Quelle est la taille d'un nodule pulmonaire dangereux ?
Quelle est la taille d'un nodule pulmonaire dangereux ?
Les nodules pulmonaires sont des lésions sphériques dans les poumons dont la taille est inférieure à 3 cm. Avec l'utilisation généralisée du scanner thoracique dans les examens médicaux, le taux de détection des nodules pulmonaires est de plus en plus élevé, et de nombreuses personnes ont été examinées pour des nodules pulmonaires sans aucune gêne, et elles ont peur du cancer du poumon, comme le dit l'Internet, alors quelle est la taille des nodules ?
Les nodules sont classés en deux catégories : les nodules solides et les nodules en verre dépoli.
Les nodules pulmonaires sont classés en différents types en fonction de leur densité. Les nodules de densité plus élevée, qui apparaissent comme des points blancs sur le scanner thoracique, sont appelés nodules solides, tandis que les nodules en verre dépoli sont plus légers et ressemblent à de la vapeur d'eau sur le verre. Les nodules en verre dépoli, en particulier les nodules en verre dépoli pur, ont tendance à être plus malins.
Le danger d'un nodule est d'autant plus important qu'il modifie
En règle générale, quelle que soit la taille du nodule, tant qu'il ne change pas, cela n'a pas d'importance. Bien entendu, plus le nodule est gros à court terme, plus la probabilité de changement est grande, et plus les nodules sont petits, plus la probabilité d'augmentation de la taille est faible à court terme. Qu'il s'agisse d'un nodule en verre ou d'un nodule solide, si un changement de diamètre est détecté au cours d'un examen de suivi, il est nécessaire de se rendre rapidement à l'hôpital pour un examen et, si nécessaire, une ablation chirurgicale.
D'une manière générale, il n'y a pas lieu de s'inquiéter outre mesure en dessous de 6 mm.
En général, les nodules de moins de 6 mm sont plutôt bénins. Certains diront que les tumeurs malignes ne se développent pas petit à petit à partir de 1 mm, ce qui pose un problème de probabilité. En général, les lésions bénignes sont petites et stables, la plupart d'entre elles s'arrêtent à moins de 6 mm, de sorte que les chances d'être détectées lorsqu'elles sont très petites sont plus grandes, tandis que les tumeurs malignes, en particulier le cancer du poumon à haut degré de malignité, se développent plus rapidement, de sorte qu'il est facile d'être détecté à un stade plus avancé. Les nodules de moins de 6 mm peuvent être suivis de près par un nouvel examen de tomodensitométrie thoracique au moment de la découverte initiale, et l'intervalle entre les nouveaux examens peut être progressivement allongé à l'avenir. S'il n'y a pas de changement, l'intervalle peut être prolongé jusqu'à une fois par an.
Les nodules de plus de 1 cm de diamètre doivent faire l'objet d'un examen plus approfondi.
Les nodules d'un diamètre supérieur à 1 cm sont beaucoup plus susceptibles d'être malins que ceux d'un diamètre inférieur à 8 mm et doivent être examinés à l'hôpital. D'une part, parce que les nodules sont trop petits, leur nature interne et leur activité cellulaire ne se distinguent pas clairement des cellules environnantes, et les tests non invasifs tels que la TEPCT ne sont pas en mesure de les identifier, et d'autre part, parce qu'ils sont trop petits, les tests invasifs tels que la bronchoscopie et la ponction pulmonaire ne permettent pas d'obtenir un échantillon avec précision. D'une manière générale, si le nodule mesure plus de 6 mm et moins de 1 cm, il faut soit suivre le cas de près, soit procéder à une ablation chirurgicale lorsque le nodule est plus gros et qu'il n'y a pas d'autre moyen de distinguer la nature du nodule. Il n'y a pas d'autre moyen de distinguer efficacement la nature du nodule.
Quel est le taux de guérison après une intervention chirurgicale sur un nodule ?
Le taux de guérison des nodules pulmonaires, en particulier des nodules de moins de 1 cm, est très élevé, proche de 100 %, et dans la plupart des cas ne nécessite même pas de chimiothérapie après la résection chirurgicale. Le taux de guérison des nodules diminue au fur et à mesure que le nodule grossit, et le taux de guérison des masses de plus de 3 cm tombe à moins de 30 %, et la plupart d'entre elles nécessitent une chimiothérapie postopératoire.
Merci de votre attention ! D'une manière générale, si le nodule pulmonaire atteint trois centimètres ou plus, il est plus dangereux, mais il doit être jugé en fonction de la situation réelle. Trois centimètres n'est qu'une valeur en volume, et il existe également différents diamètres longs et courts, en fonction des conditions de mesure.
En fait, la théorie veut que tout le monde ait des nodules pulmonaires, cela ne fait aucun doute, mais certains sont gros et d'autres petits.
Tout d'abord, nous devons comprendre comment les nodules pulmonaires se forment. C'est principalement parce que le corps humain, dans le processus de respiration continue, peut inhaler de la suie, des particules et même des mucosités sèches, des croûtes, dans le processus de l'ensemble des matériaux anormaux continus formant des nodules pulmonaires. Bien entendu, il peut également y avoir des cellules cancéreuses qui se développent et prolifèrent progressivement pour former des nodules pulmonaires.
