Quelle est l'espérance de vie moyenne après une atrophie cérébrale ? Quelle est l'espérance de vie moyenne après une atrophie cérébrale ?
Quelle est l'espérance de vie moyenne après une atrophie cérébrale ? Quelle est l'espérance de vie moyenne après une atrophie cérébrale ?
(Réponse spéciale du Dr Jia de l'Institut des maladies infectieuses, Université médicale de Tianjin)
Dans notre vie quotidienne, je pense que le terme "atrophie cérébrale" ne nous est pas inconnu. De nombreux patients sont très nerveux lorsqu'ils passent un scanner et voient le rapport d'atrophie cérébrale : "Vais-je être atteint de la maladie d'Alzheimer ? "Vais-je être méconnaissable ?" "Combien de temps puis-je vivre avec une atrophie cérébrale ? En réponse à ces questions, il convient d'être attentif, sans pour autant céder à la panique, et de se familiariser avec l'atrophie cérébrale.

Tout d'abord, l'atrophie cérébrale ≠ "Alzheimer" (Parkinson). L'atrophie cérébrale n'est pas une maladie distincte, mais un symptôme objectif, c'est-à-dire le phénomène de rétrécissement du tissu cérébral, de diminution du nombre de cellules et d'élargissement des ventricules que l'on observe sur les examens d'imagerie tels que la tomodensitométrie, qui est une manifestation d'imagerie de nombreuses maladies.
Il existe deux types d'atrophie cérébrale : physiologique et pathologique. L'atrophie cérébrale physiologique est un déclin naturel des fonctions corporelles avec l'âge, et de nombreuses personnes âgées en bonne santé présentent également différents degrés d'atrophie cérébrale physiologique, mais le degré est souvent léger et n'affecte pas la vie normale. L'atrophie cérébrale pathologique peut être causée par diverses raisons, telles que l'hérédité, un traumatisme, un empoisonnement, un infarctus cérébral, une encéphalite, une malformation vasculaire cérébrale, une tumeur cérébrale, une crise d'épilepsie de longue durée, l'artériosclérose cérébrale, l'alcoolisme, etc., dont le facteur le plus important reste les vaisseaux sanguins cérébraux pendant une longue période, l'ischémie chronique, l'apport insuffisant d'oxygène cérébral.
Par rapport aux personnes en bonne santé ne souffrant pas de maladies sous-jacentes, les personnes souffrant depuis longtemps de maladies sous-jacentes telles que l'athérosclérose (de nombreuses petites artères du tissu cérébral peuvent être obstruées de manière diffuse), l'hypertension (épaississement des petites parois artérielles, diminution de l'élasticité et capacité insuffisante à fournir du sang) et l'hyperlipidémie (exacerbation de l'athérosclérose et mauvaise perfusion circulatoire dans le tissu cérébral) sont plus susceptibles de développer une atrophie cérébrale.
L'atrophie cérébrale en elle-même n'a pas beaucoup d'impact sur l'espérance de vie du patient, et la durée de survie doit encore être jugée en fonction de la qualité physique du patient et de la gravité de la maladie dont il souffre. Cependant, l'atrophie cérébrale continue de s'aggraver, ce qui affecte sérieusement la qualité de vie des patients, négligeant de couvrir les symptômes causés par d'autres maladies malignes, et si elle n'est pas traitée à temps, elle peut mettre la vie du patient en danger.
Les symptômes cliniques de l'atrophie cérébrale varient en fonction des différentes parties de l'atrophie. Les premières manifestations sont communes : vertiges, maux de tête, insomnies et oublis. Le changement évident de la personnalité et de l'humeur du patient est particulièrement préoccupant. Certains patients changent leur caractère doux et calme, deviennent irritables, obscènes, ont un comportement incontrôlable, ou changent leur caractère vif en dépression, et leurs proches doivent exclure les facteurs pathologiques en plus de l'explication psychologique. Avec le développement de l'atrophie cérébrale, les patients peuvent présenter des symptômes tels que des tremblements des mains et des pieds, une démarche instable et des pertes de mémoire évidentes, ce qui rendra le traitement difficile.
Afin de détecter et de contrôler la maladie à un stade précoce et d'obtenir un meilleur effet thérapeutique, les patients d'âge moyen et avancé doivent prendre l'habitude de se soumettre à un examen physique régulier, prêter attention au contrôle de la viscosité sanguine, des lipides sanguins, de l'hypertension et du diabète sucré ainsi qu'à d'autres maladies de base, et traiter les maladies primaires en temps opportun. La tomodensitométrie du cerveau peut être examinée chaque année pour vérifier s'il existe un risque d'obstruction vasculaire cérébrale, de tumeur, etc., et prendre les médicaments appropriés pour améliorer l'apport sanguin cérébral, promouvoir la circulation et réduire les lipides sanguins, selon les prescriptions du médecin. Dans la vie quotidienne, nous devrions veiller à renforcer l'exercice physique, à adopter un régime alimentaire équilibré et à améliorer de manière appropriée l'utilisation du cerveau, en augmentant la lecture, les jeux de société et d'autres activités, de manière à ralentir autant que possible le déclin des fonctions cérébrales.
