L'examen physique révèle une petite tumeur bénigne. Pourquoi les médecins ne recommandent-ils pas un traitement ?
L'examen physique révèle une petite tumeur bénigne. Pourquoi les médecins ne recommandent-ils pas un traitement ?
Je suis le Dr Shadow. L'examen physique a révélé une petite tumeur bénigne et le médecin n'a pas recommandé de traitement, mais seulement une observation et un suivi. Le conseil du médecin est juste. Si vous trouvez une petite tumeur bénigne et que le médecin vous dit de vous faire opérer malgré tout, vous devriez être prudent, car vous êtes peut-être entré dans un hôpital informel.
L'examen physique révèle de petites tumeurs bénignes, qui sont fréquentes
Lorsque de nombreux amis passent un examen médical, ils découvrent des problèmes plus ou moins graves, tels que des kystes hépatiques, des kystes rénaux, des hémangiomes hépatiques, etc. Lorsque ces tumeurs sont très petites et ne provoquent aucun symptôme, elles ne nécessitent pas de traitement particulier et peuvent même être laissées de côté.
Les petites tumeurs bénignes, pourquoi ne doivent-elles pas être trop traitées ?
Certains disent que, puisqu'il s'agit d'une tumeur, il faut la traiter de peur qu'elle ne devienne maligne.
Les tumeurs sont classées en tumeurs bénignes et malignes. La plupart des tumeurs bénignes ne deviennent pas malignes, mais certaines le deviennent. Toutefois, les médecins jugeront, selon leur propre expérience, lesquelles doivent être traitées et lesquelles ne doivent pas l'être.
Par exemple, je suis médecin spécialiste de l'imagerie et je vois tous les jours des clichés de kystes hépatiques et rénaux. Lorsque j'examine ces films sur une longue période et que je viens pour un examen annuel, je constate que les kystes de nombreuses personnes restent fondamentalement inchangés, que certains d'entre eux peuvent avoir rétréci, que d'autres peuvent avoir grossi, mais qu'il est très rare qu'ils deviennent malins. L'observation à long terme a permis de constater que les kystes asymptomatiques peuvent être stables et inchangés.
S'il est stable, qu'il ne change pas et qu'il ne provoque pas de symptômes, pourquoi subir une intervention chirurgicale et pourquoi le déplacer ? L'intervention chirurgicale elle-même est traumatisante pour l'individu. Pourquoi se faire du mal pour se débarrasser de quelque chose qui ne vous fait pas mal ?
Toutefois, si un examen médical révèle une lésion dans le foie qui doit être très petite, mais que l'expérience montre qu'il peut s'agir d'une lésion maligne qui peut se développer lentement et finir par former des métastases, le médecin recommandera un traitement. Le médecin recommandera alors un traitement. Il faut en effet tenir compte du fait que cette lésion peut causer des dommages irréparables à l'organisme par la suite.
En outre, si la tumeur est importante et présente des symptômes de compression, même si elle est bénigne, elle doit être enlevée chirurgicalement. Par exemple, si le kyste hépatique mesure plus de 5 cm, comprime le tissu hépatique environnant et présente des symptômes douloureux, il doit également faire l'objet d'un traitement chirurgical.
Ainsi, un examen médical révèle une petite tumeur bénigne et le médecin recommande de ne pas opérer. La plupart des tumeurs bénignes peuvent vivre en harmonie avec elles pendant longtemps, il n'est donc pas nécessaire de procéder à une intervention chirurgicale préjudiciable, et vous pouvez suivre et observer.
Je le suis.Dr. ShadowSuivez-moi si vous voulez en savoir plus sur la médecine.
Tout d'abord, bravo à ce médecin ! De nombreuses tumeurs bénignes sont comme des furoncles sur un arbre, elles n'affectent pas l'espérance de vie, elles n'affectent pas le fonctionnement des organes et elles n'ont pas besoin d'être surtraitées.
Il existe deux types de tumeurs bénignes :
L'une d'entre elles se développe lentement, ne devient pas maligne et n'affecte pas le fonctionnement des organes.
Les observations de suivi de ce type sont correctes, sans traumatisme chirurgical ni gaspillage d'argent.

