Certaines personnes souffrent d'un infarctus cérébral caverneux mais ne ressentent rien par elles-mêmes, ne doivent-elles pas être traitées ? Pourquoi ne pas le faire ?
Certaines personnes souffrent d'un infarctus cérébral caverneux mais ne ressentent rien par elles-mêmes, ne doivent-elles pas être traitées ? Pourquoi ne pas le faire ?
L'affirmation selon laquelle un infarctus caverneux est un infarctus cérébral a effrayé un grand nombre de personnes qui, à l'occasion d'un scanner ou d'une IRM de la tête, ont constaté la présence d'infarctus caverneux uniques ou multiples, ce qui a entraîné l'administration d'aspirine, de statines, etc. Est-il vraiment nécessaire de s'occuper de ces foyers d'infarctus qui ne mesurent que quelques millimètres ?
1) Les médecins du monde entier ont jusqu'à présent fait de nombreuses suggestions différentes sur la pathogenèse des infarctus lacunaires, avec des hypothèses telles que le vieillissement des terminaisons artérielles, l'obstruction du sang par des "déchets" (qu'entendez-vous par "déchets" ?), une viscosité sanguine élevée, un spasme des petites artères, etc. Des théories telles que le vieillissement des terminaisons artérielles, l'engorgement du sang par des "déchets" (qu'entendez-vous par "déchets" ?), une viscosité sanguine élevée, un spasme des petites artères, etc. À titre d'exemple, l'artère carotide interne est le tronc d'un arbre, les feuilles de l'arbre sont les groupes de cellules cérébrales, et l'infarctus luminal est l'occlusion du tronc (microvaisseau) reliant une feuille à l'autre, entraînant la mort de la feuille. Dans l'analogie où la feuille pousse là où les gens peuvent la voir (un groupe de cellules cérébrales fonctionnelles), différentes zones fonctionnelles produiront des symptômes transitoires : vertiges, salivation, troubles de l'élocution, etc. Si la feuille morte se trouve dans un endroit où les gens ne peuvent pas la voir, c'est-à-dire dans une zone non fonctionnelle, il n'y a aucun symptôme et, bien sûr, vous n'en savez rien.
2) On peut affirmer avec certitude que la proportion d'infarctus caverneux est étroitement liée à l'âge : plus de 50 % des personnes âgées de plus de 60 ans trouveront des foyers d'infarctus caverneux (ombres de faible densité) lors du scanner, plus de 80 % des personnes âgées de plus de 70 ans en trouveront, parfois plus d'un, et la grande majorité des personnes âgées de plus de 80 ans présentent des infarctus caverneux multiples. Par conséquent, en l'absence de thrombose cérébrale, les infarctus cérébraux (thrombose par rupture d'une petite plaque artérielle, la taille de l'infarctus est beaucoup plus importante que celle des infarctus caverneux) peuvent être considérés comme le résultat du vieillissement des terminaisons artérielles cérébrales. En revanche, on constate aujourd'hui que les jeunes de 30 à 50 ans présentent un pourcentage élevé d'infarctus caverneux, dont la plupart sont liés à des spasmes émotionnels, induits par le stress, des petites artères cérébrales, qui provoquent la mort irréversible des cellules cérébrales en seulement 4 à 6 minutes.
3) L'infarctus du myocarde est directement proportionnel à l'âge, y a-t-il donc un lien avec les trois temps forts ? La réponse est oui ! L'hypertension à long terme des petites artères périphériques dans la haute pression et les fibres élastiques endothéliales vasculaires, les fibres de collagène perte prématurée de l'élasticité, la couche moyenne de la prolifération des muscles lisses de l'anneau et d'autres facteurs font l'ischémie des micro-artères en aval, le vieillissement plus rapide, l'hyperglycémie et l'hyperlipidémie aggraveront également les dommages aux petites artères périphériques et à la récession. Bien entendu, dans l'oreillette gauche d'une fibrillation auriculaire pathologiquement élargie, l'auricule gauche est parfois délogé par des particules de thrombus, qui peuvent également bloquer les micro-artères périphériques. Des dizaines de substances nocives absorbées dans la circulation sanguine par le tabagisme peuvent également endommager les minuscules artères périphériques. L'infarctus cérébral est la façon dont Dieu prend soin de vous, si une rupture de plaque se produit dans les artères moyennes et petites à cause des trois contrôles de haut niveau et du tabagisme excessif, cela conduira à des infarctus cérébraux de différentes tailles, et ce serait désastreux, et il est difficile de dire les conséquences de l'hémiplégie, de l'aphasie, des difficultés d'élocution, des troubles de la déglutition, et de l'incapacité à prendre soin de soi, etc.
