Combien de temps dois-je me reposer après un cardiogramme ?
Combien de temps dois-je me reposer après un cardiogramme ?
Je répondrai à cette situation parce que nous pratiquons cette procédure presque tous les jours dans le service de cardiologie de notre hôpital. Je suis le chef du service de néphrologie de notre hôpital, de sorte que le chef du service de cardiologie et moi-même sommes particulièrement proches et discutons souvent de ces questions ensemble.
Au sens strict, l'angiographie cardiaque devrait comprendre à la fois la ventriculographie auriculaire et la coronarographie. Cependant, la ventriculographie auriculaire est rarement effectuée en clinique de nos jours. Cela s'explique par le fait qu'elle n'a pas de signification clinique. La question posée devrait probablement porter sur la coronarographie.
La coronarographie est l'une des méthodes les plus couramment utilisées pour diagnostiquer les maladies coronariennes athérosclérotiques, souvent appelées "maladies coronariennes". C'est également l'examen de référence pour confirmer et diagnostiquer une maladie coronarienne.
Bien que, ces dernières années, l'ultrasonographie intracoronaire et la tomographie par interférence optique aient fait leur apparition. Les applications cliniques se développent également progressivement. Il s'est avéré que certains résultats de la coronarographie, montrant l'existence d'un épaississement de l'intima-média ou d'une plaque dans le segment normal du vaisseau sanguin, posent certains problèmes par rapport aux résultats de la coronarographie d'étalon-or. Toutefois, en raison du coût élevé et de la complexité des opérations d'échographie intracoronaire et de tomographie par interférence optique, ces techniques ne sont pas encore très répandues dans les cliniques.
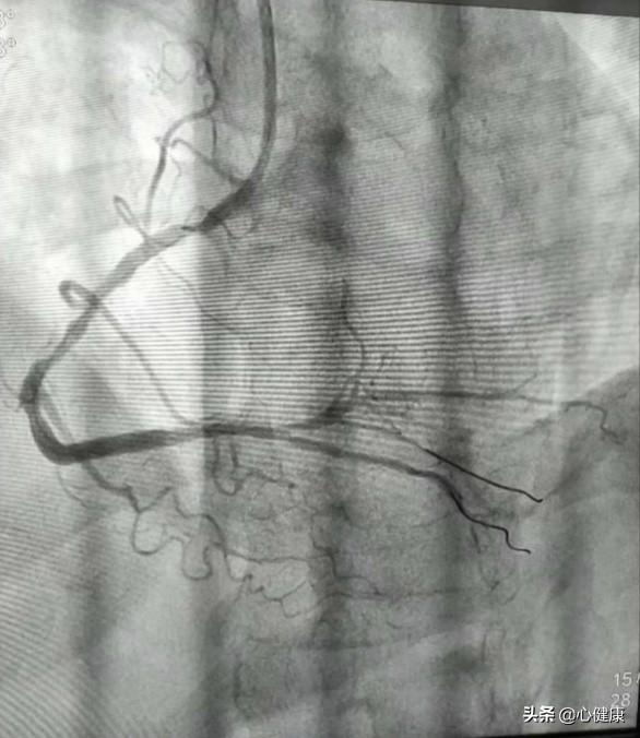
La coronarographie, en termes simples, est une ponction percutanée des artères superficielles du corps à l'aide d'un cathéter cardiaque. Celui-ci est souvent ponctionné dans l'artère radiale ou fémorale et remonte de manière rétrograde le long de l'artère pour pénétrer dans les portails de l'artère coronaire gauche ou droite, où un produit de contraste est injecté pour visualiser les artères coronaires.
En procédant de la sorte, la lumière de la principale artère coronaire gauche ou droite et de ses branches peut être clairement visualisée pour voir s'il existe des foyers sténosés dans les vaisseaux du système coronaire et pour déterminer l'étendue de la sténose. Une décision peut alors être prise quant au plan de traitement. Par exemple, une intervention, un pontage chirurgical ou un traitement médical conservateur. Ou même aucun traitement.
Lorsqu'une sténose de l'artère coronaire de 75 % ou plus est détectée lors de la coronarographie, le médecin prend en compte le profil d'âge du patient, les symptômes cliniques, le degré de sténose, etc. La pose de stents et le nombre de stents sont indiqués.
La coronarographie cardiaque englobe donc le diagnostic et le traitement qui l'accompagne.
La coronarographie est utilisée d'une part pour le diagnostic. Les indications sont nombreuses : douleurs thoraciques inexpliquées, insuffisance cardiaque inexpliquée, arythmies cardiaques inexpliquées, mais aussi absence de symptômes évidents et suspicion de coronaropathie. En outre, dans les professions à haut risque telles que les pilotes et les athlètes, il peut s'avérer nécessaire de détecter la maladie coronarienne.
La coronarographie, quant à elle, est utilisée à des fins thérapeutiques. Souvent, les patients atteints d'une maladie coronarienne ont besoin de clarifier davantage la portée et l'étendue des lésions des artères coronaires, ainsi que le choix des options thérapeutiques. Par exemple, en cas d'angine de poitrine stable ou d'infarctus du myocarde ancien, l'effet du traitement de médecine interne n'est pas bon ; par exemple, en cas d'angine de poitrine instable, après avoir suivi un traitement intensif actif de médecine interne, une fois que l'état est stable, il faut immédiatement procéder à une angiographie des artères coronaires, ou si le traitement médicamenteux de médecine interne est inefficace, il faut procéder à une imagerie urgente ; par exemple, les patients souffrant d'un infarctus du myocarde aigu dans les 6 heures suivant le début de l'attaque, ou plus de 6 heures après, ont toujours une douleur thoracique persistante ; par exemple, pour l'infarctus du myocarde sans complication. Par exemple, pour les patients souffrant d'un infarctus du myocarde sans complication, une coronarographie élective doit être envisagée environ une semaine après l'infarctus ; par exemple, la maladie coronarienne asymptomatique, dans laquelle les patients avec un test d'effort positif et des facteurs de risque évidents ; par exemple, par le biais de la tomodensitométrie et d'autres tests d'imagerie, une sténose modérée ou supérieure des artères coronaires ou l'existence de plaques instables est trouvée ou fortement suspectée, etc. Ces patients nécessitent une coronarographie pour la mise en place de stents appropriés.
En général, après une coronarographie, la surveillance du monitorage cardiaque et des signes vitaux du patient, etc. est systématique dans des circonstances normales. Dans le cas d'une ponction par l'artère radiale, le pansement compressif peut être retiré après avoir enlevé la gaine et appliqué une compression locale au point de ponction pendant 4 à 6 heures. Et par l'artère fémorale pour la coronarographie. Le tube peut être retiré immédiatement après l'angiographie, et après 20 minutes de compression systématique du point de ponction, et s'il n'y a pas de saignement actif au point de ponction, le bandage peut être retiré et une activité légère peut commencer après 18-24 heures de freinage et de bandage compressif. Si un occluder est utilisé, le patient peut commencer ses activités au lit 6 heures après s'être allongé et avoir été freiné.
Bien entendu, le médecin examinera le point de ponction à la recherche d'un écoulement de sang, d'une rougeur, d'un gonflement et d'un souffle, ainsi que d'une anomalie de la pulsation artérielle du membre ponctionné, de la couleur de la peau, de la tension, de la température et des mouvements. En cas d'anomalie, le patient sera traité en conséquence et, en l'absence d'anomalie, sa sortie pourra être envisagée au bout de trois jours.
Bonjour, je suis le Dr Knowles Blue.
La maladie coronarienne, l'angine de poitrine, l'infarctus du myocarde, la coronarographie sont des termes connus de beaucoup de gens, mais la coronarographie a un rôle à jouer, comment la pratiquer, quels sont les dangers, à quoi il faut faire attention, ce que peu de gens savent, aujourd'hui nous allons unifier les choses pour en parler, j'espère vous aider.

