Qu'est-ce que la cardiopathie hypertensive ?
Qu'est-ce que la cardiopathie hypertensive ?
L'hypertension n'est pas effrayante, ce qui l'est, ce sont les complications qu'elle entraîne !
Les personnes souffrant d'hypertension ne sont souvent pas gênées, ce qui a conduit à ce que près de 150 millions d'hypertendus ne soient pas conscients de leur hypertension, et encore moins qu'ils essaient de la contrôler, avec pour conséquence de nombreuses maladies cardiovasculaires et cérébrovasculaires. La cardiopathie hypertensive doit être mentionnée parmi les complications de l'hypertension !
En d'autres termes, l'hypertension artérielle à long terme provoque une hypertrophie du cœur, ce qui entraîne une insuffisance cardiaque. Le taux de mortalité à 5 ans de l'insuffisance cardiaque est le même que celui du cancer du poumon ; en d'autres termes, l'insuffisance cardiaque est comparable à un cancer.
Puisque nous avons peur du cancer, nous devrions avoir peur de l'hypertension artérielle, car une hypertension artérielle non contrôlée peut évoluer vers une cardiopathie hypertensive, conduisant à une insuffisance cardiaque, qui est le cancer des maladies cardiaques.
Environ 70 % des insuffisances cardiaques sont dues à l'hypertension artérielle, ce qui montre le grand danger des maladies cardiaques hypertensives causées par l'hypertension artérielle.
Qu'est-ce que la cardiopathie hypertensive ?
Un mauvais contrôle de l'hypertension à long terme peut entraîner des modifications structurelles et fonctionnelles du cœur, appelées cardiopathies hypertensives, notamment : hypoplasie diastolique précoce du ventricule gauche, hypertrophie du ventricule gauche (HVG), développement progressif d'une hypoplasie contractile du myocarde et, finalement, insuffisance cardiaque. Certaines études ont montré que 70 % des insuffisances cardiaques sont dues à l'hypertension artérielle ; parallèlement, il peut y avoir des maladies coronariennes, une fibrillation auriculaire et d'autres comorbidités cardiaques connexes.

Comment la cardiopathie hypertensive est-elle causée ?
1, hypertrophie ventriculaire gauche, l'hypertrophie ventriculaire gauche hypertensive se traduit d'abord par l'épaississement du septum interventriculaire, ce dernier est la taille du cycle cardiaque partagé par la partie de la fonction contractile ventriculaire gauche et droite jouent un rôle très important.
2. hypoplasie diastolique, changements structurels et fonctionnels cardiaques précoces dans la maladie hypertensive, l'hypoplasie diastolique représente environ 11 %.
3. Fonction hypocontractile, élévation de la pression à long terme causée par une postcharge excessive, provoquant l'épaisseur de la paroi vasculaire et l'hypertrophie centripète du cœur, la relaxation diastolique est altérée et, en fin de compte, il y a une diminution de la contractilité du myocarde, un élargissement de la chambre cardiaque, une augmentation du volume ventriculaire en fin de diastole, une augmentation de la pression de remplissage du ventricule et de la pression auriculaire, une entrave au retour veineux pulmonaire, l'apparition d'une cardiopathie hypertensive, d'une insuffisance cardiaque gauche aiguë ou chronique.
Il est simple de comprendre que, dans des circonstances normales, notre cœur est confronté à une pression artérielle inférieure à 140/90 mmHg, mais que lorsque la pression artérielle est supérieure à cette valeur, notamment à 210/110 mmHg, il s'agit d'une hypertension artérielle de niveau 3. Notre cœur, chaque minute et chaque seconde de la pression supportée par plus que la normale, une longue période sous haute pression, le cœur se déformera progressivement, l'hypertrophie ventriculaire gauche, la fonction systolique et la fonction diastolique, l'élargissement du cœur, l'insuffisance cardiaque, conduisant à la maladie cardiaque hypertensive, et puis l'insuffisance cardiaque.
L'insuffisance cardiaque est effrayante, mais l'insuffisance cardiaque causée par l'hypertension artérielle est la seule qui puisse être évitée à 100 %. Pensez-y, de nombreuses maladies cardiaques peuvent conduire à l'insuffisance cardiaque, mais la seule qui peut être détectée à temps est l'hypertension artérielle, et tant qu'elle est détectée et contrôlée à temps, elle n'évoluera pas vers l'insuffisance cardiaque.
