Comment les patients atteints de cancer du poumon meurent-ils généralement ?
Comment les patients atteints de cancer du poumon meurent-ils généralement ?
Ce sujet est plutôt lourd, mais c'est une situation à laquelle de nombreux patients atteints de cancer du poumon et leurs familles doivent faire face. Les taux d'incidence et de mortalité du cancer du poumon sont les plus élevés de toutes les tumeurs malignes. Bien que les méthodes de traitement du cancer du poumon soient relativement plus nombreuses, l'effet global n'est pas optimiste. Lorsque tous les traitements sont inefficaces et que l'état physique du patient se détériore progressivement, diverses situations mettant sa vie en danger se produisent. Il n'y a pas que le cancer du poumon, en fait, tous les patients atteints de cancer finissent par mourir non pas du cancer lui-même, mais de la défaillance de plusieurs organes.

Le décès des patients atteints d'un cancer du poumon peut être dû aux causes suivantes
1) L'insuffisance respiratoire, communément appelée manque d'air du patient, est la plus fréquente chez les patients atteints d'un cancer du poumon avancé. Le cancer central du poumon obstrue la trachée et les bronches principales, ce qui rend difficile l'entrée de l'air, et en cas d'atélectasie pulmonaire importante, le patient souffrira progressivement d'essoufflement et de dyspnée. Certains patients développent un épanchement pleural important dû à des métastases pleurales, qui comprime les tissus pulmonaires et empêche la réouverture des poumons. Chez d'autres patients, les lésions pulmonaires sont trop nombreuses et la surface effective de la membrane respiratoire est considérablement réduite. Toutes ces raisons finissent par entraîner une oppression thoracique, un essoufflement, une respiration assise et, finalement, une insuffisance respiratoire.

2. infection grave L'infection pulmonaire est une comorbidité très fréquente et une cause de décès chez les patients atteints de cancer du poumon. En raison de la présence de lésions pulmonaires et de l'obstruction des voies respiratoires, les expectorations et les bactéries sont difficiles à évacuer chez les patients atteints d'un cancer du poumon à un stade avancé, et toutes sortes d'infections bactériennes et fongiques peuvent facilement se produire. En raison de la fonction immunitaire extrêmement faible, il est difficile de contrôler les infections pulmonaires même avec l'utilisation d'antibiotiques de pointe, et les patients souffriront d'une septicémie et d'un choc infectieux, ce qui mettra leur vie en péril.

3. émaciation extrême : la tumeur elle-même est une sorte de maladie qui épuise les nutriments et l'énergie de l'organisme. Les patients atteints d'un cancer du poumon avancé souffriront également d'une perte d'appétit, de nausées et de vomissements, d'un apport insuffisant de nutriments et de la consommation constante de cellules tumorales, de sorte que les patients ont tendance à souffrir de ce que la médecine appelle une "stase liquidienne maligne", avec un manque d'apport de nutriments à l'ensemble de l'organisme et, en fait, à mourir d'une défaillance de plusieurs organes. Le patient finit par mourir d'une défaillance de plusieurs organes.

4) Hémoptysie et asphyxie De nombreux patients atteints de cancer du poumon présentent le symptôme du sang dans les expectorations, en particulier dans le cas du cancer central du poumon, lorsque la tumeur envahit les grands vaisseaux sanguins, une hémoptysie peut se produire, et le sang s'écoule dans les voies respiratoires, provoquant une asphyxie et mettant la vie du patient en danger.

5. coma convulsif Lorsque la lésion des métastases cérébrales du cancer du poumon s'aggrave progressivement, un œdème cérébral, une augmentation de la pression intracrânienne ou même une hernie cérébrale apparaissent, le patient souffre de maux de tête intenses et de vomissements, et la lésion métastatique dans les parties importantes déclenche une épilepsie secondaire, le patient convulse et tombe dans le coma, ce qui met sa vie en danger.

6. troubles électrolytiques 30 % des patients atteints de cancer du poumon présentent un syndrome cancéreux associé, une sécrétion d'hormones ectopiques et des troubles électrolytiques tenaces, tels qu'un faible taux de sodium et de potassium, et des troubles électrolytiques graves qui interfèrent avec la conduction électrique cardiaque et mettent la vie en danger.

7) Thrombose : le sang des patients atteints d'un cancer du poumon avancé est en état de coagulation élevée, ce qui favorise la thrombose. Lorsque le thrombus ou l'embole cancéreux est délogé vers des organes importants, il provoque un infarctus du myocarde, un infarctus cérébral, une embolie pulmonaire, etc. et cliniquement, nous avons rencontré des cas de décès par infarctus du myocarde chez des patients ayant subi une chimiothérapie soudaine.

8. les foyers métastatiques provoquent une défaillance des organes Le cancer du poumon peut métastaser dans le foie, la cavité abdominale et les reins. Lorsque les foyers métastatiques sont trop nombreux et trop grands, ils ne produisent pas seulement des symptômes de compression et d'obstruction, mais affectent également les fonctions hépatiques et rénales, entraînant une insuffisance hépatique et une insuffisance rénale, et des métastases étendues dans la cavité abdominale provoqueront une obstruction intestinale, de sorte que le patient ne pourra pas s'alimenter et mourra d'épuisement.

