Qu'est-ce qui peut se passer avec de multiples foyers fibrotiques calcifiés dans les deux poumons ?
Qu'est-ce qui peut se passer avec de multiples foyers fibrotiques calcifiés dans les deux poumons ?
Je suis le Dr Little Shadow, un médecin spécialiste de l'imagerie. Les multiples foyers fibreux et calcifiés dans les deux poumons sont des cicatrices résiduelles provenant de l'absorption de l'inflammation et sont très probablement la tuberculose. S'il y a des stries fibreuses et des foyers calcifiés, cela signifie que la cicatrice est devenue ancienne et qu'elle a guéri. La cicatrice cicatrisée peut-elle disparaître ? Il est très difficile de la faire disparaître. Il n'est pas nécessaire de trop la traiter. Très peu de stries fibreuses et de foyers chéloïdes calcifiés se transforment en carcinome chéloïde, mais la probabilité est très faible. Si la masse a tendance à augmenter en taille et en solidité lors du suivi, il convient d'être prudent.
Que signifient les foyers fibreux et calcifiés dans les deux poumons ??
Lorsque de nombreuses personnes passent une radiographie du thorax ou un scanner des poumons et y trouvent les mots fibrose ou calcification, elles ne savent pas ce que cela signifie : s'agit-il d'une tumeur cancéreuse ? Pour nous, médecins du service d'imagerie, ce type de diagnostic est très familier, car nous devons fournir de très nombreux rapports de ce type chaque jour.
Tout d'abord, ne vous inquiétez pas trop lorsque vous voyez dans un rapport les mots foyers fibreux et calcifiés dans les deux poumons. Les foyers fibreux et calcifiés, en termes simples, signifient qu'après une inflammation ou une lésion pulmonaire antérieure, qui a maintenant été absorbée, il reste des cicatrices dans les poumons. Par exemple, si vous souffrez d'une pneumonie chronique et que vous toussez beaucoup, le traitement peut être complètement absorbé ou certains de ces foyers fibreux peuvent subsister.
Deuxièmement, dans le cas de multiples foyers de stries fibreuses dans les segments supérieurs et dorsaux des lobes supérieurs et inférieurs des poumons, il est fort probable qu'il y ait eu une infection tuberculeuse antérieure, qui est maintenant traitée, et que des cicatrices aient été laissées dans les poumons. Les foyers fibreux et calcifiés sont un facteur important pour le médecin spécialiste de l'imagerie afin d'évaluer si la tuberculose s'est améliorée ou non. Par exemple, si un jeune homme est atteint de tuberculose et prend son traitement, et qu'après deux mois il repasse un scanner pour voir s'il y a résorption, et s'il voit une fibrose et une calcification, c'est une bonne chose, et cela signifie que la lésion se résorbe et qu'elle s'améliore. Si la lésion est complètement fibrosée et calcifiée, il s'agit alors d'une tuberculose ancienne, ce qui signifie que la tuberculose est guérie et que vous pouvez travailler et vivre normalement.
La plupart des anciennes tuberculoses peuvent être laissées en l'état, mais un très petit nombre d'entre elles développent une tumeur maligne et se développent sur les foyers de stries fibreuses. La plupart des foyers sont inchangés à l'examen, mais si les foyers apparaissent élargis et deviennent solides à l'examen, il est important d'être conscient de la possibilité d'un cancer cicatriciel.
La fibrose pulmonaire est en effet un concept différent

