1. page d'accueil
  2. Détails de la question

Quel est le meilleur programme de contrôle médical à effectuer si l'on craint d'avoir un cancer ?

Quel est le meilleur programme de contrôle médical à effectuer si l'on craint d'avoir un cancer ?

Merci de m'avoir invité à donner mon avis de gastro-entérologue !

De nos jours, de nombreuses personnes sont atteintes d'un cancer, en particulier les célébrités, qui se propage immédiatement, ce qui fait que beaucoup de gens ont peur du cancer. De plus, lorsqu'ils se sentent parfois mal à l'aise et qu'ils font des recherches sur Internet, ils découvrent que de nombreux symptômes sont similaires aux manifestations cliniques du cancer, ce qui les rend encore plus effrayés et inquiets.

Lors d'une gastro-entéroscopie à la clinique, nous avons rencontré cette situation : un membre de la famille a découvert un cancer de l'estomac, et toute la famille est venue pour un examen physique en vue d'une gastro-entéroscopie. Un de mes amis, avec un groupe d'amis qui jouent ensemble, fument et boivent souvent ensemble et mangent des collations tard dans la nuit, très heureux, mais l'un d'eux avait du sang dans les selles et est venu faire une coloscopie pour découvrir un cancer du côlon, et alors un groupe d'amis a été effrayé à mort parce qu'ils fument souvent ensemble, boivent ensemble, mangent des collations tard dans la nuit et se couchent tard, et par conséquent, tous les amis qui jouent ensemble ont fait la queue pour une gastro-entéroscopie pendant un mois, ce qui n'est bien sûr rien de mal, au moins pour vérifier que nous sommes tous soulagés et que nous n'avons pas à avoir peur toute la journée. Je n'ai pas besoin d'avoir peur toute la journée. Heureusement, les résultats ne posent pas de problème majeur.

Revenons à la question posée par le sujet :

Si vous avez vraiment peur du cancer, vous devriez vous rendre dans un hôpital relativement grand, au moins un hôpital de deuxième classe ou plus, pour y subir un examen physique complet. L'examen physique complet comprend non seulement une prise de sang, mais aussi l'examen de l'équipement médical des services cliniques auxiliaires, tels que l'échographie de l'ensemble de l'estomac : y compris l'échographie du foie, de la vésicule biliaire, du pancréas, de la rate, des deux reins, de la prostate, de la glande thyroïde, etc. Gastroscopie et coloscopie. Ne pas faire de radiographie du thorax si vous avez fumé, il est préférable de faire un scanner du thorax, et pour les femmes, cela comprend également le sein, l'utérus et les ovaires.

Pourquoi dois-je subir une gastro-entérographie physique ?

Les cancers de l'œsophage et du tractus gastro-intestinal à un stade précoce ne peuvent être détectés que par gastro-entéroscopie, alors que d'autres examens tels que l'échographie, le scanner, l'IRM, etc. ne permettent pas de détecter les cancers de l'œsophage et du tractus gastro-intestinal à un stade précoce ; c'est pourquoi les examens médicaux complets de routine devraient également inclure une gastro-entéroscopie.

Par conséquent, si vous souhaitez subir un examen physique, il est préférable d'effectuer une série complète de tests sanguins + un examen gastro-intestinal + une échographie abdominale complète + une tomodensitométrie des poumons. Si vous êtes une femme, il convient également d'effectuer un examen de l'utérus, des ovaires, des seins et d'autres tests, de sorte que la série complète de tests soit estimée à environ 3 000, et si l'examen est correct, il est presque possible d'exclure plus de 90 % des cancers.

Bien sûr, en cas de difficulté, il est préférable de laisser le clinicien évaluer la situation en premier lieu et de se concentrer sur l'examen de certains organes. Par exemple, si vous souffrez de douleurs épigastriques récurrentes, vérifiez que le gastro-entéroscope ne pose pas de problème, puis il peut être nécessaire d'examiner le scanner ou l'IRM de l'épigastre pour exclure les problèmes de foie, de vésicule biliaire et de pancréas. C'est probablement le cas parce que le pancréas n'apparaît pas très clairement à l'échographie.

N'hésitez pas à suivre le site et à laisser un commentaire pour poser vos questions !

Si les trois tests suivants sont effectués et s'ils sont tous bons, vous pouvez en principe exclure un cancer de l'abdomen et ne pas vous lancer dans d'autres problèmes coûteux.

1) Scanner de l'ensemble de l'abdomen + tomodensitométrie améliorée

De nombreuses personnes ne savent pas que le scanner abdominal est également divisé en deux catégories : simple et amélioré. Quelle est la différence ? Un scanner de l'abdomen entier est bon marché : quelques centaines de dollars pour une vue d'ensemble. Pour plus de détails, vous devez opter pour une tomodensitométrie de contraste et de rehaussement, c'est-à-dire un médicament injecté dans les vaisseaux sanguins pendant l'examen, de sorte que les vaisseaux artériels et veineux sont visualisés dans l'image tomodensitométrique rehaussée. Comme tous les organes abdominaux sont irrigués par des vaisseaux sanguins, chaque organe peut être vu plus clairement qu'avec un scanner simple, qui est également beaucoup plus coûteux.

Par exemple, je reçois un patient en consultation externe. Le patient passe d'abord une échographie qui révèle une masse sur le foie qui ne peut être caractérisée. À ce stade, si l'on ne fait qu'un simple scanner, il ne sera peut-être pas possible d'aller déterminer la nature de la masse. Avec un scanner + rehaussement, je peux observer l'aspect de la masse sur le scanner sans contraste. Avec contraste, je peux observer l'aspect de la masse lorsque les vaisseaux sanguins du foie sont remplis de produit de contraste. Sur la base des caractéristiques d'imagerie du cancer du foie, je peux ensuite déterminer si la masse est un cancer du foie.

En combinant la tomodensitométrie simple et la tomodensitométrie améliorée, les tumeurs de l'abdomen peuvent être visualisées de manière dynamique. Les organes de l'abdomen sont divisés en organes pleins et organes creux, et le scanner est plus performant pour les organes pleins de l'estomac (par exemple le foie, le pancréas, la rate, etc.) et moins performant pour les organes creux (tractus gastro-intestinal, uretères, etc.). C'est pourquoi deux autres examens doivent être ajoutés : la gastroscopie et la coloscopie.

2.胃镜

L'échographie ne permet pas de voir clairement l'estomac car les gaz présents dans l'estomac perturbent le jugement du médecin. La tomodensitométrie permet d'observer principalement la paroi extérieure de l'estomac. C'est à cette époque que la gastroscopie a été créée pour permettre aux médecins d'examiner la paroi interne de l'estomac en vision directe.

