Quelles sont les causes des lèvres sèches, craquelées et qui pèlent ?
Quelles sont les causes des lèvres sèches, craquelées et qui pèlent ?
En automne et en hiver, les lèvres sèches et crevassées sont très fréquentes. Dans notre département, les médecins consultent souvent à cause d'un nombre particulièrement élevé de mots, sans avoir le temps de réhydrater les lèvres sèches et crevassées.
En fait, il y a deux raisons pour lesquelles les lèvres sont sèches et craquelées, d'une part, le corps est extrêmement déshydraté, d'autre part, le corps manque de vitamines, l'analyse détaillée suivante avec vous :
Êtes-vous capable de boire huit verres d'eau par jour ? Êtes-vous capable de manger 300 grammes ou 500 grammes de légumes par jour ? Mangez-vous des céréales et des grains grossiers tous les jours ? En fait, ce sont les facteurs directs qui affectent les lèvres sèches et craquelées et la peau qui pèle.
Buvez suffisamment d'eau.
En automne et en hiver surtout, nous devons boire beaucoup d'eau, car l'air est particulièrement sec en automne et en hiver, de sorte que la surface de notre peau absorbe la plus grande partie de l'eau, certaines personnes constateront qu'en cette saison, notre visage pèle également, le principe est le même, nous buvons donc de plus en plus d'eau en semaine, au moins huit tasses d'eau, 1600 à 1700 ml, si les reins ne posent pas de questions, c'est tout à fait correct ! Buvez jusqu'à 2000 ml, lorsque vous êtes bien hydraté, vous constaterez peu à peu que les lèvres ne sont pas sèches et craquelées.
Il y a suffisamment de nourriture.
Dans notre vie quotidienne, en raison de différences spécifiques au régime alimentaire, de nombreuses personnes n'aiment pas manger des légumes à feuilles vertes, ce qui entraîne un manque de vitamines, et certaines des vitamines sont souvent associées à la peau, il y a une relation directe, donc nous ne faisons pas la fine bouche sur ce que nous mangeons, ne faisons pas de favoritisme, les légumes verts devraient être consommés à 300 à 500 grammes environ, vous pouvez être plus, mais pas moins, la façon dont les légumes sont cuits, il est recommandé de choisir de cuire à la vapeur, de bouillir et de braiser, il n'est pas recommandé de faire frire ! La cuisson et la friture ne sont pas recommandées.
des cultures vivrières abondantes
Mangez de petites choses fraîches, ici pour insister avec vous, nous n'avons pas besoin de manger du riz blanc tous les jours, du pain blanc si simple, vous pouvez manger quelques céréales et grains grossiers, dit céréales et grains grossiers, beaucoup de gens penseront, n'est-ce pas de manger de la moustache de maïs ou de la galette de maïs ah ? Bien sûr, il y en a beaucoup, y compris le sarrasin, l'avoine, les haricots rouges, les haricots mungo, ce sont des céréales secondaires.
En faisant tous ces points, je peux vous assurer que vos lèvres sèches et gercées sont complètement résolues, en plus d'adopter un bon régime alimentaire.
Profil de l'auteur : Gao Shuang
Diététicien ambulatoire en milieu hospitalier
Technicien(ne) diététicien(ne) agréé(e) au niveau national (DRT)
Membre de la Société chinoise de nutrition
Nutritionniste public de niveau national 2
Gestionnaire de santé de niveau national 3
L'auteur dédicacé de Today's Headline Health Q&A
Les bénéficiaires de la phase 8 du "Programme de récompenses" à la une aujourd'hui

Les lèvres sèches, craquelées et qui pèlent sont une maladie bucco-dentaire très répandue dans la population. En médecine bucco-dentaire, elle est également connue sous le nom de lipite.
Qu'est-ce que la lipite ?
La principale manifestation de l'infection des lèvres sèches et craquelées, de la peau qui pèle, de l'ulcération de la muqueuse, est de deux sortes : aiguë et chronique. La lipite sévère entraîne des difficultés à ouvrir la bouche, la lipite est souvent récurrente, l'ulcération n'est pas facile à améliorer.

Quelles sont les principales causes de la lipite ?
À ce jour, les causes de la lipite ne sont pas très claires, mais elles sont généralement liées à l'exposition au soleil, au climat sec, à l'irritation locale, à l'irritation épicée, aux allergies cosmétiques, aux réactions médicamenteuses, aux infections virales et aux facteurs psychiatriques.
Selon la classification de la labyrinthite, les causes fondamentales sont les suivantes.
1. la lipite chronique.
Elle est surtout fréquente chez les enfants et les adolescents et est associée à une stimulation persistante à long terme par des facteurs thermiques, chimiques et mécaniques, tels que le climat sec, le soleil et le vent, le fait de fumer et de boire, d'aimer les aliments chauds, de se lécher et de se mordre les lèvres avec la langue, ainsi que d'autres mauvaises habitudes et comportements. Certains sont associés à des facteurs psychiatriques tels que l'anxiété, la dépression et l'irritabilité.

