Quelles sont les meilleures habitudes à perdre quand on a plus de 50 ans et qu'on ne veut pas d'attaque cérébrale ?
Quelles sont les meilleures habitudes à perdre quand on a plus de 50 ans et qu'on ne veut pas d'attaque cérébrale ?
Tout d'abord, lorsqu'une personne dépasse les 50 ans, la vie s'est écoulée la plupart du temps, elle s'est déjà installée, ses parents sont déjà âgés et ses enfants ont déjà fondé leur propre famille.
Les personnes de plus de cinquante ans, qui ont couru pendant la majeure partie de leur vie, les cheveux chinois sont nés, les divers organes du corps ne cessent de fonctionner pendant plus de cinquante ans, le métabolisme, la vieillesse, la maladie et la mort, les lois de la nature, la main-d'œuvre ne peuvent résister, l'ensemble des organes du corps ont été présentés avec une tendance au déclin, la maladie profite naturellement de la faiblesse. Quiconque se trouve face à la maladie est si petit et sans défense, la maladie est impitoyable, elle ne sera pas clémente avec vous parce que vous avez eu beaucoup d'accomplissements auparavant, que vous avez beaucoup contribué. La maladie est cruelle et sans pitié pour tout le monde.

Deuxièmement, les personnes âgées de plus de cinquante ans, qui ne veulent pas subir d'infarctus du cerveau, doivent changer leurs habitudes :
1, changer l'arrogance, la frime. Les personnes âgées de plus de cinquante ans doivent tout d'abord corriger leur mentalité et leur position, elles ne sont plus jeunes, elles doivent faire converger la bonne dose d'arrogance, maintenir un esprit calme, ne pas être capricieuses, ne pas se montrer pendant un certain temps, aller au-delà de leurs propres forces pour atteindre l'objectif.L'infarctus cérébral, l'hémorragie cérébrale, l'angine de poitrine, l'infarctus du myocarde, l'insuffisance cardiaque et l'élévation de la tension artérielle, qui surviennent souvent à la suite de changements émotionnels et d'un effort, sont des problèmes de santé publique.Les facteurs prédisposants les plus courants en clinique。
2, changer la façon d'avaler les nuages et le brouillard, et repousser le verre de vin. Les personnes de plus de cinquante ans devraient procéder à une "soustraction", réduire le cercle, écarter les divertissements inutiles, arrêter de fumer et de boire de l'alcool. Les données de la recherche montrent que le tabagisme actif et l'inhalation passive de fumée secondaire augmentent le risque d'accident vasculaire cérébral, de maladie coronarienne, d'insuffisance cardiaque et d'autres maladies cardiovasculaires, ainsi que le risque de décès ; chez les fumeurs, l'infarctus cérébral est multiplié par 3,7, l'incidence du diabète est multipliée par 1, l'incidence de la maladie coronarienne est multipliée par 5 ; les personnes âgées de 50 ans qui commencent à arrêter de fumer peuvent allonger leur espérance de vie de 6 ans.C'est pourquoi vous devez arrêter complètement de fumer et rester à l'écart de la fumée secondaire.. Augmentation du risque d'hypertension, d'accident vasculaire cérébral et d'autres maladies à mesure que la consommation d'alcool augmente.La consommation d'alcool doit être limitée(Consommation d'alcool <25g/j pour les hommes et <15g/j pour les femmes, <50ml de liqueur ou <100ml de vin ou <300ml de bière par jour).
3. Changez les aliments riches en sel et en sucre, les gros poissons et les viandes. Si vous avez plus de cinquante ans, vous devriez avoir une alimentation légère et équilibrée. Une alimentation riche en sodium, en sucre et en graisses est un facteur de risque d'hypertension, de diabète et d'hyperlipidémie, alors que ces maladies sont les principaux facteurs de risque d'infarctus cérébral. Une augmentation moyenne de 2g/j de l'apport alimentaire en sodium est associée à une augmentation de la pression artérielle systolique et diastolique de 2,0 et 1,2mmHg respectivement, et il est actuellement recommandé de ne pas dépasser un apport quotidien de 5g de sodium, d'augmenter la consommation d'aliments riches en potassium (fruits frais, légumes et légumineuses), d'augmenter modérément la consommation de poisson, d'œufs, de soja et de produits laitiers, d'augmenter la consommation de céréales complètes, de céréales, de soja et de pommes de terre, de réduire la consommation de viandes transformées, d'acides gras saturés et de cholestérol, et de réduire la consommation d'acides gras contenant du sucre et de cholestérol. Il est recommandé de réduire la consommation de cholestérol, de réduire la consommation de boissons sucrées et de boire du thé avec modération.
4, changer les divertissements de fin de soirée, se coucher tard et se lever tard. Les personnes de plus de cinquante ans ont besoin d'un temps de travail et de repos régulier. Le temps de sommeil optimal est de 6 à 8 heures, la difficulté à s'endormir et les troubles du maintien du sommeil ont augmenté respectivement de 27 % et 11 % des événements cardiovasculaires et cérébrovasculaires.
5) Cessez d'être sédentaire et de laisser filer votre poids. Quand on a plus de 50 ans, il faut bouger et gérer son poids. Il est recommandé de faire des exercices aérobiques d'intensité modérée, du vélo (vitesse <16km/h), de la marche (vitesse ≤6,4km/h), de la danse, des activités à domicile, 150min par semaine, telles que les conditions physiques le permettent peuvent être augmentées à 300min. contrôle du poids (IMC <24kg / ㎡, tour de taille : hommes <90cm, femmes <85cm), IMC supérieur à 24 le risque d'hypertension est 3-4 fois plus élevé que la masse corporelle normale ; tour de taille des hommes >90 femmes >85 le risque d'hypertension est normal. Le risque d'hypertension chez les personnes dont l'IMC est supérieur à 24 est 3 à 4 fois supérieur à celui des personnes ayant une masse corporelle normale ; le risque d'hypertension chez les personnes dont le tour de taille est supérieur à 90 pour les hommes et à 85 pour les femmes est plus de 4 fois supérieur à celui des personnes ayant une masse corporelle normale.
6. Changer le tabou du traitement médical, ne pas penser. Les personnes de plus de cinquante ans ne sont pas comparées aux jeunes, un peu de rhume et de fièvre pour supporter le passé, s'il y a des symptômes inconfortables, ils doivent être rapidement diagnostiqués et traités. Parallèlement, l'hypertension, le diabète, l'hyperlipidémie, les maladies cardiovasculaires et cérébrovasculaires et d'autres maladies dont l'incidence est élevée en fonction de l'âge, ainsi que l'hypertension, l'hyperglycémie et l'hyperlipidémie, ne présentent pas, pour la plupart, de symptômes évidents et sont souvent découverts lors d'un examen physique. Le taux global de sensibilisation à l'hypertension des patients hypertendus en Chine est inférieur à 50 %. Les personnes de plus de cinquante ans, au moins 3-6 mois pour mesurer la pression artérielle, bien sûr, si possible, il est préférable de surveiller souvent ; la pression artérielle idéale devrait être ≤ 130/80 mm Hg, la glycémie à jeun devrait être dans les 3,9-6,1 mmol / L, l'hémoglobine glyquée <6. 0%, le cholestérol dans 5,7 mmol / L, les triglycérides dans 2,1 mmol / L ou moins. Il est préférable de procéder à un examen physique annuel afin de détecter les problèmes et de les traiter rapidement.

Un mode de vie sain peut prévenir 80 % des maladies cardiovasculaires et cérébrovasculaires et du diabète de type 2, 55 % de l'hypertension artérielle et 40 % des tumeurs, ce qui permet d'éviter les accidents vasculaires cérébraux.
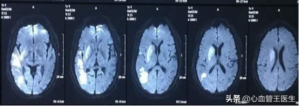
Nous entendons souvent parler de personnes qui travaillaient normalement hier, mais qui se sont soudainement effondrées aujourd'hui, ont perdu connaissance et ont été transportées à l'hôpital en ambulance. Bien qu'elles aient recouvré la vie après avoir été réanimées et traitées, les mouvements de leurs mains et de leurs pieds ne sont plus flexibles, ou elles sont clouées au lit, ce qui modifie le travail et la vie de l'individu et de toute la famille, ce qui est un exemple typique d'accident vasculaire cérébral (AVC).

而L'accident vasculaire cérébral ischémique est le type d'accident vasculaire cérébral le plus courant, également connu sous le nom d'infarctus cérébral ou d'infarctus cérébral, ou simplement d'infarctus cérébral.
Comment se produit une attaque cérébrale ?
Les cellules cérébrales sont alimentées en oxygène et en nutriments par le sang. Lorsque les vaisseaux sanguins du cerveau sont obstrués et que la circulation sanguine est faible, l'apport en sang est insuffisant. En conséquence, les cellules cérébrales sont sous-oxygénées et mal nourries, et des lésions localisées peuvent se développer. Le mot "carence" signifie "vide" et "insuffisant", et l'accident vasculaire cérébral ischémique est exactement un "accident vasculaire cérébral causé par une insuffisance de sang". L'accident vasculaire cérébral ischémique est exactement "un accident vasculaire cérébral causé par une insuffisance de sang".

L'infarctus cérébral est un état de mort partielle des cellules cérébrales causé par une ischémie cérébrale. Si l'obstruction du vaisseau sanguin est temporaire, le flux sanguin se rétablit rapidement, ce que l'on appelle un accident ischémique transitoire (AIT). Les symptômes tels que l'engourdissement des membres d'un patient victime d'un AIT disparaissent également dans un délai de 24 heures ou moins.
L'athérosclérose est le premier "tueur" de l'infarctus cérébral.
L'athérosclérose est un phénomène dans lequel les composants gras du sang, tels que le cholestérol, adhèrent aux parois internes des vaisseaux sanguins, les épaississant et les durcissant. Si l'on considère un vaisseau sanguin comme un tuyau d'eau, la rouille ou le tartre qui adhère à l'intérieur est ce que l'on appelle l'athérosclérose. L'athérosclérose est l'un des phénomènes du vieillissement qui ne peut être évité, mais qui peut parfois prendre le pas sur le vieillissement. Le développement de l'athérosclérose se traduit par un épaississement de la paroi interne des artères, la formation de plaques, le rétrécissement des vaisseaux sanguins et l'occlusion des vaisseaux sanguins. Les vaisseaux sanguins athérosclérotiques sont susceptibles d'être endommagés et les parois des vaisseaux endommagés sont plus enclines à la thrombose et finalement à l'obstruction.

Pour prévenir les accidents vasculaires cérébraux, il faut se concentrer sur les facteurs de risque sur lesquels il est possible d'intervenir
Les facteurs de risque de l'AVC comprennent des facteurs de risque non évitables et des facteurs de risque évitables :
- ① Les facteurs de risque non interventionnistes sont l'âge, la race, le sexe et les antécédents familiaux ;
- ② Les facteurs de risque pouvant faire l'objet d'une intervention sont l'hypertension, le tabagisme, le diabète, la fibrillation auriculaire (FA) et d'autres maladies cardiaques, l'hyperlipidémie, la sténose asymptomatique de l'artère carotide, l'obésité, le manque d'activité physique, la consommation excessive d'alcool, l'hyperhomocystéinémie, les états d'hypercoagulabilité et le traitement hormonal substitutif.
1. l'hypertension artérielle
L'hypertension artérielle est considérée comme le principal facteur de risque d'accident vasculaire cérébral, et ce pour tous les sous-types d'accidents vasculaires cérébraux. Plus la tension artérielle est élevée, plus le risque d'accident vasculaire cérébral ou d'accidents vasculaires cérébraux récurrents est grand. Les personnes souffrant d'hypertension artérielle ont sept fois plus de risques d'être victimes d'un accident vasculaire cérébral que les personnes qui n'en souffrent pas.

