Peut-on guérir les maladies cardiovasculaires ?
Peut-on guérir les maladies cardiovasculaires ? 
Les maladies cardiovasculaires et cérébrovasculaires sont des maladies courantes et fréquentes, souvent accompagnées d'un taux élevé de décès et d'invalidité. La clé de cette question dépend de la façon dont on comprend le sens du mot "guérir".

Avec le vieillissement de la société, l'accélération de l'urbanisation et la généralisation de modes de vie malsains, la prévalence des maladies cardiovasculaires en Chine continue d'augmenter. Le nombre de personnes souffrant de maladies cardiovasculaires est estimé à 290 millions, dont 13 millions d'accidents vasculaires cérébraux, 11 millions de maladies coronariennes et 4,5 millions d'insuffisances cardiaques. À l'heure actuelle, les décès dus aux maladies cardiovasculaires occupent la première place dans les causes totales de décès des résidents urbains et ruraux, avec 45,01 % dans les zones rurales et 42,61 % dans les zones urbaines. Comment les maladies cardiovasculaires sont-elles principalement traitées à l'heure actuelle ? Peut-on les guérir ?

En fonction de l'objectif du traitement, le traitement des maladies cardiovasculaires est divisé en traitements tels que le traitement de sauvetage pendant la phase aiguë et les traitements ultérieurs de réadaptation et de consolidation. Pour les maladies cardiovasculaires graves telles que les accidents vasculaires cérébraux ischémiques et les crises cardiaques, il existe une thérapie thrombolytique, un traitement chirurgical par endoprothèse coronaire et un pontage aorto-coronarien dans les délais impartis, de sorte que le taux de mortalité a été considérablement réduit, et avec l'aide de la surveillance cardiaque, des anticoagulants, des antiagrégants plaquettaires, des hypolipidémiants et d'autres médicaments, le taux de mortalité directe dans la phase aiguë de la maladie vasculaire cardio-cérébrale a été considérablement amélioré. L'objectif principal du traitement de suivi est d'améliorer le traitement de la vie, d'améliorer le pronostic, de ralentir l'évolution de la maladie et de réduire la récurrence de la maladie. Du point de vue de la prévention secondaire de la mortalité et de la récurrence des maladies cardiovasculaires et cérébrovasculaires, de nombreux traitements standardisés sont actuellement disponibles, et l'on peut dire que ces maladies peuvent être "guéries" dans la plupart des cas. Cependant, tous les traitements actuels ne peuvent pas guérir les maladies cardiovasculaires et nécessitent la prise de médicaments tout au long de la vie et l'amélioration des modes de vie. En outre, bien qu'il existe des méthodes et des moyens avancés pour le traitement ultérieur de l'insuffisance cardiaque et la réadaptation après un accident vasculaire cérébral, l'effet global reste insatisfaisant et peut-être qu'à l'avenir, avec le développement de la technologie génétique, de la technologie des cellules souches, etc. il sera possible de guérir complètement ces maladies.
Par exemple, après un traitement contre le cancer, on parle souvent du résultat du traitement en termes de taux de survie à cinq ans, ce qui signifie que la maladie a été traitée efficacement.
Les maladies cardiovasculaires et cérébrovasculaires sont similaires en ce sens que le traitement le plus efficace consiste à arrêter et à ralentir le développement et les crises aiguës après avoir traité et soulagé les risques qui peuvent être posés dans la phase aiguë. Il s'agit du traitement le plus efficace, car le traitement des maladies cardiovasculaires et cérébrovasculaires ne supprime pas complètement la base pathologique de leur développement.
L'athérosclérose et la formation de plaques artérielles sont à l'origine des maladies cardiovasculaires. Il s'agit d'une modification pathologique des vaisseaux sanguins due à la détérioration de l'endothélium des vaisseaux sanguins en présence d'un certain nombre de facteurs, tels que le diabète sucré, l'hypertension artérielle, le tabagisme et l'abus d'alcool, et au dépôt massif de lipides dans les parois des vaisseaux sanguins, ainsi qu'à une série de réactions inflammatoires.
Cette réaction détruit la structure physiologique normale d'origine des vaisseaux sanguins, de sorte que les vaisseaux sanguins ont subi des modifications pathologiques, et il s'agit d'un changement irréversible. Le rétrécissement ou l'obstruction des vaisseaux sanguins qu'elle provoque peut être amélioré par un traitement, mais il n'est pas possible d'éliminer l'état pathologique qui s'est déjà produit, de sorte qu'il est difficile d'éliminer les maladies cardiovasculaires et vasculaires cérébrales à la racine de leur apparition.
Toutefois, grâce à la technologie médicale actuelle, il est possible, moyennant un traitement standardisé et raisonnable, d'arrêter ou de retarder la poursuite de cet état pathologique des vaisseaux sanguins, empêchant ainsi l'apparition de maladies cardiovasculaires et cérébrovasculaires, ce qui constitue le meilleur traitement des maladies cardiovasculaires et cérébrovasculaires.
Par conséquent, pour les personnes atteintes de maladies cardiovasculaires, l'observance du traitement est indispensable et les indicateurs susceptibles d'aggraver les maladies cardiovasculaires et de favoriser leur développement doivent être strictement contrôlés :
- Glycémie Glycémie à jeun inférieure à 6,1 mmol/L, glycémie postprandiale à 2 heures inférieure à 7,8 mmol/L, hémoglobine glyquée inférieure à 6,5 %.
- Tension artérielle Maintenir la tension artérielle en dessous de 130/80 mmHg et au moins en dessous de 140/90 mmHg.
- Lipides Le cholestérol total doit être contrôlé à moins de 3,1 mmol/L et le LDL à moins de 1,8 mmol/L.
En outre, nous devrions également arrêter de fumer et limiter notre consommation d'alcool, adopter un régime alimentaire léger avec moins de sel, insister sur la pratique d'exercices aérobiques pendant plus de 30 minutes par jour, mener une vie régulière sans se coucher tard, etc.
J'espère que cette réponse pourra vous aider. N'hésitez pas à cliquer sur l'attention et à laisser un message, afin d'apprendre et d'échanger davantage de connaissances en matière de santé.
C'est une très bonne question. La réponse est qu'elle peut être soignée, mais qu'elle ne peut pas être guérie. Il suffit d'aller mieux, et dans les cas graves, l'état s'aggravera au cours du traitement, voire entraînera la mort.

