Les médecins savent d'un coup d'œil ce qui ne va pas, alors pourquoi demandent-ils aux patients de passer des tests ?
Les médecins savent d'un coup d'œil ce qui ne va pas, alors pourquoi demandent-ils aux patients de passer des tests ?
Je suis également très confus, une fois, mon doigt du milieu rouge gonfle la douleur, se sent très grave, à l'hôpital de soins tertiaires, qui connaît la chirurgie seulement le médecin en chef adjoint assis, expliquer la situation, il m'a facturé pour faire l'échographie, la radiographie, j'ai dit que c'est une incision de cellulite pour drainer le pus, ne pas le rendre si compliqué, il a dit que c'est l'infection de furoncle ! J'ai dit que je n'avais que 600 RMB sur moi, pouvez-vous m'aider à économiser de l'argent ? Il m'a répondu qu'après l'opération, il fallait boire de l'eau pendant trois jours, ce qui revenait à 180 yuans, que l'opération nécessitait également une anesthésie, des frais chirurgicaux, des pansements et ainsi de suite, mais aussi l'ablation des points de suture. J'ai demandé si je pouvais prendre des médicaments à la place. Il m'a répondu que non ! J'ai dû dire que je retournais emprunter 400 yuans, j'ai zappé ! J'ai changé de centre de santé communautaire, le chirurgien m'a dit que nous étions moins chers que l'hôpital tertiaire ici tant que 800 yuans, puis j'ai changé de centre, le chirurgien n'est pas dans la classe, seulement le médecin généraliste, elle a appelé le chirurgien pour le consulter, m'a donné une boîte de cefradine, 7,5 yuans. Elle m'a dit qu'ils n'avaient pas d'ichtyol ici, alors allez à la pharmacie en face de vous en acheter un et appliquez-le sur la tête de votre majeur, et revenez dans quelques jours si ce n'est pas bon. Une fois rentré chez moi, je l'ai pris et je l'ai appliqué, et tout allait bien ! Hélas, je n'ai pas laissé le chirurgien le faire, et je suis gêné de le saluer la prochaine fois que je les croise.
Les médecins ne sont pas des dieux et les maladies ne sont pas de simples problèmes arithmétiques que l'on peut résoudre d'un coup d'œil ; bien souvent, elles doivent être éliminées.

Nous avons rencontré aujourd'hui un patient souffrant d'une hypertrophie de la prostate et de difficultés à uriner en vue d'une intervention chirurgicale. L'examen préopératoire de routine doit être approfondi afin d'exclure toute maladie grave, ce qui a conduit à la découverte d'un adénocarcinome du côté gauche des poumons, alors qu'il n'a encore présenté aucun symptôme pulmonaire.
À ce stade, il n'est pas possible de procéder d'abord à une opération de la prostate, il faut retirer le cancer du poumon de toute urgence !
Il existe de nombreuses maladies malignes dont les symptômes précoces sont si bénins qu'au premier coup d'œil, il existe une infinité de possibilités, et les faussetés doivent être éliminées par l'examen.
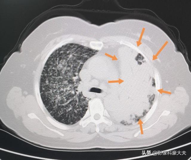
Il s'agit aujourd'hui d'une autre patiente qui a subi un repas baryté pour vérifier son estomac parce qu'elle n'aimait pas manger, ce qui a donné lieu à une fluoroscopie qui a révélé des ombres se développant dans ses poumons, suivie d'un scanner thoracique qui a confirmé le diagnostic de cancer du poumon avancé avec des métastases étendues. ......
Il existe également des infarctus du myocarde précoces, qui se manifestent par une douleur à l'épaule, un mal de dents, un engourdissement des mains, etc.
Les médecins doivent-ils s'appuyer sur des instruments avancés ?
Nous sommes au 21ème siècle, l'ère de la 5g arrive à grands pas, il faut utiliser toutes sortes d'équipements avancés, afin de mettre à profit la science et la technologie, d'améliorer considérablement le taux de précision du diagnostic et d'améliorer les compétences médicales !
Nous ne pouvons pas rejeter la liaison ferroviaire express et les avions sous prétexte que le vélo ne consomme pas de carburant et qu'il est écologique. Nous devons être capables d'accepter les nouveautés, les progrès et les changements dans le monde, et nous ne devons pas être des conservateurs bornés.
Je suis le Dr Howe en imagerie. Bienvenue !
