Quels sont les tests effectués pour détecter les maladies coronariennes, l'infarctus du myocarde et l'ischémie myocardique ?
Quels sont les tests effectués pour détecter les maladies coronariennes, l'infarctus du myocarde et l'ischémie myocardique ? 
Quelle que soit la cause de l'oppression thoracique, de la douleur thoracique et de l'essoufflement, il s'agit toujours d'une expérience éprouvante. En effet, j'ai vu trop de personnages dans les films et à la télévision s'effondrer, la poitrine couverte.
Parlons des examens cardiologiques les plus courants.
1. l'électrocardiogramme :
Les signaux électriques émis par le cœur sont convertis en une forme d'onde grâce à un dispositif de collecte situé à la surface du corps, et c'est ce que l'on appelle un ECG. Tout comme un téléphone, après avoir reçu un signal électromagnétique régulier, celui-ci est converti en parole afin que vous puissiez comprendre ce que dit votre interlocuteur. L'ECG est l'un des examens de base pour tous les problèmes cardiologiques, qu'il s'agisse d'un problème de rythme cardiaque ou d'un problème d'irrigation sanguine, et il est indispensable. Si vous rencontrez un médecin qui vous dit que vous souffrez d'une ischémie myocardique et vous prescrit des médicaments sans regarder l'ECG, vous pouvez lui demander en face : "Comment pouvez-vous conclure que je souffre d'ischémie alors que le cœur n'est pas au bon endroit ! Vous vous prenez pour une machine à ECG !"
L'inconvénient de l'ECG est qu'il ne reflète que ce qui se passe au niveau du cœur pendant les quelques minutes où vous êtes allongé sur le lit d'examen. Si vous ne vous sentez pas mal au moment de l'ECG, celui-ci peut être une indication normale, alors comment peut-il refléter ce qui se passe à d'autres moments. Le test suivant est une version améliorée de l'ECG.
2. électrocardiographie ambulatoire :
Si 24 heures pour le médecin de garder un œil sur votre électrocardiogramme n'est pas très réaliste, le tigre a le temps de sieste, mais l'électrocardiogramme de 24 heures est comme un 24 heures ne sera jamais ennuyé, médecin consciencieux, l'enregistrement complet de votre électrocardiogramme changements, l'enregistrement de votre cœur veulent dire au médecin des choses. Ce test vise à 24 heures du rythme cardiaque régulièrement ah, il n'y a pas d'ischémie et d'autres problèmes, si vous retour 24 heures électrocardiogramme dynamique en même temps, vous pouvez faire un exercice d'escalade, il peut également être utilisé comme un test de charge d'exercice pour évaluer vos activités après l'approvisionnement en sang du muscle cardiaque. Si vous avez une sensation de chute dans la région précordiale, une sensation d'emballement, la conscience d'un rythme cardiaque rapide ou lent, une oppression thoracique la nuit, une sensation d'étouffement au réveil, une oppression thoracique et une douleur thoracique après l'activité. Cet ECG de 24 heures est un outil essentiel pour confirmer votre diagnostic.
Bien sûr, un ECG ambulatoire n'est pas infaillible, si vous avez une gêne précordiale épisodique et que le jour de l'ECG ambulatoire, il n'y a pas de crise, alors l'ECG ambulatoire ne pourra pas refléter votre problème, et vous devrez compter sur l'affinement de l'ECG ambulatoire de nombreuses fois dans le passé, afin d'être en mesure de saisir les changements dans l'ECG au moment de la crise. Comment se débarrasser de cette limitation et vérifier votre état cardiaque à tout moment, c'est le test suivant.
3. examen par tomodensitométrie coronaire :
La naissance de la tomodensitométrie à 64 rangs et le développement de la technologie de suivi dynamique nous ont permis d'examiner les vaisseaux cardiaques de manière non invasive afin d'identifier la présence et l'étendue de la sténose dans les vaisseaux coronaires. Cette technique a bénéficié à de nombreux patients souffrant d'oppression et de douleurs thoraciques et ayant peur des aiguilles et du bloc opératoire. Le principe de cet examen est le suivant : un agent de contraste est injecté par voie intraveineuse et un balayage en spirale des vaisseaux coronaires remplis de produit de contraste est effectué par tomodensitométrie. Chaque tranche de balayage de l'artère coronaire est ensuite combinée pour former une image de l'artère coronaire grâce à la technologie de combinaison d'images.
Ce test est non invasif et sûr, mais il présente un certain nombre de lacunes, ① le contrôle du rythme 64 rangs CT exige que la fréquence cardiaque soit contrôlée à 60 battements / min ou moins, plus rapide 128 rangs et CT à double source exige également que la fréquence cardiaque soit contrôlée autant que possible dans les 70 battements / min ou moins ; ② Coronary CT entre le cœur de l'examen ordinaire et l'angiographie des artères coronaires, mais aussi et l'angiographie des artères coronaires, comme les dommages de rayonnement et de contraste, si les symptômes sont très clairs. Si les symptômes sont très clairs, il est préférable d'effectuer le test d'imagerie en plus de l'examen, qui peut également être traité directement ; ③ souvenez-vous de cette phrase, si le scanner coronaire indique que vous n'avez pas de maladie coronarienne, la crédibilité de cette phrase peut atteindre 99 %, mais si le scanner coronaire indique que vous avez une maladie coronarienne, la crédibilité de cette phrase n'est que de 70 %.
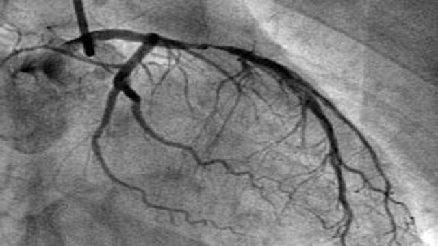
4. la coronarographie :
Enfin, il est temps de parler du roi des examens cardio-vasculaires. La coronarographie est bien plus ancienne que moi : depuis 1959, date de la première coronarographie réalisée par le Dr Sones du Centre médical de Cleveland aux États-Unis, l'histoire de la coronarographie remonte à près de 56 ans. Depuis sa création, la coronarographie est devenue l'étalon-or de la maladie coronarienne en raison de ses caractéristiques intuitives et objectives.
La signification de l'indice d'or pour le diagnostic de la maladie coronarienne est un peu comme le testament de l'empereur, qui dit oui ou non. Quels que soient les examens effectués sur les artères coronaires, dès lors qu'une coronarographie a été réalisée, tout dépend des résultats de la coronarographie. La coronarographie consiste à insérer un cathéter épais à cœur de stylo à bille dans l'artère fémorale ou l'artère radiale, à le placer dans l'ouverture de l'artère coronaire et, grâce à l'injection d'un produit de contraste et au développement de l'image, à observer l'alignement, le nombre et la déformation des vaisseaux de l'artère coronaire sous le produit de contraste ; à évaluer l'existence, la gravité et l'étendue des lésions de l'artère coronaire ; à évaluer les changements fonctionnels des artères coronaires, y compris le spasme des artères coronaires et la présence ou l'absence de circulation dans les branches latérales ; en même temps, elle peut également prendre en compte le côté gauche de l'artère coronaire et évaluer les changements fonctionnels des artères coronaires. Évaluation des modifications fonctionnelles des artères coronaires, y compris le spasme des artères coronaires et la circulation des branches latérales ; en même temps, elle peut prendre en compte l'évaluation de la fonction cardiaque gauche. On peut dire que cet examen couvre fondamentalement tous les examens liés au cœur, à l'exception de l'électrophysiologie.
Les risques de la coronarographie se concentrent sur : (1) l'intrusion de la plaque artérielle pendant la ponction, qui peut conduire au délogement de la plaque coronaire et au spasme coronaire ; (2) l'hématome post-procédure au point de ponction ; et (3) l'effet du produit de contraste sur la fonction rénale. Il convient de noter que ces risques, bien que présents, peuvent être évités par une évaluation vasculaire préopératoire, une compression postopératoire adéquate pour l'hémostase et une hydratation suffisante.
En conclusion, si elle est réalisée par un interventionniste et une équipe expérimentés, la sécurité de la coronarographie est encore largement garantie et il n'y a pas lieu de s'inquiéter outre mesure. Les avantages de la coronarographie l'emportent sur ses inconvénients par rapport à l'utilité diagnostique pour les patients atteints d'une maladie coronarienne.
Nous vous présentons ici les quatre tests les plus importants pour le diagnostic de la maladie coronarienne. Grâce à ces quatre tests, les lésions des vaisseaux sanguins coronaires n'ont rien à cacher.
Alors, chers amis, si vous avez des paroxysmes d'oppression thoracique, des douleurs thoraciques et toutes sortes de problèmes cardiaques présumés que vous trouvez sur Baidu, n'hésitez pas à demander à votre médecin : "Est-ce que cette maladie coronarienne est pour moi ?
Sans l'appui de ces tests, un cardiologue responsable de la médecine occidentale ne vous donnerait jamais aveuglément son avis.
En effet, une fois le diagnostic de maladie coronarienne posé, le coût des médicaments à vie sera d'innombrables fois supérieur au coût de ces tests définitifs de maladie coronarienne.
最后,对于那些实在觉得医生开检查就是在骗钱的亲们,我啰嗦最后一句:知己知彼百战不殆、工欲善其事必先利其器、战略上要藐视对手战术上要重视对手、目的正确要比跑的快更重要...........!
Bienvenue à suivre et à vous donner une vision différente de la médecine !
Merci pour l'invitation à poser des questions !

