Quelles sont les maladies qui ont tendance à se transformer en cancer ?
Quelles sont les maladies qui ont tendance à se transformer en cancer ? 
Le cancer peut être considéré comme une maladie chronique, et s'il est prévalent chez les personnes d'âge moyen et les personnes âgées, c'est parce qu'il y a une certaine probabilité qu'il apparaisse après l'accumulation de mutations génétiques constantes.
1. l'hépatite
L'hépatite B/C, la cirrhose et le cancer du foie constituent la trilogie la plus importante de l'incidence du cancer du foie en Chine. Dans les pays occidentaux développés, le cancer du foie est principalement causé par le foie alcoolique, la cirrhose et le cancer du foie ; les causes sont donc similaires. Lorsque les dommages causés aux cellules du foie par l'hépatite s'accumulent jusqu'à un certain point, le risque de cancer est élevé.
2. la tuberculose
Des maladies comme la tuberculose, en raison d'infections répétées dans les poumons, sont également susceptibles de stimuler la mutation des cellules épithéliales du poumon à un moment donné, produisant ainsi un cancer du poumon. C'est pourquoi les patients atteints de tuberculose doivent subir des examens pulmonaires réguliers et être attentifs aux tumeurs si elles ont tendance à augmenter et si le traitement antituberculeux est inefficace.
3. érosion cervicale
La maladie cœliaque nécessite des examens appropriés et s'il s'avère que les cellules épithéliales du col de l'utérus ont développé une hyperplasie atypique, également connue sous le nom de néoplasie intraépithéliale du col de l'utérus, l'étendue de la mutation cellulaire doit être surveillée de près. L'inflammation du col de l'utérus est souvent le résultat d'une infection par le virus HPV, qui présente un risque élevé de provoquer des modifications génétiques de l'épithélium cervical pouvant conduire au cancer du col de l'utérus.
4. ulcère gastrique
La principale cause d'ulcères gastriques en Chine est l'infection par Helicobacter pylori, et bien qu'un très faible pourcentage de patients souffrant d'ulcères gastriques se transforment en cancer gastrique, cette réparation répétée de l'infection est l'une des principales causes de cancer. Par conséquent, les patients souffrant d'ulcères gastriques doivent subir une gastroscopie régulière afin d'exclure un cancer gastrique précoce.
5. oesophagite par reflux
En cas de surproduction d'acide gastrique ou de dysfonctionnement de la dilatation du cardia, l'acide gastrique peut refluer dans l'œsophage par le cardia, qui est l'entrée de l'estomac. L'estomac ne craint pas l'acide, mais l'œsophage est très acidophobe, de sorte que la partie inférieure de l'œsophage est très susceptible de subir une mutation sous l'influence corrosive d'acides forts. Par conséquent, les patients souffrant d'œsophagite par reflux doivent se rendre à l'hôpital pour évaluer la nécessité de modifier leur mode de vie ou de prendre des médicaments.
6. polypes intestinaux
Les polypes intestinaux peuvent également devenir cancéreux et, en cas de polypes multiples, vous devrez peut-être être invité à subir des coloscopies de suivi et des biopsies régulières afin d'exclure un cancer du côlon à un stade précoce.
Il existe un terme médical pour cela :lésion précancéreuseIl s'agit d'un diagnostic pathologique. Il s'agit d'un diagnostic pathologique, ce qui signifie qu'à ce stade, la maladie a le potentiel d'évoluer vers un "cancer". Cependant, comme il s'agit d'une maladie "précancéreuse", nous pouvons l'arrêter ou même la ramener à un état normal par certains moyens.
Les lésions précancéreuses les plus courantes à l'examen physique sont les suivantes :
Gastrite atrophique chronique → cancer gastrique
Les principales manifestations sont l'atrophie de l'épithélium et des glandes de la muqueuse gastrique, la réduction du nombre de glandes et l'amincissement de la muqueuse gastrique. Les patients ressentent une distension épigastrique, des ballonnements, des éructations, une perte d'appétit et d'autres manifestations.
En d'autres termes, pour diverses raisons, la muqueuse gastrique s'amincit, la sécrétion des sucs digestifs par les glandes diminue, et l'atrophie de l'estomac dans son ensemble ne se réduit pas. En fait, la gastrite atrophique chronique est très fréquente dans la population âgée de 55 ans, le taux de détection est supérieur à 50 %, de sorte que pour les personnes d'âge moyen et les personnes âgées atrophiées, il ne faut pas trop s'inquiéter, certains médecins l'appellent même une maladie dégénérative, c'est-à-dire que lorsque les gens vieillissent, ils se trouveront plus ou moins dans cette situation.
L'Organisation mondiale de la santéLa gastrite atrophique chronique est classée comme une maladie précancéreuse du cancer gastrique, pas strictement précancéreuse, mais véritablement précancéreuse après l'apparition d'une hyperplasie atypique.
La gastrite atrophique aurait un taux de cancer de 0,5 à 1 % par an, avec un risque accru de cancer gastrique lorsqu'elle s'accompagne d'une hyperplasie épithéliale intestinale ou d'une hyperplasie atypique.
La gastrite atrophique peut souvent être inversée en éradiquant H. pylori avant l'intestinalisation, et sa progression vers le cancer gastrique peut être presque complètement bloquée par un traitement symptomatique et une amélioration des habitudes de vie.

Leucoplasie de la muqueuse → carcinome malpighien (site correspondant)
Site commun d'occurrence :Œsophage, bouche, vulve
Les lésions sont de couleur blanche ou blanc cassé et rugueuses au toucher.La cause de son apparition peut être liée au diabète, aux troubles endocriniens et à la malnutrition.
Seule la muqueuse buccale présente des taches blanches. La noix de bétel est une catégorie d'aliments très appréciée dans le sud du pays, mais aussi dans le sud de l'Europe.Cancérogènes de classe I pour le cancer de la bouche. L'apparition d'un cancer de la bouche est souvent précédée d'uneLeucoplasie de la muqueuse buccalePour le bien de votre santé, cessez donc de consommer de la noix de bétel.

La noix de bétel est un agent cancérigène de classe 1.
Polypes adénomateux de l'intestin → Cancer de l'intestin
Les polypes intestinaux sont classés en polypes adénomateux, polypes inflammatoires et polypes hyperplasiques. Les polypes adénomateux peuvent évoluer vers un cancer en 5 à 15 ans. Les polypes inflammatoires et les polypes hyperplasiques sont actuellement considérés comme moins susceptibles de devenir cancéreux, mais sous coloscopie, la nature du polype ne peut être jugée morphologiquement, de sorte qu'il est généralement recommandé de les réséquer sous coloscopie, puis de les envoyer en pathologie. Si la détermination finale est celle de polypes adénomateux, ils doivent également être examinés chaque année, afin de ne pas avoir à nouveau un "poisson qui fuit" en dehors de la tempête.

