Quels sont les symptômes dans la tête qui indiquent une obstruction d'un vaisseau sanguin susceptible d'entraîner une attaque cérébrale ?
Quels sont les symptômes dans la tête qui indiquent une obstruction d'un vaisseau sanguin susceptible d'entraîner une attaque cérébrale ?
Bonjour à tous, je suis un interniste qui exerce depuis de nombreuses années. Comme vous pouvez le constater, le paysage des hôpitaux en Chine a beaucoup changé ces dernières années. À l'entrée du service des urgences des hôpitaux, on trouve souvent des panneaux accrocheurs indiquant "Centre d'AVC, Centre de douleur thoracique, Centre de traumatologie", dont le Centre d'AVC comprend en fait "l'embolie cérébrale et la thrombose cérébrale", ce qui suffit à montrer les caractéristiques cliniques de ces maladies en termes d'urgence, de criticité et de sévérité. Quels sont les symptômes dans la tête qui indiquent une obstruction des vaisseaux sanguins, pouvant conduire à la survenue d'un infarctus cérébral ? Je vais vous donner mon avis ci-dessous.

Qu'est-ce qu'un "accident vasculaire cérébral" ?
Les gens préfèrent l'appeler accident vasculaire cérébral et, dans la pratique clinique, nous utilisons souvent les termes "embolie cérébrale, thrombose cérébrale, accident ischémique transitoire" pour poser un diagnostic en fonction des caractéristiques de la maladie. Bien que ces trois maladies semblent similaires, elles ont en fait chacune leurs propres caractéristiques : dans le cas de l'embolie cérébrale, la maladie apparaît souvent plus rapidement. La thrombose cérébrale est souvent silencieuse ou apparaît pendant le sommeil. En réalité, de nombreuses personnes se lèvent le matin et constatent que l'accident vasculaire cérébral, la bouche tordue, l'impossibilité de parler, l'immobilité des mains et des pieds sont des symptômes courants. L'attaque ischémique cérébrale est la plus légère des trois, les symptômes de l'attaque sont quelque peu similaires à ceux de la thrombose cérébrale, mais sa durée n'est pas longue, en 10-15 minutes environ, plus d'une heure peut être récupérée, ce qui est également connu sous le nom d'"attaque ischémique cérébrale transitoire".

Quels sont les symptômes dans la tête qui indiquent une obstruction d'un vaisseau sanguin susceptible d'entraîner une attaque cérébrale ?
J'ai toujours eu l'impression que cette phrase était un peu difficile à comprendre. Pourquoi ne pas l'appeler "Quels sont les symptômes d'une obstruction d'un vaisseau sanguin dans le cerveau qui peut conduire à un infarctus cérébral si l'on n'y prête pas attention" ? Comme je l'ai mentionné au début de cet article, le concept d'infarctus cérébral est très vaste et comprend de nombreuses maladies, telles que l'embolie cérébrale, la thrombose cérébrale et l'infarctus lacunaire, qui sont les principales manifestations de l'accident vasculaire cérébral. L'infarctus cérébral est causé par des anomalies de l'irrigation sanguine du cerveau, et la complexité des symptômes observés au début de la maladie est principalement due à l'ischémie cérébrale, à laquelle s'ajoutent les conséquences des lésions causées par les effets d'autres maladies.
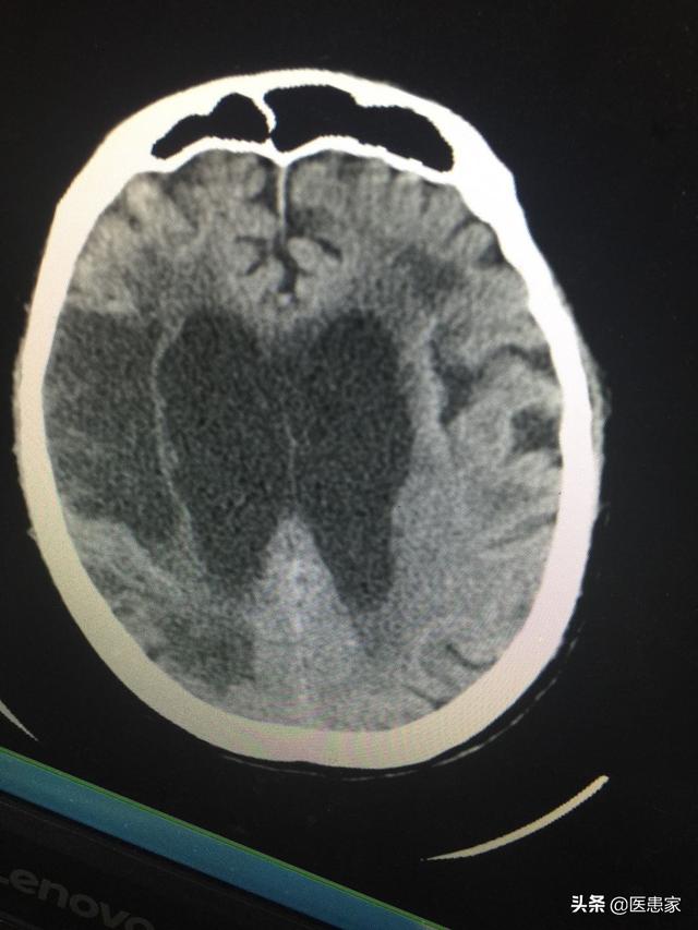
L'infarctus cérébral est causé par un flux sanguin artériel anormal dans certaines parties du cerveau, entraînant une hypoxie et des défauts dans les zones du cerveau insuffisamment irriguées, ce qui provoque des symptômes tels que le ramollissement et la nécrose du tissu cérébral, ainsi que des symptômes tels que l'aphasie et l'hémiparésie. Une étude connexe a montré que 24 à 48 heures après l'apparition de la maladie, des foyers de faible densité peuvent être observés dans la zone affectée au moyen d'une tomodensitométrie cérébrale. En outre, l'infarctus cérébral peut être détecté à temps grâce à l'IRM cérébrale. Les manifestations cliniques de l'infarctus cérébral sont les suivantes : vertiges, coma, aphasie, nausées, etc., qui s'accompagnent de complications, telles que l'hémorragie gastro-intestinale, la dépression post-cérébro-vasculaire, les infections pulmonaires et l'anxiété.

