Comment savez-vous que vous avez la goutte si vous n'allez pas à l'hôpital ?
Comment savez-vous que vous avez la goutte si vous n'allez pas à l'hôpital ?
La goutte est une maladie de plus en plus répandue de nos jours, selon les données des lignes directrices chinoises 2019 pour le traitement de l'hyperuricémie et de la goutte.Nous sommes 1 % à souffrir de goutte dans ce pays.qui peut être décrite comme uneLarge base de patients. Je pense que beaucoup d'entre vous qui lisez cet article ont dû être en contact avec des goutteux dans leur entourage, ou que certains d'entre eux ont été diagnostiqués comme tels lors d'examens médicauxhyperuricémieCertains amis sont également plus inquiets de savoir si leur taux d'acide urique élevé leur permettra de souffrir de la goutte, et ils se préoccupent donc davantage de savoir s'ils peuvent ressentir certains symptômes ou les premiers signes de la goutte.Ne pas se rendre à l'hôpital pour déterminer si l'on souffre de gouttePouvez-vous faire cela ?

Commençons par comprendre ce qu'est la goutte et l'hyperacidité urique !
goutteCette maladie est le résultat d'une réaction de l'organisme à l'égard de l'environnement.Métabolisme des purinesDes anomalies se sont produites, entraînant une élévation anormale de l'acide urique, et l'élévation à long terme de l'acide urique est le résultat d'un taux d'acide urique trop élevé.sursaturationL'état des choses qui aboutit à la formation desCristaux d'urate.Ces cristaux d'urate se déposent dans notre corps et, en s'accumulant lentement, ils peuvent déclencher une crise de goutte.
Et ceci.Quelle est la valeur normale de l'acide urique ? Elle est de 420.Si le continuDeux fois, à jeun, et pas le même jour.Les mesures de l'acide urique dans le sang dépassent toutes cette valeur.l'hyperuricémie, qui est la base pathologique des crises de goutte。
Je pense qu'il y a beaucoup d'amis autour de nous qui savent qu'ils ont un taux d'acide urique élevé, et certains amis peuvent avoir un taux d'acide urique très élevé, qui peut aller jusqu'à 600 700, mais ces amis ne développent pas la goutte.Penser que tant que l'acide urique est anormal sans que la goutte ne soit émise, tout va bien.Cette idée est erronée. En effet, une période prolongée d'hyperuricémie augmente le risque d'hypertension, de diabète et de maladies cardiovasculaires.Calculs d'acide uriqueÉventuellementElle affecte le fonctionnement des reinsqui peut entraîner une insuffisance rénale, voire une défaillance rénale.

而Les crises de goutte font partie d'une réponse inflammatoire cristallineLors d'une crise de goutte, ces cristaux d'urate s'accumulent partout et le système immunitaire de l'organisme s'en trouve perturbé.leucocyteOn essaie de s'en débarrasser, mais comme les cristaux d'urate sont particulièrement pointus, en plein dans la zone de l'épithélium, il est difficile de les éliminer.Les globules blancs le détruisent en même temps qu'il détruit les globules blancs.Elle entraîne la libération d'un grand nombre de facteurs inflammatoires dans la zone de l'attaque, de sorte que le patient présente les symptômes suivantsDouleur particulièrement intense au niveau du site de la pousséeet la localisation peut être rapide.肿胀Surface.La température de la peau augmente.Certains patients peuvent même développer desAnomalies de la température corporelle。

Pourquoi dois-je vous donner une introduction aussi détaillée ? Parce que maintenantIl y a beaucoup de rumeurs.Le premier est de vous dire que vous pouvez savoir si vous avez un taux d'acide urique élevé ou si vous souffrez de goutte en observant certains des symptômes, quels sont-ils ?
Quelques mythes sur la détermination d'une élévation de l'acide urique par soi-même !
●L'urine mousseuse correspond à un taux élevé d'acide uriqueCette affirmation est trop fréquente ! Cette affirmation est trop commune, beaucoup d'amis font attention à leur urine, voient plus de mousse dans l'urine, ils commencent à douter qu'ils ont un taux d'acide urique anormal, en fait, cela ne peut pas être sûr, il y a trop de raisons pour plus de mousse dans l'urine.Il existe des causes de maladiePar exemple, il existeprotéinuriemais (pas)Il existe certains facteurs alimentaires quiIl en résulte plus d'impuretés dans l'urine et plus de mousse !

Il y a quelque temps, le Dr Tsefaire du caféde l'époque, il m'est soudain venu à l'esprit que je pouvais vous expliquer cela avec cet exemple, où vous pouvez préparer votre propre tasse de café et la boire à la main.L'eau coule un peu plus vite quand on l'attrapeLa raison pour laquelle vous trouverez beaucoup de mousse dans votre tasse et qu'elle durera un certain temps sans se dissiper est la même que s'il y a plus d'impuretés mélangées dans notre urine, cela conduira à la mousse, et la raison pour laquelle vous trouverez beaucoup de mousse dans votre tasse est la même que s'il y a plus d'impuretés mélangées dans notre urine.Il n'est absolument pas nécessaire de s'inquiéter outre mesure de la possibilité d'une goutte en raison de niveaux élevés de mousse, en pensant qu'une trop grande quantité d'acide urique peut être une source d'inquiétude pour la santé.。
●La présence de sang dans les urines indique un taux élevé d'acide urique. Il y a en fait beaucoup d'affirmations de ce genre, et il arrive que lorsqu'une personne souffrant de goutte ou d'hyperuricémie a développé un syndrome d'hyperuricémie, elle soit obligée d'avoir recours à des mesures de prévention.Calculs d'acide uriqueEnsuite, ces petits calculs tombent lentement dans l'uretère et stimulent l'uretère, ce qui provoque l'apparition d'une hématurie chez le patient, mais c'est aussi le résultat de la formation de calculs rénaux chez le patient, et non de l'hématurie, car l'acide urique a été élevé.

