Comment comprendre une attaque cérébrale ? Quels sont les symptômes ?
Comment comprendre une attaque cérébrale ? Quels sont les symptômes ?
L'attaque cérébrale est en fait particulièrement bien comprise : un vaisseau sanguin bouché dans la tête !
Si le corps humain est un monde, alors les vaisseaux sanguins dans tout le corps sont de grandes et petites routes de circulation, et le sang est un camion, l'énergie de l'oxygène transporté à divers endroits, pour faciliter leur consommation de travail normal, plus la charge de travail consommée est également plus, la personne normale pour transporter l'énergie de l'oxygène du sang est souvent plus que suffisante, non seulement pour répondre à la consommation de base, mais il y a une certaine quantité de réserves.
Les patients atteints d'infarctus cérébral sont différents, les patients atteints d'infarctus cérébral ont des vaisseaux sanguins bloqués, vous pouvez imaginer que la construction de routes ou les accidents de voiture, le sang ne peut pas être aussi rapide qu'avant à travers l'adéquation, ce qui signifie que la réduction de l'oxygène du sang et de l'approvisionnement en énergie, l'énergie est la garantie de base pour toutes les activités comportementales, une fois que l'approvisionnement est réduit, il fera les zones cérébrales des tissus du sang et de l'oxygène perfusion est de plus en plus faible, cette consommation est plus grande que l'approvisionnement du modèle de long terme. Ce schéma d'épuisement par rapport à l'approvisionnement pendant une longue période conduira à la nécrose progressive des cellules et des tissus, ce qui constitue la pathogenèse de l'infarctus cérébral.

Quels sont les symptômes d'une attaque cérébrale ?
1, langage flou : expression peu claire, bégaiement, grande langue, certains patients bavent également.
2, perte de vision : soudainement, la vision n'est pas claire, ou le champ de vision devient plus petit, après une période de temps, la vision se rétablit naturellement.
3, somnolence et fatigue : bâillements fréquents, sensation de fatigue physique, même si le temps de repos est long, l'envie de dormir est toujours présente.
4, vertiges et maux de tête : en l'absence de facteurs de causalité, certains patients ont soudain l'impression que le ciel tourne, voire qu'ils tombent directement, et certains d'entre eux présentent également des symptômes de maux de tête.
5, troubles physiques : activités anormales des membres supérieurs et inférieurs, il y a toujours une réaction lente ou un sentiment de perte de contrôle, comme l'incapacité de tenir des objets normalement, l'incapacité de marcher normalement, etc.

J'espère que ma réponse vous aidera !
Si vous ne comprenez pas quelque chose, commentez et envoyez-moi un message privé !
En termes simples, il s'agit d'une conduite d'eau bouchée.
La pathogénie de l'infarctus cérébral est un type de maladie ischémique dans laquelle l'un des vaisseaux sanguins alimentant le tissu cérébral est complètement bloqué, provoquant la nécrose du tissu cérébral. L'infarctus cérébral est classé en cinq catégories étiologiques dans le monde :
Premièrement, d'origine athérosclérotique, l'infarctus cérébral est causé par l'athérosclérose des grosses artères ;
Deuxièmement, l'origine cardiaque, telle qu'une arythmie sévère, une maladie valvulaire du cœur et d'autres problèmes cardiaques ;
Troisièmement, les lésions des petites artères, telles que la vascularite et d'autres lésions ;
Quatrièmement, les maladies cérébrovasculaires ischémiques causées par des maladies systémiques ;
Cinquièmement, l'infarctus cérébral inexpliqué, qui représente probablement une part considérable du nombre total de patients atteints d'infarctus cérébral, ne peut pas utiliser les moyens d'examen et d'étiologie actuellement connus pour classer la maladie de l'infarctus cérébral dans une catégorie, et ce domaine est désormais très impliqué dans le contenu à étudier.
En conclusion, si un patient présente un infarctus cérébral, la première chose à faire est d'évaluer les vaisseaux sanguins et d'examiner les facteurs de risque, ainsi que de procéder à des examens cardiaques si nécessaire.
