Infarctus cérébral et infarctus cérébral caverneux, est-ce la même chose ?
Infarctus cérébral et infarctus cérébral caverneux, est-ce la même chose ?
Dans le cadre de votre travail clinique quotidien, non seulement les neurologues, mais aussi tous les médecins, se posent fréquemment un type de question : "L'infarctus cérébral caverneux et l'infarctus cérébral, est-ce la même chose ? Quelle est la différence ?" La raison en est que le scanner est aujourd'hui plus souvent utilisé dans les hôpitaux à tous les niveaux et que le nombre d'infarctus cérébraux lacunaires détectés a augmenté par rapport au passé. Quelles sont donc les différences entre l'infarctus cérébral lacunaire et l'infarctus cérébral ?
Objectivement, l'infarctus cérébral caverneux présente de nombreuses similitudes avec l'infarctus cérébral ordinaire, mais il y a encore beaucoup de différences. En résumé, les différences proviennent de trois aspects : la base pathologique est différente, la taille est différente et les dommages sont différents.
1. base pathologique
En ce qui concerne la base pathologique, la base pathologique de l'infarctus cérébral commun est l'athérosclérose, bien sûr, il y a quelques infarctus cérébraux causés par la fibrillation auriculaire. La base pathologique de l'infarctus cérébral lacunaire est la dégénérescence, le gonflement et le durcissement des petites parois artérielles provoqués par une hypertension artérielle de longue durée qui n'est pas contrôlée efficacement, au point que l'occlusion finit par se produire.
2. la taille
En termes simples, un infarctus cérébral commun a une grande taille et peut être exprimé comme une pastèque. La zone d'infarctus de l'infarctus cérébral lacunaire est plus petite et peut être exprimée comme une graine de sésame. Bien sûr, ce n'est pas rigoureux, mais c'est facile à comprendre.
3. les risques
L'infarctus cérébral ordinaire provoque souvent des symptômes graves tels qu'une mauvaise mobilité des membres, des troubles de l'élocution, etc. et peut être fatal si l'infarctus survient au cœur de la vie. Toutefois, la plupart des patients atteints d'infarctus cérébral lacunaire ne présentent aucun symptôme après l'apparition de la maladie, et seuls quelques patients peuvent présenter des symptômes évidents. C'est pourquoi de nombreux patients atteints d'infarctus cérébral lacunaire découvrent souvent la lésion après un examen physique et un scanner de la tête, mais ne perçoivent aucun symptôme.
En conclusion, les infarctus cérébraux caverneux et les infarctus cérébraux sont similaires, mais pas identiques.

[Un médecin professionnel pour répondre à vos questions]
Il existe des similitudes et des différences entre les deux : la similitude réside dans le fait que les deux maladies sont causées par un infarctus cérébral, la cause est donc la même ; la différence réside dans le fait que la localisation des vaisseaux sanguins malades est différente, ce qui signifie simplement que les conséquences sont différentes, comment comprendre cela ?
Le cerveau est le centre de la vie humaine, avec un grand nombre de cellules nerveuses cérébrales et différentes zones fonctionnelles, et les vaisseaux sanguins cérébraux portent la lourde responsabilité de transporter l'oxygène et les nutriments vers ces cellules nerveuses cérébrales. Les vaisseaux sanguins cérébraux sont entrecroisés de petits et moyens vaisseaux sanguins qui se ramifient à partir des gros vaisseaux sanguins jusqu'aux derniers petits vaisseaux sanguins disséminés autour des cellules nerveuses du cerveau.
Lorsque ces vaisseaux sanguins deviennent malades, par exemple en raison d'une pression artérielle élevée, d'une glycémie élevée et d'autres dommages, l'athérosclérose se produit, de sorte que le diamètre du vaisseau sanguin s'épaissit, la lumière se rétrécit, voire la plaque se forme et les vaisseaux sanguins se bloquent, la circulation sanguine est bloquée ou interrompue pour l'approvisionnement en sang des cellules nerveuses cérébrales environnantes et pour l'approvisionnement en oxygène, les activités physiologiques normales des cellules nerveuses cérébrales ne peuvent pas se dérouler, ou sont même endommagées et mortes, la vie normale du corps humain est affectée par ces activités. Cet état peut se produire dans différentes zones fonctionnelles du cerveau, et les conséquences seront différentes.
