Que puis-je utiliser pour conserver mes dents déchaussées ?
Que puis-je utiliser pour conserver mes dents déchaussées ?
Si vous aussi avez des dents déchaussées et que vous ne savez pas comment les sauver, la lecture de cet article vous aidera certainement !
Qui aimerait avoir une bouche pleine de dents blanches et fortes, bien manger, mais avec l'âge ou pour d'autres raisons, la situation des dents déchaussées est apparue, et le plus grand espoir est de pouvoir sauver les dents déchaussées. Alors, lorsque les dents se déchaussent, quelle est la méthode pour conserver les dents déchaussées ? Je vais vous parler de cette question ci-dessous.

Tout d'abord, avant de répondre à cette question, il convient de comprendre certaines des raisons pour lesquelles les dents se déchaussent.
1. les causes physiologiques du déchaussement des dents
Avec l'âge, de nombreuses personnes âgées commencent à avoir les dents déchaussées. Il s'agit d'un phénomène physiologique normal, l'apparition de dents déchaussées montre que les personnes ont vieilli. Le "Classique de la médecine interne de l'Empereur Jaune - Suwen" mentionne ce phénomène : "cinq huit, déclin du qi des reins, chute des cheveux, dents hagardes ......", ce qui signifie que lorsqu'une personne atteint l'âge de quarante ans, lorsque le qi des reins décline, les cheveux commencent à tomber et les dents à se flétrir, il est facile de desserrer les dents. Cela est dû au manque de qi du rein, qui affecte l'apport de nutriments, de sorte que les gencives semblent vieillir et se rétrécir, l'os alvéolaire se rétrécit également et devient plus court, ce qui conduit à un déchaussement des dents.
2. le déchaussement des dents causé par la parodontite
Si, pour certaines raisons, la parodontite affecte non seulement le tissu gingival, mais aussi les fibres de la membrane parodontale, la cavité buccale de diverses bactéries attaque directement les tissus parodontaux, et la parodontite exacerbe à son tour la récession des gencives, ce qui forme un cercle vicieux, détruisant non seulement les gencives, mais affectant également la fermeté des dents, ce qui conduit au déchaussement des dents.
En outre, si le tissu parodontal subit des changements dégénératifs, il est également sujet à la destruction des fibres parodontales ou à la résorption de l'os alvéolaire, ce qui peut entraîner le déchaussement des dents.
3. le déchaussement des dents dû à une mauvaise utilisation des dents ou à des accidents, etc.
Bien que les dents soient les os les plus durs de notre corps, si nous ne les utilisons pas correctement, par exemple, certaines personnes aiment ouvrir une bière avec leurs dents (je faisais cela quand j'étais enfant, mais heureusement je n'ai pas cassé ou desserré mes dents), et certaines personnes aiment mordre dans des aliments durs, etc.
En outre, si nous nous cognons, tombons ou frappons accidentellement nos dents dans notre vie quotidienne, ces forces externes excessives endommageront facilement la membrane parodontale, ce qui affectera les fibres élastiques entre les dents et la membrane parodontale, entraînant ainsi le déchaussement des dents et, dans les cas les plus graves, la chute des dents.

Deuxièmement, quelle est la meilleure façon de conserver des dents déchaussées ?
1) Nourrir les reins avant de soigner les dents
La médecine chinoise considère que "le rein est l'os principal, la moelle osseuse, la moelle est l'essence des reins, et les dents sont le reste de l'os". Par conséquent, du point de vue de la médecine chinoise, les dents sont fermes ou non, s'il existe une relation étroite entre les reins, les dents des personnes normales sont blanches, humides et fortes, parce que le qi des reins est fort et suffisamment fluide ; si l'essence des reins n'est pas suffisante, les dents se déchausseront facilement. C'est pourquoi la médecine traditionnelle chinoise estime que "des dents solides doivent d'abord élever les reins", le qi des reins doit être suffisant pour que les dents soient blanches et solides et qu'elles ne tombent pas facilement.
