Pourquoi de nombreuses femmes âgées souffrent-elles de douleurs au genou ? Quel est le meilleur moyen de s'en débarrasser ?
Pourquoi de nombreuses femmes âgées souffrent-elles de douleurs au genou ? Quel est le meilleur moyen de s'en débarrasser ?
Cette question n'est pas fausse, dans notre vie réelle, de nombreuses femmes âgées sont en effet très sujettes aux douleurs au genou, dans le travail du médecin, nous avons également ce sentiment, c'est-à-dire que les patientes souffrant de douleurs articulaires, en particulier de douleurs au genou, sont particulièrement nombreuses, pourquoi en est-il ainsi ?

Les raisons pour lesquelles les femmes sont sujettes à des douleurs au genou sont très complexes, et nous allons vous en dire plus aujourd'hui.
L'anatomie physique des femmes est intrinsèquement différente de celle des hommes.
Les femmes jouent le rôle de reproductrices, le bassin des femmes est donc relativement plus large que celui des hommes, ce qui entraîne également certaines anomalies dans la ligne de force de l'articulation du genou, que nous mettons généralement sur le compte de la ligne de force de l'articulation du genou.L'angle où la ligne entre le point médian de la rotule et la tubérosité tibiale croise la ligne d'appui de la traction du quadriceps s'appelle l'angle q.L'angle q normal est de 10 à 15° chez l'homme et de 12 à 18° chez la femme. Plus l'angle q est grand, plus la rotule a tendance à se déplacer latéralement. Plus l'angle q est grand, plus la rotule a tendance à se déplacer latéralement. Plus l'angle de flambage est grand chez les femmes, plus le frottement entre la rotule et son fémur postérieur est important pendant l'accroupissement, ce qui explique pourquoi de nombreuses femmes sont très sujettes aux douleurs fémoro-patellaires latérales.

Bien qu'il puisse sembler à tout le monde que l'angle q chez les femmes n'est que de 3° supérieur à celui des hommes, ces 3° d'anomalie pour la délicate articulation du genou suffisent à rendre les femmes sujettes à des douleurs au genou, sachant que dans laUne déviation de 1° lors d'une chirurgie de remplacement du genou peut avoir des conséquences irréversibles。

La grossesse chez les femmes est une cause de susceptibilité à la douleur au genou.
Femmes pendant la grossesseIl y aura un changement de poids notable.Les hormones changent de manière significative, et pour chaque kilogramme de poids que nous prenons, le poids que nous portons dans les articulations du genou augmentera de 4 kilogrammes, donc si une femme prend plus de poids pendant la grossesse, elle est sujette à une certaine irritation des articulations. EtPendant la grossesse d'une femme, les niveaux d'hormones subissent des changements importants quiLes hormones jouent un rôle plus important dans l'accouchement et, sous l'effet des hormones, les ligaments et les tendons de la femme se détendent dans une certaine mesure, ce qui facilite la naissance des articulations, des tendons et des ligaments qui, une fois relâchés, deviennent instables, et les articulations instables sont sujettes à la douleur.

La ménopause peut avoir un impact important sur les os et les articulations
La ménopause est un grand obstacle pour les femmes et, en termes d'orthopédie, en raison de la chute drastique des niveaux d'hormones, les os deviennent moins solides qu'ils ne l'étaient auparavant, et une condition appelée ostéoporose peut survenir, que nous appelons "ostéoporose".Ostéoporose à la ménopause.Elle peut entraîner des douleurs chez les patientes. Savoir que les muscles et les os forment une seule et même famille.Les os perdent de leur solidité et les muscles s'affaiblissent naturellement.. Lorsqu'environ 10 % de la masse osseuse est perdue, le patient ressent des douleurs dans les os. En cas d'atrophie ou d'affaiblissement des muscles, les articulations deviennent moins stables, ce qui peut également entraîner des douleurs.

Le vieillissement a tendance à provoquer des douleurs dans les articulations.
Les hommes et les femmes sont intrinsèquement sensibles à la dégénérescence des os et des articulations lorsqu'ils vieillissent et utilisent leurs articulations pendant de plus longues périodes sans usure.l'arthrose,L'arthrose est légèrement plus fréquente chez les femmes que chez les hommes, avec un rapport de 1,6:1.。

Caractéristiques physiques des femmes
L'anatomie physiologique des femmes et des hommes étant différente, les femmes s'accroupissent pour aller aux toilettes, ce qui a un certain impact sur les articulations du genou.Lorsque nous nous accroupissons, les articulations de nos genoux subissent une pression 5,6 fois supérieure à notre poids corporel.。

surmenage
Dans le modèle social actuel de notre pays, les femmes ne doivent pas seulement assumer la responsabilité du travail.Lorsque vous rentrez chez vous, vous êtes responsable de la lessive, de la cuisine, de la garde des enfants et des tâches ménagères.Tous ces éléments ont invariablement augmenté la charge de travail des femmes. Il y a notamment des femmes qui sont particulièrement propres et qui doivent chaque jourS'agenouiller et frotter le sol ou s'accroupir et frotter le solÀ long terme, la charge sur les articulations augmente invariablement, ce qui fait que les femmes sont très sujettes aux problèmes osseux et articulaires.
Il s'agit là de quelques-unes des causes courantes qui rendent les femmes sujettes à des douleurs au genou. Voyons cela plus en détail.
Douleur au genou due à l'ostéoporose

● Les femmes qui ressentent des douleurs au genou, surtout à ce moment particulier de la ménopause, devraient consulter un endocrinologue professionnel à l'hôpital pour une...Radiographie à double énergie pour clarifier la présence d'ostéoporoseCe test est l'étalon-or de l'ostéoporose. Ce test est l'étalon-or de l'ostéoporose, et ce n'est qu'une fois que nous aurons clairement établi que l'ostéoporose existe que nous pourrons parler de la prise en charge de cette maladie, faute de quoi toutes les mesures seront inutiles.

