Quels sont les symptômes d'un infarctus cérébral léger ?
Quels sont les symptômes d'un infarctus cérébral léger ? 
Dans la vie, nous pensons tous que les infarctus cérébraux surviennent souvent de manière très soudaine, comme si une bonne personne s'était soudainement effondrée. En fait, ce n'est pas le cas. De nombreux patients atteints d'infarctus cérébral, avant le début de la maladie, en fait, il y a des présages, seulement nous n'avons pas prêté attention, je vous donne une introduction.
Pour connaître les signes d'une attaque cérébrale, il faut d'abord savoir comment elle se produit.
Notre cerveau gère presque toutes les fonctions de notre corps et est connu comme le commandant du corps. Le cerveau dépend du sang pour transporter l'oxygène et les nutriments dont il a besoin. Lorsque les vaisseaux sanguins sont bloqués pour diverses raisons, le cerveau est incapable d'obtenir de l'oxygène et des nutriments et meurt, entraînant la perte de fonctions de notre corps, ce qui est appelé infarctus cérébral. Les fonctions des différentes parties du cerveau étant différentes, les patients auront des séquelles plus ou moins importantes selon la localisation et l'étendue de la nécrose. Certaines personnes peuvent n'avoir qu'un léger vertige et découvrir qu'elles ont subi un infarctus cérébral lorsqu'elles se rendent à l'hôpital pour un examen (la plupart des patients atteints d'infarctus cérébral lacunaire sont découverts au cours de l'examen). Certains patients garderont des séquelles telles que l'hémiplégie, l'immobilité, la cécité, le retard mental, voire la mort.
L'un des signaux les plus importants avant la survenue d'un infarctus cérébral est l'AIT, qui se traduit en chinois par "attaque ischémique transitoire". Cela signifie que les vaisseaux sanguins du cerveau se contractent et se spasment soudainement, entraînant une diminution de l'apport d'oxygène et de nutriments au cerveau, ce qui provoque des symptômes similaires à ceux d'un infarctus cérébral. Cependant, le vaisseau sanguin n'est pas bloqué à ce moment-là, il est seulement spasmé et rétréci, et après quelques minutes ou quelques heures, il reviendra de lui-même à la normale (le temps ne dépasse généralement pas une heure), et les symptômes disparaîtront. La survenue d'un AIT indique que les vaisseaux sanguins cérébraux de la personne ont des problèmes et que le risque d'infarctus cérébral à l'avenir est très élevé. À ce moment-là, le patient doit se rendre d'urgence à l'hôpital pour un examen et des mesures de prévention.
Quelles sont les manifestations de l'AIT ?
1) Perte de conscience soudaine. Tout d'un coup, vous ne savez plus rien, vos yeux deviennent noirs, vous vous évanouissez, puis vous vous sentez bien.
2. apparition soudaine d'une faiblesse et d'un engourdissement des membres. Par exemple, tout d'un coup, le pied est faible, on ne le sent plus, on ne peut plus se tenir debout. Ou bien, tout à coup, vos mains sont faibles et vous ne pouvez rien tenir, mais vous vous en remettrez au bout d'un moment.
3. cécité soudaine d'un œil, incapacité de voir.
4. une sensation soudaine d'engourdissement de la langue, un manque de clarté dans l'élocution. Ou incapacité soudaine à parler.
5. des vertiges soudains, une démarche instable, la vision de choses qui tournent autour de vous
6. incapacité soudaine à entendre les choses.
Ces symptômes disparaissent généralement en 30 minutes, mais il est important de ne pas les prendre à la légère, surtout s'ils sont récurrents ou si vous faites partie d'un groupe où l'incidence des infarctus cérébraux est élevée.
Les groupes de personnes suivants présentent un risque élevé d'attaques cérébrales et doivent être plus prudents si l'un de ces problèmes survient
1. les patients souffrant d'hypertension, de diabète et d'hyperlipidémie, dont les maladies sous-jacentes endommagent facilement les vaisseaux sanguins
2. les fumeurs réguliers. Le tabagisme peut resserrer les vaisseaux sanguins, ce qui augmente le risque de crise cardiaque et d'infarctus cérébral.
3. les personnes obèses
4. de nombreuses personnes dans la famille ont des antécédents d'infarctus cérébral. Les facteurs génétiques, l'infarctus cérébral et les habitudes de vie ont également une certaine relation, pas une famille, pas aussi bien qu'une famille.
5. les personnes qui manquent d'exercice
6. les patients présentant une hyperhomocystéinémie
7. les personnes âgées de plus de 45 ans
Bonjour, je suis le Dr Wei du département de neurologie. Le début de l'infarctus cérébral est souvent soudain, comme si une personne pouvait marcher normalement une seconde et ne pouvait plus marcher la seconde d'après, parce que le délogement des caillots sanguins est soudain, de sorte que le début de la maladie est également aigu. Est-il vrai que l'infarctus cérébral n'a pas d'aura ? Est-il vrai qu'une personne atteinte d'un infarctus cérébral sera définitivement handicapée ? En fait, ce n'est pas le cas, car il existe des caillots sanguins de petite et de grande taille. Lorsque les caillots sanguins délogés sont petits, l'obstruction des vaisseaux sanguins cérébraux pour les petits vaisseaux sanguins, les symptômes seront relativement légers, avec le flux sanguin du flux sanguin des caillots sanguins progressivement brisés, les symptômes de beaucoup de personnes se rétablissent d'eux-mêmes. Je vais maintenant vous donner un aperçu de ce dont il s'agit.

Qu'est-ce qu'un infarctus cérébral léger ?
En cas d'infarctus cérébral aigu, laAccident ischémique transitoire (AIT) et infarctus cérébral léger aigu ("mini-accident vasculaire cérébral"), en raison de son ""Non invalidant" et "déstabilisation précoce"et d'autres caractéristiques communes, souvent en tant que classe de "Événements cérébrovasculaires aigus non invalidants"Mener des consultations médicales.Ces deux maladies sont également connues sous le nom d'infarctus cérébral légèrement symptomatique.。

Attaque ischémique transitoire (AIT)Il s'agit de l'apparition d'une circulation sanguine dans une partie du cerveau, de la moelle épinière ou de la rétine.blocage de courte duréeCela pourrait conduire àSymptômes de l'infarctus cérébral transitoire,Les symptômes sont légers et ne durent généralement que quelques minutes.Rapidement, les vaisseaux sanguins se sont rouverts d'eux-mêmes.Pas de lésions du tissu cérébral ni d'incapacité permanente。
Infarctus cérébral léger ("mini-AVC")Il s'agit d'un dysfonctionnement neurologique léger et focal soudain dû à l'obstruction de petits vaisseaux sanguins.(durée ≥ 24 heures)Les manifestations les plus courantes sontlégère (symptômes, etc.)Faiblesse et engourdissement des membres, discours confus, bouche tordue, troubles de l'équilibre, non accompagnés de troubles de la conscience.La plupart des infarctus sont de petite taille ou situés dans des zones fonctionnelles non motrices, 80 % sont des infarctus lacunaires et la plupart n'entraînent pas d'incapacité significative.Mais elle provoque des lésions permanentes du tissu cérébral.


