Quels sont les symptômes d'un patient suspect ?
Quels sont les symptômes d'un patient suspect ?
Récemment, ce nouveau coronavirus est si arrogant que les patients suspects devraient se référer aux patients suspects de pneumonie à nouveau coronavirus. Quelles sont donc les manifestations cliniques des patients suspectés d'avoir contracté le nouveau coronavirus ? Le Dr Wu vous en parlera tout à l'heure.
I. Symptômes cliniques
Au début, les symptômes de ce nouveau coronavirus sont similaires à ceux d'un rhume, les principaux étant la fièvre, les malaises, la toux sèche et quelques symptômes tels que la congestion nasale, l'écoulement nasal, les maux de gorge et la diarrhée. Tous ces symptômes sont similaires à ceux du rhume et de la fièvre. Dans certains cas graves, les symptômes se traduisent par des difficultés respiratoires.
II. les analyses sanguines de routine
Pour les patients qui ont de la fièvre et de la toux, afin de déterminer s'il s'agit d'une infection virale ou bactérienne, le test le plus courant consiste à vérifier les analyses sanguines de routine. S'il s'agit d'une infection bactérienne, les globules blancs ou les neutrophiles seront souvent élevés, alors que s'il s'agit d'une infection virale, les globules blancs ou les neutrophiles ne seront souvent pas élevés. Dans le cas d'une nouvelle infection à coronavirus, les analyses sanguines révèlent souvent des globules blancs et des lymphocytes normaux ou en baisse.
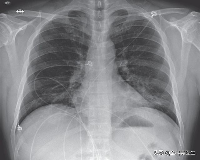
Imagerie
Les radiographies du thorax et l'imagerie par tomodensitométrie des poumons peuvent révéler des zones d'ombre inégales dans les poumons, qui sont évidentes dans les bandes extérieures des poumons, et dans les cas les plus graves, des zones d'ombre solides dans les poumons peuvent être observées.
Les symptômes susmentionnés ne suffisent pas encore à diagnostiquer un cas suspect, car il s'agit d'une maladie infectieuse relativement spécifique, et l'essentiel est qu'un historique épidémiologique soit également nécessaire. Par exemple, un contact récent (dans les 14 jours) avec des personnes venant de Wuhan et des environs de Wuhan, un contact avec des patients présentant de la fièvre et des symptômes de toux dans la communauté où le cas a été signalé, un contact avec des patients atteints d'une nouvelle pneumonie à coronavirus, etc. S'il existe des antécédents épidémiologiques + 2 des 3 points ci-dessus, nous pouvons diagnostiquer un cas suspect.
Je suis un médecin généraliste qui utilise des mots faciles à comprendre pour diffuser des connaissances sur la santé à tout le monde, suivez-moi, vous avez un médecin de famille. Si vous le trouvez utile, vous pouvez le faire suivre à vos amis qui en ont besoin !
Un patient suspect, comme l'indique le nom "suspect", est une personne fortement soupçonnée d'être atteinte d'une maladie particulière en raison de ses signes, de ses symptômes et de ses antécédents d'exposition, mais pour laquelle un diagnostic définitif n'a pas encore été établi par l'obtention de preuves étiologiques.

Quels sont les signes d'un patient suspect ?
1) Le patient présente de la fièvre, une toux sèche sans expectoration ou avec une expectoration relativement faible, et des malaises.
2. fièvre, toux sèche et faiblesse accompagnées d'écoulement nasal, de congestion nasale, de maux de gorge et de diarrhée.
3. respiration accélérée, essoufflement, dyspnée ou même détresse respiratoire, irritabilité, oppression thoracique et essoufflement, somnolence, léthargie ou même coma, ou détresse respiratoire non traitable, acidose ou choc.
Outre ces manifestations, il existe des antécédents de voyages ou de contacts périphériques à haut risque, ou dans la zone infectée, ou dans le lieu de rassemblement des patients confirmés, ou il n'y a pas d'antécédents de voyages, il n'y a pas d'antécédents de contacts à haut risque, mais le test sanguin ou la radiographie thoracique sont très similaires à ceux de la nouvelle pneumonie à coronavirus et ressemblent beaucoup à ceux d'un patient suspecté.

