Pourquoi certaines personnes appellent-elles le cancer du foie "cancer du pauvre" ?
Pourquoi certaines personnes appellent-elles le cancer du foie "cancer du pauvre" ?
Je viens également d'apprendre le concept de cancer pauvre, qui correspond à un cancer riche. Le cancer du foie est en effet un type de cancer pauvre, et c'est principalement pour cette raison que l'on dit que le cancer du foie est un cancer pauvre.
Qu'est-ce qu'un mauvais cancer ?
Le cancer est classé en "cancer pauvre" et "cancer riche" principalement parce qu'outre les gènes, les facteurs environnementaux sont également très importants dans le développement du cancer, et qu'il existe de grandes différences entre les modes de vie, les régimes alimentaires et les environnements des pauvres et des riches, de sorte que les taux d'incidence du cancer sont différents.
Par exemple, le cancer du foie et le cancer de l'estomac sont des cancers pauvres typiques, et les taux d'incidence de ces deux cancers sont plus élevés dans les zones rurales que dans les zones urbaines en Chine.

D'après mes propres observations cliniques, il est également vrai que la plupart des patients atteints d'un cancer du foie ont un niveau de vie relativement bas, ce qui entraîne également un taux de survie à cinq ans relativement faible pour les patients atteints d'un cancer du foie.
Ce n'est donc pas que les riches n'ont pas de cancer du foie, c'est qu'ils ont moins de chances d'en avoir un.
Pourquoi le cancer du foie est-il un cancer pauvre ?
Dire que le cancer du foie est un cancer pauvre est étroitement lié à plusieurs causes du cancer du foie :
- Hépatite B :La cause la plus fréquente du cancer du foie en Chine est l'hépatite B, mais cette maladie peut être contrôlée. Le plus gros problème actuel est que de nombreux patients ne savent pas qu'ils ont l'hépatite B et que certains d'entre eux ne veulent pas aller à l'hôpital pour se faire soigner pour des raisons financières. En fait, l'hépatite B peut être contrôlée depuis longtemps et les médicaments antiviraux sont très bon marché. Nous espérons que les patients atteints d'hépatite B pourront se rendre régulièrement à l'hôpital pour un examen.
- Aflatoxine :L'aflatoxine est principalement présente dans les aliments moisis, ce qui explique pourquoi les pauvres sont prédisposés au cancer du foie. Avant, même si les aliments sont moisis, ils ne peuvent pas les jeter, de sorte que la probabilité de contracter un cancer du foie est plus élevée, mais les riches ne mangeront certainement pas d'aliments moisis, ce qui est également une raison.
- Hépatite C :Le taux d'infection par l'hépatite C en Chine n'est pas élevé, mais il arrive que des cancers du foie soient causés par l'hépatite C. Aujourd'hui, la plupart des cas d'hépatite C peuvent être guéris, mais cela nécessite des médicaments antiviraux coûteux, que certaines personnes ne peuvent toujours pas s'offrir. La plupart des personnes sont infectées par l'hépatite C parce qu'elles partageaient une seringue et vendaient du sang.Honnêtement, qui vendrait du sang s'il en avait les moyens ?
- L'alcoolisme :Pour être honnête, les gens n'aiment peut-être pas entendre que les personnes plus aisées ont tendance à mieux se contrôler et sont moins susceptibles d'abuser de l'alcool. J'ai constaté que les patients alcooliques les plus fréquents sont des hommes célibataires ou divorcés vivant dans des zones rurales, et que l'incidence du cancer du foie causé par l'alcoolisme est de plus en plus élevée ; l'alcool n'est pas une bonne chose.
Ces causes vous permettent de comprendre pourquoi le cancer du foie est appelé "les pauvres". En effet, les pauvres sont plus susceptibles d'avoir un cancer du foie.

Que faire pour prévenir le cancer du foie ?
La prévention du cancer du foie passe également par l'examen des causes de cette maladie :
- La première chose à dire est sans aucun doute l'hépatite B, car l'hépatite B est un sujet incontournable. J'espère que tous les patients atteints d'hépatite B feront deux choses : 1. Si vous avez besoin d'un traitement antiviral, ne le refusez pas. De nos jours, l'indication d'un traitement antiviral est de plus en plus faible, principalement parce qu'un grand nombre de recherches ont prouvé que les médicaments antiviraux ont un effet, qu'ils ont moins d'effets secondaires, et que leur prix est très bas aujourd'hui. Les patients qui ont besoin d'un traitement antiviral ne doivent pas le refuser. 2. l'échographie du foie, l'élastographie, l'AFP, la fonction hépatique, l'hépatite B et l'ADN-VHB doivent être contrôlés régulièrement.
- Manger frais : tant que les aliments sont frais, il n'y a pratiquement pas d'absorption d'aflatoxines, ce qui contribue à réduire les causes de cancer du foie. Pour être honnête, l'absorption d'aflatoxines dans les cas de cancer du foie causés par un trop grand nombre de patients est de moins en moins importante, car le réfrigérateur a été popularisé et tout le monde sait que les aliments doivent être frais.
- Ne buvez pas d'alcool : The Lancet avait l'habitude de dire qu'il n'y a pas de dose sûre d'alcool, et c'est ainsi, ne buvez pas et surtout n'abusez pas de l'alcool, qui est nocif et très nocif pour l'organisme.

résumés
Il est vrai que le cancer du foie est un cancer pauvre en termes d'incidence, mais cela ne signifie pas que les riches n'auront pas de cancer du foie, c'est une question de probabilité, et j'espère que tout le monde prendra bien soin de son foie.
Lorsque j'ai lu cette question, je me suis d'abord demandé pourquoi certaines personnes affirmaient que le cancer du foie était un cancer des pauvres. Les riches n'ont-ils pas de cancer du foie ? Cependant, je peux constater, à partir de cas cliniques de cancer du foie, que les pauvres comme les riches souffrent de cette maladie. De plus, le cancer du foie n'est pas une maladie très intellectuelle, car il ne permet pas de savoir qui est pauvre et qui est riche.
Mais à bien y réfléchir, il semble qu'il y ait une certaine vérité à dire que le cancer du foie est un cancer des pauvres. Pourquoi dites-vous cela ? Lefty va vous en parler.

