Quels sont les symptômes d'une irrigation sanguine insuffisante du cerveau ?
Quels sont les symptômes d'une irrigation sanguine insuffisante du cerveau ? 
Si vous restez longtemps accroupi et que vous vous relevez brusquement, vos yeux deviennent soudain noirs et votre cerveau est pris de vertiges pendant quelques secondes. C'est le signe d'une irrigation sanguine insuffisante du cerveau. Cela est dû au fait que le sang ne peut pas être pompé dans le cerveau pendant un certain temps lorsque vous vous levez soudainement après être resté accroupi pendant une longue période. La situation décrite ci-dessus peut arriver à toute personne normale et il n'y a pas lieu de s'inquiéter.
Aujourd'hui, je vais me concentrer sur les symptômes d'une irrigation sanguine insuffisante du cerveau qu'il faut connaître (suggérant qu'il y a une maladie ou qu'une maladie est sur le point de se déclarer).
Nos cellules cérébrales sont très délicates, elles n'emmagasinent pas d'énergie et vivent de l'oxygène et du glucose du sang frais. Dès que l'irrigation sanguine du cerveau est bloquée, les symptômes apparaissent immédiatement et, en quelques minutes, les cellules cérébrales commencent à mourir, causant des dommages irréversibles.
L'irrigation sanguine du cerveau provient principalement de deux vaisseaux sanguins, l'artère carotide interne située à l'avant du cou et l'artère vertébrale située à l'arrière du cou. Ce sont les deux principales artères vitales qui assurent le bon fonctionnement du cerveau.
L'artère carotide interne alimente principalement les deux premiers tiers du cerveau.
Les artères vertébrales alimentent principalement le tiers postérieur du cerveau et le cervelet.
Les parties du cerveau étant divisées en plusieurs parties, les symptômes causés par deux lésions vasculaires sont différents.
Les symptômes observés chez les patients dont l'artère carotide interne n'est pas suffisamment irriguée sont les suivantsMaux de tête, vertiges (toute la personne se sent groggy et manque d'inspiration), mauvaise mémoire, mauvais sommeil, picotements du visage, engourdissement du corps, faiblesse des membres, yeux qui s'éteignent, évanouissement.
insuffisance de l'apport sanguin de l'artère vertébraleLes symptômes comprennent des acouphènes, une perte d'audition, des vertiges (qui diffèrent des étourdissements en ce sens qu'ils donnent la sensation que les choses tournent autour de soi), des vomissements, une instabilité, une marche instable, un manque de stabilité et une titubation.
Une insuffisance légère de l'apport sanguin provoque souvent des symptômes bénins ou dure peu de temps, quelques minutes ou quelques heures, généralement pas plus de 24 heures. On parle alors d'accident ischémique transitoire (AIT).
Un grave manque d'apport sanguin, tel qu'un infarctus cérébral, est une obstruction complète de l'une des branches alimentant le cerveau, entraînant la mort des cellules cérébrales dans la zone alimentée par ce vaisseau sanguin et une perte totale de fonction. Un infarctus cérébral peut entraîner des symptômes graves tels que l'hémiplégie, la cécité d'un œil et l'absence totale de sensation d'un côté du corps.
Il existe de nombreuses causes d'insuffisance d'apport sanguin, telles que l'hypotension artérielle, la plaque carotidienne, diverses maladies cardiaques, l'anémie, l'hypertension, le diabète sucré, l'hyperlipidémie, la spondylose cervicale, etc.
Ce problème ne doit pas être ignoré, si les symptômes ci-dessus se produisent fréquemment, vous devez vous rendre à l'hôpital à temps pour éviter le développement éventuel d'un infarctus cérébral. La situation sera pire si vous êtes paralysé à ce moment-là.
L'insuffisance de l'apport sanguin cérébral est trop fréquente chez les personnes âgées, mais de nos jours, elle n'est pas rare chez les jeunes de moins de 30 ans. Un examen de la littérature montre que l'hypoperfusion chronique se produit chez deux tiers des personnes de plus de 60 ans et chez 80 % des personnes de plus de 80 ans. Cependant, ces dernières années, le nombre de jeunes souffrant d'insuffisance cérébrale due à la spondylose cervicale est en augmentation. Une insuffisance cérébrale sévère de l'apport sanguin peut conduire à des maladies graves telles que l'infarctus cérébral et la démence, et nous devons y prêter attention.
1) Qu'entend-on par insuffisance de l'apport sanguin au cerveau ?
Il s'agit simplement d'un manque d'apport sanguin au cerveau dû à une altération de la circulation dans les artères cérébrales et c'est un terme courant pour désigner l'ischémie cérébrale.
Le cerveau est le centre de notre vie, la commande du corps humain, le siège le plus important des fonctions vitales. Son fonctionnement normal nécessite un apport constant d'oxygène, de glucose, etc. pour nourrir les cellules cérébrales. Et tous les nutriments dépendent entièrement de l'apport sanguin. Chaque 100 grammes de tissu cérébral nécessite 40 à 60 ml de sang artériel par minute, lorsque l'apport de sang artériel au cerveau est inférieur au besoin normal, les symptômes d'un apport sanguin insuffisant apparaissent.

2) Quels sont les signes d'une irrigation sanguine insuffisante du cerveau ?
Après un apport sanguin insuffisant au cerveau, celui-ci est enclin à manquer d'oxygène et d'énergie, les cellules cérébrales manquant d'énergie pour apparaître une série de symptômes, dont les plus courants sont les suivants.
- Vertiges et maux de tête : somnolence tout au long de la journée, gonflement et douleur sourde dans la tête, en particulier au niveau du front et de l'arrière de la tête.
- Fatigue, léthargie : dépression mentale, fatigue facile, manque de concentration, perte de mémoire.
- Changements d'humeur : irritabilité, humeur anxieuse ou dépressive.
- Troubles du sommeil : somnolence diurne, manque de sommeil, mais pas assez de sommeil la nuit.
- Faiblesse ou raideur des membres et instabilité de la marche ;
- Cécité soudaine et brève, perte d'audition, acouphènes ;
- Maligne, vomissements ;
- Spasmes incontrôlables d'un seul membre ou d'une zone ;
- Engourdissement unilatéral du visage, des mains et des pieds ;
- Évanouissement.