Les patients atteints d'infarctus du myocarde qui souffrent d'hypertension, d'hyperlipidémie, de diabète sucré et qui ont subi des événements cardiovasculaires et cérébrovasculaires, ou qui ont subi une ICP avec implantation d'un stent, qui fument depuis plus de 400 ans (nombre de cigarettes fumées par jour X nombre d'années) et qui présentent des plaques multiples, en particulier des plaques molles détectées par échographie vasculaire et tomodensitométrie, doivent être traités à l'aspirine et aux statines pour prévenir la rupture des plaques et la formation d'un nouveau thrombus entraînant un infarctus cérébral ou un infarctus cardiaque, et pour réduire la survenue d'infarctus du myocarde. Occurrences multiples. Il est plus important de contrôler le régime alimentaire, le poids, l'exercice physique et les émotions, sinon l'augmentation de l'adrénaline dans le sang, sous l'effet de l'excitation et de la colère, provoquera des spasmes artériels, qui se produiront dans les petites artères d'un infarctus de la cavité, et plus il y a de plaques molles dans les artères, plus l'infarctus cérébral se produira, et parfois les émotions sont plus difficiles à contrôler, le cœur le sait, mais il est difficile de le faire. Contrôler, le cœur comprend que c'est difficile à faire, puis apprendre Q, le ciel n'a pas d'importance.
2018.9.7
Les patients atteints d'infarctus cérébraux lacunaires asymptomatiques doivent être reconnaissants à Dieu de les avoir avertis.
L'infarctus cérébral lacunaire est la forme la plus légère d'infarctus cérébral.
Cependant, un infarctus cérébral lacunaire signifie que les vaisseaux sanguins du cerveau du patient, ou même du corps, ont développé des problèmes. Dans ce cas, heureusement, seul un petit vaisseau sanguin sans importance a été bloqué et n'a pas pu provoquer de symptômes graves. Cependant, le vaisseau sanguin du patient a déjà eu un gros problème et si aucune attention n'y est portée, il pourrait se transformer en un grave infarctus cérébral à l'avenir.
Par conséquent, en cas d'infarctus lacunaire du cerveau, les mesures suivantes doivent être prises immédiatement
1. contrôle des lipides sanguins, de la routine sanguine, des fonctions hépatiques et rénales, contrôle de l'échographie carotidienne et mesure de la tension artérielle et de la glycémie
Le bilan lipidique sanguin permet de vérifier l'existence d'une hyperlipidémie. Si c'est le cas, il convient d'envisager la prise d'un médicament hypolipidémiant.
Une échographie carotidienne est réalisée pour rechercher des plaques et des sténoses dans les artères carotides.
Mesurez votre tension artérielle pour vérifier si vous souffrez d'hypertension, qui est l'une des principales causes des attaques cérébrales.
La glycémie est mesurée afin d'écarter la possibilité d'un diabète.
Les fonctions hépatiques et rénales permettent d'une part d'évaluer le fonctionnement du foie, des reins et de la coagulation, et d'autre part d'évaluer la prise de médicaments à l'avenir.
2) Consultez votre médecin pour savoir si vous devez commencer à prendre de l'aspirine ou des médicaments hypolipidémiants. Si vous souffrez d'hypertension artérielle, d'hyperglycémie ou d'hypercholestérolémie, consultez également votre médecin pour savoir comment prendre des médicaments pour ces affections.
3. améliorer l'exercice, perdre du poids, perdre de la graisse
4. manger moins d'aliments gras, moins d'aliments à forte teneur en sucre, boire moins de lait, de thé et de cola, vous pouvez boire du thé.
Remplacer le saindoux par de l'huile d'olive, manger plus de légumes et de fruits frais.
5. examen régulier à l'hôpital
Comme le vaisseau sanguin est déjà anormal, il est important d'essayer de retarder la prochaine fois qu'un blocage se produit, car s'il revient la prochaine fois, il y a un risque que ce soit une attaque cérébrale très grave.
