Quels sont les symptômes de l'emphysème ?
Quels sont les symptômes de l'emphysème ? 
L'emphysème est un état pathologique dans lequel l'élasticité des voies aériennes à l'extrémité distale des bronchioles fines terminales diminue, et il y a un étirement excessif, une inflation et une augmentation du volume pulmonaire ou une destruction concomitante des parois des voies aériennes. Cela signifie que les bronches reliées aux alvéoles sont rétrécies, obstruées ou spasmodiques, et que le gaz entre mais ne sort pas, ou qu'il entre plus mais sort moins, et qu'avec le temps, les alvéoles se remplissent de plus en plus de gaz et se dilatent, voire se rompent. Certains diront peut-être qu'ils n'ont pas encore tout à fait compris. Laissez-moi vous donner une analogie : vous attachez un ballon à un tube et vous continuez à souffler pour que le ballon ne devienne pas de plus en plus gros et qu'il finisse par éclater ! Le ballon, ce sont les alvéoles et le tube, ce sont les bronches.
Bien que la cause de la maladie ne soit pas bien comprise, le tabagisme, les infections et la pollution atmosphérique sont associés à l'inflammation des bronches fines, au rétrécissement ou à l'obstruction de la lumière et au développement de l'emphysème.
Manifestations cliniques de l'emphysème : La manifestation la plus typique est la dyspnée progressive, le plus souvent avec des antécédents de toux chronique et d'expectorations. Les premiers symptômes ne sont pas évidents, ou la dyspnée est ressentie à l'effort ; avec le développement de la maladie, la dyspnée s'aggrave progressivement. En cas d'infection secondaire, les symptômes d'insuffisance respiratoire tels que l'oppression thoracique, l'essoufflement, la cyanose, les maux de tête, la somnolence et la transe se manifestent. Un emphysème prolongé peut entraîner une poitrine en tonneau, un affaiblissement des mouvements respiratoires et une expiration prolongée. Des complications peuvent survenir chez certains patients : pneumothorax spontané, infection aiguë des poumons, cardiopathie pulmonaire chronique.
À quoi dois-je faire attention en général ? La première chose à faire est d'éviter l'exposition aux fumées, telles que la fumée d'huile, la poussière et les gaz irritants. Veiller à se réchauffer, à éviter d'avoir froid et à prévenir les rhumes. Améliorer l'hygiène de l'environnement et la protection personnelle. En plus des mesures ci-dessus, vous devez suivre les instructions de votre médecin et choisir les médicaments appropriés pour contrôler votre état et réduire vos symptômes, tels que les bronchodilatateurs et les antibiotiques. Il faut aussi apprendre à respirer : la respiration abdominale et l'expiration profonde et lente avec les lèvres contractées permettent de renforcer les muscles respiratoires et d'augmenter la mobilité du diaphragme. Il y a aussi l'oxygénothérapie à domicile, les exercices d'aérobic appropriés, etc. Cela dit, j'espère que ces informations vous aideront à améliorer votre qualité de vie et à accroître votre confiance en vous pour vaincre la maladie !
L'interprétation autorisée du site web des affaires pharmaceutiques ne peut être reproduite sans autorisation, et le plagiat fera l'objet de poursuites.
L'emphysème est une maladie du système respiratoire qui survient généralement chez les fumeurs et les personnes exposées à une pollution environnementale importante, et qui peut également être secondaire à une bronchite chronique et à une fibrose pulmonaire. Ces dernières années, la recherche médicale a également découvert que l'emphysème avait un certain lien avec l'hérédité. Quels sont donc les symptômes de l'emphysème et peut-on en guérir ?
Les premiers symptômes de l'emphysème sont l'essoufflement après une activité ou une marche rapide, puis l'essoufflement en se penchant ou même au repos et, dans certains cas, la toux et les expectorations si le patient souffre d'une bronchite. Associés à l'infection, la fièvre, les maux de tête, la confusion, une faible production d'urine et la somnolence peuvent également se manifester.
