De nombreuses personnes d'âge moyen ou avancé sont victimes d'un infarctus du cerveau, quelles en sont les causes ? Peuvent-elles se rétablir ?
De nombreuses personnes d'âge moyen ou avancé sont victimes d'un infarctus du cerveau, quelles en sont les causes ? Peuvent-elles se rétablir ?
Cette phrase n'est pas du tout exagérée, de nos jours, les jeunes sont assez nombreux à souffrir d'infarctus du cerveau, et avec l'âge, l'incidence de cet infarctus du cerveau est de plus en plus élevée.
Cependant, toutes les personnes d'âge moyen et les personnes âgées souffrant d'infarctus cérébral ne sont pas le genre de personnes qui, lors de l'apparition d'une inclinaison soudaine de la bouche et des yeux, de vertiges, de noirceur devant les yeux, de dureté de la langue, ou même de l'apparition de la moitié des membres, tels que l'engourdissement et l'obstruction, et ainsi de suite.La plupart des personnes d'âge moyen et des personnes âgées ne savent pas qu'elles souffrent d'un infarctus du cerveau. Il se peut qu'à l'occasion d'un examen physique ou d'une visite chez le médecin, un examen par tomodensitométrie ou IRM de la tête ait été effectué.
En ce qui concerne l'infarctus du cerveau - l'infarctus cérébral lacunaire - mentionné par l'auteur de la question, dont souffrent la plupart des personnes d'âge moyen et des personnes âgées, quelles en sont les causes ? Peut-on le guérir ?
Le fait est que tant les infarctus cérébraux graves que les infarctus cérébraux lacunaires sont liés à l'athérosclérose de nos artères.
Cependant, l'infarctus cérébral caverneux reste quelque peu différent de l'infarctus cérébral dont nous parlons habituellement, principalement en ce qui concerne les deux aspects suivants :
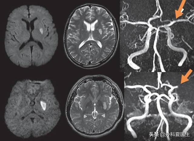
Tout d'abord, les vaisseaux sanguins cérébraux qu'il obstrue sont relativement petits, et la zone infarcie est également relativement petite.Il se produit généralement dans des vaisseaux de 100 microns et la zone d'infarctus, c'est-à-dire la taille de la lésion, est habituellement inférieure à 1 cm.
Deuxièmement, le site d'un infarctus cérébral lacunaire est mieux défini, alors que la localisation générale d'un infarctus cérébral est indéterminée.Les infarctus caverneux se produisent principalement dans les artères perforantes à l'intérieur du cerveau, telles que les artères moyennes, postérieures et basilaires les plus courantes. Par conséquent, les infarctus caverneux sont généralement localisés dans la région des ganglions de la base du cerveau, le thalamus, le pontin, etc.
C'est pourquoi environ 70 % des patients atteints d'infarctus cavitaires sont découverts occasionnellement, car ils sont largement asymptomatiques.
Quelles sont donc les causes de l'infarctus cérébral lacunaire ?
Elle est principalement liée aux trois points suivants :
La première est la petite artériosclérose ;
Deuxièmement, des microemboles apparaissent.C'est le cas lorsqu'un embole tombe accidentellement dans l'un des petits vaisseaux sanguins du cerveau et l'obstrue ;
La troisième est l'athérosclérose.Un blocage de l'aorte, qui bloque les artères pénétrant dans le cerveau, peut également provoquer un infarctus caverneux.
Une personne victime d'un infarctus cérébral lacunaire peut-elle se rétablir un jour ?
Bien sûr, comparé à l'infarctus cérébral, le pronostic de l'infarctus cérébral caverneux est très bon, de nombreuses personnes d'âge moyen et de jeunes personnes âgées sont asymptomatiques et n'ont pas besoin d'être traitées avec des médicaments, même pour une petite partie de ces infarctus caverneux symptomatiques des personnes d'âge moyen et des personnes âgées, grâce à l'utilisation de certains médicaments vasculopathiques, une quinzaine de jours peut être une très bonne guérison.Seuls quelques rares infarctus cérébraux lacunaires survenant dans des parties importantes du cerveau ne reviennent pas à la normale et laissent un certain handicap.
但Pour la plupart des personnes d'âge moyen et des personnes âgées, l'infarctus de la cavité est la cause principale de l'athérosclérose après le vieillissement. Ce point ne peut pas être inversé, car les changements physiologiques normaux se produisent inévitablement après certains changements pathologiques et ne peuvent que ralentir le développement des lésions survenant au cours du processus.Par conséquent, même en l'absence de symptômes, il ne faut pas sous-estimer l'infarctus et il convient de lui accorder une grande priorité, en particulier chez les patients souffrant d'hypertension et d'athérosclérose, qui sont les groupes les plus fréquemment touchés par l'infarctus du myocarde.
Je suis l'organisateur d'un groupe de rééducation et d'exercices pour hémiplégiques dans le comté de Tanghe, dans la province du Henan.
Nous avons fait des exercices de rééducation avec un groupe de patients hémiplégiques souffrant de séquelles de maladies cérébro-vasculaires. Nous avons résumé certaines des causes de l'infarctus cérébral pour les partager avec vous à titre de référence et d'avertissement !
1:L'hypertension artérielle, l'hyperglycémie et l'hyperlipidémie sont les principales causes des maladies cérébrovasculaires. La plupart des patients n'ont pas suivi les instructions du médecin pour contrôler ces trois facteurs avant l'apparition de la maladie, ce qui a entraîné un infarctus cérébral ou une hémorragie cérébrale.
2:Certains patients souffrent d'une malformation ou d'un rétrécissement vasculaire cérébral congénital, de vertiges et d'un gonflement du cerveau, d'une déformation de la bouche et des yeux, d'une instabilité de la marche et d'autres symptômes en l'absence d'un traitement médical opportun, ce qui a conduit à la maladie de l'ami.
3:La plupart des patients âgés de 30 à 50 ans sont les soutiens de leur famille, et ils ont un caractère bien trempé, ils se mettent en colère et s'emportent lorsqu'ils ne sont pas émus, et ils n'ont pas l'esprit tranquille, ce qui, ajouté à la pression exercée par les différents aspects du travail et de la vie, conduit à des lésions cérébrovasculaires.
4:La plupart des patients atteints de maladies cérébrovasculaires avant l'apparition de la maladie fument et boivent tard le soir, ne participent pas activement à un exercice physique modéré, ce qui constitue de mauvaises habitudes.
5:Pas de bonnes habitudes alimentaires, comme manger du porc gras, des aliments frits, beaucoup de sel et de sucre. Ces apports élevés en graisses provoquent l'obésité, l'augmentation des graisses sanguines, etc., ce qui entraîne des lésions cérébrovasculaires.
De nos jours, les maladies cérébrovasculaires ne sont plus l'apanage des personnes âgées, nous travaillons avec un grand nombre de personnes âgées de 30 à 50 ans. Cela signifie que les personnes de ce groupe d'âge doivent être plus attentives à la prévention de l'apparition des maladies cérébrovasculaires.
1:Régime alimentaire léger, manger plus de fruits et légumes frais, boire plus d'eau, éviter l'alcool et le tabac, moins d'huile et peu de sel, ne pas manger d'abats animaux et de porc gras. Le poulet, le canard, le poisson et la viande doivent être consommés avec modération. Ne pas manger d'aliments riches en graisses et en sucres.
2:Prendre la bonne habitude de se coucher et de se lever tôt, et pratiquer une activité sportive modérée.
3:Gardez un bon état d'esprit, ne perdez pas votre sang-froid et ne bougez pas. Restez calme lorsque les choses vont mal.
4:Se soumettre à un examen régulier de la malformation ou de la sténose vasculaire cérébrale congénitale et suivre les instructions du médecin en ce qui concerne les médicaments.
5:Suivre scrupuleusement les instructions du médecin pour contrôler les trois phases d'élévation.
6:En cas de vertiges soudains et inexpliqués, d'acouphènes, de surdité, d'absence de sensibilité à l'odorat, de bouche tordue et d'yeux baveux, d'yeux fermés, d'engourdissement et de faiblesse d'un côté des membres, en particulier d'engourdissement des mains et des pieds, d'inclinaison de la marche d'un côté, de somnolence, de fatigue et d'autres signes précurseurs d'une maladie cérébrovasculaire, il convient de consulter un médecin en temps utile.
En prenant ces mesures, vous pouvez prévenir efficacement l'apparition d'une maladie cérébrovasculaire.
Après les séquelles d'un infarctus cérébral, tant que vous prenez l'initiative de faire des exercices de rééducation scientifiques et raisonnables, vous pouvez vous rétablir. Nous avons accumulé des méthodes d'exercice matures et efficaces au cours du processus d'exercice de réadaptation. Suivez-moi pour obtenir d'autres programmes d'exercices pour différentes conditions et différents âges. N'hésitez pas à commenter, à retweeter et à aimer les vidéos d'entraînement que nous publions chaque jour. Nous nous efforcerons toujours de partager notre esprit et nos compétences avec ceux qui en ont besoin, tout en continuant à travailler dur sur nos séances d'entraînement ! Tous les patients hémiplégiques auront toujours le soutien du Downriver Rehabilitation and Exercise Group sur le chemin de la guérison, et nous souhaitons à tous nos patients un prompt rétablissement !



