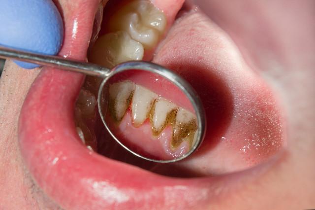
Tous les soirs, lorsque je me brosse les dents, je constate la présence d'un tartre épais à l'intérieur de mes incisives, et je peux délicatement gratter la texture avec ma main, que dois-je faire ?
Tous les soirs, lorsque je me brosse les dents, je constate la présence d'un tartre épais à l'intérieur de mes incisives, et je peux délicatement gratter la texture avec ma main, que dois-je faire ?
Le tartre, qui nécessite une visite à l'hôpital pour un détartrage.
Le tartre dentaire contient un grand nombre de bactéries qui peuvent causer de nombreux dommages, par exemple un mauvais goût dans la bouche, des saignements des gencives, une récession gingivale, les symptômes de la gingivite, et au fur et à mesure de l'évolution, se transformer en maladie parodontale.
Le tartre peut être éliminé par un détartrage dans un service de stomatologie hospitalier, ce qui n'endommagera pas les dents, n'amincira pas l'émail, n'endommagera pas l'émail, ne rendra pas les dents mobiles et n'élargira pas l'espace entre les dents.
Le détartrage est une vibration micro-ondes à haute fréquence qui brise les gros morceaux de calcul et les déloge, au lieu de les broyer comme nous le pensons habituellement.
Le tartre appuie sur les gencives pendant une longue période et les fait rétrécir, de sorte qu'après avoir enlevé le tartre, vous aurez l'impression que l'espace entre vos dents s'élargit et vous aurez une sensibilité au chaud et au froid, qui n'est pas causée par le détartrage, mais qui est un problème en soi.
Les dents branlantes le sont aussi, le tartre maintient toutes les dents branlantes ensemble, de sorte que vous ne sentez pas que les dents sont branlantes avant de les faire nettoyer, mais une fois le tartre enlevé, les dents ne sont plus un tout, mais chacune individuellement, de sorte que vous sentez que les dents sont branlantes.
Il faut donc se laver les dents une à deux fois par an et veiller à l'hygiène bucco-dentaire pour prévenir la gingivite et les maladies parodontales.
De la part d'un homme qui vient de se faire nettoyer les dents.
Je me suis fait nettoyer les dents la semaine dernière et je pense que j'ai mon mot à dire en la matière. Sérieusement, ceux d'entre vous qui n'ont jamais fait nettoyer leurs dents et qui disent que c'est mauvais, je vous conseille vivement d'essayer avant de parler.
La semaine dernière, j'ai décidé de me faire nettoyer les dents parce que je ne supportais plus la douleur des gencives qui saignent tous les jours et la douleur des dents aigries lorsque je buvais de l'eau froide. Bien sûr, j'ai fait beaucoup de recherches sur Internet pour me donner du courage avant le nettoyage, honnêtement je n'ai aucune idée dans mon for intérieur. Après avoir lu de nombreux articles, j'ai choisi de me faire nettoyer les dents dans un hôpital ordinaire, après tout, je sens au fond de moi que l'hôpital a une garantie plus formelle !
J'ai opté pour un nettoyage des dents au jet de sable. Après m'être lavé les dents et rincé la bouche au lavabo, j'ai recraché une très grande quantité de tartre, qui s'était beaucoup écoulé avec l'eau pendant le détartrage avant que je ne me rende compte de son état. Bien sûr. C'est vrai que les dents sont plus sensibles et ont une sensation de faiblesse pendant les deux premiers jours après le nettoyage. Et j'ai un petit conseil à donner à ceux qui viennent de se faire nettoyer les dents. Brossez-vous les dents régulièrement et fumez moins. Tout ira bien quand les dents ne seront plus aussi sensibles.
Maintenant, mes dents ne sont plus sensibles et mon haleine a disparu. En effet, pour moi, le nettoyage des dents est une bonne chose.
J'ai 24 ans. J'ai 24 ans. Habituellement fumeuse, je ne faisais pas très attention à ma santé dentaire avant le nettoyage. En fait, pour être honnête. je ne sais pas de quoi vous parlez.
Si les dents de l'enfant sont déjà problématiques, est-il normal de ne pas se laver les dents ?
Mon avis n'est donné qu'à titre de référence. J'espère qu'il vous sera utile à tous.
Dans cet article:Que dois-je faire si j'ai quelque chose d'épais à l'intérieur de mes incisives que je peux casser avec mes mains ? En tant que dentiste, ma réponse est la suivante.Il s'agit d'un type courant de tartre dans la bouche, et il est possible que vous puissiez en enlever une partie avec vos mains lorsque vous vous brossez les dents, mais il est impossible de le faire disparaître complètement. Lorsque le tartre se forme, un nettoyage régulier est nécessaire pour l'éliminer.

