Quelles sont les causes de la mauvaise haleine ? Comment s'en débarrasser ?
Quelles sont les causes de la mauvaise haleine ? Comment s'en débarrasser ?
谢邀.
Les métabolites bactériens sont exhalés par la bouche et forment la mauvaise haleine. L'élimination et la réduction des bactéries dans la bouche et le maintien de la propreté buccale sont donc des moyens importants d'éliminer la mauvaise haleine. Les personnes souffrant d'une mauvaise haleine sévère sont le plus souvent victimes d'un plus grand nombre de bactéries buccales.
Il existe plusieurs sources d'odeurs exhalées.
1. la mauvaise haleine provenant de la cavité buccale, qui est à l'origine de 80 à 90 % des cas de mauvaise haleine.
(1) Langue : l'arrière de la langue est l'endroit le plus dense pour les bactéries dans la bouche et la source la plus importante de bactéries salivaires. Il devient la source la plus importante d'odeurs buccales.
(2) La parodontite : c'est la deuxième cause de la mauvaise haleine. Les patients souffrant de parodontite ont généralement une mauvaise hygiène bucco-dentaire et une langue épaisse ; la parodontite et la langue peuvent donc être conjointement à l'origine de la mauvaise haleine.
(3) Autres maladies odontogènes : les caries dentaires non traitées, les mauvaises restaurations, l'impaction alimentaire, l'alvéole sèche, les dents bloquées, les ulcères buccaux, les tumeurs, etc. dans la cavité buccale peuvent produire des odeurs en raison de l'accumulation de bactéries et de résidus alimentaires.
2) Les causes courantes de l'halitose d'origine non orale sont énumérées ci-dessous :
(1) Système respiratoire : fréquent pour les maladies de l'oreille, du nez et de la gorge telles que l'amygdalite chronique ou purulente. Les sécrétions provenant de la rhinite, de la pharyngite chronique, etc. et de la bronchite chronique, etc. peuvent être à l'origine d'odeurs expiratoires.
(2) Système gastro-intestinal : l'acide gastrique refoulé par l'oesophagite de reflux irrite les muqueuses et produit une odeur désagréable.
(3) Anomalies métaboliques : plus explicites, telles qu'un diabète non contrôlé, l'accumulation de carcasses corporelles, peuvent exhaler une odeur de pomme pourrie. L'insuffisance rénale peut produire une odeur de poisson.