Le diagnostic final doit être testé pour les acides nucléiques pathogènes, et si le test des acides nucléiques est positif, le diagnostic n'est pas suspecté, mais confirmé.
Une nouvelle infection à coronavirus peut être exclue si deux tests consécutifs de détection d'acides nucléiques d'agents pathogènes respiratoires chez des patients suspects à un jour d'intervalle sont négatifs.
Beaucoup de gens sont habitués à être occupés, ce festival de printemps soudainement oisif, tout va mal, beaucoup de gens ressentent des démangeaisons de la gorge, une oppression thoracique, une oppression thoracique, prendre la température à 37,2 degrés est nerveux, inquiet de l'émergence de symptômes suspects.
Quels sont les symptômes d'un patient suspect ?
D'après les commentaires des médecins infectiologues et respiratoires de première ligne, les nouvelles pneumonies de la couronne les plus courantes sont les suivantesLes premiers symptômes sont la fièvre (température supérieure à 37,4 degrés), des malaises et une toux sèche. Un petit nombre de patients présentent également une congestion nasale, un écoulement nasal, des maux de gorge et des diarrhées.
Il convient de noter qu'il s'agit de la haute saison de la grippe et que de nombreuses personnes ont également contracté une pneumonie à mycoplasme, une pneumonie lobaire, etc., les enfants et les adolescents ne sont pas rares.
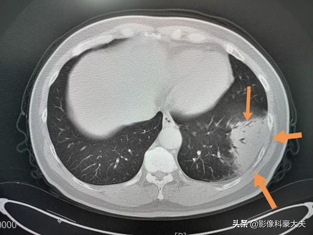
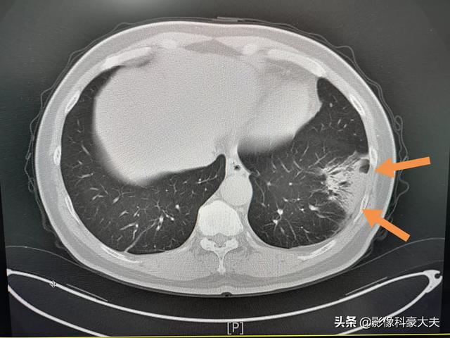
Cet homme d'âge moyen, qui toussait et avait de la fièvre depuis trois jours, présentait au scanner une pneumonie inférieure gauche, répartie le long du sous-segment, avec une densité relativement élevée (pas d'ombre de verre dépoli), et des signes d'insufflation bronchique étaient observés du côté hilaire des poumons, accompagnés d'une augmentation de la numération sanguine, ce qui en faisait une pneumonie banale, et non un coronavirus.
Il a été traité avec des antibiotiques et s'est considérablement résorbé au bout de 9 jours :
Le nouveau coronavirus est très contagieux, l'isolement est la méthode de prévention la plus efficace.
Il a été démontré que les coronavirus se transmettent par contact, par des gouttelettes en suspension dans l'air et par des aérosols. Le port de masques et le lavage fréquent des mains sont des moyens de prévention efficaces.
La transmission par aérosol est un peu plus problématique et exige que les gens réduisent au minimum leurs activités extérieures afin que personne ne puisse transmettre les aérosols contenant le virus dans l'air, ce qui étouffe le virus. Les virus qui quittent le corps humain ne survivent pas longtemps.
Je suis le Dr Howe en imagerie. Bienvenue !
I. Qu'est-ce qu'un patient suspect ?
Je pense que dans l'épidémie actuelle d'infection à nouveau coronavirus, les patients suspects mentionnés dans le titre devraient se référer aux patients suspects d'infection à nouveau coronavirus. Les termes "suspect" et "douteux" sont relatifs aux patients confirmés. En général, ces patients ont des caractéristiques épidémiologiques, une présentation clinique ou une imagerie très similaires à celles des patients confirmés, à la différence qu'ils n'ont pas encore reçu de diagnostic pathogène. Les maladies infectieuses doivent avoir un agent pathogène, de sorte qu'un diagnostic pathogène est nécessaire pour confirmer le diagnostic d'une maladie infectieuse. Par conséquent, tant qu'il n'y a pas de diagnostic pathogène, le cas ne peut être considéré que comme un cas suspect. Par exemple, à l'heure actuelle, il y a 🈶26 359 patients suspects ⬇️⬇️⬇️ . Vous avez remarqué ? Il y a beaucoup de patients dans cette section, et leur nombre augmente chaque jour ! Par exemple, aujourd'hui, il y en a 4 833 de plus. Le jugement des patients suspects est donc très important !