Comment se forme le calcul ?
Le tartre est une substance étrangère dans la bouche, et ce n'est pas quelque chose dont on entend dire qu'il peut stabiliser les dents, c'est pourquoi il faut s'en débarrasser rapidement !
Brièvement, l'origine du tartre dentaire : tout d'abord, la surface des dents forme une fine pellicule, puis les bactéries sont adsorbées les unes après les autres, associées à des débris alimentaires, des sels de calcium, etc. qui se minéralisent progressivement et adhèrent étroitement à la surface des dents.

Où trouve-t-on facilement le calcul ?
Beaucoup de gens pensent toujours que la cavité buccale est en très bon état, qu'il n'y a pas de douleur ni d'anomalie de couleur, comment pourrait-il y avoir du tartre ? En fait, de nombreuses personnes se brossent les dents uniquement pour voir la surface extérieure de la brosse, en ignorant les endroits cachés, mais ne savent pas que ces endroits sont la cause du gonflement et de la douleur des gencives, de la résorption de l'os alvéolaire, la raison principale du déchaussement des dents.
Le tartre dentaire, qui apparaît généralement à la surface des dents peu utilisées, envoûte les patients qui mâchent sur la face biaisée de la face d'utilisation des déchets, très recouverte de tartre dentaire. En outre.Les dents antérieures mandibulaires, parce qu'il s'agit de l'ouverture des canaux salivaires, riches en minéraux, faciles à déposer et à former le tartre dentaire, on peut voir les incisives inférieures du côté lingual de la matière étrangère jaunâtre lorsque l'on ouvre la bouche en grand.

Ne puis-je pas enlever le calcul ?
De nombreuses personnes pensent que le tartre fait partie des tissus normaux de la bouche et qu'il contribue à la solidité des dents.
En fait, il s'agit d'une idée fausse.
Les effets courants du tartre dentaire sont les suivants : odeur buccale, décoloration des dents, altération de la communication interpersonnelle ; gonflement et douleur des gencives, carie dentaire ; maladie parodontale, déchaussement des dents, déplacement, chute des dents, etc.

Pourquoi certaines personnes disent-elles que l'on ne peut pas se laver les dents ?
Il existe de nombreuses idées fausses sur le détartrage. La plus courante consiste à penser que le détartrage permet de supprimer l'espace entre les dents, ce qui n'est pas le cas. Le détartrage consiste uniquement à enlever la surface des dents du corps étranger, le tartre sera enlevé pour exposer la cavité buccale d'origine uniquement. L'espace entre les dents s'agrandit en raison de l'existence à long terme du tartre dentaire, ce qui entraîne une récession gingivale, une résorption de l'os alvéolaire, et le détartrage n'a rien à voir avec cela.