3) Quelles sont les complications d'une irrigation sanguine insuffisante du cerveau ?
- dépression clinique
- névrose
- infarctus cérébral
- démence vasculaire
- La maladie d'Alzheimer (c'est-à-dire la démence)
4) Quelle est la cause de l'insuffisance de l'apport sanguin au cerveau ?
Notre cerveau se trouve au point le plus élevé du corps, l'apport sanguin au cerveau est comme l'apport d'eau au sommet d'un grand bâtiment, les vaisseaux sanguins sont comme les tuyaux d'eau et le cœur est comme la pompe à eau. Les vaisseaux sanguins sont comme les conduites d'eau et le cœur est comme la pompe à eau. Il y a deux clés pour un apport sanguin normal au cerveau ;Les vaisseaux sanguins doivent être ouverts et le cœur doit fonctionner correctement.. Il existe ensuite deux causes cliniques principales à l'insuffisance de l'apport sanguin au cerveau : un problème vasculaire et un problème cardiaque.
① Facteurs vasculaires (les plus fréquents) : y compris les vaisseaux sanguins menant au cerveau et les vaisseaux sanguins dans le cerveau qui ne circulent pas bien. Il y a deux causes principales : l'athérosclérose et la spondylose cervicale.
- a. L'athérosclérose :C'est la cause la plus fréquente. Elle affecte à la fois la perméabilité des artères menant au cerveau et la perméabilité des artères à l'intérieur du cerveau.L'artère carotide est l'une des artères les plus importantes pour l'irrigation du cerveau.L'athérosclérose entraîne la formation de plaques dans les artères carotides. L'athérosclérose entraîne la formation de plaques dans les artères carotides, la formation de plaques entraîne un rétrécissement de la lumière du vaisseau, et le rétrécissement de la lumière entraîne un flux sanguin insuffisant vers le cerveau.

L'athérosclérose touche les artères de tout le corps, et les artères du cerveau ne sont pas épargnées, ce qui entraîne une mauvaise circulation sanguine vers et dans le cerveau, et le double effet affecte l'apport sanguin au cerveau, entraînant une insuffisance de l'apport sanguin au cerveau.L'athérosclérose est la principale cause de l'insuffisance de l'apport sanguin chez les personnes âgées.
- b. Spondylose cervicale :Le type de coup de fouet le plus courant est le coup de fouet carotidien.La popularité des appareils électroniques tels que les téléphones portables et les ordinateurs, ainsi que la nécessité de travailler, suivie d'un manque d'exercice, ont conduit à une augmentation de la maladie de la nuque chez les jeunes. Les autres vaisseaux sanguins importants pour l'irrigation sanguine du cerveau sont les suivantsartère vertébraleLa spondylose carotidienne entraîne un désalignement des articulations cervicales et un prolapsus des disques cervicaux qui compriment les artères vertébrales, provoquant un rétrécissement et un spasme de la lumière artérielle, ce qui entraîne une réduction du flux sanguin dans les artères et déclenche un manque d'apport sanguin au cerveau.
② Facteurs cardiaques (rares) : diminution de la fonction de pompage.
Le sang artériel de tout organe de notre corps est pompé par le cœur, et le cerveau est situé au sommet du corps humain. Une fonction de pompage insuffisante du cœur affectera évidemment l'approvisionnement en sang du cerveau. Les maladies cardiaques courantes qui affectent le pompage du sang sont l'insuffisance cardiaque chronique, l'arythmie, l'infarctus du myocarde, etc., entraînant une diminution du volume d'éjection du cœur, ce qui provoque une ischémie cérébrale.
4) Quels sont les facteurs prédisposant à l'hypoperfusion cérébrale ?
Facteurs qui induisent et aggravent le degré d'athérosclérose :
- Augmentation de l'âge.
- Obésité ou surpoids.
- Fumer.
- Une vie irrégulière.
Les facteurs qui causent ou aggravent la spondylose cervicale :
- Position assise indésirable
- mode de vie sédentaire
- la foule des "têtes basses
- l'inactivité physique

5) Que peut-on faire pour améliorer l'irrigation sanguine du cerveau ?
hypoperfusion cérébraleL'essentiel est de rechercher la cause, que l'insuffisance de l'apport sanguin cérébral soit d'origine vasculaire ou cardiaque, et de cibler l'intervention en conséquence.La circulation cérébrovasculaire peut être améliorée par des médicaments ou une intervention chirurgicale, et une attention quotidienne est portée au maintien d'un mode de vie sain.
- Médicaments : utilisation de médicaments anticoagulants tels queAspirine, clopidogreletc., qui prévient la thrombose et ouvre les vaisseaux sanguins ; l'utilisation de médicaments vasodilatateurs tels que lenimodipine (mot d'emprunt)etc., peuvent dilater les vaisseaux sanguins du cerveau et améliorer l'apport sanguin cérébral ; l'utilisation destatine (mot d'emprunt)Médicaments qui stabilisent la plaque artérielle, empêchent la formation de nouvelles plaques et améliorent l'athérosclérose.
- Traitement chirurgical. Si la plaque carotidienne entraîne un rétrécissement de >70 % de la lumière artérielle, il convient d'envisagerendartériectomie carotidienne ou pose de stent.L'objectif de l'opération est d'ouvrir les vaisseaux sanguins et de rétablir l'irrigation sanguine du cerveau.
- Veillez à maintenir un mode de vie sain. Arrêtez de fumer et limitez votre consommation d'alcool ; évitez les activités sédentaires et faites de l'exercice de manière appropriée ; adoptez un régime alimentaire équilibré, en privilégiant les régimes pauvres en graisses, en sucres et en sel, en réduisant la consommation de sucres raffinés, en augmentant la consommation de fibres alimentaires telles que les légumes et les fruits frais, et en maintenant un apport équilibré en nutriments.
- Contrôle des facteurs de risque associés : traitement actif des maladies primaires telles que le diabète, l'hypertension et l'hyperlipidémie.
- Traitement par la médecine traditionnelle chinoise (MTC). Le traitement consiste à tonifier les reins, à calmer le foie, à activer la circulation sanguine et à éliminer la stase sanguine. De plus, l'acupuncture, les massages et d'autres techniques de médecine chinoise ont un certain effet sur les symptômes de l'insuffisance de l'irrigation sanguine du cerveau.
Résumé : L'insuffisance d'apport sanguin cérébral est due à des troubles de la circulation artérielle cérébrale, la cause commune étant la spondylose cervicale, l'athérosclérose, un petit nombre d'insuffisances de pompage cardiaque causant des vertiges, des maux de tête, de la fatigue, des pertes de mémoire et d'autres symptômes, les mesures d'amélioration sont principalement les médicaments, la chirurgie, etc. et le traitement est basé sur le traitement de la maladie primaire, le contrôle des facteurs de risque et l'amélioration du mode de vie.
L'insuffisance chronique de l'apport sanguin au cerveau, communément appelée ischémie cérébrale chronique, est une maladie clinique dans laquelle l'apport sanguin au cerveau est chroniquement et largement insuffisant pour diverses raisons, ce qui entraîne une ischémie et une hypoxie du cerveau ainsi qu'une série de dysfonctionnements cérébraux. L'ischémie cérébrale chronique était à l'origine une maladie courante chez les personnes d'âge moyen et les personnes âgées. Selon les statistiques, 2/3 des personnes d'âge moyen et des personnes âgées souffrent d'ischémie cérébrale chronique, qui est une maladie courante chez les personnes d'âge moyen et les personnes âgées. Toutefois, ces dernières années, cette maladie a tendance à devenir de plus en plus jeune, ce qui est étroitement lié au mode de vie malsain des jeunes.