L'atrophie cérébrale n'est pas une maladie.
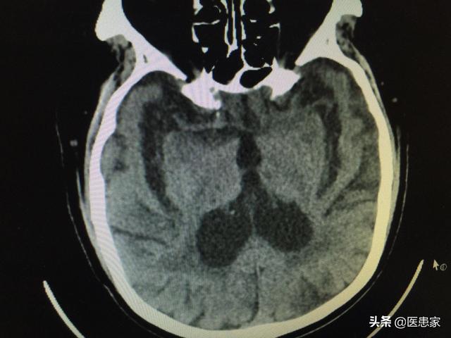
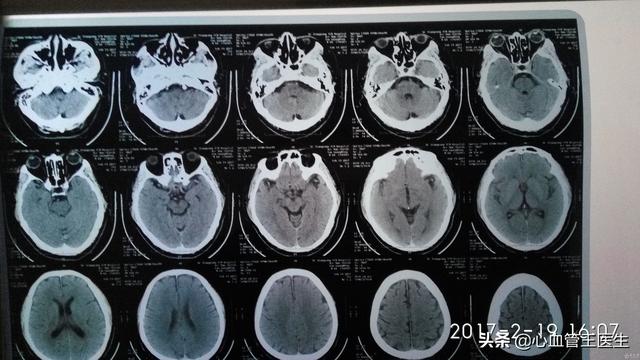
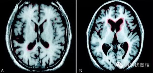
L'atrophie cérébrale est un phénomène dans lequel le nombre et le volume des cellules cérébrales sont réduits et se manifestent morphologiquement par une atrophie due à des lésions organiques dans le tissu cérébral lui-même, causées par diverses raisons. La tomodensitométrie crânienne ou l'IRM peuvent montrer une réduction du volume du tissu cérébral et un élargissement des ventricules et de l'espace sous-arachnoïdien. La maladie survient généralement après 50 ans, peut durer des années, voire des décennies, et est plus fréquente chez les hommes que chez les femmes.
Sur le plan morphologique, elle peut se manifester par une atrophie cérébrale diffuse, notamment une atrophie corticale, une atrophie cérébelleuse et une atrophie du cortex, du cervelet et du tronc cérébral. L'atrophie cérébrale limitée est le plus souvent observée après des lésions cérébrales organiques limitées telles que des traumatismes, des maladies vasculaires, des infections intracrâniennes confinées et d'autres facteurs. L'atrophie cérébrale est le plus souvent due à une insuffisance chronique à long terme de l'apport sanguin cérébral, entraînant la mort prématurée des cellules cérébrales.
L'atrophie cérébrale est souvent associée à l'hérédité, à l'alcoolisme chronique, aux accidents vasculaires cérébraux, aux lésions cérébrales traumatiques, à l'encéphalite, aux malformations vasculaires, aux crises d'épilepsie fréquentes et à de nombreux autres facteurs.
L'atrophie cérébrale peut affecter les fonctions de la mémoire, les fonctions cognitives et les déficiences mentales et émotionnelles. Bien qu'elle n'affecte pas directement l'espérance de vie, l'atrophie cérébrale est sujette à un certain nombre de complications qui peuvent avoir de graves conséquences sur la vie.
Les complications résultant de l'atrophie cérébrale, telles que la mobilité réduite, la tendance aux chutes, dont les conséquences sont des blessures mineures, des fractures graves, certaines pouvant nécessiter un alitement prolongé et des infections pulmonaires induites, conduisent finalement à une défaillance de plusieurs organes et à la mort. Dans le cas improbable d'un traumatisme crânio-cérébral fatal combiné à une hémorragie intracrânienne, le pronostic vital peut être directement engagé.
L'atrophie cérébrale se développe au point que le dysfonctionnement de la déglutition est très susceptible de se produire pendant l'aspiration de l'alimentation, même avec l'utilisation de la nutrition nasale (sonde gastrique) ne peut pas résoudre les infections pulmonaires induites par le reflux gastro-œsophagien, si le diagnostic n'est pas posé à temps ou si le traitement n'est pas approprié, cela conduit souvent à des infections bactériennes pan-résistantes (superbactéries), tous les antibiotiques sont inutiles ; et finalement se développe une défaillance de plusieurs organes : insuffisance cardiaque, insuffisance rénale, insuffisance hépatique, insuffisance de la coagulopathie, coagulopathie, insuffisance respiratoire, insuffisance circulatoire et décès. C'est la cause la plus fréquente de décès chez plus de 80 % des personnes âgées.