Par conséquent, dans notre vie quotidienne, nous pouvons consommer davantage d'aliments ou de médicaments traditionnels chinois, tels que le sésame noir, le mûrier, le concombre de mer, le fruit du loup, l'essence jaune, le lotus à encre, le gattilier, le dendrobium, l'écaille de tortue, le bois de cerf, la moelle osseuse, le cuscuta, la ciboulette, les cochenilles, l'eucommia, et ainsi de suite, ou même, sous la direction du médecin, prendre un certain nombre de médicaments chinois brevetés qui remplissent les reins et profitent à l'essence. En outre, il existe de nombreuses formules de médecine chinoise pour les dents fixes, que l'on peut également essayer.
●2. des coups appropriés tous les jours
La médecine chinoise dispose d'une autre méthode pour fixer les dents : après trois repas, il faut frapper 36 fois. La méthode spécifique consiste à fermer doucement la bouche, avant et après les dents, en frappant 36 fois. Le fait de frapper sur les dents favorise la sécrétion de salive, et la salive est l'essence des reins, il y a un "plasma de jade", qui peut être nourri par l'essence des reins, de sorte que vous pouvez atteindre le rôle des reins pour fixer les dents.
●3. traitement de l'inflammation
Une fois la parodontite guérie, les tissus de soutien parodontaux peuvent être régénérés et restaurés, ce qui permet d'améliorer la situation et de renforcer les dents déchaussées.
●4 Fixation dentaire
Les appareils de fixation dentaire sont utilisés pour fixer le déchaussement des dents et, après un certain temps, lorsque la membrane parodontale blessée se rétablit lentement, le déchaussement des dents s'améliore et les dents deviennent également fortes.
5) Veiller à l'hygiène bucco-dentaire et prendre soin de ses dents.
Lorsque vous constatez que vos dents sont déchaussées, vous devez faire attention à votre hygiène bucco-dentaire, insister sur le brossage des dents le matin et le soir, vous rincer la bouche après les repas et maintenir de bonnes habitudes d'hygiène bucco-dentaire, ce qui peut éviter d'aggraver encore le déchaussement des dents. En outre, ne mangez pas d'aliments trop durs, afin d'éviter d'endommager davantage les dents déjà branlantes, mais aussi plus de calcium, afin de fournir suffisamment de calcium aux dents.
III. résumé
En conclusion, le déchaussement des dents ne signifie pas nécessairement qu'elles ne peuvent pas être sauvées, ni qu'elles doivent être extraites, tant que la cause spécifique du problème est abordée et traitée efficacement, alors dans la plupart des cas les dents déchaussement peuvent être sauvées, empêchées d'aggraver le déchaussement, et même soignées pour que les dents deviennent fortes.

Note de l'auteur : Je suis très heureux de vulgariser les connaissances liées à la santé pour tout le monde, je suis gaucher pour dire médical, chaque jour avec un langage simple pour vous de vulgariser les connaissances médicales professionnelles, les mots de code n'est pas facile, si vous aimez mon article, aidez-moi à pointer un éloge ! Si vous avez encore des questions, vous pouvez laisser un message dans la section des commentaires, bienvenue à l'attention, en avant, merci pour votre soutien !
Le déchaussement des dents peut être dû à diverses raisons. Si vous avez l'impression que les médecins des petites cliniques ne sont pas disposés à vous arracher les dents, vous pouvez vous rendre dans un hôpital de confiance dès que possible pour confirmer le diagnostic et le traitement en temps utile.
Voici quelques traitements courants pour les dents déchaussées qui, nous l'espérons, vous aideront :.
1, la parodontite est la principale cause du déchaussement des dents, l'amélioration de l'état de la base parodontale est la clé, un nettoyage régulier, le maintien d'une méthode de brossage correcte, des médicaments bactériostatiques oraux appropriés pour aider à l'investigation des causes de la parodontite, à partir de la racine du traitement.
2. dents déchaussées à la suite d'un traumatisme, consultation et fixation opportunes, qui doivent être effectuées par un médecin, sans trop de détails.
3. Dans le cas d'une diminution des fonctions corporelles causée par le déchaussement des dents, il est possible de procéder à un examen complet après un traitement médicamenteux ciblé.
4. Pour les dents déchaussées, il est possible d'effectuer un massage parodontal pour les soins de santé.
Septembre 2020 Le "Quotidien du Peuple" a publié un article appelant tout le monde à se méfier de cette question, les amis aux dents déchaussées, vous y prêtez attention ? Si vous ne savez toujours pas pourquoi y prêter attention, alors vous devez sérieusement lire cet article Oh~~~.

