Comment savez-vous que vous avez la goutte si vous n'allez pas à l'hôpital ?
Comment savez-vous que vous avez la goutte si vous n'allez pas à l'hôpital ?
La goutte est une maladie de plus en plus répandue de nos jours, selon les données des lignes directrices chinoises 2019 pour le traitement de l'hyperuricémie et de la goutte.Nous sommes 1 % à souffrir de goutte dans ce pays.qui peut être décrite comme uneLarge base de patients. Je pense que beaucoup d'entre vous qui lisez cet article ont dû être en contact avec des goutteux dans leur entourage, ou que certains d'entre eux ont été diagnostiqués comme tels lors d'examens médicauxhyperuricémieCertains amis sont également plus inquiets de savoir si leur taux d'acide urique élevé leur permettra de souffrir de la goutte, et ils se préoccupent donc davantage de savoir s'ils peuvent ressentir certains symptômes ou les premiers signes de la goutte.Ne pas se rendre à l'hôpital pour déterminer si l'on souffre de gouttePouvez-vous faire cela ?

Commençons par comprendre ce qu'est la goutte et l'hyperacidité urique !
goutteCette maladie est le résultat d'une réaction de l'organisme à l'égard de l'environnement.Métabolisme des purinesDes anomalies se sont produites, entraînant une élévation anormale de l'acide urique, et l'élévation à long terme de l'acide urique est le résultat d'un taux d'acide urique trop élevé.sursaturationL'état des choses qui aboutit à la formation desCristaux d'urate.Ces cristaux d'urate se déposent dans notre corps et, en s'accumulant lentement, ils peuvent déclencher une crise de goutte.
Et ceci.Quelle est la valeur normale de l'acide urique ? Elle est de 420.Si le continuDeux fois, à jeun, et pas le même jour.Les mesures de l'acide urique dans le sang dépassent toutes cette valeur.l'hyperuricémie, qui est la base pathologique des crises de goutte。
Je pense qu'il y a beaucoup d'amis autour de nous qui savent qu'ils ont un taux d'acide urique élevé, et certains amis peuvent avoir un taux d'acide urique très élevé, qui peut aller jusqu'à 600 700, mais ces amis ne développent pas la goutte.Penser que tant que l'acide urique est anormal sans que la goutte ne soit émise, tout va bien.Cette idée est erronée. En effet, une période prolongée d'hyperuricémie augmente le risque d'hypertension, de diabète et de maladies cardiovasculaires.Calculs d'acide uriqueÉventuellementElle affecte le fonctionnement des reinsqui peut entraîner une insuffisance rénale, voire une défaillance rénale.

而Les crises de goutte font partie d'une réponse inflammatoire cristallineLors d'une crise de goutte, ces cristaux d'urate s'accumulent partout et le système immunitaire de l'organisme s'en trouve perturbé.leucocyteOn essaie de s'en débarrasser, mais comme les cristaux d'urate sont particulièrement pointus, en plein dans la zone de l'épithélium, il est difficile de les éliminer.Les globules blancs le détruisent en même temps qu'il détruit les globules blancs.Elle entraîne la libération d'un grand nombre de facteurs inflammatoires dans la zone de l'attaque, de sorte que le patient présente les symptômes suivantsDouleur particulièrement intense au niveau du site de la pousséeet la localisation peut être rapide.肿胀Surface.La température de la peau augmente.Certains patients peuvent même développer desAnomalies de la température corporelle。

Pourquoi dois-je vous donner une introduction aussi détaillée ? Parce que maintenantIl y a beaucoup de rumeurs.Le premier est de vous dire que vous pouvez savoir si vous avez un taux d'acide urique élevé ou si vous souffrez de goutte en observant certains des symptômes, quels sont-ils ?
Quelques mythes sur la détermination d'une élévation de l'acide urique par soi-même !
●L'urine mousseuse correspond à un taux élevé d'acide uriqueCette affirmation est trop fréquente ! Cette affirmation est trop commune, beaucoup d'amis font attention à leur urine, voient plus de mousse dans l'urine, ils commencent à douter qu'ils ont un taux d'acide urique anormal, en fait, cela ne peut pas être sûr, il y a trop de raisons pour plus de mousse dans l'urine.Il existe des causes de maladiePar exemple, il existeprotéinuriemais (pas)Il existe certains facteurs alimentaires quiIl en résulte plus d'impuretés dans l'urine et plus de mousse !

Il y a quelque temps, le Dr Tsefaire du caféde l'époque, il m'est soudain venu à l'esprit que je pouvais vous expliquer cela avec cet exemple, où vous pouvez préparer votre propre tasse de café et la boire à la main.L'eau coule un peu plus vite quand on l'attrapeLa raison pour laquelle vous trouverez beaucoup de mousse dans votre tasse et qu'elle durera un certain temps sans se dissiper est la même que s'il y a plus d'impuretés mélangées dans notre urine, cela conduira à la mousse, et la raison pour laquelle vous trouverez beaucoup de mousse dans votre tasse est la même que s'il y a plus d'impuretés mélangées dans notre urine.Il n'est absolument pas nécessaire de s'inquiéter outre mesure de la possibilité d'une goutte en raison de niveaux élevés de mousse, en pensant qu'une trop grande quantité d'acide urique peut être une source d'inquiétude pour la santé.。
●La présence de sang dans les urines indique un taux élevé d'acide urique. Il y a en fait beaucoup d'affirmations de ce genre, et il arrive que lorsqu'une personne souffrant de goutte ou d'hyperuricémie a développé un syndrome d'hyperuricémie, elle soit obligée d'avoir recours à des mesures de prévention.Calculs d'acide uriqueEnsuite, ces petits calculs tombent lentement dans l'uretère et stimulent l'uretère, ce qui provoque l'apparition d'une hématurie chez le patient, mais c'est aussi le résultat de la formation de calculs rénaux chez le patient, et non de l'hématurie, car l'acide urique a été élevé.

●Dormir avec des douleurs dorsales signifie un taux élevé d'acide uriqueC'est une bonne blague ! C'est plutôt une grosse blague, il y a tellement de raisons pour avoir mal au dos en dormant, comme une fasciite dans le bas du dos, une tension sur les muscles du bas du dos, comme une hernie discale lombaire, comme un spondylolisthésis lombaire, et si vous jugez que l'acide urique est élevé uniquement parce que vous avez mal au dos en dormant, c'est un peu fantaisiste, c'est une trop grosse blague.
Il existe de nombreuses autres légendes, mais ne les croyez pas.Parce que très souvent, il n'y a pas de symptômes particuliers lorsque notre corps a un taux d'acide urique élevé, notre corps ne ressent rien, et cette situation est la plus fréquente.Hyperuricémie asymptomatiqueet veulentIl est très simple de déterminer si l'acide urique est élevé. Il suffit de se rendre à l'hôpital et d'effectuer une analyse de sang.Le test est peu coûteux et les résultats sont relativement rapides, deux à trois heures pour un test rapide et quatre à cinq heures pour un test de routine, et les résultats sont maintenant disponibles.Test d'acide urique à usage domestiqueIl est possible de mesurer votre taux d'acide urique assez rapidement.
Pouvez-vous donc reconnaître une crise de goutte à certains de ses symptômes ?
Comme cela a déjà été dit.La goutte provoque des rougeurs, des gonflements, de la chaleur et des douleurs très typiques chez le patient.Lors de la première crise, la goutte a tendance à se situer plus souvent dans la région des orteils, mais ce n'est pas absolu, la goutte qui se manifeste dans les coudes, les genoux, les doigts, ainsi que les poignets est de plus en plus fréquente.