D'une part, une élévation durable et soutenue de la pression artérielle endommage l'endothélium des vaisseaux sanguins, accélère et aggrave la vitesse et le degré de développement de l'athérosclérose et facilite la survenue d'un infarctus cérébral (accident vasculaire cérébral ischémique) ; d'autre part, en raison de l'athérosclérose, la compliance des vaisseaux sanguins diminue, ce qui peut entraîner une rupture des vaisseaux sanguins cérébraux et une hémorragie cérébrale (accident vasculaire cérébral hémorragique) en cas d'augmentation soudaine de la pression artérielle.
Les critères diagnostiques actuels de l'hypertension en Chine sont une pression artérielle systolique ≥140mmHg et/ou une pression artérielle diastolique ≥90mmHg sans médicaments antihypertenseurs, une pression artérielle idéale (<120/80mmHg), une pression artérielle normale (<130/85mmHg). Lorsque la pression artérielle se situe dans la fourchette normale haute (130-139/85-89 mmHg), il est nécessaire d'être vigilant quant au développement de l'hypertension.
2. le diabète
Le diabète peut accélérer l'athérosclérose et ses effets sont systémiques. Le diabète peut plus que doubler le risque d'accident vasculaire cérébral, et environ 20 % des diabétiques finiront par mourir d'un accident vasculaire cérébral. Pour les personnes atteintes de prédiabète, l'augmentation de la glycémie à jeun accroît également le risque d'accident vasculaire cérébral. Les personnes atteintes de diabète ont un pronostic plus sombre en cas d'accident vasculaire cérébral et un taux de mortalité plus élevé.

Les patients présentant des symptômes typiques du diabète (consommation excessive d'alcool, miction, suralimentation, perte de poids) avec une glycémie aléatoire ≥11,1 mmol/L ou une glycémie à jeun ≥7,0 mmol/L ou une glycémie 2 heures après la charge en glucose ≥11,1 mmol/L. Si les patients ne présentent pas de symptômes de diabète, le test doit être répété un autre jour pour établir un diagnostic définitif. La glycémie à jeun doit être mesurée après au moins 8 heures d'absence d'apport calorique, et la glycémie aléatoire désigne la glycémie à tout moment de la journée, quelle que soit l'heure du dernier repas.
3. les troubles du sommeil
Environ un tiers de la vie d'une personne est consacré au sommeil, et un bon sommeil aide le corps à éliminer la fatigue, à protéger le cerveau et à restaurer la force physique et l'énergie. Les troubles du sommeil sont des perturbations de la quantité, de la qualité, de la durée et du rythme du sommeil. Les patients souffrant de troubles du sommeil sont prédisposés aux complications de l'AVC, et l'incidence des troubles du sommeil après l'AVC est également plus élevée. Les troubles du sommeil liés à l'AVC comprennent le syndrome d'apnée obstructive du sommeil (SAOS), l'insomnie et le syndrome des jambes sans repos (SJSR), et les recherches actuelles suggèrent que le SAOS est un facteur de risque d'AVC.

le syndrome d'apnée obstructive du sommeil (SAOS)
Le syndrome d'apnée obstructive du sommeil est défini comme 30 épisodes ou plus d'apnée ou d'indice d'apnée hypopnée, c'est-à-dire une moyenne de ≥5 épisodes d'apnée et d'hypopnée par heure de sommeil, avec un arrêt du flux d'air provenant de la bouche et du nez pendant 10 secondes ou plus au cours de chaque épisode, avec une diminution de la saturation en oxygène, etc., chez un adulte au cours d'une période de sommeil de 7 heures par nuit.Les principaux signes sont le ronflement et la somnolence diurne.Les enquêtes épidémiologiques estiment que la prévalence est de l'ordre de 17 à 26 % chez les hommes et de 9 à 28 % chez les femmes.
4. le syndrome métabolique
Le syndrome métabolique est un groupe de syndromes cliniques qui affecte gravement la santé de l'organisme avec l'apparition simultanée de l'obésité, de l'hyperglycémie (diabète ou trouble de la régulation du glucose), de la dyslipidémie et de l'hypertension. Il s'agit d'un groupe de combinaisons de facteurs de risque métaboliquement interconnectés qui contribuent directement au développement des maladies cardiovasculaires athérosclérotiques et cérébrales et augmentent le risque de diabète sucré de type 2 ; les patients atteints du syndrome métabolique constituent un groupe à haut risque d'accident vasculaire cérébral (AVC). Groupe à haut risque.

Ces habitudes peuvent être modifiées pour réduire efficacement le risque d'infarctus du cerveau.
Les habitudes qui conduisent à l'infarctus cérébral sont souvent celles qui conduisent à des syndromes métaboliques tels que l'athérosclérose, l'hypertension, etc. ; il existe également d'autres aspects des habitudes qui prédisposent à l'infarctus cérébral.
1. le tabagisme de longue durée
Le tabagisme peut stimuler la synthèse et la sécrétion de catécholamines dans le système nerveux central, accélérer le rythme cardiaque, augmenter la pression artérielle et le taux d'agrégation plaquettaire ; il peut augmenter le monoxyde de carbone dans le sang, ce qui peut réduire la capacité de l'hémoglobine à transporter l'oxygène, provoquant ainsi une hypoxie tissulaire, qui entraîne des lésions des cellules endothéliales vasculaires, et le tissu cérébral est très sensible à l'hypoxie ; en même temps, le monoxyde de carbone peut augmenter le fibrinogène et la viscosité du sang, ce qui entraîne un métabolisme lipidique anormal et accélère l'apparition de l'athérosclérose cérébrale. Dans le même temps, le monoxyde de carbone peut également augmenter le fibrinogène et la viscosité du sang, ce qui entraîne un métabolisme lipidique anormal et accélère l'apparition de l'athérosclérose cérébrale. Par conséquent, les patients souffrant d'un accident vasculaire cérébral ischémique ou d'un accident ischémique transitoire (AIT) et ayant des antécédents de tabagisme devraient arrêter de fumer, éviter le tabagisme passif et se tenir à l'écart des lieux où l'on fume.

2. l'alcoolisme
L'alcool, quant à lui, peut stimuler directement les vaisseaux sanguins, leur faisant perdre leur élasticité et provoquant ainsi l'athérosclérose cérébrale.
Ne pas boire plus de 15 g d'alcool par jour pour les femmes (15 g d'alcool équivalent à 450 ml de bière, 150 ml de vin ou 50 ml de liqueur peu puissante) et pas plus de 25 g pour les hommes. Pas plus de 2 fois par semaine.

3, Constipation.
Un effort intense pendant la constipation peut augmenter la pression intracrânienne et provoquer facilement une hémorragie cérébrale. Vous pouvez manger plus de fruits et de légumes riches en fibres, comme le céleri, les céréales, le fruit du dragon et le kiwi ; boire plus de 2 000 ml d'eau par jour ; arrêter le téléphone portable et le journal pendant la défécation et vous concentrer sur une seule chose ; boire un verre d'eau bouillie chaude en vous réveillant tôt le matin chaque jour, pour favoriser le péristaltisme intestinal et vous aider à prendre l'habitude de déféquer régulièrement ; et opter pour des médicaments en cas de constipation chronique et de symptômes graves.

4. passionné de cuisine, pas de sport
Le maintien d'un poids corporel idéal, la pratique d'un exercice physique approprié et la modification du régime alimentaire pour réduire l'apport calorique permettent non seulement de réduire la résistance à l'insuline et l'hyperinsulinémie, mais aussi d'améliorer la tolérance au glucose et d'autres facteurs de risque de maladies cardiovasculaires.

L'exercice peut être aérobique, comme la marche, le jogging, la natation et le vélo.
Les gens d'aujourd'hui sont particulièrement friands de nourriture, qui est généralement riche en huile, en calories et en sel, et il est recommandé de faire preuve de retenue.
Les adultes ont besoin d'environ 3 à 5 g de sel par jour. Un apport trop important peut entraîner une rétention d'eau et de sodium dans l'organisme, une augmentation de la pression dans les vaisseaux sanguins, une augmentation de la résistance, une augmentation de la charge sur le cœur, ce qui, à terme, entraîne une hypertrophie cardiaque, une insuffisance cardiaque, des anomalies de la fonction rénale et d'autres pathologies. Le régime pauvre en sel est l'un des traitements de base des patients hypertendus. Au stade précoce de l'hypertension ou de l'hypertension légère, une simple restriction de sel peut ramener la tension artérielle à la normale. La restriction du sel chez les patients souffrant d'hypertension modérée est également bénéfique, car elle augmente l'efficacité des médicaments antihypertenseurs et réduit la quantité de médicaments utilisés. Il est recommandé que l'apport quotidien en sel des patients hypertendus soit inférieur à 5 g par personne, ce qui correspond non seulement au sel de table, mais aussi aux assaisonnements contenant du sel tels que le glutamate monosodique (MSG) et la sauce soja, ainsi qu'aux aliments contenant du sel tels que le jambon et les produits marinés.

L'apport en graisses et en huiles ne doit pas dépasser 30 % de l'énergie totale du régime alimentaire. Pas plus de 10 ml d'huile pour un plat ou 1 cuillère à soupe d'huile dans une cuillère ordinaire, et pas plus de 25 ml ou 2,5 cuillères à soupe d'huile par personne et par jour.
5、Emotions faciles à précipiter et à mettre en colère
En général, lorsque les gens sont émotionnellement excités, la sécrétion d'adrénaline augmente, ce qui entraîne une constriction des vaisseaux sanguins, une accélération du rythme cardiaque et une élévation de la pression artérielle, provoquant la rupture des plaques d'athérome dans les vaisseaux sanguins et la formation de caillots sanguins, bloquant les vaisseaux sanguins dans le cerveau, ce qui conduit à la survenue d'un infarctus cérébral. Par conséquent, les personnes présentant un risque élevé d'accident vasculaire cérébral doivent apprendre à contrôler leurs émotions, éviter les excès de joie et d'excitation, participer à un minimum d'activités stimulantes, apprendre à se détendre et à s'autoréguler, et communiquer avec les membres de leur famille afin de maintenir autant que possible un état d'esprit stable.

6、Trop occupé, se coucher tard, travailler et se reposer de façon irrégulière
Une activité excessive et une vie irrégulière affectent souvent le sommeil et le repos. Les niveaux de libération d'hormones du corps changent sous l'effet de la fatigue, ce qui peut stimuler la vasoconstriction et déclencher des accidents vasculaires cérébraux.

