Comment savoir si je suis atteint d'une maladie coronarienne ? La maladie coronarienne peut-elle être guérie ou non ?
Comment savoir si je suis atteint d'une maladie coronarienne ? La maladie coronarienne peut-elle être guérie ou non ?
En tant que médecins cardiovasculaires, déterminer si une personne est atteinte d'une maladie coronarienne est une compétence de base pour nous, tout comme nous utilisons tous des baguettes pour manger.
Il est vrai que le nombre de personnes atteintes de maladies coronariennes augmente, mais il est également vrai que de nombreuses personnes sont diagnostiquées à tort comme étant atteintes de maladies coronariennes ; précisément parce que les maladies coronariennes sont fondamentalement incurables, une fois diagnostiquées, elles doivent prendre des médicaments pour les contrôler jusqu'à la fin de leur vie. Ces personnes dont le diagnostic de maladie coronarienne est erroné peuvent donc souffrir de la prise de médicaments jusqu'à la fin de leur vie.

Bien sûr, il existe une autre possibilité : le patient n'est pas atteint d'une maladie coronarienne, le résultat est diagnostiqué comme une maladie coronarienne, puis il reçoit un traitement, quelle pilule, quel Dan, quels produits de soins de santé, etc.
I. Qu'est-ce que la maladie coronarienne ?

En termes simples, lorsque les artères de notre cœur, en raison de l'athérosclérose, forment une plaque, et que cette plaque provoque un rétrécissement de plus de 50 % des vaisseaux cardiovasculaires, on parle de maladie coronarienne.
Les artères du cœur sont appelées artères coronaires parce que les vaisseaux artériels du cœur, l'image anatomique ressemble à une couronne inversée, donc les artères du cœur sont appelées artères coronaires, des artères comme une couronne. Lorsque les artères sont aggravées par des déchets vasculaires, c'est-à-dire des plaques vasculaires, ces plaques durcissent comme de la bouillie, c'est ce qu'on appelle l'athérosclérose. Si cette athérosclérose coronaire présente une sténose de plus de 50 %, on parle de cardiopathie coronarienne athéroscléreuse, c'est-à-dire de maladie coronarienne.
Ce que nous appelons habituellement angine de poitrine, infarctus du myocarde, pose de stent, pontage cardiaque et même ischémie myocardique, comme le dit le commun des mortels, font tous partie des maladies coronariennes.
II. comment déterminer la maladie coronarienne

De nombreuses personnes subissent un ECG et apprennent qu'il s'agit d'une ischémie myocardique, c'est-à-dire d'une maladie coronarienne, et le patient est alors mis sous traitement, ce qui est extrêmement irresponsable. C'est extrêmement irresponsable, car un seul ECG avec ischémie myocardique ne suffit pas à diagnostiquer une maladie coronarienne.
Les maladies coronariennes sont diagnostiquées différemment car elles sont divisées en plusieurs catégories : angine de poitrine, infarctus du myocarde, maladie coronarienne asymptomatique, insuffisance cardiaque et mort subite.
Un diagnostic de maladie coronarienne nécessite généralement une combinaison de symptômes + antécédents médicaux + facteurs de risque + électrocardiogramme, ou + épreuve d'effort, ou + scanner coronaire, ou + angiographie coronaire, ou + nucléide cardiaque, entre autres, pour donner un diagnostic final.
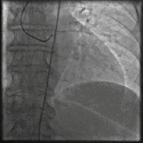
Bien sûr, ce qui est actuellement connu comme l'étalon-or, c'est-à-dire la méthode la plus précise, reste la coronarographie, et bien sûr, tous les diagnostics de maladie coronarienne ne doivent pas être faits par coronarographie.
1, Symptômes.

Chez les patients souffrant d'angine de poitrine, d'infarctus du myocarde ou d'insuffisance cardiaque, le diagnostic initial peut presque toujours être posé sur la base des symptômes. Par exemple, l'angine de poitrine peut se manifester par une douleur dans la région précordiale, une douleur thoracique, un mal de tête, un mal de dents, une douleur dorsale, une douleur à l'épaule gauche, une douleur épigastrique, une oppression thoracique et une rétention de la respiration, etc., surtout après un effort de travail actif et pendant environ 2 à 15 minutes à la fois. Si ces douleurs d'angine de poitrine persistent sans soulagement, un infarctus du myocarde doit être suspecté.
En cas de symptômes d'angine de poitrine, l'étape suivante est un ECG.
2. l'électrocardiogramme