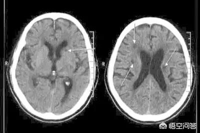
Pourquoi ? Les maladies cérébrovasculaires comprennent principalement l'hémorragie cérébrale et l'infarctus cérébral, et le pronostic clinique est étroitement lié au site d'apparition et à la taille de la lésion. Le site d'apparition est important et la taille de la lésion est grande, le pronostic sera très mauvais, et vice versa, c'est la même raison. Le pire pronostic est celui d'un infarctus cérébral important et d'une hémorragie cérébrale importante, le pronostic étant essentiellement celui de la mort.

En temps normal, il est nécessaire de surveiller sa tension artérielle, sa glycémie et son taux de lipides sanguins, ainsi que ceux de sa famille. En cas de problème, il est recommandé de suivre un traitement actif, généralement dans la vie quotidienne, afin de répondre aux exigences, telles que l'hypertension artérielle : régime alimentaire léger, exercice physique approprié, contrôle du poids, thérapie médicamenteuse, éducation à la santé ; l'hyperglycémie : régime alimentaire pauvre en graisses, thérapie par l'exercice physique, thérapie médicamenteuse ; l'hyperglycémie : le traitement est le même, y compris le traitement de base et les médicaments, et il est recommandé d'effectuer un suivi régulier, d'effectuer une analyse de la glycémie et d'effectuer une analyse de la glycémie. Il est recommandé d'effectuer un suivi régulier, de prévenir les quatre hauts et de prévenir les complications.


Les maladies cardiovasculaires et cérébrovasculaires sont les maladies coronariennes, qui sont dues à l'ischémie et à l'infarctus des artères coronaires en raison de l'athérosclérose, et les accidents cérébrovasculaires, qui sont dus à l'infarctus cérébral et à l'hémorragie cérébrale. Le traitement se divise en deux catégories : les premiers soins pour les accidents cardiovasculaires et cérébrovasculaires aigus et l'intervention pharmacologique pour les maladies cardiovasculaires et cérébrovasculaires chroniques.