I. Avant de répondre à cette question, il faut d'abord comprendre les facteurs de risque qui induisent le cancer du foie.
On peut dire que le cancer du foie est l'une des tumeurs malignes les plus répandues dans notre pays, et son taux de mortalité se classe parmi les trois premiers de toutes les tumeurs malignes, et de nombreuses personnes dans notre pays souffrent chaque année d'un cancer du foie, et de nombreuses personnes en meurent également. L'apparition du cancer du foie est liée aux facteurs de risque suivants :
Le rapport : Premièrement, il existe un lien étroit entre le développement du cancer du foie et l'hépatite virale.
Nous savons tous que notre pays était autrefois un grand pays de l'hépatite B. Même si certaines mesures positives ont été prises pour la prévention de l'hépatite au cours des dix ou vingt dernières années afin de réduire la prévalence de l'hépatite, il y a encore de nombreux patients atteints d'hépatite. En 2020, lors de la Journée mondiale de l'hépatite, la Chine comptera encore environ 70 millions de cas d'infection par le virus de l'hépatite B, dont près de 90 % n'ont pas été traités, auxquels s'ajoutent quelques patients atteints d'hépatite C. On peut donc dire que le nombre de patients atteints d'hépatite est très élevé.
En outre, les données montrent qu'environ un tiers des patients atteints d'un cancer primitif du foie ont des antécédents d'hépatite chronique, en particulier d'hépatite B et C, ce qui tend souvent à faire évoluer le foie du patient d'une hépatite à une cirrhose, puis d'une cirrhose à un carcinome hépatocellulaire. On peut donc dire que l'hépatite virale est le principal facteur cancérigène dans le développement du cancer du foie.
: : Deuxièmement, il existe un lien étroit entre les aflatoxines et le développement du cancer du foie.
Si vous consommez souvent des aliments moisis, tels que du maïs moisi, des cacahuètes, des noix, etc. ou des huiles végétales fabriquées à partir de ces aliments moisis, telles que l'huile d'arachide, l'huile de soja, etc. Lorsque l'aflatoxine est détoxifiée et métabolisée dans le foie, elle produit de l'aflatoxine, un agent cancérigène de classe 1, qui cause des dommages persistants au tissu hépatique, et ces dommages sont irréversibles, induisant facilement des cellules hépatiques cancéreuses, ce qui peut facilement conduire à l'apparition d'un cancer du foie.
Troisièmement, il existe un lien étroit entre l'abus prolongé d'alcool et le développement du cancer du foie.
L'abus prolongé d'alcool est également un facteur de risque de cancer du foie. Nous devons savoir que lorsque nous buvons beaucoup de vin blanc, l'éthanol contenu dans le vin blanc est détoxifié et métabolisé dans le foie, et que la détoxification et le métabolisme de l'alcool par le foie sont limités ; lorsque l'alcool dépasse la limite du métabolisme de l'alcool par le foie, il cause des dommages aux cellules du foie, en particulier l'acétaldéhyde, un métabolite intermédiaire de l'éthanol, qui cause des dommages aux tissus du foie, et conduit facilement au cancer des cellules du foie, et donc facilement induire l'apparition d'un cancer du foie.
: : Quatrièmement, il existe également une relation entre la contamination de l'eau potable et le développement du cancer du foie.
Notre vie est indissociable de l'eau, mais si les ressources en eau sont polluées, cela affectera non seulement notre santé, mais provoquera également l'apparition de cancers. En particulier, si l'eau potable n'est pas strictement filtrée, désinfectée et purifiée, elle contient des algues bleues, des pesticides organochlorés, des métaux lourds, etc., ces substances endommageront les cellules du foie, ce qui favorisera l'apparition du cancer du foie.
Cinquièmement, les aliments marinés et les aliments cuits au barbecue sont également associés au développement du cancer du foie.
Les aliments marinés et les aliments cuits au barbecue sont susceptibles de produire certaines substances cancérigènes au cours du processus de production, comme les aliments marinés qui produisent du nitrite, les aliments cuits au barbecue qui produisent une sorte de benzopyrène, ces substances dans le métabolisme du foie continueront à endommager les cellules du foie, ce qui est susceptible d'induire des changements cancéreux dans les cellules du foie.

Deuxièmement, pourquoi dit-on que le cancer du foie est un cancer pauvre avec un certain degré de justification ?
L'analyse ci-dessus montre que l'apparition du cancer du foie est étroitement liée aux facteurs de risque susmentionnés, mais cela ne signifie pas que le cancer du foie a quelque chose à voir avec les pauvres et les riches, ni que seuls les pauvres souffriront du cancer du foie, tandis que les riches n'en souffriront pas. En fait, si nous sommes plus attentifs, nous devrions savoir que même si les facteurs de risque du cancer du foie sont les mêmes, les pauvres et les riches ont des habitudes de vie, des connaissances et une attitude à l'égard des choses différentes, ce qui conduit directement au fait que le risque de cancer du foie n'est pas le même.
Tout d'abord, les habitudes alimentaires sont différentes. Pour les pauvres, la vie n'est pas assez riche, ils sont généralement plus économes, ils sont parfois avides d'acheter à bas prix des aliments et de l'huile de mauvaise qualité, et ils ne sont pas prêts à jeter des aliments moisis et gâtés, tant que la détérioration des parties lavées ou coupées continue à se faire sentir. En outre, ils mangent souvent des aliments marinés, tels que la choucroute, les cornichons, la viande fumée, etc., de sorte qu'une longue période de consommation de ces aliments moisis et avariés endommage fortement le foie et favorise l'apparition d'un cancer du foie. Les personnes riches sont différentes, parce qu'elles sont économiquement plus riches, leur régime alimentaire est souvent bon, l'huile et les aliments sont achetés au mieux, les aliments sont les plus frais, l'eau potable doit être filtrée avant d'être bue, de sorte que moins de substances cancérigènes entrent en contact avec les aliments, naturellement, il n'est pas si facile d'induire l'apparition d'un cancer du foie.
● Deuxièmement, les attitudes à l'égard des maladies sont différentes. Si la même personne souffre d'une hépatite, pour les pauvres, ce qu'ils craignent le plus, c'est de tomber malades, car ils ne sont pas riches, et lorsqu'ils tombent malades, ils doivent dépenser beaucoup d'argent. Même s'ils découvrent qu'ils souffrent d'une hépatite ou d'une cirrhose du foie, ils ne les traitent pas positivement, ce qui peut facilement conduire à la détérioration des tissus du foie, et donc à l'apparition d'évolutions cancéreuses. Certaines personnes ne se rendent même pas à l'hôpital une fois en plusieurs années, et encore moins pour un bilan de santé annuel. Les riches, en revanche, se préoccupent davantage de leur vie et de leur santé parce qu'ils n'ont pas à se soucier de l'argent. Non seulement ils se soumettent à un bilan de santé une fois par an pour bien comprendre leur propre état physique, mais ils suivent également un traitement actif même s'ils sont encore atteints de maladies telles que l'hépatite et la cirrhose. Par conséquent, cette attitude différente détermine naturellement le degré de cancérogénicité du cancer du foie.
Enfin, l'attitude face à la vie est différente. Les pauvres doivent non seulement courir chaque jour pour joindre les deux bouts, et la vie n'est pas belle, pas d'argent, ils sont souvent déprimés, mais ils boivent aussi souvent pour soulager leur chagrin, ils fument, etc., ce qui peut non seulement entraîner une stagnation du foie, mais aussi un cancer du foie. Pour les personnes riches, en raison d'une vie plus riche, elles n'ont pas à se soucier de l'argent, leur humeur naturelle ne sera pas trop dépressive, et pour leur propre santé, elles sont également plus soucieuses de leur propre santé, elles n'abusent pas souvent de l'alcool, ce qui réduit naturellement les facteurs de risque du cancer du foie.
En général, le cancer du foie ne fait pas de distinction entre les pauvres et les riches, s'ils ne font pas attention à leur propre santé, ils font souvent des choses qui endommagent le foie, augmentent le risque de cancer du foie, alors ce cancer du foie est en fait le même, que vous soyez pauvre ou riche, vous souffrirez également du cancer du foie, il suffit de rester à l'écart des facteurs de risque qui induisent le cancer du foie, de manière à réduire l'apparition du cancer du foie.

