Si j'ai un rhume, de la toux et de la fièvre aujourd'hui, puis-je aller à l'hôpital ?
Si j'ai un rhume, de la toux et de la fièvre aujourd'hui, puis-je aller à l'hôpital ?
Si j'ai un rhume, de la toux et de la fièvre, dois-je aller à l'hôpital ? Actuellement, l'épidémie nationale est encore très grave, à ce stade du rhume, la communauté générale devra également être isolée, il est recommandé de prendre des médicaments et d'observer l'évolution de la situation.Parce que la nouvelle pneumonie ne se distingue pas d'un rhume.La période d'incubation du nouveau type de pneumonie est généralement comprise entre 3 et 7 jours.
Le rhume est une maladie spontanément résolutive qui se manifeste par une toux, une congestion nasale, des éternuements, etc. Il n'entraîne généralement pas de complications et peut être guéri en 5 à 7 jours ; il n'entraîne pas non plus de complications telles que la pneumonie et la myocardite.
Outre les symptômes du rhume, la nouvelle infection à coronavirus peut également provoquer une détresse respiratoire, une fièvre persistante, etc., qui est similaire aux manifestations précédentes et doit être diagnostiquée par un scanner thoracique et un test d'acide nucléique à l'hôpital. Dans les cas graves, une insuffisance respiratoire aiguë, un syndrome de détresse respiratoire aiguë, des troubles de la coagulation et d'autres défaillances d'organes systémiques peuvent survenir.
Une fois l'infection par le nouveau coronavirus diagnostiquée, les personnes concernées seront envoyées dans des hôpitaux désignés pour y être isolées et traitées.
S'il s'agit d'un rhume ou d'une grippe, vous pouvez acheter vos propres médicaments et rentrer chez vous pour vous faire soigner. Il n'est pas recommandé de se rendre à l'hôpital pour se faire soigner, car il est préférable de ne pas sortir maintenant, la résistance du rhume est plus faible, le personnel hospitalier est complexe, ou de prendre des médicaments à la maison pour traiter le rhume plus facilement.
Merci d'avoir lu cet article. Si vous êtes d'accord avec les opinions exprimées dans cet article, n'hésitez pas à me liker, à suivre Sanno Sugar et à m'inviter à répondre à vos questions !
Si j'ai un rhume, de la toux et de la fièvre aujourd'hui, puis-je aller à l'hôpital ?
Nous savons tous qu'il s'agit d'une période spéciale de lutte contre les épidémies au niveau national, mais en même temps, nous devons également tenir compte du fait que l'hiver et le printemps actuels sont également marqués par une forte incidence de rhumes et de grippes, à ce moment-là, si vous êtes le "moment critique de la chaîne" du garçon, mais cette fois-ci, le rhume, la toux et la fièvre, un peu de bonne volonté sait également qu'il s'agit de rhumes et de grippes, mais une mauvaise volonté peut l'être ! Les plus sages savent encore qu'ils ont un rhume, les moins sages se sont peut-être déjà diagnostiqué une "pneumonie de la nouvelle couronne" !
La question est donc de savoir si je peux aller à l'hôpital.
Oui, vous pouvez, mais compte tenu de cette période spéciale, nous vous suggérons d'essayer de ne pas vous rendre à l'hôpital pour des maladies qui ne peuvent pas être traitées ! Le rhume commun est une maladie qui se résorbe d'elle-même et qui peut être guérie en une semaine environ. Il suffit d'aller à la pharmacie pour acheter des médicaments contre le rhume couramment utilisés, de boire plus d'eau et de se reposer, pour que le rhume général soit suffisamment maîtrisé. Cependant, pour certains rhumes graves, les personnes âgées, les personnes souffrant de maladies de base, si les symptômes du rhume sont proéminents, à ce moment-là, ne peut pas tenir, doit aller à l'hôpital ou à aller.
Pouvez-vous faire vous-même la différence entre une pneumonie de la nouvelle couronne et un rhume ?
Fièvre, malaise, congestion nasale, écoulement nasal, toux, vertiges et maux de tête sont quelques-uns des symptômes ressentis par de nombreuses personnes, et l'une des questions les plus fréquemment posées ces derniers temps est de savoir s'il s'agit d'un simple rhume ou d'une nouvelle infection à coronavirus. En effet, il est parfois difficile de faire la distinction entre les deux en termes de symptômes, et nous voudrions insister ici sur les "antécédents d'exposition". Si vous restez à la maison toute la journée et que vous n'avez pas été en contact avec des patients ou des suspects du NCPV, il s'agit en fait d'un simple rhume. Si vous sortez beaucoup, que vous avez même été en contact avec des patients du NCPV, ou que vous n'avez pas de protection adéquate lorsque vous sortez, et que vous avez de la fièvre, de la fatigue, une congestion nasale, de la toux, etc., il est alors nécessaire d'isoler et d'observer le patient, et à ce moment-là, se rendre à l'hôpital est le meilleur choix !
