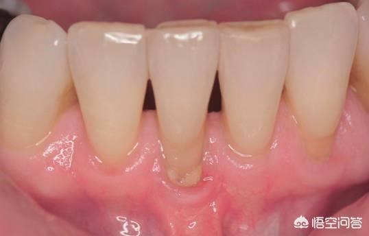
Que puis-je faire si mes gencives se rétractent et que les racines de mes dents sont exposées ?
Que puis-je faire si mes gencives se rétractent et que les racines de mes dents sont exposées ?
Étant donné que les gencives sont irréversibles, il est possible de régénérer le tissu membranaire, ce qui favorise la croissance des cellules souches de la membrane parodontale, de sorte que la régénération du tissu parodontal, les gencives recouvrent lentement la racine de la dent, l'os alvéolaire se développe, mais il est difficile de revenir à la hauteur précédente, de sorte que les gencives n'occupent pas la position du parodonte, les gencives normales repoussent, s'il n'y a pas de membrane parodontale et que les implants dentaires ne sont pas différents, l'os de la racine ne peut pas être déplacé.

Dans quelles conditions les dents souffrent-elles de récession gingivale ?
1. brossage incorrect, en particulier brossage horizontal, la position de la dent n° 3 sera un défaut en forme de coin, et la hauteur gingivale locale est réduite.
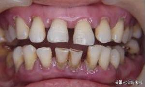
2. L'accumulation de la plaque sur le côté de la gencive, porteuse d'un grand nombre de bactéries pathogènes, stimulera la rougeur et le gonflement du tissu gingival, si la calcification se transforme en tartre, sous la gencive, et même en poches parodontales, la résorption de l'os alvéolaire est sérieuse.
3, avec l'âge, les gencives vont aussi dégénérer, le rétrécissement est évident, mais physiologiquement tout le monde, c'est normal.

Quelles sont les complications de la récession gingivale ?
1. sensibilité dentaire
Les tubules dentinaires sont exposés et extrêmement sensibles à la température, au grattage, etc. Ils sont douloureux lorsque l'on mange des aliments chauds ou froids, et seront donc soulagés par l'utilisation d'un dentifrice antiallergique dans un premier temps, puis se rétabliront d'eux-mêmes par la suite.
2、L'écart entre les dents s'agrandit
Après la stimulation du tartre dentaire avant le détartrage, les gencives entre les dents et les dents ont disparu, après le détartrage l'inflammation se résorbe et le tartre a disparu, naturellement fuyant et souvent bouché, il est recommandé de le nettoyer avec du fil dentaire.

Peu importe que vos gencives soient en train de se rétracter, la chirurgie parodontale, qui consiste à traiter d'abord l'inflammation, permettra de rétablir la hauteur des gencives.
Bienvenue sur le site de [Burning Brothers Dental Society], le Dr Burning Brothers est là pour répondre à vos questions sur la récession gingivale !
Il n'y a rien d'autre à faire que d'essayer une chirurgie des gencives à membrane lorsque les gencives ont reculé.
La chirurgie gingivale membraneuse consiste à transplanter du tissu gingival sain kératinisé autologue dans la zone affectée afin d'élargir la gencive attachée et d'approfondir le sillon vestibulaire. Elle est plus couramment utilisée sur la face labiale de plusieurs dents dans les dents antérieures inférieures. En d'autres termes, il s'agit de démolir le mur est pour réparer le mur ouest.
Il n'est pas rare de voir de tels cas chez le dentiste, et de nombreuses personnes âgées ont des dents de ce type lorsqu'elles ne font pas attention.
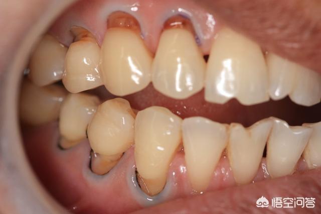
L'accumulation de tartre, l'inflammation des gencives, la maladie parodontale, le déchaussement des gencives et la récession de l'os alvéolaire sont des causes directes de la perte des dents.
Des années et des années de dettes dentaires ne sont pas toujours résolues immédiatement avec de l'argent.

