Pourquoi les personnes âgées souffrent-elles de douleurs dans les jambes ?
Pourquoi les personnes âgées souffrent-elles de douleurs dans les jambes ?
Les difficultés à se tenir debout et à s'accroupir pendant la vieillesse sont principalement dues à des lésions des articulations du genou et de la hanche, ainsi que de la colonne vertébrale lombaire.
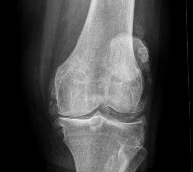
1/. L'articulation du genou : chez les personnes âgées ayant des difficultés à s'accroupir et à se tenir debout, de nombreuses causes sont dues à la dégénérescence du genou, à l'arthrite, à la synovite, aux lésions ligamentaires ainsi qu'aux lésions méniscales. La dégénérescence de l'articulation du genou se manifeste dans les premiers jours d'un certain nombre d'années de froideur, de double faiblesse du genou en montant les escaliers, de faiblesse de la marche, puis de douleur, de distension et de difficultés à s'accroupir. Les symptômes sont dus à la plate-forme du tibia, aux éperons osseux de l'espace condylien et à la largeur et à l'étroitesse inégales de l'espace osseux, y compris l'œdème osseux, le périoste aseptique (synovite), l'usure du ménisque, les muscles quadriceps et d'autres tensions musculaires, les lésions ligamentaires, entre autres. Le diagnostic et la différenciation sont confirmés par un examen sanguin de routine, les quatre éléments du rhumatisme, un test d'anticorps au peptide citrulliné anticyclique et un examen magnétique nucléaire.
2/. Arthrite ; les principales manifestations de l'articulation du genou sont la douleur, le gonflement ou les deux symptômes de brûlure de la peau rouge. L'arthrite rhumatismale se manifeste dans l'articulation du genou, y compris dans les articulations multiples, par des douleurs ou des gonflements, des difficultés à marcher, aggravées par les jours de pluie et de neige. L'arthrite septique s'accompagne de frissons et de fièvre, les articulations du genou sont rouges, gonflées, chaudes et douloureuses, la sensation de fluctuation dans les articulations est ressentie. Arthrite tuberculeuse, avec antécédents de tuberculose, articulation du genou gonflée et déformée, difficulté à marcher, accompagnée de fièvre. L'arthrite susmentionnée peut être examinée à l'aide de la radiographie pulmonaire, des quatre éléments du rhumatisme, de la biochimie, du test tuberculinique et de l'examen magnétique nucléaire.
3/. Dégénérescence lombaire et hernie discale lombaire. Les manifestations comprennent des douleurs dans le bas du dos et dans les jambes (sciatique), une claudication intermittente, des difficultés à s'accroupir et à se tenir debout, la vérification des valeurs d'acide urique dans le sang, la tomodensitométrie et l'imagerie par résonance magnétique (IRM).
4/. La synovite de l'articulation de la hanche, une inflammation traumatique stérile, est fréquente, avec une prévalence d'apparition unilatérale et des antécédents de traumatisme, se manifestant par une douleur accrue en flexion et en extension, en rotation externe et en abduction, et un test d'élévation de la jambe positif. ct et biochimie sanguine.
5/. Nécrose de la tête fémorale avec antécédents de traumatisme ou antécédents secondaires de douleur à la hanche, aggravée par la marche, difficulté à s'accroupir et à se tenir debout. Examen magnétique nucléaire et film DR.
6/. Périarthrite de la hanche, se manifestant par une douleur de la hanche prédominant dans une hanche, impliquant une douleur de la cuisse et du genou, une douleur latérale de la hanche et de la fesse, aggravée par la station debout, confortable en position assise. Effectuer des tests magnétiques nucléaires et autres.
Pourquoi les personnes âgées ressentent-elles toujours des douleurs dans tout le corps ? J'ai souvent entendu des personnes âgées dire que leurs jambes sont "venteuses et pluvieuses", et qu'elles ressentent toujours des douleurs accrues dans certaines conditions météorologiques.
En particulier pour les personnes âgées qui doivent travailler fréquemment au sol, il est très difficile de se relever lorsqu'elles sont accroupies avec une lourde charge sur le dos, et si elles ne font pas attention, elles seront paralysées au sol.
Les travailleurs migrants, qui doivent souvent se pencher pour effectuer des travaux lourds, peuvent facilement ne pas se lever à un moment ou à un autre.

Fondamentalement, lorsque le corps ressent une forte douleur, c'est qu'il y a un problème au niveau de l'un des organes du corps et, contrairement à d'autres affections, ce type de douleur est souvent le résultat d'un processus cumulatif.
La raison est en fait très simple : d'une part, avec l'âge, la fonction des organes du corps Ben et la capacité de récupération diminuent, et les personnes qui effectuent souvent un travail physique laissent les articulations de ces organes pendant une longue période au-delà de leur tolérance raisonnable.