L'insuffisance cérébrale chronique présente de nombreuses manifestations cliniques, le plus souvent insidieuses et progressives.
Les symptômes cliniques les plus courants et les plus faciles à ignorer sont les suivants :
① Vertiges et maux de tête.Comme les vertiges et l'obscurité de la tête, l'obscurité de l'esprit, le gonflement et la douleur de la tête, l'obscurité et la douleur de la tête, les vertiges et les étourdissements, les vertiges et la surdité.
② Insomnie ou somnolence.Insomnie et somnolence, sommeil superficiel et réveil facile, somnolence tout au long de la journée, somnolence après les repas.
③ Perte de mémoire.Par exemple, ils ne se souviennent pas de choses qui se sont produites récemment, ni de numéros de téléphone utilisés couramment ou de noms familiers. ④ Symptômes oculaires. Gonflement et douleur des yeux, paresse à ouvrir les yeux, vision brumeuse, etc.
(v) Symptômes auriculaires.Acouphènes, fermeture de l'oreille et perte d'audition.
(vi) Troubles de l'équilibre.Elle se manifeste par une démarche instable, une marche lente et une attitude faible.
(vii) Changement de caractère.Par exemple, ils se replient sur eux-mêmes, sont réticents ou ont une expression indifférente, ou encore sont bavards, irritables, têtus et égoïstes. Certaines personnes peuvent souffrir d'une perte de conscience passagère ou d'une détérioration mentale, voire d'une perte de jugement normale, toutes ces manifestations étant liées à une irrigation sanguine insuffisante du cerveau.
Les personnes d'âge moyen et les personnes âgées doivent être alertées si les symptômes énumérés ci-dessus se manifestent de manière fluctuante ou progressive.

L'insuffisance chronique de l'apport sanguin au niveau cérébral peut être due à diverses raisons, qui peuvent être résumées sous les quatre aspects suivants :
① Causes vasculaires.L'artériosclérose cérébrale, c'est-à-dire la formation de plaques durcies sur la paroi, le rétrécissement de la lumière, l'amincissement, l'augmentation de la résistance vasculaire entraînant une réduction du débit sanguin, surtout après des périodes prolongées de surmenage continu. L'artériosclérose cérébrale, la formation de plaques durcies sur la paroi, le rétrécissement de la lumière, l'amincissement, l'augmentation de la résistance vasculaire entraînant une réduction du flux sanguin, en particulier après des périodes prolongées de surutilisation continue du cerveau, se produit souvent par rapport à l'approvisionnement en sang cérébral.
② Causes hémodynamiques.Baisse de la tension artérielle et ralentissement de la circulation sanguine. Fréquent chez les personnes souffrant d'hypotension ou d'insuffisance cardiaque. Insuffisance de l'apport sanguin au cerveau en raison d'une diminution du débit cardiaque. Chez les personnes atteintes d'artériosclérose, la pression artérielle diminue pendant le sommeil nocturne par rapport à la journée, lorsque le flux sanguin est lent, et l'apport sanguin cérébral est insuffisant lorsqu'elles se réveillent au petit matin.
③ Causes liées au sang.Changements dans la chimie du sang, augmentation de la viscosité. Par exemple, l'érythrocytose, l'hyperlipidémie, la déshydratation et la réduction du volume sanguin, qui stagne le flux sanguin, prédisposent à un apport sanguin insuffisant au cerveau.
④ Spondylose cervicale.L'artère vertébrale est un vaisseau sanguin important qui alimente le cerveau. Elle traverse le foramen transversal de part et d'autre de la colonne vertébrale et remonte dans le crâne. Lorsque le patient présente une spondylose cervicale hyperplasique évidente avec sténose foraminale intervertébrale, en particulier lorsqu'il tourne violemment le cou, l'artère vertébrale peut être comprimée, ce qui entraîne une insuffisance temporaire de l'apport sanguin cérébral, suivie de vertiges.
En cas d'insuffisance chronique de l'apport sanguin cérébral, il convient de procéder à un diagnostic et à un traitement opportuns afin d'évaluer le degré d'ischémie cérébrale, de trouver les principales causes de la maladie et de mettre en œuvre un traitement ciblé. La pratique a prouvé que l'insuffisance de l'apport sanguin cérébral est réversible au stade précoce et qu'un traitement correct permet souvent d'obtenir de bons résultats. Certaines personnes pensent que ces symptômes sont un "phénomène normal" chez les personnes âgées et qu'il s'agit d'une "question triviale sans grande importance". Ce n'est pas le cas, et il sera trop tard pour regretter d'avoir manqué le meilleur moment pour le traitement à cause de ce "laisser-aller".
(Rédacteur en chef : Tomomi)
L'insuffisance sanguine cérébrale est relativement fréquente. Selon les statistiques, 80 % des personnes âgées de plus de 80 ans souffrent d'insuffisance sanguine cérébrale, et 70 % des personnes âgées de plus de 60 ans souffrent d'insuffisance cérébrale à des degrés divers. Dans le passé, cette maladie touchait principalement les personnes d'âge moyen et les personnes âgées, mais depuis quelques années, l'insuffisance de l'irrigation sanguine cérébrale touche également les jeunes.