I. Maladie coronarienne.
1. Syndromes coronariens aigus : angor instable, infarctus du myocarde sans sus-décalage du segment ST, infarctus du myocarde avec sus-décalage du segment ST et mort coronarienne subite.
(1), Angine instable : l'état n'est pas contrôlé par un traitement systémique tel que la régulation des lipides, l'anticoagulation, l'antiplaquettaire, l'expansion coronarienne et le traitement par bêta-bloquants. Pour prévenir les événements indésirables, une coronarographie doit être réalisée et si la sténose de l'artère coronaire est supérieure à 75 %, un stent coronaire ou un pontage coronarien peut être mis en place.
(2), Infarctus du myocarde sans sus-décalage du segment ST : le flux sanguin coronaire n'est pas complètement interrompu. Nécrose myocardique causée par l'ischémie et l'hypoxie d'une partie du myocarde. L'antithrombotique est le traitement de base, et la pose d'une endoprothèse ou d'un pontage coronarien peut être effectuée en fonction de la sténose de l'artère coronaire mise en évidence par la coronarographie.

(3), infarctus du myocarde avec sus-décalage du segment ST : l'électrocardiogramme montre un sus-décalage du segment ST, principalement à travers la paroi de l'infarctus du myocarde, c'est-à-dire un blocage complet des artères coronaires, le flux sanguin est complètement interrompu, ce qui entraîne une nécrose myocardique. Des endoprothèses coronaires doivent être mises en place immédiatement dans les 12 heures, plus le bénéfice est précoce, plus il est important. La thrombolyse doit être utilisée dans les unités médicales qui ne disposent pas de conditions d'intervention. Plus la thrombolyse est précoce, mieux c'est, le mieux c'est dans les 6 heures et au plus tard dans les 24 heures.

(4), Mort subite de l'artère coronaire : ouverture immédiate des voies respiratoires, défibrillation par choc électrique, compression cardiaque, et réussite de la réanimation cardio-pulmonaire dès que possible.
2, la maladie coronarienne chronique : également appelée syndrome d'ischémie myocardique chronique, comprenant l'angine de poitrine stable, la maladie coronarienne insidieuse, la cardiomyopathie ischémique. Le traitement repose sur la régulation des lipides, les antiplaquettaires, l'expansion coronarienne, la thérapie par bêta-bloquants. Accompagné d'hypertension, de diabète sucré, pour abaisser la tension artérielle et le taux de sucre.

II. infarctus cérébral.
1, infarctus cérébral précoce : dans les 6 heures suivant l'apparition de l'infarctus cérébral, le meilleur moment pour la thrombolyse est celui de l'ouverture rapide des vaisseaux sanguins et de l'amélioration du métabolisme des tissus cérébraux. L'ouverture rapide des vaisseaux sanguins et l'amélioration du métabolisme du tissu cérébral permettent d'éviter les complications et les séquelles. Cela permet d'éviter les complications et les séquelles. Pour la thrombose des grosses artères, l'extraction du thrombus vasculaire est possible. Le meilleur effet est obtenu dans les 6 heures, le plus tard ne peut pas dépasser 24 heures.
2, infarctus cérébral tardif : patients qui ont perdu les conditions de thrombolyse et d'extraction du thrombus et qui sont passés au stade chronique. La rééducation est le traitement principal, complété par des médicaments destinés à améliorer la circulation cérébrale et la nutrition des nerfs. Toutefois, il convient d'accorder une plus grande attention au traitement du diabète sucré, de l'hypertension, de l'hyperlipidémie et d'autres maladies de base.

Hémorragie cérébrale.
1, Phase aiguë de l'hémorragie cérébrale : lorsque le volume de l'hémorragie est inférieur à 30 ml ou que le diamètre de l'hématome est inférieur à 3 cm, des médicaments peuvent être utilisés pour traiter l'hématome par la déshydratation et des médicaments pour abaisser la pression crânienne. Si l'hémorragie est supérieure à 30 ml, une intervention chirurgicale doit être pratiquée pour retirer l'hématome.
2, phase de récupération de l'hémorragie cérébrale : cette phase est principalement basée sur la rééducation, avec l'acupuncture et la physiothérapie. Le traitement médicamenteux de la maladie de base est également pris en charge.

