Combien d'années peut-on vivre avec un cancer de la thyroïde ?
Combien d'années peut-on vivre avec un cancer de la thyroïde ?
cancer de la thyroïde
La glande thyroïde est située devant et autour de la trachée, sous ce que l'on appelle le "cartilage thyroïde". Elle se compose d'un lobe gauche, d'un lobe droit et d'un isthme central, qui ressemble à un papillon aux ailes déployées. Derrière la glande thyroïde se trouve le "nerf laryngé récurrent", très important pour la voix.
La glande thyroïde absorbe l'iode tout en produisant, stockant et sécrétant des hormones thyroïdiennes. Les hormones thyroïdiennes favorisent l'hypermétabolisme basal, la croissance cérébrale et osseuse, ainsi que le métabolisme des lipides et des sucres. En outre, une hormone appelée calcitonine est sécrétée, qui est associée à la régulation de la concentration de calcium dans le sang.
En général, les personnes atteintes d'un cancer de la thyroïde ne présentent que peu de symptômes, à l'exception d'une masse (nodule).
Il est relativement fréquent chez les femmes jeunes et constitue l'un des principaux types de cancer chez les femmes de 20 à 30 ans.
Le cancer de la thyroïde est traité en fonction du type et de l'évolution du cancer (stade de la maladie) et de l'état physique du patient.
Les taux de survie à cinq ans selon l'enquête commune sur les taux de survie de l'Association japonaise des centres nationaux de lutte contre le cancer (maladies de l'adulte) sont les suivants.
Phase I : 100,0 pour cent
Phase II : 99,0 pour cent
Phase III : 98,6
Phase IV : 73,2
À l'époque, comme les nodules n'étaient pas gros, notre médecin lui a conseillé de se faire examiner dans six mois, mais elle n'en a pas eu le temps en raison de son travail, et ce retard l'a amenée à se présenter à l'hôpital pour un examen trois ans plus tard.
Mais elle était tardive, évoquait déjà un carcinome médullaire de la thyroïde, un type de cancer de la thyroïde très malin, et des métastases s'étaient déjà produites.
Comment cela se fait-il ?
J'ai compris à l'époque qu'en dehors de l'emploi du temps chargé du patient et de son manque de temps, il y avait une autre raison très importante de ne pas prendre le cancer de la thyroïde au sérieux.Le cancer de la thyroïde est connu sous le nom de "cancer paresseux", avec une longue évolution, un développement lent et des symptômes bénins, et je ne le crains donc pas. En fait, le caractère "paresseux" ou non du cancer de la thyroïde et la durée de vie d'une personne qui en est atteinte sont étroitement liés au type de pathologie de la glande thyroïde elle-même. Même s'il s'agit du même type de cancer de la thyroïde, son taux de survie est également lié au fait qu'il est détecté tôt ou tard, à la situation économique du patient et au fait qu'il planifie ou non le traitement de la maladie.Combien de temps peut-on vivre avec la thyroïde ? Comment l'examiner correctement ? Aujourd'hui, je vais en parler avec vous.

Il est important de faire la distinction entre le cancer de la thyroïde, la tumeur maligne de la thyroïde et les nodules thyroïdiens, qui sont différents !
Tout d'abord, qu'il s'agisse du cancer de la thyroïde, de la tumeur maligne de la thyroïde ou des nodules thyroïdiens, la seule chose qui ne peut être séparée est qu'ils se produisent tous sur la glande thyroïde de notre corps, laEn effet, les tumeurs sont généralement nommées en fonction du tissu dont elles sont issues.La glande thyroïde est donc le siège de ces trois fonctions.
Deuxièmement, la glande thyroïde est un organe endocrinien très important de notre corps, pour ainsi dire.La glande thyroïde est comme un "moteur", le métabolisme de tout notre corps y est fondamentalement lié.
Il ressemble à un "papillon" qui s'attache aux deux côtés de la trachée et se divise en deux lobes, le droit étant appelé lobe droit et le gauche étant appelé lobe gauche.Mais qu'il s'agisse du lobe gauche ou du lobe droit.Pratiquement tous sont des follicules thyroïdiens au microscope.Il est également composé de cellules neuroendocrines ainsi que de certaines de ses structures lymphatiques, vasculaires, neurales et autres structures interstitielles.