L'emphysème ne peut être guéri. L'emphysème est une maladie pulmonaire évolutive qui constitue un stade de la bronchopneumopathie chronique obstructive.Par exemple, la médecine occidentale est efficace, mais les antibiotiques développent facilement une résistance et une dépendance après une consommation à long terme, et une fois que les médicaments sont arrêtés, la maladie réapparaît ou s'aggrave facilement. La médecine chinoise a moins d'effets secondaires, mais l'effet est lent, et si la maladie est agressive, il est facile de retarder la meilleure période de traitement.
Dans l'ensemble, quelle que soit la pathologie, les patients doivent tout d'abord avoir un état d'esprit normal, suivre un régime alimentaire léger, cesser de fumer et de boire, et veiller à se reposer. En outre, pour mieux contrôler l'évolution de l'emphysème, la clé reste le traitement standardisé et les bons soins quotidiens des patients.
Pour en savoir plus sur la chirurgie thoracique, veuillez suivre mon numéro de téléphone [Dr Qiao Guibin, Service de chirurgie thoracique de la médecine provinciale].

L'emphysème est une maladie respiratoire fréquente, nocive pour l'organisme, qui affecte également la vie normale du patient et qui est extrêmement défavorable à sa santé physique et mentale. S'il n'est pas contrôlé, il continuera à se détériorer et induira même d'autres lésions malignes. L'emphysème est un état pathologique dans lequel l'élasticité des voies aériennes à l'extrémité distale des bronchioles fines terminales est réduite, et la surinflation, l'inflation et le volume pulmonaire augmentent ou s'accompagnent de la destruction simultanée de la paroi des voies aériennes.
L'emphysème a plusieurs symptômes, mais le plus typique est la dyspnée. Une fois que la dyspnée apparaît, la première chose à faire est de déterminer s'il s'agit d'un emphysème, mais la dyspnée seule ne permet pas de confirmer le diagnostic, l'emphysème a généralement d'autres symptômes, tels que
Tout d'abord, il y a une toux chronique, intermittente au début, plus forte le matin, puis une toux le matin et le soir ou tout au long de la journée, mais la toux n'est pas importante la nuit.
Deuxièmement, l'essoufflement ou la dyspnée est le symptôme caractéristique, qui ne se manifeste qu'à l'effort au début de la maladie, puis s'aggrave progressivement, au point d'affecter la vie normale, et l'essoufflement se manifeste même au repos.
Troisièmement, après avoir toussé, la toux produit généralement une petite quantité d'expectoration de mucus, combinée à une augmentation de la quantité d'expectoration en cas d'infection, souvent purulente. La toux associée à des expectorations de mucus ne doit pas être considérée comme un facteur de rhume lorsqu'elle survient, mais il convient d'y prêter attention.
Quatrièmement, certains patients, en particulier les patients sévères, ont une respiration sifflante, une oppression thoracique, cette situation est généralement observée pendant le travail, un peu plus de fatigue est facile à aggraver, ce qui est lié à l'effort expiratoire, aux muscles intercostaux et à d'autres contractions honorables.
Ces symptômes de l'emphysème, qui affectent gravement la vie normale des patients, nécessitent une consultation rapide. Cependant, la question de savoir si l'emphysème peut être complètement guéri est également une préoccupation pour de nombreux patients atteints d'emphysème. Malheureusement, l'emphysème n'est pas guérissable à l'heure actuelle parce qu'il appartient à un stade de la maladie pulmonaire obstructive chronique (MPOC), qui est une maladie progressive et ne peut être guérie, mais il ne faut pas se décourager pour autant. S'il n'est pas traité et contrôlé, il continuera à se détériorer et finira par entraîner une cardiopathie pulmonaire.
