Les nodules pulmonaires peuvent-ils être éliminés par la prise de médicaments ?
Les nodules pulmonaires peuvent-ils être éliminés par la prise de médicaments ?
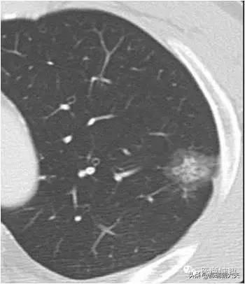
Il existe des nodules pulmonaires multiples et solitaires, et les nodules pulmonaires multiples sont souvent observés à la suite d'une tuberculose ou d'une pneumoconiose, qui sont toutes plus faciles à diagnostiquer avec une anamnèse typique ou une anamnèse du lobe gauche. Les nodules dont nous parlons généralement sont des nodules pulmonaires isolés.

Les nodules pulmonaires ne sont pas un nom de maladie
Les nodules pulmonaires ne sont pas le nom de la maladie car la nature pathologique des nodules pulmonaires est difficile à déterminer, ils sont donc uniformément nommés morphologiquement et collectivement appelés nodules pulmonaires.
Il existe des termes spécifiques pour désigner la taille des nodules pulmonaires : ceux dont le diamètre est ≤3cm sont appelés nodules et ceux dont le diamètre est supérieur à 3cm sont appelés masses ; plus le diamètre du nodule est important, plus le risque de malignité est élevé.

Peut-on prendre des médicaments pour se débarrasser des nodules pulmonaires ?
S'il s'agit d'une inflammation précoce, il est possible que le système immunitaire de l'organisme l'élimine sans médicament, ce qui explique que dans certains cas, lors du premier examen médical, un nodule pulmonaire est trouvé, mais qu'il disparaît lors d'un examen ultérieur.
Si les nodules sont des lésions inflammatoires anciennes, congénitales ou tumorales, les médicaments ne sont d'aucune utilité.
Ainsi, pour les nodules pulmonaires, nous n'envisageons généralement pas de traitement médicamenteux, mais nous suivons et observons, et si le nodule n'a pas changé, alors félicitations, c'est une bonne chose. Si les nodules continuent de croître, il est temps d'envisager une intervention chirurgicale, en tenant compte de l'imagerie et des signes cliniques.
Tous les petits nodules dans les poumons ne disparaissent pas avec des médicaments. Si les nodules se trouvent dans les poumons, il faut envisager une infection pulmonaire, qui peut disparaître avec des antibiotiques oraux. S'il s'agit d'une tuberculose, un traitement antituberculeux régulier peut également l'éliminer. S'il s'agit d'une lésion ancienne, d'une maladie nodulaire pulmonaire ou d'une tumeur maligne des poumons, aucun médicament ne peut l'éliminer complètement. Dans le cas de foyers anciens, une observation régulière est nécessaire. S'il s'agit d'une maladie nodulaire pulmonaire, elle peut être traitée par un traitement anti-inflammatoire hormonal si nécessaire.
Qu'un nodule pulmonaire puisse être éliminé par des médicaments ou non, il convient de préciser la nature du nodule, à savoir s'il s'agit d'un nodule solide ou d'un nodule en verre dépoli, ainsi que sa taille, qui reste préoccupante si elle est trop importante.
La plupart des nodules sont le résultat d'une inflammation ou sont des lésions anciennes, et cela dépend donc aussi de la nature du nodule.
Les réponses spécifiques doivent encore être dialectisées avant de traiter les symptômes.
Life Road Public Health estime qu'il ne s'agit pas d'une bonne généralisation. On parle de nodule pulmonaire isolé lorsqu'il s'agit d'une opacité unique, à limites nettes, d'un diamètre inférieur ou égal à 3 cm, entourée de tissu pulmonaire contenant de l'air, entourée de lésions nodulaires pulmonaires, sans atélectasie pulmonaire, élargissement de la porte du poumon ou épanchement pleural. Les nodules pulmonaires isolés sont fréquents et les causes les plus courantes sont les tumeurs, les granulomes infectieux, les lésions congénitales, etc. Les nodules bénins sont asymptomatiques et peuvent être laissés sans traitement, tandis que le traitement principal des nodules malins est la résection chirurgicale ou la radiothérapie, et le pronostic des nodules bénins est bon, tandis que le pronostic des nodules malins est un peu moins bon.
Il n'y a pas de symptômes, et les petits nodules pulmonaires peuvent être laissés tranquilles grâce à des examens réguliers. Les autres doivent être traités activement. Pour les nodules malins, il est inutile de préciser qu'ils doivent être opérés immédiatement et traités selon le traitement conventionnel des tumeurs. En général, les nodules pulmonaires sont bénins, vous pouvez prendre de la médecine traditionnelle chinoise pour les identifier et les traiter, et il y a des rapports qui indiquent qu'ils sont devenus plus petits, et il y a de nombreux rapports qui indiquent que les nodules pulmonaires sont devenus plus petits après l'utilisation de la médecine.
Il s'agit en général de faire attention au chaud et au froid, de ne pas attraper un rhume, car l'inflammation sera un peu irritante pour ce nodule pulmonaire, n'est-ce pas ?
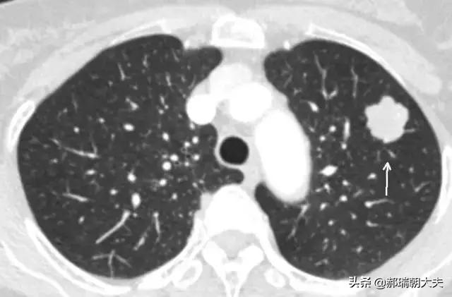
Les examens médicaux étant de plus en plus fréquents, les nodules pulmonaires sont de plus en plus souvent détectés. Les nodules pulmonaires sont un terme d'imagerie, et la définition d'imagerie d'un nodule pulmonaire est une petite lésion bien définie qui est complètement entourée par le parenchyme pulmonaire (Diamètre ≤30mm). La morphologie des nodules est classée comme solide ou sub-solide ; les nodules sub-solides sont eux-mêmes classés en nodules de verre dépoli et en nodules partiellement solides. Les lésions de plus de 30 mm de diamètre sont des masses plutôt que des nodules et ont une probabilité plus élevée d'être malignes.

