Pourquoi les diabétiques ont-ils les mains sèches ?
Pourquoi les diabétiques ont-ils les mains sèches ? 
De nombreuses personnes atteintes de diabète ont la peau sèche, surtout en automne et en hiver, et les symptômes de la peau sèche peuvent s'aggraver :
1, neuropathie autonome diabétique causant la sécheresse de la peau, de nombreux patients avec la progression de la maladie, il y aura une neuropathie autonome diabétique, une partie du patient se manifestera par une diminution de la transpiration, ce qui conduira facilement à la sécheresse de la peau.
2. Les patients diabétiques, en raison de l'hyperglycémie chronique, ont tendance à perdre de l'eau dans les cellules, ce qui réduit la transpiration de la peau et entraîne une sécheresse cutanée, surtout pendant la saison sèche, qui aggrave les symptômes de la sécheresse cutanée.
Les patients diabétiques ayant la peau sèche, il est facile de provoquer des symptômes de démangeaison. Si la peau démange, il est préférable de ne pas se gratter avec les mains, afin d'éviter de gratter la plaie causée par l'infection, et les plaies diabétiques ne sont pas faciles à cicatriser.
Lorsqu'un diabétique doit prévenir ou soulager la sécheresse de la peau :
1. Après le bain, le lavage des pieds et des mains doit s'accompagner de l'application d'une lotion hydratante, telle que la crème hydratante Vaseline, en particulier pour bien soigner la peau des pieds, en vérifiant régulièrement si les pieds sont secs et craquelés.
2. éviter d'utiliser un savon alcalin pour se laver les mains et le visage ; le savon alcalin rend la peau plus sèche.
Les adultes recommandent de boire 1500 à 1700 ml d'eau par jour, soit une moyenne de 1600 ml. Si vous utilisez des tasses de 200 ml, vous devriez boire au moins 8 tasses d'eau par jour.
Les patients diabétiques auront la peau sèche, la raison principale étant toujours l'hyperglycémie, le contrôle de la glycémie peut soulager efficacement les symptômes de la peau sèche. Les patients atteints de diabète doivent également prévenir ou contrôler activement la neuropathie diabétique, la neuropathie autonome pouvant également entraîner une sécheresse cutanée. Le contrôle de la glycémie ne peut pas reposer uniquement sur les médicaments, mais aussi sur le régime alimentaire, l'exercice physique et d'autres aspects du contrôle.
Il est normal que les diabétiques aient les mains sèches. En effet, le diabète affecte dans une certaine mesure la circulation sanguine de la peau humaine, et une mauvaise circulation sanguine entraîne une déshydratation de la peau, ce qui se traduit par des mains sèches. Bien entendu, il n'est pas possible que seules les mains soient sèches, mais d'autres parties de la peau peuvent également être relativement sèches, et ce phénomène peut généralement être amélioré par l'application d'une crème hydratante. Ce phénomène peut généralement être amélioré par l'application d'une crème hydratante. Cependant, le diabète entraîne souvent une raideur des mains, appelée syndrome de raideur diabétique ou arthropathie diabétique. Cette affection est rare et se caractérise par une réduction du mouvement des doigts et un aspect épaissi et cireux des mains. Cette affection est généralement observée dans le diabète de type 1, avec quelques cas de diabète de type 2.

Arthropathie diabétique associée à la durée de la maladie
Plus une personne est diabétique depuis longtemps et moins elle contrôle son diabète, plus le risque de développer une arthropathie diabétique est élevé. Les symptômes courants du syndrome de la main raide diabétique comprennent une incapacité à bouger l'articulation, ce qui peut entraîner une limitation de la fonction de la main. Souvent, la raideur commence dans les plus petits doigts de la main et progresse jusqu'à ce que tous les doigts soient touchés. Dans les cas les plus graves, les personnes atteintes du syndrome de la main raide sont incapables de saisir leur main et leurs doigts sont droits et incapables de tenir un objet avec la moindre force. La peau est également affectée, de sorte qu'une peau épaisse, tendue et d'aspect cireux se développe sur le dos de la main. C'est ce qu'on appelle souvent les mains sèches.