Sur la base de l'examen des radiographies à double énergie, nous obtenons une valeur t siCette valeur t est significativement inférieure à -2,5, ce qui confirme le diagnostic d'ostéoporose.。
En cas d'ostéoporose chez les femmes, il est également recommandé d'avoir uneTests du métabolisme osseux.Ce test permet de déterminer si le patient souffre d'ostéoporose en raison d'une diminution de la formation osseuse ou d'une augmentation de la destruction osseuse. Étant donné que la plupart des femmes présentent une carence importante en vitamine D pendant la période périménopausique, le test du métabolisme osseux permet également de déterminer le type de situation dans laquelle se trouve la vitamine D.

●Ajustements diététiques.Lorsqu'il est clair que l'ostéoporose existe, les femmes doivent insister sur la nécessité d'un apport quotidien d'une certaine quantité d'acides gras oméga-3 et d'acides gras polyinsaturés.écrousLa quantité de noisettes et d'amandes amères n'est pas trop importante, une petite poignée suffit.œuf、laitieraussipoissons d'eau profondeLa consommation de certains types de poissons, comme le saumon, est recommandée deux fois par semaine, et 100 grammes à chaque fois suffisent. Il est important d'augmenter la consommation de légumes de manière appropriée, en particulierlégume vert à feuillesLa quantité ne doit pas être inférieure à 500 grammes par jour. Augmenter votre consommation de légumes secs peut également être un bon moyen de compléter votre apport en calcium.
: : Exercice physique adéquat et régulier.Les exercices qui favorisent la santé des os sont des exercices de mise en charge,Jogging, marche rapide, levage d'haltères approprié, danse, aérobic pour les personnes âgées et tai chi.C'est très bien, mais la natation n'a pas de sens parce qu'il s'agit d'un exercice de non-mise en charge avec la flottabilité de l'eau.
● Veillez à vous en tenir au soleil.L'exposition quotidienne au soleil peut être contrôlée à environ 20~30 minutes.Si l'ensoleillement est plus important, il suffit de réduire la durée, si l'ensoleillement est moins important, vous pouvez augmenter la durée de façon appropriée, mais n'oubliez pas de ne pas prendre de bain de soleil trop longtemps, ni de prendre un bain de soleil en plein soleil, ce qui causerait facilement des lésions à l'épiderme.cancer de la peauEn outre, veillez à ne pas prendre de bain de soleil à travers une vitre, car celle-ci absorbe les rayons ultraviolets du soleil qui sont les plus importants pour la santé des os.
● Si l'ostéoporose est plus grave et que vous voulez la combattre, il est possible de prendre des médicaments appropriés, par voie orale, qui inhibent la destruction osseuse, comme par exemple.BisphosphonatesLes médicaments sont parfaits, ou vous pouvez prendre une partie desMédicaments favorisant le dépôt de calcium osseuxPar exemple, l'ostéotriol ou l'alpha-ostéol, mais ces médicaments doivent être pris sous la direction d'un médecin professionnel, parce que ces médicaments ont souvent des modes de prise particuliers ou des détails particuliers auxquels il faut prêter attention, par exemple, après avoir pris de l'ostéotriol, il faut régulièrement vérifier le taux de calcium et de phosphore dans le sang, et ajuster en temps voulu la posologie du médicament.
●Prendre des suppléments de calcium appropriés.Il est toujours utile de prendre des comprimés de calcium par voie orale pour reconstituer cette matière première, et nous recommandons généralement de maintenir la quantité de calcium par voie orale à 600-1000 mg par jour.

●Quelques exercices de rééducation adaptés aux patients atteints d'ostéoporose. Les exercices suivants pour les femmes atteintes d'ostéoporose sont bons, ils sont bons pour la santé des os, il n'est pas nécessaire de faire un choix approprié pour chaque action, certains conviennent à leur propre action, l'adhésion à ces exercices aura des avantages.








Douleur au genou due à l'arthrose !
Comme nous l'avons déjà mentionné, les femmes sont très sensibles à l'arthrose du genou, et l'arthrose de la main est également un problème majeur pour les femmes.
Les patients souffrant d'arthrose à un stade précoce présentent souventTension derrière le genou.auraitFaiblesse des articulationssurtout s'il y auralit. battre ses jambes faiblesLa manifestation de la maladie, chez certains patients qui s'accroupissent, se traduit par des craquements évidents des articulations et s'accompagne de douleurs. Au fur et à mesure que la maladie s'aggrave, les symptômes du patient deviennent plus sévères, et certains patients présentent peu à peu des symptômes d'arthrose.Douleur dans les articulations lors de la montée et de la descente des escaliers et lors de la marche sur terrain plat.Dans les cas les plus graves, les patients peuvent présenter des douleurs articulaires même au repos, avec desTroubles de la mobilité articulaire et déformations des articulations。
Pour l'arthrose de l'articulation du genou, il est recommandé aux femmes de proposer une radiographie de l'articulation du genou ou un examen magnétique de l'articulation du genou afin de préciser l'état du cartilage de la cavité articulaire et l'importance de l'ostéophyte qui se forme à la fin. Cela peut aider les patients à suivre un traitement scientifique.