●Dormir avec des douleurs dorsales signifie un taux élevé d'acide uriqueC'est une bonne blague ! C'est plutôt une grosse blague, il y a tellement de raisons pour avoir mal au dos en dormant, comme une fasciite dans le bas du dos, une tension sur les muscles du bas du dos, comme une hernie discale lombaire, comme un spondylolisthésis lombaire, et si vous jugez que l'acide urique est élevé uniquement parce que vous avez mal au dos en dormant, c'est un peu fantaisiste, c'est une trop grosse blague.
Il existe de nombreuses autres légendes, mais ne les croyez pas.Parce que très souvent, il n'y a pas de symptômes particuliers lorsque notre corps a un taux d'acide urique élevé, notre corps ne ressent rien, et cette situation est la plus fréquente.Hyperuricémie asymptomatiqueet veulentIl est très simple de déterminer si l'acide urique est élevé. Il suffit de se rendre à l'hôpital et d'effectuer une analyse de sang.Le test est peu coûteux et les résultats sont relativement rapides, deux à trois heures pour un test rapide et quatre à cinq heures pour un test de routine, et les résultats sont maintenant disponibles.Test d'acide urique à usage domestiqueIl est possible de mesurer votre taux d'acide urique assez rapidement.
Pouvez-vous donc reconnaître une crise de goutte à certains de ses symptômes ?
Comme cela a déjà été dit.La goutte provoque des rougeurs, des gonflements, de la chaleur et des douleurs très typiques chez le patient.Lors de la première crise, la goutte a tendance à se situer plus souvent dans la région des orteils, mais ce n'est pas absolu, la goutte qui se manifeste dans les coudes, les genoux, les doigts, ainsi que les poignets est de plus en plus fréquente.

Si vous présentez une rougeur, un gonflement, une chaleur et une douleur importants au niveau d'une articulation ou d'une zone.La crise se produit dans la seconde moitié de la nuit.ou à un moment oùManger trop, attraper froid, rester debout toute la nuitoucontre-indicationAprès cela, il est important d'envisager la possibilité d'une goutte, mais il convient deIl n'est pas scientifique de déterminer que vous souffrez de la goutte à partir de ces symptômesIl est important de se rendre à l'hôpital pour un dosage sanguin de l'acide urique, et de confirmer le diagnostic avec l'aide d'un rhumatologue professionnel qui le souhaite, car il est encore trop facile de juger simplement sur la base des symptômes.
Lorsque vous présentez ces facteurs de risque élevés et que vous ressentez des douleurs articulaires, vous devez envisager la possibilité d'une goutte, et le Dr Xie vous en donne une brève liste :
: : Il y aAntécédents familiaux de crises de goutte。
● Poids corporelLe surpoids ou l'obésitéJe préfère généralement manger.Riche en sel, en calories, en graisses et en purinesL'alimentation.

intenseboire du vinLa consommation d'alcool, en particulier la consommation excessive d'alcool, qu'il s'agisse de vin blanc ou de bière.
●Favoritel'exercice physiquede la population.
● Il y a desMaladies en médecine interneLes patients qui doivent prendre de l'aspirine par voie orale pendant une longue période, ou certains médicaments antihypertenseurs contenant des ingrédients diurétiques, les patients souffrant d'une maladie rénale chronique et les autres patients qui prennent des médicaments à long terme doivent faire attention à leur taux d'acide urique.
: : Consommation d'alcool à long termeLes personnes qui consomment des boissons gazeuses et des boissons à forte teneur en fructose.Le gouvernement des États-Unis d'Amérique est membre de l'Assemblée générale des Nations unies, en particulier certains jeunes.
● Les personnes souffrant de diabète, d'hypertension artérielle ou de maladie coronarienne doivent surveiller leur taux d'acide urique sanguin.
résumés
Il est essentiel de se préoccuper de son taux d'acide urique sanguin, le13,3 % de la population de notre pays présente aujourd'hui un taux d'acide urique anormal.De nombreux patients présentant un taux d'acide urique anormal risquent de développer la goutte, la maladie de Crohn.Il ne faut cependant pas en faire trop, ni s'inquiéter du ciel et du sommeil.Ne vous inquiétez pas tous les jours de savoir si vous avez une crise de goutte parce que vous ressentez une douleur dans l'une de vos articulations !
Rendez-vous à l'hôpital pour un simple test d'acide urique sanguin afin de déterminer si votre taux d'acide urique sanguin est trop élevé, et demandez à un rhumatologue professionnel de vous aider à le vérifier et à l'identifier, ce qui est la méthode la plus scientifique.
而Il n'est pas impossible d'essayer de se contenter de ses symptômes à la maison, mais ce n'est pas assez scientifique.Je me suis dit qu'avec l'aide d'un médecin, cela devait aller mieux, et beaucoup de mes amis sont aujourd'hui entourés de personnes souffrant de la goutte.Prise de médicaments en cas de suspicion de goutteIl s'agit là d'un comportement erroné, et chaque année, nous entendons parler de patients qui sontL'utilisation non autorisée de certains médicaments dits hypoglycémiants, le traitement de la goutte par des médicaments spéciaux et l'insuffisance rénale des patients, ce qui n'a aucune valeur.。
S'il vous plaît, nous devons croire en la science.Que l'on veuille ou non aller à l'hôpital, l'hôpital est là.Si vous pensez être atteint de goutte, rendez-vous à l'hôpital pour un examen professionnel.Réaliser un scanner à double énergie, un test sanguin d'acide urique ou une échographie.Cela vous aidera à identifier s'il y a des dépôts de cristaux d'urate dans certaines parties du corps et à déterminer s'il y a un risque de crise de goutte.Ne vous faites jamais aveuglément une opinion et ne vous traitez pas vous-même à la maison, ce qui entraînerait des retards dans l'évolution de votre état.。