Cependant, d'autres maladies cardiaques, telles que la cardiomyopathie, sont difficiles à détecter à un stade précoce et, une fois détectées, elles entraînent déjà une insuffisance cardiaque ; par exemple, l'insuffisance cardiaque due à un infarctus du myocarde, parce que nous ne pouvons pas contrôler la zone de l'infarctus du myocarde, ni le moment de la consultation, et qu'il est donc impossible de déterminer si l'infarctus du myocarde entraînera ou non une insuffisance cardiaque.
S'il s'agit d'une hypertension, elle peut être contrôlée efficacement par un mode de vie sain et des médicaments antihypertenseurs, et l'insuffisance cardiaque peut être évitée.
C'est simple, il s'agit de prendre des médicaments antihypertenseurs et de mener une vie saine.
Cependant, une fois que la maladie cardiaque hypertensive s'est développée, il faut non seulement prendre des médicaments antihypertenseurs, mais aussi des médicaments contre l'insuffisance cardiaque, l'insuffisance cardiaque la plus importante continuant à se développer, à s'aggraver, à s'hospitaliser à plusieurs reprises, le taux de mortalité des patients hospitalisés pour insuffisance cardiaque étant de 6 %, si la maladie cardiaque hypertensive s'est développée, les médicaments suivants comprennent : lorazepam, priligy/partial sartans, spironolactone, diurétiques, etc. Ne pas forcer, ne pas faire d'exercice, les rhumes aggravent l'insuffisance cardiaque, manger, boire et retenir son souffle dans la poitrine, ne rien pouvoir faire, devenir presque invalide.
L'hypertension, qui est une chose simple, peut se compliquer de plus en plus si elle n'est pas contrôlée pour développer une cardiopathie hypertensive !
[Copyright Dr Cardiovascular Wang]
La cardiopathie hypertensive, en termes simples, est une hypertension artérielle qui cause des dommages au cœur.
En raison de l'hypertension artérielle chronique, le cœur a besoin de beaucoup de force pour pomper le sang dans les vaisseaux sanguins.Chaque contraction du cœur pour pomper le sang nécessite une intensification de la contraction, leUn tel exercice prolongé peut entraîner une hypertrophie du muscle cardiaque.

La différence est que les muscles tels que les bras sont des muscles squelettiques et qu'ils se renforcent au fur et à mesure que l'on s'entraîne.Au début, on observe une hypertrophie cardiaque et une hypertrophie de l'oreillette gauche. Au fur et à mesure, le myocarde s'épuise et on observe une hypertrophie cardiaque et une hypertrophie ventriculaire, au-delà d'une certaine limite, tout comme un élastique perd son élasticité et ne peut plus se contracter de manière efficace.
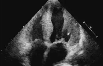
Ces changements constituent une cardiopathie hypertensive et sont détectés à la fois par l'ECG et l'échographie cardiaque.
En outre.Outre les lésions du myocarde, l'hypertension peut affecter les vaisseaux sanguins qui tapissent la surface du cœur.Rendre les parois des vaisseaux sanguins moins lisses et éventuellementDes plaques d'athérome apparaissent, provoquant un rétrécissement de la lumière du vaisseau et une ischémie myocardique.

sauf siContrôle normal de l'hypertensionles dommages causés au myocarde par l'hypertension artérielle sont évités, ce qui permet d'améliorer la qualité de vie des patients.Réduire l'incidence des maladies cardiaques hypertendues.
Concentrez-vous sur la santé, concentrez-vous sur la santé cardiovasculaire Dr Xu !
L'explication la plus simple est que la pression artérielle du patient était chroniquement élevée et qu'elle n'était pas contrôlée efficacement, ce qui a fini par provoquer un état semblable à celui d'un cœur.
L'hypertension est une maladie particulière parmi d'autres, qui ne provoque pas en elle-même de symptômes anormaux chez les patients, mais qui, au contraire, peut endommager et affecter les vaisseaux sanguins des organes concernés et ainsi induire ou aggraver les maladies en question.

L'hypertension artérielle chronique peut endommager les vaisseaux sanguins !
Ne pensez pas que les vaisseaux sanguins n'ont rien à voir avec le cœur. Parmi les nombreuses maladies cardiaques, les vaisseaux sanguins sont la clé de la formation de la maladie coronarienne athéroscléreuse.