Une fois que l'on a compris comment les nodules pulmonaires se développent, on comprend pourquoi les personnes qui fument ou qui travaillent avec de la poussière sont susceptibles d'avoir des nodules pulmonaires qui se transforment en cancer à un stade ultérieur. On comprend également comment les nodules se développent à un stade ultérieur. Si les nodules sont découverts dans le cadre d'un travail à haut risque ou si la personne continue à fumer sans modération, il est certain qu'ils deviendront de plus en plus gros à un stade ultérieur et qu'ils finiront par se transformer en véritable tissu cancéreux.
Deuxièmement, sa croissance est régie par un certain nombre de facteurs, le premier étant l'exposition à diverses substances à risque, telles que la fumée, les particules de poussière, etc., et le second étant la formation de leur propre tissu tumoral qui continuera à proliférer et à se différencier. Il finira par grossir de plus en plus.
Enfin, il est clair que lorsqu'un certain niveau est atteint, il y a une forte probabilité que la lésion bénigne se transforme en lésion maligne, ou même que la lésion déjà maligne augmente jusqu'à un certain niveau. En théorie, la valeur est de trois centimètres, mais en pratique clinique, deux centimètres peuvent devenir malins, ce qui ne doit pas être ignoré. Il faut aussi comprendre une raison, c'est que son niveau, seulement dans un niveau d'effet filmique, il y a des intervalles au milieu, comme un couteau qui coupe la viande, et son diamètre horizontal et son diamètre vertical sont parfois complètement inadaptés. Il faudra donc réexaminer la situation plusieurs fois à un stade ultérieur, sur la base d'un jugement global, afin de confirmer définitivement le diagnostic.
Il faut également savoir que le degré n'est qu'un aspect du facteur, il y a d'autres aspects qui le déterminent également, et il pourrait être malin.
Par exemple, elle peut avoir l'aspect d'une bavure et ne pas avoir une forme ronde ou ovale très régulière. Par exemple, il est possible qu'il ait des adhérences à la plèvre, surtout s'il y a certains signes d'induration, alors cette fois, cela peut aussi indiquer qu'il s'agit d'une tumeur maligne.
C'est pourquoi, en clinique, il ne faut pas se fier uniquement à un seul indicateur pour évaluer l'état de santé, mais combiner tous les aspects de la situation, afin de disposer d'un plan de traitement plus clair et d'apporter des changements à la situation. Il est recommandé de confier l'évaluation à un médecin professionnel, ce qui est plus propice au traitement global.
J'espère que tout le monde est en bonne santé !
Les nodules trouvés dans les poumons sont généralement moins susceptibles d'être malins plus le nodule est petit.
Pour la définition du nodule pulmonaire, la directive médicale chinoise indique : L'imagerie (scanner thoracique) montre une ombre pulmonaire solide ou sous-solide focale, arrondie, de densité accrue, d'un diamètre ≤3 cm, qui peut être isolée ou multiple, et qui n'est pas accompagnée d'atélectasie pulmonaire, d'hypertrophie des ganglions lymphatiques hilaires et d'épanchement pleural.
D'une manière générale, toute ombre de densité accrue dans les poumons d'un diamètre inférieur à 3 cm est appelée nodule pulmonaire. Le degré de risque n'est pas seulement lié à la taille, mais doit également être déterminé en fonction de la morphologie, de la densité et de la vitesse de multiplication du nodule.
En général, les nodules d'un diamètre supérieur à 8 mm doivent faire l'objet d'une attention particulière, surtout s'ils sont de forme irrégulière, voire accompagnés d'un motif en forme de bavure, ou mélangés avec le réel et l'imaginaire, adjacents à la plèvre et apparaissant comme une dépression pleurale, nous devons être très attentifs à la possibilité d'une tumeur maligne. Si nécessaire, il faut procéder à une ponction-biopsie ou à une excision directe.
Pour les nodules de moins de 8 mm, en particulier ceux de moins de 6 mm, une observation attentive et un examen peuvent être envisagés : la plupart des conditions suivantes sont bénignes, telles que : changements significatifs des caractéristiques du nodule dans un court laps de temps, les bords devenant lisses ou flous, sans lobulation ; la densité du nodule est uniforme ou s'estompe ; et le nodule rétrécit ou disparaît sans augmentation de la densité.
La malignité est principalement envisagée lorsque les changements suivants se produisent, tels qu'une augmentation progressive du diamètre du nodule avec un temps de doublement court, la présence d'un composant solide dans la lésion nodulaire, ou la présence d'un composant solide ou une augmentation du composant solide dans la lésion nodulaire, bien que la lésion nodulaire se rétrécisse.
En conclusion, la taille est un facteur important pour déterminer la nature bénigne ou maligne d'un nodule, mais elle doit également être déterminée en fonction d'autres caractéristiques d'imagerie.