Le fait de se coucher tard et l'insomnie augmentent les symptômes d'anxiété et de dépression en provoquant une excitabilité sympathique accrue et l'activation de l'axe hypothalamo-hypophyso-surrénalien (HHS), en diminuant la sensibilité à l'insuline, en augmentant l'excitabilité sympathique et les niveaux de cortisol, et en modifiant les substances inflammatoires associées au diabète sucré, à l'obésité, à l'hypertension et à la maladie coronarienne, ce qui augmente le risque d'attaque d'apoplexie.
Il est donc recommandé aux personnes d'âge moyen et aux personnes âgées de ne rien faire qui dépasse leur force physique et leur capacité énergétique, d'éviter le surmenage et de vivre régulièrement. Développer de bonnes habitudes de sommeil, dormir et se réveiller régulièrement, éviter les stimulations mentales excessives avant d'aller au lit, éviter la suralimentation, éviter la surcharge pondérale, éviter l'utilisation de drogues, d'aliments et de boissons qui ont un effet sur l'esprit. Veiller à ce que l'environnement de sommeil soit confortable, avec une température et une humidité appropriées, une lumière douce et pas de bruit.

Surveillance de l'apnée du sommeil
Les personnes qui ronflent comme le tonnerre peuvent dormir en position couchée sur le côté et relever la tête du lit de manière appropriée ; la surveillance de l'apnée du sommeil peut être effectuée dans les hôpitaux dans certaines conditions. Si un SAOS est détecté, un traitement étiologique doit être mis en œuvre ; les patients souffrant d'apnée du sommeil sévère peuvent être traités par ventilation spontanée en pression positive continue (CPAP) et d'autres traitements.
7. il est risqué d'omettre une dose de temps en temps et de ne pas dire que c'est normal !
Certaines personnes âgées, en raison de leur mauvaise mémoire, oublient souvent de prendre leurs médicaments, pensent qu'il n'y a pas de mal à sauter une ou deux doses, mais en fait, c'est très dangereux et cela peut provoquer un accident vasculaire cérébral. Il est recommandé de séparer les médicaments antihypertenseurs, les hypoglycémiants, les médicaments cardiaques et les autres médicaments destinés aux patients d'âge moyen et aux personnes âgées, en paquets indiquant la date de prise et l'heure spécifique de prise du médicament le matin, le midi et le soir, ou le type de médicament quotidien en fonction de l'heure à écrire sur un morceau de papier, collé dans la maison en tant que mémorandum de référence dans un endroit bien en vue. Les patients occupés devraient avoir trois séries de médicaments, une au bureau, une à la maison et une dans le sac à main, pour se rappeler de prendre les médicaments à tout moment.

résumés
Comme le dit un vieux dicton, "il ne faut pas traiter la maladie avant la maladie", ce qui souligne l'importance de prévenir la maladie avant qu'elle ne se déclare, d'empêcher l'évolution de la maladie existante et de prévenir la récurrence de la maladie après le processus de guérison. Il est de la responsabilité sociale de chaque médecin de diffuser les connaissances médicales, de promouvoir la santé publique et d'attirer l'attention de la société. Il existe de nombreuses relations invisibles entre l'infarctus cérébral et les mauvaises habitudes. J'espère qu'après avoir lu mon ouvrage de vulgarisation scientifique, vous aurez une nouvelle compréhension de l'infarctus cérébral et que vous y ferez attention.
Je suis le Dr Qiao Fang, du département de rhumatologie et d'immunologie, anciennement médecin généraliste à l'hôpital populaire de la province du Sichuan. Il n'est pas facile de rassembler et de publier des informations ! Si vous pensez qu'il est utile de le lire, n'hésitez pas à me faire part de vos préoccupations ou de vos éloges ; si vous avez un point de vue différent, n'hésitez pas à laisser un message ci-dessous, nous pourrons en discuter ensemble ; vous pouvez également être transféré de votre côté pour les besoins de vos amis ; merci !

L'infarctus cérébral signifie également que les artères du cerveau sont bloquées, que le cerveau ne reçoit pas suffisamment d'oxygène et d'énergie et qu'une partie de la région cérébrale meurt. Les maladies cardiovasculaires et cérébrovasculaires représentent le taux de mortalité le plus élevé de notre pays, et les séquelles de l'infarctus cérébral laissées par un traitement inopportun porteront gravement préjudice à la société et à la famille. Je pense que personne ne veut être victime d'un infarctus cérébral, alors pour prévenir l'infarctus cérébral, quelles sont les habitudes à changer dans la vie ?

Tout d'abord, comment se développe une attaque cérébrale ?
- Il existe deux formes principales d'infarctus cérébral, dont la cause principale est la formation de plaques d'athérome dans les artères cérébrales sous l'action de divers facteurs de risque tels que l'hypertension artérielle et le diabète sucré, et la rupture des plaques pour former des caillots sanguins qui bloquent les vaisseaux sanguins, ce qui entraîne un infarctus cérébral.

- Une autre cause originale est le déplacement d'un caillot sanguin provenant d'une autre partie du corps, qui atteint l'artère cérébrale avec le flux sanguin et provoque un blocage, et l'infarctus cérébral causé par cette condition tend à être plus grave. Les sources les plus courantes de caillots sanguins proviennent du cœur, comme leFibrillation auriculaire, endocardite infectieuse, thrombose de l'appendice des ventricules, etc.etc.

Deuxièmement, quelles sont les mauvaises habitudes à changer pour prévenir l'infarctus cérébral.
L'athérosclérose commence généralement à se former vers l'âge de 40 ans, et la vitesse de formation s'accélère après 49 ans. En outre, ces dernières années, l'âge d'incidence des maladies cardiovasculaires et cérébrovasculaires en Chine a tendance à se rajeunir, de sorte que la prévention de l'infarctus cérébral avant qu'il ne soit trop tard ne peut pas attendre l'âge de 50 ans, mais seulement penser à la prévention. Bien sûr, on peut penser à la prévention, mais à 50 ans, on ne sait pas encore que la prévention de l'infarctus cérébral est meilleure.
I. Arrêt du tabac
- Bien qu'il existe de nombreux effets nocifs du tabagisme et qu'il soit écrit sur les paquets de cigarettes que fumer est dangereux pour la santé, cela ne peut pas empêcher les gens de fumer. D'une part, la mauvaise compréhension des méfaits du tabagisme, ils pensent qu'il y a des fumeurs qui vivent jusqu'à plus de 90 ans, et que les non-fumeurs ont également un cancer du poumon à un très jeune âge, cette compréhension est incorrecte, par exemple, nous disons que les fumeurs ont un cancer du poumon 10 fois plus souvent que les personnes normales, non pas qu'un fumeur aura un cancer du poumon, mais la probabilité d'avoir un cancer du poumon est plus élevée. D'autre part, les fumeurs sont dépendants de la nicotine et il est difficile et douloureux d'arrêter de fumer. Le taux de réussite de l'arrêt du tabac par soi-même est inférieur à 5 %.

- Quel est donc le danger du tabagisme pour l'infarctus du cerveau ? Tout d'abord, la fumée du tabac contient de nombreuses substances toxiques qui peuvent endommager l'endothélium des vaisseaux sanguins et favoriser la production d'athérosclérose. Deuxièmement, le tabagisme entraîne l'instabilité des plaques d'athérosclérose, et lorsque les plaques se rompent, un infarctus cérébral se forme.
II. éviter la consommation prolongée et excessive d'alcool
Il fut un temps où l'on pensait que la consommation de petites quantités d'alcool favorisait la santé des vaisseaux sanguins, mais ce point de vue ne repose sur aucune base scientifique et, cette année, nos dernières recherches ont montré que la consommation d'alcool est nocive, quelle que soit la quantité consommée.
Les dommages causés aux vaisseaux sanguins par une forte consommation d'alcool se manifestent principalement par l'augmentation de la pression artérielle qui en résulte. La limitation de la consommation d'alcool peut faire baisser la tension artérielle et, pour les patients hypertendus, une réduction de 67 % de la consommation d'alcool peut faire baisser la tension artérielle systolique de 3 mmHg et la tension artérielle diastolique de 2 mmHg.
III. aspects diététiques
1. éviter de consommer trop de sel
- Les Chinois ont toujours eu un goût prononcé et, selon les statistiques, leur consommation quotidienne de sel avoisine les 10,5 grammes, soit bien plus que la dose recommandée de 6 grammes. La plupart des Chinois sont sensibles au sel, et la consommation excessive de sel est l'un des principaux facteurs de risque de l'hypertension en Chine.
- En outre, certains aliments à forte teneur en sel doivent être évités autant que possible, comme le poisson salé, le jambon, les cornichons, les légumes salés, etc. Certains condiments, comme la sauce soja et le glutamate monosodique, doivent également être utilisés avec parcimonie.

2. éviter un régime riche en graisses et en cholestérol
- À 50 ans, il est important de manger léger et de ne pas consommer trop d'aliments riches en graisses et en cholestérol. Les jaunes d'œuf, par exemple, peuvent être consommés un jour sur deux.
- L'hyperlipidémie est la cause la plus importante de la formation de l'athérosclérose, et en nourrissant des rats avec un régime riche en graisses, les rats développeront rapidement un régime athérosclérotique. Par conséquent, il est également important de faire preuve de prudence dans le cadre d'un régime alimentaire humain.

3. manger plus de légumes et de fruits frais
- Les légumes et les fruits frais sont bénéfiques pour la santé humaine, riches en potassium, l'apport en potassium contribue à abaisser la tension artérielle, et les légumes et les fruits contiennent certaines vitamines nécessaires au corps humain ; la teneur en fibres est également relativement élevée, manger plus favorise des selles lisses, la constipation est une tendance chez les personnes âgées induite par une crise cardiaque et un infarctus cérébral des facteurs déclencheurs.
Mode de vie
1. éviter de travailler et de se reposer de manière irrégulière
- L'insomnie, l'irrégularité du travail et du repos et le fait de se coucher tard sont autant de facteurs qui contribuent à un mauvais contrôle de la tension artérielle et qui doivent donc être corrigés. En cas d'insomnie, il est recommandé de prendre des somnifères, en cas de veille tardive, d'essayer d'organiser son temps de travail et de repos, et en cas de travail et de repos irréguliers, il est préférable de se coucher à peu près à la même heure tous les soirs.

2. éviter la sédentarité et le manque d'exercice physique
- Rester à la maison pendant longtemps n'est pas bon pour la santé, et l'exercice physique est bon pour le corps et l'esprit. L'exercice contribue non seulement à abaisser la tension artérielle, mais aussi à améliorer la résistance à l'insuline et le diabète.
- En outre, certaines personnes n'ont rien à faire après la retraite et ont tendance à divaguer. Sortir faire de l'exercice et rencontrer des amis est bon pour la santé mentale.

V. Peu d'intérêt pour la santé
- Il y a beaucoup de ces personnes, il y a une maladie à supporter un peu de mijotage passera. À l'hôpital, on rencontre souvent de tels patients. Vous allez demander la situation du patient, la famille dira qu'avant il était en bonne santé, qu'il n'allait jamais à l'hôpital, qu'il ne prenait pas de médicaments, mais que cette fois-ci, il était si malade.
- Pourquoi êtes-vous si malade ? Quelle pourrait en être la raison ? Ne jamais aller à l'hôpital, ne pas faire d'examen physique. Certaines maladies chroniques ne peuvent pas être détectées, les maladies chroniques telles que l'hypertension artérielle n'ont généralement pas de symptômes, et les complications prennent souvent des années. Ce n'est donc pas parce que vous ne vous sentez pas malade que vous ne l'êtes pas. À mon avis, au-delà de 40 ans, si la famille est encore en bonne santé, vous devriez subir un examen physique une fois par an.
- Il y a aussi des personnes qui savent qu'elles ont des maladies chroniques mais qui ne prennent pas leurs médicaments correctement. Par exemple, les personnes souffrant d'hypertension artérielle et de diabète ne prennent pas correctement leurs médicaments, ne contrôlent pas leur alimentation et n'améliorent pas leur mode de vie, et pensent que si elles n'ont pas de symptômes, il n'y a rien à faire, ce qui constitue des tabous majeurs en matière de santé.