Si vous présentez une rougeur, un gonflement, une chaleur et une douleur importants au niveau d'une articulation ou d'une zone.La crise se produit dans la seconde moitié de la nuit.ou à un moment oùManger trop, attraper froid, rester debout toute la nuitoucontre-indicationAprès cela, il est important d'envisager la possibilité d'une goutte, mais il convient deIl n'est pas scientifique de déterminer que vous souffrez de la goutte à partir de ces symptômesIl est important de se rendre à l'hôpital pour un dosage sanguin de l'acide urique, et de confirmer le diagnostic avec l'aide d'un rhumatologue professionnel qui le souhaite, car il est encore trop facile de juger simplement sur la base des symptômes.
Lorsque vous présentez ces facteurs de risque élevés et que vous ressentez des douleurs articulaires, vous devez envisager la possibilité d'une goutte, et le Dr Xie vous en donne une brève liste :
: : Il y aAntécédents familiaux de crises de goutte。
● Poids corporelLe surpoids ou l'obésitéJe préfère généralement manger.Riche en sel, en calories, en graisses et en purinesL'alimentation.

intenseboire du vinLa consommation d'alcool, en particulier la consommation excessive d'alcool, qu'il s'agisse de vin blanc ou de bière.
●Favoritel'exercice physiquede la population.
● Il y a desMaladies en médecine interneLes patients qui doivent prendre de l'aspirine par voie orale pendant une longue période, ou certains médicaments antihypertenseurs contenant des ingrédients diurétiques, les patients souffrant d'une maladie rénale chronique et les autres patients qui prennent des médicaments à long terme doivent faire attention à leur taux d'acide urique.
: : Consommation d'alcool à long termeLes personnes qui consomment des boissons gazeuses et des boissons à forte teneur en fructose.Le gouvernement des États-Unis d'Amérique est membre de l'Assemblée générale des Nations unies, en particulier certains jeunes.
● Les personnes souffrant de diabète, d'hypertension artérielle ou de maladie coronarienne doivent surveiller leur taux d'acide urique sanguin.
résumés
Il est essentiel de se préoccuper de son taux d'acide urique sanguin, le13,3 % de la population de notre pays présente aujourd'hui un taux d'acide urique anormal.De nombreux patients présentant un taux d'acide urique anormal risquent de développer la goutte, la maladie de Crohn.Il ne faut cependant pas en faire trop, ni s'inquiéter du ciel et du sommeil.Ne vous inquiétez pas tous les jours de savoir si vous avez une crise de goutte parce que vous ressentez une douleur dans l'une de vos articulations !
Rendez-vous à l'hôpital pour un simple test d'acide urique sanguin afin de déterminer si votre taux d'acide urique sanguin est trop élevé, et demandez à un rhumatologue professionnel de vous aider à le vérifier et à l'identifier, ce qui est la méthode la plus scientifique.
而Il n'est pas impossible d'essayer de se contenter de ses symptômes à la maison, mais ce n'est pas assez scientifique.Je me suis dit qu'avec l'aide d'un médecin, cela devait aller mieux, et beaucoup de mes amis sont aujourd'hui entourés de personnes souffrant de la goutte.Prise de médicaments en cas de suspicion de goutteIl s'agit là d'un comportement erroné, et chaque année, nous entendons parler de patients qui sontL'utilisation non autorisée de certains médicaments dits hypoglycémiants, le traitement de la goutte par des médicaments spéciaux et l'insuffisance rénale des patients, ce qui n'a aucune valeur.。
S'il vous plaît, nous devons croire en la science.Que l'on veuille ou non aller à l'hôpital, l'hôpital est là.Si vous pensez être atteint de goutte, rendez-vous à l'hôpital pour un examen professionnel.Réaliser un scanner à double énergie, un test sanguin d'acide urique ou une échographie.Cela vous aidera à identifier s'il y a des dépôts de cristaux d'urate dans certaines parties du corps et à déterminer s'il y a un risque de crise de goutte.Ne vous faites jamais aveuglément une opinion et ne vous traitez pas vous-même à la maison, ce qui entraînerait des retards dans l'évolution de votre état.。

J'adhère au langage simple pour expliquer la connaissance complexe de la maladie Xie Xinhui, le mot de code n'est pas facile, si vous êtes d'accord avec mon point de vue, s'il vous plaît aider à pointer une préoccupation ou cliquez sur un like, si vous ou votre famille et vos amis ont également la goutte dans ce domaine de la difficulté, s'il vous plaît transmettre cet article à la nécessité de leur il, je vous remercie ! (Le contenu ci-dessus est seulement comme une science médicale, n'a pas de valeur de diagnostic et de traitement, si, vous soupçonnez la goutte, doit aller à l'hôpital pour un examen professionnel, une partie de l'image de la violation du réseau supprimé).
La goutte est un groupe de maladies qui provoquent des lésions tissulaires dues à une augmentation de l'acide urique dans le sang à la suite de troubles du métabolisme des purines. Les lésions envahissent souvent les articulations, les reins et d'autres tissus. Comment savoir si l'on souffre de goutte ?
La détermination de la goutte dépend principalement des articulations. Au début de l'apparition de la goutte, 53 % à 70 % des patients ont les articulations du premier orteil (appelées goutte du pied) rouges, gonflées, chaudes et douloureuses, généralement multiples, certaines pouvant aussi se manifester sous forme d'articulations multiples. Elle est fixe et asymétrique, et peut progressivement envahir des articulations plus importantes telles que les chevilles, les genoux, les poignets et les coudes.
La goutte a tendance à se développer plus rapidement, et plus dans la nuit attaque, la douleur est très intense, quelques heures pour atteindre l'extrême, et même ne peut pas supporter d'être couvert par une couverture, dure généralement quelques jours à 2 ~ 3 semaines de soulagement de soi, la peau peut être vu après l'affaissement de la chute des flocons et des démangeaisons, comme les caractéristiques de cette maladie.
Il y a des nodules goutteux autour des articulations ou dans les perce-oreilles, et en cas de goutte de longue durée, les articulations sont atrophiées, déformées et souvent ulcérées, avec un écoulement crayeux des plaies.
Les symptômes de la goutte sont un signe de la goutte et il est préférable de se rendre dans un endroit approprié pour se faire examiner et diagnostiquer.
Peu de gens veulent aller à l'hôpital parce qu'ils veulent toujours résoudre leurs problèmes de la manière la plus rentable, mais je voudrais dire que la seule chose qui n'est pas possible, c'est d'aller chez le médecin !
Bien sûr, cela ne veut pas dire que nous ne savions pas que nous avions la goutte jusqu'à ce que nous allions à l'hôpital et que nous fassions un test !
lorsque tout est dit et faitLa goutte est une arthropathie associée à des cristaux, causée par des dépôts d'urate monosodique (MSU) dans les articulations.De nombreux patients atteints de goutte sont encore assez caractéristiques, et nous pouvons généralement soupçonner que nous avons la goutte en suivant ces symptômes typiques !
Le premier symptôme est souvent une douleur articulaire qui se manifeste principalement au niveau des pieds, en particulier du gros orteil.
Pourquoi notre gros orteil ? Le raisonnement est simple : vous pouvez essayer d'obtenir vos propres liens corporels.Vous constaterez que cette zone d'articulation est une zone à température relativement basse.Si vous avez appris la physique ou si vous connaissez la solubilité, vous savez que plus la température est élevée, plus la solubilité est grande, et qu'au contraire, plus la température est basse, plus la solubilité est faible ! Tout comme nous dissolvons habituellement du sucre et de l'eau salée, est-il plus facile de dissoudre du sucre et du sel dans de l'eau à température élevée ? Et la température plus basse n'est pas plus difficile à dissoudre, mais plus susceptible de se déposer ?L'articulation du gros orteil est un peu dans ce cas, la température basse est alors plus propice à la formation de nos cristaux d'urate, entraînant des lésions tissulaires et provoquant des douleurs inflammatoires !