1) Quel est le rôle de la coronarographie ?
(1) Qu'est-ce que la maladie coronarienne ?Il arrive souvent que des patients disent ressentir une gêne dans la poitrine ou que le rapport de l'ECG suggère des modifications du segment st et demandent s'il s'agit d'une maladie coronarienne. La maladie coronarienne est due à l'athérosclérose des artères coronaires, la plaque d'athérome s'agrandit progressivement, la lumière se rétrécit progressivement, lorsque le rétrécissement de la lumière est supérieur à 50 %, l'activité peut apparaître dans le cœur, l'apport sanguin est insuffisant, ce qui entraîne l'apparition des symptômes de l'angine de poitrine, l'électrocardiogramme peut se manifester par une modification du segment st.Un diagnostic préliminaire de la maladie coronarienne peut être établi en analysant les symptômes cliniques typiques du patient, ainsi que son sexe et son âge, et les facteurs de risque, tels que l'hypertension artérielle, l'hypercholestérolémie, le tabagisme, le diabète, l'obésité, etc. Mais il est impossible pour un médecin de vous dire quelle artère coronaire est bouchée et à quel pourcentage, si elle est bouchée à 50 % ou à 90 %. Si vous devez déterminer l'étendue de l'obstruction ou résoudre une sténose sévère, vous devrez subir une angiographie coronarienne.

(2) Diagnostic de la maladie coronarienne :Pour les médecins cardiovasculaires expérimentés, le diagnostic de la maladie coronarienne par les méthodes ci-dessus est neuf fois sur dix exact. La coronarographie est l'examen de référence pour le diagnostic de la maladie coronarienne, car elle permet de voir clairement l'obstruction de l'artère coronaire. Bien entendu, pour certains patients, l'angiographie coronarienne peut également être utilisée comme alternative.

(3) Traitement des maladies coronariennes :Dans les cas graves de maladie coronarienne, tels que les patients présentant une sténose de la voie descendante antérieure de plus de 75 % ou les patients ayant subi un infarctus du myocarde soudain, les mesures thérapeutiques nécessaires, telles que la dilatation ou l'implantation d'un stent, peuvent être prises en conjonction avec la coronarographie afin de traiter ou de prévenir l'infarctus.

2) Comment se déroule la coronarographie ?
(1) Faire les pièces :Dans la plupart des cas, le vaisseau de choix pour la coronarographie est l'artère radiale (au niveau du poignet) ou l'artère fémorale (à la racine de la cuisse) lorsque le vaisseau du poignet n'est pas en bon état et ne peut pas être opéré.

(2) Étapes spécifiques : le patient est allongé sur le lit d'opération dans le laboratoire de cathétérisme cardiaque, le site de l'opération est désinfecté (main ou cuisse), un anesthésique local est administré dans cette zone, un trou est pratiqué dans le vaisseau sanguin artériel à l'aide d'une aiguille, un fil-guide fin et un cathéter sont envoyés, et le cathéter à fil-guide peut atteindre les artères coronaires en suivant les vaisseaux sanguins sous le contrôle de la radiographie, puis un type de médicament (agent de contraste) est injecté dans la tête du cathéter fin, ce qui fera apparaître les vaisseaux sanguins sous les rayons X, et la taille, le trajet, l'obstruction n'est pas visible, les artères coronaires gauche et droite, chaque branche, etc. d'un seul coup d'œil. Les vaisseaux sanguins apparaissent sous la radiographie et l'on peut voir d'un seul coup d'œil leur taille, leur trajet, s'ils sont obstrués ou non, ainsi que les artères coronaires gauche et droite et les différentes branches des artères. Si le problème n'est pas grave, c'est la fin, on retire le cathéter, on ponctionne le poignet à l'aide d'un compresseur pour éviter les saignements. L'ensemble du processus prend 10 à 30 minutes si vous êtes compétent. Si le problème est grave, le traitement (dilatation par ballonnet, pose d'un stent, etc.) peut se poursuivre et prendre plus de temps.
3) Quels sont les dangers de la coronarographie ?
Certains patients disent d'emblée qu'ils veulent subir une coronarographie. Bien sûr, ils doivent savoir que la coronarographie permet de diagnostiquer une maladie coronarienne, mais je voudrais vous rappeler qu'il s'agit d'un examen invasif et qu'il comporte des risques. Cependant, je voudrais vous rappeler que la coronarographie est un examen invasif et qu'elle comporte des risques. Ne regardez pas la procédure d'examen que j'ai écrite ci-dessus, qui est simple et facile à réaliser, mais où sont les risques ? Laissez-moi vous dire ce que nous avons rencontré ou ce que d'autres médecins ont rapporté :
(1) Lésion vasculaire :La ponction vasculaire mentionnée ci-dessus, le cathéter à fil-guide pénétrant dans le vaisseau sanguin et l'imagerie à l'intérieur de l'artère coronaire sont tous susceptibles d'endommager les vaisseaux sanguins : hémorragie, infection, piégeage artériel, fistules artério-veineuses, occlusion artérielle, etc.

(2) Allergies :Il a été mentionné plus haut que les injections de produits de contraste sont allergiques pour certaines personnes, avec des éruptions légères, des démangeaisons de la peau et un choc anaphylactique sévère, qui est rare.

