Quels sont les tests les plus chers dans les hôpitaux ?
Quels sont les tests les plus chers dans les hôpitaux ?
Les hôpitaux et les écoles sont des lieux auxquels chaque personne, à différents stades, doit faire face, et chaque ami a beaucoup de choses à dire. Les hôpitaux en particulier, les parents et les amis hospitalisés, ou les visites en ambulatoire sont toujours difficiles à éviter. Si vous avez déjà été à l'hôpital, vous devez savoir que la visite à l'hôpital consiste à effectuer de nombreux tests, mais lequel de ces tests est le plus cher ? Plus c'est cher, mieux c'est ?
En fait, ces tests comprennent : l'électrocardiogramme, l'échographie, la radiographie, le scanner, la résonance magnétique, la gastroscopie et l'entéroscopie, la coronarographie, l'ECT, le PET/CT, la trachéoscopie, l'électromyographie, etc. Si nous parlons du plus cher d'entre eux, il s'agit de loin de la TEP/TDM, qui coûte environ 8 000 à 10 000 dollars pour une seule séance. Pour le reste, il peut y avoir des examens moins chers et plus chers, par exemple, un ECG ne coûte qu'environ 30 dollars et une radiographie peut coûter entre 100 et 200 dollars.
Mais est-il vrai que plus le chèque est cher, plus il a de valeur ? La réponse est non ! Nous reconnaissons qu'il faut choisir les examens les plus appropriés, et non les plus chers. Par exemple, si un patient souffre de lombalgie, on choisira d'abord l'échographie pour connaître l'état du système urinaire ; si le patient a une oppression thoracique ou un examen physique de routine, on privilégiera l'électrocardiographie ; si le patient a une fracture, on prescrira d'abord une radiographie ; si le patient a des antécédents de fièvre et de toux, on choisira le scanner thoracique ; et si le patient a une hernie discale lombaire, on aura peut-être recours aux champs magnétiques nucléaires pour y voir plus clair et poser un diagnostic plus précis ; et si le patient a une hernie discale, on aura peut-être recours aux champs magnétiques nucléaires pour poser un diagnostic plus précis. S'il s'agit d'une hernie discale lombaire, nous devrons peut-être recourir à l'imagerie par résonance magnétique nucléaire (IRM) pour obtenir un diagnostic plus clair et plus précis. S'il s'agit d'une masse dans les poumons, nous devrons peut-être opter pour une trachéoscopie ou une ponction-biopsie afin de clarifier la nature de la masse, et s'il s'agit d'une masse gastro-intestinale, une gastroscopie ou une entéroscopie serait peut-être plus appropriée. Dans certains cas, une combinaison de tests peut s'avérer nécessaire pour obtenir un diagnostic précis ou une stadification clinique !
Par conséquent, nous ne pouvons pas juger la valeur par le prix, seul le plus approprié est le plus précieux !
De nombreux tests effectués dans les hôpitaux sont très coûteux et je vais vous en citer quelques-uns
1.DSA
(Angiographie interventionnelle)
Ce test équivaut à une intervention chirurgicale mineure et nécessite une hospitalisation. Le médecin injecte un produit de contraste dans les vaisseaux sanguins du patient et, à l'aide d'un appareil de radiographie, il peut voir clairement les lésions des vaisseaux sanguins - infarctus, sténoses, anévrismes, malformations vasculaires, etc. Le coût de ce test s'élève à plusieurs milliers de dollars, voire plus.

La technologie DSA permet de détecter les lésions intravasculaires
2. gastro-entéroscopie par capsule
Le patient mange une capsule contenant une caméra qui enregistre l'ensemble du tractus gastro-intestinal. Les médecins peuvent utiliser les images prises par la caméra de la capsule pour déterminer s'il y a des lésions dans l'estomac ou les intestins du patient. Le prix est généralement supérieur à 3 000 dollars.

La gastroscopie par capsule présente ses propres avantages par rapport à la gastroscopie et à l'entéroscopie traditionnelles.
3. la magnétoencéphalographie
Ce test est proposé dans moins d'hôpitaux et le coût de l'équipement est plus élevé et donc plus onéreux. Ce test présente des avantages uniques pour l'identification des foyers épileptiques.