En outre, cetteL'articulation du gros orteil est également l'articulation la plus vulnérable aux traumatismes.L'acide urique peut se déposer dans les articulations à la suite d'un accident ou d'un traumatisme mineur, ce qui favorise le dépôt de cristaux d'acide urique.Bien entendu, la douleur articulaire provoquée par la goutte n'est pas limitée à cet endroit, comme le dos du pied, la cheville, le genou, etc. sont des parties communes, et il n'y a généralement pas de symétrie, et la douleur localisée en touchant le pied présente une rougeur, un gonflement et une chaleur, en plus de la chaleur de la peau au toucher.

Deuxièmement, les douleurs articulaires sont plus susceptibles de survenir la nuit !Comme dans notre service d'urgence, certains d'entre eux sont des patients qui ont une crise de goutte aiguë la nuit, les patients viennent souvent avec une douleur insupportable, incapables de marcher seuls, et lorsque nos médecins les interrogent, la plupart d'entre eux peuvent trouver un taux d'acide urique élevé grâce à des tests sanguins.
Pourquoi la goutte a-t-elle tendance à frapper la nuit ?Tout d'abord, lorsque nous dormons la nuit.Ralentissement de la circulation sanguineDeuxièmement, chez les patients souffrant de goutte, y compris les personnes normales, le sang est acide la nuit, mais après huit heures du soir, chez les personnes normales, il a une tendance alcaline, et à ce moment-là, le sang des personnes normales a un penchant pour l'alcalinité.Ce n'est pas le cas de ce patient à l'acide urique élevé, qui a toujours été du côté acide et dont l'acide urique est acide, de sorte que le fait d'être du côté acide le rend plus sensible aux dépôts d'acide urique. Ainsi, la plupart des patients atteints de goutte se développent la nuit !
Par conséquent, nous disons que si vous avez des douleurs dans les articulations de vos pieds pendant la nuit, en particulier dans les articulations du gros orteil, il y a une très forte probabilité que vous ayez la goutte, surtout si vous avez mangé beaucoup de poisson, de bière, de fruits de mer, etc. au cours des derniers jours !
Cependant, je ne vous recommande pas de vous diagnostiquer une goutte sur la seule base de ce symptôme et de ne pas vous rendre à l'hôpital pour un examen de contrôle, pourquoi ?
Il y a deux aspects principaux :
Premier aspect : le diagnostic de la goutte par les manifestations symptomatiques comporte un certain taux d'erreurs de diagnostic, et la goutte doit également être distinguée des maladies suivantes !
La première, la goutte, doit être associée à notreérysipèleIdentification. La dengue est généralement une infection de la peau par le streptocoque B. La douleur est également rouge, enflée et chaude, voire brûlante. Les patients de ce type sont souvent traités avec de la pénicilline et ils vont bien, surtout dans le passé, il y avait vraiment beaucoup de gens qui traitaient la goutte comme de la dengue, pourquoi ?

C'est très simple, les symptômes sont à peu près les mêmes.Surtout avant la dengue, avec la pénicilline après le bon, le résultat de ce temps et de la douleur, a également pensé que c'était la dengue, frappé la pénicilline après quelques jours semble également être soulagé, et ainsi de suite, pensait qu'ils devaient avoir la dengue, et puis un certain soulagement ne peut pas être soulagé, la douleur ne peut pas supporter, à l'hôpital, un contrôle est la goutte !Parce que la goutte n'est pas grave dans les premiers jours quand c'est une maladie autolimitée, c'est-à-dire, même si vous ne vous en souciez pas, ne la traitez pas, elle peut être quelques jours, ou une semaine ou deux plus tard, donc à ce moment-là quand vous avez la dengue avec un traitement à la pénicilline pendant quelques jours bien, en fait, c'est sa propre guérison, donc cette goutte pour faire une différence avec notre dengue.
Deuxièmement, la goutte doit être distinguée de l'arthrite rhumatoïde et de la polyarthrite rhumatoïde.L'une d'entre elles est appelée rhumatisme récurrent, et si vous n'êtes pas rhumatologue, vous avez peut-être moins entendu parler de l'étendue de cette maladie.
On peut dire que le rhumatisme et la maladie rhumatoïde sont les deux maladies les plus facilement confondues par de nombreuses personnes dans notre clinique.
Premièrement.L'étiologie des deux serait différente !Le rhumatisme est une maladie étroitement liée aux infections hémolytiques à streptocoques chez l'homme, tandis que la maladie rhumatoïde est une maladie du système immunitaire généralement associée à des mutations dans les gènes immunitaires.
Deuxièmement.Le rhumatisme débute le plus souvent par une fièvre aiguë et des douleurs articulaires, symptômes stéréotypés. Outre la fièvre, le symptôme principal est une douleur migratoire généralisée.leurs articulationsIl n'y a généralement pas de changements morphologiques particulièrement évidents et les articulations touchées sont principalement de grosses articulations telles que les genoux, les chevilles, les épaules, les coudes et les poignets.La douleur se déplace d'une articulation à l'autre, met généralement plus d'un demi-mois à se résorber et peut être récurrente.

La maladie rhumatoïde, quant à elle, touche généralement les petites articulations, la principale manifestation clinique étant une douleur articulaire chronique et symétriqueIl s'agit d'une douleur dans les petites articulations symétriques des mains droite et gauche, et d'une douleur récurrente dans les petites articulations des mains, des poignets, des pieds, etc.distribution symétrique. Elle a également commencé par des articulations rouges, chaudes et gonflées et par des dysfonctionnements, mais elle s'est aggravée de plus en plus.Peut entraîner des déformations des articulations, une atrophie des muscles squelettiques et un handicap.。

Il y a ensuite la différence entre la goutte avancée, où le calcul de goutte se développe à l'intérieur de la peau dans cette zone, et les nodules rhumatoïdes, qui sont de petits nodules durs qui se développent sur l'os.