2. la lipite induite par la photographie et les produits chimiques.
Ce type de lipite peut être lié à l'hygiène bucco-dentaire, aux aliments irritants, au dentifrice, au rouge à lèvres, aux traumatismes et au tabagisme excessif ; il est également directement lié à l'exposition aux rayons ultraviolets.
3. la lipite allergique.
Exposition à des substances allergènes, comme certains enfants sont allergiques aux fruits de mer (poisson, crevettes), aux œufs, au lait. Allergie au rouge à lèvres, aux infections bactériennes, aux sulfamides, des substances qui peuvent ne pas être irritantes mais qui sont en fait allergisantes.

4. causée par d'autres maladies.
On a constaté que certaines infections labiales sont associées à des maladies endocriniennes telles que le diabète sucré, à des hémangiomes labiaux, à des prothèses dentaires et à des facteurs génétiques.
À quoi dois-je faire attention dans ma vie quotidienne avec la lipite ?
1, tout d'abord, faire attention à l'hygiène bucco-dentaire, chaque jour avant et après les repas pour se rincer la bouche, pour garder la cavité buccale propre et hygiénique, afin d'éviter les infections.

2, veiller quotidiennement à minimiser l'utilisation de certains aliments suspects, de rouge à lèvres et de médicaments, en particulier les allergies, interdire le tabac et l'alcool, réduire le contact avec des protéines étrangères telles que les fruits de mer.

3, l'enfant doit changer ses mauvaises habitudes de se lécher et de se mordre les lèvres. Boire plus d'eau, ne pas attendre d'avoir la bouche sèche pour boire de l'eau, manger généralement plus de légumes et de fruits, compléter les vitamines, manger moins d'aliments épicés et stimulants.

4, éviter le soleil, le vent et la stimulation par le froid, le climat hivernal sec et froid, veiller à l'hydratation des lèvres.
En automne et en hiver, le phénomène des lèvres sèches, craquelées et qui pèlent est très fréquent, et la recherche médicale moderne l'attribue à un manque de multivitamines. Nous analyserons ici les causes des lèvres sèches, craquelées et qui pèlent du point de vue de la médecine chinoise.
1. en rapport avec la rate
Selon la médecine chinoise, la rate "s'ouvre dans la bouche, son Hua dans les lèvres", c'est-à-dire que les lèvres et la relation entre les organes internes les plus importants sont la rate. Les lèvres sont comme la rate externe. Pour savoir si la fonction de transport d'une personne est bonne, il suffit de regarder ses lèvres. C'est également le principe "regarder, sentir, demander, couper" de la médecine chinoise. Si le yin de la rate est insuffisant, le liquide produit par la rate sera insuffisant, et même si l'on boit beaucoup d'eau, elle ne sera pas absorbée par le liquide corporel. En outre, un qi de la rate insuffisant empêchera les fluides biochimiques de s'écouler correctement vers toutes les parties du corps, ce qui entraînera une sécheresse des lèvres. Dans le même temps, cet état entraîne une plus grande humidité dans le corps. Le traitement consiste principalement à tonifier la rate. Il existe une bonne plante appelée igname, qui peut nourrir le yin de la rate et tonifier le qi de la rate (un article sur la fonction de l'igname a été publié dans l'article précédent, vous pouvez vous y référer).
2. liés à l'estomac et au gros intestin
La relation avec l'estomac et le gros intestin se manifeste principalement par le fait que le méridien de l'estomac et le méridien du gros intestin dans le système méridien humain passent tous deux par les lèvres. Les méridiens de l'estomac et du gros intestin font tous deux partie du méridien yangming, qui est le principal méridien de "séchage" en médecine chinoise. Cela signifie que ces deux méridiens sont sujets à la sécheresse et que si les méridiens sont secs, les lèvres qu'ils traversent le seront naturellement aussi.
3. liés aux poumons
En médecine chinoise, les poumons sont la "source de l'eau" et transportent l'eau dans tout le corps. Parallèlement, "les poumons sont responsables de la peau et des cheveux", et l'épiderme des lèvres fait également partie de la peau. Si les poumons ne fonctionnent pas normalement, ils ne peuvent pas transporter le liquide vers la peau, et les lèvres sont les premières touchées. En outre, chaque automne, le temps est sec à l'origine, ce qui fait que les poumons souffrent de la sécheresse chimique de Jin, ce qui entraîne une desquamation des lèvres sèches et craquelées. Ce phénomène est plus courant, il apparaît ou s'aggrave principalement en automne. À cette époque, vous pouvez utiliser des feuilles de mûrier pour faire tremper de l'eau et la boire pour traiter le problème.
En résumé, voici le point de vue de la médecine chinoise sur les lèvres sèches, craquelées et qui pèlent. Parallèlement, nous devrions également veiller à maintenir un apport hydrique normal dans notre vie quotidienne et à manger davantage de fruits et de légumes.
En ce qui concerne la desquamation des lèvres sèches et craquelées, de nombreuses personnes ont une expérience dans ce domaine, en particulier les lèvres pincées, avec les dents pour les mordre, se sentent particulièrement à l'aise, mais vous mordez peu de temps après et aura, et certains long déchirure profonde assez douloureux ou même des saignements. Alors, cette peau sèche et craquelée qui pèle sur les lèvres, quelle en est la cause ? Et comment y remédier ? Je vais vous donner mon avis.