9. décès liés au traitement Les décès liés au traitement du cancer du poumon ne sont pas rares. Les méthodes de traitement du cancer du poumon, telles que la chimiothérapie, la radiothérapie, la thérapie ciblée et l'immunothérapie, ont toutes des effets secondaires toxiques correspondants, et un très petit nombre de patients sont décédés parce qu'ils n'ont pas pu tolérer les diverses toxicités au cours du traitement.

Je dois dire que le big data est génial !
Ayant assisté à la mort d'un patient atteint d'un cancer du poumon en phase terminale alors que je travaillais dans la salle de réanimation il y a quelques heures, je n'ai pas tardé à rentrer chez moi pour recevoir cette question.
Si ce n'était la coïncidence des événements, si je ne suivais pas ces sujets si souvent dans ma journée, je me demanderais vraiment si je ne suis pas suivi et surveillé !
Voici ce qu'il en est :
Il y a quelques heures, un homme âgé de 81 ans a été admis en salle de réanimation.
L'état du patient était extrêmement critique, avec une insuffisance respiratoire sévère et une défaillance de plusieurs organes. En fait, il s'agissait d'un patient atteint d'un cancer du poumon avancé.
Quel que soit le type de maladie dont souffre le patient, face à la mort, le médecin doit toujours informer la famille des moyens qui peuvent être adoptés, des avantages et des inconvénients, afin que la famille puisse faire un choix.
Face à un tel patient, la première chose à faire est naturellement d'améliorer l'oxygénation et de résoudre le problème de l'hypoxie, faute de quoi toute la réanimation sera vaine.
Cependant, au chevet du patient, qui luttait pour respirer, les enfants du patient étaient catégoriques et refusaient à l'unisson la suggestion d'intubation trachéale.
Je comprends très bien la décision des enfants. En fait, d'une certaine manière, quitter ce monde prématurément est un soulagement pour le patient.
"Pas d'intubation, pas de respirateur, c'est la mort, et elle sera rapide, c'est sûr ?"
"OK !
Ainsi, le patient a passé les deux dernières heures de sa vie dans la salle de réanimation, s'éteignant lentement sous les yeux de ses enfants et des médecins.
En fait, les infections pulmonaires récurrentes, les épanchements pleuraux graves, l'obstruction massive des expectorations et l'insuffisance respiratoire persistante sont exactement le genre d'épreuves auxquelles la plupart des patients atteints d'un cancer du poumon seront confrontés un jour ou l'autre.
Bien entendu, de nombreuses raisons peuvent entraîner la mort des patients atteints de cancer du poumon, telles que les troubles électrolytiques, l'état de choc, la défaillance de plusieurs organes, etc.
Même la dopamine, si habituée aux médecins des salles de réanimation, en regardant ceux qui respirent désespérément mais ne peuvent pas cracher le flegme collant comme des jaunes d'œufs brouillés aux poireaux, ne peut pas être évitée d'avoir des sentiments de tristesse.
Parce que je ne peux pas faire grand-chose en tant que médecin !
Parce qu'en tant que simples citoyens, personne ne peut échapper à cette finalité !
Permettez à un plus grand nombre de personnes d'en savoir un peu plus !
La dernière dopamine : les praticiens de la médecine d'urgence, rencontrer beaucoup de monde, se heurter à beaucoup de choses !
C'est une question quelque peu pessimiste, mais c'est aussi une incitation pour les médecins ! La technologie progresse rapidement, mais les progrès en matière de traitement oncologique, pas davantage ! Le cancer du poumon reste la tumeur maligne dont le taux de mortalité est le plus élevé.
Selon les données publiées par le Centre national du cancer, en 2015, le nombre de décès par cancer en Chine s'élevait à environ 2 338 000, dontLe nombre de décès dus au cancer du poumon est de 631 000, ce qui signifie que sur 100 000 personnes, environ 45,8 mourront d'un cancer du poumon.La prévention et le contrôle du cancer du poumon constituent une part importante de la lutte contre le cancer.
Comment les patients atteints de cancer du poumon meurent-ils généralement ?
1. la plus fréquente est l'insuffisance respiratoire
L'homme est capable de respirer de l'oxygène pour survivre sur terre en s'appuyant sur la fonction d'échange d'air des poumons. L'insuffisance pulmonaire est souvent causée par un cancer du poumon avancé, tel que des tumeurs énormes, de grandes quantités d'épanchement pleural, des métastases pulmonaires étendues et une obstruction des voies respiratoires.