Depuis la formation des lésions d'infarctus cérébral, nous savons que l'infarctus cérébral n'est pas incurable, mais qu'il existe une fenêtre temporelle pour le traitement (généralement 4,5 heures), et que le but du traitement est de sauver l'hémidiaphragme ischémique, et non le tissu cérébral nécrosé (la nécrose des cellules cérébrales ne peut pas être inversée à l'heure actuelle, tout comme une personne qui meurt ne peut pas être ressuscitée), par conséquent, après un infarctus cérébral, nous devons nous efforcer de réaliser la réouverture vasculaire la plus précoce possible dans la fenêtre temporelle, pour sauver l'hémidiaphragme ischémique. Le cerveau n'est pas un tissu cérébral nécrosé.
Comme il existe de nombreuses circulations collatérales dans l'organisme (qui varient d'une personne à l'autre, certaines personnes ayant une circulation collatérale abondante et d'autres peu), si le début de la maladie permet une revascularisation dans un court laps de temps
L'infarctus cérébral est de loin la maladie cérébrovasculaire qui présente les taux de morbidité et de mortalité les plus élevés.
En d'autres termes, les vaisseaux sanguins qui apportent les nutriments et le sang au cerveau sont bloqués, le cerveau n'est pas suffisamment oxygéné et certains des tissus cérébraux les plus fragiles commencent à se nécroser, ce qui peut conduire à un infarctus cérébral.
C'est surtout après l'âge de 40 ans que les vaisseaux sanguins se durcissent fortement et sont plus susceptibles d'être "favorisés" par un infarctus cérébral.

