Combien de temps faut-il pour qu'un nodule de 1 cm se forme et pourquoi ?
Combien de temps faut-il pour qu'un nodule de 1 cm se forme et pourquoi ?
Je suis le Dr Shadow. Combien de temps faut-il pour qu'un nodule de 1 cm se forme ? Les nodules dont il est question ici peuvent être des nodules situés dans différentes parties du corps qui mettent plus ou moins de temps à atteindre 1 cm.
Les lésions de moins de 3 cm dans le corps sont appelées nodules. Chaque nodule se forme et se développe de manière différente, de sorte que le temps nécessaire pour atteindre 1 cm est différent. Tout comme un être humain, chaque personne est différente, a un environnement de croissance et un état nutritionnel différents, et prend un temps différent pour atteindre 1 mètre.
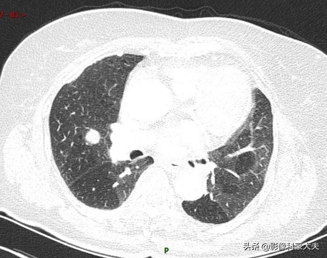
Voici un exemple de nodules pulmonaires, et le temps nécessaire pour qu'un nodule pulmonaire atteigne 1 cm est très différent. Les nodules pulmonaires sont divisés en nodules bénins et nodules malins. Un nodule malin est un cancer du poumon. Le cancer se développe définitivement plus vite que les nodules bénins. Il existe différents types de cancer du poumon, certains sont moins graves et se développent plus lentement, d'autres sont très malins et se développent naturellement plus rapidement.

Comme le nodule ci-dessus, il a fallu un an et demi après sa découverte pour qu'il atteigne 1 cm.
Comme certains nodules métastatiques, ils peuvent passer de zéro à 1 cm, voire plusieurs cm, en un mois.
Dans le cas d'un nodule de verre dépoli, même s'il s'agit d'un cancer du poumon, il peut rester longtemps inerte et croître soit de façon inchangée pendant une longue période, soit d'un centimètre en quelques années.
Si le nodule est bénin, le nodule inflammatoire peut disparaître ou atteindre 1 cm, voire plusieurs cm en quelques jours. Si le nodule grossit beaucoup en quelques jours, cela plaide plutôt en faveur d'une inflammation que d'une tumeur, et peut être traité avec un traitement anti-inflammatoire, puis réexaminé.
Les nodules bénins tumoraux peuvent rester inchangés pendant longtemps et se développer lentement, à un rythme plus lent que les nodules malins.
Ainsi, les gens grandissent plus ou moins vite, tout comme les nodules, et les différents nodules grandissent à des rythmes différents.
Je le suis.Dr. ShadowSuivez-moi si vous voulez en savoir plus sur la médecine.
De nombreux lecteurs souhaitent connaître le taux de croissance du cancer du poumon, ce qui peut aider à choisir le traitement chirurgical des nodules pulmonaires au bon moment pour mettre fin à la progression de certains cancers du poumon à un stade précoce.
Combien de temps faut-il à un nodule pulmonaire malin pour atteindre 1 cm ?
1) Les nodules métastatiques, ou métastases, qui se développent le plus rapidement peuvent atteindre plus d'un centimètre en 2 à 3 mois.
Cette patiente présentait un nodule pulmonaire de 1,1 cm, absent il y a trois mois, et l'examen anatomopathologique a révélé un adénocarcinome pulmonaire métastatique.
2. le cancer primitif du poumon, le cancer du poumon à petites cellules connaissant la croissance la plus rapide
Elle peut également atteindre plus d'un centimètre en quelques mois.
Cependant, l'adénocarcinome pulmonaire précoce et le cancer du poumon malpighien précoce qui atteignent 1 cm prennent généralement plus d'un an. Dans le cas des nodules en verre, il faut compter au moins deux ans, voire plus d'une décennie.
Combien de temps faut-il pour qu'un nodule pulmonaire bénin atteigne un centimètre ?
Les nodules inflammatoires se développent rapidement et peuvent atteindre plus d'un centimètre en moins d'un mois. Ils sont rapidement résorbés grâce à un traitement anti-inflammatoire adapté.
Il s'agit d'un patient âgé, l'examen physique a révélé des nodules pulmonaires, deux mois plus tard l'examen a absorbé, n'a pas utilisé de traitement, juste une attention au repos et à l'exercice approprié, considéré comme une infection de faible virulence.
Je suis le Dr Howe en imagerie. Bienvenue !
Bonjour à tous ! Je suis Medical Mind Carving Dragon, un clinicien passionné par la science.