Il existe également un terme appelé fibrose pulmonaire, qui diffère des foyers de fibrose pulmonaire et de calcification. Les poumons normaux peuvent respirer, mais la fibrose pulmonaire signifie que les poumons ont perdu leur fonction respiratoire et qu'il ne reste plus que des bandes fibreuses sans tissu alvéolaire normal, ce qui est généralement évident dans la plèvre inférieure des deux poumons inférieurs. Certaines maladies du système immunitaire, telles que le lupus érythémateux disséminé, la spondylarthrite obligatoire, le syndrome sec, etc., impliquent facilement les poumons, la fibrose pulmonaire, et l'empoisonnement au paraquat, cause de décès, est principalement due à la cause de la fibrose pulmonaire. La fibrose pulmonaire, c'est-à-dire l'absence de fonction respiratoire des poumons, entraîne une dyspnée, une insuffisance respiratoire et, finalement, la mort.
Je le suis.Dr. Shadow. Pour en savoir plus sur la médecine, suivez-moi.
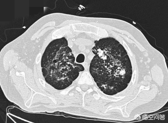
En général, des foyers striés limités ou des foyers calcifiés indiquent qu'il s'agit d'une lésion ancienne, et la figure suivante est une image CT typique d'un patient présentant des foyers calcifiés dans la partie apicale du poumon gauche.
Quelles sont les maladies pulmonaires qui provoquent des foyers calcifiés ou des foyers de stries fibreuses ?
La plus fréquente est l'inflammation ou l'infection des poumons, parce que l'inflammation limitée ou les foyers d'infection dans les poumons dans l'exsudation inflammatoire et l'ensemble du processus anti-inflammatoire, après la stimulation chronique, dans les poumons laissera des foyers locaux de bandes fibreuses, une partie du bord peut tirer la plèvre. Sur le scanner ou la radiographie, cela ressemble à une ligne d'ombres de densité légèrement plus élevée avec des limites claires.
Une autre forme plus courante de tuberculose est la tuberculose pulmonaire ancienne, qui apparaît généralement après la guérison de la tuberculose, sous forme de foyers limités dans les lobes ou segments des poumons où la tuberculose s'est déclarée, souvent accompagnés de foyers ponctuels ou nodulaires de calcification. Il convient d'ajouter qu'en cas de pleurésie tuberculeuse secondaire, de larges foyers de calcification le long de la plèvre peuvent être présents.
Il existe également des cas de lésions de la paroi thoracique causées par des traumatismes thoraciques, des contusions des lobes pulmonaires ou des accumulations de sang dans les poumons, qui peuvent être chroniques et secondaires à des foyers striés localisés ou à des foyers calcifiés sous-pleuraux.
Quels examens permettent de détecter des foyers striés ou calcifiés dans les poumons ? Faut-il les traiter ?
Le moyen le plus efficace de vérifier la présence de foyers fibrotiques ou calcifiés dans les poumons consiste à effectuer une radiographie ou un scanner thoracique, mais la clarté et la précision du scanner thoracique sont évidemment plus élevées que celles de la radiographie, et son prix est un peu plus élevé.
D'une manière générale, s'il s'agit d'une tache limitée ou de quelques foyers fibreux dans des lobes ou des segments localisés des poumons, il n'est pas nécessaire d'appliquer un traitement particulier, car il s'agit d'un ancien foyer chronique résiduel de la maladie pulmonaire, qui ne continuera pas à se développer. Mais s'il s'agit de foyers de calcification particulièrement importants le long de la plèvre ou de segments pulmonaires locaux, qui affectent la fonction respiratoire et provoquent une gêne respiratoire évidente, il est nécessaire de recourir à la chirurgie thoracique pour le traitement.
La description de multiples foyers fibrocalcifiés dans les deux poumons figure généralement sur le compte rendu d'un examen tomodensitométrique des poumons. De nombreuses personnes ne comprennent pas vraiment ce que signifient les foyers fibrocalcifiés et pensent même qu'il pourrait s'agir d'une tumeur, ce qui est une préoccupation tout à fait inutile.

Les foyers fibro-calcifiés dans les poumons ne sont pas particulièrement graves et ne doivent pas être traités ; il s'agit généralement de cicatrices d'une ancienne infection pulmonaire. Une infection plus courante est la tuberculose, et de nombreux patients atteints de tuberculose latente développent l'infection à un jeune âge et développent des foyers fibro-calcifiés dans les poumons après leur guérison. Les foyers fibrotiques ou calcifiés représentent les traces d'une maladie pulmonaire antérieure, comme une cicatrice laissée par une coupure sur la peau. Si le patient a des antécédents clairs de tuberculose, le rapport de tomodensitométrie ajoutera généralement qu'une tuberculose ancienne est envisagée.