Une excroissance sur l'estomac peut être vue clairement sous un gastroscope. Ensuite, une petite partie du tissu de la masse est envoyée au service de pathologie pour une biopsie, qui peut déterminer s'il s'agit d'un cancer de l'estomac ou non. S'il s'agit d'un cancer de l'estomac, les résultats de la gastroscopie et de la tomodensitométrie permettent de déterminer le stade clinique, c'est-à-dire s'il s'agit d'un cancer de l'estomac précoce ou d'un cancer de l'estomac moyen ou tardif, afin d'orienter le traitement ultérieur.

3. entéroscopie

Une coloscopie fonctionne de la même manière qu'un gastroscope et permet d'examiner les maladies du côlon (également connu sous le nom de gros intestin) sous un angle de vue direct. S'il s'agit d'une excroissance sur la paroi externe du côlon, un scanner peut la voir clairement. S'il s'agit d'une tumeur sur la paroi interne du côlon, une coloscopie est nécessaire. La coloscopie est effectuée à partir du rectum et du côlon sigmoïde, puis du côlon descendant et du côlon transverse, et enfin du côlon ascendant et du cæcum. Elle examine également l'ouverture de l'appendice et la fin de l'intestin grêle. Là encore, une biopsie est pratiquée pour l'examen anatomopathologique et les résultats de l'examen déterminent la nature bénigne ou maligne de la tumeur.

Ce sont les "trois axes" du chirurgien général. Après les trois axes, si aucune tumeur n'est trouvée, le cancer de l'abdomen peut être exclu.

Pourquoi dites-vous "largement exclu" ?

Tout d'abord, les tumeurs de l'intestin grêle ne peuvent pas encore être traitées cliniquement. Bien qu'il existe des scopes de l'intestin grêle et des endoscopes à capsule, les résultats ne sont pas très satisfaisants.

Deuxièmement, les petites tumeurs du ventre, inférieures à 5 mm par exemple, ne sont parfois pas visibles.

Troisièmement, pour les tumeurs gynécologiques et urologiques, il est parfois nécessaire de s'adresser à un spécialiste pour trouver la tumeur.

En résumé, le scanner de l'abdomen entier + la tomodensitométrie améliorée, la gastroscopie et l'entéroscopie sont les moyens les plus fiables pour détecter les tumeurs abdominales à l'heure actuelle.

Je suis le Dr Cheng, chirurgien généraliste. Si ma réponse vous a été utile, vous pouvez l'aimer. Pour en savoir plus sur la médecine, cliquez pour me suivre.

Pourquoi certaines personnes passent-elles des examens médicaux tous les ans, mais perdent encore la chance d'être opérées lorsqu'un cancer est détecté ? Lorsque nous passons un examen médical, s'il est organisé par l'unité, il comprend des analyses de sang, d'urine et de fèces, des fonctions hépatiques et rénales, une échographie abdominale, un électrocardiogramme, ce sont les tests les plus élémentaires, alors ces tests peuvent-ils détecter le cancer et peuvent-ils détecter le cancer à un stade précoce ? En fait, pas vraiment.

Mais il n'est pas possible d'aller à l'hôpital pour faire tous les tests, d'une part, le coût est trop élevé, d'autre part, vous souffrez trop, vous consommez plus de radiations. Si vous devez faire tous les tests sanguins à l'hôpital, on estime que vous aurez un choc hémorragique, ci-dessous je dis les tests les plus appropriés pour les différents cancers et ceux qui ont besoin de le faire, il est recommandé de collecter. Vos commentaires sont mon plus grand soutien.

1. la plus grande peur du cancer du poumonCT thoracique à faible dose

Les rapports d'examen physique de la plupart des gens sont des radiographies du thorax, mais les experts et les lignes directrices privilégient le dépistage du cancer du poumon par tomodensitométrie à faible dose, qui permet de détecter le cancer du poumon à un stade précoce, et le rayonnement de la tomodensitométrie à faible dose est plus faible que le rayonnement de la tomodensitométrie ordinaire, bien qu'il y ait une certaine quantité de rayonnement, mais les avantages globaux l'emportent sur les inconvénients. Il est recommandé aux personnes suivantes de passer un scanner thoracique une fois par an.

1. si le patient est âgé de plus de 40 ans et fume depuis plus de 20 ans ;

2. des antécédents familiaux de tumeurs malignes ;

3. les fumeurs passifs exposés à long terme à la fumée secondaire ;

4. les personnes souffrant d'une maladie pulmonaire obstructive chronique ou d'une fibrose pulmonaire ;

5. les personnes qui ont été exposées à des fumées de cuisson pendant une longue période ;

6. professions à haut risque, exposition à l'amiante, à l'uranium, etc ;

2, le cancer de l'estomac, le cancer de l'œsophage sont les plus redoutésgastroscopie

Si vous avez des maux d'estomac et que vous soupçonnez un problème au niveau de l'estomac, une échographie, une imagerie ou un film n'est pas aussi efficace qu'une gastroscopie. En effet, notre tube digestif est une cavité. Comme si vous vouliez savoir ce qu'il y a à l'intérieur d'une boîte, le meilleur moyen est d'ouvrir la boîte, mais ouvrir la boîte revient à opérer notre corps, le coût est trop élevé, cette fois-ci, à travers les fissures de la boîte, bourrée d'une lumière avec une caméra, vous pouvez voir clairement ce qu'il y a à l'intérieur de la boîte, la boîte est propre à l'intérieur de la paroi, l'échographie, la radiographie, c'est comme se tenir à l'extérieur et deviner ce qui se passe à l'intérieur, si la boîte est pourrie à l'extérieur, le cancer a perdu toute chance d'être opéré. Si l'extérieur de la boîte est pourri, le cancer a perdu toute chance d'être opéré. La gastroscopie de dépistage est recommandée pour les groupes de personnes suivants, âgés de plus de 40 ans et présentant l'une des caractéristiques suivantes :

1. les personnes vivant dans des zones à forte incidence de cancer de l'estomac (les comtés de Linqu dans la province de Shandong, de Zhuanghe dans la province de Liaoning et de Changle dans la province de Fujian sont les plus représentatifs, suivis par les régions de Gansu, Qinghai, Ningxia, Jilin, Jiangsu, Shanghai et d'autres parties de la région) ; les habitants de ces régions devraient être sensibilisés à la prévention du cancer de l'estomac et subir des gastroscopies et d'autres examens pertinents chaque année).

2. l'infection par Helicobacter pylori (Hp) ;

3. a déjà souffert de gastrite chronique atrophique, d'ulcère gastrique, de polypes gastriques, etc ;

4. les parents au premier degré des patients atteints de cancer de l'estomac ; les parents au premier degré comprennent les parents, les frères et sœurs et les enfants.

5. présence d'autres facteurs de risque de cancer gastrique (par exemple, consommation de sel en grande quantité, alimentation marinée, tabagisme, forte consommation d'alcool, etc.)

Et bien que l'endoscopie par capsule souffre moins, l'endoscopie par capsule ne peut pas remplacer une gastroscopie.

3, Peur du cancer du côlonPrise d'empreintes digitales et coloscopie.