Quels sont les risques d'un accident ischémique transitoire et d'un infarctus cérébral léger ?
attaque ischémique transitoire (médecine)Il s'agit généralementinfarctus cérébral complet的Signes précurseurs de risque élevé。Environ un tiers des personnes victimes d'un accident ischémique transitoire évoluent vers un infarctus cérébral à court terme (moins d'une semaine).Le risque d'évolution vers un infarctus cérébral dans les 48 heures suivant l'accident ischémique transitoire est particulièrement élevé. Le risque d'évolution vers un infarctus cérébral dans les 48 heures suivant un accident ischémique transitoire est particulièrement élevé, de l'ordre de 10 %. On estime que 7 à 40 % des patients souffrant d'un infarctus cérébral ont des antécédents d'accident ischémique transitoire. Les adultes chinois présentent un risque élevé deLe taux de sensibilisation à l'accident ischémique transitoire n'est que de 3,12 %, la plupart des gens ignorent l'existence de cette maladie.。
Infarctus cérébral léger : bien que l'infarctus soit petit et que les symptômes soient légers, le tissu cérébral a été endommagé et, s'il n'est pas traité à temps, il y a un certain risque que la maladie progresse et que les symptômes s'aggravent, entraînant un risque d'invalidité.
Quels sont les signes et les symptômes d'un accident ischémique transitoire et d'un infarctus cérébral léger ?
Les accidents ischémiques transitoires et les infarctus cérébraux légers ont la même pathogénie que les infarctus cérébraux complets, sauf que la gravité des symptômes est moindre.
●Difficultés de compréhension verbale :Réaction lente à la communication avec les autres, capacité réduite à comprendre les mots de l'autre et réponses occasionnelles non réactives.
●Difficulté à parler :Discours flou, trouble de l'élocution, lenteur de l'élocution.
●Déclin cognitif :Les lésions multi-infarctus sont localisées dans les zones non motrices, dans les zones corticales supérieures, et se caractérisent par des pertes de mémoire et de calcul, un ralentissement du temps de réaction, et des troubles de l'humeur.Mouvement normal de plusieurs membres。
●Faiblesse ou engourdissement des membres :Apparaissant généralement d'un seul côté du corps et se manifestant par une légère sensation de faiblesse ou d'engourdissement qui ne gêne généralement pas la marche.Ne présentant qu'une légère inflexibilité des membres.
● Étourdissements :Sentiment de manque de clarté mentale, performances mentales médiocres, vertiges pouvant s'accompagner de troubles de la vision.
●Troubles de l'équilibre :Légère instabilité de la marche, avec un léger balancement d'un côté à l'autre ou d'un côté à l'autre lors de la marche.
●Problèmes de vision :Comme une vision floue ou une vision double dans un œil ou dans les deux.
●Bâillements fréquents et somnolence :Cela est dû à un manque de sang et d'oxygène dans le cerveau.
●Maux de tête sans raison :Maux de tête d'apparition soudaine, la douleur est principalement localisée au sommet ou à l'arrière de la tête, dans la région occipitale et dans le cou, et se manifeste principalement par une douleur, un gonflement et un malaise.

Comment identifier les symptômes de l'accident ischémique transitoire et de l'infarctus cérébral léger ?
L'auto-identification des symptômes de l'infarctus cérébral peut se faire à l'aide de l'échelle simple FAST.
F (visage) :Regardez-vous dans le miroir et remarquez qu'un côté du visage est affaissé et que les coins de la bouche sont de travers.
A (main) :Levez les deux mains et observez si un côté de la main s'affaisse.
S (discours) :Une mauvaise élocution, des troubles de l'élocution, voire une incapacité à parler ou à comprendre ce qui est dit.
T (Time is Brain) :Si l'un des symptômes ci-dessus se manifesteRappelez-vous l'heure exacte du début de la maladie et appelez immédiatement le 120 pour vous faire transporter à l'hôpital.

Qui est exposé au risque d'accident ischémique transitoire et d'infarctus cérébral léger ?
De nombreux facteurs augmentent le risque d'infarctus cérébral, qu'il s'agisse d'un accident ischémique transitoire et d'un infarctus cérébral léger ou d'un infarctus cérébral complet. Parmi les facteurs de risque sur lesquels il est possible d'intervenir, on peut citer
●Facteurs de risque liés au mode de vie :Il s'agit par exemple de l'obésité ou du surpoids, de l'inactivité physique, de l'abus d'alcool, du tabagisme et du tabagisme passif, ainsi que de la consommation de drogues illicites telles que la méthamphétamine et la cocaïne.
●Facteurs de risque des maladies médicalesLes maladies cardiovasculaires : par exemple l'hypertension, l'hypercholestérolémie, le diabète, les maladies cardiovasculaires (par exemple la fibrillation auriculaire, les maladies coronariennes), l'apnée obstructive du sommeil (ronflement), l'hyperhomocystéinémie.
D'autres facteurs de risque plus élevés sont
●L'âge :Les personnes âgées de 55 ans ou plus sont plus exposées que les jeunes.
●Genre :Le risque d'accident vasculaire cérébral est plus faible chez les femmes que chez les hommes. Cependant, les femmes sont généralement plus âgées lorsqu'elles sont victimes d'un accident vasculaire cérébral, ce qui les rend plus susceptibles de mourir d'un accident vasculaire cérébral que les hommes.
●Hormones :Les médicaments qui augmentent le taux d'œstrogènes augmentent le risque.

Que se passe-t-il en cas d'accident ischémique transitoire et d'infarctus cérébral léger ?
attaque ischémique transitoire (médecine)比risque plus élevé d'infarctus cérébral léger.Parce que les accidents ischémiques transitoires desymptôme légerEn général, cela ne dure que quelques minutes et les symptômes disparaissent complètement, de sorte que de nombreuses personnes pensent qu'elles vont bien et ne consultent pas de médecin. EtLes infarctus cérébraux légers présentent des symptômes légers mais persistants. C'est la raison pour laquelle les personnes consultent un médecin pour un examen précoce afin de détecter les problèmes.Il est donc d'autant plus important que les personnes qui subissent des attaques ischémiques transitoires consultent immédiatement un médecin, même si les symptômes ont disparu, car certaines d'entre elles ont en fait développé un infarctus cérébral complet, mais sans s'en rendre compte, ce qui peut être encore plus dangereux.
Parce que les accidents ischémiques transitoires et les infarctus cérébraux légersLes symptômes apparaissent généralement de manière soudaine.Il est très important de reconnaître les signes et symptômes de l'infarctus cérébral mentionnés ci-dessus.et obtenir une aide médicale dès que possible pour une guérison optimale des symptômes.

Comment diagnostiquer et traiter l'accident ischémique transitoire et l'infarctus cérébral léger ?
I. Inspections pertinentes
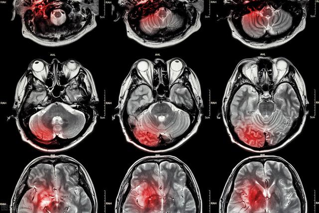
Les médecins peuvent recommander divers tests de diagnostic, tels que les suivantsCT crânien ou IRM crânienne, échographie carotidienneCes tests permettent de déterminer la cause de la maladie.
● Certaines personnes peuvent avoir besoin d'examens complémentaires, tels queAngiographie par tomodensitométrie, angiographie cérébrale ou surveillance ECG ambulatoire de 24 heuresLe médecin de l'hôpital doit être informé de l'évolution de l'état de santé du patient, afin de rechercher d'éventuelles causes vasculaires ou cardiaques.

II. le traitement
●Médicaments pour prévenir les caillots sanguins :Traitement antiagrégant plaquettaire (aspirine, clopidogrel) ou anticoagulant (warfarine, dabigatran, rivaroxaban), anti-athérosclérotique (atorvastatine calcique, resuvastatine calcique) et stabilisation de la plaque (probucol, ézétimibe).

●Thérapie endovasculaire :Une sténose sévère des gros vaisseaux (artères carotide interne, cérébrale moyenne, basilaire) est donnée.Stenting endovasculaire (pour recirculer le flux sanguin)或Endartériectomie carotidienne (élimination de la plaque et des dépôts graisseux)。

Conclusion, Pronostic de l'accident ischémique transitoire et de l'infarctus cérébral léger ?
Les accidents ischémiques transitoires et les infarctus cérébraux légers ont un pronostic relativement bon et ne sont généralement pas invalidants.Toutefois, les accidents ischémiques transitoires surviennent avant environ 30 % des infarctus cérébraux complets. Cela signifie que les personnes qui subissent des attaques ischémiques transitoires ont un risque élevé de développer par la suite un infarctus cérébral complet. Par conséquent, pour les attaques ischémiques transitoires et les infarctus cérébraux légersLe dépistage et le traitement sont plus importantsNécessite l'utilisation deMédicaments et changements de mode de viepour aider à réduire les risques d'infarctus cérébral complet à l'avenir.Quelques changements mineurs.Par exemple, mangerUne alimentation saine et l'apprentissage de la réduction du stressLe yoga et la méditation peuvent également contribuer à réduire le risque d'infarctus cérébral complet à l'avenir.