Pourquoi des foyers fibro-calcifiés apparaissent-ils dans la tuberculose ?
Lorsqu'un nombre considérable de bacilles tuberculeux virulents envahissent le tissu pulmonaire, s'y développent et s'y multiplient, produisant des métabolites, le tissu pulmonaire est endommagé et une nécrose caséeuse se produit, dans laquelle la structure normale du tissu pulmonaire et les fonctions physiologiques disparaissent. Si la résistance de l'organisme est forte ou si des médicaments antituberculeux sont administrés par voie orale, le métabolisme de Mycobacterium tuberculosis dans les foyers caséeux diminue, sa capacité à se reproduire est affaiblie, les foyers se dessèchent par perte d'eau et le carbonate et le phosphate de calcium s'y fixent pour former des calcifications. Le tissu alvéolaire détruit perd son élasticité et sa fonction et forme des foyers fibreux. Les foyers fibrocalcifiés dans les poumons sont une forme de tuberculose guérie.

Les foyers fibrocalcifiés ont-ils un effet sur l'organisme ?
Les foyers fibro-calcifiés dans les poumons sont généralement irréversibles, ce qui signifie que le tissu pulmonaire ne fonctionne plus normalement. Si la fibrose est petite, d'autres tissus pulmonaires peuvent la compenser et il n'y a pratiquement aucun effet sur le corps ou la fonction pulmonaire. Si elle est étendue et si le patient souffre d'une autre maladie pulmonaire sous-jacente, elle peut entraîner une réduction de la fonction pulmonaire et des symptômes tels qu'une toux sèche, l'hypoxie et la dyspnée. La plupart des foyers fibrocalcifiés causés par une tuberculose ancienne sont relativement peu étendus et les lésions sont si stables qu'elles ne s'étendent pas et n'affectent généralement pas la fonction pulmonaire. Cependant, il faut généralement essayer de ne pas fumer, de rester à l'écart des environnements fortement pollués, de se faire examiner régulièrement et de faire de l'exercice de manière appropriée afin d'augmenter la capacité pulmonaire.

Strictement parlant, les foyers fibro-calcifiés pulmonaires ne peuvent être qualifiés de maladie, ils sont le résultat de la reconstruction du site de la lésion pulmonaire, une manifestation de la guérison de la lésion, l'utilisation de médicaments ne peut généralement pas être éliminée, et ne nécessite pas de traitement. Il s'agit d'un concept complètement différent de la fibrose pulmonaire causée par la pneumonie interstitielle idiopathique, qui est une maladie pulmonaire difficile reconnue par l'Organisation mondiale de la santé et qui a de graves conséquences en termes de changements structurels dans le tissu pulmonaire normal, ce qui peut entraîner une perte de fonction et une insuffisance respiratoire.
Tout d'abord, les foyers fibreux et les foyers calcifiés dans les poumons sont des lésions bénignes qui ne causent aucun problème, ne vous inquiétez donc pas.
Les foyers fibreux et les foyers calcifiés se manifestent à l'imagerie thoracique.
Les foyers fibrotiques pulmonaires se trouvent généralement dans les lésions fibrotiques laissées après la résorption de l'inflammation dans les poumons, un peu comme une peau cassée qui a guéri et laissé une cicatrice.
Les foyers calcifiés dans les poumons sont le résultat de la réparation et de la guérison de l'organisme, ainsi qu'un critère de guérison de la maladie, représentant la guérison de la maladie et signalant une régression bénigne. Par exemple, si la tuberculose est guérie après un traitement standardisé, un scanner thoracique indiquera la formation de quelques foyers calcifiés, indiquant que la maladie a été guérie.
Les foyers fibrotiques pulmonaires limités et les foyers calcifiés n'ont pas d'effet sur la fonction pulmonaire et ne produisent pas d'effets indésirables sur l'organisme, de sorte qu'aucun autre traitement n'est nécessaire. Il suffit de veiller à un suivi régulier.
Merci ! Les affections de ce type n'entraînent pas de problèmes très graves. Des examens de suivi réguliers sont recommandés et il est important d'être conscient de ses symptômes.
Nombre de ces manifestations sont dues à des maladies pulmonaires antérieures, telles que la pneumonie, la tuberculose ou même des abcès pulmonaires.
Toutefois, la maladie peut être guérie par un traitement agressif et il est possible qu'une certaine quantité de tissu cicatriciel subsiste par la suite et se développe progressivement, aboutissant à cet état de fait.
En fait, celui-ci est comme un tissu qui a été déchiré puis recousu avec le chas d'une aiguille, en l'occurrence.
Cette situation est donc très courante dans le travail clinique réel et n'a pas de signification particulière.
Cependant, il est recommandé ici d'être vigilant, car il y a beaucoup de tissus cicatriciels, qui plus tard peuvent former un cancer, il est recommandé d'être attentif à ses propres symptômes, si en effet les symptômes sont plus prononcés ou l'émergence d'une toux de mucosités, ou même d'une toux de sang, ces cas à temps de se rendre à l'hôpital pour effectuer des examens, éclaircir leur situation spécifique.
Si un cancer du poumon est envisagé, une ponction-biopsie précoce peut être effectuée, ce qui permet de clarifier les changements dans l'état de santé et est plus propice au traitement global.
Je vous souhaite une bonne santé !
Si vous avez des questions, vous pouvez cliquer sur la page d'accueil personnelle et demander des conseils en bas de page. Nous vous invitons à aimer, à commenter, à faire suivre, à prêter attention, à vous faire comprendre le monde réel de la neurochirurgie (chirurgie du cerveau). (Pour un traitement raisonnable et légal des maladies, veuillez choisir les canaux habituels)
L'incidence du cancer du poumon étant de plus en plus élevée, de nombreuses personnes s'intéressent au dépistage du cancer du poumon, qui permet de détecter à temps les anomalies pulmonaires. Il y a quelques jours, un patient m'a demandé ce qu'il y avait de mal à vérifier la présence de multiples foyers fibrotiques calcifiés dans les deux poumons.

