Quand une hémorragie cérébrale réapparaît-elle ?
Quand une hémorragie cérébrale réapparaît-elle ?
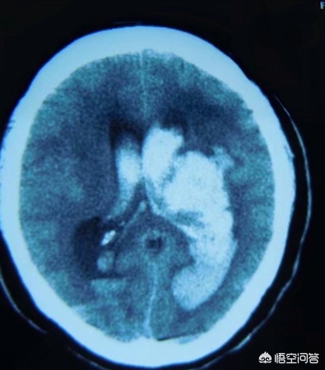
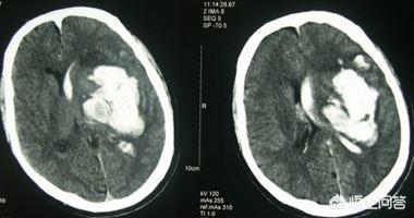
Les hémorragies cérébrales comprennent les hémorragies parenchymateuses et les hémorragies sous-arachnoïdiennes.
L'hémorragie parenchymateuse cérébrale est souvent associée à l'hémorragie cérébrale hypertensive, à l'hémorragie due à l'amylose vasculaire et à l'hémorragie due à la malformation artérioveineuse.
En théorie, les saignements dus à une malformation artérioveineuse ne se reproduiront plus une fois qu'elle aura été guérie.
L'hémorragie cérébrale hypertensive et l'amyloïdose vasculaire hémorragie cérébrale, hémorragie sous-arachnoïdienne causée par un anévrisme, en raison de changements dégénératifs dans la vieillesse, les lésions se produisant sous l'effet à long terme d'une variété de facteurs à haut risque, dans un certain nombre de facteurs soudains tels que l'excitation, le surmenage, les selles souvent retenues, et l'exercice intense, de sorte que la pression artérielle augmente soudainement, dépassant le seuil, entraînant une rupture vasculaire et une hémorragie.
Ainsi, même si la maladie est guérie cette fois-ci, ces facteurs de risque élevés ne peuvent pas être complètement contournés. Ainsi, en cas de situation provoquant une augmentation spectaculaire de la pression artérielle, il est possible de saigner à nouveau.
Mais il y a encore des choses qui requièrent notre attention.
1) Le plus important est de stabiliser la tension artérielle pour éviter les chutes accidentelles.
2 Prise régulière de médicaments à long terme, contrôle régulier de la tension artérielle, des lipides, de la glycémie, etc.
3, Le régime doit être moins salé ou même sans sel.
4. l'exercice léger peut être, chaque temps d'exercice ne doit pas être trop grand, le dernier exercice comme point de repère, le corps n'a pas d'inconfort comme ligne directrice, adhérer à la marche.
5) Contrôlez vos émotions, ne vous énervez pas et ne vous mettez pas en colère.
Qu'en est-il ? Vous pensez que cet article vous est utile, n'oubliez pas de cliquer sur le mot "attention" puis "like" ah ! Je suis un neurochirurgien professionnel engagé dans l'intervention du médecin, il y aura plus de connaissances sur la santé de la maladie cérébrovasculaire, des marchandises sèches "dédicace" à vous. Je vous remercie.
Facteurs de risque de récidive d'hémorragie cérébrale
hypertendu. La tension artérielle de tous les patients atteints d'hémorragie cérébrale doit être contrôlée. Les patients hypertendus doivent faire mesurer leur tension artérielle régulièrement, et les patients dont la tension artérielle est inférieure à 130/80 mmHg sont considérés comme étant bien contrôlés. L'excitation émotionnelle, les activités intenses, les baisses soudaines de température, etc. peuvent provoquer des fluctuations spectaculaires de la tension artérielle ; il faut donc essayer de les éviter.
Mauvais mode de vie.Il s'agit notamment d'éviter de boire de l'alcool plus de deux fois par jour, d'éviter le tabagisme et la toxicomanie, et de traiter rapidement l'apnée obstructive du sommeil. L'abus de substances fait référence à la toxicomanie et à d'autres drogues addictives ; l'apnée obstructive du sommeil, c'est-à-dire que certaines personnes ronflent et ronflent et ronflent. Il s'agit en fait d'une maladie, qui peut non seulement provoquer une hémorragie cérébrale, mais aussi des maladies cardiovasculaires.