Lorsque l'obstruction des vaisseaux sanguins cérébraux se produit dans les minuscules petits vaisseaux sanguins, elle ne provoque qu'un apport sanguin insuffisant ou un manque d'apport sanguin dans une très petite zone, et ces zones peuvent seulement causer des dommages à l'interstitium entre les cellules nerveuses cérébrales, et les cellules nerveuses cérébrales n'ont pas encore été endommagées ou les dommages sont très légers, et souvent il n'y aura pas de symptômes évidents, ce qui signifie que les infarctus cérébraux caverneux se produisent dans une telle situation. Si les plus gros vaisseaux sanguins du cerveau sont bloqués, la zone d'ischémie et d'hypoxie est plus étendue et davantage de cellules nerveuses cérébrales sont endommagées ou mortes, les activités physiologiques qu'elles régissent seront affectées. Par exemple, le centre moteur des vaisseaux sanguins est bloqué et la perte de mouvement d'un membre est une hémiplégie, et dans le centre de la parole, le patient souffre d'aphasie, de troubles de l'élocution, etc.
En général, l'infarctus lacunaire se produit plus tôt, et si aucune intervention n'est effectuée, l'infarctus s'aggravera jusqu'à devenir un véritable infarctus cérébral, qui met en jeu le pronostic vital. Par conséquent, l'infarctus lacunaire peut être considéré comme un signe avant-coureur de l'infarctus cérébral, qui doit être traité par des interventions. Les principales mesures consistent à éliminer les facteurs qui provoquent l'athérosclérose et la formation et le développement de plaques, comme le contrôle strict de la tension artérielle, de la glycémie, des lipides sanguins, un régime alimentaire raisonnable, le respect de l'exercice physique, l'abstinence de tabac et d'alcool, et la régularité de la vie, etc.
Il convient de rappeler que, bien que les infarctus lacunaires ne provoquent pas de symptômes évidents dans la plupart des cas, certaines études ont montré que les infarctus lacunaires peuvent affecter les fonctions cognitives des patients, telles que la mémoire et la compréhension, cinq ans après la survenue des infarctus lacunaires, en particulier dans le cas de la maladie d'Alzheimer, et qu'il convient d'y prêter une attention suffisante.
J'espère que cette réponse pourra vous aider. N'hésitez pas à cliquer sur l'attention et à laisser un message, afin d'apprendre et d'échanger davantage de connaissances en matière de santé.
Ce que nous appelions autrefois "infarctus cérébral" est aujourd'hui appelé "infarctus cérébral".
L'infarctus cérébral caverneux désigne la lésion de la paroi des petites artères du cerveau, dont la lumière est occluse, ce qui entraîne la nécrose de la petite zone de tissu cérébral sous son contrôle, formant ainsi un petit foyer d'infarctus, dont le diamètre ne dépasse généralement pas 5 mm. Les symptômes du patient sont liés à la localisation et à la taille de l'infarctus, et les symptômes courants comprennent les étourdissements et les maux de tête, l'engourdissement des membres et les vertiges, etc. Certaines d'entre elles peuvent ne présenter aucun symptôme, mais sont détectées lors d'un examen physique du crâne et du cerveau, tel que le scanner ou l'imagerie par résonance magnétique nucléaire. La cause de l'infarctus est étroitement liée à des maladies sous-jacentes telles que l'hypertension et l'hyperlipidémie, ainsi qu'à des facteurs de mode de vie défavorables tels que le tabagisme et la consommation d'alcool, et est plus fréquente chez les personnes âgées.