En règle générale, la durée de survie après la découverte d'une atrophie cérébrale est de 5 à 15 ans, mais elle n'est pas absolue et l'essentiel est de voir si des complications fatales surviennent. Les cellules cérébrales ne peuvent pas se régénérer après la mort, de sorte qu'une fois l'atrophie cérébrale apparue, la situation s'aggravera progressivement avec le temps et ne pourra pas être traitée ou inversée par des médicaments.
L'atrophie cérébrale et la démence ont une certaine relation, mais on ne peut pas dire que l'apparition de l'atrophie cérébrale est synonyme de démence, ni que les personnes atteintes de démence ont nécessairement une atrophie cérébrale, et la gravité de la démence et de l'atrophie cérébrale n'est pas proportionnelle. La pathogénie de la démence n'a pas encore été élucidée et il est irréaliste d'espérer que des médicaments contre la démence seront inventés à court terme. Les médicaments actuels contre la démence sont appliqués sur la base de diverses hypothèses. L'incidence de la démence chez les personnes âgées de moins de 70 ans est inférieure à 15 %, tandis que l'incidence de la démence chez les personnes âgées de 80 à 90 ans atteint 30 %, et l'incidence de la démence chez les personnes âgées de plus de 90 ans peut être supérieure à 50 %. Par conséquent, l'éternelle quête de longévité est clairement inversement proportionnelle à la qualité de vie.
La plus effrayante est la démence précoce, qui se manifeste plus tôt, souvent entre 45 et 55 ans, parfois par un rétrécissement du cerveau, et qui évolue extrêmement rapidement, voire progresse et s'aggrave chaque mois en termes de fonctions de mémoire et de fonctions cognitives. Malheureusement, même lorsqu'elle est détectée, elle est difficile à traiter. Une chose est sûre : plus de 80 % des personnes atteintes de démence présentent une dépression aux premiers stades, et il a été démontré qu'une intervention précoce chez ces patients, qui permet de contrôler rapidement et efficacement les symptômes de la dépression, peut ralentir considérablement la progression de la démence. Il se peut que ce soit actuellement le seul moyen efficace de ralentir la progression de la maladie chez les personnes atteintes de démence. Malheureusement, peu de gens le savent, même les experts qui étudient la démence.
2020.1.19


Il y a des arguments à faire valoir.
Je ne suis pas médecin, je ne sais pas combien de temps on peut vivre avec une atrophie cérébrale ni quelles sont les causes de la maladie, mais je sais qu'elle est incurable, qu'elle s'aggrave de plus en plus et qu'en fin de compte, on ne peut même pas prendre soin de soi.
J'ai un bon ami qui a souffert de cette maladie, il y a environ cinq ou six ans, il avait 47 ans, et au début, il avait l'impression de marcher d'un côté et de ne pas pouvoir marcher en ligne droite.
Je ne l'ai pas pensé à l'époque, mais j'étais instable et je trébuchais, et je tombais facilement en marchant. Pendant cette période, il s'est rendu à l'hôpital pour un examen et un traitement, et le médecin a diagnostiqué une atrophie cérébelleuse.
Il était dans une bonne situation financière et avait consulté un certain nombre d'établissements, mais il n'y avait pas de remède, et la situation devenait de plus en plus groovy, au point qu'il ne pouvait plus sortir de chez lui et que sa vie était ingouvernable.
Entre le début de sa maladie et la situation actuelle, il ne s'est écoulé que cinq ou six ans, et un homme dans la force de l'âge s'est effondré. Non seulement il a souffert, mais il a aussi imposé un lourd fardeau à sa famille et à ses proches.
Comme il était généralement proche de lui, la maladie s'est déclarée à un stade précoce, sans anomalie, mais la maladie a un peu dévoré sa santé.
Aujourd'hui, il ne peut que rester au lit et compter sur sa famille pour le servir. Les difficultés et les douleurs intérieures et physiques sont inimaginables.
A mon avis, la science médicale progresse globalement, mais l'être humain reste impuissant face à certaines maladies. Même si la science médicale est capable de surmonter beaucoup de problèmes difficiles, la naissance, le vieillissement, la maladie et la mort de l'être humain nous seront toujours insurmontables.
C'est pourquoi nous devons chérir la vie, et vivre une vie saine et décente est plus heureux que toute autre chose.