Une coloscopie est recommandée pour les groupes de personnes suivants :

1. sang inexpliqué dans les selles.

2. des selles anormales, une diarrhée chronique ou une constipation prolongée.

3. une douleur dans le bas-ventre ou une grosseur peut être ressentie.

4) Depuis peu, les habitudes intestinales sont différentes de ce qu'elles étaient auparavant.

5. une anémie ou un amaigrissement inexpliqués.

6. avoir des antécédents familiaux de cancer colorectal.

7. les patients traités par endoscopie du côlon après une chirurgie du côlon.

Il est recommandé aux personnes susmentionnées de subir régulièrement des coloscopies sous la supervision d'un médecin.

Il est conseillé aux personnes âgées de plus de 50 ans de passer une fois par an une analyse de routine des selles et une coloscopie. Le test du doigt anal, également connu sous le nom de "popper", est un test embarrassant, mais bon marché et abordable, qui permet de détecter le cancer du rectum.

4. Les personnes atteintes d'un cancer du foie ont peur de faire une prise de sang pour l'AFP et l'échographie du foie.

Chez les patients atteints d'hépatite B, d'hépatite C, de cirrhose, d'antécédents familiaux de cancer du foie et d'autres maladies auto-immunes du foie, il est recommandé de procéder tous les six mois à un dosage sanguin de l'AFP (alpha-fœtoprotéine) et à une échographie abdominale.

5, Cancer du sein Peur des ultrasons et des mammographies.

L'échographie est recommandée pour les femmes de moins de 40 ans et le molybdène pour celles de plus de 40 ans.

La femme moyenne de moins de 40 ans peut procéder à un auto-examen, c'est-à-dire observer les seins eux-mêmes pour détecter les bosses, les débordements, les changements d'apparence, etc. et consulter rapidement un médecin en cas de problème.

Les mammographies sont recommandées tous les ans pour les femmes de plus de 40 ans, ou tous les deux ans s'il n'y a pas de problème pendant plusieurs années consécutives.

En cas de seins denses, c'est-à-dire avec plus de glandes, demandez une mammographie.

6, Le cancer du col de l'utérus craint le plus le TCT (cytologie cervicale) et le test HPV.

Le cancer du col de l'utérus est un type de cancer plus doux car il existe maintenant un vaccin pour le prévenir et c'est le seul cancer qui peut être prévenu par une injection.

La cytologie cervicale est effectuée tous les 3 ans chez les femmes âgées de 21 à 29 ans.

Femmes âgées de 30 à 65 ans avec dépistage cytologique du col de l'utérus tous les 3 ans ou test HPV tous les 5 ans ou cytologie du col de l'utérus et test HPV tous les 5 ans.

Les femmes âgées de plus de 65 ans qui ont déjà subi un dépistage régulier et dont les résultats ont été négatifs n'ont pas besoin d'être dépistées.

Votre examen médical comprend-il les moyens d'examen susmentionnés ?? Nous espérons que chaque personne choisira la visite médicale la plus adaptée à sa situation, ce qui constitue une visite médicale efficace !

Deuxièmement, si votre examen physique révèle une gastrite chronique superficielle, des kystes hépatiques (moins de 5 cm), des battements cardiaques prématurés, des éperons osseux, des foyers calcifiés dans le foie, un épanchement pelvien de moins de 3 cm, des fibromes utérins (moins de 5 cm), une hypertrophie mammaire, une érosion cervicale et des nodules thyroïdiens, et qu'il se trouve que vous ne présentez aucun symptôme, vous n'avez pas à vous préoccuper de ce qui précède et il vous suffit de vous soumettre à un examen régulier conformément aux instructions de votre médecin.

Si vous souhaitez en savoir plus sur les examens médicaux ou sur ce que vous ne pouvez pas lire dans un rapport médical, n'hésitez pas à le faire dans la section des commentaires !

Suivez-moi pour d'autres conseils de santé !

Bonjour, je suis le Dr Knowles Blue.

Lorsqu'il est question de cancer, de nombreuses personnes sont prises de panique et de frissons, car elles ont plus ou moins été en contact avec des membres de leur famille, des amis et des collègues atteints d'un cancer ; par exemple, il y a quelques mois, elles ont passé un bon dîner ensemble, et récemment, elles ont appris que la personne n'était plus en vie. Bien qu'il existe de nombreux traitements pour diverses tumeurs malignes, de nombreuses personnes découvrent des tumeurs malignes à un stade avancé et l'effet du traitement est très faible. La détection précoce des tumeurs malignes est donc cruciale pour profiter du meilleur moment pour le traitement. Comment détecter une tumeur à un stade précoce ? De nombreuses personnes découvrent des tumeurs malignes à un stade avancé sans aucun symptôme. C'est vrai, les bilans de santé sont importants. Notre examen physique quotidien comprend également tous les autres aspects de l'examen. Aujourd'hui, nous parlerons séparément de la détection des tumeurs malignes et des tests à effectuer. Compte tenu de l'incidence élevée de ces tumeurs à l'heure actuelle, il n'est pas nécessaire que tout le monde effectue ces tests. Pour ceux qui présentent des facteurs de risque élevés, vous pouvez effectuer certains des tests appropriés de manière sélective.

1. le cancer du poumon

(1) Le cancer du poumon est le cancer dont le taux d'incidence est le plus élevé en Chine.Les causes du cancer du poumon ne sont pas particulièrement bien comprises. Les causes du cancer du poumon ne sont pas encore particulièrement claires. Elles comprennent au moins le tabagisme, la pollution de l'air, l'exposition professionnelle, les radiations ionisantes, l'hérédité, les maladies pulmonaires chroniques, le régime alimentaire, etc. En ce qui concerne le cancer du poumon, il est toujours important d'insister encore et encore sur la nécessité d'arrêter de fumer, d'arrêter de fumer, d'arrêter de fumer, pour soi-même et pour sa famille, et le tabagisme passif est également très nocif.

(2) Le symptôme le plus courant du cancer du poumon est une toux sèche irritante ou la présence de sang dans les expectorations.Parfois, les symptômes de la toux ne sont pas si typiques, et il existe de très nombreuses maladies qui provoquent la toux, et même certaines personnes ne présentent aucun symptôme, de sorte que de nombreuses personnes découvrent qu'elles sont déjà à un stade moyen ou avancé du cancer du poumon. L'examen médical le plus courant pour tout le monde dans la vie quotidienne est la radiographie pulmonaire, y compris l'examen médical des employés dans nos hôpitaux. En fait, la radiographie pulmonaire est moins utile pour détecter un cancer du poumon à un stade précoce.Ainsi, pour certaines personnes plus à risque et plus susceptibles de développer un cancer du poumon, il est préférable d'effectuer un scanner thoracique à faible dose afin de pouvoir détecter un cancer du poumon au stade précoce de moins de 1 cm.Nous savons tous que l'examen tomodensitométrique est irradiant et que l'irradiation est l'un des facteurs du cancer du poumon, alors pourquoi continuer à recommander l'examen tomodensitométrique ? Il s'agit ici de la tomodensitométrie thoracique à faible dose, dont la dose de radiation est relativement faible, et qui peut répondre aux exigences du dépistage préliminaire, pour les groupes à haut risque, les avantages l'emportent sur les inconvénients, faire une tomodensitométrie juste pour recevoir une dose relativement faible de radiation, comparé à l'omission de la découverte d'un cancer du poumon à un stade précoce, ce qui est une grande perte ? Pensez-y.