J'adhère au langage simple pour expliquer la connaissance complexe de la maladie Xie Xinhui, le mot de code n'est pas facile, si vous êtes d'accord avec mon point de vue, s'il vous plaît aider à pointer une préoccupation ou cliquez sur un like, si vous ou votre famille et vos amis ont également la goutte dans ce domaine de la difficulté, s'il vous plaît transmettre cet article à la nécessité de leur il, je vous remercie ! (Le contenu ci-dessus est seulement comme une science médicale, n'a pas de valeur de diagnostic et de traitement, si, vous soupçonnez la goutte, doit aller à l'hôpital pour un examen professionnel, une partie de l'image de la violation du réseau supprimé).
La goutte est un groupe de maladies qui provoquent des lésions tissulaires dues à une augmentation de l'acide urique dans le sang à la suite de troubles du métabolisme des purines. Les lésions envahissent souvent les articulations, les reins et d'autres tissus. Comment savoir si l'on souffre de goutte ?
La détermination de la goutte dépend principalement des articulations. Au début de l'apparition de la goutte, 53 % à 70 % des patients ont les articulations du premier orteil (appelées goutte du pied) rouges, gonflées, chaudes et douloureuses, généralement multiples, certaines pouvant aussi se manifester sous forme d'articulations multiples. Elle est fixe et asymétrique, et peut progressivement envahir des articulations plus importantes telles que les chevilles, les genoux, les poignets et les coudes.
La goutte a tendance à se développer plus rapidement, et plus dans la nuit attaque, la douleur est très intense, quelques heures pour atteindre l'extrême, et même ne peut pas supporter d'être couvert par une couverture, dure généralement quelques jours à 2 ~ 3 semaines de soulagement de soi, la peau peut être vu après l'affaissement de la chute des flocons et des démangeaisons, comme les caractéristiques de cette maladie.
Il y a des nodules goutteux autour des articulations ou dans les perce-oreilles, et en cas de goutte de longue durée, les articulations sont atrophiées, déformées et souvent ulcérées, avec un écoulement crayeux des plaies.
Les symptômes de la goutte sont un signe de la goutte et il est préférable de se rendre dans un endroit approprié pour se faire examiner et diagnostiquer.
Peu de gens veulent aller à l'hôpital parce qu'ils veulent toujours résoudre leurs problèmes de la manière la plus rentable, mais je voudrais dire que la seule chose qui n'est pas possible, c'est d'aller chez le médecin !
Bien sûr, cela ne veut pas dire que nous ne savions pas que nous avions la goutte jusqu'à ce que nous allions à l'hôpital et que nous fassions un test !
lorsque tout est dit et faitLa goutte est une arthropathie associée à des cristaux, causée par des dépôts d'urate monosodique (MSU) dans les articulations.De nombreux patients atteints de goutte sont encore assez caractéristiques, et nous pouvons généralement soupçonner que nous avons la goutte en suivant ces symptômes typiques !
Le premier symptôme est souvent une douleur articulaire qui se manifeste principalement au niveau des pieds, en particulier du gros orteil.
Pourquoi notre gros orteil ? Le raisonnement est simple : vous pouvez essayer d'obtenir vos propres liens corporels.Vous constaterez que cette zone d'articulation est une zone à température relativement basse.Si vous avez appris la physique ou si vous connaissez la solubilité, vous savez que plus la température est élevée, plus la solubilité est grande, et qu'au contraire, plus la température est basse, plus la solubilité est faible ! Tout comme nous dissolvons habituellement du sucre et de l'eau salée, est-il plus facile de dissoudre du sucre et du sel dans de l'eau à température élevée ? Et la température plus basse n'est pas plus difficile à dissoudre, mais plus susceptible de se déposer ?L'articulation du gros orteil est un peu dans ce cas, la température basse est alors plus propice à la formation de nos cristaux d'urate, entraînant des lésions tissulaires et provoquant des douleurs inflammatoires !

En outre, cetteL'articulation du gros orteil est également l'articulation la plus vulnérable aux traumatismes.L'acide urique peut se déposer dans les articulations à la suite d'un accident ou d'un traumatisme mineur, ce qui favorise le dépôt de cristaux d'acide urique.Bien entendu, la douleur articulaire provoquée par la goutte n'est pas limitée à cet endroit, comme le dos du pied, la cheville, le genou, etc. sont des parties communes, et il n'y a généralement pas de symétrie, et la douleur localisée en touchant le pied présente une rougeur, un gonflement et une chaleur, en plus de la chaleur de la peau au toucher.

Deuxièmement, les douleurs articulaires sont plus susceptibles de survenir la nuit !Comme dans notre service d'urgence, certains d'entre eux sont des patients qui ont une crise de goutte aiguë la nuit, les patients viennent souvent avec une douleur insupportable, incapables de marcher seuls, et lorsque nos médecins les interrogent, la plupart d'entre eux peuvent trouver un taux d'acide urique élevé grâce à des tests sanguins.
Pourquoi la goutte a-t-elle tendance à frapper la nuit ?Tout d'abord, lorsque nous dormons la nuit.Ralentissement de la circulation sanguineDeuxièmement, chez les patients souffrant de goutte, y compris les personnes normales, le sang est acide la nuit, mais après huit heures du soir, chez les personnes normales, il a une tendance alcaline, et à ce moment-là, le sang des personnes normales a un penchant pour l'alcalinité.Ce n'est pas le cas de ce patient à l'acide urique élevé, qui a toujours été du côté acide et dont l'acide urique est acide, de sorte que le fait d'être du côté acide le rend plus sensible aux dépôts d'acide urique. Ainsi, la plupart des patients atteints de goutte se développent la nuit !
Par conséquent, nous disons que si vous avez des douleurs dans les articulations de vos pieds pendant la nuit, en particulier dans les articulations du gros orteil, il y a une très forte probabilité que vous ayez la goutte, surtout si vous avez mangé beaucoup de poisson, de bière, de fruits de mer, etc. au cours des derniers jours !
Cependant, je ne vous recommande pas de vous diagnostiquer une goutte sur la seule base de ce symptôme et de ne pas vous rendre à l'hôpital pour un examen de contrôle, pourquoi ?
Il y a deux aspects principaux :
Premier aspect : le diagnostic de la goutte par les manifestations symptomatiques comporte un certain taux d'erreurs de diagnostic, et la goutte doit également être distinguée des maladies suivantes !
La première, la goutte, doit être associée à notreérysipèleIdentification. La dengue est généralement une infection de la peau par le streptocoque B. La douleur est également rouge, enflée et chaude, voire brûlante. Les patients de ce type sont souvent traités avec de la pénicilline et ils vont bien, surtout dans le passé, il y avait vraiment beaucoup de gens qui traitaient la goutte comme de la dengue, pourquoi ?