S'il arrive qu'un ECG soit réalisé lorsque le patient souffre d'angine et d'ischémie myocardique, et que l'ECG ne soit pas le même que celui de l'ischémie myocardique lorsque l'angine du patient est soulagée et qu'il n'y a pas d'angine. Le diagnostic de maladie coronarienne est alors fondamentalement confirmé.
Pour les patients souffrant d'un infarctus du myocarde, s'il y a un angor persistant à l'électrocardiogramme et s'il s'agit d'un infarctus du myocarde avec sus-décalage du segment ST, le diagnostic d'infarctus du myocarde est immédiatement confirmé.
Dans le cas d'un infarctus du myocarde sans sus-décalage du segment ST, d'autres tests de troponine et d'enzymes cardiaques sont nécessaires, et le diagnostic d'infarctus du myocarde ne peut être confirmé que si les enzymes cardiaques sont significativement élevées.
3. les tests de mouvement
Normalement, il n'y a plus de crise d'angine de poitrine ni d'hospitalisation. Après une évaluation de la sécurité, un ECG d'effort peut être réalisé ; s'il est positif, un diagnostic de maladie coronarienne peut être posé, s'il est négatif, une exclusion préliminaire de la maladie coronarienne peut être effectuée.
4. tomodensitométrie ou imagerie coronaire

Pour ceux qui ne peuvent être diagnostiqués ou confirmés à 100 %, un scanner coronaire peut être réalisé. Le scanner coronaire permet de voir si les vaisseaux sanguins sont rétrécis et dans quelle mesure ils sont rétrécis, et de confirmer le diagnostic de maladie coronarienne. Pour les patients atteints d'une maladie coronarienne typique, une coronarographie complémentaire peut être effectuée pour confirmer le diagnostic d'une part, et pour poursuivre le traitement d'autre part.
II. le traitement des maladies coronariennes
Pourquoi la maladie coronarienne ne peut-elle pas être guérie ? Nous avons dit qu'une sténose de plus de 50 % est appelée maladie coronarienne, cette sténose de la plaque, il est très difficile de l'inverser, même si un individu peut l'inverser, il est très difficile de l'inverser complètement. La théorie veut que la plupart des sténoses de la plaque dans les maladies coronariennes s'aggravent, ou qu'après un traitement formel, la sténose de la plaque soit stabilisée et ne s'aggrave plus, ou ne s'aggrave plus rapidement. Il s'agit là du meilleur résultat, de sorte que la maladie coronarienne ne peut être guérie, mais seulement contrôlée efficacement.

1. un mode de vie sain
Une vie malsaine aggravera les troubles vasculaires et la maladie coronarienne. Une vie saine est donc la base du traitement de la maladie coronarienne. L'absence de tabac et d'alcool, une alimentation saine, le contrôle du poids, l'exercice physique, le fait de ne pas se coucher tard, la réduction du stress, etc. en sont les fondements.
2、Contrôler les trois niveaux élevés
L'hypertension, le diabète et l'hyperlipidémie à long terme accélèrent la dégradation vasculaire. Il convient donc de procéder à une détection et à un traitement précoces ainsi qu'à une surveillance fréquente de ces trois facteurs. Ce n'est qu'ainsi que l'on pourra contrôler efficacement l'aggravation de la plaque et l'aggravation de la maladie coronarienne.
3. médicaments réguliers

