Quelles sont les causes du saignement des gencives ?
Quelles sont les causes du saignement des gencives ? 

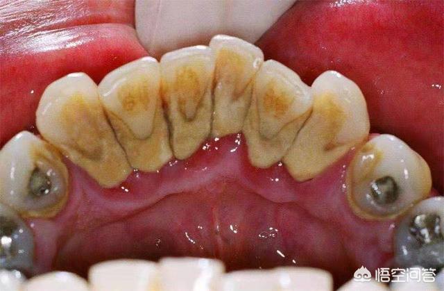
1、Gingivite
Les gencives peuvent saigner pour diverses raisons, et la gingivite est l'une des causes les plus courantes de saignement des gencives. Si vousSe brosser les dents de façon négligée ou souvent sans les brosserCela permet aux bactéries et aux débris alimentaires de s'attacher à la surface des dents, ce qui, avec le temps, entraîne la formation dePlaque, tartreIls s'accumulent dans les gencives et peuvent provoquer une gingivite.
À ce stade, il ne vous reste plus qu'àCorriger la façon dont vous vous brossez les dents,Pratiquer une bonne hygiène bucco-dentaireLa gingivite sera soignée sans médicaments et les saignements des gencives seront soulagés.
2. les changements endocriniens
Pendant certaines périodes particulières, comme la puberté et la grossesse, la sécrétion d'hormones sexuelles ou d'hormones progestatives par le corps est élevée, ce qui provoque un engorgement sanguin du tissu gingival. La moindre irritation du tissu gingival à ce moment-là peut déclencher une inflammation non spécifique, entraînant un saignement des gencives.
Ces types de saignements de gencives ne doivent pas être pris trop au sérieux.Il suffit de suivre les instructions du médecin et d'attendre la fin de la période spéciale.Les symptômes de saignement disparaîtront naturellement.
3. les maladies systémiques
Le saignement des gencives peut également être le signe de certaines maladies systémiques.Si les gencives saignent pendant une longue période et de manière abondanteIl est important d'être à l'affût des éléments suivantsTroubles sanguins, maladies cardiovasculaires, dysfonctionnement rénalet d'autres maladies.
Ces maladies entraînent une diminution de l'immunité de l'organisme, qui à son tour entraîne une diminution de la résistance locale de l'organisme, ce qui provoque des gingivites, des troubles du système de coagulation, des modifications organiques des vaisseaux sanguins, des altérations de la dynamique de la circulation sanguine, etc.
Lorsque l'on constate une gêne accompagnée d'un saignement plus important des gencives, leIl est nécessaire de consulter un médecin pour vérifier s'il existe d'autres conditions médicales.Ensuite, il faut traiter l'affection en question de manière spécifique.
4. irritation des caries
Non seulement les caries provoquent des douleurs physiques, mais elles laissent également des traces sur les dents de la personne atteinte.caries brun foncéqui nuit à vos gencives. Les bords de la cavité sont si tranchants qu'une fois en contact étroit avec les gencives, ils peuvent les irriter et provoquer des ulcères et des saignements.
En cas de saignement des gencives dû à une carie dentaire, vous obtiendrez les meilleurs résultats avec unTraitement par obturation dentaireEn même temps, il est important deDévelopper des habitudes alimentaires scientifiques。
Les gencives sont généralement très "délicates" et saignent à la moindre irritation ; il faut donc arrêter le saignement de la bonne manière.
Le saignement des gencives doit être considéré à la fois comme une cause locale, c'est-à-dire une cause parodontale, et comme une cause systémique. Des gencives saines sont roses, la plupart des dents et la surface osseuse adhèrent, elles peuvent résister à la friction de la mastication et ne saignent généralement pas facilement. Il existe un sillon gingival entre le bord des gencives et les dents. Lorsque la bouche n'est pas propre, la corruption et la détérioration des débris alimentaires collants s'accumulent dans le sillon gingival, formant du tartre mou. Avec le temps, sous l'effet conjugué de la salive et des minéraux présents dans le dépôt de tartre, le tartre mou se transforme en tartre dur, stimulant constamment les gencives, et de l'érosion bactérienne, entraînant une inflammation des gencives, qui se manifeste par une rougeur et un gonflement des gencives ; les bords gingivaux de l'ulcération du patient saignent souvent pendant qu'il se brosse les dents, qu'il parle et qu'il mâche des aliments ; certains patients présentent des saignements spontanés graves, c'est-à-dire qu'ils saignent automatiquement sans aucune stimulation, et même la nuit, pendant qu'ils dorment ! Les saignements peuvent également survenir pendant le sommeil.