Je suis le Dr Chan de Daily Science, et ce sont vos commentaires et vos préoccupations qui me motivent à continuer à créer.
Le dernier jour des vacances du 1er mai, lorsque je suis allée vérifier ma chambre le matin, je suis passée par la salle d'urgence et j'ai rencontré des personnes encore en réanimation.
Un homme de 48 ans d'âge moyen souffrant d'une hémiparésie et d'une aphasie soudaines du côté gauche a été amené aux urgences par 120 personnes. Un scanner a été réalisé, suggérant un infarctus cérébral massif, et après que le patient soit entré dans la salle de cathétérisme, il est apparu que sa fille avait pleuré.
La famille a demandé : s'il n'y a pas de signes avant-coureurs, pourquoi un accident vasculaire cérébral se produit-il soudainement ?
Plus tard, une enquête détaillée a permis d'apprendre que le patient, M. Huang, âgé de 48 ans, fumait et buvait depuis longtemps, qu'il était également en surpoids, qu'il ne suivait pas de régime alimentaire et qu'il ne faisait jamais d'exercice physique ; il n'y avait pas trois hauts niveaux de connaissances, parce qu'il n'y avait pas de contrôles.
À l'admission, le patient avait une tension artérielle de 190/110 mmHg, une glycémie aléatoire de 13,7 mmol/L, un taux de cholestérol lipidique de 7,5 et un taux de LDL de 5,3 mmol/L. Il s'agit d'une triple élévation typique.
La famille a dit qu'il n'y avait aucun signe, alors pourquoi a-t-il eu une attaque cérébrale ?
Je dirais qu'il est possible de ne pas avoir d'attaque cérébrale lorsque tant de signes ne sont pas portés à l'attention de la famille et du patient.
L'infarctus du myocarde n'est pas comme l'infarctus du myocarde, l'infarctus du myocarde se produit souvent un certain temps avant l'angine de poitrine, aller à l'hôpital en temps opportun ne se produira pas de blocage cardiovasculaire, ne sera pas un infarctus du myocarde ; mais l'infarctus cérébral une fois que les symptômes apparaissent, s'est souvent produit dans le blocage vasculaire cérébral, s'est produit l'infarctus cérébral.
Le nombre d'accidents vasculaires cérébraux est supérieur au nombre d'accidents cardiovasculaires cérébraux, un rapport qui n'est pas tout à fait le même que dans d'autres pays, où les accidents cardiovasculaires sont prédominants. Ces dernières années, l'incidence des infarctus cérébraux a augmenté et l'âge d'apparition a diminué. L'infarctus cérébral le plus jeune que j'aie jamais vu avait moins de 20 ans, et il y a bien sûr des infarctus plus jeunes rapportés dans la littérature.
L'infarctus cérébral est dû à l'obstruction des vaisseaux sanguins cérébraux par des caillots sanguins ; les vaisseaux sanguins cérébraux ne sont pas irrigués, ce qui entraîne la mort des cellules cérébrales ; les cellules cérébrales ne se régénèrent pas ; avec la mort des cellules cérébrales, la fonction initiale du tissu cérébral est de commander le corps humain ; lors d'un infarctus cérébral, ces cellules sont nécrosées et ne peuvent pas fonctionner correctement ; elles ne peuvent donc pas commander aux gens de bouger, de parler, de marcher, etc.
Les principales causes de thrombose vasculaire cérébrale peuvent être divisées en deux : la première est la rupture d'une plaque d'athérosclérose, la formation de caillots sanguins et l'obstruction des vaisseaux sanguins cérébraux ; la seconde est l'obstruction des vaisseaux sanguins cérébraux par d'autres caillots sanguins. L'autre est due à d'autres caillots sanguins bloqués dans les vaisseaux sanguins cérébraux, la plus courante étant l'arythmie cardiaque causée par la fibrillation auriculaire, la fibrillation auriculaire causée par des caillots sanguins, les caillots sanguins délogés vers les vaisseaux sanguins cérébraux après avoir couru dans l'infarctus cérébral se produiront.
La prévention de l'infarctus cérébral consiste en fait à prévenir l'athérosclérose et les caillots sanguins dus à la fibrillation auriculaire.
Pourquoi ai-je dit que M. Wong présentait généralement de nombreux facteurs conduisant à un infarctus cérébral ?
1, trois haut à vérifier à contrôler
L'hypertension, le diabète et l'hyperlipidémie sont les causes les plus fréquentes d'infarctus cérébral, et c'est dans la section des causes contrôlables que ces trois facteurs représentent une grande partie de l'infarctus. En clair, en cas d'hypertension, de diabète sucré ou d'hyperlipidémie, ou de deux d'entre eux, ou des trois, si rien n'est fait, la paroi des vaisseaux sanguins subit de graves dommages, ce qui aggrave l'athérosclérose et la formation de plaques. Une fois la plaque rompue, un caillot de sang se forme, bloquant les vaisseaux cérébraux et provoquant un infarctus cérébral. Ce M. Wong n'a jamais vérifié son corps, parce qu'il n'a ressenti aucun malaise ; mais l'hypertonie n'est pas du tout ressentie, la tension artérielle, la glycémie, les lipides sanguins ne doivent être testés que pour savoir s'il y a une hypertonie, plutôt que de suivre la sensation, la sensation est souvent une illusion.
2、Un mode de vie malsain est à l'origine de la formation et de l'aggravation de l'athérosclérose.
Outre les trois facteurs qui aggravent l'athérosclérose, l'âge avancé, le sexe et l'hérédité influencent également la proportion d'infarctus cérébraux ; cependant, il s'agit de facteurs que nous ne pouvons pas choisir artificiellement et qui n'expliquent pas une grande partie de la maladie. La clé de notre long terme est le tabagisme, l'alcoolisme, la sédentarité, le manque d'exercice, l'obésité, une alimentation malsaine, le stress nocturne, etc. Ces habitudes malsaines accéléreront l'aggravation de l'athérosclérose, aggravant ainsi la plaque, la rupture de la plaque familiale pour former un thrombus, ce qui entraînera un infarctus cérébral.
Les fumeurs ont 3,7 fois plus d'accidents vasculaires cérébraux que les non-fumeurs ;
La consommation chronique d'alcool, en particulier l'abus d'alcool, augmente considérablement le risque d'accident vasculaire cérébral ;
L'inactivité sédentaire est presque aussi nocive que le tabagisme et le diabète, car elle augmente considérablement le processus d'athérosclérose ;
L'obésité entraîne non seulement une incidence plus élevée des trois maladies graves, mais aussi un risque accru d'accident vasculaire cérébral ;
Notre niveau de vie s'est certes amélioré, mais notre régime alimentaire est riche en huile, en sel et en sucre, et la proportion de fruits et de légumes est insuffisante, de même que la proportion de fourrage et de céréales omnivores ; une telle structure alimentaire aggrave l'athérosclérose ;
Les personnes modernes, en particulier les personnes d'âge moyen, le stress, les charges lourdes, la passivité active, le fait de se coucher tard pour faire des heures supplémentaires et ainsi de suite, ont pour conséquence d'accélérer la formation de l'athérosclérose.
Le tabac, l'alcool, l'obésité, la sédentarité et une mauvaise alimentation sont autant de facteurs de risque.
Ainsi, lorsque la famille a dit : "M. Wong ne souffrait habituellement d'aucun malaise, pourquoi a-t-il soudainement eu un infarctus cérébral ? J'ai envie de dire : il souffre d'hypertension artérielle, de diabète, d'hyperglycémie, de tabagisme, d'alcoolisme, de sédentarité, d'obésité, d'un régime alimentaire malsain, etc. Bien sûr que non, ces habitudes à long terme, les problèmes cardiovasculaires et cérébrovasculaires, c'est tôt ou tard.
Par conséquent, pour prévenir l'infarctus cérébral, nous devons d'abord adopter un mode de vie sain et changer le mode de vie malsain. Tant que vous êtes jeune, le plus tôt sera le mieux : ne fumez pas et ne buvez pas d'alcool, contrôlez votre poids, adoptez un régime alimentaire sain, insistez sur l'exercice, réduisez les soirées tardives, éliminez le stress, effectuez des contrôles de routine, surveillez votre tension artérielle, votre glycémie, vos lipides sanguins, et si vous avez trois hauts, vous devez prendre le contrôle actif de ces trois hauts. Cela peut réellement prévenir l'infarctus cérébral.
Pour les personnes atteintes d'athérosclérose sévère, en particulier de plaques instables dans les artères carotides, il est important de prendre de l'aspirine et des statines sous la supervision d'un médecin afin de prévenir la rupture des plaques, la formation de caillots sanguins et l'infarctus cérébral.
Comme nous avons commencé à le dire, il existe deux types simples d'infarctus du cerveau : l'athérosclérose et la crise cardiaque, qui est un caillot sanguin causé par une fibrillation auriculaire, qui entraîne un infarctus du cerveau.
Prévenir ce type d'infarctus cérébral, c'est prévenir la fibrillation auriculaire ou la traiter formellement lorsqu'elle survient. Il existe de nombreuses causes de fibrillation auriculaire, et actuellement nous avons des causes communes telles que l'hypertension, les maladies coronariennes, les maladies cardiaques rhumatismales, les maladies cardiaques pulmonaires, l'insuffisance cardiaque, l'hyperthyroïdie, la fibrillation auriculaire idiopathique, et ainsi de suite. Elles sont facilement diagnostiquées par l'ECG ; le contrôle de l'hypertension est particulièrement important et réalisable pour prévenir la fibrillation auriculaire.
Les personnes qui développent une fibrillation auriculaire doivent être suivies par des spécialistes, ou bénéficier d'une anticoagulation ou d'une conversion au rythme cardiaque, ou d'une intervention chirurgicale, en bref, l'un des objectifs est de prévenir les caillots sanguins, d'empêcher la formation de caillots sanguins, d'empêcher les caillots sanguins de tomber, de sorte que l'infarctus cérébral puisse être évité.
En conclusion, pour prévenir l'infarctus cérébral, en particulier chez les personnes d'âge moyen, nous devons commencer par changer nos propres habitudes de vie malsaines. Ne soyez pas comme M. Wong, qui pense toujours qu'il va bien, mais qui est soudainement victime d'un infarctus cérébral. En fait, avant l'infarctus cérébral, de nombreux avertissements ont été émis, mais beaucoup de gens ne s'en préoccupent tout simplement pas.
Parce que nous sommes tous capables d'oublier la douleur, sans compter que nous n'avions pas de cicatrices avant l'attaque cérébrale, alors qui se soucie de la douleur ?
M. Wong est maintenant allongé dans l'unité de soins, il ne peut toujours pas bouger, il ne peut pas parler, la famille attend tranquillement à l'extérieur de l'unité de soins ......
C'est une très bonne question ! L'année dernière, l'un de mes camarades de classe a été victime d'une attaque cérébrale soudaine et a été secouru à temps. Après plus d'un an de traitement de récupération, ses activités ont été considérablement restreintes, il ne peut pas aller en classe et sa fille unique ne peut revenir d'Allemagne que pour s'occuper de lui.
En Chine, l'infarctus cérébral est l'une des maladies cérébrovasculaires les plus courantes ; il représente 70 % de l'ensemble des maladies cérébrovasculaires aiguës ; chez les patients d'âge moyen et les personnes âgées, l'incidence n'est pas la même chez les hommes et chez les femmes, et la tendance est à l'abaissement de l'âge.
Quelles sont donc les causes des attaques cérébrales ? Quelles sont les mauvaises habitudes qui peuvent déclencher le risque d'attaque cérébrale ? Quelles sont les bonnes habitudes qui réduisent le risque d'attaque cérébrale ?