Deuxièmement, quels sont les symptômes d'un patient suspect ?
La fièvre, les malaises et la toux sèche sont les trois symptômes les plus courants de cette nouvelle pneumonie à coronavirus, et nous devons donc rester très vigilants lorsque nous rencontrons ces symptômes. En outre, certains patients présentent des symptômes pseudo-grippaux, tels que des maux de gorge et des écoulements nasaux ; d'autres peuvent avoir des diarrhées, qui sont en fait des symptômes courants d'une infection virale. Dans les cas les plus graves, les patients ont souvent de plus en plus de mal à respirer quelques jours (généralement moins d'une semaine) après ces manifestations normales. À ce stade, il s'agit d'une maladie grave qui nécessite une réanimation rapide, car ce type de patient présente généralement des lésions dans les deux poumons, le parenchyme pulmonaire a été envahi et la fonction respiratoire est limitée.
III. rappels particuliers
Il convient de souligner que certains patients ne présentent qu'une légère fièvre de faible intensité, voire pas de fièvre du tout, et aucun autre signe clinique n'est trop évident ! C'est pourquoi les antécédents épidémiologiques sont particulièrement importants ! Par exemple, y avait-il des patients confirmés dans l'avion, le train ou le bus ? Par exemple, s'agit-il de la direction du Hubei, et ainsi de suite. À ce stade, vous devez être honnête et vous isoler, car même si vous ne présentez pas de symptômes pour le moment, vous ne pouvez pas exclure que vous soyez infecté de manière invisible (le virus est présent dans votre corps sans signes cliniques évidents).
En bref, si vous avez des symptômes suspects, vous pouvez vous isoler d'abord pour les cas légers et vous rendre d'urgence chez le médecin pour les cas graves ! Les personnes ordinaires sont invitées à continuer à appliquer les quatre points susmentionnés 👆🏻👆🏻👆🏻
Les patients suspects, comme leur nom l'indique, sont ceux qui n'ont pas encore développé de symptômes cliniques manifestes de la nouvelle pneumonie à coronavirus et qui sont fortement soupçonnés d'être infectés. Il est important de prêter attention aux patients suspects, car ce groupe peut contenir la majorité des patients infectés.
Dans la cinquième édition du protocole pour le diagnostic et le traitement de la pneumonie due à une infection par un nouveau coronavirus, il a été noté que les personnes infectées asymptomatiques pouvaient également être la source de l'infection. Cela a rendu le dépistage des nouveaux coronavirus plus difficile et a augmenté le risque d'infections manquées.
De nombreuses personnes peuvent avoir des doutes sur ce qui constitue exactement un patient suspect, qu'il s'agisse d'un patient suspect présentant de la fièvre, des symptômes de rhume, etc., ou des antécédents de contact avec le personnel de Wuhan, etc.
Pour répondre à ces questions, le programme de diagnostic et de traitement de la pneumonie à nouveau coronavirus (cinquième édition de l'essai) l'indique clairement. Nous allons l'analyser ci-dessous :
I. Quels sont les symptômes cliniques d'un patient suspect :

1. fièvre ou symptômes respiratoires :Il s'agit du symptôme clinique le plus marquant aux premiers stades des infections par les nouveaux coronavirus, qui sont généralement associées à des symptômes respiratoires tels qu'une fièvre légère, des malaises et de la toux. Lorsque les patients présentent ces symptômes, des examens complémentaires sont nécessaires pour clarifier la cause de la maladie.