Référence : 1. Directives chinoises pour le diagnostic et le traitement de l'accident vasculaire cérébral ischémique aigu 2018.Chinese Journal of Neurology Septembre 2018
2, Chinese expert consensus on antiplatelet therapy for transient ischaemic attack and light stroke (2014) . Journal médical chinois, juillet 2014
3、www.mayoclinic.org/mini-stroke
Bonjour, je suis heureux de répondre à votre question, en fonction de la situation que vous avez décrite, vous voulez surtout connaître certains symptômes précurseurs d'une attaque cérébrale, dont voici un extrait.
De nos jours, l'incidence de l'infarctus cérébral est particulièrement élevée et en augmentation, et il peut survenir aussi bien chez les hommes que chez les femmes, chez les jeunes que chez les personnes âgées. Par conséquent, si vous pouvez comprendre certains signes anormaux avant la crise d'infarctus cérébral, vous pouvez jouer un rôle vital dans la prévention de l'infarctus cérébral.
Premièrement, les membres sont souvent engourdis et faibles, la force de préhension est réduite, la circulation périphérique est mauvaise, les extrémités des doigts sont douloureuses, engourdies, etc.
Si l'ischémie myocardique se produit et que l'irrigation sanguine du cœur est insuffisante, elle affectera directement l'irrigation sanguine du cerveau et conduira finalement lentement à une ischémie cérébrale, provoquant un infarctus cérébral.
Troisièmement, la bave pendant le sommeil est également un indicateur important de l'infarctus cérébral avant l'apparition de celui-ci, principalement parce que les vaisseaux sanguins du cerveau, en particulier l'embolie des capillaires, entraîneront le blocage des vaisseaux sanguins de la gorge, et affecteront finalement la fonction pharyngée de la déglutition, ce qui se traduira par une bave pendant la nuit, pendant le sommeil.
Quatrièmement, l'apparition de maux de tête rebelles, de vertiges, qui est également un infarctus cérébral, avant ou pendant l'apparition de l'indicateur le plus important, principalement en raison d'un apport sanguin insuffisant à long terme au cerveau, ces maux de tête et vertiges ne peuvent généralement pas être soulagés par des médicaments oraux, et les symptômes s'aggravent progressivement.
Cinquièmement, la somnolence, il arrive souvent que l'on s'assoupisse, que ce soit le jour ou la nuit, tant qu'il n'y a rien à faire, on reste assis, on s'allonge sur le lit et l'on s'endort rapidement, principalement parce que l'apport de sang au cerveau est manifestement insuffisant, ce qui entraîne la formation de sang qui ne nourrit pas Dieu.
Sixièmement, si vous constatez soudainement que vous ne pouvez pas bien parler, que votre discours n'est pas clair et que votre langue est courte et inflexible, vous devez envisager la possibilité d'un infarctus cérébral ou d'un trouble de la parole causé par une hémorragie qui appuie sur le centre de la parole.
Septièmement, l'attaque ischémique transitoire, également connue sous le nom d'attaque ischémique transitoire, apparaît souvent soudainement avec des vertiges noirs, une perte de conscience transitoire grave, généralement quelques minutes après le retour à la normale, la plus longue ne dépassant pas une demi-heure, et après le rétablissement ne laisse pas de séquelles.
Huitièmement, la marche est instable, il y a un sentiment d'inclinaison, des cas graves peuvent apparaître en marchant sur une sensation de coton, facile à déplacer d'un côté, toujours marcher en ligne droite, ce qui est principalement dû au trouble de l'équilibre cérébelleux.
Neuvièmement, une vision floue, une cécité partielle transitoire soudaine du champ visuel, dont l'apparition nécessite de se rendre à l'hôpital en temps utile pour exclure la possibilité de troubles oculaires.
Dixièmement, des changements soudains de la personnalité ou des changements mentaux, tels que des troubles de la mémoire, une incapacité soudaine à reconnaître les membres de la famille et une incapacité à se souvenir d'événements antérieurs.
Toutes ces manifestations cliniques se produisent avant ou pendant la crise d'infarctus cérébral. En cas de problème, il faut se rendre à temps à l'hôpital pour un examen, afin de ne pas retarder l'évolution de l'état de santé.
De nombreux symptômes signalent un infarctus cérébral bénin. Comme beaucoup de ces symptômes n'ont pas d'incidence sur la vie, de nombreux patients ne les prennent pas au sérieux, ce qui conduit indirectement à des épisodes thrombotiques !

Dans certains cas, cela se manifeste par une bouche soudainement tordue, qui est l'un des premiers symptômes du visage, en plus de l'engourdissement des muscles faciaux, de l'affaissement soudain des paupières, etc ;
Les troubles de l'élocution sont également une manifestation courante, tels que des troubles soudains de l'élocution ou même de la bave ;
Cependant, le symptôme le plus courant et le plus facilement négligé est l'engourdissement des membres. Les AVC peuvent se manifester par un engourdissement unilatéral des membres et une diminution de la force de préhension. Certains patients pensent que ce symptôme a d'autres causes et l'ignorent ou attendent de voir ce qui va se passer, ce qui est extrêmement dangereux !

De nombreuses personnes souffrant d'engourdissement des membres au stade précoce d'une élimination inappropriée ne cherchent pas à obtenir un traitement médical en temps utile, par exemple la main ne peut pas tenir les œufs, ou semble tenir de petits objets, tombe de manière incontrôlée, etc.
La "période dorée" correspond à l'apparition des symptômes de l'accident ischémique transitoire, qui est le précurseur de la thrombose cérébrale ; l'utilisation opportune de médicaments pour ajuster l'effet est généralement très bonne ! Dans le cas contraire, lorsque le "thrombus" sera détecté, la situation sera irréversible, et il est trop fréquent de voir les membres de la famille de certains patients le regretter à la clinique.
Tout membre de la famille âgé de 60 ans ou plus présentant les symptômes ci-dessus doit être fortement soupçonné d'être atteint d'un infarctus cérébral précoce et doit être rapidement pris en charge par un médecin !
En général, le médecin confirme le diagnostic et propose un plan de traitement basé sur un test de préhension des mains du patient, une prise de tension artérielle, un scanner de la tête et une IRM si nécessaire. Les médicaments vasodilatateurs et les médicaments qui nourrissent les vaisseaux sanguins sont généralement préférés, et l'aspirine tend à devenir un médicament courant pour certains patients à partir de ce moment-là.
Soutien professionnel : Département de neurologie, Hôpital Shengjing, Université médicale de Chine, Campus de l'Hôpital Gliding
Liaoshen, la tête de liste des médecins célèbres, le groupe de réflexion des médecins célèbres en ligne. Suivez d'abord, puis invitez le médecin à répondre aux questions !
Bonjour à tous, je suis Comic Book Guy et je suis heureux de répondre à vos questions !
Il y a quelques jours, l'oncle Wang, mon voisin, m'a appelé pour me dire qu'il avait depuis peu très mal à la tête et que son bras était engourdi. La dernière fois que j'ai lu l'article de vulgarisation scientifique que j'ai écrit sur l'hémorragie cérébrale, je soupçonne qu'il ne s'agit pas d'une maladie cérébrale ! L'oncle Wang, comme je le sais, a près de 60 ans, et son seul passe-temps est de boire de l'alcool, tous les jours, que ce soit le matin ou le soir, il boit quelques gorgées. Compte tenu de son long passé de buveur, je suggère toujours qu'il aille à l'hôpital pour passer un scanner cérébral afin d'exclure la possibilité d'une ischémie cérébrale ou d'un infarctus cérébral !
Aujourd'hui, il m'a rappelé pour me dire qu'il n'y avait pas de problème majeur, mais que le médecin lui avait dit qu'il souffrait d'hypertension artérielle et qu'il devait y faire attention et boire moins d'alcool ! Bien que ce test ne pose aucun problème, l'hypertension artérielle et la consommation prolongée d'alcool restent les deux principaux facteurs de risque d'infarctus du cerveau dont nous allons parler aujourd'hui.