La mauvaise haleine n'est-elle pas gênante ? En fait, la mauvaise haleine n'est pas aussi simple que la gêne, il peut encore s'agir d'une maladie !
La cavité buccale d'un être humain normal présente également une certaine odeur. Par exemple, au réveil, la cavité buccale dégage une mauvaise odeur, parce qu'après une nuit de repos, la sécrétion salivaire de la cavité buccale est réduite, les débris alimentaires et la cavité buccale se détachent des tissus muqueux de la corruption, et cette odeur est généralement appelée "mauvaise haleine" ou halitose physiologique. Elle peut être éliminée par le brossage des dents ou le gargarisme. Ce qui dérange vraiment les gens, c'est qu'ils n'arrivent pas à se débarrasser de la mauvaise haleine, et les causes de la mauvaise haleine peuvent être un ou plusieurs des éléments suivants en même temps :
1. l'hygiène bucco-dentaire :Un brossage des dents incomplet ou incorrect entraîne une accumulation importante d'enduit lingual, de plaque, de tartre, de tartre et de débris alimentaires. Les bactéries qui produisent la mauvaise haleine et l'effet de décomposition de ces "substances dangereuses" accumulées en grandes quantités sont à l'origine de la mauvaise haleine. Ce type de mauvaise haleine n'est pas causé par une maladie ou d'autres facteurs pathologiques et peut être éliminé par l'hygiène bucco-dentaire.
2. les maladies bucco-dentaires :La gingivite, les maladies parodontales, les caries et d'autres épisodes inflammatoires peuvent produire des odeurs. La sécheresse buccale peut également être à l'origine de la mauvaise haleine en raison d'une diminution de la production de salive et d'une augmentation de la détérioration bactérienne.
3. les maladies respiratoires :Causée par des maladies des voies respiratoires supérieures et inférieures, telles que la sinusite maxillaire chronique, la bronchite, la pneumonie et le cancer du nasopharynx.
4. l'halitose d'origine alimentaire :Une certaine odeur peut rester dans la bouche après avoir mangé de l'ail, des oignons, du durian et certains condiments épicés.
5. calculs de l'amygdale :Obstruction de longue durée dans les cryptes supérieures des amygdales, mauvais drainage des sécrétions, accumulation de matières caséeuses, ce qui ne facilite pas la dissolution du calcium, du magnésium et d'autres sels inorganiques déposés dans le calcul. Les calculs amygdaliens ont une forte odeur due à leur propre corruption.
6. les maladies intestinales :Les troubles gastro-intestinaux tels que la constipation, l'indigestion et l'hyperacidité peuvent entraîner l'expulsion par l'haleine des odeurs provenant de la détérioration des aliments.
Auteur :
Zhao Dongmei / Nutritionniste public national de grade II / Pharmacien national agréé / Membre de la Société chinoise de nutrition / Chargé de cours de grade II au Collège Hengdian
Racontez-nous une étude de cas dans le monde entier.
Un de mes amis, qui est vendeur et souvent le meilleur vendeur de son magasin, a vu ses performances diminuer régulièrement au cours du dernier trimestre, ce qui s'est traduit par une chute brutale des salaires. L'hypothèque et le prêt automobile n'ont pas diminué, mais les salaires ont chuté, et le stress de la vie est soudain passé au premier plan.

Mais il n'a pas réussi à trouver la raison, il est évident qu'il travaille plus dur qu'avant, mais les clients s'enfuient toujours.Les nouveaux clients sont partis au bout de quelques phrases et les anciens ne l'ont plus fréquenté, ce qui l'a rendu très angoissé et l'a même fait souffrir d'insomnie.
C'est alors qu'un ami m'a approché pour discuter avec moi et j'ai réalisé queIl a un sérieux problème d'halitose, ce qui n'est pas grave s'il ne parle pas, mais lorsqu'il le fait, l'odeur est trop forte pour son nez.Et les vendeurs ne peuvent pas éviter le besoin de parler, ces clients ne veulent pas dépenser de l'argent pour trouver l'infraction, ils partent naturellement.

Comme je suis étudiante en médecine chinoise et que je fais habituellement de la science de la santé, je lui ai envoyé une boîte de thé pour l'estomac, mais je ne m'attendais pas à ce qu'il résolve son gros problème. Aujourd'hui, dès qu'il en a le temps, il me demande de sortir et m'invite à dîner.
Pourquoi l'estomac fait-il toujours mal ?
Autrefois, la vie était si difficile que les gens ne pouvaient pas se permettre de manger ; aujourd'hui, la vie est si rapide que les gens n'arrivent pas à manger à temps.
Le rythme de vie rapide, la pression du travail, l'irrégularité des trois repas, le fait d'avoir trop faim, d'être trop rassasié et d'autres mauvaises habitudes. L'air de rien, mais à long terme, l'estomac fait vraiment mal.
Surtout le jour de l'an, où la famille et les amis ne peuvent se réunir sans un repas copieux.Poulet, canard, poisson et viande tour à tour, gras, sucré, épais et gras à refuser, c'est le temps fort de la bouche, le temps fort de l'estomac à souffrir.