Une femme d'âge moyen est venue en urgence à l'hôpital pour une douleur intense dans la partie inférieure droite de l'abdomen, intolérable. Elle a été interrogée sur les antécédents de douleur postprandiale, d'aggravation progressive, de nausées et de vomissements, l'examen de la pression et de la douleur dans la partie inférieure droite de l'abdomen a révélé une tension musculaire et une douleur de rebond. Une échographie de la région appendiculaire a été réalisée et du liquide a été observé. On peut avoir l'impression d'une appendicite aiguë dans un tel cas. Par coïncidence, il s'agit d'une connaissance du médecin, l'intention de la famille est de procéder d'urgence à l'opération, le médecin n'a pas trop réfléchi, a organisé l'opération, a ouvert l'abdomen après que l'appendice ne pose pas de problème, puis a sondé le bassin, l'ovaire a basculé, s'est précipité pour trouver une consultation gynécologique, à la famille de rendre compte de l'état et du programme chirurgical, heureusement que la famille est raisonnable, sinon il est inévitable qu'il y ait une action en justice.
Il y a un cas, nous avons peut-être entendu parler de cas similaires, deux personnes sont venues aux urgences, ont dit l'accident de voiture, deux personnes sont très en colère et n'ont pas discuté, a demandé sur le processus de la collision de la moto avec une voiture électrique, un des bras a une chute, a fait une radiographie et pas de fracture. Le médecin a demandé à l'autre personne où elle n'était pas blessée, le patient a répondu : sur l'estomac, il y a une petite piqûre, ce n'est pas douloureux. Le médecin a vérifié, il n'y a pas d'ecchymose ni de gonflement, mais il n'est toujours pas sûr de lui, il a laissé le patient faire un examen tomodensitométrique de l'abdomen ou subir les conséquences de ses propres actes. Le patient a également effectué un examen, qui a révélé une contusion de la rate. Bien que cela ne soit pas grave, le patient doit rester au lit et être hospitalisé rapidement.
J'en parle depuis longtemps, mais je tiens à dire qu'il y a toujours une certaine marge d'erreur dans le jugement visuel, même en imagerie, et les médecins ont peur qu'il arrive quelque chose au patient, et encore plus peur que quelque chose ne soit pas détecté.
En effet, dans le monde réel, il existe de nombreuses situations dans lesquelles cela est possible, alors comment pouvons-nous faire face à cette situation correctement ? Le Dr Zhang vous expliquera cette question aujourd'hui.

Tout d'abord, de nombreux médecins savent à première vue quel type de maladie ils ont chez leurs patients, et il s'agit là aussi d'une probabilité, dont on ne peut pas dire qu'elle soit certaine à 100 %. Dans la plupart des cas, le diagnostic d'une maladie en médecine moderne nécessite des preuves, c'est-à-dire que nous avons souvent besoin de tests pour étayer notre diagnostic définitif de la maladie. Par exemple, dans le cas des maladies infectieuses, il s'agit parfois d'une infection bactérienne, parfois d'une infection virale, à ce moment-là, même si le médecin peut être très sûr que le patient est infecté, la cause de l'infection nécessite un test sanguin pour déterminer s'il s'agit d'une infection bactérienne ou virale, et c'est pourquoi le médecin doit effectuer des tests supplémentaires. En fait, c'est également le cas pour de nombreuses autres maladies, ce qui constitue également une signification importante de l'examen.

Deuxièmement, même si le médecin a déduit que le patient souffre d'une certaine maladie avec une forte probabilité d'événements, à ce moment-là, il est encore nécessaire d'effectuer certains tests, en plus d'un diagnostic clair, il y a aussi des cas où il est nécessaire de procéder à un examen plus approfondi de la situation. Par exemple, nous allons très souvent à l'hôpital pour voir le médecin, la raison pour laquelle le médecin prescrit un grand nombre de tests est très souvent la nécessité d'examiner l'état du patient pour voir le changement, cette fois même si le patient a l'air en surface de l'amélioration, mais il faut aussi vérifier pour qu'il soit clair que c'est pour la nécessité de surveiller la régression de la maladie. Par exemple, dans le cas de l'hyperlipidémie, outre l'examen initial qui permet de poser un diagnostic clair, la plupart des examens ultérieurs consistent à surveiller les modifications des lipides sanguins, afin de déterminer si l'effet du traitement est bon ou s'il n'y a pas d'amélioration significative, afin d'administrer un traitement ciblé supplémentaire.