L'infarctus du cerveau est principalement dû à l'ingestion de trois types d'aliments, ce qui entraîne une obstruction vigilante des vaisseaux sanguins.
Aliments 1 : aliments frits
Les aliments sont frits à haute température et s'écrasent en une seule bouchée.
Mais cet aliment savoureux, qui contient beaucoup de graisses et d'huiles et qui est consommé pendant une longue période au-delà de la quantité normale requise par l'organisme, peut rester dans les vaisseaux sanguins de manière importante.
En conséquence, les lipides sanguins s'épaississent, les caillots sanguins augmentent et les maladies cardiovasculaires s'ensuivent.

Aliment 2 : Aliments riches en sel
Avec la popularité du concept de santé et de bien-être, la plupart des gens savent qu'une consommation excessive de sel peut entraîner une hypertension artérielle.
Mais certains sels "cachés" peuvent également passer inaperçus. Par exemple : les viandes transformées, les huiles consommées, les marinades, les nouilles instantanées, etc. Ces types d'aliments sont préparés avec une grande quantité de sel pour rehausser la saveur et prolonger la durée de conservation.
La consommation à long terme de ces aliments peut également entraîner la rétention d'ions sodium dans le sang, ce qui déclenche une augmentation de la pression artérielle, affecte l'environnement vasculaire et provoque un infarctus cérébral.
Il est recommandé, lors du choix des aliments, de vérifier la teneur en sodium dans la liste des ingrédients et de réduire la consommation de sel.