Qu'est-ce qu'un infarctus cérébral ?
L'infarctus cérébral est en fait un trouble de l'irrigation sanguine des vaisseaux sanguins du cerveau, qui se traduit par une irrigation sanguine insuffisante du cerveau, ce qui déclenche l'ischémie et l'hypoxie et aggrave encore la nécrose ischémique ou le ramollissement du tissu cérébral. L'infarctus cérébral représente la majorité des accidents vasculaires cérébraux dans la pratique clinique, et les types d'accidents vasculaires cérébraux les plus courants sont les suivantsThrombose cérébrale, infarctus lacunaire et embolie cérébraleetc.
La grande majorité des infarctus cérébraux surviennent soudainement, par exemple lorsqu'une personne se porte bien, qu'elle ne peut soudain plus parler, que son activité est limitée, voire qu'elle s'effondre soudainement, cet infarctus cérébral se produit, si les secours ne sont pas apportés à temps, dans un court laps de temps, il est facile de mettre la vie en danger. En fait, avant la survenue d'un infarctus cérébral, le corps présente certains symptômes précurseurs.

Quels sont les symptômes physiques qui signalent une attaque cérébrale légère ?
1. Engourdissement des membres :L'un des premiers symptômes de l'infarctus cérébral est l'engourdissement des membres, qui peut avoir des causes diverses, mais comme les membres sont régis par le système nerveux, si les symptômes d'engourdissement sont récurrents, il faut également être attentif au risque d'infarctus cérébral.
2. des vertiges ou des maux de tête soudains, voire une instabilité :L'apparition de ce symptôme signifie qu'il y a une plus grande possibilité d'infarctus cérébral, si ce symptôme se répète, il est fondamentalement nécessaire d'aller à l'hôpital pour faire un bon check-up, en particulier lorsque la position debout est instable, il est très probable que les vaisseaux sanguins locaux du cerveau se sont déjà produits et que l'approvisionnement en sang est insuffisant, ce qui affecte la fonction des membres du cerveau.
3. voir les choses floues :En fait, au stade initial des patients souffrant d'infarctus cérébral, la zone autour des yeux étant reliée à de nombreux vaisseaux sanguins dans le cerveau, un infarctus cérébral affectera directement les nerfs et les vaisseaux sanguins autour des yeux, ce qui entraînera une perte de vision et un brouillage des symptômes.

4.Faible élocution et difficulté à parler :Ce symptôme est une manifestation précoce de l'atteinte du centre de la parole qui peut survenir chez de nombreux patients souffrant d'infarctus cérébral ou d'hémorragie cérébrale. Un manque de clarté ou des troubles de la parole suggèrent une forte probabilité d'infarctus dans le cerveau !
5) Autres manifestations :En outre, les premiers symptômes de l'infarctus cérébral peuvent inclure la somnolence, les bâillements, les pertes de mémoire, etc. L'apparition de ces signaux précoces suggère qu'il est nécessaire d'être alerté de la survenue d'un infarctus cérébral. Des examens complémentaires doivent être effectués pour réduire ou retarder le risque d'infarctus cérébral.
Comment prévenir l'infarctus cérébral ?

- Soyez attentif au contrôle des "trois hauteurs" :Les "trois hauts" sont souvent une cause importante d'infarctus cérébral, et le contrôle des trois hauts est la mesure la plus efficace pour prévenir l'infarctus cérébral. D'une manière générale, pour les personnes d'âge moyen et les personnes âgées, il n'est pas nécessaire d'exiger un traitement contre l'hypertension.Pression artérielle, glycémie et lipides sanguinsEn fait, tant que la pression artérielle est maintenue, éviter les fluctuations, pour les patients hypertendus de moins de 65 ans, le contrôle de la pression artérielle à environ 130/80mmHg, pas moins de 120/70mmHg peut être, et 65 ans et plus patients hypertendus dans la situation tolérable contrôle dans 140/90mmHg, pas moins de 120/70mmHg. glycémie Il est également nécessaire de contrôler la glycémie à un certain niveau, en particulier le jour de la glycémie, il y aura certaines fluctuations, il doit y avoir une surveillance dynamique de la glycémie, une glycémie raisonnable ; En outre, pour les patients ayant un taux élevé de graisse dans le sang, hors du contrôle des médicaments, le contrôle diététique est également très nécessaire, manger moins d'aliments gras, réduire les lipides sanguins dans les vaisseaux sanguins.
- Contrôlez votre poids et faites de l'exercice :De nombreuses maladies sont en fait liées à l'obésité, la vie doit contrôler son poids, renforcer l'exercice physique, accorder plus d'attention à l'alimentation, pauvre en sel et en graisses, adopter un mode de vie sain, manger plus de légumes verts et de fruits, ne pas se laisser aller à l'obésité."Gardez votre bouche fermée et vos jambes ouvertes."surtout pour les hommes de plus de 60 ans !
- Arrêter de fumer et limiter l'alcool : ces deux facteurs de risque sont des facteurs indirects d'infarctus cérébral. Par conséquent, dans la vie normale, nous devons arrêter de fumer et limiter l'alcool, en particulier pour les patients souffrant de "three highs", afin de prévenir les complications causées par les "three highs" et de réduire le risque d'hémorragie cérébrale.

Revue de la bande dessinée
L'incidence de l'infarctus cérébral chez les personnes âgées de plus de 60 ans est encore relativement élevée ces dernières années, c'est pourquoi, dans la vie, il faut faire attention à ses propres habitudes alimentaires, à un régime pauvre en sel et en graisses, à plus d'exercice physique ; trois grands amis doivent également contrôler la tension artérielle, la glycémie et les lipides sanguins, grâce à l'amélioration de leur propre mode de vie, associée à des médicaments pour contrôler, de sorte qu'il peut être très bon de prévenir l'apparition d'un infarctus cérébral !
Dans une variété d'événements cardiovasculaires et cérébrovasculaires, on peut dire que l'infarctus cérébral est plus fréquent, le préjudice est également relativement important événements cérébrovasculaires aigus, de nombreux amis s'inquiètent de leur propre infarctus cérébral, ils veulent donc comprendre l'infarctus vasculaire cérébral des symptômes bénins qui peuvent se produire, cette idée est bien sûr très bonne, avec des problèmes de maladie, la détection précoce et l'intervention précoce et le traitement précoce, afin d'être en mesure de réduire les maladies connexes du pronostic du risque médiocre ou mortel entraîné par la maladie. Les infarctus du cerveau présentent-ils vraiment des signes précurseurs ? Quels sont les symptômes susceptibles d'être associés à un infarctus cérébral ? Que peut-on faire pour prévenir le risque d'infarctus cérébral ? Aujourd'hui, nous allons discuter avec vous de ce qu'est un "infarctus cérébral".

Les attaques cérébrales n'ont pas toujours de "précurseur".
Certains amis demandent si l'infarctus du cerveau se produit, s'il y a des signaux d'infarctus cérébral léger, mais en fait, tous les patients atteints d'infarctus cérébral ne présentent pas un tel "précurseur", très souvent, l'infarctus cérébral se produit soudainement, de sorte que les gens sont pris au dépourvu.