Il existe un lien étroit entre les maladies coronariennes, l'infarctus du myocarde et l'ischémie myocardique. La maladie coronarienne et l'infarctus du myocarde sont les noms de ces maladies. La première désigne le rétrécissement des vaisseaux sanguins qui alimentent le cœur en raison de l'athérosclérose, entraînant une irrigation sanguine insuffisante du muscle cardiaque, ce qui peut provoquer des symptômes tels qu'une sensation d'oppression et des douleurs thoraciques. L'infarctus du myocarde, quant à lui, est une ischémie myocardique grave qui aboutit à la nécrose des cellules du muscle cardiaque. Ces deux processus montrent que l'ischémie myocardique désigne un état plutôt qu'une maladie. Du point de vue de la classification des maladies, les trois peuvent être classées dans la catégorie des maladies coronariennes. Il existe de nombreux tests de dépistage de la maladie coronarienne et le Dr Elf en décrit quelques-uns parmi les plus importants :

1、Electrocardiogramme (ECG) : en cas d'ischémie ou de nécrose du myocarde, l'ECG peut souvent observer des changements, et il montre des changements dynamiques ; en outre, en fonction des anomalies des différentes dérivations, on peut juger quelle paroi du cœur est touchée par l'ischémie ou l'infarctus, et en déduire ensuite quel vaisseau sanguin peut être touché par l'ischémie ; ce test peut être considéré comme le plus pratique et le moins cher, mais l'inconvénient est que l'ECG ne peut pas observer directement l'état des vaisseaux sanguins, ce n'est donc pas un indice en or pour le diagnostic de la maladie coronarienne ; ce test peut être considéré comme le plus pratique et le moins cher. Toutefois, l'inconvénient est que l'ECG ne permet pas d'observer directement l'état des vaisseaux sanguins, il ne s'agit donc pas d'un indicateur en or pour le diagnostic de la maladie coronarienne ;

2, la coronarographie : il s'agit d'un examen invasif, par ponction artérielle, le cathéter est introduit dans l'ouverture de l'artère coronaire, l'agent de contraste y est injecté et la situation de remplissage à l'intérieur du vaisseau sanguin et la vitesse du flux sanguin sont observées aux rayons X ; ce type d'examen permet de voir directement la situation à l'intérieur du vaisseau sanguin, c'est donc l'indice d'or pour le diagnostic de la maladie coronarienne, mais l'inconvénient est qu'il s'agit d'un examen invasif ;

3、Coronary CT : elle injecte un agent de contraste par une veine superficielle et utilise l'imagerie par tomodensitométrie, de sorte que la sécurité est supérieure à celle de l'artériographie directe, mais comme l'image est synthétisée et qu'il existe certaines exigences en matière de rythme cardiaque, la performance diagnostique est plus faible que celle de l'artériographie coronarienne ;
4, test de la plaque : ce test est quelque peu similaire à la marche sur un tapis roulant, à travers différentes quantités d'exercice, pour observer les changements dans l'électrocardiogramme, la différence entre ce test et l'électrocardiogramme ordinaire est qu'il peut observer activement la performance de l'ischémie sous la charge du cœur pour faire le travail ; ce test ne convient pas aux patients dont l'état est instable ;

5, échographie cardiaque : l'échographie cardiaque permet d'observer le muscle cardiaque et l'anatomie interne de l'examen ; elle ne peut pas voir directement les artères coronaires, mais en cas d'ischémie ou de nécrose du myocarde, elle affectera le mouvement du myocarde, de manière à répondre indirectement à la situation de l'approvisionnement en sang du cœur ;
Ce qui précède présente plusieurs méthodes d'examen des maladies coronariennes couramment utilisées, afin que le grand public comprenne bien, en fin de compte, quand utiliser quel examen, il vaut mieux écouter les conseils d'un médecin professionnel.
Merci pour l'invitation ! Cette question a été posée à plusieurs reprises, mais le sujet est si vaste que je ne peux en donner qu'un bref aperçu.
La maladie coronarienne est l'abréviation de cardiopathie coronarienne athéroscléreuse. Bien entendu, l'insuffisance de l'apport sanguin aux artères coronaires ou l'infarctus du myocarde ne sont pas uniquement dus à l'athérosclérose des artères coronaires, il y a d'autres raisons, mais la plus importante, la plus courante, plus de 95 % d'entre elles sont dues à l'athérosclérose coronarienne, à la sténose. Par conséquent, lorsque nous parlons de maladie coronarienne, nous entendons maladie coronarienne athéroscléreuse.

La maladie coronarienne peut provoquer une ischémie myocardique si l'apport sanguin est seulement insuffisant, et l'ischémie myocardique est un infarctus du myocarde si l'ischémie est grave ou complètement interrompue, entraînant une nécrose ischémique du myocarde. Par conséquent, l'ischémie myocardique et l'infarctus du myocarde peuvent tous deux être causés par une maladie coronarienne, mais à un degré différent.
Présente quelques méthodes de dépistage couramment utilisées.
1. l'électrocardiogramme. L'ischémie myocardique a un taux de détection relativement faible (généralement inférieur à 50 %), sauf en cas de crise d'angine de poitrine, car l'ECG se modifie pendant l'ischémie et se rétablit après l'ischémie. L'infarctus du myocarde a un taux de détection plus élevé, mais il arrive que le moment du test soit mal choisi (période de pseudo-amélioration) et qu'il passe inaperçu.

2. électrocardiogramme ambulatoire.. Il s'agit de l'examen et de l'enregistrement de l'ECG pendant 24 heures, voire plus. Il est ainsi possible d'enregistrer les modifications de l'ECG lors des épisodes d'ischémie myocardique, de pallier l'absence d'ECG général et de détecter certains patients présentant une ischémie myocardique indolore (asymptomatique).

3. l'essai d'exercice (charge). Il existe des méthodes à plat (course à pied) ou à pédale (cyclisme), et les plus récentes surveillent également la fonction respiratoire en même temps. L'exercice doit être effectué à des niveaux sous-maximaux (niveaux de fréquence cardiaque basés sur des critères d'âge et de valeur métabolique). En effet, lorsque les artères coronaires sont rétrécies à un certain degré (75 % ou plus), la capacité de compensation (dilatation lorsque la demande d'apport sanguin augmente pour assurer l'apport sanguin) est considérablement réduite, et lorsque l'exercice augmente la charge sur le cœur et nécessite une augmentation de l'apport sanguin, une ischémie myocardique se produit, et l'électrocardiogramme se modifie en conséquence. Cette méthode permet probablement de détecter environ 70 % des patients.

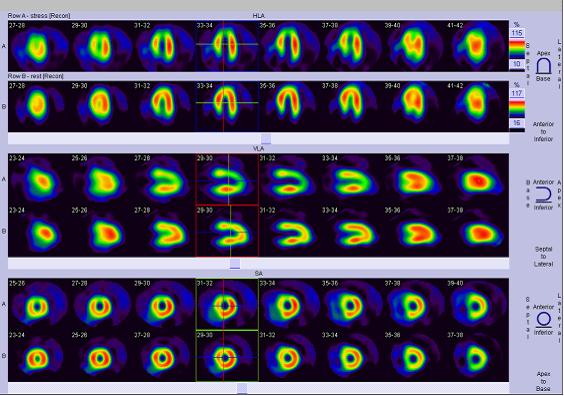
4. imagerie de perfusion myocardique par nucléides d'exerciceIl s'agit d'un test d'effort associé à une imagerie de perfusion myocardique nucléaire. Il s'agit d'une épreuve d'effort couplée à une imagerie de perfusion myocardique par radionucléides. Pour ce faire, on injecte par voie intraveineuse des radionucléides (isotopes) qui peuvent être absorbés par les cellules du muscle cardiaque et qui sont pompés par les vaisseaux sanguins jusqu'au cœur pour être absorbés par les cellules du muscle cardiaque ; s'il n'y a pas d'apport sanguin, le myocarde ne peut pas absorber les radionucléides. Ainsi, l'apport sanguin est déterminé par la quantité de radionucléides présents dans le myocarde (concentrés, épars). L'exercice permet ensuite d'identifier l'ischémie ou l'infarctus. Si l'examen est bon pendant l'exercice, il n'y a pas d'ischémie ou d'infarctus ; si la perfusion de nucléides diminue pendant l'exercice et est normale pendant le temps calme, il y a une ischémie ; s'il n'y a pas de perfusion pendant l'exercice ou le temps calme, cela signifie que les vaisseaux sanguins qui apportent le sang sont obstrués.

