Est-il dangereux de faire un cardiogramme ?
Est-il dangereux de faire un cardiogramme ?
Bonjour, je suis le Dr Knowles Blue.
L'imagerie cardiaque que vous avez mentionnée, qui représente la plus grande proportion, est l'étalon-or utilisé pour diagnostiquer la maladie coronarienne - la coronarographie. Ces dernières années, l'incidence de la maladie coronarienne dans notre pays est de plus en plus élevée, et les jeunes sont de plus en plus nombreux. Dans les hôpitaux provinciaux et municipaux de médecine interne cardiovasculaire, la coronarographie est un repas courant, et même dans certains hôpitaux de comté, un grand nombre de coronarographies et de thérapies interventionnelles coronariennes sont également pratiquées. Les médecins et les patients sont habitués à la coronarographie. En fin de compte, quels sont les effets néfastes sur l'organisme ? Nous allons ensemble comprendre comment faire une coronarographie ? Quels sont les dangers ? Quelles sont les solutions ?

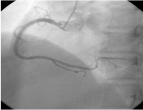
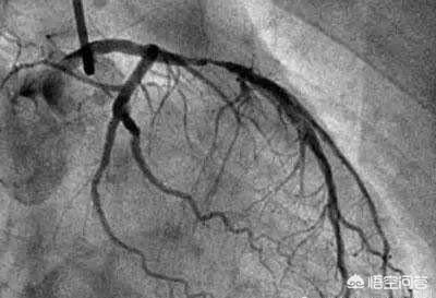
La coronarographie consiste à prendre des photos et des vidéos des artères coronaires.
- Un système circulatoire fantastique :Les vaisseaux sanguins artériels du corps humain sont le pont qui relie le cœur aux différents tissus et organes, tout comme le système de canalisation d'eau d'une ville, le long de n'importe quel tuyau contre l'écoulement de l'eau, peut finalement atteindre la tête de la source d'eau, l'angiographie coronarienne utilise le principe de.À partir d'une artère de la main (l'artère radiale, où l'on prend le pouls) ou d'une artère à la base de la cuisse, un minuscule cathéter est acheminé jusqu'au cœur à contre-courant, et les artères coronaires du cœur sont examinées.

- Les produits de contraste "éclairent" les artères coronaires :Les artères coronaires du corps humain sont relativement petites : le tronc principal des artères coronaires ne mesure que cinq ou six millimètres, certaines des branches les plus importantes mesurent environ deux ou trois millimètres, et les autres sont des branches encore plus petites ; ces vaisseaux sanguins sont reliés aux tissus environnants et sont recouverts par les os, les muscles, etc. devant eux. Lors de la coronarographie, un agent de contraste est injecté à l'intérieur du cathéter mentionné plus haut afin de remplir les artères coronaires d'agent de contraste.L'agent de contraste est un médicament imperméable aux rayons X qui "illumine" les artères coronaires pendant la coronarographie afin que nous puissions voir clairement la distribution, la taille et la présence de sténoses et d'obstructions dans les artères coronaires.

- La DSA (Digital Subtraction Angiography) est une caméra pour les vaisseaux sanguins :L'équipement utilisé pour prendre des photos des artères coronaires mentionné plus haut est le DSA, qui est en fait également une forme d'examen aux rayons X, capable de prendre des photos et d'enregistrer des vidéos des différentes artères coronaires sous de multiples angles tout en injectant le produit de contraste, ce qui peut être considéré comme un angle de 360 degrés sans issue, et ces photos et vidéos peuvent être déposées sur un CD-ROM pour être facilement conservées et analysées.C'est parce que la coronarographie permet d'obtenir des photographies et des vidéos d'une telle clarté que la coronarographie est l'étalon-or du diagnostic de la maladie coronarienne.

La coronarographie est l'examen de référence pour le diagnostic de la maladie coronarienne et elle est très efficace, alors pourquoi tout le monde ne la subit-il pas ? Quels sont les dangers ?
La coronarographie n'est généralement pratiquée que chez les patients présentant une forte suspicion clinique de maladie coronarienne. Elle n'est pas recommandée pour tous les patients, d'une part parce qu'il existe de nombreuses maladies à l'origine de l'oppression thoracique et de la douleur thoracique, et d'autre part parce que la coronarographie est un examen invasif qui comporte certains risques.
- Blessure par perforation du vaisseau :L'artère de la main mentionnée précédemment et l'artère à la racine de la cuisse sont les vaisseaux d'entrée pour la coronarographie et sont équivalents à une porte par laquelle tous les fils-guides, cathéters et gaines artérielles pénètrent dans le vaisseau, et après l'opération, la zone est comprimée avec de la gaze pour arrêter le saignement.Cette zone est susceptible de provoquer des saignements, des hématomes, des fistules artério-veineuses et des infections.