Si vous êtes victime d'une attaque cérébrale, comment réagissez-vous ?
La méthode ① est la thérapie thrombolytique intraveineuse. Cette méthode s'applique au traitement de 4 à 6 heures après le début de la maladie afin d'éviter la survenue d'un infarctus cérébral grave. Pour les patients de moins de 75 ans qui ont une élocution et une pensée normales et dont l'hémorragie cérébrale a été exclue après les examens pertinents, la thérapie thrombolytique intraveineuse peut être administrée dans les 6 heures suivant le début de la maladie. Méthode 2 : Thrombolyse artérielle. Cette méthode s'applique principalement aux patients souffrant d'un infarctus cérébral grave causé par l'obstruction de l'artère cérébrale moyenne ou de l'aorte, mais ce traitement doit être administré dans les 6 heures suivant l'apparition de la maladie. Méthode ③ antiagrégation plaquettaire, pour ce type de thrombolyse des patients atteints d'infarctus cérébral, vous pouvez utiliser l'aspirine pour poursuivre le traitement, le médicament doit être utilisé dans les 48 heures, le dosage de 100-325mg/j, mais l'aspirine ne doit pas être continuée à prendre un jour plus tard, pour éviter l'apparition d'une hémorragie à grande échelle. En outre, l'effet antiagrégant plaquettaire du clopidogrel est plus important que celui de l'aspirine, les patients peuvent suivre la posologie de 75 mg/j pour la voie orale, mais il est interdit d'utiliser simultanément le clopidogrel et l'aspirine pour le traitement.

Synthèse globale
Avec le vieillissement de la population, l'hypertension, le diabète, l'hypercholestérolémie et d'autres maladies chroniques s'étendent en Chine. Dans ces maladies chroniques, l'incidence des maladies cardiovasculaires telles que l'infarctus cérébral et la crise cardiaque est également en hausse, et les personnes atteintes ont tendance à être plus jeunes. Par conséquent, il est toujours nécessaire de commencer par la source, le traitement actif des maladies chroniques, les contrôles médicaux réguliers, et le maintien d'un régime alimentaire et d'un mode de vie sains est la bonne solution. Cette réponse ne constitue pas un conseil de traitement médical, ni une orientation médicale, mais est uniquement destinée à l'utilisation de la science de la santé. Passer des heures de temps en langage clair résumé complet de cet article ne rejoint pas les frais de la colonne, gratuit, libre pour tout le monde de lire. Que ceux qui sont induits en erreur par des rumeurs, aucune connaissance médicale, des groupes de concept de soins de santé pour aider !. Headline est une plateforme ouverte, tout le monde peut apprendre les uns des autres, discuter les uns avec les autres, s'il y a des points de vue différents, il peut y avoir une zone de commentaires pour parler de leurs propres points de vue. Si vous sentez que vous avez appris à aider, ne soyez pas avare, offrez de l'amour, soulignez un éloge, allez de l'avant pour aider plus de gens, merci pour le soutien.