La chose la plus douloureuse est l'atrophie cérébelleuse, le cerveau est normal, mon père est atteint d'atrophie cérébelleuse, il a commencé à marcher de manière instable, la parole est ambiguë, puis il ne peut pas se tenir debout, puis il s'assoit dans un fauteuil roulant, il ne peut pas parler, il ne peut pas parler, les mains, les pieds sont raides, il y a une perte de fonction, et finalement il ne peut que s'allonger, un total de huit ans avant qu'il ne meure. Mais le cerveau est très clair, les choses qu'il comprenait, aussi comprendre, mais la perte de la fonction du langage, l'expression, la raideur de la main ne peut pas écrire, huit ans, le cœur de l'idée de l'expression, comme suffocant ah, comme douloureux ah, à la mort de huit ans, n'a pas laissé une phrase, un mot, et plus tard l'insuffisance respiratoire, ne peut pas respirer, est mort, cette maladie est trop cruelle, trop de démolition de la rectification de l'être humain, par rapport à la maladie de l'homme, la maladie de l'homme. Cette maladie est trop cruelle, trop douloureuse, comparable au fait de s'attarder, de regarder les autres couper votre chair mais vous ne pouvez rien y faire, cette maladie est 10 000 fois plus douloureuse que la personne végétative, parce que la personne végétative n'a pas de conscience, elle ne peut pas ressentir la douleur ah !
Le cerveau peut être divisé en trois structures principales, à savoir le cerveau primitif (en charge du centre de vie), le cerveau émotionnel (en charge de la mémoire, des émotions et du langage) et le cerveau cognitif (en charge de la cognition, de la logique, de la pensée et du calcul). Le cerveau ne représente que 2 % du volume et du poids du corps, mais consomme jusqu'à 20 % de l'énergie du corps, ce qui indique que les cellules cérébrales sont des organes à vocation fonctionnelle qui doivent fonctionner en permanence. Selon le professeur Wong, le terme d'atrophie cérébrale peut être abordé sous deux angles, que je classerais en distinctions structurelles et fonctionnelles.

Structure.
L'atrophie cérébrale peut être causée par une maladie, un traumatisme, une tumeur, une maladie héréditaire ou une neuropathie dégénérative, entraînant une réduction de la densité des boucles cérébrales, un élargissement de l'espace entre les chambres, une modification de la distance entre les boucles et le crâne, et une modification du volume du cerveau tel que déterminé par un suivi régulier par IRM. Nous pensons que l'atrophie cérébrale représente en fait un certain degré de détérioration de la fonction physique. Par ailleurs, les patients ayant souffert de maladies cérébro-vasculaires telles que l'infarctus cérébral ou l'hémorragie cérébrale peuvent également voir proliférer les traces de lésions laissées par l'imagerie précédente si la réhabilitation des différentes fonctions n'a pas été immédiate ou négligée.

Fonction.
En neurologie clinique, les preuves de l'atrophie cérébrale reposent principalement sur des rapports d'imagerie, alors qu'en médecine de réadaptation, elles sont axées sur la fonction. Parce que notre comportement dépend fortement de la transmission de nerf à nerf, la pensée ou le comportement humain est un processus de transmission de signaux électriques, qui dépend également de la concentration de neurotransmetteurs ; il s'agit donc d'un processus très complexe. Après le développement du cerveau logique humain moderne, la capacité du cerveau, qui n'était à l'origine responsable que de la vie et des émotions, s'est encore élargie, et la connexion de nerf à neurone est devenue de plus en plus étroite, de sorte que le monde humain est devenu de plus en plus complexe. C'est pourquoi le monde humain est si coloré. D'autre part, les autres mammifères ont également un cerveau primitif et un cerveau émotionnel, mais ils n'ont pas développé de cerveau logique, ce qui pourrait être une faveur de Dieu pour les êtres humains ? Cependant, par rapport aux autres mammifères, dont la vie est simple, avec seulement le besoin instinctif de survivre et de se reproduire, nos interactions sociales sont plus complexes et variées, peut-être parce que nous sommes dotés d'un cerveau logique qui réfléchit trop ?