Nous disposons actuellement dePlus de 100 millions de personnesIl souffre de problèmes d'estomac, ne mange pas bien, ne dort pas bien, a une mauvaise haleine et des odeurs corporelles, et son estomac se détériore de plus en plus.
Regardez les "dix maladies de l'estomac", de mauvaises habitudes alimentaires, laissant votre estomac supporter une trop grande pression.
Lorsque l'on parle de problèmes d'estomac, on fait généralement référence à la gastrite (terme général désignant l'inflammation de la muqueuse gastrique). De nombreuses personnes ne prêtent pas attention à la gastrite.De la gastrite au cancer de l'estomac en 4 étapes !

Buvez du thé aux champignons de la tête de singe et au clou de girofle pour nourrir votre estomac.
Pour nourrir son estomac, il faut non seulement manger à l'heure, mais aussi manger quelque chose qui réchauffe l'estomac !
Selon la médecine chinoise, "Le rein est le fondement de l'inné et la rate est le fondement de l'acquis."
Il faut nourrir son estomac avant de pouvoir nourrir son corps, et les champignons tête de singe sont excellents pour nourrir l'estomac.Si vous avez des maux d'estomac et que vous souffrez facilement d'indigestion, il est bon de manger plus de champignons de la tête de singe ! Si vous vous sentez souvent contrarié(e) et ballonné(e), et que vous avez facilement des indigestions, il est bon de manger plus de champignons de la tête de singe !
Les champignons "tête de singe" ont également été présentés dans l'émission "Health Hall" de la télévision de Pékin.

dès leIl est écrit dans le Compendium of Materia Medica : "Le champignon tête de singe est de nature plate, de saveur douce et bénéfique pour les cinq organes".
Et ce que j'ai envoyé à Xiao Li, c'est une tisane de champignons de girofle et de singe. Après l'avoir bue pendant plus d'un mois, sa mauvaise haleine a disparu et son appétit s'est nettement amélioré.

Thé aux champignons Clove MonkeyAmélioration d'une recette millénaireL'adoptionRecette à 7 ingrédientsRéalisé dans le but deAppétissant et favorisant la digestion, renforçant la rate, nourrissant l'estomac, stérilisant et éliminant les toxines gastriques... Beaucoup de mes amis qui l'ont bu ont dit "Cela fait vraiment une différence pour le corps.."
La tisane de champignons de girofle et de singe est basée surLa formule des mille ailes d'orénoncées dansUne recette scientifiquement améliorée pour réchauffer et nourrir l'estomac。
Une formulation modifiée quiSoulage l'indigestion, les douleurs d'estomac, les ballonnements et la nervosité.. Les effets bénéfiques des plantes médicinales sur la santé du corps et les effets néfastes sur la santé de l'homme ne sont plus à démontrer.Pour une alimentation quotidienne, douce et sans effets secondaires。

Soins de l'estomac-Thé aux champignons du singe, qui peutLes toxines et les bactéries qui se sont déposées dans l'estomac pendant des années sont éliminées du corps au fur et à mesure que l'organisme les métabolise !
Idéal pour une boisson nourrissante quotidienne, un sachet par jour, de l'eau chaude, une simple boisson, donnez un bain à votre estomac !

De plus, la tisane de champignons de girofle et de singe est sélectionnée7 herbes naturellescapacitéIl détruit le milieu de vie des bactéries et réduit à zéro le risque d'infection humaine par Helicobacter pylori. Il renforce également la rate, nourrit l'estomac et régule l'organisme.
Chaque jour, préparez une tasse de thé au girofle et au champignon singe, insistez pour en boire pendant 1 mois, les ballonnements et la congestion abdominale n'existent plus, le corps est rafraîchi et devient plus léger et plus confortable.