En bref, la maladie est principalement un prétraitement, les personnes souffrant d'emphysème, il est généralement préférable d'arrêter de fumer et de boire de l'alcool, de faire attention à la chaleur, d'éviter d'avoir froid et de prévenir les rhumes. En outre, il est également nécessaire d'améliorer l'hygiène de l'environnement, d'effectuer un bon travail de protection personnelle, d'éliminer et d'éviter la fumée, la poussière et les gaz irritants sur les voies respiratoires, ce qui peut réduire les symptômes et favoriser le contrôle et le traitement de l'emphysème.
Suivez le numéro de téléphone du "Médecin de famille en ligne", plus de questions-réponses sur la santé faciles à consulter~~~~
L'emphysème est très fréquent, principalement chez les personnes d'âge moyen et les personnes âgées, surtout chez les patients qui fument depuis longtemps.
Tout d'abord, il faut comprendre ce que l'on entend par emphysème. Si nous comparons nos poumons à deux ballons, l'emphysème est le ballon qui a été gonflé. Pour que le ballon ait la meilleure apparence possible, il faut le gonfler jusqu'à un certain point, et non pas le gonfler au maximum, car il est facile de le gonfler jusqu'à la limite et de le faire éclater avec une "livre" ! Si l'on ne gonfle pas, l'aspect ratatiné et racorni n'est pas bon non plus, et il est donc préférable de gonfler le ballon juste au bon niveau. Il en va de même pour les poumons : lorsque nous inspirons de l'air, les poumons se dilatent jusqu'à un certain point, ce qui est juste, car nous sommes limités par le thorax, et les poumons ne se dilatent pas indéfiniment. Cependant, si nous fumons, inhalons de l'air pollué et que certains facteurs congénitaux affectent les poumons, les alvéoles (la plus petite unité des poumons, dont le nombre est incalculable) se dilatent et perdent leur élasticité, tout comme un corps mou et flasque, ce qu'on appelle l'emphysème.
En raison d'anomalies de la structure alvéolaire, les alvéoles perdent leur élasticité optimale et ne peuvent pas se rétracter suffisamment et efficacement, ce qui les empêche d'évacuer l'excès de gaz hors du corps (expiration).
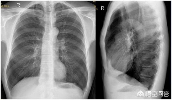
Chez de nombreux fumeurs âgés, le médecin dira, après une radiographie du thorax, qu'il s'agit d'un emphysème. Le fait que la radiographie du thorax permette de voir deux poumons est en effet un signe d'emphysème, l'ensemble du thorax est gonflé, comme un seau, d'où le nom de "thorax en seau". Dès que nous, médecins, voyons la poitrine du patient, pleine, combinée à des antécédents de tabagisme, nous savons que cette personne peut souffrir d'emphysème.
Quels sont donc les signes cliniques de l'emphysème ?
Au début, les manifestations cliniques ne sont pas évidentes. Plus tard, elles ne le seront plus.
Comme l'emphysème n'est souvent pas présent seul, il s'agit simplement d'une modification pathologique des poumons ; en d'autres termes, en termes simples, l'emphysème est une modification morphologique et structurelle des poumons. Quels sont donc les effets de ces changements morphologiques et structurels ?
Tout d'abord, il est possible qu'une bronchite chronique coexiste. Dans l'emphysème, la perte d'élasticité des alvéoles, les anomalies structurelles, et ensuite le tabagisme, il est inévitable qu'il y ait une inflammation chronique des voies respiratoires, qui se manifeste par une toux chronique, des expectorations, surtout lorsque les changements climatiques sont plus prononcés. La bronchite chronique et l'emphysème sont donc toujours présents en même temps.
S'il s'agit d'une simple bronchite chronique ou d'un emphysème, tout va bien, tout au plus la toux et les mucosités sont-elles plus abondantes, après l'administration d'un expectorant, le traitement de la toux reste efficace et n'affecte pas beaucoup la qualité de vie du patient.