Sites de saignement dans les hémorragies cérébrales débutantesL'hémorragie intra-lobaire est la plus susceptible de se reproduire.
âge avancé. Plus on vieillit, plus on risque de développer une amylose cérébrale, qui peut être considérée comme une maladie de dégénérescence du tissu nerveux et qui est susceptible de réapparaître en cas d'hémorragie cérébrale causée par la maladie.
Anticoagulants oraux à long termeEn ce qui concerne les anticoagulants oraux, il s'agit du facteur le plus compliqué, car les patients qui ont besoin d'anticoagulants oraux souffrent souvent de maladies cardiaques et cérébrales plus graves, telles qu'une cardiopathie rhumatismale, une fibrillation auriculaire, un infarctus du myocarde, etc. Par conséquent, la poursuite du traitement doit être discutée par les médecins des services concernés avant de parvenir à une conclusion.
Comme l'infarctus cérébral lacunaire et l'hémorragie intracrânienne spontanée partagent une pathogénie similaire, on pense aujourd'hui que les patients atteints d'infarctus cérébral lacunaire sont plus susceptibles d'être victimes d'une hémorragie cérébrale.
"Happy little doctor" pour votre réponse, à suivre avec plaisir !

L'hémorragie cérébrale comprend généralement l'hémorragie cérébrale hypertensive et l'hémorragie sous-arachnoïdienne spontanée, ainsi que l'hémorragie cérébrale traumatique au sens large, mais nous faisons surtout référence à l'hémorragie cérébrale hypertensive lorsque nous parlons d'hémorragie cérébrale dans la vie de tous les jours.
Et l'hémorragie cérébrale hypertensive ne signifie pas que si vous avez eu une hémorragie cérébrale, vous ne pourrez pas l'arrêter à l'avenir, au contraire, les patients qui ont eu une hémorragie cérébrale seront plus susceptibles d'avoir une autre hémorragie parce que si vous avez eu une hémorragie cérébrale, la plupart du temps cela signifie que les vaisseaux sanguins cérébraux du patient ont de l'athérosclérose, ont une pression artérielle élevée et c'est déjà très grave, et généralement cela s'appelle l'hypertension tertiaire en raison de la complication.
Si une hémorragie cérébrale s'est produite, il est important que le patient prenne des précautions pour éviter une nouvelle hémorragie.
1) Qu'il s'agisse d'une première hémorragie ou d'une hémorragie secondaire récurrente, la raison principale est que la tension artérielle n'est pas contrôlée ; le contrôle de la tension artérielle est donc l'élément le plus important de la prévention des hémorragies cérébrales et des hémorragies cérébrales récurrentes. Cela nécessite une bonne surveillance de la tension artérielle et la prise des médicaments à temps.
2) Contrôler la glycémie et les lipides sanguins, suivre un régime léger, limiter la consommation de sel, c'est une considération à long terme, qui peut ne pas être visible un repas ou deux, mais dont l'effet se fera sentir au fil du temps.
3. arrêter de fumer et limiter l'alcool, la fumée est inoffensive, elle peut faire monter la tension artérielle, vieillir les vaisseaux sanguins.
4. l'exercice physique approprié, la marche, le jogging, le tai-chi et d'autres sports, ne doivent pas être des exercices épuisants, mais doivent être pratiqués tous les jours.
5) Contrôlez vos émotions, équilibrez votre esprit, ne pensez pas à une solution unique et ne prenez pas à la légère les affirmations de remède miracle et de déracinement.
Toutes ces mesures réduiront considérablement le risque de récidive.
Chaque jour, "Happy little doctor" vous permet de faire avancer la santé des connaissances médicales, de partager des cas, n'oubliez pas de cliquer sur le coin supérieur droit de l'attention yo !
Je pense que les matins sont propices aux hémorragies cérébrales, qui peuvent également être déclenchées par des sautes d'humeur.
Mon père a eu une hémorragie cérébrale en juin 1979. Il s'est levé tôt, vers quatre heures, et est décédé vers cinq heures du matin.
Ma mère a également été victime d'une hémorragie cérébrale, qui s'est déclarée soudainement à la suite d'une détresse émotionnelle, vers 13 heures.
Mon troisième frère s'est levé tôt, vers 6 heures du matin, et a lui aussi été victime d'une hémorragie cérébrale.