L'infarctus cérébral est l'une des maladies cérébrovasculaires les plus courantes. Chaque année, dans notre pays, près de 2 millions de personnes meurent d'un infarctus cérébral, et même si elles y survivent, elles souffriront d'incapacités plus ou moins graves, mais ce qui est plus inquiétant, c'est que le nombre de personnes souffrant d'un infarctus cérébral est de plus en plus élevé et de plus en plus jeune, ce qui est lié aux habitudes alimentaires et au mode de vie de nos contemporains. En général, avant la survenue d'un infarctus cérébral, l'organisme présente certaines performances anormales. Si l'on parvient à "lire" ces signaux, il est possible de réduire l'incidence de l'infarctus cérébral.
1. maux de tête
Chez environ 70 % des patients souffrant d'infarctus cérébral, les céphalées s'aggravent avant l'apparition de la maladie. Une fois, des maux de tête sévères apparaissent soudainement, ou la nature, la localisation, la distribution, etc. des maux de tête changent. À ce moment-là, il est nécessaire de faire attention, il est préférable de consulter un médecin à temps pour un examen, en particulier ceux qui ont trois antécédents familiaux élevés et cardiovasculaires, faire preuve d'une attention particulière.
2. bâillements et bave
Sur le plan clinique, environ 80 % des patients présentent des bâillements une semaine avant l'apparition de la maladie, ce qui est principalement dû à un apport sanguin cérébral et à une oxygénation insuffisants. À ce moment-là, les bâillements s'accompagnent généralement de sommeil et de bave unilatérale.

3. noirceur transitoire devant les yeux
Dans la vie, une fois apparu, un noir transitoire devant les yeux, ne peut pas voir les choses, quelques secondes ou quelques minutes pour récupérer. À ce stade, nous devons être attentifs à l'infarctus cérébral, cette situation se produit, il est susceptible de se produire dans le tronc cérébral, le cervelet et le pont cérébral dans le thrombus.
4. raideur de la racine de la langue
Lorsque les vaisseaux sanguins du cerveau sont bloqués, l'irrigation sanguine du cerveau est insuffisante, ce qui inhibe le centre de la parole dans le cortex cérébral et provoque des troubles de la parole. Si, par exemple, votre langue est dure, vous vous mordez toujours la langue, vous ne pouvez pas cracher de mots, vous ne pouvez pas prononcer un paragraphe complet, ou vous ne pouvez pas parler du tout. À ce stade, il faut immédiatement consulter un médecin, ne pas ignorer le retard.