Jetons un coup d'œil à la microstructure de nos lèvres
En fait, la peau de nos lèvres et de notre bouche est très particulière et se compose principalement de "muscles internes". À l'extérieur se trouve la peau normale du visage et à l'intérieur, la muqueuse buccale. Il n'y a pas de ligne de démarcation évidente entre la peau du visage et la muqueuse buccale, et cette zone de jonction est la zone des lèvres rouges. C'est cette zone que l'on appelle souvent les lèvres de la bouche, et plus précisément la zone rouge labiale. Comparée à la peau d'autres parties du corps, la peau de la bouche est plus fine.La zone de la lèvre rouge a une cuticule beaucoup plus fine et n'a pas d'organes accessoires tels que les follicules pileux, les glandes sébacées, les glandes sudoripares, ni même l'artefact protecteur de base qu'est l'huile, et c'est donc toujours elle qui va mal.
Si vous y réfléchissez, ne pensez-vous pas que nos ongles sont plus enclins à s'écailler et à se ronger ? En fait, c'est aussi lié à la peau qui l'entoure, car elle ne peut pas produire d'huile. Pour en revenir au sujet, la peau de la zone des lèvres rouges présente plusieurs caractéristiques : elle est très fine, et c'est la partie la plus fine de la peau de notre visage. Deuxièmement, elle est rouge, parce qu'il y a d'abondants vaisseaux sanguins sous la peau et qu'elle apparaît donc rouge. Pourquoi, lorsqu'une personne est en détresse respiratoire ou en danger de mort, dira-t-elle que ses lèvres sont cyanosées ? C'est parce qu'elles sont richement irriguées. Le troisième est très sensible.En raison de la finesse de la couche cornée et de la faiblesse de la fonction de barrière, certaines personnes sont sujettes à des malaises après avoir mangé des kiwis, des mangues ou des ananas. Normalement, nos lèvres doivent être rougeâtres et brillantes, sans ecchymoses ni pâleur. La peau est lisse et humide, sans sécheresse, desquamation ou gerçure. Pas de réaction excessive aux stimuli externes.

Analyse des causes des lèvres sèches, craquelées et qui pèlent
En fait, la cause directe de nos lèvres gercées est due à une perte d'eau excessive de la peau, ce qui entraîne une déshydratation sévère et provoque une desquamation, des craquelures et d'autres problèmes. Nombreux sont ceux qui pensent qu'en raison du manque d'eau, je vais boire plus d'eau, mais qu'il n'y a toujours pas d'amélioration. Cette fois-ci, je dois penser à la "vitamine B2 (riboflavine)", qui est une vitamine hydrosoluble, dans laquelle notre peau, la production de cheveux, la réparation des blessures des tissus jouent un très grand rôle. Dans notre organisme, la principale fonction physiologique de cette vitamine B2 est de participer au processus catalytique des enzymes biologiques oxydatives sous forme de coenzymes. De plus, la riboflavine possède des propriétés antimicrobiennes quiElle a pour effet de contribuer à l'inhibition des agents pathogènes microbiens. Par conséquent, une carence en riboflavine affecte l'oxydation biologique de l'organisme, ce qui rend les personnes sensibles à des maladies telles que la glossite, la conjonctivite, la kératite et la dermatite séborrhéique.
● Alors nous les gens normaux aussi longtemps que trois repas par jour régime alimentaire régulier en fait n'est pas trop court de riboflavine, donc pas besoin de compléter délibérément, mais pour certains l'utilisation à long terme des contraceptifs pour les femmes, végétalien, l'apport élevé en sucre (glucides) et d'autres cas est susceptible de causer une carence potentielle en vitamine B2, donc si ce type de cause, vous pouvez cibler le supplément. Ici, il y a un petit malentendu à déchiffrer, certaines personnes dans le cas de lèvres sèches et craquelées qui pèlent aiment lécher ou utiliser la salive pour mouiller, en fait, ce n'est pas bon.En effet, lorsque la salive s'évapore à la surface des lèvres, elle enlève également l'humidité des lèvres elles-mêmes, qui deviennent plus sèches au fur et à mesure que vous vous léchez, ce qui entraîne une sécheresse, des fissures et une desquamation plus importantes des lèvres.