Comme il n'est pas très facile de faire la distinction entre un rhume et un nouveau type de pneumonie à coronavirus à un stade précoce en l'absence de test de l'acide nucléique, la base adopte maintenant un motif de quarantaine pour les personnes qui ont de la fièvre, de la toux et le nez qui coule.
2. avec des caractéristiques d'imagerie de pneumonie :Cela signifie qu'il y a des changements inflammatoires dans les poumons, présentant de multiples petites ombres en taches et des changements interstitiels, qui sont évidents dans les bandes externes des poumons, et même des changements tels que de multiples ombres en verre dépoli et des ombres d'infiltration dans les deux poumons. Vous vous demandez peut-être pourquoi il y a des changements d'imagerie dans les poumons après une infection. C'est principalement parce qu'une fois que le virus a envahi les poumons, il peut provoquer une congestion et un œdème dans les poumons, qui se traduisent par des ombres de haute densité sur la radiographie ou la tomodensitométrie.
3. une numération leucocytaire totale normale ou diminuée, ou une numération lymphocytaire diminuée, qui est un signe précoce de la numération sanguine chez les patients atteints d'une nouvelle infection à coronavirus :En général, le nombre total de globules blancs est habituellement élevé dans le cas de résultats sanguins de routine d'infections respiratoires chez des patients souffrant d'autres conditions inflammatoires. La présence de ces signes cliniques nécessite également une combinaison d'antécédents épidémiologiques pour diagnostiquer un patient suspect.
Les critères de diagnostic pour les patients suspects sont indiqués dans le programme de traitement :
(1) L'un quelconque des antécédents épidémiologiques et deux quelconques des manifestations cliniques.
(ii) En l'absence d'antécédents épidémiologiques clairs, trois des manifestations cliniques sont réunies.
II. Qu'est-ce que l'histoire épidémiologique ?
1. les antécédents de voyage ou de séjour à Wuhan et dans ses environs, ou dans d'autres communautés où des cas ont été signalés, dans les 14 jours précédant l'apparition de la maladie.
2. des antécédents de contact avec une personne infectée par un nouveau coronavirus (une personne dont le test d'acide nucléique est positif) dans les 14 jours précédant l'apparition de la maladie.
3. contact avec un patient présentant de la fièvre ou des symptômes respiratoires et provenant de Wuhan et de ses environs, ou d'une communauté où un cas a été signalé, dans les 14 jours précédant l'apparition de la maladie.
4) Morbidité globale : les patients suspects ne doivent donc pas se contenter d'examiner les symptômes cliniques, mais doivent également combiner les antécédents épidémiologiques pour procéder à une analyse complète.
Résumé final : Pour les patients suspectés d'être infectés ou non, la RT-PCR en fluorescence en temps réel des échantillons respiratoires ou sanguins est finalement nécessaire pour détecter les nouveaux acides nucléiques du coronavirus. Si le test est positif, le patient peut être diagnostiqué comme un patient confirmé, si le test est négatif, l'infection peut être exclue et traitée comme une maladie générale.
Purement dactylographié à la main, ce n'est pas facile, si vous pensez que l'écriture peut être récompensée d'un éloge, signaler un souci, si vous avez des questions vous pouvez laisser un message ci-dessous....
Bonjour, je suis interniste, d'après les données épidémiques publiées chaque jour par la Commission nationale de la santé, elles contiennent principalement les indicateurs suivants : cas confirmés, cas suspects, cas sortis, décès de plusieurs catégories. Pour les patients suspects, qu'il s'agisse du grand public ou du personnel médical, il convient d'être très attentif, alors, comment les identifier ?
Selon le "Programme diagnostique et thérapeutique pour la pneumonie à nouveaux coronavirus" publié par le Conseil national de la santé le 27 janvier 2020, les conditions de diagnostic pour les cas suspects sont les suivantes.
1. perspective épidémiologique
①Antécédents de voyage ou de séjour dans la région de Wuhan ou dans d'autres zones de transmission persistante de cas locaux au cours des deux semaines précédant l'apparition de la maladie.
compte pour: En d'autres termes, si l'on considère que cette personne peut être un patient suspect de "nouvelle infection à coronavirus", on calculera sur une période de 14 jours à partir de cette date si elle a voyagé, résidé ou effectué un voyage d'affaires à Wuhan, Hubei, et dans d'autres zones infectées, etc.