et nousLe cancer de la thyroïde concerne généralement l'épithélium folliculaire et les cellules endocrines de la glande thyroïde, tandis que les tumeurs malignes de la thyroïde comprennent les sarcomes de la thyroïde, les lymphomes et certaines tumeurs malignes métastasées à la glande thyroïde, en plus du cancer.Le cancer de la thyroïde n'est donc pas la même chose qu'une tumeur maligne de la thyroïde.
Et à la fin, nous disons.Qu'est-ce qu'un nodule thyroïdien ?Il s'agit en fait de l'un de nos diagnostics cliniques. En termes simples, cela signifie qu'une personne présente une excroissance inexplicable de la glande thyroïde, qui peut être ronde ou irrégulière.L'essentiel est qu'il peut s'agir d'une manifestation inflammatoire, d'un petit kyste ou, bien sûr, d'une tumeur, voire d'une tumeur maligne, et qu'il englobe un large éventail de maladiesIl est important de tenir compte du fait que, surtout ces dernières années, on a constaté qu'environ 70 % des personnes qui subissent une échographie du cou peuvent être atteintes de nodules thyroïdiens, de sorte que l'on peut dire qu'elle est étroitement liée à la santé de chacun.
Mais je ne suis pas non plus là pour vous faire peur, et vous ne devriez pas trop vous inquiéter, en général.En fait, seuls 5 à 15 % des nodules thyroïdiens sont des cancers de la thyroïde, et il n'y a pas de corrélation directe entre les nodules thyroïdiens et les cancers de la thyroïde.,Ce n'est pas parce que cela n'a pas beaucoup d'importance que nous pouvons l'ignorer, car la probabilité qu'il s'agisse d'un cancer de la thyroïde est toujours présente et le point le plus important est que tous les types de cancer de la thyroïde ne sont pas inertes et lents à se développer !

Que le cancer de la thyroïde soit "diabolique" ou non, il faut les examiner pour s'en assurer !
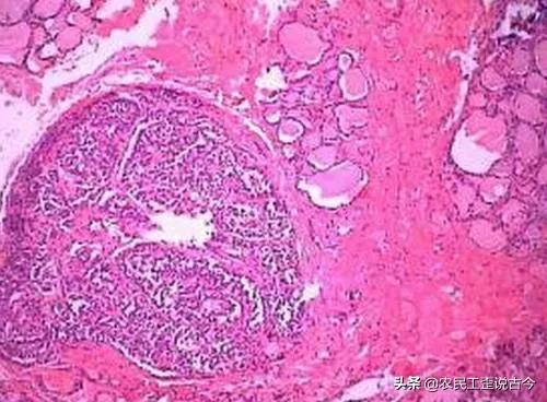
Tout d'abord, le cancer de la thyroïde ne se réfère pas à un seul type de cancer, il est en fait classé dans un total de quatre types dans notre clinique, à savoirCarcinomes papillaires, folliculaires et médullaires和carcinome indifférencié。
par exempleCeux qui se produisent sur les cellules folliculaires de notre glande thyroïde sont généralement le carcinome papillaire de la glande thyroïde et le carcinome folliculaire de la glande thyroïde ;Mais si ce phénomène se produit dans les cellules parathyroïdiennes, on parle de carcinome médullaire de la thyroïde ;Et s'il se produit dans le tissu lymphatique de la glande thyroïde, il s'agit d'un lymphome thyroïdien !

Le cancer de la thyroïde est donc loin d'être aussi simple qu'on le croit.Ce que nous savons généralement, c'est que le cancer de la glande thyroïde est appelé cancer de la thyroïde, et que ce cancer de la thyroïde est généralement appelé cancer papillaire de la thyroïde, car il représente près de 90 % de tous les cancers de la thyroïde, voire 95 % de tous les cancers de la thyroïde.Il se caractérise parSusceptible de métastases ganglionnaires, mais globalement moins maligneLe cancer de la thyroïde est également connu sous le nom de "cancer paresseux", car la plupart des cas existent.

Deuxièmement, nous avons un cancer folliculaire de la thyroïde.Ce type de carcinome folliculaire diffère de notre carcinome papillaire en ce sens qu'il est sujet à des métastases sanguines et qu'il est globalement plus malin que le carcinome papillaire, mais pas trop !
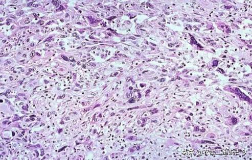
Mais s'il s'agit de notre troisième type de cancer médullaire de la thyroïde, il est beaucoup plus malin.Il s'agit d'une maladie familiale, mais son incidence est très faible.。
Et parmi les cancers de la thyroïde.Le plus malin est le cancer indifférencié de la thyroïde.La plupart des patients ne survivent pas très longtemps à ce type de maladie. Beaucoup d'entre eux ne survivent pas plus d'un an et demi.L'espérance de vie d'un patient se mesure essentiellement en "mois".