Le syndrome de raideur diabétique peut avoir de nombreuses causes. Certains experts pensent que le problème survient lorsque des niveaux élevés de glucose amènent ce dernier à se lier au collagène de la main, qui fait partie du tissu conjonctif de la main. Certaines études ont montré que le collagène des personnes atteintes du syndrome de raideur diabétique de la main est différent de celui des personnes normales. Le syndrome de la main raide diabétique peut être diagnostiqué en plaçant les mains en position de prière. S'il y a un écart entre la paume de la main et les articulations des doigts lorsque les mains sont placées l'une contre l'autre, cela indique une raideur des articulations et un éventuel syndrome de la main raide.
Tout d'abord, il faut déterminer si la sécheresse des mains est due à la saisonnalité, au désinfectant pour les mains, à la fréquence du lavage des mains, à une maladie systémique (maladie rénale, maladie hépatique, hypothyroïdie ou hyperthyroïdie, anémie ferriprive) ou à une tumeur maligne d'origine lymphoïde (par exemple, lymphome cutané à cellules T, etc.).
Dans la plupart des cas, la sécheresse des mains chez les diabétiques est due à un mauvais contrôle de la glycémie, ce qui entraîne une neuropathie, puis la peau perd la nutrition nerveuse et se manifeste par une sécheresse, qui peut également entraîner une sécheresse de la peau de l'ensemble du corps, des démangeaisons, etc.
Quatre conseils pour prendre soin de la peau de vos mains :
(1) Il est recommandé de garder la peau propre.
(2) Prévenir le dessèchement de la peau. Lorsque vous grattez une peau sèche et qui démange, vous l'abîmez et ouvrez la porte aux bactéries et aux micro-organismes. Il est recommandé d'utiliser une crème hydratante pour les mains après s'être lavé les mains : par exemple, du gel d'aloe vera.
(3) Il est recommandé de boire de grandes quantités d'eau, à moins que votre médecin ne vous l'ait déconseillé.
(4) Même pour le traitement des coupures : pour les petites coupures, nettoyez la plaie avec du savon, de l'eau et de l'eau oxygénée. N'utilisez pas d'antiseptiques tels que la potion rouge, l'iode, l'éthanol, etc., car ces substances peuvent irriter la peau.
Bien entendu, un bon contrôle de la glycémie reste une priorité.
Si vous avez des questions, vous pouvez les laisser dans la section des commentaires et j'y répondrai quand je les verrai.
La réponse ci-dessus est fournie par Mme Song Mingyue, diététicienne agréée chez Microsugar.

Les mains des diabétiques seront sèches, normales, le corps ne stocke sérieusement pas l'eau, vous aurez soif Vous urinerez fréquemment. Et quelques autres symptômes.
Le diabète peut affecter de nombreuses parties du corps, y compris la peau. Lorsque le diabète affecte votre peau, cela indique généralement que votre taux de sucre dans le sang (glucose) est trop élevé. Cela peut se traduire par
- Vous souffrez d'un diabète non diagnostiqué ou d'un prédiabète.
- Votre traitement du diabète doit être adapté
Si vous remarquez l'un des signes d'alerte suivants sur votre peau, il est temps d'en parler à votre médecin.
Lipidose : Cette femme a su qu'elle était diabétique lorsqu'elle a consulté un dermatologue qui a trouvé ces plaques rouges, gonflées et dures sur ses jambes.1 Taches jaunes, rouges ou brunes sur la peau
Cette affection cutanée commence généralement par de petites bosses fermes et surélevées qui ressemblent à des boutons. Au fur et à mesure de leur évolution, ces bosses se transforment en plaques de peau gonflée et dure. Ces plaques peuvent être jaunes, rouges ou brunes. Vous pouvez également remarquer :
- La peau environnante a un aspect de porcelaine brillante.
- Vous pouvez voir les veines.
- Démangeaisons et douleurs cutanées
- Les maladies de la peau connaissent des cycles d'activité, d'inactivité et de réactivation.
cette maladieLe nom médical de ce phénomène estlipobiose lipodique(Cou.faire la queue(le oh-sis lee-poi-dee-ka).
prendre des mesures
- Si vous n'avez pas été diagnostiqué, passez un test de diabète
- Travaillez avec votre médecin pour mieux gérer votre diabète.
- Consultez un dermatologue pour votre peau. La dyslipidémie est inoffensive mais peut entraîner des complications.