(3) Lésions rénales :Le produit de contraste est excrété par les reins et il est possible d'endommager les reins ou même de développer une insuffisance rénale, en particulier si vous souffrez d'une maladie rénale, ce qui est bien sûr rare, mais en tant que médecin, vous devez être informé en toute honnêteté.

(4) Rayonnement :Le processus d'imagerie est celui de la photographie aux rayons X, qui est soumis à des radiations ionisantes. Les femmes enceintes, les hommes et les femmes célibataires doivent donc être plus prudents.

4. que faut-il rechercher ?
(1) Pour les médecins : choisir strictement les indications, n'utiliser le contraste que pour les patients dont l'état le nécessite et ne pas utiliser le contraste sans discernement. La maîtrise des techniques opératoires et le soin apporté à chaque étape peuvent réduire le temps et les risques. Anticipation des risques, prévention et traitement actif des complications possibles.

(2) Pour les patients :
La coronarographie seule n'est pas aussi importante et invasive qu'une procédure chirurgicale, et la courte durée de l'opération est en fait très peu traumatisante pour le patient.

Dans des circonstances normales, vous pouvez vous lever du lit et marcher après l'opération (vous ne pouvez pas marcher avec une ponction à la cuisse). Le compresseur de la main doit être comprimé pendant 6 heures, la compression de la cuisse doit durer 12 heures, deux heures après le compresseur d'imagerie peut être un peu relâché, une pression trop forte de la main est très douloureuse, sera gonflée, la main sera violette, pour observer l'orifice de ponction ne suintera pas de sang. En l'absence de circonstances particulières, le lendemain, le patient peut sortir de l'hôpital et aller travailler. Si le problème est grave, c'est une autre histoire.

Il faut boire plus d'eau pour augmenter la miction et permettre à l'agent de contraste de s'écouler plus rapidement, mais bien sûr l'insuffisance cardiaque et l'insuffisance rénale ou simplement le fait de ne pas pouvoir boire plus d'eau, l'agent de contraste ne s'écoulera pas et aggravera l'état du cœur.
Ne bougez pas trop ou trop fort votre bras après avoir relâché la bande de compression et, pendant une courte période (2 semaines), ne soulevez pas d'objets lourds avec la main percée.

En conclusion, la coronarographie joue un rôle très important et irremplaçable dans le diagnostic et le traitement des maladies coronariennes. Bien que la technologie soit aujourd'hui très au point et que l'incidence des risques mentionnés ci-dessus soit très faible, il s'agit après tout d'un examen invasif, et le risque existe. Le principe est le suivant : les patients dont l'état de santé le requiert n'ont pas à s'inquiéter, ils le font, les avantages l'emportent sur les inconvénients, en particulier lorsqu'une crise cardiaque survient, ils hésitent à manquer le moment du sauvetage ; les patients dont l'état de santé ne le requiert pas ne le font pas par hasard, c'est une perte d'argent, ils prennent le risque, mais ils souffrent aussi, les inconvénients l'emportent sur les avantages.
Inquiétudes concernant les médecins bleus compétentsNé.En savoir plus sur les maladies cardiaques.
L'électrocardiogramme, l'échocardiogramme et la cardiographie sont trois examens que nous rencontrons souvent dans notre vie normale. Le choix de l'examen à effectuer doit bien entendu être guidé et choisi par nos médecins en fonction de l'état du patient.Mais quel que soit votre choix, sachez que rien ne remplace les trois tests.En d'autres termes, ce n'est pas parce que vous avez un électrocardiogramme que vous n'avez pas besoin d'un échocardiogramme, c'est-à-dire d'un cardiogramme.Parce que les trois tests ont chacun leurs avantages et leurs caractéristiques propres。
par exempleélectrocardiographieL'objectif principal est de vérifier l'activité électrophysiologique du cœur pour voir s'il y a des arythmies sinusales, une tachycardie, une bradycardie ou des battements prématurés, des arrêts, etc. On peut dire qu'il s'agit de l'examen le plus élémentaire en termes de cœur, et il peut parfois détecter certaines des maladies sous-jacentes de notre cœur ;

而échocardiographieL'objectif est d'examiner la structure de notre cœur, le sang à l'intérieur, l'hémodynamique et de voir s'il y a des shunts anormaux en termes de vitesse, de pression différentielle et de direction du flux sanguin.

En conclusion, nous disonscardiographieQu'est-ce que c'est ? Un cardiogramme est une angiographie coronaire du cœur.Bien qu'il ne voie pas les tissus mous de notre cœur, il peut diagnostiquer certaines maladies cardiaques et évaluer certains changements de pression entre les cavités et les artères de notre cœur au moyen d'un type spécial d'imagerie, le signal de contraste anormal.Il est le plus souvent utilisé pour le diagnostic de nos maladies coronariennes et peut être considéré comme l'étalon-or pour le diagnostic des maladies coronariennes !

Ainsi, tous ceux quiEssayer de réaliser un examen cardiaque complet ne consiste absolument pas à effectuer un seul test qui soit une solution complète au problèmeChaque test a ses avantages et ses caractéristiques, l'orientation principale du test dépendant de ce qu'est le patient, des symptômes qu'il présente, des maladies qu'il faut exclure, il est préférable de choisir sur les conseils et l'orientation du médecin.
Aujourd'hui, je vais vous parler principalement de la cardiographie. Beaucoup de gens aiment et détestent cet examen d'imagerie, pourquoi ?
Tout d'abord, contrairement à l'ECG et à l'échocardiographie dont nous avons parlé précédemment, qui sont des examens non invasifs, la cardiographie est invasive, et par invasive, j'entends qu'il s'agit d'une manière invasive d'examiner les vaisseaux sanguins du cœur !
Comment puis-je m'immiscer ?
Car l'imagerie consiste bien sûr à injecter une certaine quantité de produit de contraste dans les vaisseaux coronaires de notre cœur, et nous pouvons ensuite observer les cavités de notre cœur ainsi que les vaisseaux sanguins, etc. sous l'irradiation de nos rayons X.C'est alors qu'il faut trouver une ouverture dans les artères coronaires du cœur pour y pomper du produit de contraste, et cette ouverture est une opération invasive !
présent .Plus de 95 % des patients partent de l'artère radiale du poignet.Le médecin insère un tuyau de l'artère radiale dans l'ouverture de l'artère coronaire et l'envoie dans l'ouverture de l'artère coronaire de notre cœur, puis il ouvre le produit de contraste et l'irradie avec des rayons X, de sorte que les vaisseaux sanguins du cœur peuvent être clairement vus, et notre médecin, en observant le développement de l'image, peut juger si les artères du cœur sont rétrécies, si elles sont obstruées ou non, et, si elles sont obstruées, à quel point le sont-elles ? À partir de là, nous pouvons déterminer si nous souffrons d'une maladie coronarienne ou d'autres maladies cardiaques !