Pour résumer.
Nettoyage dentaire, beaucoup de gens pensent qu'ils se brossent les dents tous les jours et qu'il n'y a pas de saignement évident des gencives, qu'il est possible de ne pas se nettoyer les dents. En fait, c'est également une erreur. Tout d'abord, le fait que la surface ne soit pas visible ne signifie pas qu'elle est vraiment propre, le tartre existe également dans des endroits cachés, à l'intérieur des gencives, etc.
C'est pourquoi le dentiste vous informe de manière responsable.Vous devriez vous faire nettoyer les dents tous les six mois à un an et subir un examen de santé bucco-dentaire de routine tous les ans. En bref, détection précoce, traitement précoce !
- Il est recommandé d'aller chez Dental Jen pour nettoyer, je viens d'aller nettoyer mes dents il y a quelques jours, bien sûr je n'ai pas de tartre, quelques taches dentaires, j'ai dépensé 60 $ pour un nettoyage, les gens doivent nettoyer leurs dents une fois par an, bien que nous nous brossions les dents tous les jours, mais les taches ou le tartre déposés sur les dents ne peuvent pas être brossés, avec le temps la mauvaise haleine, les problèmes dentaires se produiront plus souvent.
- En particulier le problème de la mauvaise haleine, qui a une grande influence sur la vie des autres, il est recommandé de se laver en temps voulu, après s'être lavé, on découvre un monde nouveau, une bouche et des dents fraîches, propres comme si l'on mangeait du bonbon, c'est ce que je ressens, mais aussi beaucoup de confiance en soi !
- Peu importe que les dents des hommes et des femmes affectent beaucoup la valeur faciale, vous avez l'air bien, une bouche ouverte une bouche de dents jaunes ou pleines de taches dentaires, ou un discours bouche odeur étouffante, vous pensez, en particulier les jeunes, vous n'avez pas embrasser avec des êtres chers ? C'est un signe d'amour, il vaut donc mieux prendre soin de ses dents.
- Une autre bonne chose est que, maintenant, prenez bien soin de vos dents, quand vous êtes vieux, tombez plus lentement, ne perdez pas vos dents tôt, certaines personnes disent que vous pouvez mettre des prothèses dentaires, cette sensation de manger faux et vrai n'est certainement pas la même, et le coût des prothèses dentaires est suffisant pour que vous puissiez nettoyer vos dents pendant de nombreuses années. Il est donc préférable de commencer par les enfants, de protéger les dents, de se brosser les dents deux ou trois fois par jour à la maison, d'utiliser une meilleure brosse à dents et un meilleur dentifrice, et d'envisager le long terme. Allez régulièrement chez le dentiste pour nettoyer vos dents et consultez un médecin en cas de problème ! Merci de votre attention !
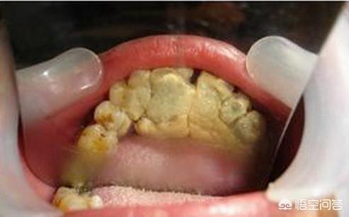
C'est une très bonne question ! Le calcul, communément appelé tartre, est en fait de la plaque dentaire et du tartre mou qui se sont déposés à la surface des dents et qui se sont calcifiés ou sont en train de se calcifier.
Selon les données de la récente enquête épidémiologique sur la santé bucco-dentaire en Chine, le taux de détection du tartre a atteint 96,7 % chez les personnes âgées de 35 à 44 ans et 96,4 % chez les personnes âgées de 55 à 64 ans.
Il est particulièrement important de noter que le taux de détection du tartre chez nos adolescents a atteint 73,6 %.
Il est évident que le tartre dentaire est un problème bucco-dentaire courant dans notre pays.
Alors, comment prévenir la production de tartre dentaire dans la vie de tous les jours ? Aujourd'hui, je me joins à vous pour en parler, à titre de référence.

Comment se forme le calcul ?
Tout d'abord, nous devons comprendre comment le calcul se forme ?
Chacun d'entre nous possède un grand nombre de bactéries dans sa bouche, et lorsque ces détails se mélangent aux protéines et aux produits de décomposition des aliments que nous consommons, ils forment un film collant connu cliniquement sous le nom de plaque dentaire.
Ces films collants adhèrent aux dents et, s'ils ne sont pas nettoyés à temps, ils commencent à se calcifier en l'espace de 14 jours ou moins et forment progressivement du tartre.
Si le tartre vient de se former, sa texture est encore relativement molle, il y a donc de bonnes chances qu'il puisse être nettoyé tout seul. Si c'est le cas, au fil du temps, il deviendra lentement de plus en plus dur et se fixera fermement à la surface des dents.
Un calcul dur, solide et ancien prend généralement des mois, voire des années.