Environ 99 % des nodules pulmonaires sont des lésions bénignes.Les causes les plus fréquentes sont les granulomes infectieux et les tumeurs bénignes (par exemple, les tumeurs malignes pulmonaires), et parfois les lésions vasculaires et inflammatoires.Environ 1 % des nodules pulmonaires sont malins.Les causes courantes des nodules pulmonaires malins sont le cancer primitif du poumon, les métastases pulmonaires et les tumeurs carcinoïdes.
Des études ont montré que le diamètre du nodule est un facteur prédictif indépendant de la malignité. Plus le diamètre du nodule est important, plus le risque de malignité est élevé, avec les probabilités suivantes : diamètre du nodule <5 mm : <1%;结节直径为5-9mm:2%-6%;结节直径为8-20mm:18%;结节直径>20 mm : >50%.
La plupart des nodules pulmonaires ne peuvent pas être éliminés par la prise de médicaments.Très peu de nodules inflammatoires peuvent être résorbés par des anti-inflammatoires oraux. La prise en charge clinique des nodules pulmonaires dépend de la forme et de la taille du nodule, et différents plans de prise en charge sont élaborés. En général, il est recommandé de suivre régulièrement la plupart des nodules pendant 3 mois, 6 mois, 9 mois ou 1 an (en fonction de la forme et de la taille du nodule). Un très petit nombre de nodules présentant des caractéristiques malignes évidentes peuvent faire l'objet d'une résection chirurgicale.
En général, de très petits nodules sont détectés et ne posent pas de problème ; aucun médicament n'est nécessaire et un examen régulier suffit. La grande majorité des nodules ne seront pas éliminés par la prise de médicaments.
La définition actuellement acceptée d'un nodule pulmonaire est une ombre pulmonaire focale, arrondie, hyperdense, solide ou subsolide, d'un diamètre ≤3 cm. Ces dernières années, avec l'augmentation de la population examinée par tomodensitométrie à faible dose, la proportion de nodules pulmonaires multiples détectés en plus des nodules pulmonaires isolés a considérablement augmenté. Les nodules pulmonaires multiples se présentent souvent sous la forme d'un nodule pulmonaire unique accompagné d'un ou plusieurs petits nodules. Les nodules pulmonaires multiples sont définis comme 2 lésions ou plus. Les patients présentant des nodules pulmonaires multiples peuvent avoir plusieurs sources de cancer du poumon précoce ou de lésions précancéreuses confirmées chirurgicalement et nécessitant une attention clinique particulière.