L'infarctus cérébral est divisé en plusieurs types en fonction des différentes causes de l'infarctus : la rupture de la plaque causée par l'athérosclérose, formant un thrombus qui bloque les vaisseaux sanguins cérébraux, forme un infarctus cérébral ; l'embolie formée dans la région du cœur en raison d'une fibrillation auriculaire, d'un flutter auriculaire, d'une insuffisance cardiaque, d'une maladie valvulaire cardiaque, etc., qui pénètre dans les vaisseaux sanguins cérébraux avec le flux sanguin pour bloquer les vaisseaux sanguins cérébraux, forme également un infarctus cérébral ; l'occlusion des petits vaisseaux sanguins des artères cérébrales en raison d'un durcissement et de lésions, etc. forme également un infarctus cérébral, et ces infarctus cérébraux se produisent lentement en termes de pathogenèse. Ces infarctus cérébraux, bien qu'ils soient lents à se produire, mais lorsque les vaisseaux sanguins cérébraux sont soudainement bloqués, en particulier les vaisseaux sanguins importants responsables de l'approvisionnement en sang du cerveau, l'infarctus cérébral se produit d'un seul coup et il n'y a pas trop de précurseurs pour que nous puissions y faire face. L'infarctus cérébral se produit directement lorsqu'il entraîne directement dans le corps une hémiplégie, une aphasie, une ataxie, qui peuvent être accompagnées de maux de tête sévères, de nausées, de vomissements et d'autres symptômes, et l'état peut rapidement évoluer vers un infarctus cérébral. Par conséquent, pour prévenir l'infarctus cérébral, nous devrions toujours contrôler activement le risque à partir de la pathogenèse, et l'idée de se fier aux précurseurs ou aux symptômes précoces pour juger du risque d'infarctus cérébral est très difficile à mettre en œuvre pour prévenir le risque et intervenir à l'avance.
Symptômes associés à un infarctus cérébral léger
Notre cerveau et les vaisseaux sanguins cérébraux sont un système très complexe, il y a de grandes artères, de petites artères, des artères pénétrantes, des artères basilaires, certains vaisseaux sanguins appartiennent aux vaisseaux de la circulation antérieure, d'autres aux vaisseaux de la circulation postérieure, selon les différentes parties du vaisseau sanguin infarci, la formation du cerveau de l'impact sur la santé est également différente, et les symptômes associés sont également différents, généralement dit, si le problème de l'infarctus cérébral n'est pas trop grave, en raison du site d'obstruction, de l'obstruction D'une manière générale, s'il s'agit d'un problème moins grave d'infarctus cérébral, en raison des différents sites de blocage, des degrés de blocage et des parties du cerveau touchées, les personnes atteintes d'infarctus cérébral peuvent présenter les symptômes suivants -

- Si la partie du blocage vasculaire cérébral affecte la partie du cerveau qui dirige les mouvements du corps, des symptômes tels que l'hémiplégie, l'ataxie, l'incapacité à marcher en ligne droite et la susceptibilité aux chutes peuvent apparaître.
- Si les vaisseaux sanguins cérébraux sont embolisés, ce qui affecte l'irrigation sanguine du cerveau, certains patients peuvent également souffrir de vertiges, de maux de tête, voire de nausées et de vomissements, et d'autres peuvent présenter des symptômes tels que des pertes de connaissance passagères.
- Si le blocage vasculaire cérébral affecte les zones fonctionnelles du cerveau dans le domaine de la déglutition et de la vocalisation, les personnes souffrant d'un infarctus cérébral léger ont tendance à souffrir d'aphasie, de dysphonie, de dysphagie, de paralysie faciale, et lorsque cela se produit, cela s'accompagne souvent de troubles légers des mouvements de la main, tels qu'une légère faiblesse de la main et des troubles de la motricité fine.
- Si l'obstruction des vaisseaux sanguins cérébraux affecte la zone du cerveau responsable de la sensation, des symptômes en termes de déficience sensorielle ou d'anomalie sensorielle, tels que l'engourdissement des membres asymétriques dans la moitié du corps et la perte de la sensation de douleur et de température, peuvent survenir.
- Si l'obstruction des vaisseaux sanguins cérébraux affecte le nerf central de la vision, elle peut provoquer des anomalies visuelles, notamment une vision anormale, des hallucinations visuelles, voire une incapacité à voir et des troubles des mouvements oculaires.

Par conséquent, si vous êtes un patient à haut risque d'infarctus cérébral, dès que certains des symptômes mentionnés ci-dessus apparaissent, vous devez consulter un médecin le plus rapidement possible. Plus tôt le problème de l'infarctus cérébral sera traité, meilleur sera le pronostic, plus favorable sera le rétablissement du patient, moins grand sera le risque d'altération de sa qualité de vie. Si le problème de l'infarctus cérébral évolue vers un cas modérément grave de troubles de la conscience, de coma ou même de hernie cérébrale, il peut mettre la vie du patient en danger, et même si le patient se rétablit après un traitement d'urgence, le pronostic est souvent mauvais, ce qui affecte gravement sa qualité de vie dans la période qui suit.
Le risque d'infarctus cérébral se concentre sur la prévention
Beaucoup d'entre nous sont préoccupés par le problème des attaques cérébrales, mais nous voudrions souligner qu'au lieu d'attendre que les signes précurseurs apparaissent et d'essayer ensuite de fournir les premiers soins, ou de sauver le problème lorsqu'il se produit, il vaut mieux que nous soyons proactifs dans notre vie quotidienne pour prévenir le risque d'attaques cérébrales.
Pour l'infarctus cérébral occlusif athéroscléreux et le petit infarctus artérioscléreux, il est particulièrement important de bien prévenir l'athérosclérose et de contrôler la stabilité de la plaque. Pour ralentir le processus d'athérosclérose et protéger la santé cardiovasculaire et cérébrovasculaire, il faut tout d'abord adopter un mode de vie sain et s'y tenir, suivre un régime alimentaire sain, faire de l'exercice physique de manière raisonnable, veiller à contrôler son poids, arrêter de fumer et de boire de l'alcool, avoir de bonnes habitudes de travail et de repos et veiller à maintenir un état d'esprit calme et optimiste, ce qui est très important pour protéger la santé artérielle et réduire le risque d'infarctus cérébral. Ces aspects sont très importants pour protéger la santé vasculaire artérielle et réduire le risque d'infarctus cérébral.

La pression artérielle et la glycémie doivent être contrôlées dans une fourchette raisonnable, les lipides doivent être strictement contrôlés. Pour les patients présentant un risque élevé d'infarctus cérébral, le taux de cholestérol LDL doit généralement être contrôlé à 1,8 ou moins, afin de mieux stabiliser les plaques et de retarder le développement de l'athérosclérose. Outre le contrôle des trois taux les plus élevés, les patients atteints d'athérosclérose sévère peuvent, pour prévenir le risque d'infarctus cérébral, prendre des médicaments antiplaquettaires, tels que l'aspirine, afin de réduire le risque de formation de thrombus lors de la rupture de la plaque.

En ce qui concerne le risque plus élevé d'infarctus cérébral d'origine cardiogénique, tel que la fibrillation auriculaire, le flutter auriculaire, l'infarctus du myocarde, l'insuffisance cardiaque et d'autres problèmes, afin de prévenir le risque d'infarctus cérébral, il convient de faire du bon travail dans les aspects susmentionnés des prémisses, afin de prévenir la formation de thrombus intracardiaques, mais aussi de prêter attention à la prise de médicaments anticoagulants, tels que la warfarine, le rivaroxaban, etc.
L'identification positive du risque d'infarctus cérébral, la prise en compte de sa propre situation de risque, le contrôle et l'intervention précoces des différents facteurs de risque, le traitement et le conditionnement sont des aspects importants de la réduction du risque d'infarctus cérébral, et si certains symptômes d'infarctus cérébral apparaissent, il est nécessaire de consulter un médecin en temps utile afin de minimiser les risques de gravité de l'infarctus cérébral.
L'infarctus cérébral est également appeléInfarctus cérébral ou accident vasculaire cérébral ischémique (AVC ischémique cérébral)Ce terme désigne la nécrose ou le ramollissement du tissu cérébral dû à un manque d'apport sanguin au cerveau, qui se produit à la suite d'une ischémie ou d'une hypoxie.
L'infarctus cérébral est une maladie du cerveau d'apparition soudaine qui peut survenir à tout âge. La gravité de la maladie est étroitement liée à la localisation et à la taille du caillot sanguin.Les patients d'âge moyen et les personnes âgées entre 45 et 70 ans constituent le principal groupe de patients qui développent la maladie.。

Le début de la maladie est relativement rapide et la plupart du temps il n'y a pas d'aura, mais si les symptômes suivants apparaissent, il faut être attentif à la possibilité d'un infarctus cérébral. ......
La perte de force dans les membres peut être le signe d'une attaque cérébrale.
Il y a un nouveau patient au service des urgences, et c'est un patient qui vous fait de la peine.
Un homme de 41 ans, souffrant d'hypertension depuis plus de 10 ans et ne prenant aucun médicament sérieux pour contrôler sa tension artérielle, a soudainement développé ce matin une faiblesse du membre supérieur droit, avec une préhension instable et une impossibilité d'écrire.
Quelle personne ne prend pas de médicaments contre l'hypertension ? Si vous ne prenez pas de médicaments, vous devez vous préparer au risque d'infarctus cérébral et d'hémorragie cérébrale à tout moment.