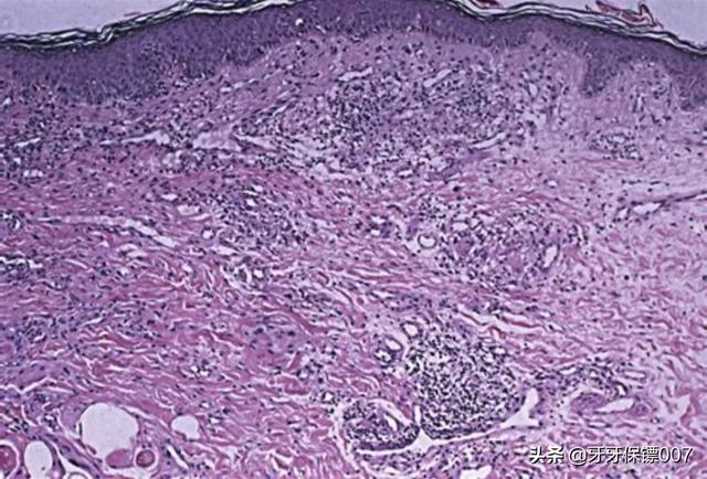
● Les petits problèmes de ce type n'aiment généralement pas aller chez le médecin, sentir les ennuis, donc après hydratation active, baume à lèvres, supplémentation en vitamine B, ainsi que pour améliorer les mauvaises habitudes (lécher les lèvres, mordre les peaux mortes, etc.) n'est toujours pas une amélioration évidente. Dans ce cas, même si vous estimez qu'il est difficile d'aller à l'hôpital pour voir un médecin, vous devez y aller, car je crains qu'il ne s'agisse d'une maladie. L'une des plus pertinentes est la "lipite chronique", une maladie inflammatoire courante qui touche les lèvres rouges, dont la cause est inconnue et qui est susceptible de réapparaître, ce qui rend le traitement clinique plus difficile.En médecine moderne, on considère qu'elle est principalement liée à des anomalies mentales, à des infections virales, à l'hygiène bucco-dentaire, à des carences en micronutriments et à la pose de prothèses dentaires, etc. Elle peut également être une manifestation locale de maladies systémiques, telles que les troubles de la thyroïde et le syndrome sec.
La lipite chronique peut être diagnostiquée à l'œil nu et se manifester cliniquement par des lèvres sèches et squameuses, avec des suintements, des croûtes, une congestion et un œdème au stade aigu. Les patients ressentent des démangeaisons, des brûlures, des fourmis et d'autres désagréments. Il n'existe pas de traitement spécifique pour cette affection.En règle générale, un traitement symptomatique doit être mis en œuvre après avoir éliminé les facteurs déclenchants évidents ou traité les maladies systémiques (telles que le syndrome sec) afin de réduire les symptômes locaux et d'améliorer la qualité de vie des patients. Plus précisément, les préparations de corticostéroïdes topiques (par exemple, la crème Denuded), les immunosuppresseurs, les injections locales d'hormones, la supplémentation en micronutriments et la psychothérapie sont utilisés pour traiter la maladie.

Synthèse globale
Les causes des lèvres gercées sont nombreuses, notamment celles liées au climat, à l'humidité de l'air, à l'alimentation et aux habitudes quotidiennes.Elle doit être considérée de manière globale et, si elle ne guérit pas, elle doit être traitée en temps utile dans un hôpital.Cette réponse ne constitue pas un conseil de traitement médical ou une orientation médicale et est destinée à des fins de science de la santé uniquement. Cet article ne s'inscrit pas dans la rubrique, gratuite, libre à chacun de lire. Puisse-t-il être utile à ceux qui sont induits en erreur par les rumeurs, l'absence de connaissances médicales, les concepts de soins de santé du groupe.... Headline est une plateforme ouverte, tout le monde peut apprendre les uns des autres, discuter les uns avec les autres, s'il y a des points de vue différents, il peut y avoir une zone de commentaires pour parler de leurs propres points de vue. Si vous sentez que vous avez appris à aider, ne soyez pas avare, offrez de l'amour, soulignez un éloge, allez de l'avant pour aider plus de gens, merci pour le soutien.
L'automne et l'hiver sont des saisons sèches, et de nombreuses personnes souffrent de lèvres sèches, craquelées et qui pèlent en raison d'un manque de soins, qui peuvent saigner et piquer dans les cas les plus graves. Parlons donc de ce sujet aujourd'hui : quelles sont les causes des lèvres sèches, craquelées et qui pèlent ? Que dois-je faire si mes lèvres sont craquelées et pèlent ? Lisez la suite et laissez Xiaokang vous donner la réponse dans cet article !

