Quels sont les symptômes d'un stade avancé du VIH ?
Quels sont les symptômes d'un stade avancé du VIH ?
Quels sont les symptômes d'un stade avancé du VIH ?
Les dommages causés par le VIH au système immunitaire humain peuvent entraîner une immunodéficience humaine, l'apparition de diverses infections opportunistes et de maladies oncologiques, telles que la pneumonie, la septicémie, la tuberculose, etc. Quelles sont les manifestations spécifiques ?
infection opportunisteIl s'agit de certains agents pathogènes à faible pouvoir pathogène, qui ne peuvent pas provoquer de maladie lorsque la fonction immunitaire du corps humain est normale, mais qui, lorsque la fonction immunitaire du corps humain est affaiblie, profitent de la situation pour envahir le corps humain, ce qui entraîne diverses maladies.
Les infections opportunistes les plus courantes sont les suivantes
1. la tuberculose
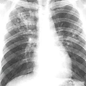
En 2015, environ 390 000 personnes vivant avec le VIH sont mortes de la tuberculose. La tuberculose est la première cause de mortalité chez les personnes vivant avec le VIH en Afrique et la première cause de mortalité chez les personnes vivant avec le VIH dans le monde. Les symptômes comprennent la fièvre, les sueurs nocturnes, la toux, les expectorations, etc.

2. pneumonie bactérienne
Les manifestations cliniques de la pneumonie causée par différentes bactéries varient considérablement, en fonction de l'agent pathogène et du statut immunitaire de l'hôte, par exemple les bactéries gram-négatives. Les symptômes courants sont la fièvre, la toux, les expectorations purulentes ou sanguinolentes, avec ou sans douleur thoracique et, dans les cas graves, la dyspnée, l'accélération de la fréquence respiratoire et l'évasement nasal.
3. la pneumonie à Pneumocystis carinii
Les symptômes comprennent l'essoufflement, la fièvre et la toux sèche, dont l'essoufflement et la toux sèche sont spécifiques. Les patients atteints du SIDA ont une évolution lente et progressive, commençant par une perte de masse corporelle, des sueurs nocturnes, une hypertrophie des ganglions lymphatiques et un malaise général, suivis par les symptômes respiratoires décrits ci-dessus, qui peuvent durer des semaines, voire des mois. 100 % des décès non traités sont dus à une insuffisance respiratoire. La maladie est très symptomatique, mais les signes pulmonaires sont rares et la plupart des patients ne présentent aucune anomalie à l'auscultation des poumons.

4. la cryptococcose
Les patients infectés par le VIH qui présentent une combinaison de cette maladie peuvent avoir un début aigu de la maladie, principalement des maux de tête et des signes d'irritation des méninges, l'état du patient est plus grave, le pronostic est très mauvais.avec un taux de mortalité de plus de 90 %.Cela montre à quel point la maladie est dangereuse.
En conclusion : le stade avancé de la maladie du SIDA est de plus en plus grave, il est donc recommandé de procéder à un diagnostic et à un traitement précoces, car plus le traitement est précoce, plus il est possible de gagner du temps.
Les connaissances relatives au sida peuvent concerner le Dr Li Ping, la route de la santé avec moi !
Au stade avancé du sida, le VIH continue de détruire les lymphocytes T CD4+ de l'organisme, ce qui entraîne une baisse progressive de l'immunité et une vulnérabilité à un certain nombre d'infections opportunistes et de tumeurs.

Qu'entendez-vous par infections opportunistes ?
Les infections opportunistes sont des infections qui ne sont pas faciles à contracter lorsque l'immunité de l'organisme est normale. Par exemple, les champignons sont normalement présents dans la bouche humaine, mais ce n'est que lorsque le système immunitaire est faible que ces champignons peuvent se transformer en micro-organismes pathogènes responsables de maladies, entraînant une inflammation fongique de la muqueuse buccale et une inflammation de l'œsophage.