Outre le saignement des gencives, la parodontite présente également des symptômes tels que le déchaussement des dents et le débordement du pus parodontal.
Outre la gingivite, le saignement des gencives peut être causé par l'hyperplasie gingivale, l'irritation causée par les caries dentaires, une mauvaise utilisation du fil dentaire et lorsque les prothèses dentaires ne sont pas bien ajustées. Dans certains cas, en raison d'un manque chronique de vitamine C dans l'organisme, la fragilité capillaire du tissu gingival augmente, ce qui accroît les risques de saignement.
Dans d'autres cas, la cause doit être recherchée dans l'ensemble du corps. Certaines maladies du sang telles que l'hémophilie, le purpura hémorragique et la thrombocytopénie, les maladies du foie, la néphrite tardive et le lupus érythémateux disséminé peuvent se manifester par des saignements des gencives, voire des hémorragies. Le saignement des gencives est également un symptôme important du scorbut. Les gencives des patients atteints de scorbut sont souvent rouge foncé et gonflées, recouvrant parfois la couronne des dents.
Le saignement des gencives est l'un des symptômes les plus courants en dentisterie. Le saignement des gencives est typique de la gingivite et de la parodontite, qui est le stade précoce de la gingivite.Le saignement des gencives n'est en soi qu'un symptôme de nombreuses maladies, et non une maladie. Certaines maladies systémiques peuvent également provoquer des saignements des gencives, comme la leucémie, l'hémophilie et l'anémie pernicieuse,SIDA,Cirrhose,Purpura hémorragique, thrombocytopénie,hypersplénisme, etc.Complications telles que des saignements gingivaux plus que spontanés et des ecchymoses.
Les causes du saignement des gencives sont multiples. Le saignement des gencives est la manifestation extérieure de maladies systémiques ou locales, dont les maladies bucco-dentaires sont les plus fréquentes. Le saignement des gencives est une manifestation typique de la gingivite et de la parodontite, inflammation des gencives (ou parodontite), qui se manifeste par des gencives rouges et gonflées et par une ulcération des bords gingivaux, qui peut provoquer des saignements au moindre contact. Les facteurs de causalité les plus courants sont le tartre dentaire, l'hyperplasie gingivale, l'impaction des aliments, les mauvaises restaurations (c'est-à-dire les prothèses dentaires mal ajustées), un brossage incorrect, les changements hormonaux pendant la puberté ou la grossesse, les changements dans la fonction immunitaire, les bactéries et l'hérédité. Ce type de saignement des gencives est souvent l'un des signes de maladies systémiques et est causé par des maladies systémiques. Les symptômes du saignement des gencives peuvent également être observés aux stades avancés de maladies pouvant provoquer une hypocoagulabilité ou une anémie sévère, telles que la cirrhose du foie, l'hypersplénisme, le stade avancé de la néphrite, le lupus érythémateux disséminé, etc.
Selon la médecine chinoise, le feu de l'estomac et la carence en yin provoquent des gencives rouges et gonflées et une ulcération du bord des gencives, ce qui entraîne des saignements. Les personnes ayant un mauvais estomac et de mauvais intestins sont également très susceptibles de saigner en se brossant les dents. En effet, lorsque l'estomac et les intestins du corps humain ne sont pas en bon état, en raison du manque de digestion et d'absorption, les vaisseaux sanguins deviennent très fragiles, et le moindre stimulus peut provoquer une rupture microvasculaire. Feu de l'estomac : utiliser des herbes chinoises qui éliminent le feu comme substitut de thé, telles que le cœur de lotus, le chrysanthème, la racine de lotus, etc. Déficience du yin et feu, ces personnes sont généralement très sujettes aux brûlures d'estomac au niveau des paumes et des pieds, vous pouvez prendre de l'eau nourrissante pour nettoyer le foie ou Xi Gen San et ainsi de suite.