Note de l'auteur : Je suis très heureux de vulgariser les connaissances liées à la santé pour tout le monde, je suis gaucher pour dire médical, chaque jour avec un langage simple pour vous de vulgariser les connaissances médicales professionnelles, les mots de code n'est pas facile, si vous aimez mon article, aidez-moi à pointer un éloge ! Si vous avez encore des questions, vous pouvez laisser un message dans la section des commentaires, bienvenue à l'attention, en avant, merci pour votre soutien !
Je poserai une question similaire, et si vous pouvez y répondre, alors cette question pourra être résolue : pourquoi Shanghai est-elle considérée comme une région riche ? N'y a-t-il pas de pauvres ? Je suis sûr que vous pouvez répondre à cette question : Shanghai est appelée une région riche parce qu'elle a une économie développée et un niveau de vie relativement élevé, mais cela ne signifie pas qu'il n'y a pas de pauvres à Shanghai, cela signifie simplement que le niveau de vie général y est généralement plus élevé, mais qu'il y a toujours des gens plus pauvres.
De même, la raison pour laquelle le cancer du foie est appelé "cancer des pauvres" ne signifie pas que le cancer du foie n'existe que chez les pauvres et pas chez les riches. Les riches ont également un cancer du foie, et il n'est pas certain que les pauvres aient un cancer du foie. Toutefois, en termes de probabilité, les pauvres sont plus susceptibles d'avoir un cancer du foie, et le cancer du foie survient plus souvent chez les pauvres. Certaines personnes continueront probablement à citer des exemples, en disant qu'untel et untel sont très riches, mais n'ont-ils pas également contracté un cancer du foie ? Vous voyez, vous parlez encore de cas individuels, ne l'avez-vous pas dit tout à l'heure ? Les riches auront aussi un cancer du foie. Vous devez considérer la question du point de vue d'un groupe, et en fait, vous ne pouvez pas considérer la question du point de vue d'un groupe parce que cela exige que vous compreniez les statistiques pertinentes, plutôt que de porter un jugement basé sur les cas de cancer du foie que vous avez vus ou dont vous avez entendu parler. Même si vous voyez 10 personnes riches ayant un cancer du foie et une seule personne pauvre ayant un cancer du foie, vous ne pouvez toujours pas penser que ce sont les personnes riches qui sont les plus susceptibles d'avoir un cancer du foie. Vous pourriez dire que le rapport est de 10:1. Cela montre que vous n'avez toujours pas de connaissances de base en matière de statistiques et de probabilités.
Pourquoi les pauvres sont-ils plus susceptibles de contracter un cancer du foie ? C'est parce que les pauvres ont plus de chances d'être exposés à des facteurs cancérigènes, tels qu'un taux plus élevé d'infection par l'hépatite B, un taux plus faible de vaccination contre l'hépatite B, une alimentation plus pauvre, un régime impur, une probabilité plus élevée de manger des aliments avariés et périmés, des aliments moisis, etc. etc. etc. etc. Tous ces éléments augmentent le risque de cancer du foie.
Nos médecins disent souvent que le cancer de la thyroïde est un "cancer paresseux", ce qui s'explique par le fait que dans la plupart des cas, le degré de malignité du cancer de la thyroïde est relativement faible et que le pronostic est relativement bon, de sorte que nos médecins disent souvent que le cancer de la thyroïde est généralement appelé "cancer paresseux", qui est également appelé "cancer heureux", parce que son degré de malignité n'est pas très élevé et qu'il existe des méthodes curatives. Par conséquent, les médecins disent souvent que le cancer de la thyroïde est généralement appelé "cancer paresseux" ou "cancer heureux" parce que son degré de malignité n'est pas très élevé et qu'il existe des méthodes curatives pour le guérir.
Pourquoi les médecins qualifient-ils parfois le cancer du foie de "cancer pauvre" ?Aujourd'hui, je vais vous parler de ce sujet !

Qu'en est-il du cancer du foie ?
Le carcinome hépatocellulaire est en fait un large éventail de tumeurs malignes.Cependant, les tumeurs malignes ne sont pas seulement des "cancers", il existe également un autre type de tumeur maligne appelé sarcome, qui nécessite également un traitement actif.
Les cancers du foie sont appelés "cancer du foie", mais ils se divisent en plusieurs catégoriescancer primitif du foie和cancer du foie métastatique。
Par cancer primitif du foie, on entend que le cancer lui-même provient du foie ; et par cancer métastatique du foie, on comprend bien que la lésion cancéreuseAu plus tôt.Au-dessus de notre foie, il y a des métastases provenant d'autres endroits, comme l'estomac, le sein, le cancer du poumon, qui atteignent le foie.

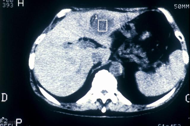
(Comme indiqué : cancer du foie métastatique)
Ce cancer du foie métastatique est encore relativement fréquent en clinique, car le foie est le plus grand organe digestif de notre corps.La circulation sanguine y est très richePresque tout le sang de notre corps, y compris le sang provenant du tractus gastro-intestinal, est filtré par le foie, et un grand nombre de nos nutriments y sont métabolisés.,De nombreux cancers locaux sont donc sujets à des métastases hépatiques et forment un cancer du foie métastatique.

Et encore une fois, de manière tout à fait compréhensible, laDans le cas d'un cancer primitif du foie, il est facile d'observer des métastases vers d'autres organes cibles par le biais de la circulation sanguineparce que le cancer du foie métastatique et le cancer du foie primaire, comme vous pouvez le voir, sont particulièrement sujets aux métastases, qui impliquent un degré élevé de malignité et sont plus fréquentes aux stades intermédiaires et avancés.Par conséquent, du point de vue de la malignité, le cancer du foie ne peut être qualifié de "cancer pauvre", et encore moins de "cancer paresseux".。
Bien entendu, il existe également des patients dont la tumeur comporte deux composantes cellulaires, ce que l'on appelle un cancer mixte du foie.
Quel est le taux d'incidence du cancer du foie ces dernières années ? Est-il "faible" en termes d'incidence ? Est-il faible ?
En fait, l'incidence du cancer du foie est mitigée et le nombre de cancers primaires du foie a diminué au fil des ans !
Pourquoi ?
Dans notre pays, l'hépatite est un facteur très important qui conduit au cancer primaire du foie, et notre pays est un grand pays d'hépatite B. Dans le passé, le taux d'infection par l'hépatite B était supérieur à zéro dans environ 100 millions de personnes, et le taux d'infection par le virus de l'hépatite B était supérieur à zéro dans environ 100 millions de personnes.Carcinome hépatocellulaire primaire, dont la plupart présentent une tendance triadique d'hépatite, de cirrhose et de carcinome hépatocellulaire.。

Mais alors que notre pays généralise la vaccination contre l'hépatite B, l'épidémie de grippe aviaire se propage dans le monde entier.Intégration de la vaccination contre l'hépatite B dans le programme d'immunisationSi votre enfant n'est pas vacciné de la naissance à l'école, il risque de ne pas pouvoir aller à l'école. En outre, avec les progrès de la médecine et l'amélioration des méthodes de traitement, la période de survie de nombreux patients est prolongée, de sorte que le taux d'incidence et le taux de mortalité du cancer du foie primaire ont été réduits, mais on ne peut ignorer que le taux d'incidence du cancer du foie est encore relativement élevé.

L'incidence du cancer du foie continue d'augmenter en raison d'autres causes, telles que l'hépatite C, l'hépatite alcoolique, la stéatose hépatique, etc.。
Par conséquent, le cancer du foie ne peut pas être considéré comme un "cancer pauvre" en termes de taux d'incidence global et de taux de mortalité !
Voyons donc pourquoi le cancer du foie est appelé "cancer pauvre".
En fait, ce "pauvre".Par opposition à "riche".. L'interprétation précise est la suivanteOn ne peut pas dire que les pauvres sont pauvres parce qu'ils sont sortis de la pauvreté, mais plutôt que nous, les citoyens, sommes plus exposés au cancer du foie que ceux qui sont riches et dans de meilleures conditions, et c'est là la véritable signification du cancer du foie, que l'on appelle le "cancer du pauvre" !
Pourquoi ? Pourquoi les personnes relativement "pauvres" sont-elles plus susceptibles d'être atteintes d'un cancer du foie ? Les riches n'ont-ils pas de cancer du foie ?
Bien sûr que non.Wu Mengda", récemment décédé, ainsi que l'ancien animateur de CCTV "Li Yong", le célèbre acteur Fu Biao, etc. sont tous morts d'un cancer du foie, mais ils ne sont pas "pauvres".Par conséquent, nous devons clairement comprendre que ce que j'entends par le fait que les pauvres sont sujets au cancer du foie est un "événement probabiliste" par rapport aux riches, c'est-à-dire que les pauvres ont une probabilité relativement plus grande d'avoir un cancer du foie que les riches, et non pas que seuls les pauvres ont un cancer du foie et que les riches n'en ont pas !