L'occasion qu'attendent les agents pathogènes est la chute de l'immunité d'une personne !
Infections opportunistes plus courantes
- Pneumonie à Pneumocystis carinii
Les principaux symptômes sont les suivants : fièvre, toux sèche, oppression thoracique et dyspnée s'aggravant progressivement.

- TB
La tuberculose peut survenir en même temps que le SIDA ou avant le SIDA. Au stade avancé du sida, l'immunité est détruite et les bacilles tuberculeux latents deviennent actifs, provoquant la tuberculose. Les principales manifestations cliniques sont les suivantes : fièvre, toux, expectorations, hémoptysie, sueurs nocturnes, amaigrissement et perte d'appétit. Selon des statistiques approximatives, 15 % des personnes infectées par le VIH peuvent développer une tuberculose.

- infection mycobactérienne non tuberculeuse
La présentation de cette infection est quelque peu similaire à celle de la tuberculose. Toutefois, chez les patients atteints d'un SIDA avancé, elle se manifeste souvent par une propagation systémique de la bactérie. Outre les manifestations de la tuberculose, elle peut se manifester par une anémie, une hépatosplénomégalie et une hypertrophie généralisée des ganglions lymphatiques.

- infection à cytomégalovirus (CMV)
L'infection à cytomégalovirus est l'infection herpétique la plus fréquente chez les patients atteints du sida. Contrairement à l'infection à cytomégalovirus qui se manifeste chez les personnes ayant une immunité normale, le cytomégalovirus chez les patients infectés par le VIH est capable d'envahir de multiples organes dans tout le corps, y compris les yeux, le système digestif, le système nerveux central, etc. La choroïdite rétinienne à cytomégalovirus est la plus courante, dans laquelle le patient peut être confronté à des moustiques volants et à une perte rapide de la vision.

- bardeaux
Cela va sans dire. De nombreuses personnes infectées par le VIH découvrent qu'elles sont infectées par le VIH à la suite de l'apparition du zona.

- Autres infections opportunistes
l'encéphalite toxoplasmique, qui se manifeste principalement par de la fièvre accompagnée de signes d'atteinte du système nerveux central. Les infections fongiques sont le plus souvent des infections à Pseudomonas aeruginosa, à Cryptococcus neoformans et à Malnifieldia basketella.

Tumeurs liées au SIDA
Le lymphome non hodgkinien et le sarcome de Kaposi peuvent se développer aux derniers stades du SIDA en raison de l'immunodéficience, où la capacité du système immunitaire à "surveiller" et à "lutter" contre les cellules tumorales est fortement diminuée. La relation entre d'autres tumeurs, telles que les tumeurs pulmonaires, hépatiques et périneurales, et le SIDA fait également l'objet d'une attention croissante.

Quels sont les signes permettant de suspecter l'apparition ou le stade avancé du VIH ?
Avec des lymphocytes T CD4+ <200 dans le corps humain, il est possible d'avoir des symptômes constants, et ces manifestations se multiplient :
- Fièvre inexpliquée, persistante et irrégulière de 38 degrés ou plus depuis plus d'un mois
- Diarrhée durant plus d'un mois
- Infections fongiques orales récurrentes
- Infections récurrentes par le virus de l'herpès simplex et de l'herpès zoster
- Pneumonie récurrente
- La démence chez les personnes d'âge moyen
- Septicémie récurrente
- Infections cutanées fongiques récurrentes
Pour ces symptômes qui apparaissent ci-dessus, ne vous rendez pas au bon endroit si vous n'avez pas été diagnostiqué avec le VIH auparavant. En cas de doute, rendez-vous à l'hôpital et faites-vous dépister pour les anticorps du VIH.