L'infarctus cérébral, une fois survenu, a un taux de mortalité et d'invalidité très élevé. Il est dû à une mauvaise alimentation et à de mauvaises habitudes de vie liées à la prévention de l'infarctus cérébral, l'entretien habituel des vaisseaux sanguins étant très important, il est recommandé de respecter ces points au cours de la vie :
1. boire souvent de l'eau
L'eau est un "purificateur" naturel du sang, boire souvent de l'eau peut efficacement détoxifier et dégager les vaisseaux sanguins, en particulier chez les personnes d'âge moyen et les personnes âgées, la circulation sanguine lente, matin et soir, un supplément d'eau, peut réduire l'incidence des maladies soudaines.
2. l'exercice physique approprié
L'exercice peut produire une stimulation bénigne des nerfs du cortex cérébral responsables du mouvement, ce qui est propice à la prévention de l'infarctus cérébral et au rétablissement des patients ayant subi un infarctus cérébral. Par conséquent, pour éviter l'infarctus cérébral, vous pouvez souvent faire des exercices aérobiques appropriés, tels que le jogging, monter les escaliers, etc., qui peuvent favoriser la circulation sanguine et fournir un flux sanguin suffisant au cerveau pour le réapprovisionner en oxygène.
3、Mangez plus d'aliments capables de nettoyer les déchets dans les vaisseaux sanguins.
Les déchets produits dans les vaisseaux sanguins sont liés à une alimentation malsaine. Il s'agit généralement de mauvais cholestérol et de triglycérides qui, s'ils ne peuvent pas être métabolisés à temps ou s'ils sont métabolisés de manière anormale, se déposent sur la paroi des vaisseaux sanguins et, avec le temps, conduisent à l'apparition de l'athérosclérose et à l'obstruction des vaisseaux sanguins. Par conséquent, le régime alimentaire peut souvent comporter des aliments qui aident à nettoyer les déchets vasculaires, peuvent réduire la charge sur les vaisseaux sanguins, de sorte que les vaisseaux sanguins s'ouvrent, renforcent l'élasticité. Nous recommandons ici deux types d'aliments ayant un tel effet : le soja et les asperges. Le soja est riche en isoflavones, en acides aminés, en vitamines, en lécithine, etc., qui peuvent réduire le cholestérol sanguin, améliorer la sclérose vasculaire et entretenir les vaisseaux sanguins. L'asperge a des effets très importants sur la santé, elle contient de l'asparagine et de la rutine qui régulent le métabolisme humain, abaissent la tension artérielle, dilatent les vaisseaux sanguins périphériques et améliorent la résistance vasculaire de la fonction, afin de jouer le rôle de son efficacité maximale, l'asperge est souvent utilisée dans la protection des vaisseaux sanguins, en particulier avec la fermentation microbienne de l'asperge et l'obtention du liquide fermenté d'asperge du champignon agaricus, largement utilisé dans la prévention et la gestion de l'infarctus du myocarde, de l'infarctus du myocarde et d'autres maladies vasculaires.
L'infarctus cérébral se réfère à une variété de causes d'obstacles à l'approvisionnement sanguin régional du tissu cérébral local, entraînant une ischémie et une nécrose hypoxique du tissu cérébral, l'apparition du dysfonctionnement neurologique correspondant d'une classe de maladies, la lumière n'est pas un symptôme de la tête. Divisé en thrombose cérébrale, embolie cérébrale et infarctus cérébral caverneux, Xiao Ke a respectivement expliqué ce qui suit pour votre compréhension.
1) La thrombose cérébrale est une maladie cérébrovasculaire aiguë qui fait référence à la formation d'un thrombus artériel cérébral, qui bloque la circulation sanguine des vaisseaux sanguins cérébraux et provoque une série de changements dans les cellules cérébrales en raison de l'ischémie, de l'hypoxie et de la nécrose. Elle est susceptible de se produire chez les personnes d'âge moyen et les personnes âgées souffrant d'athérosclérose cérébrale, d'hypertension, de diabète sucré ou de maladie coronarienne, et est précédée de symptômes précurseurs tels que des vertiges et des maux de tête. Elle se développe généralement dans un état de calme ou de repos. L'hémiparésie, l'hémiplégie, l'hémianopsie, le vertige, la diplopie, le nystagmus, la dysphagie, la dysarthrie, l'ataxie et la paralysie croisée se manifestent. Les symptômes atteignent leur maximum en l'espace de 1 à 3 jours. Les patients sont généralement conscients, certains peuvent présenter des degrés variables de troubles de la conscience, mais il n'y a pas de changements significatifs dans les signes vitaux tels que la pression artérielle, la fréquence cardiaque et la respiration.
2) L'embolie cérébrale est une maladie dans laquelle divers emboles sanguins pénètrent dans les artères cérébrales par la circulation sanguine et provoquent une obstruction vasculaire, entraînant une ischémie, une hypoxie, une nécrose et un dysfonctionnement cérébral des tissus cérébraux dans la zone irriguée par les vaisseaux sanguins. Les embolies cardiogéniques courantes comprennent les rhumatismes valvulaires avec fibrillation auriculaire avec déplacement de thrombus muraux, les embolies non cardiogéniques comprennent le déplacement de plaque d'athérosclérose aortique, l'embolie de liquide amniotique, les embolies cancéreuses, etc. L'apparition des symptômes est rapide et les symptômes tendent à se manifester en quelques minutes ou dans un court laps de temps. La gravité des manifestations symptomatiques est liée à la taille, au nombre de sites et à l'état de la fonction cardiaque de l'embole. Des embolies plus importantes ou des embolies multiples peuvent entraîner un coma et une augmentation de la pression intracrânienne ; les déficits neurologiques locaux dépendent de l'artère embolisée, et la plupart d'entre eux sont une hémiparésie ou une monoparésie, une hémiparésie, des déficits hémisensoriels, et l'atteinte des artères cérébrales postérieures unilatérales ou bilatérales peut entraîner une hémianopsie homonyme ou une cécité corticale, et l'occlusion du tronc principal des artères vertébrales ~ basilaires peut entraîner un coma soudain, une quadriparésie et une hémiplégie. L'occlusion des artères basilaires peut entraîner des symptômes graves tels que le coma soudain, la quadriplégie, la transpiration et l'insuffisance respiratoire.
3) L'infarctus cérébral caverneux est un micro-infarctus ischémique causé par une hypertension de longue durée ou une athérosclérose qui entraîne des lésions et l'occlusion de la lumière de petites artères pénétrantes dans les hémisphères cérébraux ou les parties profondes du tronc cérébral ; il est le plus fréquent chez les personnes d'âge moyen et les personnes âgées, qui ont souvent des antécédents d'hypertension et/ou d'ischémie cérébrale transitoire, et qui développent soudainement des symptômes neurologiques transitoires ou focaux, ou qui peuvent être asymptomatiques, et qui ont un rétablissement relativement complet et un bon pronostic.
Le diagnostic d'infarctus cérébral peut être confirmé ou différencié sur la base des antécédents et des symptômes, combinés à la tomodensitométrie, à l'IRM et à la soustraction digitale.
Pour le traitement général de l'infarctus cérébral, la première chose à faire est de se reposer au lit et de renforcer les soins de la peau et des voies respiratoires orales. Veillez à l'équilibre de l'eau et des électrolytes ; si la personne ne peut toujours pas s'alimenter seule 24 à 48 heures après le début de la maladie, elle peut recevoir une alimentation par voie nasale. Il faut veiller à la stabilité de la pression artérielle, afin d'éviter qu'une pression artérielle trop élevée ou trop basse n'affecte le flux sanguin cérébral local. Le traitement médicamenteux est principalement basé sur le contrôle de l'œdème cérébral, l'amélioration de la circulation sanguine cérébrale, la nutrition et la protection des nerfs cérébraux des médicaments pour un traitement intégré.
L'embolie cérébrale et l'infarctus cérébral caverneux sont similaires à la thrombose cérébrale, mais un traitement étiologique à long terme est nécessaire pour prévenir un nouvel infarctus. En outre, les patients atteints d'embolie cérébrale peuvent souffrir d'une maladie cardiaque ; il est donc important de prêter attention à la fonction cardiaque.
Suivez Kirk pour plus d'informations sur la santé.
Merci de votre lecture !
Après un infarctus cérébral, la qualité de vie sera affectée par des troubles des mouvements des membres, des troubles de l'élocution et ainsi de suite, voire une menace vitale dans les cas graves. Par conséquent, après un infarctus cérébral, il est essentiel pour le pronostic de savoir si le patient peut être envoyé au centre de traitement des AVC par la voie verte au premier moment afin de recevoir le traitement le plus efficace possible. Quels sont donc les symptômes dans la tête qui indiquent la possibilité d'un infarctus cérébral ?