Pourquoi les pauvres sont-ils plus susceptibles d'être atteints d'un cancer du foie que les riches ?
Il est ensuite temps d'examiner les quatre principales causes du cancer du foie :
La première est notre infection par le virus de l'hépatite BIl s'agit de la principale cause de cancer hépatocellulaire primaire du foie dans notre pays, représentant plus de 85 % des cas, et plus de 85 % des cancers primaires du foie sont cliniquement liés à l'infection par le virus de l'hépatite B ou au portage du virus.
Quel est le principal mode de propagation de l'infection par le virus de l'hépatite B ?
Elle se transmet par le sang.Par exemple, dans le passé, lorsqu'il y avait des irrégularités dans la transfusion sanguine, la vente de sang, le partage de seringues pour l'usage de drogues, etc., réfléchissons à ceci : les "pauvres" sont-ils plus enclins à la vente de sang ? A partager des objets ?

Le second est l'alcoolisme.C'est ce facteur qui est actuellement à l'origine du nombre croissant de cancers du foie dans notre pays. Bien sûr, il y a beaucoup de riches qui aiment boire, comme Li Tan, mais il y a une plus grande différence entre les riches qui boivent et les pauvres qui boivent.Les pauvres sont enclins à boire de l'alcool frelaté et bon marché, tandis que les riches ont tendance à boire de l'alcool plus pur et du bon vin, tout comme les riches fument des cigarettes qui sont plus chères et moins nocives que celles des pauvres.Le plus grand danger du faux alcool est qu'il contient du méthanol, qui est plus cancérigène que l'éthanol ;

Le troisième est l'obésité, car la stéatose hépatique non alcoolique est également un facteur moderne important qui contribue actuellement à l'incidence élevée du cancer du foie.
À ce stade, certains diront que ce facteur cancérigène doit être plus élevé chez les riches que chez les pauvres, parce qu'ils sont plus riches, mangent mieux et sont plus susceptibles d'être gros !
En fait, ce n'est peut-être pas le cas !En fait, les gens trouveront dans leur vie queLes personnes qui recherchent un mode de vie sain et qui sont davantage axées sur le bien-être sont manifestement les plus richesIls sont en effet plus disponibles et mieux équipés pour créer des modes de vie sains.Les pauvres, au contraire, sont plus enclins à la suralimentation et ont de meilleures habitudes et conditions de vie que de travailler toute la journée.

Le quatrième facteur est le facteur alimentaire important, dont le principal est la nourriture moisie.Dans le sud du pays, en particulier, la saison des pluies est annuelle, mais cette année, le Guangdong n'a pas encore fait son apparition, et la saison des pluies risque fort de ne pas nous permettre d'économiser les aliments transformés, les céréales produisant une sorte d'aflatoxine.Aspergillus flavus, quant à lui, résiste à la chaleur et produit une toxine qui est maintenant clairement définie comme cancérigène pour le cancer du foie.Il existe également des facteurs alimentaires qui contribuent au développement du cancer du foie, notamment le maïs moisi, les cacahuètes et la canne à sucre, et les pauvres sont-ils plus susceptibles de les consommer ?

Bien entendu, il existe également des environnements de travail, des polluants environnementaux, des facteurs liés à l'eau et à la pollution de l'air, etc. qui sont des toxines cancérigènes pour le foie et, là encore, les pauvres, pour gagner leur vie, sont plus susceptibles d'entrer en contact avec ces substances et de travailler et de vivre dans ces environnements !
Par conséquent, parmi ces causes, le cancer du foie peut être considéré comme un "cancer pauvre", ce qui reflète également les différences géographiques dans l'incidence de la maladie, la distribution régionale de la maladie et les différences entre les êtres humains.
Enfin, nous avons dit que les pauvres, comparés aux riches, parce qu'ils sont plus susceptibles d'être exposés aux facteurs cancérigènes du cancer du foie, à quoi devrions-nous, en tant que personnes ordinaires, prêter plus d'attention ? Comment pouvons-nous prévenir le cancer du foie ?
En matière de tumeurs, la question la plus préoccupante reste celle de la prévention. Or, quelle que soit la tumeur, les facteurs d'apparition sont nombreux.Certains facteurs ne sont pas contrôlables, par exemple, certains facteurs génétiques, ce n'est pas quelque chose que nous pouvons décider plus tard dans la vie, et ce que nous pouvons prévenir et ce que nous pouvons changer, ce sont les facteurs environnementaux, en évitant consciemment l'impact de ces facteurs environnementaux nocifs sur le corps.
Nous parlerons ensuite du cancer du foie, dont nous venons d'évoquer les principaux facteurs de causalité, et de la manière de le prévenir, c'est-à-dire de cibler la prévention !
Prévenir l'infection par le virus de l'hépatite B en premier lieuSi vous avez des anticorps, vous devez réduire la transmission sanguine, bloquer la transmission de la mère à l'enfant et ne pas consommer de drogues dans votre vie.
Deuxièmement, il faut veiller à l'hygiène alimentaire personnelle, arrêter de fumer et de boire, en particulier le problème de l'alcool.Le foie alcoolique et une forte consommation d'alcool peuvent certainement endommager le foie, ce qui est strictement interdit ;
Bien sûr, la vie est également très importante : il ne faut pas manger de nourriture moisie, manger n'importe quelle nourriture, il faut développer un premier regard sur les habitudes de moisissure de mes camarades de classe.Les plus courantes, comme le maïs, les arachides, etc., sont plus importantes, car une fois moisies, elles produisent de l'aflatoxine, qui est un agent cancérigène évident pour le cancer du foie !
Bien sûr, nous ne le faisons pas parce que j'ai dit que le maïs est facile à moisir avec l'aflatoxine, même l'huile d'arachide n'ose pas être consommée, en fait, l'huile d'arachide, nous pouvons être assurés que l'huile d'arachide n'est pas contaminée par l'aflatoxine.Toutes les huiles d'arachide sont détoxifiées et désaflatoxinées tant qu'elles sont produites régulièrement.
Enfin, de bonnes habitudes, de l'exercice et un contrôle du poids sont également nécessaires.La stéatose hépatique étant également un facteur de risque, il est important de privilégier l'exercice physique, de suivre un régime alimentaire raisonnable et de ne pas tomber dans l'obésité.

en ce qui concerne肝癌Si vous avez encore des questions, vous pouvez laisser un message ci-dessous, j'insiste sur l'utilisation de mots que nous pouvons comprendre, la façon la plus primitive de coder pour vous apporter la science et la technologie de la santé la meilleure, la plus complète et la plus pratique. Si vous vous sentez bien, vous pouvez prêter attention à "Détective médical"et faites suivre yo à d'autres personnes autour de vous !
Le cancer du foie est l'un des cancers les plus meurtriers au monde. On estime que plus de 700 000 personnes en meurent chaque année. L'incidence du cancer du foie a également triplé au cours des trente dernières années, et le nombre de personnes qui en meurent a doublé dans le même temps. Bien que cette situation puisse être décourageante pour les personnes chez qui un cancer du foie a été diagnostiqué, leur taux de survie peut varier en fonction de divers facteurs. Quoi qu'il en soit, un traitement adapté peut nous aider à vivre pleinement et à prolonger notre vie.
Dans la vie réelle, j'ai toujours entendu dire que la plupart des gens qualifient le cancer du foie de "cancer pauvre", c'est-à-dire de cancer dont souffrent les personnes issues de familles pauvres. En fait, si l'on observe l'évolution de l'incidence du cancer du foie, il n'y a pas de caractéristique "pauvre". Le plus souvent, toutes les personnes, qu'elles soient pauvres ou riches, peuvent souffrir d'un cancer du foie. Dans ces conditions, pourquoi certaines personnes qualifient-elles le cancer du foie de "cancer pauvre" ? Permettez-moi de l'expliquer une à une.

