La mauvaise haleine sévère, comment s'en débarrasser ?
La mauvaise haleine sévère, comment s'en débarrasser ?
Sur le plan clinique, nous classons l'halitose en trois types, à savoir l'halitose vraie, la pseudo-halitose et la phobie de l'halitose. Le diagnostic de l'halitose repose principalement sur la conscience subjective qu'a le patient de ses symptômes, combinée à l'identification olfactive de l'haleine des personnes qui l'entourent ou du médecin traitant. La principale référence clinique est la méthode de notation 0-5 : 0 pour asymptomatique, 1 pour halitose suspectée, 2 pour halitose légère ......5 pour les patients présentant une forte mauvaise odeur, et le médecin ne peut la tolérer. 2 points ou plus peuvent être diagnostiqués comme halitose.

L'halitose est due à divers facteurs et peut être classée en deux catégories, orofaciale et non orofaciale, en fonction de la localisation de la maladie. Le sujet indique qu'il existe des aphtes, qui sont l'une des causes de la mauvaise haleine, et qu'il existe de nombreuses causes d'aphtes, telles que l'alimentation, l'environnement, l'immunité génétique, les blessures, les antécédents de médication, les carences en vitamines et en micronutriments, et bien d'autres facteurs. Outre les aphtes récurrents, il convient d'exclure la possibilité d'une leucose. Le traitement permettra donc de trouver la cause des aphtes et de résoudre les symptômes de la mauvaise haleine.
L'étiologie de l'halitose est vaste et peut être causée par tous les systèmes de l'organisme, de sorte qu'une fonction hépatique normale n'est pas une indication du problème. L'halitose peut être divisée en halitose physiologique et halitose pathologique. L'halitose physiologique fait référence à l'absence de changements pathologiques organiques dans l'organisme. Elle est principalement liée au régime alimentaire et à l'hygiène. Fumer, boire, se coucher tard, consommer de la viande, de l'oignon, du gingembre, de l'ail, du poireau et d'autres aliments riches en sulfure, ne pas se brosser les dents avec diligence, etc. Pour ce type de mauvaise haleine, il suffit de maintenir un mode de vie sain, d'éviter de manger trop des aliments susmentionnés, d'arrêter de fumer et de boire, de consommer de la viande et des légumes, de travailler et de se reposer régulièrement, de se brosser les dents matin et soir de manière correcte et efficace, etc.

L'halitose pathologique, en fonction de sa localisation, peut être divisée en halitose orofaciale et halitose non orofaciale. Pour le traitement pathologique, l'essentiel est de trouver la cause de la maladie. L'halitose n'est qu'une manifestation externe de la maladie. Si nous trouvons la "cause première" de la maladie, le traitement de la cause première du symptôme sera éliminé.
L'halitose, d'origine buccale, est principalement associée à des lésions intrabuccales. Les caries dentaires, les ulcères buccaux, le cancer de la bouche, la gingivite, le saignement des gencives, la parodontite, etc. Le traitement consiste donc en un traitement antibactérien et anti-inflammatoire, une supplémentation en vitamines, la purge de la chaleur et la désintoxication, le refroidissement du sang et l'arrêt des saignements. La mauvaise haleine non orale est liée au système digestif, au système respiratoire et même à des pathologies systémiques, telles que la gastrite chronique, le reflux gastro-œsophagien, la dyspepsie, l'infection à Hp, l'ulcère gastroduodénal, les troubles de la flore intestinale, les tumeurs, la rhinite, la sinusite, l'accumulation de pus dans les amygdales, etc. Pour les maladies du système digestif, les IPP protègent et réparent la muqueuse gastrique, éradiquent Helicobacter pylori, favorisent la dynamique gastro-intestinale, ajustent la flore intestinale, etc. Pour le système respiratoire, les anti-infectieux et la chirurgie sont recommandés.
En bref, la recherche de la cause est la clé du traitement.

Répondant : Zhang Kehui, M.A.
Bienvenue sur l'île aux abricots pour plus de connaissances utiles en matière de santé.
L'odeur buccale peut avoir de nombreux effets psychologiques et sociaux négatifs sur une personne. L'odeur buccale est associée aux causes suivantes.
(1) Maladie bucco-dentaire, mauvaise hygiène bucco-dentaire, caries dentaires, gingivites, parodontites, mucosités buccales, la bouche est propice à la prolifération des bactéries, en particulier des bactéries anaérobies, dont la décomposition produit du sulfure, ce qui provoque une mauvaise haleine.