La statine peut réduire les LDL, les mauvais lipides sanguins, réduisant ainsi les déchets vasculaires ; la statine peut stabiliser la plaque de manière anti-inflammatoire, empêchant ainsi l'aggravation de la sténose de la plaque ; elle peut également stabiliser la plaque pour empêcher sa rupture, prévenir la thrombose, et donc prévenir l'infarctus du myocarde.
L'aspirine combat l'agrégation plaquettaire, prévenant ainsi la formation de caillots sanguins et l'infarctus du myocarde.
C'est pourquoi la combinaison statine + aspirine constitue la base du traitement des maladies coronariennes.
Pour les maladies coronariennes telles que l'accélération du rythme cardiaque, l'hypertension artérielle, l'angine de poitrine, l'insuffisance cardiaque, etc., il faut ajouter des médicaments pour contrôler le rythme cardiaque, la tension artérielle, l'angine de poitrine et l'insuffisance cardiaque.
4. traitement chirurgical
En cas d'angine de poitrine qui n'est plus contrôlée par les médicaments, l'imagerie de la pression artérielle est utilisée pour approfondir l'examen de l'affection et décider de la pose d'une endoprothèse ou d'un pontage. En cas d'infarctus aigu du myocarde, la pose d'un stent ou une thrombolyse est également nécessaire.
Par conséquent, le diagnostic de la maladie coronarienne est complet, il doit être posé par le cœur, il ne faut pas se tromper de diagnostic et retarder les patients. Le traitement de la maladie coronarienne en est encore au stade du contrôle et ne peut être éradiqué à 100 % ; il nécessite donc une vie saine à long terme, le contrôle des trois temps forts et la prise régulière de médicaments.
(Il y aura certainement des gens qui diront qu'il peut guérir la maladie coronarienne ou que sa maladie coronarienne a été guérie. Pour mémoire, si vous n'êtes pas médecin, ne vous engagez pas car la médecine est un domaine très spécialisé et ne pensez pas tout savoir. Si vous êtes médecin et que vous pensez que la maladie coronarienne peut être guérie, mettez votre cheval ici, dites à tout le monde comment la guérir et gagnez peut-être même un prix international).
Beaucoup de mes amis viennent me voir et me disent avec certitude qu'ils ont une maladie coronarienne. Ils ont déjà commencé à prendre des "médicaments" sans effets secondaires, tels que des pilules de Salvia divinorum, des comprimés de Ginkgo biloba, de l'huile de poisson de haute mer, etc. et certains d'entre eux ont été guéris. Cependant, lorsque je leur ai demandé comment ils avaient été diagnostiqués comme souffrant d'une maladie coronarienne, leurs réponses ont souvent été vagues, ou ils ont dit que le diagnostic avait été posé par le médecin de santé communautaire à l'aide d'un électrocardiogramme. J'aimerais leur dire que ce médicament est peut-être vain, qu'il n'a pas d'effets secondaires et qu'il est plus nocif pour l'organisme.
Pour les médecins, un diagnostic et un jugement précis de la maladie sont la condition première et essentielle à la mise en œuvre d'un traitement pour les patients. La maladie coronarienne est l'une des maladies cardiovasculaires les plus répandues, et le fait qu'elle puisse entraîner une mort subite inquiète beaucoup de personnes d'âge moyen et de personnes âgées. La prévalence pondérée des maladies coronariennes est de 289,1 pour 100 000 personnes, dont 334,2 pour 100 000 hommes et 231,8 pour 100 000 femmes, 376,7 pour 100 000 dans les zones urbaines et 244,6 pour 100 000 dans les zones rurales. Cela signifie que sur 100 000 personnes, plus de 200 peuvent tomber malades. Le rôle du médecin est d'aider le patient à déterminer s'il souffre d'une maladie coronarienne.
En termes de diagnostic, l'examen de référence pour les maladies coronariennes reste la coronarographie. Bien qu'elle soit sûre, il s'agit d'un examen invasif. C'est pourquoi les médecins ne recommanderont l'hospitalisation pour cet examen que s'ils disposent de preuves suffisantes. Ces preuves comprennent les antécédents médicaux du patient, ses symptômes, ses résultats physiques, ses antécédents médicaux, ses antécédents familiaux, l'électrocardiogramme, la radiographie du thorax, les enzymes cardiaques, l'échocardiogramme et l'épreuve d'effort à la plaque. Aujourd'hui, certains patients peuvent subir une angiographie coronarienne en ambulatoire, sans hospitalisation. Bien que cet examen constitue une réponse plus directe à la maladie coronarienne, il présente encore de nombreuses lacunes par rapport à la coronarographie (par exemple, les artefacts de la plaque d'athérome entraînent des faux positifs et il n'est pas possible d'identifier les changements dynamiques du flux sanguin et de la vascularisation, etc.
En résumé, le moyen le plus direct de confirmer un diagnostic de coronaropathie est la coronarographie, mais la coronaropathie peut également être fortement suspectée lorsque d'autres éléments probants sont suffisants. Le diagnostic final doit être posé par un médecin professionnel. Ne faites pas votre propre diagnostic et votre propre traitement !
La maladie coronarienne peut-elle donc être guérie à l'heure actuelle ? La réponse est non. À l'heure actuelle, le traitement standard de la maladie coronarienne se limite à trois types de méthodes : le traitement médicamenteux (de base), l'intervention (stent, dilatation par ballonnet) (lésions simples), le pontage aorto-coronarien (chirurgie de pontage), mais ces trois méthodes sont des traitements palliatifs. La raison fondamentale est que la médecine moderne n'a pas encore trouvé de principe scientifique clair pour toute la formation des plaques d'athérosclérose, et encore moins pour l'élimination efficace des plaques qui causent des sténoses. Par conséquent, il est nécessaire d'atténuer le taux de progression de la maladie par la prévention secondaire (prévention de la récurrence de dommages graves après que la maladie a été acquise) au moyen de médicaments, et d'augmenter le flux sanguin coronarien au moyen de la revascularisation (interventions, pontages), afin de réduire le risque de mort subite ainsi que d'améliorer la qualité de vie.
Ce que j'ai à dire est toujours le même : il n'est pas effrayant d'être malade, tant que l'esprit est bon et que la méthode est scientifique ! Avec les moyens médicaux avancés actuels, même si la maladie ne peut pas être guérie, il est encore possible d'atténuer les symptômes et de réduire le taux de mortalité de la maladie. La clé est la détection précoce, le diagnostic précoce, le traitement précoce, et les normes scientifiques de suivi continu, de traitement d'entretien. L'objectif de nos médecins dans le traitement de la maladie devrait également être élargi et ne plus se limiter à cibler la maladie elle-même, mais s'orienter vers des soins plus humanistes visant à améliorer la qualité de vie et le niveau émotionnel des patients, afin de permettre aux gens d'obtenir un indice de bonheur et de survie plus élevé ! Actuellement, si vous dites que vous pouvez guérir une maladie coronarienne, vous pouvez être prudent, ils ne ciblent pas votre maladie, mais votre portefeuille.
L'année dernière, mon ami a eu une maladie coronarienne alors qu'il travaillait, il est allé dans sa ville natale et a pris des médicaments chinois pendant une semaine et s'est rétabli, il a repris le travail après environ un mois de repos entre les deux, et maintenant il est normal,...
La maladie coronarienne est l'une des maladies cardiovasculaires qui évolue généralement lentement, mais qui est sujette à des crises aiguës. De nos jours, l'incidence de l'hypertension, du diabète, de l'hyperlipidémie, etc. augmente, et l'athérosclérose est une complication courante de ces maladies. L'athérosclérose est à la base du développement de la maladie coronarienne, pour laquelle la détection et le contrôle précoces sont plus importants.
Comment les maladies coronariennes sont-elles diagnostiquées ?
①Diagnostic clair.Le diagnostic de la maladie coronarienne n'est pas difficile à établir avec le niveau actuel des soins médicaux.coronarographieUn diagnostic définitif de la maladie coronarienne peut être posé. Un cathéter est introduit dans les artères directement jusqu'aux artères coronaires, puis un produit de contraste est libéré pour visualiser les artères coronaires, ce qui donne une image claire de l'emplacement et de l'étendue de l'obstruction, et fournit une base pour le traitement ultérieur. C'est pourquoi il s'agit également du traitement le plus courant de la maladie coronarienne.L'"étalon-or" pour le diagnostic de la maladie coronarienne.。