Hyperplasie adénomatoïde atypique du poumon → cancer du poumon
La Chine est aujourd'hui le premier pays touché par le cancer du poumon. L'hyperplasie adénomatoïde atypique dans les nodules pulmonaires fait partie des lésions précancéreuses. Parmi ces lésions, plus le nodule est gros, plus le risque de malignité est élevé.
D'après l'observation clinique de milliers de cas de nodules pulmonaires isolés, les nodules pulmonaires d'un diamètre inférieur à 0,5 centimètre ont une très faible probabilité de malignité, environ 1 % ; entre 0,5 et 1 centimètre, la probabilité de malignité est de 6 à 28 % ; la probabilité de malignité pour les nodules pulmonaires d'un diamètre de plus de 2 centimètres atteint 64 à 82 % ; et pour les nodules d'un diamètre de plus de 3 centimètres, 90 à 95 % des nodules pulmonaires sont malins.
Bien que l'incidence du cancer du poumon soit élevée, des examens médicaux opportuns permettent de détecter les nodules de cancer du poumon le plus tôt possible.Il est recommandé aux fumeurs de se soumettre à un dépistage annuel par tomodensitométrie hélicoïdale à faible dose pour détecter les premiers stades du cancer du poumon, et d'arrêter de fumer rapidement.

Hyperplasie atypique du sein → cancer du sein
L'hyperplasie atypique du sein peut être une lésion précancéreuse du cancer du sein. L'hyperplasie mammaire seule n'est pas cancéreuse, mais si l'épithélium canalaire est fortement hyperplasique et atypique, il peut s'agir d'une lésion précancéreuse.L'hyperplasie atypique du tissu mammaire, le papillome intraductal et l'hyperplasie kystique du sein sont généralement considérés comme des lésions précancéreuses du cancer du sein.
Recommandation :
Un,Dans la population générale, les femmes de moins de 35 ans sont principalement examinées par échographie ; il est conseillé aux femmes périménopausées âgées de 45 à 55 ans de se soumettre à un dépistage au molybdène une fois par an. Si des lésions précancéreuses sont détectées, il est recommandé de suivre les instructions du médecin pour examiner et voir si une intervention chirurgicale est nécessaire.
ii,L'utilisation inconsidérée de produits à base d'œstrogènes peut entraîner une hyperplasie des cellules épithéliales canalaires du sein, voire un cancer. N'utilisez donc pas de produits cosmétiques dont les ingrédients sont inconnus.
iii,Mangez moins d'aliments frits, de crème, de fromage et de toutes sortes de sucreries pour contrôler l'apport en graisses et éviter l'obésité.
Quatre,Gardez la bonne humeur, les émotions négatives peuvent facilement entraîner des troubles endocriniens dans l'organisme, qui ont une certaine relation avec les maladies du sein.
Cinq,L'exercice physique est un facteur important dans la prévention du développement du cancer du sein.

Cirrhose du foie → cancer du foie
Il existe une trilogie d'apparition du cancer du foie en Chine : hépatite → cirrhose → cancer du foie.Les plus courants à l'étranger sontCirrhose due à l'alcool.
S'il y aLes personnes ayant des antécédents d'hépatite B et souffrant d'une cirrhose sous-jacente constituent un groupe à haut risque de cancer du foie.Si cela s'accompagne de résultats d'imagerie d'une occupation suspecte ou d'une élévation de l'alpha-fœtoprotéine, il peut s'agir d'un cancer.
Recommandation :
Un,Si une cirrhose s'est développée, il convient d'examiner régulièrement l'échographie et l'AFP (alpha-fœtoprotéine).
ii,Si vous avez une hépatite B, traitez-la de manière agressive.
iii,Arrêter de fumer et de boire.

Néoplasie intraépithéliale du col de l'utérus → cancer du col de l'utérus
Les cellules épithéliales du col de l'utérus peuvent passer d'une hyperplasie atypique à un cancer après une infection persistante par le VPH, une période qui peut durer jusqu'à 10 ans ou plus.
Parmi elles, la néoplasie intraépithéliale du col de l'utérus, également connue sous le nom de lésions précancéreuses du col de l'utérus, est divisée en trois grades, le grade le plus élevé étant le plus susceptible d'être cancéreux et le grade le plus bas étant celui qui se prête le mieux au traitement.
Recommandation :
Un,Les femmes sexuellement actives doivent subir un TCT et un test HPV une fois par an. En cas d'anomalie, une colposcopie ou une biopsie est nécessaire.
ii,Traiter activement les cervicites chroniques et les lésions cervicales précancéreuses. La vie sexuelle doit être hygiénique.
iii,La vaccination contre le cancer du col de l'utérus est disponible pour prévenir le développement du cancer du col de l'utérus lorsque les conditions le permettent.
Quatre,Les mauvaises habitudes peuvent diminuer l'immunité de l'organisme et créer des opportunités d'invasion virale.

Nævus jonctionnel → mélanome
Les naevus jonctionnels ont tendance à se développer sur les zones sujettes au frottement, telles que la paume des mains, la plante des pieds, la vulve, etc.La probabilité de cancer est élevée par rapport aux autres grains de beauté.
Lorsqu'un grain de beauté présente une forme irrégulière, des bords flous, des nuances de couleur différentes, un halo ou une augmentation lente de la taille, avec un léger renflement ou un épaississement de la peau, il est nécessaire de consulter un médecin à temps. Si vous devez vraiment couper le grain de beauté, vous devez vous rendre dans le service de dermatologie ou de chirurgie plastique d'un hôpital ordinaire, et ne jamais vous contenter de trouver un salon de beauté pour le signaler. Premièrement, cela peut retarder l'évolution du mélanome, deuxièmement, il est facile de récidiver si le traitement est incomplet, et il est facile de laisser des cicatrices si le traitement est excessif.

Changements dans les moles
Je suis le Dr Yang, chirurgien dans les trois plus grands hôpitaux de Pékin. J'aime la vulgarisation scientifique et me faire des amis. Il n'est pas facile de taper à la main, alors n'hésitez pas à me complimenter. N'hésitez pas à me prêter attention ou à me laisser un message, et discutons ensemble.
Je vais vous raconter un fait divers !
Voici l'histoire d'une gastrite qui s'est transformée en cancer de l'estomac !
Le père de mon ami est un vieil homme très frugal, quand il était jeune, il a également travaillé dur pour gagner de l'argent pour soutenir ses enfants, jusqu'à un âge avancé sont encore très frugaux. Qu'il s'agisse de nourriture, de vêtements, de logement ou de transport, il s'efforce d'économiser de l'argent, ce qui lui a permis d'élever trois étudiants.

Cependant, le destin ne traite pas ce gentil vieux père, la fin de 2018, il semble que le Nouvel An, les enfants discutent de la façon de célébrer le Nouvel An. Mais un après-midi, le vieux père mais accidentellement évanoui dans le champ, juste en passant par les voisins ont vu avant de se précipiter pour appeler le vieux partenaire, et a appelé les gens à l'hôpital de santé de la ville, à l'hôpital après les médecins simplement donner un traitement avant de se réveiller progressivement. Le visage du vieil homme est très pauvre, l'examen initial des indicateurs est anormal, et n'ose pas diagnostiquer, dans la campagne, les conditions des petits hôpitaux sont limitées, nous recommandons donc qu'ils se réfèrent à l'hôpital du comté.

Le vieil homme a appris qu'il devait être envoyé à l'hôpital du comté, c'est à contrecœur, il a dit qu'il connaissait sa propre situation, il a dit qu'il avait un problème d'estomac depuis de nombreuses années, chaque fois que les maux d'estomac lorsque vous prenez quelques pilules vont bien. Récemment, les pilules sont terminées, et acheter quelques pilules pour retourner manger ne pose pas de problème, alors il a acheté en toute hâte les médicaments à la maison. Plus tard, les amis savent que cette chose est très ennuyeuse, donc spécial de la province pour revenir, a appris que son père s'est évanoui dans le sol, même l'hôpital ne sont pas disposés à aller vraiment ne peut pas aller, vraiment est d'attraper les gens, a dit de les emmener à la ville pour vivre a également refusé. Après une lutte d'idées, l'ami a finalement traîné son père dans un grand hôpital pour faire un examen systématique, seulement pour apprendre que son père souffrait de gastrite atrophique, les résultats sont sortis de l'ami m'a également demandé si la gastrite n'est pas une maladie grave, je pensais que c'était la sienne, pour dire qu'après il a dit que je connais toute l'histoire.

