Ai-je besoin d'un traitement pour un hémangiome hépatique ?
Ai-je besoin d'un traitement pour un hémangiome hépatique ?
Le Dr Cui vous a dit que la nécessité de traiter ou non l'hémangiome hépatique dépendait de la localisation, de la taille et du taux de croissance de l'hémangiome du patient, ainsi que d'autres facteurs, et qu'il n'était pas possible de dire qu'un hémangiome plus grand nécessitait un traitement ou qu'un hémangiome plus petit n'en nécessitait pas. Je vous propose ci-dessous une introduction en quatre étapes aux hémangiomes hépatiques : 1. quels hémangiomes hépatiques nécessitent un traitement et quels sont les traitements disponibles ; 2. quels hémangiomes hépatiques ne nécessitent pas de traitement ; 3. comprendre quels sont les symptômes des hémangiomes hépatiques ; 4. comment effectuer le dépistage et le recontrôle des hémangiomes hépatiques. J'espère que ma réponse pourra vous aider.
Dans mon travail clinique, mes camarades de classe ou mes amis me demandent souvent ce qu'ils doivent faire s'ils ont un hémangiome hépatique, et la plupart d'entre eux sont découverts lors d'examens médicaux. Je lis les rapports et donne des stratégies de traitement appropriées aux conditions spécifiques.
Quels sont donc les hémangiomes hépatiques à traiter ?
Si l'hémangiome hépatique est de grande tailleLe diamètre a dépassé 10 cm et l'hémangiome hypertrophié exerce une pression sur le tissu hépatique environnant et sur d'autres organes de la cavité abdominale, ce qui entraîne divers symptômes de compression.Un traitement précoce est également recommandé pour les hémangiomes dont la taille augmente plus rapidement sur une courte période. C'est pourquoi des échographies du foie sont effectuées régulièrement pour surveiller l'évolution de l'hémangiome. Le traitement est également recommandé pour les hémangiomes qui se développent près du bord du foie. En effet, les hémangiomes situés près du bord du foie sont susceptibles de se rompre et de saigner à la suite de stimuli tels que les fluctuations de la tension artérielle et les traumatismes, ce qui peut avoir de graves conséquences.

- En outre.Si un hémangiome hépatique plus petit existait auparavant et que la vitesse de croissance de l'hémangiome est jugée trop rapide lors de l'examen, avec une croissance soudaine de 3 à 5 cm en l'espace de quelques mois, cette vitesse de croissance est anormale.L'hémangiome hépatique doit également être traité rapidement, car s'il continue à croître de la sorte, une rupture et une hémorragie de l'hémangiome hépatique risquent de se produire.
Quelles sont les options thérapeutiques pour les hémangiomes hépatiques ?
- Il existe également un certain nombre d'options thérapeutiques pour les hémangiomes hépatiques, l'une des méthodes les plus couramment utilisées étant la résection de l'hémangiome hépatique.Comme son nom l'indique, ce type d'intervention consiste à retirer la partie du foie contenant l'hémangiome, ce qui est également la méthode la plus efficace et la plus couramment utilisée pour traiter l'hémangiome hépatique. Je voudrais vous rappeler que l'hémangiome hépatique est une maladie bénigne et qu'il ne développera pas de changements malins, mais au cours du traitement, l'ablation partielle du foie est très susceptible d'entraîner une hémorragie du foie et d'autres complications graves, et dans les cas graves, le patient peut être tué sur place.

- À ce moment-là, le patient et sa famille sont confrontés à un choix sérieux : pratiquer une hépatectomie partielle pour traiter l'hémangiome hépatique. Pour reprendre les mots de mon directeur, cet hémangiome, si vous ne le coupez pas, vous risquez de ne rien avoir dans votre vie.Mais en cas d'intervention chirurgicale, il y a un risque de décès par hémorragie. Mais cet hémangiome hépatique doit être traité chirurgicalement et il y a un risque de rupture et d'hémorragie s'il n'est pas traité.
- Je me souviens que l'année dernière, deux patients présentant d'énormes hémangiomes sont arrivés en un mois, tous deux étaient multiples et le plus grand mesurait plus de 15 cm de diamètre, et tous deux souffraient de distension abdominale et d'anorexie, etc. Heureusement, l'opération a réussi et la récupération postopératoire a été bonne.

- Cette résection partielle du foie pour traiter les hémangiomes hépatiques reste une opération difficile et risquée.En effet, un hémangiome dans le foie comprime constamment le foie environnant et, comme l'hémangiome est rempli de sang, lorsqu'il se rompt, il peut saigner de façon incontrôlable. Par conséquent, si l'hémangiome est de grande taille et s'il s'agit d'un hémangiome unique se développant sur le bord latéral du foie, le foie peut être réséqué sur ce côté du foie.Cette procédure est relativement simple et comporte moins de risques et de complications.
- Et si l'hémangiome hépatique est de grande taille et occupe plus de la moitié du foie, il faut alors décider de réaliser ou non un traitement chirurgical selon la fonction du bon foie.L'opération doit être réalisée avec prudence si le foie restant fonctionne mal ou n'est pas en mesure de résister aux effets métaboliques de l'organisme. Comme certains patients qui subissent une hépatectomie ont une fonction hépatique insuffisante et présentent des signes d'insuffisance hépatique, il est important de procéder à une évaluation adéquate avant l'opération.