- Lésions des artères coronaires :La coronarographie consiste à envoyer un cathéter dans les artères coronaires pour injecter le produit de contraste, qui est dur et rugueux par rapport à la paroi lisse des artères coronaires.Le risque de lésions de la paroi interne des artères coronaires, voire de piégeage artériel, met donc la vie en danger.

- Rayons X :Les coronarographies sont radioactives parce qu'elles impliquent la prise de photos et l'enregistrement de vidéos sous plusieurs angles et dans plusieurs directions, de sorte que vous recevez beaucoup plus de radiations que si vous passiez une seule radiographie du thorax ou un scanner.Les rayonnements ionisants sont associés de manière prévisible aux tumeurs malignes, aux malformations fœtales, etc.

- Allergie aux produits de contraste :La plupart des produits de contraste actuellement utilisés en clinique contiennent de l'iode, qui peut provoquer des allergies.Les allergies légères peuvent se manifester par des démangeaisons et des éruptions cutanées, tandis que les allergies graves peuvent entraîner un choc anaphylactique et des difficultés respiratoires.

- Néphropathie aux produits de contraste :L'agent de contraste injecté dans les artères coronaires doit finalement être excrété par les reins, et il est possible que l'agent de contraste provoque des lésions rénales, qui se manifestent par une insuffisance rénale.Dans les cas graves, une insuffisance rénale aiguë se produit.

Connaître son ennemi, mettre l'accent sur la prévention pour minimiser les dangers de la coronarographie
Bien qu'il ait été mentionné précédemment que la coronarographie peut entraîner un certain nombre de complications, nous ne devrions pas jeter l'éponge et renoncer à manger par crainte de nous étouffer, et lorsque le moment est venu de le faire, il est toujours nécessaire de le faire, et l'important est de savoir comment minimiser les dommages.
- Indications sélectionnées :Le moyen le plus direct d'éviter les effets néfastes de la coronarographie sur l'organisme est de ne pas effectuer cet examen, ce qui oblige le médecin cardio-vasculaire à surveiller strictement les indications et à les analyser sur la base des antécédents fournis par le patient, ainsi que d'autres examens.L'imagerie ne doit être pratiquée qu'en cas de forte suspicion clinique et ne doit pas être une décision hâtive.

- Manipulation habile et douceLa coronarographie est une tâche technique, et c'est en forgeant qu'on devient forgeron. Ce n'est qu'en la pratiquant plus souvent, en répétant des spéculations et en sachant la résumer, que l'on peut la maîtriser avec aisance.Avoir une "main de dame" aussi douce que possible, minimiser le temps d'exposition aux rayons X, la quantité d'agent de contraste utilisée et le temps nécessaire au patient pour recevoir les radiographies.Cela réduit les lésions vasculaires et l'incidence de la néphropathie de contraste.

- Prévention de la toxicomanie :Pour les patients qui sont plus susceptibles de présenter une fonction rénale anormale, tels que les personnes âgées, l'hypertension, le diabète, les maladies rénales sous-jacentes, les reins unilatéraux, etc.La néphropathie de contraste peut être évitée en administrant une solution de chlorure de sodium par voie intraveineuse avant et après l'intervention et en demandant au patient de boire beaucoup.Les personnes souffrant d'insuffisance cardiaque sont soumises à d'autres règles concernant les liquides et l'eau.Pour les personnes souffrant d'allergies, il est nécessaire d'utiliser préventivement des médicaments antiallergiques et d'avoir des médicaments de secours à portée de main.

En conclusion, la coronarographie a une valeur diagnostique importante pour les maladies coronariennes et constitue l'étalon-or. Les médecins cardiovasculaires de tous les niveaux hospitaliers sont capables de réaliser une coronarographie avec compétence après une formation formelle. Cependant, il existe toujours un risque de complications, telles que les lésions des vaisseaux de ponction, les lésions de l'artère coronaire, l'allergie au produit de contraste, la néphropathie au produit de contraste, les complications liées aux rayons X, etc. Une bonne sélection des indications, une technique habile, une manipulation délicate et les médicaments nécessaires peuvent réduire efficacement l'apparition de complications.
Suivez Dr Know Your Heart Blue pour en savoir plus sur le cœur.
La cardiographie, généralement appelée coronarographie, est un examen invasif qui présente certaines complications et n'est pas un examen de routine pour vérifier l'état des artères coronaires.
Certaines personnes peuvent ressentir une douleur occasionnelle dans la partie antérieure de la poitrine, mais l'ECG, l'échographie, l'électrocardiogramme ambulatoire de 24 heures, etc. n'ont détecté aucun problème, mais elles craignent d'avoir un problème au niveau de leurs artères coronaires. La réponse est non. Nous disposons d'un examen tomodensitométrique coronaire plus simple et plus pratique, appelé CTA (angiographie par tomodensitométrie).