En conclusion, il faut désormais prêter attention à la médication de la maladie sous-jacente pour les maladies cardiovasculaires, quel que soit le stade auquel elles se trouvent. Les interventions pharmacologiques à vie ne doivent pas être relâchées.
Merci pour l'invitation !
Les maladies cardiovasculaires, au sens large, comprennent de nombreuses maladies du cœur, des vaisseaux sanguins et du système nerveux central, et certaines d'entre elles peuvent être guéries. Par exemple, en cas de cardiopathie congénitale, de communication interauriculaire ou de communication interventriculaire, il est possible de la bloquer à l'aide d'un bloqueur et, si ce n'est pas possible, de la réparer chirurgicalement ; en cas de canal artériel entre l'aorte et l'artère pulmonaire, il est possible de le bloquer ; en cas de pontage du système de conduction cardiaque, l'ablation par radiofréquence permet de le bloquer ; en cas d'anomalies congénitales ou d'hémangiomes des artères cérébrales, il est possible de procéder à une embolisation. Ces maladies cardiovasculaires peuvent être guéries.

Cependant, ce que l'on appelle habituellement les maladies cardiovasculaires et cérébrovasculaires se réfère spécifiquement aux maladies cardiovasculaires athérosclérotiques, qui comprennent également les maladies cérébrovasculaires. Ce type de maladie fait partie des maladies chroniques, le début est insidieux, la cause n'est pas claire, l'évolution de la maladie est prolongée, le niveau médical actuel ne permet pas de la guérir.
La cause exacte de ce type de maladie cardiovasculaire athéroscléreuse n'est pas claire, mais la recherche a trouvé certains facteurs de risque pertinents, et certains facteurs de risque ne peuvent pas être supprimés, tels que la génétique, le sexe et les changements liés au vieillissement, et seuls certains facteurs de risque contrôlables peuvent être maîtrisés. Lorsque la cause de la maladie ne peut être complètement éliminée, il n'y a pas de remède.

En outre, ce type de maladie se déclare insidieusement et, lorsqu'elle est découverte, elle a généralement atteint un certain degré d'évolution et le système cardiovasculaire a déjà subi certains dommages, de sorte que le traitement et la guérison seront très lents et difficiles. Par exemple, en cas de sténose de l'athérosclérose, il est très difficile de faire disparaître la plaque ; en cas d'hypertrophie cardiaque, la guérison n'est pas facile ; en cas d'infarctus du myocarde ou d'infarctus cérébral, les tissus nécrosés ne peuvent être que cicatrisés, il est impossible de les réparer comme avant.
Bien que les maladies cardiovasculaires et cérébrovasculaires athéroscléreuses ne puissent être guéries, la recherche médicale a découvert de nombreux facteurs de risque connexes qui peuvent être contrôlés, ainsi que des traitements et des médicaments pour contrôler les facteurs de risque. Par exemple, un mode de vie sain, le contrôle du sel et de l'huile, un régime pauvre en sucres et en graisses, l'arrêt du tabac et la limitation de l'alcool, l'exercice physique pour réduire le poids, une vie régulière et une veille moins tardive, etc. ; et par exemple, la détection et le contrôle précoces des trois points culminants, des quatre points culminants et des cinq points culminants : hypertension artérielle, hyperglycémie, hypercholestérolémie, hyperacidité urique et hyperhomocystéine, ainsi que le traitement médicamenteux correspondant. Il a été prouvé qu'en contrôlant les facteurs de risque pertinents, l'apparition de ces maladies peut être considérablement réduite et la progression de la maladie peut être ralentie.

Par conséquent, bien que la maladie cardiovasculaire athéroscléreuse ne puisse pas être guérie, elle peut être efficacement contrôlée, atténuée et ralentir les dommages physiques grâce à la prévention et au traitement de la médecine moderne.
Les maladies cérébrovasculaires et cardiovasculaires appartiennent au même type de maladie, principalement causée par un taux trop élevé de graisses dans le sang, quel que soit le type de maladie, il existe une relation directe avec la teneur en oxygène ; dans le traitement des maladies cérébrovasculaires et cardiovasculaires, le médecin se contente souvent de noter l'effet d'atténuation, plutôt que de chercher à faire revivre au patient l'époque héroïque de la jeunesse. Le traitement de cette maladie consiste principalement à dissoudre les graisses et à les excréter, à augmenter la teneur en oxygène du sang, afin d'obtenir un effet d'éradication, plutôt que d'abaisser aveuglément la pression.
Elle peut être soignée, mais pas éradiquée !
Il y a une raison à toute maladie, après tout, beaucoup de vos pairs sont encore en bonne santé, alors pourquoi devriez-vous être gravement malade au lit.
La conclusion finale du traitement de la maladie est déterminée par les sentiments du patient et divers tests. Cette fois-ci, les symptômes anormaux du patient ont fondamentalement disparu, les divers indicateurs physiques se sont considérablement améliorés, voire sont redevenus normaux.