J'ai dit à mon ami que la gastrite atrophique était un processus d'accumulation à long terme et que la possibilité d'une évolution ultérieure était très élevée. Cependant, le père de mon ami était très têtu et pensait qu'il s'agissait d'une simple maladie de l'estomac, ce qui n'était pas grave, et il était très réticent à l'idée d'aller à l'hôpital. Ne pas aller à l'hôpital est possible, mais il faut écouter le médecin, l'entretien du corps est important, il ne faut pas être avide d'un bon travail à faire.

Six mois plus tard, la même rencontre se reproduit, cette fois c'est un évanouissement à la maison, le vieil homme dîne soudainement infecté par une distension de l'estomac particulièrement inconfortable, la poitrine particulièrement paniquée. Jusqu'au vomissement soudain de toute la personne directement sur le sol, cette scène a complètement paniqué toute la famille. Directement touché le comté 120, le côté de la famille et envoyé des gens pour conduire à l'hôpital de comté de secours, jusqu'à trois heures du matin dans la nuit avant de se réveiller. La situation est encore pire que la dernière fois, le médecin lui a fait passer un gastroscope et a constaté que la plus grande partie du fond de l'estomac semblait être ulcérée, il ne s'agit pas d'une simple gastrite, ils leur ont donc dit de l'envoyer à l'hôpital provincial pour qu'il l'examine, les conditions là-bas étant plus favorables.
Après avoir été envoyé à l'hôpital provincial, celui-ci a procédé à toute une série de tests, puis à un examen histologique avant d'apprendre qu'il souffrait d'un cancer de l'estomac, qui était déjà à un stade moyen et avancé.

Après avoir reçu un traitement conservateur pendant deux mois, le père de mon ami est finalement décédé !
À travers cette histoire, j'aimerais vous dire que parfois vous ne vous souciez pas de la maladie qui peut se transformer en cancer. Au départ, je pensais qu'il s'agissait d'une simple gastrite, mais elle s'est finalement transformée en cancer de l'estomac.

En fait, il suffit de comprendre ce qu'est la gastrite atrophique pour être vigilant car, à proprement parler, la gastrite atrophique chronique évolue vers un cancer gastrique qui est lui-même un processus de développement. La structure gastrique elle-même a changé, la muqueuse de l'estomac s'est amincie et les glandes qui sécrètent les sucs digestifs ont diminué. L'Organisation mondiale de la santé a classé la gastrite atrophique chronique comme une maladie précancéreuse du cancer gastrique, et ce résultat n'est pas anodin. Le taux annuel de cancer de la gastrite atrophique est de 0,5 % à 1 %, et l'incidence de ces dernières années est toujours en augmentation.

Outre la gastrite atrophique qui peut évoluer vers un cancer, il existe de nombreuses autres maladies chroniques, la maladie nodulaire, la tuberculose peuvent être des manifestations précancéreuses. Je suggère aux personnes souffrant de telles maladies de se faire examiner régulièrement, de ne pas attendre que le cancer soit traité, il sera alors trop tard pour le regretter !
Je suis "Dr Yang said", je me concentre sur les sciences de la santé, comme si cela pouvait attirer l'attention ! Je vous remercie !
Résumons.
La première maladie susceptible de provoquer un cancer est l'hépatite et, selon les statistiques médicales, plus de 90 % des cancers primaires du foie en Chine sont le fait de patients atteints d'hépatite B et porteurs de l'AgHBs. Les patients atteints d'hépatite B doivent donc être plus vigilants et recevoir un traitement actif. Les patients atteints d'hépatite B devraient également subir des contrôles réguliers de l'indice d'alpha-fœtoprotéine et une échographie du foie, ce qui peut augmenter la probabilité de détection précoce du cancer du foie.
La seconde concerne les maladies ulcéreuses du tube digestif, et plus particulièrement la colite ulcéreuse, qui est une maladie auto-immune que l'on peut facilement négliger. Au début de l'apparition de la maladie, il y aura une baisse de la vision, une gêne oculaire, des douleurs souvent cachées à l'estomac, et souvent des aphtes, mais il faut savoir que la colite ulcéreuse est une maladie à forte incidence de cancer colorectal, qu'elle doit être traitée activement et faire l'objet de coloscopies régulières. Il y a aussi les ulcères gastriques, s'ils ne guérissent pas pendant longtemps et ne sont pas traités activement, la muqueuse gastrique se modifiera sous l'effet de stimulations répétées, ce qui induira un cancer gastrique.
Le troisième type est celui des petits nodules dans les poumons. De nombreuses maladies pulmonaires forment des nodules, telles que l'inflammation, la tuberculose, les mycobactéries, etc., mais le précurseur du cancer du poumon est également le début de petits nodules, et une partie des patients atteints de petits nodules pulmonaires se transforment en patients atteints de cancer du poumon. En règle générale, lorsque vous trouvez de petits nodules, vous devez vous rendre à l'hôpital pour les examiner, et s'ils sont bénins, vous devez les examiner régulièrement. J'ai récemment entendu parler d'un cas où un petit nodule pulmonaire bénin datant de 7 ans s'est soudainement transformé en nodule malin, et il a été décidé de l'ouvrir pour le retirer.
Le quatrième type est l'hyperplasie kystique du sein, également connue sous le nom d'hyperplasie de la glande mammaire, dont l'incidence du cancer du sein est quatre fois supérieure à celle de la population générale, principalement parce qu'il existe un certain degré de corrélation entre les troubles de l'équilibre endocrinien et qu'un petit nombre de ces patientes se transforment en tumeurs bénignes ou malignes du sein. Afin de prévenir l'hyperplasie mammaire, nous sommes généralement encouragées à nous marier au bon moment, pas plus de 28 ans, pas plus de 30 ans à l'âge du premier accouchement, et à avoir une vie sexuelle normale, harmonieuse, équilibrée et régulière.
Les polypes, considérés comme le petit frère du cancer, peuvent très facilement se transformer en cancer.
Qu'entendez-vous par polype ? Il s'agit en fait d'un polype sur votre corps.Un morceau de viande supplémentaire.La "viande", ou "chair" comme on l'appelle, se développe sur les muqueuses des organes creux du corps, tels que les voies nasales, les cordes vocales, l'estomac et les intestins, la vésicule biliaire, l'utérus, la vessie, etc.
S'il y a plus de deux polypes qui se développent dans un organe particulier, par exemple plusieurs polypes dans le rectum.
Le cancer est comparé au chef d'une société triadique, le polype étant le petit frère. Dans l'organisme humain, ce petit frère triadique est caché très profondément, se développe très lentement et ne s'expose pas facilement.
D'un point de vue médical, selon leorgane en croissanceDes noms tels que "polype nasal", "polype de l'estomac", "polype rectal", "polype de la vessie", etc. sont donnés. Voici quelques exemples de polypes.
polype des cordes vocales