Tout d'abord, l'émergence du terme médical de nodules pulmonaires s'accompagne du développement de l'imagerie médicale et l'émergence de ce que l'on appelle l'imagerie médicale va de pair avec le développement de la science et de la technologie et l'invention d'équipements médicaux, et l'utilisation de ces équipements d'inspection à travers l'examen du corps humain, et permet finalement à nos yeux de voir la structure interne de notre corps, comme "l'ombre" ou "le semblable", afin de faciliter la communication, ces "ombres" ou "semblables" sont imprimées, ce qui est communément appelé "l'ombre" ou "le semblable". "Pour faciliter la communication, l'"ombre" ou le "semblable" sont imprimés, c'est-à-dire que les gens ordinaires sont communément appelés le "film", pour faciliter la communication, l'"ombre" ou le "semblable" sont imprimés, c'est-à-dire que les gens ordinaires sont communément appelés le "film". "film".

En fait, ces films sont les supports de ces images, qui sont pratiques à transporter, et facilitent également la communication entre le médecin et le médecin pendant la visite, ainsi que la communication entre le médecin et le médecin pendant la consultation. Il y a d'abord eu le film radiographique, puis, avec le développement de la technologie médicale, la tomodensitométrie, l'échographie, l'endoscopie, la résonance magnétique nucléaire, le PET-CT et d'autres équipements d'examen, qui sont également apparus dans une variété d'images d'examen. Les différents équipements d'imagerie ont leurs propres avantages et inconvénients. Pour les poumons, la structure interne fine des poumons est clairement représentée par la tomodensitométrie, l'équipement de tomodensitométrie est également amélioré par les progrès de la science sociale et de la technologie, 64 rangées, 128 rangées, 256 rangées sont apparues, plus la technologie est avancée, plus le temps de balayage est court, plus la plage de balayage est large, plus l'épaisseur est fine, plus la quantité d'informations obtenues est importante pour vérifier les lésions subtiles, mais aussi plus la technologie est avancée, plus le temps de balayage est court, plus la plage de balayage est large, plus l'épaisseur est fine, plus les informations sont importantes pour vérifier les lésions subtiles. Plus la technologie est avancée, plus la durée du balayage est courte, plus la plage de balayage est grande, plus l'épaisseur du balayage est fine, plus les informations obtenues sont nombreuses, plus les lésions subtiles peuvent être détectées. Par conséquent, il existe de nombreuses lésions subtiles qui ne peuvent pas être détectées par les rayons X, mais qui peuvent l'être par la tomodensitométrie.

Sachant cela, il est clair que le nodule pulmonaire est le premier mot qui vient à l'esprit dans le service d'imagerie médicale des départements hospitaliers. Sur la base de l'ombre ou de la photo, les médecins de l'hôpital utiliseront leur propre expérience (tirée des manuels et du suivi des cas cliniques) pour spéculer sur la cause de l'ombre et sur les maladies susceptibles de provoquer l'apparition du même type d'ombre. C'est comme si la police résolvait une affaire, il y a eu un meurtre, et sur la base des empreintes de pas qui apparaissent sur la scène, ils analysent qui est le plus susceptible d'être le coupable.

Nous connaissons cette idée de diagnostic de la maladie, puis nous revenons à la tête pour parler des nodules pulmonaires. Les nodules pulmonaires sont des lésions rondes ou irrégulières d'un diamètre inférieur ou égal à 3 cm dans les poumons, qui apparaissent à l'imagerie comme des ombres de densité accrue, qui peuvent être homogènes ou inhomogènes, qui peuvent être uniques ou multiples, et qui peuvent avoir des limites claires ou floues.

Le cancer est aussi une maladie qui va du plus petit au plus grand, et nous voulons tous tuer le danger au berceau au plus petit moment, tout comme nous, si nous savons que cet enfant deviendra un danger pour la société, un meurtrier ou un membre des triades, nous préférons ne pas le mettre au monde, ou comme le disent certaines personnes âgées : "Si j'avais su que tu deviendrais comme ça, j'aurais pu aussi bien t'étrangler jusqu'à ce que tu meures". Il vaudrait mieux ne pas le mettre au monde, ou comme le disent certains vieux : "Si j'avais su que tu deviendrais comme ça, j'aurais aussi bien pu t'étrangler jusqu'à ce que tu meures". Le problème est que plus l'enfant est jeune, plus les possibilités d'avenir sont variées, et c'est pourquoi il y a toutes sortes de personnes dans la société. Selon le sens de l'auteur de la question, peut-on l'interpréter, si on se l'approprie, comme le fait qu'un enfant grandisse et devienne un danger pour la société ? En fait, c'est la même chose.