La détérioration fonctionnelle s'accompagne généralement d'une atrophie cérébrale. Par exemple, après un infarctus cérébral, en raison de lésions étendues du cortex cérébral, divers troubles fonctionnels apparaissent (troubles de la parole, troubles émotionnels, troubles sensoriels, troubles du mouvement, démarche hémiplégique, etc. Par conséquent, si le travail de rééducation n'est pas effectué à temps, les connexions entre les nerfs se relâcheront, les axones mourront et les performances fonctionnelles deviendront de plus en plus irremplaçables et irrécupérables au fil du temps. C'est pourquoi j'ai toujours insisté sur l'importance de l'entraînement à la rééducation pour tous les types de lésions et de maladies neurologiques liées au cerveau, une fois que les signes vitaux se sont stabilisés. La semaine dernière, à la clinique spécialisée, j'ai vu une patiente de 53 ans qui avait fait une chute il y a 13 ans. Elle avait des antécédents d'hémorragie intracrânienne et, après une opération de décompression, elle est rentrée chez elle pour récupérer et a mené un mode de vie statique pendant plus de dix ans sans aucun entraînement de rééducation ciblé. D'après ses plaintes, elle a commencé à présenter des symptômes dégénératifs tels que des mouvements lents, des troubles de l'élocution, des pertes de mémoire et des difficultés de déglutition au cours des dernières années. Après observation et évaluation, j'ai constaté que la patiente souffrait d'une faible capacité fonctionnelle et d'un affaiblissement des connexions neuromusculaires. Les études d'imagerie réalisées au cours des dernières années ont également révélé des boucles cérébrales lâches, un élargissement de l'espace interventriculaire et une réduction significative du volume cérébral. J'ai donc immédiatement demandé à la patiente de suivre divers traitements de rééducation, y compris la kinésithérapie, la thérapie par l'exercice, l'ergothérapie, l'orthophonie, la thérapie de déglutition, et ainsi de suite. Si nous continuons à ignorer et à vivre comme nous l'avons fait, nous développerons bientôt la démence et finirons par avoir un mode de vie totalement dépendant, ce qui alourdira le fardeau de la famille.

Les cellules nerveuses du cerveau humain se conforment au principe de "l'utiliser ou le perdre", et par l'apprentissage, l'exercice physique, l'exposition à de nouvelles choses, la réflexion, le calcul et divers apports sensoriels, le cerveau peut être activé pour activer sa capacité d'intégration, de sorte qu'avec le processus d'entrée et de sortie, les neurones du cerveau fonctionneront naturellement. Grâce à l'apprentissage, à l'exercice physique, à l'exposition à de nouvelles choses, à la réflexion, au calcul et à divers apports sensoriels, le cerveau peut être activé pour activer sa capacité d'intégration, de sorte qu'avec le processus d'entrée et de sortie, les neurones du cerveau fonctionneront naturellement. De nombreuses preuves scientifiques au cours des dernières décennies ont également souligné que le cerveau possède une plasticité et que, grâce à une stimulation constante, les axones des nerfs peuvent proliférer et être étroitement connectés. Par conséquent, la meilleure façon de prévenir ou de traiter l'atrophie cérébrale est de l'utiliser autant que possible.

Il n'y a pas de réponse standard à cette question, l'atrophie cérébrale peut durer longtemps, mais les personnes concernées perdront progressivement leur capacité à prendre soin d'elles-mêmes. En même temps, l'apparition de l'atrophie cérébrale est également susceptible d'être accompagnée d'autres dysfonctionnements, si l'atrophie cérébrale se produit dans le cerveau primitif, la violation du rythme cardiaque respiratoire et d'autres fonctions vitales, et bientôt il y aura une insuffisance respiratoire qui menacera la vie. Par conséquent, chaque fois qu'une maladie ou une lésion cérébrale survient, ou peut-être au cours du processus naturel de vieillissement, il ne faut pas renoncer à l'opportunité d'inverser la plasticité cérébrale, dans l'espoir que tout le monde puisse vieillir avec grâce. Le professeur Wong a partagé ses observations cliniques, j'espère qu'elles pourront vous aider, si vous aimez mon article, veuillez le liker ou le retweeter pour que plus de gens le voient, à la prochaine fois @ProfessorWongRehabilitationMedicine

Mon père était atteint d'atrophie cérébrale, dès le début, il dépensait sans compter, ne savait pas comment trouver de l'argent, donnait des choses en désordre, puis jurait sérieusement, avait un feu froid, changeait de caractère, mais reconnaissait aussi sérieusement les enfants, les jetait un an avant de mourir, ou comment les personnes âgées ont généralement plus de cerveau, ne peuvent pas manger, bien tout ku, pour développer les personnes âgées à être plus autonomes, capables de faire un peu de travail, de faire le vieil homme, loin de l'atrophie cérébrale.
Nous constaterons qu'un certain nombre de personnes âgées présentent une atrophie cérébrale, qui est une manifestation d'imagerie, c'est-à-dire que le scanner cérébral révèle que le tissu cérébral s'est atrophié, ce qui peut ou non provoquer certains symptômes.
Un scanner cérébral léger suggère une atrophie cérébrale, mais je ne ressens aucune gêne, ni aucune performance anormale, et cela n'affecte pas ma vie normale.
L'atrophie cérébrale n'est pas une démence.