La prévention de la plaque dentaire commence par une brosse à dents adaptée
Une fois que le calcul dur et solide s'est formé, il n'y a rien que nous puissions faire nous-mêmes, sauf demander à un spécialiste, à l'aide d'instruments spécialisés, de nous aider à l'enlever.
Et ce sont les 14 jours entre la formation de la plaque et le début de la calcification qui constituent la dernière opportunité de venir nettoyer la plaque.
Par conséquent, le choix de la bonne brosse à dents et son utilisation constituent l'étape la plus cruciale.
Tout d'abord, apprenez à choisir la bonne brosse à dents.Choisissez une brosse à dents aux poils plus souples et remplacez-la au moins une fois tous les trois mois, ou envisagez d'utiliser une brosse à dents électrique.
Deuxièmement, apprenez à choisir le bon dentifrice.Le dentifrice peut être choisi avec une teneur élevée en fluor, qui empêche les bactéries et les protéines de s'adsorber à la surface des dents, réduisant ainsi l'apparition et le développement de la parodontite.
Enfin, il est important d'adopter une bonne méthode de brossage :Pour ce faire, tenez le manche de la brosse à dents avec les poils inclinés à 45° et placez l'extrémité du faisceau de poils de la brosse à dents à la jonction des gencives et de la couronne.
Appliquer une légère pression en direction des dents, en brossant vers le bas pour les dents supérieures et vers le haut pour les dents inférieures, à la fois l'intérieur et l'extérieur des dents et les surfaces occlusales ; 2 fois le matin et 3 minutes à chaque fois.

En plus de la brosse à dents, il existe deux outils de soins dentaires majeurs à posséder
Outre le brossage des dents 2 fois par jour, matin et soir, pendant 3 minutes à chaque fois, après les repas et avant de se coucher, il faut également se rincer la bouche pour maintenir l'hygiène bucco-dentaire, et pour les débris alimentaires, l'écume molle et la plaque dentaire qui ne sont pas faciles à éliminer, il faut utiliser les 2 principaux outils dentaires, c'est-à-dire le fil dentaire ou les brosses interdentaires pour les nettoyer.
1) Le fil dentaire est un excellent moyen de protéger vos dents.Le fil dentaire est fait de nylon, de soie ou de polyester et est très efficace pour nettoyer la plaque des surfaces voisines des dents, en particulier pour les surfaces plates ou convexes.
Utilisation.Tirez un morceau de fil dentaire d'environ 25 cm, enroulez les extrémités du fil autour des deux majeurs, en utilisant les doigts droit et gauche, contrôlez le fil entre les deux doigts à une distance d'environ 1 à 1,5 cm, effectuez un mouvement de scie d'avant en arrière et passez délicatement à travers les points de contact.
2. brosse à dents : la meilleure utilisation des outils de soins dentaires.Les brosses dentaires pour crevasses sont similaires aux brosses à dents ordinaires, la plus grande différence résidant uniquement dans le fait que les poils des brosses pour crevasses sont en forme de cône. Il existe différentes tailles pour différentes largeurs de crevasses, et vous pouvez choisir différentes tailles de brosses pour crevasses en fonction de vos besoins personnels pour nettoyer les crevasses et les surfaces de vos dents.
La brosse interdentaire permet d'éliminer les débris et la saleté entre les dents et est efficace pour le nettoyage des dents.
La brosse à dents convient aux personnes qui ont de grands espaces entre les dents, tandis que le fil dentaire convient aux personnes qui ont de petits espaces entre les dents.
En résumé : pour prévenir le tartre dentaire, il faut empêcher la plaque de se calcifier dans les 14 jours ; il faut donc, en plus d'un brossage correct des dents, s'équiper de 2 outils majeurs de soins dentaires, à savoir le fil dentaire et les brosses interdentaires.
Êtes-vous d'accord avec moi ?
Mise à jour quotidienne des points chauds de la santé, des points de douleur médicaux ; si ce que je dis, est exactement ce que vous pensez, alors s'il vous plaît aimez, retweetez, suivez Zhu Xiaojun a dit santé !
Note spéciale : Tous les médicaments recommandés dans la section des commentaires doivent être essayés avec prudence et ne doivent pas être achetés avec un appel !
Quand j'étais enfant, je mordais quelque chose de dur et parfois un petit morceau se détachait, et quand je le sentais devant mon nez, il avait un goût que je ne peux pas vous dire. Quand j'ai grandi, j'ai aussi ciselé avec un fer à repasser ou quelque chose comme ça, mais ça me cassait généralement les gencives et ça saignait, et j'ai demandé à beaucoup de gens, y compris au dentiste, et la seule solution était de me faire nettoyer les dents.
En ce qui concerne le détartrage, j'avais peur de m'en passer auparavant, de peur de montrer aux autres mon mauvais côté, et j'ai erré plusieurs fois. Mais, poussée par l'amour de la beauté et le courage, j'ai décidé d'aller dans un cabinet dentaire privé pour faire un détartrage, un détartrage aux ultrasons. À moitié allongée, un crochet au coin de la bouche pour vous faire ouvrir la bouche en grand, un petit fer chromé comme des choses est la barre à ultrasons, pour briser le tartre dentaire tomber. Le processus est un peu difficile, les gencives saignent légèrement, il faut environ une demi-heure pour terminer, et après cela, avec du borax ou autre chose à pulvériser, les dents seront beaucoup plus blanches. En effet, après avoir lavé les dents, regardez dans le miroir après un nouveau look !