Le processus de croissance des enfants, certains peuvent être bons à un moment donné, mais en grandissant ils nuisent à la société, d'autres peuvent être méchants à un moment donné, mais en grandissant ils deviennent utiles à la communauté, certains vont à l'université ou les gens voient de bons enfants, mais les diplômés peuvent, en raison d'un certain nombre de facteurs, utiliser leur propre profession apprise pour créer des choses qui nuisent à la communauté, comme le rapport précédent sur l'utilisation des connaissances de l'étude de la chimie pour créer de la méthamphétamine et d'autres nuisances pour la communauté. La société. Il est donc difficile de dire à quel âge ils deviennent les plus dangereux. Toutefois, le grand public a coutume de dire que "l'on peut savoir quand un enfant a trois ans", c'est-à-dire qu'il s'agit d'une expérience, et la plupart des enfants peuvent encore le savoir, à partir de quoi ? Au comportement de l'enfant, à ses habitudes. Lorsque l'enfant est petit, il n'est plus mauvais ni méchant, et ses méfaits sont également très limités. Avec l'âge, la législation nationale prévoit 14 ans, 16 ans et 18 ans pour l'adulte, mais les dispositions relatives à la responsabilité juridique ne sont pas les mêmes.

De même, pour les nodules pulmonaires, un suivi dynamique est généralement recommandé pour les nodules de moins de 8 mm, notamment parce qu'ils sont relativement moins nocifs. Cependant, si des signes de malignité apparaissent, il n'est pas facile de dire, par exemple, si le nodule croît à une vitesse différente dans toutes les directions, s'il devient lobulé, ou si des bavures environnantes apparaissent (l'enfant qui suit les règles commet soudain des erreurs répétées et s'emballe).

Ou bien il provoque une invasion de la plèvre périphérique (nuisant aux intérêts des voisins), ou bien il grandit très vite en peu de temps (comme un voleur qui commet des crimes fréquents, des vols et des cambriolages), etc. Ces 8 mm correspondent à l'âge des enfants rebelles, mais aussi à la période la plus difficile à discipliner. Les parents doivent donc être très attentifs aux enfants adolescents, communiquer davantage, communiquer davantage, pour les nodules de 8 mm, mais aussi assurer un suivi plus étroit, une observation plus poussée.

Certains enfants passeront leur adolescence paisiblement, tout comme l'observation dynamique des nodules pulmonaires sans grand changement, certains enfants adolescents changent d'idéologie, et autour des amis, l'environnement a beaucoup changé, les nodules pulmonaires sont également, si les nodules pulmonaires sont situés dans l'environnement est l'environnement du système immunitaire est faible, est un environnement sec sera enclin à des changements malins, parce que la médecine traditionnelle chinoise, "Yin Ping Yang secret, l'esprit de la guérison ! "Les poumons aiment l'humidité et la sécheresse néfaste", "les poumons tristes", de sorte que pour améliorer le sommeil, cultiver des émotions positives et heureuses, l'auto-gratification, cultiver le sentiment, ou avec d'autres, "la joie de la foule ! "Ne pas fumer, fumer avec le feu, peut rendre l'environnement humide sec, pour la trachée et les bronches, peut faire en sorte que la fonction de balancement des cils soit maintenue, est propice à l'évacuation des mucosités et des métabolites dans les poumons ainsi que des polluants étrangers, loin de la poussière, loin de la pollution de l'air, le temps de friture d'ouvrir la hotte de cuisine sont des mesures tout à fait nécessaires.

Il en va de même pour tous les nodules de plus de 8 mm, qui doivent faire l'objet d'une observation dynamique pour détecter l'apparition de signes de malignité à court terme et, le cas échéant, de mesures précoces telles que la chirurgie. S'il n'y a pas de changement, vous pouvez suivre et observer. Il ne s'agit là que d'une expérience générale : parfois, les signes de malignité sont apparents, mais l'intervention chirurgicale est bénigne, et parfois, les signes de malignité sont apparents, mais l'intervention chirurgicale est maligne. Tout comme certaines personnes sont confrontées à de longs combats, mais ne mettent jamais les autres en danger, ne mettent jamais la société en danger, et font beaucoup de bonnes choses ; certaines personnes ont l'air tout à fait bien, mais font secrètement des choses qui mettent la société en danger, comme faire tomber la corruption de certaines personnes, aller au travail à bicyclette, qui sait le détournement de quelques centaines de millions, ce n'est pas bon à dire.