Le déchaussement des dents peut être dû à diverses raisons, les plus importantes étant les traumatismes dentaires et la parodontite.Parmi les autres étiologies figurent les tumeurs intra-mandibulaires dans la région apicale, les maladies systémiques, les traumatismes occlusaux locaux et l'inflammation périapicale, qui nécessitent tous une attention particulière.
En particulier, la plupart des personnes d'âge moyen et des personnes âgées sont confrontées à un problème de dents déchaussées, ne peuvent pas manger assez fort, ne peuvent pas s'arracher les dents et n'osent pas prendre le risque, sont prises dans le dilemme du dilemme.
"Mes dents ont commencé à se déchausser pour une raison quelconque il y a plus de dix ans, mais je ne sais même pas ce que c'est, ça me fait mal quand je mange, et je ne peux pas forcer pour mordre quoi que ce soit, et parfois ma tête me fait mal à cause de l'enflure ! Je ne le savais pas avant, je ne suis même pas allé chez le médecin, et maintenant je ne veux pas l'enlever, c'est douloureux !". La personne âgée de 79 ans, moncler outlet online, s'est montrée très affligée.

Existe-t-il un moyen de recommencer à manger normalement sans avoir à arracher des dents ?
Il y en a un !!!

Cependant, la première étape consiste à trouver la cause du déchaussement des dents, alors ne tardez pas, consultez un médecin dès que possible !
Les dents déchaussées peuvent être réparées et restaurées à condition d'être traitées à temps, sans avoir à supporter la douleur de l'extraction dentaire. Par exemple, en cas de parodontite périapicale précoce, etc., la chirurgie du canal radiculaire, les patients graves doivent subir une chirurgie apicale, l'ablation de la zone apicale de la lésion peut être, etc.
Lorsque vous constatez qu'une dent est déchaussée, vous devez la réparer le plus rapidement possible et la maintenir en place ! N'arrachez pas la dent à la hâte et ne la laissez pas sans surveillance, car le prix à payer sera une récession gingivale sévère et des difficultés à poser des facettes ou des implants à un stade ultérieur ! Plus le traitement est précoce, plus les chances de conserver la dent déchaussée sont grandes et plus la restauration sera de qualité ! Le plus tôt vous réglez le problème, le plus d'argent vous économiserez !
Après avoir gardé les dents déchaussées, vous n'aurez plus aucun problème à mordre des côtes, à mâcher des cacahuètes ou à manger des galettes de riz !

Grâce à un traitement opportun, les dents déchaussées peuvent être fixées et les racines résiduelles peuvent être restaurées sans qu'il soit nécessaire de procéder à des extractions !Comment les dents déchaussées sont-elles réparées ? Quelle est la durée de la période de convalescence ?
En raison de l'espace limité, il ne sera pas décrit un par un, il est nécessaire de comprendre les amis, bienvenue à me suivre + message privé oh ~ ~ ~ ~
Merci pour votre invitation. Il faut d'abord trouver la cause du déchaussement de la dent.
1. la parodontite.
Causes:1) Accumulation bactérienne, où les métabolites bactériens adhèrent à la surface de la dent et ne peuvent être éliminés par un brossage normal. 2) . Tartre dentaire Le tartre dentaire désigne la plaque minéralisée déposée à la surface de la dent, qui se divise en deux types, le tartre supra-gingival et le tartre sous-gingival, en fonction de son site de dépôt et de sa nature. (1) Le tartre supra-gingival est situé sur la surface de la dent au-dessus de la marge gingivale et peut être vu directement à l'œil nu. (2) Le tartre sous-gingival est situé sur les surfaces des racines sous la marge gingivale, dans les poches gingivales ou les poches parodontales, où il ne peut pas être vu directement à l'œil nu et est plus susceptible de conduire à une parodontite.3). Occlusion traumatique Pendant l'occlusion, si la force occlusale est trop importante ou si elle est exercée dans une direction anormale, elle dépasse la force combinée que les tissus parodontaux peuvent supporter, ce qui entraîne une occlusion qui endommage les tissus parodontaux ; on parle alors d'occlusion traumatique. L'occlusion traumatique comprend le contact précoce pendant l'occlusion, l'interférence avec la dentition et le grincement nocturne des dents. 4). Les impactions alimentaires contribuent également à l'inflammation des tissus parodontaux. La parodontite entraîne souvent le déchaussement d'une ou de plusieurs séries de dents.