De nombreuses personnes âgées verront le diagnostic d'"infarctus cérébral" sur le bulletin après avoir passé un scanner à l'hôpital. Dès qu'elles voient le mot "infarctus cérébral", elles ne peuvent s'empêcher d'être effrayées et de se précipiter pour demander au médecin : ai-je eu un accident vasculaire cérébral ? Serai-je paralysé ?

Différence entre infarctus cérébral et infarctus cérébral lacunaire
1. infarctus cérébral :Le terme "infarctus cérébral" désigne l'interruption de la circulation sanguine dans les vaisseaux sanguins de grande et moyenne taille qui alimentent le cerveau en sang, en raison de l'athérosclérose ou de caillots sanguins, entraînant une ischémie et une nécrose du tissu cérébral dans la zone correspondante, ce qui peut entraîner une paralysie ou des conséquences encore plus graves pour le patient.
2. infarctus cérébral caverneux :Il s'agit d'une affection dans laquelle les petites artères du cerveau, en raison d'une hypertension de longue date, d'un diabète sucré et d'une hyperlipidémie, développent des lésions dans les parois des vaisseaux sanguins au fur et à mesure qu'elles vieillissent, ce qui entraîne l'occlusion de la lumière et la formation de petits foyers d'infarctus.
En d'autres termes, un infarctus cérébral est la conséquence d'un blocage dans une artère de taille moyenne à grande, tandis qu'un infarctus cérébral lacunaire est la conséquence d'un blocage dans une artère de très petite taille.

Symptômes de l'infarctus cérébral lacunaire
Le vaisseau sanguin bloqué par l'infarctus cérébral lacunaire étant très petit, le tissu cérébral est très peu endommagé et les manifestations cliniques sont souvent très légères. La plupart des patients ne présentent aucun symptôme clinique, et seul un petit nombre d'entre eux peut présenter des symptômes tels que des étourdissements, des maux de tête, un engourdissement des membres, des vertiges, des pertes de mémoire, un ralentissement du temps de réaction, une démence, etc. En termes d'incidence, à mesure que l'âge augmente, presque toutes les personnes âgées souffrent d'infarctus cérébral lacunaire.
L'infarctus cérébral lacunaire nécessite-t-il un traitement ?
En général, le pronostic de l'infarctus cérébral caverneux est bon, avec un faible taux d'invalidité, et les patients peuvent vivre et travailler normalement. Pour certains patients symptomatiques, la perfusion à court terme de médicaments qui activent la circulation sanguine et éliminent la stase sanguine peut être envisagée pour soulager les symptômes ; en l'absence de symptômes évidents, aucun traitement spécial n'est nécessaire pour l'infarctus cérébral lacunaire lui-même, mais des interventions ciblées doivent être menées sur les facteurs de risque des patients pour réduire le risque de récurrence de l'infarctus cérébral lacunaire et de l'infarctus cérébral massif.

Comment puis-je prévenir la réapparition d'un infarctus cérébral lacunaire ou le développement d'un infarctus cérébral ?
1) Stabiliser ses émotions et faire preuve de bon sens :Ne soyez pas trop nerveux après avoir découvert un infarctus cérébral lacunaire, vous devez conserver un état d'esprit positif et optimiste, qui est non seulement un facteur important dans la prévention des maladies cardiovasculaires et cérébrovasculaires, mais aussi la clé et le secret de la longévité. Parallèlement, il convient de pratiquer des exercices physiques et des activités physiques appropriés et modérés en fonction de la condition physique de l'individu, jusqu'à ce qu'il ne se sente pas fatigué. Il est déconseillé de pratiquer des exercices épuisants tels que la course rapide et l'escalade, mais des exercices aérobiques tels que le jogging, la marche et le tai-chi peuvent être pratiqués.
2. développer de bonnes habitudes alimentaires :Les patients atteints d'infarctus cérébral lacunaire doivent s'abstenir de fumer et de boire de l'alcool, suivre un régime alimentaire léger et diversifier leur alimentation en consommant davantage de légumes et de fruits frais.
3. supprimer les facteurs de risque :L'hypertension, le diabète sucré, l'hyperlipidémie, l'athérosclérose, la viscosité sanguine élevée, le tabagisme et la consommation d'alcool sont tous considérés comme des facteurs de risque d'infarctus du myocarde. Il convient donc de contrôler activement la tension artérielle, la glycémie et les lipides sanguins, et de s'abstenir de fumer et de boire de l'alcool. Il est nécessaire de prendre des médicaments antiplaquettaires (par exemple l'aspirine) et des médicaments stabilisant la plaque (par exemple les gélules d'atorvastatine calcique).