Il en va de même pour les nodules pulmonaires, ce que j'ai dit plus haut est la probabilité. Mais une chose est sûre, un bon environnement peut transformer une personne, un mauvais environnement peut l'affecter. Il est donc tout à fait justifié d'éviter les mauvaises habitudes et de ne pas fumer, ainsi que de corriger les habitudes irrationnelles et d'améliorer l'immunité.
Avant la tomodensitométrie, la probabilité de détecter un nodule pulmonaire était inférieure à 0,2 %, et la taille du nodule trouvé était généralement supérieure à 1 cm. Avec la popularité de la tomodensitométrie, la probabilité de détecter un nodule pulmonaire a considérablement augmenté, mais la question de savoir quelle taille ou quel type de nodule pulmonaire est le plus dangereux est un sujet particulièrement préoccupant à l'heure actuelle.
Ci-dessous, je vous donne des indications sur la manière d'identifier la relation entre la taille d'un nodule pulmonaire et le risque qu'il soit bénin ou malin !
Premièrement, pour la division des nodules pulmonaires, les nodules pulmonaires ≥8 mm et ≤3 cm sont actuellement appelés nodules pulmonaires typiques, tandis que seuls les nodules pulmonaires <8 mm sont appelés petits nodules !
A l'heure actuelle, bien que nous disions qu'avec l'application continue de la tomodensitométrie spiralée, il est vrai que de plus en plus de nodules pulmonaires <1cm ont été découverts, mais le diagnostic de ces petits nodules est limité, et il est difficile de distinguer entre bénin et malin par les moyens de diagnostic actuels, et l'utilisation clinique des moyens d'imagerie de l'observation régulière de ses changements comme traitement principal, et par rapport aux nodules pulmonaires typiques, dans notre clinique, le traitement sera plus actif !
Deuxièmement, il existe une corrélation entre la taille du nodule pulmonaire et le degré de risque de bénignité ou de malignité ! En général, on considère que les nodules pulmonaires de moins de 5 mm ont un risque de malignité de 0 à 1 % ; ceux de 5 à 10 mm ont un risque de malignité de 6 à 28 % ; et ceux de plus de 20 mm ont une probabilité de malignité beaucoup plus élevée, de près de 60 % ou plus, ce qui est similaire au degré de malignité des nodules pulmonaires de type verre dépoli !
Bien entendu, il existe de nombreuses façons de déterminer la nature bénigne ou maligne d'un nodule pulmonaire !
Tout d'abord, d'un point de vue morphologique, si un nodule semble présenter une bavure ou une marge lobulée, le degré de malignité est plus élevé ;
Deuxièmement, le temps de croissance, les nodules généraux observés pendant plus d'un an, sans phénomène de multiplication évident, possibilité bénigne, mais à l'exception des nodules en forme de verre dépoli, doivent être suivis et observés pendant plus de 2 ans ;
Troisièmement, il y a bien sûr l'imagerie pour déterminer cela, par exemple en utilisant la tomodensitométrie améliorée dynamique ainsi que les modalités PET-CT, mais là encore, il y a des angles morts dans le diagnostic des petits nodules !
En attendant, n'oublions pas une chose :La probabilité de malignité d'un nodule pulmonaire est liée à la taille du nodule, mais aussi à notre âge, à nos antécédents tabagiques, à la présence d'une bavure dans le nodule et à la localisation spécifique du nodule.
Il existe actuellement une formule clinique consensuelle pour calculer la probabilité de malignité ganglionnaire :
<3% est une faible probabilité et l'observation par imagerie est le principal moyen ; 3-68% nécessite des examens complémentaires ; au-delà de 68%, une biopsie est préférable !
Enfin, en ce qui concerne l'examen des petits nodules pulmonaires (c'est-à-dire ceux qui ne présentent pas d'autres facteurs de risque de cancer du poumon), il est très important de prévenir l'aggravation des nodules pulmonaires. L'intervalle et la fréquence des examens sont généralement déterminés en fonction de la taille du nodule pulmonaire, et il est préférable d'opter pour le scanner spiralé à faible dose !
- <4mm, aucune révision ne peut être faite, mais si vous n'êtes pas sûr, vous pouvez avoir une révision après 2-3 ;
- 4-6 mm, et après un an d'examen, l'examen peut être conclu s'il n'y a pas de changement ;
- 6-8 mm, réexamen une fois après six mois et une fois après un an, et réexamen pendant deux années consécutives, et fin du réexamen en l'absence d'anomalie ;
Attention :Si une personne atteinte de petits nodules pulmonaires présente d'autres facteurs de risque de cancer du poumon, la fréquence du suivi doit être augmentée par rapport aux intervalles de temps correspondants ci-dessus !
Le cancer du poumon à un stade précoce peut être guéri, et de nombreux traitements sont insatisfaisants à un stade avancé, d'où l'importance du dépistage des nodules pulmonaires. Cependant, le taux de détection des nodules pulmonaires dans la population normale est très élevé ! Une étude menée en Chine a révélé qu'environ 20 % de la population normale présente des nodules pulmonaires, la plupart d'entre eux étant des nodules bénins tels queNodules inflammatoires, particules de pneumoconiose, ganglions lymphatiques intrapulmonaires, tumeurs bénignes, etc.. C'est pourquoi il est important de déterminer la nature bénigne ou maligne d'un nodule pulmonaire ! Il ne faut pas surmédicaliser et ne pas laisser les nodules dangereux tranquilles. Quelle est la méthode scientifique pour y parvenir ?
Il faut d'abord suivre les recommandations et dépister les nodules pulmonaires à haut risque.

Selon les lignes directrices, il existe deux types de nodules pulmonaires qui doivent être pris au sérieux dès la première détection :
1. nodules solides d'une taille supérieure ou égale à 1,5 cm ou d'un diamètre compris entre 8 et 15 mm, mais présentant des signes de malignité ;
2. nodules pulmonaires sous-solides de plus de 8 mm de diamètre (nodules mixtes de verre et de terre).