Mon grand-père a été hospitalisé pour une oppression thoracique, des douleurs dans la poitrine et des saignements d'estomac, et une échographie cardiaque a également révélé des problèmes plus graves au niveau de plusieurs valves de son cœur. Le médecin voulait voir s'il y avait un problème au niveau de l'artère coronaire de mon grand-père, et il y avait deux façons de le faire : une coronarographie et un scanner coronaire.
La coronarographie est l'examen de référence pour vérifier les artères coronaires.Si le médecin envisage à la fois l'examen et le traitement, il opte généralement pour une ponction de l'artère fémorale en vue d'une coronarographie. Si l'examen est le seul objectif principal, la ponction de l'artère radiale pour l'angiographie est généralement choisie.
L'angiographie par ponction de l'artère fémorale nécessite 24 heures de repos au lit.La longue période pendant laquelle le patient ne peut pas plier et bouger la jambe percée entraîne une plus grande gêne et augmente la difficulté pour les membres de la famille de s'occuper des patients peu coopératifs.
L'angiographie par ponction de l'artère radiale est beaucoup plus simple à réaliser, sans difficulté supplémentaire pour la famille et avec plus de confort pour le patient.

La coronarographie est aujourd'hui une procédure relativement simple, mais il existe encore des complications.
L'allergie aux produits de contraste, qui donne généralement lieu à un test d'allergie, est relativement rare.
La ponction entraîne une rupture artérielle, qui est liée au niveau de l'opérateur, à l'état des vaisseaux sanguins du patient et à la coopération chirurgicale du patient. Comme la formation d'un hémangiome, d'une fistule artérioveineuse, d'un hématome du cou, d'un hématome rétropéritonéal, etc. J'ai sauvé un patient souffrant d'une obstruction respiratoire après la formation d'un énorme hématome dans le cou. Peu fréquent.
Réflexes vagaux, une vagogénèse sévère peut entraîner un arrêt cardiaque. Ce phénomène doit être surveillé de près par le chirurgien afin de le prévenir à temps.
La tamponnade péricardique, si elle se produit, nécessite un drainage péricardique immédiat, voire une intervention chirurgicale.
Infarctus des autres organes. Peu fréquent.
Vascularite, où les vaisseaux sanguins peuvent s'enflammer à cause d'une infection ou d'autres causes.
La coronarographie étant un examen invasif qui peut être dangereux, elle n'est pas utilisée en routine pour le dépistage des maladies coronariennes. Si une personne ordinaire doit faire contrôler ses artères coronaires, elle peut envisager une tomodensitométrie coronaire.
Mon grand-père n'a pas subi de coronarographie parce qu'il présentait lui-même des symptômes d'hémorragie gastrique et qu'il n'était pas un bon candidat pour une coronarographie.Sinon, cela augmente les risques d'hémorragie gastrique. Mon grand-père a subi un scanner coronarien, qui s'est avéré être un gros problème et a révélé qu'il souffrait d'une coarctation aortique, puis d'une sténose aortique sévère.