C'est très simple, les symptômes sont à peu près les mêmes.Surtout avant la dengue, avec la pénicilline après le bon, le résultat de ce temps et de la douleur, a également pensé que c'était la dengue, frappé la pénicilline après quelques jours semble également être soulagé, et ainsi de suite, pensait qu'ils devaient avoir la dengue, et puis un certain soulagement ne peut pas être soulagé, la douleur ne peut pas supporter, à l'hôpital, un contrôle est la goutte !Parce que la goutte n'est pas grave dans les premiers jours quand c'est une maladie autolimitée, c'est-à-dire, même si vous ne vous en souciez pas, ne la traitez pas, elle peut être quelques jours, ou une semaine ou deux plus tard, donc à ce moment-là quand vous avez la dengue avec un traitement à la pénicilline pendant quelques jours bien, en fait, c'est sa propre guérison, donc cette goutte pour faire une différence avec notre dengue.
Deuxièmement, la goutte doit être distinguée de l'arthrite rhumatoïde et de la polyarthrite rhumatoïde.L'une d'entre elles est appelée rhumatisme récurrent, et si vous n'êtes pas rhumatologue, vous avez peut-être moins entendu parler de l'étendue de cette maladie.
On peut dire que le rhumatisme et la maladie rhumatoïde sont les deux maladies les plus facilement confondues par de nombreuses personnes dans notre clinique.
Premièrement.L'étiologie des deux serait différente !Le rhumatisme est une maladie étroitement liée aux infections hémolytiques à streptocoques chez l'homme, tandis que la maladie rhumatoïde est une maladie du système immunitaire généralement associée à des mutations dans les gènes immunitaires.
Deuxièmement.Le rhumatisme débute le plus souvent par une fièvre aiguë et des douleurs articulaires, symptômes stéréotypés. Outre la fièvre, le symptôme principal est une douleur migratoire généralisée.leurs articulationsIl n'y a généralement pas de changements morphologiques particulièrement évidents et les articulations touchées sont principalement de grosses articulations telles que les genoux, les chevilles, les épaules, les coudes et les poignets.La douleur se déplace d'une articulation à l'autre, met généralement plus d'un demi-mois à se résorber et peut être récurrente.

La maladie rhumatoïde, quant à elle, touche généralement les petites articulations, la principale manifestation clinique étant une douleur articulaire chronique et symétriqueIl s'agit d'une douleur dans les petites articulations symétriques des mains droite et gauche, et d'une douleur récurrente dans les petites articulations des mains, des poignets, des pieds, etc.distribution symétrique. Elle a également commencé par des articulations rouges, chaudes et gonflées et par des dysfonctionnements, mais elle s'est aggravée de plus en plus.Peut entraîner des déformations des articulations, une atrophie des muscles squelettiques et un handicap.。

Il y a ensuite la différence entre la goutte avancée, où le calcul de goutte se développe à l'intérieur de la peau dans cette zone, et les nodules rhumatoïdes, qui sont de petits nodules durs qui se développent sur l'os.

Enfin, lorsque l'on parle de goutte, de rhumatisme et de rhumatisme rhumatoïde, pour beaucoup de gens ordinaires, il faut faire très attention à les distinguer, car, comme vous pouvez le voir, le rhumatisme rhumatoïde n'est pas le même que le rhumatisme goutteux, mais le rhumatisme rhumatismal.Les causes sont totalement différentes : la goutte est due à un taux élevé d'acide urique ; le rhumatisme est dû à une infection par le streptocoque hémolytique, tandis que le rhumatisme est une maladie auto-immuneLa cause de la maladie est différente, le traitement est certainement différent, et cela peut être bien identifié en se rendant à l'hôpital pour éviter les erreurs de diagnostic !
Deuxième aspect : l'effet de la goutte sur le corps est beaucoup moins simple qu'on ne le pense, il s'agit simplement d'une douleur, et il n'est pas difficile d'aller à l'hôpital pour diagnostiquer la goutte, il n'est pas nécessaire de prendre le risque de juger soi-même s'il s'agit de la goutte ou non à cause de cela !
On trouve des calculs de goutte sur le corps de presque toutes les personnes souffrant de goutte, et ils s'accumulent au fur et à mesure que la maladie évolue.fait des ravages dans les articulations de nos membres, entraînant des gonflements et des douleurs chroniques, des raideurs et des déformations, voire des fractures.
En même temps, 2/3 de l'acide urique journalier de notre corps est métabolisé, de sorte que pour les patients souffrant de goutte, un état chronique d'acide urique élevé peut conduire àLa néphropathie goutteuse, qui peut être suffisamment grave pour entraîner une insuffisance rénale, voire une insuffisance rénale aiguë !

Et puis il y a notre constatation clinique que10 à 25 % des patients atteints de goutte ont des calculs rénaux d'acide urique.Et les calculs rénaux peuvent avoir un impact sérieux sur la vie et le travail de nombreuses personnes. La goutte n'est donc pas une maladie que l'on peut facilement diagnostiquer à tort !
Le plus important est que le diagnostic de la goutte en milieu hospitalier est aujourd'hui très simple et sophistiqué !
Lors de la première étape, une prise de sang est effectuée pour déterminer le taux d'acide urique, et l'hyperuricémie est diagnostiquée chez les adultes présentant 2 taux d'acide urique sanguin à jeun >420 μmol/L des jours non identiques ;
La deuxième étape consiste à effectuer une étude d'imagerie, par exemple pour détecter un "signe de double piste" sur l'échographie ou pour effectuer un "signe de double piste" sur l'échographie.La tomodensitométrie à double énergie révèle des dépôts d'urateetc., puis ouLes radiographies révèlent un gonflement des tissus mous, une destruction des bords du cartilage et une irrégularité des surfaces articulaires.!