L'équipement de magnétoencéphalographie (MEG), qui est utilisé dans une salle spéciale et confinée, est coûteux.
Le coût de l'examen s'élève à plus de 5 000 dollars.
4. examen PET/CT
Ce test, qui vous est peut-être plus familier, est très coûteux, généralement plus de 8 000 dollars. Il est principalement utilisé pour détecter des lésions cancéreuses dans le corps et peut également être utilisé pour déterminer les lésions épileptiques d'un patient.

5. examen génétique

Voici la liste des prix des tests génétiques introduits par un hôpital
Il s'agit de certains des tests les plus coûteux dans les hôpitaux. Ce n'est pas pour rien qu'ils sont chers, mais il existe des indications strictes pour l'utilisation de ces tests. À l'heure actuelle, certains hôpitaux privés et organismes de contrôle médical font un usage abusif de certains tests, comme le PETCT.
Un patient s'est présenté à la clinique le vendredi, et lorsqu'il est entré, il a été suivi par plusieurs personnes, et lorsqu'il est entré, il a dit : nous ne nous soucions pas de l'argent, prescrivez-nous les tests les plus chers, du moment que cela s'avère correct !
Le Dr Wang a demandé : "Qu'est-ce qui ne va pas ?"
Le patient dit qu'il n'y a pas de gêne, que c'est juste un contrôle, mais le meilleur, le plus complet et le plus cher !
Le patient n'était là que pour un bilan de santé, et le Dr Wang lui a prescrit un bilan de santé conforme au bilan de santé de routine, soit moins de 600 yuans, mais l'entourage du patient a dit : " Non, c'est trop bon marché ". Mais l'entourage du patient a dit : "Non, c'est trop bon marché", "Non, on va juste faire un tel et un tel".
"Vous parlez de PET, n'est-ce pas ?"
Oui, oui, c'est du PET. J'ai entendu dire que ça allait être 10 000 $. C'est bon.
Le Dr Wang a expliqué que ce n'est pas le test le plus cher qui est le meilleur, la TEP n'est qu'un moyen de contrôler la tumeur en permanence, il n'est pas nécessaire d'examiner le corps pour le faire.
En fin de compte, ce patient a quand même choisi de faire toutes sortes de tests, y compris la TEP, et a dépensé beaucoup d'argent, mais le Dr Wang tient quand même à vous dire : le test le plus cher n'est pas le meilleur.

Les tests les plus couramment choisis pour nos contrôles sont les suivants :
Tout d'abord, les prises de sang de routine :
Examens sanguins de routine : recherche de leucémie, de globules rouges, de plaquettes, d'hémoglobine, d'infections, d'anémie et de problèmes sanguins.
10 environ.
Glucose et lipides : examen de la glycémie et du cholestérol, des triglycérides, du HDL et du LDL ; il s'agit de l'un des tests les plus importants à effectuer.
Il y a d'autres articles allant de 100 à 400.
Ces tests coûtent environ quatre ou cinq cents dollars, mais ils peuvent bien sûr être effectués séparément, car il y a beaucoup d'éléments, et ils sont donc plus chers.

Deuxièmement, les inspections de routine :
Radiographie thoracique : pour vérifier l'absence d'infection pulmonaire, l'espace pulmonaire, les problèmes trachéaux, les problèmes œsophagiens, la taille de l'ombre du cœur, la présence ou non d'un hydrothorax, etc. La radiographie pulmonaire est nécessaire surtout si vous avez des antécédents familiaux d'huile ou de tabagisme.
Quatre-vingt-dix.
Électrocardiogramme : pour exclure les arythmies typiques, l'ischémie myocardique, qui peut survenir chez certaines personnes avec l'âge et l'aggravation de l'athérosclérose, comme le montre un électrocardiogramme typique.
Trente.
Échographie cardiaque et abdominale : structure et fonction du cœur, taille et forme du foie, de la vésicule biliaire, de la rate, du pancréas et des deux reins. Échographie gynécologique pour les femmes et échographie de la prostate pour les hommes.
250 blocs.