Lorsque la pression artérielle du patient est incontrôlable, il y a un impact constant sur les vaisseaux sanguins, et cet impact cause des dommages à leur paroi, une hyperplasie cicatricielle accélérant la formation de thrombus de plaque, rendant la paroi du vaisseau sanguin plus épaisse et plus dure, et l'espace interne devenant plus petit, entravant le flux normal du sang et causant l'ischémie myocardique.

L'hypertension artérielle chronique peut endommager le cœur !
C'est une sorte de déduction plus directe de ce qui est possible.
Lorsque la pression artérielle n'est pas contrôlée, elle affecte les vaisseaux sanguins et contribue à l'apparition d'une ischémie myocardique. Cette ischémie myocardique soutenue à long terme endommage également les cardiomyocytes, qui continuent à se nécroser, et affecte finalement la fonction normale du cœur.
En outre, si la pression artérielle du patient ne peut pas être contrôlée efficacement, l'hypertension artérielle fera augmenter la pression artérielle périphérique, augmentant la charge sur le cœur, cette charge fera que le cœur s'épaissira progressivement pour s'adapter, ce changement dans le remodelage de la structure cardiaque est difficile à inverser, ce qui est cliniquement appelé cardiomyopathie dilatée et hypertrophique.
Qu'il s'agisse de modifications de la fonction cardiaque ou de modifications de la structure du cœur, si elles persistent longtemps ou s'aggravent, elles conduiront progressivement le cœur au "bout du chemin", ce qui est cliniquement connu sous le nom d'"insuffisance cardiaque", stade final du cœur, difficile à traiter et présentant un risque de décès plus élevé. Il s'agit du stade final du cœur, qui est plus difficile à traiter et comporte un risque de décès plus élevé, avec un taux de mortalité moyen pouvant atteindre 50 % dans les cinq ans.

J'espère que ma réponse vous aidera !
Si vous ne comprenez pas quelque chose, commentez et envoyez-moi un message privé !
Tout comme une pompe doit vaincre la gravité pour pomper de l'eau, le cœur pompe le sang pour vaincre la résistance des petits et grands vaisseaux sanguins, cette résistance étant appelée la postcharge du cœur.
Plus la pression artérielle est élevée, plus la résistance est grande et plus le cœur est sollicité. À long terme, la forme et la structure du cœur se modifient de manière significative et des maladies cardiaques peuvent survenir, ou même être dépassées et provoquer une insuffisance cardiaque.
Qu'est-ce qu'une cardiopathie hypertensive ? En termes simples, il s'agit d'une affection cardiaque causée par une pression artérielle élevée.

1) Lorsque la pression artérielle des patients hypertendus est mal contrôlée pendant une longue période, le cœur travaille sous une forte charge pendant une longue période. Au fil du temps (généralement plusieurs années), pour faire face à la surcharge, le cœur subit des modifications structurelles et fonctionnelles, en particulier le ventricule gauche, qui est responsable du transport du sang vers l'ensemble du corps.
2) Au début, il s'agit souvent d'une hypoplasie diastolique du ventricule gauche (le cœur est tendu pendant longtemps et ne peut pas se détendre), d'une hypertrophie du ventricule gauche (pour faire face à la surcharge, le muscle cardiaque devient hypertrophié et plus épais que le muscle normal), et progressivement d'une hypoplasie systolique du myocarde (la capacité du cœur à fournir du sang à l'ensemble du corps est réduite), et finalement d'une insuffisance cardiaque (le cœur n'est plus capable de répondre à la demande de sang de l'ensemble du corps, et un dysfonctionnement de l'ensemble du corps se produit).
3, une étude montre que 70 % des insuffisances cardiaques sont dues à l'hypertension artérielle. Par conséquent, la cardiopathie hypertensive est très préjudiciable aux patients et affecte gravement leur qualité et leur durée de vie.
Le principal changement pathologique dans l'hypercardie est l'épaississement de la paroi ventriculaire, qui peut se manifester comme suit :
1. épaississement centripète uniforme du septum interventriculaire et de la paroi du ventricule gauche sans élargissement de la cavité ventriculaire gauche ; ce type est le plus courant ;
2、La cavité cardiaque gauche est élargie, l'épaississement de la paroi ventriculaire n'est pas évident, montrant une hypertrophie excentrique, ce type est le plus souvent accompagné d'une insuffisance cardiaque gauche ;
3) Un épaississement marqué du septum interventriculaire, accompagné d'un épaississement non uniforme de la paroi postérieure du ventricule gauche, doit être distingué de la cardiomyopathie hypertrophique.