L'athérosclérose est une cause essentielle d'infarctus cérébral
L'infarctus cérébral est le nom commun de l'infarctus cérébral, également connu sous le nom clinique d'accident vasculaire cérébral ischémique, qui se produit le plus directement à la suite d'une altération de la circulation sanguine dans le cerveau, provoquant une ischémie, une hypoxie et finalement une nécrose ischémique, ou un ramollissement des tissus cérébraux restreints.
Le changement pathologique le plus fondamental de l'infarctus cérébral est l'athérosclérose des grosses artères intracrâniennes et carotidiennes. Il existe de nombreuses causes cliniques d'infarctus cérébral, mais l'athérosclérose des grosses artères, l'embolie cardiogénique et l'occlusion des petites artères sont considérées comme les causes les plus importantes de l'infarctus cérébral à l'heure actuelle.
L'athérosclérose des grosses artères peut en effet conduire directement à la thrombose et à l'embolie artérielle, qui est la pathogénie la plus importante de l'infarctus cérébral ; l'hypertension et le diabète sont des facteurs de risque élevés pour l'occlusion des petites artères.

Quelles sont les mauvaises habitudes qui peuvent conduire à l'athérosclérose ?
En résumé, l'athérosclérose aortique est un facteur de risque important pour l'infarctus du cerveau, et l'athérosclérose ne se forme pas en un jour, elle doit passer par un lent processus de développement, dans lequel le mauvais mode de vie accélère considérablement le processus d'athérosclérose, alors, quel mauvais mode de vie, ou quelles mauvaises habitudes conduisent à la formation de l'athérosclérose ? En résumé, les 6 mauvaises habitudes suivantes devraient être éliminées :
1. l'alimentation est grasse, sucrée, épaisse et graisseuse, riche en sel et en graisses, épicée et stimulante ;
2. préférer la viande aux légumes et ne pas consommer suffisamment de légumes et de fruits ;
3. fumer et boire, être accro au barbecue et aux aliments frits ;
4. les troubles du travail et du repos, les irrégularités, le fait de se coucher tard et de ne pas dormir suffisamment ;
5. non sportifs, obèses et en surpoids ;
6. un mauvais contrôle de la tension artérielle, de la glycémie et des lipides sanguins.

Quelles sont les bonnes habitudes à prendre pour éviter l'athérosclérose ?
On estime cliniquement qu'une intervention précoce, en particulier sur le mode de vie, peut ralentir et arrêter le processus d'athérosclérose, et qu'il existe même la possibilité d'une légère inversion des plaques d'athérosclérose, de sorte qu'un bon mode de vie, ou de bonnes habitudes, constitue la base de la prévention de l'athérosclérose.
Quelles sont donc ces bonnes habitudes ? En résumé, il existe 7 bonnes habitudes :
1. une alimentation saine, des repas équilibrés : peu de sel et peu de matières grasses, mélanger le grossier et le fin, manger plus de fruits et de légumes et de fibres alimentaires, arrêter de fumer et limiter la consommation d'alcool ;
2. contrôler le poids et éviter l'obésité : contrôler les calories alimentaires, réduire la consommation d'acides gras saturés, de cholestérol et de sucre ;
3) Contrôler les facteurs de risque : contrôler la tension artérielle, la glycémie et les lipides sanguins à des niveaux raisonnables ;
4. s'astreindre à une activité physique régulière : 30 à 45 minutes d'exercice d'intensité modérée 4 à 5 jours par semaine ;
5) Travailler et se reposer régulièrement, refuser de se coucher tard : combiner travail et repos, dormir suffisamment ;
6) Optimiste et détendu : évitez l'excitation émotionnelle, restez optimiste et détendu ;
7) Examens réguliers de prévention : échographie carotidienne, électrocardiogramme, etc. et observation des symptômes tels que vertiges, maux de tête, oppression thoracique, douleurs thoraciques, douleurs abdominales, distension abdominale et douleurs dans les membres inférieurs.
Résumé : La cause principale de l'infarctus cérébral est l'athérosclérose ; pour éviter l'infarctus cérébral, nous devons abandonner 6 mauvaises habitudes et en prendre 7 bonnes.
Êtes-vous d'accord avec moi ?
Mise à jour quotidienne des points chauds de la santé, des points de douleur médicaux ; si ce que je dis, est exactement ce que vous pensez, alors s'il vous plaît aimez, retweetez, suivez Zhu Xiaojun a dit santé !
Comme nous le savons tous, le danger de l'infarctus cérébral n'est pas seulement d'endommager le cerveau et d'affecter le mouvement de nos membres, mais aussi de porter un coup sévère à notre qualité de vie future, en particulier pour les personnes d'âge moyen et les personnes âgées de plus de 50 ans. Dans mon entourage, de nombreuses personnes ont souffert d'un infarctus cérébral, ce qui les a rendues incapables de s'occuper d'elles-mêmes et les a obligées à se faire aider par leurs proches à tout moment. À cet égard, l'infarctus cérébral n'affecte pas une seule personne, mais dans les cas graves, il peut faire souffrir toute la famille.
Avec l'amélioration du niveau de vie, la plupart d'entre nous attachent de plus en plus d'importance à leur santé. Lorsque nous regardons nos amis autour de nous, l'un après l'autre, leurs activités sont gênées par un infarctus cérébral, nous commençons également à changer progressivement nos habitudes et notre mode de vie pour prévenir la survenue d'un infarctus cérébral. Cependant, en réalité, il y a encore beaucoup de gens qui ne pensent pas que l'infarctus cérébral est loin de nous, ou même qu'il ne se produira pas du tout. Quoi qu'il en soit, dans l'article d'aujourd'hui, j'aimerais aborder avec vous le sujet de l'infarctus cérébral en détail.

Qu'est-ce qu'un infarctus cérébral ?
Un infarctus cérébral, également connu sous le nom de thrombose cérébrale ou d'accident vasculaire cérébral thrombotique, est considéré comme un accident vasculaire cérébral ischémique.Notre cerveau humain, comme un ordinateur, est constitué d'une variété de parties, dont les différents circuits de l'ordinateur sont équivalents aux différentes artères du cerveau.La présence d'un caillot de sang dans les artères du cerveau humain entraîne un rétrécissement des vaisseaux sanguins. À ce stade, les caillots bloquent la circulation du sang riche en oxygène vers une zone du cerveau, ce qui peut provoquer des lésions cérébrales à long terme. En fait, pour parler franchement.Un infarctus cérébral est une lésion cérébrale temporaire ou permanente qui se produit en raison d'un manque d'apport sanguin adéquat dans une zone du cerveau.
On peut classer les infarctus du cerveau en deux catégories en fonction de la taille de la zone obstruée dans le cerveau, à savoirthrombose和thrombose d'un petit vaisseau. Les infarctus cérébraux à gros vaisseaux se produisent dans les grandes artères cérébrales qui alimentent le cerveau en sang, telles que laartère carotide (médecine)或artère cérébrale moyenne.. En règle générale, un accident vasculaire cérébral thrombotique peut entraîner des symptômes graves et des effets à long terme tels queaphasie ou aphémie (perte du langage)或偏瘫etc.

Un infarctus cérébral des petits vaisseaux se produit lorsque le flux sanguin est bloqué dans les petites artères et les artères profondes du cerveau. En fait, la plupart de ces infarctus sont ce que l'on appelle souvent des infarctus cérébraux lacunaires. Comparé à l'infarctus des gros vaisseaux, l'infarctus des petits vaisseaux est très dangereux et n'affecte qu'une zone limitée du cerveau. Toutefois, si l'infarctus des petits vaisseaux se produit dans une zone importante du cerveau, telle que la zone du cerveau responsable de fonctions physiques ou de capacités cognitives importantes et évidentes, il peut en résulter de graves déficiences.
Comme indiqué ci-dessus, l'infarctus cérébral présente des symptômes et des effets différents selon la localisation de l'infarctus. Lorsque nous avons soudainement des difficultés à parler ou que nous nous exprimons dans une langue inintelligible, ou lorsque nous avons des faiblesses et des engourdissements dans la moitié de notre corps, ou dans les cas les plus graves, nous pouvons même avoir une vision floue, des maux de tête sévères, ou nous ne pouvons même pas marcher fondamentalement, nous devons faire attention à la survenue d'un infarctus cérébral. Si nous consultons le médecin à temps, les séquelles peuvent être minimisées dans une large mesure et les chances de guérison sont grandement améliorées.

Quelles sont les causes de l'infarctus cérébral ?
Dans la pratique clinique, les infarctus cérébraux sont le plus souvent causés parhippocampe或sténose carotidienneLa cause du problème est l'athérosclérose. Dans la plupart des cas, la "cause" du rétrécissement des artères cérébrales ou carotidiennes est l'athérosclérose. L'athérosclérose est simplement le dépôt d'une couche de sang sur les parois des artères.Lipides comme la bouillie de milletIl faut bien y réfléchir. Lorsque des dépôts lipidiques se forment, l'élasticité des artères diminue et la lumière se rétrécit, ce qui affecte inévitablement le flux sanguin dans les artères. En fait, la plupart des dépôts lipidiques sont le résultat d'un taux élevé de cholestérol LDL, qui est l'une des causes les plus importantes.
L'hypertension artérielle persistante peut également rétrécir les vaisseaux sanguins, entraînant un accident vasculaire cérébral thrombotique. En fait, l'hypertension et l'athérosclérose sont souvent des maladies concomitantes dans la pratique clinique. Par conséquent, cela peut endommager davantage nos artères. Le diabète rétrécit les vaisseaux sanguins, petits et grands, ce qui entraîne des thromboses et des infarctus cérébraux, en particulier si la glycémie n'est pas contrôlée efficacement.
Le tabagisme est nocif pour notre organisme et constitue l'un des principaux facteurs de risque d'attaques cérébrales et de maladies cardiaques. En effet, il endommage les vaisseaux sanguins dans tout le corps. En outre, il existe une autre cause moins fréquente, à savoir un traumatisme des vaisseaux sanguins du cou. Dans certains cas, un traumatisme grave peut entraîner la formation de caillots sanguins et provoquer une attaque cérébrale.