Acanthosis Nigricans (AN) : souvent à l'origine d'une peau plus foncée dans les rides du cou, l'AN peut être le premier signe qu'une personne est atteinte de diabète.2. zones de peau plus foncées ressemblant à du velours
Une couche de peau veloutée sur le cou, les aisselles, l'aine ou ailleurs sur le dos peut signifier que vous avez trop d'insuline dans le sang. Le nom médical de cette affection cutanée est acanthosis nigricans (ay-can-THOE-sis NIE-gri-cans).
prendre des mesuresLes personnes atteintes de diabète doivent se soumettre à un test de dépistage.
3. peau dure et épaissie
Lorsque cela se produit sur les doigts, les orteils ou les deux, le nom médical de cette affection estsclérose numérique(Côtes sclérales).
Sur les mains, vous remarquerez une peau tendue et cireuse sur le dos des mains. Les doigts peuvent devenir raides et difficiles à bouger. Si le diabète a été mal contrôlé pendant des années, vous pouvez avoir l'impression d'avoir des cailloux au bout des doigts.
La peau dure, épaisse et gonflée qui apparaît sur les avant-bras et les bras peut s'étendre. Elle peut également se développer sur le haut du dos, les épaules et le cou. Parfois, la peau épaissie s'étend au visage, aux épaules et à la poitrine.
Dans de rares cas, la peau des genoux, des chevilles ou des coudes peut également s'épaissir, rendant difficile le redressement des jambes, l'orientation des pieds ou la flexion des bras. Quel que soit l'endroit où elle apparaît, la peau épaissie a généralement une texture de peau d'orange.
Ce problème de peau survient généralement chez les personnes souffrant de complications difficiles à traiter dues au diabète ou au diabète.
prendre des mesures
- Informez votre médecin de l'épaississement de votre peau. Un meilleur contrôle de votre diabète peut vous soulager.
- Vous pouvez également avoir besoin d'une thérapie physique. Lorsque la peau s'épaissit sur les doigts, les orteils ou d'autres zones articulaires, la kinésithérapie peut vous aider à conserver la capacité de plier et de redresser vos articulations.
Ampoules : de grandes ampoules comme celles-ci peuvent se former sur la peau des personnes atteintes de diabète.
4. cloque
C'est rare, mais les personnes atteintes de diabète peuvent voir apparaître des cloques sur leur peau. Il peut s'agir d'une grosse ampoule, d'un groupe d'ampoules ou des deux. Les ampoules ont tendance à se former sur les mains, les pieds, les jambes ou les avant-bras et ressemblent aux ampoules qui apparaissent après une brûlure grave. Contrairement aux cloques qui se forment après une brûlure, ces cloques ne sont pas douloureuses.
Le nom médical de cette maladie estbullous(bull-low-sis)diabetricorum. Il est parfois appelévésicules diabétiques(bull-lie).
prendre des mesures
- Parlez à votre médecin des cloques. Vous devez prendre des mesures pour prévenir l'infection.
- Discutez avec votre médecin de la manière de mieux gérer votre diabète.
Avez-vous eu plusieurs infections à levures par an pendant un an ou plus depuis votre dernière utilisation ? Vous souffrez peut-être de diabète ou de prédiabète.5. Infections cutanées
Les personnes atteintes de diabète ont tendance à contracter des infections cutanées. Si vous souffrez d'une infection cutanée, vous remarquerez un ou plusieurs des signes suivants :
- Peau chaude, enflée et douloureuse
- Éruption cutanée avec démangeaisons, parfois accompagnée de minuscules cloques, d'une peau sèche et squameuse ou d'un écoulement blanc ressemblant à du fromage.
Les infections cutanées peuvent se produire n'importe où sur le corps, y compris entre les orteils, autour des ongles ou sur le cuir chevelu.
prendre des mesures
- Recevoir un traitement immédiat pour l'infection.
- Informez votre médecin si vous avez des infections cutanées fréquentes. Vous avez peut-être un diabète non diagnostiqué.
- Si l'on vous a diagnostiqué un diabète, il se peut que vous deviez mieux le gérer.
Si vous souffrez de diabète, vous devez vérifier quotidiennement l'absence d'ulcères et de plaies ouvertes sur vos pieds. 6. Coupures et plaies ouvertes
Une hyperglycémie prolongée peut entraîner une mauvaise circulation sanguine et des lésions nerveuses. Si vous souffrez d'un diabète non contrôlé (ou mal contrôlé) depuis longtemps, vous avez peut-être développé ces médicaments.