Points de diagnostic par ultrasons :
1. une longue histoire d'hypertension ;
2. épaississement uniforme du septum interventriculaire et de la paroi du ventricule gauche ;
3. hypertrophie du cœur gauche ;
4. diminution de l'amplitude du mouvement de la paroi du ventricule gauche ;
5) Insuffisance relative de fermeture de la valve mitrale.
Identification :
L'hypertrophie asymétrique du septum interventriculaire due à une maladie hypertensive se distingue de la cardiomyopathie hypertrophique principalement par ses antécédents, dans lesquels les échos du myocarde septal sont hétérogènes et grossièrement vitreux, mais surtout atypiques.
L'hypertrophie du cœur gauche et l'hypoplasie du cœur gauche causées par l'hypertension sont difficiles à distinguer de celles causées par la maladie coronarienne à l'échographie et doivent être associées à la coronarographie, aux antécédents et à d'autres informations cliniques ; les principes du traitement clinique sont fondamentalement les mêmes, de sorte que le diagnostic échographique de l'hypertrophie du cœur gauche et de l'hypoplasie du cœur gauche est suffisant.
L'hypertension est souvent à l'origine d'une dilatation aortique qui peut entraîner des complications graves telles que l'anévrisme aortique et l'anévrisme de coarctation. Une dilatation aortique supérieure à 40 mm doit donc faire l'objet d'un examen clinique régulier.
Vous avez certainement entendu parler de l'hypertension artérielle et des maladies cardiaques, mais qu'est-ce que la cardiopathie hypertensive ? La cardiopathie hypertensive est-elle une combinaison d'hypertension artérielle et de maladie cardiaque ? En termes de régime alimentaire quotidien, qu'est-ce qui est bon pour la cardiopathie hypertensive ? Comment traiter la cardiopathie hypertensive ? Laissez-moi vous aider à comprendre.
Qu'est-ce qu'une cardiopathie hypertensive ?
La cause de la cardiopathie hypertensive est la surcharge du ventricule gauche du cœur due à l'hypertension artérielle, et le ventricule gauche s'hypertrophie et se dilate progressivement en raison de la compensation, ce qui entraîne une cardiopathie organique. La cardiopathie hypertensive survient généralement plusieurs années, voire plus de dix ans, après le début de l'hypertension, et peut être divisée en deux périodes : la période de compensation de la fonction cardiaque et la période de compensation de la fonction cardiaque, en fonction des modifications de la fonction cardiaque. Au début, les patients ne ressentent que des palpitations, un essoufflement et une toux lorsqu'ils sont fatigués, qu'ils mangent beaucoup ou qu'ils parlent trop, mais par la suite, les symptômes s'aggravent progressivement et se présentent sous forme d'épisodes paroxystiques, qui se traduisent principalement par une dyspnée paroxystique nocturne avec du sang dans les expectorations, et dans les cas graves, un œdème pulmonaire aigu peut survenir.
Que manger en cas de cardiopathie hypertensive ?
1, boisson au ganoderma lucidum : couper le ganoderma lucidum en morceaux, le mettre dans une casserole, ajouter de l'eau, faire cuire à feu modéré pendant 2 heures, prendre la soupe avec du miel, matin et soir, chaque fois une fois, peut faire baisser la tension artérielle.
2. Œufs durs, le blanc d'œuf pelé et mangé, le jaune d'œuf dans le bol, écrasé, ajouter la bonne quantité de vinaigre, remuer, manger. Pris pendant une longue période, l'hypertension artérielle peut être réduite.
3, bouillie de carottes : 120 g de carottes fraîches hachées, avec 100 g de bouillie de riz à grains ronds.
4, bouillie de céleri : 90 g de céleri racine haché, 100 g de bouillie de riz à grains ronds.
5. Porridge à l'ail : mettre l'ail dans l'eau bouillante pendant environ une minute après l'avoir pêché, puis prendre 100 g de riz à grains ronds dans l'eau à l'ail pour en faire un porridge fin, le réintroduire dans l'ail et le faire cuire pendant un certain temps avant de le manger.
6, bouillie de feuilles de lotus : avec des feuilles de lotus fraîches, une décoction de soupe au lieu de l'eau, avec du riz à grains ronds 100g de bouillie souvent consommée.