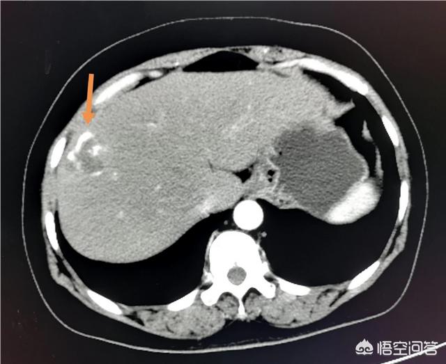
Par exemple, cet hémangiome hépatique de 2,5 cm est très courant et une échographie tous les 1 à 2 ans est recommandée.
Il existe de nombreuses tumeurs bénignes dans l'ensemble du corps, telles que le chondrosarcome et le fibrome non ossifiant des os, les tumeurs malignes des poumons, le pneumocytome sclérosant, l'ostéome des sinus, les méningiomes relativement petits, les angiomyolipomes rénaux et les lipomes sous-cutanés, etc., et tant qu'elles n'affectent pas la fonction des organes et qu'elles n'évoluent pas rapidement lors des observations de suivi, il n'est pas nécessaire de les opérer.
À l'inverse, certaines tumeurs bénignes ont un potentiel malin et peuvent devenir cancéreuses à l'avenir, ou bien la tumeur est relativement importante et interfère avec le fonctionnement de l'organe, ce qui nécessite une ablation chirurgicale.
Il s'agit par exemple d'ostéochondromes de taille relativement importante, de pneumocytomes sclérosants, de tumeurs osseuses à cellules géantes et de tumeurs bénignes qui provoquent une obstruction du tractus gastro-intestinal.

Chez des patients comme celui-ci, une tumeur musculaire lisse bénigne s'est développée sur la trachée, provoquant une sténose de la trachée et une dyspnée, et ce type de patient doit être opéré pour retirer la tumeur.