Saignements répétés des gencives, ou la peau de temps en temps quelques taches vertes-violettes, en même temps, visage jaunâtre, faiblesse générale et d'autres symptômes, il devrait être opportun de faire le sang, la fonction hépatique et d'autres contrôles connexes leucémie, après avoir rencontré des radiations radioactives, des maladies auto-immunes, et ainsi de suite. Les patients atteints d'une maladie du foie présentent une diminution de la prothrombine ou du fibrinogène, ce qui entraîne une mauvaise coagulation du sang, et lorsque la cavité buccale est endommagée, des saignements persistants peuvent survenir. Le saignement des gencives n'est pas seulement une maladie apparente de la cavité buccale, il peut y avoir d'autres parties de la maladie, il est donc très important de déterminer la cause du saignement des gencives et de le traiter en temps utile, et lorsque les gencives saignent, de se rendre à temps dans un hôpital spécialisé pour recevoir un traitement.
Le régime alimentaire doit être léger, interdire les aliments épicés et stimulants, les aliments froids et durs, les aliments gras et frits. Prêter attention à l'hygiène bucco-dentaire, choisir la bonne brosse à dents, développer une méthode correcte de brossage des dents le matin et le soir, manger plus de fruits et de légumes riches en vitamine C pour réguler la nutrition des tissus parodontaux, ce qui est propice à la guérison de la maladie parodontale. Ne vous couchez pas tard et faites de l'exercice pour renforcer l'immunité de votre corps. Si ce document vous est utile, n'hésitez pas à le faire suivre et à en faire l'éloge, merci de votre invitation !
De nombreuses personnes ont les gencives qui saignent lorsqu'elles se brossent les dents ou mangent, et la plupart des gens ne prennent pas cela au sérieux, mais en fait, si cela se produit fréquemment, c'est le moment d'y prêter attention, et il est probable qu'il s'agisse d'une récession gingivale, d'une gingivite et d'une maladie dentaire.
Si les saignements sont plus importants, il est préférable de se rendre chez le dentiste pour un examen et un traitement ; si les saignements sont plus importants et que d'autres parties du corps saignent également, il est nécessaire de procéder à un examen de la moelle osseuse et à un test sanguin pour déterminer la cause de la maladie, par exemple une maladie du sang.
La médecine chinoise considère que la plupart des saignements des gencives sont dus à une déficience du yin et du feu, ou à la chaleur de l'estomac, et qu'ils sont souvent accompagnés de troubles et d'irritabilité, d'une sécheresse de la bouche et de la langue, de douleurs cachées dans les gencives, de douleurs lombaires, des mains et des pieds, comme la fièvre cardiaque et d'autres phénomènes liés à la chaleur. ou ajouter des médicaments à base de charbon, tels que le charbon Pu Huang, le charbon Blood Yu, etc.
Si elle est causée par la chaleur de l'estomac, il y a souvent des feux fréquents, de la constipation, une mauvaise haleine, des gencives gonflées et douloureuses, une bouche sèche, des urines courtes et rougeâtres, etc., et le tonique est principalement le gypse, le leucaena leucocephala, le Zhi Mu, le Radix et Rhizoma Dioscoreae, le forsythia, etc.
Outre les deux causes susmentionnées, il peut y avoir une carence en yang qi, le qi ne prend pas le sang peut également entraîner des saignements des gencives, une carence en yang qi due à un manque de qi, la plupart des personnes ont les membres froids, le souffle court, sont pâles, ont les membres froids, ont peur du vent et du froid, etc. Dans la clinique, il faut davantage réchauffer le yang et tonifier le qi, avec la méthode de l'hémostase pour le traitement, davantage utiliser les pilules pour la rate, tonifier le milieu de la soupe yi qi et d'autres médicaments sur ordonnance, mais il y aura également du sang, du sang, du sang et du sang. Améliorer l'efficacité de l'hémostase !
J'espère que la réponse ci-dessus vous sera utile ; pour d'autres articles sur la médecine chinoise, consultez le Dr Zheng et laissez vos commentaires si vous avez des questions.
Il n'est pas rare que les patients aient des saignements de gencives, et lorsqu'ils en ont une petite quantité, ils n'y prêtent pas beaucoup d'attention, et la plupart d'entre eux pensent que ce qu'ils mangent est trop chaud. Ils attendent d'être plus nombreux au milieu de la nuit pour paniquer et se précipiter aux urgences. La détection et le traitement précoces sont la dure réalité !