②diagnostic complémentaire. A partir des symptômes cliniques et d'autres examens, voici ce qu'il faut savoir. (1) Symptômes : le cas typique estDouleur dans la région précordialeElle est généralement le résultat d'une activité et peut être soulagée ou disparaître après le repos, qui est également connu sous le nom deangine de poitrineLa douleur peut également se manifester dans l'épaule, le bras et les dents gauches. En outre, il peut y avoir des douleurs dans l'épaule, le bras et les dents gauches, c.-à-d. des douleurs au niveau de l'épaule, du bras et des dents.douleur irradiante. Elle peut également s'accompagner d'un essoufflement, d'une transpiration abondante, d'une panique et de vertiges. (2) L'examen :ATC coronairequi montre également les artères coronaires au moyen d'une angiographie et d'une reconstruction 3D des vaisseaux par ordinateur, est légèrement moins précise que la coronarographie.électrocardiographieEn cas d'ischémie myocardique, l'ECG peut montrer des changements dans les segments ST et les ondes T, mais s'il n'y a pas d'atteinte de la maladie coronarienne, l'ECG peut montrer une présentation normale, d'où sa faible sensibilité.
Peut-on guérir les maladies coronariennes ?

La maladie coronarienne peut être traitée à l'aide de divers médicaments et procédures chirurgicales, telles que l'ICP ou le pontage aorto-coronarien, et de nombreux patients demandent si elle peut être guérie, ce qui, je pense, signifie qu'elle peut être complètement éradiquée sans médicaments, mais pour l'instant, elle ne l'est pas.Il ne répond pas à cette exigence.Le. Pourquoi ? Parce que la formation de la maladie coronarienne est basée sur l'athérosclérose ; une fois formée, l'athérosclérose est irréversible, de sorte que les facteurs de risque ne peuvent pas être complètement éliminés, qu'il s'agisse de poser un stent ou d'effectuer un pontage vasculaire, au mieux, cela ne peut être considéré que comme un remède clinique. Deuxièmement, comme l'hypertension primaire, le diabète et d'autres maladies qui peuvent causer la sclérose vasculaire, il n'y a aucun moyen de les éradiquer complètement.
Bien que la maladie coronarienne ne puisse pas être complètement guérie, sa progression peut être contrôlée par des médicaments, et les événements ischémiques aigus peuvent également être traités par une ICP d'urgence afin d'améliorer rapidement les symptômes et de contrôler la maladie.