Quelles sont les meilleures habitudes à perdre quand on a plus de 50 ans et qu'on ne veut pas d'attaque cérébrale ?
La plupart des attaques cérébrales nous font souffrir, même s'il s'agit d'attaques ischémiques transitoires. Qu'il s'agisse de nos propres considérations ou de celles de toute la famille, la prévention des attaques cérébrales est une chose que chacun d'entre nous devrait prendre au sérieux, surtout si nous avons dépassé le seuil des 50 ans, et nous devrions y prêter attention en permanence. À mon avis, pour prévenir l'infarctus cérébral, il faut changer les mauvaises habitudes suivantes :
La première chose à faire est d'arrêter de fumer. On a peut-être beaucoup parlé de l'arrêt du tabac. Bien que de nombreuses personnes soient conscientes de ses méfaits, il est difficile d'arrêter de fumer. En fait, en dernière analyse, c'est toujours une question d'état d'esprit. Une fois que notre état d'esprit est correct et que nous sommes déterminés à arrêter de fumer, je pense qu'arrêter de fumer n'est pas un problème. Après tout, le grand président Mao a dit un jour : "Le monde a peur du mot sérieux".

Deuxièmement, changer l'habitude d'ignorer l'hypertension artérielle. Autour de moi, il y a beaucoup de patients hypertendus qui ne font jamais attention à leur tension artérielle, ils pensent toujours que l'hypertension artérielle n'est pas dangereuse, ils ne contrôlent donc pas leur régime alimentaire, en faisant particulièrement attention à l'apport en sodium, et ils n'augmentent pas leur activité physique. En fait, le danger de l'hypertension artérielle est bien plus grave qu'on ne le pense. Il est recommandé à chacun de faire attention à sa tension artérielle, en particulier aux patients hypertendus, et de la contrôler en dessous de 130/80 mmHg.
Troisièmement, changer les habitudes alimentaires riches en graisses, en cholestérol et en sucre, en particulier pour les personnes souffrant elles-mêmes d'hypercholestérolémie, d'hyperglycémie et d'hyperglycémie. Adoptez un régime alimentaire équilibré en mettant l'accent sur les aliments sains. Il est très important de maintenir le taux de cholestérol LDL en dessous de 2,6 mmol/L, comme cela est recommandé pour les personnes en bonne santé. Les diabétiques doivent suivre les conseils de leur médecin et maintenir leur taux de glycémie dans les limites de l'objectif fixé.
Quatrièmement, changer le mode de vie sédentaire. Dans le cadre de vie actuel, chacun d'entre nous est confronté à une forte pression professionnelle. Quoi qu'il en soit, nous devrions respecter le principe de la santé d'abord, après le travail, nous devrions également renforcer le mouvement, ne pas rester assis toute la journée. Il est recommandé de faire plus de 90 minutes d'exercice par semaine, même une simple promenade ou monter les escaliers est une bonne chose, et il n'est pas nécessaire d'aller à la salle de sport.

Conclusion :
Changer ses mauvaises habitudes est la clé de la prévention des attaques cérébrales. En effet, la plupart des attaques d'infarctus du cerveau sont étroitement liées à nos mauvaises habitudes. Malheureusement, de nombreux patients atteints d'une attaque cérébrale ne savent pas grand-chose à ce sujet et ne le regrettent que lorsqu'eux-mêmes ou des membres de leur famille reçoivent un diagnostic d'attaque cérébrale. En fait, si nous faisons toujours attention à notre tension artérielle, à notre glycémie et à nos lipides sanguins, et si, sous la direction des médecins, nous les contrôlons un par un dans la fourchette cible, nous pouvons réduire dans une large mesure la survenue d'un infarctus du cerveau. Face à la maladie, il ne faut jamais avoir la mentalité de la chance, mais seulement y prêter attention, afin de la surmonter.
Après l'âge de 50 ans, la fonction physique de la plupart des gens connaît un déclin plus évident, diverses maladies sont plus susceptibles d'envahir le corps, et les maladies cardiovasculaires sont un type de maladie très courant, l'infarctus cérébral faisant partie des maladies à très forte incidence, de sorte que pour les personnes âgées de 50 ans et plus qui veulent éviter de souffrir d'un infarctus cérébral, il est très important de changer activement les mauvaises habitudes et de faire un bon travail de prévention.
L'un de mes oncles a été victime d'un infarctus cérébral soudain à l'âge de 55 ans, ce qui l'a rendu gravement hémiplégique, et sa qualité de vie est aujourd'hui très médiocre, car il est incapable de s'occuper de lui-même et doit être pris en charge par d'autres, et il doit se rendre de temps en temps à l'hôpital, ce qui est très difficile à supporter.

Quels sont donc les facteurs qui présentent un risque élevé de déclencher un infarctus cérébral après 50 ans ?
La première chose dont je voudrais vous parler est la suivantehyperlipidémieCette maladie.L'hyperlipidémie est la cause la plus fréquente de l'athérosclérose, et l'athérosclérose est la cause la plus fréquente de l'infarctus cérébral, de sorte que l'hyperlipidémie induit indirectement l'infarctus cérébral, ce qui constitue un facteur de risque très élevé pour l'infarctus cérébral.Chez les personnes présentant un taux élevé de lipides sanguins, le sang est plus gras et plus visqueux. Ces caillots, s'ils sont délogés, pénètrent dans les vaisseaux sanguins intracrâniens avec le flux sanguin, ce qui entraîne une obstruction des vaisseaux sanguins intracrâniens et provoque une ischémie plus prononcée dans le cerveau, et le tissu cérébral se nécrose après l'ischémie. Le tissu cérébral se nécrose après l'ischémie, ce qui se manifeste par un infarctus cérébral.

En outre.L'hypertension est également un facteur de risque élevé d'infarctus cérébral.Nombreux sont ceux qui savent que l'hypertension artérielle est très susceptible d'entraîner une hémorragie cérébrale et que l'infarctus cérébral causé par l'hypertension artérielle est également très courant. Un grand nombre de données de recherche montrent que si un patient souffre d'hypertension artérielle, le risque d'infarctus cérébral est au moins cinq fois plus élevé que pour une personne ordinaire en bonne santé, ce qui est principalement dû à l'élévation à long terme de la pression artérielle, qui exerce une pression plus forte sur les vaisseaux sanguins et endommage à des degrés divers la paroi interne des vaisseaux sanguins, en particulier certaines petites artères du crâne, qui deviennent très dures et dont la circulation sanguine est entravée dans une certaine mesure, ce qui entraîne une insuffisance de l'apport sanguin au cerveau et la survenue d'un infarctus cérébral. L'insuffisance de l'irrigation sanguine du cerveau entraîne la survenue d'un infarctus cérébral.

Bien sûr.Les maladies cardiaques peuvent également déclencher un infarctus cérébral. Pourquoi ? Parce que certaines maladies cardiaques sont très sujettes au thrombus épiphysaire, et que le thrombus épiphysaire, s'il est délogé, est facile à pénétrer dans le crâne avec la circulation sanguine, et ensuite l'infarctus cérébral, comme les patients atteints de fibrillation auriculaire, est le facteur de risque élevé d'infarctus cérébral, parce que la fibrillation auriculaire est très facile à induire la formation d'un thrombus épiphysaire.
en ce qui concerneLes personnes les plus susceptibles de fumerPar exemple, si une personne continue à fumer beaucoup pendant une longue période après l'âge de 50 ans, le risque d'infarctus cérébral sera nettement plus élevé. Toutefois, si elle parvient à arrêter de fumer à temps, le risque d'infarctus cérébral diminuera progressivement et, après quelques années, elle se retrouvera plus ou moins dans la même situation que les personnes normales. En fait, ce phénomène s'explique principalement par le fait que le tabagisme est plus susceptible d'endommager la paroi interne des artères et qu'il est également facile de stimuler le spasme des artères, en particulier pour les petites artères du crâne, l'impact est très évident.

Un autre facteur à ne pas négliger est celui desImpact spirituel.Ce facteur ne doit pas être sous-estimé, le stress mental est également susceptible de provoquer un infarctus cérébral, en particulier chez les personnes qui se couchent souvent tard, le stress mental étant associé au fait de se coucher tard.Elle peut entraîner une diminution plus prononcée de la résistance et de l'immunité de l'organisme.Le risque d'infarctus cérébral est nettement plus élevé, surtout après 50 ans, si l'on est encore souvent stressé et que l'on se couche tard.
Et une dernière chose.le diabète. De nombreuses personnes pensent que le diabète et les maladies cérébrovasculaires sont très éloignés l'un de l'autre. Cependant, un mauvais contrôle de la glycémie à long terme chez les patients diabétiques peut entraîner de nombreuses complications, notamment des lésions des vaisseaux sanguins, l'agrégation des plaquettes, la thrombose, ce qui augmente le risque d'infarctus cérébral.

Une fois que vous connaissez les facteurs de risque de l'infarctus cérébral, nous allons vous parler des habitudes qu'il est préférable de changer.
Pour réduire le risque d'infarctus cérébral, il faut réduire les facteurs de risque élevés. Le Dr Liu a donc suggéré aux personnes dont les mauvaises habitudes constituent des facteurs de risque élevés d'infarctus cérébral de changer de comportement le plus tôt possible.
La première chose à faire est de changer les mauvaises habitudes alimentaires.
La présence de mauvaises habitudes alimentaires est une augmentation significative de l'hypertension et de l'hyperlipidémie, qui peuvent indirectement induire des infarctus cérébraux. Par exemple, l'hypertension et l'hyperlipidémieMange souvent trop, aime toujours la viande grasse, aime les aliments épicés et stimulants, aime les aliments marinés, aime les aliments lourds.Ce sont des facteurs de risque pour le développement de l'hypertension et de l'hyperlipidémie.Vous devez changer avant qu'il ne soit trop tard.En termes de régime, essayez d'être léger. Dans le régime alimentaire, il faut autant que possible privilégier la légèreté, et dans le même temps, dans la méthode de cuisson, vous pouvez utiliser davantage la vapeur, l'ébullition, le ragoût et d'autres méthodes, et moins la friture, la cuisson au four et d'autres méthodes ; en même temps, il faut consommer plus d'aliments riches en fibres alimentaires, plus de légumes et de fruits frais ; pour la viande, il faut manger avec modération, pour le poisson, la viande à faible teneur en matières grasses, il peut être approprié d'en manger plus. En ce qui concerne la consommation de sel, il faut veiller à en contrôler la quantité. En principe, il est préférable de ne pas consommer plus de 5 g de sel par jour.

L'étape suivante consiste à rompre avec la mauvaise habitude de fumer et de boire.
Nous vous avons dit plus haut que le tabagisme provoquait des changements dans les vaisseaux sanguins, entraînant des lésions des vaisseaux sanguins, qui à leur tour conduisaient à l'apparition d'infarctus cérébraux. En ce qui concerne l'alcool, il est recommandé de réduire la consommation occasionnelle, ce qui n'a pas un grand impact, mais si l'on boit souvent beaucoup d'alcool, les vaisseaux sanguins cérébraux sont très endommagés, ce qui peut très facilement entraîner un infarctus cérébral. Par conséquent, pourFumer et boire sont de mauvaises habitudes dont il faut essayer de se défaire le plus tôt possible.