Traiter l'étiologie !
"Si vous ne vous débarrassez pas de l'herbe, elle repoussera au printemps.
La condition préalable à notre traitement est un diagnostic clair, et nous devons avoir une compréhension claire de la maladie et savoir comment elle est apparue avant de pouvoir cibler notre traitement.
Les causes des maladies cardiovasculaires et cérébrovasculaires sont plus complexes, et il n'est pas très réaliste de vouloir les résumer en une seule phrase, car après tout, de nombreux patients peuvent présenter plusieurs facteurs de causalité en même temps, certains d'entre eux représentant une proportion relativement faible, d'autres une proportion plus importante, certains peuvent être modifiés, d'autres ne peuvent pas être aidés.
Aucun médecin ne peut agir sur les facteurs qui ne peuvent être totalement évités, comme l'âge avancé et le régime alimentaire, car le premier est une loi de la nature et le second est un moyen important d'apport nutritionnel, et il n'y a rien que nous puissions faire, nous ne pouvons donc que procéder à des analyses plus approfondies pour trouver d'autres sources de causalité.
Les facteurs neurologiques sont l'un des plus typiques, bien qu'un petit nombre de patients puisse être dû à un stress émotionnel et à d'autres facteurs, de sorte que le trouble d'excitation à court terme du système nerveux, si le patient trouve le temps de s'adapter, peut être en mesure de récupérer par lui-même ; mais dans le traitement clinique, nous avons constaté que la grande majorité des patients atteints de troubles nerveux excitation, en raison de l'existence d'une responsabilité claire pour les foyers, qui sont de degrés divers, un nombre variable de foyers ont été opprimés et stimulent le système nerveux sympathique, ce qui entraîne des lésions. Ces lésions, à des degrés et en nombre variables, ne cessent de presser et de stimuler les nerfs sympathiques, les empêchant de fonctionner normalement, ce qui provoque à son tour des spasmes et des contractions des vaisseaux sanguins concernés et entrave considérablement la circulation du sang, entraînant des maladies cardiovasculaires et cérébrovasculaires d'une part, et accélérant la formation de thromboses sur plaques d'autre part, ce qui aggrave encore l'état de santé.

Quel est le traitement ?
Une fois la cause trouvée, il est plus facile de parler de traitement.
La première étape consiste à cibler la source, ce qui provoque l'émergence des maladies cardiovasculaires et cérébrovasculaires, puis à "éliminer" ce qui, tous les foyers de la maladie seront clairement explorés, puis son intervention thérapeutique, afin d'éviter la répétition ultérieure de la stimulation de la compression.
Ensuite, il s'agit d'ouvrir le transport sanguin, bien que l'on dise que l'excitabilité nerveuse a été levée, mais en raison de la compression de longue durée, le nerf est encore difficile à récupérer rapidement, cette fois il est nécessaire de modérer la régulation, de sorte que les vaisseaux sanguins correspondants se dilatent rapidement, et de rétablir une forte irrigation sanguine du myocarde.
La dernière chose à faire est de revenir à la normale, la normale faisant référence à la "guérison clinique" mentionnée plus haut, qui est un terme médical différent de la guérison dans votre esprit, ne vous méprenez donc pas.
PS : Atteindre votre guérison idéale n'est vraiment pas très réaliste, comme je l'ai dit dans l'article, il y a de nombreux facteurs dans la formation des maladies cardiovasculaires qui ne peuvent être changés ou évités, le plus typique est le durcissement des artères dû à l'âge avancé, à moins que vous ne soyez un dieu, vous pouvez inverser le temps, ou simplement ne pouvez pas complètement éviter la maladie à venir.