L'infarctus cérébral caverneux n'est pas mortel dans la plupart des cas car il s'agit d'une obstruction d'une petite artère, mais il est souvent le prélude à une obstruction d'un gros vaisseau sanguin, car l'infarctus cérébral caverneux indique qu'une lésion endothéliale s'est produite dans les artères du cerveau, et si l'on n'intervient pas à temps, cela peut avoir de graves conséquences.
L'infarctus cérébral (également connu sous le nom d'accident vasculaire cérébral ischémique) désigne tout rétrécissement et occlusion des artères cérébrales, entraînant une ischémie et une hypoxie cérébrales, ce qui conduit à une nécrose ischémique limitée ou à un ramollissement des tissus cérébraux. L'occlusion des gros vaisseaux sanguins peut entraîner des infarctus cérébraux importants, et le patient peut souffrir d'hémiplégie, d'hémiplégie et même de la formation d'une hernie cérébrale, d'un coma et, dans les cas les plus graves, peut directement conduire à la mort.
L'infarctus cérébral aigu est une maladie cérébrovasculaire clinique très courante, avec un taux de mortalité et d'invalidité élevé. La différence entre l'infarctus cérébral aigu et l'infarctus cérébral lacunaire est principalement due à la taille du vaisseau sanguin obstrué, et ce que l'on appelle habituellement l'infarctus cérébral fait référence au ramollissement et à la nécrose du tissu cérébral causés par l'obstruction des plus grosses artères du crâne et du cerveau.

Je suis chirurgien et, dans mon travail, je suis souvent en contact avec des patients âgés atteints d'infarctus cérébral lacunaire. Les personnes âgées qui ont besoin d'affiner leur bilan préopératoire en raison d'une intervention chirurgicale ont un certain nombre de descriptions de leurs fréquents problèmes de santé.Étourdissements, maux de tête, vertigesNous ferons en sorte que les personnes âgées subissent un examen du cerveau, qui révèle souvent des infarctus cérébraux caverneux.
Les patients atteints d'infarctus cérébral lacunaire ne présentent souvent pas de symptômes très évidents, et de nombreuses personnes âgées pensent qu'elles sont vieilles et qu'elles ne se reposent pas suffisamment pour ressentir des vertiges, et n'y prêtent donc pas beaucoup d'attention.
L'infarctus cérébral caverneux est en fait un type d'infarctus cérébral, et il existe d'autres types courants d'infarctus cérébral :Thrombose, embolie cérébrale。
L'infarctus cérébral caverneux se distingue des autres types d'infarctus cérébraux par les caractéristiques suivantesLes artères cérébrales obstruées sont différentes②Les zones du cerveau atteintes d'ischémie varient en taille③Les symptômes varient④Les causes de la maladie sont diverses.。
infarctus cérébral caverneux
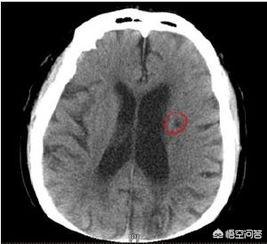
L'infarctus cérébral caverneux est causé par l'obstruction d'un vaisseau sanguin due à une lésion d'une petite artère située en profondeur dans le cerveau. Comme la zone du cerveau alimentée par la petite artère est relativement petite, la zone de l'infarctus cérébral est également petite. Il est généralement localisé dans la2mm-5mmEntre, maximum surLa moitié de la taille d'un ongle.。
Parce qu'il s'agit d'une obstruction de petites artères profondes, les lésions de l'infarctus cérébral caverneux sont dispersées au centre du cerveau, comme les graines d'un melon cantaloup sont concentrées au milieu du melon.
Les lésions d'infarctus cérébral caverneux sont petites et ne sont facilement reconnaissables que par les spécialistes, avec des lésions multiples au milieu de la section cérébrale de l'IRM.