Nous allons donc parler de la durée de vie d'un cancer de la thyroïde.
Inévitablement, il y a deux choses qui ne peuvent pas être séparées :
Le premier est le type pathologique du cancer de la thyroïde ;
La seconde est l'âge de nos patients.
Par exemple, si nous disons qu'une personne est atteinte d'un cancer papillaire de la thyroïde et qu'une autre est atteinte d'un cancer médullaire de la thyroïde, ce n'est certainement pas la même chose.Il est évident que le cancer médullaire de la thyroïde est plus malin que le cancer papillaire.。

Et disons que même si c'est vous qui avez laLe même type de cancer papillaire de la thyroïde est également lié à l'âge.。
Supposons que ce patient soit enJe l'ai eu avant d'avoir 55 ans.Il s'agit d'un stade précoce, même si l'on découvre des métastases pulmonaires, il s'agit au mieux d'un stade 2, alors que pour la plupart des patients atteints d'un cancer papillaire de la thyroïde avant l'âge de 55 ans, il s'agit presque toujours d'un stade 1, et un grand nombre d'entre eux peuvent être guéris.
Mais si vous êtesCancer papillaire de la thyroïde après 55 ansSi vous avez des métastases pulmonaires, la maladie est au stade 4 et le pronostic est relativement mauvais, mais cela ne signifie pas que vous ne vivrez pas longtemps, simplement que l'espérance de vie sera certainement affectée.
Mais si vous avez un cancer indifférencié de stade 4, c'est une autre histoire.La plupart des gens ne peuvent compter que les heures, et beaucoup ne vivent pas deux ans.Dès qu'elle est détectée, elle est au stade 4.Il s'agit donc de cancer de la thyroïde et la durée de vie dépend en grande partie du type de cancer de la thyroïde dont on est atteint !
Enfin, je voudrais insister sur un sujet de grand intérêt : la relation entre la glande thyroïde et l'iode.
Notez que ni l'iode élevé, ni l'iode faible ne sont sans danger pour la thyroïde !
On entend souvent dire que le cancer de la thyroïde se rencontre dans les régions à "haute teneur en iode", mais ce n'est pas vrai.Le cancer de la thyroïde est lié à l'iode, car la glande thyroïde a besoin d'un apport en iode pour synthétiser les hormones thyroïdiennes, mais nous avons constaté que l'iode, qu'il soit élevé ou faible, est en fait associé à certains types de cancer de la thyroïde.. Parmi euxUne forte teneur en iode est principalement associée au développement du cancer papillaire de la thyroïde, tandis qu'une faible teneur en iode est principalement associée aux cancers folliculaires et indifférenciés.. Ainsi, que l'on ait trop d'iode ou pas assez, l'iode n'est pas absolument sans danger pour la thyroïde.

Ce n'est donc pas un régime riche en iode que nous, médecins, préconisons, ni le fait de ne pas prendre moins d'iode.Il s'agit plutôt d'une alimentation équilibrée.La supplémentation en iode ou la réduction de l'iode est effectuée en fonction de chaque région. Par exemple, dans les régions côtières comme le Guangdong et le Fujian.Il ne suffit pas de prendre la même quantité d'iode que sur le continent, il faut s'adapter aux conditions locales.!

Parallèlement, nous devons tous intensifier notre dépistage physique du cancer de la thyroïde.Parce que le cancer de la thyroïde, comme la plupart des cancers, ne présente généralement pas de signes évidents aux premiers stades de la maladie.C'est généralement aux stades intermédiaires ou avancés de la progression que l'on observe des signes tels que l'enrouement chez certains patients atteints d'un cancer de la thyroïde, de sorte qu'il n'y a pas de raison de s'inquiéter.Il est recommandé d'effectuer un bilan thyroïdien tous les 1 à 2 ans, en particulier en cas d'antécédents familiaux de cancer de la thyroïde.
en ce qui concernecancer de la thyroïdeSi vous avez encore des questions, vous pouvez laisser un message ci-dessous, j'insiste sur l'utilisation de mots que nous pouvons comprendre, la façon la plus primitive de coder pour vous apporter la science et la technologie de la santé la meilleure, la plus complète et la plus pratique. Si vous vous sentez bien, vous pouvez prêter attention à "Détective médical"et faites suivre yo à d'autres personnes autour de vous !
Si votre médecin vous annonce qu'il a diagnostiqué un cancer de la thyroïde, je suis sûr que tout votre corps se met à courir, n'est-ce pas ? Mais ne vous inquiétez pas, le cancer de la thyroïde est un cancer très bénin qui se guérit généralement.