Quelles sont les causes courantes du saignement des gencives ? Comment les traiter ?
1、Gingivite chronique, parodontite chronique
La santé des gencives est étroitement liée à l'hygiène bucco-dentaire. Une mauvaise hygiène bucco-dentaire, un grand nombre d'agrégats de tartre, des stimulations répétées des gencives, les gencives sont dans un état d'inflammation durable, saignent lors du brossage ou de la mastication d'objets durs. Le tartre sous-gingival peut provoquer une résorption de l'os alvéolaire, réduire le tissu osseux entourant les dents, évoluer vers une parodontite chronique, et les dents se déchaussent à des degrés divers. Les patients atteints de parodontite chronique peuvent également présenter des saignements lorsque leurs gencives sont irritées par le tartre sous-gingival. La gingivite chronique peut être traitée par des nettoyages buccaux réguliers afin d'éliminer le tartre et de réduire l'inflammation. En plus d'un nettoyage régulier de la bouche, la parodontite chronique nécessite également un grattage sous-gingival pour éliminer complètement le tartre sous-gingival afin de contrôler la progression de la parodontite.

2. gingivite pendant la grossesse, gingivome pendant la grossesse
Pendant la grossesse, en raison des changements hormonaux, les gencives agissent comme un organe cible de la progestérone et sont sujettes aux saignements et à l'hyperplasie. Les patientes souffrant de gingivite ou de gingivome pendant la grossesse ont souvent des saignements des gencives lorsqu'elles mangent ou sucent. Les patientes enceintes, en plus de renforcer leurs propres soins bucco-dentaires, n'ont généralement pas besoin de traitement particulier.

3. certaines maladies systémiques
Les patients atteints de troubles hématologiques saignent généralement plus abondamment et ne peuvent pas être facilement arrêtés en raison d'une coagulation anormale. Les troubles les plus courants sont la leucémie aiguë, le purpura thrombocytopénique et l'hémophilie. Une consultation conjointe avec des hématologues est nécessaire pour une prise en charge efficace. Chez les patients hypertendus dont la tension artérielle est mal contrôlée, les saignements dus à l'inflammation des gencives sont plus difficiles à arrêter.