Ce patient n'avait que 39 ans, souffrait d'oppression thoracique et d'essoufflement, et on lui a diagnostiqué un adénocarcinome du côté droit du poumon, avec un épanchement pleural important et une perte de fonction de l'ensemble du poumon droit. Une affection aussi grave est plus fréquente chez les personnes âgées et, si elle n'est pas traitée, une insuffisance respiratoire se produira rapidement. Heureusement, elle est sensible à la thérapie ciblée et vit avec la tumeur depuis plus de trois ans maintenant, avec un épanchement pleural sous contrôle.
2. les infections secondaires
Les patients atteints d'un cancer du poumon, en raison de l'épuisement de leur système immunitaire, ont un système immunitaire réduit et subissent un rétrécissement des voies respiratoires, ce qui provoque généralement une pneumonie obstructive, qui peut parfois être fatale.
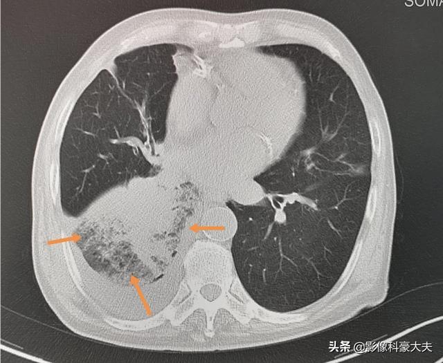
Il s'agit d'un homme de 79 ans atteint d'un cancer du poumon à petites cellules depuis 4 ans, en raison du rétrécissement de la bronche du lobe inférieur droit, provoquant une pneumonie obstructive et une forte fièvre récurrente, un état qui peut également être fatal si l'infection n'est pas contrôlée, et le vieil homme est en bonne santé actuellement.
3. les métastases des organes vitaux
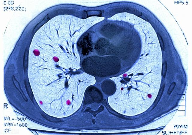
Les cellules cancéreuses sont effrayantes et peuvent former des métastases partout avec les vaisseaux sanguins et la lymphe, par exemple des métastases cérébrales et hépatiques, qui peuvent être fatales dans les cas les plus graves.
Les métastases hépatiques géantes multiples comme celles-ci peuvent progresser en peu de temps si elles ne sont pas contrôlées ou si elles sont insensibles au traitement.
4. les patients sont pessimistes et ont trop peur du cancer et abandonnent le traitement.
Parfois, nous rencontrons des patients qui, après avoir appris qu'ils souffrent d'un cancer, sont découragés, ne mangent pas, ne boivent pas, perdent leur sang-froid avec les membres de leur famille, ne coopèrent pas au traitement, mangent et dorment mal, et leur corps ne tardera pas à s'affaiblir. ......
Le stade terminal du cancer est plus douloureux et doit être traité avec humanité.L'amélioration du confort du patient est le premier principene préconise pas le surtraitement.
Je suis le Dr Howe en imagerie. Bienvenue !
Avec le cancer du poumon, on se retrouve avec beaucoup de choses.
Plus fréquemment, en l'absence d'hospitalisation, des troubles électrolytiques, la mort par arythmie maligne, une oppression thoracique en une seule fois, puis la mort très rapidement.
Si vous restez à l'hôpital, les troubles électrolytiques tels que ceux-ci sont facilement résolus, et une fois que le sang a été prélevé et que l'on a constaté qu'il était bas, il suffit de le redonner.
Les décès les plus fréquents dans les hôpitaux sont les suivants :
Tout d'abord, l'insuffisance respiratoire. Lorsque la fin arrive, le patient a une mauvaise fonction des deux poumons et finit par mourir d'une insuffisance respiratoire. Ce type de patient est le plus douloureux, avec une dyspnée persistante, tout comme ces personnes qui ont été noyées, toujours dans cet état de noyade rapide.
Deuxièmement, l'hémoptysie entraîne la mort par asphyxie, ce qui est également facile à comprendre, car dès qu'une hémoptysie survient soudainement, la respiration est bloquée et ne peut être sauvée, et la mort survient très rapidement.
Troisièmement, des métastases cérébrales apparaissent et des problèmes au niveau du système central entraînent la mort.
Quatrièmement, d'autres transferts locaux ont entraîné la mort.
Cinquièmement, les infections graves qui entraînent une détresse respiratoire accrue et finalement la mort par insuffisance respiratoire.
Sixièmement, la mort par défaillance systémique.
Si vous voulez en savoir plus sur la santé, suivez-moi.
Parler de la mort due au cancer est un sujet que de nombreux patients et leurs familles ne veulent pas affronter, mais en même temps, c'est une question cruelle et réaliste. Nous entendons souvent les gens parler de ceux qui sont morts du cancer en quelques mois, ou de ceux qui ont eu de bons résultats après le traitement mais qui sont décédés soudainement, etc. Ces sujets rendent les gens plus réticents à l'égard du cancer et ne favorisent pas le traitement normal des patients atteints de cancer.
Selon les données de l'OMS, le cancer du poumon occupe la première place dans le monde en termes d'incidence annuelle et de décès annuels, et le taux d'incidence est de plus en plus élevé.

Quelles sont les causes de décès par cancer du poumon ?
1. défaillance d'un organe
La plupart des cancers du poumon avancés forment des métastases dans le foie, le cerveau et les os et peuvent entraîner la défaillance d'un organe.
2. les infections pulmonaires
D'une part, les patients atteints d'un cancer du poumon à un stade avancé peuvent être incapables d'évacuer leurs expectorations en douceur en raison de la compression de la trachée par la tumeur et de l'obstruction de la lumière du tube. D'autre part, les patients atteints d'un cancer du poumon avancé consomment davantage et ont moins d'appétit, ce qui peut entraîner une malnutrition et une baisse de l'immunité. Tous ces facteurs sont susceptibles de provoquer des infections intrapulmonaires.

3. cracher du sang en grande quantité
Si un patient atteint d'un cancer du poumon tousse violemment, l'adhérence entre la tumeur et les petites artères peut se déchirer, entraînant la rupture des bronches, suivie de l'expectoration d'une grande quantité de sang, bloquant les voies respiratoires et conduisant à la mort par asphyxie.
4. l'épanchement pleural
L'épanchement pleural est une autre complication fréquente chez les patients atteints d'un cancer du poumon, et un épanchement pleural important peut entraîner des difficultés respiratoires chez les patients.
5. embolie pulmonaire
Les cancers tels que le cancer du poumon et les tumeurs gastro-intestinales sont prédisposés à l'embolie pulmonaire, principalement parce que le sang est dans un état d'hypercoagulabilité, et que les médicaments chimiothérapeutiques et le processus de chimiothérapie peuvent être un facteur contributif.
J'espère que ma réponse vous aidera ! Donnez-moi un "like" si vous l'aimez !