Là encore, pour de nombreux patients, le médecin les contrôle également pour détecter les réactions indésirables, ou effets secondaires comme on les appelle dans le langage courant, à leur régime de traitement existant. Par exemple, de nombreux patients qui prennent des médicaments hypolipidémiants à base de statines devront faire contrôler régulièrement leur fonction hépatique et leur créatine kinase afin de vérifier si les statines entraînent des effets secondaires. C'est à ce moment-là que les tests sont effectués pour surveiller les effets secondaires, et ils ont leur raison d'être.
En résumé, l'examen de cette question est souvent nécessaire dans le processus médical, la grande majorité des médecins sont également raisonnables pour prescrire des éléments d'examen, tant qu'il s'agit d'hôpitaux réguliers reconnus au niveau national, en fait, nous pouvons toujours être rassurés. J'espère que l'article publié aujourd'hui par le Dr Zhang pourra vous aider.
Pour plus d'informations sur la santé, vous pouvez cliquer sur la colonne suivante pour obtenir le cours du Dr Zhang sur les lipides sanguins.

Racontez une histoire vraie : l'histoire s'est passée au début de ce mois, une fois j'étais dans l'équipe de nuit quand un patient a eu des douleurs épigastriques, le patient est venu me voir et m'a dit : docteur aidez-moi rapidement à prescrire des médicaments, j'ai de nouveau mal à l'estomac, cette fois je ne comprends pas pourquoi la douleur est plus forte qu'avant ! J'ai regardé le patient, j'ai l'impression que la douleur est vraiment très forte, le visage est un peu pâle, mais aussi en sueur, parce que le patient a été souligné qu'il a des antécédents de "maladie gastrique", j'ai d'abord jugé qu'il pourrait s'agir d'une crise d'ulcère gastroduodénal, mais je ne me sens toujours pas à l'aise, le patient ne peut pas exclure une crise cardiaque, un piégeage artériel, et d'autres maladies graves. J'étais toujours inquiet. J'ai donc d'abord demandé au patient de passer un ECG pour écarter l'hypothèse d'une crise cardiaque. Lorsque le patient a appris qu'il voulait faire l'examen, il s'est mis en colère contre moi : "Je connais mon propre état, j'ai tellement mal maintenant, vous me donnez d'abord un soulagement de la douleur, et ensuite vous voulez m'examiner et me dépouiller, et lorsque je ne souffre pas, vous pouvez m'examiner à votre guise ! Quand j'ai entendu cela, j'étais très en colère, je pensais au patient, mais le patient ne me comprenait pas ! Malgré ma colère, je lui ai expliqué patiemment et il a finalement accepté de faire d'abord un ECG. Devinez le résultat final ? --Un infarctus aigu du myocarde antérieur extensif !
Les médecins ne sont pas des dieux, et il n'y a aucune garantie que leur jugement soit correct à 100 % sans l'authentification d'examens auxiliaires ! Dans de nombreux cas, les médecins ont un jugement préliminaire de la maladie par le biais d'un interrogatoire et d'un examen corporel, mais pour certifier que leur jugement est correct, il est nécessaire d'être assisté par des examens instrumentaux. Après tout, la médecine occidentale est différente de la médecine traditionnelle chinoise, les systèmes théoriques sont également différents, la médecine chinoise peut prendre le pouls, regarder la langue peut être diagnostiquée, la médecine occidentale a besoin d'une base solide, les conclusions réelles de l'examen, donc ne pas faire comme la médecine chinoise si "dash".
Les médecins peuvent parfois déterminer la maladie d'un seul coup d'œil, mais pour formuler un meilleur plan de traitement, ils doivent souvent évaluer l'état du corps, la gravité de la lésion, l'étendue de la lésion, l'existence d'une invasion dans la zone environnante et d'autres facteurs affectant le plan de traitement, qui ne peuvent pas être évalués à l'œil nu, et ils doivent alors utiliser l'instrument pour vérifier.
Je suis un médecin généraliste qui utilise des mots faciles à comprendre pour diffuser des connaissances sur la santé à tout le monde. Si vous trouvez ce site utile, vous pouvez le faire suivre à vos amis qui en ont besoin !
1. pour que les hôpitaux génèrent des revenus.
2) Pour les médecins, éviter la responsabilité.