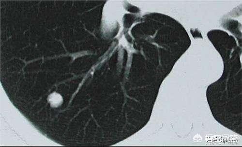
Par exemple, cette femme d'âge moyen présentant un nodule de verre à membrane mixte de 2,2 cm dans le poumon inférieur gauche est un nodule à haut risque, qui présente en fait les signes classiques d'un adénocarcinome pulmonaire, à savoirOmbre en verre dépoli bien définie avec entrée et épaississement vasculaire, signe d'insufflation bronchique, atteinte pleurale distale, pathologie chirurgicale de l'adénocarcinome pulmonaire invasif.Ce type de lésion n'est pas recommandé pour le suivi et doit faire l'objet d'un examen plus approfondi afin d'éviter les métastases et les retards de traitement.
Cependant, nous devons également reconnaître que tous les nodules à haut risque ne sont pas des cancers du poumon, et que les nodules plus petits que les critères de haut risque énumérés ci-dessus peuvent également être des cancers du poumon ! Les lignes directrices ne font que tourner autour du pot.
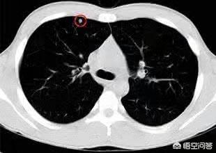
La taille du nodule pulmonaire est un indicateur de référence important.

Cette photo est un résumé du professeur Huang de l'hôpital du cancer de Shandong :
1. les femmes qui ne fument pas, qui n'ont pas d'antécédents de tumeurs ou de maladie pulmonaire obstructive chronique ou de fibrose, qui n'ont pas de pollution dans leur environnement de travail, et dont l'examen physique révèle des nodules solides de moins de 5 mm, qui sont fondamentalement bénins.
2) Les nodules solides de moins de 3 cm, âgés de moins de 30 ans, sont très majoritairement bénins, les boules tuberculeuses étant les plus fréquentes.
En procédant aux deux types de dépistage mentionnés ci-dessus, vous devriez avoir une première idée des nodules pulmonaires bénins.
Certains lecteurs s'interrogeront peut-être sur les précautions à prendre, car nous vivons à une époque où l'incidence des tumeurs est élevée et où le cancer du poumon n'est pas rare chez les jeunes, même certains adénocarcinomes pulmonaires dont la taille est inférieure à 0,5 cm.
Le cancer microscopique du poumon chez les jeunes est une affection rare, et les petites lésions présentent rarement une composante peu différenciée qu'il est prudent de suivre et d'observer. Si la lésion augmente en taille ou en densité au cours du suivi, il n'est pas trop tard pour procéder à une intervention chirurgicale.
Il s'agit d'un cas dans la littérature d'un nodule en verre dépoli qui a grandi pendant 6 ans et s'est progressivement élargi, la pathologie chirurgicale était un adénocarcinome in situ, qui ne métastase pas et ne récidive pas, et dont l'ablation représente une guérison.
En général, pour certains cancers du poumon microscopiques de très petite taille, qui nécessitent un équipement et des techniques de diagnostic de haut niveau, il est nécessaire de passer par l'étape de l'examen clinique.Observation sophistiquée après la construction pour plus de détailsLe scanner hélicoïdal à faible dose n'est pas capable d'une telle précision.
La recherche précoce sur les nodules pulmonaires a connu un véritable essor ces dernières années ! Par exemple, les hôpitaux Shanghai East China Hospital, Zhejiang Zhoushan Hospital, Shandong Yantaishan Hospital, Shandong Liaocheng No.2 Hospital et Hunan Pingjiang County No.1 People's Hospital disposent de groupes spécialisés dans les nodules pulmonaires et ont dû produire d'excellents résultats de recherche.
Je suis le Dr Howe en imagerie. Merci de m'avoir lu. Bienvenue !
Tout d'abord, il faut affirmer que la plupart des nodules pulmonaires sont bénins. La question posée sur le risque des nodules pulmonaires est vraisemblablement une évaluation du risque de malignité des nodules pulmonaires. Ce qui suit est une opinion personnelle.
En premier lieu, il convient d'observer la forme du nodule pulmonaire : si le nodule est arrondi avec des bords clairs, il a tendance à être bénin ; en revanche, s'il présente une bavure sur le bord et des bords irréguliers, il doit être considéré comme malin, quelle que soit sa taille.
Bien entendu, la taille du nodule est également un élément important. En général, si le nodule est plus grand que 8 mm, vous devriez consulter un médecin immédiatement, surtout si le nodule augmente rapidement en peu de temps et si vous avez des antécédents familiaux de tabagisme et de cancer du poumon.
Pour les petits nodules pulmonaires de moins de 8 mm, la théorie veut que l'on assure un suivi pendant environ 6 mois.
Enfin, les données suivantes peuvent donner une première idée du risque de malignité des nodules pulmonaires : les nodules de 1CM ont une probabilité de malignité d'environ 15%, et les nodules de 5MM ont une probabilité de malignité de seulement 0,4%.
Voici ma réponse. Bienvenue à l'hôpital provincial de cancérologie de Jiangsu, Li Feng.
Voyons d'abord un chiffre ! Sur les 8 200 personnes incluses dans le centre de contrôle médical d'un hôpital central, le nombre d'hommes présentant des nodules pulmonaires était d'environ 1 500, avec un taux de détection de 16 %, et le nombre de femmes présentant des nodules pulmonaires était d'environ 1 700, avec un taux de détection de 21 %.
L'image du thorax permet non seulement de trouver des nodules pulmonaires, mais aussi de montrer clairement l'emplacement, la taille, la forme et les caractéristiques des nodules, ce qui suggère que les nodules pulmonaires sont situés dans les poumons et qu'ils se sont accumulés et formés, ce qui correspond à la dénomination médicale chinoise de "stagnation pulmonaire", "stagnation" et "noyaux de flegme", fournissant ainsi une base pour l'identification de la maladie en médecine traditionnelle chinoise. Elle est conforme à la médecine chinoise "stagnation pulmonaire", "accumulation" et "noyaux de flegme", et fournit une base pour l'identification des nodules pulmonaires en médecine chinoise.
tuberculose
Caractéristiques cliniques de la maladie nodulaire 30 à 50 % des patients atteints de maladie nodulaire peuvent présenter des symptômes respiratoires, et 18 à 51 % peuvent présenter une dyspnée. La majorité des patients atteints de maladie nodulaire présentent des caractéristiques subaiguës ou chroniques, tandis qu'une minorité de patients présentent une forme aiguë avec une hypertrophie bilatérale des ganglions lymphatiques hilaires, de l'arthrite et un érythème noueux accompagné de fièvre et de myalgie.