Lorsque la capacité de récupération de l'organe est limitée, les gens ont l'impression que ces parties du corps ne sont plus à leur disposition. Une telle douleur s'accompagne de sa propre durée, la différence ne résidant que dans le degré de douleur, un travail de longue durée qui s'arrête soudainement sera plus douloureux, un travail trop lourd et trop rapide sera également plus douloureux.
La raison pour laquelle les travailleurs migrants qui travaillent sur les chantiers de construction ne peuvent soudainement plus se lever est en fait souvent due à une hernie discale lombaire qui comprime les nerfs.

En général, les organes du corps, comme le visage, ont un schéma de vieillissement clair, mais comme les gènes, le cadre de vie et la philosophie de vie de chaque personne sont différents, le vieillissement présente des différences individuelles très typiques.
C'est pourquoi certaines personnes ont 30 ans et ne paraissent pas plus jeunes que les quadragénaires ; certaines personnes ont 80 ans et peuvent encore porter une houe et travailler dans les champs, tandis que d'autres ont quelques difficultés à vivre seules à 50 ans.

En général, lorsqu'une personne vieillit, la colonne vertébrale lombaire et les articulations du genou sont considérées comme l'un des organes du corps qui posent le plus souvent des problèmes. L'articulation du genou, qui se compose de l'extrémité supérieure du tibia, de l'extrémité inférieure du fémur et de la rotule, est connue comme étant l'articulation la plus complexe du corps humain, et la stabilité de cette articulation dépend des ligaments qui l'entourent pour renforcer l'articulation en raison de la minceur de la capsule articulaire.
Il est indéniable que la principale cause d'invalidité chez de nombreuses personnes d'âge moyen ou avancé est l'arthrose du genou, qui est à l'origine d'environ 85 % des arthroplasties totales du genou.

Chaque personne normale possède cinq vertèbres lombaires, qui sont disposées ensemble selon une forme similaire à celle d'un rein. La soi-disant hernie discale lombaire est en fait une lésion dégénérative du disque lombaire, qui comprime, écrase et irrite les racines nerveuses de la colonne vertébrale adjacente. C'est la raison fondamentale pour laquelle certaines personnes ne peuvent pas comprendre comment le problème des vertèbres lombaires empêche les gens de se tenir debout.
Les blessures aiguës peuvent également entraîner des modifications dégénératives de la colonne lombaire, ce qui explique que certains jeunes ne travaillent que quelques années sur des chantiers de construction avant d'avoir une hernie discale grave dans la colonne lombaire.

En résumé, notre corps est comme n'importe quelle autre machine, tous les organes qui fonctionnent dans notre corps ont également une durée de vie limitée, et des organes comme les articulations du genou durent généralement 60 ou 70 ans dans des conditions normales d'utilisation.
Si certaines personnes ne sont pas encore assez âgées pour développer des problèmes importants au niveau du genou et de la colonne lombaire, et plus encore si leurs douleurs intenses affectent sérieusement leur qualité de vie, c'est avant tout parce que l'intensité de l'utilisation de ces organes au cours des années précédentes est supérieure à leur seuil de tolérance.

Qu'il s'agisse de la vie ordinaire telle que nous la percevons ou de formes de vie particulières comme la Terre, le système solaire ou même l'univers, nous avons tous notre propre cycle de vie établi au cours duquel nous passons par différentes étapes, et il en va de même pour les organes de notre corps.
Bien que l'immortalité ait été la quête des êtres humains depuis l'Antiquité, l'espérance de vie moyenne des êtres humains a également augmenté, passant d'environ 40 ans dans le passé à 70 ou 80 ans aujourd'hui. Cependant, à l'heure actuelle, nous ne pouvons que ralentir le processus de vieillissement par certaines mesures, mais pas arrêter fondamentalement l'apparition et la poursuite du vieillissement.

La fin du vieillissement est la mort, et de l'autre côté de la mort se trouve une nouvelle vie, et le processus long et court du vieillissement commence lorsque l'être humain n'est encore qu'un œuf fécondé. Bien que la vie sur terre soit toujours accompagnée de naissance et de mort semaine après semaine, nous ne vivons tous qu'une seule fois, et aucun des problèmes des organes du corps mentionnés ci-dessus ne peut être guéri, et l'effet de la prévention est bien plus important que le degré de soulagement obtenu par le traitement.
Par conséquent, il est vrai que le vieillissement est inévitable, mais pour pouvoir vieillir un jour, nous devons utiliser nos organes corporels à bon escient. Après tout, une qualité de vie élevée ne peut que nous apporter une meilleure expérience de la vie, plutôt que de penser d'abord à gagner suffisamment d'argent, puis à prendre sa retraite avec de l'argent.
"Les personnes âgées vieillissent avant leurs jambes", il n'y a rien de mal à cela !