- En outre.Il existe également une procédure plus précise et plus simple pour traiter les hémangiomes du foie, qui consiste à ligaturer ou à emboliser les artères qui irriguent le foie.Cette procédure n'enlève pas le foie, elle est donc moins traumatisante pour le patient et peut être réalisée sous anesthésie locale. Toutefois, ce type de chirurgie est généralement réservé aux patients présentant des hémangiomes hépatiques multiples. Bloquer une partie des vaisseaux sanguins du foie équivaut à couper le cours supérieur d'une rivière, le réservoir situé en dessous n'aura plus d'écoulement d'eau et se réduira, ce qui est le principe de cette approche chirurgicale.

- Bien entendu, après avoir bloqué les vaisseaux sanguins alimentant l'hémangiome hépatique, lesBien que les hémangiomes hépatiques puissent sembler rétrécir et devenir plus petits, il existe toujours un risque de complications associées à cette pathologie car les vaisseaux sanguins sont toujours présents.Par conséquent, après l'occlusion des vaisseaux sanguins du foie, la radiothérapie peut être utilisée pour durcir davantage l'hémangiome, ce qui a pour double effet de réduire le risque de récidive et d'hémorragie de l'hémangiome.
- Les hémangiomes hépatiques sont définitivement une mauvaise nouvelle pour les femmes enceintes.Si l'hémangiome n'est pas retiré à temps, une rupture et une hémorragie de l'hémangiome risquent de se produire pendant la grossesse, en particulier chez les femmes enceintes atteintes d'hémangiomes de grande taille ; il est donc recommandé de retirer l'hémangiome à un stade précoce. En outre, si l'hémangiome a déjà atteint un stade avancé de la grossesse, le plus grand danger est la rupture et l'hémorragie pendant l'accouchement, et un traitement chirurgical sera alors nécessaire en fonction de la situation.

Quels sont les hémangiomes qui ne nécessitent pas de traitement ?
Premièrement.La chirurgie n'est pas nécessaire pour les hémangiomes relativement petits, tels que ceux de moins de 10 cm, et certainement pas dans les autres cas.En outre, lorsque l'hémangiome se développe à l'intérieur du foie plutôt qu'à proximité du bord du foie, si le patient ne présente pas de gêne évidente, il est possible de procéder d'abord à une observation clinique et à un traitement, et en effectuant un examen échographique du foie tous les six mois ou une fois par an, il est possible de procéder à une observation continue et dynamique des changements de l'hémangiome. Cet examen permet de déterminer s'il existe une manifestation anormale de l'hémangiome et d'orienter l'étape suivante du traitement.

Quels sont les symptômes d'un hémangiome hépatique ?
En fait.La grande majorité des personnes atteintes d'hémangiomes hépatiques ne présentent pas de signes cliniques et nombre d'entre elles ne connaissent pas de changements significatifs dans leur vie après la découverte d'un hémangiome hépatique.La grande majorité des patients atteints d'hémangiomes hépatiques sont découverts lors de contrôles médicaux ou d'examens pour d'autres maladies. Ne vous inquiétez donc pas trop, les hémangiomes hépatiques sont de petit diamètre et des examens réguliers sont suffisants.
- Mais...Certaines manifestations cliniques peuvent survenir lorsque l'hémangiome est de grande taille ou qu'il se développe au bord du foie.La première manifestation, la plus courante, est la palpation d'un gonflement de l'abdomen, différent d'un gonflement abdominal ordinaire, avec une sensation de douceur, comme si l'on touchait un ballon de baudruche. En outre, ce qui est plus intéressant, c'est qu'en tenant un stéthoscope ou en approchant l'oreille de l'abdomen, on peut même entendre le bruit de la circulation sanguine à l'intérieur de l'abdomen.

- Le foie étant impliqué dans les fonctions digestives de l'organisme, si l'hémangiome hépatique grossit et affecte davantage le fonctionnement du foie, il peut également provoquer des manifestations anormales dans le tube digestif de l'organisme.Tout d'abord, le premier symptôme de la plupart des patients atteints d'hémangiome hépatique est une distension et une douleur abdominales, mais cette sensation n'est généralement pas très forte. Les symptômes digestifs sont plus évidents, tels que la perte d'appétit, le refus de manger ou même une sensation de satiété après avoir mangé très peu, et certains patients ont également des nausées, des vomissements et d'autres manifestations.
- Si l'hémangiome hépatique s'agrandit encore, il peut exercer une pression sur l'œsophage, ce qui entraînera des difficultés de déglutition après les repas, et si l'hémangiome hépatique exerce une pression sur les voies biliaires environnantes, il entraînera une mauvaise circulation de la bile et l'apparition d'une stagnation.L'hémangiome hépatique hypertrophié comprime la veine porte du foie, ce qui s'apparente à une cirrhose du foie et entraîne l'apparition d'ascites, etc. Par conséquent, lorsque l'hémangiome hépatique présente un symptôme, le patient doit subir un traitement chirurgical le plus tôt possible.