5. angiographie coronaire par tomodensitométrie (CT coronary angiography)La procédure consiste à injecter un agent de contraste iodé dans un vaisseau sanguin. Elle consiste à injecter un agent de contraste iodé dans un vaisseau sanguin et à utiliser la tomodensitométrie (CT) pour examiner les artères coronaires afin de vérifier la présence de malformations, de ponts dans le myocarde, de plaques et de sténoses dans les artères coronaires. L'avantage de cette méthode est qu'elle est "non invasive" et qu'il n'est pas nécessaire d'introduire un cathéter dans les artères coronaires. Cependant, comme il s'agit d'une radiographie, il est préférable d'examiner les calcifications, mais il y a des limites à l'examen des sténoses, qui n'est pas très précis (cela dépend de l'instrument et du niveau de compétence de l'examinateur), et en outre, un rythme cardiaque rapide ou irrégulier affectera également l'effet de l'imagerie. Par conséquent, cette méthode est la meilleure pour exclure une maladie coronarienne et moins précise pour diagnostiquer une sténose. En outre, au cours de l'examen, 80 à 100 ml d'agent de contraste iodé sont injectés par voie intraveineuse. Premièrement, il existe un risque d'allergie (le test cutané peut ne pas être détecté), deuxièmement, l'agent de contraste doit être excrété par les reins, ce qui est dommageable pour les reins, et un petit nombre de patients peut développer une "néphropathie de contraste" (néphropathie de contraste), avec une déficience ou une insuffisance rénale, de sorte qu'un traitement d'"hydratation" est nécessaire avant et après l'examen. Il est donc nécessaire de s'hydrater avant et après l'examen.

6. coronarographie (coronarographie transartérielle percutanée)La procédure. Elle consiste en une ponction artérielle (artère radiale au poignet ou artère fémorale à la base de la cuisse) pour amener un cathéter jusqu'à l'orifice de l'artère coronaire, injecter un produit de contraste iodé pour observer la morphologie de l'artère coronaire et le flux sanguin, et diagnostiquer généralement une maladie coronaire avec une sténose de plus de 50 %. Cette méthode est actuellement "l'étalon-or" pour le diagnostic de la maladie coronarienne. Elle a l'avantage d'être précise (bien sûr, il existe des cas d'imprécision, dus à l'angle de projection, à l'expérience du médecin, à la déformation du vaisseau, etc.), et de pouvoir être traitée immédiatement après la détection du problème, en utilisant la dilatation par ballonnet ou le stenting (et d'autres techniques) pour ouvrir l'artère coronaire et améliorer l'apport sanguin, et pour détecter et traiter le problème dans le même temps. Cette méthode est une procédure peu invasive dont la technologie a fait ses preuves et dont la sécurité est excellente. Mais comme il s'agit d'une procédure, il y a des blessures, des risques et le même problème avec les produits de contraste.

Lorsqu'une coronarographie est réalisée, elle peut également être effectuéeéchographie intravasculaireExamen pour déterminer la plaque d'athérome

7. échocardiographieIl s'agit d'un test non invasif qui examine la structure et la fonction du cœur. L'ischémie ou l'infarctus est déterminé en examinant le mouvement, l'épaisseur, etc. de la paroi ventriculaire. En cas d'ischémie, le mouvement de la paroi ventriculaire est affaibli et non coordonné, et le myocarde infarci est aminci, voire ne bouge pas (se contracte) ou bouge dans la direction opposée (se contracte), ce qui est médicalement connu sous le nom de "tumeur de la paroi ventriculaire", et il peut également y avoir un "thrombus de la paroi attachée". Chez les patients présentant des infarctus importants, la fonction cardiaque mesurée par échographie peut être réduite.

8. enzymes du muscle cardiaque (CK-MB) et marqueurs de lésions myocardiques(TnI, troponine), la troponine sanguine peut être élevée en cas de lésion ischémique du myocarde ; en cas d'infarctus du myocarde, la troponine et les enzymes cardiaques peuvent être élevées.

Il s'agit de modalités auxiliaires de dépistage de l'ischémie myocardique et de l'infarctus. En effet, lesAngine de poitrine, infarctus du myocarde lors d'une ischémie myocardique是ont des manifestations et des schémas cliniques qui leur sont propresLe.chirurgien要Sur la base des antécédents médicauxLe patientSymptômes et signes permettant de porter un premier jugement et de déterminer les tests à effectueret ensuiteIntégration des conditions cliniques et d'examen pour déterminer le diagnostic et la prise en charge. Par conséquent, les symptômes des épisodes cliniques, le schéma des épisodes, le mode de soulagement et la réponse aux médicaments peuvent apporter une aide précieuse au diagnostic du médecin ; ils sont également importants et ne doivent pas être ignorés.


(Image tirée du site web)
Bonjour, je suis le Dr Knowles Blue.
Tout d'abord, la réponse, le nom complet de la maladie coronarienne est appelé maladie coronarienne athérosclérotique, avec la progression de la maladie, il y aura différents états pathologiques, y compris l'angine de poitrine stable, l'angine de poitrine instable, l'infarctus du myocarde, couramment utilisés dans le diagnostic et le traitement de la maladie coronarienne moyens, y compris les électrocardiogrammes, échographie du cœur, CTA des artères coronaires, angiogrammes coronaires, tests sanguins (enzymes cardiaques, troponines), chacun d'entre eux ayant ses propres caractéristiques et son propre rôle. Chacun de ces tests a ses propres caractéristiques et son propre rôle, et peut se compléter et se confirmer, mais pas se remplacer. Voyons ces tests.

L'ECG est comme un stylo électrique qui mesure l'électricité du cœur pour déterminer l'état du muscle cardiaque.
L'électrocardiogramme (ECG) agit comme un stylo électrique en représentant les vecteurs intégrés de ces bioélectricités, et il existe trois types d'électrocardiogrammes couramment utilisés à l'heure actuelle : l'électrocardiogramme ordinaire, l'électrocardiogramme ambulatoire sur 24 heures et la combinaison d'exercice et l'électrocardiogramme.
- ECG général :Presque toutes les personnes qui ont subi un examen médical de routine ont eu un ECG, le genre d'examen où l'on s'allonge sur un lit avec des électrodes fixées aux mains et aux pieds ainsi qu'à la poitrine, et qui se termine en quelques secondes, après quoi une impression de la forme d'onde de l'ECG est réalisée. Ce type d'examen est très pratique, rapide et relativement peu coûteux, puisqu'il ne coûte généralement que 20 à 30 dollars.Elle peut être observée en cas d'ischémie myocardique dans le cadre d'une maladie coronarienne, mais pas en l'absence d'ischémie, ce qui est le cas lors d'une angine de poitrine ou d'un infarctus du myocarde.. Mais alors, même lorsque la sténose coronaire atteint 75 %, ce qui est en bonne voie pour diagnostiquer une maladie coronarienne, il n'y a aucun moyen de la voir s'il n'y a pas d'activité et si l'oxygène du sang myocardique est encore suffisant.Dans l'autre cas, s'il y a eu un infarctus du myocarde, l'ECG montrera des changements qui ressemblent à une "cicatrice", qui est une onde Q pathologique.