②Contact avec un patient présentant de la fièvre ou des symptômes respiratoires en provenance de Wuhan ou d'autres zones de transmission persistante de cas locaux dans les deux semaines précédant l'apparition de la maladie.
compte pourLa personne a été en contact avec une personne de la zone infectée (Wuhan, Hubei et autres villes) qui a présenté des symptômes tels que de la fièvre, de la toux, des maux de gorge, etc.
③Association épidémiologique de personnes présentant une morbidité groupée ou une nouvelle infection à coronavirus.
compte pour: : La morbidité globale, pour dire les choses simplement, c'est lorsqu'un groupe de personnes se réunit, par exemple pour jouer aux cartes, discuter, etc., et qu'une personne provenant d'une zone infectée présente des symptômes tels que de la fièvre et est diagnostiquée comme étant infectée par un "nouveau coronavirus", ou lorsque plusieurs personnes développent successivement des symptômes tels que de la fièvre et des douleurs musculaires, et que le diagnostic est confirmé.
2. les caractéristiques cliniques
①Il y a des désagréments comme la fièvre, la toux sèche, la fatigue, les douleurs musculaires et quelques uns peuvent avoir des symptômes atypiques comme la congestion nasale, l'écoulement nasal et la diarrhée.
②La tomodensitométrie thoracique peut suggérer de multiples ombres parcellaires et des changements interstitiels au stade précoce, et elle est évidente dans les bandes extrapulmonaires, et l'examen ultérieur développe de multiples ombres en verre dépoli et des ombres d'infiltration dans les deux poumons, et dans les cas sévères, des lésions pulmonaires solides apparaîtront.
③Dans les premiers stades de la maladie, les analyses sanguines de routine pour les globules blancs sont généralement normales ou diminuées, et le nombre de lymphocytes est réduit.
3. résumé
Dans l'épidémiologie que j'ai mentionnée ci-dessus, tant que l'un d'entre eux présente + manifestations cliniques en ligne avec deux d'entre eux, il peut être diagnostiqué comme un patient suspect d'infection à coronavirus, alors quels sont les symptômes d'un patient suspect, en d'autres termes, c'est ce que j'ai mentionné ci-dessus quelques points s'il doit y avoir un degré élevé de suspicion !
Maintenant que la situation de la pneumonie est grave, que peut faire le citoyen moyen pour se protéger ?
①Réduisez l'exposition en évitant les zones où les taux d'épidémie sont élevés et restez à l'écart des lieux publics fermés et dépourvus d'air, comme ceux-là.
②Après avoir toussé ou éternué, après avoir soigné un patient, avant les repas, après être allé aux toilettes, après avoir été en contact avec des animaux ou avoir manipulé des excréments d'animaux, vous devez vous laver les mains et ne pas laisser derrière vous des dangers cachés pour des raisons de commodité.
③Si vous devez sortir pour quelque chose, assurez-vous de porter le masque correctement et régulièrement, et veillez à le changer de manière appropriée.
④Si vous cuisinez de la viande, des œufs et de la volaille à la maison, veillez à bien les cuire. Bien qu'ils soient moins bons au goût, ils sont certainement plus sûrs.
résumés
Les épidémies n'ont aucune pitié, surtout dans cette situation sinistre, car les gens ordinaires, c'est-à-dire tout le monde pour bien faire, ne se donnent pas de mal, sans parler de ne pas causer d'ennuis aux autres.
L'académicien Zhong Nanshan a déclaré il y a deux jours qu'un patient suspect devait bénéficier d'un traitement médical précoce, qu'un diagnostic précoce, un traitement précoce et un isolement précoce constituaient la meilleure politique ; quels sont donc les symptômes d'un patient suspect ? Depuis l'apparition de l'épidémie, la Commission nationale de la santé a publié cinq versions du "nouveau plan de diagnostic et de traitement de la pneumonie infectée par le coronavirus", nous prenons la cinquième, c'est-à-dire la dernière version de la base de la science populaire.