- Enfin.Le plus grave est la rupture de l'hémangiome et l'hémorragie. Dans ce cas, une douleur intense peut apparaître dans l'abdomen.La perte de sang entraîne rapidement une faiblesse et une pâleur de la peau, ce qui est extrêmement dangereux et, si la maladie n'est pas détectée à temps, elle entraînera probablement la mort du patient.
En outre, comment dépister et examiner les hémangiomes hépatiques ?
La première chose que je recommanderais est une échographie du foie, qui permet de détecter la grande majorité des hémangiomes hépatiques, même s'ils sont de petit diamètre.En outre, l'échographie hépatique est encore plus précise dans le diagnostic des hémangiomes. L'échographie hépatique est moins coûteuse et plus rentable, elle peut répondre aux exigences de l'examen physique de la plupart des gens ainsi qu'à celles de l'examen, et il vaut la peine pour tout le monde de l'utiliser.

- La tomodensitométrie du foie peut montrer plus clairement le nombre et la taille des hémangiomes hépatiques, avec des résultats supérieurs à ceux de l'échographie du foie.Pour les patients chez qui un hémangiome hépatique a été détecté après une échographie du foie, un examen tomodensitométrique complémentaire du foie peut être effectué pour préciser le nombre, la taille et la localisation des hémangiomes, etc.
résumés
L'hémangiome hépatique est une tumeur bénigne très courante du foie, qui présente rarement des symptômes pertinents et qui est donc principalement détectée lors d'un examen physique. Toutefois, en cas d'hémangiome hépatique, nous devons décider d'un traitement chirurgical sur la base d'une évaluation complète de la taille et de la localisation de l'hémangiome, et la plupart des patients atteints d'hémangiome hépatique n'ont pas besoin de traitement. En outre, l'hépatectomie partielle est le traitement de base des hémangiomes hépatiques, mais les risques chirurgicaux sont élevés, ce qui en fait un choix difficile pour les patients. Bien entendu, l'embolisation des artères hépatiques est également une option, mais le traitement n'est pas aussi efficace que la résection hépatique.L'hémangiome hépatique peut présenter des symptômes tels qu'une distension et une douleur abdominales, ainsi qu'une altération de la fonction digestive, et il est recommandé de rechercher un traitement médical précoce en cas d'apparition de ces symptômes. En outre, il est conseillé aux patients qui ne nécessitent pas de traitement pour l'hémangiome hépatique d'examiner régulièrement l'état de la tumeur et de rechercher un traitement précoce si la tumeur se développe trop rapidement.
L'hémangiome hépatique est la tumeur bénigne la plus fréquente du foie. Les hémangiomes hépatiques sont le plus souvent des tumeurs uniques, et environ 10 % peuvent être multiples, avec une incidence à peu près égale dans les foies gauche et droit. La cause de la formation des hémangiomes est inconnue, et on pense qu'elle est due au développement anormal des structures vasculaires intrahépatiques, et qu'elle est également liée au niveau d'œstrogènes.
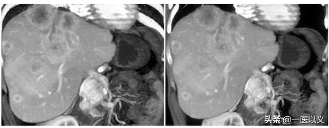
L'image ci-dessus est une image tomodensitométrique d'un hémangiome hépatique avec une ombre de faible densité dans le lobe droit avec des bords clairs et un rehaussement progressif du bord vers le centre après le rehaussement.
Quelles sont les manifestations cliniques de l'hémangiome hépatique ? Quels sont les tests permettant de le détecter ?
L'hémangiome hépatique se développe lentement et l'évolution de la maladie peut durer plus de quelques années. La tumeur est généralement ronde lorsqu'elle est petite, mais lorsqu'elle est grande, elle peut être de forme ovale ou irrégulière et peut faire saillie vers la surface du foie.Les hémangiomes hépatiques ne présentent aucun symptôme clinique lorsqu'ils sont petits. Lorsqu'ils augmentent de taille, ils se manifestent principalement par un gros foie ou une pression sur l'estomac, le duodénum et d'autres organes voisins.L'infection par le virus de l'immunodéficience humaine (VIH) est une maladie qui se manifeste par des symptômes tels qu'une gêne dans la partie supérieure de l'abdomen, des ballonnements, des éructations et des douleurs abdominales.
Examen physique : les hémangiomes hépatiques de grande taille peuvent se présenter sous la forme d'une masse abdominale attachée au foie, qui est lisse, molle, kystique et plus ou moins comprimée, et qui peut parfois être lobulée.
Selon la présentation clinique, l'échographie, le CT, l'IRM ou l'artériographie hépatique peuvent être détectés. L'échographie doit être observée pour son flux sanguin, qui tend à devenir légèrement hypoéchogène. Le CT et l'IRM doivent être renforcés pour observer le degré et le mode de renforcement.
Un hémangiome hépatique doit-il être traité ?
Les petits hémangiomes asymptomatiques ne nécessitent pas de traitement, et des examens échographiques peuvent être effectués tous les 3 à 6 mois pour observer de manière dynamique les modifications de l'hémangiome.
D'une manière générale, si la tumeur est supérieure à 10 cm de diamètre, ou à 5-10 cm de diamètre mais située au bord du foie, avec un risque de rupture traumatique, ou avec des symptômes évidents, elle peut être traitée par une chirurgie du foie et de la vésicule biliaire en fonction de l'étendue de la lésion, et bien sûr, elle peut également être traitée par une thérapie interventionnelle ou une thérapie d'ablation en fonction de la situation individuelle.
En conclusion, les hémangiomes hépatiques sont des lésions bénignes et il ne faut pas en faire un fardeau psychologique lorsqu'ils sont détectés à l'examen.Les petits hémangiomes peuvent être examinés régulièrement et ne doivent être traités que s'ils sont particulièrement gros ou cliniquement symptomatiques.
L'hémangiome hépatique est une tumeur bénigne fréquente du foie, également connue sous le nom d'hémangiome caverneux hépatique, dont la cause n'est pas encore claire et qui peut être due à une anomalie congénitale du développement, à une irritation vasculaire, à une infection vasculaire et à une déformation. La croissance de l'hémangiome hépatique étant étroitement liée aux hormones sexuelles, il est plus fréquent chez les femmes, et les statistiques pertinentes montrent que le taux d'incidence entre les hommes et les femmes est de 1:6. Il peut être multiple ou unique, le multiple étant le plus fréquent.

