Certaines personnes souffrent d'un infarctus cérébral caverneux mais ne ressentent rien par elles-mêmes, ne doivent-elles pas être traitées ? Pourquoi ne pas le faire ?
Certaines personnes souffrent d'un infarctus cérébral caverneux mais ne ressentent rien par elles-mêmes, ne doivent-elles pas être traitées ? Pourquoi ne pas le faire ?
L'affirmation selon laquelle un infarctus caverneux est un infarctus cérébral a effrayé un grand nombre de personnes qui, à l'occasion d'un scanner ou d'une IRM de la tête, ont constaté la présence d'infarctus caverneux uniques ou multiples, ce qui a entraîné l'administration d'aspirine, de statines, etc. Est-il vraiment nécessaire de s'occuper de ces foyers d'infarctus qui ne mesurent que quelques millimètres ?
1) Les médecins du monde entier ont jusqu'à présent fait de nombreuses suggestions différentes sur la pathogenèse des infarctus lacunaires, avec des hypothèses telles que le vieillissement des terminaisons artérielles, l'obstruction du sang par des "déchets" (qu'entendez-vous par "déchets" ?), une viscosité sanguine élevée, un spasme des petites artères, etc. Des théories telles que le vieillissement des terminaisons artérielles, l'engorgement du sang par des "déchets" (qu'entendez-vous par "déchets" ?), une viscosité sanguine élevée, un spasme des petites artères, etc. À titre d'exemple, l'artère carotide interne est le tronc d'un arbre, les feuilles de l'arbre sont les groupes de cellules cérébrales, et l'infarctus luminal est l'occlusion du tronc (microvaisseau) reliant une feuille à l'autre, entraînant la mort de la feuille. Dans l'analogie où la feuille pousse là où les gens peuvent la voir (un groupe de cellules cérébrales fonctionnelles), différentes zones fonctionnelles produiront des symptômes transitoires : vertiges, salivation, troubles de l'élocution, etc. Si la feuille morte se trouve dans un endroit où les gens ne peuvent pas la voir, c'est-à-dire dans une zone non fonctionnelle, il n'y a aucun symptôme et, bien sûr, vous n'en savez rien.
2) On peut affirmer avec certitude que la proportion d'infarctus caverneux est étroitement liée à l'âge : plus de 50 % des personnes âgées de plus de 60 ans trouveront des foyers d'infarctus caverneux (ombres de faible densité) lors du scanner, plus de 80 % des personnes âgées de plus de 70 ans en trouveront, parfois plus d'un, et la grande majorité des personnes âgées de plus de 80 ans présentent des infarctus caverneux multiples. Par conséquent, en l'absence de thrombose cérébrale, les infarctus cérébraux (thrombose par rupture d'une petite plaque artérielle, la taille de l'infarctus est beaucoup plus importante que celle des infarctus caverneux) peuvent être considérés comme le résultat du vieillissement des terminaisons artérielles cérébrales. En revanche, on constate aujourd'hui que les jeunes de 30 à 50 ans présentent un pourcentage élevé d'infarctus caverneux, dont la plupart sont liés à des spasmes émotionnels, induits par le stress, des petites artères cérébrales, qui provoquent la mort irréversible des cellules cérébrales en seulement 4 à 6 minutes.
3) L'infarctus du myocarde est directement proportionnel à l'âge, y a-t-il donc un lien avec les trois temps forts ? La réponse est oui ! L'hypertension à long terme des petites artères périphériques dans la haute pression et les fibres élastiques endothéliales vasculaires, les fibres de collagène perte prématurée de l'élasticité, la couche moyenne de la prolifération des muscles lisses de l'anneau et d'autres facteurs font l'ischémie des micro-artères en aval, le vieillissement plus rapide, l'hyperglycémie et l'hyperlipidémie aggraveront également les dommages aux petites artères périphériques et à la récession. Bien entendu, dans l'oreillette gauche d'une fibrillation auriculaire pathologiquement élargie, l'auricule gauche est parfois délogé par des particules de thrombus, qui peuvent également bloquer les micro-artères périphériques. Des dizaines de substances nocives absorbées dans la circulation sanguine par le tabagisme peuvent également endommager les minuscules artères périphériques. L'infarctus cérébral est la façon dont Dieu prend soin de vous, si une rupture de plaque se produit dans les artères moyennes et petites à cause des trois contrôles de haut niveau et du tabagisme excessif, cela conduira à des infarctus cérébraux de différentes tailles, et ce serait désastreux, et il est difficile de dire les conséquences de l'hémiplégie, de l'aphasie, des difficultés d'élocution, des troubles de la déglutition, et de l'incapacité à prendre soin de soi, etc.