(2) Les troubles gastro-intestinaux, tels que l'ulcère gastroduodénal, la gastrite chronique et la dyspepsie fonctionnelle, peuvent être associés à une mauvaise haleine. La cause peut être la production directe de sulfures par l'infection à Helicobacter pylori, qui provoque la mauvaise haleine.
(3) Fumer, boire de l'alcool, boire du café, ainsi que manger souvent des oignons, de l'ail, des poireaux et d'autres aliments épicés et stimulants, prédispose à la mauvaise haleine.
(4) Rhinite aiguë et chronique, pharyngite, sinusite.
(5) Les personnes dont la fonction des glandes salivaires est réduite, dont la sécrétion salivaire est réduite et qui respirent par la bouche sont sujettes à la mauvaise haleine.
(6) Une constipation prolongée provoque une mauvaise haleine car les substances nocives produites dans le corps ne peuvent pas être évacuées à temps et sont absorbées dans la circulation sanguine.
(7) Le stress psychologique, la neurasthénie, la tension mentale fréquente conduisent à est le corps vif nerfs sympathiques dans un état d'excitation apparaissent réflexivement vêtements digestifs, en particulier la ville de vêtements dit de réduire, résultant en une bouche sèche, qui est propice à la croissance des bactéries Qingji. Il en résulte une mauvaise haleine.
Les aphtes sont des ulcérations superficielles qui apparaissent sur les muqueuses de la bouche.
Les aphtes ordinaires sont une maladie autolimitée qui peut guérir sans médicament au bout de 7 à 14 jours.
En cas de poussée d'aphtes, l'attention portée à l'hygiène bucco-dentaire, la consommation d'aliments moins épicés, la consommation d'eau et un sommeil suffisant peuvent favoriser la guérison.
Sur le plan thérapeutique, l'accent est mis sur l'analgésie et la prévention des infections.
Aphtes récurrents, utiliser un bain de bouche
Les bains de bouche courants sur le marché contiennent certains ingrédients antibactériens, en cas d'aphtes, vous pouvez utiliser un bain de bouche 2 à 3 fois par jour, en veillant à maintenir une bonne hygiène bucco-dentaire, il peut jouer un bon rôle.
Douloureux, avec des pastilles de cédriode
Pour les aphtes qui font très mal, vous pouvez choisir des médicaments tels que les pastilles de cédriode (Wasso) pour réguler l'environnement de la bouche et réduire la douleur causée par les aphtes.
Ulcères graves, patch pour ulcères en option
En cas de morsure occasionnelle par inadvertance de la muqueuse buccale, d'inflammation aiguë et d'autres aphtes graves traumatiques ou symptomatiques, vous pouvez utiliser la pâte pour aphtes sous la supervision du médecin, en quantités appropriées.
Les ulcères récurrents au même endroit nécessitent un renforcement immunitaire.
Si chaque ulcère se produit à un endroit fixe et ne guérit pas, ne serait-ce qu'une semaine ou deux, un traitement systémique doit être envisagé pour minimiser les récidives et favoriser la guérison.
Merci, la mauvaise haleine est une vraie maladie ! Outre l'alimentation, l'hygiène personnelle, la santé mentale, etc. ont un rôle à jouer.
La mauvaise haleine est très désagréable. Mais à la réflexion, vos habitudes alimentaires sont-elles malsaines ? Par exemple, vous mangez trop depuis longtemps, vous avez une alimentation malsaine, vous mangez des aliments désordonnés, vous mangez moins de légumes, etc.
La fonction gastro-intestinale humaine est une certaine fonction de tolérance, si le maintien à long terme de telles habitudes, il est facile de conduire à l'émergence de la constipation, et la constipation est une cause importante de la mauvaise haleine.
Une constipation de longue durée peut facilement conduire à un séjour trop long des résidus alimentaires dans l'estomac et les intestins. Après une humidité et une température appropriées, ces résidus fermenteront et deviendront acides et rances, ce qui déclenchera lentement la mauvaise haleine dans la bouche.
I. Quelles sont les autres causes de la mauvaise haleine ?
Dans la société actuelle, de nombreuses personnes sont soumises à une forte pression psychologique, les hommes comme les femmes étant quotidiennement occupés par leur travail. Le fait d'être dans cet état de haute pression pendant une longue période va mettre les nerfs d'une personne dans un état de tension, entraînant une production de salive trop faible pour inhiber les bactéries, et donc la formation d'une mauvaise haleine. Cependant, il ne s'agit souvent que d'une mauvaise haleine passagère qui, si elle n'est pas soulagée, se transformera en une mauvaise haleine à long terme, affectant les amitiés et le travail futurs de ces personnes.
