L'IRM peut-elle détecter un cancer du foie à un stade précoce ?
L'IRM peut-elle détecter un cancer du foie à un stade précoce ?
Le cancer du foie au stade précoce est un cancer du foie dont le diamètre est inférieur à 3 cm, ou le nombre de nodules tumoraux ne dépasse pas deux, et le diamètre total de la tumeur est inférieur à 3 cm, également appelé "petit cancer du foie", et les patients ne présentent généralement aucun symptôme.
Les petits carcinomes hépatocellulaires sont parfois difficiles à détecter par les moyens conventionnels, en particulier par l'imagerie, et passent souvent inaperçus en raison de la résolution.. Si un cancer du foie est suspecté, il doit être envisagé en conjonction avec une combinaison de tests.
L'IRM présente des avantages irremplaçables dans le diagnostic du carcinome hépatocellulaire, le plus important étant la possibilité d'obtenir des images du foie en haute résolution sans utiliser d'agents de contraste néphrotoxiques et sans radiations ionisantes.
L'IRM présente certaines similitudes avec le renforcement par tomodensitométrie en termes de sensibilité diagnostique, à ceci près que différentes caractéristiques de la lésion peuvent être observées sous différents angles.
Diagnostic par résonance magnétique pour86 % de sensibilité et 89 % de spécificité par patient atteint d'un cancer du foieCela signifie qu'environ 86 % des patients atteints d'un cancer du foie peuvent être diagnostiqués par IRM et qu'une fois ce diagnostic suspecté, l'IRM peut le confirmer dans 89 % des cas.
résonance magnétiqueEn cas de combinaison avec l'échographie, la sensibilité peut être plus élevée.. Par exemple, une étude portant sur des patients atteints d'un cancer du foie a montré que la résonance magnétique combinée à l'échographie a permis de détecter 85 carcinomes hépatocellulaires sur 87.
Sur le plan clinique, l'échographie est généralement utilisée comme test de dépistage initial et, en cas de problème, le meilleur moyen de confirmer le diagnostic est l'IRM.
La nouvelle angiographie par résonance magnétique, un test non invasif au cours duquel le patient obtient des données tridimensionnelles d'images du foie en une seule respiration, a une sensibilité plus élevée que la tomodensitométrie améliorée pour le diagnostic des nodules de carcinome hépatocellulaire mesurant directement entre 1 et 2 centimètres.
Chez certains patients dont les résultats du scanner sont équivoques, en particulier lorsque le foie présente uneLorsque des changements significatifs de type nodulaire sontLa résonance magnétique peut être plus utile car elle permet de distinguer les nodules hyperplasiques atypiques du carcinome hépatocellulaire.
L'IRM est également supérieure à la tomodensitométrie pour identifier les lésions vasculaires telles que les hémangiomes, les dépôts graisseux focaux et d'autres lésions, ainsi que le carcinome hépatocellulaire.
Par conséquent, pour les nodules détectés directement inférieurs à 1 cm, il est important d'être conscient de la nécessité d'un examen régulier, tandis que les lésions dont les fonds sont supérieurs à 1 cm doivent être évaluées à l'aide d'une IRM dynamique ou d'une tomodensitométrie améliorée. Si la présentation est typique d'un carcinome hépatocellulaire, le diagnostic est essentiellement confirmé sans autres investigations.
Les deux tests peuvent être nécessaires si la présentation du carcinome hépatocellulaire n'est pas typique ou, en l'absence de certitude sur la nature de la lésion, une biopsie peut être une meilleure approche.

Commentaires, messages privés, likes et retweets sont les bienvenus !
Pour d'autres faits médicaux amusants et réconfortants sur les maladies du foie et les maladies infectieuses, suivez le cours sur les maladies du foie de @DrLong !
Selon les dernières données publiées par le Centre national du cancer, le cancer du foie est le quatrième cancer le plus fréquent en Chine, représentant 9,42 % du taux d'incidence de tous les cancers, c'est-à-dire qu'un patient sur dix est atteint d'un cancer du foie. En outre, le cancer du foie se développe rapidement et l'efficacité du traitement est très faible à un stade avancé (le taux de survie à 5 ans est inférieur à 8 %), et le taux de mortalité du cancer du foie est le deuxième, juste après celui du cancer du poumon.
