Quels sont les symptômes de la parodontite ?
Quels sont les symptômes de la parodontite ? 
La parodontite, une affection inflammatoire chronique des tissus de soutien du parodonte, se développe principalement en raison de mauvaises habitudes d'hygiène bucco-dentaire.
Les premiers symptômes ne sont pas évidents.Ils sont tous confondus avec le mot "feu".Sans que vous le sachiez, c'est cette idée fausse qui entraîne de graves conséquences. Je vais vous parler des principaux symptômes de la parodontite.
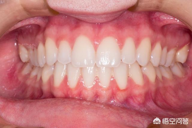
Tout d'abord, une réaction inflammatoire des gencives, des gencives rouges, gonflées, douloureuses et saignantes.

Deuxièmement, la formation de poches parodontales et la capacité de la sonde à atteindre des poches parodontales profondes avec du pus intra-poche.

Troisièmement, la résorption de l'os alvéolaire, avec des degrés variables d'os alvéolaire autour des racines, de résorption
Quatrièmement, le déchaussement et le déplacement des dents : les patients atteints de parodontite présentent souvent un déchaussement plus ou moins important des dents.

La parodontite peut être évitée.De bonnes habitudes de vie, une sensibilisation à la prévention bucco-dentaire et le choix de produits de santé préventive appropriés peuvent prévenir efficacement la parodontite.
Insistez sur le fait que vous devez vous brosser les dents tôt le matin et avant de vous coucher, vous rincer la bouche après les repas et comprendre et maîtriser la bonne façon de vous brosser les dents. Achetez le bon dentifrice, la bonne brosse à dents et le bon fil dentaire pour éviter d'aggraver les problèmes de gencives causés par le choix de produits d'hygiène bucco-dentaire inappropriés.
Bienvenue sur le site de "Mr Teeth" pour en savoir plus sur les problèmes liés à la parodontite !
La parodontite est une maladie causée par une infection bactérienne du tissu parodontal et par des modifications de la gencive. Dans les cas graves, la parodontite peut également entraîner la perte des dents adultes. La majorité des patients atteints de parodontite ont plus de trente-cinq ans, mais les personnes de tous âges qui fument, boivent de l'alcool ou sont obèses présentent également un risque élevé de parodontite. Quels sont les symptômes de la parodontite ?
La forme la plus courante de parodontite est le saignement des gencives. Chaque jour, lorsque vous vous brossez les dents, vous constatez que les racines de vos dents sont rouges, gonflées et saignent, non seulement lorsque vous vous brossez les dents, mais aussi parfois lorsque vous parlez ou mordez quelque chose de dur, et les racines de vos dents sont de couleur rouge foncé, et elles semblent brillantes en raison de l'œdème. Cet état est le saignement des gencives, qui apparaît principalement le matin et le soir lors du brossage des dents et lorsque l'on ronge des objets durs.
La profondeur des gencives saines ne dépasse généralement pas deux millimètres, si elle est supérieure à deux millimètres, il y a une poche parodontale, ce qui signifie que nos gencives sont enflées, qu'elles contiennent du pus et, dans les cas graves, que du pus sort des poches parodontales. Lorsque les poches parodontales se développent à un stade avancé, il y a un phénomène de déchaussement des dents, parce qu'à ce moment-là les tissus parodontaux des dents ne soutiennent pas suffisamment la force de soutien, les tissus parodontaux vieillissent lentement. Au stade final de la parodontite, les gencives se rétrécissent lentement et les dents finissent par être exposées et les dents de lait apparaissent.
C'est pourquoi nous devons toujours prêter attention à l'hygiène bucco-dentaire et prendre de bonnes habitudes d'hygiène. Insistez sur le fait de vous brosser les dents tôt le matin et avant de vous coucher, de vous rincer la bouche après les repas et de comprendre et maîtriser la bonne façon de se brosser les dents. Soyez attentif aux premiers signes de la maladie parodontale.
Instructeur : Liu Anfang, médecin-chef adjoint, département de pentaclinique, hôpital de médecine traditionnelle chinoise de la ville de Suizhou.
Spécialité : elle travaille dans le domaine de la pentatologie depuis plus de vingt ans et possède une riche expérience dans le diagnostic et le traitement des maladies courantes en pentatologie.
Si vous avez trouvé cet article utile, n'hésitez pas à l'aimer ou à le recommander à vos amis et à suivre [Medlink Media].