Si vous en avez besoin, vous pouvez y jeter un coup d'œil~↓↓

L'halitose, communément appelée "mauvaise haleine", est une odeur désagréable émanant de la bouche humaine sous l'action de divers facteurs, qui entraîne une grande gêne et des difficultés dans les interactions interpersonnelles. Dans les cas les plus graves, le patient peut devenir introverti, avoir une faible estime de soi et être réticent à fréquenter d'autres personnes.
Il y a plusieurs raisons à la mauvaise haleine en général :
1) Problèmes d'hygiène bucco-dentaire : en raison de l'absence d'une bonne hygiène bucco-dentaire, certains résidus alimentaires restent dans la bouche, et dans la cavité buccale, sous l'action d'une flore résidente, ils se corrompent, se décomposent et produisent des substances odorantes.
2) Problèmes dentaires : certains problèmes dentaires tels que les caries, la parodontite, les dents de sagesse, etc., en particulier les caries et les dents de sagesse, les caries étant dues à la destruction de la structure interne des dents, les dents de sagesse étant dues à la croissance incorrecte des dents, sont susceptibles de provoquer des incrustations d'aliments et ne sont pas faciles à nettoyer, mais sont également sujettes aux résidus d'aliments, à la corruption et à la décomposition.

3) Problèmes digestifs : la médecine chinoise dit que "l'estomac est chaud et la rate est faible", ce qui peut facilement conduire à l'accumulation de nourriture, et la rétention de nourriture dans l'estomac pendant une longue période peut facilement conduire à l'indigestion, qui peut facilement conduire au reflux et à l'éructation, etc. En outre, le mauvais fonctionnement de l'estomac a également un impact sur la fonction intestinale, ce qui entraîne des troubles de la flore intestinale, un dysfonctionnement de l'accommodement intestinal, une constipation et d'autres symptômes, qui provoquent l'accumulation de toxines dans l'organisme et aggravent les symptômes de l'appareil digestif.
Il existe d'autres raisons, telles que la consommation d'aliments savoureux, d'oignons, d'échalotes, d'ail, de tofu malodorant, etc. Ces raisons peuvent être résolues en faisant attention à l'hygiène bucco-dentaire, mais si vous avez mauvaise haleine depuis longtemps sans pouvoir en trouver la cause, vous devez consulter un médecin à temps.

Réponse : Ye Zi, M.S., M.D.
Bienvenue sur Life Calling pour plus de connaissances utiles en matière de santé.
L'halitose est l'odeur désagréable de l'haleine émanant de la bouche. Ne sous-estimez pas la mauvaise haleine, elle peut être un avertissement de votre corps. La plupart des mauvaises haleines sont causées par des maladies bucco-dentaires.

Pourquoi avez-vous mauvaise haleine ?
La mauvaise haleine survient au réveil ou en cas de faim, ce qui est un phénomène physiologique normal. Cependant, si une odeur désagréable persiste après le brossage des dents, il faut y prêter attention, car elle est probablement due à des infections bactériennes buccales ou à une langue épaisse, etc., la grande majorité des cas de mauvaise haleine étant due à la malpropreté de la bouche. Beaucoup de personnes qui ont mauvaise haleine se posent la même question : je me brosse soigneusement les dents tous les jours, pourquoi ai-je encore mauvaise haleine ? En fait, la cause de la mauvaise haleine est multiple, et de nombreuses personnes ont une mauvaise haleine parce qu'elles se brossent les dents de la mauvaise manière.

La bonne façon de se brosser les dents pour se débarrasser de la mauvaise haleine
1) Avant de se brosser les dents, il convient de choisir un dentifrice et une brosse à dents adaptés ; pour la brosse à dents, il est préférable de choisir une tête de brosse plus petite, qui favorise la rotation de la tête de brosse dans la bouche. Les poils doivent être souples et les filaments de nylon fins, qui ne blessent pas la cavité buccale et sont efficaces pour éliminer le tartre. Choisissez un dentifrice au fluor qui contient la bonne quantité de fluor. Il protège efficacement les dents.
2) Il est préférable de se brosser les dents à l'eau tiède, une fois le matin et une fois le soir, pendant environ 3 minutes à chaque fois.
3) De nombreuses personnes aiment se brosser les dents avant de les brosser à l'eau ou de les rincer à l'eau, ce qui est en fait une erreur, car l'eau réduit la friction entre la brosse à dents et les dents.
4) De nombreuses personnes ont l'habitude de se brosser les dents à l'horizontale, or la brosse horizontale non seulement ne permet pas de nettoyer facilement la saleté, mais elle peut également endommager les dents ; la bonne façon de se brosser les dents est la brosse verticale.
5) Les brosses à dents utilisées pendant une longue période présentent un certain degré d'usure des poils, mais elles sont également propices à la prolifération des bactéries ; il est donc préférable de remplacer la brosse à dents une fois par mois.