Je suis le Dr Lung du département des infections, j'aime la science médicale, transmettre au public le concept correct de la prévention et du traitement des maladies, c'est ce que je m'efforce de faire tout au long de ma vie, soyez les bienvenus pour ajouter de l'attention !
En fait, si nous essayons vraiment de comprendre le nom complet du SIDA, vous saurez que l'infection initiale par le VIH n'est pas la plus terrible, mais que l'érosion progressive du virus VIH, lorsque le système immunitaire de notre corps s'est complètement effondré pour provoquer l'état le plus terrible, même un simple rhume ne peut pas l'arrêter, sans parler des stades ultérieurs d'une variété de symptômes graves de la maladie, jusqu'à la mort. C'est l'effondrement complet du système immunitaire qui provoque un état que même un simple rhume ne peut arrêter qui est le plus effrayant, sans parler des divers syndromes graves qui surviennent aux stades ultérieurs de la maladie, jusqu'à la mort.
De nombreux patients atteints du sida passent par trois phases : la phase aiguë, la phase asymptomatique et la phase du sida, la phase dite "tardive" étant la phase finale de la phase du sida.Au début de la maladie, un patient atteint du sida peut avoir un rhume, mais aussi une pneumonie, dont le traitement n'a pas un bon effet thérapeutique ; certains patients atteints du sida auront une diarrhée inexpliquée qui ne s'arrêtera pas facilement ; des cloques de taille variable apparaîtront sur la peau, ressemblant un peu à l'herpès zoster et ainsi de suite. Une fois que la maladie a progressé jusqu'à son stade final, elle entre vraiment dans le stade avancé pour les patients atteints du SIDA, avec généralement les symptômes suivants.
Une immunodéficience cellulaire grave, ce qui signifie que les bactéries et les virus peuvent vous attaquer en toute impunité et que vous êtes sans défense parce que le VIH a complètement éliminé les cellules CD4 qui dirigent les principales cellules immunitaires de notre corps dans la bataille, et que vous devez vivre dans un environnement stérile, hermétiquement fermé ;