4. tumeurs bénignes et malignes des gencives
Les tumeurs gingivales, qu'elles soient bonnes ou malignes, peuvent saigner lorsqu'elles sont stimulées mécaniquement ou lorsque la tumeur s'ulcère. L'enflure gingivale doit être détectée à temps pour permettre un traitement médical, la tumeur doit être détectée et traitée rapidement, plus le traitement chirurgical est précoce, meilleur est le pronostic.
★Cette réponse a été rédigée par un dentiste, merci d'aimer et de soutenir si elle est utile !
Selon la tradition, la plupart des raisons sont liées au feu, mais d'après ma propre expérience, elles sont dues au fait que les méridiens ne sont pas suffisamment lisses. J'avais l'habitude de saigner souvent des gencives, j'avais peur de manger du barbecue frit, un type d'aliment facile à brûler, mais j'ai ensuite appris le point original de la méthode de traitement par poussée, cela fait plus de quatre ans que je cuisine et fais frire des aliments, je n'ai pas de contre-indications, je veux manger, mais les saignements des gencives, les maux de dents sont très rares, même s'ils apparaissent, je ne prends pas de médicaments ni d'injections, j'insiste simplement sur le fait de pousser l'arrière du nid de racines de l'oreille, puis de boire et de servir de la soupe chaude au gingembre pour résoudre le problème. La soupe au gingembre peut résoudre le problème.
Il est normal que les gencives saignent occasionnellement lors du brossage des dents. Toutefois, si les gencives saignent davantage en mangeant, en se brossant les dents et lorsqu'elles sont gonflées et douloureuses, il s'agit d'un saignement anormal et il convient d'être vigilant.
Maladies courantes qui font saigner les gencives : elles peuvent être à la foisGingivite, parodontite, tartreet d'autres causes locales, mais aussi des maladies hématologiques systémiques telles queHémophilie, leucémie, thrombocytopénieLes saignements peuvent être causés par une coagulation sanguine insuffisante, par exemple. Il est important de se rappeler que le saignement des gencives ne doit pas être considéré comme un problème mineur et qu'il doit être traité rapidement, quelle qu'en soit la cause.En particulier, il est important d'exclure la possibilité de troubles hématologiques.

Voici quelques moyens de prévenir ou d'atténuer le saignement des gencives :
1,vitamine CIl joue un rôle important dans la lutte contre les saignements des gencives. Les utilisations les plus efficaces sont :Prendre de la vitamine C composée à raison de 1000 mg trois fois par jour.Vous devez également consommer des aliments riches en vitamine C, tels queLes légumes tels que le bok choy, les poireaux et les épinards et les fruits tels que les agrumes, l'aubépine et le pamplemousse.
2,vitamine PIl a la capacité de prévenir le saignement des gencives et de renforcer l'activité de la vitamine C. Il peut être obtenu à partir deAubergine, kebana riz, avoine, abricots, pêches, auberginesLa vitamine P est présente dans des aliments tels queLa vitamine P et la vitamine C sont plus efficaces lorsqu'elles sont prises ensemble.
Voici un plat qui peut être utilisé pour lutter contre les saignements des gencives - lepomme de Sodome (Solanum mammosum)(Riche en vitamine C et en vitamine P).

3. se brosser les dents avec une brosse à dents à poils souples immédiatement après les trois repas de la journée.Dentifrice Yunnan Baiyaosoit faire 3 minutes de brossage à la fois et demander un brossage verticalSe rincer la bouche avec de l'eau bouillie tiède et légèrement salée après les repas.。
4,Traitement d'urgence des saignements des gencives : des boules de coton propres trempées dans de la poudre de Yunnan Baiyao pour combler la zone de saignement. S'il n'y a pas de Yunnan Baiyao, vous pouvez également utiliser des boules de coton propres trempées dans de l'eau bouillie légèrement salée, puis combler directement la zone de saignement.
PS : absolument aucune intention de faire de la publicité pour la suspicion de Yunnan Baiyao ah, l'effet est vraiment bon seulement.
Et enfin, une dernière.Remèdes contre le saignement des gencives:Mâchez une quantité modérée de thé vert ou de tisane une demi-heure après les repas.Il peut être utilisé pour traiter les saignements des gencives et peut être efficace à long terme. (Peut être essayé, l'auteur n'a pas été vérifié)
Suivez le titre "Drug Counsellor Army", plus de questions sur la santé et des réponses faciles à lire !
Si vous avez d'autres questions ou opinions, n'hésitez pas à en discuter dans la section des commentaires.

Les gencives de nombreuses personnes saignent lorsqu'elles mangent des fruits ou se brossent les dents.