Le scanner coronaire permet de diagnostiquer l'athérosclérose coronaire, l'aortite, l'anévrisme aortique et la coarctation aortique. Tout le monde ne devrait pas subir un scanner coronaire, mais un spécialiste jugera si un scanner coronaire est nécessaire après avoir effectué d'autres examens de routine.
Certaines personnes s'inquiètent de leurs problèmes de santé et craignent les effets néfastes du test. Elles doivent alors adopter un mode de vie et un régime alimentaire sains afin d'éviter la maladie.
Je suis le Dr Little Shadow. En cas d'athérosclérose coronaire sévère, une coronarographie cardiaque est nécessaire pour évaluer le degré de sténose et des stents peuvent toujours être posés à des fins diagnostiques et thérapeutiques. L'angiographie cardiaque est-elle dangereuse ? Il s'agit d'un examen invasif et, dans quelques cas, il y a des complications, mais la technologie est aujourd'hui très mûre et les complications de l'imagerie ont été considérablement réduites.
Qu'est-ce que la coronarographie ??
La coronarographie et l'angiographie coronaire sont actuellement disponibles pour détecter les maladies des artères coronaires. L'angiographie coronaire est largement utilisée, mais elle ne peut servir qu'à l'évaluation et n'a pas de but thérapeutique.
La coronarographie consiste à enfiler une aiguille dans l'artère fémorale, à envoyer un tube jusqu'à l'emplacement de l'artère coronaire, à appliquer un produit de contraste iodé et à montrer l'artère coronaire, ce qui permet de diagnostiquer les maladies congénitales de l'artère coronaire, l'athérosclérose, les anévrismes, les malformations artérielles et d'autres maladies, dont la plupart sont des athéroscléroses qui entraînent un rétrécissement de la lumière. Le degré de sténose peut être évalué et, dans le cas d'une sténose grave, avec infarctus du myocarde, un stent peut être directement mis en place pour ouvrir la lumière rétrécie et rétablir le flux sanguin à des fins thérapeutiques.
Ce test est l'étalon-or pour l'examen des artères coronaires et est plus invasif que l'angiographie coronaire CTA car il nécessite l'introduction d'un cathéter dans l'artère fémorale. En outre, ce test exige que le médecin et le patient soient exposés à des radiations en même temps. Les interventionnistes sont excellents parce que chaque procédure interventionnelle nécessite la même exposition aux radiations que le patient. Un médecin peut effectuer plusieurs procédures interventionnelles en une journée, ce qui représente beaucoup de radiations.
Quels sont les dangers de la coronarographie ?
Actuellement, ce test est très sophistiqué et présente relativement peu de complications, mais tout test ou procédure comporte un risque de complications. Malgré la faible probabilité de leur survenue, il est important de les mentionner.
1. hématome local de l'artère fémorale
Le cathéter étant introduit par l'artère fémorale, toutes les opérations sont effectuées par cette petite ouverture. Après l'examen, si cette ouverture n'est pas correctement refermée, il y aura facilement une fuite de sang, et lorsque le sang sera plus abondant, un hématome local se formera.
2. les dommages causés aux artères par les fils-guides des cathéters
Le cathéter doit être formé à l'écart des artères du corps, il y a donc un risque d'endommager les artères, mais la probabilité est déjà très faible.
3. allergie aux produits de contraste, néphropathie aux produits de contraste
L'angiographie coronaire et l'angiographie CTA nécessitent l'injection d'un produit de contraste à base d'iode, et un très petit nombre de personnes développent une allergie au produit de contraste à base d'iode, ainsi que des lésions rénales dues au produit de contraste si les reins ne fonctionnent pas bien. Actuellement, des agents de contraste non ioniques sont utilisés, ce qui réduit considérablement l'allergie aux produits de contraste et les lésions rénales.
Après cet examen, il faut boire beaucoup d'eau pour favoriser l'élimination du produit de contraste et réduire les lésions rénales.
Les complications de l'imagerie mentionnées ci-dessus sont rares de nos jours. Il n'y a pas lieu de s'inquiéter outre mesure. Si le médecin estime que l'imagerie est nécessaire, elle doit être réalisée. En cas d'athérosclérose coronaire grave ou d'infarctus aigu du myocarde, la pose d'un stent avec angiographie joue un rôle immédiat.
Je le suis.Dr. Shadow. Pour en savoir plus sur la médecine, suivez-moi.
La cardiographie fait référence à l'angiographie coronarienne. Le processus général consiste à pratiquer une petite ouverture dans l'artère radiale ou fémorale du premier examinateur, à insérer un fin cathéter à partir de l'incision, à suivre la direction de l'artère, à pénétrer profondément dans l'artère coronaire, puis à injecter un produit de contraste, de sorte que l'imagerie de l'artère coronaire puisse être claire sur la maladie coronarienne et ses branches, sur le rétrécissement du site et sur le degré de la maladie coronarienne, ce qui permet de diagnostiquer la maladie coronarienne. "l'étalon-or". Ci-dessous, nous abordons ensemble trois questions :
- La cardiographie est-elle dangereuse ?
- Comment puis-je réduire les risques de la cardiographie pour mon corps ?
- Qui a besoin d'un cardiogramme ?

A. La cardiographie est-elle nocive pour l'organisme ?
(i) Lésion par ponction : la cardiographie est un examen invasif et la ponction peut entraîner des effets secondaires tels qu'un hématome, des caillots sanguins, etc. et dans les cas graves, un pseudo-anévrisme peut se produire. De nos jours, la technologie d'imagerie est très avancée et ces cas sont moins fréquents.
(ii) Impact de l'agent de contraste : l'agent de contraste couramment utilisé est l'iode, et certaines personnes sont allergiques à l'iode, ce qui peut provoquer une réaction allergique après l'injection de l'agent de contraste. En outre, après son injection dans les vaisseaux sanguins, l'agent de contraste doit être excrété par les reins, ce qui représente une charge pour les reins lors du processus d'excrétion et peut entraîner une insuffisance rénale, en particulier chez les personnes dont la fonction rénale est faible ou qui souffrent de maladies chroniques telles que l'hypertension artérielle et le diabète sucré, qui sont plus sensibles aux effets de l'agent de contraste.
(La coronarographie, en raison de la nécessité d'observer la situation des artères coronaires de manière dynamique, reste en place pendant une période plus longue, et la quantité de radiations est supérieure à celle de l'examen général par tomodensitométrie, et les radiations peuvent avoir un effet sur les cellules de l'organisme.
(L'imagerie cardiaque implique l'insertion d'un cathéter dans les artères des vaisseaux sanguins d'une personne, et l'arythmie peut survenir si la procédure n'est pas effectuée correctement.