Dans des circonstances normales, l'approvisionnement en sang du cerveau humain est très riche. Dans un état de calme, si le cœur bat 70 fois par minute, chaque fois que le cœur se contracte, environ 70 ml de sang passent du ventricule gauche à l'aorte, le ventricule gauche évacue 5 000 ml de sang par minute, ce qui permet d'approvisionner le cerveau en sang à raison de 800 à 1 200 ml, soit 20 % de l'approvisionnement en sang de l'ensemble du corps, mais le poids du cerveau n'est que de 1 300 à 1 500 grammes, ce qui représente seulement 2 % du poids du corps. Cependant, le poids du cerveau humain n'est que de 1300-1500 grammes, ce qui ne représente qu'environ 2 % du poids du corps, de sorte que l'approvisionnement en sang du cerveau humain est assez riche par rapport aux organes du corps humain.
Les symptômes d'une irrigation sanguine insuffisante du cerveau ne se manifestent pas exactement de la même manière en raison des différences individuelles, mais certains des symptômes les plus courants sont les suivants.
I. Manifestations courantes de l'hypoperfusion cérébrale.
1,Symptômes sensorielsLes symptômes les plus courants sont les maux de tête, les étourdissements et les vertiges ; certains patients sont sujets à la somnolence, à la fatigue, à un mauvais état mental, à une léthargie diurne, à des troubles du sommeil nocturne, à l'insomnie, à la rêverie et à la facilité de réveil, à l'irritabilité, parfois à l'inattention ; certains patients souffrent d'anxiété et de dépression, et d'autres présentent un engourdissement unilatéral de la face, des mains et des pieds. À long terme, une insuffisance cérébrale sévère peut entraîner des maux de tête récurrents et importants, des vertiges, des nausées et des vomissements, accompagnés d'une forte sensation de vertige.

2,Symptômes liés à la motricitéCes symptômes sont relativement rares par rapport aux symptômes sensoriels, qui peuvent se manifester par une faiblesse ou une raideur des membres, un spasme unilatéral incontrôlable d'une partie du membre et, chez certains patients, un accident ischémique transitoire, entraînant un dysfonctionnement des nerfs crâniens, tel qu'une aphasie soudaine, des troubles de l'élocution, une élocution défavorable, de la bave et une faiblesse d'un côté du membre, entraînant une marche instable et une facilité à tomber. Une insuffisance grave de l'apport sanguin cérébral peut entraîner une paralysie du nerf facial, qui se manifeste par un engourdissement autour des lèvres, une douleur, une sensation de picotement, voire une cécité noire transitoire accompagnée d'une anomalie sensorielle des membres, ou une cécité soudaine et transitoire.
3,symptôme concomitantLes troubles de la mémoire : perte de mémoire, diminution des aptitudes sociales et professionnelles, lenteur d'acquisition d'informations sur les choses nouvelles, difficultés de communication, etc.

Deuxièmement, pourquoi provoque-t-il une hypoperfusion cérébrale ?
Les quatre causes suivantes sont les plus courantes d'insuffisance d'apport sanguin au cerveau :
1,hypertenduEn général, les patients souffrant d'hypertension artérielle sont 4 à 8 fois plus susceptibles de souffrir d'un apport sanguin cérébral insuffisant et d'athérosclérose cérébrale que les personnes normales. L'hypertension artérielle est l'un des "coupables" de l'athérosclérose, et lorsque l'hypertension artérielle et l'hyperglycémie coexistent, le "pouvoir" est encore plus important !
2,excès de graisse dans le sangLe principal danger de l'hyperlipidémie, en particulier chez les patients présentant un taux élevé de LDL et de cholestérol, est qu'elle provoque l'athérosclérose et la formation de plaques sur les parois internes des vaisseaux sanguins, ce qui entraîne un rétrécissement des vaisseaux sanguins et, par conséquent, une irrigation sanguine insuffisante du cerveau.

3,le diabèteLe diabète sucré provoque des vaisseaux sanguins de petite taille et des lésions microvasculaires, qui sont également à l'origine de l'insuffisance de l'apport sanguin au cerveau. Le diabète sucré entraîne non seulement des troubles du métabolisme du glucose, mais aussi des troubles du métabolisme des lipides, qui se manifestent par une dyslipidémie, conduisant à l'athérosclérose, laquelle entraîne également un rétrécissement de la lumière des vaisseaux sanguins, une réduction de l'élasticité de la paroi et une diminution de la capacité d'approvisionnement en sang. Les patients diabétiques présentent souvent une hyperfonction plaquettaire et des anomalies de la coagulation, qui favorisent l'agrégation plaquettaire et la thrombose, aggravant encore l'athérosclérose.
4,fumer des cigarettesLe tabagisme endommage les cellules endothéliales des vaisseaux sanguins, ce qui, associé à d'autres facteurs de risque, facilite l'apparition de l'athérosclérose, d'une irrigation sanguine insuffisante et même d'un infarctus cérébral.
Les quatre causes susmentionnées jouent souvent un rôle l'une dans l'autre et s'influencent mutuellement, comme dans le cas des patients souffrant d'hypertension et de diabète, on peut dire qu'il y a une relation entre les deux, le combustible sur le feu, les lipides sanguins élevés peuvent faire augmenter la pression artérielle, accélérer le durcissement des vaisseaux sanguins, le résultat final étant le rétrécissement des vaisseaux sanguins cérébraux, ce qui entraîne une insuffisance de l'apport sanguin au cerveau.

Certaines des causes de l'insuffisance de l'apport sanguin au cerveau se situent au niveau du cœur, comme c'est souvent le cas chez les patients souffrant d'insuffisance cardiaque chronique, car la fonction de pompage du cœur est réduite, et le débit du cœur est réduit, ce qui entraîne un manque de sang dans le cerveau.
En outre, une vie irrégulière, en particulier maintenant que les personnes obèses sont en augmentation, l'obésité, le tabagisme, une vie irrégulière, etc. induiront ou aggraveront le degré d'athérosclérose. Chez les jeunes et les personnes d'âge moyen, l'incidence de l'insuffisance cérébrale de l'apport sanguin concerne principalement les travailleurs intellectuels, dont certains font des heures supplémentaires pendant de nombreuses années, le travail et la vie ne sont pas réguliers, ils sont trop fatigués, ce qui favorise le spasme des artères coronaires, induisant ainsi une insuffisance cérébrale de l'apport sanguin. En outre, un comportement sédentaire et une mauvaise position assise entraînent une spondylose cervicale, ce qui induit une irrigation sanguine insuffisante du cerveau.

De nos jours, les gens subissent généralement trop de pression, le rythme de vie est trop rapide, la pression du travail et de la vie a tendance à se concentrer ensemble, lorsque les gens sont nerveux, ils sécrètent une grande quantité d'adrénaline, ce qui entraîne une constriction des vaisseaux sanguins, une accélération du rythme cardiaque, une augmentation de la pression artérielle et une excitation du nerf sympathique, ce qui peut facilement provoquer une insuffisance de l'apport sanguin au niveau cérébral.
Troisièmement, comment prévenir l'hypoperfusion cérébrale.
L'insuffisance cérébrale d'apport sanguin n'est pas une maladie indépendante, elle survient à la suite d'autres maladies. Pour la prévenir, il faut donc traiter activement la maladie d'origine, améliorer activement le mode de vie, maintenir des horaires de travail et de repos réguliers, un régime alimentaire raisonnable et un bon état d'esprit, ce qui peut contribuer à prévenir l'évolution de la maladie.
1,Gestion de la vie quotidienne
Maintenez une routine saine : évitez les soirées tardives, reposez-vous et dormez bien, couchez-vous tôt et levez-vous tôt.