Une mauvaise circulation et des lésions nerveuses peuvent rendre difficile la cicatrisation des plaies. Cela est particulièrement vrai pour les pieds. Ces plaies ouvertes sont appeléesulcère diabétique。
prendre des mesures
- Consultez immédiatement un médecin pour ouvrir la plaie ou la coupure.
- Travaillez avec votre médecin pour mieux gérer votre diabète.
Dermatose diabétique : cet homme de 55 ans souffre de diabète sucré depuis de nombreuses années. 7. Nouveaux points
Cette affection cutanée provoque des taches (parfois des lignes) qui se traduisent par des dépressions à peine perceptibles dans la peau. Elle est fréquente chez les personnes diabétiques. Le nom médical estMaladie diabétique de la peau(der-mop-ah-thē). Il se forme généralement sur la partie inférieure des jambes. Dans de rares cas, elle apparaît sur les bras, les cuisses, le torse ou d'autres parties du corps.
Ces taches sont généralement de couleur brune et ne provoquent aucun symptôme. C'est pourquoi de nombreuses personnes les confondent avec les taches de vieillesse. Contrairement aux taches de vieillesse, ces taches et ces lignes commencent généralement à s'estomper au bout de 18 à 24 mois. Les affections cutanées diabétiques peuvent également rester indéfiniment sur la peau.
prendre des mesures
- Parlez de ces lieux à votre médecin.
- Travaillez avec votre médecin pour mieux gérer votre diabète.
- Si vous n'avez pas été diagnostiqué diabétique, essayez-le.
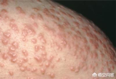
Xanthomatose soudaine : ces masses apparaissent soudainement alors que le diabète est bien contrôlé. 8. éruption de petites masses rouge-jaune.
Lorsque ces bosses apparaissent, elles ressemblent généralement à des boutons. Contrairement à l'acné, elles prennent rapidement une couleur jaunâtre. Ces bosses se trouvent généralement sur les hanches, les cuisses, le pli des coudes ou derrière les genoux. Elles peuvent se former n'importe où.
Quel que soit l'endroit où elles se forment, elles sont généralement sensibles et provoquent des démangeaisons. Le nom médical de cette affection cutanée est "poils".la tremblante du mouton (maladie à prion à peau jaune)(zan-tho-ma-toe-sis).
prendre des mesures
- Informez votre médecin de ces bosses, car cette affection cutanée peut survenir en cas de diabète non contrôlé.
- Discutez avec votre médecin de la manière de mieux gérer votre diabète.
Granulome annulaire : cette affection cutanée provoque des bosses et des plaques qui peuvent être de couleur chair, rouge, rose ou bleu-violet. 9. Bosses rouges ou de couleur chair.
La question de savoir si cette affection cutanée est liée au diabète est controversée. Nous savons que la plupart des personnes atteintes degranulomateuxLes gens n'ont pas de diabète.
Toutefois, plusieurs études ont mis en évidence cette affection cutanée chez les personnes diabétiques. L'une de ces études a montré que les diabétiques étaient plus susceptibles de présenter des granulomes annulaires sur une grande surface de la peau et que les bosses apparaissaient et disparaissaient. Une autre étude a conclu que les personnes présentant des granulomes annulaires devaient subir un test de dépistage du diabète.
prendre des mesures
- Informez votre médecin si vous avez des bosses comme celles mentionnées ci-dessus, surtout si elles vont et viennent.
10. peau extrêmement sèche avec démangeaisons
Si vous êtes diabétique, vous êtes plus susceptible d'avoir la peau sèche. L'hyperglycémie (taux de glucose dans le sang) peut en être la cause. Les infections cutanées ou une mauvaise circulation sanguine peuvent également entraîner une peau sèche et des démangeaisons.
prendre des mesures
- Signalez à votre médecin que vous avez une peau extrêmement sèche. Un meilleur contrôle du diabète peut réduire la sécheresse.
- Si vous continuez à avoir la peau sèche après avoir mieux contrôlé votre diabète, un dermatologue peut vous aider.