- 2Électrocardiogramme ambulatoire de 4 heures :Un ECG normal ne peut être observé que lorsqu'un patient a une attaque ischémique, mais les patients ne sont souvent pas hospitalisés au moment de l'attaque ischémique et, lorsqu'ils arrivent à l'hôpital, ils peuvent être en rémission.L'avantage d'un ECG ambulatoire de 24 heures réside dans sa capacité à surveiller les changements cardiaques d'un patient sur une période de 24 heures.Tant que le patient a subi un épisode d'ischémie myocardique dans les 24 heures précédant l'examen, l'ECG ischémique peut être enregistré.。

- Électrocardiogramme d'effortEn fait, s'il n'y a pas eu d'activité intense pendant les 24 heures où l'ECG ambulatoire de 24 heures a été porté, il est possible qu'il n'y ait pas eu d'épisodes ischémiques pendant ces 24 heures, et un autre type d'ECG appelé ECG de stress à l'effort peut compenser cela.Le patient est invité à se tenir debout sur une machine ressemblant à un tapis roulant et à courir pendant que l'ECG est surveillé. Lorsque l'exercice atteint une certaine intensité, il peut induire une attaque ischémique, à laquelle un ECG d'ischémie peut être tracé, ce qui permet également de diagnostiquer l'ischémie myocardique.Bien entendu, ce type d'ECG à l'effort comporte certains risques et ne doit être réalisé que sous la protection d'un médecin expérimenté.

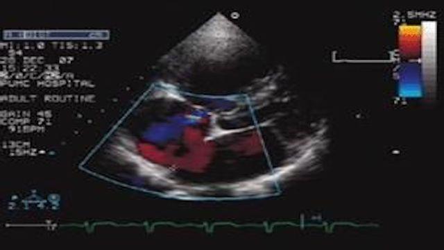
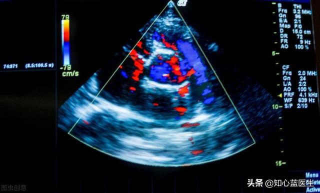
L'échographie cardiaque est une sorte de règle qui permet d'évaluer la taille du cœur, sa mobilité, sa contractilité et sa résistance.
- L'échographie cardiaque est basée sur le principe des ondes sonores.Il reçoit les ondes sonores réfléchies par le cœur et les convertit en images sur l'appareil d'échographie cardiaque, ce qui permet de mesurer directement la taille des oreillettes et des ventricules du cœur, la contractilité du cœur, l'état des valves et l'activité du cœur.Cependant, l'échographie cardiaque ne permet généralement pas de voir directement s'il y a un rétrécissement ou une obstruction des artères coronaires.

- Les formes plus légères d'ischémie myocardique et de coronaropathie ne présentent généralement pas de modifications de la taille du cœur, de la contractilité cardiaque ou de l'activité cardiaque.Ainsi, si l'échographie cardiaque semble normale ou essentiellement normale, elle ne prouve pas l'absence d'ischémie myocardique ou de maladie coronarienne.

- L'ischémie myocardique sévère, la maladie coronarienne ou même un infarctus du myocarde relativement important peuvent être clairement visibles à l'échographie cardiaque sous la forme d'une modification de la contractilité cardiaque.Les symptômes de l'ischémie sont des changements dans l'activité du myocarde et même des anomalies dans le fonctionnement des valves cardiaques. On peut ainsi déduire indirectement que le myocarde souffre d'une ischémie sévère.

La CTA et l'angiographie coronaire sont comme un plombier qui inspecte les tuyaux et les répare.
Les artères coronaires sont utilisées pour alimenter le cœur en sang, elles sont donc comme la plomberie qui fournit l'eau à l'intérieur d'une maison. L'angiographie coronaire et l'angiographie CTA sont les plombiers qui peuvent voir directement dans les artères coronaires.
- 冠Le CTA de Pulse est un plombier débutantL'angiographie coronarienne est en fait une sorte d'examen tomodensitométrique. Lors de cet examen, un médicament est injecté dans la veine de la main, ce médicament est l'agent de contraste. Lorsque l'agent de contraste atteint l'artère coronaire, il montre l'ombre de cette artère coronaire et permet de déterminer s'il y a un blocage ou un rétrécissement de l'artère coronaire.Les troncs principaux des artères coronaires et certaines des plus grosses branches sont plus clairement visibles, tandis que les plus petites branches sont moins bien représentées.

- La coronarographie est une technique de pointe en matière de plomberie.Le principe de la coronarographie est similaire à celui de l'angiographie coronaire, mais la coronarographie est un examen invasif au cours duquel un tube est envoyé par une artère de la main ou de la cuisse jusqu'aux artères coronaires du cœur, où un agent de contraste est injecté directement dans les artères coronaires, et la morphologie des artères coronaires est visualisée sur une caméra de film (DSA).Ce test est l'étalon-or pour le diagnostic de la maladie coronarienne, et il est capable de voir non seulement le tronc principal et les grandes branches des artères coronaires, mais aussi certaines des branches plus petites. On dit qu'il s'agit d'un plombier avancé, surtout parce qu'il peut être utilisé non seulement pour diagnostiquer la maladie coronarienne, mais aussi pour délivrer des ballons ou des stents, etc. à travers ce cathéter en vue d'un traitement, ce qui est connu sous le nom de thérapie interventionnelle coronarienne.

Les tests sanguins (enzymes cardiaques, troponine) agissent comme un chien de garde doté d'un sens aigu de l'odorat pour détecter les produits de l'ischémie myocardique.
Les tests hématologiques utilisés pour le diagnostic de la maladie coronarienne comprennent principalement les enzymes cardiaques et la troponine, qui se trouvent à l'origine dans les cellules musculaires cardiaques normales et ne passent pas dans le sang. Toutefois, en cas d'ischémie grave du myocarde et d'infarctus du myocarde, les cellules myocardiques sont nécrosées et ces substances sortent des cellules myocardiques et passent dans le sang, qui ne passe pas dans le sang.Nous pouvons détecter ces substances en prélevant du sang dans une veine et en déduire indirectement que le muscle cardiaque est gravement endommagé ou nécrosé à ce moment-là.

En résumé, la maladie coronarienne est le terme général de cette maladie, l'ischémie myocardique est le changement physiopathologique de cette maladie, l'angor stable, l'angor instable et l'infarctus du myocarde sont les différentes sévérités des conditions ischémiques de cette maladie. L'électrocardiographie, l'échographie cardiaque et l'hématologie sont autant de moyens indirects de déterminer si le myocarde est ou non ischémique et nécrosé. L'angiographie coronaire est non invasive, pratique, relativement peu coûteuse et permet d'observer les grandes artères coronaires et leurs branches ; l'angiographie coronaire est invasive, relativement coûteuse et permet d'observer les différentes petites et grandes branches des artères coronaires ; elle constitue l'examen de référence pour le diagnostic de la maladie coronarienne et peut être utilisée pour effectuer des traitements interventionnels coronariens tels que la dilatation par ballonnet ou l'implantation d'un stent dans les cas de maladie coronarienne sévère. Il s'agit de l'examen de référence pour le diagnostic de la maladie coronarienne. En cas de maladie coronarienne grave, il est possible de procéder à une dilatation par ballonnet ou à l'implantation d'une endoprothèse.
Suivez Dr Know Your Heart Blue pour en savoir plus sur le cœur.
Pour répondre à cette question, il faut d'abord clarifier les différences et les chevauchements entre les trois concepts de maladie coronarienne, d'infarctus et d'ischémie myocardique.
La maladie coronarienne fait référence au degré de sténose de l'artère coronaire de plus de 50 %, basée sur l'athérosclérose coronarienne, une série de maladies cardiovasculaires collectivement, la maladie coronarienne chronique accompagnée d'une angine de poitrine stable est appelée maladie coronarienne, en raison de la sténose ou de l'obstruction de l'artère coronaire causée par le syndrome coronarien aigu, appartient également à la maladie coronarienne, par conséquent, si de la portée de la maladie, l'infarctus aigu se produit dans la catégorie de la maladie coronarienne est incluse dans la portée de la maladie coronarienne, et l'infarctus aigu est inclus dans la portée de la maladie coronarienne, et le syndrome coronarien aigu est inclus dans la catégorie de la maladie coronarienne. Pour les patients atteints de maladie coronarienne, il est très important de savoir comment identifier le risque d'infarctus aigu soudain.

En ce qui concerne l'ischémie myocardique, il y a davantage de malentendus, certains amis ressentent souvent une oppression thoracique, des palpitations et d'autres symptômes désagréables, ils pensent qu'ils souffrent d'ischémie myocardique, mais en fait, l'approvisionnement en sang du myocarde se fait principalement par les artères coronaires, et les artères coronaires sont généralement rétrécies si le degré de sténose ne dépasse pas 50 %, ce qui n'affecte pas l'approvisionnement en sang du myocarde, et il n'y a pas d'ischémie myocardique, par conséquent, seuls les patients souffrant d'une maladie coronarienne confirmée peuvent souffrir d'ischémie myocardique. Par conséquent, seuls les patients atteints d'une maladie coronarienne confirmée peuvent souffrir d'ischémie myocardique. En cas d'oppression thoracique, de palpitations et d'autres malaises, outre l'ischémie myocardique, le syndrome de la ménopause, les troubles des nerfs végétatifs et d'autres problèmes peuvent être à l'origine de ces troubles, qu'il convient d'identifier avec soin.