La troisième étape, associée à la présentation de symptômes cliniques tels que les douleurs articulaires mentionnées au début, permet de poser un diagnostic définitif.
Par conséquent, dans le cas de la goutte, vous devez toujours effectuer des tests de diagnostic sous la direction d'un professionnel de la santé, tout en évitant les erreurs de diagnostic.Le plus important est de choisir, sous la direction du médecin, des médicaments raisonnables pour un traitement standardisé afin d'éviter des complications plus graves !
en ce qui concernegoutteSi vous avez encore des questions, vous pouvez laisser un message ci-dessous, j'adhère au texte que nous pouvons comprendre, la façon la plus primitive de vous apporter le meilleur, le plus complet, le plus pratique de la science et de la technologie de la santé. Si vous pensez que c'est bon, vous pouvez prêter attention au "détective médical" et faire suivre yo, de sorte que plus de gens autour du bénéfice !
Les symptômes typiques de la goutte sont des douleurs rouges, enflées et chaudes dans les articulations. L'articulation la plus fréquemment touchée est le gros orteil (terme médical : premier métatarsien), tandis que d'autres sont fréquentes dans les articulations de la cheville, du genou et du coude. Les symptômes apparaissent souvent soudainement la nuit. L'examen hospitalier consiste principalement à vérifier le taux d'acide urique dans le sang. Toutefois, il convient de noter que certains patients n'ont pas un taux d'acide urique élevé lorsqu'ils font une crise de goutte. Il est donc recommandé de se rendre à l'hôpital pour un examen et un traitement standardisé. Les cliniques ambulatoires voient souvent l'abus d'analgésiques conduire à l'insuffisance rénale, ce qui est très regrettable. En outre, tous les patients ayant un taux d'acide urique élevé ne développeront pas la goutte, mais ils présenteront également d'autres risques, de sorte qu'un taux d'acide urique élevé devra, dans une certaine mesure, être contrôlé à l'aide de médicaments (voir l'article à la une que j'ai posté).
Comment savez-vous que vous avez la goutte si vous ne vous rendez pas à l'hôpital pour un examen ? En réponse à la question du propriétaire, le Dr Wong comprend qu'au stade précoce de la goutte, quels sont les symptômes qui se manifestent ?

Dans le processus de lutte contre les maladies cardiovasculaires, la goutte est également toujours avec nous, pour la manifestation des symptômes de la goutte, le Dr Huang comprend naturellement, ici pour partager avec vous, afin que vous appreniez à connaître la goutte à la maison aussi.
goutteIl s'agit d'une maladie causée par un taux élevé d'acide urique dans le sang qui entraîne le dépôt de cristaux d'acide urique dans les articulations, ce qui provoque des épisodes inflammatoires douloureux dans les articulations et autour d'elles. Les manifestations les plus typiques sontpierre de la goutte。

Les patients atteints de goutte ressentent souvent une douleur intense et soudaine dans une ou plusieurs articulations, le plus souvent la nuit, et peuvent présenter une rougeur et un gonflement des articulations, une augmentation de la température de la peau et une peau rouge, tendue et brillante à la surface des articulations.
Les premières crises ne touchent généralement qu'une seule articulation et durent quelques jours. Elles se résorbent souvent d'elles-mêmes au bout de deux semaines et disparaissent ensuite complètement. Cependant, si la maladie continue de s'aggraver et n'est pas traitée activement après une crise, les crises deviennent plus fréquentes et peuvent même toucher plus d'une articulation, durant jusqu'à 3 semaines ou plus.

Des crises répétées peuvent entraîner une aggravation et une progression chronique de la goutte, avec pour conséquence une déformation des articulations malades. Enfin, les mouvements articulaires sont progressivement limités en raison des dommages causés par le dépôt continu de cristaux d'urate autour des articulations et des tendons.
Affection pouvant être ressentie directement à la maison sans avoir à se rendre à l'hôpital, survenant le plus souvent tôt le matin et à minuit, avec de fortes douleurs dans les articulations, des rougeurs, des gonflements, de la chaleur, des douleurs et des dysfonctionnements dans les articulations malades.
Cette période appartient à la deuxième phase de la maladie - la période d'arthrite aiguë et la période intermittente, parce que pendant la période d'élévation de l'acide urique, il n'y aura pas de symptômes externes, cette phase, souvent à chaque fois, ne concernera qu'une seule articulation, le plus souvent accompagnée d'hyperuricémie, accompagnée de fièvre (température corporelle supérieure à 38,5 ℃), de battements cardiaques rapides, de malaise général, de pression cutanée, de frissons, etc. Si l'état ne s'améliore pas ou ne régresse pas au bout d'une semaine, il est recommandé de consulter un médecin.

Je suis le Dr Wong, un médecin cardiovasculaire qui s'efforce d'expliquer des connaissances complexes et difficiles sur les maladies avec des mots simples pour vous aider à gérer votre corps. Votre intérêt est ma plus grande motivation ! Si un membre de votre famille souffre de problèmes liés à la goutte, n'hésitez pas à lui transmettre cet article !
Comment savez-vous que vous avez la goutte si vous n'allez pas à l'hôpital ?
I. Rougeur, gonflement et douleur des articulations
Les orteils, la zone où les urates ont tendance à s'accumuler, et lorsque la goutte frappe, la douleur, littéralement, est atroce.
Lors d'une crise aiguë de goutte, on observe souvent une rougeur, un gonflement, une chaleur, une douleur et un dysfonctionnement localisés importants dans les articulations touchées (le plus souvent le gros orteil et le dos du pied).

II. découverte des calculs de la goutte
Le site typique des calculs goutteux sous-cutanés est le pavillon de l'oreille, généralement autour des articulations récurrentes, de l'épervier, du tendon d'Achille et de la bourse rotulienne. L'aspect des organismes sous-cutanés surélevés de couleur jaune-blanc-rougeâtre et de taille variable, la surface de la peau est fine, et une matière blanche poudreuse ou pâteuse s'écoule après rupture, qui ne guérit pas sur une longue période de temps. Les calculs goutteux sous-cutanés coexistent souvent avec l'arthrite goutteuse chronique. Les dépôts importants de calculs goutteux dans les articulations peuvent entraîner une destruction des os de l'articulation, une fibrose des tissus périarticulaires et des changements dégénératifs secondaires.
III. lésions rénales
La goutte ne tue pas seulement lorsqu'elle fait mal, entraînant des calculs goutteux et des lésions articulaires, mais plus grave encore, des lésions rénales. Les données montrent qu'un tiers des personnes souffrant de goutte à long terme présentent des lésions rénales, qui se manifestent par une néphropathie goutteuse chronique, des calculs rénaux d'acide urique et une néphropathie obstructive aiguë. Certains patients peuvent présenter de légères douleurs dorsales, des œdèmes, de l'hypertension, une légère protéinurie, une acidurie et une hématurie.
Quelles sont les conditions qui peuvent provoquer l'apparition soudaine de la goutte ?
La suralimentation, en particulier la consommation d'abats d'animaux, de fruits de mer décortiqués, de plats chauds et d'autres aliments à forte teneur en purine, tout en buvant beaucoup d'alcool ; les articulations froides, l'acide urique étant plus susceptible de former des cristaux à basse température ;Attraper un rhume après avoir bu de l'alcool est l'élément déclencheur le plus courant dans la vie.
La goutte peut être détectée par imagerie, la présence de cartilage articulaire "signe de double piste", l'épanchement articulaire, l'érosion osseuse, etc., peuvent également être diagnostiqués par des indicateurs de la fonction rénale.