Troisièmement, les inspections non routinières, c'est-à-dire la décision d'inspecter ou de ne pas inspecter, doivent être prises au cas par cas :
Série virale : hépatite B, hépatite C, syphilis (pas toujours testée en routine, selon le cas).
Cinq ou six cents environ.
Marqueurs tumoraux : ils peuvent également être contrôlés, mais en général, les marqueurs tumoraux ne détectent pas toujours les problèmes à un stade précoce et sont généralement moins performants que la radiographie thoracique, l'échographie, etc.
Quatre ou cinq cents environ.
CT général, par exemple thorax, tête, abdomen.
Trois ou quatre cents environ.
Quatrièmement, des tests plus coûteux
CT amélioré
Le prix varie d'une pièce à l'autre, autour de 600-1500.
RMN :
Entre 1000 et 2000.
Imagerie :
Environ 3000-4000.
Examen électrophysiologique : environ 5000.
PET : pour dépister les tumeurs dans l'ensemble du corps.
Environ 8000-10000.
Il ne s'agit là que d'une partie commune de l'examen, car les éléments spécifiques, les hôpitaux et les machines sont différents, le prix devrait être différent, mais il faut quand même commencer par ce que le Dr Wang a dit : choisir l'examen qui vous convient, plutôt que de se sentir mal à l'aise en choisissant l'examen le plus cher.

Exemples :
Le diagnostic de la maladie coronarienne peut consister en un électrocardiogramme à 30 dollars ou en une imagerie à 4 000 dollars. Bien que l'imagerie cardiaque soit l'étalon-or pour le diagnostic de la maladie coronarienne, elle n'est pas destinée à être administrée à tout le monde pour diagnostiquer la maladie coronarienne.
Nous diagnostiquons la maladie coronarienne : en fonction des symptômes, des facteurs de risque, des électrocardiogrammes, parfois de la pression artérielle combinée à des électrocardiogrammes ambulatoires, des tests d'effort, une angiographie coronarienne ou une angiographie coronarienne.
Parfois, nous pouvons diagnostiquer une maladie coronarienne sur la base de symptômes et d'un ECG de 30 pièces, ce qui est suffisant, sans qu'il soit nécessaire de prendre le risque de recourir à l'imagerie, qui est après tout un examen invasif comportant des risques de saignement, d'hématome, de piégeage, de néphrotoxicité, d'allergie, etc.
Le principe de conscience est le suivant : ce qui peut être utilisé est simple, pas complexe ; ce qui peut être utilisé est non invasif, pas invasif ; ce qui peut être utilisé est bon marché, pas cher !
Je suis médecin, résident, spécialisé dans la vulgarisation des connaissances médicales au profit de la santé humaine, si vous voulez en savoir plus, n'hésitez pas à me prêter attention, si vous avez des questions, laissez-moi un message, je vous répondrai !
Quels sont les tests les plus chers dans les hôpitaux ?
La question de l'auteur m'a un instant troublé, mais en y réfléchissant bien, certains tests sont plus coûteux, et je vais donc vous faire part de quelques-uns des tests les plus chers à l'hôpital.
1. la TEP-TDM (tomographie par émission de positrons) :

Actuellement, le coût du PET-CT est d'environ 10 000 dollars, ce qui est considéré comme un examen plus coûteux et ne peut être remboursé ; il repose sur le principe de l'utilisation de nucléides provenant d'émetteurs de positons pour marquer le glucose, les acides gras, les acides aminés, l'eau, etc., puis sur l'utilisation d'un scanner à positons pour obtenir des images chimiques dans le corps ; il est principalement utilisé pour le diagnostic des tumeurs à un stade précoce, et c'est la méthode d'examen la plus sensible à l'heure actuelle ;
2. le test de paternité :

Les tests de paternité coûtent environ 3 000 dollars s'ils sont utilisés à des fins juridiques ; pour les tests de paternité privés, le prix peut être légèrement inférieur, mais il faut veiller à ne pas se faire arnaquer ;
3. la coronarographie :