J'ai également demandé à la personne qui m'a nettoyé les dents pourquoi il y avait du tartre. Ils m'ont répondu que c'était parce qu'ils ne se rinçaient pas bien la bouche, et je me suis rincé la bouche comme ils me l'ont dit, mais le tartre continue à pousser. Je me fais maintenant nettoyer les dents deux fois par an, une fois l'année dernière et une fois l'année suivante, et je n'ai ressenti aucun problème avec mes dents au cours des cinq ou six dernières années. Mais je ne suis jamais allée à l'hôpital pour un nettoyage, je vais toujours dans un centre de nettoyage privé, ils m'ont dit qu'ils étaient similaires, mais que l'hôpital était beaucoup plus cher.

Mes amis ! Le tartre dentaire nuit à la beauté de nos dents, donne mauvaise haleine et affecte notre confiance en soi. Le meilleur moyen est encore de se laver les dents et d'insister sur le rinçage de la bouche matin et soir, à l'intérieur comme à l'extérieur. Avec des dents blanches et une haleine fraîche, vous vous sentirez certainement plus sûr de vous lorsque vous parlerez aux autres !
La surface du tartre dentaire est relativement rugueuse, le résidu naturel est décomposé par les bactéries, il forme la plaque, et attaché au tartre, naturellement, vous pouvez enlever le tartre mou, mais le morceau entier de tartre ne peut pas être enlevé, certains se répandent dans les gencives, la force de mastication à long terme, il peut y avoir un petit espace, la salive passe par là, la puanteur à l'intérieur du tartre est plus intense, et même briser un petit morceau.

Que se passe-t-il si j'ai une plaque épaisse ?
1, se rendre à l'hôpital pour un détartrage ultrasonique, après le choc d'un morceau d'un morceau tombant, avec une paille pour aspirer, pour éviter d'avaler dans l'estomac, il peut y avoir une certaine douleur, après tout, la stimulation du calcul aux gencives a l'inflammation, le processus de lavage saignera, mais n'usera pas l'émail de la dent.
2. En raison de la pression à long terme du tartre dentaire, l'infection bactérienne conduit à la récession gingivale, le tartre dentaire est nettoyé, naturellement, les dents seront desserrées, l'espace entre les dents et d'autres problèmes, plus les dents sont sensibles, plus l'exposition de la dentine est également plus importante, donc il n'est pas causé par le détartrage.

Quels sont les dommages parodontaux causés par le tartre ?
1. dents déchaussées
Parce que le tartre est fixé autour des dents, le lavage avant le déchaussement, de nombreux patients croient à tort qu'il s'agit d'un détartrage et d'un lavage mauvais, en fait, lui-même est déjà déchaussement, seul le tartre les fixe dans leur ensemble, de sorte qu'avant le lavage, il n'est pas visible.
2、L'écart entre les dents s'agrandit
Le tartre détruit les gencives, les papilles gingivales seront certainement enflammées, la hauteur a été réduite, après le détartrage c'est pourquoi la fente devient plus grande, mais cela n'a rien à voir avec le détartrage, il n'y a pas de tartre qui bloque la fente, et la parole va fuir.
3. la maladie parodontale
En retenant le tartre, la parodontite s'aggrave, entraînant diverses complications telles que des saignements des gencives, une récession gingivale, une résorption de l'os alvéolaire, une mauvaise haleine et d'autres désagréments, et à un stade ultérieur, les dents affectées n'ont plus d'os alvéolaire et tombent automatiquement après le troisième degré de déchaussement.