1. 2 des manifestations cliniques suivantes sont présentes.
① Avec de la fièvre ou des symptômes respiratoires, ou les deux.
Fièvre.Utilisation de la température corporelle axillaire comme norme.≥37.3°CIl s'agit d'une fièvre qu'il convient d'exclure en se rendant dans un centre anti-fièvre. Dans le public, les tests effectués à l'aide d'un thermomètre frontal électronique sont également normalisés à 37,3 °C. Actuellement, dans la ville de Zhongshan, tous les patients fébriles doivent faire l'objet d'un prélèvement pharyngé à 100 % en vue d'une analyse de l'acide nucléique du nouveau coronavirus. Les écouvillons pharyngés sont de longs écouvillons prélevés sur les sécrétions de la gorge pour les tests et sont effectués par des médecins spécialisés.
Symptômes respiratoires tels que toux sèche, congestion nasale, écoulement nasal, maux de gorge et autres symptômes.Ces symptômes respiratoires ne sont pas spécifiques et sont souvent impossibles à distinguer d'un simple rhume, et un diagnostic définitif nécessite encore une combinaison de facteurs.
D'autres symptômes sont la faiblesse et la diarrhée.
②. Le thorax présente les caractéristiques d'imagerie d'une pneumonie.
Au stade initial, elle présente de multiples petites taches et des changements interstitiels, qui peuvent évoluer vers de multiples taches en verre dépoli et infiltrées dans les deux poumons et, dans les cas les plus graves, des changements solides dans les poumons peuvent se produire, ce qui donne ce que l'on appelle communément les "poumons blancs".
(iii) Analyses sanguines : numération leucocytaire totale normale ou diminuée, ou diminution des lymphocytes.
2. 2 des manifestations ci-dessus + 1 des antécédents épidémiologiques suivants = cas suspect.
①Histoire des voyages ou de la résidence à Wuhan et dans ses environs, ou dans d'autres communautés où des cas ont été signalés, dans les 14 jours précédant l'apparition de la maladie.
(ii) a été en contact avec un patient présentant de la fièvre ou des symptômes respiratoires provenant de Wuhan et de ses environs, ou d'une communauté où un cas a été signalé, dans les 14 jours précédant l'apparition de la maladie.
(iii) Morbidité globale.
④ Antécédents de contact avec des individus porteurs de nouveaux coronavirus.
Conclusion : pour le grand public, les analyses sanguines et les résultats du scanner thoracique sont effectués par les médecins après l'arrivée à l'hôpital. Tant qu'il y a des antécédents d'exposition suspectée à un nouveau coronavirus, de la fièvre, des malaises, une toux sèche ou des symptômes tels que maux de gorge, écoulement nasal, congestion nasale et autres, un traitement médical rapide est la bonne chose à faire.


L'équipe de Nanshan Zhong a récemment publié le premier article depuis l'apparition de la nouvelle pneumonie de la Couronne.
L'article mentionne le problème de la fièvre dans la pneumonie néocoronarienne. Après avoir étudié 1 099 cas, il a été constaté que les patients atteints de néocoronarite à un stade précoce avaient seulementPas plus de la moitiédes personnes ont de la fièvre, mais celles qui développent de la fièvre après l'hospitalisation ont toujours un risque d'infection.Près de 90 %.En d'autres termes, le principal symptôme de la nouvelle pneumonie de la Couronne reste principalement la fièvre, seule la manifestation précoce de la fièvre.Une faible proportion。
La fièvre et la toux sont également utilisées comme principaux critères d'évaluation des cas suspects. Cela s'explique par le fait qu'il y aEnviron 76 pour centdes patients atteints de pneumonie de la nouvelle couronne toussent.
Par conséquent, les cas suspects se concentrent sur les deux symptômes suivants : 1. température corporelle élevéePlus de 37,3 degrés Celsius2. toux àmucositésPrincipalement.
Ce qui précède est un résumé, mais voyons plus précisément quels sont les symptômes d'un cas suspect :
1. fièvre, malaise, toux sèche. Il s'agit des symptômes les plus typiques d'un nouveau type de pneumonie et il convient d'en tenir compte lorsqu'ils se manifestent, mais pas de panique, il y a d'autres choses à lire ci-dessous.