Indicateurs cliniques de la fonction rénale
Sur le plan clinique, les indicateurs de la fonction rénale sont la créatinine sanguine, l'azote uréique et l'acide urique sanguin, communément appelés"Fonction rénale triple".Il est clair que l'acide urique sanguin est étroitement lié à la fonction rénale.
L'excès d'acide urique se dépose non seulement dans les articulations, mais aussi dans l'interstitium rénal, les tubules rénaux et les uretères, provoquant une néphrite interstitielle, des lésions des tubules rénaux et des calculs rénaux à base d'acide urique, ce qui, à terme, entraîne une insuffisance rénale. L'hyperuricémie aggrave incontestablement l'insuffisance rénale.
Le moyen le plus abordable de réduire l'acide urique
Boire beaucoup d'eau dilue l'acide urique.Il est recommandé de boire de l'eau pour maintenir une production quotidienne d'urine de 2 000 à 3 000 ml.. Il est recommandé aux personnes présentant des facteurs de risque élevés de goutte de contrôler leur régime alimentaire en général, d'éviter la consommation d'aliments riches en purine, de vérifier régulièrement leur taux d'acide urique dans le sang et d'être attentives à l'apparition de la goutte et d'autres maladies métaboliques en cas d'hyperuricémie.
La goutte s'accompagne souvent d'hyperlipidémie, d'hypertension, de diabète sucré, d'athérosclérose et de maladie coronarienne, etc., ce qui met sérieusement en danger la vie et la santé des patients et doit être pris au sérieux !
Je suis le pharmacien Wang, dont la mission est de vous aider à gérer votre corps en vous expliquant des connaissances complexes et difficiles sur les maladies avec des mots simples. Votre intérêt est ma plus grande motivation ! De plus, si un membre de votre famille est aux prises avec un traitement contre l'hyperacidité urique, n'hésitez pas à lui transmettre cet article !
M. Wang, 52 ans, directeur général d'une entreprise de taille moyenne, doit inévitablement sortir le soir pour se divertir, mais il a toujours ressenti une forte douleur aux articulations des orteils le mois dernier. Après en avoir parlé à sa femme, celle-ci a pensé qu'il s'agissait d'un problème de chaussures et est allée au centre commercial ce jour-là pour acheter une paire de chaussures pour le retour de M. Wang, mais le lendemain, il a constaté que la douleur aux orteils n'était toujours pas soulagée, et qu'elle était rouge et gonflée le soir.
M. Wang a reproché à sa femme d'avoir des problèmes pour acheter des chaussures, sa femme a dit : "Il semble que le problème ne soit pas les chaussures, mais la goutte, supportez-la, allez à l'hôpital demain pour vérifier", le lendemain, ils étaient prêts à aller à l'hôpital, mais quand ils sont allés à l'hôpital pour voir, à l'extérieur de la rangée d'un groupe de personnes, en raison du travail de M. Wang est trop occupé, il n'y a pas d'autre moyen que de retourner au travail, la femme de M. Wang est mal à l'aise, appelez-moi pour obtenir des conseils, laissez-moi l'aider à analyser si son mari souffre de la goutte, et je vous aiderai à savoir s'il souffre de la goutte. La femme de M. Wang, mal à l'aise, m'a appelé pour me demander conseil, afin que je l'aide à analyser si son mari souffre de la goutte.

Alors, apprenez comment savoir si vous avez la goutte aujourd'hui ?
1. l'indice d'acide urique : les personnes atteintes de goutte ont un indice d'acide urique plus élevé ; vous pouvez donc mesurer votre indice d'acide urique lorsque vous n'êtes pas sûr d'avoir la goutte, mais toutes les personnes ayant un indice d'acide urique élevé n'ont pas la goutte.
2) Les symptômes se manifestent plus d'une fois Les symptômes de la goutte ne se manifestent généralement pas qu'une seule fois, ou ils peuvent se manifester une fois de temps en temps et ne plus se manifester par la suite.
3) La douleur de la goutte se manifeste par une douleur dans les articulations et est récurrente. Cependant, le diagnostic est plus difficile. Les personnes expérimentées peuvent très bien la juger, tandis que les personnes inexpérimentées ont du mal à déterminer s'il s'agit d'une douleur à la surface de la peau ou d'une douleur dans les articulations, et il est donc plus difficile de la juger.
4) La couleur de la peau à l'endroit de la crise symptomatique est différente chez les patients atteints de goutte, puisqu'elle est rouge foncé.
5) La goutte apparaît unilatéralement, et non bilatéralement, dans les membres supérieurs et inférieurs. Si des calculs goutteux sont présents des deux côtés, l'attaque est unilatérale, et si les deux côtés sont attaqués en même temps, d'autres maladies, telles que l'arthrite, doivent être envisagées.
6) La goutte est généralement une douleur soudaine, mais certains patients ressentent une gêne avant une crise de goutte, mais si la douleur est lente et s'aggrave donc petit à petit, elle n'est généralement pas considérée comme un symptôme de la goutte.

7) La douleur de la goutte est une douleur aiguë qui ne dure généralement pas plus de sept jours, ou quatorze jours si la goutte est sévère.
8) Les symptômes de la goutte sont principalement la rougeur, le gonflement, la douleur et la chaleur, ainsi que la douleur dans les articulations, généralement dans les membres inférieurs, tels que les genoux, les chevilles et les orteils, mais aussi dans les membres supérieurs, tels que les articulations des mains.
9) La goutte sévère peut entraîner des déformations au niveau des articulations.
Après avoir souffert de la goutte, il faut manger le moins possible d'aliments riches en purine, manger plus d'aliments pauvres en purine, boire plus d'eau et faire de l'exercice correctement.

J'espère que ma réponse vous aidera !
Si vous ne comprenez pas quelque chose, commentez et envoyez-moi un message privé !
Merci pour la réponse !
Avec l'amélioration du niveau de vie, le nombre de personnes souffrant d'"hyperuricémie" augmente, et donc le nombre de personnes souffrant de "goutte" aussi !