Les personnes les plus susceptibles d'être exposées sontpolype des cordes vocalesLorsqu'un polype se développe sur les cordes vocales, il peut rendre la voix rauque et nécessiter une visite à l'hôpital.laryngoscopieLe haricot vert est le plus souvent de la taille d'un haricot vert ou d'une cacahuète, et donc rapidement découvert.
Pourquoi les polypes vocaux apparaissent-ils ?
Les raisons sont les suivantes : mauvaise utilisation de la voix ou mauvaises habitudes de prononciation ; inflammation répétée des voies respiratoires supérieures, rhinite, pharyngite ; stimulation à long terme par le tabac et l'alcool, en particulier chez certaines femmes, souvent par le tabagisme passif ; surmenage, rester debout toute la nuit pour former un état de santé déficient, etc.
En général, le repos élimine l'élément déclencheur et le polype vocal disparaît.
Cependant, il est possible que les polypes vocaux deviennent cancéreux, bien que la probabilité soit relativement faible. Les polypes vocaux doivent être traités dès que possible après le diagnostic afin d'éviter qu'ils ne deviennent cancéreux. Le principal traitement des polypes vocaux est l'ablation chirurgicale, et la plupart des polypes peuvent être enlevés au microscope.
Afin d'éviter la récurrence des polypes vocaux après l'opération, vous devez veiller à protéger votre voix, essayer de ne pas parler fort et ne pas manger d'aliments épicés et stimulants qui sont chauds.
polype nasal

Les polypes qui se développent dans la cavité nasale provoquent souvent des symptômes tels que des rhumes, une congestion nasale et des saignements de nez chez l'hôte.鼻镜Vérifier, il peut être facilement trouvé et enlevé.
Les polypes nasaux peuvent être très gênants car ils se développent généralement au niveau des sinus et peuvent obstruer la ventilation des sinus, ce qui peut entraîner une congestion nasale, des vertiges, des acouphènes, des pertes de mémoire, voire des maladies cardiovasculaires et d'autres manifestations.
Les polypes nasaux ont un risque beaucoup plus faible de devenir cancéreux que les polypes intestinaux ou stomacaux. Les polypes nasaux eux-mêmes sont bénins et, s'ils sont retirés tôt, ils ne sont généralement pas cancéreux.
Cependant, certains polypes nasaux sont également susceptibles de récidiver après leur ablation. En cas de traitements répétés de cette manière, la possibilité de changements cancéreux augmente car les tissus continuent de proliférer et l'inflammation chronique continue d'agir.
polype gastrique
Polypes qui se développent sur la muqueuse de l'estomac, en raison du grand volume de l'estomac.Les polypes peuvent devenir très volumineux.Les patients ne ressentent rien, peuvent vivre et manger normalement, et même manger des plats chauds ou épicés sans aucune anomalie.
Les polypes gastriques peuvent être classés en polypes inflammatoires ou hyperplasiques et en polypes adénomateux. Les premiers ont un faible taux de cancer, tandis que les seconds ont un taux de cancer extrêmement élevé.
Parmi ceux-ciPolype adénomateuxElle est très susceptible de devenir cancéreuse et sera enlevée chirurgicalement par le médecin après une gastroscopie destinée à la détecter.
Chez les personnes âgées de plus de 50 ans, la probabilité de cancer est encore plus élevée, c'est pourquoi la gastroscopie est recommandée pour les personnes âgées de plus de 50 ans. Même après l'ablation d'un polype, la gastroscopie doit être répétée tous les 1 à 2 ans.

Pourquoi les polypes de l'estomac se développent-ils ?
Les polypes gastriques sont associés à une préférence à long terme pour les aliments épicés, froids ou durs, les restes et les cornichons, la faim et la satiété, le tabagisme, l'alcoolisme et d'autres facteurs.
Les polypes gastriques inflammatoires et hyperplasiques sont étroitement liés à une infection par la bactérie Helicobacter pylori, et la plupart des polypes gastriques diminuent ou disparaissent lorsqu'ils prennent un médicament oral pour détruire H. pylori.
polype intestinal
Les serviteurs les plus prometteurs sontPolypes du côlon et du rectumIl est très probable qu'il se transforme en cancer, souvent par distribution multiple, généralement par croissance cachée, lorsque la "transformation" peut devenir un cancer du côlon.
Les polypes intestinaux ont une surface très fragile et saignent facilement. Les patients consultent un médecin lorsqu'ils remarquent des selles sanguinolentes, mais leur état n'est souvent pas grave non plus.
Il existe deux types principaux de polypes intestinaux : les polypes inflammatoires et les polypes adénomateux, les premiers étant généralement non malins et les seconds présentant un risque plus élevé de malignité.
Statistiquement, 80 à 95 % des cancers colorectaux évoluent pas à pas à partir d'un polype intestinal, un processus qui peut durer de 5 à 10 ans.

Evolution progressive des polypes vers le cancer
Pourquoi les polypes intestinaux se développent-ils ?
Les facteurs de causalité les plus courants sont la génétique, une alimentation riche en graisses, une faible consommation de fruits et de légumes, le tabagisme, l'obésité et le manque de travail physique.
Il est recommandé aux personnes en bonne santé de commencer à subir des coloscopies à partir de l'âge de 50 ans, et si les résultats sont normaux, ils peuvent être contrôlés à nouveau après 5 ans. N'attendez donc pas d'avoir des symptômes pour penser à moi !
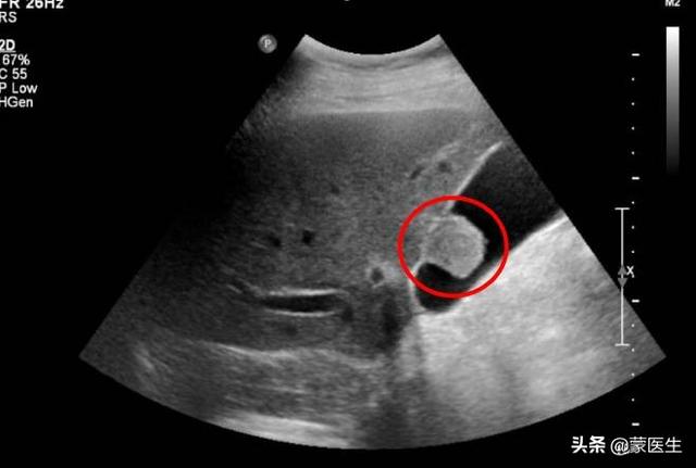
polype de la vésicule biliaire