D'excellents conseils pour conserver une bonne haleine :
1) Utilisez régulièrement du fil dentaire pour nettoyer les espaces interdentaires.
2) Pour nettoyer la langue, utilisez une brosse à dents et brossez-la délicatement deux ou trois fois à chaque fois que vous vous brossez les dents.
3. prendre un bon petit déjeuner, le petit déjeuner peut nettoyer la bouche et favoriser la sécrétion de salive.
4) N'oubliez pas de vous brosser les dents après avoir mangé des aliments à forte saveur comme l'ail, les oignons, le curry et le café.
1. le manque d'hygiène bucco-dentaire
Le maintien d'une bonne santé bucco-dentaire est essentiel pour réduire la mauvaise haleine. Si vous ne vous brossez pas les dents et ne passez pas le fil dentaire régulièrement, des bactéries nocives peuvent ronger l'émail de vos dents, ce qui peut entraîner des caries. Veillez à remplacer votre brosse à dents tous les deux mois, car de nombreux micro-organismes peuvent être présents dans votre brosse à dents et infecter votre bouche, provoquant ainsi une mauvaise haleine.
2. se réveiller le matin
En vous réveillant le matin, vous pouvez avoir la bouche sèche et sale. Pendant le sommeil, la production de salive ralentit, les bactéries responsables des mauvaises odeurs commencent à se multiplier et, au réveil, vous risquez d'avoir mauvaise haleine. Se brosser les dents et utiliser du fil dentaire avant de se coucher permet de garder la bouche propre pendant la nuit. La salive agissant comme un rince-bouche naturel, essayez de respirer par le nez pour éviter qu'elle ne se dessèche. La meilleure façon de se débarrasser de la mauvaise haleine matinale est de se lever et de se brosser les dents.
3. les aliments que vous avez consommés
Les aliments que vous mangez influencent l'air que vous expirez, en particulier ceux qui ont un goût prononcé, comme les oignons et l'ail. Lorsque vous commencez à mâcher vos aliments, les enzymes présentes dans votre salive entament le processus de digestion, mais une fois que les aliments sont absorbés dans votre système sanguin, ils sont transférés dans vos poumons et expirés. Se brosser les dents, se rincer la bouche avec un bain de bouche ou sucer un bonbon à la menthe ne peut que contribuer à masquer ces odeurs nauséabondes. Éviter certains types d'aliments tels que la viande, le sucre, les aliments riches en graisses et épicés et les produits laitiers peut contribuer à éliminer la mauvaise haleine.
4. fumer
Non seulement le tabagisme laisse une odeur de cendrier, mais la fumée interfère avec le flux de salive dans la bouche, ce qui peut entraîner une sécheresse buccale. Les substances chimiques nocives contenues dans les cigarettes peuvent également être à l'origine de la mauvaise haleine, mais selon l'Association dentaire canadienne, le tabagisme est également à l'origine de maladies cardiaques et de divers cancers, y compris le cancer de la bouche.
5. langue impure
La langue est l'une des causes les plus courantes de la mauvaise haleine. Le "pelage" de votre langue est comme un tapis grossier où les particules de nourriture, les bactéries et les écoulements post-nasaux peuvent s'accumuler, créant ainsi des conditions idéales pour la multiplication des bactéries. La brosse à dents n'est pas le meilleur outil pour nettoyer la langue comme elle l'est pour les dents. Un gratte-langue est un appareil d'hygiène bucco-dentaire utilisé pour nettoyer la boue qui s'accumule à la surface de la langue. Un nettoyage régulier de la langue peut faire une énorme différence dans la qualité de la respiration.
En fait, c'est avec plaisir que ma belle-sœur est venue de la campagne. Elle peut non seulement nous aider à cuisiner et à faire le ménage. Lorsqu'elle est occupée, elle peut aussi aider au magasin.