4. des inspections régulières :Des examens réguliers permettent de détecter les problèmes à un stade précoce et d'intervenir rapidement.
★ Si cette réponse est utile, merci de l'aimer et de la soutenir !
Les questions relatives à l'infarctus cérébral caverneux sont l'une des questions les plus fréquemment posées en clinique. On peut dire qu'avec les progrès des équipements d'examen et la popularité des examens médicaux, la tomodensitométrie crânienne est devenue très courante et, par conséquent, de plus en plus de personnes découvrent qu'elles souffrent d'un infarctus cérébral caverneux. Alors, comment faire face à l'infarctus cérébral caverneux ?
En fait, à proprement parler, l'infarctus cérébral lacunaire est un petit foyer d'infarctus formé lorsque les petites artères pénétrantes de la partie profonde des hémisphères cérébraux ou du tronc cérébral subissent une occlusion de la lumière vasculaire en raison de l'implication de divers facteurs de risque à long terme, en particulier l'effet de l'hypertension. Pour faire une analogie, si le cerveau est une feuille de papier blanc, l'infarctus cérébral lacunaire est une graine de sésame saupoudrée sur le papier blanc, très petite, mais qui existe déjà.
Si le patient présente de nombreux facteurs de risque, tels que le tabagisme et l'alcoolisme, l'obésité, l'hypertension artérielle, le diabète sucré, l'hyperlipidémie et ainsi de suite, il est très probable qu'un traitement soit nécessaire, par exemple l'administration d'aspirine et de statines par voie orale. Toutefois, si seul un infarctus cérébral lacunaire est détecté et qu'il n'y a pas d'autres facteurs de risque, il est également possible d'améliorer d'abord le mode de vie, notamment en surveillant de près la tension artérielle, les lipides sanguins et la glycémie, puis d'administrer des médicaments si nécessaire.
En résumé, le traitement de l'infarctus cérébral caverneux doit dépendre de la situation spécifique du patient, toutes les personnes ne sont pas identiques, en fonction de la situation individuelle, l'analyse se fait au cas par cas.
Qu'est-ce qu'un infarctus cérébral lacunaire ?
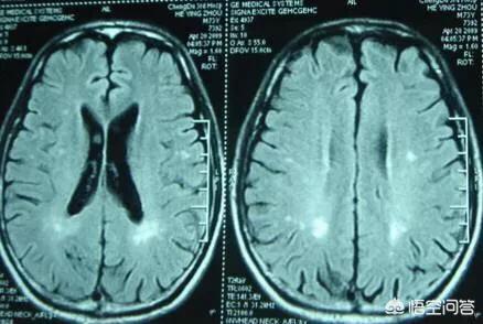
Les infarctus cérébraux caverneux sont des micro-infarctus ischémiques survenant dans la substance blanche profonde des hémisphères cérébraux et du tronc cérébral. Les foyers d'infarctus sont irrégulièrement arrondis, ovoïdes ou étroitement allongés et mesurent généralement quelques millimètres de diamètre. Dans le passé, ce phénomène n'était détecté que lors de l'anatomie pathologique du cerveau humain. Les techniques de tomodensitométrie et de résonance magnétique étant devenues plus courantes et plus avancées, la probabilité de détecter des infarctus cérébraux lacunaires a augmenté.

Causes de l'infarctus cérébral lacunaire ?
La cause de l'infarctus cérébral lacunaire n'est pas particulièrement claire, mais l'opinion la plus répandue est qu'il est lié à la dégénérescence des petites artères et des microartérioles causée par des facteurs tels que l'hypertension et le diabète sucré, entraînant une occlusion vasculaire.
Symptômes de l'infarctus cérébral lacunaire ?
Les symptômes de l'infarctus cérébral lacunaire sont variés et peuvent se manifester par des anomalies motrices, des anomalies sensorielles, une ataxie, une dysarthrie, etc. en fonction du site de l'infarctus cérébral. Cependant, ses caractéristiques générales sont des symptômes relativement légers, un signe unique, un bon pronostic, l'absence de maux de tête, d'hypertension intracrânienne, de troubles de la conscience, etc. Si l'infarctus se produit dans une zone sans importance, il est très possible que le patient lui-même se sente très léger et n'y prête pas attention, voire qu'il ne ressente rien du tout.