Le cercle rouge est un polype de la vésicule biliaire.
Les polypes de la vésicule biliaire se divisent en vrais polypes et en faux polypes. Les faux polypes, également connus sous le nom de polypes de cholestérol, apparaissent volontiers en groupes, le diamètre de la plupart d'entre eux est inférieur à 1 cm, mais il n'y a que des cristaux de cholestérol, il n'y a donc pas de possibilité d'évolution maligne.
Les vrais polypes comprennent les adénomes de la vésicule biliaire, les adénomyomes, les polypes inflammatoires et l'hyperplasie adénomateuse. Les adénomes de la vésicule biliaire sont les plus dangereux, bien que l'incidence des polypes de la vésicule biliaire ne soit que d'environ 4 %, mais le taux de cancer est d'environ 20 à 30 %, ce qui explique qu'ils doivent généralement être combattus seuls.
Pourquoi les polypes de la vésicule biliaire apparaissent-ils ?
Les facteurs de causalité les plus courants sont : une préférence pour les régimes gras, tels que les marmites chaudes, les barbecues, les jaunes d'œufs, les abats d'animaux, etc. ; des régimes irréguliers, tels que le fait de sauter le petit-déjeuner et de se priver de nourriture ; des nuits tardives fréquentes et un mode de vie irrégulier ; des antécédents familiaux d'hérédité.
Une échographie abdominale annuelle est recommandée pour les personnes âgées de plus de 40 ans. Les patients sans facteur de risque élevé, présentant des polypes de moins de 1 cm et âgés de moins de 50 ans devraient passer une échographie tous les 3 à 6 mois. Si les résultats restent bons, l'échographie peut être renouvelée une fois par an.
Vous voyez, ce petit frère a causé beaucoup d'ennuis. Ce n'est rien, les gens ont surtout peur de mon cancer, il est très probable qu'il passe au stade de grand frère (cancer avancé), alors le médecin ne peut faire que de la chirurgie et de la chimiothérapie.
Depuis que les médecins connaissent la relation inhabituelle entre les polypes et le cancer, les découvertes constantes de la rhinoscopie, de la laryngoscopie, de la cystoscopie, de l'œsophagoscopie, de la gastroscopie, de la cholédochoscopie, de la coloscopie, etc. et le traitement approfondi du petit frère du cancer que nous sommes, les occasions de nous ridiculiser se font de plus en plus rares.
Les polypes sont extrêmement vigoureux, bien qu'enlevés. Mais vos habitudes de vie n'ont pas changé, votre corps ou le milieu environnant n'ont pas changé, le terrain propice à ma croissance est toujours là, je vais encore m'enraciner et germer, resurgir ! Par conséquent, même si vous avez coupé le polype, vous devez toujours suivre les conseils du médecin et vous soumettre à des contrôles réguliers.
Ce qui suit est une introduction à certaines des maladies qui peuvent se transformer en cancer, et nous espérons qu'il vous aidera à réaliser un dépistage, un diagnostic et un traitement précoces du cancer. Éviter l'apparition d'un cancer ou minimiser les dommages causés par le cancer au corps humain.
Maladies pouvant entraîner un cancer du poumon :
- La tuberculose ;
- Maladie pulmonaire obstructive chronique ;
- Maladie nodulaire pulmonaire ;
- Fibrose pulmonaire idiopathique ;
- sclérodermie
- Maladies pulmonaires professionnelles : telles que celles causées par une exposition prolongée à l'amiante, à l'arsenic, à l'éther dichlorométhylique, au chrome, au gaz moutarde, au nickel, aux hydrocarbures aromatiques polycycliques et aux substances radioactives telles que le radium.
Maladies pouvant entraîner un cancer de l'œsophage :
- le reflux gastro-œsophagien (RGO)
- Oesophagite corrosive
- dystrophie pancréatique
- diverticule œsophagien
- Œsophagite chronique d'origine alimentaire : par exemple, œsophagite chronique causée par la consommation fréquente d'aliments riches en nitrosamines et en toxines fongiques, ou par le tabagisme à long terme, la consommation d'alcool et une préférence pour les aliments rugueux ou trop chauds.
Maladies pouvant entraîner un cancer de l'estomac :
- gastrite atrophique
- 残胃炎
- ulcère gastroduodénal
- Menetrier病
- Gastrite avec infection combinée à Helicobacter pylori
- Polypes gastriques et adénomes gastriques
- Gastrite chronique avec hyperplasie ou hétéroplasie épithéliale intestinale
Maladies pouvant entraîner un cancer colorectal :
- Polypose familiale
- adénome colorectal
- les maladies inflammatoires de l'intestin
- Maladie colorectale d'origine alimentaire : par exemple, maladie colorectale due à une consommation excessive et prolongée de viande rouge ou riche en graisses et à un apport insuffisant en fibres alimentaires.
- Syndrome de Lynch
- Appendicite chronique et patients ayant subi une appendicectomie
- Cholécystite chronique chez les patients ayant subi une cholécystectomie
- Personnes souffrant de maladies mentales dépressives chroniques
- Personnes souffrant de diarrhée chronique et de constipation chronique.
Maladies pouvant se transformer en cancer du foie :
- l'hépatite virale
- Cirrhose du foie due à diverses causes
- Maladie hépatique professionnelle, c'est-à-dire exposition chronique à des produits chimiques tels que le chlorure de vinyle, les nitrosamines, la moutarde azoïque, le phénol, les pesticides organochlorés, etc., entraînant une maladie hépatique ; en outre, les personnes vivant dans des zones infectées par la schistosomiase souffrent d'une maladie hépatique acquise à la suite d'un travail entraînant une infection par la schistosomiase.
- Maladie hépatique d'origine alimentaire : par exemple, les maladies d'origine alimentaire sont causées par la consommation fréquente d'aliments contaminés par l'aflatoxine, d'aliments infectés par Treponema pallidum, ou par la consommation d'eau contaminée, d'eau contaminée par des algues provenant de rivières et de fossés.
Maladies pouvant entraîner un cancer de la vésicule biliaire :
- Cholécystite chronique, cholélithiase
- polype de la vésicule biliaire
- Patients présentant une confluence pancréaticobiliaire anormale.
Maladies pouvant entraîner un cancer des voies biliaires :
- Calculs biliaires avec infections récurrentes
- Cholangite sclérosante primitive
- Dilatation kystique congénitale des voies biliaires
- Anastomose cholédocienne-jéjunale après
- Infection chronique par la douve du foie
- porteur chronique de la typhoïde
- Patients atteints de colite ulcéreuse
Maladies pouvant entraîner un cancer du pancréas :
- pancréatite chronique
- Diabétique depuis plus de 10 ans
- Patients souffrant d'obésité
- Syndrome de Peutz-Jeghers
Maladies pouvant entraîner un cancer de la vessie :
- Maladie chronique de la vessie causée par une exposition à long terme à des substances cancérigènes telles que la benzidine, la bêta-naphthylamine et le 4-aminobiphényle contenus dans des produits chimiques industriels tels que les teintures, les peintures, le cuir, le caoutchouc et les plastiques.
- Calculs vésicaux,
- diverticule de la vessie
- infection à schistosoma haematobium
- Maladie de la vessie avec des sondes urinaires à demeure à long terme.
Le développement du cancer est un processus complexe et long, et certaines tumeurs se développent à partir de certaines maladies chroniques en réponse à une variété de facteurs cancérigènes. Quelles sont les maladies associées au cancer ?
1) Gastrite atrophique chronique : la gastrite atrophique chronique est appelée lésion précancéreuse ; la gastrite atrophique modérée et sévère peut évoluer vers une hyperplasie atypique sévère de la muqueuse et, si elle est stimulée par de mauvaises habitudes alimentaires, elle peut évoluer vers un cancer de l'estomac. Par conséquent, en cas de gastrite atrophique sévère ou même d'hyperplasie atypique, il convient d'être plus vigilant et, outre l'intervention médicamenteuse correspondante, de procéder tous les trois à six mois à une gastroscopie et à des tests pertinents tels que les marqueurs tumoraux, afin d'éliminer les lésions précancéreuses au cours de la période d'incubation.