: : PourLes symptômes sont relativement légersles femmes qui ont été examinées et dont il a été confirmé qu'elles souffraient d'ostéoarthrite, à êtreContrôlez correctement votre poids afin de réduire la charge sur vos articulations.Réduire au minimum les positions accroupies prolongées, les positions à genoux, les planches, l'escalade des montagnes et la montée répétée des escaliers, qui augmentent la charge sur les articulations. Parce queLa base pathologique de l'arthrose est la détérioration du cartilage dans les articulationsVous pouvez prendre de l'ammoniaque par voie orale ou certains médicaments brevetés pour aider à contrôler les symptômes de l'arthrose.

● Chez les patients présentant des symptômes plus graves, essayer les injections intra-articulaires.Vitrate de sodium ou facteur plasmatique riche en plaquettesIl favorise la réparation des lésions du cartilage articulaire, augmente l'élasticité du cartilage articulaire et accroît la lubrification des articulations afin de soulager les symptômes, si nécessaire enchirurgie arthroscopiqueAidez-vous à gérer vos symptômes pour réduire la douleur.

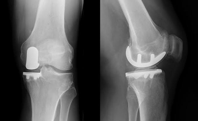
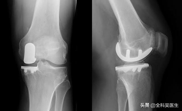
● Si les symptômes de l'articulation sont particulièrement sévères et que le patient a développé une...Déformations articulaires évidentesSi vous êtes incapable de marcher normalement, si vous ressentez des douleurs articulaires importantes lorsque vous marchez plus de 500 mètres et si vous êtes gravement affecté par des douleurs au repos ou pendant votre sommeil, il y a une indication pour une prothèse articulaire.L'arthroplastie du genou peut être le seul moyen d'aider complètement le patient.。

●exercice de rééducation.. En raison de la douleur de l'arthrose du genou chez les amies, ne pensez pas qu'il y a un problème, une immobilité peut vous aider à réduire l'usure des articulations. L'exercice approprié pour la protection du cartilage articulaire est bénéfique, le nombre de pas par jour pour marcher est recommandé pour contrôler les 6000 ~ 8000 pas est parfaitement bien, mais essayez de ne pas marcher en pente, pour maîtriser un principe : que le nombre de pas par jour soit le même que le nombre de pas par jour.Il s'agit de pouvoir marcher sur une route plane au lieu d'une pente, et de pouvoir prendre l'ascenseur au lieu de l'escalier.。
Il y a aussi quelquesExercices de rééducation pour favoriser la circulation sanguine dans les membres inférieurs, maintenir la souplesse des articulations et augmenter la force des muscles autour des articulations.Voici une liste d'exercices de rééducation à suivre dès le jour où vous présentez des symptômes, vous n'êtes pas obligé de faire tous les mouvements, essayez de choisir ceux qui vous conviennent pour faire les exercices de rééducation, tant que vous insistez sur la protection des articulations, vous en tirerez des bénéfices.












résumés
Les causes de la douleur au genou chez les femmes sont nombreuses et complexes, et il est juste de dire que chaque patiente a ses propres causes.
L'ostéoporose et l'arthrose sont des causes courantes de douleurs au genou chez les femmes âgées.Si vous avez encore d'autres doutes, vous pouvez laisser un message ci-dessous, bien sûr, comme l'article.Polyarthrite rhumatoïde.像ménisque (anatomie)D'autres facteurs contribuent également à la tendance des femmes âgées à ressentir des douleurs. Le Dr Xie a également écrit de nombreux articles de vulgarisation scientifique, vous pouvez suivre le Dr Xie, dans les articles de vulgarisation scientifique précédents du Dr Xie, pour demander de l'aide.
Je suis Xie Xinhui et j'adhère à un langage simple pour expliquer la complexité de la connaissance de la maladie, le mot code n'est pas facile, si vous êtes d'accord avec mon point de vue, s'il vous plaît aidez à pointer une préoccupation ou cliquez sur un like, si vous ou votre famille et vos amis ont également des douleurs articulaires dans cette zone de trouble, s'il vous plaît transmettre cet article au besoin de leur it, merci !
Vous avez mal au genou ? Voyons ce que le professeur Wong a à dire.
La douleur au genou chez les personnes âgées est un mystère presque impossible à résoudre, d'autant plus qu'elle semble être plus fréquente chez les femmes que chez les hommes. Beaucoup de gens ne se concentrent que sur les changements structurels qui se produisent après l'apparition de la douleur, tels que l'usure du cartilage, la dégénérescence du ménisque, le mauvais fonctionnement des ligaments ou les éperons osseux, etc. Malheureusement, ces structures sont les cadeaux les plus précieux inhérents à notre corps, et ne feront que se détériorer et s'user au fur et à mesure que nous les utiliserons pendant une période plus longue, quels que soient les efforts que vous ferez, les médicaments, les crèmes, l'acupuncture, la rééducation, et même les prothèses articulaires, ne ramèneront pas les genoux à leurs paramètres d'usine. Quels que soient les efforts déployés, les médicaments, les pansements, l'acupuncture, la rééducation et même les prothèses articulaires ne permettent pas de ramener le genou à son état d'origine. Aujourd'hui, le professeur Wong parlera de la vie passée et présente de l'articulation du genou à travers la génétique.