Les symptômes courants de l'infarctus cérébral lacunaire sont les suivants :Étourdissements, maux de tête, engourdissement des membres, vertiges, perte de mémoire, lenteur, déclin mentalEt ainsi de suite. Par conséquent, si vous pensez qu'une personne âgée commence à être un peu démente et à perdre la mémoire, soyez à l'affût d'un infarctus cérébral lacunaire.
La survenue d'un infarctus cérébral lacunaire est principalement associée à un contrôle instable de l'hypertension. Les vaisseaux sanguins des patients âgés hypertendus sont endommagés et durcis par les fluctuations de la pression artérielle et sont très sensibles à l'obstruction.
Thrombose cérébrale, embolie cérébrale
Une thrombose cérébrale est un caillot de sang dans une artère qui alimente le cerveau en sang.position initialeforméPlaques d'athérome.Une embolie cérébrale est une "embolie" provenant d'un autre endroit, par exemple d'une fibrillation auriculaire.thrombose cardiaqueDans le cerveau, l'air pénètre dans les vaisseaux sanguins cérébraux pour former dessas、droneBoulon,monstruositéBoulons, etc.
La plupart de ces emboles bloquent des artères plus larges, provoquant des infarctus cérébraux, les infarctus étant concentrés d'un côté du cerveau et leur étendue étant un peu plus grande.
Les symptômes courants se caractérisent pareffondrement brutal、hémiplégie、retard mental verbalLa cause prédominante de la maladie est La cause de la maladie est principalementathérosclérose、arythmieLa maladie sous-jacente est souventhypertendu、cardiologie、le diabète。
👆 L'infarctus cérébral se manifeste souvent par une hémiparésie : bouche tordue, hémiplégie ......
Il existe également des différences de traitement entre les deux
L'infarctus cérébral caverneux est principalement traité de manière symptomatique par des exercices de rééducation et des modifications du régime alimentaire.faible en gras、hypocalorique (aliment)、régime pauvre en selPrincipalement.
En cas d'infarctus cérébral, il est nécessaire d'ouvrir le vaisseau sanguin bloqué le plus rapidement possible afin de préserver autant que possible les fonctions des membres, notammentbouchon de dissolution、anticoagulationet d'autres traitements.
Suivez @DrLuoHealthSpeak pour obtenir plus d'informations scientifiques sur la santé et lire plus d'histoires touchantes. N'hésitez pas à me retweeter, à me commenter, à me liker et à me recommander à votre famille et à vos amis. Vous pouvez également m'envoyer un message privé pour échanger sur d'autres sujets liés à la santé.
Dr Kami Konai ;
Les réponses sont données à titre indicatif ;
N'hésitez pas à suivre et à laisser un commentaire !
C'est essentiellement "la même chose" !
- Les infarctus cérébraux caverneux sont inclus dans les infarctus cérébraux !
- En d'autres termes, les infarctus cérébraux caverneux constituent une partie ou une catégorie d'infarctus cérébraux !
Quelle est la différence ?
Infarctus cérébral :
Il s'agit d'une nécrose ischémique et hypoxique du tissu cérébral, et tous les types et causes de nécrose ischémique et hypoxique du tissu cérébral peuvent être appelés "infarctus cérébral" !
Infarctus cérébraux caverneux :
Le terme "caverneux" est en fait une limitation de la taille de la lésion d'infarctus cérébral, qui se réfère principalement à l'infarctus d'une taille inférieure à 1,5-2,0 cm, le plus souvent dû à des lésions vasculaires pénétrantes ! Les symptômes cliniques sont relativement légers et la cause est principalement liée à l'hypertension !
Dans l'ensemble :
- Infarctus cérébral englobant l'infarctus cérébral lacunaire !
- Les infarctus cérébraux caverneux font partie ou sont un type d'infarctus cérébral !
J'espère que ma réponse vous a été utile !
Qu'est-ce qu'un infarctus cérébral ?