Les premiers symptômes de la parodontite sont des gencives rouges, gonflées et saignantes, ainsi qu'une mauvaise haleine. Les symptômes sont très similaires à ceux de la gingivite et peuvent facilement passer inaperçus ; lorsque vous vous en rendez compte, la situation est généralement plus grave.
Lorsqu'une parodontite sévère entraîne une résorption accrue de l'os alvéolaire, les dents se déchaussent et vous vous sentez faible lorsque vous mangez. Cela peut conduire à la perte des dents. Si l'on compare les dents à un arbre, l'os alvéolaire est le sol qui permet à l'arbre de pousser. Lorsque le sol disparaît progressivement, l'arbre s'étiole naturellement.

4, le débordement parodontal de pus peut être incisé et drainé.
Les tissus parodontaux comprennent les gencives, l'os alvéolaire et la membrane parodontale. La parodontite est une inflammation chronique qui se produit dans les tissus parodontaux. La parodontite est causée par des bactéries qui envahissent les tissus parodontaux et les gencives, en particulier la formation de la plaque dentaire et du tartre. En outre, le manque d'attention à l'hygiène bucco-dentaire, certaines mauvaises habitudes telles que le tabagisme, la consommation d'alcool, le fait de manger des sucreries sans se rincer la bouche, etc. augmentent considérablement l'incidence de la parodontite. Les principaux symptômes de la parodontite sont les suivants :
Tout d'abord, la réaction inflammatoire des gencives, également connue sous le nom de symptômes de "feu", s'accompagne souvent de gencives rouges et gonflées, voire de douleurs et de saignements, ce qui affecte la mastication. Il s'agit de la première manifestation courante de la parodontite.
Deuxièmement, la formation de poches parodontales, due à l'expansion de l'inflammation, du tartre sous les gencives, la membrane parodontale est détruite, l'os alvéolaire est progressivement absorbé, les gencives et les racines sont séparées, et des poches parodontales se forment. Les poches parodontales sont souvent remplies d'ulcères et de tissus de granulation, et sont une source de débordement de pus. L'utilisation d'une sonde permet de détecter les poches parodontales profondes avec du pus à l'intérieur de la poche.
Troisièmement, la résorption de l'os alvéolaire, il y a différents degrés de résorption de l'os alvéolaire autour de la racine de la dent, à ce moment-là, cela affectera la stabilité de la dent, l'apparence de la dent aura également des signes d'assombrissement.
Quatrièmement, le déchaussement et le déplacement des dents. En raison de la destruction des tissus parodontaux, la résorption de l'os alvéolaire s'aggrave, la capacité de soutien des dents est insuffisante et le phénomène de déchaussement et de déplacement des dents se produit. Avec l'évolution de la maladie, de nombreux patients atteints de parodontite finissent par présenter différents degrés de déchaussement des dents, souvent accompagnés d'une douleur sourde, de saignements des gencives, d'une faiblesse de la morsure, d'une mauvaise haleine et d'autres symptômes anormaux, ce qui est dû à la destruction des tissus parodontaux entraînant une résistance insuffisante des dents.
En fait, la parodontite peut être évitée en développant de bonnes habitudes de vie, une meilleure sensibilisation à la prévention de la santé bucco-dentaire, des habitudes de brossage et de rinçage matin et soir, et la maîtrise de la bonne méthode de brossage, etc.