Mais ! De nombreux patients atteints de bronchite chronique et d'emphysème ont plus qu'une bronchite chronique, plus qu'un emphysème, et leur état peut avoir évolué vers le stade de la bronchopneumopathie chronique obstructive (BPCO).
C'est exact, il s'agit de la BPCO.
La bronchopneumopathie chronique obstructive (BPCO) est beaucoup plus grave qu'un simple emphysème. Les patients peuvent souffrir de dyspnée au début, même s'ils se sentent essoufflés lorsqu'ils font un travail physique, s'ils n'arrêtent pas de fumer, s'ils ne sont pas traités à temps et s'ils laissent la maladie se développer, l'emphysème deviendra de plus en plus grave, l'obstruction des voies respiratoires deviendra de plus en plus grave, et la maladie pulmonaire obstructive chronique sera grave, puis il y aura un peu d'activité où il sera difficile de respirer, de s'habiller, de faire la vaisselle, de laver le sol, etc. À la fin, même allongé sur le lit, vous vous sentirez essoufflé et n'aurez pas assez d'air, parce qu'une insuffisance pulmonaire et une insuffisance cardiaque peuvent s'être produites, et il est vraiment très difficile de vivre ce stade terminal.
Il faut donc traiter la bronchopneumopathie chronique obstructive dès ses premiers stades, et la première clé est d'arrêter de fumer.
Fumée d'avertissement : !!!!!
Ensuite, il y a l'activité physique, notamment le gonflage de ballons, la natation et le jogging pour travailler la fonction respiratoire.
Vient ensuite la médication, et la médication nécessaire est très importante. Il existe des bronchodilatateurs à action prolongée, voire des glucocorticoïdes (inhalés), tous plus efficaces les uns que les autres.
Enfin, l'entretien à long terme d'un ventilateur peut s'avérer nécessaire.
Il s'agit d'un processus d'emphysème, de bronchite chronique et de maladie pulmonaire obstructive chronique.
Mon père ne fumait pas, c'est bien. Qu'en est-il de votre père ?
L'emphysème, s'il est à un stade précoce, est bénin, les patients ne présentent généralement pas de symptômes évidents, et les symptômes d'essoufflement n'apparaissent que lorsqu'ils effectuent un travail ou un exercice physique. Lorsque la maladie s'aggrave, les symptômes suivants apparaissent.
Symptômes chez les patients atteints d'emphysème
1, toux, expectoration, expectoration blanche et collante ; lorsque la maladie est réduite, l'expectoration est réduite, en cas d'infection des voies respiratoires, les symptômes s'aggravent, la toux est accompagnée d'expectoration de pus.
2) La faiblesse physique, le manque d'appétit et la perte de poids sont plus fréquents chez les patients généralement plus âgés atteints d'emphysème.
3. de la fièvre, le plus souvent associée à une infection.
4. la somnolence se manifeste par de l'irritabilité, de la confusion, des maux de tête, une transpiration excessive et des tremblements des mains.
5, urine, œdème des membres inférieurs, cyanose des lèvres et des doigts, panique cardiaque, etc., plus combinée à une maladie cardiaque pulmonaire, l'insuffisance cardiaque droite peut être.
L'emphysème peut être contrôlé, mais il est généralement difficile de le guérir complètement. Voici une liste des précautions et des traitements nécessaires aux patients atteints d'emphysème :
1, l'emphysème n'est généralement pas un médicament efficace, il faut se reposer davantage, boire plus d'eau, ne pas fumer et ne pas boire, améliorer l'immunité, prévenir les rhumes. Oxygénothérapie.
2、Selon les instructions du médecin, utiliser certains bronchodilatateurs, tels que : l'aminophylline, les stimulants des récepteurs β2, etc. En cas d'allergie, utiliser un corticostéroïde.
3. Utiliser, sur avis médical, des antibiotiques efficaces. Les antibiotiques comprennent : la pénicilline, les quinolones, les céphalosporines, etc., et les malades ne doivent pas abuser des antibiotiques en privé.