2. œsophage de Barrett : l'extrémité inférieure de l'œsophage est recouverte d'un épithélium cylindrique anormal, appelé œsophage de Barrett. Certains œsophages de Barrett sont congénitaux, mais la plupart sont acquis. Il est étroitement lié à l'œsophagite par reflux et présente un risque d'adénocarcinome œsophagien. L'œsophage de Barrett peut être complètement guéri s'il est réséqué chirurgicalement, mais l'opération est plus risquée et plus sujette aux complications, de sorte que l'œsophage de Barrett n'a pas besoin d'être traité en l'absence de complications, mais seulement d'être observé de manière dynamique ; s'il souffre d'œsophagite par reflux, d'adénocarcinome œsophagien ou d'un cancer de l'œsophage, l'œsophage de Barrett peut être guéri par une intervention chirurgicale. En cas d'œsophagite par reflux, de hernie hiatale et d'autres maladies susceptibles de favoriser le développement de l'œsophage de Barrett, la maladie doit faire l'objet d'un traitement actif, tel que la prise de médicaments anti-acides et de médicaments pour l'alimentation gastrique ; en cas d'hyperplasie cellulaire anisotrope ou de formation de polypes, il est possible de procéder à un traitement endoscopique combiné à un traitement mini-invasif ; en cas de lésions cancéreuses, et si elles sont détectées à un stade tardif, il est possible de procéder à une résection chirurgicale.
3. l'hépatite B chronique : en Chine, 10 % des personnes sont porteuses du virus de l'hépatite B et 80 % des cancers du foie sont dus à l'hépatite B chronique. Le carcinome hépatocellulaire est étroitement lié à l'hépatite B chronique. L'hépatite, la cirrhose et le carcinome hépatocellulaire sont connus sous le nom de trilogie hépatique. Les patients atteints d'hépatite B chronique doivent régulièrement contrôler leur fonction hépatique et la quantification de l'ADN du virus de l'hépatite B, et prendre des médicaments antiviraux par voie orale pour ramener leurs titres viraux à la normale. Pour les personnes présentant des antécédents et un âge à haut risque d'hépatite B chronique, un dépistage régulier du cancer du foie à un stade précoce équivaut à l'achat d'une police d'assurance-accident, avec un contrôle tous les six mois.AFP+foie, vésicule biliaire, rateB超qui permet de détecter au moins 80 % des cancers du foie dans un rayon de 2-125px.
4. l'ectasie épithéliale de la colonne cervicale : également connue sous le nom d'érosion cervicale dans le passé. L'ectasie de l'épithélium cylindrique du col de l'utérus est causée par les rapports sexuels, l'avortement, l'accouchement, les infections, les opérations chirurgicales, etc., ce qui entraîne une hyperplasie de l'épithélium cylindrique du col de l'utérus qui recouvre le traumatisme à la place de l'épithélium pavimenteux, qui est l'une des caractéristiques locales de la cervicite chronique, et peut induire un cancer du col de l'utérus. En outre, l'apparition du cancer du col de l'utérus est liée à l'infection par le virus du papillome humain (VPH). Certaines patientes infectées par un VPH à haut risque sont sujettes à des lésions précancéreuses et au cancer du col de l'utérus lorsqu'elles sont infectées de manière persistante dans la zone de jonction pavimento-cylindrique du col de l'utérus.
5) Polypes intestinaux : la polypose intestinale multiple familiale est une maladie chromosomique dominante, qui est une manifestation multiforme d'un seul gène, et les polypes du côlon sont des polypes adénomateux, avec un taux de cancer de 50 %, et avec la prolongation de l'évolution de la maladie, le vieillissement et le déclin de l'immunité, le taux de cancer est encore plus élevé, et les hommes comme les femmes peuvent souffrir de la maladie, avec des antécédents familiaux. Des antécédents familiaux de polypes adénomateux peuvent apparaître chez les hommes comme chez les femmes, et l'âge de la génération suivante sera avancé. Le cancer du côlon dû à des polypes adénomateux peut même survenir avant l'âge de 20 ans. Plus le polype est gros, plus le taux de cancer est élevé ; plus le nombre de polypes est élevé, plus le taux de cancer est élevé ; plus la composante villositaire adénomateuse du type pathologique de polype est élevée, plus le taux de cancer est élevé ; les polypes adénomateux avec une pointe ont un taux de cancer plus faible, tandis que les polypes adénomateux avec une base large ont un taux de cancer plus élevé ; les polypes rectaux ont un taux de cancer plus élevé.
6) Tuberculose et silicose : l'infection tuberculeuse peut facilement provoquer une nécrose caséeuse dans les poumons, et comme il y a nécrose, des cicatrices seront laissées après la guérison, et sur la base d'une récurrence répétée de la tuberculose, entraînant une prolifération constante des cicatrices, il est possible que des changements malins se produisent et conduisent au cancer du poumon, appelé cancer de la cicatrice. La fonction pulmonaire des patients atteints de silicose étant altérée, il est facile de combiner infection et tuberculose, et la stimulation chronique des nodules de silicose peut également induire un cancer du poumon, et il a été prouvé en Chine que les patients atteints de silicose-amiante souffraient particulièrement de cancer du poumon.
Les maladies qui se transforment facilement en cancer sont appelées lésions précancéreuses. Tout d'abord, il faut comprendre le principe selon lequel toutes les cellules cancéreuses se transforment à partir de cellules normales sous l'action de divers facteurs cancérigènes. Il s'agit d'un processus chronique qui ne peut être achevé du jour au lendemain et dont les lésions précancéreuses constituent l'une des étapes. Les lésions précancéreuses en sont l'une des étapes.
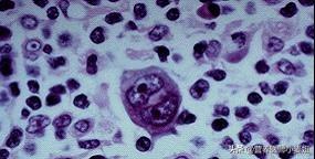
1) Les cellules cancéreuses sont des bandits qui s'évadent de prison.
Les cellules cancéreuses humaines sont à l'origine des cellules normales, des "bonnes personnes" respectueuses des lois, mais sous l'action de divers facteurs cancérigènes, elles ont été aliénées et sont devenues des "mauvaises personnes". À l'origine, le système immunitaire de notre corps joue un rôle important de surveillance immunitaire, tout comme l'organe de contrôle de la société humaine, qui peut éliminer avec précision ces "mauvaises personnes", mais certaines cellules cancéreuses sont très rusées et, grâce à divers mécanismes, elles ont réussi à échapper à la surveillance et à l'élimination du système immunitaire. Cependant, certaines cellules cancéreuses sont très rusées et ont réussi à échapper à la surveillance et à l'extermination du système immunitaire par le biais de divers mécanismes, ce que l'on appelle l'évasion immunitaire, et ont réussi à s'échapper de la prison, entraînant la perte de régulation de l'organisme au niveau génétique, ce qui conduit à une croissance et à une reproduction désordonnées, et induit le développement du cancer. La maladie s'est développée et reproduite de manière désordonnée, induisant l'angiogenèse, la prolifération anormale clonale, le pillage de la nutrition cellulaire normale, la destruction des tissus normaux et la métamorphose en "meurtrier et pyromane", ce qui a finalement mis en danger la vie du patient.Le stade intermédiaire entre les "bonnes gens" et les "gangsters" est précancéreux. L'image ci-dessous montre une cellule cancéreuse.