La fièvre chez les patients atteints d'infarctus cérébral peut aggraver les symptômes de l'infarctus cérébral, prolongeant ainsi la durée du traitement et affectant la guérison. Les symptômes cliniques de l'infarctus cérébral sont plus complexes et dépendent de la localisation des lésions cérébrales, de la taille des vaisseaux sanguins ischémiques cérébraux, de la gravité de l'ischémie et de la présence ou de l'absence d'autres maladies organiques importantes. Dans les cas légers, il peut n'y avoir aucun symptôme, c'est-à-dire un infarctus cérébral asymptomatique, ou des maux de tête, des vertiges, des nausées, des vomissements, une aphasie, une paralysie des membres, etc. ; dans les cas graves, non seulement la paralysie des membres, mais aussi le coma aigu ou la mort ; si la lésion touche le cortex cérébral, elle peut être associée à des crises d'épilepsie dans la phase aiguë.
Symptômes précoces de l'infarctus cérébral
1. vision trouble
Les premiers symptômes de l'infarctus cérébral sont des troubles visuels transitoires ou des défauts du champ visuel, qui disparaissent généralement dans l'heure qui suit. L'avis de l'expert sur la vision transitoire
Un examen du fond d'œil et des mesures du débit sanguin cérébral ont été effectués chez 10 patients souffrant de troubles rétiniens, et une occlusion de l'artère centrale de la rétine a été constatée dans un cas, qui était une division rétinienne.
Occlusion de l'artère branchiale.
2. paralysie partielle
L'accident ischémique transitoire (AIT) est, à proprement parler, la forme la plus bénigne d'accident vasculaire cérébral. D'après l'observation de suivi, après l'AIT jusqu'à l'année.
L'accident vasculaire cérébral ischémique touche environ la moitié de la population et constitue un symptôme précoce de l'infarctus cérébral.
3. bâillement après bâillement
Symptômes précoces de l'infarctus cérébral lorsque l'artériosclérose cérébrale s'aggrave progressivement, la lumière devient de plus en plus étroite, l'ischémie cérébrale et l'hypoxie s'aggravent, en particulier l'hypoxie du centre respiratoire.
Le réflexe de bâillement peut être déclenché par un accident vasculaire cérébral. Des bâillements fréquents peuvent survenir dans 80 % des cas dans les 5 à 10 jours précédant l'apparition d'un AVC ischémique et constituent un signal d'alarme important.
4. le bégaiement
Les symptômes sont des troubles de l'élocution et de la bave, qui sont des symptômes précoces de l'infarctus cérébral, et qui peuvent apparaître soudainement.
5. coupure transitoire
Apparition soudaine d'une perte de connaissance, cécité, rétablissement en quelques secondes ou minutes, accompagné de nausées, de vomissements, de maux de tête et de troubles de la conscience.
Symptômes précoces de l'infarctus cérébral.
Les symptômes ci-dessus sont les premiers symptômes de l'infarctus cérébral, les patients et leurs amis doivent y prêter attention, une fois que les symptômes ci-dessus apparaissent dans la vie.
Ne soyez pas négligent, rendez-vous dans le service de neurochirurgie de l'hôpital spécialisé concerné pour un diagnostic et un traitement afin de remédier efficacement à la situation.
L'infarctus cérébral est une maladie cérébrovasculaire fréquente.
Les infarctus cérébraux peuvent survenir à tout âge, mais la plupart surviennent après 40 ans, avec un pic entre 50 et 70 ans.
L'infarctus cérébral est un syndrome clinique dans lequel l'apport sanguin au cerveau est altéré, entraînant une ischémie et une hypoxie cérébrales, provoquant une nécrose locale des tissus cérébraux, entraînant un dysfonctionnement cérébral et, par conséquent, des anomalies des fonctions neurologiques correspondantes.
Symptômes typiques de l'infarctus cérébral : hémiparésie, aphasie, hémiplégie, regard sur le côté, vision floue, diplopie, hémianopsie, vertiges, vomissements, maux de tête, troubles de la conscience, convulsions.
L'infarctus cérébral peut provoquer un œdème cérébral, une augmentation de la pression intracrânienne, une hémorragie post-infarctus, une épilepsie et souvent des complications telles que des escarres, des infections pulmonaires, une hémorragie gastro-intestinale haute, une thrombose veineuse des membres inférieurs, une embolie pulmonaire, une dysphagie et des lésions cardiaques. Lorsque l'état s'aggrave, le pronostic vital peut être engagé.
Les principaux traitements de l'infarctus cérébral comprennent : le traitement général, le traitement spécifique, le traitement des comorbidités aiguës, la rééducation et le traitement de la cause primaire.