Cliquez sur le bas de la page [En savoir plus] pour voir plus de réponses ou poser une question au médecin gratuitement !
Suivez le numéro de téléphone du "Médecin de famille en ligne", plus de questions-réponses sur la santé faciles à consulter~~~~
Merci d'avoir invité Wu Yibo, membre de la Chinese Popular Science Writers Association, à répondre à vos questions.En termes simples, les premiers symptômes de la parodontite ne sont pas très évidents, les patients ont juste une mauvaise haleine ou des saignements secondaires des gencives, mais s'ils ne sont pas traités à temps, ils se manifesteront par des symptômes tels que le déchaussement des dents, le débordement du pus parodontal et la formation de poches parodontales.
Tout d'abord, nous devons comprendre comment la parodontite se développe.
La parodontite estune maladie dévastatrice causée par une combinaison de micro-organismes, d'hôte et d'environnement.attribuable àlésions causées par l'invasion bactérienne des tissus parodontaux et des gencives.peut conduire àPerte des dents adultes. L'un desLes facteurs microbiologiques sont principalement la plaque dentaire et le tartre qui se forme lorsqu'elle se calcifie.Les facteurs d'accueil sont principalement dus àCarences en vitamines et en sels inorganiquesqui conduit à l'augmentation de l'activité de l'organisme.Diminution de la fonction immunitaire. En outre.Le tabagisme et l'obésité peuvent également augmenter considérablement les risques de parodontite.
Quelles sont donc les spécificités de tous les symptômes de la parodontite mentionnés ci-dessus ?
tout d'aborddent déchausséeLes patients ressentent souvent une douleur sourde, des saignements de gencives, une faiblesse de l'occlusion et une mauvaise haleine accrue, qui sont dus à la destruction des tissus parodontaux et au manque de solidité des dents qui en résulte.
Si vous l'aimez, cliquez sur la droite pour suivre, plus de connaissances sur la santé à partager avec vous !
Suivant.abcès parodontalSi l'on appuie légèrement sur les gencives, du pus peut apparaître, accompagné d'une odeur nauséabonde.
finsac parodontalqui est due à la destruction de la membrane parodontale, à la séparation des gencives et des dents, et à la présence fréquente d'ulcères et de tissus de granulation dans les poches, qui sont la source de l'écoulement de pus.
Bien que la parodontite ne soit pas mortelle, elle peut entraîner de nombreuses douleurs. En fait, cette maladie peut être complètement évitée si nous y prêtons plus d'attention dans notre vie quotidienne.Le maintien d'un régime alimentaire et d'une routine de travail sains, ainsi qu'un apport adéquat en vitamines, constituent la base de l'amélioration de la résistance de l'organisme. En outre, le maintien de la santé bucco-dentaire, la réduction du tabagisme et de la consommation d'alcool et l'évitement de la mastication unilatérale peuvent protéger efficacement nos dents !。
Question Réponse : Zhang Han, École de pharmacie, Université de Shandong Révision : Wu Yibo
La parodontite est principalement une inflammation chronique des tissus de soutien parodontaux causée par des facteurs locaux. L'âge d'apparition est plus fréquent après 35 ans. Les causes courantes de la parodontite sont les suivantes

Causes de la parodontite
1. les micro-organismes qui adhèrent à la surface des dents.
2) La plaque minéralisée, également connue sous le nom de tartre, se dépose sur les dents. Généralement visible à l'œil nu, le tartre est généralement causé par le calcium et le phosphore présents dans la salive.
3. les mauvaises restaurations entraînent également une inflammation des tissus entourant la dent.
Quels sont les symptômes de la parodontite ?
1. le saignement des gencives : les symptômes de la parodontite se manifestent principalement par des gencives rouges, gonflées et saignantes, qui saignent également lors du brossage des dents et de la morsure d'objets durs, mais qui peuvent aussi parfois saigner d'elles-mêmes.
2) Dans des circonstances normales, la profondeur du sillon gingival des gencives saines ne dépasse pas 2 mm, et celles qui dépassent 2 mm sont appelées poches parodontales. Une fois qu'une poche parodontale est formée, cela signifie que l'inflammation a déjà progressé vers les tissus de soutien parodontaux, et l'inflammation provoquera l'infection des tissus parodontaux légèrement plus profonds, et les sécrétions purulentes peuvent s'écouler des poches parodontales.
3) Dans les premiers stades de la parodontite, il n'y a pas de déchaussement des dents, mais lorsque l'inflammation chronique atteint un certain degré et que la force de soutien des tissus parodontaux commence à s'affaiblir, le déchaussement des dents se produit.
4) La récession gingivale est également l'un des symptômes typiques de la parodontite, mais le patient ne la remarque pas facilement ; elle se produit en raison de la réception prolongée de la pression du tartre, qui stimule les gencives. Mais la récession du tissu parodontal à un certain âge est une situation physiologique, principalement due au tissu parodontal lui-même, à l'usure des dents et à la poursuite de l'éruption des dents (dents non naissantes), à la formation d'une pression d'exposition de la racine.