Cependant, après y avoir vécu pendant seulement deux semaines, je ne pouvais pas être plus heureuse, car ma belle-sœur avait particulièrement mauvaise haleine.
La mauvaise haleine est en fait quelque chose qu'elle connaît parfaitement, mais elle ne peut pas la sentir elle-même, et l'odeur est si mauvaise que je peux la sentir lorsque nous prenons un repas ensemble, sans parler du fait que je vais au magasin pour aider, et que cela a un effet certain sur les clients.
En tant que beau-frère, vous ne pouvez pas mettre votre belle-sœur à la porte. Il faut encore trouver un moyen de remédier à cette mauvaise haleine.
En consultant d'anciens ouvrages médicaux, j'ai appris que la mauvaise haleine était due à un excès de feu dans l'estomac. C'est pourquoi il a d'abord dit à sa femme de ne pas compter sur sa belle-sœur pour manger des plats épicés, mais plutôt des plats légers.

C'est aussi par hasard que je suis tombée sur le dentifrice en poudre Lidu Fang, j'ai lu les ingrédients, il y a des ingrédients pour se débarrasser du feu de l'estomac, le plus important est une formule de dentifrice en poudre de la médecine traditionnelle chinoise, c'est rare sur le marché. Sans hésiter, je l'ai racheté pour ma belle-sœur.

La mauvaise haleine qui gênait ma belle-sœur depuis longtemps a enfin disparu. Nous recommandons cette poudre de brosse à dents à base de plantes, non seulement pour l'effet de la mauvaise haleine, mais aussi pour l'effet des saignements des gencives, qui est particulièrement important. En effet, selon la médecine chinoise, "les gencives sont le réseau de l'estomac". Ci-dessous, vous trouverez une présentation, le besoin d'amis peut être pris en compte sur ↓↓↓↓.
La présence d'une mauvaise odeur dans la bouche est ce que nous appelons souvent la mauvaise haleine. Si vous y prêtez attention, vous pouvez la sentir vous-même, et votre entourage aussi. C'est une chose gênante dans nos interactions pratiques. Il n'y a pas de limite d'âge pour l'apparition de la mauvaise haleine et elle n'est pas caractérisée comme étant de courte ou de longue durée, car elle peut disparaître pendant une courte période, mais elle peut aussi rester présente. Quelles sont donc les causes de la mauvaise haleine ? Comprendre les causes et traiter les symptômes.

Causes de la mauvaise haleine
1. manger. Dans nos recettes, il y a beaucoup d'aliments à forte saveur, comme l'ail, l'oignon, le durian, le poireau, etc. Beaucoup de gens les craignent plus que d'autres, mais il est vrai que les navets et les légumes verts sont propres à chacun, et certaines personnes les aiment bien. Cependant, la mauvaise haleine causée par ces aliments est temporaire et peut être éliminée à court terme.

2. les caries dentaires. Les caries dentaires se trouvent dans la cavité des débris alimentaires, faute d'un nettoyage en temps utile, ce qui entraîne une prolifération bactérienne et une décomposition bactérienne de la fonction de corruption des débris alimentaires dans la cavité buccale, qui dégage une odeur de pourriture. Par conséquent, la réparation en temps utile des caries dentaires est l'un des moyens de résoudre le problème de la mauvaise haleine.
3. les patients atteints de parodontite. Les symptômes de la parodontite comprennent l'inflammation suppurative, et c'est la raison pour laquelle la salive est mélangée à du pus et provoque une mauvaise haleine.