Pourquoi les gens marchent-ils debout ?
Lorsque nos ancêtres sont passés du stade de reptiles à celui de mammifères quadrupèdes, il y a environ trois millions d'années, nous vivions la plupart du temps dans les arbres, car la vie était très difficile et dangereuse dans les prairies plates où vivaient de nombreux animaux et oiseaux féroces. Mais à mesure que l'environnement évoluait et que le nombre de forêts diminuait, nos ancêtres ont dû descendre des arbres pour entrer en compétition avec les bêtes pour la survie, et selon le défi de la sélection naturelle, nos ancêtres ont lentement évolué de quadrupèdes à bipèdes.

Mais savez-vous quoi ? Ce processus évolutif a entraîné des changements et des défis très importants pour notre structure humaine : la tête est placée au centre, elle n'est plus inclinée vers l'avant, la colonne vertébrale est redressée, le bassin devient de plus en plus petit et les membres inférieurs commencent à supporter tout le poids du corps. Il est donc évident que, lorsque nous avons décidé de commencer à marcher sur nos deux pieds pour survivre, nous étions condamnés à porter un lourd fardeau sur les articulations du genou, et vous pouvez constater que le développement de lésions et de douleurs liées au genou chez les personnes âgées semble être une évidence. Vous constaterez peut-être que l'apparition de lésions et de douleurs liées au genou chez les personnes âgées semble aller de soi.

La structure des hommes et des femmes est très différente
Nos ancêtres ont commencé à vivre en groupes et à répartir les tâches, les hommes devaient beaucoup chasser, ils ont donc développé un corps grand, des jambes fortes, des bras forts, tout cela pour se battre avec les bêtes et chasser, et les femmes, pour donner naissance, allaiter, pour maintenir la survie de la famille, ont commencé à développer la capacité de cueillir, et ont également commencé à développer la capacité de stocker les graisses dans le corps, tout cela pour se préparer à la reproduction de la progéniture. Les différences entre les hommes et les femmes à cette époque se sont accrues en raison des différents objectifs de survie.

Avec l'évolution du temps, les hormones féminines, la ménopause, la maternité, les tâches ménagères et l'inactivité, le taux d'utilisation du corps a diminué rapidement, nous devons comprendre une chose, l'évolution de notre race humaine, indépendamment du sexe, cette structure corporelle est très adaptée aux activités de marche, selon les preuves présentées par les archéologues dans le passé, nos ancêtres pour survivre en une journée, doivent marcher une distance de 31 km, ce qui peut inclure la fuite, la migration, la chasse aux animaux, etc. Cela montre en fait que, dans notre corps, les gènes sont très bons pour courir, mais par rapport à notre corps, nous sommes très bons pour courir, mais par rapport à notre corps, nous sommes très bons pour courir, mais par rapport à notre corps, nous sommes très bons pour courir, mais par rapport à notre corps, nous sommes très bons pour courir, mais par rapport à notre corps, nous sommes très bons pour courir. Selon des preuves archéologiques, nos ancêtres devaient marcher une distance de 31 kilomètres par jour pour survivre, ce qui peut inclure la fuite, la migration, la chasse aux animaux, etc., ce qui montre en fait que les gènes de notre corps sont très bons pour courir, mais par rapport à notre mode de vie actuel, la personne moyenne marche environ 0,5 kilomètre par jour, le travail et le mode de vie sédentaires, est maintenant le plus terrible tueur de l'arthrose du genou ah !

La dégénérescence du genou ne fait pas vraiment de distinction entre les hommes et les femmes
Bien que les femmes d'âge moyen semblent présenter une incidence plus élevée de douleurs au genou, d'un point de vue macroscopique, en raison du niveau d'activité élevé des hommes et de leur préférence pour les sports excitants, tels que le football ou le basket-ball, qui posent de grands défis aux articulations du genou, il existe une relation très délicate entre l'utilisation des articulations du genou et le potentiel de blessures de l'articulation du genou, qu'elles soient trop ou pas assez importantes. Les symptômes cliniques montrent que les femmes d'âge moyen sont plus sujettes à l'usure du cartilage, aux lésions méniscales et aux ostéophytes, tandis que les hommes sont plus susceptibles de souffrir de lésions ligamentaires, de lésions méniscales et moins susceptibles de développer des éperons osseux, probablement parce que les os des hommes sont généralement plus durs que ceux des femmes.

En outre, le professeur Wong a découvert un phénomène intéressant, à savoir que les femmes d'âge moyen sont plus susceptibles de pratiquer la vertu de l'économie, généralement s'il y a des restes de chaque repas, les mères essaient toujours de trouver un moyen de les envoyer à l'intérieur de leur estomac, même si elles sont déjà pleines, elles ne peuvent toujours pas se permettre de les gaspiller, et donc finalement de former un surplus de nutriments, et l'obésité est également une question d'évidence, rappelez-vous ce que je viens de dire, nos ancêtres, les femmes sont bonnes dans ce qu'elles font de mieux ? L'allaitement, l'accouchement et le stockage des graisses pour la reproduction de la génération suivante, c'est une cause sacrée ah, mais il est dommage que nos ancêtres n'aient jamais pensé à l'amorçage, maintenant l'impact est si grand, peut-être pouvons-nous penser que c'est une ère d'évolution dans ses imperfections.