Veillez à votre hygiène bucco-dentaire et faites-vous détartrer les dents une ou deux fois par an, sous peine de voir se former de gros morceaux de tartre qui sentent mauvais.
Bienvenue sur le site de [Burning Brothers Dental Society], le dentiste des Burning Brothers pour répondre à vos questions de calcul !
Les résidus que vous pouvez arracher avec vos mains sont des résidus alimentaires et, bien sûr, si vous ne les brossez pas à chaque fois que vous vous brossez les dents, ils s'attacheront à vos dents avec le temps et deviendront du tartre.
Il n'est pas grave d'avoir du tartre, il suffit de se rendre au service de stomatologie de l'hôpital ou dans une clinique dentaire pour se faire nettoyer les dents.
Certaines personnes entendent que le détartrage peut sembler très cher, en fait, ce n'est pas grave, les grands hôpitaux peuvent facturer un peu plus cher quelques centaines de dollars, je crois que la plupart des gens peuvent l'accepter. C'est mieux que de saigner des gencives tous les jours, de manger ce qui n'a pas bon goût pour être fort. En plus de ces hôpitaux, il y a un certain nombre de chaînes d'hôpitaux dentaires qui peuvent également être dans un groupe peut acheter des coupons, des douzaines de dollars bon marché, généralement une centaine de dollars.
Il y a aussi des gens qui penseront que le détartrage est douloureux, mais il faut encore pratiquer pour le savoir. Avant de me brosser les dents tous les jours, les gencives saignent, un peu plus longtemps sans boire d'eau, j'ai l'impression d'avoir l'haleine lourde, il suffit de voir un numéro public d'autres hôpitaux bucco-dentaires pour écrire une copie électronique, j'ai acheté un coupon d'achat groupé, 69,9 yuans. Avant d'y aller, j'avais encore beaucoup d'appréhension, ce ne sera pas très douloureux, il n'y aura pas de problème. Mais après y être allé, je n'ai plus cette inquiétude.
Le dentiste tient l'instrument sur les dents, et il y a un tube à mettre dans la bouche pour aspirer de l'eau. Je n'ai pas eu mal du tout lorsque j'ai nettoyé les incisives, et un peu à l'arrière parce que la plaque dentaire était trop épaisse et que j'avais l'impression de la racler avec l'instrument. Le reste du temps, cela ne fait pas mal du tout, et l'image que j'ai vue ailleurs décrit le processus de nettoyage.
"Ouvrez la bouche."
Fermeture éclair, fermeture éclair, fermeture éclair.
"Crache le morceau".
Prendre une gorgée d'eau, se gargariser, cracher
Fermeture éclair, fermeture éclair, fermeture éclair.
"Crache le morceau".
Prendre une gorgée d'eau, se gargariser, cracher
Fermeture éclair, fermeture éclair, fermeture éclair.
"Crache le morceau".
D'accord.
Vous pouvez sentir le tartre dans votre bouche lorsque vous crachez, et après le nettoyage, vos dents seront un peu faibles, mais elles se rétabliront au bout de quelques jours.
J'espère que vous ne craignez pas qu'il soit temps de faire un nettoyage. La santé commence par les dents. J'espère que ma réponse vous aidera, merci !
Si l'on n'y prend pas garde à temps, on souffrira à l'avenir d'une maladie parodontale, d'une parodontite, et même du risque de maladie bucco-dentaire, ce qui affectera sérieusement la qualité de notre vie quotidienne future, en particulier les occasions sociales, ou le travail dans la norme, la scène sera très embarrassante, alors notre vie quotidienne, comment prendre soin et entretenir la cavité buccale, la santé des dents est un élément de travail très important, et aujourd'hui nous sommes populaires !