1. les coins de la bouche sont crochus.L'apparition soudaine d'un côté de la bouche de travers, d'une fuite d'un côté de la bouche, d'une fuite de salive, d'un étirement de la langue d'un côté, suggère que la paralysie du nerf facial s'est produite, il peut y avoir une obstruction des vaisseaux sanguins cérébraux.
2. troubles de l'élocution.Un trouble soudain de l'élocution, une grosse langue ou une incapacité soudaine à exprimer correctement les mots (par exemple, incapacité à nommer des objets familiers) peuvent indiquer un blocage vasculaire cérébral.
3. sensations faciales anormales.Une perte soudaine de sensibilité d'un côté du visage peut être due à l'obstruction d'un vaisseau sanguin cérébral.
4. vertiges et maux de tête.En particulier, les personnes souffrant d'hypertension artérielle, d'hyperlipidémie, d'hyperglycémie et d'autres facteurs de risque cardiovasculaire, de vertiges soudains et de maux de tête de cause inconnue peuvent être à l'origine d'un blocage vasculaire cérébral.
5. une altération de la conscience se produit.L'apparition soudaine de troubles de la conscience, voire d'un coma, peut être due à la survenue d'un blocage vasculaire cérébral.
6. s'étouffer avec de l'eau potable.Des manifestations fréquentes telles que l'étouffement et la toux en buvant de l'eau peuvent être dues à une paralysie du nerf lingual pharyngé et du nerf vague due à un infarctus cérébral.
7. autres.L'association d'une altération des mouvements des membres, d'une paralysie, d'une incontinence et d'autres manifestations est évocatrice d'une occlusion vasculaire cérébrale.
Si les symptômes cliniques susmentionnés apparaissent, il faut d'abord appeler le 120 par le canal vert et se rendre au centre hospitalier de traitement des accidents vasculaires cérébraux pour une évaluation et un diagnostic plus approfondis ; un nombre considérable de patients bénéficient d'une thrombolyse, d'une thrombolyse intra-artérielle et d'autres traitements, et peuvent même n'avoir pratiquement aucune séquelle.
L'infarctus cérébral, également connu sous le nom d'accident vasculaire cérébral, est une lésion ischémique du cerveau. Avec l'âge, l'état des vaisseaux sanguins se détériore et les maladies chroniques telles que l'hypertension artérielle, l'hypercholestérolémie et le diabète accélèrent l'athérosclérose des vaisseaux sanguins, entraînant un rétrécissement ou des lésions obstructives des artères cérébrales, ce qui provoque une série de symptômes d'infarctus cérébral et d'ischémie cérébrale.

Quels sont les symptômes qui peuvent indiquer un infarctus cérébral ?
La plupart des patients ne présentent pas de symptômes précurseurs spécifiques, mais certains d'entre eux peuvent présenter des symptômes tels que des vertiges, une vision floue, un engourdissement ou une faiblesse des membres. Les symptômes après un infarctus cérébral peuvent varier en fonction du vaisseau obstruant. Les symptômes les plus courants sont les troubles de l'élocution, l'hémiparésie, la bouche tordue et même les troubles de la conscience.