La coronarographie varie selon les régions et les hôpitaux ; dans l'Anhui, elle coûte environ 5 000 yuans, dans les grandes villes du sud, elle devrait être plus chère ; la coronarographie est principalement utilisée pour confirmer le diagnostic de maladie coronarienne.
En fait, le coût de l'inspection est relatif au coût, pour une famille civile il peut être cher, mais pour des millionnaires il peut n'être rien, donc ce n'est pas facile à dire ; en outre, l'inspection n'est pas la plus chère, la meilleure, le choix approprié est le plus important.
Résumé final : Les examens relativement coûteux effectués dans les hôpitaux comprennent le PET-CT, les tests de paternité et les angiographies coronariennes ;
Ce qui précède est ma réponse à la question de la question, purement tapée à la main, ce n'est pas facile, si vous pensez que l'écriture peut être récompensée par un éloge, si vous avez des questions peuvent être laissées ci-dessous ......
Je suis le Dr Little Shadow, un médecin spécialiste de l'imagerie. Quels sont les examens les plus chers à l'hôpital ? Tous les examens du service d'imagerie sont plus chers, le plus cher étant l'examen PET-CT, qui coûte entre 7000 et 9000 euros et n'est pas pris en charge par l'assurance maladie. La résonance magnétique (RM) est plus chère que le scanner, et le scanner est plus cher que la radiographie, et nous parlons ici du prix d'un seul site. Si l'on fait un scanner de plusieurs sites, c'est certainement plus cher qu'une IRM d'un seul site. Mais pour faire l'examen, ce n'est pas le plus cher qui est le meilleur, il suffit de choisir l'examen optimal qui vous convient, et non pas l'examen le plus cher. Ici, j'aimerais partager avec vous les tarifs des examens du service d'imagerie.
Les examens d'imagerie sont coûteux.
Les machines les plus coûteuses d'un hôpital se trouvent dans le service d'imagerie. L'imagerie comprend l'échographie, la radiographie, la tomodensitométrie, l'imagerie par résonance magnétique, la tomographie assistée par ordinateur et la tomographie par émission de positons (PET-CT), ces quatre dernières machines coûtant des dizaines de millions de dollars pour les meilleurs appareils. Le PET-CT est l'examen le plus coûteux du service d'imagerie.
1.PET-CT
Il s'agit d'un examen complet du corps qui coûte entre 7 000 et 9 000 euros et dont le prix varie selon les régions. Il n'est pas utilisé pour les examens médicaux de routine, et même si vous êtes très riche, il n'est pas recommandé d'y avoir recours. De plus, il ne peut pas être utilisé pour le dépistage des cancers précoces, car non seulement les radiations augmentent, mais certains cancers précoces ne peuvent pas être détectés. Cet examen est principalement utilisé pour juger de la bénignité et de la malignité des patients atteints de tumeurs, pour la stadification des tumeurs, pour l'évaluation des métastases et de l'efficacité.
2. examen par résonance magnétique (RM)
L'IRM coûte plusieurs centaines de dollars pour une partie du corps, et le prix dans le Guangdong est de 700-800, ce qui varie d'une région à l'autre. Le prix est fixé par le bureau local des prix, et non par l'hôpital. Si vous faites un balayage + amélioration d'une zone, cela vous coûtera plus de mille dollars. Pour les sites multiples, le prix est alors superposé, et certaines séquences fonctionnelles seront également facturées séparément.
3. examen tomodensitométrique
Le scanner est un peu moins cher que l'IRM pour un site, environ 400+ par site, et environ 1000-1100 si un site est scanné + amélioré. S'il y a deux sites, le coût est plus élevé.
Par exemple, une tomodensitométrie thoracique avec un gating respiratoire coûte environ 500 dollars, et une tomodensitométrie thoracique + rehaussement 1100 dollars.
Si vous effectuez un scanner thoracique + un scanner abdominal, cela représente deux sites, soit environ 1000.
Les IRM et les CT sont tous deux facturés par site, et il n'est pas nécessairement vrai qu'une IRM est plus chère qu'un CT, ou qu'un CT de plusieurs sites est plus cher qu'un seul site.
En outre, l'angiographie par tomodensitométrie (CTA) est plus coûteuse ; elle permet de vérifier les artères par tomodensitométrie (CT), soit environ 2200 pour l'artère coronaire. L'angiographie par tomodensitométrie (CTA) de l'aorte entière, qui permet de voir la longueur maximale du corps, ne pose pas de problème, est d'environ 4200.
4. rayons X
Les radiographies, qui sont facturées en fonction du nombre d'expositions, coûtent en général environ 100 dollars pour une zone, généralement frontale et latérale. Les radiographies sont relativement moins chères que le scanner et l'IRM.
5. échographie
Les examens échographiques, qui varient d'un site à l'autre, sont facturés différemment. Un examen coûte environ 100-200.
Chaque élément des tarifs des hôpitaux ordinaires est clairement défini et fixé par le bureau local des prix. Les hôpitaux n'ont pas le droit de fixer les tarifs, ni d'augmenter les prix à leur guise. Les prix varient d'une région à l'autre. Par exemple, un scanner de la tête coûte plus de 400 euros dans le Guangdong, alors qu'il peut coûter plus de 200 euros à Shanghai. Est-il possible d'aller à Shanghai pour un bilan de santé et de reprendre l'avion pour le Guangdong afin d'y être soigné ? Les tarifs aériens ne sont pas bon marché.
Je le suis.Dr. ShadowSuivez-moi si vous voulez en savoir plus sur la médecine.
Voici quelques-uns des tests les plus coûteux pratiqués dans les hôpitaux.
PET/MR, une machine tout-en-un avec la même fusion de PET et de RM, c'est-à-dire un test qui fait à la fois du PET et de la RM. Le coût est d'environ 15 000 dollars à chaque fois.
Séquençage de gènes, 5 000 à 10 000 dollars.
PET-CT (Positron Emission Computed Tomography), environ 8 000 dollars.
DSA (angiographie interventionnelle), environ 5 000.
Gastroscopie à capsule, 3 000 à 4 000 dollars.
Bronchoscopie, 3 000 à 4 000 dollars.
Immunohistochimie, environ 2 000 dollars.
IRM, environ 1 000.
CT amélioré, 1000 à 2000 dollars.
Scintigraphie osseuse, environ 1 500.
CT, $300-$1000.
Et ainsi de suite.
Le développement de la médecine et les progrès scientifiques ont entraîné l'apparition d'un très grand nombre de nouveaux tests. Certains d'entre eux viennent tout juste de faire l'objet de recherches et n'ont pas été largement promus, et l'équipement, les instruments et les consommables utilisés peuvent être plus onéreux. D'une manière générale, plus le test est cher, plus il doit être précis et plus il est utile au diagnostic et au traitement de la maladie. Aujourd'hui, nous allons voir quels sont les tests les plus chers :
(1) PET/CT
Le PET/CT est un examen très coûteux, un examen PET/CT du corps entier coûte 8 000 à 10 000 dollars et ne peut pas être remboursé par l'assurance maladie.Le PET/CT est un examen très important pour évaluer le site de la tumeur, l'étendue de l'infiltration, et s'il y a des métastases à distance, etc. Certaines personnes demandent si l'examen PET/CT peut être utilisé pour l'examen physique. Ce n'est pas possible, parce qu'il est coûteux et sujet à des faux positifs, et que le PET/CT est radioactif et n'est pas recommandé pour l'examen physique de routine.