Comment déterminer exactement s'il s'agit d'une maladie coronarienne, d'un infarctus du myocarde ou d'une ischémie myocardique ? Les examens suivants sont souvent indispensables.
électrocardiographie
L'électrocardiogramme (ECG) est un test important pour détecter l'ischémie myocardique. Il est non invasif, facile à réaliser et peut être lu directement. En règle générale, si un patient atteint d'une maladie coronarienne présente un apport sanguin insuffisant au myocarde, sans symptômes d'oppression thoracique et d'angine de poitrine, l'ECG peut le caractériser pleinement. Pour les patients soupçonnés d'avoir subi un infarctus soudain, un ECG standard à 12 dérivations doit être réalisé dans les 10 minutes suivant l'admission du patient, et l'ECG peut être utilisé pour déterminer initialement s'il s'agit d'un infarctus, et s'il y a un infarctus de la paroi postérieure et d'autres problèmes. Si l'ECG est normal mais que la douleur thoracique persiste sans soulagement, le problème de l'infarctus ne peut être exclu et l'ECG doit être réexaminé après un intervalle de 5 à 10 minutes.

L'inconvénient de l'examen ECG est qu'il reflète principalement la situation électrocardiographique au moment de l'examen ; s'il est effectué à un moment où il n'y a pas d'ischémie dans le myocarde et où tous les autres aspects du fonctionnement du cœur sont normaux, certains problèmes potentiels de maladies cardiovasculaires peuvent ne pas être reflétés avec précision, mais il est également très difficile pour nous d'effectuer l'examen ECG en temps opportun lorsque le corps souffre d'une oppression thoracique, de sorte que ce type d'examen, une sorte de jugement préliminaire de l'examen, mais il présente également certaines limites.
Dépistage des marqueurs de lésions myocardiques
Si le myocarde développe des problèmes ischémiques, les effets à long terme ou les effets graves à court terme (tels que les effets d'un infarctus aigu) peuvent entraîner des lésions chroniques ou aiguës du myocarde, et il existe certains tests caractéristiques pour caractériser les lésions du myocarde lorsqu'il y a des lésions du myocarde.

La troponine cardiaque est un marqueur de lésion myocardique dans l'infarctus aigu et l'angine de poitrine instable. Si le résultat du test est négatif, la plupart des infarctus peuvent être exclus, mais en l'absence d'un tel test, il peut également être utilisé comme marqueur alternatif de lésion myocardique par les isoformes de la créatine kinase, et chez les patients souffrant de douleurs thoraciques qui ont une troponine cardiaque négative au stade initial de l'examen, l'examen peut être répété après un intervalle de 4~6 heures, et s'il est toujours négatif, l'infarctus peut alors être exclu au stade initial. L'infarctus peut être exclu, mais il convient de noter que pour les patients qui présentent une douleur thoracique ischémique et ceux qui présentent des changements électrocardiographiques, le traitement ne doit pas être retardé en raison de l'attente des résultats du test de marquage.
Examen de l'épreuve d'effort cardiaque
Comme nous l'avons mentionné précédemment, l'ECG ne peut refléter que la santé du cœur au moment du test, mais pas l'état ischémique du cœur après certains efforts, et l'épreuve d'effort cardiaque est un complément utile au dépistage des problèmes d'ischémie myocardique liés à une maladie coronarienne stable. Les épreuves d'effort cardiaque, y compris le test d'effort de plaque, l'échocardiographie d'effort, l'imagerie de perfusion nucléaire myocardique d'effort et l'imagerie par résonance magnétique d'effort, sont utiles pour la détection des douleurs thoraciques ischémiques.
ATC coronaire

L'angiographie coronarienne par tomodensitométrie est un moyen d'examiner les artères coronaires en combinaison avec l'angiographie, ce qui permet de diagnostiquer la maladie coronarienne et d'examiner et de juger l'emplacement des plaques coronaires, en particulier l'étendue des plaques calcifiées. L'angiographie coronarienne par tomodensitométrie permet également d'évaluer si le flux sanguin est régulier au niveau du site du stent chez les patients atteints de maladie coronarienne et auxquels on a implanté des stents. En outre, pour les patients souffrant de douleurs thoraciques, l'angiographie coronarienne par tomodensitométrie permet de détecter des problèmes tels que l'aortique, le pneumothorax et le pneumothorax. Pour les patients souffrant de douleurs thoraciques, l'angiographie coronaire peut être utilisée pour dépister les problèmes aortiques, pulmonaires et de pneumothorax, mais elle n'est pas recommandée pour les patients présentant une forte suspicion d'infarctus aigu.
coronarographie
La coronarographie reste l'examen de référence pour le diagnostic clinique de la maladie coronarienne, mais elle présente l'inconvénient de nécessiter l'utilisation de produits de contraste et de procédures interventionnelles invasives. Pour évaluer le degré de sténose des artères coronaires, la coronarographie peut évaluer les changements fonctionnels des artères coronaires, y compris le spasme des artères coronaires et la présence ou l'absence de circulation collatérale ; en même temps, elle peut également prendre en compte l'évaluation de la fonction du cœur gauche et ainsi de suite. S'il est confirmé qu'un stent peut être placé dans la zone infarcie pour reconstruire le flux sanguin, un stent doit être implanté directement pour ouvrir le flux sanguin dès que possible, afin de minimiser les dommages myocardiques provoqués par l'infarctus aigu.
Maladie coronarienne, infarctus du myocarde, ischémie myocardique, ces concepts sont très familiers à tout le monde. Cependant, les amis attentifs constateront qu'ils sont souvent confrontés à une telle situation : le médecin obtient les résultats des électrocardiogrammes, après avoir lu qu'"il y a une ischémie myocardique", mais lorsque vous demandez au médecin s'il ne s'agit pas d'une maladie coronarienne, il vous répondra : "ce n'est pas une maladie coronarienne, on ne peut pas le déterminer" ! "......

A partir de là, nous pouvons constater que l'ischémie myocardique, la maladie coronarienne et l'infarctus du myocarde sont en fait des concepts cliniques différents, et que les critères de diagnostic et les techniques cliniques nécessaires sont également différents, nous allons donc les examiner un par un.
Seuil de diagnostic le plus bas et le plus fréquent - ischémie myocardique
Si nous devions classer les trois concepts mentionnés ci-dessus en fonction de leur prévalence clinique, l'ischémie myocardique serait la plus fréquente, en raison du fait qu'elle a le seuil diagnostique le plus bas.Conclusion d'une "ischémie myocardique" sur la seule base d'un ECG de routine à 12 dérivations。

Selon la définition de la maladie coronarienne dans le manuel de médecine interne, la maladie coronarienne est une maladie cardiaque causée par une sténose athérosclérotique ou une occlusion des artères coronaires (artères coronaires) qui alimentent en sang les tissus du myocarde, entraînant une ischémie, une hypoxie ou une nécrose du myocarde. Au sens strict.L'ischémie myocardique est une manifestation courante de la maladie coronarienne, et les patients atteints de cette maladie sont généralement certains de souffrir d'ischémie myocardique ; cependant, toutes les personnes présentant des manifestations d'ischémie myocardique ne répondent pas aux critères diagnostiques de la maladie coronarienne.
Le concept d'ischémie myocardique est apparu pour la première fois dans les manuels de diagnostic comme une modification courante de l'ECG. Les experts médicaux ont découvert les "signes" de l'ischémie myocardique sur le graphique de l'électrocardiogramme, lorsque l'ischémie se produit dans une partie du myocarde, ce qui affecte la repolarisation électrique du cœur, qui à son tour conduit à l'apparition de l'ischémie dans le cœur.Dépression du segment ST ou inversion de l'onde T dans les dérivations correspondantesC'est la base la plus élémentaire sur laquelle les cliniciens jugent l'ischémie myocardique.
Il y a plusieurs choses à savoir sur l'ischémie myocardique :
- L'ischémie myocardique n'est pas toujours causée par une maladie coronarienne ; le spasme des artères coronaires peut également provoquer des manifestations d'ischémie myocardique ;
- L'ischémie myocardique n'est pas toujours persistante et un certain nombre de patients présentent des manifestations ECG intermittentes d'ischémie myocardique ;
- L'ischémie myocardique ne se manifeste pas toujours par des symptômes évidents tels qu'une douleur ou une oppression thoracique, et l'ischémie myocardique asymptomatique est fréquente.
Maladie coronarienne - il n'est pas facile de porter ce "chapeau" !
La plupart des gens pensent que la maladie coronarienne est une maladie, mais en fait, la maladie coronarienne est une grande catégorie de maladies composée de plusieurs types de maladies.Les principes de traitement, le degré d'urgence du traitement, etc. diffèrent selon les types de maladies coronariennes.
Au tout début, en 1979, l'Organisation mondiale de la santé avait classé les maladies coronariennes en cinq types : la maladie coronarienne occulte, l'angine de poitrine, l'infarctus du myocarde, la cardiomyopathie ischémique et la mort subite. Cette classification est classique, mais avec le développement progressif, de plus en plus d'experts préconisent la division des maladies coronariennes en deux catégories principales :
- Maladie coronarienne chronique : subdivisée en angine stable, cardiomyopathie ischémique et maladie coronarienne insidieuse ;
- Syndrome coronarien aigu (SCA) : il s'agit de l'angor instable, de l'infarctus du myocarde sans sus-décalage du segment ST et de l'infarctus du myocarde avec sus-décalage du segment ST.
Auparavant, nous avions l'impression que la maladie coronarienne stable était plus fréquente, mais cliniquement, les syndromes coronariens aigus sont de plus en plus fréquents.
Le diagnostic et la classification de la maladie coronarienne sont souvent basés sur une combinaison des caractéristiques des symptômes cliniques, de l'évaluation des facteurs de risque, de l'électrocardiogramme, des tests de laboratoire et de l'imagerie. Cependant.De tous les tests, celui qui peut fournir une preuve directe de la maladie vasculaire est la coronarographie, qui est donc connue comme "l'étalon-or" pour le diagnostic de la maladie coronarienne.。