Il ne s'agit pas de traiter la maladie, mais de la prévenir.
En fait, ce que le professeur Wong essaie d'exprimer, c'est que, du point de vue de la médecine de réadaptation et de l'histoire de l'évolution des problèmes de genou, la perspective médicale moderne est basée sur vos symptômes, puis le traitement symptomatique, les médicaments, l'enseignement de l'exercice, ou même la chirurgie ou le remplacement artificiel du genou si c'est incurable, je pense que c'est assez dommage, je voudrais vous dire que, en raison de l'évidence de l'évolution des articulations du genou, il est nécessaire de supporter tout le poids du corps, d'accomplir la tâche de se tenir debout, de marcher et de courir, nous devons donc avoir le concept de prévention et de protection, mes suggestions sont les suivantes. Pour accomplir la tâche de se tenir debout, de marcher et de courir, nous devons donc avoir le concept de prévention et de protection, mes suggestions sont les suivantes.

1,Continuer à marcher 10 000 pas par jour (environ 8 000 mètres).
2. réduire les habitudes de vie et de travail sédentaires
3) Améliorez votre endurance musculaire, en particulier vos muscles centraux, en fonction de vos capacités.
4, une alimentation équilibrée, une exposition adéquate au soleil.
5. réduire l'usure inutile des articulations du genou, par exemple en s'agenouillant ou en rampant, en montant et en descendant les escaliers.
6. suivre régulièrement l'évolution de l'ostéoporose

Résumé.
Les femmes d'âge moyen sont génétiquement prédestinées à développer de l'arthrose du genou plus que les hommes. Bien qu'il s'agisse d'une fatalité, je pense que si nous pouvons améliorer nos connaissances dans ce domaine, puis suivre des méthodes scientifiques pour entretenir et exercer les articulations de nos genoux, nous devrions être en mesure de rompre ce sort. Le professeur Wong a mentionné plus d'une fois que les articulations du genou ont une durée de vie, et que la façon de prolonger la durée de vie saine des articulations du genou dépend entièrement de la participation active de chaque individu. Ne pensez jamais qu'en prenant des aliments sains ou en suivant un certain régime, les articulations du genou seront capables de rester en bonne forme, bénédictions à vous tous. Professeur Wong, médecine de réadaptation

Je viens d'en faire l'expérience, je marche sans problème, je monte à l'étage, le genou de la jambe droite n'ose pas forcer. Les massages et la physiothérapie ne sont pas très utiles, je suis très affligée. Puis un ami m'a suggéré de pratiquer le squat, j'étais très exclu, je craignais que cela ne blesse encore plus le genou. Plus tard, je n'ai vraiment pas eu le choix, j'ai juste pratiqué pour essayer, je ne m'attendais pas à ressentir un certain effet.
Le principe est d'exercer les muscles des cuisses, jouant ainsi un rôle dans la protection des genoux. Mais en plus d'adhérer, il faut également faire attention à l'exercice lorsque le genou ne peut pas dépasser les orteils, à être progressif, en commençant par le mur en s'accroupissant, comme la force des jambes, puis en s'éloignant du mur ou en faisant des exercices avec des poids.
Il est également très important de perdre du poids et de soulager vos genoux !
Ainsi, une augmentation et une diminution peuvent protéger efficacement vos genoux.
Le troisième point est de prendre des suppléments de calcium et de D.
Il y a quelques années, j'ai souvent eu des douleurs au genou droit, pendant quelques jours, mais je n'ai pas consulté de médecin. Plus tard, la douleur mais ne sera pas bon, a dû aller à l'hôpital, le médecin a pris un film que l'écart est rétréci, m'a dit de se reposer plus, et a pris des médicaments n'aide pas, off et on pour plus de la moitié d'une année n'est pas bon. Un jour, j'ai regardé la télévision "Health Road", qui enseignait la rééducation de la taille et du genou, et j'ai appris. Je me suis allongée dans le lit, j'ai vidé les étriers, j'ai levé les jambes, j'ai étiré les orteils, et j'ai insisté sur le fait qu'il fallait une demi-heure par jour. C'est assez efficace pour moi, un ou deux mois après la douleur a disparu, et maintenant plusieurs années plus tard, cela ne s'est pas produit. 🌷🌷🌷🌷🌷🌷
Qu'il s'agisse d'hommes ou de femmes, beaucoup d'entre eux souffriront de douleurs au genou au cours de leur vieillesse, mais ces douleurs sont particulièrement fréquentes chez les femmes âgées. De nombreux facteurs peuvent être à l'origine de douleurs au genou chez les femmes. Le Dr Wu n'étant pas en mesure de les énumérer tous ici, je me contenterai de citer quelques-uns des facteurs les plus courants.