(3) Qui en a besoin ? Les groupes de personnes suivants présentent un risque élevé. Âge supérieur à 40 ans, tabagisme depuis plus de 20 ans ; antécédents familiaux de tumeurs malignes ; exposition prolongée au tabagisme passif ; patients atteints de broncho-pneumopathie chronique obstructive (BPCO) ou de fibrose pulmonaire ; personnes ayant été exposées à des fumées de cuisine pendant une longue période ; expositions professionnelles, exposition à l'amiante, à l'uranium et à d'autres substances.

2. le cancer de l'estomac

(1) L'apparition du cancer gastrique est multifactorielle et la recherche suggère qu'il est lié à l'alimentation, à l'infection par Helicobacter pylori, aux lésions précancéreuses, à la génétique et à d'autres facteurs. Les cornichons, les aliments marinés et fumés et les aliments moisis peuvent augmenter le risque de cancer gastrique.Les personnes dont les parents sont atteints d'un cancer de l'estomac ont 2 à 3 fois plus de risques de développer un cancer de l'estomac que les personnes ordinaires. Certaines lésions précancéreuses, telles que la gastrite atrophique chronique, la gastrite atrophique avec hyperplasie épithéliale intestinale, peuvent devenir cancéreuses sous l'action de certains facteurs.

(2) Il n'y a pas de différence évidente entre les premiers symptômes du cancer de l'estomac et ceux de la gastrite commune et de l'ulcère gastrique, qui se limitent à des douleurs d'estomac, à une gêne dans la partie supérieure de l'abdomen, voire à l'absence de tout symptôme. Le moyen le plus direct et le plus précis de détecter un cancer de l'estomac est de procéder à une gastroscopie.Un gastroscope est inséré par la bouche dans un tube muni d'une caméra haute définition à l'avant et acheminé jusqu'à l'estomac, ce qui permet de voir l'intérieur de l'estomac.

3. le cancer colorectal

(1) L'incidence du cancer du côlon est liée à des facteurs génétiques, aux habitudes alimentaires, etc. Un régime pauvre en fibres et riche en protéines, des aliments frits et cuits au four sont des facteurs de risque, et le tabagisme est également un facteur de risque pour le cancer du côlon. De nombreux cancers de l'intestin se transforment en adénomes.

(2) Les symptômes du cancer du côlon comprennent des douleurs abdominales, des diarrhées, des selles noires, une constipation, une modification des habitudes intestinales, une modification de la nature et de la forme des selles et un amaigrissement.

(3) Pour le dépistage du cancer du côlon et du cancer du rectum, la coloscopie est le test le plus important.La gastroscopie ressemble à un long tube muni d'une caméra haute définition à l'extrémité avant, allant de l'anus au rectum, puis au rectum, au côlon sigmoïde, au côlon descendant, au côlon transverse et au côlon ascendant. S'il n'y a pas de cancer de l'intestin, un coup d'œil suffit pour le savoir, le principe étant que l'intestin est bien préparé, sinon toutes les matières fécales ne sont pas clairement visibles.

4、Cancer de l'œsophage

(1) Le symptôme typique du cancer de l'œsophage est la sensation de blocage lors de la déglutition, qui se manifeste au début par une sensation de blocage lors de l'ingestion d'aliments durs et grumeleux, et qui évolue progressivement vers une sensation de blocage lors de l'ingestion d'aliments semi-liquides. Aux stades intermédiaire et avancé, il peut se manifester par des douleurs rétrosternales, une dysphagie, un amaigrissement, etc.

(2) Le test le plus efficace et le plus pratique est l'endoscopie, qui est en fait la même chose que la gastroscopie, car la gastroscopie passe par l'œsophage, ce qui permet également de voir clairement l'œsophage et de déterminer s'il y a des lésions.

5. le foie, la vésicule biliaire, le pancréas, les reins, l'uretère, la vessie, la prostate, l'utérus, les ovaires, la glande thyroïde

Ces organes sont regroupés parce qu'ils sont tous très sensibles aux ultrasons, ce qui signifie qu'ils peuvent essentiellement être clarifiés par ultrasons. L'échographie est non invasive, sans radiation et très bonne, mais elle exige un haut niveau de diagnostic de la part de l'échographiste, qui peut varier considérablement d'un médecin à l'autre.

6. cancer du sein

La glande mammaire est un organe superficiel et les femmes sont tout à fait capables de la toucher elles-mêmes pour voir s'il y a des nodules particuliers. Pour la plupart des personnes, une échographie mammaire suffit à l'examen physique, tandis que pour celles qui présentent des facteurs de risque élevés, une mammographie doit être effectuée. Les mammographies sont plus précises que les échographies, mais comme elles sont radioactives, elles ne sont pas recommandées pour tout le monde et si l'échographie révèle un problème, vous pouvez envisager de passer une autre mammographie.

7. cancer du col de l'utérus

Le développement du cancer du col de l'utérus est étroitement lié à l'infection par le papillomavirus humain, et le vaccin contre le papillomavirus, qui est devenu très populaire ces dernières années, est utilisé pour prévenir le cancer du col de l'utérus. Alors, comment le détecter à un stade précoce ? Il faut qu'un gynécologue procède à un examen gynécologique, à une observation directe ou à la conservation d'un échantillon de cellules du col de l'utérus.

8. les tumeurs cérébrales

Les tumeurs cérébrales sont mieux détectées par un scanner de la tête ; l'échographie et les radiographies simples ne sont pas fiables. Toutefois, comme les tumeurs cérébrales sont relativement rares, l'examen physique de la plupart des gens ne permet pas de les dépister.

9. tumeurs malignes du système hématologique

Cette tumeur est souvent négligée, mais comme j'ai vu beaucoup trop de patients dans des services spécialisés en hémato-oncologie, il est important de la mentionner. Par exemple, les leucémies, les syndromes myélodysplasiques, les anémies aplasiques, etc. Contrairement aux examens d'imagerie mentionnés plus haut, une analyse sanguine de routine peut donner beaucoup d'indications à condition de faire une prise de sang, qui est relativement peu coûteuse, de l'ordre de 35 à 40 dollars.