Petits hémangiomes hépatiques (<5 cm) : ils peuvent ne présenter aucun symptôme et sont souvent découverts involontairement par échographie ou tomodensitométrie lors d'un examen physique. Grand hémangiome hépatique (>5 cm) : parce qu'il fait saillie à la surface du foie ou qu'il exerce une pression sur les organes adjacents, il peut y avoir une distension et une gêne dans la partie supérieure de l'abdomen. Hémangiomes de taille exceptionnelle (>10 cm) : une masse peut être palpable dans la région du foie, associée à des symptômes de compression du foie, tels qu'une distension abdominale et une anomalie de la fonction hépatique. Les hémangiomes de taille excessive peuvent se rompre et saigner en cas de traumatisme ou de compression.

Dois-je traiter mon hémangiome hépatique ?
Pour les diamètres inférieurs à 5 cm, aucun traitement n'est nécessaire en l'absence de symptômes. L'échographie abdominale doit être revue tous les 3 à 6 mois afin d'observer de manière dynamique les modifications de l'hémangiome. Pour les hémangiomes hépatiques de plus de 10 cm de diamètre, un traitement chirurgical est envisagé indépendamment de la présence ou de l'absence de symptômes. Cependant, l'âge du patient, son état général et la vitesse de croissance de l'hémangiome lui-même doivent également être pris en compte. Si le patient est d'un âge avancé, qu'il souffre d'autres maladies systémiques sous-jacentes et que la croissance de l'hémangiome est très lente, il n'est pas urgent de procéder à un traitement chirurgical, car l'hémangiome lui-même peut ne pas causer de grands dommages à cette partie du patient, mais le risque chirurgical est plus élevé ; si le patient est relativement jeune, que l'hémangiome croît rapidement ou que la masse est proche d'une canalisation importante, et si l'on laisse l'hémangiome croître, ce qui aura des effets négatifs évidents sur la future résection chirurgicale, la résection chirurgicale peut alors être envisagée. envisager une résection chirurgicale. Pour les hémangiomes de 5 à 10 cm, s'il existe des symptômes de distension abdominale, ou si l'hémangiome est mal situé, comme les hémangiomes hépatiques situés au bord du foie qui sont susceptibles de se rompre et de saigner en cas de traumatisme, ou si le fardeau psychologique est trop lourd, il serait préférable de subir également un traitement chirurgical. Les femmes en âge de procréer qui envisagent une grossesse peuvent également subir un traitement chirurgical des hémangiomes de 5 à 10 cm avant la grossesse, afin d'éviter que le fœtus surdimensionné n'écrase l'hémangiome hépatique au cours du deuxième trimestre.

L'hémangiome hépatique est une maladie bénigne qui n'est pas cancéreuse et qui peut être guérie. Les méthodes de traitement comprennent : 1. la résection chirurgicale, qui consiste à enlever directement la tumeur ; 2. la ligature de l'artère hépatique, qui consiste à ligaturer les vaisseaux artériels alimentant la tumeur en sang afin de priver l'hémangiome d'apport sanguin ; 3. l'embolisation interventionnelle de l'artère hépatique, qui affame la tumeur en bloquant les vaisseaux artériels alimentant la tumeur en sang ; et 4. l'ablation par radiofréquence, qui utilise une température élevée pour brûler la tumeur jusqu'à sa mort. Parmi ces méthodes, le traitement chirurgical a un effet plus complet et est généralement préféré comme premier choix, et de nos jours, la plupart d'entre eux utilisent la tumorectomie, qui est moins traumatisante.