Quels sont les signes et les symptômes du cancer du foie ?
À proprement parler, presque tous les cancers ne présentent pas de symptômes aux premiers stades, et même lorsqu'ils en présentent, la plupart sont non spécifiques, ce qui signifie qu'un certain symptôme peut apparaître dans une variété de maladies. Au fur et à mesure que la maladie progresse, les symptômes commencent à apparaître, ce qui nécessite un examen immédiat. Souvent, la maladie est déjà à un stade avancé.
En fait, la plupart des gens connaîtront toujours une situation insupportable.Douleur et gêne dans la partie supérieure droite de l'abdomenouDouleur dans l'omoplate droite.Cela est dû à l'augmentation de la pression abdominale et aux métastases de la tumeur hépatique. S'il y ahépatomégalieÀ l'examen physique, les bords du foie peuvent être palpables. Parfois, une masse très dure ou un gonflement peut être ressenti dans la zone située sous le côté droit de la cage thoracique. En général, cette grosseur est indolore. Parfois, le cancer du foie peut également provoquersplénomégalieCela se traduit par une douleur ou une grosseur dans la partie gauche du bas du dos.

En outre.jaunisseC'est également l'un des symptômes du cancer du foie. La jaunisse est un état dans lequel la peau, ainsi que les parties blanches des yeux, peuvent apparaître jaunes. Elle est généralement causée par l'accumulation de sels biliaires dans la zone de la peau. L'accumulation de sels biliaires dans la peau peut provoquer une jaunisse et peut également être à l'origine de瘙痒. En outre, la plupart de nos amis atteints d'un cancer du foie aurontliquide ascitiqueDes signes qui ressemblent d'abord à un gonflement de l'estomac. Avec le temps, le liquide qui s'accumule dans l'abdomen pousse vers le haut contre les poumons, ce qui provoque le gonflement de l'estomac.essoufflement。

La perte de poids inexpliquée est un signe pronostique de presque tous les cancers, mais elle est basée sur le fait que nous n'avons fait aucun changement de régime alimentaire ou d'exercice. Par exemple, une personne pesant 60 kg perd soudainement 5 kg sur une période de six mois sans changer ses habitudes. En revanche, dans le cas d'un cancer du foie, on est sujet à l'anorexie des aliments gras, on n'a pas très bon appétit et on peut se sentir anormalement fatigué. Et, bien sûr, il peut y avoirFièvre, anémie, hypoglycémiemêmeGynécomastieEt ainsi de suite.

Pourquoi certaines personnes appellent-elles le cancer du foie "cancer du pauvre" ?
L'une des choses que je voudrais mentionner ici est que la ville de Qidong, dans la province de Jiangsu, était un comté de la province de Jiangsu et qu'elle est maintenant devenue une ville. À une époque, la ville de Qidong était une terre de delta nouvellement déposée et ne produisait pas de riz. À l'époque, le maïs est devenu l'aliment principal des habitants de la région de Qidong. En 1971, le maïs de Launch était le principal vecteur alimentaire de l'aflatoxine. Par conséquent, au cours de cette période, Qidong est devenue une zone à forte incidence de cancer du foie en Chine, et ce en raison de la présence de l'aflatoxine dans le maïs.Infection par le virus de l'hépatite B和Aflatoxines alimentairesRésultant de.

Cet aspect de l'hépatite B et les aflatoxines alimentaires sont synergiques dans le développement du cancer du foie. À l'époque, les zones de démarrage étaient économiquement pauvres et souvent exposées à du maïs moisi, d'où l'incidence élevée du cancer du foie. Ce n'est que plus tard, lorsque l'État a vacciné la zone de démarrage contre le virus de l'hépatite B et réduit les aflatoxines alimentaires, que l'incidence du cancer du foie a diminué.

De ce point de vue, le cancer du foie semble être un "cancer du pauvre", ce qui est vrai. Cependant, pouvons-nous dire que les soi-disant "riches" ne développeront pas de cancer du foie ? Il est évident que ce n'est pas le cas. Par exemple, il y a quelque temps, le célèbre acteur WU Mengda est mort d'un cancer du foie. Peut-on dire qu'il était "pauvre" ?L'incidence du cancer du foie ne penche ni du côté des "pauvres" ni du côté des "riches", et il n'y a pas de distinction entre "cancer pauvre" et "cancer riche". Il n'y a pas de distinction entre "cancer pauvre" et "cancer riche".. Il s'agit plutôt d'un traitement approprié et d'une autogestion du virus de l'hépatite. Si nous savons que nous avons une hépatite, mais que nous ne la traitons pas et que nous ne prêtons pas attention aux changements de mode de vie et d'habitudes, il est facile de s'exposer aux "griffes" du cancer du foie.

À ce jour, nous ne connaissons pas la cause exacte du cancer du foie, mais les facteurs de risque comprennent la consommation excessive d'alcool, le tabagisme, les aliments moisis, les infections du foie telles que l'hépatite B et l'hépatite C. En outre, le risque de développer un cancer du foie est plus élevé lorsque des membres de la famille en sont atteints. Cependant, même si nous présentons des facteurs de risque de cancer du foie, cela ne signifie pas que nous développerons à coup sûr un cancer du foie. Ce que nous devons faire, c'est essayer d'éviter les facteurs de risque que nous pouvons modifier afin d'éloigner le cancer du foie.

Quel est le pronostic relatif du cancer du foie ?
Le pronostic global du cancer du foie dépend du stade du cancer, c'est-à-dire de sa propagation au foie ou à d'autres organes à partir de sa localisation initiale. La stadification joue un rôle important dans le calcul du taux de survie de chaque patient atteint d'un cancer du foie. D'autre part, le cancer du foie peut affecter différemment chaque personne parce que chaque personne est unique, mais les traitements du cancer du foie ont tendance à être très similaires.
Le cancer du foie est classé du stade 1 au stade 4. Plus le chiffre est bas, moins le cancer s'est propagé. Bien que l'expérience du cancer soit unique pour chaque personne, les cancers à des stades similaires tendent à avoir des pronostics similaires et sont généralement traités de la même manière. En clinique, le critère le plus couramment utilisé pour déterminer le stade est la stadification TNM, où T représente l'étendue et la taille de la tumeur, N indique si elle s'est propagée aux ganglions lymphatiques voisins et M indique si le cancer du foie se métastase ou se propage au-delà du foie, par exemple vers les os ou les poumons.

Au cours des dernières décennies, les connaissances médicales et la compréhension de tous les aspects du cancer du foie se sont considérablement améliorées, alors même que de nouvelles expériences ont permis d'identifier des anomalies génétiques dans le cancer du foie, et que nous avons également identifié de nouvelles options thérapeutiques grâce à des résultats anormaux. Néanmoins, le pronostic global du cancer du foie n'est pas encourageant.Le taux de survie relative à cinq ans n'est que de 10 à 20 % dans la plupart des pays.N'oubliez pas que les taux de survie ne sont que des estimations, généralement basées sur les résultats antérieurs d'un grand nombre de personnes atteintes d'un cancer spécifique, mais qu'ils ne peuvent pas prédire le résultat dans le cas d'une personne donnée.
En général, les patients qui peuvent subir une intervention chirurgicale pour retirer leur cancer ont un taux de survie plus élevé, quel que soit le stade de la maladie. Par exemple, des études ont montré que les personnes atteintes de tumeurs petites et résécables, sans cirrhose ou autres problèmes de santé graves, peuvent s'en sortir si la tumeur est enlevée. Pour les patients atteints d'un cancer du foie à un stade précoce qui subissent une transplantation hépatique, le taux de survie à cinq ans peut être de l'ordre de 60 à 70 %. De ce point de vue, si nous savons comment prévenir le cancer du foie, et si le cancer du foie est détecté à un stade précoce, le pronostic est bien meilleur que celui d'une détection tardive.