Dans notre vie quotidienne, qu'il s'agisse de marcher, de courir, de se promener ou de travailler, où se situe l'action qui n'utilise pas nos jambes ?Après tout, nous sommes des êtres de chair mortelle, et non des corps d'acierComment est-il possible que les articulations ne s'usent pas avec l'âge après des années d'utilisation ? Même les roulements en acier présentent des trous de sable à l'usage, n'est-ce pas ?
Quels sont les problèmes qui peuvent survenir dans les articulations avec l'âge ?
En effet, avec l'âge, les articulations sont les plus sujettes à des problèmes qui sontUsure du cartilage intra-articulaireLa surface de nos articulations est recouverte d'une couche de structure très importante, le cartilage articulaire, qui est formé de cartilage hyalin. Cette couche de cartilage articulaire est pleine d'élasticité, et la surface est particulièrement lisse, le coefficient de frottement est très faible, de sorte que le cartilage articulaire, lisse et plein d'élasticité, joue un rôle très important dans la protection de nos articulations.Grâce à sa présence, nous courons et sautons et les processus de flexion et d'extension des articulations amortiront l'impact de la force, réduiront la friction et nous empêcheront de subir une collision directe os contre os dans le cadre de l'exercice.。
Cependant, comme nous l'utilisons pendant des périodes plus longues, la probabilité d'une usure du cartilage articulaire augmente avec l'âge, ce qui peut être dû aux facteurs suivantscontre-indicationIl est possible que cela soit dû au fait quele surmenage et la surutilisation.Elle peut également être due àLes facteurs génétiques et le poidscontribuent à l'usure du cartilage articulaire.

Lorsque le cartilage des articulations est usé dans une moindre mesure, le patient ne ressent rien, mais au fur et à mesure que le cartilage s'use de plus en plus sérieusement, l'étendue devient de plus en plus grande, l'épaisseur de l'usure devient de plus en plus grande, alors nos articulations dans le processus de flexion, d'extension et d'activité, la pression entre les os augmente, notre corps afin de mieux réduire la pression sur les articulations entre les os et les os, afin de mieux réduire la pression sur les articulations entre les os, le cartilage est usé de plus en plus gravement, l'épaisseur de l'usure devient de plus en plus grande.trouveront des moyens d'augmenter la taille de l'os, puis des ostéophytes commenceront à apparaître, l'hypertrophie osseuseLa naissance d'une période relativement courte ne produira aucun symptôme, mais si elle est de plus en plus importante, elle affectera de plus en plus la fonction des articulations du patient, ce qui aura pour conséquence que les patients voudront s'accroupir et ne pourront pas descendre, qu'ils voudront plier les jambes et ne pourront pas les plier en position normale, que certains patients apparaîtront également comme de sérieux obstacles au redressement, la situation ci-dessus est très courante chez les personnes âgées, nous l'appelons le "syndrome de l'accroupissement".L'arthrose, dont des études ont montré qu'elle touche 50 % des personnes âgées de plus de 65 ans.。

Lorsque le cartilage s'use de plus en plus, sa surface devient très rugueuse et, à certains endroits, il peut même y avoir des fissures, tout comme le papier peint de nos maisons se décolle lorsqu'il est imbibé d'eau, et des frottements se produisent alors lors des activités de flexion et d'extension de l'articulation.Dans les cas les plus graves, le patient peut entendre un bruit de frottement lorsqu'il fléchit ou étend ses articulations en pleine nuit.。

En outre, lorsque le cartilage des articulations s'use, l'inflammation synoviale des articulations peut également se produire.Elle provoque chez de nombreux patients des douleurs articulaires, une accumulation de liquide dans les articulations.。
● Certains d'entre vous peuvent se demander : " Alors pourquoi les personnes âgées souffrant de ces problèmes ne peuvent-elles pas s'accroupir et ne peuvent-elles pas se relever lorsqu'elles s'accroupissent ? ".Cela est principalement dû au fait que les articulations de nos genoux sont très tendues lorsque nous nous accroupissons. Cela est principalement dû au fait que les articulations de nos genoux sont très tendues lorsque nous nous accroupissons, l'ensemble du muscle est très tendu, la pression supportée par les articulations augmente également de manière significative, la douleur devient naturellement de plus en plus évidente, et de nombreuses personnes âgées souffrent de douleurs articulaires depuis de longues années.Atrophie musculaire importanteSi vous essayez de vous relever après vous être accroupi, vous devrez non seulement supporter la douleur, mais vous aurez également des difficultés à vous relever en raison de votre faiblesse.