En fait, un grand nombre de patients ayant subi un infarctus cérébral présentaient des symptômes de faiblesse des membres inférieurs et d'incapacité à marcher avant de consulter un médecin, mais ils n'ont pu trouver aucun facteur de causalité, et beaucoup d'entre eux pensaient même qu'ils pouvaient se reposer, en particulier les personnes âgées souffrant de douleurs au dos et aux jambes, et ils pensaient souvent à tort que ces symptômes étaient dus à des maladies du dos et des jambes.
Je ne sais pas.La faiblesse soudaine d'un membre est souvent le signe précurseur d'un accident vasculaire cérébral.Il s'agit essentiellement d'une ischémie transitoire. Il s'agit essentiellement d'une ischémie cérébrale transitoire. Ce type d'accident vasculaire cérébral n'est pas grave et est également appelé "mini-accident vasculaire cérébral" ou "accident vasculaire cérébral de la jambe", mais il n'est pas grave.Souvent précurseur d'un accident vasculaire cérébraldont 1/3 des patients seront victimes d'un accident vasculaire cérébral.
Les patients souffrant de diabète, d'hypertension, de tension artérielle élevée et d'hyperlipidémie doivent faire preuve d'une attention particulière et ne pas être négligents.

Les manifestations les plus fréquentes de l'infarctus cérébral
(1)éclater soudainementqui apparaît souvent au cours d'un repos ou d'un sommeil calme. L'apparition est maximale en l'espace de quelques heures ou de 1 à 2 jours.
(2)Céphalées, vertiges, acouphènes, hémiplégieLe patient peut avoir un seul membre ou un membre d'un seul côté du corps, le membre supérieur peut être plus lourd que le membre inférieur ou le membre inférieur peut être plus lourd que le membre supérieur, et il peut y avoir une variété de conditions telles que des difficultés à avaler, des troubles de l'élocution, des nausées et des vomissements, et dans les cas les plus graves, le patient peut rapidement devenir comateux. Chaque patient peut présenter plusieurs des manifestations cliniques susmentionnées.

(3) Il existe une pathologie connue sous le nom d'"infarctus cérébral lacunaire" dans laquelle le patient peutAsymptomatique ou légèrement symptomatiqueLa maladie a été détectée lors d'un examen du cerveau par scanner pour d'autres affections, dont certaines étaient déjà des lésions anciennes.
Cette affection est plus fréquente chez les personnes âgées et les patients sont souvent associés à des maladies chroniques telles que l'hypertension, l'athérosclérose, l'hyperlipidémie, les maladies coronariennes et le diabète sucré. L'infarctus cérébral caverneux peut se produire à plusieurs reprises, et certains patients finissent par développer un infarctus cérébral symptomatique, tandis que d'autres patients présentent un état stable pendant de nombreuses années. Il convient donc de prendre au sérieux les "accidents vasculaires cérébraux asymptomatiques" chez les personnes âgées et d'adopter une attitude positive en matière de prévention.
L'infarctus cérébral présente deux caractéristiques majeures : l'urgence, car les lésions cérébrales s'aggravent progressivement après l'obstruction des artères cérébrales et les dommages causés aux cellules cérébrales ne peuvent être inversés ; et la gravité, car l'infarctus cérébral est invalidant et laisse des déficits neurologiques, entraînant un déclin plus ou moins important de la capacité à prendre soin de soi ou une perte totale de la capacité à vivre, ainsi qu'un certain degré de risque de décès. Il est donc important d'identifier rapidement l'infarctus cérébral.
La plupart de nos amis se posent la question suivante : quels sont les symptômes d'un infarctus cérébral bénin ? L'infarctus cérébral est différent des autres maladies : une fois que les symptômes apparaissent et ne disparaissent pas, cela signifie que les artères de la tête et du cou ont été sévèrement rétrécies ou même occluses ; une fois que le diagnostic d'infarctus cérébral est clair, cela signifie que les tissus cérébraux ont déjà souffert d'ischémie et de nécrose hypoxique. Bien que l'infarctus cérébral ne soit pas bénin, certains patients peuvent présenter des symptômes d'aura avant que l'infarctus cérébral ne se produise, et la reconnaissance précoce des symptômes d'aura peut empêcher l'infarctus cérébral de progresser vers l'infarctus cérébral ; même si l'infarctus cérébral a déjà progressé vers l'infarctus cérébral, un traitement opportun de l'infarctus cérébral au stade précoce de l'infarctus cérébral peut améliorer de manière significative la qualité de vie au stade ultérieur de l'infarctus cérébral.
L'aura de l'infarctus cérébral apparaît dans les jours ou les mois qui précèdent la survenue de l'infarctus cérébral, à ce moment-là, les artères de la tête et du cou ne sont pas encore complètement bloquées, ou bien, bien qu'elles soient bloquées, dans un laps de temps relativement court, par autolyse, auto-passage pour augmenter ou restaurer l'apport sanguin au tissu cérébral, n'a pas causé d'ischémie, d'hypoxie et de nécrose du tissu cérébral, cette aura est connue sous le nom d'accident ischémique transitoire. L'accident ischémique transitoire et l'infarctus cérébral présentent des symptômes similaires, tels qu'une faiblesse unilatérale d'un membre, des anomalies sensorielles, des troubles du champ visuel, un engourdissement du visage, des cornes tordues de la bouche, une paralysie de la langue, etc., qui sont causés par l'obstruction du système de l'artère carotide interne, qui fournit les 2/3 de l'apport sanguin au cerveau ; et des symptômes tels que le vertige, les troubles de l'équilibre, la diplopie, etc., qui sont causés par l'obstruction du système de l'artère vertébrale basilaire, qui fournit 1/3 de l'apport sanguin au cerveau. La différence est que les accidents ischémiques transitoires sont plus courts, avec une durée médiane de 14 minutes pour le blocage du système de l'artère carotide interne et de 8 minutes pour le blocage du système de l'artère vertébrale basilaire, et qu'ils ne durent généralement pas plus d'une heure et pas plus de 24 heures, alors que les symptômes de l'infarctus cérébral peuvent durer plus de 24 heures et sont persistants.

Bien que les symptômes des patients souffrant d'un accident ischémique transitoire disparaissent d'eux-mêmes sans lésion substantielle du tissu cérébral, le risque d'infarctus cérébral ultérieur est assez élevé. Après le début d'un accident ischémique transitoire, le risque d'infarctus cérébral est de 3,5 % au deuxième jour, il passe à 5,2 % au septième jour, à environ 8 % au trentième jour et à 9,2 % au quatre-vingt-dixième jour. Ainsi, le risque d'infarctus cérébral chez les patients souffrant d'ischémie transitoire ne diminue pas avec le temps, mais augmente plutôt en l'absence de traitement approprié, car la cause de l'infarctus cérébral n'est pas supprimée. Par conséquent, l'accident ischémique transitoire est appelé infarctus cérébral avec aura, et en raison du risque élevé d'évolution vers l'infarctus cérébral, dans une certaine mesure, il peut également être compris de cette manière : il s'agit d'un stade de lésion cérébrale ischémique différent de celui de l'infarctus cérébral. Certains d'entre vous se demandent peut-être comment évaluer le risque de développer un infarctus cérébral après la survenue d'un accident ischémique transitoire.
Plus la durée des symptômes et la gravité des symptômes cliniques après une ischémie transitoire sont importantes, plus le risque d'infarctus cérébral est élevé : les patients dont les symptômes durent plus de 60 minutes ont un risque plus élevé d'infarctus cérébral que les patients dont les symptômes durent de 10 à 59 minutes ; les patients présentant une faiblesse unilatérale des membres ont un risque plus élevé d'infarctus cérébral que les autres ; l'âge est également un facteur de risque d'infarctus cérébral, et le risque d'infarctus cérébral est plus élevé chez les personnes âgées de 60 ans et plus que chez les personnes âgées de moins de 60 ans ; les facteurs de risque cardiovasculaire tels que l'hypertension artérielle et le diabète sucré augmentent également le risque d'infarctus cérébral. Le risque d'infarctus cérébral est plus élevé chez les personnes âgées que chez les personnes de moins de 60 ans ; l'hypertension et le diabète sucré, qui sont des facteurs de risque cardiovasculaire, augmentent également le risque d'infarctus cérébral.