Je suis un patient souffrant d'une hémorragie cérébrale et le début de l'attaque s'est produit tôt le matin, vers 4h30, avec un mal de tête, puis j'ai sombré dans le coma.
C'est un peu une généralisation, mais au moins cela montre que l'hémorragie cérébrale et le fait de se lever le matin sont des choses faciles.
Il y a tellement de maladies qui surviennent le matin, je n'ai pas réfléchi à leurs causes, peut-être que tôt le matin, le corps d'une personne est à son point le plus bas en 24 heures ?
Faut-il se lever tôt pour courir ? Il est préférable de prendre un petit-déjeuner pour répondre aux besoins de l'organisme.
J'ai pris l'habitude de demander pourquoi, chaque réponse m'apprend quelque chose que je ne comprends pas, la réflexion est un moyen d'apprendre quelque chose.
La belle-mère s'est manifestée le matin, le deuxième frère s'est manifesté le matin, Dame Zhang s'est manifestée le matin et le beau-frère s'est manifesté le matin. ......
Il semble que le matin soit une période de forte incidence de maladies graves, et il est important de prendre soin de son corps lorsqu'on se lève tôt, de se réveiller et de s'allonger pendant un certain temps, de s'asseoir au lit pendant un certain temps, et de ne pas se précipiter pour faire de l'exercice, afin d'éviter toute situation d'urgence.
Le printemps et l'automne sont également propices aux poussées. Veillez donc à rester au chaud et à sortir le moins possible lorsque les températures sont basses, mais la vie est faite d'exercice et il n'est pas trop tard pour sortir et faire de l'exercice lorsque les températures remontent.
Il existe de nombreuses maladies pour lesquelles, après une hospitalisation, les médecins vous expliquent, à votre sortie de l'hôpital, que vous devez faire attention à ceci et à cela pour éviter la récurrence de la maladie, et l'hémorragie cérébrale fait partie de ces maladies susceptibles de récidiver.
Les personnes souffrant d'hémorragie cérébrale sont généralement atteintes de nombreuses maladies chroniques, telles que l'hypertension, le diabète, l'hyperlipidémie et l'hyperhomocystéinémie. Dans ce contexte, l'hypertension artérielle est la plus dangereuse ; après une hémorragie cérébrale, si l'hypertension artérielle n'est pas contrôlée efficacement, l'hypertension artérielle à long terme provoque des spasmes et un durcissement des vaisseaux sanguins de l'ensemble du corps, en particulier des petites artères, dont l'élasticité diminue ; en cas d'excitation émotionnelle soudaine, le rythme cardiaque s'accélère, la pression artérielle augmente facilement et provoque une rupture et une hémorragie, ce qui entraîne une seconde hémorragie cérébrale.
L'hyperglycémie, l'hyperlipidémie et l'hyperhomocystéine affectent les vaisseaux sanguins, accélérant l'athérosclérose et augmentant le risque d'une seconde hémorragie cérébrale.
Il y a aussi les mauvaises habitudes, car les personnes qui ont eu une hémorragie cérébrale ont des vaisseaux sanguins en mauvais état. Si elles continuent à fumer, à boire de l'alcool, à manger de la malbouffe, à se coucher tard et ainsi de suite, les vaisseaux sanguins seront plus ou moins endommagés, ce qui augmentera le risque d'une deuxième hémorragie cérébrale.
Par conséquent, si vous avez déjà subi une hémorragie cérébrale, il est important de prendre des précautions pour satisfaire aux exigences de base en matière de réduction de la tension artérielle, des lipides et du sucre, et de modifier les mauvaises habitudes afin de réduire le risque d'une deuxième hémorragie cérébrale.
L'hémorragie cérébrale est un saignement dans le parenchyme cérébral dû à des facteurs non traumatiques, le plus fréquent étant l'hémorragie cérébrale hypertensive.
L'hypertension artérielle à long terme entraîne souvent une athérosclérose des petites artères du cerveau, et d'autres facteurs tels que le diabète entraînent également de petites lésions artérielles, sur lesquelles une augmentation soudaine de la pression artérielle peut provoquer une rupture des artères cérébrales.