Quelles sont les causes des lèvres sèches, craquelées et qui pèlent ?
1. le manque d'hydratation
Les peaux mortes sur les lèvres, les sécrétions blanches aux coins de la bouche et les lèvres sèches sont autant de signes d'un manque d'hydratation dans l'organisme, ce qui peut conduire à des lèvres sèches et floconneuses. Dans le même temps, le changement de saison affecte également le climat : lorsque le temps devient frais, l'air manque d'humidité, ce qui se répercute sur le corps humain, d'où la sécheresse des lèvres.
2. carence en calcium dans l'organisme
Le corps humain, une fois qu'il manque de vitamine B et de vitamine C, est également susceptible de provoquer une desquamation des lèvres sèches, parce qu'il s'agit d'oligo-éléments essentiels au corps humain, le manque de ces oligo-éléments détruira le micro-équilibre du corps humain, en même temps, ces oligo-éléments et la peau de notre bouche sont étroitement liés au phénomène, ce qui provoque facilement une desquamation des lèvres sèches.
3. la lipite due aux allergies
La lipite est une maladie dont on entend rarement parler dans la vie, mais cela ne signifie pas qu'elle n'existe pas. Certaines personnes ont une faible constitution et sont susceptibles de provoquer des allergies, ce qui a conduit à l'apparition de la lipite.

Que dois-je faire si mes lèvres sont sujettes à la sécheresse et à la desquamation ?
1. hydratation adéquate, suppléments vitaminiques
Le manque d'hydratation dans le corps est l'une des principales raisons pour lesquelles les lèvres s'assèchent et pèlent facilement. Il est donc primordial de se réapprovisionner en eau ; boire de l'eau est bien sûr essentiel, mais c'est aussi un moyen direct de se réapprovisionner en eau ; il faut également veiller à la supplémentation en micronutriments du corps, comme la vitamine B, la vitamine C, etc ;
2. une attention quotidienne à l'alimentation
Les compatriotes dont les lèvres s'assèchent facilement doivent également prêter attention à leur régime alimentaire quotidien. Vous pouvez manger plus de légumes, de fruits, pour aider à reconstituer les vitamines du corps ; essayez de ne pas manger de nourriture épicée, parce que la peau des lèvres est très sensible et très fragile, dans le cas des lèvres sèches qui pèlent, manger de la nourriture épicée stimulera la peau des lèvres, il y aura des rougeurs, mais n'est pas non plus propice à la réparation des peaux mortes ;
3. ne pas se lécher les lèvres, utiliser le baume à lèvres à bon escient
De nombreuses personnes utilisent leur langue pour se lécher les lèvres une fois qu'elles sont sèches, car la salive de la langue humidifiera les lèvres sèches, mais cette pratique n'est pas correcte. Il est généralement recommandé d'utiliser judicieusement un baume à lèvres pour éviter que les lèvres ne s'assèchent et ne s'écaillent.

Les lèvres qui ont tendance à se fissurer et à peler sont un problème mineur qui n'affecte pas la vie. Les compatriotes qui ont tendance à se fissurer et à peler peuvent donc être rassurés : un supplément d'eau et de vitamines peut résoudre ce problème !

Quel est le moyen le plus efficace de réguler la préparation à la grossesse, l'humidité, la déficience rénale, la perte de poids, l'hypertension artérielle, l'hypercholestérolémie, le diabète, les maladies du foie, les maladies de la peau, etc.
Pour en savoir plus, cliquez sur le bouton rouge "Follow" en haut de l'article pour nous suivre !
Kang Aiduo vous fournit chaque jour une variété de connaissances professionnelles et intéressantes sur la santé pour vous aider à briser les rumeurs sur la santé et à vous débarrasser des malentendus sur les médicaments !
Pour plus d'informations sur la santé, cliquez sur "En savoir plus" ci-dessous.
Ne pas lécher avec la langue, ne pas déchirer avec les mains, j'avais une mauvaise habitude, c'est-à-dire que j'aimais lécher mes lèvres, peu importe que ma bouche soit sèche ou non, j'aimais utiliser ma langue pour lécher, les lèvres ne sont pas sèches, il est difficile de lécher les lèvres sèches, plus vous léchez, plus elles sont sèches, et finalement, autour des deux bons amis, afin de changer cette mauvaise habitude, au supermarché pour acheter une grande tasse chaque jour pleine d'eau, obligée de me donner à boire, peu importe si j'ai soif ou non, à tout moment, bien sûr, le plus impitoyable ! Un truc, c'est que tous les deux, dès qu'ils me voient me lécher les lèvres, me frappent dans la bouche ! Un mois ne s'est pas écoulé que cette mauvaise habitude a changé, mais j'ai aussi pris l'habitude de boire de l'eau à tout moment. Désormais, où que j'aille, j'ai l'habitude d'emporter une tasse avec moi. Avant d'aller au lit, vous pouvez appliquer un baume à lèvres, si vous portez du rouge à lèvres, vous pouvez également utiliser le rouge à lèvres pour faire une base, démaquillez-vous avec un démaquillant spécial pour les lèvres et la bouche.
Lorsque le temps se refroidit et que vous passez beaucoup de temps dans des pièces climatisées, certains d'entre vous ont les lèvres sèches, craquelées et qui pèlent, avec même des suintements de sang visibles et une gêne douloureuse. En tant que dentiste, ma réponse est la suivante.Les lèvres sèches, craquelées et qui pèlent, souffrent le plus souvent d'une lipite chronique, ou connue sous le nom de lipite desquamative chronique, causée par plusieurs raisons, telles que de mauvaises habitudes buccales, des infections bactériennes, des facteurs environnementaux.