Le tissu parodontal est comme le sol dans lequel les dents sont enracinées, et lorsque le sol est perdu, même si vous souhaitez obtenir un implant dentaire à un stade ultérieur, vous ne pouvez pas en obtenir un seul.
Lorsque la récession gingivale est déjà installée, tout ce que vous pouvez faire, en dehors du traitement chirurgical, est de maintenir le statu quo et d'empêcher les problèmes parodontaux de continuer à s'aggraver.
Le traitement parodontal se concentre sur l'élimination de la plaque et du tartre afin de contrôler la destruction alvéolaire et l'inflammation des gencives et de restaurer la santé des dents et des gencives.
La récession gingivale est un problème bucco-dentaire relativement courant, nous pensons toujours que ce sont les personnes d'âge moyen et les personnes âgées qui sont sujettes à cette situation, en fait, les risques de récession gingivale chez les jeunes sont également très élevés, alors la récession gingivale sera la récession la plus grave, dans quelle mesure ?

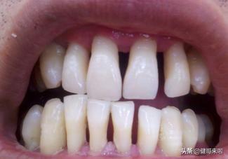
La relation entre les gencives et les dents est comme la relation entre le sol et la plante. Les gencives sont communément appelées le lit gingival. Les gencives normales sont rouges, il n'y a pas d'espace entre les dents et les gencives, elles sont pleines et fortes, complètement enveloppées autour de la racine de la dent, et maintiennent la dent en place.
Nous avons peut-être entendu parler de la récession gingivale. Quelle est donc l'ampleur de la récession gingivale ? En fait, il s'agit d'une récession étendue des gencives, d'un déchaussement des dents et, finalement, d'une perte de dents.

Nous avons peut-être constaté que la récession gingivale est particulièrement visible chez les personnes âgées. Avec l'âge, les gens semblent "rétrécir" dans de nombreux domaines, tels que les muscles et la taille. Mais au contraire, les dents semblent s'allonger, en particulier les incisives, et paraissent plus évidentes. C'est en fait la manifestation de la récession gingivale.

La récession gingivale touche aussi bien les personnes d'âge moyen que les jeunes. Il est donc important de veiller à l'hygiène bucco-dentaire et de se brosser les dents correctement. Brossez-vous les dents au moins deux fois par jour, le matin et le soir. S'il est trop tard, vous pouvez également utiliser un bain de bouche ou du thé pour nettoyer votre bouche.
En outre, les situations telles que les dents bouchées doivent être prises au sérieux en temps utile et ne doivent pas être sous-estimées. La nourriture résiduelle dans l'espace entre les dents, si vous ne l'enlevez pas à temps mais continuez à manger, endommagera les gencives, provoquera une récession gingivale, des abcès, une mauvaise haleine et, en fin de compte, le déchaussement des dents, voire leur chute. Veillez donc à retirer vos dents à temps lorsque vous avez une dent bouchée.

Si la récession gingivale est déjà évidente, il est important de la faire vérifier et de prendre des mesures correctives le plus tôt possible. La parodontite, le tartre, les aphtes, la gingivite, les abcès de gencives, les impactions alimentaires, les plaies de morsure et les prothèses dentaires mal ajustées sont autant d'irritants qui provoquent la récession gingivale. S'attaquer à ces problèmes peut réduire considérablement l'incidence de la récession gingivale.