Il y a beaucoup de femmes qui sont très amoureuses de la beauté, mais beaucoup d'entre elles sont sur la voie de l'amaigrissement, parce qu'elles perdent trop de poids, ce qui entraîne une hypoglycémie et des troubles endocriniens.
Cela conduit à une diminution progressive de la production de salive, offrant aux bactéries un environnement propice à leur développement et à leur multiplication, ce qui entraîne l'apparition de la mauvaise haleine.
De nos jours, fumer et boire sont essentiels à table, et les hommes comme les femmes ont certaines habitudes ou certains besoins sociaux.
La plupart des cas de mauvaise haleine sont dus à un tabagisme excessif ou à un abus d'alcool, qui exacerbent la croissance des bactéries buccales. La mauvaise haleine peut survenir même en parlant et peut facilement s'aggraver si elle n'est pas traitée à temps.
Deuxièmement, quelle est la meilleure façon d'éliminer la mauvaise haleine ?
La meilleure façon de se débarrasser de la mauvaise haleine est de se rendre à l'hôpital pour vérifier si les gencives sont enflammées. Si vous voulez que votre haleine soit fraîche, vous pouvez préparer un chewing-gum de la manière habituelle, afin d'améliorer la mauvaise haleine dans une certaine mesure.
De nombreuses bactéries présentes dans notre bouche peuvent dégager de très mauvaises odeurs, mais c'est notre salive qui empêche ces mauvaises odeurs de se répandre.
Si nous sommes capables de nous détendre pendant 1 à 2 minutes dans notre vie, autant que nous le pouvons, nous pouvons produire de la salive trop souvent. S'il s'agit d'une mauvaise haleine passagère, vous pouvez opter pour un bain de bouche ou de l'eau potable, s'il s'agit d'une mauvaise haleine à long terme, vous devez consulter un médecin à temps, sinon la situation deviendra de plus en plus grave.
Les moyens de soulager la mauvaise haleine.
Se brosser les dents au bon moment : chaque matin, lorsque nous nous levons après une nuit de sommeil, les bactéries présentes dans la bouche se reproduisent en grand nombre, mais elles fermentent également, ce qui produit naturellement beaucoup d'odeurs désagréables. Chaque jour, avant et après les repas, n'oubliez pas de vous gargariser, afin de réduire efficacement les odeurs dans la bouche. Pendant le brossage des dents, nous devrions nettoyer davantage notre langue, qui contient beaucoup de bactéries et de métabolites ; l'accumulation à long terme des symptômes de la mauvaise haleine permettra également à la mauvaise haleine de trouver sa porte.
Boire plus de thé : Si les symptômes de la mauvaise haleine se manifestent déjà dans la vie quotidienne, vous pouvez souvent boire du thé. Boire du thé pour la mauvaise haleine a un effet de soulagement, car le thé est riche en polyphénols, cette substance peut rendre l'odeur de la bouche plus propre.
Il existe plusieurs causes à la mauvaise haleine :
1. les problèmes buccaux, qui sont la cause la plus fréquente :
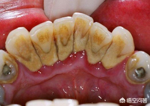
(1) Une mauvaise hygiène bucco-dentaire, un grand nombre de calculs dentaires dans la bouche, des gencives rouges et gonflées qui saignent facilement, la cavité buccale est grossièrement le siège d'un grand nombre de bactéries, ces bactéries génèrent le métabolisme des déchets produits, ce qui provoque une halitose sévère.
(2) Des dents infectées dans la bouche, dont les cavités sont remplies d'aliments difficiles à nettoyer, et la fermentation de ces aliments dans la bouche peut également être à l'origine d'une mauvaise haleine importante.
(3) Il y a de mauvaises prothèses dentaires dans la bouche, ces prothèses sont fabriquées avec des matériaux de mauvaise qualité, qui sont susceptibles de dégager une mauvaise odeur après une longue période dans la bouche, et d'autre part, ces prothèses ne sont pas bien fabriquées, ce qui peut facilement entraîner un blocage des aliments et causer une mauvaise haleine.
Pour résoudre les problèmes bucco-dentaires causés par la mauvaise haleine, selon la cause du traitement peut être, tels que les trous de la dent de ver à combler, les mauvaises prothèses dentaires à enlever et reconstruire, le nettoyage des dents, le traitement de la gingivite, etc, après ces traitements après la grande majorité de la mauvaise haleine disparaîtra.
2, la mauvaise haleine causée par des problèmes de gorge, le plus courant étant l'amygdalite chronique, l'inflammation chronique des amygdales produira également beaucoup de bactéries, ce qui déclenchera aussi la mauvaise haleine, qui fait partie des problèmes ORL !