Puis-je savoir si j'ai la goutte sans aller à l'hôpital ? Oui, voir :
"Si vous avez mangé des fruits de mer, bu beaucoup de bière, ou des abats d'animaux, riches en protéines, etc., et qu'au milieu de la nuit, les premières articulations métatarso-phalangiennes sont douloureuses, rouges, gonflées et douloureuses, alors nous devons envisager, en particulier pour les hommes, qu'ils peuvent souffrir de la goutte. Il faut alors envisager, surtout pour les hommes, qu'ils puissent avoir la goutte.
Vous pouvez savoir si vous souffrez de la goutte en examinant les points suivants.
1, L'apparition soudaine de rougeurs, de gonflements, de chaleur et de douleurs localisées dans les articulations distales (par exemple, les articulations des orteils et des doigts) peut rendre une personne apparemment en bonne santé trop douloureuse pour marcher ou porter des chaussures dans un court laps de temps.
2, avant la crise de goutte, il y a généralement des facteurs déclenchants, tels que l'alcoolisme, la consommation de beaucoup d'abats et d'autres aliments contenant beaucoup de purine, ce qui entraîne une forte augmentation du taux d'acide urique dans le sang, vous pouvez ressentir une douleur intense, et le niveau de douleur augmente progressivement, dans les 24 heures pour atteindre le point culminant.

3, 90 % des patients atteints de goutte sont des hommes adultes. L'âge d'apparition de la goutte chez les femmes se situe presque toujours après la ménopause, et la goutte survient rarement chez les femmes ayant des menstruations normales, car les œstrogènes facilitent l'excrétion rénale de l'acide urique.
Lorsque j'ai reçu ce sujet, en fait, mon cœur a refusé d'écrire cet article, parce que pour le traitement médical, le moyen le plus économique ou "aller à l'hôpital", de sorte que vous pouvez éviter moins de détours. Cependant, quand j'y pense, la goutte est une maladie un peu particulière, même si vous allez à l'hôpital, de nombreux patients ont été mal diagnostiqués, et c'est ainsi, alors s'il vous plaît, ne pulvérisez pas vos pairs.
L'étalon-or pour le diagnostic de la goutte est la découverte de cristaux d'acide urique par ponction du liquide du site de la lésion ou de calculs goutteux, ce qui n'est pas effectué en routine en raison de la difficulté d'obtenir le matériel et de sa signification relativement moindre. Si un patient vient me voir avec un pied enflé et que je lui dis que je vais lui faire une ponction, je suppose que c'est le patient lui-même qui est réticent.

C'est pourquoi le diagnostic couramment utilisé de nos jours est généralement un diagnostic empirique posé par les médecins. C'est la raison pour laquelle j'ai écrit cet article, car lorsque vous savez également comment poser un diagnostic, vous êtes en mesure de savoir si vous avez la goutte sans avoir à vous rendre à l'hôpital pour un bilan de santé. D'ailleurs, certains médecins hospitaliers ne sont pas très expérimentés et pensent généralement que pieds gonflés + acide urique élevé = goutte, ce qui est évidemment faux et peut conduire à un mauvais diagnostic ! Parlons ensuite de la sécheresse !
Recommandations pour le diagnostic empirique de la goutte :
1, taux élevé d'acide urique : le taux élevé d'acide urique n'est que l'un des critères empiriques ; un taux élevé d'acide urique associé à un gonflement des pieds n'est pas nécessairement synonyme de goutte ; c'est le critère le plus important auquel il convient de prêter attention !
2. crise d'arthrite unilatérale aiguë ;
3) Atteintes unilatérales de monoarthrite touchant la première articulation métatarso-phalangienne ;
4. crise unilatérale de monoarthrite avec cumul des articulations du tarse : les trois cas ci-dessus se réfèrent à une crise d'arthrite unilatérale, il est donc important de noter qu'une crise aiguë de goutte est essentiellement unilatérale et que le diagnostic de goutte doit être posé avec une prudence particulière si elle est bilatérale ! Si une petite articulation telle que la première articulation métatarso-phalangienne est touchée, la probabilité diagnostique augmente car elle correspond également à une crise d'arthrite aiguë unilatérale, comme expliqué plus loin ;

5. atteinte de la première articulation métatarso-phalangienne : si cette articulation présente une rougeur, un gonflement et une douleur, on considère qu'elle remplit à la fois 2, 3 et 5 des critères susmentionnés et qu'une atteinte de cette articulation a donc une probabilité beaucoup plus élevée d'être diagnostiquée comme une goutte ;
6) L'inflammation atteint son maximum en l'espace d'un jour et peut également se résorber d'elle-même : si la douleur est lente et progressive, la goutte n'est généralement pas envisagée et peut se résorber d'elle-même au bout de quelques jours ;
7, plus d'une crise : la goutte n'a généralement pas qu'une seule crise, si par hasard il s'agit d'une crise, et qu'ensuite il n'y a plus jamais de crise, il ne faut pas non plus considérer la goutte comme une maladie ;
8) La peau des articulations touchées est rouge foncé ;
9) On soupçonne la présence de calculs goutteux, comme indiqué ci-dessous :

10) La goutte doit être une douleur dans les articulations ; certaines douleurs qui ne se manifestent qu'au niveau de la peau, comme la rougeur et le gonflement de l'avant-bras, ne sont certainement pas dans les articulations et peuvent être exclues. Ce diagnostic est toutefois un peu difficile à établir pour le commun des mortels, car il nécessite une grande expérience ;
11. douleur récurrente à l'intérieur des articulations ;
12, exclure l'inflammation aiguë, ce qui est également plus difficile à identifier, mais aussi en l'absence de fièvre et d'autres symptômes à exclure, car la goutte ne provoque généralement pas de fièvre.
Si 6 ou plus de ces 12 critères sont réunis, le diagnostic de goutte est posé !
Si vous aimez mes articles, suivez Dr Orthopaedic Wang pour plus d'articles de qualité mis à jour régulièrement ! Gardez cet article dans vos favoris et faites-le suivre à ceux qui en ont besoin, merci pour votre soutien !
Bonjour, je suis le Dr Qiao Fang du service de rhumatologie et d'immunologie, anciennement médecin généraliste à l'hôpital populaire de la province du Sichuan. Permettez-moi de répondre à cette question.

Lors de la première crise de goutte aiguë, de nombreux patients ne savent pas de quelle maladie ils souffrent, en particulier après un exercice physique intense, une cheville cassée et d'autres lésions traumatiques, les articulations après la crise de goutte froide seront confondues avec un traumatisme, d'autres types de polyarthrite rhumatoïde, etc.

