliments fumés et salés, arrêter de fumer et de boire, se coucher tôt et se lever tôt, afin de protéger la fonction de désintoxication du foie.
Examens réguliers : si un membre de la famille souffre d'un cancer du foie, ces personnes doivent y prêter attention et, en plus des trois mesures préventives, elles doivent également prendre l'habitude de se soumettre à des examens médicaux réguliers.
En conclusion, pour éviter la cirrhose et le carcinome hépatocellulaire, il est important de contrôler l'évolution de l'hépatite virale et d'éviter les facteurs de risque dans la vie et l'environnement. Peu de patients développent directement une cirrhose, et il existe souvent une maladie sous-jacente qui endommage le foie, tandis que le carcinome hépatocellulaire peut être détecté et traité à temps grâce à des contrôles médicaux réguliers.
Cliquez sur le bas de la page [En savoir plus] pour voir plus de réponses ou poser une question au médecin gratuitement !
Suivez le numéro de téléphone du "Médecin de famille en ligne", plus de questions-réponses sur la santé faciles à consulter~~~~
De nombreux patients atteints d'hépatite B peuvent également développer un cancer du foie sans cirrhose.
Il est vrai qu'entre la cirrhose et le cancer du foie dus à l'hépatite BIl y a une certaine pertinence. En effet, la structure du foie devient très irrégulière après l'apparition de la cirrhose, pleine de bosses et de nodules durcis. Dans ce cas, les vaisseaux sanguins à l'intérieur du foie deviennent imperméables car ils sont comprimés par les nodules cirrhotiques, ce qui empêche de nombreuses cellules hépatiques d'être efficacement irriguées. À long terme, de nombreuses cellules hépatiques peuvent devenir anormales et certaines d'entre elles peuvent devenir cancéreuses, ce qui conduit finalement à un cancer du foie.
但Tous les patients atteints de cirrhose ne développent pas un cancer du foieAprès tout, l'incidence du cancer reste très faible. Cependant, après l'apparition de la cirrhose, les patients atteints d'hépatite B développeront également des complications plus courantes telles que l'ascite hépatique, les hémorragies gastro-intestinales hautes, l'encéphalopathie hépatique, etc. et ces complications, si elles ne sont pas traitées efficacement, peuvent également entraîner la mort des patients atteints d'hépatite B dans un délai de 5 à 10 ans. Par conséquent, indépendamment de la possibilité d'un cancer du foie, les patients atteints de cirrhose de l'hépatite B doivent faire l'objet d'un examen régulier et d'un traitement actif.
Enfin, revenons à la question initiale -De nombreux patients atteints d'hépatite B peuvent également développer un cancer du foie sans cirrhose... Cela signifie qu'alors que d'autres maladies chroniques du foie (par exemple la maladie alcoolique du foie, la stéatose hépatique, l'hépatite C) nécessitent une cirrhose avant le cancer du foie, les patients atteints d'hépatite B n'ont pas besoin d'avoir une cirrhose avant que le cancer du foie ne se déclare. En effet, l'ADN du virus de l'hépatite B peut être intégré à l'ADN humain dans les cellules hépatiques au cours de la reproduction et de la réplication virales, ce qui peut entraîner l'apparition ou l'inactivation d'oncogènes. Il s'agit d'un autre mécanisme propre au virus de l'hépatite B qui conduit au cancer du foie. Ce mécanisme oncogène n'a rien à voir avec la présence ou l'absence de cirrhose.
Par conséquent, indépendamment de la présence d'une cirrhose, les adultes positifs à l'antigène de surface de l'hépatite B doivent faire l'objet d'un examen régulier de l'échographie du foie et de l'alpha-fœtoprotéine. Il s'agit de l'examen physique le plus courant pour surveiller le cancer du foie.
Ces questions et réponses proviennent des utilisateurs du site, elles ne représentent pas la position du site, s'il y a une infraction, veuillez contacter l'administrateur pour la supprimer.