3. pour que les gens dépensent de l'argent.
En bref, les trois partis sont dans des camps opposés et on ne peut faire confiance à aucun d'entre eux.
L'examiner pour savoir de quel type de maladie il s'agit n'est que le jugement empirique le plus élémentaire, ou le problème le plus courant, mais il y a ici un grand risque, celui de commettre un dogmatisme empirique, entraînant une erreur de jugement, et à ce moment-là, il y a une possibilité que des gens meurent, de sorte qu'un médecin responsable ne devrait jamais se fier uniquement à un jugement empirique.
Pour citer l'exemple le plus simple, dans le cas de la nouvelle pneumonie coronarienne de cette année, au tout début, si nous nous fions à notre expérience et que nous constatons que le patient a de la fièvre, qu'il tousse, etc. Si aucun examen plus approfondi n'est effectué sur le patient, celui-ci deviendra de plus en plus grave.
Si la médecine moderne procède à des tests, c'est pour tenter de réduire le nombre d'erreurs d'appréciation des médecins et pour essayer de traiter les symptômes. Le corps humain, malgré sa complexité, comporte encore des organes que nous ne comprenons pas entièrement, mais sur la base d'une exploration de génération en génération, nous comprenons la plupart d'entre eux et, grâce à un examen détaillé, nous savons où se trouve l'origine de la maladie.
Bien sûr, il y a des gens qui jettent un coup d'œil sur le "dieu médecin", c'est la bienveillance, la sagesse de la chose, de toute façon, ils parlent du traitement de la maladie avec le destin, l'accident ne peut représenter que le patient n'a pas de chance. Nous n'osons pas comparer ce genre de "docteur miracle", après tout, la vie humaine est une question de ciel.
Pour répondre à cette question, il est peut-être préférable de commencer par une étude de cas qui développe les analyses pertinentes.
Récemment, j'ai vu une patiente de 50 ans dans une clinique spécialisée, dont les principaux symptômes étaient : insomnie, transpiration excessive, agitation et humeur maussade. Dans d'autres cliniques, on a diagnostiqué une dépression. Dans d'autres hôpitaux, on a diagnostiqué des troubles phytoneurologiques. Elle est venue ici pour se faire soigner, dans l'espoir d'ajuster correctement son traitement.
Des antécédents et des symptômes détaillés ont été demandés, les tests antérieurs qu'elle avait effectués ont été vérifiés (pour économiser son argent), et presque tous les tests qui auraient dû être effectués l'ont été, à l'exception du scanner crânien, et l'expérience a montré que cette patiente n'était pas vraiment psychosomatique, car ses symptômes comportaient des aspects extrêmement subtils qui n'étaient pas facilement détectables à partir des symptômes dépressifs ordinaires.
J'ai suggéré qu'elle passe un scanner de la tête, et elle a hésité parce que son intention première était que j'ajuste correctement ses médicaments, et le membre de la famille qui l'a suivie a dit résolument : "Oui, oui".
J'ai dit à la famille, et aussi pour apaiser les inquiétudes du patient : "Il y a des avantages à passer un scanner cérébral, et il est temps de le faire, même si c'est juste pour votre propre tranquillité d'esprit".
Peu de temps après, les résultats d'une tomodensitométrie de la tête sont apparus : une lésion occupant de l'espace. Une expression plus directe serait "tumeur cérébrale avancée".
Il est possible qu'elle ait eu une chance de survivre si elle avait subi un scanner crânien lors de son premier rendez-vous chez le psychiatre.
Les principes de ma pratique sont "sûrs, efficaces, économiques et avec un minimum d'effets secondaires".
J'espère que les hôpitaux et les autres médecins suivront ce principe.
C'est une bénédiction pour les médecins, pour les patients et pour la communauté que d'avoir de véritables "médecins au cœur de parents".
Comme il serait agréable de vivre dans une société bénie !

A : Il ne sait pas à partir de deux regards ! Et si tu te trompes ! La responsabilité serait grande ! Les médecins doivent suivre la procédure, non pas pour vous faire économiser de l'argent, mais pour sauver leur réputation et l'hôpital des accidents qui en découlent ! Au début, il n'y avait pas de tests biochimiques ! Et même s'il y en avait, il y en avait très peu ! Certains ne peuvent pas être testés, les médecins ne peuvent qu'utiliser leurs yeux pour voir. Aujourd'hui, la science progresse, les médecins doivent être infaillibles. Il est d'ailleurs responsable de tous les aspects de celle-ci !