Toutefois, si nos médecins estiment que votre état est plus complexe en raison d'autres examens cardiaques ou de symptômes cliniques, nous devons alors envisager d'effectuer cette insertion à partir de l'artère fémorale de la cuisse du patient.

Le patient doit s'entraîner à s'allonger sur le lit et à aller aux toilettes avant le test, car cette cardiographie, surtout lorsqu'elle est effectuée par les vaisseaux artériels des cuisses, est une procédure mineure.Il est nécessaire de rester au lit pendant quelques jours après l'opération, en particulier quelques jours après la fin de la journée, il est interdit de marcher sur le sol.Car l'hémorragie artérielle n'est pas comme l'hémorragie veineuse habituelle.Une fois qu'une grosse artère comme l'artère fémorale saigne, c'est encore plus problématique, et l'hémorragie artérielle est l'une de ces hémorragies stressantes qui ressemblent à des jets d'eau !

Donc, encore une fois, leL'artériographie est réalisée par l'artère radiale de la main, et bien qu'elle ne nécessite pas de repos au lit comme pour l'artère fémorale, elle nécessite également une hospitalisation. Il faut surveiller le vaisseau après la réalisation de l'artériographie pour voir s'il ne saigne pas, et lorsque vous êtes sûr qu'il ne saigne pas, vous pouvez alors vous déplacer normalement.Bien sûr, cela ne vous empêche pas de faire d'autres choses à ce moment-là.
Ainsi, disons qu'une personne doit se reposer pendant combien de temps avant de subir un cardiogramme ?
Ceci, bien queCe n'est pas si exagéré que nous devrons récupérer pendant un certain temps, comme c'est généralement le cas lors d'une intervention chirurgicale.Le cœur n'est pas une artère cardiaque, mais c'est une artère cardiaque. Cependant, cela dépend de l'affection, de la présentation des symptômes, du choix spécifique de l'artère et du choix du cardiogramme à effectuer, lequelDes précautions post-opératoires doivent encore être prisesJe ne sais pas si vous voulez passer une cardiographie ou non ! Parce que je viens de le dire, la cardiographie est une sorte d'examen invasif, vous ne dites pas que vous voulez faire une cardiographie, vous devez présenter les symptômes d'une maladie coronarienne, vous devez le faire dans cette situation, notre médecin vous recommandera, et il y a deux sortes de cardiographie à l'heure actuelle, l'une par l'artère radiale, le traumatisme est relativement faible, il n'y a pas besoin de repos au lit, et l'autre sorte de cardiographie par la ponction de l'artère fémorale, vous devez rester allongé dans le lit l'autre type de cardiographie par ponction de l'artère fémorale, il faut rester au lit, à plat sur le dos, pendant deux jours pour éviter les saignements de l'aorte.
C'est pourquoi, lorsque les médecins parlent de la cardiographie, certains patients peuvent penser qu'il est un peu effrayant de penser qu'un tube sera inséré directement dans nos vaisseaux sanguins et que ce sera très douloureux ; d'autres peuvent penser que c'est un peu comme la pose d'un stent et peuvent avoir peur de subir une angiographie coronarienne.
En réalité, il s'agit d'une méconnaissance de certains détails de l'examen de coronarographie cardiaque.
Tout d'abord, en ce qui concerne la durée de l'examen, généralement entre le moment où le tube est inséré et celui où l'examen est effectué, la durée de l'examen est d'environ deux heures.Elle est généralement réalisée en moins d'une demi-heure, dix ou vingt minutes plus rapidement.Il ne s'agit pas du tout de ce que les gens pensent, mais plutôt de ce qu'ils savent généralement à propos de la chirurgie ;
Deuxièmement, le tuyau utilisé pour la coronarographie est très fin. Vous pouvez regarder vos propres vaisseaux chirurgicaux et penser à la finesse du tube qui doit y pénétrer ;

Troisièmement, il y a aussi des patients qui ont peur de saigner après l'opération et qui n'osent pas bouger l'ensemble de leurs membres supérieurs, voire qui ne descendent pas au sol, et qui ressentent des raideurs et des douleurs dans leurs membres. Cela n'est absolument pas nécessaire.Au contraire, il peut également augmenter le risque de thrombose。
L'imagerie cardiaque est un test très mature, il n'y a pas lieu de s'inquiéter outre mesure, car le test doit répondre aux indications, parce qu'il peut non seulement confirmer si nous avons une maladie coronarienne, mais aussi être exclu de la fausse maladie, tandis que la maladie coronarienne suspectée doit être clarifiée !
À qui est-il recommandé de faire ce cardiogramme ?
- Douleurs thoraciques fréquemment inexpliquées, arythmie ou insuffisance cardiaque qui ne peuvent être diagnostiquées par des tests non invasifs ;
- Douleur thoracique inexpliquée, même après la pose d'un stent cardiaque ou un pontage ;
- Avant de subir une intervention chirurgicale pour une maladie cardiaque congénitale spécifique, une maladie des valves cardiaques, etc ;
- Certaines professions spécialisées telles que les pilotes, les conducteurs de véhicules spéciaux, etc. qui sont actuellement asymptomatiques mais soupçonnés d'avoir une maladie coronarienne.
en ce qui concernecardiographieSi vous avez encore des questions, vous pouvez laisser un message ci-dessous, j'adhère au texte que nous pouvons comprendre, la façon la plus primitive de vous apporter le meilleur, le plus complet, le plus pratique de la science et de la technologie de la santé. Si vous pensez que c'est bon, vous pouvez prêter attention au "détective médical" et faire suivre yo, de sorte que plus de gens autour du bénéfice !
Bonjour, je suis un travailleur médical Zhang, un médecin pratiquant, qui peut être vulgarisé pour la connaissance de la santé de tous, si vous en savez plus, prêtez-moi attention !
Dans la société actuelle, de nombreuses personnes ont des problèmes de cœur et de vaisseaux sanguins, et les nouvelles rapportent fréquemment la mort soudaine ou la crise cardiaque d'une certaine personne. Les maladies cardiaques sont étroitement liées à nos habitudes de vie, et la raison pour laquelle les maladies cardiaques sont si répandues est indissociable des changements dans nos vies. Cependant, l'examen du cœur peut être observé à partir de tests non invasifs tels que l'électrocardiogramme, les enzymes cardiaques, l'échographie cardiaque, et d'autres tests invasifs tels que l'angiographie cardiaque. Aujourd'hui, de nombreuses personnes doivent subir une coronarographie, mais en entendant la description du médecin, le public a peur. Est-ce dangereux ?