En conclusion, les tumeurs malignes sont des maladies graves, avec différents symptômes et différentes méthodes d'examen pour différentes parties de la tumeur, dont certaines sont faciles à traiter et ont un meilleur pronostic, tandis que d'autres sont difficiles à traiter et ont un pronostic plus défavorable. Dans l'ensemble, pour les tumeurs malignes, une détection et un traitement précoces sont nettement préférables. Le programme d'examen physique ne peut que vérifier la taille de certaines tumeurs, il est impossible de les vérifier toutes, certaines tumeurs malignes dont vous n'avez peut-être pas entendu parler, comme le cancer de la peau, le cancer des gencives, le cancer du larynx, le cancer de la langue, le cancer des os, le cancer du nasopharynx, le cancer du thymus ......, il y a des tumeurs malignes du cœur, c'est incroyable, n'est-ce pas ?

Suivez Dr Know Your Heart Blue pour en savoir plus sur le cœur.

Le cancer est la deuxième cause de décès dans notre pays, et être atteint d'un cancer signifie souvent perdre son patrimoine, ce qu'il faut craindre. Par exemple, le taux de survie à cinq ans d'un cancer du poumon avancé n'est que d'environ 20 %, alors qu'un cancer du poumon à un stade précoce, qui peut être enlevé chirurgicalement, a un taux de survie à cinq ans de plus de 90 %. Quels tests pouvez-vous donc effectuer si vous craignez d'avoir un cancer ?

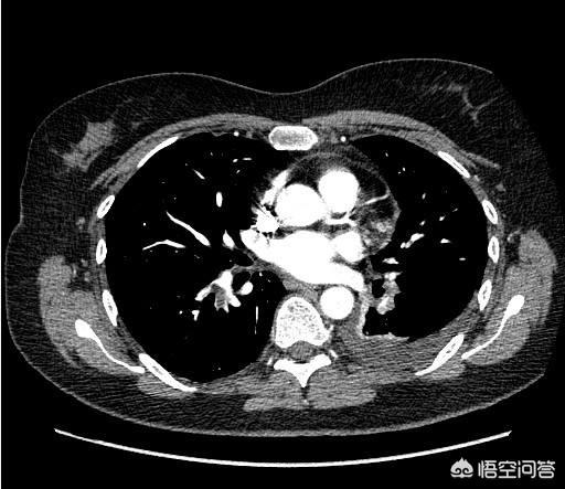
I. Tomodensitométrie hélicoïdale à faible dose du thorax

  • Ce scanner spiralé à faible dose est principalement utilisé pour le dépistage du cancer du poumon. Le cancer du poumon est le cancer dont l'incidence et le taux de mortalité sont les plus élevés dans notre pays, et l'examen physique ne peut certainement pas passer à côté des poumons.
  • La tomodensitométrie spiralée à faible dose est préférée pour le dépistage du cancer du poumon en raison de la faible dose de radiation par rapport à la tomodensitométrie conventionnelle.
  • De nos jours, le nombre de personnes qui découvrent de petits nodules dans leurs poumons est en augmentation, ce qui peut s'expliquer par l'augmentation du nombre de personnes qui se soumettent à des examens médicaux. Par rapport aux personnes qui ne passent pas d'examens médicaux, les examens médicaux permettent de détecter les nodules pulmonaires à temps, puis de les examiner régulièrement. Si le médecin soupçonne que les nodules pulmonaires peuvent être malins, une intervention chirurgicale peut être pratiquée en temps utile.

II. échographie

L'échographie couleur est également efficace, n'a pas d'effet sur le corps et n'est pas onéreuse.

Pour les hommes, les éléments suivants doivent être vérifiés :

  • Échographie du foie, de la vésicule biliaire, du pancréas, des deux reins, de la vessie, de la prostate et de la thyroïde.
  • Les tests ci-dessus permettent de détecter le cancer du foie, de la vésicule biliaire, du pancréas, du rein, de la vessie, de la prostate et de la thyroïde.
  • Les tests susmentionnés permettent également de détecter certains facteurs susceptibles d'entraîner un cancer et d'attirer l'attention sur eux à l'avance. Par exemple, l'échographie permet de détecter les polypes de la vésicule biliaire et les nodules thyroïdiens, qui doivent être examinés régulièrement.

Pour les femmes, les points suivants doivent être vérifiés :

  • Échographie du foie, de la vésicule biliaire, du pancréas, des deux reins, de l'utérus et de ses annexes, de la thyroïde et du sein.
  • Le cancer du sein est le cancer le plus répandu chez les femmes, tandis que le cancer du col de l'utérus, le cancer de l'endomètre et le cancer de la thyroïde sont tous des cancers très répandus chez les femmes.

(iii) l'endoscope digestif

  • L'endoscopie gastro-intestinale comprend la gastroscopie et la coloscopie, qui permettent de détecter le cancer de l'estomac, le cancer colorectal et intestinal, ainsi que le cancer de l'œsophage.
  • Le cancer de l'estomac est le deuxième cancer le plus fréquent chez l'homme et le cinquième chez la femme ; le cancer colorectal est le quatrième cancer le plus fréquent chez l'homme et le troisième chez la femme.
  • Le cancer de l'œsophage a la cinquième incidence la plus élevée chez les hommes et la neuvième chez les femmes.

IV. tests des marqueurs tumoraux

  • Les marqueurs tumoraux sont des tests sanguins qui, s'ils sont anormalement élevés, peuvent indiquer la présence de certaines tumeurs.
  • Par exemple, un taux élevé d'antigène carcinoembryonnaire (ACE) peut indiquer un cancer colorectal, pancréatique, de l'estomac ou du sein. Il ne s'agit pas d'une indication unique, mais elle permet au moins d'orienter les examens complémentaires.

V. Frottis cervicaux féminins

  • Les patientes peuvent également subir des frottis cervicaux pour la cytologie afin de dépister le cancer du col de l'utérus.

VI. autres

  • Les grains de beauté situés dans des zones qui frottent facilement, comme la plante des pieds, peuvent être examinés par un médecin afin de déterminer s'ils sont susceptibles de se transformer en mélanome.
  • Les tumeurs cérébrales peuvent également se développer dans le cerveau, et un scanner ou une IRM du cerveau peuvent également être effectués.
  • Certaines personnes, plus anxieuses, peuvent simplement soupçonner que quelque chose ne va pas dans leur corps, même si elles ont passé un examen médical qui s'est avéré positif. Mais l'examen physique ne permet pas de vérifier l'ensemble du corps. Pour ces personnes, il suffit de faire un pas en avant et d'effectuer un examen PET-CT ou PET-MR.

Résumé :

  • Le pronostic d'un cancer à un stade précoce et d'un cancer à un stade avancé est très différent. Dans l'intérêt de la santé, il est conseillé d'effectuer des examens médicaux après 40 ans. En cas d'antécédents familiaux de cancer, l'âge du contrôle médical devrait être encore plus avancé.

Peur du cancer, se rendre à l'hôpital pour un examen médical : ces éléments sont-ils meilleurs ?

Il y a tellement de cancers à l'heure actuelle que nous ne pouvons passer des examens médicaux que pour effectuer un dépistage préliminaire des cancers dont le taux d'incidence est relativement élevé à l'heure actuelle.