Suivez Critical Illness Walker - Feng pour plus d'informations sur la santé.
Après tout, nous nous trouvons au milieu d'une épidémie de nouvelles infections de pneumonie à coronavirus, de sorte que, que ce soit en vertu du principe de responsabilité à l'égard de sa propre santé ou de la santé de sa famille, il convient de consulter activement un médecin, d'établir un diagnostic clair et de mettre en place un traitement ciblé.
Ce que nous appelons habituellement un rhume est le rhume commun, souvent dû au froid, à la fatigue et à d'autres déficiences immunitaires, les symptômes sont généralement légers, se manifestant surtout par un écoulement nasal, des éternuements, une occlusion, des maux de gorge et d'autres symptômes locaux, moins de fièvre, de douleurs musculaires, de fatigue et d'autres symptômes systémiques, le rhume commun a une évolution autolimitée, qui peut être soulagée en 5 à 7 jours, les personnes symptomatiques recevant un traitement symptomatique général, les symptômes peuvent être rapidement soulagés. Les symptômes peuvent être soulagés rapidement après un traitement symptomatique général.
Pour les patients atteints d'une nouvelle pneumonie à coronavirus, les symptômes de l'infection pulmonaire ne sont pas évidents dans les cas légers, et peuvent même se manifester comme des symptômes de rhume, ce qui doit être pris au sérieux. Comparée au rhume, cette maladie est très contagieuse, la population est généralement sensible aux symptômes communs, qui comprennent principalement la fièvre, la toux sèche, la fatigue, quelques patients peuvent être accompagnés d'une congestion nasale, d'un mal de gorge, d'un écoulement nasal, de diarrhée et d'autres symptômes, les globules blancs sont normaux ou réduits, les lymphocytes sont réduits, l'imagerie peut être trouvée dans les poumons pour détecter les signes d'infection, par le test de l'acide nucléique viral ou le séquençage des gènes, peut être clair.
Outre le rhume, la nouvelle pneumonie à coronavirus doit être différenciée de la grippe, qui est causée par le virus de la grippe et peut présenter des symptômes tels qu'une forte fièvre, une toux, des maux de tête et des douleurs musculaires, mais ne présente pas de signes de pneumonie à l'imagerie thoracique. Par conséquent, les personnes qui ont de la fièvre et de la toux, en particulier celles qui ont récemment voyagé dans des zones infectées telles que Wuhan, dans la province du Hubei, ou qui ont été en contact avec des personnes dans des zones infectées ou qui ont des patients confirmés dans leur entourage, doivent se rendre à l'hôpital en temps utile, établir un diagnostic clair et suivre le traitement approprié. Le patient doit être isolé dans un hôpital désigné pour être traité.
Cet article a été rédigé par GP Sweeps et nous espérons qu'il vous sera utile. Veuillez corriger toute lacune, l'article est fourni à titre de référence uniquement et n'est pas destiné à servir de conseil médical.
Il faut aller à l'hôpital, parce qu'on a de la fièvre, il faut aller à l'hôpital pour vérifier avant de pouvoir poser le cœur, maintenant très période, ne peut pas exister, comme attendre, regarder et ainsi de suite la mentalité, sinon, c'est le ciel, désolé pour eux-mêmes, leurs familles, les organisations !
En ces temps exceptionnels, lorsque vous avez un rhume ou de la fièvre, il est important de vous rendre à l'hôpital car vous ne pouvez pas savoir si votre fièvre est due à un rhume ou à une nouvelle infection par le coronavirus. En temps normal, il n'est pas conseillé de se rendre à l'hôpital lorsqu'on a un rhume ou de la fièvre. Afin de mieux identifier les cas suspects de nouveau coronavirus, les autorités ont demandé aux pharmacies de cesser de vendre des médicaments antifièvre et antitussifs. Certains patients atteints de pneumonie à nouveau coronavirus, de fièvre et de toux, prennent des antipyrétiques et des antitussifs, peuvent être progressivement soulagés, mais ne vont pas à l'hôpital pour consulter un médecin, et ne se présentent pas aux services compétents, pour devenir un porteur latent de l'omission du test, et continuer à propager l'infection parmi la population, ce qui est un vecteur d'infection très dangereux, et rendra l'ensemble de l'épidémie difficile à contrôler. Par conséquent, si vous avez de la fièvre ou si vous toussez, vous devez vous rendre à l'hôpital pour une consultation et un examen, car vous êtes responsable de vous-même, de votre famille et de la société.