Enfin, lorsque l'on parle de goutte, de rhumatisme et de rhumatisme rhumatoïde, pour beaucoup de gens ordinaires, il faut faire très attention à les distinguer, car, comme vous pouvez le voir, le rhumatisme rhumatoïde n'est pas le même que le rhumatisme goutteux, mais le rhumatisme rhumatismal.Les causes sont totalement différentes : la goutte est due à un taux élevé d'acide urique ; le rhumatisme est dû à une infection par le streptocoque hémolytique, tandis que le rhumatisme est une maladie auto-immuneLa cause de la maladie est différente, le traitement est certainement différent, et cela peut être bien identifié en se rendant à l'hôpital pour éviter les erreurs de diagnostic !
Deuxième aspect : l'effet de la goutte sur le corps est beaucoup moins simple qu'on ne le pense, il s'agit simplement d'une douleur, et il n'est pas difficile d'aller à l'hôpital pour diagnostiquer la goutte, il n'est pas nécessaire de prendre le risque de juger soi-même s'il s'agit de la goutte ou non à cause de cela !
On trouve des calculs de goutte sur le corps de presque toutes les personnes souffrant de goutte, et ils s'accumulent au fur et à mesure que la maladie évolue.fait des ravages dans les articulations de nos membres, entraînant des gonflements et des douleurs chroniques, des raideurs et des déformations, voire des fractures.
En même temps, 2/3 de l'acide urique journalier de notre corps est métabolisé, de sorte que pour les patients souffrant de goutte, un état chronique d'acide urique élevé peut conduire àLa néphropathie goutteuse, qui peut être suffisamment grave pour entraîner une insuffisance rénale, voire une insuffisance rénale aiguë !

Et puis il y a notre constatation clinique que10 à 25 % des patients atteints de goutte ont des calculs rénaux d'acide urique.Et les calculs rénaux peuvent avoir un impact sérieux sur la vie et le travail de nombreuses personnes. La goutte n'est donc pas une maladie que l'on peut facilement diagnostiquer à tort !
Le plus important est que le diagnostic de la goutte en milieu hospitalier est aujourd'hui très simple et sophistiqué !
Lors de la première étape, une prise de sang est effectuée pour déterminer le taux d'acide urique, et l'hyperuricémie est diagnostiquée chez les adultes présentant 2 taux d'acide urique sanguin à jeun >420 μmol/L des jours non identiques ;
La deuxième étape consiste à effectuer une étude d'imagerie, par exemple pour détecter un "signe de double piste" sur l'échographie ou pour effectuer un "signe de double piste" sur l'échographie.La tomodensitométrie à double énergie révèle des dépôts d'urateetc., puis ouLes radiographies révèlent un gonflement des tissus mous, une destruction des bords du cartilage et une irrégularité des surfaces articulaires.!

La troisième étape, associée à la présentation de symptômes cliniques tels que les douleurs articulaires mentionnées au début, permet de poser un diagnostic définitif.
Par conséquent, dans le cas de la goutte, vous devez toujours effectuer des tests de diagnostic sous la direction d'un professionnel de la santé, tout en évitant les erreurs de diagnostic.Le plus important est de choisir, sous la direction du médecin, des médicaments raisonnables pour un traitement standardisé afin d'éviter des complications plus graves !
en ce qui concernegoutteSi vous avez encore des questions, vous pouvez laisser un message ci-dessous, j'adhère au texte que nous pouvons comprendre, la façon la plus primitive de vous apporter le meilleur, le plus complet, le plus pratique de la science et de la technologie de la santé. Si vous pensez que c'est bon, vous pouvez prêter attention au "détective médical" et faire suivre yo, de sorte que plus de gens autour du bénéfice !
Les symptômes typiques de la goutte sont des douleurs rouges, enflées et chaudes dans les articulations. L'articulation la plus fréquemment touchée est le gros orteil (terme médical : premier métatarsien), tandis que d'autres sont fréquentes dans les articulations de la cheville, du genou et du coude. Les symptômes apparaissent souvent soudainement la nuit. L'examen hospitalier consiste principalement à vérifier le taux d'acide urique dans le sang. Toutefois, il convient de noter que certains patients n'ont pas un taux d'acide urique élevé lorsqu'ils font une crise de goutte. Il est donc recommandé de se rendre à l'hôpital pour un examen et un traitement standardisé. Les cliniques ambulatoires voient souvent l'abus d'analgésiques conduire à l'insuffisance rénale, ce qui est très regrettable. En outre, tous les patients ayant un taux d'acide urique élevé ne développeront pas la goutte, mais ils présenteront également d'autres risques, de sorte qu'un taux d'acide urique élevé devra, dans une certaine mesure, être contrôlé à l'aide de médicaments (voir l'article à la une que j'ai posté).
Comment savez-vous que vous avez la goutte si vous ne vous rendez pas à l'hôpital pour un examen ? En réponse à la question du propriétaire, le Dr Wong comprend qu'au stade précoce de la goutte, quels sont les symptômes qui se manifestent ?

Dans le processus de lutte contre les maladies cardiovasculaires, la goutte est également toujours avec nous, pour la manifestation des symptômes de la goutte, le Dr Huang comprend naturellement, ici pour partager avec vous, afin que vous appreniez à connaître la goutte à la maison aussi.
goutteIl s'agit d'une maladie causée par un taux élevé d'acide urique dans le sang qui entraîne le dépôt de cristaux d'acide urique dans les articulations, ce qui provoque des épisodes inflammatoires douloureux dans les articulations et autour d'elles. Les manifestations les plus typiques sontpierre de la goutte。

Les patients atteints de goutte ressentent souvent une douleur intense et soudaine dans une ou plusieurs articulations, le plus souvent la nuit, et peuvent présenter une rougeur et un gonflement des articulations, une augmentation de la température de la peau et une peau rouge, tendue et brillante à la surface des articulations.
Les premières crises ne touchent généralement qu'une seule articulation et durent quelques jours. Elles se résorbent souvent d'elles-mêmes au bout de deux semaines et disparaissent ensuite complètement. Cependant, si la maladie continue de s'aggraver et n'est pas traitée activement après une crise, les crises deviennent plus fréquentes et peuvent même toucher plus d'une articulation, durant jusqu'à 3 semaines ou plus.

Des crises répétées peuvent entraîner une aggravation et une progression chronique de la goutte, avec pour conséquence une déformation des articulations malades. Enfin, les mouvements articulaires sont progressivement limités en raison des dommages causés par le dépôt continu de cristaux d'urate autour des articulations et des tendons.
Affection pouvant être ressentie directement à la maison sans avoir à se rendre à l'hôpital, survenant le plus souvent tôt le matin et à minuit, avec de fortes douleurs dans les articulations, des rougeurs, des gonflements, de la chaleur, des douleurs et des dysfonctionnements dans les articulations malades.
Cette période appartient à la deuxième phase de la maladie - la période d'arthrite aiguë et la période intermittente, parce que pendant la période d'élévation de l'acide urique, il n'y aura pas de symptômes externes, cette phase, souvent à chaque fois, ne concernera qu'une seule articulation, le plus souvent accompagnée d'hyperuricémie, accompagnée de fièvre (température corporelle supérieure à 38,5 ℃), de battements cardiaques rapides, de malaise général, de pression cutanée, de frissons, etc. Si l'état ne s'améliore pas ou ne régresse pas au bout d'une semaine, il est recommandé de consulter un médecin.