2. les lésions précancéreuses sont susceptibles d'évoluer vers un cancer.
Les lésions précancéreuses sont, comme leur nom l'indique, le stade avant qu'elles ne deviennent cancéreuses, c'est-à-dire que les cellules ne sont plus les mêmes que les cellules du tissu d'origine et ont tendance à se développer dans le sens des cellules cancéreuses, mais n'ont pas encore évolué vers le stade précurseur du cancer.
Les lésions précancéreuses n'ont pas encore évolué en cancer, bien que les cellules en prolifération aient tendance à se transformer en cellules cancéreuses. La plupart des lésions précancéreuses "s'arrêtent au bord du précipice" et restent inchangées pendant une longue période ; certaines lésions précancéreuses "reviennent à la normale" après un traitement ou une régression naturelle ; et une petite partie des lésions précancéreuses, quelle que soit la situation, plongent tête baissée dans la voie du non-retour vers le cancer. Après tout, le nombre de lésions précancéreuses qui se transforment en cancer est minoritaire, mais il ne faut pas le négliger, et il convient de les traiter et de les faire examiner régulièrement.

3) Parmi les lésions précancéreuses les plus courantes, on peut citer les maladies suivantes.
Parmi les nombreux cancers, ceux du foie, de l'estomac et du col de l'utérus sont étroitement liés aux infections, avec une corrélation de 90 %, respectivement.Virus de l'hépatite B et C, Helicobacter pylori, virus du papillome humain.Ces quatre agents pathogènes peuvent provoquer des lésions précancéreuses correspondantes.
- Hépatite chronique B et C. La cirrhose est une lésion précancéreuse du cancer du foie.Le fait que nous soyons le premier pays au monde pour le cancer du foie s'explique par le fait que nous sommes un pays où l'hépatite B est présente. L'hépatite B chronique est le facteur le plus dangereux. Il y a environ 600 000 nouveaux cas de cancer du foie dans le monde chaque année, dont 80 % en Chine. L'infection par le virus de l'hépatite B entraîne une hépatite chronique qui évolue vers une cirrhose puis un cancer du foie.L'hépatite B conduit au cancer du foie "en trois étapes" : hépatite → cirrhose → cancer du foie.

L'hépatite C suit le même chemin pour se transformer en cancer du foie.
Il est difficile de faire la distinction entre les symptômes précoces du cancer du foie et l'hépatite chronique, et la prévention de l'évolution de l'hépatite chronique vers le cancer du foie implique, outre le traitement actif de l'hépatite chronique, les mesures suivantesLa détection précoce du cancer du foie peut être réalisée par des analyses sanguines régulières de l'alpha-fœtoprotéine et par une échographie.
- La gastrite atrophique chronique et l'ulcère gastrique sont des lésions précancéreuses du cancer gastrique.Ces deux maladies ont une cause commune, une toute petite bactérie du nom d'Helicobacter pylori.

La méthode de diagnostic la plus courante pour H. pylori est le test de "soufflage de bulles", c'est-à-dire le test respiratoire C13 et C14, qui est simple, pratique, indolore et très précis. La méthode de diagnostic la plus courante consiste à "faire des bulles", c'est-à-dire à effectuer un test respiratoire C13 et C14, qui est simple, pratique, indolore et précis. La quadruple thérapie consiste en 1 type de médicaments inhibiteurs d'acide + 2 types d'antibiotiques + 1 type de bismuth.Une gastroscopie régulière est essentielle pour la détection précoce du cancer de l'estomac。
- La néoplasie cervicale intra-cervicale (CIN) est une lésion précancéreuse du cancer du col de l'utérus et est associée à l'infection par le papillomavirus humain.Le papillomavirus humain, également connu sous le nom de HPV, compte plus de 120 types au total, dont plus de 10 sont étroitement associés au développement du cancer du col de l'utérus. L'infection par le VPH est présente dans 99 % des cancers du col de l'utérus, dont environ 70 % sont associés au VPH de type 16 et au VPH de type 18. La néoplasie endocervicale a la même pathogénie que le cancer du col de l'utérus et constitue une lésion précancéreuse certaine du cancer du col de l'utérus. L'endomatose cervicale (CIN) est classée en grades I, II et III et, au grade III, elle est déjà équivalente au carcinome cervical in situ. il n'existe pas de médicament spécifique contre l'infection par le HPV.Une cytologie HPV+ régulière peut permettre une détection précoce du cancer du col de l'utérus. L'infection par le HPV peut être évitée par la vaccination.La clinique propose des produits nationaux et importés qui peuvent prévenir plus de 80 % des cancers du col de l'utérus.

- Polypes adénomateux multiples colorectaux en tant que lésions précancéreuses du cancer de l'intestin. Elle n'est pas facile à détecter car elle se développe dans le gros intestin et peut se manifester par du sang dans les selles, des selles glaireuses et des lourdeurs intestinales. Elle est principalement détectée par coloscopie.Prévenir l'évolution vers un cancer de l'intestin grâce à des coloscopies de suivi régulières.

- leucoplasie des muqueuses comme lésion précancéreuse d'un cancer épithélial.Elle concerne à la fois la cavité buccale et la vulve féminine. Il s'agit de taches blanches à la surface des muqueuses, et l'hyperkératose de la couche superficielle de l'épithélium des muqueuses est l'une des caractéristiques de la leucoplasie. Les dermatopathologistes avaient l'habitude de penser que 20 à 30 % des leucoplasies finiraient par devenir cancéreuses, mais ces dernières années, des études ont montré que le taux de cancer ne dépassait pas 4 %. Au cours de ma carrière, j'ai vu un seul cas de leucoplasie se transformant en cancer de la vulve.Il n'existe pas de médicament spécifique pour la leucoplasie des muqueuses, une attention quotidienne pour maintenir la propreté et l'hygiène, un examen régulier.
- Les naevus jonctionnels sont des lésions précancéreuses du mélanome malin.Il se présente sous la forme d'une éruption cutanée brune ou noire avec des bords clairs et une surface lisse. Le nævus jonctionnel se caractérise par l'activité des cellules du nævus à la jonction de l'épiderme et du derme. Le risque de cancer est plus élevé lorsqu'il se développe sur la paume des mains, la plante des pieds et d'autres parties du corps souvent soumises à des frottements et à des irritations. Si vous constatez qu'un naevus augmente soudainement de taille, devient plus foncé, se décompose en surface ou perd ses poils d'origine, vous devez être vigilant quant aux changements cancéreux. Actuellement, on estime que le risque deLes frottements répétés, la piqûre d'aiguille, l'électrocautère, l'exposition à la lumière et l'érosion médicamenteuse d'un grain de beauté peuvent être à l'origine d'un cancer.

Parmi les lésions précancéreuses courantes, le virus de l'hépatite B, le virus de l'hépatite C, Helicobacter pylori et le papillomavirus humain, qui sont quatre agents pathogènes susceptibles de provoquer les lésions précancéreuses correspondantes, peuvent être prévenus ou traités, et doivent être activement pris en charge.
Il n'y a pas lieu de s'inquiéter des lésions précancéreuses, car seule une faible proportion d'entre elles se transforme en cancer. En traitant activement celles qui en ont besoin, en n'hésitant pas à pratiquer une résection chirurgicale et en n'hésitant pas à procéder à des examens réguliers, il est possible de détecter, de diagnostiquer et de traiter le cancer à un stade précoce et d'éviter qu'il ne se déclare.
L'incidence du cancer est de plus en plus élevée dans le monde, et tend à être de plus en plus jeune, et même certaines personnes parlent de "cancer", et beaucoup de gens ont peur d'être liés au cancer une fois qu'ils souffrent d'une certaine maladie. Alors tout d'abord, qu'est-ce que le cancer, nous avons l'habitude de dire que la définition médicale du cancer est quoi, quelles sont les causes, comment évoluer, quelles sont les maladies qui se transforment facilement en cancer, comment prévenir, aujourd'hui je vais vous parler des questions ci-dessus.