Qu'y a-t-il de mal à avoir des lèvres sèches, craquelées et qui pèlent ?
Les lèvres sèches et fissurées et la peau qui pèle, il est très probable que cela soit dû à une lipite chronique, principalement dans les lèvres sèches, parfois il y a une peau blanche qui pèle, un moment peut arracher un grand morceau, le traumatisme d'un rouge vif, accompagné d'une douleur évidente. Parfois, les lèvres sont sèches et fissurées, il y a un suintement de sang, la peau se détache après que le tissu nouvellement formé se reforme rapidement. Lorsque les symptômes sont évidents, ils affectent l'alimentation quotidienne et l'ouverture de la bouche, et de petits problèmes peuvent entraîner de grandes difficultés.

Causes courantes de la lipite chronique ?
La labyrinthite chronique a de nombreuses causes et les facteurs cliniques les plus courants sont les suivants.
- Temps sec et froid et exposition prolongée au soleil.
- Mauvaises habitudes bucco-dentaires, comme le fait de pincer souvent les lèvres ou de déchirer la peau de la bouche avec les mains.
- infection bactérienne
- Les dents antérieures supérieures et inférieures forment des moignons pointus qui ont tendance à irriter les lèvres de manière répétée. En outre, de mauvaises restaurations ou des prothèses dentaires trop convexes peuvent entraîner des troubles similaires au niveau des lèvres.

Prise en charge courante de la lipite chronique ?
Les infections chroniques des lèvres sont traitées en fonction des différentes causes. La première chose à faire est de vérifier l'état de la bouche, d'enlever les mauvaises restaurations et les dents pointues, et de corriger les mauvaises habitudes bucco-dentaires. Il est également nécessaire d'éviter l'exposition prolongée au soleil, les stimuli froids, etc. Un rouge à lèvres contenant de la glycérine et de la vaseline peut être appliqué sur les lèvres.
En outre, des antibiotiques et des glucocorticoïdes d'appoint sont nécessaires lorsque les symptômes sont évidents.