Les signes d'un degré élevé de nodularité comprennent le lupus, l'uvéite, la névrite optique et l'érythème noueux ; les signes suggérant un diagnostic possible de nodularité comprennent les lésions cutanées rouge violacé, les nodules sous-cutanés, la sclérite, la rétinite, le gonflement des glandes lacrymales, les lésions granulomateuses à la biopsie directe par laryngoscopie, l'hypertrophie symétrique des glandes parotides et l'hépatosplénomégalie.
En fonction de leur taille, les nodules sont classés en <5 mm, 5-10 mm et >10 mm, et en fonction de leur localisation, ils sont classés en nodules reliés à la plèvre, nodules périphériques, nodules hilaires et nodules centraux. Les lésions bénignes comprennent l'inflammation, le granulome, l'œdème, l'hémorragie focale, les foyers de nodules fibreux, etc., tandis que les lésions malignes sont le plus souvent des adénocarcinomes pulmonaires.
L'adénocarcinome pulmonaire le plus dangereux
L'adénocarcinome pulmonaire a désormais dépassé le cancer squameux du poumon en tant que type le plus courant de tumeur maligne du poumon, avec une prévalence chez les femmes et un nombre croissant de patients plus jeunes.
L'adénocarcinome pulmonaire est mûr pour une croissance rapide et des métastases partout. L'hyperplasie alvéolaire augmente en densité et mesure généralement moins de 5 mm, quelques-unes dépassant 10 mm.
Chez certains patients, les nodules continueront à évoluer vers un carcinome in situ, tandis que chez d'autres, les nodules n'évolueront plus et resteront tels quels. Lorsque le nodule progresse, il devient cancéreux, mais les cellules cancéreuses sont toutes confinées dans la cavité alvéolaire et ne s'agrègent pas. Le nodule est généralement plus grand que 5 mm et sa densité a légèrement augmenté.