Pour éviter la récession gingivale, il est important de prendre des précautions pour éviter que nos dents ne soient endommagées sans que nous nous en rendions compte, et si vous avez déjà une récession gingivale, il est encore plus important de s'y attaquer sans tarder.
Que faire si vos gencives se rétractent et exposent les racines de vos dents ?
La récession gingivale qui expose les racines des dents doit être examinée par un médecin afin d'en déterminer la cause, puis un traitement ciblé doit être mis en œuvre.
Les causes de la récession gingivale comprennent la parodontite, une position anormale des dents, un traumatisme occlusal, de mauvaises habitudes de brossage, etc. Certaines personnes âgées peuvent développer une récession gingivale dégénérative, qui est traitée différemment.
(1) Parodontite : les dents atteintes de parodontite forment des poches parodontales, l'os alvéolaire se résorbe et l'épithélium gingival s'attache à une position qui recule ensuite vers la racine de la dent, ce qui entraîne l'exposition des racines et le recul des gencives. Un traitement parodontal systématique doit être effectué pour ralentir le développement de la parodontite, et une chirurgie parodontale peut également être effectuée pour corriger la récession gingivale.
(2) Position anormale des dents : si les dents font éruption dans une mauvaise position, en favorisant le côté buccal ou lingual, les gencives peuvent se rétracter en raison d'une mauvaise morphologie, d'un mauvais nettoyage, d'une accumulation de plaque et d'autres facteurs. Un traitement orthodontique doit être effectué pour corriger le problème de l'alignement anormal des dents afin d'améliorer la forme des gencives et de réduire la rétention de plaque.
(3) Traumatisme occlusal : il peut entraîner la stimulation des dents par des forces anormales, la résorption de l'os alvéolaire du côté de la force et la récession gingivale qui s'ensuit. L'occlusion doit être ajustée.
(4) Mauvaises habitudes de brossage : l'utilisation de brosses à dents à poils trop durs et la méthode de brossage horizontal à grande échelle peuvent stimuler les gencives et entraîner une récession gingivale. Il convient d'enseigner l'hygiène bucco-dentaire, d'utiliser des brosses à dents à poils souples et d'adopter la méthode de brossage Pasteur pour le brossage des dents.
En cas de récession gingivale, vous devez consulter un médecin pour qu'il en identifie la cause et la traite de manière appropriée.
Révision par Ma Shen, médecin-chef adjoint, département d'endodontie, hôpital stomatologique de Tianjin.
Cliquez ici pour plus de détails sur la réponse du médecin
La récession gingivale est irréversible, vous devez tout d'abord effectuer des soins parodontaux, afin que vos gencives ralentissent la vitesse de rétrécissement, essayez de maintenir un état plus sain des dents, la récession gingivale causée par le déchaussement des dents et même la chute, nous recommandons généralement un nettoyage des dents tous les six mois à un an.
La priorité est donnée à une visite chez le dentiste et, en cas de récession gingivale causée par une maladie systémique, comme le diabète sucré, une visite chez un endocrinologue est recommandée.
La récession gingivale est une affection courante et des études ont montré que plus de 50 % des personnes présentent des degrés divers de récession gingivale. Elle est particulièrement fréquente chez les adultes d'âge moyen et les personnes âgées et s'aggrave avec l'âge.

01 Causes de la récession gingivale
Les causes de la récession gingivale se divisent en deux types d'étiologie : l'une est physiologique, généralement liée à l'âge ; plus l'âge est avancé, plus la récession gingivale est grave ; il s'agit généralement d'une stimulation inflammatoire à long terme des tissus parodontaux, ou d'un dommage mécanique, tel que la piqûre d'un cure-dent, le colmatage fréquent des dents, etc.
L'autre type de récession gingivale est d'origine pathologique, comme la parodontite, un mauvais alignement des dents, un brossage incorrect (brossage horizontal ou vigoureux), des maladies systémiques (par exemple, anémie et carence en vitamine C, diabète sucré, patients atteints de leucémie), de mauvaises prothèses (les bords des prothèses dentaires mal adaptées compriment les gencives et provoquent une récession gingivale), et une force de morsure excessive (traumatisme de la morsure causé par l'occlusion qui en résulte, ce qui entraîne une récession gingivale).