4. Exercices de respiration abdominale, tels que : rétrécissement des lèvres, respiration lente et profonde, pour renforcer l'activité des muscles respiratoires, améliorer l'activité du diaphragme.
5. En fonction de l'état de santé, par exemple : qigong, taiji, grimper à l'échelle et autres exercices.
6, garder au chaud, pas au froid, assurer l'hygiène de l'environnement, éviter la fumée, la poussière, les gaz irritants affectant les voies respiratoires.
7) Si les conditions le permettent, l'oxygénothérapie peut être effectuée à domicile tous les jours, à raison de 12 à 15 heures d'oxygénothérapie par jour, ce qui peut être bénéfique aux patients pour prolonger leur vie.

Merci pour l'invitation.
L'emphysème se manifeste généralement lentement. Il n'y a pas de symptômes évidents au stade initial, certaines personnes présentent des symptômes tels que la toux, les expectorations, etc. Après le début de la maladie, la dyspnée, l'essoufflement et d'autres phénomènes apparaissent peu à peu. Cette maladie n'est pas guérissable. Mais les patients atteints d'emphysème doivent prêter attention aux aspects suivants du soulagement de l'emphysème, qui jouent un très grand rôle :
1, exercice respiratoire pour la respiration abdominale, rétrécissement des lèvres, expiration profonde et lente, afin de renforcer l'activité des muscles respiratoires. Augmenter la mobilité du diaphragme.
2, les patients atteints d'emphysème avec une morbidité prolongée, une respiration sifflante aggravée, une bouche sèche, une langue rouge clair ou violet clair, ce qui indique que le yin du poumon est endommagé. Il est conseillé de choisir des fruits ou des aliments qui nourrissent le yin et génèrent des fluides, tels que les poires, les prunes vivantes, les aubépines, les pommes, les tortues à carapace molle, le porc maigre, les œufs de canard, les cervelles de chrysanthème, les œufs, les abricots, etc.
3. améliorer la nutrition, principalement pour les patients atteints d'emphysème ayant un physique fragile, afin d'améliorer leur nutrition et leur résistance. Consommez davantage d'aliments contenant de la vitamine A, de la vitamine C et du calcium. Les aliments contenant de la vitamine A, tels que le foie de porc, le jaune d'œuf, l'huile de foie de morue, les carottes, la citrouille, les abricots, etc., ont pour effet d'humidifier les poumons et de protéger les voies respiratoires ; les aliments contenant de la vitamine C ont une fonction anti-inflammatoire, anti-FK1 et anti-grippe, tels que le jujube, le pamplemousse, la tomate, le poivron vert, etc. et les aliments contenant du calcium peuvent améliorer la capacité des voies respiratoires à résister aux allergies, tels que les os de porc, les légumes verts, le tofu, la pâte de sésame, etc.
4. faire de courtes promenades et du jogging. La quantité d'exercice va de petite à grande, la distance peut commencer par quelques centaines de mètres et augmenter progressivement jusqu'à 1 000 mètres et 5 000 mètres, afin que je me sente bien dans ma peau.
Les patients doivent non seulement guérir l'emphysème par les moyens susmentionnés, mais aussi prêter attention à certains aspects de la vie qui sont très utiles pour la guérison de l'emphysème. Par exemple, ne pas fumer, éviter de manger des aliments épicés et stimulants, éviter de manger des fruits de mer et des produits gras, éviter de manger des aliments produisant des gaz. Comme les patates douces, les poireaux, etc.

Vous pourriez envisager d'acheter un régénérateur d'environnement pour votre mère, car la brume est si importante de nos jours.