Ces dernières années, la prévalence du cancer de la thyroïde en Chine a considérablement augmenté, passant d'un taux d'incidence de 2,8/100 000 en 2012 à plus de 100/100 000, et le taux d'augmentation est plus important chez les filles que chez les hommes, de sorte que le cancer de la thyroïde est devenu un cancer courant (représentant environ 1 % des tumeurs systémiques).
Si vous avez la malchance de souffrir d'un cancer de la thyroïde, vous n'avez pas à vous inquiéter car ce cancer est une sorte de "bon" cancer, et c'est l'un des cancers qui a le meilleur pronostic. Le taux de survie à cinq ans du cancer de la thyroïde atteint plus de 90 % (contre 20 % pour le cancer du poumon). De nombreux patients peuvent survivre 10 ou 20 ans, voire même autant que l'espérance de vie d'une personne ne souffrant pas de la maladie.
Actuellement, le cancer de la thyroïde est essentiellement traité par résection chirurgicale après sa découverte. Le traitement du cancer de la thyroïde présente l'avantage de ne pas nécessiter de radiothérapie, mais seulement une supplémentation en hormones thyroïdiennes et une thérapie de remplacement à un stade ultérieur.
Cependant, il ne s'agit là que de la situation la plus idéale, et les différents types de cancer de la thyroïde correspondent à des périodes de survie différentes.
Il existe quatre types de cancer de la thyroïde : papillaire, folliculaire, médullaire et indifférencié. Le carcinome papillaire représente plus de 90 % de tous les cancers de la thyroïde et le taux de guérison du carcinome papillaire est supérieur à 95 % ; le plus malin est le carcinome indifférencié, qui représente environ 5 % de tous les cancers de la thyroïde, mais le carcinome indifférencié est plus fréquent chez les personnes âgées et progresse plus rapidement ; il meurt généralement dans les six mois.
Par conséquent, le Dr Bobo suggère que nous nous concentrions sur les examens médicaux, une fois par an, pour vérifier l'échographie de la thyroïde en vue d'une détection, d'un diagnostic et d'un traitement précoces, car il existe une relation significative entre le pronostic du traitement de la tumeur et le moment de sa découverte.
En résumé, le cancer de la thyroïde est un cancer relativement bénin, qui peut en principe être guéri après avoir été découvert ; il n'y a pas lieu de s'inquiéter outre mesure.
(Nous vous remercions de votre attention, de vos likes et de vos retweets)
Cette histoire de cancer de la thyroïde est tout ce qu'il y a de plus étonnant, avec des différences considérables dans les taux de survie à cinq ans pour les différents types histopathologiques de cancer de la thyroïde.Le cancer papillaire de la thyroïde le plus fréquent a un taux de survie à cinq ans de plus de 90 % ! Pour le cancer papillaire de la thyroïde le plus courant, le taux de survie à cinq ans peut atteindre plus de 90 %, et le cancer micropapillaire est presque proche de 100 %, et il est même appelé "le cancer qui ne tue pas". Cependant, le taux de survie à cinq ans du cancer indifférencié de la thyroïde est très faible, avec une durée médiane de survie de seulement sept à dix mois. Le carcinome médullaire peut envahir le système lymphatique du cou et développer des métastases sanguines. Son pronostic n'est pas aussi bon que celui du carcinome papillaire et son taux de survie à cinq ans se situe entre celui du carcinome papillaire et celui du carcinome indifférencié. En d'autres termes, le taux de survie à cinq ans du cancer de la thyroïde est étroitement lié à la classification histopathologique. Personne ne peut vous dire simplement combien de temps vous pouvez vivre avec un cancer de la thyroïde ! Les plus grands chirurgiens généralistes et pathologistes du monde ne peuvent pas non plus répondre à cette question.

Quoi qu'il en soit, le cancer de la thyroïde est une tumeur maligne relativement bénigne. La classification histopathologique du carcinome papillaire représente la grande majorité des patients atteints d'un cancer de la thyroïde, qui est le type de cancer de la thyroïde le plus bénin et qui a le meilleur pronostic.En général, avec un traitement approprié, le taux de mortalité est très faible. Mon professeur a dit un jour : "Je fais de la pathologie depuis des décennies et je n'ai pas vu beaucoup de patients mourir d'un cancer papillaire de la thyroïde !" Cela montre également que le taux de mortalité du cancer papillaire de la thyroïde est assez faible.