L'atrophie cérébrale n'est pas une démence et la gravité de la démence n'est pas proportionnelle à l'atrophie cérébrale. L'atrophie cérébrale est un phénomène dans lequel la tomodensitométrie cérébrale révèle une réduction de la taille du tissu cérébral, une diminution du nombre de cellules et un élargissement des ventricules.
La démence, la maladie d'Alzheimer est une maladie neurodégénérative progressive à début insidieux. Elle se caractérise cliniquement par une démence généralisée avec troubles de la mémoire, aphasie, dysarthrie, anosognosie, altération des capacités visuospatiales, dysfonctionnement exécutif, ainsi que par des changements de personnalité et de comportement, dont la cause reste inconnue.
Causes de l'atrophie cérébrale ?
Avec l'âge, un certain degré d'atrophie du tissu cérébral est physiologiquement normal, mais lorsque l'atrophie cérébrale survient trop tôt, trop vite et progresse rapidement, etc., ce qui ne correspond pas aux changements physiologiques, elle peut être causée par des maladies. Outre l'âge, les traumatismes cérébraux, les maladies neurologiques, les infections et d'autres causes entraînent une réduction anormale des cellules cérébrales, ce qui peut également conduire à l'atrophie du tissu cérébral. L'hérédité, l'alcoolisme chronique, les accidents vasculaires cérébraux, les malformations vasculaires et les crises d'épilepsie fréquentes augmentent également le risque d'atrophie cérébrale.
L'hypertension, l'hyperlipidémie, le diabète sucré, les maladies coronariennes, les infections, la baisse de l'immunité, le tabagisme et l'alcoolisme peuvent induire une atrophie cérébrale.
Quels sont les signes d'atrophie cérébrale ?
Dans les premiers stades, l'atrophie cérébrale peut ne présenter aucun signe, et progressivement, des pertes de mémoire, un ralentissement des réflexes et un déclin cognitif peuvent survenir. Au fur et à mesure que l'atrophie cérébrale s'aggrave, des oublis peuvent apparaître : perte d'objets, lenteur d'action, oubli de mots, voire oubli de rentrer chez soi. Des sautes d'humeur, de l'anxiété, de la dépression, de la paranoïa, etc. apparaissent.
Si l'atrophie cérébrale atteint un stade moyen ou avancé, il peut y avoir de graves oublis, une confusion mentale, une marche instable, une incapacité à s'habiller seul, une incapacité à manger volontairement, une incontinence, une méconnaissance des membres de la famille, des délires, des hallucinations, etc., avec une paralysie complète des capacités intellectuelles et physiques, et une incapacité totale à prendre soin de soi, ce qui nécessite des soins spécialisés.
L'atrophie cérébrale affecte-t-elle l'espérance de vie ?
L'atrophie cérébrale en elle-même n'a pas d'impact sérieux sur l'espérance de vie, mais au fur et à mesure qu'elle s'aggrave, diverses complications peuvent survenir et mettre la vie en danger.
Par exemple, après une atrophie cérébrale, il est difficile de marcher et facile de tomber, et après une fracture, l'espérance de vie est affectée, et les fractures graves peuvent provoquer une infection pulmonaire, des caillots sanguins et une embolie pulmonaire entraînant la mort.
Les problèmes de mobilité, tels que l'alitement prolongé et l'incapacité à s'alimenter activement, peuvent être suivis d'infections qui, si elles ne sont pas contrôlées à temps, peuvent entraîner une défaillance de plusieurs organes et, en fin de compte, la mort.
Par conséquent, l'atrophie cérébrale entraînera indirectement une espérance de vie plus courte, car l'atrophie cérébrale se produit à des âges différents et à des degrés différents chez chaque personne, de sorte qu'il est impossible d'évaluer avec précision la durée de vie d'une personne après une atrophie cérébrale.
Comment l'atrophie cérébrale est-elle traitée ?
Il n'existe pas de solution spécifique pour l'atrophie cérébrale, en particulier pour l'atrophie cérébrale physiologique, c'est-à-dire l'atrophie cérébrale causée par le vieillissement. Pour l'atrophie cérébrale induite par une maladie, la première étape consiste à traiter la maladie primaire.
Prévention de l'atrophie cérébrale ?
