Les nodules pulmonaires peuvent-ils être éliminés par la prise de médicaments ?
Les nodules pulmonaires peuvent-ils être éliminés par la prise de médicaments ?
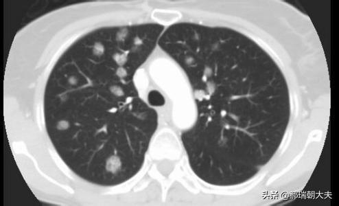
Il existe des nodules pulmonaires multiples et solitaires, et les nodules pulmonaires multiples sont souvent observés à la suite d'une tuberculose ou d'une pneumoconiose, qui sont toutes plus faciles à diagnostiquer avec une anamnèse typique ou une anamnèse du lobe gauche. Les nodules dont nous parlons généralement sont des nodules pulmonaires isolés.

Les nodules pulmonaires ne sont pas un nom de maladie
Les nodules pulmonaires ne sont pas le nom de la maladie car la nature pathologique des nodules pulmonaires est difficile à déterminer, ils sont donc uniformément nommés morphologiquement et collectivement appelés nodules pulmonaires.
Il existe des termes spécifiques pour désigner la taille des nodules pulmonaires : ceux dont le diamètre est ≤3cm sont appelés nodules et ceux dont le diamètre est supérieur à 3cm sont appelés masses ; plus le diamètre du nodule est important, plus le risque de malignité est élevé.

Peut-on prendre des médicaments pour se débarrasser des nodules pulmonaires ?
S'il s'agit d'une inflammation précoce, il est possible que le système immunitaire de l'organisme l'élimine sans médicament, ce qui explique que dans certains cas, lors du premier examen médical, un nodule pulmonaire est trouvé, mais qu'il disparaît lors d'un examen ultérieur.
Si les nodules sont des lésions inflammatoires anciennes, congénitales ou tumorales, les médicaments ne sont d'aucune utilité.
Ainsi, pour les nodules pulmonaires, nous n'envisageons généralement pas de traitement médicamenteux, mais nous suivons et observons, et si le nodule n'a pas changé, alors félicitations, c'est une bonne chose. Si les nodules continuent de croître, il est temps d'envisager une intervention chirurgicale, en tenant compte de l'imagerie et des signes cliniques.
Qu'un nodule pulmonaire puisse être éliminé par des médicaments ou non, il convient de préciser la nature du nodule, à savoir s'il s'agit d'un nodule solide ou d'un nodule en verre dépoli, ainsi que sa taille, qui reste préoccupante si elle est trop importante.
La plupart des nodules sont le résultat d'une inflammation ou sont des lésions anciennes, et cela dépend donc aussi de la nature du nodule.
Les réponses spécifiques doivent encore être dialectisées avant de traiter les symptômes.
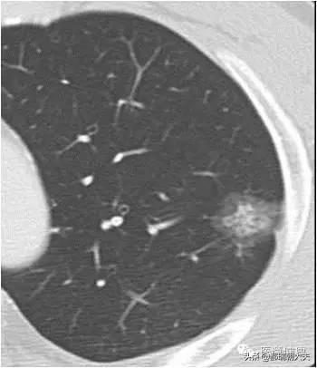
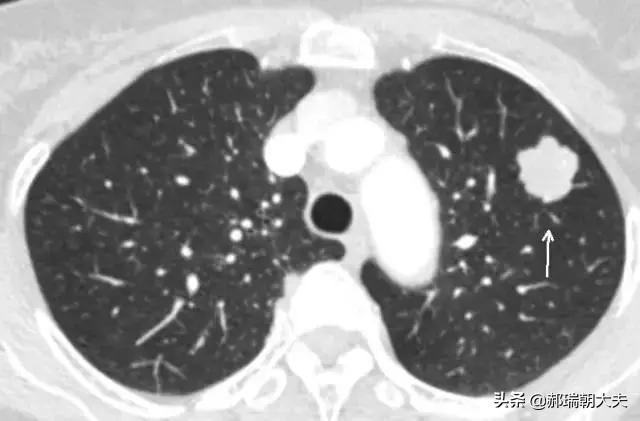
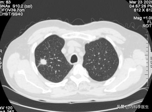
Les examens médicaux étant de plus en plus fréquents, les nodules pulmonaires sont de plus en plus souvent détectés. Les nodules pulmonaires sont un terme d'imagerie, et la définition d'imagerie d'un nodule pulmonaire est une petite lésion bien définie qui est complètement entourée par le parenchyme pulmonaire (Diamètre ≤30mm). La morphologie des nodules est classée comme solide ou sub-solide ; les nodules sub-solides sont eux-mêmes classés en nodules de verre dépoli et en nodules partiellement solides. Les lésions de plus de 30 mm de diamètre sont des masses plutôt que des nodules et ont une probabilité plus élevée d'être malignes.