1. les facteurs de poids :Les articulations de nos genoux sont soumises à une forte pression : elles supportent la majeure partie du poids de notre corps, mais doivent aussi accomplir une série d'actions telles que la marche, la course, l'escalade, etc. De nombreuses femmes sont déjà en surpoids et, si l'on ajoute à cela la prise de poids pendant la grossesse, les articulations des genoux des femmes sont plus sujettes aux tensions.
2. les facteurs comportementaux :Les comportements quotidiens des femmes sont différents de ceux des hommes. Prenons l'exemple des toilettes : les hommes peuvent simplement se tenir debout et uriner, alors que les femmes doivent s'accroupir ; les articulations des genoux doivent donc résister à une pression plus importante.
3. les taux d'hormones :Après la ménopause, le niveau d'œstrogènes dans le corps des femmes chute soudainement et la perte osseuse augmente, ce qui facilite l'apparition de maladies telles que l'ostéoporose, qui peut se manifester dans tout le corps et s'accompagner souvent de douleurs dans les os et les articulations.
4. la dégénérescence articulaire :Les machines sont endommagées lorsqu'elles sont utilisées pendant une longue période. Il en va de même pour les articulations du genou, où des changements dégénératifs dans le cartilage sont censés se produire après un certain âge.
Quelle est la meilleure chose à faire en cas de douleur au genou ?
L'arthrose est la cause la plus fréquente d'arthrose du genou, avec un taux de prévalence de 50 % chez les personnes âgées de plus de 60 ans, ce qui n'est pas rien. Voyons brièvement comment traiter cette forme la plus courante d'arthrose.

1. le contrôle du poids :Les patients atteints d'arthrose perdent du poids et réduisent la pression sur les articulations du genou, ce qui joue un rôle crucial dans le ralentissement de la dégénérescence des articulations du genou et la réduction de la douleur au genou.
2. réduire les mouvements qui endommagent l'articulation du genou :Par exemple, porter moins de charges lourdes, éviter de grimper de façon prolongée et éviter de s'accroupir fréquemment.
3. l'exercice raisonnable :Des exercices raisonnables contribuent à renforcer les muscles ligamentaires autour de l'articulation du genou et à stabiliser cette dernière, ce qui ralentit la dégénérescence de l'articulation du genou et réduit la douleur au genou. Toutefois, l'exercice ne doit pas être trop intense, la durée de l'exercice ne doit pas être trop longue, et si un exercice donné augmente la douleur, il doit être arrêté rapidement. Bien entendu, il est préférable d'effectuer des exercices de rééducation raisonnables sous la supervision d'un médecin.
4. la physiothérapie :Les traitements de physiothérapie tels que l'acupuncture et l'acupression peuvent également être très utiles pour réduire les symptômes de la douleur.
5. les analgésiques anti-inflammatoires :Tout d'abord, le Dr Wu doit rappeler que l'ibuprofène, le diclofénac sodique et d'autres analgésiques anti-inflammatoires non stéroïdiens ne peuvent que soulager les symptômes, qu'il s'agit uniquement d'un traitement symptomatique, que l'utilisation de la phase aiguë n'est pas mauvaise, mais que si l'utilisation à long terme est susceptible d'entraîner une érosion de la muqueuse gastrique, des ulcères gastriques et même des hémorragies gastriques, etc.
6. la glucosamine :Il s'agit d'un aminosucre naturel, extrait de la chitine des coquillages, qui est efficace dans le traitement de l'arthrose.
7) Médicaments intra-articulaires :Les injections intra-articulaires de gel d'acide hyaluronique pour lubrifier le genou ont été efficaces pour réduire la douleur articulaire, mais il ne s'agit pas d'une solution permanente.
8. traitement chirurgical :Si les lésions du genou sont graves, elles peuvent également être réparées par chirurgie arthroscopique.

9. remplacement du genou :Si l'arthrose a entraîné une déformation évidente de l'articulation, qui affecte gravement le traitement de la vie du patient, le moment est venu de résoudre complètement le problème du patient par la mise en place d'une prothèse de genou.

Bien entendu, il existe de nombreuses autres causes de douleur au genou, telles que les maladies rhumatismales, l'arthrite goutteuse, et ainsi de suite, les différentes causes des options de traitement sont différentes, ce qui nécessite une analyse spécifique des problèmes spécifiques.
Si vous pensez que j'ai du sens, récompensez-moi en m'envoyant un "j'aime".
Ma mère a quatre-vingt-dix ans cette année, récemment, soudainement le genou et la douleur rouge et enflée ne peut pas marcher, les frères et sœurs ont acheté beaucoup de cette pâte, mais aussi ne fonctionne pas, je suis revenu pour acheter une boîte de bandes de moxibustion, deux fois par jour moxibustion un cours de traitement, a été réduit l'enflure, et maintenant sur les embrayages lentement en mesure de marcher. Les membres de ma famille se sentent très bien, grâce à la moxa, grâce à notre ancienne culture chinoise !