Ma propre tante, qui nous a quittés pour toujours le 15 mars à la suite d'un cancer du poumon.
Je me souviens très bien qu'il est allé à l'hôpital à cause de la douleur et qu'il a appris qu'il s'agissait d'un cancer du poumon en phase terminale. À cette époque, ma sœur étudiait encore à l'université et se trouvait à la maison. Il a attendu que ma sœur soit partie étudier avant d'annoncer la nouvelle à ma tante. Je me souviens avoir dit à ma tante que mon oncle souffrait depuis si longtemps, que ce ne devait pas être des calculs rénaux (parce que ma tante avait des calculs rénaux), et je lui ai dit d'aller à l'hôpital pour un examen, en fait, ils étaient déjà à l'annexe II de Xiangya à ce moment-là, et alors ma tante m'a annoncé la nouvelle, c'était un cancer du poumon. Je ne pouvais pas le croire à ce moment-là, je pensais que ce genre de chose n'arriverait pas à ma tante, parce qu'il était très grand et en bonne santé tout le temps, il faisait généralement attention à sa santé, il passait un examen médical une fois par an, et maintenant que j'y pense, la seule chose qui ne va pas chez lui, c'est qu'il fume.
Au début, il y avait des médicaments ciblés qui pouvaient être consommés, et encore de la nourriture la moins chère, alors encore et les gens normaux, les étrangers ne peuvent pas voir qu'il est malade. À cause de sa maladie, ma sœur a étudié les soins infirmiers à l'école pour préparer le baccalauréat, et elle est finalement revenue au stage, grâce à ses propres efforts, pour entrer dans le centre de santé de la commune, où elle a un emploi stable. En raison de sa maladie, ma sœur s'est mariée. Le mari de ma sœur était son camarade de classe, et il était très gentil avec ma sœur. Ma sœur a officiellement commencé à travailler le 20 septembre et s'est mariée en novembre. Parce qu'il voulait que son père voie sa famille mariée, un regret de moins.
En fait, avant le mariage de ma sœur, la santé de mon oncle n'était pas très bonne. Le jour du mariage, mon oncle n'est pas sorti et a dormi dans sa propre chambre, et les nouveaux arrivants sont entrés dans la chambre pour lui faire des courbettes. Ma sœur est sortie le matin, mon oncle est entré à l'hôpital l'après-midi, parce que le corps n'a pas d'immunité, le froid n'est pas très bon. Le lendemain, j'ai fait bouillir du riz fin pour aller le voir à l'hôpital, parce qu'il n'était pas capable de bouger la moitié de son visage à ce moment-là, il ne pouvait pas manger de choses sèches, seulement de la soupe et du riz fin. Il m'a même parlé en mangeant un grand bol de riz. Comme sa santé se détériorait, il n'aimait pas qu'on lui rende visite à l'hôpital, et j'y allais donc rarement. Plus tard, comme l'hôpital de notre côté déménageait dans un nouvel hôpital et qu'il n'y avait pas de chambres individuelles dans le nouvel hôpital, il n'a pas voulu rentrer chez lui, et à partir du moment où il est rentré chez lui, j'y suis retournée plus souvent.
Dans les derniers temps, il ne pouvait boire que de l'eau, et une cuillerée d'eau devait être divisée en deux repas, et une cuillerée de protéines en poudre et de lait en poudre ne pouvait être transformée qu'en une boisson aqueuse. Cette nuit-là, ma tante m'a dit que l'aiguille ne pouvait pas être injectée et que la tension artérielle ne pouvait pas être mesurée. Cette nuit-là, ma tante et moi l'avons veillé, il pouvait encore parler, il m'a demandé de lui presser les pieds et de lui tirer les jambes, et j'ai constaté que ses pieds étaient beaucoup plus froids que dans la journée, il continuait à lui presser les pieds et à lui tirer les jambes, sa vie était déjà bien avancée et il n'était pas à l'aise dans son sommeil. Elle avait l'habitude de lui donner deux analgésiques et elle pouvait dormir quelques heures, mais ces jours-là, il n'a pas dormi pendant deux jours et deux nuits, et la morphine n'a pas aidé. Il savait aussi qu'il ne lui restait pas beaucoup de temps et a demandé à ma tante de rappeler ma sœur et mon beau-frère. Le jour de sa mort, son état mental était manifestement différent ; d'habitude, lorsqu'il se retournait, il pouvait encore faire quelques efforts et s'exprimer clairement, mais ce jour-là, il s'est retourné, il ne pouvait plus faire aucun effort, et après s'être retourné, il voulait toujours que nous tenions sa main contre lui, et si nous ne la tenions pas contre lui, il tomberait immédiatement, et ses pieds étaient encore plus froids, et il ne nous a pas demandé de tirer ses jambes et de presser ses pieds, et il a crié de douleur l'un après l'autre le dernier jour, en montrant sa poitrine, alors qu'il n'avait jamais crié à ce point auparavant. Le dernier jour, il a pointé sa poitrine et crié de douleur, il n'avait jamais autant crié, il n'arrêtait pas de crier, il ne pouvait pas boire d'eau, sa gorge commençait à avoir des mucosités, et ma sœur n'a pris que la moitié du dulcolax prescrit par l'hôpital, et puis mon oncle est parti.
Mon père m'a quitté quand j'avais deux ans à cause d'une maladie, donc pour moi, mon oncle est comme la moitié de mon père, j'ai beaucoup de sentiments pour lui, mon oncle est parti quand il avait moins de 50 ans, et il n'avait pas encore rencontré ses petits-enfants, il est juste parti, jusqu'à ce jour, j'ai toujours l'impression d'être dans un rêve, c'est très irréel. J'espère que mon oncle ne souffre pas de maladie dans l'autre monde, et qu'il est toujours aussi élégant qu'avant.
Ma mère a eu un cancer du poumon et est décédée le 1er avril de l'année dernière. Il s'est écoulé près de 5 ans entre le moment où elle a appris qu'elle était atteinte et celui où elle est décédée, de sorte que l'ensemble du processus a été très impressionnant.
Tout le processus est passé par la biopsie - la chimiothérapie - la prise de médicaments ciblés (il a fallu les changer constamment, ils sont très résistants ! De 2 pilules par jour, à la dernière fois trois pilules et quatre pilules n'ont pas fonctionné). J'ai essayé en vain l'immunothérapie et la radiothérapie. ......
La dernière année, la souffrance est plus forte, la douleur est telle que vous ne pouvez pas dormir, surtout la nuit, c'est plus important.