Une fois de plus, il faut changer les mauvaises habitudes.
Les mauvaises habitudes peuvent être très néfastes pour les personnes âgées de plus de 50 ans. Par exemple, les mauvaises habitudes peuvent être très néfastes pour les personnes de plus de 50 ans.Veillez toute la nuit.qui est très influent et qui doit donc être modifié.Stress, surstimulation, mauvaise humeur permanente - de mauvaises habitudes !Il est également conseillé de changer à temps. Ces mauvaises habitudes sont plus néfastes pour nos vaisseaux sanguins intracrâniens. Il est recommandé de prendre de bonnes habitudes de sommeil, d'éviter le stress excessif, de se détendre de temps en temps, de garder une bonne humeur, etc., afin d'avoir un bon état d'esprit, ce qui rendra nos vaisseaux sanguins plus sains.

Enfin, c'est la mauvaise habitude de ne pas faire d'exercice qui doit être rompue.
La vie est faite d'exercice, et l'exercice est très important pour une personne. Après l'âge de 50 ans, si l'on a l'impression que l'on est en train de faire de l'exercice, il faut le faire.L'inactivité à long terme est très susceptible de conduire à l'hypertension artérielle, à l'hyperglycémie et à l'hypoglycémie.. Il est suggéré de faire de l'exercice environ cinq fois par semaine pendant environ 30 minutes à chaque fois, ce qui aide nos vaisseaux sanguins cardiovasculaires et cérébraux à devenir plus souples et évite l'athérosclérose, prévenant ainsi la formation d'un infarctus cérébral. Bien entendu, en hiver, lorsqu'il fait froid, il est préférable de faire de l'exercice à l'intérieur, car si la température extérieure est trop basse, cela est plus défavorable aux vaisseaux sanguins cérébraux ; il convient donc de faire attention au choix des lieux d'exercice.

Après avoir compris les mauvaises habitudes à changer, le Dr Liu vous parlera des symptômes courants de l'infarctus cérébral.
En fait, l'infarctus cérébral précoce présente encore certains signes ; si vous pouvez le détecter à temps, un traitement médical opportun s'impose, car le traitement est encore très utile.
Tout d'abord, le corps.Faiblesse, engourdissement et perte de mobilité d'un ou des deux côtés du corpsDeuxièmement, il y a des patients qui peuvent êtreVision floue, perte de vision ou vision double dans un ou les deux yeux. Il existe également des manifestations plus courantes deont des difficultés à parlerPar exemple, lors d'une conversation avec d'autres personnes, il y a un manque de clarté du discours, un discours incompréhensible, une expression peu claire du sens, etc. Certains patients ne peuvent dire que la moitié de ce qu'ils disent.Vertiges et perte d'équilibreUne chute sans accident est également une manifestation possible d'un infarctus cérébral.

Par conséquent, si une ou plusieurs des manifestations susmentionnées se produisent, vous devez être vigilant et vous rendre à l'hôpital à temps pour recevoir un traitement ou prendre des mesures préventives afin d'éviter la survenue d'un infarctus cérébral.
résumés
Après l'âge de 50 ans, quelle que soit la partie du corps, il est très facile de développer une variété de maladies, il est donc crucial et important de faire activement un bon travail de prévention. En ce qui concerne l'infarctus cérébral, une fois qu'il se produit, il affecte souvent gravement la qualité de vie des patients, et de nombreux patients garderont des séquelles plus graves, telles que l'hémiplégie, et ainsi de suite, et même une partie des patients seront en danger de mort.Il est indispensable que chacun comprenne bien les facteurs de risque qui déclenchent l'infarctus cérébral et qu'il change toutes sortes de mauvaises habitudes de vieNous espérons que nous pourrons suivre certains des conseils donnés par le Dr Liu pour changer activement nos mauvaises habitudes et faire du bon travail dans la prévention de l'infarctus cérébral avant qu'il ne se produise.
Tout d'abord, l'infarctus cérébral est plus fréquent à partir de 50 ans, car plus l'âge est élevé, plus l'athérosclérose a de chances d'être importante, et certaines personnes souffrent d'hypertension, de diabète, d'hyperlipidémie et d'autres maladies, de sorte que l'infarctus cérébral n'est pas trop grave au début, mais en fait, il s'agit de la maladie invisible des personnes âgées, et la rupture vasculaire cérébrale conduit à la mort.
Le Xiao Ke suivant pour populariser pour tout le monde ne veut pas avoir d'infarctus du cerveau doit changer quelles sont les mauvaises habitudes ?
1, faire attention au régime, car le régime est très important pour la santé humaine, éviter de manger des aliments riches en graisses (viande grasse), ce qui entraînera une augmentation de la viscosité sanguine ou de la concentration sanguine, une augmentation de la viscosité sanguine causée par un infarctus cérébral.
2. Prêter attention au traitement des maladies cérébrovasculaires, les principales maladies coronariennes courantes, les maladies cardiaques rhumatismales, une tension artérielle trop élevée ou trop basse, l'obésité, l'hyperlipidémie, un contrôle instable de la glycémie sont susceptibles de provoquer des infarctus cérébraux, nous devons donc réguler ces maladies en temps opportun, afin de prévenir l'apparition d'infarctus cérébraux.
3. Éviter de boire et de fumer, qui est également un facteur de risque d'infarctus cérébral, car la consommation d'alcool et de tabac stimule la détérioration du tissu endothélial de la paroi du vaisseau sanguin, ce qui a pour effet de rendre la surface de la paroi du vaisseau sanguin non plane, les lipides sanguins dans la paroi irrégulière du vaisseau sanguin étant plus susceptibles de précipiter l'agrégation, ce qui entraîne l'émergence d'une embolie.
Suivez Kirk pour plus de connaissances en matière de santé, merci !
L'incidence de l'infarctus cérébral augmente d'année en année, et les personnes atteintes d'un infarctus cérébral à mobilité réduite ne manquent pas.Les patients et les personnes âgées de plus de 50 ans présentent une incidence élevée d'infarctus cérébral en raison de l'âge, et pas seulement les personnes âgées de plus de 50 ans, l'incidence de l'infarctus cérébral augmente de manière exponentielle avec l'âge, c'est pourquoi il est urgent de prévenir l'infarctus cérébral.L'infarctus cérébral représente 94,22 % de l'incidence des maladies cardiovasculaires aiguës.
Prévention ciblée de l'infarctus cérébral basée sur les facteurs de causalité de l'infarctus cérébral
L'hyperlipidémie et l'hypertension artérielle sont les deux principaux facteurs de formation et d'aggravation de l'athérosclérose, et l'athérosclérose est la principale cause de l'infarctus cérébral ; dans ce cas, les lipides présents dans le sang adhèrent à l'endothélium des vaisseaux sanguins et l'infiltrent, ce qui entraîne la destruction et la sclérose de l'endothélium des vaisseaux sanguins ; l'hypertension artérielle est encore plus nocive, car la pression artérielle élevée agit directement sur les vaisseaux sanguins cérébraux, ce qui entraîne la dénaturation des microvaisseaux du cerveau, des changements lipotropes et des dommages, formant et aggravant l'athérosclérose de l'endothélium artériel. aggraver l'athérosclérose de l'endothélium artériel.En outre, le processus d'athérosclérose s'aggrave avec l'âge et, par conséquent, l'incidence et la gravité des infarctus cérébraux augmentent.

Tabagisme de longue durée et abus d'alcool : le tabagisme augmente directement les dommages causés à l'endothélium des vaisseaux sanguins et accroît le risque d'athérosclérose ; les statistiques épidémiologiques montrent que la proportion de fumeurs de longue durée chez les patients ayant subi un infarctus cérébral est beaucoup plus élevée que dans la population normale, et avec l'augmentation de la fréquence et du nombre de cigarettes fumées, le risque d'infarctus cérébral s'accroît également. Une consommation importante d'alcool entraîne non seulement l'apparition de l'hypertension, mais augmente également la charge sur le foie, entraînant un risque accru de stéatose hépatique, ce qui conduit à une augmentation des lipides sanguins, de l'hypertension artérielle et des lipides sanguins élevés, de sorte que l'athérosclérose et l'incidence de l'infarctus cérébral se développent.

Nous savons tous que l'hypertension artérielle est relativement élevée dans notre population et que la raison principale en est l'excès de sel dans l'alimentation, qui augmente à son tour l'incidence de l'infarctus cérébral.

Obésité et manque d'exercice : les patients obèses en raison de la consommation excessive d'un régime riche en graisses, lui-même, les lipides sanguins seront élevés, et si ces personnes ne font pas d'exercice, ne peuvent pas être soulagés dès que possible pour atténuer l'obésité, ce qui entraîne une hyperlipidémie et d'autres effets néfastes sur les vaisseaux sanguins cérébraux, non seulement cela, avec l'augmentation du degré d'obésité, la maladie vasculaire cérébrale de l'incidence a augmenté de manière significative, jusqu'à 18%, savez-vous que l'obésité est également héréditaire, et cela a été confirmé par le gène de l'obésité, qui est un gène de l'obésité ? Cela a été confirmé par le gène.

Comment changer ces mauvaises habitudes
- Régime méditerranéen recommandé. Les chercheurs ont confirmé que les habitudes alimentaires de la population locale dans la structure du corps humain sont très favorables à la santé, d'où le respect du régime méditerranéen. Le régime méditerranéen est riche en combinaisons alimentaires bénéfiques et contient moins de cholestérol. Voici les caractéristiques du régime méditerranéen :
1. les régimes riches en aliments végétaux, notamment les fruits, les légumes, les céréales complètes, les légumineuses et les fruits à coque, etc.
2) L'huile d'olive est la principale huile de cuisson.
3) Les graisses fournissent de l'énergie pour 25 à 35 % du rapport énergétique alimentaire total, les graisses saturées ne représentant qu'environ 7 à 8 %.
4. consommer chaque semaine, avec modération, de petites quantités de poisson, de volaille et d'œufs.
5. utiliser des fruits frais comme aliment quotidien typique après le repas, les sucreries n'étant consommées que quelques fois par semaine.
6. ne consommer de la viande rouge que quelques fois par mois.
7,

- Il n'est pas question de s'abstenir de boire de l'alcool, mais cela ne veut pas dire que boire moins d'alcool est bon pour la santé, car il est difficile d'arrêter de boire. Cependant, selon les caractéristiques du régime méditerranéen, il est conseillé de boire une petite quantité de vin rouge. Fumer est une mauvaise habitude qu'il faut abandonner, et le plus tôt sera le mieux. N'attendez pas que vos vaisseaux sanguins soient abîmés pour penser à arrêter, c'est un euphémisme, le patient du quartier qui marche avec une jambe en moins est un avertissement.
Améliorer l'exercice physique : de nos jours, les gens font de moins en moins d'exercice physique, le corps n'est pas aussi bon que celui de la génération précédente, un bon corps doit bouger. Insister sur 30 à 40 minutes d'exercice physique par jour est extrêmement utile pour contrôler les lipides sanguins et abaisser la tension artérielle. La course à pied et la natation sont de bons choix.