Changez vos mauvaises habitudes : arrêtez de fumer, arrêtez de boire, perdez du poids, etc. Fréquentez davantage de personnes, améliorez votre humeur et restez de bonne humeur, ce qui peut réduire l'insuffisance de l'apport sanguin au cerveau. S'accroupir et se relever brusquement, ou se lever brusquement pour changer de position, devrait être plus lent.
Maintenir une alimentation saine : manger plus de fibres alimentaires et de protéines de haute qualité comme le poisson et la viande, manger plus de légumes et de fruits frais, ne pas trop manger au dîner, et boire un petit verre d'eau chaude avant d'aller se coucher pour réduire la viscosité du sang.

Exercice physique actif : davantage d'exercices aérobiques : natation, marche, jogging, tai-chi, etc., en fonction de la force de chacun, et respect de l'exercice quotidien.
2,Soins quotidiens à domicile
Il faut veiller à ce que le patient ne tombe pas et ne se blesse pas. Les membres de la famille du patient doivent apprendre activement les symptômes de l'AVC aigu et le sens commun des premiers secours. Par exemple, pour les patients souffrant d'un AVC ischémique aigu, vous devez dégrafer le col du patient, maintenir ses voies respiratoires ouvertes et appeler le numéro d'urgence en temps utile.

En conclusion, l'insuffisance chronique de l'apport sanguin cérébral est très fréquente, connue comme le tueur invisible de la santé des personnes d'âge moyen et des personnes âgées, et nous ne devons donc pas la prendre au sérieux. À l'heure actuelle, il n'existe pas de compréhension claire de l'insuffisance d'irrigation sanguine cérébrale dans le domaine médical, ni de classification de cette maladie dans les normes internationales de diagnostic. Si l'on vous diagnostique cette maladie, vous ne devez pas être trop pressé, et il est essentiel de rechercher activement la cause première de la maladie, et vous devez faire attention à suivre les instructions du médecin sur l'utilisation des médicaments, et vous ne pouvez pas croire aux soi-disant "prescriptions biaisées" et "prescriptions secrètes" pour éviter d'être trompé et de retarder votre état de santé. Ne croyez pas aux soi-disant "prescriptions partielles", "recettes secrètes", afin de ne pas être trompé et de ne pas retarder la maladie.
Ce contenu est destiné à l'utilisation de connaissances médicales générales uniquement, et n'est pas destiné à être utilisé comme conseil pour des traitements spécifiques, veuillez donc suivre les instructions de votre médecin pour des décisions spécifiques.

Bonjour, je suis heureux de répondre à votre question. L'insuffisance d'irrigation sanguine cérébrale est surtout observée chez les personnes d'âge moyen et les personnes âgées, et les symptômes diffèrent d'une personne à l'autre, mais tous ne se soucient pas des types de symptômes suivants. Parce que l'insuffisance d'irrigation sanguine cérébrale à long terme peut entraîner de nombreuses conséquences négatives, j'aimerais les partager avec vous aujourd'hui !
Tout d'abord, les maux de tête et les vertiges sont les plus fréquents. Vertiges, dépression mentale, peuvent apparaître à l'arrière de la tête des douleurs de gonflement, des migraines, la tête est comme coiffée d'un casque, dans les cas graves peuvent apparaître des vertiges, des nausées et des vomissements.
Deuxièmement, elle peut entraîner une gêne pour les yeux et les oreilles, comme une vision floue, une perte de vision, des yeux secs et gonflés, des acouphènes et des bruits sourds dans les oreilles, ainsi qu'une perte d'audition.
Troisièmement, elle provoque des faiblesses, des engourdissements et des douleurs dans les membres, une mauvaise circulation périphérique, des mains et des pieds froids et une sensation anormale dans les articulations périphériques.
Quatrièmement, les attaques ischémiques transitoires sont plus fréquentes, avec des vertiges et des étourdissements transitoires, ou un noir devant les yeux, et dans les cas graves, un effondrement soudain et une perte de conscience, généralement pendant moins d'une demi-heure.
Cinquièmement, le cœur et le cerveau ne sont pas séparés, l'irrigation sanguine du cerveau n'est pas suffisante et l'ischémie myocardique est étroitement liée, de sorte que la panique, l'oppression thoracique et l'essoufflement sont plus fréquents.
Sixièmement, une tension artérielle anormale, qui peut provoquer de l'hypertension et de l'hypotension.
Septièmement, la marche instable, les cas graves peuvent sembler incapables de marcher en ligne droite, de marcher sur du coton, d'avoir une mauvaise fonction d'équilibre.
Huitièmement, changements mentaux, insomnie, irritabilité, perte de mémoire, mauvaise qualité du sommeil.
Neuvièmement, somnolence, de jour comme de nuit, toujours en train de s'assoupir, somnolent, étourdi et incapable de garder les yeux ouverts.
Dixièmement, un apport sanguin cérébral insuffisant à long terme peut provoquer un infarctus cérébral, un infarctus caverneux et même d'autres maladies cérébrovasculaires, ce qui constitue une réaction plus grave.
Tant que l'apport sanguin cérébral chronique est insuffisant, il suffit d'y prêter attention, sinon le temps aura de plus en plus d'impact sur le système cardiovasculaire et vasculaire cérébral, beaucoup de maladies graves sont en formation sans qu'on le sache, pour le bien de la santé, une prévention et un traitement précoces sont toujours bons !
Qu'est-ce que le cerveau ? C'est le "quartier général" du corps humain. Il naît avec son propre "casque", le crâne, qui est supérieur au cœur et aux poumons, eux aussi protégés par des côtes. L'importance du cerveau est évidente et toute maladie affectera l'ensemble du corps.
Le débit sanguin total circulant dans le cerveau par minute est d'environ 750 ml, ce qui équivaut à 15 % du débit cardiaque, alors que le poids du cerveau ne représente qu'environ 2 % du poids corporel. Le niveau métabolique est élevé et l'énergie consommée est l'oxydation aérobie du glucose, de sorte que la consommation d'oxygène est également élevée, environ 50 ml par minute lorsque le cerveau est calme, ce qui représente environ 20 % de la consommation d'oxygène de l'ensemble du corps.