(2) Tests génétiques
Le test génétique est un test qui a été développé au cours des dernières décennies et qui peut être utilisé pour le diagnostic prénatal afin de déterminer s'il y a des malformations chez le fœtus, pour diagnostiquer un cancer, pour déterminer s'il y a des mutations dans le cancer, pour prédire l'efficacité du traitement et pour pouvoir utiliser des médicaments thérapeutiques ciblés, etc. Les tests génétiques sont également relativement coûteux : le coût d'un test génétique unique est d'environ 1 000 à 2 000 euros, et le coût augmente pour les tests portant sur plusieurs gènes.

(3) Test de résonance magnétique nucléaire
L'IRM est également un bon test pour son coût, avec une résolution élevée des tissus mous et sans radiation, et présente des avantages très clairs pour le diagnostic des maladies des os, du cerveau, des muscles, du foie et de la vésicule biliaire. Les IRM sont également coûteuses, plus de 1 000 euros pour un seul site, et encore plus si des agents de contraste spéciaux sont utilisés.

Dans l'ensemble, les tests les plus coûteux sont plus précis et un peu plus efficaces, mais il ne faut pas en abuser, ne les prescrire qu'en cas de besoin et ne pas trop s'y fier.
Les hôpitaux et les écoles sont des lieux auxquels nous sommes tous confrontés à différents stades de notre vie, et chaque ami a beaucoup à dire et à discuter. En ce qui concerne les hôpitaux en particulier, il est toujours difficile d'éviter que des parents ou des amis soient hospitalisés ou consultés en ambulatoire. Tant qu'à aller à l'hôpital, il faut peut-être savoir que l'hôpital pour voir le médecin doit aussi faire beaucoup d'examens, mais lequel de ces examens est le plus cher ? Le plus cher n'est-il pas le mieux ?
En effet, ces tests comprennent : l'électrocardiogramme, l'échographie, la radiographie, le scanner, la résonance magnétique, la gastroscopie, la coloscopie, la coronarographie, l'ECT, le PET/CT, la bronchoscopie, l'électromyographie, etc. Si le plus cher de ces tests est le PET/CT, il coûtera environ 8.000 à 10.000 dollars. Le plus cher de ces examens est de loin la TEP/TDM, qui coûte environ 8 000 à 10 000 dollars pour une seule séance. Pour le reste, il peut y avoir des examens moins chers et d'autres plus chers. Par exemple, un ECG ne coûte qu'environ 30 dollars et une radiographie ne coûtera probablement que 100 à 200 dollars.
Les tests que nous choisissons le plus souvent lors de l'enregistrement sont les suivants :
1. les prises de sang de routine :
Examens sanguins de routine : recherche de leucémie, de globules rouges, de plaquettes et d'hémoglobine pour vérifier l'absence d'infection, d'anémie et de problèmes sanguins.
Indicateurs biochimiques : fonctions hépatiques et rénales propres électrolytes glucose sanguin lipides sanguins : vérifier si le foie et les reins fonctionnent correctement ; vérifier si les électrolytes sont normaux.
Glycémie et lipides : examinez votre glycémie ainsi que le cholestérol, les triglycérides, les lipoprotéines de haute densité et les lipoprotéines de basse densité ; il s'agit d'un test relativement important à vérifier.
Il y a relativement plus d'articles allant de 100 à 400 points de prix.
Ces tests coûtent environ 400 à 500 dollars, mais ils peuvent bien sûr être effectués séparément, car il y a beaucoup d'éléments à vérifier et ils sont donc relativement coûteux.
2) Inspections de routine :
Radiographie thoracique : pour écarter les infections pulmonaires, l'espace pulmonaire, les problèmes trachéaux, les problèmes œsophagiens et la taille de l'ombre du cœur, pour déterminer s'il y a un hydrothorax, etc. Une radiographie thoracique est particulièrement nécessaire si vous avez des antécédents familiaux d'huile ou si vous êtes fumeur.
Électrocardiogramme : pour exclure les arythmies les plus typiques, ischémie du myocarde. Avec l'âge et l'aggravation de l'athérosclérose, certaines personnes sont susceptibles de développer une ischémie du myocarde, comme le montre l'électrocardiogramme typique.