Que doit faire une personne âgée lorsque l'une de ces situations se présente ?
Les personnes âgées souffrant de ces affections doivent d'abord être examinées en conséquence.établir un diagnostic définitifD'une manière générale, nous recommandons aux personnes âgées de s'engager dans un certain nombre d'activités.les tests de laboratoire.Par exemple, des tests rhumatologiques pour exclure l'arthrite goutteuse, le rhumatisme ou la polyarthrite rhumatoïde. Ensuite, en fonction de l'état des différentes articulations du vieillard, de l'existence ou non de déformations graves, etc., il faut envisager de lui faire passer une radiographie et un examen magnétique nucléaire :
- L'objectif principal de la radiographie est de déterminer si le patient présente un rétrécissement important de l'espace articulaireLa principale raison de ce rétrécissement est que le cartilage s'est considérablement aminci et que l'espace articulaire naturel est plus étroit. En outre, nous pouvons très bien juger les articulations des personnes âgées à l'aide de radiographies.S'il y a une formation osseuse importante (ostéophytes)qui se forment spécifiquement dans telle ou telle partie du corps, les fonctions qu'elles peuvent affecter chez les personnes âgées, et lesLa formation d'ostéoïdes et le rétrécissement de l'espace articulaire sont les changements les plus classiques de l'arthrose.。

- 而L'objectif principal de l'IRM est de déterminer le degré d'usure du cartilage dans les articulations des personnes âgées, la présence de liquide dans les articulations, la quantité de liquide et l'usure du ménisque dans les articulations.Le test est souvent effectué par un médecin. Souvent, les personnes âgées dont les symptômes ne sont pas particulièrement graves et dont les déformations articulaires ne sont pas particulièrement évidentes se prêtent mieux à ce test, mais il va de soi que les personnes qui en ont la possibilité devraient subir les deux tests.
● Comment doit-on la traiter ?
Pour le traitement de l'arthrose liée à l'âge.Nous avons tendance à utiliser une approche par étapes pour le traitementEn d'autres termes, nous commencerons par des moyens simples, moins coûteux et moins traumatisants pour aider les personnes âgées à contrôler leur état, et si le problème ne peut être résolu par des moyens simples, nous augmenterons progressivement les mesures de traitement pour aider les personnes âgées à résoudre leurs problèmes d'articulation dans la mesure du possible, et cette échelle est la suivante :
- Adaptation psychologique et contrôle du mode de viePour de nombreuses personnes, les personnes âgées, les changements et les symptômes de l'arthrose sont tout à fait normaux, mais certaines personnes âgées ne s'adaptent pas à l'aspect psychologique ne peut pas résister, il y a certaines personnes âgées même apparu à la performance de la dépression, ce n'est pas nécessaire, le vieillissement est très normal, nous apprenons à s'adapter à elle, de faire face à elle, de faire avec elle pour lutter contre elle peut être, si déjà en raison de la maladie est apparu à l'aspect cardiaque des anomalies de la personne âgée a suggéré que, à, consulter un conseiller pour ajuster leur esprit. Consulter un conseiller pour ajuster leur esprit. En outreCertaines personnes âgées pensent qu'elles ne doivent pas faire d'exercice lorsqu'elles souffrent d'arthroseLa maladie a tendance à évoluer lentement une fois qu'elle est apparue, et des exercices appropriés aideront les personnes âgées à renforcer les muscles autour des articulations, à stabiliser les articulations et à améliorer leur mobilité.La marche, la natation et le vélo d'appartement sont tous plus efficaces les uns que les autres.L'exercice est adapté aux personnes souffrant d'arthrose liée à l'âge.