Deuxièmement, comment réduire le risque de cardiographie pour l'organisme ?
Dans la pratique, la cardiographie reste relativement inoffensive et il existe des moyens de minimiser les dommages causés par la cardiographie.
(a) Observer plus souvent le point de ponction : après l'opération, il est nécessaire d'observer plus souvent le point de ponction, et si des anomalies telles que rougeur, gonflement et douleur sont constatées, il est nécessaire de consulter un médecin à temps pour éviter des conséquences graves.
(ii) Boire beaucoup d'eau : boire beaucoup d'eau favorise le métabolisme et l'excrétion des produits de contraste.
(iii) Contrôle du nombre de séances d'imagerie : en l'absence de circonstances particulières, ne pas effectuer d'imagerie cardiaque fréquente.
(d) Choix d'hôpitaux réguliers : essayez de choisir des hôpitaux tertiaires expérimentés pour l'examen.
(e) Repos : se reposer autant que possible après une procédure d'imagerie peut soulager l'inconfort et permettre un rétablissement rapide, tout en réduisant le risque de saignement de la procédure de ponction en raison de la marche.

C. Qui a besoin d'une cardiographie ?
- Antécédents d'angine de poitrine et d'infarctus du myocarde ;
- Symptômes d'oppression et de douleur thoraciques et forte suspicion de maladie coronarienne ;
- Angine récurrente après la pose d'une endoprothèse coronaire ou d'un pontage chirurgical ;
- Les personnes âgées de plus de 50 ans qui doivent subir une intervention chirurgicale majeure ;
- Les anomalies inexpliquées de l'ECG doivent être exclues chez les patients souffrant d'une maladie coronarienne ;
- La tomodensitométrie coronaire a révélé une sténose sévère du vaisseau.
Ne refusez pas l'examen parce que vous craignez qu'il soit nocif pour votre corps et faites confiance à votre médecin professionnel, qui vous recommandera le traitement le plus bénéfique pour le patient en fonction de son état physique.
Je suis le Dr Huang Zhiyan et je m'efforce d'expliquer la complexité de la connaissance des maladies avec des mots simples pour vous aider à gérer votre corps. Vos éloges sont ma plus grande motivation ! Par ailleurs, si des membres de votre famille ont des problèmes liés à l'imagerie cardiaque, n'hésitez pas à leur transmettre cet article !
La procédure de base de la cardiographie consiste à placer un cathéter par une ponction dans l'artère radiale (au niveau du poignet) ou l'artère fémorale (à la base de la cuisse) et à utiliser un fil-guide pour guider le cathéter de manière rétrograde dans le cœur ou les vaisseaux sanguins importants autour du cœur (aorte, artères coronaires), où il est injecté avec un produit de contraste, qui est ensuite utilisé pour rendre la structure des cavités cardiaques ou des vaisseaux sanguins importants autour du cœur visible sous l'effet des rayons X.
Ainsi, sur la base du processus décrit ci-dessus, les dangers ou risques possibles pour l'organisme liés à la cardiographie sont les suivants :
1. formation d'un hématome au point de ponction de l'artère radiale ou fémorale ;
2. le risque de lésions des parois internes des vaisseaux sanguins et des cavités cardiaques pouvant résulter du mouvement mécanique du fil-guide ou du cathéter dans le système vasculaire artériel et dans les structures du cœur, ou le risque d'anomalies du système de conduction électrique du cœur causées par la stimulation mécanique du cathéter dans le cœur et dans les structures du cœur (ce qui peut parfois déclencher des arythmies, voire une fibrillation ventriculaire) ;
3) Le produit de contraste est généralement un produit contenant de l'iode, qui peut provoquer des réactions allergiques chez certains patients et, dans les cas graves, un œdème laryngé potentiellement mortel ; en même temps, le produit de contraste contenant de l'iode peut également provoquer des anomalies transitoires de la fonction rénale, qui se manifestent souvent par des fluctuations du taux de créatinine sérique et, dans les cas graves, peuvent entraîner une diminution du taux de filtration glomérulaire du patient ;
4) Le patient est exposé aux rayons X pendant toute la durée de la procédure d'imagerie et, par conséquent, il est également exposé au rayonnement associé aux rayons X.
Bien entendu, l'incidence de la formation d'un hématome au point de ponction, des lésions et des arythmies dues au mouvement mécanique du fil-guide du cathéter et des réactions indésirables associées au produit de contraste mentionné ci-dessus est cliniquement faible, et l'imagerie cardiaque doit toujours être poursuivie de manière agressive chez les patients présentant une forte suspicion clinique de maladie cardiaque, car les avantages l'emportent largement sur les risques potentiels encourus !
En ce qui concerne l'angiographie coronarienne, il faut dire que beaucoup de gens la connaissent aujourd'hui. Comme de nombreux parents et amis de notre entourage ont subi cet examen, nous l'avons en quelque sorte déjà vu. Quels sont donc les dangers ou les effets secondaires de la coronarographie ? Aujourd'hui, le Dr Zhang va répondre à cette question, en espérant aider les amis qui se trouvent devant le téléphone.