Voyons ce qu'est un cardiogramme.
Un cardiogramme est un examen au cours duquel un cathéter très fin est inséré dans l'aorte et un agent de contraste est injecté dans la circulation sanguine aortique par une petite ouverture située à l'avant du cathéter afin que les rayons X puissent prendre la forme des vaisseaux sanguins et du cœur qui circulent le long des vaisseaux sanguins tels qu'ils sont représentés à l'écran.
Rôle des procédures d'imagerie cardiaque
Il existe des angiographies coronaires et des angiographies cardiaques (auriculaires et ventriculaires). La coronarographie consiste à utiliser un cathéter fin comme un cheveu le long de l'artère radiale (au niveau du poignet) ou de l'artère fémorale (au niveau de la cuisse) pour prolonger l'entrée artificielle jusqu'à l'ouverture de l'artère coronaire du cœur, puis à injecter l'agent de contraste (dans les rayons X) dans les artères coronaires, afin de montrer la morphologie interne des artères coronaires, par exemple pour vérifier l'absence de rétrécissement des artères coronaires, de plaque, etc. L'objectif principal est de comprendre la forme interne des artères coronaires et la vitesse du flux sanguin dans les artères coronaires.
Indications pour la cardiographie
Lorsque le diagnostic clinique de la maladie coronarienne est clair, la coronarographie peut être utilisée pour définir plus précisément l'étendue et le degré de la maladie coronarienne et pour choisir un plan de traitement.
1. angine de poitrine stable ou infarctus du myocarde ancien avec traitement médical inefficace.
2、Angine de poitrine instable : traitement intensif actif en médecine interne, coronarographie active une fois l'état stable ; si le traitement médicamenteux en médecine interne est inefficace, il faut généralement recourir à l'imagerie d'urgence. Pour les patients souffrant d'angine instable à haut risque, principalement spontanée, avec des modifications évidentes du segment ST sur l'ECG et une angine post-infarctus, la coronarographie peut également être réalisée directement.
Pour les patients ne présentant pas de complications de l'IAM, une coronarographie doit être envisagée une semaine après l'infarctus, et les patients présentant des complications de l'IAM, telles que le choc cardiogénique et la perforation septale, doivent être traités par revascularisation à l'aide d'une circulation assistée dès que possible. Les patients présentant des complications de l'IAM, telles que le choc cardiogénique et la perforation septale, doivent être traités par revascularisation à l'aide d'une circulation assistée dès que possible. Pour les patients présentant une forte suspicion d'IAM mais ne pouvant confirmer le diagnostic, en particulier ceux présentant un bloc de branche gauche, une embolie pulmonaire, une coarctation aortique et une péricardite, une angiographie coronaire directe peut être réalisée pour clarifier le diagnostic.
4. la maladie coronarienne asymptomatique, pour laquelle une coronarographie doit être effectuée chez les patients présentant un test d'effort positif accompagné de facteurs de risque évidents.
5. des examens d'imagerie tels que la tomodensitométrie ont révélé ou fortement suspecté une sténose modérée ou plus importante de l'artère coronaire ou la présence d'une plaque instable.
6) Les personnes ayant réussi à se réanimer après un arrêt cardiaque primaire et présentant une plus grande probabilité de lésions du tronc principal gauche ou de lésions de la branche descendante antérieure proximale présentent un risque élevé et doivent être traitées par une intervention précoce pour les lésions vasculaires, ce qui nécessite une évaluation des artères coronaires.
7) La récurrence de l'angor après un pontage aorto-coronarien ou une ICP nécessite souvent une réévaluation de la maladie coronarienne.

La cardiographie est-elle dangereuse ?
Il n'y a généralement pas de problème dans un hôpital tertiaire. La coronarographie est aujourd'hui une technologie relativement mature, avec environ 1 million de cas par an en Chine. Le risque d'une simple imagerie est très faible, s'il est nécessaire de poser un stent, cela dépend du degré des lésions coronaires, si les lésions sont complexes, la durée de l'opération est longue, le risque correspondant augmente, le risque le plus grave est la thrombose aiguë ou la perforation pendant l'opération, qui peut provoquer un infarctus aigu, une insuffisance cardiaque ou une mort subite, mais l'incidence globale n'est pas très élevée. La complication la plus fréquente (en fait pas très fréquente) est un hématome local au point de ponction, mais il se résorbe avec le temps. L'imagerie elle-même n'est pas dangereuse, mais la procédure d'insertion d'un tube de l'artère fémorale dans le cœur l'est, avec la possibilité d'exacerber la fibrillation auriculaire et le risque de saignement de la plaie après la procédure.
La chorographie est réalisée sous anesthésie locale et il n'y a pas de nerfs sensoriels dans les vaisseaux sanguins et le cœur. Le patient ne ressent donc qu'une légère douleur pendant l'anesthésie locale et le reste de l'intervention ne présente pas de gêne évidente. Après l'intervention, les patients doivent rester allongés pendant 18 à 24 heures. Certains patients peuvent ressentir une douleur et une gêne dans le bas du dos, qui disparaîtront lorsqu'ils se lèveront et se déplaceront. Des complications peuvent survenir lors de toute intervention, c'est pourquoi il est demandé aux patients de signer avant l'intervention. Le taux de complications de la coronarographie est de 0,2 %~0,9 %, principalement : (1) arythmie. (2) Saignement local, hématome, pseudo-anévrisme et impotence artério-veineuse. (3) Infarctus aigu du myocarde. (4) Allergie aux produits de contraste. La plupart de ces complications ne sont pas graves et le taux de complication des opérateurs qualifiés est extrêmement faible.
Combien de temps dois-je me reposer après un cardiogramme ?
Les patients en cardiologie qui subissent une cardiographie, de l'admission à la sortie, prennent généralement environ cinq jours. Le premier jour de l'admission, il faut vérifier divers indicateurs, les indicateurs correspondant à l'organisation de l'opération peuvent être organisés en deux ou trois jours, puis faire la queue pour effectuer une demi-journée ou une journée, si la cardiographie n'est pas grave, 24 heures d'observation peuvent suffire pour sortir, si la cardiographie est effectuée le matin, l'après-midi du lendemain peut suffire pour sortir. Il suffit de ne pas faire de travaux lourds pendant une semaine après le retour à la maison.