Comment prévenir l'infarctus cérébral ?
Les patients souffrant d'hypertension, d'hyperlipidémie et d'autres maladies cardiovasculaires doivent prendre des médicaments antihypertenseurs et des médicaments régulateurs des lipides de manière régulière et standardisée. Il est recommandé d'utiliser des statines pour réguler les lipides. Si nécessaire, une thérapie antiplaquettaire telle que l'aspirine et le clopidogrel doit être mise en œuvre.

La formation à la réadaptation des patients atteints d'infarctus cérébral devrait être entamée dès que possible, et les membres de la famille devraient s'occuper autant que possible des patients atteints d'infarctus cérébral et leur apporter un soutien psychologique et du réconfort, ce qui contribuera à améliorer la qualité de vie des patients atteints d'infarctus cérébral et à alléger leur fardeau psychologique.
J'espère que ma réponse vous aidera ! Donnez-moi un "like" si vous l'aimez !

Les symptômes précurseurs de l'infarctus cérébral sont généralement très évidents. En effet, l'obstruction des vaisseaux sanguins ne peut être provoquée en un jour ou deux, elle doit s'accumuler au fil des ans, et après l'obstruction des vaisseaux sanguins cérébraux, le flux sanguin n'est pas régulier, et la tête présente toutes sortes de symptômes.
Suivez Helpful Tap dans le coin supérieur droit pour recevoir chaque jour des articles intéressants et instructifs !
Blocage des vaisseaux sanguins cérébraux, la tête est souvent étourdie.
Lorsque les vaisseaux sanguins cérébraux sont légèrement bloqués, la tête est souvent prise de vertiges, en particulier le matin au réveil. Avec la gravité de l'obstruction vasculaire cérébrale, les symptômes de vertiges suivront également l'aggravation, et peuvent même avoir la sensation de vertiges, ce moment devrait être opportun pour faire un examen, la confirmation précoce de la condition, peut être un traitement précoce.
Blocage des vaisseaux sanguins cérébraux, picotements fréquents du cuir chevelu
Le blocage vasculaire cérébral n'est pas grave lorsque le flux sanguin n'est pas régulier, le cuir chevelu sera engourdi en raison du manque de sang. L'engourdissement se manifeste par l'engourdissement d'un côté du cuir chevelu, par exemple le côté gauche du cuir chevelu ou le côté droit du cuir chevelu, l'engourdissement sera soulagé par la pression.
Les vaisseaux sanguins bloqués dans le cerveau peuvent déformer la bouche et les yeux.
Les blocages vasculaires cérébraux, en particulier les blocages vasculaires graves, se manifestent généralement par des symptômes tels qu'une bouche et des yeux de travers, certaines personnes allant même jusqu'à baver. Un de mes collègues, lors d'une réunion de famille, boit, trinque, et soudain bave, la famille pense qu'il s'agit d'un infarctus cérébral, et se précipite à l'hôpital, mais heureusement à temps...
Obstruction des vaisseaux sanguins dans le cerveau, vertiges et vomissements.
En cas d'obstruction d'un vaisseau sanguin dans le cerveau, le système cérébral souffre d'un manque d'oxygène et de sang, ce qui peut entraîner des vertiges et des vomissements. Dans les cas graves d'obstruction des vaisseaux sanguins, la vision peut se troubler et il peut aussi y avoir du noir devant les yeux, ce qui mérite toute notre attention.
Vaisseaux sanguins cérébraux légèrement obstrués, que boire dans l'eau ?
Beaucoup de gens aiment utiliser le thé pour prévenir les maladies, pour les amis qui ont des vaisseaux sanguins obstrués, le thé pour aider dans le traitement, l'effet est très bon. Il est personnellement recommandé de boire de l'eau avec de l'aubépine, pour les vaisseaux sanguins légèrement obstrués, et l'aubépine est bon marché, mais peut également réduire le cholestérol et les lipides sanguins dans les vaisseaux sanguins, ce qui constitue un objectif multiple.
Si vous l'aimez, aidez-nous à cliquer sur le bouton "suivre". Des articles intéressants et bien informés vous sont proposés chaque jour !
Les principaux symptômes d'un infarctus ancien sont des maux de tête. Vertiges, nausées, léthargie. C'est le premier symptôme, les suivants apparaîtront : la langue est de travers, la bouche est de travers. L'élocution n'est pas claire. Disons que je suis engourdi. Engourdissement des jambes. Démarche instable. En cas de symptômes de tempérament, il convient de se rendre rapidement à l'hôpital pour y recevoir un traitement médical.
Méthodes d'élimination d'urgence à domicile :
1) Faire des ventouses pendant trois minutes à l'endroit du point Yongquan sur la plante du pied. Utiliser ensuite le stylo laxatif sanguin. Piquer rapidement l'aiguille 20 fois. Utiliser ensuite la ventouse pendant dix minutes.
2) Retirer le sang stagnant qui a été aspiré. Essuyez-le. Puis stérilisez.
C'est la solution la plus rapide et la plus efficace.
Cette méthode permet également de prévenir l'infarctus cérébral à l'avance.
Cette méthode peut également être utilisée pour traiter les séquelles d'un infarctus cérébral.
J'espère que ma réponse pourra vous aider. Je vous souhaite une bonne santé.
Les symptômes de l'infarctus cérébral ne sont pas les mêmes selon la région du cerveau dans laquelle l'infarctus se produit et l'endroit où il se produit. Il ne s'agit pas d'un vaisseau sanguin dans la tête ou quoi que ce soit d'autre. Sinon, je suis hors sujet. Pardonnez-moi ah, hé hé hé. Je parle de l'infarctus du cerveau ah.
Les questions que vous posez sont difficiles et profondes.
Essayons tous les deux de répondre et de comprendre, d'accord ?
1. Système nerveux : cerveau, moelle épinière, nerfs périphériques.
2, Système nerveux central, Cerveau, Cortex cérébral. Moelle épinière.
3, le système nerveux périphérique, la moelle épinière, dont une extrémité est reliée au système nerveux central du cerveau, la moelle épinière, l'autre extrémité de la branche, distribuée dans les tissus et les organes. Ce texte a été légèrement rédigé, de peur que le lecteur ne lise la raison ennuyeuse.
Le degré élevé de développement du cortex cérébral est la différence la plus importante entre les humains et les mammifères. Différentes zones du cortex cérébral gèrent les fonctions de différentes parties du corps humain.
En cas d'atteinte neurologique, les fonctions sensorielles, motrices, réflexes, l'activité nerveuse supérieure et les fonctions nerveuses végétatives sont altérées à des degrés divers. Ce qui précède n'est là qu'à titre de lecture et de référence. Il n'est pas nécessaire d'aller plus loin.
L'infarctus cérébral est le sujet de cet article.
Concentrons-nous sur l'infarctus cérébral.
Lorsqu'un caillot de sang bloque un vaisseau sanguin dans le cerveau, le tissu cérébral alimenté par ce vaisseau, le cortex cérébral, est endommagé.
À l'instar d'un ruisseau qui arrose un champ agricole, les jeunes plants se dessèchent ou meurent. Cette analogie permet-elle de comprendre l'infarctus cérébral ?
Une zone du cerveau embolisée est endommagée ou nécrosée.
Le mal suivant est l'altération ou la perte de fonction de cette partie du cerveau.
Quelles fonctions ? Les fonctions que le cerveau embolisé est censé remplir. Par exemple, 1) blocage de l'artère cérébrale moyenne, troubles de la motricité, hémiparésie et troubles sensoriels du membre controlatéral. 2) embolie de l'artère cérébrale antérieure, paralysie du membre supérieur controlatéral, paralysie faciale.
Si l'activité des nerfs supérieurs est altérée, vous pouvez rester éveillé, mais aussi somnoler, tomber en léthargie, tomber dans le coma, etc.
promesse
Anomalies de la mémoire, de la pensée et de l'intelligence émotionnelle.
Troubles de la parole, incapacité à parler.
Ne pas comprendre ce que les gens disent.
Impossible de prononcer les mots.
Ne peut pas écrire, etc.
Le temps, c'est le cerveau lorsqu'il s'agit de traiter les attaques cérébrales !
Dans ce cas, il faut se rendre le plus rapidement possible dans un centre de traitement des accidents vasculaires cérébraux.
Sauver des vies, pour autant que les moyens soient encore disponibles.
Sauver le cerveau dépend du temps qu'il faut pour se rendre chez le médecin.
L'ablation chirurgicale de l'embole et la thrombolyse sont désormais des procédures bien établies.