Le tissu cérébral est sensible à l'ischémie et à l'hypoxie, et des symptômes d'ischémie cérébrale peuvent apparaître si le débit sanguin pour 100g de tissu cérébral est inférieur à 40 ml/min.
Le cerveau est irrigué par les artères carotides internes et les artères vertébrales, et les symptômes de l'ischémie varient.
I. Insuffisance de l'apport sanguin à l'artère carotide interne
Le principal symptôme est une déficience visuelle ou des lésions hémisphériques cérébrales.
Par exemple, si l'ischémie se situe du côté gauche, la déficience visuelle concerne l'œil gauche et la déficience motrice et sensorielle (ou hémiparésie) concerne la main ou le pied droit. Dans quelques cas, les deux symptômes sont présents en même temps, mais dans la plupart des cas, ils sont présents séparément.
La cécité monoculaire transitoire ou les trous de mémoire transitoires sont les plus fréquents. La perte de vision est une diminution (ou une augmentation) progressive de la clarté et de l'obscurité dans le champ visuel qui évolue vers une cécité complète et indolore d'un œil. Elle se manifeste aussi parfois par des champs visuels incomplets, un flou total de la vision ou un flou gris ou lumineux de la vision. Certaines personnes consultent un ophtalmologue pour des trous de mémoire, qui peuvent facilement passer inaperçus.

II. insuffisance de l'irrigation sanguine de l'artère vertébrale
Les symptômes sont variés et comprennent souvent des vertiges, une diplopie, une dysarthrie, un engourdissement facial bilatéral, une ataxie et une faiblesse ou un engourdissement des bras et des jambes de façon unilatérale ou bilatérale.
Les symptômes les moins fréquents sont les suivants : hémiparésie, céphalalgie ou acouphènes, douleurs à la tête ou autres sensations spécifiques à la tête, vomissements, éructations, sensation de basculement, perte de mémoire, troubles du comportement, somnolence, troubles de l'audition, surdité, contractions unilatérales des membres, hallucinations et globes oculaires qui ne se conjuguent pas.

Quelles sont les conséquences d'un manque chronique d'apport sanguin entraînant une insuffisance cérébrale chronique - troubles cognitifs ?
Les troubles cognitifs peuvent se manifester de différentes manières, notamment au niveau de l'apprentissage, de la mémoire, du langage, de la motricité, de la pensée, de la créativité, du mental et de l'émotionnel.
I. Troubles de l'apprentissage et de la mémoire
Le processus de mémorisation implique : entrée sensorielle → mémoire sensorielle → mémoire à court terme → mémoire à long terme → informations stockées.
La mémoire à court terme et la mémoire à long terme sont associées à la phosphorylation de protéines spécifiques, et dans différentes parties du cortex cérébral en présence de dommages ischémiques, différents déficits de mémoire se produisent.
Par exemple, les lésions de la région hippocampique du lobe temporal peuvent entraîner des troubles de la mémoire spatiale, et les lésions de la région amygdalienne peuvent entraîner des troubles de la mémoire émotionnelle.

II. le langage - l'aphasie
Une irrigation sanguine insuffisante du cerveau peut provoquer une aphasie si elle se situe dans la région du thalamus et des ganglions de la base.
L'aphasie est un trouble de la communication verbale. C'est l'incapacité de comprendre ce que disent les autres et soi-même, d'exprimer ce que l'on veut dire, ou de comprendre ou d'écrire les mots et les phrases que l'on pouvait lire et écrire avant l'apparition de la maladie.
III. perte de reconnaissance
Incapacité de reconnaître des objets précédemment familiers par le biais d'un sens, mais possibilité de les reconnaître par le biais d'autres canaux sensoriels.
Si vous voyez une montre et que vous ne savez pas ce que c'est, vous pouvez sentir qu'il s'agit d'une montre en touchant la forme de la montre ou en écoutant le son de la montre qui bouge.
IV. abus
Incapacité d'utiliser correctement certaines fonctions des membres en conjonction avec des mouvements de l'ensemble du corps pour effectuer des mouvements qui, autrement, seraient habituels.
Par exemple, ils ne peuvent pas effectuer des gestes simples comme tirer la langue, avaler, se brosser les dents ou se laver le visage comme il se doit, mais ils peuvent faire ces gestes spontanément sans y penser.
V. Autres modifications de l'activité mentale et nerveuse
Elle se manifeste par des changements anormaux dans les activités mentales et nerveuses, tels que le bavardage, les changements d'humeur, l'anxiété, la dépression, l'agitation et l'euphorie.
VI. démence
Il s'agit de la forme la plus grave de déficience cognitive.

Prévention de l'hypoperfusion cérébrale
L'objectif de la prévention est d'identifier la cause de la maladie ; l'élimination de la cause de la maladie permettra d'atteindre l'objectif de la prévention ; la cause de la maladie ne peut pas être éliminée, mais un meilleur contrôle de sa progression constitue également une mesure préventive.
I. Ischémie
L'ischémie survient généralement lorsque les vaisseaux sanguins subissent des modifications, telles que la formation de plaques et le durcissement des vaisseaux sanguins, ce qui entraîne des changements dans la circulation sanguine.
Les plaques, comme celles qui se trouvent dans les artères carotides, entraînent une insuffisance de l'apport sanguin au cerveau, car le flux sanguin se réduit au fur et à mesure qu'il passe. Cette lésion peut être détectée par échographie et le plan de traitement général consiste à contrôler la tension artérielle et à réduire les lipides sanguins, dans le but d'empêcher la plaque de grossir et la plaque néoplasique, mais pas de l'éliminer. Pour les plaques qui sont trop grandes et qui affectent sérieusement l'approvisionnement en sang du cerveau, l'ablation chirurgicale est une option.

II. l'hypoxie
Un apport sanguin adéquat au cerveau, mais un manque d'oxygène, peut également être considéré comme un apport sanguin inadéquat.
Le tissu cérébral dépend de l'oxydation aérobie du glucose pour obtenir de l'énergie, et la fermentation anaérobie se produit en l'absence d'oxygène. La fermentation anaérobie produit moins d'énergie et peut provoquer une acidose lactique et des lésions du tissu cérébral.
L'étiologie de l'hypoxie est double : un apport d'oxygène inadéquat et une mauvaise utilisation de l'oxygène.
① Oxygène insuffisant
Dans le cas des maladies pulmonaires chroniques, telles que la broncho-pneumopathie chronique obstructive, l'asthme bronchique, etc., la prévention réside dans l'administration active de l'oxygénothérapie, telle que l'oxygénothérapie à domicile.