Conclusion : la coronarographie est une procédure à très faible risque, relativement sûre et presque indolore. De nos jours, de nombreux hôpitaux peuvent effectuer une coronarographie par l'artère radiale, et les patients qui subissent une intervention coronarienne par l'artère radiale peuvent se voir retirer la gaine artérielle immédiatement après l'opération, subir une compression de l'artère radiale pendant 4 à 10 minutes, et une fixation par pression pendant 3 à 6 heures. Les patients peuvent se déplacer librement sur le sol immédiatement après l'opération. Dans les pays étrangers, si aucun stent n'est posé sur ce type de patients, ils ne peuvent pas être hospitalisés, alors qu'en Chine, l'hospitalisation est nécessaire pour l'observation.
Le temps de repos nécessaire après un cardiogramme est déterminé par le degré de nocivité de l'examen pour l'organisme et par l'existence ou non d'un risque ; d'une part, si le degré de nocivité est élevé, vous devrez récupérer plus longtemps et, d'autre part, s'il existe un risque, vous devrez attendre que la période de risque soit passée. Dans quelle mesure un cardiogramme est-il nocif pour l'organisme et quels en sont les risques ? Parlons-en aujourd'hui.

Qu'est-ce que la cardiographie ?
L'examen d'imagerie cardiaque auquel il est fait référence est principalement une coronarographie, qui est l'examen de référence pour vérifier les artères coronaires. Vous avez peut-être entendu parler de l'infarctus du myocarde ou de l'ischémie myocardique, qui est en grande partie due à des problèmes au niveau des artères coronaires, et la coronarographie nous permet de voir les artères coronaires et de savoir si elles sont sténosées ou obstruées, ce qui est également connu comme l'examen de référence pour le contrôle des artères coronaires. C'est surtout en cas d'athérosclérose coronaire sévère que cet examen est nécessaire pour évaluer le degré de sténose et déterminer s'il faut poser un stent.
Un examen d'imagerie cardiaque consiste à insérer un cathéter très fin dans l'aorte et à injecter un produit de contraste dans la circulation sanguine aortique par un petit trou situé à l'avant du cathéter.

Afin de comprendre les dangers et les risques, nous avons rendu le processus d'inspection suffisamment spécifique pour que vous puissiez le comprendre !
Il s'agit d'une ponction de l'artère radiale de la main ou de l'artère fémorale à la racine de la cuisse, le cathéter sera envoyé le long des vaisseaux sanguins artériels, a été étendu aux artères coronaires, injecté dans l'agent de contraste, l'agent de contraste sera mélangé à nos artères coronaires du sang, rempli avec les artères coronaires, les vaisseaux sanguins dans la radiographie n'est pas visible, mais après l'injection de l'agent de contraste, peut être visible sous la radiographie, nous serons en mesure d'observer la situation des vaisseaux sanguins pour voir la situation des blocages, de la sténose, de la plaque ! Nous pouvons alors examiner le vaisseau sanguin pour voir s'il y a un blocage, un rétrécissement ou une plaque !
Connaissant le déroulement exact du test, parlons des risques !
Dangers de la cardiographie
Point 1 : Allergie aux produits de contraste
Certains patients développent une allergie après l'injection d'un médicament et présentent des manifestations allergiques courantes telles que des démangeaisons et des éruptions cutanées ; dans les cas les plus graves, un choc anaphylactique peut se produire. Toutefois, en général, ces cas ne sont pas rares et le médecin est toujours présent auprès du patient pendant l'examen, de sorte que même si cela se produit, le médecin sera en mesure de le détecter à temps et de le traiter en conséquence.

Point 2 : Dommages aux vaisseaux sanguins
Il s'agit d'une procédure intrinsèquement invasive, et le cathéter doit parcourir une longue distance à travers les vaisseaux sanguins, ce qui entraîne inévitablement des bosses et des ecchymoses, mais les blessures dangereuses sont rares, donc ne vous inquiétez pas trop à ce sujet.
Point 3 : Hématome au point de ponction
Comme il s'agit d'une artère, la cicatrisation de l'ouverture après une ponction artérielle est relativement plus longue. Pendant cette période, s'il y a un suintement de sang de la ponction sur l'artère, il y aura un hématome sous la peau, voire une ecchymose, ce qui constitue le point central des soins après la ponction.

Point 4 : Dangers des produits de contraste pour les reins
Comme nous ne pouvons pas aspirer l'agent de contraste une fois qu'il a pénétré dans la circulation sanguine, notre corps doit le métaboliser, et le processus de métabolisme nécessite l'intervention de nos reins. Mais ne vous inquiétez pas trop, ce n'est pas un problème pour le commun des mortels.
Point 5 : Rayonnement
Parce qu'il est développé à l'aide de rayons X, les radiations sont inévitables au cours de l'examen. De nombreuses personnes s'inquiètent des dangers des radiations. Il n'y a pas lieu de s'inquiéter outre mesure, les radiations peuvent être nocives. Mais l'examen de l'opération du médecin est présent, le travail du médecin chaque jour pour recevoir ces radiations, vous vérifiez le jour de recevoir ces radiations, pour dire combien de mal, alors aussi le médecin est le plus tragique. Vous vérifiez que vous recevez des radiations pour sauver des vies, le médecin n'est qu'un travail, vous le pesez !

Combien de temps dois-je me reposer avant un cardiogramme ?
Comme vous l'avez constaté, il s'agit d'un test peu invasif, et le repos au lit est donc indispensable. Veillez à maintenir la pression sur le point de ponction après le retrait du tube.Normalement, vous pouvez vous lever du lit et marcher lorsque vous avez terminé (vous ne pouvez pas marcher avec un piercing à la cuisse). Le compresseur pour la main doit être comprimé pendant 6 heures, et la durée de compression pour la cuisse doit être supérieure à 12 heures. En fonction de l'infiltration de sang, il convient de déterminer la durée spécifique de la compression. Si le saignement diminue ou si la douleur et l'enflure diminuent, il peut être approprié de relâcher la compression.
Les divers dangers et risques mentionnés ci-dessus peuvent être une source d'inquiétude pour les personnes qui sont sur le point de subir ce test ou qui doivent le subir, mais ne vous inquiétez pas outre mesure, la technologie actuelle des tests est très performante, tant que nous coopérons activement avec le médecin pour effectuer le test, celui-ci reste relativement sûr.