L'atrophie cérébrale est un phénomène qui se produit à la suite de lésions organiques du tissu cérébral lui-même, causées par diverses raisons. Les manifestations pathologiques comprennent une réduction du volume du tissu cérébral et une diminution du nombre de cellules, tandis que le scanner ou l'IRM du cerveau montre un élargissement des ventricules et de l'espace sous-arachnoïdien. L'atrophie cérébrale peut survenir dans de nombreuses maladies, telles que les lésions cérébrales traumatiques, les accidents vasculaires cérébraux, divers types d'encéphalites, les malformations vasculaires cérébrales, les tumeurs cérébrales, les crises d'épilepsie de longue durée, le tabagisme excessif, l'alcoolisme, la malnutrition, les lésions de la fonction thyroïdienne, l'empoisonnement au gaz, l'empoisonnement à l'alcool, l'artériosclérose cérébrale, l'ischémie cérébrale, l'hypoxie, etc.Démence perte d'intelligence, changements de personnalité, perte de mémoire et même démence. EtCette maladie survient principalement chez les hommes de plus de 50 ans, après la découverte d'un traitement opportun, en particulier dans les divers dysfonctionnements apparus dans les 6 mois, cette fois le traitement récupère pour le mieux, et quant au nombre d'années que l'on peut vivre, plusieurs années à plusieurs décennies.
L'atrophie cérébrale, qui correspond à une réduction de la taille du tissu cérébral, est plus fréquente chez les personnes âgées, car tous les organes dégénèrent avec l'âge, y compris le cerveau. Outre le vieillissement, de nombreux autres facteurs sont à l'origine de l'atrophie cérébrale, tels que les lésions cérébrales traumatiques, les accidents vasculaires cérébraux, les encéphalites, les méningites, les malformations vasculaires cérébrales, les tumeurs cérébrales, la sclérose vasculaire cérébrale et d'autres maladies, ainsi que des facteurs tels que le tabagisme et l'alcoolisme, la malnutrition, l'empoisonnement au gaz et l'alcoolisme.

L'atrophie cérébrale peut être classée dans de nombreux types différents et peut être divisée en cinq catégories principales en fonction de la cause et du cas.
Atrophie cérébelleuse : les changements pathologiques dans le cervelet sont prédominants et se caractérisent cliniquement par une démarche instable, une ataxie, des troubles de l'élocution et une sensation d'étouffement ;
Atrophie cérébrale : avec l'atrophie du cortex cérébral comme principal changement pathologique, la clinique montre principalement un dysfonctionnement moteur, une perte de mémoire et une réflexion lente ;
Atrophie cérébrale héréditaire : l'atrophie cérébrale peut être affectée par des facteurs génétiques et nécessite un test génétique pour confirmer le diagnostic, qui peut être classé comme autosomique dominant ou récessif ;
Atrophie cérébrale limitée : le site de la lésion et la zone environnante produisent une atrophie limitée, également appelée une certaine forme d'encéphalopathie ou une séquelle de lésion cérébrale ;
Atrophie cérébrale dégénérative : le cerveau, le cervelet et l'olive pontine sont atrophiés et dégénérés à des degrés divers, ce qui entraîne l'apparition de multiples maladies de la vieillesse dont les principales manifestations sont l'hypoplasie cérébrale, le dysfonctionnement neurologique et la démence.
L'atrophie cérébrale affecte-t-elle l'espérance de vie ?
L'atrophie cérébrale est une maladie chronique et progressive qui n'a généralement pas beaucoup d'impact sur l'espérance de vie en soi, mais qui peut affecter la qualité de vie du patient, avec des dangers spécifiques :

Troubles de la marche : le corps vacille lors de la marche, puis devient difficile à marcher dans les stades ultérieurs ;
Troubles des membres : incapacité à dominer les membres normalement, par exemple en griffonnant, en tenant des objets au sol et en manquant de souplesse dans l'utilisation des baguettes ;
Troubles de l'élocution : l'élocution est saccadée, le rythme et la taille de la voix sont confus et l'expression est mauvaise ;
Vibration oculaire : légère oscillation des globes oculaires sans modification de la posture du corps ou de la direction de la vision ;
Les réflexes posturaux sont dysfonctionnels : la posture ne peut pas être maintenue correctement et le corps bascule d'un côté à l'autre ;
Perte de mémoire : au fur et à mesure que la maladie progresse, la mémoire s'affaiblit et l'on oublie des personnes et des événements, ainsi que des lieux.
Plus le traitement est précoce, plus le pronostic de la maladie est favorable. Les personnes âgées doivent se soumettre à des examens médicaux réguliers, faire attention à leur alimentation, utiliser leur cerveau de manière raisonnable, faire de l'exercice, changer les mauvaises habitudes de vie telles que le tabagisme et la consommation d'alcool, et veiller à dormir suffisamment.
Je suis le pharmacien Wang, qui insiste sur la diffusion des connaissances sur les maladies cardiovasculaires et cérébrovasculaires avec des mots simples et faciles à comprendre, et qui consacre ses modestes efforts à une Chine en bonne santé. Si vous pensez que ma réponse vous est utile, n'hésitez pas à laisser un "j'aime" ! Par ailleurs, si vous avez encore des questions sur l'atrophie cérébrale, n'hésitez pas à laisser un message, nous en discuterons ensemble !