Les tests effectués sont encore des tests de routine :

1, les trois principales routines. Les analyses de sang, d'urine et de selles. Nous ne devons pas mépriser ces trois examens ordinaires, car leurs résultats permettent de dépister de nombreux cancers. Les analyses de sang permettent de détecter la leucémie et de nombreuses tumeurs malignes causées par l'anémie. L'analyse d'urine permet de détecter les tumeurs des voies urinaires. L'analyse des selles permet de dépister les tumeurs de l'appareil digestif.

2, la prise de films. Il permet de dépister le cancer du poumon, l'ostéosarcome, les tumeurs du canal rachidien, ainsi que les métastases osseuses dans certains cancers.

3. Échographie. Il peut développer des cancers de nombreux organes parenchymateux dans la cavité abdominale, tels que le cancer du pancréas, le cancer du foie, le cancer de la vésicule biliaire, le cancer des voies biliaires, le cancer de l'utérus en gynécologie, le cancer de l'ovaire et le cancer de la thyroïde au niveau du cou.

4, ainsi que des tests de routine des fonctions hépatiques et rénales, une biopsie à l'aiguille pour le cancer du col de l'utérus et le dépistage de marqueurs tumoraux tels que l'AFP dans le foie.

Cependant, en tant que jeune médecin légiste, sans aucune gêne physique, il est recommandé d'effectuer ces tests de routine dans un premier temps, et de procéder à d'autres tests en cas de problème, et il n'est absolument pas nécessaire de se rendre à l'hôpital dès que le scanner, l'IRM, l'imagerie et d'autres tests non conventionnels ont été effectués.


C'est une question intéressante car il est indéniable que l'incidence du cancer (il est en fait plus professionnel de l'appeler tumeur maligne) augmente et que de plus en plus de personnes meurent du cancer. Par conséquent, tout le monde a peur d'avoir un cancer. Ainsi, comme le titre le suggère, quels tests ciblés devrions-nous effectuer lors des examens médicaux pour détecter le cancer à un stade précoce ?

Tout d'abord, je pense que cette réponse doit varier d'une personne à l'autre. Par exemple, les personnes âgées de plus de 40 ans ou les fumeurs devraient d'abord opter pour un scanner des poumons afin de dépister le cancer du poumon. Et si vous avez des antécédents familiaux de cancer de l'estomac, vous devriez envisager une gastroscopie pour dépister la possibilité d'un cancer de l'estomac. Enfin, les personnes qui vivent dans des régions où l'incidence du cancer de l'œsophage est élevée, comme le comté de Shibi dans la province de Hebei, doivent être examinées pour détecter d'éventuels problèmes d'œsophage.

Deuxièmement, je pense que nous devrions également tenir compte de l'incidence des maladies. Par exemple, dans notre pays, le cancer du poumon, le cancer de la thyroïde, le cancer de la prostate, le cancer du foie, le cancer de l'estomac et le cancer colorectal font partie des tumeurs malignes les plus courantes, de sorte que le scanner des poumons, l'échographie de la glande thyroïde et l'échographie de la prostate sont quelques-uns des éléments à prendre en considération.

Bien sûr, nous ne pouvons pas ignorer l'examen physique et les tests de laboratoire, qui sont beaucoup plus faciles et pratiques à réaliser. En particulier, l'examen physique du clinicien peut vous aider à détecter certains problèmes et à effectuer ensuite des examens ciblés.

En fin de compte, je veux que vous soyez guidé par votre clinicien pour faire des choix ciblés afin d'améliorer vos prestations.

Avec l'augmentation de l'incidence du cancer et la sensibilisation croissante à sa prévention, de nombreuses personnes s'interrogent sur les tests qui peuvent être effectués à l'hôpital pour dépister le cancer de manière relativement efficace.

Analyses de sang : marqueurs tumoraux

Il existe de nombreux types de marqueurs tumoraux, tels que les tumeurs gastro-intestinales, respiratoires, gynécologiques, etc., qui doivent être testés de manière sélective en fonction de l'état de santé. Bien entendu, tous les marqueurs peuvent être testés. Il est important de comprendre que les marqueurs tumoraux ne jouent qu'un rôle indicatif et qu'en cas d'anomalies évidentes, un dépistage plus approfondi est nécessaire. Toutefois, un résultat anormal ne signifie pas nécessairement qu'il y a un cancer, et un résultat normal ne signifie pas qu'il n'y a pas de cancer.


Dépistage du cancer du poumonRadiographie du thorax et/ou tomodensitométrie améliorée du thorax.

La radiographie thoracique, simple, économique et rapide, est couramment utilisée pour les examens médicaux. Pour les personnes âgées de plus de 45 ans, ayant des antécédents de tabagisme ou des antécédents familiaux de cancer du poumon, il est recommandé d'effectuer une tomodensitométrie spiralée en couche mince, qui offre une résolution élevée et permet de détecter de petits foyers de cancer dans les poumons. Lorsque des nodules pulmonaires sont découverts sur les radiographies du thorax, un scanner plus poussé est généralement nécessaire pour clarifier la situation, et une ponction-biopsie est nécessaire pour clarifier la situation en cas de forte suspicion de cancer du poumon.

Dépistage du cancer de la thyroïde

L'échographie est généralement une échographie du cou pour déterminer la taille de la glande thyroïde avec ou sans nodules ; si l'échographie suspecte que les nodules sont cancéreux, une ponction-biopsie ou une biopsie excisionnelle est nécessaire.

Dépistage des tumeurs abdominalesL'échographie abdominale est principalement utilisée pour déterminer si le foie, la vésicule biliaire, le pancréas, la rate, les reins et d'autres organes présentent des lésions occupant de l'espace ou s'il y a une tumeur solide dans la cavité abdominale. Mais l'échographie pour l'examen gastro-intestinal abdominal a des limites, affectée par les gaz gastro-intestinaux, facile à ignorer, elle peut faire une tomodensitométrie abdominale claire.

Dépistage des tumeurs des organes pelviensL'échographie pelvienne fournit des informations sur la vessie, l'utérus et les ovaires (chez les femmes) et sur la vessie et la prostate (chez les hommes). Lorsque l'échographie est suspecte, un scanner ou une IRM avec renforcement abdominopelvien peut être réalisé pour mieux définir la taille et la nature possible de l'occupation. Une ponction-biopsie guidée par échographie est nécessaire le cas échéant.

Dépistage du cancer du seinL'échographie mammaire peut révéler la présence ou l'absence de masses mammaires. Si un cancer est suspecté dans un nodule mammaire, une IRM améliorée est nécessaire pour mieux définir la taille, l'étendue, les métastases des ganglions lymphatiques et, finalement, une ponction biopsie du sexe est nécessaire pour en clarifier la nature.