Un hémangiome hépatique est une masse qui se forme lorsque des vaisseaux sanguins dilatés à la surface du foie deviennent tortueux et forment une masse. Ce type de "tumeurs"Il est généralement bénin et ne provoque pas de symptômes. En fait, de nombreuses personnes ne savent même pas qu'elles ont un hémangiome hépatique. Souvent, les gens découvrent les hémangiomes hépatiques par hasard, lors d'un examen physique ou d'un bilan de santé pour une autre pathologie. Et même lorsqu'un diagnostic d'hémangiome hépatique a été posé, la plupart des patients n'ont pas besoin de traitement.
La cause des hémangiomes hépatiques n'est pas connue, et on dit généralement qu'ils sont plus fréquents chez les femmes que chez les hommes. Il existe une certaine composante génétique. L'utilisation de certains médicaments tels que les stéroïdes, les œstrogènes et la grossesse peuvent favoriser la croissance d'un hémangiome hépatique existant.
Comme indiqué précédemment, les hémangiomes hépatiques sont fondamentalement bénins et ne provoquent pas de symptômes, de sorte que, d'une manière générale, la plupart des hémangiomes hépatiques ne nécessitent pas de traitement. Cependant, lorsque la tumeur de l'hémangiome hépatique est relativement grande, elle peut provoquer une rupture et des saignements, voire un risque d'hémorragie, et quelques patients doivent donc être traités. Les patients qui ont besoin d'un traitement sont : ceux qui ont des tumeurs de plus de 5 cm ; ceux qui ont de grosses tumeurs situées au bord du foie et qui sont susceptibles de se rompre ; ceux qui ont des tumeurs qui ne sont pas grosses mais qui provoquent des douleurs dans la région du foie ou une pression sur le tube digestif et les voies biliaires en raison de leur localisation ; ou ceux qui ne sont pas tout à fait sûrs qu'il s'agit d'hémangiomes hépatiques, mais qui soupçonnent qu'il peut s'agir d'autres tumeurs.
Le traitement de l'hémangiome hépatique comprend la chirurgie et d'autres traitements peu invasifs. La chirurgie est le traitement traditionnel, mais bien sûr, avec les progrès technologiques actuels, l'hémangiome peut être enlevé par laparoscopie, ce qui est moins invasif. L'embolisation interventionnelle et l'ablation par radiofréquence sont d'autres modalités de traitement peu invasives. Certains rapports font également état d'hémangiomes hépatiques pouvant être traités par radiothérapie.
Par conséquent, la découverte d'un hémangiome hépatique lors de l'examen physique ne doit pas susciter trop d'inquiétude et, en général, si la tumeur n'est pas importante, il suffit de procéder à un examen régulier.
Un hémangiome hépatique désigne généralement un hémangiome caverneux dans le foie et constitue la tumeur bénigne la plus fréquente dans le foie. Aucun traitement n'est généralement nécessaire, et un très faible pourcentage nécessite un traitement.
On pense généralement que les hémangiomes caverneux proviennent d'un développement vasculaire congénital anormal dans le foie, aboutissant à une prolifération de type tumoral. Il s'agit en fait d'une masse irrégulière de vaisseaux sanguins anormalement proliférants. La tumeur est molle, avec de nombreux petits trous sur la surface de coupe, comme un nid d'abeille, remplie de sang, compressible et semblable à une éponge, c'est pourquoi on l'appelle hémangiome caverneux.

L'hémangiome caverneux se développe lentement et peut durer des dizaines d'années, certains peuvent ne pas croître pendant longtemps et d'autres peuvent cesser de croître après un certain temps. L'incidence plus élevée chez les femmes peut être liée aux niveaux élevés d'œstrogènes et de progestérone dans l'organisme, en particulier chez les femmes âgées de 30 à 50 ans.
La grande majorité des hémangiomes caverneux ne présentent aucun symptôme. Dans de rares cas, des symptômes apparaissent lorsque la tumeur elle-même est relativement importante ou augmente soudainement de taille et comprime directement ou indirectement les tissus et organes environnants, tels qu'une gêne dans la région du foie, une douleur dans la partie supérieure droite de l'abdomen, un manque d'appétit, des nausées, etc.
Certains hémangiomes caverneux présentent un risque de rupture et d'hémorragie, surtout s'ils se développent à proximité du bord du foie, en particulier chez les enfants et les femmes enceintes. Les premiers sont plus actifs mais ont un mauvais sens de l'autoprotection, tandis que les secondes ont un risque accru de rupture et d'hémorragie en raison de l'augmentation de la pression intra-abdominale liée à la grossesse. Le Dr C. Hao a vu de nombreux hémangiomes caverneux de différentes tailles au cours des dix dernières années, mais n'a pas vu un seul cas de rupture et d'hémorragie, et très peu de cas ont été rapportés dans la littérature.
La plupart des hémangiomes caverneux sont découverts fortuitement par échographie lors d'un examen physique. Les lésions typiques présentent des images plus caractéristiques à l'échographie, au scanner et à l'IRM, et le diagnostic qualitatif n'est pas difficile. L'échographie et la tomodensitométrie permettent d'obtenir un rehaussement précoce et tardif, tandis que l'imagerie par résonance magnétique (IRM) T2 montre un "signe d'ampoule" (ci-dessous).