résumés
Avec l'arrivée de l'hiver, les lèvres sont souvent exposées à l'air froid, en plus d'un certain nombre d'irritants qui peuvent facilement conduire à la formation d'infections chroniques des lèvres. Ce type de maladie est relativement courant, bien qu'il s'agisse d'un petit problème, il ajoute une certaine gêne à la vie, et même accompagné d'autres infections, la douleur sera évidente. Dans le cas d'une lipite chronique, outre la protection quotidienne, l'utilisation d'antibiotiques et de glucocorticoïdes peut être utilisée pour favoriser la guérison lorsque les symptômes sont évidents.
Dans la vie, de nombreuses personnes sont confrontées à un problème d'exfoliation des lèvres sèches et craquelées. Une fois que les lèvres sont sèches et craquelées, la période d'exfoliation est particulièrement difficile, les lèvres sont chaudes et douloureuses, mais elles sont également très inconfortables. Face aux symptômes de l'épluchage des lèvres sèches et craquelées, il est nécessaire de les comprendre en détail afin de pouvoir les soulager à temps.
Les lèvres sèches, craquelées et qui pèlent sont une affection très courante, et de nombreuses personnes souffrent de ce problème, qui est directement lié aux habitudes quotidiennes des gens ou au temps et au climat. La cause la plus fréquente des lèvres gercées est le manque de vitamines, surtout en hiver en raison du climat froid, les gens n'aiment pas manger de fruits, ce qui entraîne un manque de vitamines dans le corps beaucoup moins, il est sujet au problème des lèvres gercées.
Les jeunes enfants ont également plus de chances de voir leurs lèvres sèches et craquelées peler, principalement parce qu'ils sont difficiles à manger. Lors de la découverte du phénomène de pelage des lèvres sèches et craquelées, les lèvres sont également très sèches, et il convient alors de les compléter par de l'eau, afin que le jus des lèvres redevienne normal et que les lèvres deviennent propres.
Les lèvres sèches et craquelées et la peau qui pèle sont un symptôme de maladie que l'on rencontre souvent en hiver et au printemps, et les lèvres paraissent particulièrement inconfortables lorsque ce type de problème survient. Afin de résoudre ce problème et de permettre aux lèvres de retrouver leur état normal, il est nécessaire de déterminer la cause de la maladie : lèvres sèches et craquelées, desquamation, quelle maladie ?
En fait, les lèvres sèches, craquelées et qui pèlent sont considérées comme une lipite qui, si elle n'est pas traitée à temps, peut facilement évoluer vers une maladie, telle que la lipite chronique. La lipite chronique est facilement récurrente et peut être affectée par la température, l'humidité, les produits chimiques, l'alcool, le tabac et d'autres facteurs ; si le patient a l'habitude de se lécher les lèvres, il aggravera également le problème des lèvres sèches, craquelées et pelées.
Bien entendu, la lipite n'est pas la seule lipite chronique, il existe également la lipite glandulaire, la lipite lymphoproliférative bénigne, la lipite plasmacytoïde, la lipite granulomateuse, la lipite actinique, la lipite allergique, etc. qui peuvent toutes provoquer le symptôme des lèvres sèches, craquelées et qui pèlent. Si vous n'êtes pas sûr de la maladie à l'origine de vos lèvres sèches, craquelées et qui pèlent, vous pouvez vous rendre à l'hôpital pour un examen détaillé afin de confirmer le diagnostic.
Lorsque les lèvres pèlent, les gens utilisent inconsciemment leurs mains pour déchirer la peau. Une fois la peau déchirée, les lèvres peuvent saigner, ce qui est très difficile. Face aux symptômes de la desquamation des lèvres, il faut pouvoir résoudre le problème à temps, sinon cela peut entraîner une inflammation des lèvres et devenir de plus en plus grave. Alors, qu'en est-il des lèvres qui pèlent ?
1, appliquer du miel. Les lèvres sèches et qui pèlent, vous pouvez utiliser un coton-tige trempé dans un peu de miel naturel pour enduire les lèvres, le miel a pour rôle de réparer la peau, mais aussi de pouvoir inhiber les bactéries au-dessus des lèvres, pour éviter que les lèvres ne se cassent et n'aient des problèmes d'infection. Cependant, si vous avez une glycémie élevée, il n'est pas recommandé d'appliquer du miel, vous pouvez choisir d'appliquer de l'huile d'olive ou de l'huile végétale.
2, porter un masque. Si vous sortez souvent, vous devez porter un masque, qui bloque le vent froid, la poussière, etc., afin que les lèvres conservent leur humidité et leur température, ce qui évite d'aggraver le problème de la sécheresse et de la desquamation.
3. Masser davantage les lèvres. Tous les soirs avant de se coucher, pensez à utiliser vos mains pour masser les lèvres, afin que le sang à proximité des lèvres puisse circuler, que les lèvres soient également en mesure d'obtenir l'oxygène approprié, ce qui leur permet d'absorber l'effet des nutriments.
Certaines femmes constatent qu'elles ont les lèvres qui pèlent, et à cause de cette desquamation, leurs lèvres peuvent être chaudes et douloureuses, et elles peuvent ressentir toute une série d'inconforts en conséquence. Pour remédier au problème des lèvres qui pèlent, il faut compenser par l'alimentation. Alors, que faut-il manger pour faire peler les lèvres ?
1. le chou. En automne et en hiver, le chou est très présent, il est riche en vitamine C, et sa teneur en vitamine C joue un rôle important dans la réparation des lèvres.