Pour la plupart des patients soupçonnés d'être atteints d'une maladie coronarienne grave, les médecins recommanderont une coronarographie afin d'évaluer en détail le degré de sténose de l'artère coronaire et, sur cette base, la maladie coronarienne peut être traitée directement par des techniques de pose d'endoprothèses coronariennes.
Cependant, pour une partie de la population qui ne présente pas de risque élevé de maladie coronarienne, les médecins recommandent parfois un dépistage de la sténose des artères coronaires à l'aide de la technologie CTA coronaire.Bien que la précision de l'angiographie coronaire soit encore loin de celle de la coronarographie, elle permet d'exclure les patients dont la coronaropathie est négative.

Infarctus du myocarde - une course vers le bas
L'infarctus du myocarde est une maladie mortelle causée par une occlusion aiguë des artères coronaires entraînant une nécrose aiguë du tissu myocardique alimenté par le sang en aval. L'infarctus du myocarde est hautement létal dans sa phase aiguë et nécessite une réanimation urgente.

Dans les services d'urgence.Tout patient présentant une douleur thoracique soudaine et intense doit faire l'objet d'un dépistage de l'infarctus du myocarde, les outils les plus couramment utilisés étant l'électrocardiographie et le profilage des enzymes cardiaques.En général, chez les patients atteints d'infarctus du myocarde, les indicateurs liés au spectre enzymatique du myocarde seront significativement élevés, et lorsqu'il y a un sus-décalage typique du segment ST sur l'électrocardiogramme, il s'agit d'un infarctus du myocarde avec sus-décalage du segment ST ; et s'il n'y a pas de sus-décalage du segment ST, il s'agit souvent d'un infarctus du myocarde sans sus-décalage du segment ST.
En principe, le diagnostic d'infarctus du myocarde doit être posé au service des urgences dans une course contre la montre. Après le diagnostic, les patients souffrant d'un infarctus aigu du myocarde seront envoyés au laboratoire de cathétérisme pour une angiographie coronarienne immédiatement s'ils se trouvent dans des hôpitaux où les conditions sont réunies. L'objectif principal de l'angiographie à ce moment-là n'est pas de confirmer le diagnostic de la maladie, mais d'aider à ouvrir rapidement les vaisseaux sanguins obstrués en vue d'un traitement endovasculaire.
D'accord, suivez le "bon docteur de famille Dr Zhao", partagez ces connaissances médicales avec les amis qui en ont besoin !
Quelle est la relation entre la maladie coronarienne, l'infarctus du myocarde et l'ischémie myocardique ? La maladie coronarienne et l'infarctus du myocarde sont tous deux des maladies, et l'ischémie myocardique est un état pathologique ; ces trois maladies peuvent être classées dans la catégorie des maladies coronariennes.
La maladie coronarienne désigne le rétrécissement des vaisseaux sanguins dû à l'athérosclérose dans les vaisseaux cardiaques, ce qui entraîne une irrigation sanguine insuffisante du muscle cardiaque, d'où une sensation d'oppression et des douleurs thoraciques.
Lorsque les artères coronaires sont complètement occluses et que le myocarde alimenté par les vaisseaux sanguins n'est pas nourri et se nécrose, on parle d'infarctus du myocarde. Généralement, il est causé par une ischémie myocardique sévère, qui conduit finalement à la nécrose des cellules du myocarde. L'ischémie myocardique est donc un état pathologique étroitement lié à la survenue d'un infarctus du myocarde.

En résumé : la maladie coronarienne est une catégorie très vaste, l'ischémie myocardique est un état pathologique et l'infarctus du myocarde est la conséquence la plus grave de la maladie coronarienne.
Quels sont les tests effectués pour détecter les maladies coronariennes, l'infarctus du myocarde et l'ischémie myocardique ?
1. l'examen physique
En général, le médecin procède à un examen préliminaire du patient afin de déterminer son état de base, par exemple s'il est assis et s'il respire, s'il y a cyanose, si la veine jugulaire est déchirée, s'il y a des œdèmes, etc. Le médecin observera également s'il y a des anomalies au niveau de la pointe du cœur, des pulsations capillaires et des changements anormaux de la fréquence du pouls au toucher. Enfin, le stéthoscope est utilisé pour observer s'il y a des changements anormaux dans les bruits du cœur, les souffles cardiaques et les bruits de frottement péricardique, ainsi qu'une fréquence cardiaque anormale.
2) Tests de laboratoire
Les analyses de laboratoire comprennent des analyses de sang et d'urine de routine, ainsi qu'une série d'analyses biochimiques, notamment la mesure de la troponine sanguine, de la myoglobine et des enzymes cardiaques, qui sont nécessaires pour déterminer l'infarctus du myocarde.
3. l'électrocardiogramme
L'électrocardiogramme est un examen non invasif, peu coûteux et pratique qui convient parfaitement au diagnostic des arythmies et à l'identification des causes et de la nature des différentes arythmies qui se produisent.
Une autre fonction clinique très importante de l'ECG est le diagnostic de l'ischémie myocardique. Lorsque l'ischémie myocardique se produit, elle se manifeste sur l'ECG par des modifications de l'ECG lésionnel ; l'ECG est donc très important pour l'évaluation préliminaire du site et de la zone de l'ischémie myocardique, ainsi que pour le diagnostic de l'infarctus aigu du myocarde, y compris la localisation du diagnostic, l'évaluation de l'état de la maladie, et ainsi de suite !
En outre, l'ECG peut aider à diagnostiquer les troubles du métabolisme des électrolytes. L'hypokaliémie, l'hyperkaliémie et l'hypocalcémie sont spécifiquement modifiées par l'ECG, ce qui permet au médecin de déterminer s'il y a un trouble électrolytique.

4. électrocardiogramme ambulatoire
Électrocardiogramme ambulatoire (ECG) : également appelé test de Holter, le signal ECG peut être enregistré en continu pendant 24 à 72 heures, ce qui améliore la détection des arythmies non soutenues, en particulier les arythmies transitoires et les épisodes ischémiques transitoires, et est important pour le diagnostic de divers types d'arythmies, les causes d'évanouissement, la compréhension du fonctionnement des stimulateurs cardiaques et la prise de mesures pour la prévention de la mort subite.
5. échographie cardiaque
L'échographie cardiaque permet de déterminer s'il y a rupture ou épaississement des parois auriculaires et ventriculaires, si les oreillettes et les ventricules sont élargis, s'il y a sténose ou fermeture insuffisante des valves cardiaques, si les fonctions systolique et diastolique du cœur sont normales et si la fraction d'éjection est normale.
6. angiographie coronaire
La coronarographie est actuellement l'examen de référence pour le diagnostic des maladies coronariennes. Le cathéter est inséré dans l'ouverture de l'artère coronaire et une petite quantité de produit de contraste est injectée pour montrer le flux sanguin de l'artère coronaire, pour observer de manière dynamique le flux sanguin de l'artère coronaire et la situation anatomique, pour comprendre la nature, la localisation, l'étendue et le degré des lésions de l'artère coronaire, et pour observer les artères coronaires à la recherche de malformations, de calcifications et de la formation d'une circulation collatérale.