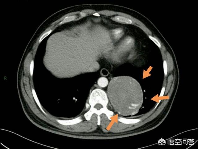
Il s'agissait d'un pneumocytome sclérosant, précédemment connu sous le nom d'hémangiome pulmonaire sclérosant, qui a été étudié comme étant bénin mais avec des tendances malignes, et qui a ensuite été enlevé chirurgicalement pour réduire également le risque.
Il existe également des principes standard pour le traitement des tumeurs bénignes. Les médecins prendront des décisions en fonction des caractéristiques pathologiques de la tumeur, de son évolution et de la situation générale, afin de garantir la sécurité et d'éviter le surmédicament.
Il suffit de suivre les instructions de votre médecin local !
De nombreux net-citoyens se plaignent du manque de médecins respectueux de l'éthique médicale, mais en réalité, il y a beaucoup de bons médecins ! L'interaction entre les personnes est axée sur la sincérité et le respect de l'étiquette. Les rapports sur certains incidents médicaux rappellent à de nombreux médecins qu'ils ont parfois peur de s'exprimer davantage.
C'est toujours mieux quand c'est lent !
Ici le Dr Howe en imagerie, n'hésitez pas à me suivre !
Les médecins sont vraiment durs à la tâche, ils laissent faire l'opération, ils disent : vous, les médecins, vous faites vraiment de la chirurgie, le but est de gagner de l'argent. Laisser observer, ne pas opérer pour l'instant, dit : pourquoi ne pas opérer, sortir du problème dont vous êtes responsables ?
Woo-hoo ! Dois-je le faire ou non ? Que vous le fassiez ou non, vous n'êtes pas une bonne personne, alors à quoi bon chercher un médecin ?
En fait, qu'il s'agisse d'une intervention chirurgicale ou d'un traitement médicamenteux, il y a des indications. Les soi-disant indications sont des décisions prises après évaluation, en déterminant quelle est la fin la plus importante et en pesant les gains et les pertes. Si le gain l'emporte sur la perte, il faut le faire ; si la perte l'emporte sur le gain, il ne faut pas le faire pour l'instant. Bien sûr, il y aura certainement des risques. Que nous le fassions ou non, cela signifie qu'il y a quelque chose à perdre, mais qu'après évaluation, la perte de cette façon de faire est encore plus petite.
L'examen physique a révélé que la tumeur est petite et bénigne. Premièrement, la tumeur est petite et deuxièmement, elle est bénigne, ce qui, dans la plupart des cas, permet d'observer sans traiter, par exemple, un petit fibrome de l'utérus découvert par l'examen physique peut tout à fait ne pas être traité. Si le fibrome grossit à l'avenir ou si des symptômes apparaissent, il n'est pas trop tard pour le traiter à nouveau en fonction de la situation. Certaines personnes peuvent se demander : "Et si les fibromes deviennent malins ? On ne peut pas dire que cette possibilité soit totalement absente, mais elle est extrêmement improbable, donc si vous voulez en être sûre, vous devez vous faire opérer. Cependant, il n'est pas bon d'être trop agressif, après tout, la chirurgie est aussi un mal, ah, comme je l'ai dit plus tôt, si vous ne vous faites pas opérer, vous direz encore une fois que le médecin a des arrière-pensées. De plus, si vous voulez être sûre à 100 %, est-il nécessaire de couper tout l'utérus pour être sûre de ne pas avoir de cancer de l'utérus ? Combien de choses absolues y a-t-il dans ce monde ? Vous ne pouvez pas être sûr à 100 % dans un avion, alors ne devriez-vous pas prendre l'avion ? Mais si vous ne prenez pas l'avion, vous ne pourrez pas faire les choses ou vous serez moins efficace. Voulez-vous aller à Pékin en vélo ? Mais le vélo n'est pas sûr à 100 % non plus, alors que faire ? Nous devons donc examiner le problème de manière dialectique et objective.
Il s'agit d'un phénomène très courant. Ces dernières années, grâce à la sensibilisation accrue de la population à la santé et à l'amélioration constante des méthodes d'inspection, de plus en plus de tumeurs précoces ont été détectées. Grâce à la technologie de détection avancée d'aujourd'hui, les tumeurs peuvent être détectées lorsqu'elles sont très petites. Par exemple, la technologie du scanner spiralé est aujourd'hui très avancée et permet de détecter des masses pulmonaires d'un ou deux millimètres. Mais ces tests avancés détectent de très petites lésions. Une très grande partie de ces petites lésions sont causées par des tumeurs bénignes ou des infections.
Pour ces petites lésions, il n'est pas possible de juger de leur degré de bénignité ou de malignité uniquement par l'imagerie. Les examens invasifs, tels que la ponction-biopsie ou la chirurgie, peuvent causer des dommages au corps humain. C'est pourquoi les médecins ne recommandent souvent pas de traitement dans ce cas, mais se contentent d'observer les changements de la lésion au fil du temps, afin de juger de la bénignité ou de la malignité de la tumeur, et de décider du moment de la mise en œuvre du traitement.
Si, après une période d'observation, les lésions ont disparu, cela signifie que ces lésions sont bénignes. Si, après une période d'observation, ces foyers changent et se développent, on peut déterminer qu'il s'agit très probablement d'une tumeur maligne, il faudra intervenir activement dans le traitement, et cette période d'observation ne causera pas de grands dommages au patient et ne retardera pas le moment du traitement ; par conséquent, l'examen physique d'un petit foyer ne peut pas déterminer la cause du moment, mais ne peut pas non plus être effectué à l'aveuglette, il est bon de procéder à une observation.
En d'autres termes, s'il s'agit d'une tumeur, elle doit être traitée.
De préférence à base de plantes, le plus tôt sera le mieux.
Les tumeurs bénignes ne nécessitent généralement pas de traitement, surtout si elles sont petites. Dans ce cas, il n'y a pas de gêne, il n'est donc pas nécessaire de faire une incision, et certaines tumeurs peuvent récidiver ou réapparaître après le traitement. Bien entendu, même si la tumeur est petite, il ne faut pas l'ignorer et il convient de l'observer régulièrement et de traiter à nouveau tout changement.