La maladie coronarienne est une maladie cardiaque qui survient lorsque les artères coronaires, qui sont les vaisseaux sanguins alimentant le cœur, deviennent malades et qu'un déséquilibre se produit entre l'apport sanguin et la consommation d'oxygène du cœur, entraînant une ischémie et une hypoxie myocardiques. L'athérosclérose coronaire est la base physiopathologique commune de la maladie coronarienne, qui peut être diagnostiquée lorsque la sténose de l'artère coronaire dépasse 50 % ou qu'il existe des signes d'ischémie myocardique.

Si un patient présentant des facteurs de risque de maladie coronarienne (par exemple, hypertension, hyperlipidémie, diabète sucré, femmes 10 ans après la ménopause, tabagisme, antécédents familiaux de maladie cardiovasculaire précoce, etc.) développe soudainement et inexplicablement une douleur ou une sensation d'oppression liée à l'activité dans la région précordiale, qui peut être soulagée en quelques minutes à une douzaine de minutes après le repos, il s'agit essentiellement d'une maladie coronarienne diagnostiquée cliniquement. Le diagnostic final de la maladie coronarienne repose sur les résultats de l'angiographie coronarienne ou de l'angiographie CTA, ainsi que sur la présence ou non de signes cliniques d'ischémie myocardique chez le patient. Il convient de rappeler qu'il est fondamentalement peu fiable de se fier aux changements ST-T d'un électrocardiogramme ordinaire pour diagnostiquer une coronaropathie (sauf en cas d'infarctus aigu), et que de nombreux patients qui n'ont pas de coronaropathie se voient attribuer à tort un chapeau de coronaropathie sur la base de l'électrocardiogramme.

La maladie coronarienne ne peut pas être complètement guérie à l'heure actuelle, mais elle peut être stabilisée par des médicaments hypolipidémiants de type statine pour stabiliser la plaque et ralentir la progression de la maladie coronarienne ; l'aspirine et d'autres médicaments pour inhiber l'agrégation plaquettaire afin de prévenir la thrombose ; et le métoprolol et d'autres médicaments pour contrôler la fréquence cardiaque afin de réduire la consommation d'oxygène par le myocarde, etc. Grâce à ces médicaments, l'état de nombreux patients souffrant d'une maladie coronarienne peut être stabilisé ou contrôlé, et il est possible de s'assurer qu'ils peuvent mener à bien leur vie quotidienne et leur travail. En cas d'obstruction aiguë de l'artère coronaire, la pose d'un stent en urgence, la thérapie thrombolytique, etc. peuvent également permettre de contrôler rapidement l'état du patient. Par conséquent, pour la plupart des patients atteints de maladie coronarienne, bien que cette maladie ne soit pas guérissable, elle peut être bien contrôlée et leur permettre de mener la même vie que les personnes normales, il n'y a pas lieu d'être trop pessimiste.
La maladie coronarienne est l'une des maladies les plus courantes en cardiologie. Près d'une personne sur cinq souffre d'une maladie cardiovasculaire, et la maladie coronarienne est l'une des maladies les plus répandues parmi les maladies cardiovasculaires. La maladie coronarienne est l'une des maladies cardiovasculaires les plus répandues. Comment le diagnostic de maladie coronarienne est-il confirmé ? La maladie coronarienne peut-elle être guérie ou non ?
I. Comment puis-je savoir si je souffre d'une maladie coronarienne ?
Le diagnostic de la maladie coronarienne est un problème systématique. Premièrement, le diagnostic de la maladie coronarienne repose sur la présence de symptômes typiques de la maladie coronarienne. Si le patient présente une oppression thoracique et un essoufflement après une activité, il doit se demander s'il souffre ou non d'une maladie coronarienne. Cependant, tous les patients atteints d'une maladie coronarienne ne présentent pas des symptômes typiques, et certains d'entre eux peuvent présenter des symptômes atypiques ou aucun symptôme du tout, et ils doivent alors faire l'objet d'un examen plus approfondi afin de diagnostiquer la maladie coronarienne. Deuxièmement, le diagnostic de la maladie coronarienne dépend de l'examen pertinent des artères coronaires. L'examen des artères coronaires comprend principalement la tomodensitométrie des artères coronaires et l'angiographie coronarienne, ainsi que d'autres données d'imagerie. Bien entendu, si un diagnostic définitif de maladie coronarienne est nécessaire, une échographie cardiaque, des analyses de sang, une résonance magnétique et d'autres examens connexes sont également nécessaires pour confirmer le diagnostic de maladie coronarienne.
Deuxièmement, les maladies coronariennes peuvent-elles être guéries ?
Nous pensons toujours qu'une certaine maladie peut être soignée, éradiquée et guérie, mais le fait est que de nombreuses maladies ne peuvent pas être complètement guéries, y compris la maladie coronarienne. L'essence de la maladie coronarienne est l'athérosclérose des artères coronaires, et l'athérosclérose elle-même est la loi du métabolisme, de la vieillesse, de la maladie et de la mort. Par conséquent, notre traitement de la maladie coronarienne se limite encore à améliorer les symptômes des patients et à retarder le plus possible le pronostic des patients, mais pas à guérir complètement et à éliminer la maladie coronarienne.
Troisièmement, quels sont les traitements des maladies coronariennes ?
Étant donné que la maladie coronarienne ne peut être guérie, quels sont les traitements de la maladie coronarienne ? Le traitement de la maladie coronarienne nécessite tout d'abord des médicaments de prévention secondaire de la maladie coronarienne et des interventions sur le mode de vie. Ensuite, si le patient a besoin d'une reconstruction hémodynamique, il est possible qu'un traitement interventionnel ou chirurgical de reconstruction hémodynamique soit nécessaire. Comme nous accordons tous de plus en plus d'attention à notre santé, la thérapie de réadaptation pour les maladies coronariennes fait de plus en plus partie de nos vies et est également devenue une méthode importante pour aider au traitement des maladies coronariennes. La plupart des méthodes de traitement de la maladie coronarienne sont ainsi presque entièrement prises en compte.
Voir ce qui se passe ? Suivez-nous pour recevoir des mises à jour quotidiennes sur la science.
La maladie coronarienne est l'abréviation de coronaropathie, une maladie cardiaque qui survient en raison de diverses causes d'athérosclérose ou de spasme de l'artère coronaire, ce qui provoque l'ischémie, l'hypoxie et la nécrose des cellules musculaires cardiaques. Les maladies coronariennes comprennent principalement l'ischémie myocardique asymptomatique, l'angine de poitrine, l'infarctus du myocarde, la cardiopathie ischémique et la mort subite (cinq catégories). Ces dernières années, l'incidence des maladies coronariennes augmente d'année en année et les personnes atteintes ont tendance à être plus jeunes.