L'infarctus cérébral lacunaire nécessite-t-il un traitement ?
L'infarctus cérébral caverneux est plus fréquent chez les patients d'âge moyen et les personnes âgées, et plus fréquent chez les hommes que chez les femmes.
Dans certains cas, il est découvert accidentellement, sans symptômes évidents, et il est très probable que la lésion soit déjà ancienne et que l'infarctus se soit produit depuis longtemps. Ce type d'infarctus cérébral n'a plus besoin d'être traité, mais il constitue un signal d'alarme fort :
La situation cérébrovasculaire s'est très probablement détériorée.
C'est comme les innombrables petites branches d'un grand arbre : lorsque nous constatons que certaines branches commencent à mourir de manière inexpliquée, nous devons être attentifs au fait que d'autres branches ne se portent pas aussi bien.

Que dois-je faire si je découvre un infarctus cérébral lacunaire de manière inattendue ?
1 Vérifiez si votre tension artérielle est normale. Si vous avez déjà des antécédents d'hypertension artérielle, vous devez également vous demander si votre tension artérielle est généralement bien contrôlée.
2 Vérifiez que votre glycémie est normale. Si vous êtes déjà diabétique, il est encore plus important de vérifier si votre glycémie est contrôlée régulièrement.
3 Vérifiez que vos lipides sanguins ne présentent pas d'anomalies.
4 Examiner l'échographie cardiaque, les artères carotides et l'échographie cérébrovasculaire pour détecter la présence de caillots sanguins ou de plaques dans les vaisseaux sanguins.
5 Arrêtez de fumer et de boire, menez une vie régulière, reposez-vous bien et ne vous couchez pas tard.
6 Faites de l'exercice régulièrement et contrôlez votre poids.
7 Après un examen médical approfondi, prendre de l'aspirine, des statines et d'autres médicaments sous surveillance médicale si nécessaire pour prévenir la récurrence de l'infarctus cérébral.
Bienvenue sur le site du Dr Cheng pour en savoir plus sur les maladies courantes.
N'hésitez pas à laisser un commentaire pour en discuter.
La plupart des patients atteints d'infarctus cérébral lacunaire sont asymptomatiques en raison de la petite taille des infarctus et du fait qu'ils se produisent souvent dans des parties non fonctionnelles du cerveau. Ceux qui présentent des symptômes sont généralement légers, de sorte que le pronostic de la maladie est généralement bon. Toutefois, qu'il soit ressenti ou non, un infarctus lacunaire doit être pris au sérieux.
Dans la plupart des cas, il n'existe pas de traitement spécifique de l'infarctus lacunaire en soi, mais l'essentiel est de comprendre les causes de la maladie et d'intervenir sur les facteurs de risque du patient afin de réduire le risque d'infarctus lacunaire récurrent et d'infarctus massif.
L'hypertension est la principale cause d'infarctus cérébral lacunaire. Si vous souffrez d'hypertension, vous devez la contrôler soigneusement et veiller à ce qu'elle ne dépasse pas 140/90 mmHg.
Parallèlement, il est également nécessaire de suivre un régime pauvre en sel et en graisses, comme dans le cas de la prévention d'autres maladies cérébrovasculaires, de faire de l'exercice de manière appropriée, de maintenir un mode de vie sain, de s'abstenir de fumer et de limiter la consommation d'alcool, d'augmenter l'exercice en plein air, de contrôler le poids corporel, de maintenir une stabilité émotionnelle et de contrôler la glycémie et les lipides sanguins, de manière à ajuster l'organisme à son état optimal. Parallèlement, la nécessité d'un traitement à base de statines et d'aspirine doit également être décidée au cas par cas, sous la supervision d'un médecin.
L'infarctus cérébral caverneux est l'un des symptômes les plus bénins de l'infarctus cérébral. L'infarctus cérébral désigne un ramollissement ischémique limité ou une nécrose des tissus cérébraux causés par une altération de la circulation sanguine cérébrale et par l'ischémie et l'hypoxie. Les lésions de la paroi vasculaire, la composition du sang et les changements hémodynamiques sont les principales causes de l'infarctus cérébral. L'infarctus cérébral lacunaire est principalement causé par de petits foyers lacunaires dans les ganglions de la base ou de petites branches pénétrantes des ponts cérébraux, et la plupart des foyers sont de petite taille, ne dépassant pas 15 mm. La sclérose des petites artères, l'occlusion, l'athérosclérose et l'embolie cardiaque sont les principaux facteurs de risque de l'infarctus cérébral.