Par conséquent, le diagnostic correct et le diagnostic différentiel de la goutte (par rapport à d'autres maladies présentant des symptômes similaires) sont particulièrement importants.
Quel est le diagnostic standard et précis dans les hôpitaux ?
À ce jour, plusieurs critères de classification (diagnostic) de l'arthrite goutteuse aiguë ont été proposés au niveau international, tels que les [Critères de Rome] publiés en 1963 et les [Critères de New York] publiés en 1966, qui ont tous deux été remplacés en raison de leur sensibilité et de leur spécificité insuffisantes.Les critères de classification (diagnostic) de 1977 de l'American College of Rheumatology sont largement utilisés dans la pratique clinique.

Selon les critères de classification (diagnostic) de l'American Rheumatism Association (ARA).L'arthrite goutteuse aiguë est diagnostiquée lorsque l'une des trois conditions suivantes est remplie :
I. Cristaux spécifiques (urate) dans le liquide synovial ;
Deuxièmement, la présence de cristaux d'urate dans les nodules goutteux des articulations est confirmée par des méthodes chimiques ou par microscopie à lumière polarisée ;
III. posséder au moins 6 des 12 éléments suivants :
- (1) Crise d'arthrite aiguë >1 épisode
- (2) La réponse inflammatoire atteint son maximum en 1 jour.
- (3) Épisodes arthritiques oligo (mono)
- (4) Rougeur visible des articulations
- (5) Douleur ou gonflement de la première articulation métatarso-phalangienne (le gros orteil du pied)
- (6) Atteinte unilatérale de la première articulation métatarso-phalangienne
- (7) Atteinte unilatérale de l'articulation du tarse (point de jonction du pied et de la cheville)
- (8) Calculs de goutte (suspectés ou confirmés)
- (9) Hyperuricémie (2 écarts types au-dessus de la moyenne de la population normale)
- (10) Tuméfaction intra-articulaire asymétrique (confirmée par radiographie)
- (11) Kyste sous-cortical de l'os sans érosion osseuse (confirmé par radiographie)
- (12) Cultures microbiologiques négatives des liquides articulaires à l'apparition de l'arthrite
La précision (sensibilité et spécificité) de ce critère pour le diagnostic de l'arthrite goutteuse aiguë est supérieure à 90 % après des années d'essais portant sur plusieurs années et plusieurs cas.
Comment identifier une crise de goutte après une auto-évaluation précise ?
Comme le montrent les critères de diagnostic de l'ARA ci-dessus, les deux premières affections majeures nécessitent toutes un examen dans un hôpital. Parmi les 12 conditions de la troisième condition [évaluation de l'échelle], les quatre dernières doivent également toutes être examinées dans un hôpital.
但Les 8 premiers peuvent être réalisés par autodiagnostic, et si vous pouvez remplir 6 d'entre eux, vous serez en mesure de déterminer si vous avez une crise de goutte avec une certaine précision.
1. crise d'arthrite aiguë >1
2. la réponse inflammatoire atteint son maximum en l'espace d'un jour
3. épisodes d'oligo(mono)arthrite
4. rougeur visible des articulations
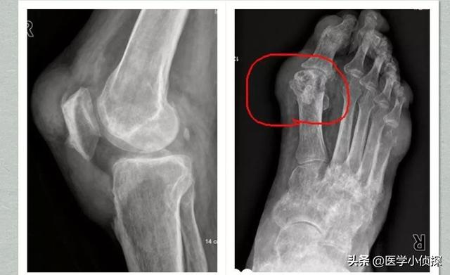
5. douleur ou gonflement de la première articulation métatarso-phalangienne (le gros orteil du pied)

Première articulation métatarso-phalangienne en rouge
6. atteinte unilatérale de la première articulation métatarso-phalangienne
7. atteinte unilatérale de l'articulation du tarse (point de rencontre entre le pied et la cheville)
8. calculs de goutte (suspectés ou confirmés)

Voir également l'article 9 :hyperuricémie(2 écarts types (540umol/L) au-dessus de la moyenne de la population normale). Beaucoup d'entre vous découvriront si vous avez un excès d'acide urique dans le sang lors d'un examen physique. Cet article peut également être évalué de manière réaliste sur la base de ses propres mérites.
Les critères d'autodiagnostic des patients ne sont pas exacts et les visites à l'hôpital sont toujours recommandées.
Bien que l'échelle ci-dessus permette de détecter une crise de goutte aiguë avec une précision de plus de 90 %. Cependant, l'échelleLes patients n'ont pas une expérience clinique suffisante pour évaluer les critères.Par exemple, la position des articulations métatarso-phalangiennes et tarsiennes n'est pas connue, et il n'est pas possible de déterminer si la douleur est sous-cutanée, dans la cavité articulaire ou dans les tissus mous adjacents ; une attention particulière doit être accordée à des caractéristiques telles que les épisodes unicompartimentaux et les épisodes asymétriques.

De nombreux patients ont l'idée préconçue qu'ils sont goutteux, et plus ils y ressemblent selon les critères, plus ils sont susceptibles d'arriver à une conclusion erronée.Et la précision de cette échelle elle-même n'est pas de 100 %, avec un taux positif de 10,9 % pour les diagnostics erronés de pseudogoutte et de 1,3 à 2,8 % pour les autres patients ne souffrant pas d'arthrite goutteuse.
Il est donc recommandé aux patients présentant des symptômes similaires à ceux de la goutte aiguë de consulter un rhumatologue professionnel. Avec l'aide d'instruments de test professionnels, les résultats seront plus précis ; grâce au diagnostic et à l'analyse du médecin, l'utilisation ultérieure de médicaments sera également plus sûre.
Il n'est pas facile de les rassembler et de les publier ! Si vous êtes d'accord avec mon point de vue, veuillez m'aider à exprimer une préoccupation ou à faire un éloge ; si vous avez un point de vue différent, vous êtes également invité à laisser un message ci-dessous, nous pourrons en discuter ensemble ; vous pouvez également être transmis à vos amis autour du besoin ; merci !
Ces questions et réponses proviennent des utilisateurs du site, elles ne représentent pas la position du site, s'il y a une infraction, veuillez contacter l'administrateur pour la supprimer.