Si un seul nodule solide a un diamètre ≤8 mm et qu'il n'y a pas de facteurs de risque de cancer du poumon, il est recommandé de prendre des mesures en fonction de la taille du nodule, à savoir ≤4 mm, >4~6 mm et >6~8 mm.
<4 mm Les directives du NCCN, de l'ACCP et de la Fleischner Society recommandent toutes de ne pas effectuer de suivi, et les directives du Consensus asiatique recommandent d'examiner la tomodensitométrie une fois par an.
Les lignes directrices du NCCN pour les tumeurs de >4 mm et de <6 mm recommandent de répéter la tomodensitométrie dans un an pour les personnes à faible risque, de répéter la tomodensitométrie deux fois entre 6 mois et 1 an, et entre 1,5 et 2 ans pour les personnes à haut risque.
Les lignes directrices du NCCN pour >6 mm et <8 mm recommandent 2 examens tomodensitométriques entre 6 mois et 1 an et entre 1,5 et 2 ans pour les personnes à faible risque, et 3 examens tomodensitométriques entre 3 mois et 6 mois, entre 9 mois et 1 an, et 2 ans pour les personnes à haut risque.
Si le nodule est hypertrophié (en particulier >10 mm de diamètre) ou présente une composante réaliste accrue, cela indique généralement une transformation maligne et nécessite une biopsie non chirurgicale et/ou l'examen d'une excision.
Une fois que des nodules isolés typiques sont détectés dans les poumons, des méthodes validées doivent être utilisées pour distinguer les nodules bénins des nodules malins. Des méthodes validées doivent être utilisées pour distinguer les nodules bénins des nodules malins : analyse morphologique de l'imagerie, temps de multiplication des nodules isolés, examen par TEP-TDM ou tomodensitométrie améliorée dynamique et calcul de la probabilité de malignité.
Les nodules pulmonaires doivent être examinés régulièrement s'il s'agit, par exemple, de nodules pulmonaires isolés, de lésions bien définies, opaques à l'imagerie, d'un diamètre inférieur ou égal à 3 cm, entourées de tissu pulmonaire contenant de l'air et sans signes d'atélectasie pulmonaire, d'hypertrophie hilaire ou d'épanchement pleural.
Je suis le pharmacien Wang, qui s'efforce de diffuser des connaissances sur les maladies avec des mots simples et faciles à comprendre, et qui apporte sa petite contribution à une Chine en bonne santé. Si vous pensez que ma réponse vous est utile, n'hésitez pas à laisser un "j'aime" ! Si vous avez d'autres questions, n'hésitez pas à laisser un message, nous en discuterons ensemble !
De nombreuses personnes ne connaissent pas les nodules pulmonaires et pensent que les nodules pulmonaires sont des cancers du poumon ; en fait, il y a une différence entre les deux. Les nodules pulmonaires sont divisés en bénins et malins, et la plupart d'entre eux sont bénins, et seule une petite partie d'entre eux développera des changements malins.
Les nodules pulmonaires sont en fait un terme d'imagerie qui décrit les ombres dans les poumons qui apparaissent lors d'un scanner thoracique, et de nombreuses maladies des poumons peuvent se manifester par des nodules pulmonaires.

Les nodules pulmonaires peuvent-ils être éliminés par la prise de médicaments ?
En fait, la question de savoir si les nodules pulmonaires peuvent ou non être traités par des médicaments doit être analysée au cas par cas avant de décider s'ils peuvent ou non être éliminés par des médicaments.
nodule pulmonaire bénin
S'il s'agit de nodules bénins, leur croissance est généralement très lente, ils n'ont pas beaucoup d'effet sur la fonction pulmonaire et ne nécessitent généralement pas de traitement, mais s'il y a des complications, le traitement chirurgical doit être précoce.
Nodules pulmonaires avec lésions infectieuses
De nombreux patients présentant des nodules pulmonaires sont dus à une pneumonie et, s'ils prennent des médicaments par voie orale, il est également important de procéder à des examens réguliers pour vérifier si les nodules ont rétréci ou disparu.
Nodules pulmonaires suspects de cancer du poumon
Les médecins déterminent généralement si un nodule est malin ou non en fonction de sa taille, de sa densité, de sa forme, etc. sur le scanner thoracique.