Échographie du cœur et échographie de l'abdomen : structure et fonction du cœur, taille et forme du foie, de la vésicule biliaire, de la rate, du pancréas et des reins. Échographie de la gynécologie féminine, échographie de la prostate masculine.
3) Les inspections exceptionnelles devront être décidées au cas par cas :
Série virale : hépatite B, hépatite C et syphilis (pas nécessairement un test de routine, selon le cas).
Tomodensitométrie en plaine, par exemple pour la poitrine, la tête et l'abdomen.
4. des tests relativement coûteux :
CT amélioré : le prix varie selon le site, autour de 600-1500.
Magnétique nucléaire : environ 1000-2000.
Imagerie : environ 3000-4000.
Examen électrophysiologique : environ 5000.
Il ne s'agit là que d'une partie des tests les plus courants. En raison des éléments spécifiques et des différentes machines utilisées dans les hôpitaux, le prix peut varier, mais il convient d'écouter les médecins concernés : il faut choisir le test qui convient le mieux à ses propres besoins, et ne pas choisir le test le plus cher.
Vous vous demandez peut-être si plus l'inspection est coûteuse, plus elle a de valeur. La réponse est clairement non ! Vous devez choisir l'examen qui vous convient le mieux, et non celui qui est le plus cher. Par exemple, si un patient souffre de douleurs lombaires, nous choisirons probablement d'abord l'échographie pour connaître son système urinaire ; si le patient souffre d'une oppression thoracique ou s'il s'agit d'un examen médical de routine, nous donnerons probablement la priorité à l'électrocardiogramme ; si le patient souffre d'une fracture osseuse, nous prescrirons probablement d'abord une radiographie ; si le patient a de la fièvre et tousse, nous choisirons probablement le scanner thoracique ; et si le patient souffre d'une hernie discale lombaire, nous choisirons probablement le scanner thoracique pour le bien de la santé du patient ; et si le patient souffre d'une hernie discale lombaire, nous choisirons le scanner thoracique pour connaître son système urinaire. Si le patient souffre d'une fracture, nous commencerons probablement par une radiographie ; si le patient a des antécédents de fièvre et de toux, nous devrons probablement opter pour un scanner thoracique ; si le patient souffre d'une hernie discale lombaire, nous devrons probablement opter pour un champ magnétique nucléaire afin d'obtenir un diagnostic plus clair et plus précis ; s'il y a une masse dans les poumons, nous devrons probablement opter pour une bronchoscopie ou une biopsie par ponction afin de clarifier la nature de la masse ; et s'il s'agit d'une véritable masse gastro-intestinale, un gastroscope et une coloscopie pourraient être plus appropriés. Dans certains cas, une combinaison de tests peut être nécessaire pour obtenir un diagnostic précis ou une stadification clinique !
Par conséquent, nous ne pouvons pas juger la valeur par le prix, seul le plus approprié est le plus précieux !
Un principe plus consciencieux est le suivant : si vous pouvez utiliser la simplicité, n'utilisez jamais la complexité ; si vous pouvez utiliser la non-invasivité, n'utilisez pas l'invasivité ; si vous pouvez utiliser le bon marché, n'utilisez jamais le coûteux !
pet_CT une fois 8000 yuans, et l'assurance maladie ne rembourse pas, ne blâme que le retard technologique de notre pays, achète des machines produites par des fantômes, pour être ensuite massacré. Les machines de pointe sont construites par le personnel scientifique et technologique, et non par les gens du théâtre.
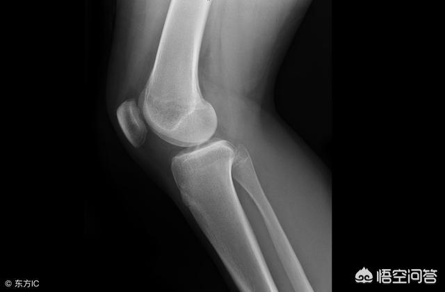
Lorsque les patients et leurs amis se rendent à l'hôpital pour un examen, la plupart du temps, le clinicien nous donne toujours les tests appropriés, certains sont bon marché, d'autres sont chers, alors en fin de compte, le test le plus cher est-il meilleur que le test le moins cher ? Les chaussures de marque sont bonnes, mais elles doivent être à la bonne taille ! Voyons comment les patients souffrant d'arthrite du genou doivent choisir leurs examens lorsqu'ils se rendent à l'hôpital.
1. L'imagerie avancée est le moyen de diagnostiquer l'arthrite.