Combien de temps faut-il pour qu'un nodule de 1 cm se forme ? En parlant de nodules pulmonaires, il ne faut pas se tromper, à l'ère du "nœud" universel, les nodules pulmonaires équivalent aux cauchemars de beaucoup de gens, parce que dans l'impression de beaucoup de gens les nodules sont des cancers, en fait, non, il y a beaucoup de nodules bénins, seulement une très petite partie des nodules malins, pour le corps humain, la menace des nodules bénins n'est pas très grande, la nécessité de prêter attention à ces nodules malins. Ce sont les nodules malins qui posent problème.
Combien de temps faut-il pour qu'un nodule malin atteigne un centimètre ?
Le nodule malin, comme son nom l'indique, est un cancer, et le corps principal de sa composition est également constitué de cellules cancéreuses, mais quel que soit le type, il s'agit en fait, au tout début, d'une croissance progressive d'une seule cellule cancéreuse. Pour un corps humain sain, la menace d'une seule cellule cancéreuse n'est pas grande, et tant que le système immunitaire fonctionne correctement, les cellules cancéreuses seront éliminées à temps, mais une fois que le corps humain subit une lésion, par exemple, le rôle de divers facteurs cancérigènes, il y aura des cellules cancéreuses qui échapperont à l'attaque du système immunitaire, proliféreront et formeront des cellules cancéreuses. Cependant, lorsque le corps humain subit des changements pathologiques, tels que l'action de divers facteurs cancérigènes, certaines cellules cancéreuses échappent à l'attaque du système immunitaire, prolifèrent et forment des métastases, ainsi qu'un amas de cellules cancéreuses de un à plusieurs.
L'indicateur le plus important est le temps de multiplication des cellules cancéreuses, c'est-à-dire le temps de division et de prolifération des cellules. Le temps de multiplication varie d'un cancer à l'autre ; par exemple, certaines cellules cancéreuses ont un temps de croissance rapide et il ne leur faut souvent que quelques mois pour atteindre une taille d'un centimètre. Cependant, le temps de multiplication de la plupart des tumeurs solides, par exemple le cancer du poumon, devrait être relativement plus lent ; certaines recherches ont montré qu'il faut généralement 8 à 10 ans à une cellule cancéreuse du poumon pour se diviser et proliférer jusqu'à une taille d'un centimètre, et certaines peuvent même être plus longues. Certaines études montrent qu'il faut généralement 8 à 10 ans pour qu'une cellule cancéreuse du poumon se divise et prolifère jusqu'à atteindre la taille d'un centimètre, et certaines d'entre elles peuvent prendre un peu plus de temps. Bien sûr, il n'y a pas de valeur absolue, et certains patients peuvent atteindre la taille d'un centimètre en seulement 3 à 5 ans.
Il convient de préciser que la détection d'un cancer ne signifie pas qu'il s'agit du début du développement d'un cancer.
Comme je l'ai dit précédemment, il faut beaucoup de temps pour qu'une cellule cancéreuse se développe en une lésion de la taille d'un centimètre, et pendant cette période, qui est la période de latence du cancer, le patient peut ne présenter aucun symptôme. Par exemple, pour un cancer du poumon à un stade précoce, il y a une période asymptomatique d'environ un an pendant laquelle le corps du patient ne présente aucun signe, et au moment où la maladie se développe, l'état du patient peut déjà avoir atteint un stade avancé, et il ou elle a perdu l'occasion d'être guéri(e) à la racine. En fait, le patient souffre déjà d'un cancer, mais la science médicale actuelle ne peut pas le détecter. La meilleure façon de prévenir le cancer est donc de le faire à l'avance, par exemple en adaptant ses habitudes de vie, en évitant les facteurs de risque élevés, etc. Bien que le cancer ne puisse pas être détecté à un stade très précoce, si le cancer peut être détecté à un stade précoce, cela sera très utile pour le traitement du patient.
Je suis un cœur médical sculpté en dragon, ce n'est pas facile à coder, tout le monde voit que c'est aussi un destin, appréciez un like avant de partir ah !
Combien de temps faut-il pour qu'un nodule atteigne 1 cm ? A cette question, les situations diffèrent d'une personne à l'autre, car chacun d'entre nous a un environnement physique et organique différent, il peut aussi y avoir des changements différents dus à la nature différente des nodules, couplés à l'agression de l'environnement extérieur. Certains nodules croissent très rapidement, il faut y prêter attention, ils peuvent être en train de se détériorer, les nodules plus petits peuvent être suivis régulièrement pour observer les changements dans les nodules, une fois la tendance à la croissance rapide, il faut intervenir rapidement.
La santé de chacun est différente, d'un mois à plusieurs années. On peut le savoir par son alimentation, les indicateurs de son corps. Par exemple, les nodules thyroïdiens, selon les hormones que vous produisez, plus ou moins d'apport en iode. C'est aussi différent.
Ces questions et réponses proviennent des utilisateurs du site, elles ne représentent pas la position du site, s'il y a une infraction, veuillez contacter l'administrateur pour la supprimer.