Les patients atteints d'infarctus du myocarde qui souffrent d'hypertension, d'hyperlipidémie, de diabète sucré et qui ont subi des événements cardiovasculaires et cérébrovasculaires, ou qui ont subi une ICP avec implantation d'un stent, qui fument depuis plus de 400 ans (nombre de cigarettes fumées par jour X nombre d'années) et qui présentent des plaques multiples, en particulier des plaques molles détectées par échographie vasculaire et tomodensitométrie, doivent être traités à l'aspirine et aux statines pour prévenir la rupture des plaques et la formation d'un nouveau thrombus entraînant un infarctus cérébral ou un infarctus cardiaque, et pour réduire la survenue d'infarctus du myocarde. Occurrences multiples. Il est plus important de contrôler le régime alimentaire, le poids, l'exercice physique et les émotions, sinon l'augmentation de l'adrénaline dans le sang, sous l'effet de l'excitation et de la colère, provoquera des spasmes artériels, qui se produiront dans les petites artères d'un infarctus de la cavité, et plus il y a de plaques molles dans les artères, plus l'infarctus cérébral se produira, et parfois les émotions sont plus difficiles à contrôler, le cœur le sait, mais il est difficile de le faire. Contrôler, le cœur comprend que c'est difficile à faire, puis apprendre Q, le ciel n'a pas d'importance.
2018.9.7
Les patients atteints d'infarctus cérébraux lacunaires asymptomatiques doivent être reconnaissants à Dieu de les avoir avertis.
L'infarctus cérébral lacunaire est la forme la plus légère d'infarctus cérébral.
Cependant, un infarctus cérébral lacunaire signifie que les vaisseaux sanguins du cerveau du patient, ou même du corps, ont développé des problèmes. Dans ce cas, heureusement, seul un petit vaisseau sanguin sans importance a été bloqué et n'a pas pu provoquer de symptômes graves. Cependant, le vaisseau sanguin du patient a déjà eu un gros problème et si aucune attention n'y est portée, il pourrait se transformer en un grave infarctus cérébral à l'avenir.
Par conséquent, en cas d'infarctus lacunaire du cerveau, les mesures suivantes doivent être prises immédiatement
1. contrôle des lipides sanguins, de la routine sanguine, des fonctions hépatiques et rénales, contrôle de l'échographie carotidienne et mesure de la tension artérielle et de la glycémie
Le bilan lipidique sanguin permet de vérifier l'existence d'une hyperlipidémie. Si c'est le cas, il convient d'envisager la prise d'un médicament hypolipidémiant.
Une échographie carotidienne est réalisée pour rechercher des plaques et des sténoses dans les artères carotides.
Mesurez votre tension artérielle pour vérifier si vous souffrez d'hypertension, qui est l'une des principales causes des attaques cérébrales.
La glycémie est mesurée afin d'écarter la possibilité d'un diabète.
Les fonctions hépatiques et rénales permettent d'une part d'évaluer le fonctionnement du foie, des reins et de la coagulation, et d'autre part d'évaluer la prise de médicaments à l'avenir.
2) Consultez votre médecin pour savoir si vous devez commencer à prendre de l'aspirine ou des médicaments hypolipidémiants. Si vous souffrez d'hypertension artérielle, d'hyperglycémie ou d'hypercholestérolémie, consultez également votre médecin pour savoir comment prendre des médicaments pour ces affections.
3. améliorer l'exercice, perdre du poids, perdre de la graisse
4. manger moins d'aliments gras, moins d'aliments à forte teneur en sucre, boire moins de lait, de thé et de cola, vous pouvez boire du thé.
Remplacer le saindoux par de l'huile d'olive, manger plus de légumes et de fruits frais.