Trois mois avant sa mort, elle a été transférée de l'hôpital de la ville à l'hôpital du comté le 29e jour du Nouvel An lunaire, qui coïncidait avec la période de contrôle de l'épidémie. Nos trois sœurs se sont relayées pour attendre, elles ont adhéré au premier mois du quinzième, quand ma mère pouvait encore se déplacer en béquilles en tenant une rampe dans le soutien du peuple, de la salle au poste des infirmières, elle ne voulait pas manger, surtout pas manger salé avec de l'huile, tous les jours elle buvait des œufs et des nouilles, elle pouvait boire un grand bol d'eau, au début elle mangeait aussi des petits pains pour acheter la moitié ou le quart des deux bouches pour manger, elle s'arrêtait pour fermer les yeux afin de ralentir les gaz, elle était très fatiguée et très fatiguée, elle regardait, les yeux ne voulaient pas s'ouvrir, les yeux n'étaient pas ouverts, les yeux n'étaient pas hébétés. Toute la journée dans l'hébétude. Surtout pendant la journée, une perfusion sera confuse, envie de dormir.
A partir de 22h elle se réveille presque toutes les heures et ne peut pas bien dormir du tout. Un moment dit son corps lui fait mal, il faut se lever pour lui faire des massages doux d'avant en arrière, car tous les soirs avant d'aller se coucher appeler l'infirmière pour lui faire une injection de morphine, je pense que c'est la fin du médicament la douleur va recommencer. Mais cette injection ne peut être supérieure à 6 injections par jour au maximum, sous peine de mettre sa vie en danger !
C'est étrange à dire, la dernière fois que ma mère a confondu, sur l'injection de se rappeler particulièrement clair, confus pendant un certain temps pour me crier "n'est pas le temps de prendre l'injection ?" J'ai dit : "moins de temps", elle a alors confondu moins de cinq minutes et m'a demandé à plusieurs reprises, je dois dire à nouveau et ainsi de suite, elle a commencé à jurer, a dit "Je suis dans la douleur, dépêchez-vous de crier" Je sais qu'elle il y a seulement une heure pour jouer l'aiguille, n'ose pas jouer sur les cajoleries que je viens d'aller à l'infirmière dans la salle d'attente de l'infirmière. L'infirmière était en train de faire l'injection à quelqu'un d'autre et reviendrait dans un moment. Elle a souri et a dormi un moment, puis j'ai dû me dépêcher de lui faire un massage complet du corps pour soulager la douleur, et ensuite la retourner lentement, le dos caressant doucement la caresse, sinon un long moment dans une position pour dormir, elle sera plus douloureuse. De cette façon, elle peut tenir un peu plus longtemps, en amadouant et en parlant jusqu'à la prochaine injection.
Je comprends maintenant pourquoi ma mère disait toujours qu'elle avait la bouche sèche, probablement parce qu'à la fin, ses poumons ne fonctionnaient plus et qu'elle ne pouvait respirer que par la bouche, alors elle criait toute la journée que sa bouche était sèche. Nous avons simplement mis une paille dans la tasse de thé pour qu'elle puisse boire plus facilement.
Une nuit, peut-être vers 11 heures, elle m'a dit que son cœur était anxieux, qu'elle ne pouvait pas respirer, que ses mains étaient anxieuses, qu'elle se grattait les pieds en remuant, que les muscles de son visage n'écoutaient pas les ordres, qu'elle prenait des pilules pour le cœur à action rapide, mais que cela ne fonctionnait pas non plus ! Effrayé, je me suis précipité pour frapper à la porte du médecin de garde, le médecin de garde m'a laissé aller d'abord appeler l'infirmière de garde pour préparer sa montée immédiate, je me suis précipité pour appeler l'infirmière de garde, l'infirmière de garde a soufflé pour venir à la porte, laissez-moi attendre un peu. J'étais anxieuse, je tapais du pied, l'infirmière de garde donnait des coups de pied et sortait lentement les chaussures, je la voyais sortir, je courais jusqu'à la salle, mais je regardais l'apparence douloureuse de ma mère, j'étais anxieuse, mais je ne savais pas quoi faire ? Je n'ai pu que crier maman, maman, tenez bon, le médecin sera bientôt là. ......
Après environ deux minutes, l'infirmière est enfin arrivée, a pris le masque à oxygène pour l'insérer dans le chevet du patient, et je me suis empressé de mettre les mains et les pieds de ma mère sur le masque à oxygène. "L'infirmière a froidement jeté une phrase sur le prêt à partir, "infirmière, le cœur de ma mère pour attraper l'urgence très, juste cela ne peut pas ah ......" J'ai précipitamment crié pour arrêter le prêt à partir de l'infirmière. Je me suis empressé de crier à l'infirmière qu'elle était prête à partir. "Alors, trouvez un médecin pour prescrire des médicaments", a-t-elle répondu sans expression avant de partir. Docteur, où est le médecin ? ai-je crié dans le couloir. J'ai entendu des pas à l'autre bout du couloir avant que le médecin n'arrive. Je me suis empressée de répéter à l'infirmière ce que je venais de dire, le médecin a regardé ma mère sans se presser, il a sorti son stéthoscope et l'a posé sur le cœur de ma mère pour l'écouter, et tout en l'enveloppant, il a dit : "Insuffisance cardiaque". "Que devons-nous faire ?" "Venez chercher la liste des médicaments", a dit le médecin en entrant dans son bureau. Je n'ai pu que laisser l'escorte clinique surveiller ma mère, j'ai pris la liste des médicaments et je suis descendue directement à l'étage .......
Mais après tout, il s'agit d'un médicament très efficace, qui ne peut être utilisé que pendant un certain temps, et dont l'augmentation de la dose n'est pas efficace. Ma mère a de nouveau insisté sur le fait que moins d'un mois ne sera pas en mesure de ......
En raison du grand nombre de fumeurs et de la pollution atmosphérique, le cancer du poumon est le cancer dont le taux d'incidence est le plus élevé en Chine, avec plus de 800 000 nouveaux patients atteints de cancer du poumon chaque année, soit deux fois plus que le cancer de l'estomac, qui arrive en deuxième position. Parallèlement, le cancer du poumon est aussi celui qui entraîne le plus grand nombre de décès, avec plus de 600 000 patients qui en meurent chaque année, ce qui est beaucoup plus élevé que pour les autres tumeurs.Il n'est pas exagéré de dire que le cancer du poumon est déjà le premier cancer dans notre pays.
Le traitement du cancer du poumon à un stade précoce est efficace et le taux de guérison peut être supérieur à 90 %, mais le taux de survie du cancer du poumon à un stade avancé est considérablement réduit et le taux de mortalité est élevé. Les patients atteints d'un cancer du poumon meurent généralement dans les conditions suivantes :
(1) Décédé d'une insuffisance respiratoire
Nous avons besoin des deux poumons pour respirer, et si les poumons sont pleins de tumeurs, ils perdent leur capacité à respirer, et le cancer peut également bloquer les voies respiratoires, et il y a aussi du liquide pleural, dont une grande quantité comprime les poumons et provoque des difficultés respiratoires. Si les poumons ne peuvent pas fonctionner, il n'y aura bientôt plus assez d'oxygène et les organes du corps entier seront privés de sang et d'oxygène et finiront par mourir.