Avec le développement ultérieur, les cellules tumorales se développent davantage et traversent la cavité alvéolaire, ce qui est appelé adénocarcinome micro-infiltrant. Le corps complet de l'adénocarcinome présente la structure complète de la tumeur, mais l'infiltration interstitielle et vasculaire est inférieure à 5 mm. À ce moment de la résection, le taux de survie est également proche de 100 %.
S'il se développe davantage et forme des structures folliculaires, papillaires ou micropapillaires de plus de 5 mm de diamètre, on parle d'adénocarcinome invasif ou d'adénocarcinome pulmonaire. C'est à ce moment-là qu'il devient dangereux !
Je suis le pharmacien Lee, dont la mission est de vous aider à gérer votre corps en vous expliquant, avec des mots simples, des connaissances complexes et difficiles sur les maladies. Vos éloges sont ma plus grande motivation ! De plus, si des membres de votre famille souffrent de troubles connexes, n'hésitez pas à leur transmettre cet article !
Life Road Public Health estime que le danger de ce nodule pulmonaire et la taille de la relation, mais pas une seule taille pour juger du danger de la norme, le nodule pulmonaire général dans plus de 1cm peut être considéré pour la chirurgie, il est dit qu'il y a un danger de la possibilité de, mais il y a des nodules bien que moins de 1cm, mais il y a des lobes, des bavures, ou des nodules pulmonaires dans les vaisseaux sanguins tordus, ou ont un composant solide, même si moins de 1cm de l'âge du poumon, il y a des nodules pulmonaires dans les vaisseaux sanguins tordus, ou ont un composant solide, même si moins de 1cm de l'âge du poumon. Les nodules doivent également être opérés. Disons qu'il y a un risque de malignité et de danger. Le patient doit faire l'objet d'une surveillance dynamique à 3 mois, 6 mois ou 1 an. S'il y a un changement dans la texture du nodule, un changement dans sa forme, un changement dans le taux de croissance, la chirurgie est toujours préconisée.
Les nodules pulmonaires sont des lésions sphériques situées dans les poumons et mesurant moins de 3 cm. Avec la généralisation de la tomodensitométrie thoracique dans les examens médicaux, le taux de détection des nodules pulmonaires est de plus en plus élevé, et de nombreuses personnes sont examinées pour des nodules pulmonaires et sont donc alarmées par crainte d'un développement et d'une évolution maligne. Si le nodule pulmonaire mesure plus d'un centimètre, il convient de procéder à des examens réguliers. Si le taux de croissance est très faible ou si la forme est lisse, il n'y a pas lieu de s'inquiéter ni de se préoccuper. La plupart des nodules étant bénins, il est plus important d'observer leur évolution.
Les conseils de santé publique de Life Road, ainsi que le régime alimentaire habituel, ont beaucoup à voir avec l'environnement. En règle générale, il faut veiller à ce que le régime alimentaire soit léger, ne pas manger d'aliments épicés, gras et sucrés, et veiller à ce que la température soit adéquate, essayer de ne pas prendre froid, arrêter de fumer et de boire. Veillez à ce que la température soit adéquate, essayez de ne pas attraper froid, arrêtez de fumer et de boire de l'alcool.
Quelle est la taille des nodules pulmonaires ? Il n'existe pas de chiffre absolu, mais en général, la probabilité de malignité d'un nodule pulmonaire est directement proportionnelle à sa taille, c'est-à-dire que plus le nodule est gros, plus la probabilité de malignité est élevée. En outre, la probabilité de malignité d'un nodule pulmonaire n'est pas seulement liée à la taille du nodule, mais aussi à sa forme, à sa densité, à ses marges et aux structures tissulaires adjacentes.

Tout d'abord, il est important de comprendre la définition des nodules pulmonaires. Selon le dernier consensus d'experts chinois sur le diagnostic et la prise en charge des nodules pulmonaires, un nodule pulmonaire est défini comme une ombre pulmonaire focale, arrondie, hyperdense, solide ou sub-solide (verre dépoli) d'une taille ≤3 cm, non associée à une atélectasie pulmonaire, à une hypertrophie des ganglions lymphatiques hilaires ou à un épanchement pleural. Les nodules pulmonaires peuvent être isolés ou multiples. Si la lésion mesure plus de 3 cm, il ne s'agit pas d'un nodule mais d'une masse, et la plupart des masses sont des cancers du poumon. En outre, la stadification du cancer du poumon est également liée à la taille : plus la tumeur est grosse, plus la stadification est tardive, ce qui indique également que plus le nodule est gros, plus la probabilité de malignité est élevée.

La probabilité de malignité des nodules pulmonaires est généralement proportionnelle à leur taille, et la probabilité de malignité des nodules microscopiques est relativement faible, comme l'indiquent le National Comprehensive Cancer Network (NCCN) et la Fleischner Society, qui suggèrent que la grande majorité des nodules <4mm-6mm sont bénins, en particulier <4mm, et ne recommandent pas de suivi.
La nature des nodules pulmonaires est déterminée par une combinaison de facteurs, notamment la taille, la morphologie, la densité, les marges, les modifications des tissus adjacents et le rehaussement.
Les nodules bénins ont généralement une forme régulière, comme une forme arrondie, des marges lisses, ou des marges floues en cas d'inflammation, et certaines lésions bénignes peuvent présenter des caractéristiques, comme celles-ci, qui ont une probabilité nulle d'être malignes. Par exemple, dans une tumeur pulmonaire maligne typique, on peut observer des calcifications et de la graisse dans le nodule, dans un ganglion lymphatique intrapulmonaire typique, qui est généralement situé dans la zone sous-pleurale sous la forme d'un petit triangle, et dans une sarcoïdose typique, qui est un nodule solide avec des marges lisses et une calcification centrale.

Si les nodules sont malins, ils ont généralement une forme irrégulière, lobulée (les cellules tumorales se développent de manière irrégulière dans toutes les directions), et peuvent être vus comme un signe vacuolaire, un signe de bavure marginale, un signe de vaisseaux sanguins alimentant la tumeur, un signe de dépression pleurale adjacente, et une augmentation de la taille des nodules en verre dépoli ou des composants solides lors de l'examen de suivi, etc.

De plus en plus de nodules pulmonaires sont détectés de nos jours, mais il n'y a pas lieu de paniquer car les statistiques de recherche montrent que la grande majorité des nodules sont bénins et que la malignité ne représente qu'une très faible proportion, il n'y a donc pas lieu de s'inquiéter pour la plupart des nodules pulmonaires découverts par hasard.
Je suis @ShadowMedicineCho et vous pouvez me suivre pour en savoir plus sur la médecine apparentée.
Ces questions et réponses proviennent des utilisateurs du site, elles ne représentent pas la position du site, s'il y a une infraction, veuillez contacter l'administrateur pour la supprimer.