Aller chez le médecin n'est pas une question d'économie ! Si vous n'avez pas l'impression d'avoir un problème trop important à régler vous-même pour économiser de l'argent, vous avez presque toujours une petite armoire à pharmacie chez vous de nos jours ! Si vous ne vous sentez pas capable de gérer le problème vous-même, vous devez consulter un médecin sans tarder. Pour ne pas retarder la prise en charge et provoquer une maladie grave. Puisque vous allez à l'hôpital, vous devez suivre la méthode du médecin, et cette méthode est également reconnue par le corps médical !
Les médecins doivent être qualifiés pour recevoir des patients ! Les diplômes sont une reconnaissance médicale nationale de son niveau de compétence ! C'est l'examen à venir ! Par ailleurs, le ministère national de la santé, les provinces et les villes, le système de santé est strictement contrôlé, de sorte que les médecins n'osent pas faire certaines choses imprécises ! Les deux mettent en danger le patient ! Ils manquent également à leur devoir !
Pointu 3 décembre 2021

Les médecins savent d'un seul coup d'œil ce dont ils souffrent, alors pourquoi demandent-ils encore à leurs patients de subir des examens ? Les médecins ne sont pas des immortels et n'ont pas un pouvoir de voyance aussi puissant.
Dans l'état actuel de la médecine, quelle que soit la maladie diagnostiquée, le diagnostic doit être fondé sur des preuves et étayé par des preuves avant de pouvoir être posé, c'est ce qu'on appelle la médecine fondée sur des preuves. Aucun médecin n'examine la maladie et ne pose un diagnostic à l'aveuglette. Bien sûr, lorsque le médecin examine le patient pour la première fois, en même temps que ses antécédents médicaux, il aura ses propres idées et pourra poser son propre diagnostic préliminaire. Mais ce n'est qu'un diagnostic préliminaire et il n'y a pas de preuves. Que peut-on faire ? On ne peut que faire des tests pour trouver des preuves à l'appui du diagnostic ou pour écarter d'autres diagnostics. Avec le développement de la médecine, de plus en plus de maladies sont reconnues par les professionnels de la santé. Ceux qui pensaient avoir les mêmes symptômes et pouvaient diagnostiquer la maladie ont amélioré leur compréhension et constaté qu'il ne s'agissait pas réellement de la maladie. D'autres tests sont nécessaires pour distinguer les deux maladies.
Les médecins n'ont pas besoin de faire des tests pour chaque maladie, et les médecins doivent avoir beaucoup d'expérience et une bonne capacité de diagnostic lorsqu'ils rencontrent des patients afin de déterminer s'il faut ou non faire des tests, et quels tests doivent être effectués pour étayer leur diagnostic.
De nombreuses maladies présentent les mêmes symptômes. Par exemple, tout le monde va chez le médecin pour une toux, et les deux personnes ont un simple rhume et une toux. Ce n'est pas vraiment le cas, l'une peut être atteinte d'une pneumonie et l'autre d'un cancer du poumon. Si l'on ne fait pas de tests et que l'on se contente d'administrer un médicament contre la toux, on retarde le traitement. Vous vous demandez pourquoi il faut faire des tests pour une toux qui se voit au premier coup d'œil ? Le raisonnement est évident.
Certains amis diront encore : "Alors qu'il n'y avait pas de tests dans le passé, pourquoi les médecins pouvaient-ils aussi voir les patients ? Dans le passé, lorsqu'il n'y avait pas de tests, les médecins pouvaient voir les patients, mais le taux d'erreurs de diagnostic était également très élevé. Beaucoup de diagnostics ne sont pas clairs en fin de compte, ils sont retardés jusqu'à la fin du traitement, et finalement, ils ne savent pas comment aller de l'avant.
À l'heure actuelle, le développement continu de la médecine, l'application d'équipements de pointe, le niveau de diagnostic du médecin s'améliore également constamment. Seul un diagnostic précis peut conduire à un traitement plus précis, et personne ne veut se tromper de diagnostic ou retarder le traitement. Par conséquent, plus de compréhension, c'est aussi plus de confiance.
Ces questions et réponses proviennent des utilisateurs du site, elles ne représentent pas la position du site, s'il y a une infraction, veuillez contacter l'administrateur pour la supprimer.