Conclusion :
Le diagnostic de cancer du foie est une chose très malheureuse. Il est important de faire les choses une par une et d'apprendre tout ce que l'on peut sur le cancer du foie, son pronostic et ce que l'on peut faire pour se sentir bien dans sa peau pendant le traitement. Et bien sûr, pour ceux qui sont en bonne santé, la prévention du cancer du foie est une chose qui mérite d'être prise au sérieux.
Les facteurs cancérigènes du cancer du foie présentés ci-dessous révèlent un phénomène intéressant. Presque toutes les personnes vivant dans des régions pauvres et arriérées sont fréquemment exposées à ces facteurs cancérigènes. Naturellement, plus ils sont exposés à ces facteurs cancérigènes, plus ils risquent de développer un cancer du foie. Il est donc justifié d'appeler le cancer du foie "cancer des pauvres" !
Selon des recherches scientifiques, il a été confirmé que les facteurs communs de cancérogénicité du cancer du foie sont les suivants :
- L'hépatite virale, l'infection par le VHB est la principale cause de cancer du foie en Chine et l'infection par le VHC est courante dans les pays occidentaux.
- Aflatoxines, provenant principalement d'aliments moisis ou d'animaux nourris avec des aliments moisis.
- La cirrhose du foie survient principalement dans les cas d'hépatite, de maladie alcoolique du foie et de maladie du foie gras.
- Infection à Schistosoma haematobium ou Treponema pallidum.
- Exposition prolongée au chlorure de vinyle, aux nitrosamines, à la moutarde azoïque, au phénol, aux pesticides organochlorés.
- Consommation à long terme d'eau polluée, d'eau provenant de rivières et de fossés présentant une prolifération anormale d'algues.
- HAP, nitrosamines et nicotine dans les cigarettes.
Si l'on analyse les facteurs cancérigènes du cancer du foie mentionnés ci-dessus, il y a encore une raison pour laquelle les habitants des régions pauvres et arriérées sont prédisposés au cancer du foie. C'est peut-être la raison pour laquelle les gens appellent le cancer du foie "cancer pauvre".
Les riches aussi ont un cancer du foie, mais beaucoup moins.
Par exemple, les riches ont de l'argent et leurs parents font du bon travail en matière de santé maternelle et infantile, de sorte que les enfants ne sont naturellement pas sujets à l'hépatite ; les riches font attention aux soins de santé, de sorte qu'il y a de moins en moins de personnes grosses ; et bien sûr, les riches ont encore moins de chances d'entrer en contact avec des parasites, de l'eau contaminée et des agents chimiques cancérigènes, de sorte que, naturellement, les risques de cancer causés par ces facteurs ont été pratiquement éliminés.
Néanmoins, tous les riches ne peuvent pas éviter cette mauvaise habitude, par exemple, le tabac et l'alcool sont également les favoris de nombreux riches. Le fait de fumer et de boire pendant de longues périodes entraîne naturellement le développement d'un cancer du foie. Par conséquent, les personnes riches peuvent également être atteintes d'un cancer du foie.
En bref, les facteurs cancérigènes du cancer du foie sont souvent exposés aux pauvres pendant une longue période, alors que les riches y sont moins exposés, de sorte que l'on dit que le cancer du foie est un cancer des pauvres, et que les riches ont moins de cas. Il existe encore quelques justifications scientifiques.
En fait, lorsque j'ai vu ce sujet, je me suis sentie triste parce qu'il y a quelques jours, j'ai écrit un article de vulgarisation scientifique sur le cancer du foie, et un ami a commenté ci-dessous que les symptômes liés au cancer du foie que j'ai décrits existaient dans son corps, mais qu'il n'allait pas aller le vérifier parce qu'il n'avait pas les moyens de le guérir même s'il le découvrait. Je n'ai pas su comment lui répondre parce que je ne pouvais pas l'aider avec mes compétences.
qu'un cancer peut se distinguer par la pauvreté et la richesse.Cependant, il faut dire que les pauvres sont plus susceptibles de développer un cancer du foie, qui est causé par de nombreux facteurs, tels que le régime alimentaire et la gestion de la santé. Bien que certains considèrent le cancer du foie comme le cancer des pauvres, les riches sont tout aussi susceptibles de contracter un cancer du foie.Et je pense que l'incidence est en hausse. Je vous expliquerai plus en détail pourquoi le cancer du foie est appelé cancer des pauvres et si les riches peuvent avoir un cancer du foie.

En clinique, on constate que la plupart des patients atteints de cancer du foie vivent généralement dans des zones rurales et que la plupart d'entre eux travaillent dans l'agriculture ou vont travailler pour gagner leur vie, de sorte que leur vie est généralement plus pauvre.
Pourquoi les pauvres sont-ils plus susceptibles d'être atteints d'un cancer du foie ?
- Tout d'abord, je tiens à souligner l'importance de la participation des pauvres à la vie de la société.Facteurs liés aux habitudes de consommation d'alcoolComme les familles sont plus pauvres, il est plus probable qu'il s'agisse d'une inadvertance.Consommation d'aliments proches de la moisissure ou ayant moisiCe n'est pas rare, car de nombreuses familles ont l'habitude de prendre des repas de nuit et de les manger proprement avant qu'ils ne soient terminés. En été surtout, ces repas de nuit sont susceptibles d'être moisis, mais ils ne sont pas détectés, et les gens consomment ces aliments, ce qui augmente l'incidence du cancer du foie.

- Pourquoi la consommation de ces aliments augmente-t-elle l'incidence du cancer du foie ? C'est parce que ces aliments moisis ou quasi-moisis peuvent contenirPlus de Aspergillus flavusaussiAutres moulesCes substances sont de puissants cancérigènes et leur consommation régulière augmente considérablement le risque de cancer du foie. De plus, des études ont confirmé qu'il existe une corrélation positive entre l'apparition du cancer du foie et la quantité d'aflatoxine ingérée. L'aflatoxine est également présente dans les cultures moisies telles que le maïs et les arachides.

- Cliniquement prouvéDes antécédents de cirrhose sont présents chez environ 70 % des patients atteints d'un cancer du foie.Il est vrai que la cirrhose peut également prédisposer au développement d'un cancer du foie, ce qui a beaucoup à voir avec le traitement et la prise en charge de la cirrhose. Pour les personnes pauvres qui souffrent de cirrhose, très peu de patients sont en mesure de suivre un traitement et un examen réguliers. Cela conduit facilement à la progression de la cirrhose, qui induit l'apparition d'un cancer du foie au fil du temps. De plus, de nombreux pauvres peuvent mourir sans savoir qu'ils sont atteints d'une cirrhose suivie d'un cancer du foie.

En outre.Il existe également un lien étroit entre le développement du cancer du foie et la consommation d'eau.Le risque de cancer du foie est relativement élevé pour les personnes vivant dans des zones où la qualité de l'eau est médiocre, en particulier celles qui vivent dans des zones pauvres, où il n'existe pas de système de traitement sanitaire parfait pour l'eau potable, ce qui aggrave la situation. En outre, l'apparition du cancer du foie est également liée au manque d'éléments dans l'organisme, et le sélénium et d'autres éléments se trouvent principalement dans la viande animale et les fruits de mer, alors que les personnes pauvres ont un régime alimentaire relativement faible, de sorte qu'il peut y avoir un manque de sélénium, ce qui conduit à la susceptibilité au cancer du foie.