L'infarctus cérébral est un terme général désignant l'accident vasculaire cérébral ischémique, qui est un état de nécrose et de ramollissement du tissu cérébral causé par l'ischémie et l'hypoxie dans la zone d'approvisionnement en sang du tissu cérébral en raison d'une réduction ou d'un arrêt soudain du flux sanguin dans les artères locales d'approvisionnement en sang du tissu cérébral, et qui s'accompagne de symptômes et de signes cliniques dans les zones correspondantes, tels que l'hémiparésie, l'aphasie et d'autres déficits neurologiques.

L'infarctus cérébral est une lésion cérébrale causée par un trouble de l'irrigation sanguine du cerveau, y compris la thrombose cérébrale, l'embolie cérébrale, l'infarctus cérébral caverneux et l'accident ischémique transitoire, qui représente environ 70 % des accidents vasculaires cérébraux.
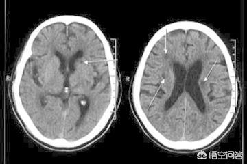
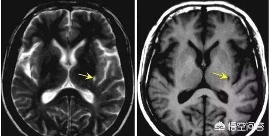
Vingt-quatre à 48 heures après l'apparition de l'infarctus cérébral, la tomodensitométrie du cerveau montre des foyers de faible densité dans les zones correspondantes, avec des limites mal définies, qui peuvent avoir un certain effet d'occupation. L'examen par résonance magnétique cérébrale (IRM) permet de détecter l'infarctus cérébral à un stade plus précoce, ce qui se manifeste par un signal T1 faible dans la zone de la lésion et un signal T2 élevé sur l'image pondérée, et l'IRM permet de détecter des foyers d'infarctus plus petits.

Qu'est-ce qu'un infarctus cérébral lacunaire ?
L'infarctus cérébral caverneux est l'une des maladies cérébrovasculaires courantes, un type particulier de maladie cérébrovasculaire causée par une hypertension persistante et de petites artères athéroscléreuses, et est un micro-infarctus dû à l'occlusion de branches pénétrantes profondes d'un diamètre de 100 à 400 μm. Au stade tardif, de petites cavités kystiques sont laissées par l'élimination du tissu nécrotique des minuscules foyers ramollis, c'est ce qu'on appelle l'infarctus cérébral caverneux.
Il porte le nom du diagnostic pathologique et est un terme général pour les petits infarctus profonds, récents ou anciens, du cerveau. Les sites les plus fréquents sont les ganglions de la base et la base du pons, et le noyau accumbens, le noyau caudé, le thalamus, le pons, la capsule interne et la substance blanche du cerveau, tandis que le cortex cérébral et le cortex cérébelleux ne sont pas touchés.

Quelles sont les causes fréquentes d'infarctus cérébral lacunaire ?
L'étiologie de la maladie n'est pas entièrement comprise. Les facteurs associés à l'étiologie sont les suivants :
① La cause la plus fréquente des lésions luminales est l'hypertension, qui entraîne une lipohyalinose des parois des petites artères et des microartérioles, ainsi qu'une occlusion de la lumière. Il a été suggéré qu'il n'y avait pas de corrélation significative entre les lésions luminales simples et l'hypertension, et que l'augmentation de la pression artérielle diastolique était la cause principale des infarctus luminaux multiples.
② L'athérosclérose des artères cérébrales moyennes et basilaires et la formation de petits thrombus qui obstruent les artères pénétrantes profondes peuvent entraîner un infarctus lacunaire.

(iii) Anomalies hémodynamiques, telles qu'une chute soudaine de la pression artérielle qui réduit considérablement le flux sanguin au niveau distal d'une artère déjà sévèrement rétrécie, et la formation d'un micro-infarctus.
④ Différents types de petits emboles tels que les globules rouges, la fibrine, le cholestérol, l'air et les plaques d'athérome obstruent les petites artères, et des emboles ont été trouvés dans les artères rétiniennes et les petites artères cérébrales ; les plaques d'athérome délogées des segments extracrâniens du système artériel carotidien sont la source la plus courante de micro-emboles, et les maladies cardiaques et les anévrismes fongiques sont également des sources possibles d'embolies.