- L'apparition de tumeurs malignes, notamment le sarcome de Kaposi et le lymphome, et la reproduction cellulaire incontrôlée de l'organisme rendent inévitable la production de tumeurs malignes ;
- Il existe une grande variété d'infections, telles que la pneumonie à Pneumocystis carinii (PCP), les infections fongiques profondes, les infections actives à cytomégalovirus, et bien d'autres encore ;
- Violation des nerfs du tronc cérébral et des nerfs périphériques de notre corps, démence, incapacité à prendre soin de soi, amaigrissement manifeste, hémiplégie, etc. En fin de compte, la personne à côté de vous a beau vous réconforter, vous ne pouvez que la regarder avec les yeux, sans pouvoir réagir.
Ainsi, les symptômes de la phase tardive chez les patients atteints du sida constituent un processus particulièrement torturant, qui ne vous indique pas l'heure de la mort, mais suggère que le temps est compté !
Récemment, je viens d'apprendre le chapitre des maladies infectieuses, et j'ai vu que tout le monde est plus préoccupé par les connaissances sur le SIDA, alors aujourd'hui, le poste de police médicale va vous donner une vulgarisation de ce qu'est le SIDA.
Qu'est-ce que le sida ?
Le SIDA, médicalement connu sous le nom de syndrome d'immunodéficience acquise, est une maladie causée par le virus VIH.maladie infectieuse chroniqueLa première fois que nous entendons qu'il s'agit d'une maladie contagieuse, je pense que beaucoup de gens auront peur. En apprenant qu'il s'agit d'une maladie contagieuse, je pense que beaucoup de gens auront peur et seront même réticents à avoir des contacts avec les malades du SIDA. En fait, il n'y a pas lieu d'avoir peur car le mode de transmission du SIDA est assez particulier.
Quel est le mode de transmission du VIH ?
1:La transmission par le sang, en d'autres termes, vous serez infecté si vous avez un contact sanguin avec un patient atteint du SIDA. En d'autres termes, vous pouvez être infecté si vous avez un contact sanguin avec une personne atteinte du sida, par exemple si vous avez été transfusé avec le sang d'une personne atteinte du sida, si vous avez partagé des aiguilles avec une personne atteinte du sida ou si vous avez été en contact avec une personne atteinte du sida par le biais d'une plaie sur votre corps.
2 : La transmission mère-enfant (TME), qui signifie qu'un bébé né d'une femme atteinte du sida sera forcément séropositif.
3:La transmission sexuelle, beaucoup de gens la voient en supposant que les rapports sexuels seront infectés, mais en fait, tant qu'il y a des mesures de sécurité, il n'y aura pas d'infection.
Quels sont les signes du sida ?
Comme le sida a une longue période d'incubation, et que certains restent même à vie, les patients atteints du sida ne présentent généralement pas de symptômes avant les derniers stades de la maladie. Le VIH s'attaquant au système immunitaire de l'organisme, il ne provoque pas ces manifestations spécifiques chez les patients, et le détecter est donc très difficile.Cellule immunitaire CD4Il sera beaucoup plus bas que celui de la personne moyenne, et l'immunité de l'organisme sera réduite en raison de la diminution des cellules immunitaires CD4 (On peut dire qu'il n'y en a pratiquement pas.), par exemple, alors que les personnes ordinaires guérissent d'un rhume avec une perfusion, les personnes atteintes du sida souffrent d'un problème récurrent et sont sujettes à d'autres infections (en fonction des bactéries présentes dans leur environnement de vie). À cette époque, les malades du sida ont souvent des ecchymoses sur la peau et ils peuvent saigner à tout moment.C'est presque comme un terrain fertile, toute bactérie que vous plantez peut se développer sauvagement dans le corps, comme l'herpès, la syphilis, le cancer du poumon, les tumeurs, toutes sortes de choses qui peuvent apparaître chez les patients atteints du SIDA.
Ainsi, pour le SIDA, mieux vaut prévenir que guérir Oh, en général, nous devrions avoir de bonnes habitudes, ne pas entrer dans des endroits malsains Oh.
Cliquez pour suivre si vous aimez Medical Police Station !
Le stade avancé du SIDA est principalement dû au déclin de la fonction immunitaire, ce qui facilite le développement de toutes sortes d'infections. Certains agents pathogènes qui n'affectent pas les personnes ordinaires provoquent des maladies mortelles chez les patients au stade avancé du SIDA, par exemple la pneumonie à Pneumocystis carinii, dont les principaux symptômes sont la fièvre, la toux sèche, et qui, si elle n'est pas traitée, entraînera bientôt une hypoxie, un essoufflement après une activité, voire une incapacité totale à se mouvoir.
Il existe également une rétinite causée par l'infection à cytomégalovirus, qui peut entraîner une vision floue et, à terme, la cécité. L'encéphalopathie toxoplasmique peut entraîner une hémiparésie et une aphasie. L'encéphalite à cryptocoques peut provoquer de graves maux de tête. Ces agents pathogènes sont généralement contrôlés par le système immunitaire sans provoquer de maladie lorsqu'ils atteignent une personne immunocompétente.
En plus des infections opportunistes, il y aura des tumeurs opportunistes telles que la tumeur de Kaposi et le lymphome.


Il est préférable de ne pas en parler.
Cherchez vous-même sur Baidu, un tel titre de question a été répondu n fois, répété maintes et maintes fois.
Je n'ai jamais vu un vrai malade du sida à un stade avancé, mais j'ai vu des photos, c'est effrayant.
Le sida est la traduction chinoise de l'acronyme AIDS, qui signifie "syndrome d'immunité acquise". Cela signifie que le corps est sous l'action du virus VIH, ce qui entraîne une diminution des cellules T dans l'immunité cellulaire, et la perte de l'immunité cellulaire s'accompagne de l'incapacité de l'immunité humorale à poursuivre son action. Cela signifie qu'une personne perd la capacité de bloquer les agents pathogènes et ses propres mutations. Par exemple, la tuberculose
Les maladies cardiovasculaires, les tumeurs, les pneumonies, etc.
Par conséquent, dans le traitement du SIDA, la médecine chinoise se concentre sur le renforcement de l'organisme. La médecine occidentale se concentre sur la manière de stimuler la présence de cellules T, ainsi que sur la réduction de la quantité de virus.
Ces questions et réponses proviennent des utilisateurs du site, elles ne représentent pas la position du site, s'il y a une infraction, veuillez contacter l'administrateur pour la supprimer.