Les riches aussi ont un cancer du foie.
- En fait, les riches peuvent également être atteints d'un cancer du foie, et je constate que ces dernières années, il n'y a pas beaucoup de cas où les riches sont atteints d'un cancer du foie. Je pense qu'il y a plusieurs raisons.
- Tout d'abord, pour les riches, certains ont de mauvaises habitudes, notamment ceux qui sortent beaucoup.Un ami qui mange et boit beaucoupVous devez savoir.La consommation d'alcool est également un facteur important de développement du cancer du foie.. La consommation d'alcool à long terme peut induire toute une série de maladies chroniques du foie, qui peuvent provoquer une cirrhose alcoolique, et toutes les cirrhoses peuvent évoluer vers un cancer du foie. Par conséquent, ce type de vie consistant à manger et à boire n'est pas bon non plus.
- Sauf pour la boisson.Beaucoup de gens aiment manger des aliments cuits au barbecue ou frits.Les aliments peuvent contenir différents types d'aliments, notammentLes nitrosamines, qui sont cancérigènes.Une consommation prolongée peut entraîner l'apparition d'un cancer du foie. La consommation fréquente d'aliments riches en graisses dans la vie quotidienne peut également provoquer une stéatose hépatique, qui peut se transformer en cirrhose après avoir progressé, et la cirrhose en cancer du foie.

Quels sont les signes habituels des patients atteints de cancer du foie ?
- La première manifestation clinique, la plus fréquente, estDouleur dans l'abdomenLa douleur se situe généralement dans la partie supérieure droite de l'abdomen, mais elle n'est pas limitée à cette partie et peut être présente dans la partie moyenne supérieure de l'abdomen. La nature de la douleur n'est généralement pas vive et il s'agit probablement d'une douleur vague ou sourde, mais plus inhabituellement dans la partie supérieure de l'abdomen, elle peut être présente dans la partie supérieure de l'abdomen, dans la partie moyenne de l'abdomen.Douleur accrue la nuit et après un effort. De plus, cette douleur peut également irradier vers la périphérie, comme l'apparition de douleurs dans l'épaule droite ainsi que dans le dos.
- Les patients atteints d'un cancer du foie peuvent également présenterSymptômes de ballonnementsEn effet, l'augmentation progressive de la taille du foie comprime les tissus et organes environnants et provoque une distension abdominale. De plus, si les patients atteints d'un cancer du foie présentent une ascite évidente ou une fonction hépatique décompensée, la distension abdominale sera également facile à observer, car l'ascite elle-même entraîne une augmentation de la pression intra-abdominale, et la fonction hépatique décompensée entraîne un dysfonctionnement digestif, ce qui provoque une distension abdominale.Cette aggravation des ballonnements se produit généralement après le repas.

- En outre, les patients atteints d'un cancer du foie peuventManifestations de la fièvre. Mais dès le début, elle se manifeste souvent sous la formeFièvre persistante de faible intensité, avec des températures le plus souvent inférieures à 38 degrés.En effet, les tissus cancéreux du foie présentent des déficiences localisées et une production métabolique accrue au cours du processus de croissance, ce qui peut entraîner de la fièvre dans l'organisme.La fièvre du cancer. Cependant, cette fièvre peut augmenter en cas d'infection associée.
- Les malades du foie progressent également enSymptômes de diarrhéeComme le foie participe aux fonctions de digestion et d'absorption du tractus gastro-intestinal, tout dysfonctionnement du foie entraînera un dysfonctionnement du tractus gastro-intestinal, qui se traduira à son tour par des diarrhées.Aussi incroyable que cela puisse paraître, l'abdomen peut également être la première manifestation de la maladie du patient.Le degré de diarrhée varie en fonction de l'affection. Cependant, la diarrhée n'est généralement pas associée à la présence de pus et de sang dans les selles et, contrairement à la diarrhée causée par une inflammation, elle n'est pas traitée par des antibiotiques.

- Et le corps apparaîtFaiblesse et émaciationC'est le principal symptôme du cancer du foie aux stades moyen et avancé, car le cancer du foie consomme une grande quantité de nutriments dans l'organisme au cours du processus de croissance et de métabolisme, et le foie provoque également un dysfonctionnement des fonctions digestives et d'absorption de l'organisme, de sorte que l'alimentation est également réduite, mais que la consommation de l'organisme est augmentée, ce qui entraîne une faiblesse musculaire ainsi qu'un amaigrissement.
Quelles sont les possibilités de dépistage du cancer du foie ?
- Tout d'abord, pour le dépistage du cancer du foie, je recommande de combiner l'échographie et l'alpha-fœtoprotéine, car l'échographie permet de détecter clairement les tumeurs hépatiques de plus d'un centimètre et l'alpha-fœtoprotéine, en tant que marqueur tumoral du cancer du foie, accroît fortement la précision du diagnostic du cancer du foie.

- Si une échographie du foie ne révèle pas de tumeur dans le foie, ou si la nature de la tumeur ne peut être déterminée, une alpha-fœtoprotéine élevée est hautement suspecte de la présence possible d'un carcinome hépatocellulaire.Une tomodensitométrie du foie peut être réalisée.Je recommanderais d'emblée une tomodensitométrie améliorée du foie, car cette technique est relativement efficace pour identifier les tumeurs hépatiques.
- Pour la fréquence du dépistage.Je pense que les personnes qui ne présentent aucun facteur de risque de cancer du foie devraient se contenter d'un contrôle annuel.Toutefois, pour les personnes ayant déjà souffert d'une hépatite, d'une cirrhose ou ayant des antécédents familiaux de cancer du foie, en particulier les personnes d'âge moyen de plus de 40 ans, je recommanderais des contrôles semestriels.

- Bien que la tomodensitométrie améliorée du foie présente certains avantages dans le diagnostic du cancer du foie, elle cause certains dommages à l'organisme en raison de la présence des radiations correspondantes. Par conséquent, pour ceux qui ne sont pas doués pour la tomodensitométrie, ils peuvent subir un examen magnétique nucléaire du foie, qui élimine les dommages causés par les radiations et leur permet de voir clairement les lésions du foie.
résumés
Par rapport aux riches, les pauvres sont plus exposés au cancer du foie, ce qui est étroitement lié à leurs habitudes alimentaires quotidiennes, telles que la consommation d'aliments du jour au lendemain ou d'aliments moisis. En outre, en raison d'un traitement et de soins inopportuns, les patients pauvres atteints de cirrhose risquent de ne pas recevoir un meilleur traitement et de développer un cancer du foie.Bien entendu, les personnes riches peuvent également être atteintes d'un cancer du foie, et j'ai constaté que ces dernières années, peu de personnes riches ont été atteintes d'un cancer du foie, ce qui est lié à leur consommation fréquente d'alcool et de viande, car la consommation d'alcool et d'aliments riches en matières grasses augmente indirectement le taux d'incidence du cancer du foie. Les patients présentent généralement des symptômes tels que des douleurs abdominales, des ballonnements et de la fatigue, mais les premiers symptômes ne sont pas évidents, de sorte que de nombreux patients sont déjà à un stade avancé lorsqu'ils sont découverts.Le dépistage du cancer du foie peut être effectué en combinant l'échographie du foie et l'alpha-fœtoprotéine, qui a un taux de précision relativement élevé et est relativement peu coûteux et accessible au grand public.
S'appuyant sur des dizaines de milliers de praticiens certifiés en MTC, Upper Medical Renjia est là pour répondre à cette question.
La star hongkongaise Ng Man-tat vient de décéder d'un cancer du foie.Poète chinois contemporain Wang Guozhen, célèbre acteur Fu Biao, Fatty Shen Dianxia, célèbre écrivain Wei Weietc. sont également décédés d'un cancer du foie. S'agit-il de pauvres gens ?