Qu'est-ce que le cancer ?
- En pathologie médicale, le cancer est une tumeur maligne formée par des cellules épithéliales. Le cancer populaire dans la foule, et la pathologie du cancer est différente, basée sur des sources différentes, appelée différente, ici nous ne distinguons pas trop, nous savons que le cancer coutumier dans notre bouche est synonyme de tumeurs malignes, puisqu'il s'agit d'une tumeur maligne, par rapport à vous devez comprendre que ce type de tumeur degré de malignité du taux élevé de métastases, taux de récurrence élevé, taux de mortalité élevé.

- scientifique médicalCauses du cancerLe cancer est le résultat de l'action des cellules normales de l'organisme sur la pollution environnementale, la pollution chimique (toxines chimiques), les radiations ionisantes, les toxines des radicaux libres, les micro-organismes (bactéries, champignons, virus, etc.) et leurs toxines métaboliques, les caractéristiques génétiques, le déséquilibre endocrinien, le dysfonctionnement immunitaire, etc., entraînant l'apparition d'anomalies de différenciation et de prolifération cellulaires dans les cellules normales de l'organisme, la perte de contrôle de leur croissance, l'infiltration et la formation de métastases. Le cancer est un vaste groupe de maladies causées par de multiples causes, stades et mutations des cellules normales de l'organisme.

- Au cours du processus de développement individuel, la plupart des cellules sont capables d'achever normalement leur différenciation cellulaire. Cependant, sous l'action de facteurs cancérigènes, certaines cellules ne peuvent pas achever normalement leur différenciation cellulaire et deviennent des cellules prolifératives malignes qui ne sont pas contrôlées par l'organisme et se divisent continuellement ; ces cellules sont des cellules cancéreuses. Si certaines lésions bénignes ne sont pas traitées activement, les lésions précancéreuses se transformeront en carcinome in situ, puis, sous l'action de facteurs cancérigènes, elles s'infiltreront et formeront des métastases dans les tissus et organes environnants, avant de devenir un cancer invasif, qui finira par former des métastases dans tout l'organisme et mettra même la vie du patient en danger.

Quelles sont les maladies susceptibles de se transformer en cancer ?
De nombreuses maladies peuvent se transformer en cancer, telles que les maladies respiratoires, les maladies digestives, le système génito-urinaire, le sang, le système endocrinien, etc. Je présenterai ensuite certaines maladies courantes qui se transforment en cancer, et j'espère que les lecteurs pourront y prêter attention et les prévenir à temps.
Tout d'abord, la Chine est un pays où sévit l'hépatite, les rumeurs de la communauté médicale selon lesquelles la trilogie hépatite, cirrhose, cancer du foie n'est pas alarmiste, l'expérience clinique de l'hépatite s'est transformée en une minorité de patients atteints d'un cancer du foie, bien que "les patients atteints d'hépatite virale, s'ils vivent assez longtemps, finiront par souffrir d'un cancer du foie" semble un peu absolu, mais il s'agit bien de l'un des principaux facteurs de causalité du cancer du foie. Il est donc important que les groupes à haut risque se soumettent à des examens réguliers pour un diagnostic et un traitement précoces.

De nombreuses personnes ne prennent pas au sérieux ces "maladies mineures", telles que le reflux acide, les douleurs d'estomac, etc. La gastrite atrophique chronique peut devenir cancéreuse à long terme. En cas d'épisodes répétés, la muqueuse gastrique est brisée et irritée de manière répétée, elle peut devenir maligne et le cancer gastrique apparaît. Il existe également de mauvaises habitudes alimentaires qui rendent la muqueuse œsophagienne beaucoup plus susceptible de devenir cancéreuse. Polypes gastro-intestinaux De nombreux cancers gastro-intestinaux évoluent à partir de polypes, en particulier les polypes adénomateux du côlon, qui ont un taux plus élevé de transformation cancéreuse. Je rappelle ici aux lecteurs de prendre de bonnes habitudes, si reflux acide, maladie gastrique récidive à long terme de la meilleure ligne gastroscopie, détection précoce et traitement précoce.

Il y a quelques années, les gens ne faisaient pas attention à leur hygiène personnelle et pour d'autres raisons, les hommes ne se baignaient pas souvent, ce qui entraînait une sécrétion prolongée de la muqueuse de la tête de cannelle, une stimulation de l'inflammation, une hyperplasie atypique de la muqueuse et finalement un cancer. Aujourd'hui, cette situation est rare, mais en raison de la vie chaotique des hommes et des femmes, la maladie cœliaque utérine de la femme est plus fréquente, les symptômes du cancer du col de l'utérus et les performances de la maladie cœliaque utérine sont très similaires, il est donc très facile de passer à côté et il faut être très vigilant.
Certains chercheurs soulignent que la prévalence du cancer chez les patients diabétiques est plus élevée que chez les patients non diabétiques, et les cancers les plus évidents sont le cancer de l'endomètre, le cancer du sein, le cancer de la prostate, le cancer du côlon, le cancer du pancréas, etc. L'évolution des cellules cancéreuses est multi-causale et peut se produire dans différents systèmes du corps humain, j'en ai listé quelques unes, j'espère vous aider dans votre vie quotidienne.
En raison des caractéristiques physiologiques du cancer et du développement des technologies modernes de traitement médical, de nombreux patients cancéreux peuvent survivre longtemps à leur maladie, et de nombreux experts, universitaires et cliniciens s'accordent à considérer le cancer comme une maladie chronique. On dit donc que l'apparition et le développement du cancer est un processus chronique et à long terme, ce qui signifie que le cancer n'apparaît pas du jour au lendemain, mais qu'il est lentement développé et modifié par d'autres maladies, et on dit qu'il existe des lésions précancéreuses dans la terminologie de la science médicale. De nombreuses lésions cancéreuses n'ont pas encore de facteurs précis de survenue, mais la médecine moderne fondée sur des preuves a montré que la survenue d'un cancer peut être directement ou indirectement liée à certains facteurs de risque connus. Par exemple, l'apparition d'un cancer primitif du foie est étroitement liée à l'hépatite B et C et à la cirrhose, de sorte que la prévention de l'infection virale de l'hépatite B et C et le traitement raisonnable et régulier de la cirrhose peuvent largement prévenir l'apparition d'un cancer primitif du foie, et l'aflatoxine est également un facteur de risque pour le cancer primitif du foie. Il a également été prouvé que l'apparition du cancer de l'estomac est directement liée à Helicobacter pylori et aux gastrites et ulcères gastriques qui lui sont associés. L'apparition de la leucémie peut être directement liée à l'infection par certains virus, à l'exposition à long terme à des substances radioactives, à certaines substances organiques, telles que la décoration non scientifique et déraisonnable de la maison, l'utilisation d'un trop grand nombre de peintures et de marbres de qualité inférieure, etc. L'apparition du cancer du poumon est liée au tabagisme, à certaines maladies pulmonaires chroniques et à des facteurs professionnels, tels que la silicose et la pneumoconiose. Parmi les autres lésions précancéreuses, citons la maladie cœliaque, la métaplasie des cellules squameuses, la leucoplasie des muqueuses, le nævus pigmenté, le nævus, etc. Je n'en dirai pas plus aujourd'hui, mais j'en parlerai plus en détail dans d'autres articles ultérieurement. Je vous remercie tous.
Ces questions et réponses proviennent des utilisateurs du site, elles ne représentent pas la position du site, s'il y a une infraction, veuillez contacter l'administrateur pour la supprimer.