Par conséquent, afin de prévenir la récurrence de l'hémorragie cérébrale, l'un des aspects les plus importants est de prêter attention au contrôle de la pression artérielle, qui doit non seulement être contrôlée dans un état idéal, mais aussi, et surtout, être stable et ne pas être sujette à des hauts et des bas importants.
Outre les médicaments destinés à contrôler l'hypertension artérielle, les personnes ayant des antécédents d'hémorragie cérébrale doivent également veiller à contrôler leurs émotions, à éviter les crises de colère, la surexcitation et l'exercice physique intense, et à se réchauffer lorsque le temps change, en particulier pendant l'automne et l'hiver.
Quand une hémorragie cérébrale réapparaît-elle ?
Les hémorragies cérébrales sont toujours susceptibles de récidiver sans présenter de facteurs de risque élevés, ce qui est l'une des principales raisons pour lesquelles cette maladie est dangereuse. Par conséquent, une fois que vous avez subi une hémorragie cérébrale, vous êtes exposé à un risque élevé de récidive, et dans votre vie, vous devez y prêter une grande attention, et également suivre la prescription de médicaments du médecin en temps opportun, afin d'éviter l'accumulation de facteurs de risque, qui peuvent conduire à des situations d'urgence.
En Chine, l'incidence de l'hémorragie cérébrale est de 70 pour 100 000 personnes par an, avec une prévalence de 112 pour 100 000 personnes, ce qui est beaucoup plus élevé que dans les pays occidentaux et les autres pays asiatiques. Le taux de mortalité à un mois après une hémorragie cérébrale est de 40 %, et seuls 12 % des survivants ne sont pas handicapés. Le taux de récurrence pour les survivants d'une hémorragie cérébrale est de 20 %. En résumé, l'hémorragie cérébrale présente les caractéristiques suivantes : forte incidence, forte récurrence, forte incapacité et forte mortalité.

Les causes de l'hémorragie cérébrale sont multiples et varient d'une personne à l'autre. La recherche des causes de l'hémorragie cérébrale facilitera l'adoption de mesures de prévention et de traitement ciblées dans la clinique. Les causes de l'hémorragie cérébrale peuvent être divisées en : lésions vasculaires structurelles ; utilisation de drogues ; angiopathie amyloïde cérébrale ; maladies systémiques ou autres ; hypertension ; et hémorragie cérébrale d'origine inconnue.
Il est important de s'attaquer à la cause de la maladie !
Des études cliniques ont confirmé que l'hypertension est le facteur de risque le plus important et le plus indépendant d'hémorragie cérébrale, et que l'augmentation de la pression artérielle systolique et diastolique est positivement associée au risque d'hémorragie cérébrale. La pression artérielle de tous les patients atteints d'hémorragie cérébrale doit être contrôlée. Les mesures de contrôle de la pression artérielle doivent être mises en œuvre immédiatement après l'apparition de l'hémorragie cérébrale. L'hypertension est également l'une des causes les plus fréquentes d'hémorragie cérébrale.
Comment utiliser mes médicaments pour prévenir les rechutes ?
Prévention d'un resaignement précoce Après une hémorragie cérébrale, un resaignement précoce/une expansion de l'hématome doit être identifié(e) et traité(e) rapidement. L'anticoagulation peut être envisagée pour la prévention des saignements tardifs.
Il est recommandé d'éviter l'anticoagulation à long terme par la warfarine en cas de fibrillation auriculaire non valvulaire après une hémorragie lobaire spontanée associée à la warfarine.
Réduction du risque de récidive avec le dabigatran, le rivaroxaban ou l'apixaban chez les patients ayant déjà subi une hémorragie cérébrale associée à une fibrillation auriculaire.
Si nécessaire, une monothérapie antiplaquettaire peut être envisagée chez les patients présentant une hémorragie cérébrale. La monothérapie à l'aspirine peut être reprise dans les jours qui suivent l'apparition de l'hémorragie cérébrale. La question de savoir s'il faut limiter l'utilisation des statines chez les patients souffrant d'hémorragie cérébrale n'est pas concluante.
Je suis le pharmacien Wang, qui insiste sur la diffusion des connaissances sur les maladies cardiovasculaires et cérébrovasculaires avec des mots simples et faciles à comprendre, et qui consacre ses modestes efforts à une Chine en bonne santé. Si vous pensez que ma réponse vous est utile, n'hésitez pas à laisser un "j'aime" ! Par ailleurs, si vous avez d'autres questions, n'hésitez pas à laisser un message, nous en discuterons ensemble !