C'est pourquoi il est important de diagnostiquer le cancer du foie à un stade précoce ! Un cancer à un stade précoce peut être guéri !
L'IRM peut détecter un cancer du foie à un stade précoce, mais elle nécessite généralement un examen plus approfondi et n'est donc pas utilisée directement. Le moyen le plus facile et le plus simple de détecter un cancer du foie est le test de l'alpha-fœtoprotéine, associé à une échographie abdominale. Si vous présentez un risque élevé de cancer du foie, il est préférable de procéder à un contrôle tous les six mois, voire tous les trimestres, ce qui est également moins coûteux.
Lorsque l'échographie révèle des nodules échogènes anormaux dans le foie, en particulier lorsqu'ils sont accompagnés d'un taux élevé d'alpha-fœtoprotéine, il convient de procéder à des examens complémentaires. La tomodensitométrie ou l'IRM renforcée peuvent être utilisées.

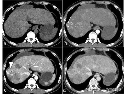
Cet homme d'âge moyen, ayant des antécédents d'hépatite B chronique, présentait à l'échographie une hypoéchogénicité irrégulière dans le segment inférieur du lobe droit du foie, ainsi qu'un taux élevé d'alpha-fœtoprotéine dans les tests de laboratoire. Un examen complémentaire par résonance magnétique a révélé une zone arrondie classique à faible signal, avec un rehaussement irrégulier au scanner de rehaussement, ce qui a permis de préciser qu'il s'agissait d'un petit carcinome hépatocellulaire, opéré depuis près de trois ans.
La tomodensitométrie améliorée peut également confirmer le diagnostic pour les lésions typiques. Certains petits cancers du foie sont délicats et d'apparence atypique et peuvent nécessiter une IRM améliorée avec des agents de contraste spéciaux, ce qui est un peu plus coûteux et nécessite un rendez-vous préalable.
L'ajout à la liste des personnes à risque de cancer du foie :
1. les personnes âgées de plus de 35 ans ayant des antécédents d'hépatite chronique ; 2. les personnes ayant des antécédents d'abus d'alcool à long terme et des manifestations cliniques de maladie hépatique chronique ; 3. les personnes atteintes de cirrhose ; 4. les personnes ayant des antécédents familiaux de cancer du foie. Les groupes de personnes susmentionnés devraient accorder plus d'attention aux examens réguliers du foie.
Je suis le Dr Howe en imagerie. Bienvenue !
Je suis le Dr Shadow. L'IRM peut-elle détecter un cancer du foie à un stade précoce ? Oui, c'est possible. L'IRM a un taux de détection très élevé pour les maladies du foie, en particulier les petits cancers du foie. Cependant, comme l'IRM est plus coûteuse et que tout le monde ne peut pas la pratiquer, il n'est pas recommandé d'utiliser l'IRM pour dépister un cancer du foie à un stade précoce.
L'échographie, la tomodensitométrie et l'IRM sont utilisées pour détecter les premiers stades du cancer du foie.
Le cancer du foie a une incidence élevée dans notre pays, et la plupart de ces cancers surviennent encore chez des amis atteints d'hépatite B chronique. Par conséquent, les amis atteints d'hépatite B chronique ont toujours été invités à se rendre à l'hôpital pour des examens médicaux réguliers, dans le but de dépister un cancer du foie à un stade précoce.
Les trois principaux tests - l'échographie, le scanner et l'IRM - permettent de voir le foie se développer et de dépister un cancer du foie à un stade précoce.
échographieL'échographie est peu coûteuse et facile à utiliser, et elle est actuellement recommandée pour le dépistage précoce du cancer du foie. Cependant, le résultat de l'échographie est très lié au niveau du médecin qui l'utilise, et il est très facile de négliger de petites masses dans les coins et les bords du foie.