7. Porridge de Pueraria lobata : 30 g de poudre de Pueraria lobata, 100 g de riz rond cuit avec du porridge, consommé au petit déjeuner.
Comment traiter la cardiopathie hypertensive
1. contrôle précoce de la tension artérielle
Une réduction précoce de la pression artérielle pour atteindre l'objectif est la première priorité dans le traitement de la cardiopathie hypertensive, et un objectif de tension artérielle inférieure à 140 mmHg doit être envisagé.
2. importance de l'inversion de l'hypertrophie ventriculaire gauche
L'étude Framinghan Heart Study a démontré une réduction de l'hypertrophie ventriculaire gauche et une diminution de la mortalité cardiovasculaire grâce à un suivi à long terme. L'inversion de l'hypertrophie ventriculaire gauche passe par des traitements non pharmacologiques : optimisation du mode de vie, régime pauvre en sel, contrôle du poids, restriction de la consommation d'alcool et réduction de certaines hormones sympathiques telles que l'élévation des catécholamines, l'activation du système rénine-angiotensine (SRA) et le stress. Les inhibiteurs de l'enzyme de conversion de l'angiotensine (IEC) et les antagonistes du récepteur de l'enzyme de conversion de l'angiotensine (ARA) contenus dans les médicaments antihypertenseurs peuvent prévenir l'apparition de l'hypertrophie ventriculaire gauche et de la fibrose myocardique. Des expériences animales et des études humaines ont également confirmé que les antagonistes du calcium (CCB) peuvent inverser l'hypertrophie ventriculaire gauche.
3. traitement de l'insuffisance cardiaque
La probabilité de décès augmente également de façon spectaculaire lorsque l'insuffisance cardiaque devient plus symptomatique. Il est donc important de renforcer la prévention et le traitement de l'insuffisance cardiaque asymptomatique précoce (décompensation cardiaque systolique ou diastolique). Pour l'insuffisance cardiaque systolique, les IEC, les bêta-bloquants, les diurétiques, les ARA et/ou les inhibiteurs de l'aldostérone sont recommandés pour réduire les taux de mortalité et d'hospitalisation. Pour les patients hypertendus souffrant d'insuffisance cardiaque diastolique (insuffisance cardiaque avec fraction d'éjection préservée), il n'y a pas de preuve à ce jour que le traitement antihypertenseur ou tout autre médicament antihypertenseur soit bénéfique. Toutefois, chez ces patients et chez les patients souffrant d'hypertension combinée à une fonction systolique réduite, il convient d'envisager d'abaisser la PAS à moins de 140 mmHg.
4. traitement des maladies coronariennes combinées
Plusieurs facteurs de risque peuvent conduire à une maladie coronarienne, mais la pression artérielle est l'un des plus importants. Les niveaux de pression artérielle sont associés au risque de maladie coronarienne sur une large échelle, et le risque de maladie coronarienne augmente fortement avec une PAS >140 mmHg. Pour les patients hypertendus présentant une maladie coronarienne comorbide, l'objectif de réduction de la pression artérielle est de <140 mm Hg. Les bêta-bloquants sont recommandés pour les patients ayant des antécédents récents d'infarctus du myocarde. Pour les autres patients atteints d'une maladie coronarienne, tous les agents antihypertenseurs sont disponibles, les bêta-bloquants et les antagonistes du calcium étant recommandés de préférence au soulagement des symptômes de l'angine de poitrine.
5. traitement de la fibrillation auriculaire combinée
L'hypertension est la comorbidité la plus fréquente de la FA et peut être un facteur causal réversible de la FA. Le risque de thromboembolie chez les patients souffrant d'hypertension et de FA doit être correctement évalué et, sauf contre-indication, la plupart des patients doivent recevoir une anticoagulation orale pour prévenir les accidents vasculaires cérébraux et d'autres événements emboliques. Les AECI ou les ARA sont recommandés pour prévenir la FA chez les patients souffrant d'hypertrophie ventriculaire ou d'insuffisance cardiaque ; il existe également des preuves que les β-bloquants associés à des antagonistes de l'aldostérone peuvent également prévenir la FA.