2. les germes de haricot mungo. Les germes de haricot mungo ont l'effet d'éliminer le feu, ils contiennent également beaucoup de fibres alimentaires et de vitamines, leur teneur en eau est également très élevée, et ils sont les plus appropriés pour peler les lèvres.
3. l'igname. L'igname contient de la polyphénol-oxydase, des acides aminés libres, des substances qui nourrissent l'organisme et qui ont un très bon effet nutritif.
4. le kiwi. Le kiwi est riche en vitamine C et en vitamine E. C'est un puissant antioxydant réparateur pour la peau, qui améliore les lèvres et les rend hydratées et brillantes.
Les lèvres qui pèlent peuvent être très difficiles à traiter et peuvent également provoquer des saignements et des inflammations, c'est pourquoi de nombreuses personnes souhaitent y mettre un terme, et c'est à ce moment-là qu'il faut opter pour la prévention. En prévenant le problème des lèvres qui pèlent, les lèvres peuvent toujours rester en bonne santé. Alors, comment prévenir la desquamation des lèvres ?
Tout d'abord, éliminer le léchage des lèvres. Si vous allez souvent vous lécher les lèvres, il est facile d'entraîner une inflammation et une desquamation des lèvres. Notre salive contient beaucoup de bactéries, d'enzymes digestives, ces ingrédients pour les lèvres apporteront les symptômes de l'inflammation, causant la desquamation, la fissuration et d'autres symptômes.
Deuxièmement, une supplémentation en vitamines. L'un des meilleurs moyens d'éviter que vos lèvres ne pèlent est d'augmenter votre consommation de vitamine C. Avec un apport suffisant en vitamine C, votre peau sera plus belle, plus hydratée et plus éclatante, et vous éviterez le problème de la desquamation. Mangez beaucoup d'aliments riches en vitamines, comme les légumes et les fruits. Les poires, les pommes, les pastèques, les kiwis, les radis blancs, les fers à cheval et d'autres légumes et fruits riches en eau sont des aliments à privilégier. Le miel est également riche en vitamines et peut être utilisé en application externe ou dans l'eau pour compléter l'apport en vitamines.
Lèvres sèches, craquelées et qui pèlent Comme ci-dessus, si vous avez les lèvres sèches, craquelées et qui pèlent, n'oubliez pas de ne pas les lécher trop souvent avec votre langue, car plus vous les léchez, plus elles s'abîment.
La carence en vitamines, en particulier en vitamines B, est à l'origine des symptômes, principalement dans les climats secs et les incendies, qui provoquent des fissures sur les lèvres, des desquamations, etc.
Nous y voilà. Pour de nombreuses femmes qui aiment la beauté, si vous leur demandez quelle saison elles détestent le plus, je pense que la plupart d'entre elles répondront "l'hiver". Pourquoi ? L'hiver n'est pas seulement froid, il est aussi sec et nécessite beaucoup de soins pour la peau. Pour les hommes, la situation n'est pas aussi compliquée et se traite souvent de la même manière que n'importe quelle autre saison. Toutefois, en hiver, nous constatons souvent que les lèvres sont plus sujettes à la sécheresse, aux gerçures, à la desquamation, voire aux fissures, au gonflement et à la douleur qu'en d'autres saisons. Quelles sont donc les causes des lèvres sèches, craquelées et qui pèlent ?
En fait, la "fissure sèche" est principalement due au manque d'eau, qu'il s'agisse du manque d'eau de notre corps humain ou du temps sec de l'automne et de l'hiver, tout se résume à un manque d'eau. À l'entrée de l'automne et de l'hiver, en raison du temps plus frais et de la sécheresse de l'air, si nous ne buvons pas d'eau en temps utile, il sera facile de voir apparaître des lèvres sèches et craquelées, qui pèlent. Outre le manque d'eau, une autre raison très importante est que l'organisme peut manquer de vitamines. Le manque de vitamine B2, de vitamine A et les lèvres sèches et craquelées ont une relation directe, ce qui n'est pas seulement le cas en hiver, mais à n'importe quelle saison. Ainsi, les principales raisons des lèvres sèches et craquelées sont la déshydratation et le manque de vitamines.
Maintenant que vous en connaissez la cause, il est facile de prévenir les lèvres sèches, craquelées et qui pèlent. Tout d'abord, l'hydratation est très importante : boire 1 500 à 2 000 ml d'eau pure par jour permet de prévenir la déshydratation. Bien entendu, la déshydratation localisée des lèvres peut être maintenue humide par l'utilisation d'un baume à lèvres, qui est également l'un des principaux moyens de traiter et de prévenir les lèvres sèches, craquelées et qui pèlent. Un autre moyen est de prêter attention à la supplémentation en vitamines, de manger plus de fruits et de légumes frais pour couvrir les besoins quotidiens en vitamines, en particulier de manger plus de germes de soja, de chou, de radis blanc, etc. sur les lèvres sèches et craquelées. Bien sûr, le régime alimentaire doit également faire attention à une alimentation légère, en évitant de manger des aliments épicés. En outre, ne vous léchez pas souvent les lèvres. Le léchage des lèvres accélère l'évaporation de l'eau, aggrave la sécheresse des lèvres crevassées et déclenche l'apparition de la "bouche en saucisse".
Par : 裤裤.
Ces questions et réponses proviennent des utilisateurs du site, elles ne représentent pas la position du site, s'il y a une infraction, veuillez contacter l'administrateur pour la supprimer.