La maladie coronarienne, l'infarctus du myocarde et l'ischémie myocardique peuvent généralement être mieux déterminés par les tests ci-dessus. La détection des maladies cardiaques est une question très complexe. Si vous pensez avoir des problèmes cardiaques, vous devez donc vous rendre à l'hôpital pour confirmer le diagnostic !
Je suis le pharmacien Wang, qui s'efforce d'expliquer les connaissances complexes et difficiles des maladies avec des mots simples pour vous aider à gérer votre corps. Vos éloges sont ma plus grande motivation ! Par ailleurs, si des membres de votre famille ont également des problèmes liés à cette maladie, n'hésitez pas à leur transmettre cet article !
Maladie coronarienne La maladie coronarienne est principalement due à des lésions athérosclérotiques des artères coronaires. Elle peut également être causée par un spasme de l'artère coronaire, l'un des facteurs mentionnés ci-dessus ou les deux ensemble, entraînant un rétrécissement ou une obstruction de la lumière de l'artère coronaire, ce qui provoque une ischémie myocardique, une hypoxie causée par la maladie cardiaque, connue sous le nom de maladie coronarienne, également connue sous le nom de maladie cardiaque ischémique (MCI).
Outre l'athérosclérose coronarienne, les étiologies susceptibles d'entraîner une ischémie et une hypoxie myocardiques comprennent l'inflammation (rhumatismale, syphilitique, maladie de Kawasaki, vasculite vaso-occlusive, etc.), l'embolie, le spasme, les troubles du tissu conjonctif, les traumatismes et les anomalies congénitales.
L'athérosclérose coronarienne étant la cause prédominante, la maladie coronarienne est couramment utilisée comme alternative clinique à la cardiopathie coronarienne athéroscléreuse.
Causes et facteurs de risque
La cause de l'athérosclérose coronarienne est inconnue, mais il est généralement admis qu'il existe une forte association avec les facteurs de risque suivants
1. dyslipidémie : un taux élevé de cholestérol à lipoprotéines de basse densité (LDL) et d'apolipoprotéines (a) peut entraîner l'athérosclérose.
2、Hypertension : entre 40 et 70 ans, avec une tension artérielle comprise entre 115/75mmHg et 185/115mmHg, le risque de maladie coronarienne double si la tension artérielle systolique augmente de 20mmHg ou la tension artérielle diastolique de 10mmHg.
Diabète sucré (DM) : l'athérosclérose survient plus tôt et est plus fréquente chez les patients atteints de DM.
4. le tabagisme : une moyenne de 10 cigarettes par jour peut augmenter la mortalité par maladie coronarienne de 18 % chez les hommes et de 31 % chez les femmes.
5. des facteurs génétiques : par exemple, des antécédents familiaux de maladies cardiovasculaires précoces (apparition < 50 ans).
6. âge : homme > 50 ans, femme > 55 ans
7. autres : un mode de vie médiocre, tel qu'un manque d'activité physique, se coucher tard, un stress mental excessif, l'obésité, une personnalité de type A, etc.
Type clinique
1) Selon la classification de l'OMS de 1979, la maladie coronarienne est divisée en plusieurs types :
① Ischémie myocardique asymptomatique (type insidieux) : il existe des preuves objectives d'ischémie myocardique, telles qu'un électrocardiogramme suggérant des changements ischémiques, mais aucun symptôme.
② Cardiomyopathie ischémique : après une ischémie myocardique chronique de longue durée ou un infarctus du myocarde, fibrose myocardique, hypertrophie progressive du cœur, insuffisance cardiaque et arythmie.
③ Angine de poitrine : douleur rétrosternale épisodique sans nécrose myocardique. Y compris l'angine de poitrine stable et instable. Infarctus du myocarde : douleur rétrosternale sévère et persistante avec nécrose myocardique, y compris infarctus du myocarde sans sus-décalage du segment ST et infarctus du myocarde sans sus-décalage du segment ST.
⑤ Mort subite : décès d'origine cardiaque dans l'heure qui suit l'apparition des symptômes aigus. Ce décès est principalement dû à des arythmies ventriculaires graves.
2、Selon le mécanisme de survenue de l'ischémie myocardique typée
① Syndrome d'ischémie myocardique chronique : y compris le type insidieux, la cardiomyopathie ischémique, l'angine stable. La pathogénie principale est l'augmentation de la demande en oxygène de l'ischémie myocardique.
② syndrome coronarien aigu (SCA) : angor instable, infarctus du myocarde sans sus-décalage du segment ST (NSTEMI) et infarctus du myocarde avec sus-décalage du segment ST (STEMI). Ces dernières années, les deux premiers sont collectivement appelés SCA sans élévation du segment ST, ce qui représente environ 3/4 des cas, et le dernier est appelé SCA avec élévation du segment ST (y compris une petite proportion d'angine de poitrine variante), ce qui représente environ 1/4 des cas. La base physiopathologique commune est que, sur la base de l'athérosclérose coronaire, la rupture de la plaque, la vésiculation, l'ulcération et la thrombose concomitante, la vasoconstriction, l'embolie microvasculaire et ainsi de suite, conduisent à une réduction aiguë ou subaiguë de l'approvisionnement en oxygène du myocarde. Oxygénation réduite. La principale pathogénie est l'ischémie myocardique avec réduction de l'apport en oxygène.
La maladie coronarienne est examinée de la manière suivante
1. Test de charge ECG : il s'agit principalement d'un test médicamenteux (comme l'isoprotérénol, le test à la pansatine, etc.) et d'un test de charge d'exercice. La méthode simple la plus couramment utilisée pour l'observation clinique de l'ischémie myocardique est l'ECG. Lors d'une crise d'angine de poitrine, l'ECG peut enregistrer les manifestations ECG anormales de l'ischémie myocardique. Cependant, chez de nombreux patients souffrant d'une maladie coronarienne, il n'y a pas de signes d'ischémie myocardique et l'ECG peut être tout à fait normal malgré le fait que la capacité de réserve maximale pour la dilatation des artères coronaires a été réduite et que le flux sanguin coronarien est généralement maintenu normal au repos. Pour révéler un débit sanguin relativement fixe ou réduit, la présence d'un angor peut être confirmée par d'autres méthodes ou par l'exercice, qui sollicite le cœur et induit une ischémie myocardique. L'épreuve d'effort est également essentielle pour l'évaluation de la fonction cardiaque après un infarctus du myocarde ischémique ou une arythmie.
2) Électrocardiogramme ambulatoire (ECG) : méthode d'enregistrement continu, de compilation et d'analyse des modifications de l'électrocardiogramme du cœur, à la fois en état d'activité et en état de repos, sur une longue période de temps. Cette technique a été utilisée pour la première fois par Holter en 1947 pour surveiller l'activité électrique, c'est pourquoi elle est également connue sous le nom de surveillance Holter. L'électrocardiographie conventionnelle ne peut enregistrer que des formes d'ondes de quelques dizaines de cycles cardiaques à l'état de repos, alors que l'électrocardiographie ambulatoire peut enregistrer en continu jusqu'à 100 000 signaux ECG sur une période de 24 heures, ce qui améliore le taux de détection des rythmes ectopiques non soutenus, en particulier des épisodes transitoires d'ischémie myocardique ou des arythmies transitoires, et élargit donc la gamme des applications cliniques de l'électrocardiographie, et le moment de l'apparition peut être corrélé avec l'activité et les symptômes du patient. Le moment de la présentation correspond à l'activité et aux symptômes du patient.
3. l'électrocardiogramme (ECG) : l'ECG est la méthode la plus couramment utilisée, la plus fondamentale et la plus précoce pour le diagnostic des maladies coronariennes. Comparé à d'autres méthodes de diagnostic, l'ECG est pratique à utiliser, facile à vulgariser, et lorsque l'état du patient change, les changements peuvent être saisis à temps, et peuvent être observés de manière continue et dynamique, et toutes sortes de tests de charge peuvent être effectués, afin d'améliorer la sensibilité du diagnostic. Qu'il s'agisse d'un infarctus du myocarde ou d'une angine de poitrine, l'ECG présente des changements typiques, en particulier pour le diagnostic de l'arythmie, ce qui est plus utile sur le plan clinique, mais il y a bien sûr certaines limites.
4. la coronarographie : c'est l'"étalon-or" pour le diagnostic de la maladie coronarienne. Elle permet de déterminer si les artères coronaires sont rétrécies ou non, le degré, l'étendue et la localisation du rétrécissement, etc. et d'orienter les mesures à prendre pour le traitement. Parallèlement, la ventriculographie gauche permet d'évaluer la fonction cardiaque.
Les principales indications de la coronarographie sont : 1) pour les personnes souffrant de douleurs thoraciques ressemblant à de l'angine mais ne pouvant être diagnostiquées ; et 2) pour les personnes souffrant d'angine qui reste sévère malgré un traitement médical, afin de clarifier la pathologie artérielle et d'envisager un pontage chirurgical.
5. échographie et échographie intravasculaire : l'échographie cardiaque permet d'examiner le mouvement de la paroi ventriculaire du cœur, la fonction et la morphologie du ventricule gauche, et cette méthode est l'un des moyens d'examen les plus couramment utilisés à l'heure actuelle. Elle a une valeur diagnostique importante pour la fonction du muscle papillaire, la rupture cardiaque, le thrombus intracavitaire et la tumeur de la paroi ventriculaire. L'échographie intravasculaire peut clarifier le degré de sténose et la morphologie de la paroi des artères coronaires, ce qui constitue une nouvelle technologie prometteuse.
6. imagerie myocardique au nucléide : cet examen peut être pratiqué lorsque l'angine ne peut être exclue par l'électrocardiographie d'après les antécédents. L'imagerie myocardique au nucléide peut montrer la zone ischémique et clarifier la localisation et l'étendue de l'ischémie. L'association d'un test d'effort et de l'imagerie permet d'améliorer le taux de détection.
7) Imagerie du pool sanguin cardiaque : valeur de référence importante pour déterminer le mouvement de la paroi ventriculaire et la fonction cardiaque, peut être utilisée pour observer l'image dynamique de la paroi ventriculaire en systole et en diastole.
8. Examen enzymologique du myocarde : d'un point de vue clinique, en fonction de la modification sûre de l'enzyme isoenzyme spécifique et de la modification de la séquence d'élévation de la concentration de l'enzyme sérique, il est possible de diagnostiquer clairement un infarctus aigu du myocarde. C'est l'un des principaux moyens de diagnostic différentiel de l'infarctus aigu du myocarde.
Pour les médecins cardiovasculaires, le diagnostic de la maladie coronarienne, de l'infarctus du myocarde et de l'ischémie myocardique est aussi facile que de manger avec les deux mains et d'utiliser des baguettes ; mais c'est différent de manger car nous devons être prudents et attentifs pour ne pas passer à côté d'une véritable maladie coronarienne et ne pas accuser à tort une fausse maladie coronarienne.