Les tumeurs bénignes sont des proliférations anormales de cellules dans certains tissus de l'organisme, qui sont généralement encapsulées et se développent de manière expansive, mais qui croissent plus lentement. Elles n'envahissent pas les tissus environnants et ne forment pas de métastases. Elles n'ont donc généralement pas d'effet sur la santé et certaines d'entre elles peuvent rester inchangées jusqu'à la fin de la vie. À un stade plus avancé, certaines tumeurs sont trop grosses et compriment les organes environnants, de sorte que les patients se sentent mal à l'aise, mais ils présentent généralement des symptômes locaux, qui peuvent être soulagés par une résection chirurgicale.

Quelles sont les principales préoccupations concernant le suivi des tumeurs bénignes ?
Premièrement : observer d'abord le site de croissance de la tumeurLa tumeur bénigne : Il convient d'être attentif lorsqu'une tumeur bénigne se développe dans une partie vitale du corps où l'espace est très limité. Par exemple, si la tumeur se développe dans le crâne, dans la glande thyroïde ou dans la paroi gastro-intestinale ou la lumière intestinale, car l'élargissement de la tumeur peut provoquer une compression, une obstruction, une hémorragie et d'autres urgences, et un retard dans le traitement peut entraîner la mort. Ces zones doivent donc faire l'objet d'une surveillance étroite.

Deuxièmement : Observer la tendance de la tumeur à devenir maligne.Certaines tumeurs bénignes présentent un risque de malignité. Il existe un certain nombre de symptômes cliniques auxquels il est fait référence de manière variable. Les tumeurs présentant un élargissement soudain et évident, des limites floues, un flux sanguin abondant ou des modifications anormales de la surface de la peau doivent être signalées.

Troisièmement : symptômes cliniques et état psychologique du patient.La plupart des tumeurs bénignes sont asymptomatiques lorsqu'elles sont petites. Au fur et à mesure que la tumeur se développe, certains symptômes peuvent apparaître. Par exemple, si la tumeur de la thyroïde augmente soudainement de volume et comprime la trachée, ou si la tumeur dans la lumière intestinale devient importante et provoque une obstruction et un arrêt de la défécation, le patient doit consulter le médecin à temps afin de ne pas retarder son état. Certaines tumeurs superficielles, qui affectent l'apparence et gênent la psychologie et la vie du patient, peuvent être traitées par chirurgie.

D'une manière générale, les médecins affirment que les tumeurs bénignes peuvent être observées et qu'elles ont peu d'effet sur la santé ; les patients peuvent donc se détendre l'esprit et procéder à un bon examen physique. De nombreuses tumeurs bénignes suivent le patient jusqu'à la fin de sa vie sans aucun changement, et une opération n'est pas nécessaire. En résumé, il faut se fier à l'avis du médecin professionnel, ne pas surdiagnostiquer et ne pas surtraiter.
L'objectif d'un examen médical est la détection précoce et le traitement, en particulier des maladies malignes.
Pour répondre à cette question, il faut d'abord comprendre la signification de la maladie et du traitement. La maladie est un trouble des processus physiologiques de l'individu humain, le corps produit un processus physiopathologique pour remplacer le processus physiologique normal, ce qui affecte la santé de l'individu. L'objectif du traitement est de bloquer le processus physiopathologique, de rétablir le processus physiologique normal et de préserver la santé. Les petites tumeurs bénignes n'affectent pas les processus physiologiques normaux de l'organisme et n'ont pas d'incidence sur la santé ; elles peuvent donc ne pas être traitées.
Une tumeur bénigne n'aurait nécessité aucun traitement ! L'intervention chirurgicale n'est nécessaire que si la tumeur se trouve à un endroit précis.
Il faut laisser la tumeur se développer, et lorsqu'elle se transforme en tumeur maligne ~ cancéreuse, il est bon de demander beaucoup d'argent, d'anxiété, de chirurgie ~ de résection ~ de radiothérapie, mais alors je ne sais pas vous dire comment une très bonne stase peut disparaître d'elle-même pour s'autoguérir ! Parce que ce n'est pas le savoir que les médecins d'aujourd'hui ont appris et maîtrisé ! C'est donc une tristesse pour ce patient !
Ces questions et réponses proviennent des utilisateurs du site, elles ne représentent pas la position du site, s'il y a une infraction, veuillez contacter l'administrateur pour la supprimer.