- Pommade anti-inflammatoire et analgésique non stéroïdienne topiquePour les personnes âgées souffrant d'arthrose du genou ou d'autres articulations superficielles, les analgésiques anti-inflammatoires non stéroïdiens topiques constituent un meilleur choix, et des études ont montré que les analgésiques topiques ont le même effet que les médicaments oraux à long terme. De plus, ils permettent d'éviter les risques cardiovasculaires et les lésions de la muqueuse gastrique que les médicaments oraux à long terme peuvent provoquer chez les personnes âgées.
- Physiothérapie et médecine intérieureCertains traitements de physiothérapie destinés aux patients souffrant d'arthrose à un stade précoce ou moyen peuvent également contribuer à soulager la douleur et à contrôler les symptômes.thérapie par micro-ondesPar exemplestimulation électrique transcutanée des nerfsetc. Les traitements d'acupuncture et les remèdes à base de plantes peuvent également contribuer à soulager les symptômes chez les personnes âgées.
- ammoniaque orale (médicament)La glucosamine : La question de savoir si la glucosamine peut aider les personnes âgées à soigner leurs articulations fait l'objet d'une controverse, certains pays la déconseillant, d'autres la recommandant.Personnellement, je suggérerais d'essayer la glucosamine par voie orale,Pendant trois mois environ.S'il peut aider les patients à contrôler les symptômes et à réduire la douleur, vous pouvez insister pour le prendre s'il ne fonctionne pas et l'arrêter à temps. Parce qu'en clinique, nous rencontrons des personnes âgées, le sucre ammoniacal oral après que les symptômes ont été significativement soulagés, alors nous devons essayer.
- Injection intra-articulaire de vitrate de sodium, prp.. Le vitrate de sodium, également connu sous le nom de hyaluronate de sodium, est une substance intrinsèquement présente dans les articulations du genou. Il existe deux types de vitrate de sodium : le vitrate endogène, qui est produit par notre propre corps, et le vitrate exogène, qui est administré sous forme de supplément. Avec l'âge, l'usure du cartilage articulaire, la capacité de l'articulation à sécréter du hyaluronate de sodium a considérablement diminué, nous pouvons alors donner au patient un traitement par supplémentation exogène.Ce médicament agit non seulement comme un lubrifiant mécanique, mais il contrôle également l'inflammationIl favorise la réparation du cartilage et des lésions musculo-squelettiques.Ce traitement est effectué une fois par semaine, 4 à 5 fois pour une cure, pour les patients souffrant d'arthrose précoce ou intermédiaire, il peut être contrôlé à partir de 8 mois à un mois de résultats.. Il est également possible d'envisager des injections intra-articulaires de facteur plasmatique riche en plaquettes, ou prp, qui est une technique thérapeutique apparue ces dernières années.

- traitement chirurgicalDans le passé, pour les patients souffrant d'une arthrose avancée plus sévère, nous procédions généralement à une intervention chirurgicale.Remplacement total de la surface du genou (hanche)En d'autres termes, la surface cartilagineuse usée est remplacée par une surface métallique, ce qui est similaire au processus de remplacement d'une prothèse dentaire par un appareil dentaire, et la surface cartilagineuse usée est remplacée par une surface métallique. Cette procédure est relativement plus invasive et certains patients ont tendance à avoir une usure plus importante du cartilage d'un côté de l'articulation, par exemple, le côté médial ou latéral est très usé, il est donc très pénible de devoir remplacer la partie la moins usée par une prothèse totale du genou. Par conséquent, de nos jours, nous préconisons également des traitements épargnant le genou, qui peuvent être effectués par ostéotomie et traitement orthopédique, ou par un remplacement d'un seul compartiment, afin d'essayer d'aider les patients les plus sévères à résoudre leurs problèmes. Le problème peut être résolu par l'ostéotomie et le traitement orthopédique, ou par le remplacement d'un seul compartiment. Bien entendu, le remplacement total de l'articulation est nécessaire pour les patients souffrant d'une arthrose avancée et particulièrement grave.

C'est avant tout pour lesUne petite introduction à la thérapie par étapes pour les patients souffrant d'arthroseNous devons souvent prendre d'abord des mesures simples et moins coûteuses, puis choisir des mesures relativement plus traumatisantes pour aider les patients à contrôler leurs symptômes, et s'ils ne trouvent toujours pas de soulagement, il se peut qu'ils doivent finalement subir une opération chirurgicale pour les aider à résoudre leurs problèmes.
résumés
Il est important que les patients souffrant d'arthrose comprennent que la maladie peut être complètement guérie si les symptômes du patient atteignent un stade avancé, ce qui signifie que l'arthroplastie peut aider le patient à résoudre complètement le problème.
Mais après tout, cette mesure comporte un certain risque, et le coût et le traumatisme de l'opération sont relativement élevés, de sorte que de nombreux patients ne choisissent pas cette mesure thérapeutique.
Et pour les personnes souffrant d'arthrose qui veulent vraiment essayer de l'éviter, en subissant une intervention chirurgicale pour résoudre le problème.Il est important de parler à votre médecin dès que vos articulations présentent des symptômes et de chercher de l'aide auprès de votre médecin le plus tôt possible.Plus le traitement est précoce, meilleurs seront les résultats et plus il sera simple, moins coûteux et moins traumatisant de contenir le problème et de ne pas laisser la maladie progresser à un stade avancé.
Si vous avez d'autres doutes, vous pouvez laisser un commentaire ci-dessous pour en discuter.
Je suis Xie Xinhui qui insiste sur l'utilisation d'un langage simple pour expliquer la connaissance de maladies complexes, il n'est pas facile à coder, si vous êtes d'accord avec mon point de vue, s'il vous plaît aidez à pointer une préoccupation ou cliquez sur un like, si vous ou votre famille et vos amis sont également troublés par cela, s'il vous plaît transmettez cet article au besoin d'entre eux, merci !