La nécessité de traiter les hémangiomes caverneux dépend principalement de l'existence de symptômes cliniques évidents, de la localisation et de la taille de la tumeur, ainsi que de son taux de croissance.Si la tumeur est inférieure à 5 cm et asymptomatique, aucun traitement n'est nécessaire et un suivi est suffisant. Le suivi est également une option pour les tumeurs de 5 à 10 cm et asymptomatiques. Les patients présentant des symptômes importants, une croissance tumorale rapide (1 à 2 cm par an) et des tumeurs de plus de 10 cm peuvent envisager un traitement plus poussé.
Il existe deux méthodes principales de traitement. La plus courante et la plus efficace est la résection chirurgicale, qui permet d'atteindre l'objectif d'éradication, mais qui présente l'inconvénient d'un traumatisme plus important. L'autre est la thérapie interventionnelle, qui peut être réalisée en injectant des médicaments par voie transvasculaire ou percutanée pour faire durcir et nécroser la tumeur, avec l'inconvénient d'une possible récidive et le risque de complications graves.
Ne vous inquiétez pas si vous trouvez un hémangiome caverneux du foie, c'est une lésion bénigne très fréquente, l'évolution est très lente, la grande majorité du traitement n'est pas nécessaire, si vous avez besoin d'un traitement, vous devez saisir strictement les indications de la chirurgie, le pronostic général est très bon.
Je suis @ShadowMedicineCho et vous pouvez me suivre pour en savoir plus sur la médecine apparentée.
Je suis le Dr Little Shadow. Ai-je besoin d'un traitement pour un hémangiome hépatique ? De très nombreux amis m'ont posé cette question. Les hémangiomes du foie sont très fréquents et sont des tumeurs bénignes du foie. La plupart d'entre eux sont détectés par un examen physique et ne nécessitent aucun traitement. La nécessité de traiter un hémangiome hépatique dépend des symptômes cliniques et de la taille de l'hémangiome.
Qu'est-ce qu'un hémangiome hépatique ?
Un hémangiome hépatique n'est pas la même chose qu'un kyste du foie. Un kyste hépatique est un sac d'eau, tandis qu'un hémangiome, comme son nom l'indique, est une mare de sang, remplie de sang et non d'eau. L'hémangiome hépatique présente des caractéristiques typiques sur le rehaussement du scanner, 95% des lésions peuvent être diagnostiquées par le rehaussement du scanner ou de la résonance magnétique, l'hémangiome doit être rehaussé pour confirmer le diagnostic.
Il n'existe aucun moyen de diagnostiquer les hémangiomes hépatiques à l'aide d'un simple scanner, car les hémangiomes hépatiques et les carcinomes hépatocellulaires ont la même morphologie sur le scanner, et ce n'est qu'avec le renforcement que la différence entre les deux peut être mise en évidence.
Ci-dessous, le plus grand hémangiome hépatique que j'ai jamais vu, 16 cm de large, une femme de 54 ans, consultée pour des douleurs épigastriques.
Ai-je besoin d'un traitement pour un hémangiome hépatique ?
L'hémangiome hépatique est une tumeur bénigne très fréquente du foie. Les petits hémangiomes sont asymptomatiques et peuvent ne pas être traités, car de nombreuses personnes les découvrent lors d'un examen physique accidentel. En fait, la plupart des hémangiomes hépatiques découverts cliniquement n'ont pas besoin d'être traités, et un examen régulier peut être effectué, une fois tous les six mois à un an avec un examen échographique. Au cours de l'examen, l'hémangiome peut grossir, mais ce n'est pas un signe de transformation maligne, il n'y a donc pas lieu de s'inquiéter outre mesure.
La complication la plus grave de l'hémangiome hépatique est la rupture et l'hémorragie. La complication la plus grave des hémangiomes de grande taille qui ne sont pas traités est la rupture de l'hémangiome, qui est comme une mare de sang dans le foie, facile à faire éclater, et dont la vie est menacée à tout moment s'il n'est pas secouru à temps.
Les hémangiomes de grande taille sont ceux qui mesurent plus de 5 cm et dont les symptômes présentent une compression importante, comme une douleur dans la région du foie, une fonction hépatique anormale et des hémangiomes situés au bord du foie. Les patientes comme celle ci-dessus, qui présentent des symptômes et mesurent 16 cm, doivent être traitées activement.
Malgré la présence de nombreux hémangiomes dans le foie, aucun d'entre eux ne doit s'inquiéter outre mesure ou subir un traitement excessif, se détendre, arrêter de fumer et limiter sa consommation d'alcool, se coucher et se lever tôt, et adopter de bonnes habitudes de vie.
Je le suis.Dr. ShadowSuivez-moi si vous voulez en savoir plus sur la médecine.
L'hémangiome hépatique est une tumeur bénigne survenant dans les vaisseaux sanguins du foie et c'est le type le plus commun de tumeur bénigne du foie. Certaines études ont rapporté une prévalence de la maladie d'environ 0,4 à 20 % dans la population. La maladie est fréquente chez les femmes d'âge moyen et est le plus souvent solitaire. Il s'agit d'une tumeur bénigne qui se développe lentement, parfois pendant plusieurs années, sans changement de taille significatif. En général, la tumeur est de petite taille et ne provoque pas de gêne évidente, mais si elle augmente de taille, elle peut comprimer les tissus et organes voisins et provoquer des symptômes.