Si le patient présente une hémorragie cérébrale, celle-ci est due à la présence de malformations artérioveineuses ou à l'hypertension, le patient peut également récidiver. Par exemple, les patients souffrant depuis longtemps d'hypertension artérielle sont facilement sujets à l'athérosclérose ; si la tension artérielle du patient n'est pas bien contrôlée, le patient est sujet à des hémorragies par rupture des vaisseaux sanguins, et si la rupture des vaisseaux sanguins se produit dans la zone intracrânienne, il est facile d'entraîner une hémorragie cérébrale.
La plupart des hémorragies cérébrales sont dues à des causes primaires, et les patients souffrent souvent d'hypertension, de diabète sucré, d'hyperlipidémie et d'autres maladies, et ces patients sont susceptibles de récidiver si ces facteurs de risque ne sont pas bien contrôlés.
Il existe de nombreux types d'hémorragies cérébrales et les risques de récidive varient selon les catégories. Les hémangiomes cérébraux, la maladie du smog, etc. sont les plus susceptibles de récidiver. Si la cause de la maladie est complètement résolue par la chirurgie après la première attaque, la récidive est peu probable, mais elle est facile à récidiver si elle est traitée de manière conservatrice. En ce qui concerne l'hémorragie cérébrale hypertensive, si la tension artérielle est bien contrôlée et si le patient veille à un bon entretien et à de bonnes habitudes de vie, le risque de récidive est faible. Il existe d'autres catégories, très complexes, qui ne sont pas répertoriées.
Les hémorragies cérébrales sont généralement divisées en hémorragies parenchymateuses et hémorragies sous-arachnoïdiennes. Dans le premier cas, il s'agit souvent d'hémorragies cérébrales hypertensives, d'hémorragies dues à l'amylose vasculaire et d'hémorragies dues à des malformations artérioveineuses (qui ne réapparaissent généralement pas après la guérison).
À l'exception de l'hémorragie causée par une malformation artérioveineuse, les autres sont liées aux changements dégénératifs de la vieillesse, accompagnés d'une variété de facteurs à haut risque, sous l'effet à long terme, soumis à certains facteurs inattendus, tels que l'excitation émotionnelle, la fatigue, la constipation, l'exercice physique intense, la toux violente, etc., de sorte que la pression artérielle augmente soudainement, les vaisseaux sanguins sont incapables de résister à l'augmentation spectaculaire de la pression, ce qui entraîne la rupture des vaisseaux sanguins et l'hémorragie. Le principe de l'hémorragie cérébrale est à peu près le même.
L'hémorragie cérébrale est intrinsèquement dangereuse, et il est formidable de survivre la première fois. Même si elle est guérie cette fois-ci, les facteurs de risque élevés sont toujours présents, et nombre d'entre eux sont inévitables, entraînant une forte probabilité d'une nouvelle hémorragie lorsqu'elle est provoquée par des stimuli, tels que l'augmentation de la pression artérielle.
Certains facteurs ne peuvent être totalement évités, mais il suffit d'y prêter plus d'attention dans la vie quotidienne.
Une médication régulière, à long terme et stable, un contrôle strict de la tension artérielle, un examen régulier de la tension artérielle, des lipides sanguins, de la glycémie et d'autres facteurs à haut risque, ainsi que la prévention des chutes qui, outre les fractures, peuvent induire directement ou indirectement une hémorragie cérébrale. Le régime alimentaire doit être pauvre en sel et en graisses et léger.
L'exercice peut être léger et modéré, sans aucune gêne physique comme point de repère, vous pouvez marcher, jouer au tai-chi, etc. Apprendre à contrôler ses propres émotions, éviter de jouer au mahjong et à d'autres jeux susceptibles de provoquer de la colère, de l'excitation et d'autres comportements émotionnels anormaux, ne pas se coucher tard. En bref, il s'agit d'une vie saine.
Enfin, une bonne santé.
Ces questions et réponses proviennent des utilisateurs du site, elles ne représentent pas la position du site, s'il y a une infraction, veuillez contacter l'administrateur pour la supprimer.