Je suis le Dr Wong, un médecin cardiovasculaire qui s'efforce d'expliquer des connaissances complexes et difficiles sur les maladies avec des mots simples pour vous aider à gérer votre corps. Votre intérêt est ma plus grande motivation ! Si un membre de votre famille souffre de problèmes liés à la goutte, n'hésitez pas à lui transmettre cet article !
Bonjour, je suis le Dr Mao en ligne et je me recommande pour répondre à cette question.
La goutte se forme lorsque l'élévation de l'acide urique dans le sang entraîne la formation de cristaux d'urate qui se déposent dans les articulations, les reins et d'autres parties du corps.
Selon les statistiques, seuls 10 % environ des personnes ayant un taux d'acide urique élevé subiront une crise de goutte. Si vous ne vous rendez pas à l'hôpital pour une crise de goutte, vous pouvez porter un jugement général sur la base de quelques conditions et symptômes particuliers.
①Préférences.Si vous avez un penchant pour la boisson et la viande, vous êtes plusieurs fois plus susceptible de développer une hyperuricémie que la population générale. La plupart des boissons alcoolisées contiennent des substances riches en purine, en particulier la bière et les liqueurs. La viande et les fruits de mer sont également des aliments à forte teneur en purine, et leur consommation en grandes quantités sur une longue période entraîne une augmentation de l'acide urique sérique, qui peut facilement provoquer des crises de goutte. En outre, les personnes qui aiment boire des boissons gazeuses souffrent facilement de la goutte. Les boissons gazeuses qui pénètrent dans l'organisme inhibent de manière compétitive l'excrétion de l'acide urique, ce qui favorise l'augmentation de l'acide urique dans le sang.
②Les habitudes.Si vous avez l'habitude de vous coucher tard, de boire moins d'eau et de porter moins de vêtements en hiver. Il est également facile de provoquer des crises de goutte.
Selon les statistiques, avec l'amélioration de notre niveau de vie et les changements de mode de vie et d'habitudes alimentaires, l'incidence de l'hyperuricémie en Chine a atteint plus de 50 %, voire plus dans certaines régions. Se coucher tard augmente la production de déchets métaboliques acides et inhibe l'excrétion de l'acide urique, boire moins d'eau ne favorise pas la dissolution et l'excrétion de l'acide urique, et porter moins de vêtements pendant la saison froide tend à réduire la solubilité de l'acide urique, autant de facteurs qui peuvent provoquer des crises de goutte.
③Manifestations de la goutte.
La manifestation la plus typique de la goutte est la formation de calculs goutteux dans les articulations, ce qui entraîne des déformations articulaires et des douleurs intenses.
Cette douleur est plus intense la nuit, lorsque le flux sanguin est lent, et peut sérieusement affecter le sommeil et la qualité de vie, et peut même être décrite comme atroce.
Si vous avez l'un des mauvais passe-temps ou l'une des mauvaises habitudes mentionnés ci-dessus et que vous présentez les signes typiques de la goutte, vous pouvez juger par vous-même que vous faites une crise de goutte, même si vous ne vous rendez pas à l'hôpital.
Voici quelques moyens de réduire les crises de goutte.
① Buvez plus d'eau.
Le corps humain contient 60 à 70 % de son poids en eau. Une quantité suffisante d'eau dans le corps joue un rôle important dans le maintien d'un fonctionnement normal des organes, ce qui est particulièrement important pour les patients atteints de goutte. Une hydratation adéquate assure une solubilité maximale de l'acide urique et facilite son excrétion, ce qui peut réduire les crises de goutte.
② S'abstenir de fumer et de boire de l'alcool.
Le tabagisme peut entraîner une constriction des petits vaisseaux sanguins et aggraver l'athérosclérose, ce qui nuit à l'excrétion de l'acide urique, et la consommation d'alcool peut entraîner une élévation de l'acide urique et provoquer la goutte.
③ Exercice physique approprié.
Un exercice physique approprié peut favoriser la circulation sanguine, accélérer l'excrétion de l'acide urique, améliorer la condition physique et réduire l'apparition de maladies.
④ Veillez à rester au chaud.
L'acide urique augmente sa solubilité à mesure que la température ambiante s'élève, ce qui réduit l'apparition de calculs goutteux.
⑤ Mangez plus d'aliments alcalins.
Comprend principalement des fruits et légumes frais, du soda, des aliments alcalins dans l'organisme, peut favoriser l'excrétion de l'acide urique, peut réduire l'acide urique.
La goutte est une maladie grave qu'il faut prendre au sérieux et prévenir pour réduire les crises de goutte.
Dr Mao online, merci de votre intérêt !

Comment savez-vous que vous avez la goutte si vous n'allez pas à l'hôpital ?
I. Rougeur, gonflement et douleur des articulations
Les orteils, la zone où les urates ont tendance à s'accumuler, et lorsque la goutte frappe, la douleur, littéralement, est atroce.
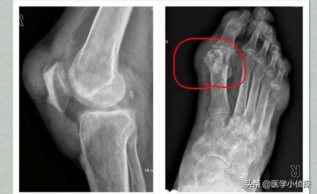
Lors d'une crise aiguë de goutte, on observe souvent une rougeur, un gonflement, une chaleur, une douleur et un dysfonctionnement localisés importants dans les articulations touchées (le plus souvent le gros orteil et le dos du pied).

II. découverte des calculs de la goutte
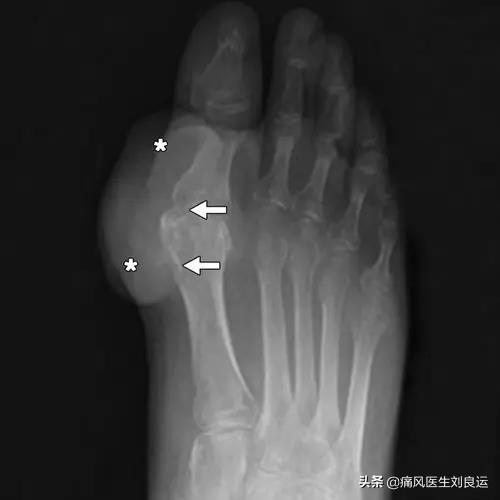
Le site typique des calculs goutteux sous-cutanés est le pavillon de l'oreille, généralement autour des articulations récurrentes, de l'épervier, du tendon d'Achille et de la bourse rotulienne. L'aspect des organismes sous-cutanés surélevés de couleur jaune-blanc-rougeâtre et de taille variable, la surface de la peau est fine, et une matière blanche poudreuse ou pâteuse s'écoule après rupture, qui ne guérit pas sur une longue période de temps. Les calculs goutteux sous-cutanés coexistent souvent avec l'arthrite goutteuse chronique. Les dépôts importants de calculs goutteux dans les articulations peuvent entraîner une destruction des os de l'articulation, une fibrose des tissus périarticulaires et des changements dégénératifs secondaires.
III. lésions rénales
La goutte ne tue pas seulement lorsqu'elle fait mal, entraînant des calculs goutteux et des lésions articulaires, mais plus grave encore, des lésions rénales. Les données montrent qu'un tiers des personnes souffrant de goutte à long terme présentent des lésions rénales, qui se manifestent par une néphropathie goutteuse chronique, des calculs rénaux d'acide urique et une néphropathie obstructive aiguë. Certains patients peuvent présenter de légères douleurs dorsales, des œdèmes, de l'hypertension, une légère protéinurie, une acidurie et une hématurie.
Quelles sont les conditions qui peuvent provoquer l'apparition soudaine de la goutte ?
La suralimentation, en particulier la consommation d'abats d'animaux, de fruits de mer décortiqués, de plats chauds et d'autres aliments à forte teneur en purine, tout en buvant beaucoup d'alcool ; les articulations froides, l'acide urique étant plus susceptible de former des cristaux à basse température ;Attraper un rhume après avoir bu de l'alcool est l'élément déclencheur le plus courant dans la vie.
La goutte peut être détectée par imagerie, la présence de cartilage articulaire "signe de double piste", l'épanchement articulaire, l'érosion osseuse, etc., peuvent également être diagnostiqués par des indicateurs de la fonction rénale.