3、Inflammation des sinus causant la mauvaise haleine, les sinus sont associés à la cavité buccale par l'intermédiaire de la cavité nasale, s'il s'agit d'une sinusite suppurative grave, elle peut également causer la mauvaise haleine, vous devez trouver un médecin ORL pour traiter le problème !
4, les maladies gastro-intestinales causées par la mauvaise haleine Certaines personnes souffrent d'indigestion ou de maladies gastro-intestinales graves et auront également une mauvaise haleine ; il faut donc trouver un médecin gastro-entérologue.
L'invitation est sincèrement appréciée.
Tout d'abord, la mauvaise haleine doit être la cause, pour résoudre le problème de la mauvaise haleine, il faut utiliser le bon médicament, ne pas utiliser de médicaments sans discernement.
Nous classons l'halitose en halitose orofaciale et halitose non orofaciale. Pour distinguer l'halitose orofaciale de l'halitose non orofaciale, couvrez votre bouche avec votre main et expirez par le nez, s'il y a une odeur, c'est qu'il s'agit d'une halitose non orofaciale, s'il n'y a pas d'odeur, c'est qu'il s'agit d'une halitose orofaciale.
Une fois la distinction faite, posez-vous quelques questions.
1. si vous vous brossez les dents le matin et le soir.
2. si le temps de brossage est de 2 minutes.
3. s'il existe une habitude de nettoyage dentaire régulier.
4. s'ils passent régulièrement des examens bucco-dentaires.
Le troisième point, le plus important, est que malgré le fait que nous nous brossions les dents tous les jours, il y a toujours des pierres dans notre bouche, alors veillez à toujours vous laver les dents régulièrement.
Si vous rencontrez tous les problèmes ci-dessus, vous devez consulter un gastro-entérologue pour résoudre vos problèmes gastro-intestinaux.
L'halitose, également connue sous le nom de mauvaise haleine, est une odeur indésirable dans la bouche. Elle affecte gravement la santé sociale et psychologique des personnes. Avec le développement de l'économie sociale, le niveau de vie des gens s'améliore, les activités sociales augmentent progressivement et la qualité de vie et l'image sociale des gens font l'objet d'une attention de plus en plus grande. Le problème de la mauvaise haleine est également apprécié et perturbé par les gens.

1) Soins à base de plantes : pour la gingivite, la parodontite, la mucosite buccale et la carie dentaire, les maladies parodontales, les caries dentaires, les facteurs gastro-intestinaux causés par la mauvaise haleine, vous pouvez utiliser de l'herbe de tulipe pour tremper de l'eau à boire, les plantes, anti-inflammatoires et antibactériennes, la purge et la désintoxication, la régulation de l'estomac et des intestins et d'autres effets, vous pouvez rafraîchir l'haleine, protéger la santé bucco-dentaire, prévenir et améliorer la gingivite, la parodontite, la mucosite buccale, ainsi que la pharyngite, la pharyngite, et d'autres laryngites.
2) Thérapie diététique : des études récentes ont révélé que le varech possède une substance désodorisante très efficace. Son effet désodorisant est trois fois supérieur à celui des flavonoïdes inhibiteurs de l'halitose existants. Par conséquent, les patients souffrant d'halitose qui mangent souvent du varech peuvent être amenés à éliminer la mauvaise haleine. En outre, un régime alimentaire léger, plus d'aliments riches en fibres, favorise le nettoyage de la bouche. Il convient également de manger avec de la chaleur et de l'humidité, en évitant la saleté et les aliments désodorisants. Les graines de melon pour la fin, la bouche contient ; le fenouil pour la soupe à boire ou à mâcher cru ; le gâteau à l'orange souvent à mâcher ; avec Suzi l'eau bouillie gargariser ; la prune conservée contenant, etc, sont l'effet de la mauvaise haleine. L'augmentation des bifidobactéries dans le tractus gastro-intestinal peut guérir la mauvaise haleine. Les facteurs de bifidobactéries tels que l'oligosaccharide de soja, les oligosaccharides d'isomalt et l'oligofructose sont très efficaces pour traiter la mauvaise haleine.

3. adapter son alimentation : les personnes qui ont une mauvaise haleine doivent manger davantage.
(1) Les légumes crus et les pommes protègent les gencives.
(2) Le gingembre, la cannelle, la moutarde et le raifort préviennent la sinusite.
(3) Les céréales complètes et l'eau préviennent la constipation.
(4) Le bêta-carotène et la vitamine C se trouvent dans les carottes, le chou-fleur, les épinards et les agrumes.