②Trouble de l'utilisation de l'oxygène
L'anémie et l'empoisonnement au monoxyde de carbone sont fréquents.
L'anémie se caractérise par une réduction de la quantité d'hémoglobine, ce qui entraîne une capacité insuffisante à transporter l'oxygène, et l'intoxication au monoxyde de carbone se traduit par une réduction de la capacité de l'hémoglobine à transporter l'oxygène. La prévention consiste à corriger l'anémie et à arrêter de fumer ou à rester à l'écart de la fumée secondaire.
Par conséquent, le diagnostic, le traitement et la prévention reposent sur la recherche des diverses causes existantes et l'élimination des causes qui éliminent l'insuffisance de l'apport sanguin ; certaines causes irréversibles, telles que l'athérosclérose et les plaques, peuvent faire l'objet d'un traitement ciblé, afin d'empêcher leur progression et de prévenir l'apparition de complications graves.
Bonjour, merci pour l'invitation !
L'insuffisance de l'apport sanguin cérébral est un dysfonctionnement cérébral causé par un apport sanguin local insuffisant au cerveau humain, principalement lié à l'athérosclérose cérébrale, aux vertèbres cervicales, aux plaques de l'artère carotide et à la viscosité du sang.
Lorsque l'irrigation sanguine du cerveau est insuffisante pendant une longue période ou que le traitement n'est pas effectué à temps, cela peut provoquer un infarctus cérébral ou une démence. Il convient donc de prendre au sérieux l'insuffisance de l'apport sanguin au cerveau et de ne pas se laisser aller à la négligence.

Lorsque l'irrigation sanguine du cerveau est insuffisante, l'organisme présente des symptômes tels que
1、Somnolence
Toujours envie de dormir et somnolence, cette somnolence n'est pas due à la fatigue mais à un apport sanguin insuffisant au cerveau.
2. indifférence dans l'expression et réticence
L'insuffisance de l'apport sanguin au cerveau peut entraîner des anomalies de la conscience mentale, telles qu'un repli sur soi, une réticence ou une expression d'indifférence.
3. perte de conscience transitoire ou détérioration mentale

4. bouche tordue, bave, troubles de l'élocution, difficultés à avaler
5. perte d'équilibre, marche instable ou chutes soudaines (l'insuffisance de l'apport sanguin au cerveau affecte le fonctionnement des nerfs moteurs)
6. faiblesse ou inactivité d'un côté du membre et chute inconsciente des objets ramassés
7. engourdissement du visage et d'un côté du membre
8. vision floue ou noirceur transitoire devant les yeux
9. vertiges, maux de tête, douleurs dans les membres
10, insuffisance de l'irrigation sanguine du cerveau, mais aussi acouphènes et surdité

Par conséquent, dans la vie quotidienne, nous devons bien prévenir et traiter à temps l'insuffisance de l'apport sanguin cérébral. Les principales mesures sont un régime alimentaire raisonnable, la prévention de l'hyperglycémie, l'activité physique quotidienne, un sommeil adéquat, etc. Une fois que le phénomène d'insuffisance d'irrigation sanguine cérébrale se produit, il est nécessaire d'administrer des médicaments sous la direction du médecin à temps pour améliorer la circulation sanguine cérébrale.
Quels sont les symptômes de l'hypoperfusion cérébrale ?
L'insuffisance de l'apport sanguin au niveau cérébral est en fait cliniquement appelée ischémie cérébrale.

L'ischémie cérébrale peut également être classée en plusieurs catégories.
(1) Il y a une hypoperfusion cérébrale transitoire.
(ii) L'ischémie cérébrale chronique, qui existe à des degrés divers chez la plupart des personnes âgées de plus de 60 ans.
③Il y a aussi l'ischémie cérébrale aiguë, très connue sous le nom d'infarctus cérébral, qui comprend généralement la thrombose cérébrale, l'embolie cérébrale, l'infarctus cérébral caverneux et l'infarctus cérébral causé par un choc, un surdosage de médicaments antihypertenseurs ou de médicaments d'anesthésie entraînant une chute sévère de la pression artérielle.
Quelles sont les causes de l'hypoperfusion cérébrale ?
Les artères cervicales sont comprimées par l'os cervical hyperplasique ou les vaisseaux sanguins cérébraux subissent des spasmes ; les spasmes et les crampes sont une seule et même chose.
L'athérosclérose, l'hyperlipidémie, l'hypertension, le diabète sucré, etc., peuvent entraîner un rétrécissement de la lumière de l'artère carotide interne, une mauvaise élasticité, un dépôt de lipides dans la paroi du vaisseau sanguin pour former des plaques d'athérome, des plaques d'athérome qui peuvent se rompre et saigner ou former un thrombus entraînant une ischémie cérébrale.
Les lésions cardiaques provoquent la formation de caillots sanguins cardiogéniques, qui accompagnent le sang pompé du cœur vers le cerveau, provoquant l'obstruction partielle ou totale des vaisseaux sanguins cérébraux, ce qui entraîne une irrigation sanguine insuffisante du cerveau. Les lésions courantes comprennent l'insuffisance cardiaque, la fibrillation auriculaire causée par l'hyperthyroïdie et d'autres troubles, la maladie artérielle précoronarienne, les maladies des valves cardiaques telles que la maladie artérielle rhumatoïde, la chirurgie cardiaque, l'infarctus du myocarde, l'endocardite infectieuse, etc.
Sang épais et hypercoagulable pour diverses raisons, tension artérielle basse pour diverses raisons.