Indicateurs cliniques de la fonction rénale
Sur le plan clinique, les indicateurs de la fonction rénale sont la créatinine sanguine, l'azote uréique et l'acide urique sanguin, communément appelés"Fonction rénale triple".Il est clair que l'acide urique sanguin est étroitement lié à la fonction rénale.
L'excès d'acide urique se dépose non seulement dans les articulations, mais aussi dans l'interstitium rénal, les tubules rénaux et les uretères, provoquant une néphrite interstitielle, des lésions des tubules rénaux et des calculs rénaux à base d'acide urique, ce qui, à terme, entraîne une insuffisance rénale. L'hyperuricémie aggrave incontestablement l'insuffisance rénale.
Le moyen le plus abordable de réduire l'acide urique
Boire beaucoup d'eau dilue l'acide urique.Il est recommandé de boire de l'eau pour maintenir une production quotidienne d'urine de 2 000 à 3 000 ml.. Il est recommandé aux personnes présentant des facteurs de risque élevés de goutte de contrôler leur régime alimentaire en général, d'éviter la consommation d'aliments riches en purine, de vérifier régulièrement leur taux d'acide urique dans le sang et d'être attentives à l'apparition de la goutte et d'autres maladies métaboliques en cas d'hyperuricémie.
La goutte s'accompagne souvent d'hyperlipidémie, d'hypertension, de diabète sucré, d'athérosclérose et de maladie coronarienne, etc., ce qui met sérieusement en danger la vie et la santé des patients et doit être pris au sérieux !
Je suis le pharmacien Wang, dont la mission est de vous aider à gérer votre corps en vous expliquant des connaissances complexes et difficiles sur les maladies avec des mots simples. Votre intérêt est ma plus grande motivation ! De plus, si un membre de votre famille est aux prises avec un traitement contre l'hyperacidité urique, n'hésitez pas à lui transmettre cet article !
Comment savez-vous qu'il s'agit de la goutte si vous n'allez pas à l'hôpital ?
L'arthrite goutteuse touche généralement les trois zones les plus affectées, à savoir les mains, les genoux et les gros orteils.
Si vous consommez du gros poisson ou de la bière et des fruits de mer, en l'absence de bruxisme, vos articulations deviennent soudainement douloureuses, la zone douloureuse est gonflée et rouge, chaude, et de plus en plus douloureuse, jusqu'à devenir insupportable. C'est un signe précurseur typique de la goutte.
La goutte est une affection douloureuse dans laquelle des cristaux d'acide urique se déposent dans les articulations. Même au stade aigu, il faut environ une semaine pour que le gonflement et la douleur disparaissent après la prise d'analgésiques et d'anti-inflammatoires. La goutte est très difficile à guérir. Si vous n'êtes pas sûr, vous pouvez vous rendre à l'hôpital pour un test d'acide urique.
La goutte a de nombreuses complications qui peuvent sérieusement affecter votre santé. Pour prévenir les crises de goutte, en plus de vivre avec modération, il faut prendre des médicaments pour abaisser le taux d'acide urique et le ramener à des valeurs normales.
La goutte commence par une douleur, c'est ce que nous appelons l'arthrite goutteuse aiguë. Entre la période d'hyperuricémie asymptomatique et la crise de goutte, la goutte se développe typiquement chez 5 à 12 % des patients hyperuricémiques ; chez 1 % des patients goutteux, l'acide urique sanguin n'est jamais élevé ; et chez 33,3 % des patients goutteux, l'acide urique sanguin n'est pas élevé au cours d'une crise aiguë.
La douleur de la goutte peut être perçue sans aller à l'hôpital. Le taux d'acide urique dans le sang doit être testé, mais la réponse douloureuse qui se produit lorsque les dépôts d'urate dans les articulations sont reconnus par l'organisme ne peut être trompée. Lorsque le taux d'acide urique dans le sang est si élevé que le sang ne peut pas le dissoudre, l'acide urique précipite pour former des sels cristallins qui se déposent dans les articulations, le cartilage et d'autres endroits où la circulation sanguine est mauvaise. La douleur survient lorsque de plus en plus de cristaux d'urate se déposent, attirant l'attention des macrophages et des neutrophiles présents dans le sang et déclenchant des "mesures de défense".

Je suis Liu Liang Yun, médecin spécialiste de la goutte au Chengdu Western Gout and Rheumatism Hospital, et aujourd'hui je vais vous parler de la façon dont vous pouvez savoir que vous avez la goutte sans aller à l'hôpital pour un examen, y compris la douleur.
La goutte peut survenir si l'acide urique reste élevé et ignoré.
La goutte est un groupe de troubles rhumatologiques-immunologiques hétérogènes, métaboliques et cristallins, causés par des perturbations chroniques du métabolisme des purines et/ou une réduction de l'excrétion de l'acide urique. La goutte est généralement désignée sous le nom d'arthrite goutteuse, définie médicalement comme une arthropathie associée à des cristaux et due à un dépôt d'urate monosodique.
Une crise de goutte peut se manifester par un jour de gonflement soudain et une douleur intense dans une articulation telle que le gros orteil (première articulation métatarso-phalangienne) du pied. Comme je l'ai dit au début, la goutte aiguë doit être précédée par la présence d'une hyperuricémie chez le patient, et si l'hyperuricémie est ignorée, elle peut évoluer vers la goutte avec des douleurs sévères.
L'un des examens médicaux a peut-être révélé un taux d'acide urique trop élevé avant l'apparition de la douleur. Quels sont donc les stades de développement de l'hyperuricémie avant qu'elle ne se transforme en goutte ?
Normalement, une valeur d'acide urique sanguin supérieure à 420 μmol/L est diagnostiquée comme une hyperuricémie. Cependant, si seule la valeur de l'acide urique dans le sang dépasse 420 μmol/L, le patient ne ressent généralement aucun symptôme perceptible, mais si l'état d'acide urique élevé persiste, l'acide urique se cristallise et précipite dans les articulations ainsi que dans les voies urinaires et d'autres parties de l'organisme.

La période sans symptômes est la période d'hyperuricémie asymptomatique, également connue sous le nom de pré-goutte. Pendant la période d'hyperuricémie asymptomatique, aucun ajustement de la vie et aucun traitement approprié n'est effectué. Il est alors très probable qu'un jour, les cristaux d'urate déposés dans les articulations déclenchent soudainement une inflammation et une douleur intense, ce qui constitue une crise de goutte. Si la crise n'a lieu qu'une seule fois, c'est qu'elle est entrée dans le stade de la goutte, car très peu de patients n'ont qu'une seule crise à vie sans récidive.
Lors d'une crise de goutte aiguë, la goutte réapparaît essentiellement si la teneur en acide urique reste élevée. Pendant cette phase, la crise alterne avec des périodes intermittentes.
Si les crises de goutte aiguës sont nombreuses, l'acide urique est également élevé, il y aura des symptômes chroniques, dans la période d'arthrite goutteuse chronique, au cours de laquelle la goutte est fréquente, l'état n'a pas été amélioré et sera de nouveau attaqué ; et les cristaux d'urate se déposent à long terme dans les articulations autour de la pierre goutteuse sont également apparus.