Que peut-on faire en cas d'hémangiome hépatique ?
Les hémangiomes hépatiques sont principalement détectés par échographie abdominale, scanner abdominal supérieur, IRM et angiographie artérielle hépatique car ils n'ont pas de manifestations cliniques spécifiques.Les traitements actuels de la maladie sont les suivantsEn règle générale, pour les petites tumeurs (diamètre maximal de la tumeur < 5 cm), les hémangiomes sans symptômes de compression évidents et non mélangés à d'autres tumeurs malignes du foie peuvent être laissés sans traitement pour le moment, et peuvent être réexaminés à des intervalles de 3 à 6 mois pour observer les changements de taille, et si l'on constate qu'ils croissent plus rapidement, ils doivent alors faire l'objet d'un traitement actif. (b) Pour les tumeurs d'un diamètre maximal de plus de 10 cm, les tumeurs d'un diamètre maximal de 5 à 10 cm mais situées au bord du foie, les tumeurs d'un diamètre maximal de 3 à 5 cm accompagnées de symptômes évidents et les tumeurs présentant un risque de rupture, une intervention active est nécessaire. Actuellement, les interventions comprennent l'hépatectomie partielle ouverte ou peu invasive, l'ablation par radiofréquence et l'embolisation interventionnelle.

Par conséquent, la prise en charge des hémangiomes hépatiques dépend généralement de la taille et de la localisation de la tumeur, ainsi que de la décision d'intervenir pour un traitement après avoir évalué son risque. Pour les options de traitement spécifiques, il est recommandé de consulter le service de chirurgie générale ou hépatobiliaire-pancréatique ou le service d'intervention d'un hôpital de soins tertiaires.
Quelles sont les causes de l'hémangiome hépatique ?
La cause de l'hémangiome hépatique n'est pas encore claire et peut être liée aux facteurs suivants : (1) anomalies congénitales dans le développement des vaisseaux sanguins du foie ; (2) la raison de la prévalence des femmes peut être liée au niveau élevé d'œstrogènes dans le corps ; (3) infections locales dans le foie, hémorragie, entraînant la prolifération anormale des vaisseaux sanguins.
J'espère que ma réponse vous aidera ! Donnez-moi un "like" si vous l'aimez !

Ai-je besoin d'un traitement pour un hémangiome hépatique ?
On pense généralement que les hémangiomes hépatiques sont des malformations vasculaires congénitales causées par un développement vasculaire anormal au cours de la période embryonnaire, sans tendance à la malignité, et dont le mécanisme n'est toujours pas clair.
D'un point de vue histologique, on peut les classer en hémangiomes caverneux, hémangiomes capillaires, hémangiomes sclérosants et tumeurs des cellules endothéliales vasculaires, dont les hémangiomes caverneux sont les plus fréquents.
L'hémangiome hépatique est la tumeur solide bénigne du foie la plus fréquente chez l'enfant, avec un âge moyen d'apparition de 47 jours, et environ 80 % des hémangiomes hépatiques sont diagnostiqués dans les trois mois suivant la naissance. Il est souvent détecté par un examen physique ou d'autres méthodes d'imagerie abdominale, et se présente sous la forme d'une masse abdominale accompagnée de symptômes tels que distension abdominale, douleurs abdominales, fièvre, jaunisse et amaigrissement, etc. Si la tumeur est importante, elle peut se manifester par une hypertrophie du foie et une énorme masse abdominale, et des symptômes respiratoires et gastro-intestinaux peuvent être présents ; elle peut également coexister avec une fistule artério-veineuse intra-anévrismale, entraînant une insuffisance cardiaque à haut volume, ou une diminution des facteurs de coagulation due à l'agrégation des plaquettes dans le corps de la tumeur.