Premièrement : quelles sont les conditions qui tendent à produire ces "taches" autour des dents ?
En général, si vous voulez produire, vous dites qu'il est facile d'enlever les taches, et dans la bouche vous ne pouvez pas sentir cette chose est une odeur aigre, généralement sont très mauvaises habitudes d'hygiène personnelle, selon les données cliniques peuvent être résumées, il y a les cas suivants, est très facile de produire vous avez dit être ramasser le résidu de pourriture aigre.
Par exemple, les dents d'une personne dans son enfance, lors du changement de dents, n'ont pas été corrigées en temps voulu, comme la première fois toutes les dents pour l'ensemble, à ce moment-là, qualitatif, pour ce groupe de dents inégales lui-même, lui-même dans la bouche, pour la mastication des aliments, beaucoup de minuscules débris alimentaires entreront dans l'espace entre les dents, et dans l'espace entre les dents des débris alimentaires est très difficile à nettoyer, et les dents sont très difficiles à nettoyer.
Certains jeunes ne prêtent pas attention à l'hygiène bucco-dentaire, par exemple, surtout après un repas chinois, beaucoup de gens ne se rincent pas la bouche à temps, bien sûr, quand je dis rincer, je ne veux pas dire que vous utilisez du dentifrice pour vous laver à nouveau, je veux dire qu'il faut se rincer à l'eau en plus de l'utilisation de cure-dents, ou utiliser du fil dentaire à temps pour se nettoyer, c'est très nécessaire.

Cependant, dans la vie quotidienne, de nombreuses personnes sont négligées, en particulier les personnes dont les dents ne sont pas droites, ces résidus alimentaires sont laissés en permanence dans l'espace entre les dents, après une accumulation de temps, ces résidus alimentaires dans la bouche humaine pour la décomposition, parce que la bouche humaine contient plus ou moins un grand nombre de micro-organismes et de bactéries, anaérobies ou aérobies, après un certain nombre de réactions, ces résidus autour de l'espace entre les dents seront décomposés, cariés, et s'accumuleront autour des dents et des gencives. Après une série de réactions, ces résidus autour des dents seront lentement décomposés, cariés, et s'accumuleront autour des dents et des gencives.
Avec le temps, ces résidus nocifs attaquent les tissus environnants des dents, par exemple, les gencives sont lentement exposées, les dents blanches à l'origine deviennent lentement jaunes, une fois l'épidémie déclarée, les dents sont douloureuses, le plus important est qu'à un stade ultérieur, les dents deviennent lentement très lâches, et finalement l'inflammation des dents, ce qui oblige à abandonner les dents, un tel passage.
Deuxièmement : comment ces taches creusées, qui peuvent affecter les dents, évoluent-elles et réalisent-elles les
On peut dire que de nombreuses personnes jeunes se brossent régulièrement les dents, mais ce brossage est fondamentalement non scientifique et laisse plus ou moins de débris alimentaires dans les dents. Avec l'âge, l'immunité et la résistance de l'individu diminuent, les dents sont également affectées par des raisons physiologiques, la qualité de la santé dentaire vieillit lentement et, à cette époque, de nombreuses personnes, en particulier les personnes d'âge moyen, ont beaucoup plus de chances de contracter une maladie parodontale. À cette époque, le risque d'apparition d'une maladie parodontale augmente considérablement chez de nombreuses personnes, en particulier chez les personnes d'âge moyen.

En effet, outre les habitudes quotidiennes, de nombreuses personnes ont de mauvaises habitudes, telles que le tabagisme, l'alcoolisme, la consommation de café, l'ingestion de mucus, en particulier d'aliments contenant de l'amidon et du sucre, qui produisent des substances nocives, telles que la nicotine et le goudron, ces substances étant directement nocives pour l'émail dentaire du corps humain.
On voit souvent les dents des fumeurs jaunir, c'est à cause du goudron de la fumée pendant longtemps, qui s'accumule et devient, en plus de la consommation de café, ces aliments de couleur très foncée, si vous mangez habituellement ces aliments, si vous ne procédez pas à un rinçage efficace et rapide de la bouche, ces substances qui contiennent des composants colorés, resteront longtemps dans les dents et autour des dents pour évoluer, et les dents des dents, et les dents des dents des dents.
Si l'on ajoute à cela l'habitude de manger des aliments épicés, dans certains cas, la racine des dents et le tissu gingival seront détruits. Une fois qu'ils sont détruits, ces substances étrangères nocives peuvent facilement attaquer les tissus internes des dents et, à ce moment-là, un grand nombre de reproductions, de plaques, de maladies parodontales et d'autres problèmes bucco-dentaires de base se produisent.