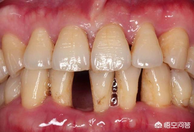
Manifestations cliniques : Outre le déchaussement des dents, il peut s'accompagner d'une congestion, d'une rougeur et d'un gonflement des gencives, de la formation de poches parodontales et, dans les cas les plus graves, de la formation d'abcès.
Traitement : si le déchaussement est inférieur à 2 mm, procéder à un nettoyage supra-gingival ou à un grattage sous-gingival, ajuster l'occlusion, éliminer les impactions alimentaires, utiliser des antibiotiques, inciser et drainer l'abcès, etc. ; si le déchaussement est supérieur à 2 mm, il est recommandé d'extraire, et une forte rétention détruira l'os alvéolaire avoisinant.
2. le traumatisme. Il peut fracturer l'os alvéolaire ou la dent, provoquant un déchaussement transitoire de la dent. Traitement : attelle parodontale pour fixer la dent ou l'os alvéolaire affecté, manger des aliments liquides et mous, et laisser la dent au repos autant que possible. Les fractures graves nécessitent une incision chirurgicale pour une fixation interne.
3. les maladies de la dent elle-même. Inflammation apicale courante, performance, avec douleur occlusale, la dent affectée a une sensation de flottement, peut conduire au déchaussement de la dent. Traitement : vous pouvez d'abord prendre de l'oxaliplatine, du métronidazole et d'autres antibiotiques pour le traitement, puis vous rendre à l'hôpital pour le traitement du canal radiculaire.
4. le déchaussement physiologique, comme le remplacement des dents de lait, la grossesse, etc. En ce qui concerne le traumatisme du déchaussement des dents de lait lors du remplacement des dents, le déchaussement des dents de lait causé par la résorption physiologique des racines des dents de lait lors du remplacement des dents est un phénomène naturel ; il faut faire attention à l'hygiène bucco-dentaire, il n'est pas nécessaire d'extraire les dents et il faut laisser les dents de lait tomber naturellement. Le déchaussement des dents pendant la grossesse ne nécessite qu'une hygiène bucco-dentaire rigoureuse et l'absence d'aliments qui stimulent les dents.
J'ai déjà eu un patient, âgé de 85 ans, atteint d'un cancer de l'intestin après une opération chirurgicale. Tous les indicateurs de guérison étaient très bons, mais après sa sortie de l'hôpital, il a perdu ses dents, les a fait tomber et ne peut plus rien manger, ce qui l'a finalement conduit à une grave malnutrition. En fin de compte, la famille a acheté un mixeur et a décomposé et dissous tous les aliments, afin que le corps puisse s'adapter.
Il existe de nombreuses raisons au déchaussement des dents, pour obtenir de bonnes dents ou pour trouver des contre-mesures à partir de la cause première, il ne faut pas prendre aveuglément des médicaments, car dans la plupart des cas, les médicaments traitent les symptômes, mais pas la cause première.
Quelles sont les causes du déchaussement des dents ?
1. inflammation périapicale
Lorsque la dent est cariée ou traumatisée, les bactéries envahissent le tissu pulpaire et l'infection se propage aux tissus périapicaux et se transforme en inflammation périapicale, la dent se détache, avec une sensation de flottement et une douleur lors de la mastication.
2. la parodontite
Les patients atteints de parodontite présentent des degrés divers de déchaussement des dents en raison de la perte des tissus de soutien parodontaux et de la résorption de l'os alvéolaire englobant la racine de la dent, avec la possibilité de perdre la dent dans les cas graves de résorption de l'os alvéolaire.
3. les traumatismes dentaires
Lorsqu'une dent est soudainement frappée par une force extérieure, une commotion dentaire ou même une fracture de la racine et de la couronne peut se produire et la dent se détache.
Que faire en cas de déchaussement des dents ?
1. traitement de l'inflammation périapicale
Le meilleur traitement des infections périapicales est le traitement de canal. Le médecin utilise des instruments spéciaux pour éliminer l'infection du canal radiculaire et scelle ensuite le canal à l'aide d'un matériau biocompatible afin d'empêcher l'infection de pénétrer à nouveau. Une fois l'inflammation périapicale résorbée, la dent ne se détachera pas et ne donnera pas l'impression de flotter.