Résumé : Grâce à l'introduction de l'éditorial ci-dessus, je pense que vous avez une certaine compréhension de ce qu'est la cardiopathie hypertensive. La cardiopathie hypertensive est une hypertension artérielle qui entraîne une charge du ventricule gauche, le ventricule gauche compensant l'hypertrophie et l'expansion progressives et la formation d'une cardiopathie organique. J'espère que l'introduction de l'éditorial pourra vous aider.
La cardiopathie hypertensive est une atteinte de la forme et de la fonction du cœur causée par une hypertension artérielle de longue durée ; c'est l'une des maladies cardiaques les plus courantes. (Points de diagnostic) 1. Antécédents et principales manifestations : il existe des antécédents d'hypertension sévère ou de longue durée (primaire ou secondaire). Outre les manifestations de l'hypertension, on observe souvent une hypertrophie du ventricule gauche. Signes d'hypertrophie et de dyspnée d'effort. Palpitation, oppression et gêne thoraciques, ces dernières peuvent se traduire par une dépression pulmonaire et une insuffisance cardiaque, ce qui peut facilement compliquer la maladie coronarienne et les performances correspondantes. 2, radiographie. 2, examen radiographique et échographique : hypertrophie du ventricule gauche, élargissement, augmentation du poids de l'oreillette gauche, signes radiographiques dans les poumons et dans le sang. 3, exclure les lésions du ventricule gauche causées par d'autres maladies : insuffisance de la valve aortique, maladie coronarienne, cardiomyopathie primaire, maladie cardiaque syphilitique, etc.
En termes plus simples, il s'agit d'une crise cardiaque causée par une hypertension artérielle chronique non contrôlée.
Nous savons tous que l'hypertension artérielle est nocive pour l'ensemble de l'organisme, et que la chose la plus grave et la plus terrible est de provoquer des maladies cardiovasculaires et cérébrovasculaires. Les patients souffrant d'une cardiopathie hypertensive peuvent développer une hypertrophie cardiaque, un élargissement du cœur ou une insuffisance cardiaque en raison de l'hypertension, qui peut être détectée par un examen échographique.

Dans les premiers temps, les symptômes de l'hypertension peuvent se manifester par des vertiges, des maux de tête et une oppression thoracique, sans autre gêne notable. Au stade du développement, l'hypertension empêche le cœur de pomper le sang en raison d'une pression vasculaire artérielle élevée. Une hypertrophie et une rigidité accrues du myocarde se produisent lorsque le cœur est chroniquement surchargé, ce qui conduit finalement à l'obstruction du sang veineux pulmonaire entrant dans le cœur et à la formation d'une stase pulmonaire. L'augmentation de la demande en oxygène et l'apport sanguin relativement inadéquat dans l'hypertrophie cardiaque conduisent souvent à des épisodes d'insuffisance cardiaque.
Par conséquent, vous devez prendre des mesures actives pour traiter et réguler l'hypertension artérielle lorsqu'elle est détectée.
Qu'est-ce que la cardiopathie hypertensive ?
Pour mieux comprendre la signification de cette maladie, il faut saisir deux mots clés : hypertension (étiologie) et cardiopathie (manifestations cliniques).
Causes de la cardiopathie hypertensive
La cardiopathie hypertensive signifie que cette maladie cardiaque est causée par l'hypertension artérielle, et non par une maladie coronarienne, un diabète ou une cardiomyopathie. La cause de la maladie est claire. Deuxièmement, le nom de la maladie nous indique également que l'hypertension peut se développer en combinaison avec une maladie cardiaque. Les maladies cardiaques sont le résultat d'une pression artérielle élevée.
Manifestations de la cardiopathie hypertensive
La cardiopathie hypertensive, à quoi ressemble-t-elle, est-elle la même que les autres maladies cardiaques ? Je voudrais dire aux lecteurs que ce n'est pas la même chose, c'est très similaire. Le développement de la cardiopathie hypertensive se divise grosso modo en trois étapes :
Le premier stade est celui des modifications électrocardiographiques qui surviennent après l'augmentation de la charge sur le cœur, une période où de nombreuses personnes sont essentiellement asymptomatiques, sauf que lorsqu'un électrocardiogramme est effectué, les descriptions suivantes apparaissent : hypervoltage ventriculaire gauche, hypertrophie ventriculaire gauche, souche hypertrophique ventriculaire gauche.