Aliments 3 : Gâteaux
Le gâteau peut procurer une sensation de bien-être et sa consommation occasionnelle n'est pas nocive pour l'organisme.
Toutefois, en cas de consommation excessive, la grande quantité de sucre contenue dans le gâteau perturbera le cholestérol, ce qui entraînera une vasoconstriction, une augmentation de la pression vasculaire et un blocage des vaisseaux sanguins, ce qui conduira à un infarctus cérébral et à d'autres maladies cardiovasculaires et cérébrovasculaires.

3 symptômes du réveil matinal Quand les attaques cérébrales prennent le dessus, j'espère que vous n'avez pas été touché
Symptôme 1 : Maux de tête
Les maux de tête peuvent être déclenchés par la nécrose de certains tissus du cerveau et l'obstruction de la circulation sanguine dans ces tissus.
En particulier au petit matin, la perte d'eau est importante, le sang est relativement visqueux, si vous vous levez trop fort, ou si vous êtes stimulé, la pression artérielle augmente rapidement, le cerveau manque soudainement d'oxygène, ce qui entraîne directement un infarctus cérébral ou une attaque d'apoplexie.

Symptôme 2 : Dureté de la langue
Si vous vous réveillez tôt le matin et que vous remarquez que votre langue est dure et que votre élocution n'est pas claire, consultez un médecin.
Une irrigation sanguine insuffisante du cerveau à ce moment-là peut affecter le contrôle des nerfs faciaux par le cerveau, entraînant des symptômes de langue durcie.
Si cela s'accompagne d'un bavage unilatéral, l'affection est déjà très grave et il faut s'en prémunir.

Symptôme 3 : L'obscurité devant les yeux
Lorsque des caillots sanguins sont présents dans le tronc cérébral, le cervelet et le pons, ils peuvent entraîner une irrigation sanguine insuffisante des nerfs rétiniens et une déficience visuelle.
En général, ce phénomène disparaît après quelques minutes, mais il s'agit d'un signe avant-coureur d'une attaque cérébrale, et il est donc préférable de se rendre à l'hôpital pour le faire vérifier.

Pour éviter l'infarctus cérébral, la prévention quotidienne ne peut pas être moindre, il faut respecter les 4 points suivants pour protéger la santé vasculaire cérébrale.
Pièce 1 : Manger plus d'antioxydants
Les antioxydants, qui sont des éléments essentiels pour l'organisme, doivent être consommés dans l'alimentation.
Harman, biologiste moléculaire britannique, affirme que le stress oxydatif détermine la durée de vie.
Par conséquent, les antioxydants sont des nutriments essentiels pour la santé des vaisseaux sanguins et peuvent avoir la capacité de maintenir les vaisseaux sanguins et de prévenir les maladies cardiovasculaires.
La recherche a révélé que les antioxydants présents dans l'organisme peuvent résister à l'effet de vieillissement des radicaux libres sur les vaisseaux sanguins, de sorte que les vaisseaux sanguins sont "jeunes".
Inhiber efficacement la formation de la plaque intravasculaire, maintenir la fonction physiologique des vaisseaux sanguins, réduire les triglycérides, le cholestérol, les radicaux libres sur les vaisseaux sanguins, réduire l'infarctus cérébral et d'autres incidences cérébrovasculaires.
Les principales sources, des plantes naturelles telles que le chrysanthème de Yuanfu et les graines de chanvre d'automne, où leLe chrysanthème Yuanfu est un chrysanthème médicinal dont la teneur en antioxydants peut atteindre environ 67 %.Sa consommation régulière permet d'entretenir les vaisseaux sanguins et de réduire l'apparition d'infarctus cérébraux.

N° 2 : Arrêter de fumer et limiter l'alcool
Les milliers de substances nocives contenues dans les cigarettes, une fois qu'elles pénètrent dans les vaisseaux sanguins, provoquent une forte diminution de la teneur en oxygène du sang, de la viscosité du sang, affectent le mécanisme de coagulation du sang de l'organisme et nuisent à la santé des vaisseaux sanguins.
L'alcool, en revanche, peut dilater les vaisseaux sanguins lorsqu'il est ingéré en petites quantités. Si l'abus d'alcool est prolongé, il peut accélérer l'augmentation de la pression artérielle, aggraver le débit cardiaque et provoquer une libération accrue d'autres substances vasoconstrictrices, ce qui peut alors conduire à un infarctus cérébral.
Pour votre santé, il est préférable d'arrêter de fumer et de limiter l'alcool.