2、Traiter activement la parodontite et ralentir la progression de la maladie parodontale
Nettoyage régulier de la bouche, grattage sous-gingival et surfaçage radiculaire si nécessaire, et chirurgie du lambeau parodontal en cas de parodontite sévère. Seul un traitement actif permet de ralentir efficacement la progression de la maladie parodontale.

3. traitement des traumatismes dentaires
Si la couronne n'est pas fracturée et que la dent est déchaussée, le médecin utilisera des matériaux spécifiques pour fixer la dent déchaussée, et la vitalité de la pulpe de la dent devra être vérifiée régulièrement pour voir si la pulpe est normale, et si elle est nécrosée, un traitement du canal radiculaire devra être effectué pour retirer les tissus nécrosés afin d'éviter la propagation de l'infection. Si la fracture de la couronne n'est pas grave, un traitement du canal radiculaire doit être envisagé, suivi d'une restauration de la couronne. Si la racine est fracturée, il faut envisager l'extraction de la dent concernée et la pose d'un implant ou la restauration d'un pont fixe à un stade ultérieur.
★Cette réponse a été fournie par un dentiste, si elle est utile, merci de l'aimer et de la soutenir !
En cas de déchaussement des dents, il faut d'abord en identifier la cause. On distingue généralement le déchaussement physiologique et le déchaussement pathologique.
relâchement physiologique
Le relâchement physiologique est fréquent dans les cas suivantsphase de dentitionChez les enfants, le déchaussement des dents de lait et des nouvelles dents permanentes peut se manifester lorsque les racines des dents de lait sont résorbées ou lorsque les dents permanentes viennent de faire éruption en raison d'un développement insuffisant des racines.
在traitement orthodontiquePendant cette période, les dents se déplacent en raison de la croissance et de la résorption de l'os, et peuvent également devenir légèrement mobiles au cours de ce processus.
Solution:Ce type de descellement physiologique peut être laissé sans traitement, l'observation et le suivi peuvent être effectués.

Le descellement pathologique, avec différentes solutions pour différentes causes.
1. les traumatismes dentaires.Lorsqu'une dent est impactée par une force extérieure, elle peut présenter un mouvement, un déchaussement et une dislocation. Les dents disloquées peuvent également se déchausser après la réimplantation.
Programme de traitement1) Traumatisme des dents non luxées, si l'activité est faible, ne plus utiliser les dents affectées pour mâcher de la nourriture à court terme, afin que les dents affectées se reposent complètement. Si nécessaire, ajuster le point de contact précoce, ou la protection du coussin articulaire pour réduire le contact.2. Pour un degré élevé d'activité, la nécessité d'utiliser le support des dents à côté des dents lâches ligature fixe, de sorte que les dents sont fixées. 2-4 semaines après le retrait des dispositifs fixes.3. Après le retrait des dispositifs fixes après la ligature, s'il y a encore desserrement, l'observation régulière et le suivi, pour informer la possibilité d'extraction.4. Il y a aussi une catégorie de desserrement est la lumière des couronnes lâches, mais les racines des dents ne sont pas lâches, l'enlèvement général des couronnes des dents lâches. En général, la couronne détachée est extraite et la racine de la dent est conservée par un traitement de canal.
2) La maladie parodontale La maladie parodontale est généralement associée à la perte des dents.。
Programme de traitementEn fonction des lésions parodontales et du degré de déchaussement, différents traitements parodontaux peuvent être choisis, généralement le détartrage parodontal, la chirurgie parodontale, la ligature des dents déchaussées et l'extraction des dents affectées !
3. maladie périapicale .En cas d'inflammation dans la zone périapicale de la dent affectée, en particulier en cas d'inflammation aiguë, la dent affectée présente une sensation de flottement et de déchaussement.
Programme de traitementDrainage ouvert + anti-inflammatoire pour soulager les symptômes inflammatoires aigus. Après la disparition de l'inflammation aiguë, en fonction de l'état de la dent, des lésions périapicales, il convient de décider s'il faut procéder à un traitement du canal radiculaire pour conserver la dent affectée, ou à l'extraction de la dent.