1) Gingivite : les principaux symptômes sont la présence de tartre et de plaque visibles autour des gencives, la transformation des gencives d'un rose sain en un rouge vif, des gonflements et des douleurs, des saignements lors du brossage ou de l'alimentation, et une odeur buccale persistante.
À ce stade, l'inflammation n'a pas encore envahi les tissus parodontaux et un simple détartrage suffit pour éliminer le tartre et la plaque qui irritent les gencives, l'inflammation disparaîtra et les gencives redeviendront saines.
2. parodontite précoce : outre les symptômes de la gingivite, on observe la formation de poches parodontales, l'os alvéolaire commence à se résorber et les gencives se rétractent légèrement.
À ce stade, l'inflammation a déjà envahi le tissu parodontal. Outre le détartrage, il est nécessaire de procéder à un grattage sous-gingival pour éliminer la plaque à l'intérieur des poches parodontales ainsi que certains tissus inflammatoires. Après le grattage, un traitement anti-inflammatoire et antiseptique doit être mis en œuvre, faute de quoi la parodontite est susceptible de réapparaître. De nos jours, elle est couramment traitée par des médicaments, mais il existe également des méthodes de stérilisation plus efficaces, telles que le traitement au laser. Le raclage sous-gingival combiné à la stérilisation des poches parodontales au laser permet une stérilisation plus propre, réduisant efficacement l'infection et la récurrence.