(5) Boire du thé avec modération permet d'évacuer la chaleur et le feu et de lutter contre les bactéries et l'inflammation. Les thés tels que le chêne et le thé de navet sont efficaces pour prévenir et améliorer les symptômes de la mauvaise haleine.
C'est compliqué, mais il faut d'abord trouver la cause exacte de la mauvaise haleine. Ce n'est qu'une fois la cause trouvée qu'elle peut être résolue, sinon l'utilisation de quelques méthodes simples ne suffira pas à la guérir.
Je voudrais en parler brièvement en utilisant les théories de la médecine chinoise. La cause la plus fréquente de la mauvaise haleine est souvent d'ordre bucco-dentaire, comme la présence de caries dentaires, les problèmes d'hygiène bucco-dentaire, etc. Deuxièmement, la mauvaise haleine est également susceptible de se produire en cas de problèmes de digestion au niveau de la rate et de l'estomac, par exemple, la chaleur et le froid de l'estomac peuvent être à l'origine de la mauvaise haleine. Enfin, certaines maladies telles que les infections externes, les accidents vasculaires cérébraux, la constipation, la fièvre et d'autres urgences sont également susceptibles de s'accompagner de l'apparition d'une mauvaise haleine. Pour le traitement, je recommande la médecine traditionnelle chinoise ou la prise de certaines petites ordonnances contre la mauvaise haleine, et l'attention portée à l'hygiène bucco-dentaire personnelle, ce qui devrait permettre d'obtenir de bons résultats.
"L'halitose, parce que les cinq viscères et les six intestins ne sont pas en accord, le gaz de la poitrine et du diaphragme ...... se précipite vers la bouche, ce qui fait qu'elle pue. En d'autres termes, l'halitose et les cinq viscères et les six intestins sont liés, et "les gaz de la rate passent par la bouche" "la bouche de la rate attend", ce qui indique que la performance de l'halitose et la relation la plus étroite entre la rate et l'halitose.
un excès d'humidité dans la rate
Déficience de la rate et humidité. Ce type d'halitose se caractérise par une forte odeur à l'intérieur de la bouche et un léger goût putride, un amour des sucreries, une bouche collante, une répugnance à boire de l'eau, un corps somnolent, des saignements secs faciles, mais pas de vomissements, et un enduit blanc ou jaune sur la langue. Dans ce type d'halitose, l'insuffisance de la rate est à l'origine de la maladie et l'humidité des mucosités en est le symptôme.
En termes de régulation, la résolution des mucosités et de l'humidité doit être équilibrée avec le bénéfice du qi et la tonification de la rate.
Vous pouvez utiliser du Chenpi, qui a pour effet de réguler le qi et de renforcer la rate, d'assécher l'humidité et de résoudre les mucosités. Toutefois, la cause première reste le traitement de l'insuffisance de la rate et l'insistance sur le brossage des dents.
Je suis chirurgien buccal et je vais répondre à votre question.
Tout d'abord, il convient d'analyser les causes de la mauvaise haleine.
1, l'hygiène bucco-dentaire n'est pas bonne, il y a beaucoup de tartre dentaire, de plaque, ce qui entraîne une mauvaise haleine ; en même temps, si la bouche contient des dents pourries, des prothèses dentaires irrégulières, cela entraîne une odeur résiduelle de nourriture dans la cavité buccale, ce qui donne une mauvaise haleine.
2, les calculs amygdaliens, un type étrange et malodorant, même si vous vous brossez les dents très proprement, cela ne sert à rien, il se cache dans la crypte amygdalienne à l'intérieur, une discussion, une bouche apporte la mauvaise haleine !
3) La présence de maladies dans les voies digestives et respiratoires peut entraîner une odeur nauséabonde en parlant et en respirant.
méthode régler un problème
1、En cas de problèmes dans la bouche elle-même, tels que le tartre dentaire, la plaque, les mauvaises prothèses dentaires, les mauvaises dents, le dentiste doit procéder à un détartrage, à l'enlèvement des mauvaises prothèses dentaires, au traitement ou à l'extraction des mauvaises dents.
2, les calculs amygdaliens sont très difficiles à faire sortir d'eux-mêmes, ce qui vous amènera à consulter un médecin ORL, honnêtement, cette odeur est vraiment désagréable !
3. les maladies respiratoires et digestives doivent naturellement trouver le médecin approprié pour traiter les maladies concernées.
Je suis Gifted Sage, bienvenue pour suivre et commenter !
Ces questions et réponses proviennent des utilisateurs du site, elles ne représentent pas la position du site, s'il y a une infraction, veuillez contacter l'administrateur pour la supprimer.