Un diagnostic manqué peut entraîner un décès injustifié ;
Un seul cas de condamnation injustifiée peut amener les patients à s'inquiéter pendant longtemps de la prise d'un médicament à long terme et même à subir des effets secondaires de ce médicament.
Le diagnostic de la maladie coronarienne et de l'infarctus du myocarde doit donc être posé avec soin et méticulosité !
Les détails sont complexes et nous devons combiner les symptômes, les antécédents médicaux, les facteurs de risque et les tests de dépistage pour réaliser une analyse complète.
Nous ne décrirons que brièvement aujourd'hui les tests auxiliaires utilisés pour établir le diagnostic.
Premièrement, l'infarctus aigu du myocarde
Le type le plus grave de maladie coronarienne, dans lequel les vaisseaux sanguins sont complètement bloqués ou presque complètement bloqués.
1, infarctus du myocarde avec sus-décalage du segment ST.
En général, les symptômes et l'ECG permettent de confirmer le diagnostic et l'étape suivante consiste à décider le plus rapidement possible s'il faut procéder à une thrombolyse ou poser une endoprothèse.
Modifications typiques de l'ECG qui facilitent le diagnostic de l'infarctus aigu du myocarde.
Les enzymes cardiaques et la troponine sont également élevées si l'apparition est prolongée.
L'imagerie permet de valider le diagnostic.
2、Infarctus du myocarde sans sus-décalage du segment ST
Nous devons combiner les symptômes avec les résultats des enzymes cardiaques, qui doivent être étayés par les enzymes cardiaques, car l'ECG ne montre pas d'élévation significative, mais plutôt une dépression.
Le moment de l'imagerie a été décidé en fonction de la stratification du risque.
Deuxièmement, les maladies coronariennes
En fait, la maladie coronarienne elle-même inclut l'infarctus du myocarde, dont nous avons parlé indépendamment ci-dessus et que nous ne répéterons pas ici.
Diagnostic de la maladie coronarienne/
1. L'ECGLa sensibilité est très élevée et les preuves sont suffisamment solides pour que les manifestations ischémiques de l'ECG soient détectées dès qu'elles se développent. Mais la difficulté réside dans le fait que souvent, lorsque nous effectuons l'ECG, il n'est plus difficile. Mais si l'on détecte des changements dynamiques dans l'ECG, cet examen est très utile pour le diagnostic de la maladie coronarienne.
2. électrocardiogramme ambulatoire et test d'effort.Les changements dans l'ECG de 24 heures peuvent être détectés et, en cas d'apparition, l'ECG est enregistré. Le test d'effort, qui permet de déterminer la présence d'une ischémie myocardique en fonction des variations de la tolérance à l'effort et de l'ECG post-exercice.
3. l'angiographie coronaireLorsqu'il n'est pas possible de prouver ou d'exclure une maladie coronarienne à partir de l'ECG et des manifestations cliniques, l'angiographie coronarienne peut être utilisée pour visualiser plus visuellement la présence d'une sténose de l'artère coronaire.
4. angiographie coronaireSi une maladie coronarienne grave est suspectée ou ne peut être diagnostiquée, une angiographie coronarienne est nécessaire pour poursuivre les investigations.
5. les lésions microvasculairesLa coronarographie est normale, mais le patient souffre d'une angine typique, parce que la coronarographie ne peut observer que des vaisseaux sanguins relativement gros, car les petits vaisseaux sanguins ne peuvent pas être vus, et ne peuvent être évalués que sur la base des symptômes cliniques et des tests spéciaux de dépistage des drogues.
En fait, il s'agit des principaux moyens d'examen, les symptômes cliniques étant très précieux pour le diagnostic de la maladie coronarienne et de l'infarctus du myocarde.
On ne peut pas se contenter de regarder les symptômes et on ne peut pas se contenter de regarder les tests, il faut combiner parfaitement ces deux méthodes pour ne pas laisser passer une maladie coronarienne et ne pas accuser à tort une maladie coronarienne !
Il s'agit d'une bonne question et d'une bonne réponse, et à première vue, c'est un sujet qui préoccupe le grand public. Aujourd'hui, le Dr Zhang abordera cette question. Tout d'abord, parlons de la relation entre la maladie coronarienne, l'infarctus du myocarde et l'ischémie myocardique. L'infarctus du myocarde est le type le plus grave de maladie coronarienne, mais la maladie coronarienne comprend non seulement l'infarctus du myocarde, mais aussi d'autres types, tels que l'angine instable, l'angine stable, etc. L'ischémie myocardique est un état pathologique présent dans tous les types de maladies coronariennes et est utilisée pour décrire la base pathologique de la maladie.
Il n'est pas difficile de déterminer si un patient est atteint d'une maladie coronarienne. S'il s'agit d'un patient qui a subi un infarctus du myocarde, le diagnostic peut être établi à partir des symptômes du patient, des électrocardiogrammes et des enzymes cardiaques, ce qui est très simple et peut être diagnostiqué par les hôpitaux en général. S'il s'agit d'autres types de maladies coronariennes, par exemple une angine de poitrine suspectée, cette fois pour clarifier le diagnostic, l'électrocardiogramme peut être vérifié lors de l'attaque de la maladie. Cependant, si vous ne pouvez pas réaliser l'ECG au moment de la crise d'angine de poitrine, que devez-vous faire ? À ce moment-là, vous pouvez d'abord procéder à un examen coronarien par tomographie assistée par ordinateur (CTA), qui permet généralement de déterminer s'il existe une sténose des artères coronaires. Quant à savoir comment clarifier l'ischémie myocardique, ce n'est pas difficile, un ECG pendant une crise d'ischémie myocardique ou un test d'effort peuvent clarifier la présence de l'ischémie.
Aujourd'hui, le Dr Zhang a déclaré qu'il s'agit de problèmes très courants, mais qui peuvent être résolus dans la vie réelle, et j'espère vous aider.

Ces questions et réponses proviennent des utilisateurs du site, elles ne représentent pas la position du site, s'il y a une infraction, veuillez contacter l'administrateur pour la supprimer.