TomodensitométrieLe prix est un peu plus élevé que l'échographie, si vous voulez dépister un cancer du foie précoce, il est préférable de faire un scanner de l'abdomen supérieur + une scintigraphie de rehaussement, suspecter ou exclure quelque chose de long, il est préférable de faire plus d'un rehaussement, vous pouvez voir un peu plus clairement.l'examen CT que l'échographie sera plus précis, fondamentalement ne manquera pas la lésion.
imagerie par résonance magnétique IRML'IRM est l'examen le plus coûteux, il n'est pas irradiant et il est préférable de l'effectuer sous forme de scanner simple et amélioré pour dépister les premiers stades du cancer du foie. Les IRM ne conviennent pas à tout le monde et ne peuvent être pratiquées que si le médecin estime qu'elles peuvent l'être. Il s'agit d'un examen coûteux, qui n'est donc pas pratiqué de manière systématique, mais seulement en cas de besoin.
Ces trois principaux tests permettent de détecter un cancer du foie à un stade précoce. En général, l'échographie est effectuée en premier lieu, et la tomodensitométrie ou l'IRM ne sont réalisées qu'en cas de problème. Si quelqu'un dit vouloir voir plus clair sans tenir compte du facteur financier, il peut aussi faire un scanner ou une IRM directement. Si aucune lésion n'est observée au scanner ou à l'IRM, le foie est en principe exempt de cancer du foie précoce. Toutefois, si vous souffrez d'une hépatite B chronique, il est toujours recommandé de procéder à un examen régulier, tous les six mois ou une fois par an, pour effectuer un test sanguin de l'AFP, une fonction hépatique, une échographie ou une tomodensitométrie ou une IRM afin de dépister un cancer du foie précoce.
Je le suis.Dr. ShadowSuivez-moi si vous voulez en savoir plus sur la médecine.
Oui, c'est possible ! C'est ce que j'ai retenu de l'IRM !
L'IRM permet de détecter les cas suspects de cancer du foie, mais elle ne constitue pas un diagnostic définitif en médecine et doit être prise en compte en fonction de divers facteurs cliniques.
Tests courants pour le cancer du foie
Enzymologie sanguine
L'acide aminobutyrique glutamyl transpeptidase, l'isoenzyme lactate déshydrogénase et la phosphatase alcaline sériques sont plus élevés qu'aberrants chez les patients atteints de carcinome hépatocellulaire.
Test de l'ovalbumine alpha-fœtale
Utilisation de méthodes immunologiques pour détecter la présence d'antigènes embryonnaires.
Tomodensitométrie
Le scanner permet de détecter un cancer du foie à un stade précoce, d'un diamètre d'environ 1 cm.
échographie
L'échographie en mode B permet d'examiner la morphologie de la tumeur et de détecter des lésions d'environ 2 cm de diamètre.
L'échographie en mode B permet de montrer la taille et la forme de la tumeur, sa localisation et la présence ou non d'une tumeur dans la veine hépatique ou la veine porte.
Examen radiographique
Les changements dans les ombres sombres du foie sont observés par fluoroscopie abdominale et sur les films ordinaires.
angiographie
Une angiographie élective de l'artère abdominale ou de l'artère hépatique peut déterminer l'emplacement et la distribution de la lésion.
Les premiers symptômes du cancer du foie pouvant être facilement négligés, il convient de procéder à des examens de santé réguliers, en particulier pour les personnes âgées de plus de 40 ans ayant des antécédents de cancer du foie.
L'IRM normale ne fonctionne pas, il faut utiliser des médicaments pour faire une IRM améliorée. Elle peut détecter des tumeurs de plus de 5㎜. Si vous avez des symptômes, vous devez passer des examens réguliers tous les six mois. Le matin de l'IRM, vous devez avoir l'estomac vide. Vous ne pouvez pas boire d'eau. Il n'y a pas de métal implanté dans le corps.
Les images peuvent aussi être trompeuses !
L'IRM prométhéenne du foie est un outil important pour le diagnostic des petits carcinomes hépatocellulaires.
Ces questions et réponses proviennent des utilisateurs du site, elles ne représentent pas la position du site, s'il y a une infraction, veuillez contacter l'administrateur pour la supprimer.