11. écailles jaunâtres sur et autour des paupières
Cela se produit lorsque vous avez trop de graisses dans le sang. Cela peut également indiquer que votre diabète n'est pas bien contrôlé. Le nom médical de ce symptôme esttumeur jaune(Aime-LAS-MA).
prendre des mesures
- Parlez à votre médecin des écailles jaunes autour de vos yeux.
- Demandez à votre médecin comment mieux contrôler votre diabète. Le contrôle du diabète peut faire disparaître le détartrage.
Taches cutanées dans la région axillaire : elles se développent le plus souvent sur les paupières, le cou, les aisselles et l'aine.12. Taches cutanées
De nombreuses personnes ont des taches cutanées, c'est-à-dire des excroissances de peau qui pendent sur des tiges. Bien qu'inoffensif, le fait d'avoir un grand nombre de taches cutanées peut indiquer un excès d'insuline dans le sang ou un diabète de type 2.
prendre des mesures
- Demandez à votre médecin si vous devez subir un test de dépistage du diabète.
- Si vous êtes diabétique, demandez à votre médecin si vous devez mieux contrôler votre diabète.
Il est recommandé d'acheter des produits de soin pour la peau et de se frotter les mains, afin de ne pas manquer d'hydratation, ce qui pourrait entraîner des fissures dans la peau ! Voyons maintenant quelles sont les précautions à prendre pour les patients diabétiques.

1, adapter la structure du régime alimentaire : les personnes obèses sont souvent dues à de mauvaises habitudes alimentaires, les patients obèses sont prédisposés au diabète.
2, faire souvent de l'exercice : l'exercice peut améliorer le système immunitaire du corps, améliorer la fonction du système endocrinien et promouvoir le métabolisme des graisses, réduisant ainsi le poids corporel et inhibant l'obésité.
3, rester de bonne humeur : les émotions des gens, bonnes ou mauvaises, influencent leur état physique. Gardez une humeur joyeuse et détendue, ne soyez pas trop anxieux, mal à l'aise. Si les gens sont calmes, leur corps en tirera également de grands avantages. Les personnes souvent en colère vieillissent rapidement.

4, prendre de bonnes habitudes : examen physique régulier, les avantages de l'examen physique sont qu'il permet de connaître régulièrement sa propre condition physique, de faire de la prévention précoce. Se rendre régulièrement à l'hôpital pour vérifier l'état de l'organisme, le taux de glycémie et le taux de sucre dans les urines. Lorsque la tolérance au glucose est réduite, il convient de la prévenir activement.
Après avoir lu comment prévenir le diabète dans la vie de tous les jours, voyons comment les adeptes de l'extraction de jus l'utilisent pour contrôler le diabète ! Voyons une étude de cas !
(1) Je suis diabétique depuis plus de treize ans, je n'ai pas bu de jus de fruit avant de prendre de l'insuline, le matin et le soir, seize unités, contrôle de la glycémie à 8-9, parfois élevé, boire du jus de fruit le jour suivant est apparu au bas de la glycémie, l'insuline le matin a été réduite à 9 unités, la nuit n'a pas changé. Un mois plus tard, le test de glycémie a chuté à plus de 7 points, et après cela, chaque mois, le test diminue lentement, et maintenant le résultat du test est de 4,47, et maintenant l'insuline est réduite à 14 unités le soir.

(2) Le cholestérol total, le cholestérol riche en graisses denses et le cholestérol pauvre en graisses denses étaient autrefois élevés, mais ils ne le sont plus aujourd'hui.
(3) Une infection des sinus qui durait depuis des années a également disparu.
(4) Avant, j'avais beaucoup de mal à dormir, mais maintenant ça va beaucoup mieux.
(5) Les tabourets ne sont plus un problème.
(6) Poids avant l50, maintenant l40, réduit de 10 kg. Aujourd'hui, l'humeur est particulièrement bonne, grâce à l'arbre de la santé de la bonne sœur, et Wang m'a fait boire du jus, mais aussi pour remercier le professeur de Xinzhen du concept de la santé par le jus.
Résumé : Après avoir lu l'introduction ci-dessus, si vous voulez toujours en savoir plus, alors vous pouvez me suivre sur ce titre, m'envoyer un message privé, j'ai le temps de vous répondre~ ! ~
Ces questions et réponses proviennent des utilisateurs du site, elles ne représentent pas la position du site, s'il y a une infraction, veuillez contacter l'administrateur pour la supprimer.