(Les symptômes articulaires chez les personnes âgées sont dus à de nombreuses maladies, dont l'arthrose est la plus courante. Limité par l'espace, le Dr Xie se contente d'une introduction détaillée sur l'arthrose ; les problèmes spécifiques des personnes âgées peuvent également être traités à l'hôpital par des professionnels de la santé ; cet article est uniquement destiné à la science et n'a pas valeur de diagnostic ou de traitement ; une partie de l'image provient du réseau de suppression de la violation des droits d'auteur).
La médecine considère ce phénomène comme une dégénérescence, et je pense que la première manifestation de ce phénomène est une série de symptômes déclenchés par la perte de collagène et la libération de calcium osseux dans la circulation sanguine.
Pourquoi les personnes âgées ont-elles mal aux jambes ? Les personnes âgées ne sont pas les seules à avoir mal aux jambes. Les lésions et l'inconfort se produisent dans toutes les parties du corps. C'est une loi de la nature. Les paysans de la campagne, depuis l'ancienne société jusqu'à l'époque de la réforme et de l'ouverture, avaient un dicton célèbre : "Les gens vivent jusqu'à 60 ans. "Les gens vivent jusqu'à 60 ans. Cinq ans, sept jours en juin, huit heures. Lorsque les gens vivent jusqu'à un certain âge, ils doivent mourir naturellement. Et la mort accidentelle. Ce n'est pas selon la volonté des gens qu'ils peuvent être transférés. Par conséquent, la croissance est le début de la mort, et la mort est la fin de la croissance. La mort est la victoire de la loi naturelle. À l'heure actuelle, on apprend que l'espérance de vie moyenne des Chinois est supérieure à 70 ans. C'est le résultat de l'amélioration du niveau de vie et de la réduction du travail physique. C'est aussi le fruit du système socialiste et du développement de la science et de la technologie. Le corps humain est comme un ordinateur et une machine. Le cerveau est le commandant et les yeux sont les éclaireurs. Les mains et les pieds sont les véhicules de transport. Les vaisseaux sanguins sont les lignes de chemin de fer qui mènent dans toutes les directions. Il est temps de travailler. Le système digestif affamé rend compte au commandement. Le commandement dirige les éclaireurs. Cherchez et trouvez de la nourriture. Les éclaireurs la trouvent, font rapport au commandement, qui ordonne aux jambes et aux mains d'aller prendre la nourriture et de la manger dans leur bouche. Le commandement n'ordonne pas aux dents et aux organes de faire le travail. Enfin, la diarrhée. Des problèmes dans l'un ou l'autre de ces organes ou départements affecteront la santé de l'ensemble du corps. Les personnes âgées, presque jusqu'au rouge soleil couchant ou déjà jusqu'au rouge soleil couchant, les parties du corps passent certainement du plus petit au plus grand, de lésions et d'affections légères au plus lourdes. Et finalement jusqu'à la mort.
Merci ! De nombreuses personnes âgées souffrent de douleurs au dos et aux jambes. Il s'agit d'un phénomène très courant, dont la cause est principalement due à des changements dégénératifs.
Nous devons comprendre qu'en fait, le corps humain et la machine sont très similaires, le fonctionnement de la machine après un certain temps sera également vieillissant et défaillant, le même corps humain subira également de tels changements, comme nos os, bien que nous ne pensions généralement pas qu'ils auront une existence particulière, mais nous marchons tous les jours, le comportement, tout le temps dans l'usure des os, si nous disons un peu plus profondément, c'est-à-dire, tout le temps dans l'usure des tissus mous, tels que le ménisque ou les disques. Par exemple, le ménisque ou les disques intervertébraux.
Lorsque nous sommes jeunes, notre corps a une très forte capacité de réparation, ou aura une très forte capacité de compensation, un petit dommage léger, ne pensez pas que c'est une question de fait, un petit dommage lourd peut également être récupéré, mais une fois que nous vieillissons, la capacité de notre corps à réparer ou à compenser sera sérieusement réduite.
Dans ce cas, si nous maintenons la même intensité de travail que dans notre jeunesse, nous causerons inévitablement des dommages plus graves aux os et aux cartilages. Cela stimulera alors la formation d'une inflammation chronique stérile et, à terme, de douleurs.
Il faut aussi comprendre un concept, le cartilage est incapable de se régénérer, maintenant beaucoup de concepts qui peuvent réparer le cartilage nutritionnel du cartilage en fait, cela n'a aucune base scientifique.
Ce à quoi nous devons veiller dans notre vie quotidienne, c'est à protéger notre propre cartilage et nos os, et à ne jamais les détruire à notre guise.
Faites attention à votre posture.
Je vous souhaite une bonne santé !
Si vous avez des questions, vous pouvez cliquer sur la page d'accueil personnelle et demander des conseils en bas de page. Nous vous invitons à aimer, à commenter, à faire suivre, à prêter attention, à vous faire comprendre le monde réel de la neurochirurgie (chirurgie du cerveau). (Pour un traitement raisonnable et légal des maladies, veuillez choisir les canaux habituels)
L'âge doit vieillir, mais le corps ne doit pas souffrir ici et là. Il s'agit de blessures causées par l'homme. Elles sont le résultat de l'effort, du travail, d'une vie frugale, de la maladie, etc.
La génération précédente travaillait comme bœuf et comme cheval, mangeait la nourriture des porcs et des chiens, fuyait la famine, mendiait de la nourriture, travaillait comme esclave et, dans sa vieillesse, était malade et passait ses journées comme si elle était âgée de plusieurs années.
Les articulations des jambes sont soumises à une exposition prolongée au vent pendant la vieillesse, ce qui les rend immobiles.
Les articulations sont très usées et ne sont pas protégées par les soins de santé habituels.
Selon la connaissance que l'exercice du matin beaucoup ne sont pas hors du soleil a commencé à exercer le corps. Selon les experts, l'exercice du matin devrait attendre que le soleil se lève, puis sortir pour faire de l'exercice est le meilleur, parce que la température du corps humain et le soleil sort pour réduire la température du climat et la température du corps humain est proche.
Cette période est la meilleure. En vieillissant, il ne faut donc pas faire de l'exercice à l'aveuglette, il faut respecter un "degré", garder un bon "degré" permet de maintenir les articulations et de réduire la perte d'articulations.
"Les personnes âgées perdent d'abord leurs jambes et leurs pieds".Les jeunes n'entretiennent pas bien leurs jambes, les blessures dues au sport et à l'exercice, l'usure du cartilage du genou augmentent, ce qui explique les douleurs dans les jambes chez les personnes plus âgées.L'âge des organes du corps vieillit lentement, c'est la loi de la nature, pourquoi le corps humain a-t-il autant d'organes, au profit des jambes et des pieds qui vieillissent en premier ?(Note : Le contenu suivant ne représente que les opinions personnelles de l'auteur, à titre de référence uniquement ; en cas de questions professionnelles liées à la santé, veuillez consulter les experts et les médecins compétents).