Les crises de goutte sont généralement douloureuses dans une seule articulation
Un état persistant d'hyperuricémie entraîne la possibilité de dépôt de cristaux d'urate dans toutes les parties du corps, mais les zones les plus sujettes au dépôt d'acide urique sont le cartilage et la synovie à l'intérieur et autour des articulations.
De toutes les articulations, la zone la plus susceptible d'être touchée par la goutte est la première articulation métatarso-phalangienne. C'est là qu'environ 70 % des personnes souffrant de goutte auront leur première crise.
Pourquoi la goutte a-t-elle tendance à frapper la première articulation métatarso-phalangienne ? Les scientifiques ont découvert que la première articulation métatarso-phalangienne est propice au dépôt de cristaux d'urate, et ce parce qu'elle présente les caractéristiques suivantes :
- Températures plus basses ;
- Plus acide ;
- Faire de l'exercice régulièrement ;
- Le fardeau est plus lourd.
Les articulations qui peuvent remplir les conditions susmentionnées sont essentiellement les articulations des membres, et les premières articulations métatarso-phalangiennes sont les plus éloignées du cœur et ont la température la plus basse ; en outre, les premières articulations métatarso-phalangiennes assument une série de rôles tels que la marche, le soutien du poids du corps, le maintien de l'équilibre du corps et ainsi de suite, et supportent une charge et une pression plus importantes, de sorte qu'elles deviennent les plus sujettes aux crises de goutte dans les parties.
Bien entendu, outre la première articulation métatarso-phalangienne, la goutte peut également frapper d'autres articulations du corps. Les sites d'attaque les plus fréquents sont les racines des autres orteils, le talon, autour du tendon d'Achille, le genou, etc., tous ces sites étant principalement concentrés dans la région des membres inférieurs, et généralement environ 90 % de l'ensemble se situent dans les articulations du genou inférieur, tandis que les doigts, les poignets, les épaules et les autres articulations des membres supérieurs sont moins susceptibles d'avoir une incidence de la maladie.

Les zones où les cristaux d'acide urique ont tendance à se déposer produisent des nodules durs de cristaux d'acide urique appelés nodules goutteux, souvent désignés sous le nom de calculs goutteux. Outre les articulations, les calculs goutteux peuvent également apparaître dans les zones où la température corporelle est basse, comme le lobe de l'oreille.
Contrairement à la polyarthrite rhumatoïde, l'arthrite goutteuse aiguë se déclare généralement dans une seule articulation. Au début, 85 à 95 % des crises sont monoarticulaires et seulement 3 à 14 % sont polyarticulaires. Il convient de noter que l'articulation de l'épaule n'est généralement pas touchée, mais qu'elle l'est parfois ; presque toutes les maladies touchent le pied, et même si le talon n'est pas touché lors de la crise initiale, il peut l'être lors des crises ultérieures.

Les manifestations articulaires d'une crise de goutte commencent par une apparition soudaine de la maladie
La goutte aiguë typique peut apparaître soudainement, voire violemment. Le gonflement soudain des articulations et la douleur sont souvent précédés d'un stress, et la douleur articulaire a tendance à se manifester la nuit, période pendant laquelle la goutte a tendance à coïncider avec l'affection. Un jour, la crise survient soudainement entre la fin de la nuit et le début de la matinée.
La raison pour laquelle la goutte aime attaquer au milieu de la nuit est que lorsqu'une personne est endormie, le rôle des nerfs parasympathiques est dominant, le sang baisse, la circulation sanguine ralentit et il y a une baisse de la température corporelle. En outre, c'est la consommation soudaine de grandes quantités d'aliments riches en purine, la consommation soudaine et excessive d'alcool, l'exercice physique trop intense, les entorses, la marche avec des chaussures plus serrées et le stress excessif, dans un état d'hyperuricémie, qui peuvent facilement conduire à des crises de goutte.
La goutte aime aussi se manifester la nuit en été, car il est facile d'avoir des crises de goutte en été lorsque la consommation insuffisante d'eau entraîne une déshydratation extrême de l'organisme et une concentration élevée d'acide urique dans le sang et l'urine.
Il existe un autre scénario auquel nous sommes attentifs, à savoirEn cas d'hyperuricémie, la valeur de l'acide urique dans le sang chute rapidement, ce qui peut également entraîner des crises de goutte. C'est pourquoi, lors de la prise de médicaments diminuant l'acide urique pour traiter la goutte, il est généralement nécessaire de commencer par une petite dose afin d'éviter une chute rapide de l'acide urique, et de prendre également des médicaments anti-inflammatoires et analgésiques pour prévenir les crises de goutte aiguës.

En général, une crise aiguë d'arthrite goutteuse est si intense que pour décrire la douleur à ce stade : "J'ai très mal même quand le simple vent souffle". C'est de là que vient le mot goutte. Pendant la crise initiale, la douleur augmente progressivement et le simple fait de toucher ses pieds sur la couette peut déclencher une douleur insupportable.
- Les symptômes de la goutte aiguë, outre la douleur, comprennent généralement une rougeur, un gonflement et une chaleur localisée à l'endroit de la crise, ainsi qu'une importante douleur à la pression. Une crise de goutte aiguë dans la première articulation métatarso-phalangienne peut entraîner l'impossibilité de porter des chaussures parce que le pied est enflé et que la douleur est si forte qu'il est impossible de marcher.
- Une crise de goutte aiguë atteint généralement son apogée dans les 24 heures qui suivent son apparition et dure deux ou trois jours, perturbant souvent le sommeil, la marche, le travail et les activités. L'inflammation de la goutte aiguë est généralement spontanément résolutive et l'inflammation sévère s'accompagne d'une élévation des globules blancs.
- Les crises de goutte aiguës durent généralement de 7 à 10 jours et la douleur intense se transforme lentement en une vague douleur. Deux semaines plus tard, la douleur disparaît comme par magie parce que les globules blancs qui attaquent l'acide urique cessent lentement de fonctionner. Lorsque l'inflammation se résorbe, la peau rouge d'origine, semblable à celle d'une pomme, prend une couleur violette et la peau qui l'entoure commence à s'écailler.

Même si la douleur disparaît, la goutte revient.
Après la disparition de la douleur provoquée par une crise de goutte, de nombreuses personnes ne se rendent pas à l'hôpital pour consulter un médecin, relâchant ainsi leur vigilance. Bien qu'il n'y ait pas de symptômes évidents de séquelles, les cristaux d'urate continueront à se déposer dans les articulations, provoquant des lésions articulaires.
Entre la première et la deuxième crise de goutte, la deuxième crise survient généralement dans un délai de 6 mois à 2 ans, et dans quelques cas, il faut attendre 5 à 10 ans avant qu'elle ne se produise. La plupart des gens ont de la chance. Lorsque la première crise de goutte survient, il peut s'agir encore de l'articulation du premier métatarsien ou de l'articulation de l'autre pied. Lors de crises de goutte répétées, des cristaux d'urate se déposent dans les différentes articulations du corps.
Par la suite, au fur et à mesure que la maladie progresse, le nombre de crises augmente progressivement, la durée des symptômes se prolonge, l'intervalle asymptomatique se raccourcit progressivement, et même les symptômes ne peuvent pas être complètement soulagés, et les articulations touchées augmentent progressivement, des membres inférieurs aux membres supérieurs, des petites articulations terminales aux grandes articulations, et des articulations telles que les doigts, les poignets, les coudes et d'autres articulations sont touchées, et quelques patients peuvent toucher les épaules, les hanches, les sacro-iliaques, les serrures sternales, ou les articulations rachidiennes, et également toucher les bourses périarticulaires, les tendons, les gaines tendineuses et d'autres parties du corps, les signes et les symptômes devenant progressivement atypiques.