Qu'est-ce qui peut se passer avec de multiples foyers fibrotiques calcifiés dans les deux poumons ?
Il y a de nombreux facteurs qui conduisent à la fibrose des poumons, l'essentiel est de regarder la prolifération des fibroblastes dans les poumons, il n'y a pas de dommages inflammatoires, il n'y a pas de dommages aux alvéoles, et ainsi de suite, et vous devez également savoir s'il y a eu une radiothérapie thoracique.
Les foyers calcifiés pulmonaires surviennent surtout chez les personnes âgées, en particulier chez les patients ayant des antécédents de tuberculose. Des ombres calcifiées peuvent être observées sur les examens d'imagerie après le traitement de la tuberculose.
Si les calcifications pulmonaires sont associées à des nodules pulmonaires, il convient de les considérer différemment, car les nodules pulmonaires peuvent être malins ou bénins et sont jugés sur la base de leur taille, de leur localisation, de leur taux de croissance et de leur morphologie.

S'il est morphologiquement poilu, un nodule de verre dépoli est plus susceptible d'être malin ; s'il a des bords lisses, il est plus susceptible d'être bénin ;
Par conséquent, il est nécessaire de procéder à un examen spécifique, de suivre les instructions du médecin pour le traitement, si nécessaire, une observation régulière et ensuite un traitement, si le volume du nodule est relativement important, il est généralement nécessaire de procéder à une ponction, afin d'obtenir les résultats de l'examen pathologique.
En fait, les foyers calcifiés ne sont pas nocifs, mais s'ils sont accompagnés de nodules, il faut y prêter attention, en particulier dans les cas de tumeurs malignes, et coopérer activement au traitement, afin de ne pas continuer à se détériorer, ce qui a un impact sur la vie et la santé.
La plus fréquente est l'inflammation ou l'infection des poumons, parce qu'une inflammation ou une infection limitée des poumons dans l'exsudat inflammatoire et l'ensemble du processus anti-inflammatoire, après la stimulation chronique, dans les poumons laissera des foyers fibreux locaux, une partie du bord de la plèvre peut être tirée. Au scanner ou à la radiographie, ils ressemblent à une ombre de densité légèrement plus élevée, avec des bords bien définis.
Une forme plus courante de tuberculose est la tuberculose pulmonaire ancienne, qui apparaît généralement après la guérison de la tuberculose, sous forme de foyers limités dans les lobes ou segments des poumons où la tuberculose s'est déclarée, souvent accompagnés de foyers ponctuels ou nodulaires de calcification. Il convient d'ajouter qu'en cas de pleurésie tuberculeuse secondaire, de grands foyers de calcification le long de la plèvre peuvent apparaître.