En ce qui concerne les effets indésirables possibles de la coronarographie, je les résumerai probablement en 4 points :
1. traumatisés
La coronarographie est un examen invasif et n'est pas définie comme non invasive comme les examens d'angiographie coronarienne. Ce traumatisme est centré sur la ponction artérielle à l'aide d'un fil-guide et d'un cathéter de contraste dans le corps, ce qui est à proprement parler moins invasif et peut être considéré comme minimalement invasif, mais ne peut pas être considéré comme non invasif. De plus, de nombreuses personnes doivent encore être protégées au niveau du vaisseau de ponction pendant une semaine après l'intervention, afin d'éviter toute force excessive pour que la ponction ne se déchire pas et ne saigne pas à nouveau.

2. il y a des radiations
Tout d'abord, je voudrais vous dire que le niveau de radiation d'une coronarographie est tolérable par le corps humain, et vous pouvez en être assuré. En fait, on peut penser que si le niveau de radiation de la coronarographie était très élevé, les personnes qui ont subi une coronarographie au fil des ans n'auraient pas été si nombreuses à développer des problèmes. Toutefois, en réalité, très peu de personnes ont développé des problèmes à la suite d'une coronarographie. De plus, les cardiologues interventionnels effectuent un grand nombre de coronarographies presque tous les jours. Si les coronarographies avaient un niveau élevé de rayonnement, ces médecins n'auraient-ils pas eu des problèmes plus tôt que plus tard ? Cependant, dans le monde réel, ces situations se produisent rarement, ce qui montre également que le niveau de rayonnement de la coronarographie est acceptable pour le corps humain. Il n'y a donc pas lieu de s'inquiéter.

3. détérioration de la fonction rénale
La coronarographie nécessite l'utilisation d'agents de contraste, qui doivent être excrétés par l'organisme via les reins, ce qui augmente invariablement la charge sur les reins. En réalité, après une coronarographie, de nombreuses personnes subissent une détérioration transitoire de leur fonction rénale, ce qui oblige généralement les patients à boire plus d'eau ou à suivre une thérapie d'hydratation, afin que l'agent de contraste puisse être éliminé le plus rapidement possible et que la fonction rénale puisse être améliorée. Pour de nombreux patients dont la fonction rénale est très faible, parfois après une coronarographie, il est également nécessaire de procéder à une dialyse rénale en temps utile, également pour éliminer l'agent de contraste dans l'organisme le plus rapidement possible.
4. l'allergie
La coronarographie utilise un agent de contraste qui contient souvent de l'iode. Dans ce cas, certaines personnes allergiques à l'iode peuvent avoir une réaction allergique à ce produit. En règle générale, lorsque l'allergie est détectée au cours de la procédure de coronarographie, un traitement positif est administré au patient. Honnêtement, la probabilité de ce type d'allergie est relativement faible, il n'y a donc pas lieu de s'inquiéter outre mesure. En cas de doute, vous pouvez effectuer un test d'allergie à l'iode avant la procédure.
Ce ne sont là que quelques-uns des effets indésirables qui peuvent survenir lors d'une coronarographie. En fait, nous ne devrions jamais voir ces effets indésirables et refuser absolument une coronarographie, car de nombreuses personnes ont besoin de cette procédure, et celle-ci est pratiquée pour vérifier la présence de lésions, puis pour traiter les lésions graves. Nous ne devrions jamais éviter un traitement médical en raison de la faible probabilité d'effets indésirables susceptibles de se produire. Nous espérons également que l'introduction du Dr Zhang aujourd'hui pourra vous aider et vous permettre d'affronter correctement l'angiographie coronaire.
Pour en savoir plus sur les maladies coronariennes, vous pouvez cliquer sur le lien suivant, le Dr Zhang a suivi personnellement le cours sur les maladies coronariennes : Dr Zhang a suivi le cours sur les maladies coronariennes.