Bonjour, je suis un blanc sportif, j'aime jouer au badminton et courir, mais j'ai aussi rencontré beaucoup de joueurs de badminton d'âge moyen et vieux, non seulement les jambes et les pieds sont engourdis, mais jouer la balle est aussi un tigre, ce qui n'est pas du tout exagéré."Les personnes âgées ont les jambes et les pieds qui déclinent en premier", bien qu'il s'agisse d'une loi de la nature, un exercice et un entretien raisonnables peuvent largement ralentir la vitesse du vieillissement.On voit partout des personnes de 50 ou 60 ans jouer au badminton. Je voudrais partager mon opinion sur la question de savoir pourquoi les personnes âgées souffrent de douleurs aux jambes.

Pourquoi les personnes âgées souffrent-elles de douleurs dans les jambes ? Je pense qu'il y a plusieurs raisons principales.
Douleurs dans les jambes et les pieds dues à des maladies sous-jacentes
Les douleurs aux jambes et aux pieds des personnes âgées sont en grande partie dues à leurs propres affections sous-jacentes, telles que les douleurs articulaires dans les mains et les pieds dues à la goutte, ou le pied diabétique et l'arthrite dus au diabète.Ces maladies sous-jacentes sont déclenchées par une longue période d'irrégularité dans la vie normale sans se concentrer sur le régime alimentaire et l'exercice.


Les personnes souffrant de ces affections sous-jacentes sont condamnées à avoir l'un ou l'autre problème au niveau des jambes, de façon plus ou moins prononcée, au fur et à mesure qu'elles avancent en âge.

Usure de l'articulation du genou
L'articulation du genou est l'un des organes les plus spéciaux et les plus complexes du corps humain. Le cartilage du genou est responsable de la lubrification et de l'amortissement lorsque le corps marche ou court, mais le cartilage du genou est également responsable de la lubrification et de l'amortissement lorsque le corps marche ou court.L'usure du cartilage est irréversible.L'usure de l'articulation du genou est en fait l'usure du cartilage du genou.