N° 3 : L'exercice n'est pas une option
L'exercice physique est le moyen le moins coûteux et le plus efficace de renforcer le système immunitaire.
L'incidence des maladies cardiovasculaires peut être réduite d'environ 30 % en pratiquant une activité physique régulière de plus de 30 minutes par jour.
Un exercice efficace favorise la circulation sanguine, accélère le métabolisme des substances nocives et améliore la fonction cardiorespiratoire.
Si vous n'avez pas l'habitude de faire de l'exercice, il est recommandé de commencer par les exercices les plus simples, tels que le jogging, la marche rapide, etc. Au bout d'une semaine, augmentez lentement la quantité d'exercices.
Pièce 4 : Méthode d'identification 1-2-0

1" : voir 1 visage asymétrique à la bouche crochue ;
2" : vérifier la faiblesse et l'engourdissement unilatéraux des deux bras ;
0 : écoutez (zéro) le discours et vérifiez s'il est clair.
L'infarctus cérébral touche non seulement les personnes d'âge moyen et les personnes âgées, mais aussi de nombreux jeunes, et son taux de croissance est beaucoup plus élevé que celui de la population âgée.

La formation de l'infarctus cérébral est plus complexe, beaucoup de gens peuvent dire un ou deux à, qui est le plus profondément enraciné dans les gens est un mauvais régime, mais en fait, le régime pour les patients infarctus cérébral, bien que l'effet négatif de l'alimentation, mais en aucun cas aussi grand que nous le pensons, en plus des trois hauts, mais les trois hauts en soi est une sorte de maladie, peut être déclenchée en raison d'une variété de facteurs, la formation de facteurs et l'infarctus cérébral est plus similaire, de sorte que nous serons toujours trois patients haut. C'est pourquoi nous appelons toujours les patients à trois niveaux le groupe à haut risque de maladies cardiovasculaires et cérébrovasculaires.
Dans le passé, les patients atteints d'infarctus cérébral étaient d'un âge avancé, en raison d'habitudes de vie et d'alimentation plus régulières, l'écart entre les personnes n'était pas important, principalement en raison de l'âge du degré de durcissement des vaisseaux sanguins pour déterminer l'apparition du moment de l'infarctus cérébral ; et de nos jours, la raison pour laquelle l'infarctus cérébral survient chez la jeune génération, principalement en raison de la prévalence des produits électroniques, les gens relâchent la protection de la colonne cervicale après les divertissements, de sorte que les problèmes de la colonne cervicale affectent le cerveau, déclenchant l'arrivée de l'infarctus cérébral.

Les attaques cérébrales sont réversibles !
Le traitement des patients atteints d'infarctus cérébral est généralement divisé en deux périodes :
La première période est celle des premiers secours
Le vaisseau sanguin du patient est complètement bloqué par l'embole, et les tissus de la zone cérébrale qui doivent être alimentés en sang par ce vaisseau sanguin se nécrosent en raison de l'absence de perfusion sanguine continue. Ce processus de nécrose est très rapide, se produisant généralement en plus de 5 minutes, et nous devons sauver ces cellules mourantes immédiatement,
Le premier choix est la thrombolyse pharmacologique, qui peut être réanimée lorsque le patient répond aux indications de la thrombolyse dans les 4,5 heures suivant le début de la maladie ; cependant, si le patient est admis trop tard à l'hôpital, il doit être évalué pour voir s'il y a encore quelque chose à sauver, et si c'est le cas, il est nécessaire de recourir à l'extraction mécanique du thrombus.