La cardiographie est un examen cardiovasculaire courant pour le diagnostic et le traitement des maladies coronariennes.
Nous devons être objectifs dans l'évaluation de la coronarographie. L'angiographie cardiaque est, après tout, un test invasif, et les tests invasifs sont risqués. Cependant, la cardiographie est une technologie très mature et rarement dangereuse.
Donnons une idée théorique de ce qu'un cardiogramme peut faire à votre corps.
1. saignements ou hématomes
Examen invasif, c'est-à-dire que pour pénétrer dans le corps, la cardiographie doit introduire un tube à travers le point de ponction, par lequel l'agent relie le monde extérieur aux vaisseaux sanguins, ce qui peut provoquer une hémorragie locale, une hémorragie systémique, un hématome au point de ponction, un vasospasme, des lésions de la paroi interne des vaisseaux sanguins, un pseudo-anévrisme et des fistules artério-veineuses, etc.
2. néphropathie de contraste.
Comme il s'agit d'une imagerie cardiaque, il est nécessaire d'utiliser un produit de contraste, qui doit être métabolisé par les reins. Le diabète sucré, l'insuffisance rénale et les personnes âgées sont plus susceptibles de développer une néphropathie de contraste.
3. très peu de risques.
Complications telles que rupture du fil-guide, rupture du cathéter, entortillement du fil-guide, etc., crises d'angine de poitrine, infarctus aigu du myocarde, vasospasme aigu, piégeage de l'artère coronaire, perforation de l'artère coronaire, arythmies diverses et embolies diverses.
Après avoir entendu cela, vous n'oserez probablement pas passer un cardiogramme, mais ce n'est pas si effrayant, ce n'est qu'une théorie, l'incidence réelle est très, très faible.
Nous devons saisir les indications de l'imagerie cardiaque et la refaire au moment opportun, plutôt que de traiter le patient comme un médecin spécialiste de l'imagerie et de le laisser passer une imagerie lorsqu'il rencontre le patient, ce qui est différent d'une machine. Pour ceux qui ne devraient pas subir d'imagerie cardiaque, cela ne fera qu'augmenter les risques et les dommages ; pour ceux qui doivent subir une imagerie cardiaque, cela vaut la peine de subir une imagerie cardiaque même s'il y a un risque, parce que l'imagerie cardiaque peut nous aider à résoudre le problème.
(Le Dr. Cardiovascular Wang a formellement autorisé la protection originale, telle que le vol doit être tenu pour légalement responsable).
Tout d'abord, qu'est-ce que la cardiographie ?
La cardiographie, également connue sous le nom de coronarographie, est l'un des examens les plus courants pratiqués par les cardiologues et constitue l'examen de référence pour confirmer le diagnostic de maladie coronarienne ! Qu'est-ce qu'une cardiographie ? Un cardiogramme est réalisé par une approche artérielle, notamment par les artères radiales, fémorales et artérielles. L'approche artérielle est utilisée pour amener un cathéter jusqu'à l'ouverture de l'artère coronaire, à partir de laquelle un produit de contraste est injecté et l'artère coronaire est visualisée à la radiographie.
Deuxièmement, la cardiographie est-elle nocive pour l'organisme ?
En tant qu'examen invasif, la cardiographie présente indéniablement des risques ou des effets secondaires, mais toutes les cardiographies n'entraînent pas de complications ou ne sont pas nocives pour l'organisme. Les risques courants de l'imagerie cardiaque sont principalement les suivants : premièrement, les complications liées à la ponction ou à l'accès artériel ; deuxièmement, les complications liées à l'artère coronaire. Deuxièmement, les complications liées à l'artère coronaire. Troisièmement, les complications liées à la fonction cardiaque et autres. Quatrièmement, la néphropathie de contraste et d'autres complications liées à la maladie. Bien que les complications de la cardiographie soient nombreuses, la probabilité qu'elles surviennent est extrêmement faible, et avec la popularisation progressive de la technologie de la cardiographie, le taux d'apparition de ces complications est de plus en plus faible. Par conséquent, si l'on procède à un examen approfondi, il n'y a pas lieu de s'inquiéter de ses complications et de ses effets néfastes sur l'organisme.
Troisièmement, qui a besoin d'une cardiographie ?
Puisque la cardiographie est si populaire, qui en a besoin ? Premièrement, les patients qui doivent déterminer s'ils sont atteints d'une maladie coronarienne ; deuxièmement, les patients qui doivent clarifier la gravité de la maladie coronarienne et guider la prochaine étape de leur traitement ; troisièmement, les patients qui doivent évaluer l'état des artères coronaires en vue d'autres traitements, afin de décider si ces traitements auront un impact sur le cœur ou s'ils doivent être traités en même temps ; et quatrièmement, les patients qui doivent subir des examens médicaux pour certaines professions, par exemple, les pilotes, etc. L'appréhension stricte des indications de l'imagerie cardiaque est une étape importante pour éviter les complications liées à l'imagerie cardiaque ; ne pas le faire pour ceux qui n'en ont pas besoin et le faire pour ceux qui en ont besoin est la seule façon de réduire les complications.