La marche normale, la course, la montée et la descente des escaliers et l'exercice physique provoquent tous une usure du cartilage, mais les différentes méthodes d'exercice l'usent à un degré différent, plus ou moins important.Le cartilage s'use et se déchire constamment avec le temps et l'âge.Une fois le cartilage usé, l'articulation du genou perd sa lubrification et sa protection amortissante et est soumise à un port de poids et à des contraintes plus importants.

L'usure normale de l'articulation du genou est un processus lent, mais avec l'âge l'usure s'accentue peu à peu, c'est un processus naturel, mais certaines conditions peuvent exacerber l'usure du cartilage du genou au point de provoquer des douleurs dans la jambe en vieillissant, quelles conditions peuvent exacerber l'usure du cartilage ?
- surcharge pondérale

- L'inactivité prolongée empêche l'articulation du genou d'absorber suffisamment de nutriments.

- Exercice physique intense (sur-exercice)
- Ne pas se concentrer sur la force musculaire des jambes

C'est une loi de la nature que les jambes soient les premières à vieillir au fur et à mesure que les articulations du corps vieillissent.
Comme le dit le proverbe, "quand on vieillit, ce sont les jambes qui vieillissent en premier".C'est la loi de la nature, mais aussi un processus de vieillissement naturel du corps humain. Pourquoi les jambes sont-elles les premières à vieillir ? Je pense qu'il y a plusieurs raisons :
- Les jambes sont les organes les plus éloignés de l'approvisionnement en sang et en oxygène du cœur. Avec l'âge, la capacité du cœur à fournir du sang diminue, ce qui affecte d'abord les jambes et les pieds.
- Avec l'âge, ostéoporose, perte de calcium osseux, diminution de la densité osseuse
- Manque d'entretien des jambes et des pieds en général, comment les entretenir ?

Comment prendre soin de ses jambes et de ses pieds pour éviter les douleurs aux jambes avec l'âge ?
Maintenant que nous savons que les jambes et les pieds sont les premiers à vieillir, nous devons en prendre soin pour ralentir le processus de vieillissement et prévenir les douleurs dans les jambes et les pieds.
- Exercice approprié :
L'exercice est le meilleur produit d'entretien, les articulations du corps humain sont comme des machines, une longue période sans exercice sera "rouillée", les articulations ne peuvent pas absorber les nutriments, ce qui entraîne de l'arthrite, des douleurs au genou et d'autres problèmes. Les exercices recommandés sont : le jogging, la marche, l'équitation, etc.

- Genou, jambe, pied部de soins :
Les méridiens des jambes et de la plante des pieds peuvent être reliés aux organes de l'ensemble du corps, de sorte que vous pouvez généralement effectuer des massages des jambes et des pieds, ainsi que des bains de pieds. Pour l'articulation du genou, on peut généralement s'accroupir profondément, en s'accroupissant contre le mur pour favoriser la sécrétion du liquide articulaire du genou, ce qui peut jouer un rôle dans la lubrification et l'alimentation du genou.


- Compléments nutritionnels appropriés :
Avec l'âge, le corps perd progressivement du calcium, l'ostéoporose, la diminution de la densité osseuse et d'autres problèmes. Vous pouvez ajouter du calcium à votre régime alimentaire habituel, comme le lait, les œufs, les fruits et légumes frais, afin d'assurer une alimentation équilibrée. Vous pouvez prendre des comprimés de calcium, de la chondroïtine et d'autres produits d'entretien.


En résumé, il faut toujours se concentrer sur les jambes et les pieds quand on est jeune !
"Le monde est si grand que je veux le voir.Lorsque l'on est jeune et occupé au travail, ce n'est qu'après la retraite que l'on commence à vraiment profiter de la vie, comment peut-on réaliser tout cela sans un bon corps et de bonnes jambes et de bons pieds. Ne laissons pas l'idée des "vieilles jambes et des vieux pieds d'abord" devenir une pierre d'achoppement à notre progrès. Lorsque l'on est jeune, il faut veiller à son propre entretien, en particulier à celui de ses jambes et de ses pieds.La vie, c'est le mouvement.L'exercice approprié, le régime alimentaire et un programme régulier sont ce qui vous permettra de rester en bonne santé et d'avoir un corps sain et en bonne santé dans votre vieillesse pour le reste de votre vie. Je suis Xiaobai, je partage le sport, la vie heureuse et le contenu positif, j'aime aimer l'attention pour la partager ! (L'image dans le texte provient du réseau, de l'érosion et de la suppression)

Auteur : littéraire et arts martiaux
Les jambes sont chargées de porter le poids de l'ensemble du corps et, en raison de cette charge quotidienne, elles sont sujettes à l'usure et au vieillissement.
Ces questions et réponses proviennent des utilisateurs du site, elles ne représentent pas la position du site, s'il y a une infraction, veuillez contacter l'administrateur pour la supprimer.