2. écoulement nasal, congestion nasale, maux de gorge, diarrhée. Ces symptômes sont atypiques et 80 à 90 % d'entre eux correspondent à des rhumes ou à des problèmes gastro-intestinaux.
3. dyspnée et hypoxie. Il s'agit d'une manifestation de la maladie grave, principalement chez les personnes âgées.
4. prélèvement sanguin. Globules blancs normaux ou diminués, lymphocytes diminués.
Comment pouvez-vous faire la différence entre les symptômes ci-dessus suspectés ou confirmés ?
Les points suivants sont essentiels :
1) Historique de l'exposition. Vivait à Wuhan et dans ses environs ; contact avec des personnes à Wuhan et dans ses environs ; contact avec des personnes positives à l'acide nucléique ; nombreux cas après des réunions de famille et d'amis.
2. la tomodensitométrie des poumons montre des ombres en verre dépoli ou infiltrantes (une ombre blanche des poumons sur le film de tomodensitométrie).
3) Test de détection d'acide nucléique positif pour le nouveau coronavirus ou test génétique positif.
Parmi ceux-ciTomodensitométrie pulmonaire et tests d'acide nucléique, tests génétiquesC'est la clé du diagnostic de la pneumonie de la nouvelle couronne. L'examen devient plus difficile à son tour.
En résumé : en présence de symptômes, il faut rechercher des antécédents d'exposition, et s'il y a des antécédents d'exposition, il faut envisager la possibilité d'une suspicion. La tomodensitométrie vient ensuite, pour un examen plus approfondi, le test de l'acide nucléique. Les gènes sont moins couramment utilisés.
# Se concentrer sur les nouveaux types de pneumonie et sensibiliser l'opinion publique
Un patient suspect est confirmé si un échantillon (respiratoire ou sanguin) est testé positif pour l'acide nucléique du nouveau coronavirus, ou si le séquençage du gène viral de l'échantillon montre un degré élevé de similarité et d'homologie avec le nouveau coronavirus. En d'autres termes, certains patients suspects deviennent des patients confirmés après le test, tandis que d'autres sont exclus ou restent suspects.

Quelles sont donc les conditions qui font d'un patient un patient suspect ? PrendreAntécédents épidémiologiques (4) + symptômes cliniques (3)pour juger.
I. Épidémiologie
1. antécédents de voyage ou de résidence à Wuhan ou dans ses environs, ou dans d'autres communautés ayant fait l'objet d'une déclaration de cas, 14 jours avant l'apparition de la maladie.
2. des antécédents de contact avec un patient confirmé 14 jours avant l'apparition de la maladie.
3. 14 jours avant l'apparition de la maladiea été exposée àWuhan, ou les communautés voisines, ou les communautés où des cas ont été signalés.
4. la morbidité globale.
II. manifestations cliniques
1. avoir de la fièvre et/ou des symptômes respiratoires.
2. l'imagerie des poumons présentant de nouvelles manifestations de pneumonie.
3. leucocytes sanguins normaux ou réduits, ou lymphocytes réduits.
Un patient est suspecté s'il présente 1 signe épidémiologique et 2 signes cliniques, ou s'il n'y a pas d'épidémiologie mais que les 3 signes cliniques sont présents.Il n'est pas difficile de constater que les symptômes cliniques du patient suspect sont principalement de la fièvre et des symptômes respiratoires, et que les manifestations d'imagerie et les tests sanguins sont essentiellement des résultats d'examens auxiliaires.

ont une température élevéeC'est le symptôme le plus important de la nouvelle pneumonie à coronavirus. Environ 90 % des patients ont de la fièvre, le plus souvent une fièvre élevée persistante, d'environ 39 ℃, et il n'est pas facile de se débarrasser de la fièvre, alors que la fièvre de la plupart des rhumes est moins élevée, dure généralement 2 à 3 jours, puis disparaît d'elle-même. C'est également la raison pour laquelle le dépistage des nouveaux types de pneumonie se fait par la prise de température.