Les saignements des gencives se divisent en deux catégories : les saignements déclenchés et les saignements spontanés. La cause la plus fréquente est la gingivite. L'accumulation de plaque dans la bouche entraîne la multiplication parasitaire de micro-organismes, ce qui provoque une réaction immunitaire de l'organisme. L'accumulation de plaque pendant plus de 4 à 7 jours se manifeste généralement par des gencives qui saignent lors du brossage. Cette cause de saignement des gencives peut être évitée si un nettoyage efficace est effectué au moins une fois par jour. Lorsque la bouche n'est pas nettoyée efficacement tous les jours, des saignements spontanés peuvent apparaître au fil du temps. Ce phénomène s'accompagne généralement d'une rougeur et d'un gonflement des gencives, ainsi que d'une texture molle des gencives.
Les adolescents et les femmes enceintes sont ceux dont les gencives ont tendance à saigner. Outre la rétention de la plaque dentaire, la production élevée d'hormones sexuelles chez les adolescents peut renforcer l'inflammation des gencives. Les niveaux élevés d'œstrogènes chez les femmes enceintes pendant la grossesse peuvent exacerber l'inflammation des gencives, provoquant un gonflement encore plus important des gencives, et peuvent également entraîner des lésions verruqueuses, qui disparaissent généralement d'elles-mêmes après l'accouchement. Pour la prévention quotidienne de la gingivite, il faut veiller à éviter la production et la reproduction de la plaque dentaire dans la bouche.
L'hypertension artérielle, la leucémie et l'hémophilie sont d'autres causes courantes de saignement des gencives. Chez les patients d'âge moyen et les personnes âgées souffrant d'hypertension artérielle, celle-ci peut facilement provoquer des saignements des gencives, et la plupart d'entre eux se produisent la nuit. La leucémie se manifeste généralement par des gencives gonflées, rouge foncé ou pâles, des ulcères nécrotiques, etc., une fois que le saignement est difficile à arrêter, mais elle s'accompagne également d'un mal de dents sévère. L'hémophilie peut présenter des pétéchies sur le corps en plus des saignements des gencives. Les personnes qui prennent souvent des immunosuppresseurs, des antihypertenseurs ou des antiépileptiques présentent souvent une hyperplasie gingivale dans toute la bouche, les dents de devant supérieures et inférieures étant les plus touchées.
"Happy little doctor" répond à vos questions.
esquissée
Le saignement des gencives est l'un des symptômes les plus courants en dentisterie. Il s'agit d'un petit saignement des gencives spontané ou dû à une irritation mineure. Dans les cas légers, le saignement se limite à la salive et au sang lors de la succion, du brossage ou de la mastication d'aliments durs ; dans les cas graves, le saignement est plus important, voire spontané, lorsque les gencives sont légèrement stimulées. D'une manière générale, l'inflammation chronique des gencives est une cause fréquente de saignement des gencives, de sorte que les saignements des gencives sont surtout observés chez les patients atteints de parodontite et de gingivite ; mais il peut aussi s'agir de manifestations buccales de certaines maladies systémiques, auxquelles il convient d'accorder toute l'attention voulue.
Causes de morbidité
Ils peuvent être divisés en facteurs locaux et systémiques (ou maladies).
1. les facteurs locaux
① Irritation locale de la plaque et du tartre. L'agrégation de la plaque et du tartre peut être déclenchée par l'impaction d'aliments, de mauvaises restaurations, de mauvaises habitudes d'hygiène bucco-dentaire, etc., provoquant une inflammation des tissus parodontaux, telle que la gingivite et la parodontite.
② D'autres irritants locaux (tartre non plaqué) et de mauvaises habitudes. L'inflammation locale, telle que la gingivite hyperplasique et la parodontite, est déclenchée par la stimulation de facteurs mécaniques, chimiques, de mauvaises restaurations, de mauvaises obturations, de mauvais appareils orthodontiques et de la respiration buccale.
(iii) Allergie tissulaire locale. Le contact local avec les allergènes déclenche une réaction allergique qui se propage aux gencives, lesquelles deviennent rouges, gonflées et facilement hémorragiques. C'est le cas de la gingivite plasmocytaire.
④ Traumatisme gingival et chirurgie parodontale.
2. les facteurs systémiques
① Changements endocriniens. Sous l'influence d'hormones sexuelles et de progestérone élevées, les tissus gingivaux sont légèrement stimulés, ce qui déclenche une inflammation non spécifique, entraînant des saignements gingivaux, une exsudation accrue et une hyperplasie gingivale. Les gingivites pubertaires, les gingivites de grossesse et les tumeurs gingivales en sont des exemples.
② Maladies systémiques. Telles que les maladies hématologiques, le diabète, les maladies cardiovasculaires, les anomalies des fonctions hépatiques et rénales, les tumeurs, etc. Le mode de causalité est généralement une diminution de l'immunité systémique, qui entraîne une diminution de la résistance aux stimuli locaux, induisant une inflammation gingivale ; des troubles du système de coagulation ; des changements organiques dans les vaisseaux sanguins, des changements dans la dynamique du flux sanguin et ainsi de suite.
(iii) D'autres facteurs externes qui agissent sur l'ensemble du corps. Par exemple, le tabagisme, la prise de médicaments anticoagulants, etc.
Que dois-je faire si mes gencives saignent ?
1) Utilisez une brosse à dents à poils souples et brossez vos gencives et votre langue, ce qui est bon pour vos gencives.
2, brosser le bord des gencives, ne pas ignorer le bord des gencives facile à accumuler le tartre lors du brossage, incliner la brosse à dents à un angle de 45 degrés, de l'intérieur vers l'extérieur de la brosse, afin d'éviter l'inflammation des gencives.
3, utiliser souvent un bain de bouche, le bain de bouche peut vous aider à éliminer le tartre, il est très utile pour la santé dentaire, il est recommandé de se rincer la bouche chaque fois que l'on mange quelque chose.
4. arrêter de fumer et de boire
5, le tabac et l'alcool font perdre les vitamines et les minéraux nécessaires au maintien de la santé bucco-dentaire ; pour avoir des dents saines, il faut cesser de fumer et de boire de l'alcool.
6, manger plus de légumes crus, les légumes crus contiennent beaucoup de fibres, peuvent aider à nettoyer et stimuler les dents et les gencives pour éviter la gingivite.
7. éliminer le tartre, il faut aller régulièrement chez le dentiste pour nettoyer les dents afin d'éliminer le tartre et de prévenir la gingivite.
Suivez "Happy Little Doctor" pour en savoir plus sur la santé !
Se lever tôt pour se brosser les dents, saigner des gencives ; grignoter une pomme, saigner des gencives, nous rencontrons souvent des saignements de gencives dans notre vie quotidienne. On peut dire que le saignement des gencives est devenu l'un des symptômes courants de l'odontologie, causant de graves problèmes dans la vie des gens. Quelle est donc la cause exacte du saignement des gencives ?