L'essentiel est qu'une fois que les dents sont détruites, en particulier l'émail, dans le processus de l'alimentation quotidienne, beaucoup de débris alimentaires, il est facile de coller dans les dents autour, aussi longtemps que vous chaque fois que vous mangez, vous utilisez vos mains pour ramasser, leurs ongles au-dessus, laissera une substance collante blanche.
Quels sont les groupes de personnes les plus susceptibles de souffrir de ces symptômes, principalement les personnes dont les dents ne sont pas droites, suivies par les personnes qui fument fréquemment et boivent tard le soir, principalement à cause de leurs propres forces et des forces extérieures, suivies par les personnes qui ne prêtent pas attention à l'hygiène, ainsi que les personnes qui portent une prothèse dentaire, ces personnes apportent leurs propres problèmes dentaires, et il est très facile de produire des débris alimentaires sur le dessus des dents à l'avenir.
Troisièmement, comment prévenir et prendre soin de ses dents ?
En général, si les dents ne sont pas droites, si les dents sont en mauvais état, si les gens n'aiment pas se laver les dents, il est recommandé d'aller chez le dentiste régulièrement chaque année pour vérifier, si l'on constate que les dents sont très sales, il est recommandé d'effectuer le nettoyage des mesures de protection.
Le nettoyage général permet d'obtenir des dents très propres et d'un blanc éclatant, mais il y a un petit inconvénient : l'écart entre les dents et les dents adjacentes devient très important, de sorte que lorsque vous mangez, les aliments peuvent facilement rester coincés à l'intérieur ; le détartrage a donc ses avantages et ses inconvénients, bien sûr, si le tartre dentaire est très grave, le détartrage est l'étape la plus importante, car le tartre dentaire dans la partie la plus profonde, c'est la maladie parodontale, etc.

Il est recommandé d'utiliser un bain de bouche dans la vie quotidienne. Ce bain de bouche aide efficacement à déloger les aliments des crevasses des dents ou de la zone autour des dents, favorisant ainsi l'hygiène bucco-dentaire.
L'utilisation de fil dentaire, de cure-dents pour un traitement efficace, l'essentiel étant que, quoi qu'il arrive, chaque fois que nous mangeons quelque chose, nous devons procéder à un rinçage efficace de la bouche, par exemple, lorsque nous sortons, nous pouvons apporter une sorte de mini-bain de bouche, etc.
En outre, la nuit et à d'autres moments, il est important de ne pas manger de sucreries, car les aliments sucrés sont très nocifs pour les dents, et les personnes âgées essaient d'en manger le moins possible, afin d'aider à protéger l'émail des dents.
En conclusion, les dents sont l'outil le plus important du corps humain pour manger et mastiquer, une bouche pleine de bonnes dents vous apportera une bonne qualité de vie et d'humeur, pour développer de bonnes habitudes, et l'hygiène bucco-dentaire est la plus importante.
Je suis un docteur en sciences médicales, je vous invite à cliquer pour me suivre, à aimer le soutien !
Le tartre ne se forme pas uniquement lorsque vous vous brossez les dents, il se forme lentement au fil du temps, mais il est étrange qu'une partie de votre tartre se détache lentement.
Avant ma situation est de se brosser les dents saigne, parfois manger un pain à la vapeur saigne, la mauvaise haleine n'est pas. J'ai toujours pensé que le manque de certains éléments, donc souvent manger des pommes, boire du lait, mais la situation ne s'est pas améliorée, jusqu'à ce qu'un jour de la boucle des dents vers le bas un bloc de calcaire, résultant en la sensation de manquer une dent est très inconfortable, donc aller au détartrage dentaire, divisé en deux fois, lavage vraiment très confortable, et à partir de là, le brossage ne saigne plus.
Ces questions et réponses proviennent des utilisateurs du site, elles ne représentent pas la position du site, s'il y a une infraction, veuillez contacter l'administrateur pour la supprimer.