Le pronostic de l'infarctus cérébral est lié à un certain nombre de facteurs tels que l'âge, la présence de maladies sous-jacentes et la présence de comorbidités. La plupart des personnes ont un bon pronostic, mais la maladie a un taux de récidive élevé, et plus le nombre de récidives est élevé, plus le taux de décès et d'invalidité est important.
L'accident vasculaire cérébral (AVC) est une maladie cérébrale aiguë qui n'est pas une maladie mais un groupe de maladies dans lesquelles les vaisseaux sanguins du cerveau se rompent soudainement ou le sang ne peut pas circuler dans le cerveau en raison de l'obstruction des vaisseaux, ce qui entraîne des lésions du tissu cérébral.
Les accidents vasculaires cérébraux se divisent en deux catégories : les accidents ischémiques et les accidents hémorragiques. Les accidents vasculaires cérébraux ischémiques, également connus sous le nom d'infarctus cérébral et d'embolie cérébrale, représentent 80 % de la morbidité.
Les cellules de notre corps ont besoin du sang pour leur fournir l'énergie et les nutriments nécessaires à leur vie et à leur fonctionnement. De même, les cellules cérébrales ont besoin de sang pour être alimentées en énergie et en nutriments.
Si les vaisseaux sanguins alimentant cette zone du cerveau sont rompus ou bloqués, les cellules cérébrales de cette zone meurent. Lorsque les cellules cérébrales meurent, la fonction est perdue, avec des symptômes tels que : incapacité à parler, bouche tordue, bave, paralysie, etc.
Le cerveau, en tant que partie la plus avancée du système nerveux, est le commandant de notre corps, tout comme l'unité centrale d'un ordinateur. Les tissus cérébraux localisés dans le cerveau peuvent également entraîner des troubles des membres et de la conscience après une blessure. Différentes parties du cerveau sont responsables de différentes fonctions. Lorsque différentes zones fonctionnelles sont endommagées, les fonctions corporelles correspondantes sont perdues.
Les symptômes d'un même accident vasculaire cérébral varient en fonction de la localisation et de la taille des lésions cérébrales : certains ont de grands infarctus, d'autres de petits, certains ont de grandes hémorragies cérébrales, d'autres n'ont qu'un peu de sang.
Les symptômes peuvent tous être une paralysie ou une incapacité à bouger un membre.
L'AVC hémorragique est également appelé hémorragie cérébrale et hémorragie cérébrale. L'importance et la localisation de l'hémorragie déterminent la gravité de l'AVC et sont classées comme suit : hémorragie intracrânienne, hémorragie sous-arachnoïdienne. La probabilité de survenue d'un accident vasculaire cérébral est de 20 %, mais le taux de mortalité est beaucoup plus élevé que celui d'un accident vasculaire cérébral ischémique.
Infarctus cérébral : Des problèmes au niveau des artères qui alimentent le cerveau en sang peuvent entraîner un rétrécissement ou même une occlusion de la lumière du vaisseau sanguin, ce qui se traduit par un manque d'apport sanguin au cerveau et, en fin de compte, par la mort. Ce phénomène est causé par le vaisseau sanguin lui-même.
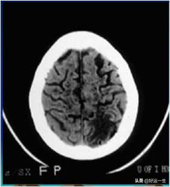
Un infarctus cérébral se présente sous la forme d'une tache noire, appelée médicalement "ombre hypodense". Ces endroits sont les sites des lésions. (Figure 2)
Il existe un autre type d'embolie cérébrale : une substance étrangère pénètre dans un vaisseau sanguin et se déplace avec la circulation sanguine dans les artères cérébrales. Les vaisseaux sanguins deviennent de plus en plus fins dans le cerveau, et le flux de substances anormales peut rester bloqué et ne pas bouger, provoquant un blocage de la circulation sanguine et une diminution soudaine du flux sanguin, ce qui peut entraîner une nécrose du tissu cérébral dans la zone d'innervation.

Un simple coup d'œil sur l'internet suffit pour s'en convaincre. Ne soyez pas paresseux.
Les cellules de notre corps ont besoin du sang pour leur fournir l'énergie et les nutriments nécessaires à leur vie et à leur fonctionnement. De même, les cellules cérébrales ont besoin de sang pour être alimentées en énergie et en nutriments.
Ces questions et réponses proviennent des utilisateurs du site, elles ne représentent pas la position du site, s'il y a une infraction, veuillez contacter l'administrateur pour la supprimer.