(2) Hémoptysie
Il est également fréquent que le cancer du poumon envahisse les vaisseaux sanguins et qu'après une forte toux, les vaisseaux sanguins se rompent, entraînant une hémorragie, un blocage des voies respiratoires, l'étouffement et la mort, ou un choc hémorragique. Un médecin de notre hôpital, qui se trouvait à un stade avancé du cancer du poumon, a souffert d'hémoptysie et n'a pas pu être sauvé, même après une réanimation active par l'ensemble de l'hôpital, ce qui est très regrettable.

(3) Métastases tumorales
À un stade avancé, le cancer du poumon peut présenter de multiples métastases dans divers organes du corps. Le cancer du poumon métastase souvent dans le cerveau, le foie et le système vertébral squelettique, et les métastases cérébrales peuvent provoquer une hypertension intracrânienne. L'espace étant limité dans le cerveau, la propagation des cellules cancéreuses peut entraîner une hernie cérébrale et une hypertension intracrânienne, qui mettent en danger la vie du patient. Les métastases vertébrales peuvent entraîner des fractures pathologiques, une compression des nerfs, conduisant à la paralysie et même à la mort. Des métastases hépatiques multiples, qui peuvent entraîner un dysfonctionnement du foie et une insuffisance hépatique.

(4) Tumeur maligne, défaillance de plusieurs organes
De nombreux patients atteints de tumeurs finissent par mourir de malnutrition et de défaillance de plusieurs organes. En effet, les cellules cancéreuses se multiplient en grand nombre, et les cellules tumorales continuent de croître de façon folle, privant le corps de nutriments, ce qui entraîne une malnutrition, une perte de poids, une maladie maligne, et les fonctions de tous les organes sont affectées.