02 Symptômes de la récession gingivale
Les premiers symptômes de la récession gingivale ne sont pas évidents, conformément aux gencives rouges et enflées → les espaces entre les dents deviennent plus grands → la couronne devient "longue" → l'exposition de la racine → la sensibilité dentaire dans cet ordre ou la même période, de sorte que le sujet de la tempête de racine a été une situation plus grave, il est recommandé d'aller à un grand hôpital dentaire public pour accrocher un parodontiste ou une consultation médicale générale (cela ne veut pas dire que les hôpitaux dentaires privés ne travaillent pas ou quoi que ce soit, juste que le nombre de patients est plus détaillé division des départements plus de conditions adéquates pour se spécialiser dans la parodontologie). Les hôpitaux dentaires privés ne peuvent pas ou comment, juste un grand hôpital tertiaire division des départements est plus détaillée, le nombre de patients est plus, se spécialiser dans la parodontologie conditions sont plus adéquates).
03 Traitement de la récession gingivale
La récession gingivale est irréversible et le traitement vise principalement à maintenir le statu quo et à prévenir l'exacerbation ou les complications.

La récession gingivale physiologique ne nécessite généralement pas de traitement ciblé. Le meilleur moyen de contrôler la plaque dentaire est un brossage scientifique, un nettoyage dentaire régulier et un examen bucco-dentaire.
La récession gingivale pathologique est plus complexe et nécessite, pour la première fois, un cycle de traitement systématique jusqu'à ce que la progression de la maladie soit maîtrisée. Il faut ensuite éliminer les facteurs de causalité, comme le diabète pour contrôler la glycémie, l'anémie et les carences en vitamines pour cibler les éléments nutritionnels.
Les patients dont les dents sont sensibles en raison d'une récession gingivale peuvent opter pour un traitement de désensibilisation dentaire.
04 Soins de la récession gingivale
①Soins quotidiens
Rincez-vous la bouche après avoir mangé et brossez-vous les dents une demi-heure après les repas.
-Changez régulièrement de brosse à dents, utilisez une brosse à dents à poils souples et corrigez les erreurs de brossage pour éviter de continuer à endommager vos gencives.
-Le dentifrice peut être choisi comme dentifrice anti-sensibilité pour réduire l'inconfort de la sensibilité dentaire.
-Veillez à mastiquer bilatéralement lorsque vous mangez, afin que les gencives de l'autre côté ne continuent pas à reculer.

②Régime alimentaire
-Évitez les aliments épicés, qui irritent les gencives et provoquent des rougeurs, des gonflements, des douleurs et même des saignements.
-Evitez le tabac et l'alcool, la nicotine contenue dans les cigarettes est une substance nocive qui peut également stimuler les gencives ; l'alcool est également très stimulant pour les gencives !
-Éviter les fruits de mer, le poisson, les crevettes et les crabes, etc. peuvent facilement déclencher une sensibilité et irriter les gencives.
-Éviter les aliments durs, qui peuvent endommager les gencives lorsqu'ils sont mâchés.
-Manger plus d'aliments riches en vitamine C/D et en calcium, tels que les oranges, les fraises, le lait, les viandes maigres, etc. et manger plus de fruits et de légumes frais.
③Note
Dans votre vie, vous devez accorder une attention particulière à l'hygiène bucco-dentaire, au traitement parodontal régulier, à l'élimination du tartre et de la plaque dentaire, afin d'éviter que la parodontite ne continue à provoquer une récession gingivale.
05 Prévention de la récession gingivale
La récession gingivale est une maladie irréversible causée par un certain nombre de facteurs, d'où l'importance d'une prévention précoce de la maladie :