Si les patients atteints d'une maladie coronarienne ne reçoivent pas un traitement régulier, leur état peut s'aggraver ou même se détériorer à tout moment et, dans les cas les plus graves, une mort subite peut survenir, d'où la nécessité d'y accorder une attention suffisante. Le diagnostic de la maladie coronarienne doit être évalué en combinant les symptômes cliniques, l'électrocardiogramme, l'électrocardiogramme d'effort, l'examen hématologique, l'examen d'imagerie (tomodensitométrie à double source, etc.) et la coronarographie, cette dernière étant la méthode la plus précise pour diagnostiquer la maladie coronarienne.

Les patients atteints de maladie coronarienne peuvent ne présenter aucun symptôme évident, seul l'examen par électrocardiogramme révèle des changements ischémiques ; les patients atteints d'ischémie myocardique asymptomatique peuvent, le cas échéant, effectuer un examen négatif à l'effort. Avec l'évolution de la maladie, certains patients atteints de coronaropathie peuvent présenter une oppression thoracique, un essoufflement, une douleur thoracique et d'autres symptômes ; dans les cas graves, la douleur peut apparaître dans la région précordiale ; si la douleur dure peu de temps, ou peut être soulagée d'elle-même, ou par le traitement médicamenteux peu après le soulagement, il faut considérer qu'il s'agit d'une angine de poitrine. Lorsque la douleur thoracique est persistante et peut être accompagnée de sueurs, d'une douleur irradiant des épaules et du dos, d'une sensation de mort, etc., il convient d'être vigilant et de rechercher un infarctus du myocarde ; l'électrocardiogramme peut indiquer un sus-décalage du segment ST et une partie du type d'infarctus sans sus-décalage du segment ST ; la troponine et d'autres tests permettent de clarifier la situation.