Pourquoi de nombreuses femmes âgées souffrent-elles de douleurs au genou ? Quel est le meilleur moyen de s'en débarrasser ?
Nombreux sont ceux qui pensent que les douleurs articulaires sont tout à fait normales avec l'âge et qu'il suffit donc de s'en accommoder ou, tout au plus, d'acheter soi-même une huile médicinale,
Les frictions à base de vin médicinal. Certaines personnes ne se rendent à l'hôpital que lorsque la douleur est trop forte, pour s'entendre dire qu'elles doivent remplacer leurs articulations artificielles. En fait, l'ostéoarthropathie est spécifique à chaque stade, et plus elle est détectée et traitée tôt, plus elle est facile à guérir.
Quelles sont les causes de l'arthrose ?Avec l'âge, des lésions dégénératives se produisent dans les os et les articulations en raison de l'usure à long terme, ce qui provoque des douleurs, avec une prévalence de plus de 60 % chez les personnes âgées de plus de 65 ans.
Cependant, certains facteurs peuvent accélérer le processus de cette maladie dégénérative. Par exemple.Contrainte inégale sur le genou.Il existe des facteurs congénitaux, comme la jambe ronde, car la forme de la jambe est déséquilibrée, la force exercée sur le genou n'est pas uniformément répartie et la force est concentrée sur le côté extérieur ou intérieur.Le maintien fréquent d'une position (p. ex. s'accroupir pendant une longue période) concentre également trop d'efforts sur les genoux.Les petits traumatismes fréquents (comme les collisions avec des ballons) peuvent déplacer les rotules du genou, ce qui entraîne également un déséquilibre des forces.Les changements climatiques, comme l'humidité et le froid, sont une autre cause de morbidité.

Les stades de l'arthrose sont plus prononcés. En quoi les symptômes diffèrent-ils selon les stades de la maladie ? Quelle doit être la prise en charge médicale correcte ?
Stade précoce de la maladie : attention à la chaleur et à la prévention
De nombreuses personnes commencent à ressentir des douleurs articulaires occasionnelles à l'âge moyen, un symptôme qui suggère que les articulations commencent à vieillir. À ce stade, la prévention est l'objectif principal, en particulier lorsque la température baisse, il faut faire attention à la chaleur des articulations. En outre, nous devrions également veiller à ne pas garder une position pendant une longue période, les longues positions accroupies et debout augmentant la charge sur les articulations.
Lorsqu'il s'agit de douleurs articulaires, de nombreuses personnes pensent à tort que le fait d'être plus actif et de faire de l'exercice soulagera la douleur.
En fait, ce n'est pas le cas, la douleur est un signe de réaction inflammatoire dans les articulations, l'exercice aggravera plutôt l'usure des articulations, il est plus important de faire attention au repos pendant cette période. Les exercices appropriés sont la natation et le fait d'éviter les marches en montagne et d'opter plutôt pour les pentes réduira la charge sur les articulations.
Les personnes d'âge moyen et les personnes âgées qui sont en mesure de le faire peuvent prendre des radiographies de leurs articulations à ce stade, qui serviront de contrôle pour le diagnostic futur du médecin et donneront une idée de la vitesse d'évolution de la maladie.
Milieu de l'épisode : attention portée au ralentissement de la charge sur les articulations de la jambe malade
L'augmentation de la fréquence des douleurs articulaires, le gonflement des articulations, allant jusqu'à gêner la marche, sont des symptômes qui suggèrent un stade intermédiaire de la maladie. La chose la plus importante à faire est d'exclure d'autres maladies plus graves, telles que la polyarthrite rhumatoïde et les tumeurs articulaires. En fonction de la gravité de la maladie, le médecin administrera différents traitements tels que des médicaments et des injections. Si le ménisque de l'articulation est endommagé, une intervention chirurgicale mineure sera nécessaire pour le découper ou le recoudre. S'il y a du liquide dans l'articulation, il faudra l'aspirer et injecter des lubrifiants et des composants essentiels de l'articulation. À ce stade, le plus dangereux est la présence de corps libres dans les articulations, qui roulent et peuvent être dangereux s'ils restent coincés dans une partie de l'articulation.