-Mangez raisonnablement, essayez d'avoir un apport équilibré en nutriments et ne mangez pas n'importe quoi.
-Corriger la mauvaise façon de se brosser les dents (brossage horizontal, brossage vigoureux, etc.), le brossage scientifique peut être consulté dans les hôpitaux dentaires professionnels, adopter des brosses à dents à poils souples, développer de bonnes habitudes d'hygiène bucco-dentaire et se brosser les dents au moins deux fois par jour.
Examens bucco-dentaires réguliers pour un dépistage et un traitement précoces.
Il devrait s'agir de la rate et de l'estomac. La médecine chinoise visant à tonifier la rate et l'estomac conviendra parfaitement.
L'exposition de la racine est causée par la récession du bord de la gencive vers l'extrémité de la racine de la dent. Ce phénomène est cliniquement courant, certaines expositions radiculaires se produisant sur des dents individuelles et d'autres sur la plupart des dents. Il existe plusieurs causes cliniques communes au recul des gencives et à l'exposition des racines :
- Mauvais brossage des dents.Le brossage avec une brosse à dents aux poils trop durs, un dentifrice aux particules trop grossières et l'utilisation d'une méthode de brossage croisée à la scie peuvent provoquer une récession des tissus gingivaux en raison de l'irritation mécanique et de la friction, et une exposition des racines peut se produire, en particulier dans la zone des cuspides et des prémolaires.
- Position anormale des dents.En raison de facteurs anatomiques qui rendent la plaque osseuse labiale d'une dent mal alignée trop fine, ou même avec une fenêtre osseuse ou une déhiscence osseuse, lorsque cette dent est soumise à un traumatisme occlusal, la plaque osseuse se résorbe rapidement, et il s'ensuit une récession gingivale et une exposition de la racine.
- Effets des forces occlusales et orthodontiques.Lorsque les dents sont soumises à des forces occlusales excessives ou lorsque l'orthodontie déplace les dents en direction labiale, la récession gingivale et l'exposition des racines se produisent souvent en raison de la minceur de l'os alvéolaire et du tissu gingival du côté labial.
- Mauvaise conception de la restauration.Des stimuli indésirables tels que la position basse de la bague de maintien, le bord du pilier qui appuie et le bord de la couronne qui se trouve sous la gencive contribuent également à la récession gingivale et à l'exposition de la racine.
- La parodontite.L'un des changements pathologiques de la parodontite est la résorption de l'os alvéolaire. La résorption de l'os alvéolaire et la diminution du niveau d'attachement parodontal entraînent une diminution de la hauteur du tissu gingival. En outre, la parodontite est traitée pour éliminer l'inflammation, ou certaines des poches parodontales sont éliminées au moyen d'une chirurgie parodontale, ce qui entraîne également un recul des gencives et l'exposition des racines des dents.
Remèdes pour l'exposition des racines :
L'étendue et le degré de récession gingivale varient, tout comme le traitement et les résultats. En cas de récession gingivale uniforme de faible ampleur et d'exposition des racines, aucun traitement n'est nécessaire s'il n'y a pas de symptômes, et une désensibilisation est possible pour les personnes présentant des symptômes d'allergie.
Il faut veiller à éliminer tous les stimuli indésirables susceptibles de provoquer une récession gingivale. Pour des dents individuelles ou quelques dents antérieures présentant une récession gingivale et une exposition de la racine qui affecte l'esthétique, une greffe de lambeau gingival libre ou une chirurgie gingivale à membrane, telle qu'une chirurgie de lambeau de transposition latérale ou une greffe de lambeau de tissu conjonctif, peut être appliquée pour couvrir les surfaces de la racine des dents exposées. La régénération osseuse guidée peut également être utilisée pour le traitement. Pour la plupart des dents antérieures dont les racines sont exposées et qui ne peuvent être résolues chirurgicalement, une gencive prothétique peut être fabriquée pour améliorer l'esthétique.
Chaque cas étant différent, il est conseillé de prendre l'avis d'un professionnel des soins dentaires.
Se brosser les dents pendant trois minutes après chaque repas peut être inconfortable au début, et il se peut que vous vous sentiez mal à l'aise de ne pas vous brosser les dents lorsque vous aurez pris l'habitude de le faire à un moment donné.
Ces questions et réponses proviennent des utilisateurs du site, elles ne représentent pas la position du site, s'il y a une infraction, veuillez contacter l'administrateur pour la supprimer.