⑤ Les anomalies hématologiques telles que l'érythrocytose, la thrombocytose et l'hypercoagulabilité peuvent également jouer un rôle dans la pathogenèse.

Quelles sont les manifestations cliniques de l'infarctus cérébral lacunaire ?
Les manifestations cliniques de l'infarctus cérébral caverneux dépendent de la localisation de l'espace caverneux, et les quatre types suivants sont plus spécifiques en termes de manifestations cliniques :
(1) Troubles moteurs purs :Ce type est le plus fréquent (environ 2/3 des cas). Il se traduit par une hémiparésie légère avec aphasie, des déficits sensoriels ou des anomalies du champ visuel, plus souvent dans les membres supérieurs que dans les membres inférieurs, ou par une atteinte prédominante des muscles faciaux et des membres supérieurs, avec parfois une paralysie faciale supranucléaire controlatérale. Les foyers se trouvent principalement dans la capsule interne ou le pons controlatéral. En outre, ce type de maladie peut présenter différentes variantes de symptômes cliniques.
(2) Syndrome de dysarthrie et de maladresse des mains :Environ 20 % des cas. Elle se manifeste par une parésie faciale centrale et une parésie linguale, accompagnées de troubles de l'élocution, de régurgitations lors de la déglutition, d'un manque de motricité fine des mains, d'un manque de stabilité lors du test doigt-nez et, dans certains cas, de signes du faisceau conique. La lésion est située dans le tiers moyen et supérieur de la jonction de la partie basale du pontine, ou dans la partie supérieure de la capsule interne, ou dans le genou.

(3) Déficience sensorielle simple :Environ 10 % des cas. Les principales manifestations sont des déficits sensoriels d'un côté du visage et de la moitié du corps, sans aphasie hémiplégique ni défaut du champ visuel ; ou bien les déficits sensoriels apparaissent d'abord dans une partie du corps, puis se développent à tout le visage, à tout le membre ou à toute la moitié du corps en peu de temps, la nature des sensations étant l'engourdissement, la chaleur, les picotements, la brûlure, la lourdeur, la traction, etc., et leurs sensations subjectives sont souvent supérieures à l'examen objectif ; il peut y avoir des symptômes d'accident ischémique cérébral transitoire, et les foyers se trouvent dans le noyau postéro-latéral contralatéral du thalamus.
(4) Hémiparésie ataxique :Ataxie et faiblesse des membres inférieurs plus que des membres supérieurs, avec signes pyramidaux, ataxie qui ne peut être entièrement expliquée par la faiblesse. Les lésions se situent principalement dans la couronne radiale controlatérale à la capsule interne ou dans le faisceau cortical du tronc cérébral à la base des ponts pontins.

L'infarctus cérébral est également connu sous le nom d'accident vasculaire cérébral ischémique, qui comprend de nombreux types de maladies ischémiques cérébrales, telles que l'infarctus cérébral lacunaire, la thrombose cérébrale et l'embolie cérébrale, etc ;
En général, l'infarctus cérébral lacunaire présente les caractéristiques suivantes par rapport aux autres types d'accidents vasculaires cérébraux ischémiques :
1, les symptômes sont légers : la plupart des infarctus cérébraux lacunaires ne s'accompagnent d'aucun symptôme pertinent ; occasionnellement, un petit nombre de patients peuvent présenter des symptômes relativement légers, et le pronostic est meilleur : vertiges, maux de tête, engourdissement des membres, lenteur de réaction, etc ;
2、Petite zone d'infarctus : la zone d'infarctus cérébral lacunaire est relativement petite, son diamètre est généralement compris entre 2 et 15 mm, et sa limite maximale n'est que de 20 mm ;
3. Facteurs prédisposant à l'hypertension : les symptômes de l'hypertension sur une période assez longue n'ont pas été bien contrôlés, ce qui entraîne un durcissement des petites artères pénétrantes profondes des hémisphères cérébraux ou du tronc cérébral ; avec le temps, ces petites artères s'occluent lentement, ce qui entraîne la formation de foyers d'infarctus plus petits, c'est-à-dire d'infarctus cérébral lacunaire.