Pourquoi le cancer du foie est-il appelé "cancer pauvre" ?
D'une part, le cancer du foie chez lesForte prévalence dans les pays en développement, en particulier en ChineNombreux sont ceux qui l'appellent aussi "Cancer chinois"Notre culture particulière de la consommation d'alcool à table et l'hépatite B, qui fait des ravages, en sont les responsables.
D'autre part, le cancer du foie est un cancer associé à des infections chroniques de longue durée et survient principalement dans les régions économiquement sous-développées, qui ont tendance à être les plus touchées par la maladie.Environnement naturel difficile, mauvaise alimentation, manque d'hygiène et mauvaises habitudes de vieet sont donc prédisposés à ce type de cancer.
Par exemple, l'infection par le virus de l'hépatite B peut évoluer vers une cirrhose par le biais d'une inflammation aiguë et chronique et, chez un petit nombre de patients, peut finalement conduire à un cancer du foie.
Quels sont les comportements les plus dommageables pour le foie ?
- Les nuits tardives prolongées et le manque de sommeil
- Tabagisme, abus d'alcool, consommation excessive fréquente d'alcool
- Excès de nourriture et alimentation irrégulière
- Régimes riches en graisses et en calories, souvent suralimentés

Soins hépatiques de printemps
Comme le dit l'adage.Le qi de printemps ne doit pas être violé ; son inversion nuit au foie."conformément à la médecine chinoiseprendre soin de sa santé au bon momentEn principe, le printemps appartient au bois, qui correspond au foie, il faut donc prendre soin de son foie au printemps.
(1) Manger plus de légumes verts
Le régime de printemps devrait être moins acide et plus sucré, avec plus de légumes verts. Parce que".Le vert pénètre dans le méridien du foie"Manger beaucoup de légumes verts peut prendre soin de votre foie.
(2)Frottez vos paumes l'une contre l'autre pour nourrir le foie et le sang.
Dans la paume de la main se trouve le point Laogong du méridien du péricarde, qui est le principal point sanguin. Le fait de frotter les paumes l'une contre l'autre et de les réchauffer a pour effet de revigorer le sang.
Méthodes :Les deux mains tendues, paumes face à face, frottent de haut en bas, pétrissent d'avant en arrière, puis les deux mains font l'action "yin négatif embrassant le yang" (main droite enveloppée dans la main gauche).
Il est recommandé de le faire une fois par jour, le matin et à midi (11 à 13 heures).
Le foie étant un organe indolore, il est d'autant plus important de ne pas négliger sa santé et de veiller à prendre de bonnes habitudes pour nourrir nos petits cœurs !
Cette réponse a été collationnée par le médecin certifié de Shangdian Renjia, Shangdian Renjia est une plateforme Internet professionnelle de gestion de la santé en médecine chinoise. Si vous avez d'autres questions, veuillez prêter attention à Shangdian Renjia et laisser un message en arrière-plan pour le consulter.
Dans notre village, plusieurs personnes sont mortes d'un cancer du foie !
J'ai une tante et un grand-père qui sont morts d'un cancer du foie, tout le monde disait qu'à cause du passé, la vie était trop dure, ils sont originaires de Shandong et auraient fait de grands repas, dans le nord-est de l'hiver, il n'y a pas de nourriture fraîche à manger, à l'automne, ils font mariner quelques cuves de cornichons et une grande cuve de choucroute, d'octobre jusqu'au mois de juin de l'année suivante.
Un repas de plusieurs grosses brioches à la vapeur consiste à manger des cornichons et à boire l'eau du chaudron dans lequel les brioches à la vapeur sont cuites. En outre, leur consommation d'alcool est également particulièrement importante, un repas d'alcool pouvant être consommé à raison d'un demi-catalogue ou deux. Ce genre de vie très salée pendant des décennies n'est certainement pas bon pour le foie. C'est pourquoi il y avait tant de cancers du foie à l'époque.
Aujourd'hui, les conditions de vie sont meilleures et nous pouvons manger des légumes et des fruits frais en hiver, mais il y a toujours autant de personnes atteintes d'un cancer du foie ! C'est parce que les conditions de vie sont trop bonnes, que les gens mangent en regardant la télévision, en jouant au téléphone portable et en jouant à l'ordinateur, qu'ils ne font pas d'exercice et que leur corps est gros. Il faut aller à l'hôpital pour vérifier la stéatose hépatique en particulier, le développement d'une cirrhose grave, et enfin le cancer du foie.
Que l'on soit pauvre ou riche, on peut donc être atteint d'un cancer du foie si l'on ne prend pas soin de sa santé.
I. Qu'est-ce que le cancer du foie ?
Le cancer du foie est en fait divisé en deux types, l'un étant appelé cancer du foie primaire et l'autre cancer du foie secondaire. Le cancer du foie primaire signifie que les cellules cancéreuses sont dues à des changements cancéreux dans le foie lui-même, comme le carcinome hépatocellulaire, le carcinome des cellules épithéliales des voies biliaires, tandis que le cancer du foie secondaire signifie que les changements cancéreux se produisent dans d'autres parties du corps, dans d'autres tissus, puis par des métastases sanguines ou d'autres voies vers le foie, et que des changements cancéreux se produisent également dans le foie.
Deuxièmement, quelles sont les causes du cancer du foie ?
Par cancer du foie, on entend ici le cancer primaire du foie ! À l'heure actuelle, les causes du cancer du foie en général ne semblent pas très claires, mais les raisons suivantes sont liées au cancer du foie et vous devez en être conscient !
1, les infections virales, en particulier les virus de l'hépatite B et de l'hépatite C. Il s'agit d'une "caractéristique particulière" de l'incidence du cancer du foie en Chine ! Ces dernières années, grâce à la vaccination généralisée contre l'hépatite B, le nombre de patients atteints d'hépatite B chronique a beaucoup diminué, mais ces dernières années, le nombre de patients atteints d'hépatite B en Chine était vraiment très important, on peut même dire qu'il s'élevait à des centaines de millions. Selon les rapports de recherche, plus de 90 % des patients atteints de cancer du foie ont l'hépatite B et passent souvent par les trois stades de l'hépatite B, de la cirrhose et du cancer du foie.
2, les facteurs alimentaires. Voici plusieurs aspects : tout d'abord, manger impur, comme l'aflatoxine dépasse la norme ! Nous savons tous que l'aflatoxine est une classe de cancérogènes, qui peut détruire les oncogènes et conduire à la croissance du cancer des cellules. Deuxièmement, l'alcool. L'alcool lui-même peut provoquer une augmentation des mutations cellulaires, tandis que la consommation d'alcool à long terme peut également entraîner une cirrhose du foie, et la cirrhose est censée être un facteur de risque élevé pour le cancer du foie. Troisièmement, le manque d'oligo-éléments, la consommation excessive d'aliments contenant des nitrosamines, etc.
3. Hérédité et sexe. Les hommes seraient plus susceptibles de développer un cancer primitif du foie que les femmes, pour des raisons qui ne sont pas claires et qui pourraient être liées aux niveaux d'hormones.
Troisièmement, le cancer du foie est-il vraiment un cancer du pauvre ? Les riches l'attrapent-ils ?
D'après le deuxième point des "causes du cancer du foie" ci-dessus, nous devrions voir que le niveau de revenu n'est pas l'une des causes. Bien sûr, si une personne pauvre souffre d'hépatite B et n'a pas d'argent pour se faire soigner, alors qu'une autre personne riche a de l'argent pour des traitements antiviraux et hépatoprotecteurs, la personne riche peut être moins sujette à l'évolution "hépatite B à cirrhose à cancer du foie" que la personne pauvre. Cependant, en dehors de cette voie, il existe d'autres facteurs de risque élevés pour le cancer du foie, de sorte qu'il n'y a aucune preuve que le cancer du foie est un cancer des pauvres, et les riches ont également beaucoup de cancers du foie, par exemple, les actrices Fatty Shen Dianxia et Fu Biao sont mortes d'un cancer du foie ! Sont-elles pauvres ? Non ! Mais il est tout de même difficile d'échapper à la malchance.
Quatrièmement, comment prévenir le cancer du foie ?
En plus d'éviter le deuxième point "Causes du cancer du foie" ci-dessus, les personnes âgées de plus de 40 ans doivent faire contrôler régulièrement leur échographie abdominale et leur taux d'alpha-fœtoprotéine.
Ces questions et réponses proviennent des utilisateurs du site, elles ne représentent pas la position du site, s'il y a une infraction, veuillez contacter l'administrateur pour la supprimer.