J'espère que ma réponse vous aidera !
Si vous ne comprenez pas quelque chose, commentez et envoyez-moi un message privé !
Si la maladie est détectée et traitée à un stade précoce et que l'on trouve la bonne approche, il est possible de la guérir. Toutefois, pour la plupart des personnes atteintes de maladies cardiovasculaires, l'idéal serait de contrôler la maladie et de soulager les symptômes.
Les maladies cardiovasculaires et cérébrovasculaires (MCV) sont actuellement la première maladie en termes de prévalence, d'invalidité et de mortalité, sans exception. La plupart des maladies cardiovasculaires et cérébrovasculaires connues du grand public sont causées par l'athérosclérose. L'athérosclérose elle-même est une manifestation du vieillissement, avec l'âge, la fonction de divers tissus et organes se dégrade, les vaisseaux sanguins artériels ne font naturellement pas exception. Cependant, il ne faut pas se décourager, après tout, l'athérosclérose est un processus de développement lent, les hommes à partir de 50 ans, les femmes à partir de 55 ans (surtout après la ménopause) et au-delà, la progression de l'athérosclérose a commencé à s'accélérer. Certaines études ont montré que l'athérosclérose commence à apparaître dès la petite enfance et progresse avec l'âge jusqu'à provoquer un rétrécissement important de la lumière artérielle, voire une obstruction, qui donne lieu à ce que l'on appelle un infarctus du myocarde ou un infarctus cérébral.

plomb (Pb)

années de jeunesse

d'âge moyen

vieillesse

Processus progressif d'athérosclérose, de couleur jaune sous forme de plaque (dont le principal composant est le cholestérol), qui augmente progressivement de taille à mesure qu'elle progresse et comprime la lumière.
Alors, diront certains, n'est-il pas possible de poser un stent pour traiter l'athérosclérose ? Tout d'abord, nous devons préciser que tout le monde ne peut pas poser de stent, le diamètre minimal actuel de l'artère coronaire est de 2,25 mm, pour moins de 2,0 mm de vaisseaux sanguins en principe ne peut pas utiliser de dispositif d'intervention, mais cette année avec l'introduction du ballon médicamenteux, pour la lumière est relativement petite mais relativement large gamme d'artères coronaires pour l'approvisionnement en sang, vous pouvez utiliser la dilatation du ballon médicamenteux pour inhiber la progression de l'athérosclérose, mais l'effet varie également d'une personne à l'autre ! Après tout, il ne s'agit que d'une inhibition, pas d'un arrêt. Imaginez, si les moyens médicaux actuels peuvent bloquer complètement l'athérosclérose, sans parler du fait que l'inventeur doit recevoir le prix Nobel de médecine, et que les gens vivent éternellement, le problème de la population sera encore plus grave. Depuis l'Antiquité, les empereurs et les rois ont cherché l'immortalité, mais jusqu'à présent, ce n'est encore qu'un rêve.

endoprothèse coronaire
Dans notre travail clinique, nous avons rencontré de nombreux patients présentant une sténose sévère de l'artère coronaire, voire une occlusion. Certains d'entre eux ne sont pas en mesure de poser une endoprothèse et ne peuvent qu'envisager un pontage coronarien, tandis que d'autres n'ont même pas la possibilité d'effectuer un pontage, de sorte qu'ils ne peuvent être traités que par des médicaments de manière conservatrice, mais l'effet du traitement médicamenteux conservateur n'est pas évident. Lorsque l'athérosclérose s'aggrave, il peut y avoir un dépôt de calcium, ce qui entraîne la formation d'une plaque calcifiée, ce qui aggrave encore l'effet du traitement médicamenteux. En outre, dans le cas de l'athérosclérose de la microcirculation, une affection qui ne peut actuellement être traitée que par des médicaments et non par des dispositifs, de telles lésions peuvent avoir des conséquences encore plus graves. Avec l'évolution de la maladie, l'athérosclérose s'étend progressivement aux gros vaisseaux sanguins et, à ce moment-là, les vaisseaux sanguins de l'ensemble du corps du patient présentent des problèmes, ce qui est très difficile à traiter, et les patients continuent souvent à ressentir les symptômes, puis à être hospitalisés.
Par conséquent, les maladies cardiovasculaires et cérébrovasculaires ne sont pas faciles à traiter, mais il convient de prêter attention à la prévention à l'avance, la prévention est la plus rentable, et la prévention est en place afin d'améliorer réellement la qualité de vie, et même de prolonger la vie.
Ces questions et réponses proviennent des utilisateurs du site, elles ne représentent pas la position du site, s'il y a une infraction, veuillez contacter l'administrateur pour la supprimer.