5. examen régulier à l'hôpital
Comme le vaisseau sanguin est déjà anormal, il est important d'essayer de retarder la prochaine fois qu'un blocage se produit, car s'il revient la prochaine fois, il y a un risque que ce soit une attaque cérébrale très grave.
De nombreuses personnes âgées verront le diagnostic d'"infarctus cérébral" sur le bulletin après avoir passé un scanner à l'hôpital. Dès qu'elles voient le mot "infarctus cérébral", elles ne peuvent s'empêcher d'être effrayées et de se précipiter pour demander au médecin : ai-je eu un accident vasculaire cérébral ? Serai-je paralysé ?

Différence entre infarctus cérébral et infarctus cérébral lacunaire
1. infarctus cérébral :Le terme "infarctus cérébral" désigne l'interruption de la circulation sanguine dans les vaisseaux sanguins de grande et moyenne taille qui alimentent le cerveau en sang, en raison de l'athérosclérose ou de caillots sanguins, entraînant une ischémie et une nécrose du tissu cérébral dans la zone correspondante, ce qui peut entraîner une paralysie ou des conséquences encore plus graves pour le patient.
2. infarctus cérébral caverneux :Il s'agit d'une affection dans laquelle les petites artères du cerveau, en raison d'une hypertension de longue date, d'un diabète sucré et d'une hyperlipidémie, développent des lésions dans les parois des vaisseaux sanguins au fur et à mesure qu'elles vieillissent, ce qui entraîne l'occlusion de la lumière et la formation de petits foyers d'infarctus.
En d'autres termes, un infarctus cérébral est la conséquence d'un blocage dans une artère de taille moyenne à grande, tandis qu'un infarctus cérébral lacunaire est la conséquence d'un blocage dans une artère de très petite taille.

Symptômes de l'infarctus cérébral lacunaire
Le vaisseau sanguin bloqué par l'infarctus cérébral lacunaire étant très petit, le tissu cérébral est très peu endommagé et les manifestations cliniques sont souvent très légères. La plupart des patients ne présentent aucun symptôme clinique, et seul un petit nombre d'entre eux peut présenter des symptômes tels que des étourdissements, des maux de tête, un engourdissement des membres, des vertiges, des pertes de mémoire, un ralentissement du temps de réaction, une démence, etc. En termes d'incidence, à mesure que l'âge augmente, presque toutes les personnes âgées souffrent d'infarctus cérébral lacunaire.
L'infarctus cérébral lacunaire nécessite-t-il un traitement ?
En général, le pronostic de l'infarctus cérébral caverneux est bon, avec un faible taux d'invalidité, et les patients peuvent vivre et travailler normalement. Pour certains patients symptomatiques, la perfusion à court terme de médicaments qui activent la circulation sanguine et éliminent la stase sanguine peut être envisagée pour soulager les symptômes ; en l'absence de symptômes évidents, aucun traitement spécial n'est nécessaire pour l'infarctus cérébral lacunaire lui-même, mais des interventions ciblées doivent être menées sur les facteurs de risque des patients pour réduire le risque de récurrence de l'infarctus cérébral lacunaire et de l'infarctus cérébral massif.

Comment puis-je prévenir la réapparition d'un infarctus cérébral lacunaire ou le développement d'un infarctus cérébral ?
1) Stabiliser ses émotions et faire preuve de bon sens :Ne soyez pas trop nerveux après avoir découvert un infarctus cérébral lacunaire, vous devez conserver un état d'esprit positif et optimiste, qui est non seulement un facteur important dans la prévention des maladies cardiovasculaires et cérébrovasculaires, mais aussi la clé et le secret de la longévité. Parallèlement, il convient de pratiquer des exercices physiques et des activités physiques appropriés et modérés en fonction de la condition physique de l'individu, jusqu'à ce qu'il ne se sente pas fatigué. Il est déconseillé de pratiquer des exercices épuisants tels que la course rapide et l'escalade, mais des exercices aérobiques tels que le jogging, la marche et le tai-chi peuvent être pratiqués.
2. développer de bonnes habitudes alimentaires :Les patients atteints d'infarctus cérébral lacunaire doivent s'abstenir de fumer et de boire de l'alcool, suivre un régime alimentaire léger et diversifier leur alimentation en consommant davantage de légumes et de fruits frais.