Il est fréquent chez les patients d'âge moyen et les personnes âgées souffrant d'hypertension, souvent accompagnés d'antécédents de maladies chroniques telles que l'hypertension, le diabète sucré et l'hyperlipidémie. Certains cas d'infarctus cérébral lacunaire peuvent être précédés d'un accident ischémique transitoire, qui peut survenir de manière aiguë ou subaiguë en période de calme. Bien que les symptômes de l'infarctus cérébral lacunaire soient légers et puissent être soulagés par eux-mêmes, la plupart des personnes souffrent d'hypertension, d'hyperlipidémie, de diabète sucré et d'autres maladies avec dyslipidémie, ce qui tend à faire progresser la maladie, la thrombose et l'infarctus important. Par conséquent, même si certaines personnes souffrent d'un infarctus cérébral lacunaire mais ne ressentent rien de tel, une intervention précoce est nécessaire.
Des interventions étiologiques agressives sont nécessaires pour contrôler la glycémie primaire et les lipides, et la pression artérielle doit être contrôlée en dessous de 130/80 mm Hg, ou 140-150/90 mm Hg chez les patients âgés. L'hémoglobine glycosylée doit être <6,5 %, la glycémie à jeun doit être contrôlée entre 8,0 et 10 mmol/L, et la glycémie à jeun doit être contrôlée en dessous de 7,0 mmol/L. Nécessité d'un traitement antiplaquettaire concomitant par des comprimés d'aspirine à faible dose enrobés d'entérosol. Améliorer les habitudes de vie, adopter un régime pauvre en sel et en graisses et léger, faire régulièrement de l'exercice, arrêter de fumer, limiter la consommation d'alcool et procéder régulièrement à un examen du fond d'œil. Les médicaments traditionnels chinois tels que le Panax ginseng, la Salvia miltiorrhiza et le Ginkgo biloba peuvent également être utilisés pour faciliter le traitement. Bien que le taux de mortalité et le taux d'invalidité soient faibles, nous devons y prêter attention et contrôler activement la pression artérielle, les lipides sanguins et la glycémie dans la plage cible afin de prévenir les récidives.
L'interprétation autorisée du site web des affaires pharmaceutiques ne peut être reproduite sans autorisation, et le plagiat fera l'objet de poursuites.
Certaines personnes souffrent d'infarctus cérébraux lacunaires mais ne ressentent rien par elles-mêmes, ne doivent-elles pas être traitées ?
En fait, la plupart des gens ne ressentent généralement rien lorsqu'un petit infarctus caverneux se produit, et ils ne découvrent qu'ils sont atteints d'un infarctus cérébral caverneux que lorsqu'ils se rendent à l'hôpital pour des examens médicaux ou des maux de tête, et ils sont très effrayés lorsqu'ils l'apprennent pour la première fois, mais ils ne sont soulagés qu'une fois que le médecin leur a expliqué la situation.

L'infarctus cérébral caverneux est un petit foyer d'infarctus causé par l'occlusion de la lumière de petites artères perforantes dans les hémisphères cérébraux et le tronc cérébral en raison de lésions dans la paroi du vaisseau causées par diverses raisons.
Comme ces petites artères profondes sont des branches terminales des artères cérébrales et que leur irrigation sanguine est limitée, l'étendue de la nécrose due à l'ischémie est également limitée et ne dépasse généralement pas une petite lésion de 15 mm. La plupart de ces patients ne présentent donc aucun symptôme, seule la zone nécrosée est résorbée et de petites cavités sacrées peuvent subsister.
Mais nous ne pouvons pas l'ignorer pour autant.
La première chose à vérifier est de savoir si vous souffrez d'hypertension artérielle, d'hyperglycémie et d'hyperlipidémie. Toutes ces maladies sous-jacentes peuvent favoriser l'apparition d'infarctus de la cavité. Ne soyez pas négligent lorsque vous vous retrouvez avec de petits infarctus de la cavité, qui sont en fait des signaux d'alarme que le corps nous envoie !

Si vous excluez les "trois hauts" et ces problèmes, vous devez faire attention à vos habitudes et à votre alimentation.