Face à une maladie coronarienne, nous devons rechercher activement un traitement médical, veiller à améliorer notre mode de vie, à adopter un régime alimentaire raisonnable, à arrêter de fumer et à limiter la consommation d'alcool, à faire de l'exercice physique, à contrôler notre poids, à travailler et à nous reposer régulièrement, à maintenir un bon état d'esprit, à traiter activement l'hypertension, le diabète, l'hypercholestérolémie et d'autres maladies sous-jacentes, et en même temps, il est recommandé de prendre de l'aspirine et des statines et, si nécessaire, de procéder à la pose d'une endoprothèse ou à un pontage coronarien, afin d'ouvrir rapidement les vaisseaux sanguins rétrécis ou occlus pour rétablir l'approvisionnement en sang et réduire l'apparition d'une nécrose myocardique. Si nécessaire, une intervention par stent ou un pontage coronarien peut être réalisé pour ouvrir rapidement les vaisseaux sanguins rétrécis ou occlus, restaurer l'apport sanguin et réduire l'apparition d'une nécrose myocardique.
Si vous avez des questions, n'hésitez pas à laisser un commentaire à la fin de l'article et à en discuter ensemble. Cet article est répondu par le balayeur généraliste, reproduit doit indiquer la source. Merci de corriger les éventuelles lacunes. Cet article n'est pas une guidance médicale et n'a pas vocation à être un conseil de traitement médical.
La maladie coronarienne est une maladie cardiovasculaire fréquente chez les personnes d'âge moyen et les personnes âgées, causée par le rétrécissement des artères coronaires qui réduit l'apport sanguin au myocarde ; les cas bénins peuvent ne manifester qu'une angine de poitrine, et les cas graves peuvent évoluer vers un infarctus du myocarde. Alors, comment juger d'une maladie coronarienne ? La maladie coronarienne peut-elle être guérie ? Medical Senlution vous donne une explication.
Dans le passé, les maladies coronariennes étaient surtout observées chez les personnes d'âge moyen et les personnes âgées, mais ces dernières années, avec le changement de mode de vie, de nombreux cas de maladies coronariennes ont été observés chez les jeunes, de sorte que si vous ne changez pas de mode de vie, les jeunes sont susceptibles d'être l'une des tendances de développement des maladies coronariennes à l'avenir. Le principe de la maladie coronarienne est très simple : le tabagisme, l'obésité, l'hypertension, le diabète sucré, la dyslipidémie et d'autres causes d'athérosclérose coronarienne aggravent progressivement le rétrécissement de la lumière. Lorsque le rétrécissement de la lumière empêche le myocarde de bénéficier d'un apport sanguin adéquat, il provoque une angine de poitrine, particulièrement fréquente chez les personnes surchargées de travail, perturbées sur le plan émotionnel, etc. La durée est généralement de 3 à 5 minutes. Par conséquent, la crise d'angine de poitrine est l'un des signes précurseurs de la maladie coronarienne. Après l'apparition d'une angine de poitrine, des examens auxiliaires pertinents peuvent aider à clarifier la situation. Les examens les plus courants sont le test de troponine et l'ECG. Si la troponine est significativement élevée ou si l'ECG indique une ischémie myocardique ou un infarctus du myocarde, la valeur de dépistage de la maladie coronarienne est plus élevée.
Bien que les symptômes d'angine de poitrine, l'élévation du taux de troponine et les modifications de l'électrocardiogramme soient utiles au dépistage de la maladie coronarienne, l'étalon-or du diagnostic de la maladie coronarienne est la coronarographie, qui est une procédure invasive mais qui joue un rôle irremplaçable dans le diagnostic de la maladie coronarienne et dans la compréhension de la sévérité de la maladie. Grâce à l'injection d'un produit de contraste, la coronarographie permet d'observer clairement le degré de rétrécissement de l'artère coronaire, et lorsque le rétrécissement de l'artère coronaire atteint 50 %, la maladie coronarienne peut être diagnostiquée. La coronarographie permet également de comprendre les parties malades et la quantité de l'artère coronaire, ce qui peut fournir des indices très précieux pour l'évaluation de l'état de la maladie. Certains d'entre vous se demandent peut-être si la maladie coronarienne peut être guérie. Avec la technologie médicale actuelle, nous ne pouvons pas guérir la maladie coronarienne. Toutefois, le risque de progression vers l'infarctus du myocarde peut être réduit par un traitement rationnel, comprenant l'application de médicaments antiagrégants plaquettaires tels que l'aspirine ou le clopidogrel, l'utilisation de médicaments stabilisant la plaque tels que les statines, etc., ainsi que des médicaments améliorant le pronostic tels que les bêtabloquants et le priligy, etc. la maladie coronarienne.
En résumé, l'angine de poitrine, un taux élevé de troponine et un électrocardiogramme suggérant une ischémie myocardique sont utiles pour le dépistage des maladies coronariennes. Cependant, l'étalon-or pour le diagnostic des maladies coronariennes est la coronarographie, qui révèle qu'une sténose coronarienne allant jusqu'à 50 % permet de diagnostiquer une maladie coronarienne, tout en aidant à comprendre l'emplacement et le nombre des lésions artérielles coronariennes. La maladie coronarienne ne peut pas être guérie, mais un traitement raisonnable peut ralentir sa progression et réduire le risque d'infarctus du myocarde.
Merci à tous pour votre lecture !
Corrigez-moi si je me trompe ! N'hésitez pas à poser des questions et à les partager dans la section des commentaires !
Note : Le contenu de cet article est destiné à la science de la santé uniquement, et n'est pas destiné à servir de conseil ou d'opinion médicale, et n'est pas considéré comme une orientation médicale.
Le diagnostic de la maladie coronarienne repose sur des critères fixes et n'est pas un simple jugement. Il nécessite une combinaison d'antécédents médicaux, de symptômes cliniques et de divers examens, mais pour l'instant, la coronarographie montrant une sténose de 50 % est l'étalon-or !
Mais dans la vie réelle, ce n'est pas le cas, je ne sais pas quand, la douleur thoracique est devenue synonyme de maladie coronarienne, pour la grande majorité des patients ordinaires, à partir des symptômes pour déterminer la condition est le plus commun, mais c'est un point de vue de diagnostic très erroné, beaucoup de gens qui cherchent un traitement médical, aiment mettre l'accent sur leur propre condition d'abord, pour se donner une étiquette, comme : docteur, j'angine de poitrine, que dois-je prendre des médicaments ? En fait, ce patient n'est pas atteint d'angine de poitrine, mais seulement d'un trouble nerveux causé par un repos insuffisant, mais le médecin ne le sait pas, il peut penser que ce patient a déjà été diagnostiqué ailleurs, et il est très probable que des erreurs soient commises.