Le terme général d'hémangiome hépatique fait référence à l'hémangiome caverneux. Le diagnostic clinique de l'hémangiome hépatique repose principalement sur les manifestations cliniques et les examens d'imagerie.Les symptômes cliniques de l'hémangiome hépatique néonatal sont différents, un plan de traitement individualisé doit être choisi en fonction de l'état du patient, et le moment et les indications de la chirurgie doivent être raisonnablement choisis. Le moment de la chirurgie en période néonatale doit d'abord prendre en considération la nature de la maladie elle-même et son degré de nocivité pour l'organisme, et la sécurité des enfants doit être le principe premier et primordial, l'hémangiome hépatique se développe lentement et n'entraîne pas de conséquences mortelles en général.
Les tumeurs hépatiques ont montré une fraction de perfusion de l'artère hépatique plus faible après un diagnostic différentiel par scanner, et la perméabilité de la surface capillaire du parenchyme entourant la lésion du côté tumoral du foie était plus élevée par rapport aux patients atteints d'hémangiomes hépatiques, probablement en raison de la présence de microvaisseaux imparfaits et anormaux autour de la lésion du patient.
L'ablation chirurgicale d'un hémangiome hépatique consiste à retirer l'hémangiome lui-même, sans aucun tissu hépatique normal. La résection des hémangiomes hépatiques exige rapidité et délicatesse. Les hémangiomes hépatiques sont richement irrigués, et la façon de minimiser les saignements pendant l'opération est l'un des facteurs clés de la réussite de la procédure. Après le blocage de la porte hépatique et le massage et la compression délicats de l'hémangiome pour réduire la taille de la tumeur, la frontière entre l'hémangiome et le tissu hépatique normal est claire et les saignements peropératoires sont moins importants s'ils sont correctement séparés le long de la frontière.
Je suis le pharmacien Wang, qui s'efforce de diffuser des connaissances sur les maladies avec des mots simples et faciles à comprendre, et qui apporte sa petite contribution à une Chine en bonne santé. Si vous pensez que ma réponse vous est utile, n'hésitez pas à laisser un "j'aime" ! Si vous avez d'autres questions, n'hésitez pas à laisser un message, nous en discuterons ensemble !
L'hémangiome hépatique est une sorte de tumeur bénigne courante du foie, dont la plupart se développent lentement, n'ont pas tendance à se transformer en tumeurs malignes et se rompent rarement de manière spontanée. Cliniquement, l'hémangiome caverneux est le plus fréquent, et la plupart des patients sont asymptomatiques ou présentent des symptômes légers, qui sont le plus souvent découverts accidentellement lors d'un examen physique en vue d'une échographie ou d'une intervention chirurgicale abdominale.
Ai-je besoin d'un traitement pour un hémangiome hépatique ?
La nécessité de traiter un hémangiome hépatique dépend de la taille de l'hémangiome, de la localisation de la tumeur, de l'existence de symptômes de pression et du risque de malignité.

En règle générale, l'hémangiome hépatique a une longue évolution et le risque de cancer est très faible. Si la tumeur n'est pas importante (diamètre inférieur à 5 cm) et qu'il n'y a pas de symptômes cliniques évidents, le traitement n'est généralement pas nécessaire et un suivi régulier est suffisant.
Un traitement précoce est nécessaire si l'hémangiome hépatique est
1) Les hémangiomes hépatiques ont une taille supérieure à 5 cm ;
2、Hémangiome hépatique pouvant être malin et ne pouvant être distingué du cancer du foie, etc. ou hémangiome hépatique associé à un cancer du foie ;
3. les hémangiomes hépatiques à croissance trop rapide ;
4, L'hémangiome hépatique se développe dans le porta hepatis ;
5、L'hémangiome tubulaire présente des symptômes de compression évidents, tels que des symptômes gastro-intestinaux (gêne dans la partie supérieure droite de l'abdomen, perte d'appétit, nausées, vomissements, éructations, dyspepsie, etc.), et d'énormes hémangiomes présentent une extrusion et une compression sur l'estomac, le duodénum et d'autres organes voisins ;
6) Un hémangiome hépatique rompu et saignant nécessite un traitement urgent et doit être opéré le plus tôt possible.
Il existe un certain nombre d'options thérapeutiques pour les hémangiomes hépatiques, notamment la chirurgie, la thérapie interventionnelle, la sclérothérapie et l'hémangiectomie laparoscopique.
À l'heure actuelle, il n'existe pas de médicament particulièrement efficace contre l'hémangiome hépatique, et la clinique se concentre principalement sur la chirurgie. Si les patients sont d'un âge avancé et présentent des contre-indications à la chirurgie en raison de complications systémiques, ils peuvent être traités par des méthodes interventionnelles.
1、Tout d'abord, il est clair que l'hémangiome n'est pas une tumeur et ne deviendra jamais cancéreux. Un hémangiome est un renflement de la paroi d'un vaisseau sanguin.

2、L'hémangiome hépatique n'est pas cancéreux, cela ne signifie pas qu'il n'y a pas de risque, quant à la nécessité d'un traitement, il faut examiner l'importance du risque
Lorsqu'un hémangiome est détecté, le médecin procède à une évaluation en fonction de la localisation et de la taille, puis donne des conseils :
La situation habituelle consiste à conseiller des contrôles réguliers, tout d'abord pour observer la vitesse de croissance de l'hémangiome par la suite ; si, après le suivi, la taille de l'hémangiome reste la même, il n'y a pas de traitement ; si, après le suivi, l'hémangiome croît très rapidement, un traitement est recommandé pour éviter qu'il ne se rompe.
Il n'est donc pas possible de dire si l'affection nécessite un traitement ou non. Il s'agit de suivre l'évolution de l'hémangiome et de formuler une recommandation sur la nécessité de le traiter ou non.
Ces questions et réponses proviennent des utilisateurs du site, elles ne représentent pas la position du site, s'il y a une infraction, veuillez contacter l'administrateur pour la supprimer.