Nodules pulmonaires de lésions anciennes
Ces nodules ne nécessitent généralement pas de traitement anti-inflammatoire et les médicaments ne les font pas disparaître ; il faut donc veiller à un suivi régulier.
Ne soyez pas nerveux si l'on vous diagnostique des nodules pulmonaires, vous devez coopérer activement à l'examen et au traitement, et suivre les instructions du médecin pour prendre les mesures appropriées, afin de ne pas retarder l'évolution de la maladie.
Il est impossible de généraliser.
Un nodule pulmonaire est un concept d'imagerie dans lequel une lésion nodulaire est détectée dans les poumons à l'aide d'un film ou d'un scanner.
Cependant, tous les nodules pulmonaires ne sont pas le même type de lésion.
Il peut être infectieux, néoplasique, fibreux, calcifié, intrapulmonaire, etc.
Différents traitements sont utilisés pour différentes causes.
- Pour les nodules pulmonaires infectés, les antibiotiques permettent souvent d'obtenir de bons résultats.
- Pour les nodules pulmonaires tumoraux, les médicaments antitumoraux peuvent certainement faire disparaître les nodules, mais la résection chirurgicale est plus recommandée (si vous êtes éligible à la chirurgie).
- Pour les nodules pulmonaires fibreux et calcifiés, il est impossible de les éliminer.
- La lymphe intrapulmonaire n'est pas en soi une structure anormale.
- ......
Je suis le Dr WildYellow, n'hésitez pas à me suivre pour plus de science médicale.
Qu'est-ce qu'un nodule pulmonaire ?
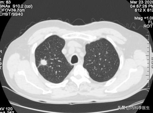
Nodules pulmonaires : Il s'agit de lésions qui apparaissent dans les tissus des poumons. Il s'agit de lésions arrondies ou irrégulières d'un diamètre inférieur ou égal à 30 mm, souvent entourées de tissu pulmonaire normal. Sur l'imagerie médicale, ils sont décrits comme des "ombres hyperdenses dans les poumons". Les nodules pulmonaires peuvent être uniques ou multiples, avec des limites claires ou floues.

Qualitatif : Les nodules pulmonaires sont une anomalie impossible ou difficile à détecter par le patient ou les membres de sa famille. Il s'agit souvent d'une anomalie physique qui n'est détectée que lors d'une visite à l'hôpital pour des contrôles tels que des examens médicaux, et en utilisant des instruments tels que la tomodensitométrie, les rayons X et l'imagerie par résonance magnétique (IRM) des poumons.
Classification des nodules pulmonaires.
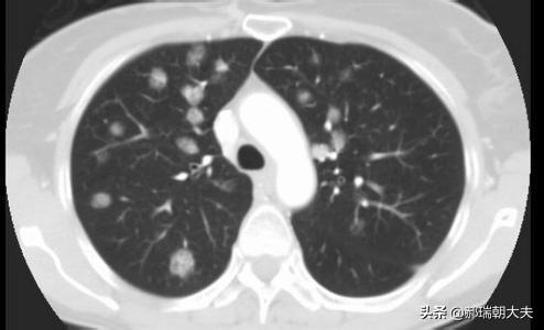
En fonction du nombre de lésions, les nodules pulmonaires peuvent être classés en nodules pulmonaires isolés, nodules pulmonaires multiples et nodules pulmonaires diffus.
En fonction de l'uniformité de la densité des nodules, on peut les classer en nodules substantiels, en nodules de verre dépoli purs et en nodules de verre dépoli mixtes.
Selon le type de pathologie, les nodules peuvent être classés en nodules pulmonaires bénins et nodules pulmonaires malins.

traitement conventionnel:
Traitement étiologique.
Chirurgie : la plupart des patients n'ont pas besoin d'être opérés, mais un petit nombre d'entre eux ont besoin d'un traitement chirurgical. Par exemple, les cancers des nodules pulmonaires nécessitent souvent une intervention chirurgicale, et des noms communs pour la chirurgie sont utilisés, tels que résection du nodule pulmonaire et résection du cancer du poumon.
Médicaments:Un faible pourcentage de nodules pulmonaires nécessite des médicaments. Les maladies suivantes nécessitent des médicaments : la tuberculose, les infections fongiques des poumons et les infections virales des poumons. Types de médicaments couramment utilisés, tels que les médicaments antituberculeux, les médicaments antiviraux et les médicaments antifongiques.

Summary:Le traitement étiologique met l'accent sur la nécessité d'identifier la cause avant de mentionner la manière de la traiter.
J'ai eu un nodule et je suis allée à l'hôpital pour un examen. Le médecin a dit qu'il était très petit et que je n'avais pas besoin de prendre de médicaments. Le médecin a dit que c'était normal et plusieurs médecins ont dit que c'était bon. J'ai un peu peur qu'il m'arrive quelque chose plus tard ! Pourtant, je n'ai pas eu d'anomalie depuis que j'ai les nodules, c'est-à-dire depuis plusieurs années. Quoi qu'il en soit, je suis de bonne humeur et tout va bien.
Ces questions et réponses proviennent des utilisateurs du site, elles ne représentent pas la position du site, s'il y a une infraction, veuillez contacter l'administrateur pour la supprimer.