Peut-on guérir les maladies coronariennes ?
Cette question nécessite la prise en compte d'un certain nombre de facteurs et il est difficile d'y répondre directement ; la médecine ne peut être dupliquée et il est impossible de promettre une guérison à 100 %.Cependant, une partie du groupe atteint de maladie coronarienne est guérie.
La maladie coronarienne est une maladie chronique, la raison en est que le cycle de traitement est long, une fois que la maladie peut être accompagnée à vie, malgré ces problèmes, elle ne peut être séparée de la nature de la maladie, elle n'est pas sans raison, mais a une variété de facteurs de causalité, tous nos traitements et contrôles, sont basés sur cette base à prendre en considération.
J'ai dit plus haut que certains patients atteints de maladie coronarienne pouvaient être guéris, mais que l'un des facteurs de causalité de la maladie coronarienne était également présent : dans la société actuelle, en raison de l'essor des produits électroniques, le mode de vie et le style de travail des gens ont subi un changement radical, les problèmes de colonne vertébrale sont de plus en plus fréquents ; certains patients atteints de maladie coronarienne ne sont pas dus au régime alimentaire, au tabagisme, à l'hérédité et à d'autres causes de la maladie, mais à l'existence de foyers sur la colonne vertébrale, de foyers vertébraux. Les foyers rachidiens n'entraînent pas directement l'apparition d'une maladie coronarienne, mais la lésion des vertèbres stimule le système d'innervation, ce qui entraîne indirectement une maladie coronarienne. Pour traiter cette partie des patients atteints d'une maladie coronarienne, il faut donc passer par la neuromodulation des foyers du traitement, afin de restaurer le système nerveux et de permettre aux patients atteints d'une maladie coronarienne de retrouver une vie saine.

Le diagnostic de la maladie coronarienne repose sur des critères fixes et n'est pas un simple jugement. Il nécessite une combinaison d'antécédents médicaux, de symptômes cliniques et de divers examens, mais pour l'instant, la coronarographie montrant une sténose de 50 % est l'étalon-or !
Il n'existe pas de traitement à 100 % de la maladie coronarienne, mais certains groupes de personnes atteintes de cette maladie peuvent effectivement être guéris. La maladie coronarienne est une maladie chronique en raison de la longue période de traitement, une fois que la maladie peut être accompagnée d'une vie entière, malgré les problèmes, elle ne peut pas être séparée de la nature de la maladie, ce n'est pas sans raison, mais il y a une variété de facteurs de causalité, tous nos traitements et contrôles, sont basés sur cette base pour la prise en considération.
Ces questions et réponses proviennent des utilisateurs du site, elles ne représentent pas la position du site, s'il y a une infraction, veuillez contacter l'administrateur pour la supprimer.