La deuxième période est celle de la reprise
Le cerveau humain est responsable de toutes sortes de fonctions de l'ensemble du corps, telles que le langage, la personnalité, les membres, la respiration, la vision, etc., une fois que la nécrose sera un dysfonctionnement affectant la vie normale, ce qui est souvent appelé les séquelles de l'infarctus cérébral.
Pour ces patients, il n'y a pas de grand danger à court terme, et leur objectif principal est de restaurer la fonction perdue, mais comme les cellules nécrosées ne peuvent pas être régénérées, la récupération clinique est très difficile. Nous devons activer les cellules nerveuses dormantes à ce moment-là, de sorte qu'elles représentent les tissus cellulaires nécrosés d'origine, ce qui, avec l'entraînement à la réadaptation, peut permettre au patient de retrouver l'état antérieur.
Rien n'est absolu, il y a des exceptions à toute maladie, et il n'est pas rare de voir des personnes survivre à des maladies en phase terminale et d'entendre parler de décès dus à des maladies courantes. Je ne peux donc donner aucune garantie, mais d'après mon expérience : "Tant que le bon traitement est pris en temps voulu pour les infarctus cérébraux, les chances de guérison sont relativement élevées, qu'il s'agisse de la phase aiguë ou de la phase de rétablissement".

J'espère que ma réponse vous aidera !
Si vous ne comprenez pas quelque chose, commentez et envoyez-moi un message privé !
peut être récupéré, je suis un infarctus cérébral hémiplégie patient, en Juillet 2018 par le temps, quand juste par le temps bon léger, peut se déplacer, et puis deux hospitalisés, sur l'hémiplégie de la bonne forte, la moitié droite ne peut presque pas se déplacer, après deux ans de médecine traditionnelle chinoise conditionnement, et maintenant vous pouvez monter sur un vélo, l'action est très libre !
Mon père a été hospitalisé à la suite d'un infarctus cérébral et n'a pas survécu au-delà du cinquième jour. Il souffrait auparavant d'une hypertension artérielle sévère, puis d'un infarctus du myocarde et a subi deux opérations chirurgicales. Il a été à nouveau hospitalisé au début de cette année, a reçu de nouveaux médicaments et a acheté un ventilateur de sommeil et une machine à oxygène. En conséquence, il n'a toujours pas pu le garder. Je constate que l'avis de décès fait état de 15 maladies qui ont pu contribuer à sa mort.
Le médecin a dit que l'infarctus cérébral est irréversible. Des exercices de rééducation peuvent être effectués. Récupérer quelques
La cause de l'infarctus cérébral est principalement considérée comme étant due à la présence d'une viscosité sanguine accrue ou aux symptômes de la sclérose et de la sténose vasculaires cérébrales, qui provoquent généralement des lésions ischémiques du tissu cérébral et produisent les séquelles dysfonctionnelles correspondantes. Au stade initial, il est possible de traiter la maladie à l'aide de médicaments destinés à favoriser la circulation cérébrale et à nourrir les cellules cérébrales. Toutefois, si la situation est plus critique, il n'est pas exclu d'envisager un traitement chirurgical.
L'infarctus cérébral peut être complètement récupéré si le traitement est administré à temps. Pour tout patient souffrant d'un infarctus cérébral, le seul traitement capable de débloquer les vaisseaux sanguins au stade aigu est la thrombolyse et la thrombolyse artérielle. Si un patient constate soudainement qu'il ne peut pas parler clairement, qu'il ne peut pas comprendre ce que disent les autres, qu'il a la bouche tordue, qu'il a un engourdissement ou une faiblesse d'un côté du membre, il doit se rendre immédiatement à l'hôpital, c'est-à-dire dans l'heure qui suit, subir un examen dans la fenêtre de traitement, découvrir qu'il s'agit d'une maladie vasculaire cérébrale ischémique et entamer une thérapie thrombolytique. S'il n'y a pas de contre-indications, la thrombolyse est le seul traitement qui peut ouvrir le vaisseau sanguin. Si le délai est dépassé ou s'il existe des contre-indications à la thrombolyse, il est possible de recourir à la thrombolyse artérielle, qui sont les deux seuls traitements permettant d'ouvrir le vaisseau dans la phase aiguë. Si le vaisseau est complètement ouvert dans la phase aiguë, le patient peut être en mesure de se rétablir dans le futur.

Mieux faire de l'exercice, se coucher tôt et se lever tôt pendant un certain temps.
Après 55 ans, l'atrophie cérébelleuse prédispose à l'infarctus cérébral.
Ces questions et réponses proviennent des utilisateurs du site, elles ne représentent pas la position du site, s'il y a une infraction, veuillez contacter l'administrateur pour la supprimer.