L'emphysème est une maladie respiratoire chronique fréquente chez les personnes âgées. On distingue l'emphysème obstructif chronique, l'emphysème sénile et l'emphysème compensé. L'emphysème obstructif chronique et l'emphysème sénile sont les formes les plus courantes d'emphysème chez les personnes âgées. Ce que nous appelons habituellement emphysème désigne en fait l'emphysème chronique obstructif. Les voies aériennes bronchiques (principalement les bronchioles respiratoires) subissent une destruction de la paroi, un gonflement de la muqueuse, une fibrose ou un spasme, ce qui entraîne une obstruction incomplète. Sous l'action de la valve, l'air peut être inhalé mais ne peut pas être complètement expiré, ce qui entraîne une distribution des alvéoles par les bronches qui sont surgonflées et finissent progressivement par se rompre, d'où la formation d'un emphysème pulmonaire obstructif.
L'emphysème est un changement irréversible.
Causes de l'emphysème chronique obstructif : 1. Lésion inflammatoire bronchique chronique causée par la bronchite chronique de divers facteurs tels que l'infection, le tabagisme, la pollution atmosphérique, la poussière professionnelle et l'inhalation de gaz nocifs pendant une longue période, ainsi que des facteurs allergiques peuvent provoquer une inflammation chronique des bronches, rétrécissant la lumière pour former une obstruction incomplète, de sorte que le gaz pénètre facilement dans les alvéoles pendant l'inspiration, et pendant l'expiration en raison de l'augmentation de la pression dans la cavité pleurale, les bronches se referment encore plus. Pendant l'expiration, les bronches se ferment davantage en raison de l'augmentation de la pression dans l'espace pleural, ce qui entraîne un excès de gaz résiduel dans les alvéoles et un gonflement excessif des alvéoles. L'inflammation chronique peut également endommager le tissu cartilagineux de la paroi bronchique, faisant perdre aux bronches leur fonction normale d'échafaudage, et les bronches sont faciles à coincer et à fermer pendant l'expiration, entravant l'expulsion des gaz, ce qui entraîne une accumulation excessive de gaz dans les alvéoles, une pression intra-alvéolaire élevée et une hyperinflation. En outre, en raison de l'augmentation de la pression alvéolaire, les capillaires de la paroi alvéolaire sont pressurisés, l'apport sanguin au tissu pulmonaire est réduit et des troubles nutritionnels sont provoqués, ce qui peut également entraîner une diminution de l'élasticité de la paroi alvéolaire. L'équilibre protéase-antiprotéase est actuellement considéré que certaines enzymes hydrolysant les protéines dans l'organisme ont un effet destructeur sur le tissu pulmonaire, tandis que l'antiprotéase a un effet inhibiteur sur l'élastase et d'autres protéases. Il est important de maintenir l'équilibre entre les protéases et les antiprotéases pour éviter que la structure normale du tissu pulmonaire ne soit endommagée.3 Facteurs génétiquesLe développement de l'emphysème est également lié à des facteurs génétiques.
Manifestations cliniques de l'emphysème pulmonaire obstructif chronique : 1, essoufflement ou dyspnée, toux, expectorations généralement plus abondantes le matin, plus d'expectorations, expectorations principalement constituées de mucus blanc et mousseux, parfois avec du sang, plus légères pendant la journée, et il y a un accès de toux ou d'expectoration le soir avant d'aller se coucher. Certains patients ont une respiration sifflante, et dans les cas graves, la respiration sifflante est évidente et ils ne peuvent pas prendre soin d'eux-mêmes. L'oppression thoracique survient généralement après un effort. Dans les cas avancés, les patients peuvent souffrir de fatigue, d'un manque d'appétit, d'une perte de poids, de dépression et/ou d'anxiété. Dans les cas graves, l'essoufflement est également présent au repos. L'essoufflement persistant est un symptôme important de l'emphysème.2 Les patients infectés atteints d'emphysème présentent de graves déficiences en matière de ventilation et d'échange gazeux, entraînant une hypoxémie, une hypercapnie et un défaut d'aspiration.3 Le spasme des petites artères pulmonaires ou une réduction significative des lits capillaires produit une hypertension pulmonaire, qui entraîne une hypertrophie du ventricule droit et l'apparition d'une cardiopathie pulmonaire.