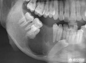
4. les lésions telles que les tumeurs kystiques des mâchoires.Lorsque des kystes, des tumeurs ou d'autres lésions dans l'os de la mâchoire qui renferme les dents altèrent considérablement la qualité de l'os de la mâchoire, les dents situées dans la zone de la lésion se déchaussent.
Options thérapeutiques : traitement chirurgical des lésions de la mâchoire, extraction des dents dans la zone focale ou chirurgie apicale.
En bref, la cause d'une dent déchaussée doit être identifiée afin de déterminer la solution. Il faut espérer que la détection et le traitement soient précoces.
Ma méthode consiste à faire claquer les dents.
J'ai abordé ce sujet en détail dans une précédente question-réponse. Le fait de ne pas avoir pris de pause pour protéger mes dents dans le passé a entraîné la chute de cinq dents, la chute de deux incisives lors d'un accident et le maintien de ces dents, jusqu'à présent tout va bien.
Je me suis fait poser un appareil dentaire à la clinique et c'est à ce moment-là que j'ai pris soin de protéger mes dents. À cette époque, plusieurs de mes dents restantes s'étaient déchaussées. J'ai commencé un programme quotidien de claquement de dents, le matin pendant ma promenade. Cela fait maintenant deux ans que je fais cela 300 fois par jour, et mes dents déchaussées ne sont pas encore tombées, et elles sont de plus en plus fortes.
Avant de m'entraîner à faire claquer mes dents, elles étaient déchaussées et tombaient en moins d'un demi-mois. C'est l'avantage de claquer des dents, et je ne suis pas dentiste, je partage cette information en me basant uniquement sur ma propre expérience.
J'ai également l'habitude de serrer les dents du haut et du bas lorsque j'urine. J'ai appris cela de quelqu'un d'autre et j'ai pris l'habitude de le faire.
Je dois maintenant me rincer la bouche chaque fois que je mange. Le soir, j'enlève mon appareil dentaire, je le rince et le trempe dans de l'eau salée, je me brosse les dents et je vais me coucher. Quand il n'y a rien d'autre à faire, brossez-vous aussi les dents.
J'ai 55 ans et mes dents sont pratiquement normales et ne me gênent pas du tout pour manger, alors je m'en contente. Si vous suivez mes conseils, vous devriez pouvoir conserver vos dents déchaussées.
Chapeau bas aux grands ! Brossez-vous les dents matin et soir.
La première méthode pour faire tomber les dents et réparer les dents, les boissons froides réfrigérées Yee less.
Lavez votre bouche avec votre langue et avalez le liquide de jade, et lavez votre bouche avec du thé après les repas.
Si les dents ne sont pas très déchaussées, il est recommandé d'essayer de conserver les dents d'origine sans traitement d'extraction, mais cela ne peut être conclu que sur la base du diagnostic clinique d'un médecin professionnel. Si le déchaussement est causé par un traumatisme, plus le traitement est précoce, mieux c'est. Les dents légèrement déchaussées peuvent être réparées par un traitement, et en général, les dents peuvent être remises en état.
Si les dents sont déchaussées en raison d'une parodontite, cela se manifeste par la présence de beaucoup de tartre, de triangles noirs dus à la récession gingivale et de saignements des gencives. Pour effectuer un traitement parodontal, la méthode la plus élémentaire est le nettoyage aux ultrasons, le grattage sous-gingival pour enlever les dents autour du tartre, de la plaque et d'autres éléments qui provoquent l'inflammation. En plus d'un auto-nettoyage soigneux des dents (veillez à utiliser du fil dentaire chaque fois que vous vous brossez les dents), vous devrez également effectuer des contrôles réguliers. Si les lésions tardent à se résorber, vous pourrez bénéficier d'un traitement chirurgical parodontal en fonction de la situation, le but principal de ce traitement étant d'éliminer complètement l'inflammation autour des dents et de favoriser la cicatrisation.
Si le déchaussement de la dent est important, la dent excessivement déchaussement doit être extraite et une facette peut être posée à ce moment-là (aucune facette n'est nécessaire pour l'extraction d'une dent de sagesse).
Ces questions et réponses proviennent des utilisateurs du site, elles ne représentent pas la position du site, s'il y a une infraction, veuillez contacter l'administrateur pour la supprimer.