L'âge général se situe entre 40 et 50 ans, le corps est déjà sur la pente descendante. Vous ne pouvez pas vous faire plaisir, contrôlez votre bouche, ces fritures, barbecues, gros poissons et viandes, le tabac et l'alcool, ces désirs de la bouche et de l'estomac doivent aussi être modérés. Ce sont les éléments déclencheurs qui conduisent à une incidence élevée de maladies cardiovasculaires, vous devez apprendre à résister à la tentation.
La spirale ascendante d'une carrière, les pressions sur tous les plans, les efforts désespérés pour se coucher tard et faire des heures supplémentaires, la planification exhaustive... Je suis désolé, mais ce sont aussi des causes d'infarctus. Je suis désolé, mais ce sont aussi des causes d'infarctus.
Chaque jour, lorsque vous travaillez, prenez le temps de vous lever et de bouger vos muscles, laissez votre esprit se reposer pendant quelques minutes, afin d'améliorer l'efficacité de votre travail. Il est préférable de s'en tenir à une demi-heure d'exercice aérobique par jour, qu'il s'agisse de jogging ou de marche rapide.
Ne pas pouvoir rester debout toute la nuit, ne pas rester debout toute la nuit, ce sont des mots vraiment sincères. En particulier, veiller tard pour faire des heures supplémentaires, c'est simplement dans le corps pour appuyer sur une bombe, on ne sait pas quand elle va exploser.

Enfin, il y a les problèmes émotionnels, les émotions ne s'emballent pas, le stress à long terme entraîne un spasme vasculaire et peut facilement provoquer un infarctus vasculaire. Ainsi, chaque jour après le travail, on peut discuter davantage avec la famille, les amis, dire certaines choses, cracher le morceau, ce qui est beaucoup plus facile.
Bien entendu, il est préférable de consulter un médecin en cas d'infarctus de la cavité, de le faire vérifier et de prendre des médicaments préventifs si nécessaire. Les vertiges, les maux de tête, accompagnés de nausées et de vomissements, ou l'apparition d'un côté de la bouche et d'yeux bridés, de salivation, d'une faiblesse d'un ou des deux membres inférieurs, d'une confusion passagère, etc. doivent être envoyés d'emblée à l'hôpital pour économiser le traitement.
Cliquez sur le coin supérieur droit pour me suivre, rester à l'écart de la sous-santé et profiter d'une vie saine.
Merci pour l'invitation !
Suivez le Dr Lee et vous parlerez de santé, il vous apportera de plus en plus de connaissances pratiques sur la santé !
Il est vrai que certaines personnes atteintes d'infarctus cérébral lacunaire ne se sentent pas du tout malades et ne se souviennent pas avoir eu des symptômes d'infarctus cérébral, mais la lésion d'infarctus cérébral lacunaire n'est généralement découverte dans le cerveau qu'après une tomodensitométrie ou une imagerie par résonance magnétique (IRM) effectuée pour d'autres raisons. Dans ce cas, il existe un terme appelé "infarctus cérébral asymptomatique" dans notre département de neurologie. Cela signifie que les infarctus détectés à l'imagerie mais non cliniquement symptomatiques sont généralement de petite taille ou ne se situent pas dans des zones qui affectent la fonction. Ce phénomène n'est pas rare chez les personnes âgées.
Il n'y a aucun moyen de faire disparaître cet infarctus cérébral lacunaire détecté fortuitement, donc, de ce point de vue, cet infarctus cérébral lacunaire ne doit pas être traité.
Cependant, un "infarctus asymptomatique" ne signifie pas qu'il n'a pas de signification clinique. Les causes de l'infarctus lacunaire sont généralement similaires à celles de l'infarctus symptomatique. Elles comprennent également des facteurs de risque tels que l'hypertension, le diabète sucré, l'hyperlipidémie, le tabagisme, la consommation excessive d'alcool, l'obésité, les maladies cardiaques et les maladies vasculaires. Par conséquent, la découverte involontaire d'un infarctus cérébral asymptomatique est en fait un signal d'alarme pour commencer une prévention cérébrovasculaire sérieuse !