J'ai eu une toux causée par un rhume en octobre de l'année dernière, et pendant trois mois, j'ai dû prendre des injections et des médicaments dans un hôpital communautaire ! Cette année, je voulais aller dans un grand hôpital pour faire un examen approfondi, mais je me suis heurtée au problème de la pneumonie de Wuhan : les gens paniquent et n'osent pas aller dans un grand hôpital (il est dit qu'à l'hôpital, pour voir un médecin, il faut toujours faire un scanner et des analyses de sang) ; le médecin a dit qu'il ne pouvait pas aller à l'hôpital, qu'il ne fallait pas y aller ! Les personnes qui n'ont pas la pneumonie de Wuhan et qui ont peur d'aller à l'hôpital risquent d'être infectées !
Les rhumes simples (c'est-à-dire le rhume commun) sont spontanément résolutifs et reviennent généralement à la normale au bout de 5 à 7 jours, même sans traitement particulier. Cependant, nous nous trouvons actuellement dans une période de forte incidence de l'infection par le nouveau coronavirus, et les symptômes courants de la nouvelle pneumonie à coronavirus comprennent principalement la fièvre, la toux sèche, la fatigue, quelques patients pouvant être accompagnés d'une congestion nasale, d'un écoulement nasal, d'un mal de gorge, de diarrhées, etc.
Par conséquent, si vous avez de la fièvre, de la toux, et que vous avez utilisé les médicaments appropriés contre le rhume et la grippe, et qu'après plusieurs jours, les symptômes ne sont pas évidents, vous devriez activement consulter un médecin, en particulier pour la région de Hubei qui a l'habitude de voyager vers les personnes en contact avec l'histoire de la zone infectée, une plus grande attention devrait être accordée à la situation.
Bien sûr, de nombreuses personnes s'inquiètent du fait que les hôpitaux accueillent davantage de patients et sont plus susceptibles d'entrer en contact avec des personnes infectées par la nouvelle pneumonie à coronavirus. Toutefois, tant que nous prenons les précautions nécessaires, que nous portons des masques et que nous réduisons la durée du séjour, nous pouvons minimiser l'apparition de l'infection, établir un diagnostic clair et proposer des traitements ciblés afin de réduire rapidement les symptômes, d'améliorer la qualité de vie et d'améliorer le pronostic.
Si vous avez des questions, n'hésitez pas à laisser un commentaire à la fin de l'article pour en discuter. Suivez l'auteur pour des mises à jour quotidiennes sur les connaissances en matière de santé.
L'épidémie de coronavirus n'est pas encore totalement éteinte et de nombreuses personnes s'inquiètent des risques d'infection invisibles dans les hôpitaux et n'osent pas s'y rendre, même si elles sont enrhumées ou fiévreuses, le cœur plein d'inquiétude. Que devons-nous faire ?
Tout d'abord, ne soyez pas trop nerveux en dehors de Lakeland
L'épidémie a attiré l'attention générale, les services de prévention des épidémies et les hôpitaux de tout le pays renforçant leurs mesures de désinfection et de stérilisation, et procédant même à une désinfestation en plein air dans de nombreux endroits afin de tuer tout virus éventuellement présent.
Ces mesures ont été si efficaces que le nombre de nouveaux cas en dehors du Hubei a chuté 12 fois d'affilée, et que le nombre de nouveaux cas en dehors du Hubei a chuté de 12 fois d'affilée.De nombreux médecins constatent que les coronavirus deviennent moins virulents, avec un pourcentage croissant de cas bénins.
Les salles d'examen des hôpitaux sont également équipées de lampes à ultraviolets et de désinfectants, et sont stérilisées instantanément en cas de suspicion.
Les coronavirus sont faiblement viables lorsqu'ils quittent l'organisme.
Les symptômes du rhume et de la fièvre ne doivent pas être retardés
Cette saison de l'année est marquée par une forte incidence de la grippe et de la pneumonie commune, et les années précédentes, les hôpitaux étaient souvent surchargés, notamment en raison de la pneumonie à mycoplasme.