Après la cardiographie, buvez beaucoup d'eau, ne faites pas d'activités intenses, ne vous couchez pas tard, mangez léger, évitez les aliments stimulants et l'excitation émotionnelle. En cas de malaise, se rendre immédiatement à l'hôpital pour un suivi.
Merci d'avoir lu, j'espère que ma réponse pourra vous aider, si vous pensez qu'elle n'est pas mauvaise, donnez moi un "like" et partagez la, si vous pouvez aussi me faire part de vos inquiétudes, je pense que c'est le plus grand soutien pour moi, merci !
La cardiographie est une procédure peu invasive et la plupart des patients sortent de l'hôpital le lendemain de l'intervention ; la durée exacte du repos nécessaire dépend des aspects suivants
1. l'état du point de ponction
La grande majorité des patients subissent désormais une coronarographie par l'artère radiale, ce qui signifie que la gaine est placée par ponction dans le poignet, et que tout ce qui est exigé après l'opération est que le poignet ne se plie pas et qu'il puisse bouger normalement le deuxième jour, lorsqu'il n'y a pas de saignement important au niveau de la plaie.
Chez un petit pourcentage de patients, l'imagerie de l'artère fémorale, où une gaine est placée par ponction à la base de la cuisse, la récupération est relativement lente, le patient ne pouvant pas descendre avant le lendemain et une augmentation progressive de l'activité. En cas de saignement ou d'hématome dans la plaie, la convalescence est un peu plus longue.
Il est important de noter que, que l'opération soit réalisée à partir de l'artère radiale ou de l'artère fémorale, une proportion significative de patients présentera des ecchymoses sous-cutanées à proximité du point de ponction. Si les ecchymoses ne sont pas étendues ou ne grossissent pas progressivement, il n'y a pas lieu de s'inquiéter, et les ecchymoses se résorbent complètement en 1 à 2 semaines environ.
2. la fonction rénale
Pour les patients âgés, les patients souffrant d'une maladie rénale sous-jacente ou les patients ayant de longs antécédents de diabète sucré et d'hypertension, l'utilisation de produits de contraste pendant le processus d'imagerie peut avoir un certain impact sur les reins, et le débit urinaire ainsi que les indicateurs de la fonction rénale doivent être surveillés de près après la procédure.
3. les lésions des artères coronaires
Si l'artère coronaire ne présente pas de problème ou si le problème est très léger, vous pouvez reprendre votre travail et votre vie normale après un repos de deux ou trois jours. En cas d'infarctus aigu, de maladie coronarienne très grave ou même s'il n'est pas possible de poser un stent ou de faire un pontage, vous devez vous reposer pendant au moins 2 à 4 semaines avant d'augmenter prudemment votre niveau d'activité.
En conclusion, la durée du repos nécessaire après l'imagerie varie d'une personne à l'autre et il convient de suivre les conseils du médecin traitant.
Par l'intermédiaire de l'artère radiale périphérique ou de l'artère fémorale et guidé par un fil-guide, un stent est placé dans la partie la plus étroite de l'artère coronaire, ce qui permet de dilater le vaisseau sanguin et de soulager l'ischémie, l'hypoxie et la nécrose.

L'endoprothèse cardiaque étant une opération réalisée dans une artère, un pansement compressif doit être appliqué sur le site de ponction après l'intervention afin d'éviter tout saignement postopératoire. En cas de ponction de l'artère radiale, il faut veiller à ne pas bouger la main de ponction pendant au moins 6 heures après l'opération pour éviter les saignements. En cas de ponction de l'artère fémorale, celle-ci étant une grosse artère avec une pression intravasculaire élevée, il est nécessaire de se reposer au lit pendant 12 à 24 heures après l'opération et d'éviter de sortir du lit pour faire de l'exercice.
Bien sûr, nous pouvons faire des activités appropriées après avoir enlevé le compresseur, mais dans le mois qui suit l'opération, il est toujours nécessaire d'éviter les activités physiques importantes et de se reposer pour faciliter le rétablissement. Si le degré de sténose de l'artère coronaire est inférieur à 50 % pendant l'opération, on parle d'athérosclérose coronaire ; s'il est supérieur à 50 %, on diagnostique une maladie coronarienne ; et si le degré de sténose est supérieur à 75 %, il s'agit d'une des indications pour la mise en place de stents cardiaques.
Les indications pour l'implantation d'un stent sont une sténose de l'artère coronaire supérieure à 75 %, des crises d'angine de poitrine fréquentes ou un infarctus aigu du myocarde. Une fois le stent implanté, il est nécessaire d'insister sur l'amélioration du mode de vie et la prise régulière de médicaments, et de prêter attention à la surveillance des changements de l'état et à l'examen régulier, et si nécessaire, de réimplanter le stent ou de subir un pontage aorto-coronarien pour stabiliser l'état, le contrôler et réduire les complications. Si nécessaire, il convient de réimplanter un stent ou de procéder à un pontage coronarien afin de stabiliser et de contrôler la maladie et de réduire les complications.
Cet article a été rédigé par GP Sweeps et nous espérons qu'il vous sera utile. Veuillez corriger toute lacune, l'article est fourni à titre de référence uniquement et n'est pas destiné à servir de conseil médical.
La coronarographie est une procédure peu invasive qui est maintenant couramment pratiquée et qui est très sûre. Comme il s'agit d'une procédure peu invasive, il n'est pas nécessaire de se reposer pendant quelques jours pour récupérer, comme c'est le cas pour les procédures chirurgicales, et vous pouvez marcher presque dès que l'intervention est terminée.
I. Sur l'accès à la procédure d'imagerie
Actuellement, il existe deux principaux types d'accès pour l'imagerie : l'artère radiale (dans la main) et l'artère fémorale (à la base de la cuisse). Le principal accès utilisé actuellement est celui de la main. À moins qu'il n'y ait un problème avec les vaisseaux sanguins de la main, certains sont naturellement étroits ; d'autres ont subi tellement d'examens d'imagerie que les artères sont devenues très étroites.
L'avantage de l'accès à l'artère radiale est qu'il est plus facile d'arrêter le saignement avec une compression postopératoire, et le compresseur dans la main est généralement retiré après environ 6 heures pour arrêter le saignement.
L'accès à l'artère fémorale se fait généralement au lit pendant environ 12 heures, car les vaisseaux sanguins à la base de la cuisse sont plus épais et ne peuvent pas être facilement comprimés pour arrêter le saignement.
Dans mon hôpital, après une simple imagerie, vous pouvez généralement sortir le lendemain.
II. le moment de la coronarographie
S'il s'agit d'une simple imagerie, c'est rapide, environ une demi-heure entre le moment où vous entrez dans la salle d'opération et le moment où vous en sortez. Si un stent est nécessaire, ce délai est impossible à évaluer.
III. sur l'excrétion des produits de contraste
La coronarographie nécessite un produit de contraste, qui est également facilement excrété. Tant qu'il n'y a pas de problème de fonction rénale et que l'on boit plus d'eau après l'intervention, le produit peut être excrété rapidement.
Combien de temps dois-je me reposer après un cardiogramme ? Lorsqu'il s'agit de savoir combien de temps il faut se reposer après un cardiogramme, les médecins ont des recommandations différentes. Certains disent qu'après l'examen, vous êtes normal et qu'il n'est pas nécessaire de vous reposer, tandis que d'autres disent qu'il faut se reposer longtemps. Alors, comment reconnaître ce problème ? Je vais vous donner quelques avis personnels.