Bien entendu, il ne s'agit là que d'un cas de chance, mais si vous avez la malchance de développer d'autres types de cancer de la thyroïde, en particulier un cancer indifférencié, le pronostic est bien pire.. La durée de vie dépend essentiellement de la chance et de la miséricorde de Dieu. Le taux de survie à cinq ans d'une tumeur maligne, même la plus faible, n'est pas de 0. Le traitement actif consiste à se battre avec le nombre devant le signe du pourcentage ! Même si le taux de survie à cinq ans n'est que de 1 %, que se passe-t-il si vous êtes le 1 ? Si vous n'avez pas de traitement actif, il ne sera que de 0. ......

Enfin, il est nécessaire de dire queLe taux de survie à cinq ans n'est pas seulement de cinq ansC'est une question que nous devons résoudre.Le taux de survie à cinq ans est un concept statistique médical qui fait référence à la proportion de patients atteints de tumeurs malignes qui survivent plus de cinq ans.Si un patient atteint d'une tumeur maligne survit plus de cinq ans après un traitement actif, il est considéré comme "cliniquement guéri". Si une personne atteinte d'une tumeur maligne survit plus de cinq ans après un traitement actif, elle est considérée comme "cliniquement guérie". Mais cela ne signifie pas que la personne ne peut vivre que cinq ans, peut-être qu'elle peut vivre jusqu'à 100 ans, on ne le sait pas ......, mais si elle meurt au cours de la sixième année, elle sera tout de même comptabilisée dans le taux de survie à cinq ans. Toutefois, il ne s'agit que d'une minorité de cas, et les chances de réapparition d'une tumeur maligne après plus de cinq ans sont beaucoup plus faibles.

Revenons à nos moutons : combien d'années peut-on vivre avec un cancer de la thyroïde ? Il n'y a aucun moyen de le savoir avec certitude ! Cela dépend du type histopathologique spécifique et du stade clinique de la tumeur, ainsi que du résultat du traitement chirurgical et du suivi. Il n'est pas rare que les patients atteints d'un cancer papillaire de la thyroïde vivent jusqu'à 80 ou 90 ans, et il n'est pas rare que les patients atteints d'un cancer indifférencié de la thyroïde meurent quelques mois ou un an après un traitement palliatif ou chirurgical. ......Le cancer n'est pas un phénomène "normalisé" qui détermine la durée de vie d'un cancer donné. La différenciation histologique des cancers est très variable, de même que leur pronostic ! Les différences de stades cliniques ont également un impact important sur le traitement chirurgical et le pronostic. Par exemple, il n'est pas possible d'avoir le même pronostic pour un stade I et un stade IV.. Cette question de l'auteur de la question est donc sans réponse ......

Voici deux cas concrets qui me sont proches
Collègue un, examen physique en 2017 trouvé cancer de la thyroïde, après la chirurgie, jusqu'à présent encore assez bien, ne se sentent pas d'autres anomalies, cette année cinquième année.
La sœur d'une autre collègue, cette tumeur a été détectée tôt dans la vie et, après une intervention chirurgicale, elle a maintenant presque dix ans.
Cancer de la thyroïde, probabilité élevée de bon pronostic après l'intervention chirurgicale
La durée de vie du cancer de la thyroïde dépend du type pathologique du cancer de la thyroïde et de la méthode de traitement du cancer de la thyroïde. En général, pour le type pathologique relativement bon du cancer de la thyroïde, si une chirurgie radicale peut être pratiquée, le taux de survie à cinq ans atteint généralement plus de 95 %. Pour le cancer indifférencié de mauvais type pathologique, ce type de tumeur présente le plus haut degré de malignité, et la durée de survie est très courte, parfois entre la découverte du cancer de la thyroïde et le décès définitif du patient, elle peut être de six mois à huit mois. Par conséquent, la chose la plus importante est de découvrir le cancer de la thyroïde à un stade précoce, puis de procéder à une opération chirurgicale en temps opportun, et enfin de suivre une variété de traitements complets après l'opération, ce qui permettra d'augmenter la durée de la survie.
Bonjour, je m'appelle Yingzi et je vais répondre à cette question ;
Tout le monde est particulièrement effrayé par le cancer en raison de son taux de mortalité élevé, mais il existe un type de cancer qui n'affecte pas l'espérance de vie d'une personne, c'est le cancer de la thyroïde.