L'infarctus cérébral est une cause importante de décès et d'invalidité chez les adultes en Chine, avec des taux élevés de morbidité, d'invalidité, de mortalité et de récurrence. Les données montrent que l'infarctus cérébral est une cause majeure de perte d'années de vie dans notre pays.
Quels sont les symptômes dans la tête qui indiquent une obstruction d'un vaisseau sanguin susceptible d'entraîner une attaque cérébrale ?
Vertiges, maux de tête
Une attaque cérébrale peut être précédée de vertiges et de maux de tête, voire d'un évanouissement soudain, mais vous vous réveillerez rapidement, principalement en raison d'un apport insuffisant de sang ou d'oxygène au cerveau.
Le manque de sommeil, les nuits tardives, les efforts et les rhumes peuvent également entraîner des vertiges et des maux de tête, il est donc important d'en rechercher la cause.
Outre les vertiges et les maux de tête, il est également possible que le patient soit plongé dans le noir. Un symptôme typique des patients ayant subi un infarctus cérébral est une déficience visuelle transitoire, telle que l'obscurité devant les yeux et une vision incomplète, qui dure environ une heure et se rétablit d'elle-même.
Qu'est-ce qu'un infarctus cérébral ?
L'infarctus cérébral est une maladie vasculaire cérébrale ischémique aiguë dans laquelle le tissu cérébral local est nécrosé et ramolli par l'ischémie et l'hypoxie, les principales manifestations cliniques étant l'hémiparésie, l'aphasie et les troubles sensoriels.
Les directives chinoises pour l'éducation des patients hypertendus indiquent que l'hypertension est le principal facteur de risque d'infarctus cérébral. Soixante-dix pour cent des patients ayant subi un infarctus cérébral en Chine sont hypertendus. Environ 40 % des patients atteints d'infarctus cérébral ont plus de deux récidives, le taux de récidive à un an est d'environ 18 % et le taux de récidive à cinq ans atteint 25 %.