Toutes ces habitudes et maladies augmentent les risques d'infarctus du cerveau, et il est important de changer les mauvaises habitudes et de ralentir la progression de la maladie.Mais cela ne suffit pas, et les personnes d'âge moyen et les personnes âgées ont intérêt à combiner plusieurs médicaments pour mieux prévenir l'infarctus cérébral.
(1) Outre la réduction des lipides sanguins, les statines ciblent la prévention de l'infarctus cérébral de la manière suivante.
Les statines ont un effet stabilisateur de la plaque d'athérome sur le système vasculaire artériel qui peut même être inversé.
Le développement d'un infarctus cérébral est associé à une dégradation endothéliale localisée du système vasculaire cérébral, à une thrombose et à une aggravation de l'inflammation, qui peuvent être contrôlées par les statines.
Les statines peuvent réparer les lésions endothéliales et améliorer la fonction endothéliale, tout en ayant des propriétés antioxydantes.
Effets neuroprotecteurs cérébraux.

résumés
L'infarctus cérébral est un problème majeur pour la majorité des personnes d'âge moyen et des personnes âgées, en particulier celles de plus de 50 ans. Le risque d'infarctus cérébral augmente considérablement et certaines mauvaises habitudes de vie augmentent l'incidence de l'infarctus cérébral ; par conséquent, la modification de ces mauvaises habitudes et l'application raisonnable de la médecine préventive peuvent réduire considérablement l'incidence de l'infarctus cérébral.
Enfin, je vous souhaite une bonne santé.
L'infarctus cérébral fait généralement référence à une thrombose cérébrale et, chez les patients souffrant de fibrillation auriculaire, le délogement du thrombus provoque une embolie cérébrale. (L'infarctus caverneux est un type particulier d'infarctus cérébral dans lequel les artères cérébrales terminales sont obstruées à un âge avancé, et l'infarctus est petit, asymptomatique, ou présente des symptômes légers et se rétablit très rapidement, sans grand rapport avec le sujet du jour.) En particulier, la rupture d'une plaque d'athérosclérose dans les artères cérébrales est la forme la plus fréquente d'accident vasculaire cérébral ischémique. Par conséquent, dès la jeunesse, prévenir l'apparition des facteurs de risque de l'athérosclérose est le meilleur moyen de réduire de manière significative la survenue d'infarctus cérébral, de crise cardiaque pendant la vieillesse, en particulier certaines mauvaises habitudes qui accélèrent, aggravent l'athérosclérose du cœur, la thrombose cérébrale, l'article sera décrit un par un :
Un autre type d'infarctus cérébral, appelé infarctus caverneux, est le plus courant. Il s'agit d'une forme particulière d'infarctus cérébral, c'est-à-dire l'occlusion de l'extrémité d'une artère cérébrale entraînant la nécrose du tissu cérébral sur une surface de 3 à 15 mm seulement. Les infarctus caverneux se produisent dans des zones fonctionnelles et peuvent présenter des symptômes transitoires légers : vertiges, salivation, troubles de l'élocution, paralysie faciale légère et démarche instable. La plupart de ces infarctus se produisent dans des zones non fonctionnelles et, lorsqu'ils se produisent, les patients ne ressentent aucune sensation ou symptôme et ils ne sont découverts qu'après un examen physique avec tomodensitométrie crânienne ou imagerie par résonance magnétique (IRM). Ils sont principalement liés à l'âge et à l'hypertension. Il existe de nombreuses théories sur les causes de cette maladie, qui est principalement liée au vieillissement des artères périphériques.
Une fois que le thrombus se détache, il bloque le flux sanguin dans l'artère cérébrale qui s'amincit progressivement avec l'aorte et l'artère carotide interne et bloque le flux sanguin derrière lui, ce qui entraîne un infarctus des tissus cérébraux dans la zone phasique. Il représente environ 25 % des infarctus cérébraux.
La thrombose cérébrale est le type le plus courant d'infarctus cérébral. Elle est due à la formation de plaques d'athérome dans l'artère principale ou les branches corticales de l'artère cérébrale, ce qui entraîne un rétrécissement de la lumière du vaisseau, ou la rupture des plaques et la thrombose. Cela entraîne une réduction du flux sanguin local vers le tissu cérébral ou une interruption de l'apport sanguin, et la tolérance du tissu cérébral à l'ischémie et à l'hypoxie n'est que de 4 à 10 minutes. La mort irréversible des cellules nerveuses centrales se produit et des symptômes neurologiques focaux apparaissent. Si l'infarctus se produit dans une petite artère, il provoque une petite zone d'infarctus du tissu cérébral, et les symptômes sont relativement légers, et la gravité des symptômes n'est pas la même que celle de l'infarctus. La gravité et les symptômes sont liés à la taille de l'infarctus et à la fonction régie par le site. La gravité des symptômes est liée à la taille de l'infarctus et à la fonction régie par le site. Avec le temps, certains patients peuvent récupérer certaines de leurs fonctions.
Un infarctus cérébral massif se produit rarement dans le tronc principal de l'artère carotide interne en cas d'occlusion complète du thrombus, et le plus souvent dans le tronc principal de l'artère cérébrale moyenne. La thrombose occlusive du tronc principal de l'artère cérébrale moyenne et des artères corticales provoque un accident vasculaire cérébral complet, qui se caractérise par une paralysie complète, des troubles visuels et une paralysie du regard vers le côté opposé à la lésion. Une hémiparésie, des troubles visuels et une paralysie du regard du côté opposé à la lésion. Infarctus causé par une occlusion complète du tronc principal de l'artère vertébrobasilaire par rupture de plaque et thrombus, pouvant entraîner L'infarctus causé par l'occlusion complète du tronc principal de l'artère vertébrobasilaire par rupture du thrombus peut entraîner une aggravation progressive de l'état de conscience, une paralysie des membres et de la plupart des nerfs cérébraux, des signes évidents d'œdème cérébral et d'augmentation de la pression intracrânienne, voire une hernie cérébrale, ce qui constitue un état critique susceptible de mettre la vie du patient en danger.
Par conséquent, les personnes d'âge moyen doivent prévenir la rupture de la plaque entraînant une thrombose cérébrale et la formation d'un infarctus cérébral, tout d'abord en empêchant les artères cérébrales de se rétrécir. La formation et l'augmentation des plaques d'athérome entraînent un rétrécissement important des artères cérébrales et carotides internes. Comme la plupart des ruptures de plaques d'athérome se produisent au point de sténose sévère, il est important d'empêcher les plaques d'athérome de se rompre dans le cerveau. La prévention de l'hypertension, du diabète, de l'hyperlipidémie et le sevrage tabagique sont donc les meilleurs moyens d'empêcher la rupture de la plaque d'athérosclérose dans le cerveau. et l'arrêt du tabac est le meilleur moyen, car ces maladies sont à l'origine de la formation de la plaque d'athérosclérose. la formation de la plaque d'athérome et sont toutes des causes importantes de la maladie d'Alzheimer. Les lésions endothéliales des artères sont une raison importante. En l'absence de lésions endothéliales, la plaque ne se forme pas. La plaque ne causera pas de sténose artérielle et la rupture de la plaque ne provoquera pas de thrombus. entraînant un infarctus.
Les hommes d'âge moyen qui craignent l'infarctus cérébral ou l'infarctus du myocarde doivent donc changer quelques mauvaises habitudes :
- Éliminer le surpoids et l'obésité (maintenir l'indice de masse corporelle kg/litre m est maintenu en dessous de 24/27). Contrôler strictement son alimentation, en particulier les graisses animales et végétales riches en calories et toutes sortes de sucres, ainsi que l'apport excessif de glucides, et en dehors des trois repas préférer être quelques fringales.
- Changer la mauvaise habitude de la sédentarité, vouloir la santé et la longévité chaque jour pour adhérer à une demi-heure d'une variété appropriée pour leur propre exercice. Cela permet non seulement d'améliorer la fonction cardio-respiratoire, de ralentir le déclin des fonctions organiques avec l'âge, d'augmenter la conformité des activités osseuses et articulaires, la coordination peut être préventive des chutes accidentelles, ce qui est souvent très utile pour les personnes d'âge moyen et les personnes âgées.
- Arrêter résolument de fumer. Fumer n'est pas une toxicomanie, c'est juste une mauvaise habitude qui, avec le temps, devient un réflexe conditionné : se lever le matin pour fumer, aller aux toilettes pour fumer, après le dîner pour fumer, heureux de fumer, malheureux pour fumer, occupé à fumer davantage, oisif pour fumer, parler, bavarder, se vanter, jouer au mahjong, jouer aux cartes plus puissamment ; mais sur les vols internationaux longue distance pendant plus de dix heures, sans que la dépendance d'une personne à l'égard de la fumée et difficile à contrôler, l'envie de fumer est plus forte que jamais. Tout ce que les conditions permettent, c'est de vouloir fumer. Pensez à votre sens de la responsabilité familiale et arrêtez de fumer.
- Les personnes impatientes et compétitives, qui appartiennent au groupe des personnes dont les nerfs sympathiques sont particulièrement sensibles et facilement excités, sont les facteurs initiateurs de l'hypertension et des maladies coronariennes, ainsi que le groupe à très haut risque de mort cardiaque subite et d'accident vasculaire cérébral. La seule réponse à la question de savoir comment les trois gaziers Zhou Yu ont été tués par le gaz sur le bateau est : arythmie maligne fibrillation ventriculaire !
- Jouer au mahjong, jouer aux cartes est une sorte de divertissement, c'est l'une des formes d'interaction interpersonnelle, de communication, de soulagement de l'ennui, mais ne soyez pas trop "top vrai", un sérieux excessif, l'agitation provoquera souvent des événements cardiovasculaires imprévisibles, parfois même mortels !
- Les patients qui aiment boire de l'alcool et qui ont trois hauts ne doivent absolument pas boire de vin blanc, une petite quantité de vin rouge, de vin jaune, de vin de riz, les personnes d'âge moyen doivent absolument prévenir l'abus d'alcool, ce qui est très important pour prévenir l'apparition d'événements cardiovasculaires et cérébrovasculaires.
7) L'hypertension, l'hyperlipidémie et le diabète étant des maladies chroniques, il ne faut pas arrêter arbitrairement de prendre des médicaments simplement parce que les indices sont tombés dans la fourchette normale après la prise de médicaments ; la baisse des indices est due à l'effet des médicaments, et les indices rebondiront après l'arrêt des médicaments, ce qui aura des conséquences imprévisibles. Dans la société moderne, le nombre de patients souffrant de fibrillation auriculaire causée par une hypertrophie extrême de l'oreillette gauche due à une cardiopathie rhumatismale a considérablement diminué, tandis que la fibrillation auriculaire causée par une hypertrophie de l'oreillette gauche due à une cardiopathie hypertensive mal contrôlée de longue date, à une cardiopathie avec calcification valvulaire et à une cardiopathie ischémique est plus fréquente.
8. un examen physique régulier de la tension artérielle, des lipides sanguins, de la glycémie, de l'acide urique sanguin, des fonctions hépatiques et rénales, du cœur, des poumons, de la thyroïde, des seins, des annexes gynécologiques, de la prostate, de l'urine, de l'œsophage, de l'estomac, des intestins, etc.
2021.1 #Programme de recrutement de personnel de l'industrie #Je suis un agent de promotion #Grandes classes du week-end

Ces questions et réponses proviennent des utilisateurs du site, elles ne représentent pas la position du site, s'il y a une infraction, veuillez contacter l'administrateur pour la supprimer.