Le deuxième stade est celui où un problème vient s'ajouter à l'échographie cardiaque et apparaît sur le rapport : fonction ventriculaire gauche hypodiastolique, épaississement du septum interventriculaire ou épaississement de la paroi libre du ventricule gauche, hypertrophie de l'oreillette gauche et hypertrophie du ventricule gauche. Ce stade est souvent symptomatique et peut se traduire par des crises de panique et un essoufflement.
Le troisième stade est celui des symptômes évidents, lorsque l'insuffisance cardiaque s'installe. Les patients peuvent avoir l'impression de ne pas pouvoir respirer suffisamment après une activité, de retenir leur souffle, et leur capacité à monter les escaliers est considérablement réduite par rapport à ce qu'elle était auparavant. La nuit, le patient ne peut pas se coucher à plat et se met sur un oreiller haut, et dans certains cas, il se réveille en suffoquant dans son sommeil et doit s'asseoir pour se soulager.
C'est l'évolution générale de la cardiopathie hypertensive.
Maladie cardiaque qui n'est pas une cardiopathie hypertensive
L'hypertension est une maladie liée à l'athérosclérose, mais lorsque l'athérosclérose touche les artères coronaires, si elle provoque une ischémie myocardique, il s'agit d'une maladie coronarienne. Bien que l'hypertension contribue grandement au développement de la maladie coronarienne, cette dernière n'est pas encore une maladie cardiaque hypertensive.
L'arythmie est un phénomène aux causes complexes, et la fibrillation auriculaire peut également survenir chez des patients souffrant de troubles hypertendus qui entraînent une hypertrophie du cœur, ou, en d'autres termes, la fibrillation auriculaire a été associée à l'hypertension, mais cette affection ne peut pas non plus être qualifiée de cardiopathie hypertensive, comme c'est le cas pour les battements prématurés.
attention (heed)La maladie cardiaque hypertensive est un type de maladie cardiaque dans lequel la structure et la fonction du cœur sont altérées en raison d'une élévation prolongée de la pression artérielle.
1. les principales bases diagnostiques de la cardiopathie hypertensive (les deux points doivent être remplis) :
① Antécédents clairs d'hypertension
(ii) Il y a des changements associés au type structurel du cœur, y compris des changements tels que l'épaississement du septum et la dilatation ventriculaire.
2. les problèmes cliniques courants et les médicaments :
Dans la pratique clinique, certains patients présentent une simple hypertension comme symptôme clinique ; d'autres souffrent à la fois d'oppression thoracique et d'essoufflement en raison de changements dans la structure et la fonction du cœur, ce qui entraîne une altération de la fonction cardiaque. Cependant, en termes de traitement, les cliniques d'aujourd'hui n'utilisent généralement pas la cardiopathie hypertensive comme diagnostic clinique, alors que ce diagnostic reflète les dommages causés par l'hypertension aux organes cibles correspondants.
Si le patient a subi des changements dans la structure de son cœur, en termes de médicaments, la préférence doit être donnée aux inhibiteurs de l'enzyme de conversion de l'angiotensine, les deux Prilosec ; les bêta-bloquants sont représentés par les médicaments métoprolol et bisoprolol.
La cardiopathie hypertensive, comme son nom l'indique, est essentiellement causée par l'hypertension. L'hypertension n'augmente pas seulement la charge de pression et la charge de capacité du cœur, mais entraîne également un remodelage du myocarde par une série d'anomalies dans la régulation neurologique, humorale et cytokinique, ce qui conduit finalement à une cardiopathie hypertensive, caractérisée par une hypertrophie et une dilatation du ventricule gauche.

Selon l'effet sur la fonction cardiaque, la cardiopathie hypertensive peut se manifester par une insuffisance cardiaque gauche ou une insuffisance cardiaque droite.
Les symptômes sont une dyspnée après l'activité et un malaise prédominant.

En fonction des modifications myocardiques, le myocarde ventriculaire gauche de la cardiopathie hypertensive peut présenter une hypertrophie centripète (c'est-à-dire un épaississement du myocarde) et une hypertrophie centrifuge (c'est-à-dire une augmentation du volume du ventricule gauche).
L'exacerbation aiguë de la maladie peut souvent être déclenchée par des événements tels qu'une infection, un effort, des changements émotionnels, des troubles électrolytiques, des arythmies cardiaques, la grossesse et l'accouchement.

Ces questions et réponses proviennent des utilisateurs du site, elles ne représentent pas la position du site, s'il y a une infraction, veuillez contacter l'administrateur pour la supprimer.