L'infarctus cérébral caverneux et l'infarctus cérébral sont essentiellement les mêmes, avec seulement une différence de degré. L'infarctus cérébral caverneux représente 20 à 30 % de l'ensemble des infarctus cérébraux.
L'infarctus cérébral caverneux fait référence aux petites artères pénétrantes du tissu cérébral sous l'effet d'une hypertension de longue durée, d'une hyperlipidémie, d'un diabète et d'autres facteurs de risque, aux lésions de la paroi du vaisseau, et finalement à l'occlusion de la lumière, entraînant une nécrose ischémique et anoxique du tissu cérébral distal, des cellules cérébrales nécrosées par phagocytose, l'élimination, la formation d'une petite cavité, et c'est pourquoi nous appelons l'infarctus cérébral caverneux, les foyers d'infarctus de la taille de l'infarctus ne dépassent généralement pas 1,5 à 2cm.
Étant donné que les infarctus sont petits et que la plupart des patients ont des infarctus dans des zones relativement calmes (non fonctionnelles) du tissu cérébral, les patients atteints d'infarctus cérébral lacunaire ne présentent généralement pas de symptômes de déficits neurologiques, ce qui correspond à ce que l'on appelle "l'état de santé" des gens ordinaires. Par conséquent, les patients atteints d'infarctus cérébral lacunaire ne présentent généralement aucun symptôme de déficit neurologique, ce qui correspond à ce que l'on appelle "l'état de santé".
Mais l'infarctus cérébral caverneux est loin d'être une maladie anodinePour expliquer l'infarctus cérébral lacunaire, le patient doit présenter un ou plusieurs facteurs de risque d'infarctus cérébral, tels que l'hyperlipidémie, l'hypertension, le diabète sucré, le tabagisme, l'alcoolisme, etc. Lorsque vous constatez que le compte rendu du scanner indique un infarctus cérébral lacunaire, vous devez vérifier les facteurs de risque susmentionnés et intervenir le plus tôt possible, faute de quoi l'étape suivante risque d'être un infarctus cérébral massif !
Dr Zhang Online - Bienvenue à votre attention !
Merci pour l'invitation !
Souvent, les patients viennent chez le médecin avec des comprimés et demandent : "Docteur, il est écrit sur ce film que j'ai un infarctus cérébral lacunaire, mais je ne ressens aucun symptôme gênant, et les infarctus cérébraux n'ont-ils pas des symptômes tels que des maux de tête et des vomissements ? Ne s'agit-il pas d'une erreur de diagnostic ?"
En fait, il s'agit de deux maladies différentes, et les symptômes ne sont certainement pas les mêmes ! De nombreuses personnes voient un infarctus cérébral dans un infarctus cérébral caverneux et l'associent automatiquement à un infarctus cérébral, c'est une mauvaise compréhension de l'infarctus cérébral caverneux, parlons de la différence entre les deux.

Tout d'abord, les définitions sont différentes
L'infarctus cérébral est un infarctus ischémique et hypoxique localisé du tissu cérébral causé par l'occlusion de grosses artères intracrâniennes et extracrâniennes ;
Un infarctus cérébral lacunaire est un infarctus ponctuel du tissu cérébral causé par l'occlusion de petites artères profondes du cerveau ou du tronc cérébral.
Les premières sont de grosses artères et des infarctus étendus, tandis que les secondes sont de petites artères et de petits infarctus.

Deuxièmement, la cause de la maladie est différente
Les infarctus cérébraux sont le plus souvent causés par l'athérosclérose ;
Les infarctus cérébraux caverneux surviennent le plus souvent en cas d'hypertension chronique.