Je suis également atteinte d'un cancer de la thyroïde et je viens d'être opérée à la fin de l'année dernière. Au début, j'étais particulièrement nerveuse, à chaque examen, je demandais toujours au médecin ce à quoi il fallait faire attention, et le médecin me répondait toujours : "détendez-vous, vivez normalement, ne vous en préoccupez pas".
On dit que les organisations médicales suivent certaines maladies, et il y a une blague qui dit à peu près ceci : le membre du personnel qui suit les patients atteints de cancer de la thyroïde est décédé, alors que le patient atteint de cancer de la thyroïde qu'il suit est peut-être encore en vie et en bonne santé. On peut imaginer que le cancer de la thyroïde n'a généralement pas d'effet sur l'espérance de vie, mais on ne peut pas affirmer que le cancer de la thyroïde n'a pas d'effet sur l'espérance de vie, et s'il n'est pas traité ou s'il n'est pas traité de manière standardisée, il aura toujours un effet sur l'espérance de vie. Par conséquent, si vous êtes atteint d'un cancer, vous devez recevoir un traitement systématique et veiller à adapter votre psychologie et à faire de l'exercice.

。
Voici mes réponses, j'espère qu'elles sont utiles au sujet, merci !

L'espérance de vie d'un cancer de la thyroïde varie considérablement en fonction du type de tumeur. La plupart des cancers de la thyroïde sont des tumeurs différenciées, telles que le carcinome papillaire et le carcinome folliculaire. Ces tumeurs différenciées se développent lentement et ont une longue évolution, et après un traitement standardisé, la durée de survie est relativement longue, et même en cas de récidive à un stade ultérieur, le résultat est très bon grâce à un traitement chirurgical supplémentaire.
Toutefois, certains sous-types de ces tumeurs différenciées sont encore très invasifs. Ces sous-types très invasifs de tumeurs différenciées sont généralement plus susceptibles de récidiver après une intervention chirurgicale, et l'effet thérapeutique n'est pas particulièrement bon après une récidive. Un autre type de tumeur est la tumeur indifférenciée. Le cancer indifférencié de la thyroïde est le type le plus malin, qui se développe rapidement et a un impact plus important sur l'espérance de vie. L'évolution naturelle de cette maladie n'est généralement que de trois à sept mois, et il n'y a pas de bon traitement pour elle à l'heure actuelle.
Le carcinome médullaire se situe entre les tumeurs différenciées et les carcinomes indifférenciés, et le traitement de la récidive postopératoire du carcinome médullaire n'est pas très efficace. Une étude de la littérature clinique actuelle montre que les taux de survie à cinq et dix ans pour les tumeurs différenciées, telles que les carcinomes papillaires et folliculaires, sont respectivement de 94 % et 86 %, alors que les taux de survie à cinq ans pour les patients atteints de carcinomes médullaires et folliculaires sont respectivement d'environ 68 % et 16 %.
Je suis entrée sur le marché du travail en 2005, à l'époque il y avait une camarade de classe du lycée, âgée d'environ 23 ans, qui avait un cancer de la thyroïde, a été opérée et a reçu un traitement à l'iode 131, et maintenant 15 ans se sont écoulés, comme les gens normaux ! Il y a pas mal de gens autour de moi qui ont été opérés à cause de cela, y compris ma belle-sœur, et je pense que cela n'affecte pas ma vie !
Mon ancienne directrice a été opérée d'un cancer de la thyroïde, il y a maintenant dix ans, mais elle avait déjà subi une opération auparavant.
Elle a subi deux interventions chirurgicales successives pendant au moins vingt ans.
De plus, la belle-mère de mon amie, qui a subi deux opérations pour un cancer de la thyroïde en dix ans, se porte bien.
Lorsque j'ai subi la deuxième opération, mon petit-fils n'avait qu'un an et j'ai ressenti une grande tristesse à l'idée d'avoir atteint la fin de ma vie, mais aujourd'hui, mon petit-fils a terminé l'école primaire et est en bonne santé.
L'année dernière, j'ai persuadé ma belle-fille d'avoir un deuxième enfant, en lui disant que j'étais encore physiquement capable de le faire et que si j'avais un deuxième enfant, j'en parlerais pour vous.
Il serait formidable de disposer d'un vaccin contre le cancer.
Ces questions et réponses proviennent des utilisateurs du site, elles ne représentent pas la position du site, s'il y a une infraction, veuillez contacter l'administrateur pour la supprimer.