Quels sont les symptômes de l'insuffisance cérébrale ?
Étourdissements, maux de tête, douleurs au cou et aux épaules, tournoiements, nausées et vomissements, perte de vision ou vision floue, nausées ou vomissements, anomalies mentales et comportementales, somnolence.
Anxiété, insomnie, dépression, baisse de la concentration, facilité à être distrait, à parler trop, oublis, colère, ou silence, repli sur soi, expression d'indifférence, instabilité émotionnelle, acouphènes, insomnie, insomnie et rêverie, perte d'audition, perte de jugement, déclin lent de l'intelligence et autres manifestations de la démence.
Faiblesse d'un côté des membres, mobilité réduite, perte de la capacité à tenir des objets, marche instable ou chute soudaine et relèvement par soi-même, engourdissement d'un côté des bras et des jambes ou d'un côté du visage, d'un côté de la langue ou d'un côté de la bouche et des lèvres ou sensation d'un corps étranger, un côté des yeux avec un voile transitoire ou des ombres lourdes, ou des défauts du champ visuel.
Certains patients ont la bouche tordue, bavent, ont des troubles de l'élocution, perdent la parole ou ont des difficultés à parler, voire sont atteints d'aphasie ou d'hémiparésie.
L'infarctus cérébral aigu peut s'accompagner de confusion, de somnolence, de léthargie, de coma dans les cas graves et d'incontinence.
Sur le plan clinique, l'insuffisance cérébrale transitoire de l'apport sanguin ou l'insuffisance cérébrale chronique de l'apport sanguin nécessite vigilance et attention car elle peut évoluer vers l'infarctus cérébral aigu (insuffisance cérébrale aiguë de l'apport sanguin) ou la démence, ce qui est plus néfaste.
Merci pour l'invitation 😊 !
En fait, ce que l'on appelle l'insuffisance de l'apport sanguin cérébral est un état de l'organisme, c'est-à-dire que diverses causes de dysfonctionnement des vaisseaux sanguins cérébraux, du flux sanguin cérébral, du tissu cérébral ne peuvent pas obtenir un apport sanguin suffisant et produisent une variété d'effets secondaires.Manifestations de l'ischémie et de l'hypoxie dans le tissu cérébral!
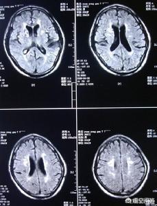
Sur le plan clinique, l'insuffisance de l'apport sanguin cérébral, principalement due àdurcissement des artèrescausée par, sur l'imagerie, se présentant souvent sous la forme de "multiples".ischémie" !
(Note : sur l'image de l'IRM, il apparaît sous la forme "pièce blanche")
L'insuffisance cérébrale chronique est due à une ischémie qui n'a pas encore atteint le niveau qui provoque un infarctus cérébral :
Par conséquent, il n'y a généralement pas de symptômes cliniques particulièrement évidents ; ils se manifestent principalement sous la forme deLes vertiges, les lourdeurs de tête, le manque de clarté mentale et l'insuffisance à long terme de l'irrigation sanguine du cerveau se traduiront aussi progressivement par des pertes de mémoire et de concentration !
Enfin, connaissant l'"hypoperfusion cérébrale".Nous avons besoin de savoir :
Si nous présentons des symptômes d'insuffisance de l'apport sanguin au cerveau, nous devons commencer à prêter attention à la prévention de la "maladie cérébrovasculaire" à un stade précoce !
J'espère que ma réponse vous a été utile !
Bienvenue sur le site du Dr Xiaomei Shennai pour plus d'informations sur la santé !
Parlons d'abord des dangers ! L'insuffisance cérébrale chronique de l'apport sanguin peut être contrôlée efficacement si l'on intervient à temps et correctement, faute de quoi elle peut entraîner un accident vasculaire cérébral, une démence vasculaire et bien d'autres maladies. En l'absence de traitement précoce, les fonctions cognitives et neurologiques d'une personne peuvent être affectées, ce qui nuit gravement à l'état de santé et à la qualité de vie des patients d'âge moyen et des personnes âgées.
Quels sont les symptômes d'une irrigation sanguine insuffisante du cerveau ?
L'insuffisance chronique de l'apport sanguin cérébral est une maladie neurologique clinique courante chez les patients d'âge moyen et avancé, qui se manifeste par des vertiges récurrents, des maux de tête, des insomnies, des pertes de mémoire, des engourdissements des membres, etc., sans qu'il y ait de lésion neurologique organique claire lors de l'examen d'imagerie. L'incidence de cette maladie augmente dans la population d'âge moyen en raison de l'évolution des habitudes de vie et des modes d'alimentation au cours des dernières années.
L'insuffisance de l'irrigation sanguine cérébrale est une maladie fréquente en médecine interne cérébrovasculaire, souvent due à des patients souffrant d'athérosclérose ou de thrombose aortique entraînant une obstruction des vaisseaux sanguins, affectant l'irrigation sanguine normale, provoquant des lésions ischémiques et hypoxiques dans le cerveau, affectant les nerfs du patient ou la fonction normale du cerveau. Le pronostic de ces patients est mauvais et le traitement clinique est difficile.

L'insuffisance de l'irrigation sanguine du cerveau peut être divisée en deux catégories : aiguë et chronique. Elle est principalement due à une irrigation sanguine insuffisante du cerveau qui déclenche un dysfonctionnement cérébral, entraînant des troubles de l'élocution, un engourdissement des membres, une faiblesse générale et ainsi de suite, affectant sérieusement la vie normale. La recherche a montré que les patients souffrant de vertiges dus à une insuffisance de l'irrigation sanguine du cerveau ont besoin d'interventions infirmières complètes afin de favoriser la disparition des symptômes et d'améliorer l'état psychologique.
Comment prendre soin de moi ?
Les conseils diététiques peuvent garantir un apport adéquat en nutriments aux patients, mais aussi éviter le risque accru de séquelles causé par un régime excessif ; l'observation de l'état est une bonne base pour les cliniciens pour le développement dynamique de l'état du patient ; les soins psychologiques sont non seulement propices à la canalisation de la psychologie négative, mais aussi à l'amélioration des symptômes ; les soins médicamenteux sont une condition préalable pour garantir l'utilisation rationnelle et sûre des médicaments ; le pronostic des complications peut améliorer efficacement le pronostic des patients.

L'insuffisance cérébrale chronique est étroitement liée à l'hypertension, au diabète sucré, à l'hyperlipidémie, à l'athérosclérose et même à la maladie cérébrovasculaire hémorragique. C'est la sauvegarde de la maladie cérébrovasculaire qui est invalidante et mortelle. L'efficacité des comprimés entérosolubles d'aspirine associés à l'atorvastatine dans le traitement de l'insuffisance cérébrale chronique est précise et évidente, et a une importance clinique. Si elle peut être incluse dans la prévention primaire des maladies cérébrovasculaires, comme l'hypertension, le diabète sucré, etc.
Je suis le pharmacien Wang, qui s'efforce d'expliquer les connaissances complexes et difficiles des maladies avec des mots simples pour vous aider à gérer votre corps. Vos éloges sont ma plus grande motivation ! Par ailleurs, si des membres de votre famille ont également des problèmes liés à cette maladie, n'hésitez pas à leur transmettre cet article !
Ces questions et réponses proviennent des utilisateurs du site, elles ne représentent pas la position du site, s'il y a une infraction, veuillez contacter l'administrateur pour la supprimer.