Avec le développement de l'imagerie, le "statut" passé des rayons X en noir et blanc a été progressivement occupé par des tests d'imagerie avancés de plus en plus coûteux, tels que la tomodensitométrie et l'IRM (imagerie par résonance magnétique) et d'autres grands frères.
De nombreuses personnes souffrant d'arthrite sont superstitieuses et pensent que plus l'examen est coûteux, mieux c'est, estimant que les résultats des examens par tomodensitométrie et par IRM sont plus précis que ceux des radiographies.
Pour diagnostiquer l'arthrose du genou, des radiographies ordinaires suffisent et des examens tels que le scanner et l'IRM ne sont généralement pas nécessaires.
Contrairement au cerveau, au foie, aux poumons et à d'autres organes, le genou est une structure que l'on peut toucher à la surface du corps, il n'est pas entouré d'autres organes et tissus, et les rayons X permettent de très bien visualiser l'os !
Par conséquent, une simple radiographie, associée à un examen manipulatif effectué par un chirurgien orthopédique expérimenté, suffit généralement à diagnostiquer si un patient souffre d'arthrose !
Chez les patients souffrant d'arthrose du genou, les principales manifestations observées sur les radiographies sont le rétrécissement de l'espace articulaire du genou, l'ostéosclérose sous-chondrale et/ou la dégénérescence kystique, et la formation d'encombrements osseux sur les bords de l'articulation.
2. les examens par résonance magnétique (IRM) sont moins couramment utilisés !

Si le patient a des antécédents de traumatisme, ou si le médecin soupçonne que le patient souffre de déchirures des ligaments articulaires, de lésions du ménisque ou d'autres affections de ce type, il lui sera conseillé de subir une imagerie par résonance magnétique (IRM). L'IRM peut également être utilisée pour exclure les tumeurs, etc. Elle est également beaucoup plus coûteuse qu'une radiographie ordinaire, l'IRM de balayage coûtant 850++, l'IRM améliorée 1400++ et la radiographie seulement environ 120++.
Une fois que l'examen a précisé la présence de ces lésions dans la cavité articulaire, le médecin peut les traiter efficacement.
Ces questions et réponses proviennent des utilisateurs du site, elles ne représentent pas la position du site, s'il y a une infraction, veuillez contacter l'administrateur pour la supprimer.