Dépistage des cancers de l'œsophage, de l'estomac, du duodénum et du colonLes moyens les plus directs et les plus efficaces sont la gastroscopie et la coloscopie. La localisation, la taille et la forme de la lésion peuvent être clarifiées et, plus important encore, une biopsie peut être effectuée pour un examen pathologique afin de clarifier la nature de la maladie ; par exemple, le degré de différenciation de l'adénocarcinome (hautement différencié, moyennement différencié, peu différencié et carcinome à cellules imprégnées, le degré de malignité augmentant dans l'ordre de la malignité). Cependant, il existe parfois des cas particuliers, par exemple lorsque la biopsie ne permet pas de déceler la tumeur en une seule fois, et la plupart des cas font état d'une inflammation chronique. Dans ce cas, il y a deux possibilités : l'une est qu'il n'y a pas de cancer dans l'estomac et qu'il s'agit en fait d'une gastrite et d'ulcères de la muqueuse ; l'autre est qu'il y a un cancer, mais que l'inflammation et les ulcères qui l'accompagnent interfèrent avec les résultats, ou même que la biopsie n'a prélevé que la partie inflammatoire de la muqueuse et n'a pas prélevé les cellules cancéreuses dans la partie la plus profonde. Si l'endoscopiste estime que la lésion est suspecte, il conseillera au patient de prendre des médicaments antiacides par voie orale (inhibiteurs de la pompe à protons, tels que l'oméprazole ou le pantoprazole, etc.) pendant 2 à 3 semaines, puis de refaire une gastroscopie et de prélever une biopsie. Il est toujours recommandé d'écouter les conseils du médecin dans ce cas, de prendre le médicament et de refaire une biopsie.

Dépistage du cancer du foieDans ce cas, l'échographie est parfois légèrement insuffisante dans le diagnostic différentiel et une puissante IRM améliorée est nécessaire pour sauver la situation. L'association d'antécédents d'hépatite virale et d'anomalies de l'alpha-fœtoprotéine (un marqueur tumoral spécifique du cancer du foie) est également nécessaire ; si ces trois conditions ne sont pas réunies mais qu'un cancer du foie est fortement suspecté, une biopsie guidée par échographie est nécessaire, ce qui constitue la base diagnostique la plus puissante.

Dépistage des tumeurs crâniennesL'échographie ne doit pas être envisagée, il faut passer directement à la tomodensitométrie crânienne ou à l'IRM pour plus de clarté.

Dépistage du cancer du col de l'utérusIl est nécessaire de vérifier la présence d'une infection à HPV, de procéder à une colposcopie, à une biopsie du col de l'utérus, etc.



[Zhang Chenghai] Tous les articles sont originaux, la recherche de la vérité, l'objectivité, la connaissance universelle de la santé, l'attention et la transmission sont les bienvenues, et continuent à fournir un contenu médical et de santé utile (prévention et traitement de l'oncologie), la science populaire et le travail sur l'oncologie.

L'un de mes voisins, âgé de 35 ans, a des antécédents familiaux de cancer.On a diagnostiqué un cancer du poumon à mon père et à ma sœur.C'est devenu un problème pour lui.

Il y a peu de temps, il a entendu dire qu'un examen PET-CT (coûtant près de 10 000 dollars) pouvait détecter des cancers même naissants. Il s'est immédiatement précipité à l'hôpital et a précisé qu'il voulait subir un examen physique du corps entier pour la prévention du cancer par PET-CT, mais le médecin l'en a dissuadé. Il s'avère que le PET-CT n'est généralement pas recommandé comme examen médical pour les personnes en bonne santé.

Le "dépistage du cancer" est indispensable.PET-CTQuoi ? - Je ne sais pas.

À l'heure actuelle, certains cliniciens de notre côté pensent à tort que la TEP-TDM est si coûteuse qu'elle doit pouvoir diagnostiquer des lésions difficiles à caractériser par la tomodensitométrie, l'IRM et d'autres moyens d'imagerie ;

Cependant, les avantages de la TEP-TDM dans la prédiction et la caractérisation du cancer ne sont pas aussi évidents qu'on pourrait le penser, et sa plus grande valeur devrait se situer dans les domaines de la santé, de l'éducation et de la sécurité.Stabilisation de la tumeur et suivi de l'efficacité

Choisir le bon dépistage du cancer

aller de l'avantDépistage régulier et spécialisé du cancerL'essentiel est de choisir un centre d'examen médical ou un hôpital offrant une série de services d'examen, de diagnostic et de traitement pour le dépistage.

90 % des cancers ne présentent aucun symptôme au stade précoce, 90 % des cancers précoces sont détectés par un recensement professionnel, et 90 % des patients atteints de cancer et conscients de leurs symptômes arrivent à l'hôpital à un stade moyen ou avancé, perdant ainsi la meilleure période de guérison.

Un bilan de santé unique peut ne pas vous convenir.Pour prévenir le cancer, il est préférable d'individualiser l'approche de chaque personne en matière d'examens médicaux.

Les personnes âgées de 35 à 60 ans devraient passer un examen de dépistage du cancer une fois par an, tandis que les groupes spécifiques à haut risque ayant des antécédents familiaux de tumeurs devraient passer un à deux examens par an.

Quels sont les groupes prioritaires pour le dépistage du cancer ?

(1) Gros fumeurs ou fumeurs chroniques, buveurs chroniques ayant une habitude alcoolique ;

(2) Les personnes chez qui on a décelé des maladies précancéreuses et qui ont des antécédents familiaux de cancer dans leur famille constituent également un groupe important à haut risque de cancer.

(3) Personnes exposées ou travaillant en permanence dans les industries suivantes : fabrication de meubles, fonderie, caoutchouc, pesticides, goudron et suie, amines aromatiques, agents alkylants, lumière ultraviolette, arsenic, nickel, chrome, cadmium, benzène, amiante, etc ;

(4) Patients atteints de schistosomiase chronique, personnes en surpoids, patients atteints du SIDA, personnes atteintes de cirrhose, d'hépatite C chronique, d'hépatite B chronique ;

Contenu du dépistage du cancer

Les tests réguliers de dépistage du cancer comprennent les éléments suivants :

(1) Projets courants :Analyse sanguine, analyse d'urine, analyse fécale, fonction hépatique et rénale, acide urique sanguin, lipides sanguins, radiographie du thorax, électrocardiogramme, échographie du foie et de la vésicule biliaire, échographie du système urinaire.

(2) EndoscopieIl peut être utilisé dans l'examen des organes creux et des cavités du corps pour détecter les lésions précancéreuses et les carcinomes in situ dans les tissus et les organes.

(3) Imagerie diagnostiqueLes examens très coûteux tels que l'IRM et la tomodensitométrie.

(4) Tests sur les marqueurs tumorauxLes substances suivantes sont produites par les cellules tumorales elles-mêmes ou par l'organisme en réponse aux cellules tumorales au cours du processus de développement et de prolifération de la tumeur, reflétant la présence et la croissance de la tumeur.