Il convient de dire que tous les patients atteints de coronaropathie, ainsi que ceux dont la coronaropathie est suspectée, ne savent pas combien de temps ils doivent se reposer après une coronarographie. En fait, cette situation dépend également de la situation spécifique. Par exemple, s'il s'agit d'un patient souffrant d'un infarctus aigu du myocarde, après la coronarographie et l'intervention, il peut avoir besoin de se reposer pendant une période plus longue, et ne peut pas nécessairement se déplacer immédiatement après l'intervention, mais peut avoir besoin de se reposer pendant une à deux semaines. Et pour certains patients dont la coronarographie suggère que la sténose coronaire n'est pas sévère, ou même qu'il n'y a pas de maladie coronarienne, le patient n'a pas vraiment besoin de repos supplémentaire après l'intervention. Par exemple, de nos jours, il y a de plus en plus de coronarographies par ponction de l'artère radiale, une fois que la coronarographie est faite à cet endroit, peu importe qui, il faut faire attention à moins d'activités à cet endroit après l'opération, en particulier un étirement excessif de cet endroit n'est pas conseillé, et il faut veiller à laisser cet endroit se rétablir pendant 1 à 2 semaines avant d'entreprendre des activités. Il est important de laisser la zone se rétablir pendant 1 à 2 semaines avant de la déplacer.

Il y a une leçon à tirer de ces propos. J'ai moi-même eu un patient qui souffrait toujours d'oppression thoracique et dont la coronarographie n'a révélé qu'une légère lésion des vaisseaux coronaires, sans gravité. Le patient est sorti de l'hôpital le troisième jour après l'opération, et la ponction de l'artère radiale s'est assez bien rétablie après la sortie, mais le cinquième jour après la sortie, le bras de ponction de la coronarographie a été utilisé pour porter un objet lourd, ce qui a entraîné une déchirure de l'artère radiale ponctionnée, et l'artère radiale a saigné sévèrement, et le patient a été hospitalisé à nouveau pour être traité. Bien que je me sois rétabli plus tard, je pense toujours que ce genre de choses peut être évité avec quelques jours de repos supplémentaires, alors pourquoi devez-vous être si pressé de bouger le bras de la ponction de l'angiographie coronarienne si vigoureusement.
En fait, il n'y a pas de réponse fixe à la question de savoir combien de temps il faut se reposer après une coronarographie, et cette question varie également d'une personne à l'autre, et ne peut pas être généralisée, car elle implique l'état spécifique du patient. En ce qui concerne le site de ponction de la coronarographie, nous essayons d'éviter les activités d'étirement postopératoires trop précoces, nous essayons de le laisser récupérer un peu plus fermement dans les activités, dites-vous ?
Avec l'augmentation de l'incidence des maladies coronariennes et la maîtrise croissante de la coronarographie par les cardiologues, de plus en plus de personnes subissent une angiographie cardiaque. Malgré cela, les gens n'ont toujours aucune idée de ce qu'est la coronarographie, et il y a même beaucoup de gens qui n'ont aucune connaissance à ce sujet. C'est pourquoi l'auteur de la question a demandé combien de temps il fallait se reposer après une cardiographie. Aujourd'hui, nous allons nous pencher sur la mystérieuse coronarographie et répondre à la question de l'auteur de la question.
I. Qu'est-ce que la cardiographie ?
Pour être précis, un cardiogramme est appelé coronarographie, principalement parce que les vaisseaux sanguins qui alimentent le cœur sont appelés artères coronaires. La coronarographie est un examen invasif qui consiste à utiliser des cathéters le long de nos artères périphériques, principalement autour des artères après leur entrée, pour envoyer le cathéter de contraste à l'ouverture des artères coronaires, puis à travers le cathéter de contraste poussé dans une certaine quantité de produit de contraste, de sorte que les artères coronaires du cœur réalisent des images, afin de déterminer l'existence des artères coronaires, ainsi que pour guider les artères coronaires sur la manière de poursuivre le traitement d'un problème important. C'est ce que l'on appelle la coronarographie.
Deuxièmement, la cardiographie est-elle compliquée ?
Avec les progrès technologiques, la coronarographie est devenue un examen très populaire. Un opérateur plus habile peut réaliser une coronarographie en moins de 10 minutes, ce qui montre que la coronarographie du cœur n'est pas très compliquée. Cependant, il existe encore quelques exceptions où la coronarographie est plus complexe, prend plus de temps et demande plus d'efforts. Mais la grande majorité des coronarographies sont relativement simples et comportent très peu de risques.
C. Combien de temps dois-je me reposer après la cardiographie ?
La coronarographie est un examen relativement courant, utilisé couramment et simple dans de nombreux endroits, et fait même partie de la chirurgie d'un jour dans certains hôpitaux. Dans notre hôpital, de nombreux patients bénéficient d'une chirurgie d'un jour sans avoir à être hospitalisés, s'il n'y a pas de problème, ils peuvent partir immédiatement après le test. Donc, si tout est normal et qu'il n'y a pas de complications après la coronarographie, la grande majorité des patients peuvent être aussi normaux qu'ils l'étaient le deuxième jour. Toutefois, si l'imagerie présente un problème qui nécessite un traitement supplémentaire, le patient peut avoir besoin d'un repos raisonnable, ainsi que de médicaments et d'un traitement continu pour sa maladie.
La coronarographie n'est pas aussi effrayante qu'elle en a l'air et tout le monde n'en a pas besoin, il y a des indications et des contre-indications ! Vous voyez ce que je veux dire ? Suivez-nous pour des mises à jour quotidiennes sur la science.
Ces questions et réponses proviennent des utilisateurs du site, elles ne représentent pas la position du site, s'il y a une infraction, veuillez contacter l'administrateur pour la supprimer.