Par conséquent, bien que cet infarctus lacunaire asymptomatique ne doive pas être traité, il est important de commencer à prévenir d'éventuels infarctus cérébraux symptomatiques, par exemple en contrôlant la tension artérielle, la glycémie et les lipides sanguins, en arrêtant de fumer et de boire, en faisant de l'exercice quotidiennement, en contrôlant son poids, en traitant des problèmes tels que les maladies cardiaques et, si cela est indiqué, en prenant de l'aspirine et des statines par voie orale.
Il est également important de noter que la présence d'un ou deux infarctus cérébraux lacunaires asymptomatiques peut avoir peu d'impact sur la santé à l'heure actuelle. Toutefois, si les infarctus cérébraux lacunaires sont multiples, ils peuvent entraîner des troubles cognitifs tels que des pertes de mémoire et un ralentissement du temps de réaction, même en l'absence de symptômes typiques tels que l'hémiparésie ou l'aphasie. Par conséquent, lorsqu'un infarctus cérébral lacunaire asymptomatique est détecté, il convient de rechercher soigneusement les facteurs de risque et de les contrôler strictement pour éviter des conséquences plus graves.

Dans notre vie quotidienne, nous pouvons rencontrer des personnes qui s'évanouissent soudainement, d'autres qui sont paralysées, d'autres encore qui souffrent de troubles de la parole et de déficiences intellectuelles, et la plupart de ces cas sont dus à un infarctus cérébral. L'infarctus cérébral désigne une nécrose ischémique limitée ou un ramollissement du tissu cérébral causé par l'ischémie et l'hypoxie dues à une insuffisance de l'apport sanguin au cerveau.
Vous pouvez voir à quel point un infarctus du cerveau peut être effrayant, mais il existe également un type d'infarctus du cerveau qui ne ressemble à rien, à savoir l'infarctus cérébral caverneux, qui est appelé infarctus caverneux, et qui est un type d'infarctus du cerveau. L'infarctus cérébral caverneux désigne généralement un infarctus cérébral de moins de 15 mm. Les causes de l'infarctus cérébral caverneux sont similaires aux causes de l'infarctus cérébral avec symptômes évidents. Elles comprennent également : l'hypertension artérielle, le diabète, l'hypercholestérolémie, le tabagisme, la consommation excessive d'alcool, l'obésité, les maladies cardiaques, les maladies vasculaires et d'autres facteurs de risque. L'infarctus cérébral caverneux fait partie des lésions capillaires crânio-cérébrales, les grands vaisseaux sanguins sont encore ouverts, les cellules cérébrales peuvent fonctionner normalement, les symptômes cliniques sont légers et la plupart des patients sont asymptomatiques.
Les infarctus cérébraux caverneux ne doivent pas être ignorés, même si les lésions sont légères, pour deux raisons :
Premièrement, lorsqu'un infarctus lacunaire du cerveau se produit dans une zone non critique, telle que la partie profonde du cerveau, il peut n'y avoir aucun symptôme, mais s'il se produit dans une zone critique, telle que la capsule interne ou le tronc cérébral, il peut y avoir de graves conséquences. Par exemple, un côté du corps est paralysé et ne peut être bougé, etc. Si elle se produit dans le tronc cérébral, d'autres problèmes surviennent et peuvent même mettre la vie en danger.
Deuxièmement, si l'infarctus cérébral lacunaire est multifocal, il peut provoquer des troubles cognitifs tels que des pertes de mémoire et un ralentissement du temps de réaction, même en l'absence de symptômes typiques tels que l'hémiparésie et l'aphasie. Par conséquent, lorsqu'un infarctus cérébral lacunaire asymptomatique est détecté, il convient de rechercher attentivement ses propres facteurs de risque et de les contrôler strictement afin d'éviter des conséquences plus graves.
Par conséquent, l'infarctus cérébral caverneux doit également être pris au sérieux, généralement pour contrôler la tension artérielle, la glycémie, les graisses sanguines ; arrêter de fumer, l'alcool, l'exercice quotidien, le contrôle du poids, le traitement des maladies cardiaques et d'autres questions, s'il y a des indications, devrait également être l'aspirine orale et les statines.

Cliquez sur le bas de la page [En savoir plus] pour voir plus de réponses ou poser une question au médecin gratuitement !
Suivez le numéro de téléphone du "Médecin de famille en ligne", plus de questions-réponses sur la santé faciles à consulter~~~~
Ces questions et réponses proviennent des utilisateurs du site, elles ne représentent pas la position du site, s'il y a une infraction, veuillez contacter l'administrateur pour la supprimer.