Environ 99 % des nodules pulmonaires sont des lésions bénignes.Les causes les plus fréquentes sont les granulomes infectieux et les tumeurs bénignes (par exemple, les tumeurs malignes pulmonaires), et parfois les lésions vasculaires et inflammatoires.Environ 1 % des nodules pulmonaires sont malins.Les causes courantes des nodules pulmonaires malins sont le cancer primitif du poumon, les métastases pulmonaires et les tumeurs carcinoïdes.
Des études ont montré que le diamètre du nodule est un facteur prédictif indépendant de la malignité. Plus le diamètre du nodule est important, plus le risque de malignité est élevé, avec les probabilités suivantes : diamètre du nodule <5 mm : <1%;结节直径为5-9mm:2%-6%;结节直径为8-20mm:18%;结节直径>20 mm : >50%.
La plupart des nodules pulmonaires ne peuvent pas être éliminés par la prise de médicaments.Très peu de nodules inflammatoires peuvent être résorbés par des anti-inflammatoires oraux. La prise en charge clinique des nodules pulmonaires dépend de la forme et de la taille du nodule, et différents plans de prise en charge sont élaborés. En général, il est recommandé de suivre régulièrement la plupart des nodules pendant 3 mois, 6 mois, 9 mois ou 1 an (en fonction de la forme et de la taille du nodule). Un très petit nombre de nodules présentant des caractéristiques malignes évidentes peuvent faire l'objet d'une résection chirurgicale.
Life Road Public Health estime qu'il ne s'agit pas d'une bonne généralisation. On parle de nodule pulmonaire isolé lorsqu'il s'agit d'une opacité unique, à limites nettes, d'un diamètre inférieur ou égal à 3 cm, entourée de tissu pulmonaire contenant de l'air, entourée de lésions nodulaires pulmonaires, sans atélectasie pulmonaire, élargissement de la porte du poumon ou épanchement pleural. Les nodules pulmonaires isolés sont fréquents et les causes les plus courantes sont les tumeurs, les granulomes infectieux, les lésions congénitales, etc. Les nodules bénins sont asymptomatiques et peuvent être laissés sans traitement, tandis que le traitement principal des nodules malins est la résection chirurgicale ou la radiothérapie, et le pronostic des nodules bénins est bon, tandis que le pronostic des nodules malins est un peu moins bon.
Il n'y a pas de symptômes, et les petits nodules pulmonaires peuvent être laissés tranquilles grâce à des examens réguliers. Les autres doivent être traités activement. Pour les nodules malins, il est inutile de préciser qu'ils doivent être opérés immédiatement et traités selon le traitement conventionnel des tumeurs. En général, les nodules pulmonaires sont bénins, vous pouvez prendre de la médecine traditionnelle chinoise pour les identifier et les traiter, et il y a des rapports qui indiquent qu'ils sont devenus plus petits, et il y a de nombreux rapports qui indiquent que les nodules pulmonaires sont devenus plus petits après l'utilisation de la médecine.
Il s'agit en général de faire attention au chaud et au froid, de ne pas attraper un rhume, car l'inflammation sera un peu irritante pour ce nodule pulmonaire, n'est-ce pas ?
Je vous suggère de consulter un médecin.
Ces questions et réponses proviennent des utilisateurs du site, elles ne représentent pas la position du site, s'il y a une infraction, veuillez contacter l'administrateur pour la supprimer.