Voir ce qui se passe ? Suivez-nous pour recevoir des mises à jour quotidiennes sur la science.
Bonjour à tous ! Je suis Blessed Dad, un médecin en exercice. J'espère que ma réponse vous sera utile.
L'imagerie cardiaque doit faire référence à la coronarographie. La coronarographie est la méthode la plus objective et la plus précise pour diagnostiquer les maladies coronariennes, et son application clinique remonte à plus de 20 ans. Avec les progrès technologiques, la coronarographie est aujourd'hui un examen très sûr.
Malgré le faible risque d'effets indésirables, la coronarographie comporte des risques. C'est pourquoi un formulaire de consentement spécial est signé avant l'examen et le médecin examinateur est informé des risques. Ces risques sont de deux ordres.
Risques inhérents aux interventions vasculaires
La coronarographie nécessite une ponction dans une artère périphérique, la mise en place d'un cathéter et la traversée de l'aorte pour atteindre l'ouverture de l'artère coronaire. Par conséquent, la coronarographie est un examen invasif qui peut entraîner des complications telles qu'un saignement au point de ponction, une fistule artério-veineuse, une lésion de la muqueuse artérielle, un spasme de l'artère coronaire, un délogement de la plaque d'athérome, un infarctus aigu et un piégeage de l'artère coronaire.
Risques associés aux produits de contraste
Les produits de contraste peuvent provoquer des allergies, la plus grave étant l'anaphylaxie aiguë. Les agents de contraste sont excrétés par les reins et ont un certain impact sur la fonction rénale, en particulier chez les patients souffrant d'insuffisance rénale, avec la possibilité d'une néphropathie de contraste.
Dans l'ensemble, la coronarographie est assez sûre. Mon hôpital réalise des milliers de coronarographies chaque année, sans plus que quelques complications, et sans aucune complication grave au cours des deux dernières années. Ne vous laissez donc pas effrayer par la signature préopératoire.
Je suis FooDad, un médecin praticien, donc si vous pensez que je suis logique, donnez-moi un like 😜 Suivez-moi pour des informations pratiques et amusantes sur la nutrition et la santé.
Bonjour, je réponds volontiers à cette question.
Pour comprendre les dangers de la cardiographie, il faut d'abord savoir de quoi il s'agit. Un cardiogramme est un cathéter qui est inséré dans l'artère radiale ou fémorale, un agent de contraste est injecté et, à l'aide du cathéter étendu aux artères coronaires, ces dernières sont testées pour vérifier qu'elles ne sont pas obstruées ou pour voir l'étendue de l'obstruction.
Il faut bien comprendre qu'il s'agit d'une procédure invasive qui comporte certains risques.
Prenons l'exemple de ma grand-mère, qui souffre d'une maladie coronarienne depuis plus de dix ans et qui a récemment souffert d'une angine de poitrine fréquente. Elle a été envoyée d'urgence à l'hôpital populaire de la ville et le médecin a suggéré que ma grand-mère subisse une angiographie cardiaque, mais d'une part, ma grand-mère avait un mauvais cœur et d'autre part, elle était très timide et avait très peur de subir une opération, et elle a dit qu'elle ne subirait pas d'opération. et mon oncle ont eu tellement peur qu'ils ont promis en toute hâte de ne pas faire de cardiogramme. En soi, la maladie de ma grand-mère peut encore être contrôlée efficacement par des médicaments, mais une fois l'opération effectuée, à cause de la peur, de la crainte et de la mauvaise humeur, les dommages causés au corps humain sont très importants. Lorsque ma grand-mère est sortie de l'hôpital, elle a perdu 7 kg après seulement une semaine d'hospitalisation, et elle a dit qu'elle était effrayée par l'opération.

En cas d'infarctus aigu du myocarde ou d'autres pathologies, une imagerie cardiaque doit être réalisée pour déterminer si un pontage cardiaque est nécessaire. Après tout, la vie ne vient qu'une fois, et face à la vie, il est très important d'avoir une intervention chirurgicale pour la maintenir.
J'espère que cela vous inspirera d'une manière ou d'une autre, et je vous souhaite un prompt rétablissement.
Ces questions et réponses proviennent des utilisateurs du site, elles ne représentent pas la position du site, s'il y a une infraction, veuillez contacter l'administrateur pour la supprimer.