3. parodontite moyenne et tardive : approfondissement des poches parodontales, abcès parodontaux, résorption de l'os alvéolaire, récession gingivale, exposition des racines dentaires entraînant une sensibilité dentaire, déchaussement et déplacement des dents, élargissement de l'espace entre les dents, faiblesse de la mastication, etc.
Les tissus de soutien parodontaux n'étant pas régénérables, la récession gingivale et la résorption de l'os alvéolaire sont irréversibles, et le traitement ne peut qu'éliminer l'inflammation et empêcher la maladie de se développer. Le traitement à ce stade nécessite certains traitements de restauration tels que la fixation de gouttières parodontales, l'alignement, le traitement orthodontique, etc., en plus du traitement parodontal de base, du détartrage et du grattage sous-gingival.
4. parodontite tardive : lorsque la parodontite atteint un stade avancé, l'os alvéolaire est complètement détruit et les dents sont déchaussées, déplacées, voire perdues.
Le pronostic est alors mauvais, même si une chirurgie parodontale est pratiquée pour conserver les dents. Après la perte des dents, vous devrez également restaurer les dents manquantes, porter des prothèses dentaires ou vous faire poser des implants dentaires.
La parodontite commence par des gencives rouges, gonflées et saignantes, qui peuvent être ressenties et observées subjectivement, mais de nombreuses personnes ignorent ces symptômes parce qu'ils ne sont pas douloureux et sont considérés à tort comme inoffensifs pour leur santé. Cela conduit à la découverte de la présence de la maladie parodontale lorsque la situation a été plus grave, une fois la crise aiguë, le patient aura de la fièvre, un gonflement du visage et d'autres symptômes, des douleurs et des conséquences graves. Les symptômes de la parodontite sont généralement au nombre de sept :
- Saignement lors du brossage
Le saignement lors du brossage est le symptôme le plus précoce et le mieux détectable d'une inflammation des gencives. Que le saignement soit intermittent ou continu, important ou faible, spontané ou stimulé par le brossage et l'alimentation, il est le signe que les gencives ne sont pas en bon état, et l'étendue de l'inflammation doit être examinée par un dentiste afin de déterminer son degré d'évolution.
Bien entendu, certaines personnes atteintes de maladies parodontales ne saignent pas beaucoup en se brossant les dents, comme les fumeurs de longue date, dont les gencives ont une couleur plus pâle et une texture plus dure, et dont la tendance à saigner est moins prononcée. Il y a aussi les patients qui se brossent généralement les dents avec moins de soin, en ne brossant que les surfaces des dents où ils mordent, ce qui ne stimule pas du tout les gencives. Des recherches scientifiques à long terme ont montré que le tabagisme est étroitement lié à la parodontite, qui favorise le développement de l'inflammation, de sorte que les contrôles parodontaux de routine sont la clé de la prévention et du traitement précoce. - gencives douloureuses
Il existe des endroits où les gencives sont gonflées et douloureuses en raison d'une inflammation aiguë conduisant à des abcès. - Mauvaise haleine persistante
L'halitose est une maladie bucco-dentaire courante qui peut être causée par un certain nombre de raisons, dont la parodontite. La parodontite provoque le saignement des gencives, l'inflammation des tissus et les métabolites produits par les bactéries pathogènes contribuent à la mauvaise haleine. - Gencives gonflées, prurigineuses ou inconfortables
Les maladies parodontales peuvent provoquer un gonflement des gencives, et normalement ce gonflement et cette destruction ne sont pas douloureux. Toutefois, si l'on ressent un gonflement, des démangeaisons ou une sensation d'inconfort dans une zone des gencives, ou même une sensation de confort lorsqu'on la touche avec un cure-dent ou avec le doigt, cela signifie qu'un examen et un traitement parodontal professionnel sont nécessaires. - Dents déchaussées ou même perdues
Le déchaussement des dents est, dans une certaine mesure, un symptôme d'inflammation. Certains déchaussements peuvent être soulagés après un traitement, tandis que d'autres peuvent ne pas être aussi efficaces, de sorte que la qualité de vie sera plus ou moins affectée lorsque les dents sont en train de mâcher. Il est important de procéder à un examen parodontal lorsqu'on constate que certaines dents sont branlantes ou qu'elles tombent d'elles-mêmes. - J'ai l'impression que l'écart entre mes dents devient de plus en plus grand.
La maladie parodontale entraîne un recul des gencives et de l'os alvéolaire sous-jacent, ce qui a pour effet d'exposer l'espace entre les dents qui devrait être occupé par les gencives et l'os alvéolaire, et donc de creuser de plus en plus l'écart entre les dents. - Déplacement des dents, en particulier des dents de devant supérieures et inférieuresParfois, le déchaussement des dents n'est pas évident, mais il arrive que l'on ait l'impression que les dents de devant supérieures ou inférieures ont lentement changé de position au fil du temps. Par exemple, l'espace entre les incisives s'est agrandi, une incisive s'est tordue, les incisives sont tournées vers l'extérieur, un espace est apparu entre les dents inférieures, etc.
Les symptômes sont comparés aux deux images.