L'atrophie cérébrale est un diagnostic d'imagerie. Lorsqu'un scanner ou une IRM du crâne révèle une diminution de la matière grise et un approfondissement des sillons, le médecin spécialiste de l'imagerie indiquera qu'il s'agit d'une "atrophie cérébrale". D'un point de vue pathologique, l'atrophie cérébrale se caractérise par une réduction de la taille du tissu cérébral, une diminution du nombre de cellules et un élargissement des ventricules et de l'espace sous-arachnoïdien. L'atrophie cérébrale n'est pas toujours pathologique, mais comprend généralement l'atrophie cérébrale physiologique et l'atrophie cérébrale pathologique.
1) L'atrophie physiologique du cerveau Avec l'augmentation progressive de l'âge, le cerveau de la plupart des personnes présente différents degrés d'atrophie, en particulier chez les personnes âgées de plus de 60 ans, qui se manifestent par l'approfondissement du sillon cérébral et le rétrécissement du gyrus cérébral ; il s'agit toutefois d'une manifestation du vieillissement normal des êtres humains, et il n'y a généralement pas de réduction particulière de l'intelligence ou de la mémoire, de la capacité de calcul, etc.
2) Atrophie cérébrale pathologique L'atrophie cérébrale pathologique survient généralement avant l'âge de 60 ans et les causes les plus courantes sont les suivantes : 1) atrophie cérébrale causée par un accident vasculaire cérébral, une lésion cérébrale traumatique, une infection intracrânienne ; 2) atrophie causée par la maladie d'Alzheimer, la démence du lobe fronto-temporal, la maladie de Huntington, la dégénérescence des ganglions corticobasaux, l'atrophie multisystémique, la paralysie supranucléaire progressive et d'autres troubles neurodégénératifs ; 3) consommation excessive d'alcool sur le long terme.

En ce qui concerne les sites d'atrophie cérébrale, l'atrophie cérébrale peut être classée en deux catégories : l'atrophie cérébrale et l'atrophie cérébelleuse. Le cerveau est responsable du langage, de la pensée et d'autres aspects, tandis que le cervelet est principalement responsable de l'équilibre. Par conséquent, si le cerveau est atrophié, le jugement, la capacité de réflexion et l'expression linguistique du patient seront affectés dans une certaine mesure, et si le cervelet est atrophié, le patient souffrira principalement d'ataxie, d'un manque d'équilibre et d'une marche instable. Qu'il s'agisse d'une atrophie cérébrale ou cérébelleuse, les patients en pâtiront grandement, et une atrophie cérébrale sévère peut même évoluer vers la démence.

L'atrophie cérébrale affecte-t-elle l'espérance de vie ?
En fait, l'atrophie cérébrale elle-même n'a pas d'effet sur l'espérance de vie, car l'atrophie cérébrale est un processus extrêmement lent, et l'évolution de la maladie elle-même est très longue, et des décennies sont possibles. L'atrophie cérébrale physiologique, en particulier, ne présente généralement pas de symptômes cliniques particuliers et ne nécessite pas de traitement particulier, sans parler de la réduction de l'espérance de vie. Dans l'atrophie cérébrale pathologique, les symptômes se manifestent progressivement ou les symptômes initiaux s'aggravent au fur et à mesure que le degré d'atrophie augmente avec l'âge. Les symptômes qui en résultent affectent la qualité de vie du patient et sa capacité à s'exprimer, sa pensée logique, sa mémoire et sa discrimination spatiale diminuent, ce qui se traduit par une démence. Lorsque l'atrophie cérébrale s'aggrave, certains patients âgés deviennent grabataires pendant une longue période et sont incapables de s'occuper d'eux-mêmes. Au cours de cette période, diverses complications peuvent survenir, telles que des infections pulmonaires, des ulcères de décubitus, des infections urinaires, une constipation habituelle, des dysfonctionnements digestifs et d'absorption, etc. qui mettent souvent la vie des patients en danger.
Au cours de la vie, tout le monde finit par souffrir de différents degrés d'atrophie cérébrale, et l'atrophie cérébrale physiologique n'a pas d'incidence sur l'espérance de vie. Même dans le cas d'une atrophie cérébrale pathologique, où le patient est incapable de s'occuper de lui-même, l'espérance de vie du patient n'est pas affectée tant que les soins sont méticuleux et réfléchis et qu'aucune complication grave ne survient au cours de l'ensemble du processus.
Ces questions et réponses proviennent des utilisateurs du site, elles ne représentent pas la position du site, s'il y a une infraction, veuillez contacter l'administrateur pour la supprimer.