3. supprimer les facteurs de risque :L'hypertension, le diabète sucré, l'hyperlipidémie, l'athérosclérose, la viscosité sanguine élevée, le tabagisme et la consommation d'alcool sont tous considérés comme des facteurs de risque d'infarctus du myocarde. Il convient donc de contrôler activement la tension artérielle, la glycémie et les lipides sanguins, et de s'abstenir de fumer et de boire de l'alcool. Il est nécessaire de prendre des médicaments antiplaquettaires (par exemple l'aspirine) et des médicaments stabilisant la plaque (par exemple les gélules d'atorvastatine calcique).

4. des inspections régulières :Des examens réguliers permettent de détecter les problèmes à un stade précoce et d'intervenir rapidement.
★ Si cette réponse est utile, merci de l'aimer et de la soutenir !
Les questions relatives à l'infarctus cérébral caverneux sont l'une des questions les plus fréquemment posées en clinique. On peut dire qu'avec les progrès des équipements d'examen et la popularité des examens médicaux, la tomodensitométrie crânienne est devenue très courante et, par conséquent, de plus en plus de personnes découvrent qu'elles souffrent d'un infarctus cérébral caverneux. Alors, comment faire face à l'infarctus cérébral caverneux ?
En fait, à proprement parler, l'infarctus cérébral lacunaire est un petit foyer d'infarctus formé lorsque les petites artères pénétrantes de la partie profonde des hémisphères cérébraux ou du tronc cérébral subissent une occlusion de la lumière vasculaire en raison de l'implication de divers facteurs de risque à long terme, en particulier l'effet de l'hypertension. Pour faire une analogie, si le cerveau est une feuille de papier blanc, l'infarctus cérébral lacunaire est une graine de sésame saupoudrée sur le papier blanc, très petite, mais qui existe déjà.
Si le patient présente de nombreux facteurs de risque, tels que le tabagisme et l'alcoolisme, l'obésité, l'hypertension artérielle, le diabète sucré, l'hyperlipidémie et ainsi de suite, il est très probable qu'un traitement soit nécessaire, par exemple l'administration d'aspirine et de statines par voie orale. Toutefois, si seul un infarctus cérébral lacunaire est détecté et qu'il n'y a pas d'autres facteurs de risque, il est également possible d'améliorer d'abord le mode de vie, notamment en surveillant de près la tension artérielle, les lipides sanguins et la glycémie, puis d'administrer des médicaments si nécessaire.
En résumé, le traitement de l'infarctus cérébral caverneux doit dépendre de la situation spécifique du patient, toutes les personnes ne sont pas identiques, en fonction de la situation individuelle, l'analyse se fait au cas par cas.
Qu'est-ce qu'un infarctus cérébral lacunaire ?
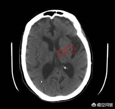
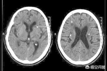
Les infarctus cérébraux caverneux sont des micro-infarctus ischémiques survenant dans la substance blanche profonde des hémisphères cérébraux et du tronc cérébral. Les foyers d'infarctus sont irrégulièrement arrondis, ovoïdes ou étroitement allongés et mesurent généralement quelques millimètres de diamètre. Dans le passé, ce phénomène n'était détecté que lors de l'anatomie pathologique du cerveau humain. Les techniques de tomodensitométrie et de résonance magnétique étant devenues plus courantes et plus avancées, la probabilité de détecter des infarctus cérébraux lacunaires a augmenté.

Causes de l'infarctus cérébral lacunaire ?
La cause de l'infarctus cérébral lacunaire n'est pas particulièrement claire, mais l'opinion la plus répandue est qu'il est lié à la dégénérescence des petites artères et des microartérioles causée par des facteurs tels que l'hypertension et le diabète sucré, entraînant une occlusion vasculaire.
Symptômes de l'infarctus cérébral lacunaire ?