(5) Traitement des effets secondaires
Qu'il s'agisse de radiothérapie, de chimiothérapie, de chirurgie ou de thérapie ciblée, il peut y avoir des effets secondaires. Les patients atteints d'un cancer en phase terminale, qui sont déjà physiquement faibles, combinés aux effets secondaires du traitement, peuvent entraîner des problèmes plus graves, notamment une leucopénie, un déficit en granulocytes, une anémie sévère, une thrombocytopénie et, s'ils sont combinés à une infection, ils peuvent mettre la vie en danger. Par conséquent, les patients atteints d'un cancer en phase terminale doivent se concentrer sur le soulagement de leurs symptômes et ne pas utiliser de traitement trop puissant.
En résumé, pour améliorer le taux de guérison du cancer du poumon, il est nécessaire de procéder à une détection et à un traitement précoces.
Lorsqu'il s'agit de la mort de patients atteints de cancer, l'ambiance est plutôt lourde. En fait, l'issue des patients atteints de cancer à différents stades est différente, et il en va de même pour le cancer du poumon. Bien que le cancer du poumon soit l'une des principales tumeurs malignes en Chine et que ses taux d'incidence et de mortalité augmentent d'année en année, le taux de survie à 5 ans du cancer du poumon à un stade précoce peut atteindre 100 % après traitement chirurgical, ce qui signifie que la grande majorité des patients atteints d'un cancer du poumon à un stade précoce peuvent être guéris. Pour le cancer du poumon de stade II, le taux de survie à 5 ans peut atteindre 60 à 70 % ; pour le cancer du poumon de stade III, le taux de survie à 5 ans est d'environ 50 % ; et le taux de survie à 5 ans pour le cancer du poumon de stade IV est très faible, de l'ordre de 10 à 20 %. Bien sûr, la condition préalable est que des interventions telles que la chimiothérapie, la radiothérapie et la thérapie ciblée aient été effectuées.

Comment les patients atteints de cancer du poumon meurent-ils généralement ?
1) Insuffisance respiratoire :Comme nous le savons tous, le poumon est le principal organe respiratoire et les patients atteints d'un cancer du poumon, en particulier ceux qui sont à un stade avancé, ont des difficultés à respirer car les cellules cancéreuses détruisent les tissus pulmonaires normaux. Si les cellules cancéreuses s'étendent à l'ensemble du corps, comme les métastases cérébrales, les métastases hépatiques ou les métastases osseuses, elles entraînent une perturbation de l'environnement interne de l'ensemble du corps, ce qui provoque également une insuffisance respiratoire. Pour la grande majorité des patients atteints d'un cancer du poumon avancé, une fois que l'insuffisance respiratoire se produit, ils peuvent avoir atteint le stade terminal, et leurs familles doivent être préparées psychologiquement.
2. le gaspillage extrême :L'amaigrissement est le principal symptôme d'un cancer du poumon avancé, qui est principalement lié à la consommation de la tumeur et au régime alimentaire. D'une part, la tumeur pondérale continue de croître et consomme davantage de nutriments, c'est-à-dire que les cellules cancéreuses sont en concurrence avec les tissus et cellules normaux du corps humain pour les nutriments, ce qui rend ces derniers insuffisants pour satisfaire la demande normale du corps humain ; d'autre part, le cancer du poumon entraîne une perte d'appétit, des nausées et des vomissements, ainsi qu'une mauvaise respiration du patient, qui sont autant de causes de l'émaciation. Lorsque le corps humain est extrêmement émacié, les organes de l'ensemble du corps manquent d'apport en nutriments, ce qui finit par provoquer une défaillance des organes.
3. hémoptysie provoquant une asphyxie ou un choc :La tumeur bloque le passage des gaz, irrite les parois bronchiques et la trachée tente d'expulser le corps étranger, ce qui provoque une toux, parfois accompagnée de sang dans les expectorations, ce qui constitue une hémoptysie. Lorsque la tumeur envahit les gros vaisseaux sanguins, elle peut entraîner une rupture des vaisseaux sanguins et une hémoptysie, l'afflux de sang dans la pièce provoquant l'asphyxie ou l'état de choc du patient, ce qui met sa vie en danger. En règle générale, si le patient présente des symptômes d'hémoptysie, cela signifie que la maladie a atteint un stade avancé.