1, maladie des gencives : si vous voyez du sang lorsque vous mangez une pomme, ou s'il y a aussi du sang sur la brosse à dents, cela signifie que vous souffrez peut-être depuis longtemps de gingivite ou de parodontite, en plus de l'hyperplasie gingivale qui est également la raison pour laquelle le saignement des gencives ne peut pas être ignoré.

2, la brosse à dents est trop dure : la brosse à dents est généralement divisée en brosse à dents à poils durs et brosse à dents à poils souples, certaines personnes aiment utiliser la brosse à dents à poils durs, pensant que la brosse à dents à poils durs comparée à la brosse à dents à poils souples brossera les dents plus proprement, si elle est couplée à un brossage trop fort, il est très facile d'endommager les gencives, ce qui entraîne des saignements des gencives.

3, les prothèses ne s'adaptent pas : si vous portez des prothèses qui ne s'adaptent pas, le frottement entre les prothèses et les gencives peut non seulement affecter votre bonne humeur à manger des plats délicieux, mais aussi faire saigner les gencives.

4, le stress : avec l'accélération du rythme de la société, le rythme de vie des gens s'accélère également, la pression devient de plus en plus forte. Si une personne est soudainement stressée, cela peut également entraîner des saignements des gencives et s'accompagner d'une mauvaise haleine.
Ces questions et réponses proviennent des utilisateurs du site, elles ne représentent pas la position du site, s'il y a une infraction, veuillez contacter l'administrateur pour la supprimer.