4. les prothèses dentaires. Comme on peut généralement le constater, de nombreuses personnes âgées portant des prothèses dentaires sont tenues de les nettoyer régulièrement. La nourriture a tendance à s'accumuler dans les espaces entre les dents, et encore plus entre les vraies dents et les prothèses, et la zone entre les dents n'est pas facile à enlever avec une brosse à dents, ce qui entraîne l'accumulation à long terme d'une odeur de nourriture avariée.
5. les lésions dans les zones voisines. Parfois, la mauvaise haleine n'est pas causée par la cavité buccale, mais les voies respiratoires sont liées à la cavité buccale et leurs lésions auront plus ou moins d'impact sur la cavité buccale. Outre les parties connexes des lésions, telles que la sinusite chronique, la rhinite, l'amygdalite, le granulome nécrosant, etc. sont des causes possibles de la mauvaise haleine.
En ce qui concerne la question de savoir quelles sont les causes de la mauvaise haleine, tant que la cause part de son point de départ et prend des mesures appropriées pour la traiter ou la résoudre, je pense que la mauvaise haleine ne deviendra pas une nuisance pour nous et qu'elle ne résoudra pas le problème. J'espère que vous vous rétablirez rapidement.
Bonjour, merci pour votre question, en réponse aux symptômes décrits, vous n'avez jamais eu de mauvaise haleine auparavant et vous avez maintenant des symptômes de mauvaise haleine pour les raisons suivantes :
Maladies gastro-intestinales : l'ulcère gastroduodénal, la gastrite chronique, la dyspepsie fonctionnelle, etc. peuvent s'accompagner d'une mauvaise haleine.
Constipation : en cas de constipation prolongée, l'organisme produit des substances nocives qui ne peuvent pas être évacuées en temps voulu, ce qui entraîne une mauvaise haleine, une perte d'appétit, de l'irritabilité et d'autres symptômes.
Pneumonie et maladies nasales : ces deux maladies peuvent également entraîner une mauvaise haleine, en raison de l'inflammation des poumons et de la contamination des gaz produits par l'haleine qui passe par les poumons ; il en va de même pour les maladies nasales.
Maladies systémiques telles que l'insuffisance hépatique : par exemple, l'acidocétose peut présenter un goût de pomme sucrée ou pourrie.

L'odeur d'œuf pourri suggère une maladie bucco-dentaire
Certaines personnes ont souvent une odeur d'œuf pourri dans la bouche, d'autres ont la bouche aigre et d'autres encore ont la bouche pleine d'une odeur putride. ...... La mauvaise haleine est due à des raisons différentes, l'odeur est également différente. D'une manière générale, si vous ouvrez la bouche et que vous sentez une odeur d'œuf pourri, il s'agit pour la plupart de signes de maladies bucco-dentaires. La raison pour laquelle il y a une odeur d'œuf pourri est principalement due au fait que la langue, les crochets des dents, les racines résiduelles et les couronnes de certaines personnes sont cachés dans un grand nombre de bactéries anaérobies et de débris alimentaires, ces bactéries anaérobies dans la décomposition des débris alimentaires en même temps que la production de sulfure, de sorte que la bouche est remplie d'une odeur d'œuf pourri.
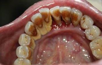
La plaque et le tartre sont à l'origine de la mauvaise haleine
La plaque dentaire et le tartre sont remplis de bactéries anaérobies et de "nutriments" et forment un film protecteur qui empêche ces taches d'être facilement éliminées par la salive. Les bactéries anaérobies décomposent les résidus alimentaires, ce qui donne mauvaise haleine et endommage davantage les gencives. En outre, une langue épaisse et grasse est également susceptible d'héberger un grand nombre de bactéries anaérobies, ce qui est également une cause majeure de mauvaise haleine. Les dommages susmentionnés causés aux dents, aux gencives et au tartre, ainsi que l'infection, sont à l'origine de la parodontite, et la plupart des causes de la mauvaise haleine en général sont liées à la parodontite.