4. métastases tumorales, défaillance de plusieurs organes :Des métastases à différents organes peuvent se produire à un stade avancé du cancer du poumon, causant de grandes souffrances aux patients. Les patients atteints de cancer du poumon peuvent former des métastases dans des organes tels que la plèvre, le cerveau, les glandes surrénales, le foie, les os, le péricarde et ainsi de suite, provoquant une défaillance de plusieurs organes, qui peut entraîner la mort du patient.
5. infection lourde :Sur les descriptions de décès de certains patients atteints de cancer du poumon, la cause du décès est indiquée comme "infection pulmonaire", c'est-à-dire une infection pulmonaire causée par le cancer du poumon. L'infection pulmonaire est un facteur de risque qui ne peut être ignoré. Des études ont montré que 68,18 % des patients atteints de cancer du poumon sont morts directement ou indirectement d'une infection pulmonaire, et certaines études ont également montré que le taux de mortalité des patients atteints d'un cancer du poumon avancé et souffrant d'une infection pulmonaire était de 27,96 %.
En outre, il existe de nombreuses autres raisons conduisant au décès des patients atteints de cancer du poumon, telles que les troubles électrolytiques, le coma convulsif, la thrombose, etc. Au stade avancé du cancer du poumon, les patients et leurs familles sont confrontés à un choix : poursuivre le traitement ou l'abandonner ; poursuivre le traitement, le coût est énorme, et le résultat risque d'être deux fois vide, et les patients doivent endurer une douleur difficile à supporter pour le commun des mortels ; abandonner le traitement, mais aussi ne pas pouvoir supporter la douleur, regarder leurs proches allongés sur leur lit d'hôpital, mais sans pouvoir rien y faire. En fin de compte, quel choix faire ? En fait, il y a de nombreux facteurs à prendre en compte. Tout d'abord, vous pouvez écouter les conseils du médecin ; ensuite, respectez le choix du patient ; enfin, tenez compte de la situation financière de la famille.
Je suis le Dr Huang Zhiyan et je m'efforce d'expliquer la complexité de la connaissance des maladies avec des mots simples pour vous aider à gérer votre corps. Vos éloges sont ma plus grande motivation ! Par ailleurs, si un membre de votre famille souffre d'un cancer du poumon, n'hésitez pas à lui transmettre cet article !
Pendant l'épidémie de Xin Guan, j'ai été affectée au service des urgences pour soutenir la clinique des fièvres. Un jour, alors que j'étais de service, un patient souffrant d'une récidive de cancer du poumon a eu de la fièvre et, après l'avoir interrogé, j'ai fini par découvrir qu'il s'agissait du père du président de ma classe au lycée, qui avait malheureusement lui aussi développé un cancer du poumon.
Ces derniers temps, j'ai l'impression que de plus en plus de personnes autour de moi souffrent d'un cancer du poumon, et beaucoup d'entre elles ont des métastases lorsqu'elles sont découvertes, et toutes décèdent très rapidement. Je voudrais ici présenter brièvement les conditions de vie des patients atteints de cancer du poumon à la fin de leur vie.
Des études montrent qu'en 2012, environ 1,8 million de nouveaux cas de cancer du poumon ont été recensés dans le monde, entraînant environ 1,6 million de décès.
Le tabagisme est un facteur de risque majeur pour le cancer du poumon, dont on estime qu'il est à l'origine d'environ 90 % de l'ensemble des cancers du poumon. Les personnes qui ont fumé un paquet de cigarettes par jour pendant 40 années consécutives et qui n'ont pas arrêté de fumer ont environ 20 fois plus de risques de développer un cancer du poumon que les non-fumeurs.


Quels sont les principaux symptômes d'un cancer du poumon avancé ?
- Difficulté à respirer parce que la masse exerce une pression sur les poumons, provoquant une atélectasie. La tumeur appuie sur la trachée ou la bronche, provoquant l'occlusion d'une partie du poumon.
- Lorsque le cancer du poumon métastase dans la poitrine, un épanchement pleural, en particulier un épanchement pleural sanglant, peut se produire et, à ce moment-là, une toux de sang peut survenir.
- Les tumeurs peuvent également se manifester par de la fièvre.
- Toux avec mucosités.
- Les métastases osseuses provoquent également des douleurs osseuses.
- Douleur pleurétique.
- Dépérissement et faiblesse.
- La tumeur met également l'organisme dans un état d'hypercoagulabilité, ce qui le rend très vulnérable aux caillots sanguins, qui sont délogés et sont susceptibles d'entraîner une embolie pulmonaire.
- Attendre ......

La tumeur consomme peu à peu l'énergie du corps humain, et la maladie maligne finit par apparaître. Les personnes sont alors particulièrement faibles et maigres, et n'ont plus la force de faire quoi que ce soit ; en outre, le cancer du poumon entraîne localement des difficultés respiratoires, ce qui est très grave. Lorsque le corps humain consomme jusqu'à un certain point, la respiration devient de plus en plus faible, et il est probable qu'une insuffisance respiratoire finisse par apparaître, et que des arrêts respiratoires et cardiaques finissent par se produire et que la mort survienne.
Que devons-nous faire pour prévenir le cancer du poumon ?
- Les personnes qui ont fumé un paquet de cigarettes par jour pendant 40 années consécutives et qui n'ont pas arrêté de fumer ont environ 20 fois plus de risques de développer un cancer du poumon que les non-fumeurs.
- Essayez d'éviter les facteurs de risque environnementaux susceptibles de provoquer un cancer, tels que le tabagisme passif, l'exposition à certains types d'amiante, à des métaux spécifiques (arsenic, chrome et nickel) et aux radiations ionisantes.
- Petit verre de chantage.
- Les patients atteints de fibrose pulmonaire interstitielle sont traités rapidement.
- Alimentation équilibrée, renforcement de la nutrition, légère réduction de la consommation de viande rouge, augmentation appropriée de la consommation de viande blanche, consommation accrue de légumes et de fruits frais, d'antioxydants et de légumes crucifères.
- Augmenter l'activité physique pour renforcer notre immunité.
- Essayez d'éviter les exercices aérobiques dans les zones polluées, par exemple en évitant de courir sur de longues distances sur la route. Cela permet d'éviter d'inhaler trop de gaz d'échappement, ce qui augmente le risque de maladie pulmonaire.
- Il est important de pouvoir réguler son humeur, car la dépression peut également affecter l'immunité d'une personne, ce qui peut augmenter le risque de développer des tumeurs.

Suivez la médecine plus facilement pour en savoir plus sur la médecine.
Ces questions et réponses proviennent des utilisateurs du site, elles ne représentent pas la position du site, s'il y a une infraction, veuillez contacter l'administrateur pour la supprimer.