La célèbre revue The Lancet souligne que la Chine compte 40 % des patients atteints d'infarctus cérébral dans le monde, principalement chez les personnes âgées de plus de 50 ans. Un infarctus cérébral peut entraîner la mort ou la paralysie à vie. Voici quelques conseils pour éviter l'infarctus cérébral.
1. exercice physique modéré
L'exercice modéré peut favoriser la circulation sanguine, améliorer l'élasticité des parois des vaisseaux sanguins et réduire la fréquence des infarctus cérébraux. Le programme chinois de surveillance des maladies chroniques montre qu'il faut faire 10 minutes d'exercice par exercice, au moins 3 jours par semaine, à chaque fois à une intensité modérée ou supérieure. La vie est faite d'exercice, soyez modérément actif et améliorez votre condition physique.
2. un régime alimentaire raisonnable
Les aliments tels que le foie animal, les légumes salés, la charcuterie, le jambon et la pâte frite doivent être consommés avec parcimonie, voire pas du tout. Selon le rapport sur l'état nutritionnel et les maladies chroniques des résidents chinois, la consommation moyenne de sel de cuisine des résidents chinois âgés de 18 ans et plus est de 10,5 g, ce qui dépasse de loin la recommandation des directives diététiques pour les résidents chinois (6 g/j par habitant).
3. arrêter de fumer et de boire
Les effets néfastes du tabac et de l'alcool sur le système vasculaire cérébral sont évidents. Le tabac et l'alcool augmentent le risque d'hypertension et d'hyperlipidémie, ce qui accroît le risque d'infarctus cérébral soudain ; il est donc nécessaire d'arrêter de fumer et de boire.
Je suis le pharmacien Wang, qui s'efforce d'expliquer les connaissances complexes et difficiles des maladies avec des mots simples pour vous aider à gérer votre corps. Vos éloges sont ma plus grande motivation ! Par ailleurs, si des membres de votre famille ont également des problèmes liés à cette maladie, n'hésitez pas à leur transmettre cet article !
Quels sont les symptômes d'un infarctus cérébral ?
1. vision trouble
Lorsqu'un infarctus cérébral se produit, certaines personnes souffrent d'une vision floue transitoire. Certaines personnes peuvent également présenter des défauts transitoires du champ visuel, qui les empêchent de voir les choses dans leur intégralité. Cependant, la plupart de ces phénomènes reviennent à la normale au bout d'une heure, de sorte que de nombreuses personnes les ignorent, pensant qu'ils sont dus à la fatigue.
2. vertiges
Des vertiges soudains ou un effondrement inexpliqué peuvent survenir en raison d'une irrigation sanguine insuffisante des artères situées à la base des vertèbres. Cela affecte les tissus d'équilibre du cervelet et du tronc cérébral, provoquant des vertiges soudains, une incapacité à se tenir debout ou, dans les cas les plus graves, un évanouissement au sol. La chute soudaine et inexpliquée alors que l'on marche normalement est l'un des signes typiques de la survenue d'un infarctus cérébral.

3. faiblesse et engourdissement des membres
Les sensations corporelles sont également affectées et modifiées d'une manière ou d'une autre, le plus souvent par un engourdissement et une faiblesse unilatérale des membres. Si cette sensation dure moins de 24 heures, il est probable qu'elle soit due à un infarctus cérébral.
4. troubles de l'élocution
De nombreux patients présentent également des troubles de l'élocution avant un infarctus cérébral en raison de l'absence d'apport sanguin à l'une des artères du cerveau avant l'apparition d'un infarctus cérébral. Cela affecte le centre de la parole dans le cortex cérébral, entraînant l'apparition soudaine de troubles de l'élocution.
Ces questions et réponses proviennent des utilisateurs du site, elles ne représentent pas la position du site, s'il y a une infraction, veuillez contacter l'administrateur pour la supprimer.