Odeur aigre et putride suggérant une maladie gastro-intestinale
Dans le cas de certaines maladies chroniques, l'haleine est beaucoup plus grave que la mauvaise haleine ordinaire, si l'on se base uniquement sur son "odeur piquante et putride", on sait qu'il ne s'agit certainement pas d'un problème de la cavité buccale. Les patients souffrant de maladies gastriques chroniques ou de reflux gastro-œsophagien ont souvent une haleine aigre ; les patients diabétiques peuvent exhaler une odeur de pommes pourries ; les patients souffrant de maladies hépatiques ont généralement une haleine putride.

Ainsi, sur la base des symptômes décrits ci-dessus, déterminez la cause dont vous souffrez et choisissez ensuite de consulter ou non un médecin ; si le jugement n'est pas clair, il est préférable de consulter un médecin.
Chef de cabinet ~ Gao Shuang (nutritionniste public national de grade II, licencié en médecine traditionnelle chinoise, membre de la société de nutrition, créateur original de la science de la nutrition)
L'halitose est une chose très ennuyeuse, qu'il s'agisse de quelqu'un d'autre ou de soi-même, la mauvaise haleine des autres fumera la sienne, beaucoup de gens ont été attaqués, leur propre mauvaise haleine est encore plus difficile à parler, parler aux gens, entre les mêmes soldats, entre les amants, sont dans une situation très embarrassante. Quels sont les facteurs à l'origine de cette mauvaise haleine ?

Causes de la mauvaise haleine.
Premièrement, elle est due à des problèmes bucco-dentaires, tels que la parodontite, la gingivite ou d'autres maladies bucco-dentaires, ce qui entraîne une mauvaise hygiène bucco-dentaire.
Deuxièmement, sans brossage, les aliments restent dans la bouche, au contact de l'air, ce qui facilite l'oxydation et la formation de substances corrosives, de sulfure.
Troisièmement, la chaleur de l'estomac, les problèmes du système digestif, cette personne voit principalement la graisse corporelle, les personnes pleines d'éclat huileux. En d'autres termes, la médecine chinoise s'adresse aux personnes dont le corps est humide et chaud.

Quatrièmement, le fait de fumer et de boire beaucoup, de se coucher tard, entraîne des troubles de l'état physiologique, des troubles endocriniens, qui conduisent à une sécrétion salivaire insuffisante, une sécrétion salivaire insuffisante entraînant une concentration d'acide trop élevée dans la cavité buccale. La sécrétion salivaire est insuffisante, en plus de se coucher tard, de fumer, il y a des personnes plus âgées à cause de l'hypoplasie organique des glandes salivaires, la sécrétion salivaire est insuffisante, couplée à l'ingestion d'une variété de médicaments conduisant à des problèmes du système digestif peut également être causée.
Cinquièmement, l'infection à Helicobacter pylori, la bactérie Helicobacter pylori dans l'organisme, sera hydrolysée par l'uréase, l'urée, pour former un ammoniac nauséabond.

Comment prévenir la mauvaise haleine ?
Pour développer une bonne hygiène de vie, les habitudes alimentaires, manger plus de fruits et de légumes, trois repas à intervalles réguliers, manger moins d'aliments riches en calories et difficiles à digérer, ne pas fumer et ne pas boire d'alcool, boire de l'eau en quantité suffisante, protéger une bonne hygiène bucco-dentaire, se brosser les dents matin et soir, chaque brossage ne durant pas moins de 2 minutes, et généralement renforcer les activités physiques pour améliorer la résistance à l'invasion des maladies extérieures.
Ces questions et réponses proviennent des utilisateurs du site, elles ne représentent pas la position du site, s'il y a une infraction, veuillez contacter l'administrateur pour la supprimer.