À ce stade de la maladie, si le problème concerne une seule jambe, il est recommandé d'utiliser des béquilles ou un parapluie à long manche pour soutenir le côté de la jambe malade, ce qui permet d'alléger considérablement la charge sur les articulations de la jambe malade, ce qui contribue à ralentir la progression de la maladie.
Apparition tardive : articulations artificielles pour soulager la douleur sévère
Aux stades avancés de la maladie, le cartilage du patient est presque usé. Sans l'amortissement du cartilage, les os frottent directement l'un contre l'autre. À ce stade, les seules options sont de remplacer l'articulation par une prothèse ou de procéder à une arthrodèse, qui est rarement utilisée car elle peut affecter gravement la mobilité du patient après l'opération.
Je suis le Dr Huang Zhiyan et je m'efforce d'expliquer la complexité de la connaissance des maladies avec des mots simples pour vous aider à gérer votre corps. Vos éloges sont ma plus grande motivation ! Par ailleurs, si un membre de votre famille souffre de douleurs au genou, n'hésitez pas à lui transmettre cet article !
Existe-t-il des orthopédistes spécialisés dans l'étude de cette question et pourquoi la majorité des personnes âgées, quel que soit leur sexe, souffrent-elles aujourd'hui de douleurs au genou entraînant une dégénérescence des jambes, ainsi que de douleurs et de déformations de la colonne lombaire ? Ce type de douleur au dos et aux jambes est une maladie qui affecte gravement la santé des personnes âgées et leur qualité de vie au crépuscule de leur vie. Je souffre également de douleurs au genou, mais je ne trouve pas de remède partout, et certaines publicités ne servent qu'à faire de l'argent et à tromper les médicaments inefficaces. J'attends avec impatience que les médecins bienveillants développent un médicament spécial, non seulement pour le plus grand bien de la population et du pays, mais aussi pour le plus grand bien de l'économie. Quelle bonne action !
Pour résoudre ce problème, il convient de prêter attention à un certain nombre d'aspects. Premièrement, modérer les rapports sexuels, ne pas se laisser aller à un désir excessif. Deuxièmement, la modération alimentaire, contrôler les collations, manger moins d'alcool, d'épices, de sucré et de salé, de boissons, etc. Troisièmement, avoir l'esprit clair, moins de choses, plus d'assurance pour sauver le cœur. Quatrièmement, une demi-heure après le dîner, marcher davantage, jusqu'à ce que la chaleur du corps, la micro-sudation soit bonne, et en même temps faire attention à prévenir l'entrée dans le froid. Cinquièmement, faire souvent attention aux jambes, par exemple marcher en étant fatigué, se reposer en méditant, etc.
Comme le dit le proverbe, "la vieillesse précède les vieilles jambes". Avec l'âge, les genoux ne sont plus assez forts pour faire ce que l'on veut et ils font mal de temps en temps, ce qui entrave les mouvements, affecte la qualité de vie et constitue un problème de santé majeur.
Des solutions ciblées à ces problèmes constituent un aspect important de la lutte contre le vieillissement et du bien-être des personnes âgées.. La vie pratique l'a prouvé, avec de l'attention et une approche scientifique appropriée.appuyer surSi vous avez mal au genou, vous obtiendrez de bons résultats, vous pourrez restaurer la fonction motrice de vos jambes sans vous en rendre compte, et votre douleur au genou diminuera progressivement jusqu'à disparaître.
Les femmes de soixante à soixante-dix ans, de nombreuses personnes, l'une après l'autre, ont commencé à présenter les symptômes de problèmes de genou, la manifestation la plus importante étant la position accroupie, sur les marches, lorsque non seulement la force n'est pas suffisante, mais qu'elle s'accompagne de douleurs. En fait, cette situation existe aussi chez les hommes. Pourquoi ce problème est-il plus fréquent chez les femmes ? Certains disent que c'est parce que l'entretien "assis dans la lune" n'est pas bon à porter, d'autres disent que c'est parce que les femmes urinent et s'accroupissent davantage. En comparaison, ces points de vue sont indéfendables.La véritable cause est l'atrophie musculaire et les changements dégénératifs dans la circulation.。
Les muscles, les "câbles d'acier" qui protègent les os.Les muscles perdent de leur force et les os sont surchargés. Lorsque les muscles perdent leur force, les os sont surchargés de poids, ce qui entraîne toute une série de problèmes, notammentLa force des muscles de la jambe est très importante pour un os aussi lourd que l'articulation du genou.。

Ci-dessus, nous voyons que les muscles et les tendons travaillent ensemble pour protéger l'articulation du genou. D'une manière générale, siUn rétrécissement important de ces deux muscles au-dessus du genou n'est pas loin d'un problème de genou.
En plus des muscles, il y a des problèmes de circulation.L'alimentation de l'articulation du genou provient des vaisseaux sanguins et du système nerveux périphérique.En outre, la vieillesse, une mauvaise circulation sanguine ou une maladie sous-jacente entraînant une dégénérescence du système nerveux périphérique peuvent affecter l'apport de nutriments à l'articulation du genou et entraîner des problèmes.
Sur la base des points de vue ci-dessus, les réponses anti-âge à la douleur du genou chez les personnes âgées sont les suivantes :
1) Effectuer des exercices de protection des muscles des membres inférieurs.
Lorsque le genou est douloureux, vous pouvez vous allonger sur le lit de la bicyclette à pédale vide, le genou ne supportant pas le poids pour exercer les muscles des membres inférieurs, deux fois par jour, à raison de plus de 3 minutes à chaque fois. Pas trop douloureux, vous devriez saisir l'exercice aérobique, comme la danse carrée, la gymnastique et d'autres activités, le but est de ralentir l'atrophie musculaire. Lors de ces exercices, il faut faire attention au concept de "protection", ne pas marcher, ne pas grimper et ne pas faire d'autres exercices "abrasifs", ce qui pourrait blesser l'articulation du genou.
2. l'ajustement approprié du régime.
Si le corps présente des problèmes tels que l'obésité et l'hyperlipidémie, cela indique qu'il y a un problème de blocage de l'humidité, qui s'accompagnera de problèmes de genoux. Vous devez consulter un praticien de médecine chinoise pour réguler et résoudre le problème de circulation. Lorsque la circulation du qi et du sang est améliorée, les problèmes de genoux sont résolus.
3) Effectuer des prélèvements.
Les tapotements sur les genoux sont un moyen de favoriser la circulation de la surface vers le haut. Assis, le mollet perpendiculaire au sol, la paume de la main tapote la rotule 200 fois. Debout et penché, jambes tendues, tapoter le genou 200 fois, tapoter le nid de jambe 200 fois, deux fois par jour, adhérer à plus de deux mois, recevra de bons résultats.
Les contre-mesures susmentionnées se sont avérées efficaces.Veillez à vous y tenir.。
Ces questions et réponses proviennent des utilisateurs du site, elles ne représentent pas la position du site, s'il y a une infraction, veuillez contacter l'administrateur pour la supprimer.