Les traumatismes thoraciques entraînant des lésions de la paroi thoracique, une contusion lobaire ou une accumulation de sang dans les poumons peuvent également être chroniques en raison de la présence de foyers striés localisés ou de foyers calcifiés sous-pleuraux.

Les foyers fibro-calcifiés dans les poumons sont généralement dus à la maladie pulmonaire initiale du patient, telle que la tuberculose inflammatoire des poumons. Les cicatrices sont laissées après la guérison par le traitement ou l'autoréparation.
Si les foyers calcifiés sont simples et ne sont pas suffisamment grands pour affecter la fonction pulmonaire, ils ne nécessitent pas de traitement particulier et n'affectent pas la santé. Si les foyers calcifiés sont de grande taille, qu'ils affectent sérieusement la fonction pulmonaire du patient ou que des infections récurrentes se produisent, il est nécessaire de mettre en œuvre un traitement anti-infectieux standard sous la supervision du médecin. Les foyers fibro-calcifiés dans les poumons sont un phénomène courant en clinique. Il s'agit d'anciennes modifications laissées par la guérison de la maladie pulmonaire initiale du patient, qui ne sont pas causées par des lésions malignes dans les poumons, et qui ne nécessitent donc pas de traitement particulier.

Life Road Public Health estime que cette fois-ci, cela indique que les poumons dans le stimulus inflammatoire, la toux à long terme, la tuberculose, etc., causés par cette cicatrice sur les poumons, ont été bien, n'ont pas besoin de soins.
En règle générale, elle n'affecte pas la fonction pulmonaire et peut être ignorée en l'absence de symptômes. S'il affecte la fonction pulmonaire, c'est peut-être parce que vous êtes enrhumé et que vous êtes plus enclin à tousser et à produire des mucosités que d'autres personnes, ce qui peut vous affecter quelque peu. Dans les autres cas, il n'y a pas d'effet.
Il s'agit d'une lésion, sur la peau si vous la brisez, il y aura une cicatrice, vous le savez, mais sur les organes internes s'il y a une inflammation, s'il y a eu une inflammation, il y aura des taches calcifiées, dans les poumons, le foie. L'examen montrera donc qu'il y a des taches calcifiées, ce qui signifie que vous avez eu des inflammations et des infections dans les poumons, comme des rhumes et des toux, comme des bronchites, comme des tuberculoses, tant que l'inflammation des poumons, formera cette tache calcifiée.

À ce stade, il est nécessaire de vérifier s'il y a une tuberculose active, c'est-à-dire de voir si l'inflammation pulmonaire actuelle n'est pas bonne, si elle est bonne, c'est parce qu'il y a eu formation de certains phénomènes dans le passé, si elle n'est pas bonne, cela augmentera les nouveaux foyers de calcification du phénomène, il faut donc vérifier le traitement symptomatique, si l'inflammation est traitée par des anti-inflammatoires symptomatiques, si la tuberculose est traitée par la tuberculose et non par le traitement de la tuberculose. Si la maladie est en voie de guérison, le traitement symptomatique peut être appliqué.

Ce test ne sert donc pas à dire qu'il y aura un problème, mais à montrer qu'il y a eu une infection dans les poumons, qu'il y a des foyers présents, que ces foyers existeront pendant longtemps, qu'il y aura une nouvelle inflammation, qu'il y aura une nouvelle augmentation des points de calcification, que la maladie est guérie et qu'un processus de récupération n'a pas besoin de figurer dans le traitement de la présence d'une cicatrice comme celle-là.

Ces questions et réponses proviennent des utilisateurs du site, elles ne représentent pas la position du site, s'il y a une infraction, veuillez contacter l'administrateur pour la supprimer.