Présentation radiographique : ① le diamètre antérieur et postérieur de la cage thoracique est élargi en forme de tonneau, et l'espace intercostal est élargi. La position du sommet du diaphragme des deux côtés diminue et le sommet du diaphragme devient plat. La translucidité des poumons augmente et la texture des poumons devient mince, allongée et redressée. ④ Sous fluoroscopie, la motilité des deux diaphragmes est affaiblie. ⑤ L'emphysème interstitiel est souvent présent dans le médiastin, le péricarde et le tissu sous-cutané. (6) Un pneumothorax confiné et une atélectasie pulmonaire peuvent se produire dans les alvéoles rompues.

La tomodensitométrie, en particulier la HRCT, a une sensibilité et une spécificité élevées dans le diagnostic de l'emphysème. Elle peut montrer directement les zones destructrices des poumons et détecter un emphysème précoce avant même l'apparition d'une fonction pulmonaire anormale. On distingue quatre types d'emphysème en fonction du site et de l'étendue de la lésion sur la HRCT : lobulaire total, lobulaire centré, pariétal septal et parascatellaire.

(Emphysème centrolobulaire induit par le tabagisme)
Il convient de souligner que de nombreux fumeurs développent un emphysème lobaire important sans présenter de symptôme particulier.Pourquoi ? Parce que les poumons humains sont suffisamment forts pour compenser, même si l'emphysème détruit une partie de la fonction pulmonaire au stade précoce, il ne provoque pas de symptômes évidents, mais une fois que les symptômes apparaissent, cela signifie que les poumons normaux ne suffisent plus à compenser les besoins de l'organisme.
En ce qui concerne le traitement, il convient de prévenir activement les rhumes et les infections et d'éliminer les facteurs déclenchants, ainsi que de se rendre activement dans une clinique respiratoire et de décider d'un traitement de suivi en fonction de l'évolution de la maladie.
Il existe deux types d'emphysème : l'emphysème limité et l'emphysème diffus. L'emphysème diffus est généralement le type d'emphysème le plus courant et est causé par l'inhalation de substances irritantes telles que le tabagisme passif, les produits chimiques et les poussières industrielles. Une fois l'emphysème formé, il n'y a pas de remède.
L'emphysème nécessite un test de la fonction pulmonaire, et si le test de la fonction pulmonaire suggère un dysfonctionnement ventilatoire obstructif, un bronchodilatateur inhalé à long terme est nécessaire pour maintenir la stabilité des symptômes.
L'emphysème doit généralement faire l'objet d'une attention particulière, les jours brumeux, ne pas sortir des endroits bondés, faire attention au repos, à la nutrition, éviter les rhumes, essayer de ne pas entrer en contact avec des produits chimiques et des poussières industrielles, ne pas manger d'aliments épicés et d'aliments susceptibles de provoquer des allergies. Si nécessaire, vous pouvez vous injecter le vaccin contre la pneumonie et le vaccin contre la grippe.
5 signes de dépistage de l'emphysème

Comment savoir si l'emphysème est en train de se développer ? 5 signes avec des conseils :
1) La toux est de plus en plus fréquente et n'est pas seulement causée par les crises de bronchite ;
2. toux avec mucosités qui remontent sans cesse ;
3. essoufflement facile et parfois respiration sifflante lors de la marche ;
4. la cage thoracique devient large et en forme de tonneau ;
5) La dépendance au tabac devient de plus en plus forte et j'ai du mal à respirer lorsque je fume des cigarettes.
(Li Wen)
Ces questions et réponses proviennent des utilisateurs du site, elles ne représentent pas la position du site, s'il y a une infraction, veuillez contacter l'administrateur pour la supprimer.