Étant donné que la durée des symptômes chez les patients souffrant d'un accident ischémique transitoire n'est pas longue, la plupart des patients semblent normaux lorsqu'ils consultent le médecin, mais ils devraient également améliorer les examens tels que la tomodensitométrie crânienne ou l'imagerie par résonance magnétique. Si l'examen d'imagerie ne révèle aucune lésion d'infarctus cérébral, le diagnostic d'accident ischémique transitoire devrait être posé et, en même temps, une hémorragie cérébrale peut être exclue, car elle peut également présenter des symptômes similaires. À ce stade, bien que les symptômes aient été soulagés, cela ne signifie pas qu'aucun autre diagnostic et traitement n'est nécessaire, et il est encore nécessaire d'améliorer l'angiographie par tomodensitométrie, l'angiographie par résonance magnétique ou l'angiographie, etc., pour clarifier la gravité des lésions vasculaires dans la tête et le cou, afin de guider l'élaboration d'un plan de traitement raisonnable.Il est important de noter queAu stade précoce de l'infarctus cérébral, les foyers d'infarctus cérébral ne peuvent être détectés par le scanner ou l'IRM, et la durée maximale d'un accident ischémique transitoire est de 24 heures ; comment différencier un accident ischémique transitoire d'un infarctus cérébral au cours de cette période de 24 heures ? La résonance magnétique pondérée en diffusion permet de détecter les premiers foyers d'infarctus cérébral.
Après l'apparition d'un accident ischémique transitoire, la réduction du risque d'infarctus cérébral par un traitement approprié est de la plus haute importance. Les accidents ischémiques transitoires peuvent être causés par des lésions athérosclérotiques, par des thromboembolies cardiaques ou par des anomalies hémodynamiques telles que l'hypotension ou l'hypovolémie. Les options thérapeutiques varient en fonction de la cause : pour les lésions athérosclérotiques, il s'agit de retarder l'athérosclérose, de stabiliser la plaque artérielle et d'utiliser des médicaments antiagrégants plaquettaires pour prévenir la thrombose ; pour les embolies d'origine cardiaque, il s'agit d'utiliser des anticoagulants ; et pour les patients présentant des anomalies hémodynamiques, il convient d'administrer un supplément de volume sanguin afin de corriger l'hypoperfusion. Si l'examen révèle une sténose sévère des artères de la tête et du cou, telle qu'une sténose de 70 % ou plus, la nécessité d'un traitement chirurgical tel qu'une endartériectomie carotidienne ou la pose d'un stent doit également être évaluée. Un traitement rationnel des causes à haut risque d'infarctus cérébral, telles que l'hypertension, le diabète sucré et la dyslipidémie, doit également être mis en place afin de réduire le risque d'infarctus cérébral.