Le détartrage est le moyen le plus fiable de prévenir la parodontite.
{!-- PGC_VIDEO:{'status' : 0, 'thumb_height' : 360, 'group_id' : 6492967722333241869, 'media_id': 1564278764498946, 'vname' : '11.27 3.mp4', 'vid' : '4e6a714567b7427b96baf42ddd46b4d6', 'video_size' : {'high' : {'h' : 472, 'subjective_score' : 0, 'w' : 840, 'file_size' : 18777639}, 'normal' : {'h' : 360, 'subjective_score' : 0, 'w' : 640, 'file_size' : 11701511}}, 'src_thumb_uri' : '4919000444b078912456', 'sp' : 'toutiao', 'vposter' : 'http://p1.toutiaoimg.com/origin/4917000d0f764a4d6bd1', 'external_covers' : [{'mimetype' : 'webp', 'source' : 'dynpost', 'thumb_height' : 360, 'thumb_url' : '4917000d3ee3b2ab8cc1', 'thumb_width' : 640}], 'thumb_width' : 640, 'duration' : 225, 'hash_id' : 7829630911335849486, 'vu' : '4e6a714567b7427b96baf42ddd46b4d6', 'item_id' : 6492967722333241869, 'user_id': 54615893964, 'thumb_url' : '4917000d0f764a4d6bd1', 'md5' : '10aec2275280620f8f3e20a5523c9d8a', 'neardup_id' : 4011541711071750782} --}
La parodontite est principalement une inflammation chronique des tissus de soutien parodontaux (gencive, parodonte, os alvéolaire et dentine) causée par des facteurs locaux au niveau de l'environnement.Au début, il n'y a généralement pas de symptômes évidents de gêne.Cela ne peut qu'arriver.Saignement des gencives secondaire à des gencives rouges, enflées et douloureuses, mauvaise haleineLes signes ne sont ni chauds ni brûlants. Dans l'esprit de la plupart des gens, il ne s'agit pas d'une maladie, mais simplement de "gencives en feu", auxquelles ils ne prêtent pas attention, et même de nombreuses personnes, jusqu'à ce que les dents soient encore dans l'obscurité lorsque le déchaussement se produit, il est trop tard pour remédier à la situation.
Lorsque l'inflammation s'aggrave, les symptômes suivants peuvent apparaître :
Formation de poches parodontalesL'inflammation s'étend, le tartre s'enfonce sous la gencive, la membrane parodontale est détruite, l'os alvéolaire se résorbe progressivement, la gencive se sépare de la racine et des poches parodontales se forment.
abcès parodontalLes parois des poches parodontales présentent des ulcères et un tissu de granulation inflammatoire, et des sécrétions purulentes sont retenues dans les poches, de sorte que lorsqu'on appuie légèrement sur les gencives, on peut observer un débordement de pus, accompagné d'une halitose purulente.
dent déchausséeLa destruction des tissus parodontaux aggrave la résorption de l'os alvéolaire, le soutien des dents est insuffisant et le phénomène de déchaussement et de déplacement des dents se produit. À ce moment-là, les patients ressentent souvent une faiblesse de l'occlusion, une douleur sourde, des saignements des gencives et une augmentation de la mauvaise haleine.
La maladie parodontale se développe lentement et peut durer des dizaines d'années. Le moyen le plus efficace de la prévenir est de prendre soin de sa santé bucco-dentaire au quotidien et d'adopter un mode de vie sain, ce qui est plus efficace que tout :
1. changer les mauvaises habitudes de fumer, de boire et de se coucher tard ;
2. se rincer la bouche après les repas, se brosser les dents au moins deux fois par jour pendant 3 à 5 minutes à chaque fois, et maîtriser la bonne position de brossage ;

3. prendre l'habitude d'utiliser des outils de nettoyage tels que le fil dentaire et les brosses interdentaires ;
4) Examen bucco-dentaire régulier, 1 à 2 fois par an, détartrage, en cas de symptômes tels que saignement lors du brossage, gencives rouges et gonflées, douleur, mauvaise haleine, etc ;
5) Les forces indésirables (dentaires) peuvent également provoquer une résorption de l'os alvéolaire. Si vous avez de mauvaises habitudes, telles que le grincement et le serrement de dents nocturnes, qui sont difficiles à surmonter, vous devriez consulter votre médecin pour obtenir un traitement ;
6) S'il existe dans la bouche des facteurs susceptibles de provoquer une irritation des tissus parodontaux, tels que de mauvaises restaurations, il convient de les retirer dès que possible.
Ces questions et réponses proviennent des utilisateurs du site, elles ne représentent pas la position du site, s'il y a une infraction, veuillez contacter l'administrateur pour la supprimer.