Les symptômes de l'infarctus cérébral lacunaire sont variés et peuvent se manifester par des anomalies motrices, des anomalies sensorielles, une ataxie, une dysarthrie, etc. en fonction du site de l'infarctus cérébral. Cependant, ses caractéristiques générales sont des symptômes relativement légers, un signe unique, un bon pronostic, l'absence de maux de tête, d'hypertension intracrânienne, de troubles de la conscience, etc. Si l'infarctus se produit dans une zone sans importance, il est très possible que le patient lui-même se sente très léger et n'y prête pas attention, voire qu'il ne ressente rien du tout.
L'infarctus cérébral lacunaire nécessite-t-il un traitement ?
L'infarctus cérébral caverneux est plus fréquent chez les patients d'âge moyen et les personnes âgées, et plus fréquent chez les hommes que chez les femmes.
Dans certains cas, il est découvert accidentellement, sans symptômes évidents, et il est très probable que la lésion soit déjà ancienne et que l'infarctus se soit produit depuis longtemps. Ce type d'infarctus cérébral n'a plus besoin d'être traité, mais il constitue un signal d'alarme fort :
La situation cérébrovasculaire s'est très probablement détériorée.
C'est comme les innombrables petites branches d'un grand arbre : lorsque nous constatons que certaines branches commencent à mourir de manière inexpliquée, nous devons être attentifs au fait que d'autres branches ne se portent pas aussi bien.

Que dois-je faire si je découvre un infarctus cérébral lacunaire de manière inattendue ?
1 Vérifiez si votre tension artérielle est normale. Si vous avez déjà des antécédents d'hypertension artérielle, vous devez également vous demander si votre tension artérielle est généralement bien contrôlée.
2 Vérifiez que votre glycémie est normale. Si vous êtes déjà diabétique, il est encore plus important de vérifier si votre glycémie est contrôlée régulièrement.
3 Vérifiez que vos lipides sanguins ne présentent pas d'anomalies.
4 Examiner l'échographie cardiaque, les artères carotides et l'échographie cérébrovasculaire pour détecter la présence de caillots sanguins ou de plaques dans les vaisseaux sanguins.
5 Arrêtez de fumer et de boire, menez une vie régulière, reposez-vous bien et ne vous couchez pas tard.
6 Faites de l'exercice régulièrement et contrôlez votre poids.
7 Après un examen médical approfondi, prendre de l'aspirine, des statines et d'autres médicaments sous surveillance médicale si nécessaire pour prévenir la récurrence de l'infarctus cérébral.
Bienvenue sur le site du Dr Cheng pour en savoir plus sur les maladies courantes.
N'hésitez pas à laisser un commentaire pour en discuter.
La plupart des patients atteints d'infarctus cérébral lacunaire sont asymptomatiques en raison de la petite taille des infarctus et du fait qu'ils se produisent souvent dans des parties non fonctionnelles du cerveau. Ceux qui présentent des symptômes sont généralement légers, de sorte que le pronostic de la maladie est généralement bon. Toutefois, qu'il soit ressenti ou non, un infarctus lacunaire doit être pris au sérieux.
Dans la plupart des cas, il n'existe pas de traitement spécifique de l'infarctus lacunaire en soi, mais l'essentiel est de comprendre les causes de la maladie et d'intervenir sur les facteurs de risque du patient afin de réduire le risque d'infarctus lacunaire récurrent et d'infarctus massif.
L'hypertension est la principale cause d'infarctus cérébral lacunaire. Si vous souffrez d'hypertension, vous devez la contrôler soigneusement et veiller à ce qu'elle ne dépasse pas 140/90 mmHg.
Parallèlement, il est également nécessaire de suivre un régime pauvre en sel et en graisses, comme dans le cas de la prévention d'autres maladies cérébrovasculaires, de faire de l'exercice de manière appropriée, de maintenir un mode de vie sain, de s'abstenir de fumer et de limiter la consommation d'alcool, d'augmenter l'exercice en plein air, de contrôler le poids corporel, de maintenir une stabilité émotionnelle et de contrôler la glycémie et les lipides sanguins, de manière à ajuster l'organisme à son état optimal. Parallèlement, la nécessité d'un traitement à base de statines et d'aspirine doit également être décidée au cas par cas, sous la supervision d'un médecin.
Ces questions et réponses proviennent des utilisateurs du site, elles ne représentent pas la position du site, s'il y a une infraction, veuillez contacter l'administrateur pour la supprimer.