Il y a quelques jours, l'hôpital populaire du NordProf. Gao LiDans la conférence en ligne, il a été dit qu'il y avait eu récemment beaucoup de patients atteints de pneumonie à Mycoplasma dans tout le pays, et qu'en raison des similitudes entre ce type de pneumonie et la pneumonie virale, beaucoup de personnes étaient nerveuses et sont allées consulter.

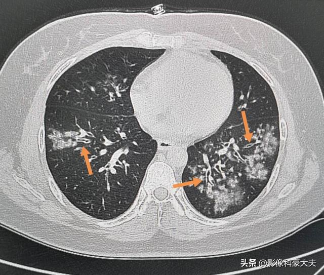
C'est le cas de cette jeune femme qui toussait et avait de la fièvre avec peu d'expectorations et qui ne se portait pas bien avec les médicaments contre le rhume et la grippe. Un scanner a été réalisé et a révéléL'inflammation par plaques dans les deux poumons avec de multiples petits épaississements de la paroi des voies respiratoires et une distribution centrée des foyers dans les voies respiratoires correspond à une pneumonie à Mycoplasma et non à une pneumonie néocoronarienne.
Il existe des médicaments sensibles pour la pneumonie à mycoplasme et le patient a été traité avec des antibiotiques symptomatiques et est sorti rapidement.

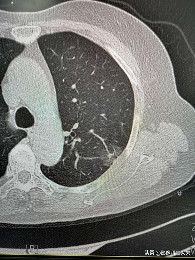
Ce vieil homme a également eu la chance d'être examiné pour une oppression thoracique, une toux et une faible fièvre, ce qui a permis de découvrir un adénocarcinome pulmonaire à un stade précoce sur le côté gauche.
Cet adénocarcinome précoce est curable, avec un taux de survie à 5 ans proche de 100 %, et il n'est pas trop tard pour repousser l'opération d'un mois ou deux.
Parce qu'elle a été détectée à temps, elle n'aurait pas évolué vers un cancer avancé.
Voyager avec prudence dans des moments extraordinaires
Le coronavirus était un peu vicieux cette fois-ci, et il peut être infecté pendant la période d'incubation, et nous ne pouvons pas dire que la population n'a pas d'infections latentes, donc...Porter un masque lorsqu'on sort, se laver les mains régulièrement, ne pas s'essuyer la bouche et le nez avec des mains sales, se laver les cheveux en rentrant à la maison ou prendre une douche, mettre ses vêtements d'extérieur sur le balcon pour les faire sécher, sont autant de mesures qui ont du sens。
Je suis le Dr Howe en imagerie. Bienvenue !
Mon conseil est de commencer par s'auto-isoler, de ne pas courir à l'hôpital dès que vous avez de la fièvre, qu'est-ce qu'un hôpital de nos jours, c'est l'endroit où le virus est le plus susceptible de se trouver, peut-être que vous n'avez pas de pneumonie, et que vous avez été infecté après un voyage à l'hôpital, ce risque est toujours présent. La première chose à faire est d'obtenir une bonne quantité d'argent pour payer les services dont vous avez besoin, et vous serez en mesure d'obtenir l'argent dont vous avez besoin pour payer les services dont vous avez besoin.
Si vous avez un rhume, n'allez pas à l'hôpital, tout d'abord parce que le virus se propage rapidement à l'intérieur de l'hôpital, que la zone est vaste et que l'infection croisée est facile, il est déconseillé d'y aller, car s'il s'agit d'un simple rhume, prenez des médicaments à la maison, buvez plus d'eau et reposez-vous, mangez plus de fruits et de légumes, vous pourrez vous guérir complètement. Mais si vous vous sentez déjà infecté par le virus, soupçonné d'être le nouveau virus de la couronne, appelez pour communiquer avec l'hôpital afin de voir s'il y a des lits, de bonnes mesures de désinfection et d'isolement pour aller à l'hôpital pour examen et traitement, en même temps n'ayez pas peur de ne pas être nerveux, gardez une humeur joyeuse, ayez un état d'esprit positif, le virus sera certainement vaincu ! En vous protégeant, vous protégez aussi les autres et les gardez en bonne santé ! Ne diffusez jamais de mauvaises énergies de manière malveillante, croyez en vous.
J'espère que cela vous apportera un peu de réconfort en ce moment particulier et que tout ce que nous pouvons faire, c'est nous réjouir ensemble !


Ces questions et réponses proviennent des utilisateurs du site, elles ne représentent pas la position du site, s'il y a une infraction, veuillez contacter l'administrateur pour la supprimer.