Troisièmement, les symptômes sont différents
Un infarctus cérébral peut entraîner des symptômes graves tels que des maux de tête, des vomissements, une hémiplégie et une hémiparésie ;
Les symptômes de l'infarctus cérébral lacunaire sont légers, voire asymptomatiques, et comprennent souvent des vertiges et des pertes de mémoire. La lésion étant profonde et petite, elle peut être située dans une zone sans importance ou non affectée, appelée "zone muette".

Quatrièmement, le mode d'apparition est différent
L'infarctus cérébral se déclare souvent de manière aiguë, avec l'apparition simultanée de nombreux symptômes, et la situation est urgente ;
L'infarctus cérébral caverneux est l'inverse, il a tendance à s'aggraver lentement, comme une maladie chronique, mais il ne faut pas le sous-estimer, car si on le laisse se développer, il peut entraîner une démence vasculaire, un syndrome de type Parkinson, une incontinence urinaire et d'autres conséquences.
Cinquièmement, le pronostic est très variable
L'infarctus cérébral, en raison de son apparition rapide et de son ampleur, a généralement un mauvais pronostic et est susceptible d'entraîner des incapacités et la mort ;
Ce n'est pas le cas de l'infarctus cérébral lacunaire, qui a un très bon pronostic et ne laisse pratiquement pas de séquelles.

Avec le renforcement de la sensibilisation à la santé publique et le développement de la technologie de dépistage, de nombreuses maladies qui n'étaient pas si faciles à détecter auparavant peuvent maintenant l'être, de nombreux patients sont découverts lors de l'examen physique de leur propre infarctus cérébral caverneux, un regard sur tous les infarctus cérébraux caverneux dans l'infarctus cérébral, tout le monde a paniqué !
Le Dr Choi a dit aux gens de ne pas paniquer, que la maladie n'était pas effrayante, qu'ils devaient se rendre chez un neurologue qui les traiterait correctement et que le pronostic était bon.
Merci ! L'infarctus cérébral et l'infarctus cérébral caverneux ne sont pas identiques lorsqu'ils sont décomposés, ils peuvent être identiques lorsqu'ils sont divisés grossièrement.
En fait, l'infarctus cérébral est un nom général qui englobe l'infarctus cérébral caverneux.
L'infarctus cérébral lacunaire est en fait un infarctus cérébral très petit, car lacunaire signifie très petit, de sorte que pour certains infarctus cérébraux très légers, les symptômes cliniques ne sont pas graves, et l'on peut parler d'infarctus cérébral lacunaire.
L'infarctus cérébral, quant à lui, est une vaste catégorie de noms, non seulement l'infarctus cérébral caverneux, mais aussi l'infarctus cérébral multiple, l'infarctus cérébral de grande taille, et divers autres noms.
Par conséquent, dans ce cas, il est nécessaire d'améliorer les tests pertinents pour procéder à une identification finale, tels que la tomodensitométrie ou l'IRM de la tête.
Les patients doivent subir une angiographie cérébrale pour déterminer si leurs propres vaisseaux sanguins présentent un problème. Si les vaisseaux sanguins présentent un problème, ils doivent également faire l'objet d'un suivi actif lié au traitement et, dans des circonstances particulières, ils peuvent également subir une intervention chirurgicale.
Je vous souhaite une bonne santé !
Si vous avez des questions, vous pouvez chatter en privé pour obtenir la méthode de demande de consultation. Bienvenue à liker, commenter, retweeter, attention, vous amener à comprendre le monde réel de la neurochirurgie (chirurgie du cerveau). (Pour un traitement raisonnable et légal des maladies, veuillez choisir les canaux réguliers)
Ces questions et réponses proviennent des utilisateurs du site, elles ne représentent pas la position du site, s'il y a une infraction, veuillez contacter l'administrateur pour la supprimer.
Les lésions d'infarctus cérébral caverneux sont petites et ne sont facilement reconnaissables que par les spécialistes, avec des lésions multiples au milieu de la section cérébrale de l'IRM.
👆 L'infarctus cérébral se manifeste souvent par une hémiparésie : bouche tordue, hémiplégie ......