Le dépistage du cancer n'est pas aussi efficace qu'un plus grand nombre d'articles

La clé du dépistage du cancer est d'être ciblé

Les hommes doivent être particulièrement attentifsCancers du poumon, de l'estomac, de l'œsophage, du foie, colorectal et pancréatiqueLes signes ;

Pour les femmes, il est important de vérifierCancer du sein, du col de l'utérus et des ovaires

Recommandations pour le dépistage des tumeurs communes

(1) Cancer du sein

Pour les femmes âgées de 20 à 39 ans. Recommandé une fois par anexamen tactile

Pour les femmes âgées de 40 ans et plus, il est recommandé d'effectuer une visite par an.Examen par palpation + mammographies

Il est recommandé d'augmenter la fréquence des dépistages pour les femmes qui présentent des facteurs de risque élevés, tels que des antécédents familiaux de cancer et des antécédents de cancer du sein.

marqueur de tumeurCEA (antigène embryonnaire cancéreux), CA-125, CA-153.

(2) Cancer du poumon

1 par an pour les personnes âgées de plus de 45 ans qui fument depuis longtemps, qui travaillent dans des environnements confinés pendant de longues périodes, qui travaillent dans des environnements présentant des niveaux élevés de particules de poussière pendant de longues périodes, ou qui ont des antécédents familiaux de cancer du poumon.CT spiralé à faible doseDépistage du cancer du poumon à un stade précoce.

marqueur de tumeurCEA, NSE (neuron-specific enolase), SCC (squamous epithelial cell carcinoma antigen).

(3) Cancer de l'estomac

Les personnes souffrant d'ulcères gastriques de longue date, de gastrite chronique atrophique de longue durée ou d'hyperplasie atypique détectée par gastroscopie.1 gastroscopie par an

marqueur de tumeurCEA et CA72-4.

(4) Cancer colorectal

Hommes et femmes, mais toute personne âgée de plus de 50 ans, ayant des antécédents familiaux de cancer colorectal, souffrant de douleurs fréquentes dans le bas-ventre, de colite chronique, de selles fréquentes, de sang ou de mucus dans les selles. À suivre :Coloscopie, recherche de sang occulte dans les selles (une fois par an)

marqueur de tumeurCEA, CA-199 et CA242.

(5) Cancer du foie.

Il est recommandé aux personnes qui boivent beaucoup depuis longtemps, aux patients atteints d'hépatite B chronique, aux patients souffrant d'une cirrhose du foie et aux personnes qui travaillent depuis longtemps avec des produits chimiques de subir un examen annuel.échographieSi nécessaire, effectuerExamen tomodensitométrique du foie.

marqueur de tumeurAFP (alpha-fœtoprotéine) : AFP (alpha-fœtoprotéine) : AFP (alpha-fœtoprotéine).

Comment puis-je économiser de l'argent ?

Les différents facteurs de risque sont examinés différemment lors du dépistage du cancer.

Avant de décider de faire un bilan de cancer, il est important d'expliquer ses antécédents de santé, les antécédents familiaux de tumeurs, les malaises récents, etc.Un programme d'examen médical personnalisé qui répond aux besoins de la personne examinée en matière de dépistage du cancer et qui est plus abordable

Je suis le Dr Qi, un oncologue expérimenté en MTC, et je suis heureux de répondre à cette question en espérant qu'elle vous aidera.

L'un des aspects les plus effrayants du cancer est qu'il ne présente aucun symptôme au début et que, lorsqu'il devient gênant, il est déjà à un stade moyen ou avancé et ne peut pas être détecté par des examens médicaux ordinaires. C'est surtout après 40 ans que le taux d'incidence augmente fortement.

Quels sont donc les symptômes que l'on doit rechercher ? Comment obtenir un bilan de santé en fonction de son état de santé ? Et quels sont les tests correspondant à la maladie ?

(1) Il est conseillé aux fumeurs de longue durée de faire un bilan de santé une fois par an.

Focus sur le dépistage : cancer du poumon

Programme d'examen physique : CT spiralé à faible dose

Si vous trouvez des ombres ou des nodules sur vos poumons au scanner, il est conseillé de consulter un médecin expérimenté dans un grand hôpital afin de déterminer si une biopsie est nécessaire.

(2)Il est conseillé aux personnes de plus de 40 ans qui consomment depuis longtemps des grillades, des aliments marinés et de l'alcool, et qui souffrent de problèmes d'estomac chroniques, de faire un bilan de santé tous les trois ans.

Dépistage : cancer de l'estomac

Examen physique : Gastroscopie

En cas de gêne abdominale, de douleur vague dans la région précordiale, de sensation de satiété après avoir mangé, de perte d'appétit, d'amaigrissement, de fatigue, de vomissements fréquents d'aliments du jour au lendemain, de selles noires et goudronneuses, etc.

(3)Les personnes souffrant de polypes colorectaux, d'entérite, celles qui boivent beaucoup d'alcool pendant longtemps et celles qui aiment manger des aliments marinés. Il est recommandé de subir une coloscopie tous les 3 à 5 ans à partir de 40 ans.

Focus sur le dépistage : le cancer de l'intestin

Expérience : Coloscopie

Si vous remarquez du sang dans les selles, ne pensez pas qu'il s'agit d'hémorroïdes, consultez votre médecin et faites une coloscopie si nécessaire.

(4)Abus chronique d'alcool, soirées tardives, patients atteints d'hépatite, porteurs de l'hépatite B. Contrôler une fois par an.

Focus sur le dépistage : le cancer du foie

Expérience : échographie et dépistage de l'alpha-fœtoprotéine.

(5)Il est recommandé aux femmes de plus de 40 ans, aux femmes présentant une hyperplasie lobulaire atypique sévère et un carcinome lobulaire in situ de subir un dépistage du cancer du sein une fois par an.

Focus sur le dépistage : le cancer du sein

Expérience : radiographie, mammographie, IRM et échographie

La mammographie par rayons X est plus précise, mais ne doit pas être effectuée trop fréquemment.

(6)Il est recommandé aux femmes de plus de 30 ans de subir un dépistage du cancer du col de l'utérus tous les cinq ans. Les femmes souffrant d'une immunodépression chronique et celles qui ont un long passé de problèmes gynécologiques présentent également un risque élevé de cancer du col de l'utérus.

Dépistage : cancer du col de l'utérus

Expérience : cytologie cervicale et test HPV

Note : S'il y a des antécédents de cancer dans la famille, il est important d'effectuer des contrôles réguliers pour tous les cancers concernés.

Passez régulièrement des examens médicaux pour une détection rapide et un traitement précoce, et consultez votre médecin dès que vous remarquez une gêne physique.

Si vous avez des questions sur le cancer, vous pouvez les laisser dans la section des commentaires ou m'envoyer un message privé directement, et je ferai de mon mieux pour y répondre.

Ces questions et réponses proviennent des utilisateurs du site, elles ne représentent pas la position du site, s'il y a une infraction, veuillez contacter l'administrateur pour la supprimer.

Questions connexes