Les symptômes respiratoires sontToux, expectorations, essoufflement, oppression thoracique, dyspnée, hypoxémieLes symptômes tels que l'essoufflement et les difficultés respiratoires sont plus graves et doivent être traités quelle que soit la situation.

Plus de la moitié des patients présentent une toux, le plus souvent sans expectoration ou avec peu d'expectoration, ce qui peut être lié au fait que le site de l'attaque virale est intracellulaire, avec des foyers plus profonds dans les poumons, ce qui suggère des poumons périphériques sur les clichés de tomodensitométrie. En cas de co-infection, il y a également des expectorations.
Il y en a d'autres.Congestion nasale, écoulement nasal, maux de gorgeIl s'agit d'un symptôme courant des voies respiratoires supérieures, qui présente des similitudes avec le rhume, mais le nouveau type de pneumonie présente des symptômes plus systémiques, tels que la fièvre,fatigue。
Avec la mise en place de mesures de prévention et de contrôle et de protection individuelle, la bataille contre l'épidémie sera gagnée ! Je suis @DrLiuYongyi, merci de m'avoir lu !
Maintenant que le nouveau coronavirus fait rage, l'auteur de la question devrait se demander quels sont les symptômes habituels d'une personne soupçonnée d'être infectée par un nouveau coronavirus. Cela facilitera l'autosurveillance ou le jugement.
Sur la base de la situation actuelle.
1) Les symptômes les plus marquants d'une nouvelle infection à coronavirus sont la fièvre, les malaises et la toux sèche.
2. un petit nombre de patients souffrant de congestion nasale, d'écoulement nasal, de maux de gorge et de diarrhée.
3. les patients sévères peuvent développer une dyspnée et/ou une hypoxémie à la suite de l'infection.
4) Dans les cas bénins, le patient présente simplement une faible fièvre et une légère fatigue, sans signe anormal d'inflammation pulmonaire.
Comme vous pouvez le voir dans les symptômes ci-dessus, la nouvelle infection de la couronne n'a pas vraiment de symptômes spécifiques, elle est similaire à un rhume viral habituel.
C'est pourquoi, outre les symptômes, l'"historique de l'exposition" est un élément important dans la détermination d'une nouvelle infection à coronavirus.
1. avoir voyagé ou résidé à Wuhan et dans ses environs ou dans des régions où des cas ont été signalés au cours des 14 jours précédant l'apparition de la maladie ;
2. s'ils ont été en contact avec des patients présentant de la fièvre ou des symptômes respiratoires dans les zones susmentionnées ;
3. s'ils ont été en contact avec un patient confirmé (test d'acide nucléique de la nouvelle couronne positif).
Par conséquent, en cas d'antécédents d'exposition et de symptômes susmentionnés, une visite à l'hôpital s'impose, et en l'absence d'antécédents d'exposition et de symptômes susmentionnés, il est peu probable que l'on soit en présence d'une néocoronarite.
Pour les médecins, outre les symptômes et les antécédents d'exposition, une combinaison d'analyses sanguines, de tomodensitométrie pulmonaire, de nouveaux tests d'acide nucléique coronarien ou de séquençage de gènes est nécessaire.
Le nombre total de globules blancs est normal ou diminué dans la numération sanguine, et le nombre de lymphocytes est réduit.
Il y a une manifestation de pneumonie au scanner.
Une personne ayant des antécédents d'exposition avec fièvre/symptômes respiratoires, une numération leucocytaire totale et une numération lymphocytaire normales ou diminuées, et une tomodensitométrie évoquant des changements pneumoniques est suspectée si 2 des 3 conditions sont réunies.
Une personne sans antécédents d'exposition est suspectée si elle remplit les trois critères ci-dessus.
La confirmation du diagnostic nécessite un test d'acide nucléique positif pour neoguana ou une séquence génétique fortement homologue à neoguana.
J'espère que les réponses ci-dessus vous seront utiles !
Ces questions et réponses proviennent des utilisateurs du site, elles ne représentent pas la position du site, s'il y a une infraction, veuillez contacter l'administrateur pour la supprimer.