Bien entendu, si l'infarctus cérébral s'est déjà produit, un traitement raisonnable doit être administré dès que possible au stade précoce de l'infarctus cérébral, ce qui contribuera à améliorer le pronostic. Le stade précoce de l'infarctus cérébral se situe entre trois et six heures après l'apparition de l'infarctus cérébral. À ce moment-là, les cellules cérébrales situées dans la zone des artères cérébrales malades sont encore sauvables et il est possible de sauver les cellules cérébrales mourantes grâce à la thrombolyse intraveineuse ou à la thérapie interventionnelle, qui peut débloquer les artères cérébrales dans le plus court laps de temps possible. Les patients traités dans les trois heures suivant l'apparition de l'infarctus cérébral ont plus de chances de se rétablir complètement ; ceux qui sont traités dans les quatre heures et demie suivant l'apparition de l'infarctus cérébral continuent à voir leur fonction neurologique s'améliorer ; ceux qui sont traités dans les six heures suivant l'apparition de l'infarctus cérébral voient leurs résultats favorables augmenter ; et ceux qui sont traités plus de six heures après l'apparition de l'infarctus cérébral ont déjà perdu leur traitement optimal. Par conséquent, après la survenue d'un infarctus cérébral, la première et principale tâche consiste à arriver à l'hôpital dans les plus brefs délais et à débloquer les artères cérébrales obstruées dès que possible, afin de réduire le taux d'invalidité et le taux de mortalité liés à l'infarctus cérébral.
Il convient de prêter attention à la reconnaissance de l'aura de l'infarctus cérébral : en cas d'accident ischémique transitoire, c'est-à-dire d'apparition d'une faiblesse unilatérale des membres, d'une anomalie sensorielle, de troubles du champ visuel, d'un engourdissement du visage, d'un coin de la bouche tordu, d'une paralysie de la langue, ainsi que de vertiges, de troubles de l'équilibre, de diplopie, etc., mais d'une durée de quelques minutes, généralement d'une heure, ne dépassant pas 24 heures, et si les examens d'imagerie pertinents n'ont pas révélé de foyers d'infarctus cérébral, il s'agit d'une aura de l'infarctus cérébral et le risque d'évolution vers l'infarctus cérébral est élevé. Si aucune lésion d'infarctus cérébral n'est trouvée à l'examen d'imagerie, il s'agit d'une aura d'infarctus cérébral et le risque d'évolution vers un infarctus cérébral est élevé ; il convient donc d'améliorer les examens pertinents et d'administrer un traitement raisonnable pour réduire le risque d'infarctus cérébral. Après la survenue d'un infarctus cérébral, une thérapie thrombolytique ou interventionnelle doit être administrée dès que possible et dans les trois à six heures afin de débloquer les vaisseaux sanguins cérébraux et de réduire les lésions du tissu cérébral.
Merci à tous pour votre lecture !
Corrigez-moi si je me trompe ! N'hésitez pas à poser des questions et à les partager dans la section des commentaires !
Note : Le contenu de cet article est destiné à la science de la santé uniquement, et n'est pas destiné à servir de conseil ou d'opinion médicale, et n'est pas considéré comme une orientation médicale.
Dr Wong, j'ai un terrible mal de tête, pourrais-je avoir un infarctus cérébral ?
Le Dr Wang demande : Y a-t-il d'autres symptômes ? Par exemple, marchez-vous de travers ? Vous étouffez-vous avec de l'eau ? Faites-vous tomber des objets ?
Plus rien, juste un petit rhume.
晕๑_๑๑_๑!感冒也会头痛呀,你这是捣乱呢?
Un ami ne savait pas si je lui manquais et s'il m'appelait pour prendre des nouvelles ou s'il craignait vraiment d'avoir une attaque cérébrale.
En fait, de nombreux infarctus cérébraux n'ont aucun signe avant-coureur et se traduisent directement par des symptômes graves. Hier, nous avons discuté du fait que de nombreuses personnes ne se sentent pas bien avant une crise cardiaque et qu'elles ne consultent pas nécessairement le médecin parce qu'elles ne savent pas qu'elles sont en train de faire une crise cardiaque et qu'elles résistent encore. En revanche, la plupart des personnes souffrant d'un infarctus cérébral consulteront un médecin parce que leurs bras et leurs jambes ne bougent pas bien, qu'elles ne peuvent pas parler, qu'elles ne peuvent pas cracher des mots, qu'elles ne peuvent pas marcher régulièrement, et toutes ces conditions sont plus évidentes, contrairement aux crises cardiaques qui sont parfois cachées.
La plupart des personnes victimes d'une attaque cérébrale s'en apercevront d'elles-mêmes la première fois, consulteront un médecin et très peu tarderont à le faire, mais même si elles ne le font pas, il n'y a parfois rien à faire et elles resteront avec les séquelles de l'attaque.
Ainsi, pour la prévention précoce de l'infarctus cérébral, nous ne pouvons évaluer que les facteurs de risque élevés.
Par exemple, l'hyperlipidémie, l'hypertension, le diabète, le tabagisme, l'obésité, la sédentarité, une alimentation déséquilibrée, un mode de vie irrégulier, des antécédents familiaux, la vieillesse, etc. sont autant de facteurs de risque élevé, alors le risque est élevé !
Bien entendu, si nous devons parler de signaux, il s'agit alors des premiers symptômes, certains infarctus cérébraux pouvant présenter ce que l'on appelle une aura, que nous comprenons brièvement :.
1. bâillements fréquentsCertains patients présentent des bâillements fréquents 5 à 7 jours avant un infarctus cérébral, ainsi qu'une élévation de la tension artérielle. Ce n'est pas toujours le cas, car de nombreuses personnes ont simplement tendance à bâiller.
2. vertiges soudains, maux de tête, instabilité, engourdissement et faiblesse des membres, marche sur le côté, etc. incapacité à tenir les objets, chute facile, mais après un certain temps, le patient peut se rétablir seul. Cela nécessite une attention médicale immédiate, même s'il n'y a pas d'infarctus cérébral, mais aussi pour exclure une ischémie cérébrale transitoire.
3. une vision soudainement floue, ou des yeux soudainement noirs, mais qui se rétablissent après un certain temps ; ou une incapacité soudaine à parler, la sensation que la langue n'est pas sous leur propre contrôle, des crachats, etc., et même certaines personnes âgées verront apparaître une salivation aux coins de la bouche, la bouche et les yeux inclinés, etc. En fait, il s'agit déjà d'un infarctus cérébral, il faut se rendre rapidement chez le médecin.
Les points ci-dessus sont quelques-uns des signes avant-coureurs d'une attaque cérébrale. Si un de vos proches présente de tels symptômes, veillez à consulter un médecin à temps afin d'éviter tout accident.
L'infarctus cérébral ne doit jamais être sous-estimé, il est préjudiciable à autrui, vous pouvez être paralysé sur la moitié de votre corps, et les membres de votre famille souffrent avec vous. En fait, l'apparition de ces signaux indique que les vaisseaux sanguins sont sur le point de se boucher ou qu'ils ont été bouchés.
Pour prévenir l'infarctus cérébral ou le to : régime alimentaire sain, faible teneur en sel, faible teneur en matières grasses, faible teneur en sucre, arrêt du tabac et limitation de la consommation d'alcool, exercice physique, repos régulier, bonheur, détection précoce des trois hauts, traitement précoce !
Qu'il s'agisse d'un infarctus cérébral léger ou non, le caractère dit léger signifie seulement qu'il n'y a pas de symptômes évidents pour le moment, mais pas qu'il n'y a pas de danger, ni même qu'il n'y aura pas d'aggravation à l'avenir.!
Merci pour l'invitation ! Tout d'abord, la question posée par l'auteur comporte deux volets : l'un concerne l'infarctus cérébral bénin et l'autre les symptômes physiques, qui sont également connus sous le nom de signaux. Les symptômes physiques sont nombreux, mais quels sont les symptômes d'un infarctus cérébral bénin ? Vous pouvez voir ici que la question préoccupe beaucoup de gens, à partir de la collection de questions et de la lecture de la quantité de points de vue peut également connaître un ou deux, tout le monde est également préoccupé par la santé des gens, tous veulent freiner le développement de la maladie à l'état de bourgeon, pour être en bonne santé.
Examinons tout d'abord le terme "infarctus cérébral léger". En général, si l'on classe le degré de la maladie, on trouve les expressions "léger", "modéré" ou "grave", et avec l'infarctus cérébral, cela signifie que le degré de l'infarctus cérébral est relativement faible. L'infarctus cérébral est le nom abrégé de la maladie "infarctus cérébral" ou "infarctus cérébral", l'infarctus cérébral et l'infarctus cérébral sont des noms différents de la même maladie, seuls les grands et les petits noms sont différents. L'infarctus cérébral est l'infarctus des cellules cérébrales, la signification de la mort des cellules cérébrales, les cellules cérébrales sont l'unité de base du tissu cérébral, le tissu cérébral est divisé en cerveau, mésencéphale, cervelet, tronc cérébral.

Chaque tissu cérébral et chaque zone fonctionnelle sont différents, tout comme le rôle qu'ils jouent.

Par exemple, l'hémisphère gauche du cerveau régit les mouvements du côté droit du corps et l'hémisphère droit contrôle les mouvements du côté gauche du corps ; le lobe préfrontal du cerveau est responsable de la pensée, de la planification et est associé aux besoins et aux émotions de l'individu. Le lobe pariétal du cerveau - répond aux sensations de douleur, de toucher, de goût, de température, de pression ; cette zone est également associée aux mathématiques et à la logique. Lobe temporal du cerveau - Responsable du traitement des informations auditives, il est également associé à la mémoire et aux émotions. Lobe occipital du cerveau - Responsable du traitement des informations visuelles. Le système limbique du cerveau est impliqué dans la mémoire et dans les aspects comportementaux et émotionnels. Il est impliqué dans tous les aspects du corps humain tels que les sensations, les mouvements, les émotions et la mémoire.

Par exemple, la fonction du cervelet est étroitement liée à la fonction d'équilibre du corps. La fonction du tronc cérébral est principalement de maintenir la vie de l'individu, y compris le rythme cardiaque, la respiration, la digestion et d'autres fonctions physiologiques importantes.

Chaque partie du tissu cérébral a donc une fonction différente des cellules cérébrales. Si des cellules cérébrales meurent dans cette partie, la fonction de cette partie est diminuée ou perdue. Par diminution, on entend que la zone de mort cellulaire est plus petite, et par perte, on entend que la zone de mort cellulaire est plus grande.
Dans le cas d'un infarctus cérébral léger, le nombre de cellules cérébrales mortes est faible, de sorte que les symptômes de l'infarctus cérébral léger sont relativement légers, tels que l'engourdissement de la sensation des membres, la perte de l'odorat, la pensée fragmentée, les difficultés d'élocution, la langue raide, la bave, les fluctuations émotionnelles ...... sont tous présents, y compris le sens de l'équilibre du membre est instable, la marche d'un côté, la fonction de déglutition médiocre, comme l'étouffement en buvant de l'eau, sont également des manifestations de l'infarctus cérébral léger. Les symptômes de l'infarctus cérébral léger comprennent la perte d'équilibre, la marche d'un côté et une mauvaise déglutition, comme l'étouffement en buvant de l'eau.

Grâce à ce qui précède, nous sommes également au clair sur les performances de l'infarctus cérébral léger, si nécessaire, vous pouvez effectuer une IRM pour vérifier, à l'heure actuelle est également un examen plus avancé du système nerveux cérébral. Si l'examen est positif, il faut y prêter attention et se rendre à l'hôpital pour un traitement hospitalier ou ambulatoire et un suivi. Si le test n'est pas positif, nous ne devons pas être négligents, au moins ces signaux doivent attirer notre attention, la signification de ces signaux est de nous dire qu'il y a des éléments irrationnels dans nos habitudes, nous devons faire des changements pour arrêter la pente glissante du corps, afin d'éviter les symptômes du petit au grand, du léger au lourd, nous devons prêter attention à la condition physique, pour restaurer la santé.
Ces questions et réponses proviennent des utilisateurs du site, elles ne représentent pas la position du site, s'il y a une infraction, veuillez contacter l'administrateur pour la supprimer.