En outre, les cristaux d'urate se déposent dans le cartilage, la synovie, les tendons, les tissus mous et d'autres dépôts locaux du tissu sous-cutané, ce qui entraîne également la formation de calculs goutteux, dont la taille varie de quelques millimètres à plusieurs centimètres. La goutte peut alors évoluer d'une monoarthrite sporadique vers une polyarthrite récurrente, voire une arthrite persistante, des déformations articulaires et des cristaux d'urate. Les calculs de goutte peuvent entraîner une limitation significative des mouvements articulaires en affectant directement les articulations ou les tendons articulaires, et peuvent également entraîner des lésions osseuses et une incapacité fonctionnelle ainsi que des douleurs dans les articulations.

Contrôlez donc votre taux d'acide urique avant que la maladie ne s'aggrave. Vous avez peut-être pris conscience de la gravité de la maladie, mais vous n'avez pas la volonté de la traiter. Je vous conseille néanmoins de ne pas laisser passer l'occasion d'un traitement adéquat afin que votre goutte n'entre pas dans une période plus dangereuse.
Bonjour, je suis le Dr Qiao Fang du service de rhumatologie et d'immunologie, anciennement médecin généraliste à l'hôpital populaire de la province du Sichuan. Permettez-moi de répondre à cette question.

Lors de la première crise de goutte aiguë, de nombreux patients ne savent pas de quelle maladie ils souffrent, en particulier après un exercice physique intense, une cheville cassée et d'autres lésions traumatiques, les articulations après la crise de goutte froide seront confondues avec un traumatisme, d'autres types de polyarthrite rhumatoïde, etc.

Par conséquent, le diagnostic correct et le diagnostic différentiel de la goutte (par rapport à d'autres maladies présentant des symptômes similaires) sont particulièrement importants.
Quel est le diagnostic standard et précis dans les hôpitaux ?
À ce jour, plusieurs critères de classification (diagnostic) de l'arthrite goutteuse aiguë ont été proposés au niveau international, tels que les [Critères de Rome] publiés en 1963 et les [Critères de New York] publiés en 1966, qui ont tous deux été remplacés en raison de leur sensibilité et de leur spécificité insuffisantes.Les critères de classification (diagnostic) de 1977 de l'American College of Rheumatology sont largement utilisés dans la pratique clinique.

Selon les critères de classification (diagnostic) de l'American Rheumatism Association (ARA).L'arthrite goutteuse aiguë est diagnostiquée lorsque l'une des trois conditions suivantes est remplie :
I. Cristaux spécifiques (urate) dans le liquide synovial ;
Deuxièmement, la présence de cristaux d'urate dans les nodules goutteux des articulations est confirmée par des méthodes chimiques ou par microscopie à lumière polarisée ;
III. posséder au moins 6 des 12 éléments suivants :
- (1) Crise d'arthrite aiguë >1 épisode
- (2) La réponse inflammatoire atteint son maximum en 1 jour.
- (3) Épisodes arthritiques oligo (mono)
- (4) Rougeur visible des articulations
- (5) Douleur ou gonflement de la première articulation métatarso-phalangienne (le gros orteil du pied)
- (6) Atteinte unilatérale de la première articulation métatarso-phalangienne
- (7) Atteinte unilatérale de l'articulation du tarse (point de jonction du pied et de la cheville)
- (8) Calculs de goutte (suspectés ou confirmés)
- (9) Hyperuricémie (2 écarts types au-dessus de la moyenne de la population normale)
- (10) Tuméfaction intra-articulaire asymétrique (confirmée par radiographie)
- (11) Kyste sous-cortical de l'os sans érosion osseuse (confirmé par radiographie)
- (12) Cultures microbiologiques négatives des liquides articulaires à l'apparition de l'arthrite
La précision (sensibilité et spécificité) de ce critère pour le diagnostic de l'arthrite goutteuse aiguë est supérieure à 90 % après des années d'essais portant sur plusieurs années et plusieurs cas.
Comment identifier une crise de goutte après une auto-évaluation précise ?
Comme le montrent les critères de diagnostic de l'ARA ci-dessus, les deux premières affections majeures nécessitent toutes un examen dans un hôpital. Parmi les 12 conditions de la troisième condition [évaluation de l'échelle], les quatre dernières doivent également toutes être examinées dans un hôpital.
但Les 8 premiers peuvent être réalisés par autodiagnostic, et si vous pouvez remplir 6 d'entre eux, vous serez en mesure de déterminer si vous avez une crise de goutte avec une certaine précision.
1. crise d'arthrite aiguë >1
2. la réponse inflammatoire atteint son maximum en l'espace d'un jour
3. épisodes d'oligo(mono)arthrite
4. rougeur visible des articulations
5. douleur ou gonflement de la première articulation métatarso-phalangienne (le gros orteil du pied)

Première articulation métatarso-phalangienne en rouge
6. atteinte unilatérale de la première articulation métatarso-phalangienne
7. atteinte unilatérale de l'articulation du tarse (point de rencontre entre le pied et la cheville)
8. calculs de goutte (suspectés ou confirmés)

Voir également l'article 9 :hyperuricémie(2 écarts types (540umol/L) au-dessus de la moyenne de la population normale). Beaucoup d'entre vous découvriront si vous avez un excès d'acide urique dans le sang lors d'un examen physique. Cet article peut également être évalué de manière réaliste sur la base de ses propres mérites.
Les critères d'autodiagnostic des patients ne sont pas exacts et les visites à l'hôpital sont toujours recommandées.
Bien que l'échelle ci-dessus permette de détecter une crise de goutte aiguë avec une précision de plus de 90 %. Cependant, l'échelleLes patients n'ont pas une expérience clinique suffisante pour évaluer les critères.Par exemple, la position des articulations métatarso-phalangiennes et tarsiennes n'est pas connue, et il n'est pas possible de déterminer si la douleur est sous-cutanée, dans la cavité articulaire ou dans les tissus mous adjacents ; une attention particulière doit être accordée à des caractéristiques telles que les épisodes unicompartimentaux et les épisodes asymétriques.

De nombreux patients ont l'idée préconçue qu'ils sont goutteux, et plus ils y ressemblent selon les critères, plus ils sont susceptibles d'arriver à une conclusion erronée.Et la précision de cette échelle elle-même n'est pas de 100 %, avec un taux positif de 10,9 % pour les diagnostics erronés de pseudogoutte et de 1,3 à 2,8 % pour les autres patients ne souffrant pas d'arthrite goutteuse.
Il est donc recommandé aux patients présentant des symptômes similaires à ceux de la goutte aiguë de consulter un rhumatologue professionnel. Avec l'aide d'instruments de test professionnels, les résultats seront plus précis ; grâce au diagnostic et à l'analyse du médecin, l'utilisation ultérieure de médicaments sera également plus sûre.
Il n'est pas facile de les rassembler et de les publier ! Si vous êtes d'accord avec mon point de vue, veuillez m'aider à exprimer une préoccupation ou à faire un éloge ; si vous avez un point de vue différent, vous êtes également invité à laisser un message ci-dessous, nous pourrons en discuter ensemble ; vous pouvez également être transmis à vos amis autour du besoin ; merci !
Ces questions et réponses proviennent des utilisateurs du site, elles ne représentent pas la position du site, s'il y a une infraction, veuillez contacter l'administrateur pour la supprimer.